Establishment and Molecular Characterization of a Human Stem Cell Line from a Primary Cell Culture Obtained from an Ectopic Calcified Lesion of a Tumoral Calcinosis Patient Carrying a Novel GALNT3 Mutation
Abstract
1. Introduction
2. Materials and Methods
2.1. Isolation of a Primary Cells Culture of TC
2.2. Sphere Formation Assay
2.3. Stem Cell Phenotype Characterization
2.3.1. Colony Forming Unit (CFU) Assay
2.3.2. In Vitro Adipogenesis Differentiation of TC1-SCs
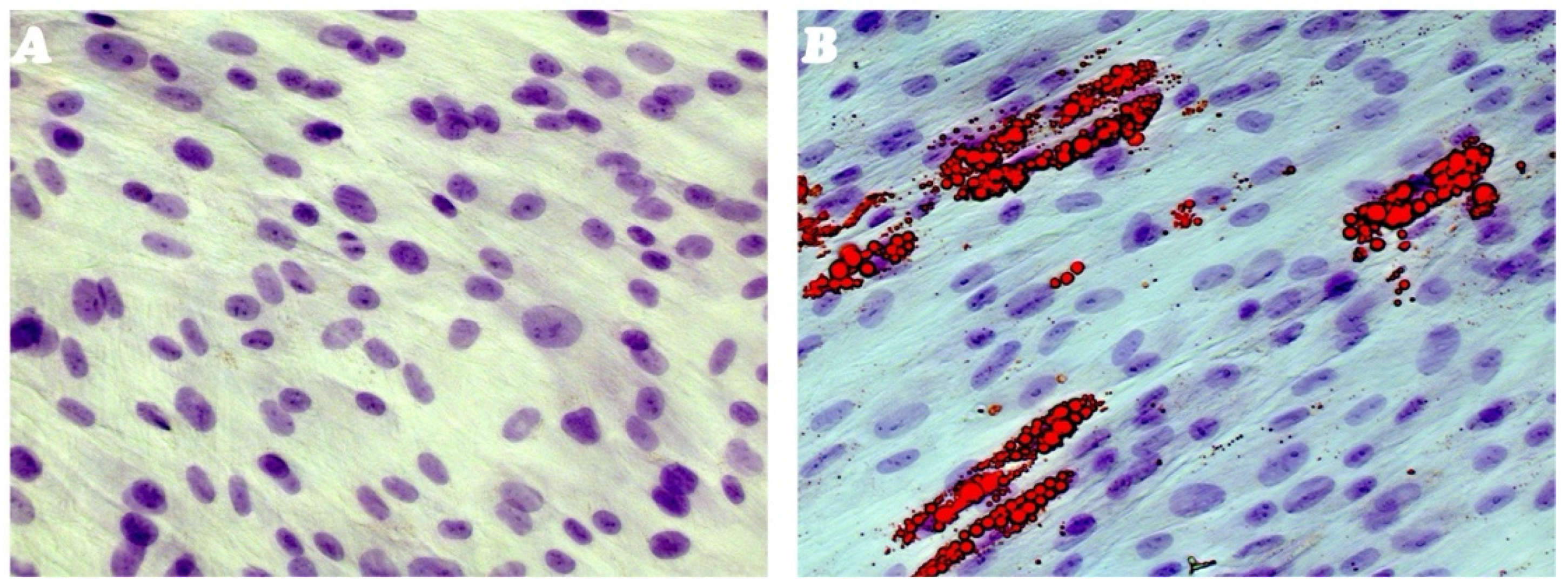
2.3.3. In Vitro Osteogenic Differentiation of TC1-SCs
2.3.4. Immunofluorescence Staining of Mesenchymal Stem Cell Markers
2.3.5. Expression of the Embryonic Stem Cell (ESC) Genes by Real-Time PCR
2.4. Expression of the Osteogenic Marker Genes
2.5. microRNA Expression Analysis
2.6. Statistical Analysis
3. Results
3.1. Establishment of a TC Primary Cell Line and Putative TC1-SCs Line
3.2. In Vitro Characterization of the Established Putative TC1-SCs Line
3.3. Differential Expression of Osteogenic Marker Genes and miRNAs in TC1, TC1-SCs, and PA24 During Osteogenic Induction
4. Discussion
Author Contributions
Funding
Institutional Review Board Statement
Informed Consent Statement
Data Availability Statement
Acknowledgments
Conflicts of Interest
References
- Boyce, A.M.; Lee, A.E.; Roszko, K.L.; Gafni, R.I. Hyperphosphatemic Tumoral Calcinosis: Pathogenesis, Clinical Presentation, and Challenges in Management. Front. Endocrinol. 2020, 11, 293. [Google Scholar] [CrossRef] [PubMed]
- Burkes, E.J., Jr.; Lyles, K.W.; Dolan, E.A.; Giammara, B.; Hanker, J. Dental Lesions in Tumoral Calcinosis. J. Oral Pathol. Med. 1991, 20, 222–227. [Google Scholar] [CrossRef] [PubMed]
- Campagnoli, M.F.; Pucci, A.; Garelli, E.; Carando, A.; Defilippi, C.; Lala, R.; Ingrosso, G.; Dianzani, I.; Forni, M.; Ramenghi, U. Familial Tumoral Calcinosis and Testicular Microlithiasis Associated with a New Mutation of GALNT3 in a White Family. J. Clin. Pathol. 2006, 59, 440–442. [Google Scholar] [CrossRef]
- Specktor, P.; Cooper, J.G.; Indelman, M.; Sprecher, E. Hyperphosphatemic Familial Tumoral Calcinosis Caused by a Mutation in GALNT3 in a European Kindred. J. Hum. Genet. 2006, 51, 487–490. [Google Scholar] [CrossRef]
- Ghanchi, F.; Ramsay, A.; Coupland, S.; Barr, D.; Lee, W.R. Ocular Tumoral Calcinosis. A Clinicopathologic Study. Arch. Ophthalmol. 1996, 114, 341–345. [Google Scholar] [CrossRef] [PubMed]
- Slavin, R.E.; Wen, J.; Kumar, D.; Evans, E.B. Familial Tumoral Calcinosis. A Clinical, Histopathologic, and Ultrastructural Study with an Analysis of Its Calcifying Process and Pathogenesis. Am. J. Surg. Pathol. 1993, 17, 788–802. [Google Scholar] [CrossRef]
- Steinherz, R.; Chesney, R.W.; Eisenstein, B.; Metzker, A.; DeLuca, H.F.; Phelps, M. Elevated Serum Calcitriol Concentrations Do Not Fall in Response to Hyperphosphatemia in Familial Tumoral Calcinosis. Am. J. Dis. Child. 1985, 139, 816–819. [Google Scholar] [CrossRef]
- Olsen, K.M.; Chew, F.S. Tumoral Calcinosis: Pearls, Polemics, and Alternative Possibilities. Radiographics 2006, 26, 871–885. [Google Scholar] [CrossRef]
- Metzker, A.; Eisenstein, B.; Oren, J.; Samuel, R. Tumoral Calcinosis Revisited--Common and Uncommon Features. Report of Ten Cases and Review. Eur. J. Pediatr. 1988, 147, 128–132. [Google Scholar] [CrossRef] [PubMed]
- Lyles, K.W.; Burkes, E.J.; Ellis, G.J.; Lucas, K.J.; Dolan, E.A.; Drezner, M.K. Genetic Transmission of Tumoral Calcinosis: Autosomal Dominant with Variable Clinical Expressivity. J. Clin. Endocrinol. Metab. 1985, 60, 1093–1096. [Google Scholar] [CrossRef]
- Topaz, O.; Shurman, D.L.; Bergman, R.; Indelman, M.; Ratajczak, P.; Mizrachi, M.; Khamaysi, Z.; Behar, D.; Petronius, D.; Friedman, V.; et al. Mutations in GALNT3, Encoding a Protein Involved in O-Linked Glycosylation, Cause Familial Tumoral Calcinosis. Nat. Genet. 2004, 36, 579–581. [Google Scholar] [CrossRef] [PubMed]
- Benet-Pagès, A.; Orlik, P.; Strom, T.M.; Lorenz-Depiereux, B. An FGF23 Missense Mutation Causes Familial Tumoral Calcinosis with Hyperphosphatemia. Hum. Mol. Genet. 2005, 14, 385–390. [Google Scholar] [CrossRef]
- Ichikawa, S.; Lyles, K.W.; Econs, M.J. A Novel GALNT3 Mutation in a Pseudoautosomal Dominant Form of Tumoral Calcinosis: Evidence That the Disorder Is Autosomal Recessive. J. Clin. Endocrinol. Metab. 2005, 90, 2420–2423. [Google Scholar] [CrossRef] [PubMed]
- Chefetz, I.; Heller, R.; Galli-Tsinopoulou, A.; Richard, G.; Wollnik, B.; Indelman, M.; Koerber, F.; Topaz, O.; Bergman, R.; Sprecher, E.; et al. A Novel Homozygous Missense Mutation in FGF23 Causes Familial Tumoral Calcinosis Associated with Disseminated Visceral Calcification. Hum. Genet. 2005, 118, 261–266. [Google Scholar] [CrossRef] [PubMed]
- Larsson, T.; Yu, X.; Davis, S.I.; Draman, M.S.; Mooney, S.D.; Cullen, M.J.; White, K.E. A Novel Recessive Mutation in Fibroblast Growth Factor-23 Causes Familial Tumoral Calcinosis. J. Clin. Endocrinol. Metab. 2005, 90, 2424–2427. [Google Scholar] [CrossRef] [PubMed]
- Masi, L.; Gozzini, A.; Franchi, A.; Campanacci, D.; Amedei, A.; Falchetti, A.; Franceschelli, F.; Marcucci, G.; Tanini, A.; Capanna, R.; et al. A Novel Recessive Mutation of Fibroblast Growth Factor-23 in Tumoral Calcinosis. J. Bone Jt. Surg. Am. 2009, 91, 1190–1198. [Google Scholar] [CrossRef]
- Frishberg, Y.; Topaz, O.; Bergman, R.; Behar, D.; Fisher, D.; Gordon, D.; Richard, G.; Sprecher, E. Identification of a Recurrent Mutation in GALNT3 Demonstrates That Hyperostosis-Hyperphosphatemia Syndrome and Familial Tumoral Calcinosis Are Allelic Disorders. J. Mol. Med. 2005, 83, 33–38. [Google Scholar] [CrossRef] [PubMed]
- Sitara, D.; Razzaque, M.S.; Hesse, M.; Yoganathan, S.; Taguchi, T.; Erben, R.G.; Jüppner, H.; Lanske, B. Homozygous Ablation of Fibroblast Growth Factor-23 Results in Hyperphosphatemia and Impaired Skeletogenesis, and Reverses Hypophosphatemia in Phex-Deficient Mice. Matrix Biol. 2004, 23, 421–432. [Google Scholar] [CrossRef]
- Ten Hagen, K.G.; Fritz, T.A.; Tabak, L.A. All in the Family: The UDP-GalNAc:Polypeptide N-Acetylgalactosaminyltransferases. Glycobiology 2003, 13, 1R–16R. [Google Scholar] [CrossRef] [PubMed]
- Wopereis, S.; Lefeber, D.J.; Morava, E.; Wevers, R.A. Mechanisms in Protein O-Glycan Biosynthesis and Clinical and Molecular Aspects of Protein O-Glycan Biosynthesis Defects: A Review. Clin. Chem. 2006, 52, 574–600. [Google Scholar] [CrossRef]
- Sprecher, E. Familial Tumoral Calcinosis: From Characterization of a Rare Phenotype to the Pathogenesis of Ectopic Calcification. J. Investig. Dermatol. 2010, 130, 652–660. [Google Scholar] [CrossRef] [PubMed]
- Freeze, H.H. Genetic Defects in the Human Glycome. Nat. Rev. Genet. 2006, 7, 537–551. [Google Scholar] [CrossRef] [PubMed]
- Ichikawa, S.; Imel, E.A.; Sorenson, A.H.; Severe, R.; Knudson, P.; Harris, G.J.; Shaker, J.L.; Econs, M.J. Tumoral Calcinosis Presenting with Eyelid Calcifications Due to Novel Missense Mutations in the Glycosyl Transferase Domain of the GALNT3 Gene. J. Clin. Endocrinol. Metab. 2006, 91, 4472–4475. [Google Scholar] [CrossRef][Green Version]
- Garringer, H.J.; Fisher, C.; Larsson, T.E.; Davis, S.I.; Koller, D.L.; Cullen, M.J.; Draman, M.S.; Conlon, N.; Jain, A.; Fedarko, N.S.; et al. The Role of Mutant UDP-N-Acetyl-Alpha-D-Galactosamine-Polypeptide N-Acetylgalactosaminyltransferase 3 in Regulating Serum Intact Fibroblast Growth Factor 23 and Matrix Extracellular Phosphoglycoprotein in Heritable Tumoral Calcinosis. J. Clin. Endocrinol. Metab. 2006, 91, 4037–4042. [Google Scholar] [CrossRef]
- Barbieri, A.M.; Filopanti, M.; Bua, G.; Beck-Peccoz, P. Two Novel Nonsense Mutations in GALNT3 Gene Are Responsible for Familial Tumoral Calcinosis. J. Hum. Genet. 2007, 52, 464–468. [Google Scholar] [CrossRef]
- Dumitrescu, C.E.; Kelly, M.H.; Khosravi, A.; Hart, T.C.; Brahim, J.; White, K.E.; Farrow, E.G.; Nathan, M.H.; Murphey, M.D.; Collins, M.T. A Case of Familial Tumoral Calcinosis/Hyperostosis-Hyperphosphatemia Syndrome Due to a Compound Heterozygous Mutation in GALNT3 Demonstrating New Phenotypic Features. Osteoporos. Int. 2009, 20, 1273–1278. [Google Scholar] [CrossRef]
- Laleye, A.; Alao, M.J.; Gbessi, G.; Adjagba, M.; Marche, M.; Coupry, I.; Redonnet-Vernhet, I.; Lepreux, S.; Ayivi, B.; Darboux, R.B.; et al. Tumoral Calcinosis Due to GALNT3 C.516-2A >T Mutation in a Black African Family. Genet. Couns. 2008, 19, 183–192. [Google Scholar]
- Melhem, R.E.; Najjar, S.S.; Khachadurian, A.K. Cortical Hyperostosis with Hyperphosphatemia: A New Syndrome? J. Pediatr. 1970, 77, 986–990. [Google Scholar] [CrossRef] [PubMed]
- Altman, H.S.; Pomerance, H.H. Cortical Hyperostosis with Hyperphosphatemia. J. Pediatr. 1971, 79, 874–875. [Google Scholar] [CrossRef]
- Mikati, M.A.; Melhem, R.E.; Najjar, S.S. The Syndrome of Hyperostosis and Hyperphosphatemia. J. Pediatr. 1981, 99, 900–904. [Google Scholar] [CrossRef] [PubMed]
- Chen, X.; Fan, S.; Song, E. Noncoding RNAs: New Players in Cancers. Adv. Exp. Med. Biol. 2016, 927, 1–47. [Google Scholar] [CrossRef] [PubMed]
- Calin, G.A.; Dumitru, C.D.; Shimizu, M.; Bichi, R.; Zupo, S.; Noch, E.; Aldler, H.; Rattan, S.; Keating, M.; Rai, K.; et al. Frequent Deletions and Down-Regulation of Micro- RNA Genes miR15 and miR16 at 13q14 in Chronic Lymphocytic Leukemia. Proc. Natl. Acad. Sci. USA 2002, 99, 15524–15529. [Google Scholar] [CrossRef]
- Kong, Y.W.; Ferland-McCollough, D.; Jackson, T.J.; Bushell, M. microRNAs in Cancer Management. Lancet Oncol. 2012, 13, e249–e258. [Google Scholar] [CrossRef]
- Xi, J.J. MicroRNAs in Cancer. Cancer Treat. Res. 2013, 158, 119–137. [Google Scholar] [CrossRef]
- Bravo Vázquez, L.A.; Moreno Becerril, M.Y.; Mora Hernández, E.O.; de León Carmona, G.G.; Aguirre Padilla, M.E.; Chakraborty, S.; Bandyopadhyay, A.; Paul, S. The Emerging Role of MicroRNAs in Bone Diseases and Their Therapeutic Potential. Molecules 2021, 27, 211. [Google Scholar] [CrossRef]
- Leichter, A.L.; Sullivan, M.J.; Eccles, M.R.; Chatterjee, A. MicroRNA Expression Patterns and Signalling Pathways in the Development and Progression of Childhood Solid Tumours. Mol. Cancer 2017, 16, 15. [Google Scholar] [CrossRef]
- Palmini, G.; Marini, F.; Brandi, M.L. What Is New in the miRNA World Regarding Osteosarcoma and Chondrosarcoma? Molecules 2017, 22, 417. [Google Scholar] [CrossRef] [PubMed]
- Verga Falzacappa, M.V.; Ronchini, C.; Reavie, L.B.; Pelicci, P.G. Regulation of Self-Renewal in Normal and Cancer Stem Cells. FEBS J. 2012, 279, 3559–3572. [Google Scholar] [CrossRef] [PubMed]
- Serowoky, M.A.; Arata, C.E.; Crump, J.G.; Mariani, F.V. Skeletal Stem Cells: Insights into Maintaining and Regenerating the Skeleton. Development 2020, 147, dev179325. [Google Scholar] [CrossRef] [PubMed]
- Ma, S.; Lee, T.K.; Zheng, B.-J.; Chan, K.W.; Guan, X.-Y. CD133+ HCC Cancer Stem Cells Confer Chemoresistance by Preferential Expression of the Akt/PKB Survival Pathway. Oncogene 2008, 27, 1749–1758. [Google Scholar] [CrossRef] [PubMed]
- Wu, C.; Wei, Q.; Utomo, V.; Nadesan, P.; Whetstone, H.; Kandel, R.; Wunder, J.S.; Alman, B.A. Side Population Cells Isolated from Mesenchymal Neoplasms Have Tumor Initiating Potential. Cancer Res. 2007, 67, 8216–8222. [Google Scholar] [CrossRef] [PubMed]
- Ma, I.; Allan, A.L. The Role of Human Aldehyde Dehydrogenase in Normal and Cancer Stem Cells. Stem Cell Rev. Rep. 2011, 7, 292–306. [Google Scholar] [CrossRef]
- Awad, O.; Yustein, J.T.; Shah, P.; Gul, N.; Katuri, V.; O’Neill, A.; Kong, Y.; Brown, M.L.; Toretsky, J.A.; Loeb, D.M. High ALDH Activity Identifies Chemotherapy-Resistant Ewing’s Sarcoma Stem Cells That Retain Sensitivity to EWS-FLI1 Inhibition. PLoS ONE 2010, 5, e13943. [Google Scholar] [CrossRef]
- Reynolds, B.A.; Tetzlaff, W.; Weiss, S. A Multipotent EGF-Responsive Striatal Embryonic Progenitor Cell Produces Neurons and Astrocytes. J. Neurosci. 1992, 12, 4565–4574. [Google Scholar] [CrossRef] [PubMed]
- Reynolds, B.A.; Weiss, S. Generation of Neurons and Astrocytes from Isolated Cells of the Adult Mammalian Central Nervous System. Science 1992, 255, 1707–1710. [Google Scholar] [CrossRef] [PubMed]
- Gibbs, C.P.; Kukekov, V.G.; Reith, J.D.; Tchigrinova, O.; Suslov, O.N.; Scott, E.W.; Ghivizzani, S.C.; Ignatova, T.N.; Steindler, D.A. Stem-Like Cells in Bone Sarcomas: Implications for Tumorigenesis. Neoplasia 2005, 7, 967–976. [Google Scholar] [CrossRef]
- Palmini, G.; Zonefrati, R.; Mavilia, C.; Aldinucci, A.; Luzi, E.; Marini, F.; Franchi, A.; Capanna, R.; Tanini, A.; Brandi, M.L. Establishment of Cancer Stem Cell Cultures from Human Conventional Osteosarcoma. J. Vis. Exp. 2016, 116, 53884. [Google Scholar] [CrossRef]
- Masi, L.; Beltrami, G.; Ottanelli, S.; Franceschelli, F.; Gozzini, A.; Zonefrati, R.; Galli, G.; Ciuffi, S.; Mavilia, C.; Giusti, F.; et al. Human Preosteoblastic Cell Culture from a Patient with Severe Tumoral Calcinosis-Hyperphosphatemia Due to a New GALNT3 Gene Mutation: Study of in vitro Mineralization. Calcif. Tissue Int. 2015, 96, 438–452. [Google Scholar] [CrossRef]
- Zhu, S.; Chen, W.; Masson, A.; Li, Y.-P. Cell Signaling and Transcriptional Regulation of Osteoblast Lineage Commitment, Differentiation, Bone Formation, and Homeostasis. Cell Discov. 2024, 10, 1–39. [Google Scholar] [CrossRef] [PubMed]
- Nishida, T.; Kubota, S.; Yokoi, H.; Mukoyama, M.; Takigawa, M. Roles of Matricellular CCN2 Deposited by Osteocytes in Osteoclastogenesis and Osteoblast Differentiation. Sci. Rep. 2019, 9, 10913. [Google Scholar] [CrossRef] [PubMed]
- Livak, K.J.; Schmittgen, T.D. Analysis of Relative Gene Expression Data Using Real-Time Quantitative PCR and the 2(-Delta Delta C(T)) Method. Methods 2001, 25, 402–408. [Google Scholar] [CrossRef] [PubMed]
- Moghaddam, T.; Neshati, Z. Role of microRNAs in Osteogenesis of Stem Cells. J. Cell. Biochem. 2019, 120, 14136–14155. [Google Scholar] [CrossRef]
- Yamaguchi, T.; Sugimoto, T.; Imai, Y.; Fukase, M.; Fujita, T.; Chihara, K. Successful Treatment of Hyperphosphatemic Tumoral Calcinosis with Long-Term Acetazolamide. Bone 1995, 16, 247S–250S. [Google Scholar] [CrossRef] [PubMed]
- Lufkin, E.G.; Wilson, D.M.; Smith, L.H.; Bill, N.J.; DeLuca, H.F.; Dousa, T.P.; Knox, F.G. Phosphorus Excretion in Tumoral Calcinosis: Response to Parathyroid Hormone and Acetazolamide. J. Clin. Endocrinol. Metab. 1980, 50, 648–653. [Google Scholar] [CrossRef] [PubMed]
- Ichikawa, S.; Sorenson, A.H.; Austin, A.M.; Mackenzie, D.S.; Fritz, T.A.; Moh, A.; Hui, S.L.; Econs, M.J. Ablation of the Galnt3 Gene Leads to Low-Circulating Intact Fibroblast Growth Factor 23 (Fgf23) Concentrations and Hyperphosphatemia despite Increased Fgf23 Expression. Endocrinology 2009, 150, 2543–2550. [Google Scholar] [CrossRef]
- Ichikawa, S.; Baujat, G.; Seyahi, A.; Garoufali, A.G.; Imel, E.A.; Padgett, L.R.; Austin, A.M.; Sorenson, A.H.; Pejin, Z.; Topouchian, V.; et al. Clinical Variability of Familial Tumoral Calcinosis Caused by Novel GALNT3 Mutations. Am. J. Med. Genet. A 2010, 152A, 896–903. [Google Scholar] [CrossRef] [PubMed]
- Chan, C.K.F.; Gulati, G.S.; Sinha, R.; Tompkins, J.V.; Lopez, M.; Carter, A.C.; Ransom, R.C.; Reinisch, A.; Wearda, T.; Murphy, M.; et al. Identification of the Human Skeletal Stem Cell. Cell 2018, 175, 43–56.e21. [Google Scholar] [CrossRef] [PubMed]
- Shalhoub, V.; Ward, S.C.; Sun, B.; Stevens, J.; Renshaw, L.; Hawkins, N.; Richards, W.G. Fibroblast Growth Factor 23 (FGF23) and Alpha-Klotho Stimulate Osteoblastic MC3T3.E1 Cell Proliferation and Inhibit Mineralization. Calcif. Tissue Int. 2011, 89, 140–150. [Google Scholar] [CrossRef] [PubMed]
- Palmini, G.; Romagnoli, C.; Donati, S.; Zonefrati, R.; Galli, G.; Marini, F.; Iantomasi, T.; Aldinucci, A.; Leoncini, G.; Franchi, A.; et al. Analysis of a Preliminary microRNA Expression Signature in a Human Telangiectatic Osteogenic Sarcoma Cancer Cell Line. Int. J. Mol. Sci. 2021, 22, 1163. [Google Scholar] [CrossRef] [PubMed]
- Mitxitorena, I.; Infante, A.; Gener, B.; Rodríguez, C.I. Suitability and Limitations of Mesenchymal Stem Cells to Elucidate Human Bone Illness. World J. Stem Cells 2019, 11, 578–593. [Google Scholar] [CrossRef] [PubMed]
- Clarke, M.F.; Dick, J.E.; Dirks, P.B.; Eaves, C.J.; Jamieson, C.H.M.; Jones, D.L.; Visvader, J.; Weissman, I.L.; Wahl, G.M. Cancer Stem Cells--Perspectives on Current Status and Future Directions: AACR Workshop on Cancer Stem Cells. Cancer Res. 2006, 66, 9339–9344. [Google Scholar] [CrossRef] [PubMed]
- Bonnet, D.; Dick, J.E. Human Acute Myeloid Leukemia Is Organized as a Hierarchy That Originates from a Primitive Hematopoietic Cell. Nat. Med. 1997, 3, 730–737. [Google Scholar] [CrossRef] [PubMed]
- Lapidot, T.; Sirard, C.; Vormoor, J.; Murdoch, B.; Hoang, T.; Caceres-Cortes, J.; Minden, M.; Paterson, B.; Caligiuri, M.A.; Dick, J.E. A Cell Initiating Human Acute Myeloid Leukaemia after Transplantation into SCID Mice. Nature 1994, 367, 645–648. [Google Scholar] [CrossRef]
- Visvader, J.E.; Lindeman, G.J. Cancer Stem Cells in Solid Tumours: Accumulating Evidence and Unresolved Questions. Nat. Rev. Cancer 2008, 8, 755–768. [Google Scholar] [CrossRef]
- Tanaka, H.; Mine, T.; Ogasa, H.; Taguchi, T.; Liang, C.T. Expression of RANKL/OPG during Bone Remodeling in Vivo. Biochem. Biophys. Res. Commun. 2011, 411, 690–694. [Google Scholar] [CrossRef]
- Belaya, Z.E.; Grebennikova, T.A.; Melnichenko, G.A.; Nikitin, A.G.; Solodovnikov, A.G.; Brovkina, O.I.; Grigoriev, A.U.; Rozhinskaya, L.Y.; Dedov, I.I. Effects of Endogenous Hypercortisolism on Bone mRNA and microRNA Expression in Humans. Osteoporos. Int. 2018, 29, 211–221. [Google Scholar] [CrossRef] [PubMed]
- Gennari, L.; Bianciardi, S.; Merlotti, D. MicroRNAs in Bone Diseases. Osteoporos. Int. 2017, 28, 1191–1213. [Google Scholar] [CrossRef] [PubMed]
- Jones, T.L.; Esa, M.S.; Li, K.H.C.; Krishnan, S.R.G.; Elgallab, G.M.; Pearce, M.S.; Young, D.A.; Birrell, F.N. Osteoporosis, Fracture, Osteoarthritis & Sarcopenia: A Systematic Review of Circulating microRNA Association. Bone 2021, 152, 116068. [Google Scholar] [CrossRef] [PubMed]
- Grillari, J.; Mäkitie, R.E.; Kocijan, R.; Haschka, J.; Vázquez, D.C.; Semmelrock, E.; Hackl, M. Circulating miRNAs in Bone Health and Disease. Bone 2021, 145, 115787. [Google Scholar] [CrossRef] [PubMed]
- Li, S.; Hu, C.; Li, J.; Liu, L.; Jing, W.; Tang, W.; Tian, W.; Long, J. Effect of miR-26a-5p on the Wnt/Ca(2+) Pathway and Osteogenic Differentiation of Mouse Adipose-Derived Mesenchymal Stem Cells. Calcif. Tissue Int. 2016, 99, 174–186. [Google Scholar] [CrossRef]
- Su, X.; Liao, L.; Shuai, Y.; Jing, H.; Liu, S.; Zhou, H.; Liu, Y.; Jin, Y. MiR-26a Functions Oppositely in Osteogenic Differentiation of BMSCs and ADSCs Depending on Distinct Activation and Roles of Wnt and BMP Signaling Pathway. Cell Death Dis. 2015, 6, e1851. [Google Scholar] [CrossRef] [PubMed]
- Luzi, E.; Marini, F.; Sala, S.C.; Tognarini, I.; Galli, G.; Brandi, M.L. Osteogenic Differentiation of Human Adipose Tissue-Derived Stem Cells Is Modulated by the miR-26a Targeting of the SMAD1 Transcription Factor. J. Bone Min. Res. 2008, 23, 287–295. [Google Scholar] [CrossRef] [PubMed]
- Kim, K.; Kim, J.H.; Kim, I.; Lee, J.; Seong, S.; Park, Y.-W.; Kim, N. MicroRNA-26a Regulates RANKL-Induced Osteoclast Formation. Mol. Cells 2015, 38, 75–80. [Google Scholar] [CrossRef] [PubMed]
- Takigawa, M. CCN2: A Master Regulator of the Genesis of Bone and Cartilage. J. Cell Commun. Signal 2013, 7, 191–201. [Google Scholar] [CrossRef] [PubMed]











| Gene | Oligonucleotides | Primer Sequence (5′–3′) | Amplicon Size (bp) | Ta (°C) |
|---|---|---|---|---|
| β-actin | Forward Reverse | AGCCTCGCCTTTGCCGA CTGGTGCCTGGGGCG | 174 | 54 |
| POU5F1 | Forward Reverse | GGGAGAGCTAGGGAAAGA TCCTTCCTTAGTGAATGAAGAACT | 77 | 60 |
| Nanog | Forward Reverse | CCCAGCTGTGTGTACTCAAT GGTTCAGGATGTTGGAGAGTT | 87 | 60 |
| KLF4 | Forward Reverse | CGGGAAGGGAGAAGACACT AGTCGCTTCATGTGGGAGA | 79 | 60 |
| GAPDH | Forward Probe Reverse | AATCCGTTGACTCCGACCTTC /56-FAM/CCACATCGC/ZEN/TCAGACACCATGGG/3IABkFQ/ ACAGTACAGCCGCATCTTC | 179 | 58 |
| ALP | Forward Probe Reverse | CATACAGGATGGCAGTGAAGG /56-FAM/TTCTTGTCT/ZEN/GTGTCACTCAGCATGGG/3IABkFQ/ CCCGTGGCAACTCTATCTTTG | 78 | 62 |
| RUNX2 | Forward Probe Reverse | CTCACGTCGCTCATTTTGC /56-FAM/TCTTTTGGA/ZEN/TCCGAGCACCAGCC/3IABkFQ/ AGGGACTATGGCATCAAACAG | 135 | 58 |
| OPG | Forward Probe Reverse | GAAGGTGAGGTTAGCATGTCC /56-FAM/TGTGAAAAC/ZEN/AGCGTGCAGCGG/3IABkFQ/ GCAACACAGCTCACAAGAAC | 151 | 60 |
| COL1A1 | Forward Probe Reverse | CCAGCCACAAAGAGTCTACAT ATGTCCCACCAATCACCTGCGTA CGGGTTTCCACACGTCTC | 202 | 58 |
| CCN2 | Forward Probe Reverse | GAGCAGCTGCAAGTACCA /56-FAM/TGTGCAGCA/ZEN/TGGACGTTCGTCT/3IABkFQ/ ACTCCTCGCAGCATTTCC | 140 | 54 |
| OCN | Forward Probe Reverse | AGCTCACACACCTCCCT /56-FAM/TCCCCTACC/ZEN/CGGATCCCCT/3IABkFQ/ 5′-CGCTACCTGTATCAATGGCTG-3′ | 77 | 57 |
Disclaimer/Publisher’s Note: The statements, opinions and data contained in all publications are solely those of the individual author(s) and contributor(s) and not of MDPI and/or the editor(s). MDPI and/or the editor(s) disclaim responsibility for any injury to people or property resulting from any ideas, methods, instructions or products referred to in the content. |
© 2025 by the authors. Licensee MDPI, Basel, Switzerland. This article is an open access article distributed under the terms and conditions of the Creative Commons Attribution (CC BY) license (https://creativecommons.org/licenses/by/4.0/).
Share and Cite
Donati, S.; Palmini, G.; Aurilia, C.; Falsetti, I.; Marini, F.; Galli, G.; Zonefrati, R.; Iantomasi, T.; Margheriti, L.; Franchi, A.; et al. Establishment and Molecular Characterization of a Human Stem Cell Line from a Primary Cell Culture Obtained from an Ectopic Calcified Lesion of a Tumoral Calcinosis Patient Carrying a Novel GALNT3 Mutation. Genes 2025, 16, 263. https://doi.org/10.3390/genes16030263
Donati S, Palmini G, Aurilia C, Falsetti I, Marini F, Galli G, Zonefrati R, Iantomasi T, Margheriti L, Franchi A, et al. Establishment and Molecular Characterization of a Human Stem Cell Line from a Primary Cell Culture Obtained from an Ectopic Calcified Lesion of a Tumoral Calcinosis Patient Carrying a Novel GALNT3 Mutation. Genes. 2025; 16(3):263. https://doi.org/10.3390/genes16030263
Chicago/Turabian StyleDonati, Simone, Gaia Palmini, Cinzia Aurilia, Irene Falsetti, Francesca Marini, Gianna Galli, Roberto Zonefrati, Teresa Iantomasi, Lorenzo Margheriti, Alessandro Franchi, and et al. 2025. "Establishment and Molecular Characterization of a Human Stem Cell Line from a Primary Cell Culture Obtained from an Ectopic Calcified Lesion of a Tumoral Calcinosis Patient Carrying a Novel GALNT3 Mutation" Genes 16, no. 3: 263. https://doi.org/10.3390/genes16030263
APA StyleDonati, S., Palmini, G., Aurilia, C., Falsetti, I., Marini, F., Galli, G., Zonefrati, R., Iantomasi, T., Margheriti, L., Franchi, A., Beltrami, G., Masi, L., Moro, A., & Brandi, M. L. (2025). Establishment and Molecular Characterization of a Human Stem Cell Line from a Primary Cell Culture Obtained from an Ectopic Calcified Lesion of a Tumoral Calcinosis Patient Carrying a Novel GALNT3 Mutation. Genes, 16(3), 263. https://doi.org/10.3390/genes16030263

