Influence of High Eimeria tenella Immunization Dosages on Total Oocyst Output and Specific Antibodies Recognition Response in Hybrid Pullets (Gallus gallus)—A Pilot Study
Abstract
1. Introduction
2. Materials and Methods
2.1. Animals
2.2. Parasites
2.3. Experimental Design
2.4. Clinical-Sign-Based Rating Score
2.5. Oocyst Harvesting and Serum Samples
2.6. Preparation of Antigens from Sporozoites and Second-Generation Merozoites of Eimeria tenella
2.7. ELISA Measuring IgYs
2.8. SDS-PAGE and Western Blotting
2.9. Parameters to Assess Acquired Immunity
2.10. Statistical Analysis
3. Results
3.1. Clinical Signs and Mortality
3.2. Identification of the Eimeria tenella Wild-Type Strain
3.3. Oocyst Output
3.4. Time Course of Serum Antibodies Response
3.5. SDS-PAGE of Sporozoites and Merozoites of 2nd Generation of E. tenella Proteins
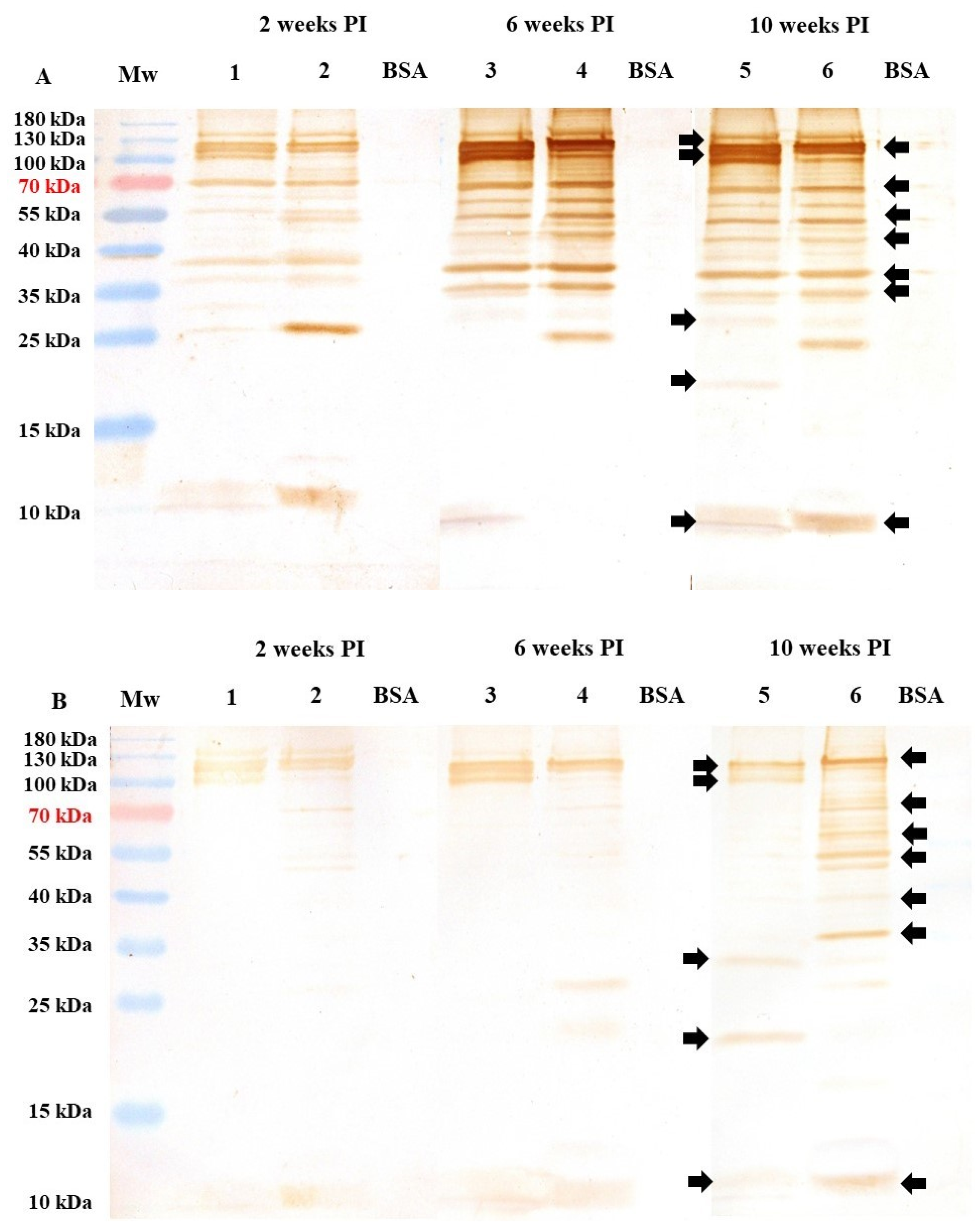
3.6. Antigenic Recognition by Antisera from Immunized and Boosted Pullets
3.7. Serological Analysis of Three Antiserums from Pullets Primary Immunized with 5000 Oocysts
3.8. Western Blot Individual Analysis of Three Pullets with a Primary Immunization of 5000 Oocysts
4. Discussion
5. Conclusions
Author Contributions
Funding
Institutional Review Board Statement
Data Availability Statement
Acknowledgments
Conflicts of Interest
References
- Blake, D.P.; Knox, J.; Dehaeck, B.; Huntington, B.; Rathinam, T.; Ravipati, V.; Ayoade, S.; Gilbert, W.; Adebambo, O.A.; Jatau, I.L.; et al. Re-calculating the cost of coccidiosis in chickens. Vet. Res. 2020, 51, 115. [Google Scholar] [CrossRef] [PubMed]
- Lillehoj, H.S. Influence of inoculation dose, inoculation schedule, chicken age, and host genetics on disease susceptibility and development of resistance to Eimeria tenella infection. Avian Dis. 1988, 32, 437–444. [Google Scholar] [CrossRef]
- Dalloul, R.A.; Lillehoj, H.S. Poultry coccidiosis: Recent advancements in control measures and vaccine development. Expert. Rev. Vaccines 2006, 5, 143–163. [Google Scholar] [CrossRef] [PubMed]
- Soutter, F.; Werling, D.; Tomley, F.M.; Blake, D.P. Poultry coccidiosis: Design and interpretation of vaccine studies. Front. Vet. Sci. 2020, 7, 101. [Google Scholar] [CrossRef] [PubMed]
- Rose, M.E.; Long, P.L. Immunity to coccidiosis: Protective effects of transferred serum and cells investigated in chick embryos infected with Eimeria tenella. Parasitology 1971, 63, 299–313. [Google Scholar] [CrossRef]
- Long, P.L.; Johnson, J.; McKenzie, M.E.; Perry, E.; Crane, M.S.; Murray, P.K. Immunization of young broiler chickens with low level infections of Eimeria tenella, E. acervulina, or E. maxima. Avian Pathol. 1986, 15, 271–278. [Google Scholar] [CrossRef]
- Juárez, E.M.A.; Guzmán, M.R.; Nava, M.G. Anticoccidial vaccine effect on physiological and immunological parameters in broiler chickens. Vet. Mex. 2007, 38, 303–318. [Google Scholar]
- Mtshali, S.A.; Adeleke, M.A. A review of adaptive immune responses to Eimeria tenella and Eimeria maxima challenge in chickens, Worlds Poult. Sci. J. 2020, 76, 827–841. [Google Scholar] [CrossRef]
- Blake, D.P.; Hesketh, P.; Andrew, A.; Carroll, F.; Martin, W.; Shirley, M.W.; Smith, A.L. The influence of immunizing dose size and schedule on immunity to subsequent challenge with antigenically distinct strains of Eimeria maxima. Avian Pathol. 2005, 34, 489–494. [Google Scholar] [CrossRef][Green Version]
- Gilbert, J.M.; Bhanushall, J.K.; McDougald, L.R. An enzyme-linked immunosorbent assay for coccidiosis in chickens: Correlation of antibody levels with prior exposure to coccidia in the laboratory and in the field. Avian Dis. 1988, 32, 688–694. [Google Scholar] [CrossRef] [PubMed]
- Suprihati, E.; Yunus, M. Evaluation of the antigenicity and immunogenicity of Eimeria tenella by reproductive index and histopathological changes of cecal coccidiosis virulent live vaccine in broiler chickens. Afr. J. Infect. Dis. 2018, 12, 104–110. [Google Scholar] [CrossRef]
- Davis, P.J.; Parry, S.H.; Porter, P. The role of secretory IgA in anti-coccidial immunity in the chicken. Immunology 1978, 34, 879–888. [Google Scholar] [PubMed] [PubMed Central]
- Smith, N.C.; Bucklar, H.; Muggli, E.; Hoop, R.K.; Gottstein, B.; Eckert, J. Use of IgG- and IgM-specific ELISAs for the assessment of exposure status of chickens to Eimeria species. Vet. Parasitol. 1993, 51, 13–25. [Google Scholar] [CrossRef] [PubMed]
- Williams, R.B. Effects of different infection rates on the oocysts production of Eimeria acervulina or Eimeria tenella in the chicken. Parasitology 1973, 67, 279–288. [Google Scholar] [CrossRef] [PubMed]
- Soutter, F.; Werling, D.; Kim, S.; Pastor-Fernández, I.; Marugán-Hernández, V.; Tomley, F.M.; Blake, D. Impact of Eimeria tenella oocyst dose on parasite replication, lesion score and cytokine transcription in the caeca in three breeds of commercial layer chickens. Front. Vet. Sci. 2021, 8, 640041. [Google Scholar] [CrossRef]
- Williams, R.B. Quantification of crowding effect during infection with the seven Eimeria species of the domesticated fowls: Its importance for the experimental designs and the production of oocyst stocks. Int. J. Parasitol. 2001, 31, 1056–1069. [Google Scholar] [CrossRef]
- Souza, G.C.d.; Esteves, G.F.; Volpato, F.A.; Miotto, R.; Mores, M.A.Z.; Ibelli, A.M.G.; Bastos, A.P. Effects of varying concentrations of Eimeria challenge on the intestinal integrity of broiler chickens. Poultry 2024, 3, 1–14. [Google Scholar] [CrossRef]
- Tomley, F. Antigenic diversity of the asexual developmental stages of Eimeria tenella. Parasite Immunol. 1994, 16, 407–413. [Google Scholar] [CrossRef]
- Sharma, M.K.; Liu, G.; White, D.L.; Kim, W.K. Graded levels of Eimeria infection linearly reduced the growth performance, altered the intestinal health, and delayed the onset of egg production of Hy-Line W-36 laying hens when infected at the prelay stage. Poult. Sci. 2024, 103, 103174. [Google Scholar] [CrossRef] [PubMed]
- Stephan, B.; Rommel, M.; Daugshies, A.; Haberkorn, A. Studies of resistance to anticoccidials in Eimeria field isolates and pure Eimeria strains. Vet. Parasitol. 1997, 69, 19–29. [Google Scholar] [CrossRef]
- Khalafalla, R.E.; Daugschies, A. Single oocyst infection: A simple method for isolation of Eimeria spp. from the mixed field samples. Parasitol. Res. 2010, 107, 187–188. [Google Scholar] [CrossRef] [PubMed]
- Haug, A.; Gjevre, A.G.; Skjerve, E.; Kaldhusdal, M. A survey of the economic impact of subclinical Eimeria infections in broiler chickens in Norway. Avian Pathol. 2008, 37, 333–341. [Google Scholar] [CrossRef] [PubMed]
- Fernandez, S.; Pagotto, A.H.; Furtado, M.M.; Katsuyama, A.M.; Madeira, A.M.B.N.; Gruber, A. A Multiplex PCR assay for the simultaneous detection and discrimination of the seven Eimeria species that infect domestic fowl. Parasitology 2003, 127, 317–325. [Google Scholar] [CrossRef] [PubMed]
- Ogedengbe, J.D.; Hunter, D.B.; Barta, J.R. Molecular identification of Eimeria species infecting market-age meat chickens in commercial flocks in Ontario. Vet. Parasitol. 2011, 178, 350–354. [Google Scholar] [CrossRef] [PubMed]
- Long, P.L.; Millard, B.J.; Joyner, L.P.; Norton, C.C. A guide to laboratory techniques used in the study and diagnosis of avian coccidiosis. Folia Vet. Lat. 1976, 6, 201–217. [Google Scholar] [PubMed]
- Juárez, E.M.A.; Cabriales, J.J.J.; Petrone, G.V.M.; Téllez, I.G. Evaluation of Eimeria tenella oocysts total count carried out with both the McMaster camera and the Neubauer haemocytometer from feces or caecal tissue samples. Vet. Mex. 2002, 33, 73–79. [Google Scholar]
- Hambesha, P.T.; Orakpoghenor, O.; Abdu, P.A.; Danladi, J.I.; Aluwong, T. Clinico-pathological changes and performance indices in Eimeria tenella-infected broiler chickens following the prophylactic administration of Ganoderma lucidum, Vernonia amygdalina, and Vitellaria paradoxa methanolic extract. J. Res. Vet. Sci. 2023, 1, 1–9. [Google Scholar] [CrossRef]
- Hassan, S.M.; Zayeda, R.; Elakany, H.; Badr, S.; Abou-Rawash, A.; Abd-Ellatieff, H. Anticoccidial activity of Aloe Vera Leafs’ aqueous extract and vaccination against Eimeria tenella: Pathological study in broilers. Vet. Res. Commun. 2024, 48, 403–416. [Google Scholar] [CrossRef]
- Constantinoiu, C.C.; Molloy, J.B.; Jorgensen, W.K.; Coleman, G.T. Development and validation of an ELISA for detecting antibodies to Eimeria tenella in chickens. Vet. Parasitol. 2007, 150, 306–313. [Google Scholar] [CrossRef]
- Dulski, P.; Turner, M. The purification of sporocysts and sporozoites from Eimeria tenella oocysts using percoll density gradients. Avian Dis. 1988, 32, 235–239. [Google Scholar] [CrossRef] [PubMed]
- Constantinoiu, C.C.; Molloy, J.B.; Jorgensen, W.K.; Coleman, G.T. Characterization of the antibody response in birds following infection with wild-type and attenuated strains of Eimeria tenella and Eimeria necatrix. Vet. Parasitol. 2011, 175, 47–51. [Google Scholar] [CrossRef] [PubMed]
- Liu, L.; Xu, L.; Yan, F.; Yan, R.; Song, X.; Li, X. Immunoproteomic analysis of the second generation merozoite proteins of Eimeria tenella. Vet. Parasitol. 2009, 164, 173–182. [Google Scholar] [CrossRef] [PubMed]
- Geysen, J.; Ausma, J.; Van den Bossche, H. Simultaneous purification of merozoites and schizonts of Eimeria tenella (Apicomplexa) by percoll flotation and assessment of cell viability with a double fluorescent dye assay. J. Parasitol. 1991, 77, 989–993. [Google Scholar] [CrossRef]
- Juárez-Estrada, M.A.; Gayosso-Vázquez, A.; Tellez-Isaias, G.; Alonso-Morales, R.A. Protective immunity induced by an Eimeria tenella whole sporozoite vaccine elicits specific B-cell antigens. Animals 2021, 11, 1344. [Google Scholar] [CrossRef] [PubMed]
- Onaga, H.; Togo, M.; Kudo, Y.; Motohashi, T.; Ishii, T. The use of an enzyme-linked immunosorbent assay for estimation of the immune status of chicken artificially immunized against coccidiosis. Vet. Parasitol. 1989, 33, 199–205. [Google Scholar] [CrossRef] [PubMed]
- Riley, J.F.; Meade, R.; Hazelhurst, J.; Robinson, T.E. Methods in coccidiosis research: Separation of oocysts from feces. Parasitology 1976, 73, 311–326. [Google Scholar] [CrossRef] [PubMed]
- Tomley, F. Techniques for isolation and characterization of apical organelles from Eimeria tenella sporozoites. Methods A Comp. Methods Enzymol. 1987, 13, 171–176. [Google Scholar] [CrossRef] [PubMed]
- Holdsworth, P.A.; Conway, D.P.; McKensie, M.E.; Dayton, A.D.; Chapman, H.D.; Mathis, G.F.; Skinner, J.T.; Mundt, H.-C.; Williams, R.B. World Association for the advancement of veterinary parasitology (WAAVP) guidelines for evaluating the efficacy of anticoccidial drugs in chickens and turkeys. Vet. Parasitol. 2004, 121, 189–212. [Google Scholar] [CrossRef]
- Constantinoiu, C.C.; Molloy, J.B.; Jorgensen, W.K.; Coleman, G.T. Antibody response against endogenous stages of an attenuated strain of Eimeria tenella. Vet. Parasitol. 2008, 154, 193–204. [Google Scholar] [CrossRef] [PubMed]
- de Venevelles, P.; Chich, J.F.; Faigle, W.; Loew, D.; Labbé, M.; Girard-Misguich, F.; Péry, P. Towards a reference map of Eimeria tenella sporozoite proteins by two-dimensional electrophoresis and mass spectrometry. Int. J. Parasitol. 2004, 34, 1321–1331. [Google Scholar] [CrossRef]
- Liu, L.; Huang, X.; Liu, J.; Tian, D.; Tian, L.; Yang, X.; Xu, L.; Yan, R.; Li, X.; Song, X. Identification of common immunodominant antigens of Eimeria tenella, Eimeria acervulina and Eimeria maxima by immunoproteomic analysis. Oncotarget 2017, 8, 34935–34945. [Google Scholar] [CrossRef] [PubMed]
- Morales, G.J.A.; Lucio, D.E. Composition for Prevention and Treatment of Infections Caused by Coccidia in Chickens. U.S. Patent 8,110,188B2, 7 February 2012. Available online: https://patents.google.com/patent/US8110188B2/en (accessed on 14 November 2023).
- Juárez-Estrada, M.A.; Tellez-Isaias, G.; Sánchez-Godoy, F.D.; Alonso-Morales, R.A. Immunotherapy with egg yolk Eimeria sp.-specific immunoglobulins in SPF Leghorn chicks elicits successful protection against Eimeria tenella infection. Front. Vet. Sci. 2021, 8, 758379. [Google Scholar] [CrossRef] [PubMed]
- Murray, P.K.; Galuska, S. Coccidiosis Vaccine. U.S. Patent US 4639372 A, 27 January 1987. Available online: https://patents.google.com/patent/US4639372 (accessed on 12 August 2023).
- Liu, G.; Zhu, S.; Zhao, Q.; Dong, H.; Huang, B.; Zhao, H.; Li, Z.; Wang, L.; Han, H. Molecular characterization of surface antigen 10 of Eimeria tenella. Parasitol. Res. 2019, 118, 2989–2999. [Google Scholar] [CrossRef]
- Talebi, A. Protein profiles of five avian Eimeria species. Avian Pathol. 1995, 24, 731–735. [Google Scholar] [CrossRef]
- Juárez-Estrada, M.A.; Tellez-Isaias, G.; Graham, D.M.; Laverty, L.; Gayosso-Vázquez, A.; Alonso-Morales, R.A. Identification of Eimeria tenella sporozoite immunodominant mimotopes by random phage-display peptide libraries–a proof of concept study. Front. Vet. Sci. 2023, 10, 1223436. [Google Scholar] [CrossRef] [PubMed]
- Karkhanis, Y.D.; Nollstadt, K.A.; Bhogal, B.S.; Ravino, O.; Pellegrino, R.; Crane, M.S. Purification and characterization of protective antigen from Eimeria tenella. Infect. Immun. 1991, 39, 983–989. [Google Scholar] [CrossRef] [PubMed]
- Choi, K.D.; Lillehoj, H.S.; Zalenga, D.S. Changes in local IFN-γ and TGF-β4 mRNA expression and intraepithelial lymphocytes following Eimeria acervulina infection. Vet. Immunol. Immunopathol. 1999, 71, 263–275. [Google Scholar] [CrossRef]
- Rothwell, L.; Young, J.R.; Zoorob, R.; Whittaker, C.A.; Hesketh, P.; Archer, A.; Smith, A.L.; Kaiser, P. Cloning and characterization of chicken IL-10 and its role in the immune response to Eimeria maxima. J. Immunol. 2004, 173, 2675–2682. [Google Scholar] [CrossRef] [PubMed]









Disclaimer/Publisher’s Note: The statements, opinions and data contained in all publications are solely those of the individual author(s) and contributor(s) and not of MDPI and/or the editor(s). MDPI and/or the editor(s) disclaim responsibility for any injury to people or property resulting from any ideas, methods, instructions or products referred to in the content. |
© 2025 by the authors. Licensee MDPI, Basel, Switzerland. This article is an open access article distributed under the terms and conditions of the Creative Commons Attribution (CC BY) license (https://creativecommons.org/licenses/by/4.0/).
Share and Cite
Juarez-Estrada, M.A.; Tellez-Isaias, G.; Petrone-Garcia, V.M.; Gayosso-Vazquez, A.; Hernandez-Velasco, X.; Alonso-Morales, R.A. Influence of High Eimeria tenella Immunization Dosages on Total Oocyst Output and Specific Antibodies Recognition Response in Hybrid Pullets (Gallus gallus)—A Pilot Study. Antibodies 2025, 14, 9. https://doi.org/10.3390/antib14010009
Juarez-Estrada MA, Tellez-Isaias G, Petrone-Garcia VM, Gayosso-Vazquez A, Hernandez-Velasco X, Alonso-Morales RA. Influence of High Eimeria tenella Immunization Dosages on Total Oocyst Output and Specific Antibodies Recognition Response in Hybrid Pullets (Gallus gallus)—A Pilot Study. Antibodies. 2025; 14(1):9. https://doi.org/10.3390/antib14010009
Chicago/Turabian StyleJuarez-Estrada, Marco A., Guillermo Tellez-Isaias, Víctor M. Petrone-Garcia, Amanda Gayosso-Vazquez, Xochitl Hernandez-Velasco, and Rogelio A. Alonso-Morales. 2025. "Influence of High Eimeria tenella Immunization Dosages on Total Oocyst Output and Specific Antibodies Recognition Response in Hybrid Pullets (Gallus gallus)—A Pilot Study" Antibodies 14, no. 1: 9. https://doi.org/10.3390/antib14010009
APA StyleJuarez-Estrada, M. A., Tellez-Isaias, G., Petrone-Garcia, V. M., Gayosso-Vazquez, A., Hernandez-Velasco, X., & Alonso-Morales, R. A. (2025). Influence of High Eimeria tenella Immunization Dosages on Total Oocyst Output and Specific Antibodies Recognition Response in Hybrid Pullets (Gallus gallus)—A Pilot Study. Antibodies, 14(1), 9. https://doi.org/10.3390/antib14010009

