Lysine Acetylation Regulates Alanyl-tRNA Synthetase Activity in Escherichia coli
Abstract
1. Introduction
2. Materials and Methods
2.1. General
2.2. Plasmid Constructions
2.3. Construction of CobB-Deleted Escherichia coli Strain
2.4. Protein Expression and Purification
2.5. Western Blotting
2.6. Alanylation Assay
2.7. Circular Dichroism Spectrometry Analysis
2.8. Expression and Promoter Analysis for CobB-L and CobB-S
2.9. Deacetylation Assay
3. Results
3.1. Preparation of AlaRS K73Ac Variant by Expanded Genetic Code
3.2. Alanylation Activity of AlaRS K73Ac Variants
3.3. Circular Dichroism Spectrum of AlaRS K73Ac Variants
3.4. Escherichia coli Expresses Two CobB Isoforms with Each Promoter
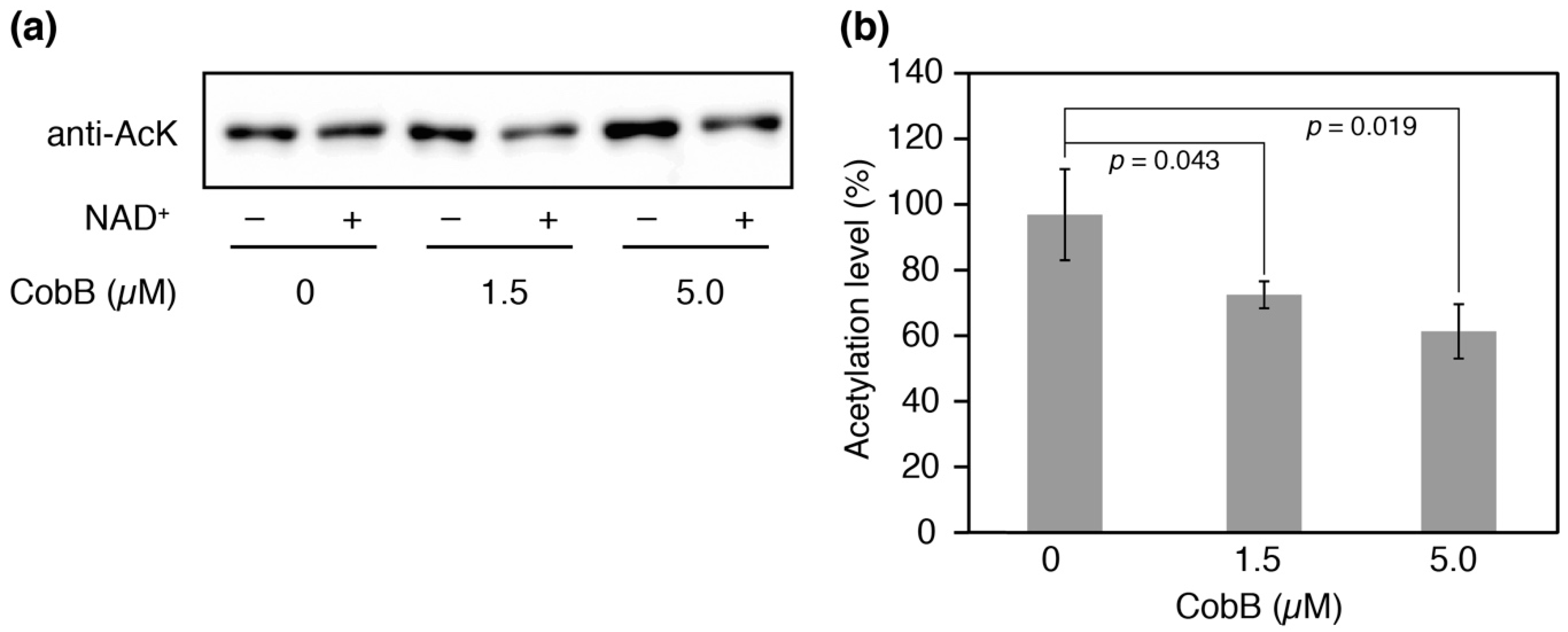
3.5. Deacetylation of K73 by CobB-S In Vitro
4. Discussion
Author Contributions
Funding
Acknowledgments
Conflicts of Interest
Appendix A
| aaRS | Acetyl Site | [16] Mascot Score | [17] Mascot Score | aaRS | Acetyl Site | [16] Mascot Score | [17] Mascot Score | |
|---|---|---|---|---|---|---|---|---|
| AlaRS | 55 | 45.4 | 58.7 | GlnRS | 160 | 71.2 | ||
| 73 | 55.3 | 68.5 | 170 | 95.0 | 49.3 | |||
| 278 | 85.2 | 195 | 93.0 | |||||
| 535 | 39.8 | 140.6 | 273 | 51.4 | 50.1 | |||
| 591 | 53.8 | 71.2 | 399 | 41.8 | ||||
| 604 | 51.7 | 408 | 53.5 | 41.7 | ||||
| 647 | 70.8 | 419 | 57.9 | |||||
| 721 | 59.0 | 515 | 34.3 | 65.4 | ||||
| 730 | 64.5 | 102.7 | GluRS | 102 | 41.1 | |||
| 743 | 57.6 | 97.9 | 215 | 50.9 | 65.0 | |||
| 749 | 59.2 | 74.3 | 293 | 43.9 | ||||
| 763 | 53.9 | 345 | 107.9 | 77.7 | ||||
| 783 | 86.0 | 94.0 | 377 | 44.5 | 60.8 | |||
| 819 | 54.8 | 101.2 | 423 | 70.4 | ||||
| 873 | 51.8 | 459 | 44.3 | |||||
| ArgRS | 112 | 53.4 | GlyRS-α | 3 | 38.1 | 42.5 | ||
| 126 | 83.3 | 103.8 | 281 | 41.3 | ||||
| 152 | 73.6 | GlyRS-β | 72 | 53.1 | 110.1 | |||
| 198 | 50.6 | 86 | 72.4 | 73.5 | ||||
| 216 | 45.8 | 40.6 | 89 | 58.6 | ||||
| 295 | 44.5 | 112 | 75.6 | |||||
| 306 | 54.3 | 141 | 54.1 | |||||
| 473 | 64.2 | 472 | 43.1 | |||||
| AsnRS | 194 | 54.1 | 475 | 53.5 | 73.4 | |||
| 199 | 51.9 | 42.3 | 592 | 55.1 | 99.6 | |||
| 286 | 33.7 | 75.5 | 607 | 76.1 | 47.0 | |||
| 294 | 53.1 | 67.1 | 624 | 43.5 | 59.1 | |||
| 351 | 52.0 | 58.1 | 662 | 63.1 | 71.2 | |||
| 357 | 66.1 | 674 | 52.4 | 46.3 | ||||
| 375 | 41.2 | HisRS | 53 | 51.5 | 72.0 | |||
| AspRS | 186 | 49.8 | 56.5 | 189 | 74.2 | |||
| 283 | 65.2 | 80.6 | 370 | 47.3 | ||||
| 315 | 55.7 | 378 | 44.3 | 49.4 | ||||
| 332 | 57.1 | 54.9 | IleRS | 23 | 57.3 | 98.3 | ||
| 353 | 58.5 | 78.1 | 112 | 61.9 | 82.3 | |||
| 370 | 48.5 | 116 | 83.0 | 106.4 | ||||
| 399 | 35.8 | 183 | 56.6 | 66.6 | ||||
| 415 | 74.3 | 95.2 | 390 | 109.4 | ||||
| 513 | 73.1 | 398 | 90.2 | 96.7 | ||||
| CysRS | 73 | 54.3 | 97.1 | 428 | 76.6 | 107.6 | ||
| 76 | 50.8 | 90.9 | 436 | 57.1 | 58.1 | |||
| 175 | 44.4 | 439 | 55.7 | 52.9 | ||||
| 282 | 53.4 | 59.4 | 605 | 49.1 | ||||
| 310 | 48.4 | 619 | 108.3 | 104.3 | ||||
| 895 | 78.7 | |||||||
| 913 | 50.0 | |||||||
| 934 | 64.1 | 93.2 | ||||||
| LeuRS | 21 | 56.1 | 74.8 | SerRS | 17 | 54.2 | ||
| 145 | 47.3 | 24 | 73.7 | 109.8 | ||||
| 182 | 54.7 | 29 | 49.6 | 102.6 | ||||
| 598 | 51.8 | 62.4 | 43 | 53.6 | 97.1 | |||
| 619 | 53.2 | 81.4 | 77 | 42.2 | ||||
| 837 | 45.6 | 86 | 83.1 | |||||
| LysRS | 82 | 112.9 | 109.9 | 115 | 68.7 | |||
| 114 | 88.0 | 123.2 | ThrRS | 122 | 87.8 | 95.8 | ||
| 115 | 56.7 | 108.4 | 169 | 61.0 | 76.5 | |||
| 156 | 57.9 | 132.8 | 200 | 52.3 | ||||
| 335 | 91.8 | 226 | 61.8 | 76.3 | ||||
| LysRS | 114 | 52.2 | 109.1 | 227 | 56.3 | 86.8 | ||
| (Inducible) | 115 | 52.0 | 109.2 | 286 | 56.9 | |||
| 156 | 119.0 | 116.1 | 314 | 68.6 | ||||
| 179 | 57.2 | 60.0 | 577 | 52.4 | 44.4 | |||
| 322 | 76.7 | 95.4 | 599 | 52.6 | 58.6 | |||
| 326 | 84.6 | 614 | 55.2 | 42.2 | ||||
| 335 | 37.9 | 103.6 | TrpRS | 173 | 47.2 | |||
| MetRS | 115 | 38.2 | 181 | 55.2 | 66.8 | |||
| 121 | 48.6 | 214 | 57.6 | 76.6 | ||||
| 133 | 77.0 | 85.4 | 274 | 40.2 | ||||
| 143 | 38.2 | 307 | 46.9 | |||||
| 343 | 98.3 | 140.0 | TyrRS | 8 | 62.0 | 109.0 | ||
| 403 | 50.0 | 54.8 | 85 | 76.7 | 131.3 | |||
| 466 | 66.5 | 144 | 40.1 | 105.3 | ||||
| 498 | 85.4 | 235 | 55.2 | 62.5 | ||||
| 529 | 68.3 | 64.3 | 238 | 77.6 | 109.4 | |||
| 597 | 68.1 | 124.5 | 416 | 55.1 | ||||
| PheRS-α | 34 | 47.1 | ValRS | 3 | 73.5 | |||
| 75 | 71.0 | 178 | 52.7 | 45.9 | ||||
| 265 | 82.8 | 209 | 45.4 | |||||
| 324 | 31.9 | 248 | 35.2 | |||||
| PheRS-β | 66 | 56.9 | 271 | 48.1 | 65.9 | |||
| 104 | 70.9 | 86.8 | 291 | 52.9 | 101.4 | |||
| 235 | 55.1 | 317 | 116.6 | 117.1 | ||||
| 371 | 66.6 | 85.0 | 334 | 70.9 | 68.6 | |||
| 441 | 61.8 | 57.5 | 358 | 50.2 | ||||
| 496 | 42.1 | 593 | 65.9 | 96.3 | ||||
| 655 | 58.6 | 126.3 | 600 | 79.6 | ||||
| 780 | 42.9 | 633 | 41.2 | |||||
| ProRS | 34 | 76.2 | 45.0 | 644 | 53.6 | 56.8 | ||
| 126 | 78.2 | 91.0 | 861 | 76.9 | 110.1 | |||
| 420 | 80.7 | 898 | 70.4 | |||||
| 495 | 41.8 | 909 | 108.8 | 104.5 | ||||
| 554 | 56.7 | 57.0 | 926 | 44.9 | 76.2 | |||
| 568 | 78.9 | 930 | 48.3 | 80.0 |
| Name | Sequence | Purpose |
|---|---|---|
| pT5C-Ec-alaS-F | AGAGGAGAAATTACATATGAGCAAGAGCACCGCTG | Construction of pT5C-Ec-alaS |
| pT5C-Ec-alaS-R | TGGTGGTGGTGGTGCTCGAGTGCGGCTTGCAATTTC | |
| Ec-alaS-K74A-F | CTGCGTGCGTGCGGGTGGTGCGCACAACGACCTGGAAAAC | Construction of pT5C-Ec-alaS-K74A |
| Ec-alaS-K74A-R | GTTTTCCAGGTCGTTGTGCGCACCACCCGCACGCACGCAG | |
| Ec-alaS-K74amb-F | CTGCGTGCGTGCGGGTGGTTAGCACAACGACCTGGAAAAC | Construction of pT5C-Ec-alaS-K74amb |
| Ec-alaS-K74amb-R | GTTTTCCAGGTCGTTGTGCTAACCACCCGCACGCACGCAG | |
| pTECH-1960-Nhe-F | GGAAGCTAGCCTGTTGCCCGTCTCACTGGTGAAAAG | Construction of pKTS-AcKRS1-PylT |
| pTECH-1683-Nhe-R | GGAAGCTAGCCTGGCGAAAGGGGGATGTGCTG | |
| cobB-Nde-F | GTCACATATGCTGTCGCGTCGGGGTCATC | Construction of pET15b-cobB-L and pET15b-cobB-S |
| cobB-S-Nde-F | TGCCATATGGAAAAACCAAGAGTACTCGTACTGAC | |
| cobB-Bam-R | GACTGGATCCTTAGGCAATGCTTCCCGCTTTTAATC | |
| Ec-cobB-KO-F | GTGGTGCGGCCTTCCTACATCTAACCGATTAAACAACAGAGGTTGCTATGATTCCGGGGATCCGTCGACC | Disruption of cobB gene |
| Ec-cobB-KO-R | CCCCTTGCAGGCCTGATAAGCGTAGTGCATCAGGCAATGCTTCCCGCTTTTGTAGGCTGGAGCTGCTTCG | |
| cobB-1218-BglII-F | AGCAGATCTGTTCGGCAGCCTGTGTGGTGTG | Construction of pACYC184P-1218-cobB, -417-cobB, -30-cobB, -cobB-L, and -cobB-S |
| cobB-417-BglII-F | AGCAGATCTGATTTCCCGTTACGCCGCTG | |
| cobB-30-BglII-F | AGCAGATCTCATCTAACCGATTAAACAACAGAGGTTGC | |
| cobB-L-BglII-F | CAGAGATCTATGCTGTCGCGTCGGGGTC | |
| cobB-S-BglII-F | CAGAGATCTATGGAAAAACCAAGAGTACTCGTACTG | |
| cobB-XhoI-R | GCTCTCGAGGGCAATGCTTCCCGCTTTTAATCC |
| Plasmids | Description |
|---|---|
| pT5C-Ec-alaS | AlaRS wild type expression |
| pT5C-Ec-alaS-K74A | AlaRS K73A expression |
| pT5C-Ec-alaS-K74amb | AlaRS K73Ac expression |
| pKTS-AcKRS1-PylT | AcK incorporation system |
| pACYC184P | Empty vector for CobB expression analysis |
| pACYC184P-1218-cobB | cobB gene with 1218 nts upstream sequence |
| pACYC184P-417-cobB | cobB gene with 417 nts upstream sequence |
| pACYC184P-30-cobB | cobB gene with 30 nts upstream sequence |
| pACYC184P-cobB-L | cobB gene (long length) ORF |
| pACYC184P-cobB-S | cobB gene (short form) ORF |
| pET15b-cobB-L | CobB-L expression |
| pET15b-cobB-S | CobB-S expression |
| E. coli Strains | Genotype | Source |
|---|---|---|
| DH10B | F−, mcrA, Δ(mrr-hsdRMS-mcrBC), φ80lacZΔM15, ΔlacX74, recA1, endA1, araD139, Δ(ara-leu)7697, galU, galK, λ−, rpsL(StrR), nupG | Invitrogen |
| BL21(DE3) | F−, dcm, ompT, hsdS(rB− mB−), gal, λ(DE3) | Nippon Gene |
| ∆CobB | DH10B cobB::frt | This study |


References
- Cain, J.A.; Solis, N.; Cordwell, S.J. Beyond gene expression: The impact of protein post-translational modifications in bacteria. J. Proteom. 2014, 97, 265–286. [Google Scholar] [CrossRef] [PubMed]
- Ouidir, T.; Kentache, T.; Hardouin, J. Protein lysine acetylation in bacteria: Current state of the art. Proteomics 2016, 16, 301–309. [Google Scholar] [CrossRef] [PubMed]
- Liu, L.; Wang, G.; Song, L.; Lv, B.; Liang, W. Acetylome analysis reveals the involvement of lysine acetylation in biosynthesis of antibiotics in Bacillus amyloliquefaciens. Sci. Rep. 2016, 6, 20108. [Google Scholar] [CrossRef] [PubMed]
- Liu, J.; Wang, Q.; Jiang, X.; Yang, H.; Zhao, D.; Han, J.; Luo, Y.; Xiang, H. Systematic analysis of lysine acetylation in the halophilic archaeon Haloferax mediterr. J. Proteom. Res. 2017, 16, 3229–3241. [Google Scholar] [CrossRef] [PubMed]
- Kosono, S.; Tamura, M.; Suzuki, S.; Kawamura, Y.; Yoshida, A.; Nishiyama, M.; Yoshida, M. Changes in the acetylome and succinylome of Bacillus subtilis in response to carbon source. PLoS ONE 2015, 10, e0131169. [Google Scholar] [CrossRef] [PubMed]
- Kentache, T.; Jouenne, T.; De, E.; Hardouin, J. Proteomic characterization of Nα- and Nε-acetylation in Acinetobacter baumannii. J. Proteom. 2016, 144, 148–158. [Google Scholar] [CrossRef] [PubMed]
- Baeza, J.; Dowell, J.A.; Smallegan, M.J.; Fan, J.; Amador-Noguez, D.; Khan, Z.; Denu, J.M. Stoichiometry of site-specific lysine acetylation in an entire proteome. J. Biol. Chem. 2014, 289, 21326–21338. [Google Scholar] [CrossRef] [PubMed]
- Hentchel, K.L.; Escalante-Semerena, J.C. Acylation of biomolecules in prokaryotes: A widespread strategy for the control of biological function and metabolic stress. Microbiol. Mol. Biol. Rev. 2015, 79, 321–346. [Google Scholar] [CrossRef] [PubMed]
- Zhang, Q.F.; Gu, J.; Gong, P.; Wang, X.D.; Tu, S.; Bi, L.J.; Yu, Z.N.; Zhang, Z.P.; Cui, Z.Q.; Wei, H.P.; et al. Reversibly acetylated lysine residues play important roles in the enzymatic activity of Escherichia coli N-hydroxyarylamine O-acetyltransferase. FEBS J. 2013, 280, 1966–1979. [Google Scholar] [CrossRef] [PubMed]
- Song, L.; Wang, G.; Malhotra, A.; Deutscher, M.P.; Liang, W. Reversible acetylation on Lys501 regulates the activity of RNase II. Nucleic Acids Res. 2016, 44, 1979–1988. [Google Scholar] [CrossRef] [PubMed]
- Thao, S.; Chen, C.S.; Zhu, H.; Escalante-Semerena, J.C. Nε-lysine acetylation of a bacterial transcription factor inhibits its DNA-binding activity. PLoS ONE 2010, 5, e15123. [Google Scholar] [CrossRef] [PubMed]
- Liang, W.; Malhotra, A.; Deutscher, M.P. Acetylation regulates the stability of a bacterial protein: Growth stage-dependent modification of RNase R. Mol. Cell 2011, 44, 160–166. [Google Scholar] [CrossRef] [PubMed]
- Ren, J.; Sang, Y.; Tan, Y.; Tao, J.; Ni, J.; Liu, S.; Fan, X.; Zhao, W.; Lu, J.; Wu, W.; et al. Acetylation of lysine 201 inhibits the DNA-binding ability of PhoP to regulate Salmonella virulence. PLoS Pathog 2016, 12, e1005458. [Google Scholar] [CrossRef] [PubMed]
- Ramakrishnan, R.; Schuster, M.; Bourret, R.B. Acetylation at Lys-92 enhances signaling by the chemotaxis response regulator protein CheY. Proc. Natl. Acad. Sci. USA 1998, 95, 4918–4923. [Google Scholar] [CrossRef] [PubMed]
- Weinert, B.T.; Iesmantavicius, V.; Wagner, S.A.; Scholz, C.; Gummesson, B.; Beli, P.; Nystrom, T.; Choudhary, C. Acetyl-phosphate is a critical determinant of lysine acetylation in E. coli. Mol. Cell 2013, 51, 265–272. [Google Scholar] [CrossRef] [PubMed]
- Kuhn, M.L.; Zemaitaitis, B.; Hu, L.I.; Sahu, A.; Sorensen, D.; Minasov, G.; Lima, B.P.; Scholle, M.; Mrksich, M.; Anderson, W.F.; et al. Structural, kinetic and proteomic characterization of acetyl phosphate-dependent bacterial protein acetylation. PLoS ONE 2014, 9, e94816. [Google Scholar] [CrossRef] [PubMed]
- Schilling, B.; Christensen, D.; Davis, R.; Sahu, A.K.; Hu, L.I.; Walker-Peddakotla, A.; Sorensen, D.J.; Zemaitaitis, B.; Gibson, B.W.; Wolfe, A.J. Protein acetylation dynamics in response to carbon overflow in Escherichia coli. Mol. Microbiol. 2015, 98, 847–863. [Google Scholar] [CrossRef] [PubMed]
- AbouElfetouh, A.; Kuhn, M.L.; Hu, L.I.; Scholle, M.D.; Sorensen, D.J.; Sahu, A.K.; Becher, D.; Antelmann, H.; Mrksich, M.; Anderson, W.F.; et al. The E. coli sirtuin CobB shows no preference for enzymatic and nonenzymatic lysine acetylation substrate sites. Microbiologyopen 2015, 4, 66–83. [Google Scholar] [CrossRef] [PubMed]
- Zhang, J.; Sprung, R.; Pei, J.; Tan, X.; Kim, S.; Zhu, H.; Liu, C.F.; Grishin, N.V.; Zhao, Y. Lysine acetylation is a highly abundant and evolutionarily conserved modification in Escherichia coli. Mol. Cell. Proteom. 2009, 8, 215–225. [Google Scholar] [CrossRef] [PubMed]
- Zhang, K.; Zheng, S.; Yang, J.S.; Chen, Y.; Cheng, Z. Comprehensive profiling of protein lysine acetylation in Escherichia coli. J. Proteom. Res. 2013, 12, 844–851. [Google Scholar] [CrossRef] [PubMed]
- Moras, D. Structural and functional relationships between aminoacyl-tRNA synthetases. Trends Biochem. Sci. 1992, 17, 159–164. [Google Scholar] [CrossRef]
- Ye, Q.; Ji, Q.Q.; Yan, W.; Yang, F.; Wang, E.D. Acetylation of lysine ϵ-amino groups regulates aminoacyl-tRNA synthetase activity in Escherichia coli. J. Biol. Chem. 2017, 292, 10709–10722. [Google Scholar] [CrossRef] [PubMed]
- Venkat, S.; Gregory, C.; Gan, Q.; Fan, C. Biochemical characterization of the lysine acetylation of tyrosyl-tRNA synthetase in Escherichia coli. Chembiochem 2017, 18, 1928–1934. [Google Scholar] [CrossRef] [PubMed]
- Putney, S.D.; Sauer, R.T.; Schimmel, P.R. Purification and properties of alanine tRNA synthetase from Escherichia coli A tetramer of identical subunits. J. Biol. Chem. 1981, 256, 198–204. [Google Scholar] [PubMed]
- Umehara, T.; Kim, J.; Lee, S.; Guo, L.T.; Söll, D.; Park, H.S. N-Acetyl lysyl-tRNA synthetases evolved by a CcdB-based selection possess N-acetyl lysine specificity in vitro and in vivo. FEBS Lett. 2012, 586, 729–733. [Google Scholar] [CrossRef] [PubMed]
- Baba, T.; Ara, T.; Hasegawa, M.; Takai, Y.; Okumura, Y.; Baba, M.; Datsenko, K.A.; Tomita, M.; Wanner, B.L.; Mori, H. Construction of Escherichia coli K-12 in-frame, single-gene knockout mutants: The Keio collection. Mol. Syst. Biol. 2006, 2, 2006.0008. [Google Scholar] [CrossRef] [PubMed]
- Datsenko, K.A.; Wanner, B.L. One-step inactivation of chromosomal genes in Escherichia coli K-12 using PCR products. Proc. Natl. Acad. Sci. USA 2000, 97, 6640–6645. [Google Scholar] [CrossRef] [PubMed]
- Swairjo, M.A.; Otero, F.J.; Yang, X.L.; Lovato, M.A.; Skene, R.J.; McRee, D.E.; Ribas de Pouplana, L.; Schimmel, P. Alanyl-tRNA synthetase crystal structure and design for acceptor-stem recognition. Mol. Cell 2004, 13, 829–841. [Google Scholar] [CrossRef]
- Hill, K.; Schimmel, P. Evidence that the 3′ end of a tRNA binds to a site in the adenylate synthesis domain of an aminoacyl-tRNA synthetase. Biochemistry 1989, 28, 2577–2586. [Google Scholar] [CrossRef] [PubMed]
- Filley, S.J.; Hill, K.A. Amino acid substitutions at position 73 in motif 2 of Escherichia coli alanyl-tRNA synthetase. Arch. Biochem. Biophys. 1993, 307, 46–51. [Google Scholar] [CrossRef] [PubMed]
- Dumas, A.; Lercher, L.; Spicer, C.D.; Davis, B.G. Designing logical codon reassignment—Expanding the chemistry in biology. Chem. Sci. 2015, 6, 50–69. [Google Scholar] [CrossRef] [PubMed]
- Larkin, M.A.; Blackshields, G.; Brown, N.P.; Chenna, R.; McGettigan, P.A.; McWilliam, H.; Valentin, F.; Wallace, I.M.; Wilm, A.; Lopez, R.; et al. Clustal W and Clustal X version 2.0. Bioinformatics 2007, 23, 2947–2948. [Google Scholar] [CrossRef] [PubMed]
- Robert, X.; Gouet, P. Deciphering key features in protein structures with the new ENDscript server. Nucleic Acids Res. 2014, 42, W320–W324. [Google Scholar] [CrossRef] [PubMed]
- Wiedemann, C.; Bellstedt, P.; Gorlach, M. CAPITO—A web server-based analysis and plotting tool for circular dichroism data. Bioinformatics 2013, 29, 1750–1757. [Google Scholar] [CrossRef] [PubMed]
- Tucker, A.C.; Escalante-Semerena, J.C. Biologically active isoforms of CobB sirtuin deacetylase in Salmonella enterica and Erwinia amylovora. J. Bacteriol. 2010, 192, 6200–6208. [Google Scholar] [CrossRef] [PubMed]
- Zhao, K.; Chai, X.; Marmorstein, R. Structure and substrate binding properties of cobB, a Sir2 homolog protein deacetylase from Escherichia coli. J. Mol. Biol. 2004, 337, 731–741. [Google Scholar] [CrossRef] [PubMed]
- Germain, E.; Castro-Roa, D.; Zenkin, N.; Gerdes, K. Molecular mechanism of bacterial persistence by HipA. Mol. Cell. 2013, 52, 248–254. [Google Scholar] [CrossRef] [PubMed]
- Schwartz, M.H.; Waldbauer, J.R.; Zhang, L.; Pan, T. Global tRNA misacylation induced by anaerobiosis and antibiotic exposure broadly increases stress resistance in Escherichia coli. Nucleic Acids Res. 2016, 44, 10292–10303. [Google Scholar] [PubMed]
- Naganuma, M.; Sekine, S.; Chong, Y.E.; Guo, M.; Yang, X.L.; Gamper, H.; Hou, Y.M.; Schimmel, P.; Yokoyama, S. The selective tRNA aminoacylation mechanism based on a single G•U pair. Nature 2014, 510, 507–511. [Google Scholar] [CrossRef] [PubMed]
- Klein, A.H.; Shulla, A.; Reimann, S.A.; Keating, D.H.; Wolfe, A.J. The intracellular concentration of acetyl phosphate in Escherichia coli is sufficient for direct phosphorylation of two-component response regulators. J. Bacteriol. 2007, 189, 5574–5581. [Google Scholar] [CrossRef] [PubMed]
- Pan, J.; Ye, Z.; Cheng, Z.; Peng, X.; Wen, L.; Zhao, F. Systematic analysis of the lysine acetylome in Vibrio parahemolyticus. J. Proteom. Res. 2014, 13, 3294–3302. [Google Scholar] [CrossRef] [PubMed]
- Hornbeck, P.V.; Kornhauser, J.M.; Tkachev, S.; Zhang, B.; Skrzypek, E.; Murray, B.; Latham, V.; Sullivan, M. PhosphoSitePlus: A comprehensive resource for investigating the structure and function of experimentally determined post-translational modifications in man and mouse. Nucleic Acids Res. 2012, 40, D261–D270. [Google Scholar] [CrossRef] [PubMed]
- Castano-Cerezo, S.; Bernal, V.; Blanco-Catala, J.; Iborra, J.L.; Canovas, M. cAMP-CRP co-ordinates the expression of the protein acetylation pathway with central metabolism in Escherichia coli. Mol. Microbiol. 2011, 82, 1110–1128. [Google Scholar] [CrossRef] [PubMed]
- Ho, J.M.; Bakkalbasi, E.; Söll, D.; Miller, C.A. Drugging tRNA aminoacylation. RNA Biol. 2018, 15, 667–677. [Google Scholar] [CrossRef] [PubMed]






© 2018 by the authors. Licensee MDPI, Basel, Switzerland. This article is an open access article distributed under the terms and conditions of the Creative Commons Attribution (CC BY) license (http://creativecommons.org/licenses/by/4.0/).
Share and Cite
Umehara, T.; Kosono, S.; Söll, D.; Tamura, K. Lysine Acetylation Regulates Alanyl-tRNA Synthetase Activity in Escherichia coli. Genes 2018, 9, 473. https://doi.org/10.3390/genes9100473
Umehara T, Kosono S, Söll D, Tamura K. Lysine Acetylation Regulates Alanyl-tRNA Synthetase Activity in Escherichia coli. Genes. 2018; 9(10):473. https://doi.org/10.3390/genes9100473
Chicago/Turabian StyleUmehara, Takuya, Saori Kosono, Dieter Söll, and Koji Tamura. 2018. "Lysine Acetylation Regulates Alanyl-tRNA Synthetase Activity in Escherichia coli" Genes 9, no. 10: 473. https://doi.org/10.3390/genes9100473
APA StyleUmehara, T., Kosono, S., Söll, D., & Tamura, K. (2018). Lysine Acetylation Regulates Alanyl-tRNA Synthetase Activity in Escherichia coli. Genes, 9(10), 473. https://doi.org/10.3390/genes9100473

