Next Article in Journal
Purification of a Fc-Fusion Protein with [Bathophenathroline:metal] Complexes
Previous Article in Journal
Influence of High Eimeria tenella Immunization Dosages on Total Oocyst Output and Specific Antibodies Recognition Response in Hybrid Pullets (Gallus gallus)—A Pilot Study
 
 
Font Type:
Arial Georgia Verdana
Font Size:
Aa Aa Aa
Line Spacing:
Column Width:
Background:
Article

Exploring Anticitrullinated Antibodies (ACPAs) and Serum-Derived Exosomes Cargoes

by
Mohammed A. Alghamdi
1,2,
Sami M. Bahlas
3,
Sultan Abdulmughni Alamry
4,
Ehab H. Mattar
1 and
Elrashdy M. Redwan
1,5,6,*
1
Department of Biological Sciences, Faculty of Science, King Abdulaziz University, P.O. Box 80203, Jeddah 21589, Saudi Arabia
2
Laboratory Department, University Medical Services Center, King Abdulaziz University, P.O. Box 80200, Jeddah 21589, Saudi Arabia
3
Department of Internal Medicine, Faculty of Medicine, King Abdulaziz University, P.O. Box 80215, Jeddah 21589, Saudi Arabia
4
Immunology Diagnostic Laboratory Department, King Abdulaziz University Hospital, P.O. Box 80215, Jeddah 21589, Saudi Arabia
5
Centre of Excellence in Bionanoscience Research, King Abdulaziz University, Jeddah 21589, Saudi Arabia
6
Therapeutic and Protective Proteins Laboratory, Protein Research Department, Genetic Engineering and Biotechnology Research Institute, City for Scientific Research and Technology Applications, New Borg EL-Arab, Alexandria 21934, Egypt
*
Author to whom correspondence should be addressed.
Antibodies 2025, 14(1), 10; https://doi.org/10.3390/antib14010010
Submission received: 10 November 2024 / Revised: 5 January 2025 / Accepted: 20 January 2025 / Published: 26 January 2025

Abstract

Background: Autoantibodies such as rheumatoid factor (RF) and anticitrullinated protein autoantibodies (ACPAs) are useful tools for rheumatoid arthritis (RA). The presence of ACPAs against citrullinated proteins (CPs), especially citrullinated fibrinogen (cFBG), seems to be a useful serological marker for diagnosing RA. RA patients’ sera were found to be enriched in exosomes that can transmit many proteins. Exosomes have been found to express citrullinated protein such as cFBG. Objective: We conducted this study in two stages. In the first phase, we aimed to evaluate the association between autoantibodies and risk factors. In the next step, ACPA-positive serum samples from the first phase were subjected to exosomal studies to explore the presence of cFBG, which is a frequent target for ACPAs. Methods: We investigated the autoantibodies in one hundred and sixteen Saudi RA patients and correlated with host-related risk factors. Exosomes were extracted from patients’ sera and examined for the presence of cFBG using monoclonal antibodies. Results: The study reported a high female-to-male ratio of 8:1, and seropositive RA (SPRA) was more frequent among included RA patients. The frequency and the levels of ACPAs were similar in both genders. Autoantibodies incidences have a direct correlations with patient age, while the average titers decreased as the age increased. Further, the highest incidence and levels of autoantibodies were reported in patients with RA duration between 5 and 10 years. Smoking and family history have no impact on autoantibody, except for ACPAs titers among smokers’ RA. Our analysis of serum exosomes revealed that about 50% of SPRA patients expressed cFBG. Conclusions: The female-to-male ratio is 8:1, which is higher than the global ratio. We can conclude that patients’ age and disease duration contribute to the autoantibodies, particularly RF and anti-MCV, whereas smoking and family history had no effects on autoantibodies. We detected cFBG in all exosomes from SPRA patients; thus, we suggest that the precise mechanism of exosomes in RA pathogenesis can be investigated to develop effective treatment strategies.

Graphical Abstract

1. Introduction

Rheumatoid arthritis (RA) is a systemic autoimmune disease of unknown etiology. RA is the most common chronic disorder, with a global prevalence incidence of 0.5–1% [1]. According to several systematic review and meta-analysis, the global prevalence for RA ranges from 0.24 to 1%, and it is more common in females than males, with an estimated ratio about 3:1 [2,3,4]. In Saudi Arabia, there are no adequate data available about the exact prevalence of RA. According to a few past studies, the prevalence of the disease in Saudi Arabia is about 0.1−0.22%, with three to four times higher rates in women than men [5,6,7,8]. Citrullination is a post-translation modification (PMT) process related to human physiology and some pathological diseases. In inflammatory diseases such as RA, MS, and PsA, citrullinated peptides (CPs) have been found to trigger antibodies against such modified proteins [9]. Autoantibody measures have been a constant companion for physicians managing RA patients, and their significance has grown over the past few decades. Autoantibody investigations include the measurement of rheumatoid factor (RF) and anticitrullinated peptide antibodies (ACPAs). ACPAs and RF improve diagnostic accuracy and are included in the 2010 ACR/EULAR criteria [10,11]. RF is commonly used as a diagnostic marker of RA, whereas anti-ACPAs, including anticyclic citrullinated peptide (anti-CCP) and antimutated citrullinated vimentin (anti-MCV), are being used as specific prognostic and diagnostic biomarkers for RA. Both anti-CCP and anti-MCV may exist in patients’ sera years before the appearance of clinical symptoms; thus, they can predict the early progression of RA [11,12]. However, RA could be classified as seropositive RA (SPRA) or seronegative RA (SNRA). SPRA refers to the presence of IgM-RF and/or ACPAs, whereas SNRA refers to the absence of these autoantibodies in confirmed RA. Based on clinical and laboratory evidence, seropositivity occurs in 60–80% of patients with confirmed RA [13].
Although the exact cause of RA is still unknown, the bulk of the evidence indicates that many factors might increase the risk of RA, including age, gender, and genetic, environmental, and metabolic factors. Smoking and infection represent the most environmental components that have potential roles in RA and can trigger the inflammatory process, especially in genetically predisposed individuals [14]. Studies using clinical and animal models have indicated that the etiopathogenesis of RA is influenced by infections caused by a variety of bacteria, including Epstein–Barr virus (EBV), Proteus mirabilis (P. mirabilis), Porphyromonas gingivalis (P. gingivalis), and mycoplasma [15].
Periodontitis is a bacterial infection of mucosal gum [16]. The biofilm of subgingival tissues in periodontitis lesions showed the presence of a variety of bacteria species, with the major bacteria causing the most aggressive destruction being P. gingivalis and Aggregatibacter actinomycetemcomitans (A. actinomycetemcomitans) and Prevotella intermedia (P. intermedia) [17]. A recent meta-analysis demonstrated that P. gingivalis is the most common periodontopathogenic bacterium that significantly correlates with RA [18]. This pathogen expresses bacterial peptidyl arginine deiminase (PPAD) enzymes that are calcium-independent, unlike human PADs, which require calcium for activation [19].
The combination of genetic and environmental factors is strongly associated with RA. The early diagnosis of RA is important in the treatment and prevention of worse stages [20]. Many epidemiologic studies indicate sex-related factors in RA risk, as two-thirds of RA patients are female. Therefore, it has long been thought that there are female-specific characteristics that increase the risk of RA [21]. A recent systematic review and meta-analysis investigated the association between gender type and serostatus, i.e., seropositive and seronegative. This meta-analysis found that men with RA are more likely to have seropositive RA than women. The results indicated that RF positivity in males was 16% higher than in females. Similarly, the analysis of ACPA seropositivity showed that the number of males who were ACPA-positive was 12% higher than females [22]. Many studies have elucidated that hormonal replacement therapy (HRT) and the use of oral contraceptives (OCs) for ≥7 years were effective against ACPA and RF development [23,24].
The frequency of RF and ACPA positivity is variable among different age groups. Some reports have revealed that seropositivity is more frequent in patients aged above 40 and up to 60 years [25,26], while it is less prevalent in other age groups, i.e., <40 and >60 years [26,27]. Considering disease duration, it has been found that there is no significant change in autoantibody existence in patients with early RA (<1 year) and established RA (>2 years). A slight rise has been reported in RF, anti-CCP, and anti-MCV [11]. However, another study found that anti-CCP and IgM-RF increased significantly after 5 years of duration [28]. This was supported by further studies that have found that anti-CCP frequency and level are exacerbated in the early onset of RA (≤1 year) and then decline gradually within 3–5 years. Afterward, anti-CCP increased significantly after a 5-year duration [29,30].
Extensive epidemiologic studies have demonstrated that the RA risk for smokers is two times higher than that of non-smokers, notably in male smoker RA patients [31,32]. Even in the absence of RA, smoking has long been linked to a positive RF [33,34]. Many studies have linked the presence of ACPA in smokers to the fact that smoking induces the citrullination process during lung inflammation. It has been found that there is a considerable correlation between smoking and anti-CCP concentration, whereas RF levels were comparable between smoker and non-smoker RA patients [35,36,37,38].
RA is highly heritable and, unfortunately, tends to run in families. According to various studies, 50–60 percent of RA cases are thought to be heritable [39,40]. Assessment of family history in autoimmune diseases may be considered before the identification of genetic factors [41,42]. The human leukocyte antigen (HLA) has essential roles in antigen presentation and immune response in RA. HLA-DRB1 carrying shared epitopes (SE) is a class II-HLA, and it is well established to be the strongest genetic risk factor for developing RA [43]. Recent studies have clarified the high expression of HLA-DRB1 SE on the immunocytes of RA patients. The HLA-DRB SE can bind and present the citrullinated protein and trigger the autoimmunity response in RA [44,45]. Considering the serostatus, early familiar and genetic studies found that family aggregation was higher in seropositive RA cases than in seronegative cases [46,47].
Interestingly, it has been verified that RA patients had higher levels of extracellular vesicles (EVs) than healthy individuals [48]. Furthermore, people with RA have been reported to have distinct exosome cargo, which may help with diagnosis [49]. Exosomes are the smallest and most well-studied class of EVs, with an average diameter of 30–150 nm and density of 1.13–1.19 g/mL; they have a spherical cup-like shape in EM images [50,51]. Exosome cargo includes proteins, lipids, nucleic acids, small molecules, and receptors. These nanoparticles have many critical roles in biological systems’ physiology, pathology, and therapy [52].
Exosomes encompass many proteins in their cargo, with the proteome of a typical exosome containing approximately 4400 proteins [53]. The most common proteins in exosomes are ESCRT proteins (Alix and tumor susceptibility gene 101 (TSG101)), heat-shock proteins (HSP70 and HSP90), and tetraspanin (CD9, CD63, and CD81). Distinctly, these exosome-enriched proteins are highly utilized as specific markers for exosomes [54]. The high stability of exosomes in the extracellular space enables them to carry their cargo far away to interact with distant cells [55].
The pathophysiology of RA has long been known to be significantly affected by infections and malignancy. A variety of immunological processes may be triggered by certain infections and cancers, which can affect the immune system through multiple pathways. There is mounting evidence that exosomes produced from saliva could be used as biomarkers for periodontitis. Toxins and other virulence factors can be transported by P. gingivalis’s outer membrane vesicles (OMVs), which also trigger the release of pro- and anti-inflammatory cytokines that stimulate osteoclasts, T and B lymphocytes, and neutrophils [56]. Furthermore, colon carcinogenesis, which occurs in people with inflammatory bowel infections, has the strongest correlation between malignancy and chronic inflammation, such as RA [57]. Exosomes can carry infectious agents and transport various genetic products, such as DNA and miRNA. Colon cancer and RA share genetic factors, such as the mutant form of the p53 gene that contributes to the inflammatory RA and tumorigenesis. Recent reports revealed that exosomal miR-1246 can transfer mutant p53 that alters macrophages into tumor-supporting macrophages [58,59].
The proteomic and immunological studies of immune cell-derived exosomes obtained from different body fluids revealed the significant role of these nanovesicles in the regulation and modulation of immune responses, including both immune suppression and immune stimulation [60]. Serum exosomes can transfer several proteins involved in RA pathogenesis and might be predictors of therapeutic responses. Serum exosomes exhibit antigen-presenting functions, as they can express HLA, especially HLA-DRB1 SE, which has a great affinity to citrullinated proteins [61]. A recent study has shown that B cells produce a high level of HLA-bearing exosomes [62]. Furthermore, proteomics of RA serum exosomes showed that exosomes could present the citrullinated peptides to effector CD8+ cells to release TNF-α and IFN-γ [63].
Citrullinated fibrinogen (cFBG) has been identified as a major autoantigen for ACPAs that play a role in RA pathogenesis. Increased levels of cFBG have been detected in the serum and synovium of RA patients and have been linked to joint damage and RA severity [64,65,66]. Analysis of exosomes derived from inflamed synovium led to the detection of cFBG on the exosome surface, which may trigger the production of ACPAs [67]. In our current work, we aim to explore the presence of cFBG in serum-derived exosomes. However, as far as we know, no studies have investigated cFBG in exosomes extracted from the serum of RA patients.

2. Materials and Methods

2.1. Study Population and Sample Collection

A set of 116 Saudi RA patients aged 18–70 years and 35 healthy controls (HC) aged 23–66 years were included in this study. The control group included demographically matched, healthy individuals chosen from the general population and the King Abdulaziz University Hospital (KAUH) staff. Patients were enrolled and investigated during their routine visits to the rheumatology clinic at KAUH. We selected the patients who met the inclusion criteria and agreed to participate in the study. The inclusion criteria required that patients be adults (≥18 years old) and have a confirmed RA according to the rheumatologist’s diagnosis or based on the fulfillment of the ACR 1987 criteria for RA.
The study was approved by the research ethics committee of the Faculty of Medicine at King Abdulaziz University (468-19), and all patients provided written informed consent for participation. Following consent, clinical and demographic data were obtained from the patients or their accompanying relatives. The parameters collected for the patients include age, gender, disease onset, disease duration, family history, smoking status, and occupation.
Serum samples were collected from 116 RA patients attending the rheumatology clinic at KAUH for routine appointments. One hundred and sixteen patients who fulfilled the inclusion criteria and consented to participate in the current study were subjected to blood collection. Whole blood was collected from the veins in the arms by drawing peripheral blood into serum separator tubes for laboratory testing. All collected samples were processed within 1 h of the collection and centrifuged for serum separation. A fraction of the serum was used for serological testing, while the other was subjected to exosome extraction and further exosomal analysis. The same procedure was applied to the healthy control group.

Demographic Characteristics of Patients and Healthy Controls

To improve the outcome of the study, we tried to find a matched control group. After patient group enrollment, we recruited thirty-five healthy control (HC) individuals who match the demographic characteristics of the patient group. Indeed, we chose individuals who are in good health and have no health issues. Further, we tested all HC for autoantibodies (RF, anti-CCP, and anti-MCV) and inflammatory markers such as CRP and ESR to ensure there was no abnormality that might be relevant to autoimmune conditions. Any participant who showed abnormal results was excluded from the study. Moreover, we ensured that the demographics of HC group were matched with those of the patients, such as gender, occupation, age, and age groups. In this study, we considered demographic variables that are known to be the most influential factors in RA. RA patients did not differ from healthy controls on demographic variables such as age, gender, and occupation. However, about 89% of patients were females compared to 80% females in the HC group, with a female/male ratio of 8:1 for the patient group.
The average age for all patients was 51.3 ± 11.5 years compared to 47 ± 11.6 years for the HC group. Further, symmetry in age distribution between both groups was considered for each age group. The vast bulk of participants were housewives: 69.8% of RA patients compared to 57.1% of HC. However, there were no significant differences (p > 0.05) between the patient and HC groups in any of the demographic characteristics assessed. Baseline demographic characteristics for patients and controls are summarized in Table 1.

2.2. Laboratory Analysis

Measurements of RF and ACPA (anti-CCP and anti-MCV) were performed in the accredited laboratory of immunology at KAUH. Exosome preparation, characterization, and the identification of citrullinated protein (cFBG) were performed in a research lab in the college of science at KAU.

2.2.1. RF Testing

Serum was tested for RF-IgM by nephelometry assay on BN II system using an N Latex RF Kit (Siemens Healthcare Diagnostics, Marburg, Germany). All patients, HC, and QC samples were run according to the manufacturer’s instructions. The assay can detect RF in a range from 10 to 1500 IU/mL. The N Latex RF contains an immunocomplex of human immunoglobulin and anti-human IgG from sheep that aggregates with RF-IgM. The intensity of aggregation is proportional to RF concentration. The measurements were evaluated against the reference curve and reported in IU/mL; results ≥ 20 IU/mL were considered positive for RF.

2.2.2. Anti-CCP and Anti-MCV Testing

The presence of anti-CCP and anti-MCV in the serum of all participants (patients and HC) was tested on an Alegria system (version: V 49, Orgentic, Mainz, Germany) using the anti-CCP and anti-MCV reagents (ORGENTEC Diagnostika GmbH, Mainz, Germany). Both reagents are ELISA-based assays for the quantitation of immunoglobulin G (IgG) class autoantibodies against citrullinated peptides in human serum or plasma samples. The anti-MCV includes specific epitopes purified from the native mutated citrullinated protein. All measurements were reported in U/mL, and the cut-off was 20 IU/mL. Any result ≥ 20 IU/mL was reported as positive for anti-CCP or anti-MCV.

2.3. Exosomal Study

Exosomes were extracted from serum samples using the commercial reagent Total Exosome Isolation for serum (Invitrogen, Vilnius, Lithuania) and subjected to morphological study and protein identification. Transmission electron microscopy (TEM) and dynamic light scattering (DLS) were used for morphological studies. Sodium dodecyl-sulfate polyacrylamide gel electrophoresis (PAGE) and Western blotting were used for the identification of exosome markers proteins and citrullinated fibrinogen (cFBG) in serum-derived exosomes.

2.3.1. Exosome Isolation

Exosomes were extracted from the serum of RA patients (n = 116) and healthy individuals (n = 35) using the Total Exosome Isolation (TEI) kit from serum. All exosome preparation steps were performed in cold conditions. Initially, serum samples were centrifuged at 2000× g for 30 min to remove cells and debris, and the supernatant was transferred to a new tube. Then, 30 µL of TEI reagent was added to 150 µL of serum and mixed by vortex until a homogenous solution with a cloudy appearance formed. The mixtures were then incubated at 4 °C for 30 min. After incubation, mixtures were centrifuged at 10,000× g for 10 min at 4 °C The supernatants were carefully discarded, and the pellet containing the exosomes was subjected to three cycles of washing with cold 1× PBS (Gibco, Waltham, MA, USA). Then, the pellet was resuspended entirely in 75 µL of cold 1× PBS. Each pellet suspension was divided into two equal volumes and kept at −80 °C for further analysis: one part for exosomes morphology and the other for exosomes protein identification.

2.3.2. Exosome Size Measurement by Dynamic Light Scattering

Exosome size measurements were analyzed using the Zetasizer Nano ZS ZEN3600 instrument (Malvern Panalytical, Malvern, UK). Exosome preparations from the original suspensions (non-lysed) were diluted 1:100 with sterile/filtered 1× PBS to a total volume of 1 mL. However, further dilutions were occasionally required to obtain an ideal concentration and avoid aggregation. The suspensions were then mixed by vortex for 1 min, immediately poured into Kuvetten Cuvettes (SARSTEDT), and placed in the instrument for measurements. The temperature was set at a stable 25 °C, the analyzer was allowed to equilibrate the temperature for 120 s, and each sample was run for three consecutive measurements.

2.3.3. Exosome Characterization by Transmission Electron Microscopy

In this study, we used the high-resolution transmission electron microscopy (HRTEM) Titan CT from FEI Company to characterize the morphology of serum-derived exosomes using the negative staining technique. Briefly, freshly isolated exosomes (≈3 µg) in PBS suspension were fixed at a ratio of 1:100 with 2.5% glutaraldehyde. After 10 min of fixation at room temperature, a 10 µL drop of exosomes was gently loaded onto Formvar/carbon-coated 200 mesh copper grids and allowed to adsorb for 5 min at room temperature. For negative staining, the absorbed exosomes were stained with a 10 µL drop of the 1% phosphotungstic acid (PTA) for 5 min at room temperature. The excess solution was wiped off by filter paper and then allowed to air dry. TEM analysis was performed at an accelerating voltage of 80 kV. Digital images were visualized using a Gatan 2 k × 2 k slow-scan charged coupled device camera, and 20 fields were captured for each sample.

2.3.4. Quantitation of Exosomal Protein Content

Prior to electrophoretic analysis and immunoblotting, each exosome sample was lysed with 1× radioimmunoprecipitation assay (RIPA) buffer (Merck Millipore, Temecula, CA, USA) containing phenylmethylsulfonyl fluoride (PMSF) protease inhibitor (Sigma-Aldrich, St. Louis, MO, USA) at 1 mM final concentration. The protein content of exosome samples was measured by the Pierce Detergent Compatible Bradford Assay Kit (Thermo Scientific, Rockford, IL, USA). A set of albumin standards was prepared to determine the standard curve. Briefly, 10 µL from each exosome and standard sample was mixed with 300 µL of Pierce detergent-compatible Bradford reagent, followed by 30 min of incubation at RT. The absorbance of each standard and sample was measured spectrophotometrically in duplicate at 595 nm using a BioTek ELx800 plate reader (Agilent BioTek, Winooski, VT, USA). All measurements were plotted against the BSA standard curve to determine the protein concentration.

2.3.5. Sodium Dodecyl Sulfate-Polyacrylamide Gel Electrophoresis (SDS-PAGE)

Using the Hoefer™ Mini Vertical Electrophoresis Unit (Hoefer, San Francisco, CA, USA), two hand-cast gels were prepared: 4% stacking gel and 12% resolving gel. All exosome samples were separated under denatured and reducing conditions. Cold exosome lysates were mixed with 4X sample loading buffer containing β-Mercaptoethanol. The mixtures were then denatured by heating at 95 °C for 5 min. About 10 µg of exosome lysate was loaded into each gel well, and the PageRuler Plus Prestained Protein Ladder (Thermo Fisher, Waltham, MA, USA) was loaded in a separate well as a protein molecular weight marker. The current was set at 70 volts for 50 min and then at 120 volts for 2 h. After the electrophoresis was complete, the gel was washed with distilled water and stained with Coomassie blue stain for 15 min on the rocking platform. Finally, the gel was washed and destained with a destaining solution.

2.3.6. Western Blot Analysis

Using Mini-PROTEAN® Tetra Handcast (Bio-Rad, Hercules, CA, USA), exosome lysates were separated by 12% SDS-PAGE. Exosome lysates were mixed with 4X non-reducing sample loading buffer and heated at 95 °C for 5 min. Approximately 35 µg of each lysate was loaded into each gel well simultaneously with a protein molecular weight marker (Thermo Fisher). The electrophoresis was carried out at 70 volts for 50 min and then at 120 volts for 2 h. Then, exosome samples were transferred onto PVDF membrane (Bio-Rad, Hercules, CA, USA) using Mini Trans-Blot Module Systems (Bio-Rad, Hercules, CA, USA) under constant current at 100 V for 1 h. The blotted membranes were washed in 1× Tris-buffered Saline, tween 20 (TBST-20) for four cycles and blocked in a 3% BSA (Sigma-Aldrich) for 1 h. After clocking, the membranes were probed with primary antibodies dissolved in blocking buffer: CD9 monoclonal antibody (1:1000, Invitrogen-Fisher Scientific, Waltham, MA, USA) and citrullinated fibrinogen monoclonal antibody (1:1000, Cayman Chemical, Ann Arbor, MI, USA). Membranes were incubated with primary antibodies for 1 h at room temperature, followed by four washing cycles with 1× TBST. Peroxidase-conjugated AffiniPure Mouse Anti-Human IgG (H + L) antibody (Jackson ImmunoResearch, West Grove, PA, USA) was used as a secondary antibody after being diluted 1:5000 in the blocking buffer. Membranes were incubated with secondary antibodies for 1 h at room temperature, followed by four washings with 1× TBST. Proteins were then visualized using chromogenic DAB substrate (Fisher Scientific, Waltham, MA, USA).

2.4. Statistical Analysis

The statistical program GraphPad Prism (Prism 10 for Windows, Boston, MA, USA) was used to perform data analysis and to calculate percentages, means, standard deviations, minimums, and maximums. Proportions were calculated for categorical variables, and the chi-square test was utilized to evaluate and compare the statistical significance in frequencies between two sets of categorical data. Means and standard deviations were calculated for quantitative data. One-way ANOVA followed by Tukey’s post hoc test was employed for comparing the means among multiple groups of data. An unpaired t-test was used to compare the differences in means between two groups. All significant tests were two-tailed, with a reliability of 95%. p-values less than 0.05 were considered statistically significant.

3. Results

3.1. Demographic and Laboratory Investigations of RA Patients

A total of 116 Saudi patients with confirmed RA were investigated in this study; most of them were female (89.7%). Patients were grouped into three categories according to age: <40 years, 40–50 years, and >50 years. The average age of the total population was 51.3 ± 11.5 years; female and male groups had similar mean ages of 51.3 ± 11.6 and 51.7 ± 11.3, respectively. However, there was no statistically significant difference (p > 0.05) between age groups for both genders. A large segment of the patients was above 50 years of age (55.2%); of the 104 female participants, 53.8% were above 50 years of age compared to 66.7% of the male group. The disease duration was evaluated, and the patients were grouped into three levels of duration (<5, 5–10, and >10 years). For all patients, there was no statistically significant difference (p > 0.05) between disease durations. The female patients had an even distribution of RA duration, while 58.3% of the male patients had a disease duration between 5 and 10 years. However, the average duration for all subjects was 8.4 ± 6 years, while the average age of RA onset for both genders was 43 years old.
In addition, risk factors associated with RA, such as smoking and family history of RA, were investigated. Patients were divided into those who never smoked and those who had smoked in the past or were current smokers. Patients were considered to have a family history if they had at least one first-degree relative (FDR) with RA. However, about 18.1% of the total population were smokers, and 21.6% had a family history of RA. In terms of laboratory testing, serum samples collected from the patients were investigated for autoantibodies (RF, anti-CCP, and anti-MCV).
Of the 116 RA patients, 37.1%, 54.8%, and 48.3% tested positive for RF, anti-CCP, and anti-MCV, respectively. Hence, we next aimed to assess the relationship between laboratory findings and demographic characteristics. All demographic and laboratory characteristics of the RA patients are presented in Table 2.

3.2. Autoantiboies Investigations

3.2.1. Association Between Autoantibodies and Gender Types

We investigated the relationship between positive antibodies and gender types based on laboratory results in terms of prevalence and concentration (Table 3). The seropositivity for all patients was defined for each of the tested antibodies (RF, anti-CCP, and anti-MCV). We found that anti-CCP was the most frequent antibody for both genders, followed by anti-MCV and RF in order. The laboratory results showed that 43 (37%) patients from both genders tested positive for RF, 63 (54%) patients were positive for anti-CCP, and 56 (48%) had a positive anti-MCV antibody.
The frequency of each antibody was compared between males and females using the chi-square test. The presence of positive antibodies was higher in males than females for each type of antibody. About 53% of females were positive for anti-CCP compared to 67% of males. RF was positive in 36% of females and 50% of males, while positive anti-MCV was found in 47% of females and 58% of males. However, the occurrence of positive antibodies was 1.2–1.4-fold higher in the male group than in the female group. Overall, there was no statistically significant difference (p > 0.05) in the prevalence of each antibody in males and females (Figure 1A).
Figure 1B shows the serological level of each antibody for both gender types. The quantitative data, which are given as means ± standard deviations (SD), were compared using an unpaired t-test. The concentrations (mean ± SD) for anti-CCP were comparable between females (547.8 ± 437.8) and males (697.1 ± 420.6), and the anti-MCV titer was (415.2 ± 406.6) for females and (589.2 ± 383.8) for males, showing no significant differences (p > 0.05). However, the average level of positive RF in the male group (356.4 ± 512.8) was higher than that in the female group (196.8 ± 236.6), showing a significant statistical difference (p = 0.004).

3.2.2. Relation Between Autoantibodies and Patients’ Age

The prevalence and levels of RF, anti-CCP, and anti-MCV were also correlated with the age of RA patients. In line with many studies, RA patients were divided according to their age into three groups: <40, 40–50, and >50 years. As estimated before in Table 2, the average age for all RA patients was 51.3 ± 11.5 years, with 55.2% over 50 years of age. However, patients with positive results for antibodies had an average age of 53.3 ± 10.8 years. We investigated the association of each antibody with patient age, and we found that the incidence of positive antibodies gradually increased with age. The frequencies of anti-CCP and anti-MCV were 1.3–1.5-fold higher in RA patients above 50 years of age than those under 40 years, while the prevalence of RF increased by ~2.4-fold between the same groups (Table 4).
The incidence of anti-CCP among the three age groups was similar (p > 0.05). However, the positivity of anti-MCV was comparable except between <40 years (35%) and >50 years (53%), showing a statistically significant difference (p = 0.02). Moreover, RF prevalence in patients above 50 years of age (47%) was higher than in those less than 40 years of age (20%) and those between 40 and 50 years of age (28%), showing a significant difference (p < 0.001 and p = 0.008, respectively) (Figure 2A).
We further correlated the concentration of each antibody with the age of the patients. Overall, the level of each antibody decreased as the age increased, except for anti-MCV in patients >50 years. The average concentration (U/mL) for all antibodies was calculated in each age group and compared by one-way ANOVA followed by Tukey’s post hoc test. The highest levels of RF, anti-CCP, and anti-MCV were reported in RA patients under 40 years of age. The titer of RF (mean ± SD) in the group of <40 years was 2.3–2.6-fold higher than other age groups. It showed significant differences when compared to the 5–10 years (p = 0.005) and >10 years groups of age (p < 0.001). Otherwise, the titers of anti-CCP and anti-MCV were similar across all age groups, and there were no statistically significant differences between antibody levels and patients’ ages (Figure 2B).

3.2.3. Association Between Autoantibodies and Disease Duration

To investigate the relationship between autoantibodies and disease duration, RA patients were grouped according to the duration of RA or since disease onset into three periods: <5 years, 5–10 years, and >10 years. At the time of the investigation, the average duration for all patients included in the study was 8.4 ± 6 years. As shown in Table 2, the majority of the patients (42%) had RA duration >10 years, and 35% and 39% had a duration <5 and 5–10 years, respectively. The prevalence and level of each positive antibody (RF, anti-CCP, and anti-MCV) were investigated for each period of duration. The mean disease duration was calculated for the positive-tested antibodies, and the average duration was comparable for all antibodies, approximately 9.3 ± 6.5 years. According to laboratory testing, the positive antibodies were highly present at 5–10 years, followed by >10 years and <5 years in order. However, the existence of each antibody over the periods of 5–10 and >10 years was relatively comparable (Table 5).
For RF and anti-CCP, there were no statistically significant differences (p > 0.05) in the prevalences over all periods of RA duration. The frequency of anti-MCV between <5 years and 5–10 years of RA duration showed a statistically significant difference (p = 0.004). The presence of positive anti-MCV was ~2-fold higher in patients with a duration of 5–10 years than in those with a duration of less than 5 years (Figure 3A). Overall, the highest incidence of each positive antibody was reported in the 5–10-year RA duration group.
The level of each antibody in each period of RA duration was investigated in the same manner. The average concentration (U/mL) for all antibodies was calculated in each period and compared by one-way ANOVA followed by Tukey’s post hoc test. As shown in Table 5, the highest concentration of each antibody was noticed over the course of 5–10 years. The titers of anti-CCP were similar among the three periods of disease duration (p > 0.05). Anti-CCP concentration was relatively reduced for the shortest duration (<5 years) when compared to other durations.
The titers of RF and anti-MCV decreased for RA patients with RA for more than 10 years. The RF titer in this period declined by 1.6-fold as compared to other periods, but overall, there was no statistically significant difference (p > 0.05). Regarding anti-MCV, the concentration of anti-MCV antibodies was significantly reduced (p = 0.005) in >10-year duration when compared to 5–10 years. The average level of anti-MCV in the period of <10 years was 2.1-fold lesser than in the period 5–10 years of RA duration (Figure 3B).

3.2.4. Effects of Smoking on Autoantibodies

Smoking is considered a risk factor for developing RA and contributes to the production of RA-related antibodies. Of the 116 studied patients, 21 (18%) were smokers (either current or ex-smokers), while 95 (82%) were non-smokers. Although smoking is less common overall in this study, smoking rates among men are increasing far more slowly than those of women. Most of the smoker patients (67%) were over 50 years old, and about 47% had a family history of RA. However, we studied the prevalence and levels of autoantibodies in both smoker and non-smoker patients to evaluate the association between smoking and seropositivity (Table 6). Seropositivity was more frequent in non-smoker patients than smokers, with no significant statistical differences (p > 0.05) for RF and anti-CCP antibodies.
As shown in Figure 4A, the existence of RF and anti-MCV was comparable between smokers and non-smokers (p > 0.05). For anti-CCP, the positivity rate was more frequent in non-smokers; it was 1.8-fold higher than in smokers, with a significant statistical difference between smokers and non-smokers (p = 0.03). Figure 4B shows the average concentration of each antibody in the smokers and non-smokers. Our investigations showed that the titers of each antibody were comparable between smokers and non-smokers. The titers of anti-CCP and anti-MCV were slightly higher in smokers, unlike the RF titer, which was increased in non-smokers. The overall results showed no significant statistical difference (p > 0.05) between smokers and non-smokers. According to these findings, smoking does not show a significant effect on the presence and titer of the investigated antibodies in this population.

3.2.5. Family History and Seropositivity

In this study, 25 patients, representing 21.6% of the total population, had a family history of RA. Most of these patients (88%) were above 40 years of age, with an average disease duration of about 9 years. Interestingly, about 40% of RA patients with positive family history in this study were smokers. Table 7 summarizes the prevalence and levels of autoantibodies among RA patients with family history and patients without family history.
The seropositivity was comparable between both groups of patients for anti-CCP and anti-MCV antibodies. The positive anti-CCP and anti-MCV occurred in 52% and 40% of the patients with a positive family history, respectively. However, the incidence of positive RF was higher in RA patients who had no family history (41%) than in those with a family history of RA (24%) but without significant difference (p > 0.05). Overall, there was no significant association between seropositivity existence and the presence of family history for RA (Figure 5A). In addition, autoantibody titers were comparable between patients with and without family history, except for RF, which was increased in patients with family history. However, we did not find a significant association (p > 0.05) between the concentration of antibodies and the presence of family history for our patients’ groups (Figure 5B).

3.3. Exosomal Studies

In the exosome analysis, we classified the RA patients according to their serological findings into seropositive RA (SPRA) and seronegative RA (SNRA). Patients who did not express any positive antibodies were considered SNRA, while those with at least one positive antibody were identified as SPRA. Therefore, the study of exosomes included three groups of samples: SPRA patients, SNRA patients, and HC individuals.

3.3.1. Measurement of Exosome Diameter Dynamic Light Scattering

To confirm that the exosome isolation kit and method used produced a nanoparticle population loaded with exosomes of high purity and typical size, we determined the size and distribution of isolated exosomes using dynamic light scattering (DLS) with a Zetasizer Nano ZS analyzer and assessed their size and morphology using negative stain transmission electron microscopy (TEM). DLS yielded histograms of one and two peaks, with most of the peaks being single. Zetasizer histograms showed how the sizes of exosomes were distributed. Border size distribution was measured and detected in exosomes from the SPRA and HC groups (Figure 6A–C). However, after excluding the large peaks, the mode size of all isolated exosomes was in the expected range of 30–153 nm, and the mean diameter was approximately 76 nm for all sample groups. According to DLS measurements, the exosomes isolated from SPRA and HC samples revealed comparable sizes, with a diameter (mean ± SD) of 96.5 ± 45 nm and 80 ± 45 nm, respectively. In contrast, the exosomes isolated from SNRA patients showed smaller diameters of 52 ± 28 nm. However, the size of SNRA exosomes showed a statistically significant difference compared to SPRA exosomes (p < 0.001) and HC exosomes (p = 0.004) (Figure 6D).

3.3.2. Characterization of Exosomes by Transmission Electron Microscopy (TEM)

TEM imaging was employed to verify the purity and quality of isolated nanoparticles. In a current study, serum-derived exosomes from patients and HC samples were prepared as detailed in the methodology and subjected to TEM. Likewise, patients’ samples were categorized into SPRA, SNRA, and HC. Using Titan CT TEM, we defined and compared the exosome size and morphological variations between groups. The negative contrast staining revealed very pure exosomes, which were nanosized particles that looked like cups, spheres, and rounds. Our TEM analysis showed that exosomes were more enriched in the SPRA and SNRA groups than in HC samples. Exosomes isolated from SNRA and HC appeared to have a pure mixture and were relatively less homogeneous than SPRA exosomes (Figure 7). TEM images illustrated that all exosome sizes ranged between 30 and 95 nm, and the average size was 47.8 ± 8.5 nm for single exosomes. It is important to note that TEM detects a smaller mean size than DLS, and this appears to be a result of the TEM preparation process, which could cause the exosome to downsize.

3.3.3. Determination of Exosomal Protein Concentration

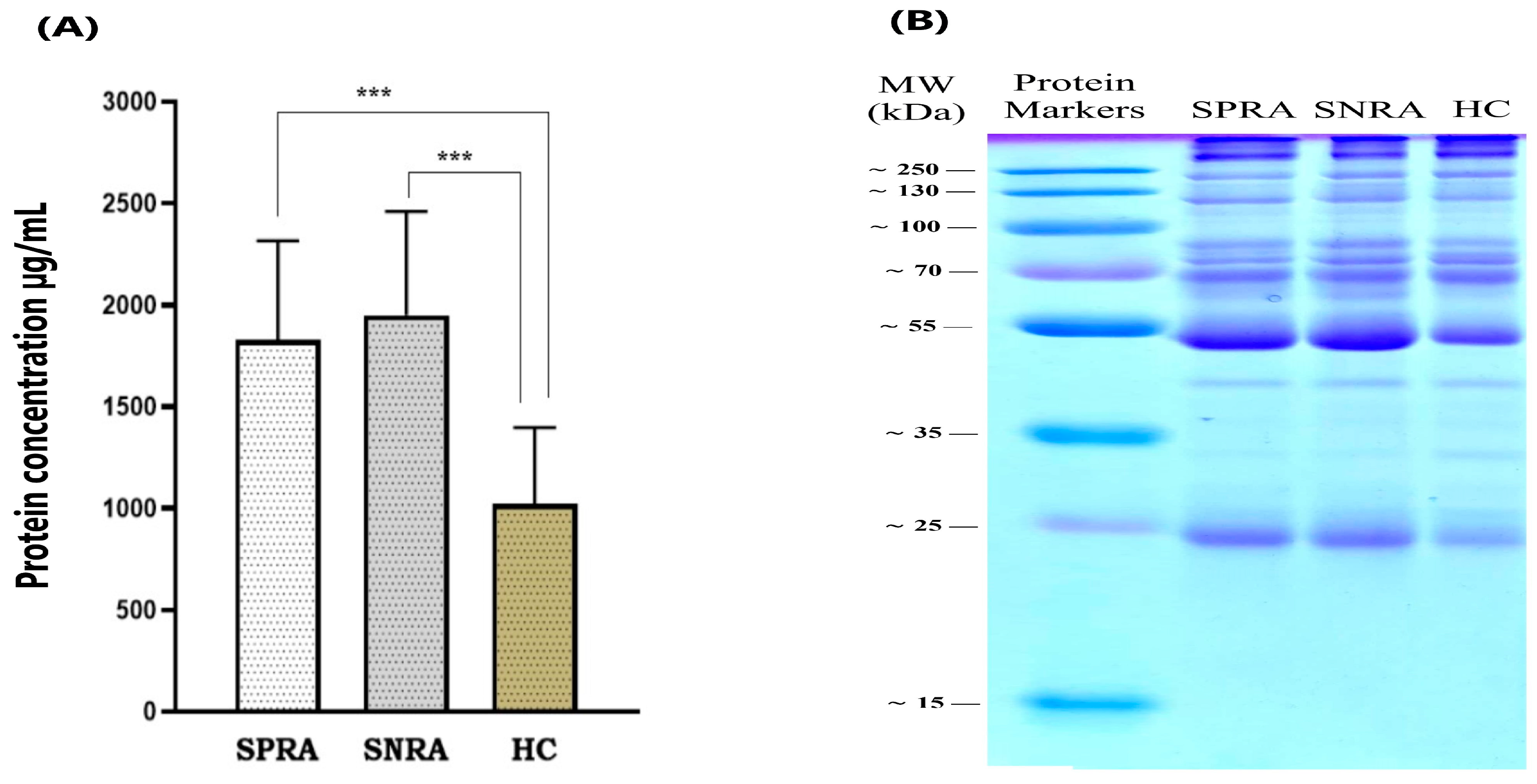
Protein measurements showed that exosomes isolated from RA patients were more enriched with proteins than the healthy control (HC) individuals. After exosome isolation and lysing, the protein content of each sample was quantified by a Pierce detergent-compatible Bradford assay. The average protein concentrations (mean ± SD, µg/mL) of exosomes derived from SPRA and SNRA samples were comparable (1828 ± 487 µg/mL and 1950 ± 511 µg/mL), respectively. Exosomes isolated from the HC samples had the lowest protein level (1021 ± 375.9 µg/mL). The protein content of HC exosomes was significantly different from SPRA and SNRA exosomes (p < 0.001). Figure 8A compares the Bradford assay-determined protein concentrations for RA patient groups and HC.

3.3.4. Identification of Exosomal Proteins by SDS-PAGE

In this study, we ran SDS-PAGE electrophoresis for all exosomes extracted from patients and healthy control samples. The appearance of gel bands showed that there was no significant difference between all exosome preparations. The pattern of Coomassie staining revealed that the protein bands spread almost the same for all exosomes. Several bands between 25 and 250 kDa were identified in the SDS-PAGE analysis using a pre-stained protein marker as a molecular weight standard.
Each exosome lysate exhibited ~14 characteristic bands at various molecular weights. Six bands were major proteins and related to the common exosome protein markers (Figure 8B). Among these obvious proteins, three bands correspond to cytosolic proteins such as Alix (95 kDa), HSP70 (70 kDa), and TGS 101 (46 kDa), while two bands correspond to tetraspanin proteins such as CD9 (23 kDa), CD81 (25 kDa), and CD63 (53 kDa).

3.3.5. Expression of Exosome-Specific Marker: CD9

To confirm the presence of the exosome in our extraction, we investigated the expression of CD9, which is a membranous protein frequently associated with EVs and used as a specific marker for exosomes. CD9 is a member of the tetraspanin family and has a molecular weight of about 23 kDa. The presence of CD9 was evaluated by Western blot in all exosomes derived from RA patients and healthy controls. As described in the methodologies, exosomes were electrophoretically separated and trans-blotted to the PVDF membrane in parallel with a pre-stained protein marker. After staining, bright bands were expressed at the expected size of CD9 (~23 kDa) in all exosomes extracted from RA patients (SPRA and SNRA) and HC samples (Figure 9A). However, exosomes isolated from patients’ groups showed higher intensity than those from healthy control samples.

3.3.6. Detection of Citrullinated Fibrinogen (cFBG) Proteins by WB

ACPAs are specifically and commonly found in the sera of RA patients. cFBG is one of the potential autoantigens for ACPAs in RA patients. To explore the presence of cFBG in serum exosomes, we used monoclonal antibodies specific for cFBG in Western blotting. These antibodies can detect cFBG at an approximate molecular weight of 56 kDa. Therefore, we aimed to investigate the presence of citrullinated protein.
In this study, we performed WB on exosome lysates from seropositive RA patients. In doing so, we excluded the SNRA and HC sample groups and solely carried out immunoblotting on exosomes from the SPRA patient group (Figure 9B). We used monoclonal anticitrullinated fibrinogen antibodies to examine the presence of cFBG in exosomes extracted from SPRA patients (n = 71). Then, the expression of cFBG bands in blotted membranes was correlated to the sample’s seropositivity for anti-CCP. Among the 71 blotted exosomes, 36 samples showed a clear band (cFBG-positive) with a molecular weight of approximately 56 kDa, whereas 35 samples did not (cFBG-negative).
The cFBG-positive (n = 36) exosomes showed a strong correlation with anti-CCP. In this group, all exosomes tested positive for anti-CCP, with 27 patients (75%) being over 50 years old and having RA for more than 5 years. On the other hand, among RA patients with cFBG-negative exosomes (n = 35), only 27 patients (68%) tested positive for anti-CCP, and about 75% were aged above 50 years, while 48% had an RA duration of more than 5 years. However, patients who expressed cFBG on average had 2.6-fold higher levels of anti-CCP than those who did not express cFBG in their exosomes. The average concentration (mean ± SD, IU/mL) of anti-CCP for cFBG-positive exosomes was 727 ± 389 IU/mL, compared to 273 ± 383 IU/mL for cFBG-negative exosomes (Figure 9C).

4. Discussion

This study investigated 116 RA patients, with an 8:1 female-to-male ratio. In Saudi Arabia, there are no adequate data available about the exact prevalence of RA in the Saudi population. According to several past studies, the prevalence of the disease among the Saudi population is about 0.1–0.22%, with three to four times higher rates in women than men, which reflects the high risk of the condition worsening [6]. However, recent reports suggest that the incidence of RA is increasing, and the number of RA patients is expected to stand at around 250,000 cases in the near term, i.e., about 1.2% of the Saudi population [7,68]. For all participants, the average duration of RA is 8.4 ± 6 years, while for 66% of the population, the average disease duration is more than 5 years. The mean age for RA patients in this study was 51.3 ± 11.5 years, with 54% of females and 67% of males being above 50 years of age. This is in line with most data, which suggest that RA development occurs in those over the age of 50 [26,69,70].
Our reported female/male ratio is significantly higher than that estimated either globally or within Saudi Arabia, and we thought that was a limitation due to the small number of male patients (12), which represents 10% of the enrolled patients. In Saudi Arabia, many studies on RA patients have been performed in the last decade. A study conducted by Almoallim et al. showed that the female-to-male ratio in a cohort of 433 RA patients was 3:1, with a mean age of 49 ± 11 years [71]. However, women in Latin America reported the highest global prevalence of RA, with a female/male ratio of 6–7:1 in Chile [72], 6:1 in Argentina [73], and 5.2:1 in Colombia [74].
A recent study by Alharbi et al. [75] included 210 patients with a mean age of 46 ± 11 and reported a prevalence of females with a ratio of about 4:1. Interestingly, a study conducted by Aseel et al. demonstrated a female-to-male ratio of 8:1, which included 438 RA patients, which is similar to our findings [76]. However, some population-based studies have reported a higher incidence of RA in females, with a ratio as high as 9:1 [77,78].
Rheumatoid arthritis (RA) is a chronic disease that results from the interaction of multiple genetic, environmental, and lifestyle factors. ACPAs are produced as an autoimmune response for abnormal citrullination reactions. However, ACPAs are specific and predictive biomarkers for RA, and they can be detected in patients’ sera up to 10 years before the clinical RA onset. But, in fact, many RA patients might lack these antibodies. Therefore, RA diagnosis can be classified into seronegative RA (SPRA) and seropositive RA (SNRA) [79].
The association between RA-related autoantibodies and factors such as gender, age, disease duration, and smoking status has been investigated by many previous studies. The influence of age and gender on the development of RA has been described by several global studies [26,80,81]. In the current study, 71 out of 116 patients (61%) had SPRA, and the seropositivity percentages in men were higher than those in women. However, estimations of seropositivity among RA patients have reported inconsistent percentages across a retrospective study [82] and a comparative observational study [83]. Our data showed that about 75% of males had SPRA, while 60% of females had SPRA. Furthermore, the titers for anti-CCP and anti-MCV were higher in males than in females, without significant difference (p < 0.05). These findings are consistent with the recent systematic review and meta-analysis study in 2022, which searched databases for eighty-four studies, including 141,381 RA patients, and found that seropositivity is more associated with males than females [22]. However, our results differ from those of a recent cross-sectional study that found females represented 76% of SPRA patients (p < 0.001) [84].
Despite the occurrence of ACPA-positive patients in our work increasing gradually with patients’ age, there was no significant association for anti-CCP prevalence with age. For anti-MCV, we found it was significantly frequent in patients above 50 years of age. However, the antibody levels across age groups were almost similar or slightly decreased for both ACPAs (p < 0.05). This is supported by a previous study that found a non-significant decrease in anti-CCP levels in older RA patients [85]. The findings of our study showed that SPRA patients are older (52.1 ± 11.2 years) than SNRA patients (50.2 ± 11.9), without significant differences (p = 0.39). There are some parallels and some differences between the findings in the literature and ours. Our findings are in line with previous studies that demonstrated that the prevalence of ACPA-positive RA was more frequent at older age, above 50 years [86] and 40 years [85]. Conversely, older age has been found to be strongly associated with SNRA than SPRA (54 ± 11 years vs. 43 ± 14 years; p < 0.001) [84]. Furthermore, a multicohort study conducted by Boeters et al. showed that ACPA-negative RA was more associated with older age than was ACPA-positive RA [87].
Our current work also highlights the contribution of RA duration to ACPAs. The 5–10-year duration period reflects the highest incidences and levels for both anti-CCP and anti-MCV. Despite this, we did not find a significant association between positive anti-CCP and RA duration either for prevalence or for antibody levels. A recent observational study showed that the higher incidence of ACPA-positive antibodies was associated with RA duration < 10 years, followed by 5–10 years and <5 years, respectively [88]. A previous cross-sectional study showed that positive anti-CCP was more prevalent in patients with RA duration > 10 years (79%) than in those with duration less than 10 years (62%). This study also revealed that anti-CCP levels were comparable between the two periods of duration [89]. We found that the prevalence of anti-MCV antibodies increased after 5 years of duration, whereas high levels were associated with the 5–10-year duration period. The assessment of anti-MCV by Poulsom and Charles showed that the prevalence of anti-MCV was higher in short-duration RA than in long-duration RA [90].
Smoking is considered a known risk factor for rheumatoid arthritis development [91]. A case–control Myeira study by Abqariyah et al. confirmed the association between smoking and ACPA positivity (64%) in a Malaysian RA population [92]. The current study did not find a relationship between smoking and ACPAs incidence. On the contrary, seropositivity, whether for anti-CCP or anti-MCV, was more frequent in non-smokers than smokers. Our estimations revealed that smoking is responsible for less than 40% of ACPA-positive RA in smokers compared to more than 50% in non-smokers. This is in line with data from the Swedish Epidemiological Investigation of Rheumatoid Arthritis (EIRA) that showed that smoking is responsible for 35% of ACPA-positive RA [93]. In this experiment, smoker RA patients showed a non-significant increase in ACPA titers. However, a previous cross-sectional analysis demonstrated a significant association between smoking and the high titers of ACPA [94].
Our correlation between family history and seropositivity showed no significant association. We found that patients with no family history have a similar tendency to seropositivity as those with positive family history, even for prevalence or concentration. For instance, Diane et al. suggested that the heritability of ACPA-positive and ACPA-negative RA is comparable (65%) [95]. Nevertheless, a heritability of around 50% for ACPA-positive RA and approximately 20% for ACPA-negative RA was shown to be compatible with familial hazards in register-based, nested, case–control research conducted in the Swedish population [96]. The titers of anti-CCP and anti-MCV for RA patients in our work showed no significant differences between those with family history and without. This is not in accordance with the findings of Kim et al., who found that the high levels of anti-CCP and anti-MCV were correlated with the presence of family history [97].
Exosomes are the smallest and most extensively researched EVs that participate in various biological processes and disorders. In the current work, serum-derived exosome preparations of RA patients and HC were validated for morphology and protein content. Negative-staining TEM is the most popular technique for visualizing exosomes [98,99,100]. Using TEM, we verified that all preparations had the typically described morphology of exosomes and were within the expected size range (30–150 nm) [101,102,103]. However, DLS measurements showed that SNRA exosomes were smaller than SPRA exosomes (p < 0.001) and HC exosomes (p = 0.004). Furthermore, the exosome fraction from SPRA samples showed significant heterogeneity when compared to exosomes from SNRA and HC samples. Exosomes are known to have a very diverse population, and it is challenging to isolate exosomes because of their heterogeneity in size, composition, and function [104,105].
Western blot (WB) analysis is another method of exosome confirmation that looks at preparation purity and the presence of exosome markers. Tetraspanins (CD9, CD63, and CD81) are among the most widely used exosome markers; nevertheless, these proteins have also been found to be expressed positively in other EV types [106]. These proteins have been discovered to be highly enriched in EVs as opposed to originating cells [107]. CD9 is a 25 kDa membranous protein that can be detected by WB. Yue-Ting et al. found that exosomes have an equivalent or even higher level of CD9 than the source cells [108]. In this experiment, all exosome samples derived from patients and controls expressed clear CD9 bands with variable intensity. We found that the intensity of CD9 bands in HC samples is not as strong as in patient samples.
Antibody-based techniques like ELISA, immunohistochemistry, and Western blotting are widely used to detect citrullination with high sensitivity and specificity [109]. But these techniques cannot produce a large-scale analysis and reliable localization of citrullinated sites comparable to that of mass spectrometry (MS) analysis. However, citrullination profiling remains a significant difficulty for mass MS-based approaches despite its increasing effectiveness in many post-translation modification PTM-related investigations [110]. In the current study, we used an anti-CCP commercial kit for the serological investigation of ACPAs, which is an ELISA-based immunoassay. The anti-CCP test was generated by screening peptide libraries containing millions of cyclic peptides to produce highly purified synthetic peptides that serve as antigens [111]. However, some ELISA assays designated for testing anti-CCP do not specify the target antigen. Few studies have used anti-CCP assays that specified the type of citrullinated protein, such as collagen [112], filaggrin [113], and fibrinogen [114].
Fibrinogen and its modified (citrullinated) form have been verified to be the most favored autoantigens for ACPAs in RA patients. Citrullinated fibrinogen (cFBG) epitopes play a role in triggering the autoimmune response in RA patients and contribute to synovitis and bone destruction [65,115]. With regards to EVs, research on exosomes’ role in RA is still in its early stages; a small number of studies have shown that RA patients have aberrant exosome expression [116]. It has been suggested that exosomes may contribute to joint inflammation in RA patients because they can transport autoantigens and mediators between distant cells [117].
Recent proteomic studies were performed on exosomes extracted from the plasma and serum of RA patients; these studies demonstrated distinct protein profiles in the purified exosomes, but no citrullinated proteins were identified [63,118]. Despite the difficulty in identifying citrullinated proteins in exosomes, a previous study compared the proteomic content of exosomes extracted from synovial fluid of RA and osteoarthritis (OA) patients. Skriner et al. were able to detect citrullinated forms of fibrinogen, including fibrin alpha-chain, fibrin beta-chain, fibrinogen beta-chain precursor, and fibrinogen D fragments, in the purified synovial exosomes [67].
In our work, we extracted exosomes from RA patients’ sera, and we confirmed the identity of these microparticles via TEM and DLS. Since cFBG is the best candidate antigen for ACPAs, the goal of our exosome analysis was to explore the presence of cFBG in these microparticles. We used WB to investigate the presence of cFBG in serum-derived exosomes from RA patients, particularly those with positive ACPAs. Several experiments have indicated the contribution of citrullinated proteins in RA pathogenesis. These works investigated cFBG in the serum [119,120,121,122] and synovium of RA patients [66,123,124]. However, to the best of our knowledge, this is the first study exploring the cFBG in exosomes extracted from RA patients’ sera.
So, we investigated whether cFBG is present in serum-derived exosomes from people with RA, especially those who have anti-CCP antibodies that are positive (SPRA). For this purpose, we performed WB using monoclonal anticitrullinated fibrinogen antibodies. Our results showed that 36 of the 71 SPRA patients in this study expressed cFBG with clear bands at a molecular weight of about 56 kDa in their blotted exosomes. The other 35 SPRA patients did not express cFBG.
The immunogenic proteins are not specified in the commercial ACPA ELISA tests, such as anti-CCP. Most CCP tests incorporate multiple reactive citrullinated peptides derived from the most autogenic proteins, such as fibrinogen, vimentin, collagen type II, and α-enolase, which are selected from dedicated synthetic peptide libraries [125,126]. Furthermore, Wegner et al. demonstrated that human fibrinogen and α-enolase are the prominent proteins citrullinated by P. gingivalis at the site of periodontitis [127]. As mentioned above, about 50% (36 patients) of SPRA patients in the current study presented cFBG in their exosomes. These findings are similar to those of Xiaoyan et al., who found that the presence of anti-cFBG and the formation of immunological complexes containing citrullinated fibrinogen trigger the complement cascade and contribute to the pathophysiology of RA in one-half of anti-CCP+ RA patients [65]. After correlation with seropositivity, our findings showed that all 36 cFBG-positive exosomes had a positive anti-CCP, while among the 35 cFBG-negative exosomes, 27 patients tested negative for anti-CCP. To explain this, we suggest that these samples may have included citrullinated proteins other than cFBG. Furthermore, we found that the titers of anti-CCP for cFBG-positive exosomes were significantly higher than those for cFBG-negative exosomes. These outcomes give us confidence that autoantibodies against cFBG seem to be the most effective serological criterion for RA diagnosis. Although 75% of patients with cFBG-positive exosomes were above 50 years of age and had RA for more than 5 years, we could not conclude a specific association of cFBG with either patients’ age or disease duration.
The study has its limitations. The number of HC remains small at 35, which can be attributed to our inclusion criteria. We enrolled healthy individuals, and we ensured they were free of family history of immune diseases; in addition, they matched the demographics of the patients. Another limitation is the lack of a genetic background that is strongly associated with autoantibodies (ACPAs). To address this, we investigated the family history of the patients. RA is an inheritable condition, and the familiar risk contributes to 50–60% of RA cases.

5. Conclusions

The data presented by this study showed that SPRA is more frequent than SNRA in the Saudi population, with a higher prevalence in men than women. The female-to-male ratio is 8:1, which is higher than that globally reported in Latin America (5–7:1). Further studies are needed to investigate the spike in the number of women affected by the disease. We can conclude that patients’ age and disease duration contribute to the autoantibodies, particularly RF and anti-MCV, whereas smoking and family history had no effects on autoantibodies. Understanding the role of autoantibodies in RA can be improved by conducting in-depth research on autoantibodies in conjunction with other factors, including genetic, cellular, lifestyle factors, and infections related to RA and autoimmune disease, such as periodontitis and Helicobacter pylori (H. pylori) infection. Our study of serum-derived exosomes revealed that half of the ACPA-positive exosome samples contained cFBG, which greatly contributes to RA progression. Exploring the detailed mechanisms of exosomes in RA pathological changes will help to screen and identify potential therapeutic targets.

Author Contributions

Conceptualization, E.M.R.; literature search, M.A.A.; patients and data collection, S.M.B., M.A.A. and S.A.A.; validation, E.M.R., S.M.B., M.A.A., E.H.M. and S.A.A.; formal analysis, M.A.A.; writing—original draft preparation, E.M.R. and M.A.A.; Writing—review and editing, E.M.R., S.M.B., M.A.A. and E.H.M.; visualization, E.M.R.; supervision, E.M.R. and S.M.B. All authors have read and agreed to the published version of the manuscript.

Funding

This research received no external funding.

Institutional Review Board Statement

The study was conducted in accordance with the Declaration of Helsinki and approved by the research ethics committee of the Faculty of Medicine at King Abdulaziz University (approval No 468-19, approval date 16 July 2019).

Informed Consent Statement

Informed consent was obtained from all subjects involved in the study.

Data Availability Statement

The datasets used and analyzed in this study are available from the corresponding author upon reasonable request.

Conflicts of Interest

The authors declare no conflicts of interest.

References

  1. Kasturi, S.; Goldstein, B.L.; Malspeis, S.; Karlson, E.W.; Costenbader, K.H. Comparison of the 1987 American College of Rheumatology and the 2010 American College of Rheumatology/European League against Rheumatism criteria for classification of rheumatoid arthritis in the Nurses’ Health Study cohorts. Rheumatol. Int. 2014, 34, 407–411. [Google Scholar] [CrossRef] [PubMed]
  2. Finckh, A.; Gilbert, B.; Hodkinson, B.; Bae, S.-C.; Thomas, R.; Deane, K.D.; Alpizar-Rodriguez, D.; Lauper, K. Global epidemiology of rheumatoid arthritis. Nat. Rev. Rheumatol. 2022, 18, 591–602. [Google Scholar] [CrossRef] [PubMed]
  3. Almutairi, K.; Nossent, J.; Preen, D.; Keen, H.; Inderjeeth, C. The global prevalence of rheumatoid arthritis: A meta-analysis based on a systematic review. Rheumatol. Int. 2021, 41, 863–877. [Google Scholar] [CrossRef] [PubMed]
  4. Myasoedova, E.; Crowson, C.S.; Kremers, H.M.; Therneau, T.M.; Gabriel, S.E. Is the incidence of rheumatoid arthritis rising? Results from Olmsted County, Minnesota, 1955–2007. Arthritis Rheum. 2010, 62, 1576–1582. [Google Scholar] [CrossRef] [PubMed]
  5. Albishri, J.; Bukhari, M.; Alsabban, A.; Almalki, F.A.; Altwairqi, A.S. Prevalence of RA and SLE in Saudi Arabia. Sch. J. App. Med. Sci. 2015, 3, 2096–2099. [Google Scholar]
  6. Al-Dalaan, A.; Al, S.B.; Bahabri, S.; Biyari, T.; Al, M.S.; Mousa, M. The prevalence of rheumatoid arthritis in the Qassim region of Saudi Arabia. Ann. Saudi Med. 1998, 18, 396–397. [Google Scholar] [CrossRef]
  7. Alamri, S.Z.S.; Alzaid, A.M.A.; Alhadi, M.A.; Alanazi, K.F.; Alanazi, K.S.; Alanazi, A.A.; Alsmeel, A.J.; Alazmi, A.H.; Alali, M.A.E.; Alrehaili, Y.M. Rheumatoid Arthritis in Hail Region, Saudi Arabia. Int. J. Innov. Res. Med. Sci. 2017, 2, 545–551. [Google Scholar] [CrossRef]
  8. Almoallim, H.M.; Alharbi, L.A. Rheumatoid arthritis in Saudi Arabia. Saudi Med. J. 2014, 35, 1442–1454. [Google Scholar] [PubMed]
  9. Valesini, G.; Gerardi, M.C.; Iannuccelli, C.; Pacucci, V.A.; Pendolino, M.; Shoenfeld, Y. Citrullination and autoimmunity. Autoimmun. Rev. 2015, 14, 490–497. [Google Scholar] [CrossRef] [PubMed]
  10. Nishimura, K.; Sugiyama, D.; Kogata, Y.; Tsuji, G.; Nakazawa, T.; Kawano, S.; Saigo, K.; Morinobu, A.; Koshiba, M.; Kuntz, K.M.; et al. Meta-analysis: Diagnostic accuracy of anti-cyclic citrullinated peptide antibody and rheumatoid factor for rheumatoid arthritis. Ann. Intern. Med. 2007, 146, 797–808. [Google Scholar] [CrossRef]
  11. Badr Eldin, A.; Mobasher, S.; Hegazy, G. The Diagnostic Utility of Anti-Mutated Citrullinated Vimentin Antibodies, Anti-Cyclic Citrullinated Peptide Antibodies and Rheumatoid Factor in Rheumatoid Arthritis. Egypt. J. Rheumatol. Clin. Immunol. 2014, 2, 19–25. [Google Scholar] [CrossRef]
  12. Block, D.R.; Jenkins, S.M.; Dalenberg, D.A.; Balsanek, J.G.; Snyder, M.R.; Saenger, A.K. Analytical and clinical comparison of anti-CCP assays with rheumatoid factor for the diagnosis of rheumatoid arthritis. Clin. Chim. Acta 2012, 413, 1015–1017. [Google Scholar] [CrossRef]
  13. Sung, W.Y.; Tsai, W.C. Rethink about the role of rheumatoid factor and anti-citrullinated protein antibody in rheumatoid arthritis. Rheumatol. Immunol. Res. 2021, 2, 19–25. [Google Scholar] [CrossRef] [PubMed]
  14. Angelotti, F.; Parma, A.; Cafaro, G.; Capecchi, R.; Alunno, A.; Puxeddu, I. One year in review 2017: Pathogenesis of rheumatoid arthritis. Clin. Exp. Rheumatol. 2017, 35, 368–378. [Google Scholar] [PubMed]
  15. Li, S.; Yu, Y.; Yue, Y.; Zhang, Z.; Su, K. Microbial Infection and Rheumatoid Arthritis. J. Clin. Cell Immunol. 2013, 4, 174. [Google Scholar] [CrossRef]
  16. Popova, C.; Dosseva-Panova, V.; Panov, V. Microbiology of periodontal diseases. A review. Biotechnol. Biotechnol. Equip. 2013, 27, 3754–3759. [Google Scholar] [CrossRef]
  17. van Winkelhoff, A.J.; Loos, B.G.; van der Reijden, W.A.; van der Velden, U. Porphyromonas gingivalis, Bacteroides forsythus and other putative periodontal pathogens in subjects with and without periodontal destruction. J. Clin. Periodontol. 2002, 29, 1023–1028. [Google Scholar] [CrossRef] [PubMed]
  18. Qiao, Y.; Wang, Z.; Li, Y.; Han, Y.; Zhou, Y.; Cao, X. Rheumatoid arthritis risk in periodontitis patients: A systematic review and meta-analysis. Jt. Bone Spine 2020, 87, 556–564. [Google Scholar] [CrossRef] [PubMed]
  19. Alghamdi, M.; Al Ghamdi, K.A.; Khan, R.H.; Uversky, V.N.; Redwan, E.M. An interplay of structure and intrinsic disorder in the functionality of peptidylarginine deiminases, a family of key autoimmunity-related enzymes. Cell Mol. Life Sci. 2019, 76, 4635–4662. [Google Scholar] [CrossRef]
  20. Mota, L.M.; Cruz, B.A.; Brenola, C.V.; Pereira, I.A.; Rezende-Fronza, L.S.; Bertolo, M.B.; Freitas, M.V.; Silva, N.A.; Louzada-Junior, P.; Giorgi, R.D.; et al. Guidelines for the diagnosis of rheumatoid arthritis. Rev. Bras. Reum. 2013, 53, 141–157. [Google Scholar]
  21. Deane, K.D.; Demoruelle, M.K.; Kelmenson, L.B.; Kuhn, K.A.; Norris, J.M.; Holers, V.M. Genetic and environmental risk factors for rheumatoid arthritis. Best. Pract. Res. Clin. Rheumatol. 2017, 31, 3–18. [Google Scholar] [CrossRef] [PubMed]
  22. Hadwen, B.; Yu, R.; Cairns, E.; Barra, L. Presence of Autoantibodies in Males and Females With Rheumatoid Arthritis: A Systematic Review and Metaanalysis. J. Rheumatol. 2022, 49, 663–671. [Google Scholar] [CrossRef] [PubMed]
  23. Orellana, C.; Saevarsdottir, S.; Klareskog, L.; Karlson, E.W.; Alfredsson, L.; Bengtsson, C. Oral contraceptives, breastfeeding and the risk of developing rheumatoid arthritis: Results from the Swedish EIRA study. Ann. Rheum. Dis. 2017, 76, 1845–1852. [Google Scholar] [CrossRef]
  24. Salliot, C.; Bombardier, C.; Saraux, A.; Combe, B.; Dougados, M. Hormonal replacement therapy may reduce the risk for RA in women with early arthritis who carry HLA-DRB1 *01 and/or *04 alleles by protecting against the production of anti-CCP: Results from the ESPOIR cohort. Ann. Rheum. Dis. 2010, 69, 1683–1686. [Google Scholar] [CrossRef] [PubMed]
  25. Takanashi, S.; Takeuchi, T.; Kaneko, Y. Effects of Aging on Rheumatoid Factor and Anticyclic Citrullinated Peptide Antibody Positivity in Patients With Rheumatoid Arthritis. J. Rheumatol. 2023, 50, 330–334. [Google Scholar] [CrossRef] [PubMed]
  26. Nilsson, J.; Andersson, M.L.E.; Hafstrom, I.; Svensson, B.; Forslind, K.; Ajeganova, S.; Leu Agelii, M.; Gjertsson, I. Influence of Age and Sex on Disease Course and Treatment in Rheumatoid Arthritis. Open Access Rheumatol. 2021, 13, 123–138. [Google Scholar] [CrossRef] [PubMed]
  27. Arnold, M.B.; Bykerk, V.P.; Boire, G.; Haraoui, B.P.; Hitchon, C.; Thorne, C.; Keystone, E.C.; Pope, J.E.; Investigators, C. Are there differences between young- and older-onset early inflammatory arthritis and do these impact outcomes? An analysis from the CATCH cohort. Rheumatology 2014, 53, 1075–1086. [Google Scholar] [CrossRef] [PubMed]
  28. Meyer, O.; Nicaise-Roland, P.; Santos, M.D.; Labarre, C.; Dougados, M.; Goupille, P.; Cantagrel, A.; Sibilia, J.; Combe, B. Serial determination of cyclic citrullinated peptide autoantibodies predicted five-year radiological outcomes in a prospective cohort of patients with early rheumatoid arthritis. Arthritis Res. Ther. 2006, 8, R40. [Google Scholar] [CrossRef] [PubMed]
  29. Ursum, J.; Bos, W.H.; van Dillen, N.; Dijkmans, B.A.; van Schaardenburg, D. Levels of anti-citrullinated protein antibodies and IgM rheumatoid factor are not associated with outcome in early arthritis patients: A cohort study. Arthritis Res. Ther. 2010, 12, R8. [Google Scholar] [CrossRef]
  30. Charpin, C.; Arnoux, F.; Martin, M.; Toussirot, E.; Lambert, N.; Balandraud, N.; Wendling, D.; Diot, E.; Roudier, J.; Auger, I. New autoantibodies in early rheumatoid arthritis. Arthritis Res. Ther. 2013, 15, R78. [Google Scholar] [CrossRef] [PubMed]
  31. Stolt, P.; Bengtsson, C.; Nordmark, B.; Lindblad, S.; Lundberg, I.; Klareskog, L.; Alfredsson, L. Quantification of the influence of cigarette smoking on rheumatoid arthritis: Results from a population based case-control study, using incident cases. Ann. Rheum. Dis. 2003, 62, 835–841. [Google Scholar] [CrossRef] [PubMed]
  32. Sugiyama, D.; Nishimura, K.; Tamaki, K.; Tsuji, G.; Nakazawa, T.; Morinobu, A.; Kumagai, S. Impact of smoking as a risk factor for developing rheumatoid arthritis: A meta-analysis of observational studies. Ann. Rheum. Dis. 2010, 69, 70–81. [Google Scholar] [CrossRef]
  33. Jonsson, T.; Thorsteinsson, J.; Valdimarsson, H. Does smoking stimulate rheumatoid factor production in non-rheumatic individuals? APMIS 1998, 106, 970–974. [Google Scholar] [CrossRef] [PubMed]
  34. Manfredsdottir, V.F.; Vikingsdottir, T.; Jonsson, T.; Geirsson, A.J.; Kjartansson, O.; Heimisdottir, M.; Sigurdardottir, S.L.; Valdimarsson, H.; Vikingsson, A. The effects of tobacco smoking and rheumatoid factor seropositivity on disease activity and joint damage in early rheumatoid arthritis. Rheumatology 2006, 45, 734–740. [Google Scholar] [CrossRef]
  35. Farid, S.; Azizi, G.; Mirshafiey, A. Anti-citrullinated protein antibodies and their clinical utility in rheumatoid arthritis. Int. J. Rheum. Dis. 2013, 16, 379–386. [Google Scholar] [CrossRef] [PubMed]
  36. Liao, K.P.; Alfredsson, L.; Karlson, E.W. Environmental influences on risk for rheumatoid arthritis. Curr. Opin. Rheumatol. 2009, 21, 279–283. [Google Scholar] [CrossRef] [PubMed]
  37. Hill, J.A.; Southwood, S.; Sette, A.; Jevnikar, A.M.; Bell, D.A.; Cairns, E. Cutting edge: The conversion of arginine to citrulline allows for a high-affinity peptide interaction with the rheumatoid arthritis-associated HLA-DRB1*0401 MHC class II molecule. J. Immunol. 2003, 171, 538–541. [Google Scholar] [CrossRef] [PubMed]
  38. Alsalahy, M.M.; Nasser, H.S.; Hashem, M.M.; Elsayed, S.M. Effect of tobacco smoking on tissue protein citrullination and disease progression in patients with rheumatoid arthritis. Saudi Pharm. J. 2010, 18, 75–80. [Google Scholar] [CrossRef] [PubMed]
  39. MacGregor, A.J.; Snieder, H.; Rigby, A.S.; Koskenvuo, M.; Kaprio, J.; Aho, K.; Silman, A.J. Characterizing the quantitative genetic contribution to rheumatoid arthritis using data from twins. Arthritis Rheum. 2000, 43, 30–37. [Google Scholar] [CrossRef] [PubMed]
  40. Kuo, C.F.; Grainge, M.J.; Valdes, A.M.; See, L.C.; Yu, K.H.; Shaw, S.W.S.; Luo, S.F.; Zhang, W.; Doherty, M. Familial aggregation of rheumatoid arthritis and co-aggregation of autoimmune diseases in affected families: A nationwide population-based study. Rheumatology 2017, 56, 928–933. [Google Scholar] [CrossRef]
  41. Frisell, T.; Hellgren, K.; Alfredsson, L.; Raychaudhuri, S.; Klareskog, L.; Askling, J. Familial aggregation of arthritis-related diseases in seropositive and seronegative rheumatoid arthritis: A register-based case-control study in Sweden. Ann. Rheum. Dis. 2016, 75, 183–189. [Google Scholar] [CrossRef]
  42. Hemminki, K.; Li, X.; Sundquist, J.; Sundquist, K. Familial associations of rheumatoid arthritis with autoimmune diseases and related conditions. Arthritis Rheum. 2009, 60, 661–668. [Google Scholar] [CrossRef] [PubMed]
  43. Padyukov, L. Genetics of rheumatoid arthritis. Semin. Immunopathol. 2022, 44, 47–62. [Google Scholar] [CrossRef] [PubMed]
  44. Ting, Y.T.; Petersen, J.; Ramarathinam, S.H.; Scally, S.W.; Loh, K.L.; Thomas, R.; Suri, A.; Baker, D.G.; Purcell, A.W.; Reid, H.H.; et al. The interplay between citrullination and HLA-DRB1 polymorphism in shaping peptide binding hierarchies in rheumatoid arthritis. J. Biol. Chem. 2018, 293, 3236–3251. [Google Scholar] [CrossRef] [PubMed]
  45. Huizinga, T.W.; Amos, C.I.; van der Helm-van Mil, A.H.; Chen, W.; van Gaalen, F.A.; Jawaheer, D.; Schreuder, G.M.; Wener, M.; Breedveld, F.C.; Ahmad, N.; et al. Refining the complex rheumatoid arthritis phenotype based on specificity of the HLA-DRB1 shared epitope for antibodies to citrullinated proteins. Arthritis Rheum. 2005, 52, 3433–3438. [Google Scholar] [CrossRef] [PubMed]
  46. Lawrence, J.S. Heberden Oration, 1969. Rheumatoid arthritis--nature or nurture? Ann. Rheum. Dis. 1970, 29, 357–379. [Google Scholar] [CrossRef]
  47. De Blécourt, J.J.; Boerma, F.W.; Vorenkamp, E.O. Rheumatoid arthritis (R.A.) factor in near relatives of sero-positive and sero-negative patients with rheumatoid arthritis. Ann. Rheum. Dis. 1962, 21, 339–341. [Google Scholar] [CrossRef] [PubMed]
  48. Sellam, J.; Proulle, V.; Jungel, A.; Ittah, M.; Miceli Richard, C.; Gottenberg, J.E.; Toti, F.; Benessiano, J.; Gay, S.; Freyssinet, J.M.; et al. Increased levels of circulating microparticles in primary Sjogren’s syndrome, systemic lupus erythematosus and rheumatoid arthritis and relation with disease activity. Arthritis Res. Ther. 2009, 11, R156. [Google Scholar] [CrossRef]
  49. Huang, L.; Liang, L.; Ji, Z.; Chen, S.; Liu, M.; Huang, Q.; Huang, Z.; Sun, S.; Ding, J.; Chen, J.; et al. Proteomics profiling of CD4 + T-cell-derived exosomes from patients with rheumatoid arthritis. Int. Immunopharmacol. 2023, 122, 110560. [Google Scholar] [CrossRef]
  50. Borges, F.T.; Reis, L.A.; Schor, N. Extracellular vesicles: Structure, function, and potential clinical uses in renal diseases. Braz. J. Med. Biol. Res. 2013, 46, 824–830. [Google Scholar] [CrossRef] [PubMed]
  51. Doyle, L.M.; Wang, M.Z. Overview of Extracellular Vesicles, Their Origin, Composition, Purpose, and Methods for Exosome Isolation and Analysis. Cells 2019, 8, 727. [Google Scholar] [CrossRef] [PubMed]
  52. Koniusz, S.; Andrzejewska, A.; Muraca, M.; Srivastava, A.K.; Janowski, M.; Lukomska, B. Extracellular Vesicles in Physiology, Pathology, and Therapy of the Immune and Central Nervous System, with Focus on Extracellular Vesicles Derived from Mesenchymal Stem Cells as Therapeutic Tools. Front. Cell Neurosci. 2016, 10, 109. [Google Scholar] [CrossRef] [PubMed]
  53. Qin, J.; Xu, Q. Functions and application of exosomes. Acta Pol. Pharm. 2014, 71, 537–543. [Google Scholar]
  54. Lim, J.; Choi, M.; Lee, H.; Kim, Y.H.; Han, J.Y.; Lee, E.S.; Cho, Y. Direct isolation and characterization of circulating exosomes from biological samples using magnetic nanowires. J. Nanobiotechnol. 2019, 17, 1. [Google Scholar] [CrossRef]
  55. Sprent, J. Direct stimulation of naive T cells by antigen-presenting cell vesicles. Blood Cells Mol. Dis. 2005, 35, 17–20. [Google Scholar] [CrossRef]
  56. Cai, R.; Wang, L.; Zhang, W.; Liu, B.; Wu, Y.; Pang, J.; Ma, C. The role of extracellular vesicles in periodontitis: Pathogenesis, diagnosis, and therapy. Front. Immunol. 2023, 14, 1151322. [Google Scholar] [CrossRef]
  57. Coussens, L.M.; Werb, Z. Inflammation and cancer. Nature 2002, 420, 860–867. [Google Scholar] [CrossRef] [PubMed]
  58. Taghadosi, M.; Adib, M.; Jamshidi, A.; Mahmoudi, M.; Farhadi, E. The p53 status in rheumatoid arthritis with focus on fibroblast-like synoviocytes. Immunol. Res. 2021, 69, 225–238. [Google Scholar] [CrossRef]
  59. Cooks, T.; Pateras, I.S.; Jenkins, L.M.; Patel, K.M.; Robles, A.I.; Morris, J.; Forshew, T.; Appella, E.; Gorgoulis, V.G.; Harris, C.C. Mutant p53 cancers reprogram macrophages to tumor supporting macrophages via exosomal miR-1246. Nat. Commun. 2018, 9, 771. [Google Scholar] [CrossRef] [PubMed]
  60. Li, Q.; Wang, H.; Peng, H.; Huyan, T.; Cacalano, N.A. Exosomes: Versatile Nano Mediators of Immune Regulation. Cancers 2019, 11, 1557. [Google Scholar] [CrossRef] [PubMed]
  61. Margulies, D.H. How MHC molecules grab citrullinated peptides to foster rheumatoid arthritis. J. Biol. Chem. 2018, 293, 3252–3253. [Google Scholar] [CrossRef] [PubMed]
  62. Arita, S.; Baba, E.; Shibata, Y.; Niiro, H.; Shimoda, S.; Isobe, T.; Kusaba, H.; Nakano, S.; Harada, M. B cell activation regulates exosomal HLA production. Eur. J. Immunol. 2008, 38, 1423–1434. [Google Scholar] [CrossRef]
  63. Tsuno, H.; Arito, M.; Suematsu, N.; Sato, T.; Hashimoto, A.; Matsui, T.; Omoteyama, K.; Sato, M.; Okamoto, K.; Tohma, S.; et al. A proteomic analysis of serum-derived exosomes in rheumatoid arthritis. BMC Rheumatol. 2018, 2, 35. [Google Scholar] [CrossRef] [PubMed]
  64. Takizawa, Y.; Suzuki, A.; Sawada, T.; Ohsaka, M.; Inoue, T.; Yamada, R.; Yamamoto, K. Citrullinated fibrinogen detected as a soluble citrullinated autoantigen in rheumatoid arthritis synovial fluids. Ann. Rheum. Dis. 2006, 65, 1013–1020. [Google Scholar] [CrossRef] [PubMed]
  65. Zhao, X.; Okeke, N.L.; Sharpe, O.; Batliwalla, F.M.; Lee, A.T.; Ho, P.P.; Tomooka, B.H.; Gregersen, P.K.; Robinson, W.H. Circulating immune complexes contain citrullinated fibrinogen in rheumatoid arthritis. Arthritis Res. Ther. 2008, 10, R94. [Google Scholar] [CrossRef] [PubMed]
  66. Raijmakers, R.; van Beers, J.J.; El-Azzouny, M.; Visser, N.F.; Bozic, B.; Pruijn, G.J.; Heck, A.J. Elevated levels of fibrinogen-derived endogenous citrullinated peptides in synovial fluid of rheumatoid arthritis patients. Arthritis Res. Ther. 2012, 14, R114. [Google Scholar] [CrossRef] [PubMed]
  67. Skriner, K.; Adolph, K.; Jungblut, P.R.; Burmester, G.R. Association of citrullinated proteins with synovial exosomes. Arthritis Rheum. 2006, 54, 3809–3814. [Google Scholar] [CrossRef] [PubMed]
  68. Alballa, S.R. The expression of rheumatoid arthritis in Saudi Arabia. Clin. Rheumatol. 1995, 14, 641–645. [Google Scholar] [CrossRef] [PubMed]
  69. Mavragani, C.P.; Moutsopoulos, H.M. Rheumatoid arthritis in the elderly. Exp. Gerontol. 1999, 34, 463–471. [Google Scholar] [CrossRef]
  70. Krams, T.; Ruyssen-Witrand, A.; Nigon, D.; Degboe, Y.; Tobon, G.; Fautrel, B.; Berenbaum, F.; Cantagrel, A.; Constantin, A. Effect of age at rheumatoid arthritis onset on clinical, radiographic, and functional outcomes: The ESPOIR cohort. Jt. Bone Spine 2016, 83, 511–515. [Google Scholar] [CrossRef]
  71. Almoallim, H.; Hassan, R.; Cheikh, M.; Faruqui, H.; Alquraa, R.; Eissa, A.; Alhazmi, A.; Alsolaimani, R.; Janoudi, N. Rheumatoid Arthritis Saudi Database (RASD): Disease Characteristics and Remission Rates in a Tertiary Care Center. Open Access Rheumatol. 2020, 12, 139–145. [Google Scholar] [CrossRef] [PubMed]
  72. Massardo, L.; Aguirre, V.; Garcia, M.E.; Cervila, V.; Nicovani, S.; Gonzalez, A.; Rivero, S.; Jacobelli, S. Clinical expression of rheumatoid arthritis in Chilean patients. Semin. Arthritis Rheum. 1995, 25, 203–213. [Google Scholar] [CrossRef] [PubMed]
  73. Spindler, A.; Bellomio, V.; Berman, A.; Lucero, E.; Baigorria, M.; Paz, S.; Garrone, N.; Torres, A.I.; Romano, O.; Carraccio, A.; et al. Prevalence of rheumatoid arthritis in Tucuman, Argentina. J. Rheumatol. 2002, 29, 1166–1170. [Google Scholar] [PubMed]
  74. Barragan-Martinez, C.; Amaya-Amaya, J.; Pineda-Tamayo, R.; Mantilla, R.D.; Castellanos-de la Hoz, J.; Bernal-Macias, S.; Rojas-Villarraga, A.; Anaya, J.M. Gender differences in Latin-American patients with rheumatoid arthritis. Gend. Med. 2012, 9, 490–510.e5. [Google Scholar] [CrossRef]
  75. Alharbi, S. Depression in Saudi Patients with Rheumatoid Arthritis. Open Access Rheumatol. 2023, 15, 1–9. [Google Scholar] [CrossRef] [PubMed]
  76. Almuhareb, A.M.; Alhawassi, T.M.; Alghamdi, A.A.; Omair, M.A.; Alarfaj, H.; Alarfaj, A.; Alomari, B.A.; Alblowi, M.S.; Almalag, H.M. Prevalence of complementary and alternative medicine use among rheumatoid arthritis patients in Saudi Arabia. Saudi Pharm. J. 2019, 27, 939–944. [Google Scholar] [CrossRef]
  77. Intriago, M.; Maldonado, G.; Cardenas, J.; Rios, C. Clinical Characteristics in Patients with Rheumatoid Arthritis: Differences between Genders. Sci. World J. 2019, 2019, 8103812. [Google Scholar] [CrossRef] [PubMed]
  78. Sokka, T.; Kautiainen, H.; Toloza, S.; Makinen, H.; Verstappen, S.M.; Lund Hetland, M.; Naranjo, A.; Baecklund, E.; Herborn, G.; Rau, R.; et al. QUEST-RA: Quantitative clinical assessment of patients with rheumatoid arthritis seen in standard rheumatology care in 15 countries. Ann. Rheum. Dis. 2007, 66, 1491–1496. [Google Scholar] [CrossRef] [PubMed]
  79. Alghamdi, M.F.; Redwan, E.M. Advances in the diagnosis of autoimmune diseases based on citrullinated peptides/proteins. Expert. Rev. Mol. Diagn. 2021, 21, 685–702. [Google Scholar] [CrossRef]
  80. Raine, C.; Giles, I. What is the impact of sex hormones on the pathogenesis of rheumatoid arthritis? Front. Med. 2022, 9, 909879. [Google Scholar] [CrossRef]
  81. Alpizar-Rodriguez, D.; Pluchino, N.; Canny, G.; Gabay, C.; Finckh, A. The role of female hormonal factors in the development of rheumatoid arthritis. Rheumatology 2017, 56, 1254–1263. [Google Scholar] [CrossRef]
  82. Alemao, E.; Bao, Y.; Weinblatt, M.E.; Shadick, N. Association of Seropositivity and Mortality in Rheumatoid Arthritis and the Impact of Treatment With Disease-Modifying Antirheumatic Drugs: Results From a Real-World Study. Arthritis Care Res. 2020, 72, 176–183. [Google Scholar] [CrossRef]
  83. Hammam, N.; El-Husseiny, P.N.; Al-Adle, S.S.; Samy, N.; Elsaid, N.Y.; El-Essawi, D.F.; Mohamed, E.F.; Fawzy, S.M.; El Bakry, S.A.; Nassr, M.; et al. Clinical implications of seropositive and seronegative autoantibody status in rheumatoid arthritis patients: A comparative multicentre observational study. Rheumatol. Immunol. Res. 2024, 5, 57–65. [Google Scholar] [CrossRef]
  84. Carbonell-Bobadilla, N.; Soto-Fajardo, C.; Amezcua-Guerra, L.M.; Batres-Marroquin, A.B.; Vargas, T.; Hernandez-Diazcouder, A.; Jimenez-Rojas, V.; Medina-Garcia, A.C.; Pineda, C.; Silveira, L.H. Patients with seronegative rheumatoid arthritis have a different phenotype than seropositive patients: A clinical and ultrasound study. Front. Med. 2022, 9, 978351. [Google Scholar] [CrossRef] [PubMed]
  85. Majka, D.S.; Deane, K.D.; Parrish, L.A.; Lazar, A.A.; Baron, A.E.; Walker, C.W.; Rubertone, M.V.; Gilliland, W.R.; Norris, J.M.; Holers, V.M. Duration of preclinical rheumatoid arthritis-related autoantibody positivity increases in subjects with older age at time of disease diagnosis. Ann. Rheum. Dis. 2008, 67, 801–807. [Google Scholar] [CrossRef]
  86. van Zanten, A.; Arends, S.; Roozendaal, C.; Limburg, P.C.; Maas, F.; Trouw, L.A.; Toes, R.E.M.; Huizinga, T.W.J.; Bootsma, H.; Brouwer, E. Presence of anticitrullinated protein antibodies in a large population-based cohort from the Netherlands. Ann. Rheum. Dis. 2017, 76, 1184–1190. [Google Scholar] [CrossRef] [PubMed]
  87. Boeters, D.M.; Mangnus, L.; Ajeganova, S.; Lindqvist, E.; Svensson, B.; Toes, R.E.M.; Trouw, L.A.; Huizinga, T.W.J.; Berenbaum, F.; Morel, J.; et al. The prevalence of ACPA is lower in rheumatoid arthritis patients with an older age of onset but the composition of the ACPA response appears identical. Arthritis Res. Ther. 2017, 19, 115. [Google Scholar] [CrossRef] [PubMed]
  88. Misaki, K.; Tamura, N.; Azuma, T.; Shinoda, K.; Tanaka, M.; Fujiwara, H.; Tsuboi, H.; Kasama, T.; Yoshimi, R.; Hanyu, T.; et al. Associations of disease duration and anti-citrullinated peptide antibody status with the effectiveness of abatacept in biologic-naive patients with rheumatoid arthritis: Post hoc analysis of a multicentre, real-world observational study in Japan (ORIGAMI). Mod. Rheumatol. 2024, 34, 297–306. [Google Scholar] [CrossRef]
  89. Vazquez-Del Mercado, M.; Gomez-Banuelos, E.; Chavarria-Avila, E.; Cardona-Munoz, E.; Ramos-Becerra, C.; Alanis-Sanchez, A.; Cardona-Muller, D.; Grover-Paez, F.; Perez-Vazquez, F.J.; Navarro-Hernandez, R.E.; et al. Disease duration of rheumatoid arthritis is a predictor of vascular stiffness: A cross-sectional study in patients without known cardiovascular comorbidities: A STROBE-compliant article. Medicine 2017, 96, e7862. [Google Scholar] [CrossRef]
  90. Poulsom, H.; Charles, P.J. Antibodies to citrullinated vimentin are a specific and sensitive marker for the diagnosis of rheumatoid arthritis. Clin. Rev. Allergy Immunol. 2008, 34, 4–10. [Google Scholar] [CrossRef]
  91. Di Giuseppe, D.; Discacciati, A.; Orsini, N.; Wolk, A. Cigarette smoking and risk of rheumatoid arthritis: A dose-response meta-analysis. Arthritis Res. Ther. 2014, 16, R61. [Google Scholar] [CrossRef] [PubMed]
  92. Yahya, A.; Bengtsson, C.; Lai, T.C.; Larsson, P.T.; Mustafa, A.N.; Abdullah, N.A.; Muhamad, N.; Hussein, H.; Klareskog, L.; Alfredsson, L.; et al. Smoking is associated with an increased risk of developing ACPA-positive but not ACPA-negative rheumatoid arthritis in Asian populations: Evidence from the Malaysian MyEIRA case-control study. Mod. Rheumatol. 2012, 22, 524–531. [Google Scholar] [CrossRef] [PubMed]
  93. Kallberg, H.; Ding, B.; Padyukov, L.; Bengtsson, C.; Ronnelid, J.; Klareskog, L.; Alfredsson, L.; Group, E.S. Smoking is a major preventable risk factor for rheumatoid arthritis: Estimations of risks after various exposures to cigarette smoke. Ann. Rheum. Dis. 2011, 70, 508–511. [Google Scholar] [CrossRef]
  94. Sokolove, J.; Wagner, C.A.; Lahey, L.J.; Sayles, H.; Duryee, M.J.; Reimold, A.M.; Kerr, G.; Robinson, W.H.; Cannon, G.W.; Thiele, G.M.; et al. Increased inflammation and disease activity among current cigarette smokers with rheumatoid arthritis: A cross-sectional analysis of US veterans. Rheumatology 2016, 55, 1969–1977. [Google Scholar] [CrossRef]
  95. van der Woude, D.; Houwing-Duistermaat, J.J.; Toes, R.E.; Huizinga, T.W.; Thomson, W.; Worthington, J.; van der Helm-van Mil, A.H.; de Vries, R.R. Quantitative heritability of anti-citrullinated protein antibody-positive and anti-citrullinated protein antibody-negative rheumatoid arthritis. Arthritis Rheum. 2009, 60, 916–923. [Google Scholar] [CrossRef] [PubMed]
  96. Frisell, T.; Holmqvist, M.; Kallberg, H.; Klareskog, L.; Alfredsson, L.; Askling, J. Familial risks and heritability of rheumatoid arthritis: Role of rheumatoid factor/anti-citrullinated protein antibody status, number and type of affected relatives, sex, and age. Arthritis Rheum. 2013, 65, 2773–2782. [Google Scholar] [CrossRef] [PubMed]
  97. Kim, S.K.; Bae, J.; Lee, H.; Kim, J.H.; Park, S.H.; Choe, J.Y. Greater prevalence of seropositivity for anti-cyclic citrullinated peptide antibody in unaffected first-degree relatives in multicase rheumatoid arthritis-affected families. Korean J. Intern. Med. 2013, 28, 45–53. [Google Scholar] [CrossRef]
  98. Jung, M.K.; Mun, J.Y. Sample Preparation and Imaging of Exosomes by Transmission Electron Microscopy. J. Vis. Exp. 2018, 131, 56482. [Google Scholar] [CrossRef]
  99. Wang, J.; Yao, Y.; Wu, J.; Li, G. Identification and analysis of exosomes secreted from macrophages extracted by different methods. Int. J. Clin. Exp. Pathol. 2015, 8, 6135–6142. [Google Scholar]
  100. Liu, X.; Wang, H.W. Single particle electron microscopy reconstruction of the exosome complex using the random conical tilt method. J. Vis. Exp. 2011, 49, 2574. [Google Scholar] [CrossRef]
  101. Kalra, H.; Adda, C.G.; Liem, M.; Ang, C.S.; Mechler, A.; Simpson, R.J.; Hulett, M.D.; Mathivanan, S. Comparative proteomics evaluation of plasma exosome isolation techniques and assessment of the stability of exosomes in normal human blood plasma. Proteomics 2013, 13, 3354–3364. [Google Scholar] [CrossRef]
  102. Akers, J.C.; Ramakrishnan, V.; Nolan, J.P.; Duggan, E.; Fu, C.C.; Hochberg, F.H.; Chen, C.C.; Carter, B.S. Comparative Analysis of Technologies for Quantifying Extracellular Vesicles (EVs) in Clinical Cerebrospinal Fluids (CSF). PLoS ONE 2016, 11, e0149866. [Google Scholar] [CrossRef] [PubMed]
  103. Dash, M.; Palaniyandi, K.; Ramalingam, S.; Sahabudeen, S.; Raja, N.S. Exosomes isolated from two different cell lines using three different isolation techniques show variation in physical and molecular characteristics. Biochim. Biophys. Acta Biomembr. 2021, 1863, 183490. [Google Scholar] [CrossRef] [PubMed]
  104. Kalluri, R.; LeBleu, V.S. The biology, function, and biomedical applications of exosomes. Science 2020, 367, eaau6977. [Google Scholar] [CrossRef] [PubMed]
  105. Zhang, Y.; Bi, J.; Huang, J.; Tang, Y.; Du, S.; Li, P. Exosome: A Review of Its Classification, Isolation Techniques, Storage, Diagnostic and Targeted Therapy Applications. Int. J. Nanomed. 2020, 15, 6917–6934. [Google Scholar] [CrossRef] [PubMed]
  106. Jankovicova, J.; Secova, P.; Michalkova, K.; Antalikova, J. Tetraspanins, More than Markers of Extracellular Vesicles in Reproduction. Int. J. Mol. Sci. 2020, 21, 7568. [Google Scholar] [CrossRef]
  107. Mathieu, M.; Nevo, N.; Jouve, M.; Valenzuela, J.I.; Maurin, M.; Verweij, F.J.; Palmulli, R.; Lankar, D.; Dingli, F.; Loew, D.; et al. Specificities of exosome versus small ectosome secretion revealed by live intracellular tracking of CD63 and CD9. Nat. Commun. 2021, 12, 4389. [Google Scholar] [CrossRef]
  108. Tang, Y.T.; Huang, Y.Y.; Zheng, L.; Qin, S.H.; Xu, X.P.; An, T.X.; Xu, Y.; Wu, Y.S.; Hu, X.M.; Ping, B.H.; et al. Comparison of isolation methods of exosomes and exosomal RNA from cell culture medium and serum. Int. J. Mol. Med. 2017, 40, 834–844. [Google Scholar] [CrossRef] [PubMed]
  109. Moelants, E.A.; Van Damme, J.; Proost, P. Detection and quantification of citrullinated chemokines. PLoS ONE 2011, 6, e28976. [Google Scholar] [CrossRef] [PubMed]
  110. Vitorino, R.; Guedes, S.; Vitorino, C.; Ferreira, R.; Amado, F.; Van Eyk, J.E. Elucidating Citrullination by Mass Spectrometry and Its Role in Disease Pathogenesis. J. Proteome Res. 2021, 20, 38–48. [Google Scholar] [CrossRef]
  111. Ru, Z.; Zhang, H.; Huang, X.; Lou, J.; Liao, J.; Chen, Z.; Yang, X. A new pattern of citrullinated peptides improves the sensitivity for diagnosing rheumatoid arthritis. Clin. Biochem. 2022, 105–106, 87–93. [Google Scholar] [CrossRef] [PubMed]
  112. Koivula, M.K.; Aman, S.; Karjalainen, A.; Hakala, M.; Risteli, J. Are there autoantibodies reacting against citrullinated peptides derived from type I and type II collagens in patients with rheumatoid arthritis? Ann. Rheum. Dis. 2005, 64, 1443–1450. [Google Scholar] [CrossRef]
  113. Girbal-Neuhauser, E.; Durieux, J.J.; Arnaud, M.; Dalbon, P.; Sebbag, M.; Vincent, C.; Simon, M.; Senshu, T.; Masson-Bessiere, C.; Jolivet-Reynaud, C.; et al. The epitopes targeted by the rheumatoid arthritis-associated antifilaggrin autoantibodies are posttranslationally generated on various sites of (pro)filaggrin by deimination of arginine residues. J. Immunol. 1999, 162, 585–594. [Google Scholar] [CrossRef] [PubMed]
  114. Martinez Tellez, G.; Torres Rives, B.; Gomez Morejon, J.A.; Perez Garay, H.; Rodriguez, A.M.; Portal Miranda, J.A. Diagnostic Value of Anti-Fibrinogen Citrullinated Peptide in Rheumatoid Arthritis. Reum. Clin. 2020, 16, 455–461. [Google Scholar] [CrossRef]
  115. Kim, J.S.; Choi, M.; Choi, J.Y.; Kim, J.Y.; Kim, J.Y.; Song, J.S.; Ivashkiv, L.B.; Lee, E.Y. Implication of the Association of Fibrinogen Citrullination and Osteoclastogenesis in Bone Destruction in Rheumatoid Arthritis. Cells 2020, 9, 2720. [Google Scholar] [CrossRef]
  116. Heydari, R.; Koohi, F.; Rasouli, M.; Rezaei, K.; Abbasgholinejad, E.; Bekeschus, S.; Doroudian, M. Exosomes as Rheumatoid Arthritis Diagnostic Biomarkers and Therapeutic Agents. Vaccines 2023, 11, 687. [Google Scholar] [CrossRef]
  117. Alghamdi, M.; Alamry, S.A.; Bahlas, S.M.; Uversky, V.N.; Redwan, E.M. Circulating extracellular vesicles and rheumatoid arthritis: A proteomic analysis. Cell Mol. Life Sci. 2021, 79, 25. [Google Scholar] [CrossRef]
  118. Qin, Q.; Song, R.; Du, P.; Gao, C.; Yao, Q.; Zhang, J.A. Systemic Proteomic Analysis Reveals Distinct Exosomal Protein Profiles in Rheumatoid Arthritis. J. Immunol. Res. 2021, 2021, 9421720. [Google Scholar] [CrossRef] [PubMed]
  119. Nogueira, L.; Chapuy-Regaud, S.; Constantin, A.; Clavel, C.; Sebbag, M.; Cantagrel, A.; Vincent, C.; Serre, G. Autoantibodies to deiminated fibrinogen are the most efficient serological criterion for early rheumatoid arthritis diagnosis. Arthritis Res. Ther. 2003, 5, 18. [Google Scholar] [CrossRef]
  120. Cornillet, M.; Sebbag, M.; Verrouil, E.; Magyar, A.; Babos, F.; Ruyssen-Witrand, A.; Hudecz, F.; Cantagrel, A.; Serre, G.; Nogueira, L. The fibrin-derived citrullinated peptide beta60-74Cit(6)(0),(7)(2),(7)(4) bears the major ACPA epitope recognised by the rheumatoid arthritis-specific anticitrullinated fibrinogen autoantibodies and anti-CCP2 antibodies. Ann. Rheum. Dis. 2014, 73, 1246–1252. [Google Scholar] [CrossRef]
  121. Nogueira, L.; Cornillet, M.; Singwe-Ngandeu, M.; Viatte, S.; Bas, S.; Gabay, C.; Serre, G. In Black Africans with rheumatoid arthritis, ACPA recognize citrullinated fibrinogen and the derived peptides alpha36-50Cit38,42 and beta60-74Cit60,72,74, like in Caucasians. Clin. Immunol. 2014, 152, 58–64. [Google Scholar] [CrossRef] [PubMed]
  122. Hill, J.A.; Al-Bishri, J.; Gladman, D.D.; Cairns, E.; Bell, D.A. Serum autoantibodies that bind citrullinated fibrinogen are frequently found in patients with rheumatoid arthritis. J. Rheumatol. 2006, 33, 2115–2119. [Google Scholar]
  123. Sharma, M.; Damgaard, D.; Senolt, L.; Svensson, B.; Bay-Jensen, A.C.; Nielsen, C.H.; Hagglund, P. Expanding the citrullinome of synovial fibrinogen from rheumatoid arthritis patients. J. Proteom. 2019, 208, 103484. [Google Scholar] [CrossRef] [PubMed]
  124. Masson-Bessiere, C.; Sebbag, M.; Girbal-Neuhauser, E.; Nogueira, L.; Vincent, C.; Senshu, T.; Serre, G. The major synovial targets of the rheumatoid arthritis-specific antifilaggrin autoantibodies are deiminated forms of the alpha- and beta-chains of fibrin. J. Immunol. 2001, 166, 4177–4184. [Google Scholar] [CrossRef] [PubMed]
  125. van Venrooij, W.J.; van Beers, J.J.; Pruijn, G.J. Anti-CCP antibodies: The past, the present and the future. Nat. Rev. Rheumatol. 2011, 7, 391–398. [Google Scholar] [CrossRef] [PubMed]
  126. Wegner, N.; Lundberg, K.; Kinloch, A.; Fisher, B.; Malmstrom, V.; Feldmann, M.; Venables, P.J. Autoimmunity to specific citrullinated proteins gives the first clues to the etiology of rheumatoid arthritis. Immunol. Rev. 2010, 233, 34–54. [Google Scholar] [CrossRef] [PubMed]
  127. Wegner, N.; Wait, R.; Sroka, A.; Eick, S.; Nguyen, K.A.; Lundberg, K.; Kinloch, A.; Culshaw, S.; Potempa, J.; Venables, P.J. Peptidylarginine deiminase from Porphyromonas gingivalis citrullinates human fibrinogen and alpha-enolase: Implications for autoimmunity in rheumatoid arthritis. Arthritis Rheum. 2010, 62, 2662–2672. [Google Scholar] [CrossRef] [PubMed]
Figure 1. (A) Prevalence of positive (RF, anti-CCP, and anti-MCV) in female and male RA patients. The chi-square test was used to compare the frequency of each autoantibody between males and females, and there were no statistically significant differences (p > 0.05). (B) Relationship between the genders and the level of each antibody. Each bar represents the mean, and error bars correspond to 95% confidence intervals. Using unpaired t-test, the concentration of RF showed a statistically significant difference between females and males (** p = 0.004). Abbreviation: RF = Rheumatoid factor, anti-CCP = anti-cyclic citrullinated peptide, anti-MCV = anti-mutated citrullinated vimentin.
Figure 1. (A) Prevalence of positive (RF, anti-CCP, and anti-MCV) in female and male RA patients. The chi-square test was used to compare the frequency of each autoantibody between males and females, and there were no statistically significant differences (p > 0.05). (B) Relationship between the genders and the level of each antibody. Each bar represents the mean, and error bars correspond to 95% confidence intervals. Using unpaired t-test, the concentration of RF showed a statistically significant difference between females and males (** p = 0.004). Abbreviation: RF = Rheumatoid factor, anti-CCP = anti-cyclic citrullinated peptide, anti-MCV = anti-mutated citrullinated vimentin.
Antibodies 14 00010 g001
Figure 2. (A) Frequency of autoantibodies among age groups of RA patients. Using chi-square test, significant differences are shown for RF incidence between <40 and >50 years groups (***) and between 40–50 and >50 years groups (**). The anti-MCV prevalence showed a statistically significant difference between <40- and >50-year groups (*). (B) Titers of antibodies among age groups. The one-way ANOVA followed by Tukey’s post hoc test was used to determine the differences in means. Each bar represents the mean, and error bars correspond to 95% confidence intervals. The statistically significant difference in RF level between age groups is shown, where *** p < 0.001; ** p = 0.005.
Figure 2. (A) Frequency of autoantibodies among age groups of RA patients. Using chi-square test, significant differences are shown for RF incidence between <40 and >50 years groups (***) and between 40–50 and >50 years groups (**). The anti-MCV prevalence showed a statistically significant difference between <40- and >50-year groups (*). (B) Titers of antibodies among age groups. The one-way ANOVA followed by Tukey’s post hoc test was used to determine the differences in means. Each bar represents the mean, and error bars correspond to 95% confidence intervals. The statistically significant difference in RF level between age groups is shown, where *** p < 0.001; ** p = 0.005.
Antibodies 14 00010 g002
Figure 3. (A) Prevalence of autoantibodies in association with the periods of RA duration. No significant difference (p > 0.05) for RF and anti-CCP in all periods. The anti-MCV prevalence showed a statistically significant difference (**) between <5- and 5–10-year groups. (B) Association between antibody levels and the duration of RA. Each bar represents the mean, and the error bars correspond to 95% confidence intervals. One-way ANOVA followed by Tukey’s post hoc test was used to compare the means across each period. The statistically significant difference in the means of anti-MCV level is displayed (** p < 0.01).
Figure 3. (A) Prevalence of autoantibodies in association with the periods of RA duration. No significant difference (p > 0.05) for RF and anti-CCP in all periods. The anti-MCV prevalence showed a statistically significant difference (**) between <5- and 5–10-year groups. (B) Association between antibody levels and the duration of RA. Each bar represents the mean, and the error bars correspond to 95% confidence intervals. One-way ANOVA followed by Tukey’s post hoc test was used to compare the means across each period. The statistically significant difference in the means of anti-MCV level is displayed (** p < 0.01).
Antibodies 14 00010 g003
Figure 4. Effect of smoking on autoantibodies. (A) The anti-CCP is significantly (*) frequent in non-smokers (p = 0.003). No significant difference (p > 0.05) for the prevalence of RF and anti-CMCV in both groups. (B) No impact of smoking on the titer of positive antibody (p > 0.05). The comparison was performed using unpaired t-test; each bar represents the mean, and error bars correspond to 95% confidence intervals.
Figure 4. Effect of smoking on autoantibodies. (A) The anti-CCP is significantly (*) frequent in non-smokers (p = 0.003). No significant difference (p > 0.05) for the prevalence of RF and anti-CMCV in both groups. (B) No impact of smoking on the titer of positive antibody (p > 0.05). The comparison was performed using unpaired t-test; each bar represents the mean, and error bars correspond to 95% confidence intervals.
Antibodies 14 00010 g004
Figure 5. Association between family history and seropositivity. (A) Autoantibodies prevalence in RA patients with and without family history showed no significant differences (p > 0.05). (B) No relationship between family history and the titer of a positive antibody. Each bar represents the mean, and error bars correspond to 95% confidence intervals. An unpaired t-test was used to compare the difference in means (p > 0.05).
Figure 5. Association between family history and seropositivity. (A) Autoantibodies prevalence in RA patients with and without family history showed no significant differences (p > 0.05). (B) No relationship between family history and the titer of a positive antibody. Each bar represents the mean, and error bars correspond to 95% confidence intervals. An unpaired t-test was used to compare the difference in means (p > 0.05).
Antibodies 14 00010 g005
Figure 6. Summary of exosome morphology by DLS. Zetasizer histograms represent the size distribution by intensity. (A) SPRA; (B) SNRA; (C) HC. (D) Exosomes isolated from SNRA patients revealed a significantly small diameter when compared to SPRA (***) and HC samples (**) (SPRA: seropositive RA patients; SNRA: seronegative RA patients; HC: healthy control individuals).
Figure 6. Summary of exosome morphology by DLS. Zetasizer histograms represent the size distribution by intensity. (A) SPRA; (B) SNRA; (C) HC. (D) Exosomes isolated from SNRA patients revealed a significantly small diameter when compared to SPRA (***) and HC samples (**) (SPRA: seropositive RA patients; SNRA: seronegative RA patients; HC: healthy control individuals).
Antibodies 14 00010 g006
Figure 7. TEM images of exosomes using negative staining. Exosomes showed round-shaped vesicles with diameters less than 100 nm; scale bar = 200 nm. Representative TEM micrograph of exosomes isolated from (A) SPRA, (B) SNRA, and (C) HC (SPRA: seropositive RA patients; SNRA: seronegative RA patients; HC: healthy control individuals).
Figure 7. TEM images of exosomes using negative staining. Exosomes showed round-shaped vesicles with diameters less than 100 nm; scale bar = 200 nm. Representative TEM micrograph of exosomes isolated from (A) SPRA, (B) SNRA, and (C) HC (SPRA: seropositive RA patients; SNRA: seronegative RA patients; HC: healthy control individuals).
Antibodies 14 00010 g007
Figure 8. (A) Protein content of exosome lysates determined by the Pierce detergent-compatible Bradford assay. Significant differences in exosomes content of protein between patients and HC samples (*** p < 0.001). (B) Coomassie blue-stained gel showing protein band separation for exosome lysates from patient and healthy control samples (SPRA: seropositive RA patients; SNRA: seronegative RA patients; HC: healthy control individuals).
Figure 8. (A) Protein content of exosome lysates determined by the Pierce detergent-compatible Bradford assay. Significant differences in exosomes content of protein between patients and HC samples (*** p < 0.001). (B) Coomassie blue-stained gel showing protein band separation for exosome lysates from patient and healthy control samples (SPRA: seropositive RA patients; SNRA: seronegative RA patients; HC: healthy control individuals).
Antibodies 14 00010 g008
Figure 9. (A) Representative Western blotting of CD9 in exosome sample groups: SPRA, ANRA, and HC. (B) Western blot analysis for the expression of cFBG in exosome lysates that were extracted from SPRA patients. (C) Variation of anti-CCP levels between SPRA patients according to the expression of cFBG in their exosome lysates (*** p < 0.001) (SPRA: seropositive RA patients; SNRA: seronegative RA patients; HC: healthy control individuals; cFBG: citrullinated fibrinogen).
Figure 9. (A) Representative Western blotting of CD9 in exosome sample groups: SPRA, ANRA, and HC. (B) Western blot analysis for the expression of cFBG in exosome lysates that were extracted from SPRA patients. (C) Variation of anti-CCP levels between SPRA patients according to the expression of cFBG in their exosome lysates (*** p < 0.001) (SPRA: seropositive RA patients; SNRA: seronegative RA patients; HC: healthy control individuals; cFBG: citrullinated fibrinogen).
Antibodies 14 00010 g009
Table 1. Demographic characteristics of RA patients and healthy controls.
Table 1. Demographic characteristics of RA patients and healthy controls.
CharacteristicRA PatientsHC Individualsp-Value
(N = 116)(N = 35)
Gender
Female, n (%)104 (89.7%)28 (80%)0.13
Male, n (%)12 (10.3%)7 (20%)
Age (mean ± SD, years)51.3 ± 11.547 ± 11.60.05
Age range, years(18–70)(23–66)
Age distribution, n (%)
<40 years20 (17.2%)9 (25.7%)0.26
40–50 years32 (27.6%)11 (31.4%)0.7
>50 years64 (55.2%)15 (42.9%)0.2
Occupation, n (%)
Worker26 (22.4%)11 (31.4%)0.28
Retired7 (6%)2 (5.7%)0.94
Housewife81 (69.8%)20 (57.1%)0.16
Student2 (1.7%)2 (5.7%)0.2
Smoking, n (%)
Smoker21 (18.1)NA
Non-smoker95 (81.9)NA
Family history of RA, n (%)
Yes25 (21.5)5 (14.3)0.35
No91 (78.5)30 (85.7)
Abbreviation: RA = Rheumatoid arthritis. HC = Healthy control individuals.
Table 2. Demographic and laboratory characteristics of RA patients.
Table 2. Demographic and laboratory characteristics of RA patients.
CharacteristicAllFemaleMalep-Value
PatientsF/M
Number of patients, [n (%)]116 (100)104 (89.7)12 (10.3)
Age, mean ± SD (Years)51.3 ± 11.551.3 ± 11.651.7 ± 11.30.96
Age group, [n (%)]
<40 years20 (17.2)18 (17.3)2 (16.7)0.9
40–50 years32 (27.6)30 (28.8)2 (16.7)0.37
>50 years64 (55.2)56 (53.9)8 (66.6)0.4
Disease duration, mean ± SD8.4 ± 68.7 ± 6.26.1 ± 3.80.16
Disease duration, n (%)
<5 years39 (33.6)35 (33.7)4 (33.3)0.98
5–10 years43 (37.1)36 (34.6)7 (58.4)0.11
>10 years34 (29.3)33 (31.7)1 (8.3)0.09
Smoking, [n (%)]
Smoker21 (18.1)17 (16.3)4 (33.3)0.15
Non-smoker95 (81.9)87 (83.7)8 (66.7)
Family history of RA, n (%)
Yes25 (21.6)23 (22.1)2 (16.7)0.66
No91 (78.4)81 (77.9)10 (83.3)
Positive autoantibody, n (%)
RF-positive43 (37.1)37 (35.6)6 (50)0.33
Anti-CCP-positive63 (54.3)55 (52.9)8 (66.7)0.36
Anti-MCV-positive56 (48.3)49 (47.1)7 (58.3)0.46
Table 3. The prevalence and levels of positive antibodies among females and males.
Table 3. The prevalence and levels of positive antibodies among females and males.
AutoantibodyFemaleMalep-Value
N = 104N = 12
RF + ve, n (%)37 (36)6 (50)0.33
RF Mean ± SD, (IU/mL)196.8 ± 236.6356.4 ± 512.80.004 *
Anti-CCP + ve, n (%)55 (53)8 (67)0.36
Anti-CCP (Mean ± SD, (IU/mL))547.8 ± 437.8697.1 ± 420.60.37
Anti-MCV + ve, n (%)49 (47)7 (58)0.46
Anti-MCV Mean ± SD, (IU/mL)415.2 ± 406.6589.2 ± 383.80.98
* p = 0.004.
Table 4. Prevalence and level of positive antibodies among age groups of RA patients.
Table 4. Prevalence and level of positive antibodies among age groups of RA patients.
Autoantibody<40 Years40–50 Years>50 Yearsp-Value
N = 20N = 32N = 64
RF + ve, n (%)4 (20)9 (28)30 (47)
Mean ± SD, (IU/mL)488.6 ± 490.9206.8 ± 271.3186.8 ± 251.0<0.001
Anti-CCP + ve, n (%)9 (45)17 (53)37 (58)
Mean ± SD, (IU/mL)599.2 ± 454.5587.7 ± 444.4549.3 ± 437.90.87
Anti-MCV + ve, n (%)7 (35)15 (47)34 (53)
Mean ± SD, (IU/mL)564.1 ± 423.9399.3 ± 445.8427.4 ± 389.50.34
Table 5. Prevalence and level of positive autoantibodies over the period of RA duration.
Table 5. Prevalence and level of positive autoantibodies over the period of RA duration.
Autoantibody<5 Years5–10 Years>10 Years
N = 39N = 43N = 34
RF, n (%)11 (28)18 (42)14 (41)
Mean ± SD, (IU/L)234.3 ± 277.6254.2 ± 379.7161.9 ± 114.0
Anti-CCP, n (%)19 (49)25 (58)19 (56)
Mean ± SD, (IU/L)437.6 ± 438.5627.0 ± 432.3616.7± 430.9
Anti-MCV, n (%)12 (31)27 (63)17 (50)
Mean ± SD, (IU/L)440.9 ± 428.9546.5 ± 435.3260.2 ± 273.6
Table 6. Comparison of positive autoantibodies among smokers and non-smoker RA patients.
Table 6. Comparison of positive autoantibodies among smokers and non-smoker RA patients.
AutoantibodySmokersNon-Smokersp-Value
N = 21N = 95
RF, n (%)7 (33)36 (38)0.7
Mean ± SD, (IU/mL)170.9 ± 135.7228.4 ± 308.5 0.63
Anti-CCP, n (%)7 (33)56 (59)0.03 *
Mean ± SD, (IU/mL)794.8 ± 350.9538.3 ± 438.90.14
Anti-MCV, n (%)8 (38)48 (51)0.3
Mean ± SD, (IU/mL)522.1 ± 435.7422.8 ± 402.30.52
* p < 0.05.
Table 7. Association between seropositivity and family history.
Table 7. Association between seropositivity and family history.
Positive Family HistoryNegative Family Historyp-Value
N = 25N = 91
RF, n (%)6 (24)37 (41)0.13
Mean ± SD, (IU/mL)229.4 ± 306.1192.7 ± 292.90.58
Anti-CCP, n (%)13 (52)50 (55)0.79
Mean ± SD, (IU/mL)519.4 ± 467.5579.1 ± 430.50.55
Anti-MCV, n (%)10 (40)46 (50)0.35
Mean ± SD, (IU/mL)322.5 ± 398.1372.3 ± 389.70.57
Disclaimer/Publisher’s Note: The statements, opinions and data contained in all publications are solely those of the individual author(s) and contributor(s) and not of MDPI and/or the editor(s). MDPI and/or the editor(s) disclaim responsibility for any injury to people or property resulting from any ideas, methods, instructions or products referred to in the content.

Share and Cite

MDPI and ACS Style

Alghamdi, M.A.; Bahlas, S.M.; Alamry, S.A.; Mattar, E.H.; Redwan, E.M. Exploring Anticitrullinated Antibodies (ACPAs) and Serum-Derived Exosomes Cargoes. Antibodies 2025, 14, 10. https://doi.org/10.3390/antib14010010

AMA Style

Alghamdi MA, Bahlas SM, Alamry SA, Mattar EH, Redwan EM. Exploring Anticitrullinated Antibodies (ACPAs) and Serum-Derived Exosomes Cargoes. Antibodies. 2025; 14(1):10. https://doi.org/10.3390/antib14010010

Chicago/Turabian Style

Alghamdi, Mohammed A., Sami M. Bahlas, Sultan Abdulmughni Alamry, Ehab H. Mattar, and Elrashdy M. Redwan. 2025. "Exploring Anticitrullinated Antibodies (ACPAs) and Serum-Derived Exosomes Cargoes" Antibodies 14, no. 1: 10. https://doi.org/10.3390/antib14010010

APA Style

Alghamdi, M. A., Bahlas, S. M., Alamry, S. A., Mattar, E. H., & Redwan, E. M. (2025). Exploring Anticitrullinated Antibodies (ACPAs) and Serum-Derived Exosomes Cargoes. Antibodies, 14(1), 10. https://doi.org/10.3390/antib14010010

Note that from the first issue of 2016, this journal uses article numbers instead of page numbers. See further details here.

Article Metrics

Back to TopTop