Usefulness of DNA Obtained from FFPE Tissue Sections Stained with Masson’s Trichrome in Forensic Identification: A Pilot Study
Abstract
1. Introduction
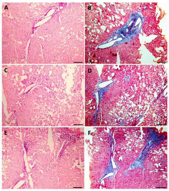
2. Materials and Methods
3. Results
4. Discussion
5. Conclusions
Supplementary Materials
Author Contributions
Funding
Institutional Review Board Statement
Informed Consent Statement
Data Availability Statement
Conflicts of Interest
Abbreviations
| bp | Base pairs |
| °C | Degrees Celsius |
| CT | Cycle threshold |
| DI | Degradation index |
| DNA | Deoxyribonucleic acid |
| DTT | Dithiothreitol |
| FFPE | Formalin-fixed paraffin-embedded |
| H&E | Hematoxylin and eosin |
| IPC | Internal PCR control |
| µg | Micrograms |
| µL | Microliters |
| mL | Milliliters |
| MT | Masson’s trichrome |
| ng | Nanograms |
| NTC | Non-template control |
| pH | Negative logarithm of the hydrogen ion concentration |
| PCR | Polymerase chain reaction |
| R2 | Correlation coefficient |
| RFU | Relative fluorescence units |
| RMP | Random match probability |
| STR | Short tandem repeat |
References
- Farrugia, A.; Keyser, C.; Ludes, B. Efficiency evaluation of a DNA extraction and purification protocol on archival formalin-fixed and paraffin-embedded tissue. Forensic Sci. Int. 2010, 194, e25–e28. [Google Scholar] [CrossRef]
- Funabashi, K.S.; Barcelos, D.; Visoná, I.; e Silva, M.S.; e Sousa, M.L.; de Franco, M.F.; Iwamura, E.S. DNA extraction and molecular analysis of non-tumoral liver, spleen, and brain from autopsy samples: The effect of formalin fixation and paraffin embedding. Pathol. Res. Pract. 2012, 208, 584–591. [Google Scholar] [CrossRef]
- Guyard, A.; Boyez, A.; Pujals, A.; Robe, C.; Tran Van Nhieu, J.; Allory, Y.; Moroch, J.; Georges, O.; Fournet, J.C.; Zafrani, E.S.; et al. DNA degrades during storage in formalin-fixed and paraffin-embedded tissue blocks. Virchows. Arch. 2017, 471, 491–500. [Google Scholar] [CrossRef] [PubMed]
- Vitošević, K.; Todorović, M.; Slović, Ž.; Varljen, T.; Matić, S.; Todorović, D. DNA isolated from formalin-fixed paraffin-embedded healthy tissue after 30 years of storage can be used for forensic studies. Forensic Sci. Med. Pathol. 2021, 17, 47–57. [Google Scholar] [CrossRef]
- Reid, K.M.; Maistry, S.; Ramesar, R.; Heathfield, L.J. A review of the optimisation of the use of formalin fixed paraffin embedded tissue for molecular analysis in a forensic post-mortem setting. Forensic Sci. Int. 2017, 280, 181–187. [Google Scholar] [CrossRef]
- Sanders, C.T.; Sanchez, N.; Ballantyne, J.; Peterson, D.A. Laser microdissection separation of pure spermatozoa from epithelial cells for short tandem repeat analysis. J. Forensic Sci. 2006, 51, 748–757. [Google Scholar] [CrossRef]
- Simons, J.L.; Vintiner, S.K. Effects of histological staining on the analysis of human DNA from archived slides. J. Forensic Sci. 2011, 56 (Suppl. 1), S223–S228. [Google Scholar] [CrossRef] [PubMed]
- Morikawa, T.; Shima, K.; Kuchiba, A.; Yamauchi, M.; Tanaka, N.; Imamura, Y.; Liao, X.; Qian, Z.R.; Brahmandam, M.; Longtine, J.A.; et al. No evidence for interference of h&e staining in DNA testing: Usefulness of DNA extraction from H&E-stained archival tissue sections. Am. J. Clin. Pathol. 2012, 138, 122–129. [Google Scholar] [PubMed]
- Zhao, Y.; Cai, L.; Zhang, X.; Zhang, H.; Cai, L.; Zhou, L.; Huang, B.; Qian, J. Hematoxylin and eosin staining helps reduce maternal contamination in short tandem repeat genotyping for hydatidiform mole diagnosis. Int. J. Gynecol. Pathol. 2024, 43, 253–263. [Google Scholar] [CrossRef]
- Luna, L. Manual of Histologic Staining Methods of the AFIP, 3rd ed.; McGraw-Hill: New York, NY, USA, 1968; pp. 94–95. [Google Scholar]
- Najafian, B.; Lusco, M.A.; Alpers, C.E.; Fogo, A.B. Approach to Kidney Biopsy: Core Curriculum 2022. Am. J. Kidney Dis. 2022, 80, 119–131. [Google Scholar] [CrossRef]
- Choi, J.H. Histological and molecular evaluation of liver biopsies: A practical and updated review. Int. J. Mol. Sci. 2025, 26, 7729. [Google Scholar] [CrossRef]
- Chiu, Y.H.; Spierings, J.; van Laar, J.M.; de Vries-Bouwstra, J.K.; van Dijk, M.; Goldschmeding, R. Association of endothelial to mesenchymal transition and cellular senescence with fibrosis in skin biopsies of systemic sclerosis patients: A cross-sectional study. Clin. Exp. Rheumatol. 2023, 41, 1612–1617. [Google Scholar] [CrossRef] [PubMed]
- Makovická, M.; Durcová, B.; Vrbenská, A.; Makovický, P.; Michalčová, P.; Kráľová, K.; Muri, J. Histopathological aspects of usual interstitial pneumonia in patients with systemic connective tissue diseases. Histol. Histopathol. 2025, 40, 49–56. [Google Scholar]
- Zunder, S.M.; Gelderblom, H.; Tollenaar, R.A.; Mesker, W.E. The significance of stromal collagen organization in cancer tissue: An in-depth discussion of literature. Crit. Rev. Oncol. Hematol. 2020, 151, 102907. [Google Scholar] [CrossRef]
- Ryota, M. Techniques of trichrome stains in histopathology and decoding fibrosis in liver, heart, and lungs. J. Interdiscip. Histopathol. 2023, 11, 1–2. [Google Scholar]
- Malik, A.; Kulaar, J.; Shukla, R.; Dutta, V. Triple protozoal enteropathy of the small intestine in an immunocompromised male: A rare histopathology report. Indian J. Sex. Transm. Dis. AIDS 2013, 34, 119–122. [Google Scholar] [CrossRef] [PubMed]
- Wick, M.R. Diagnostic histochemistry: A historical perspective. Semin. Diagn. Pathol. 2018, 35, 354–359. [Google Scholar] [CrossRef] [PubMed]
- Cerda-Flores, R.M.; Budowle, B.; Jin, L.; Barton, S.A.; Deka, R.; Chakraborty, R. Maximum likelihood estimates of admixture in Northeastern Mexico using 13 short tandem repeat loci. Am. J. Hum. Biol. 2002, 14, 429–439. [Google Scholar] [CrossRef]
- Rubi-Castellanos, R.; Anaya-Palafox, M.; Mena-Rojas, E.; Bautista-España, D.; Muñoz-Valle, J.F.; Rangel-Villalobos, H. Genetic data of 15 autosomal STRs (Identifiler kit) of three Mexican Mestizo population samples from the States of Jalisco (West), Puebla (Center), and Yucatan (Southeast). Forensic Sci. Int. Genet. 2009, 3, e71–e76. [Google Scholar] [CrossRef]
- Mielonen, O.I.; Pratas, D.; Hedman, K.; Sajantila, A.; Perdomo, M.F. Detection of low-copy human virus DNA upon prolonged formalin fixation. Viruses 2022, 14, 133. [Google Scholar] [CrossRef]
- Adolfsson, E.; Kling, D.; Gunnarsson, C.; Jonasson, J.; Gréen, H.; Gréen, A. Whole exome sequencing of FFPE samples-expanding the horizon of forensic molecular autopsies. Int. J. Legal Med. 2023, 137, 1215–1234. [Google Scholar] [CrossRef]
- Kocjan, B.J.; Hošnjak, L.; Poljak, M. Detection of alpha human papillomaviruses in archival formalin-fixed, paraffin-embedded (FFPE) tissue specimens. J. Clin. Virol. 2016, 76 (Suppl. 1), S88–S97. [Google Scholar] [CrossRef]
- Lin, Y.; Gryazeva, T.; Wang, D.; Zhou, B.; Um, S.Y.; Eng, L.S.; Ruiter, K.; Rojas, L.; Williams, N.; Sampson, B.A.; et al. Using postmortem formalin fixed paraffin-embedded tissues for molecular testing of sudden cardiac death: A cautionary tale of utility and limitations. Forensic Sci. Int. 2020, 308, 110177. [Google Scholar] [CrossRef]
- Viljoen, R.; Reid, K.M.; Mole, C.G.; Rangwaga, M.; Heathfield, L.J. Towards molecular autopsies: Development of a FFPE tissue DNA extraction workflow. Sci. Justice 2022, 62, 137–144. [Google Scholar] [CrossRef]
- Watanabe, N.; Umezu, T.; Kyushiki, M.; Ichimura, K.; Nakazawa, A.; Kuroda, M. Optimal DNA quality preservation process for comprehensive genomic testing of pediatric clinical autopsy formalin-fixed, paraffin-embedded tissues. Pol. J. Pathol. 2022, 73, 255–263. [Google Scholar] [CrossRef]
- Sato, Y.; Sugie, R.; Tsuchiya, B.; Kameya, T.; Natori, M.; Mukai, K. Comparison of the DNA extraction methods for polymerase chain reaction amplification from formalin-fixed and paraffin-embedded tissues. Diagn. Mol. Pathol. 2001, 10, 265–271. [Google Scholar] [CrossRef] [PubMed]
- Bonin, S.; Petrera, F.; Niccolini, B.; Stanta, G. PCR analysis in archival postmortem tissues. Mol. Pathol. 2003, 56, 184–186. [Google Scholar] [CrossRef]
- Forensic DNA Analysis: A Primer for Courts. The Royal Society of Edinburgh. Available online: https://royalsociety.org/~/media/about-us/programmes/science-and-law/royal-society-forensic-dna-analysis-primer-for-courts.pdf (accessed on 15 October 2025).
- DNA Evidence Considered. What Is a Matched Individual? The Public Defenders. Available online: https://publicdefenders.nsw.gov.au/resources-and-papers/papers-by-public-defenders/dna-evidence-considered.html?utm#E.4 (accessed on 15 October 2025).
- Gürel, İ.; Aşıcıoğlu, F.; Ersoy, G.; Bülbül, Ö.; Öztürk, T.; Filoğlu, G. InDEL instability in two different tumoral tissues and its forensic significance. Forensic Sci. Med. Pathol. 2024, 20, 1241–1250. [Google Scholar] [CrossRef]
- Benerini Gatta, L.; Cadei, M.; Balzarini, P.; Castriciano, S.; Paroni, R.; Verzeletti, A.; Cortellini, V.; De Ferrari, F.; Grigolato, P. Application of alternative fixatives to formalin in diagnostic pathology. Eur. J. Histochem. 2012, 56, e12. [Google Scholar] [CrossRef] [PubMed]
- Tsai, L.C.; Lee, C.C.; Chen, C.C.; Lee, J.C.; Wang, S.M.; Huang, N.E.; Linacre, A.; Hsieh, H.M. The influence of selected fingerprint enhancement techniques on forensic DNA typing of epithelial cells deposited on porous surfaces. J. Forensic Sci. 2016, 61 (Suppl. 1), S221–S225. [Google Scholar] [CrossRef] [PubMed]
- Singh, V.M.; Salunga, R.C.; Huang, V.J.; Tran, Y.; Erlander, M.; Plumlee, P.; Peterson, M.R. Analysis of the effect of various decalcification agents on the quantity and quality of nucleic acid (DNA and RNA) recovered from bone biopsies. Ann. Diagn. Pathol. 2013, 17, 322–326. [Google Scholar] [CrossRef]
- Robino, C.; Pazzi, M.; Di Vella, G.; Martinelli, D.; Mazzola, L.; Ricci, U.; Testi, R.; Vincenti, M. Evaluation of DNA typing as a positive identification method for soft and hard tissues immersed in strong acids. Leg. Med. 2015, 17, 569–575. [Google Scholar] [CrossRef] [PubMed]
- An, R.; Jia, Y.; Wan, B.; Zhang, Y.; Dong, P.; Li, J.; Liang, X. Non-enzymatic depurination of nucleic acids: Factors and mechanisms. PLoS ONE 2014, 9, e115950. [Google Scholar] [CrossRef] [PubMed]
- Nagai, M.; Minegishi, K.; Komada, M.; Tsuchiya, M.; Kameda, T.; Yamada, S. Extraction of DNA from human embryos after long-term preservation in formalin and Bouin’s solutions. Congenit. Anom. 2016, 56, 112–118. [Google Scholar] [CrossRef] [PubMed]



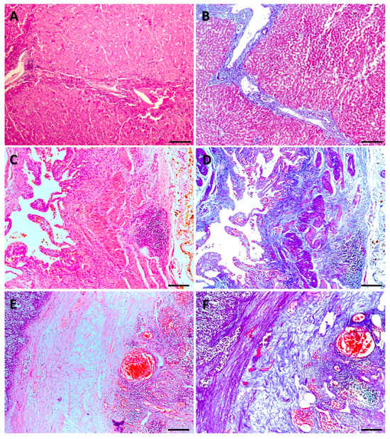
| Pathological Diagnosis | Year of Processing | Stain Technique | Sample ID |
|---|---|---|---|
| Liver focal nodular hyperplasia | 2024 | H&E | 1HE |
| MT | 1MT | ||
| Acute cholecystitis with lithiasis | 2024 | H&E | 2HE |
| MT | 2MT | ||
| Acute appendicitis with peritonitis | 2024 | H&E | 3HE |
| MT | 3MT | ||
| Macro- and microvesicular steatosis | 2001 | H&E | 4HE |
| MT | 4MT | ||
| Macro- and microvesicular steatosis | 2001 | H&E | 5HE |
| MT | 5MT | ||
| Macro- and microvesicular steatosis | 2001 | H&E | 6HE |
| MT | 6MT |
| Sample | DNA Concentration (ng/µL) | Degradation Index | SA CT | LA CT |
|---|---|---|---|---|
| 1HE | 1.72 | 86 | 26 | 28 |
| 1MT | 0.22 | ---- | 29 | 37 |
| 2HE | 1.03 | 2 | 26 | 23 |
| 2MT | 0.69 | 69 | 27 | 29 |
| 3HE | 22.74 | 11 | 22 | 21 |
| 3MT | 5.26 | ---- | 24 | 30 |
| 4HE | 0.71 | ---- | 27 | 30 |
| 4MT | 0.00 | ---- | 36 | 33 |
| 5HE | 0.40 | ---- | 27 | 29 |
| 5MT | 0.00 | ---- | 35 | 36 |
| 6HE | 0.20 | ---- | 28 | 34 |
| 6MT | 0.00 | ---- | 33 | 36 |
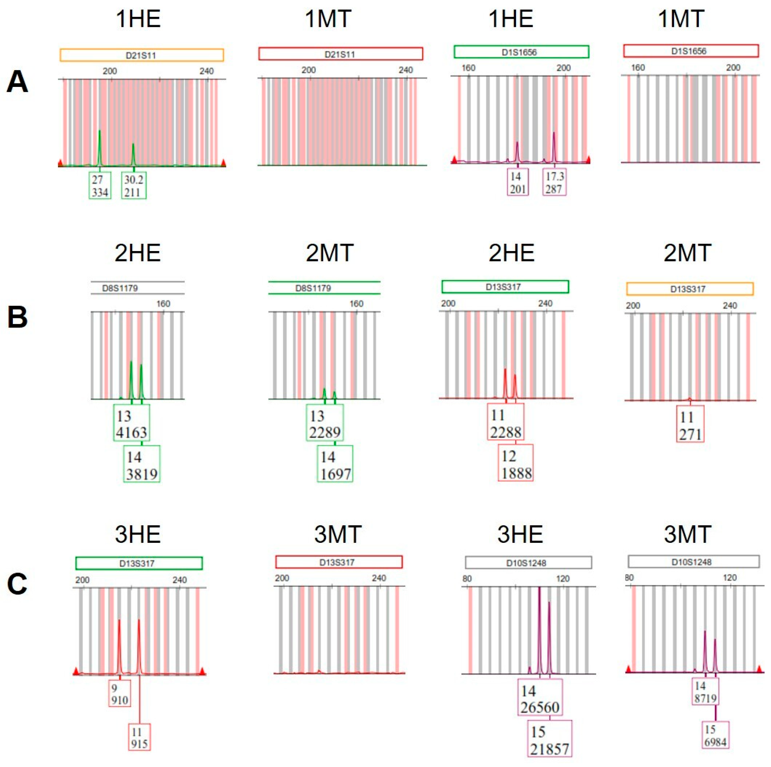
| Locus | 1HE | 1MT | 2HE | 2MT | 3HE | 3MT |
|---|---|---|---|---|---|---|
| D3S1358 | 15 | 15 | 16–18 | 16–18 | 15 | 15 |
| vWA | 16–18 | - | 16–17 | 16–17 | 14–18 | - |
| D16S539 | - | - | 9–12 | 9 | 9–11 | - |
| CSF1PO | - | - | 11 | - | 11–13 | - |
| TPOX | - | - | 8–12 | - | 11 | - |
| D8S1179 | 13–15 | - | 13–14 | 13–14 | 13–14 | 13–14 |
| D21S11 | 27–30.2 | - | 31–31.2 | 31–31.2 | 28–30 | - |
| D18S51 | - | - | 14–18 | - | 13 | - |
| D2S441 | 10 | 10 | 10–11 | 10–11 | 11 | 11 |
| D19S433 | 13.2–14 | 13.2–14 | 13.2–15.2 | 13.2–15.2 | 12–14 | 12–14 |
| TH01 | 6–7 | - | 7 | 7 | 7–9.3 | 7–9.3 |
| FGA | 25–26 | - | 22–28 | 22–28 | 23–25 | - |
| D22S1045 | 15 | 15 | 15–16 | 15–16 | 16–17 | 16–17 |
| D5S818 | 11–12 | - | 11–12 | 11–12 | 11 | 11 |
| D13S317 | 9–10 | - | 11–12 | 11 | 9–11 | - |
| D7S820 | - | - | 11–12 | - | 8–9 | - |
| SE33 | - | - | 27.2–28.2 | 27.2–28.2 | 18–26.2 | - |
| D10S1248 | 13–14 | 13–14 | 15 | 15 | 14–15 | 14–15 |
| D1S1656 | 14–17.3 | - | 16–17 | 16–17 | 14–18.3 | - |
| D12S391 | - | - | 18–19 | 18–19 | 19–23 | - |
| D2S1338 | - | - | 18–19 | - | 20 | - |
| Amelogenin | XY | XY | XY | XY | XX | XX |
| Number of alleles detected | 25 | 9 | 41 | 30 | 38 | 15 |
| RMP | 6.00 × 10−16 | 7.91 × 10−5 | 5.88 × 10−27 | 6.17 × 10−22 | 7.53 × 10−29 | 4.70 × 10−8 |
| Locus | 4HE | 5HE | 6HE |
|---|---|---|---|
| D3S1358 | 15–16 | 15–18 | 16–17 |
| vWA | 16–17 | 16–22 | - |
| D16S539 | - | - | - |
| CSF1PO | - | - | - |
| TPOX | - | - | - |
| D8S1179 | 13 | 12–13 | 12–13 |
| D21S11 | 29 | - | - |
| D18S51 | - | - | - |
| D2S441 | 11–11.3 | 14–15 | 11–11.3 |
| D19S433 | 14 | 12–14 | 14 |
| TH01 | 9.3 | 9–9.3 | - |
| FGA | 21 | 21 | - |
| D22S1045 | 15–16 | 15 | 11–17 |
| D5S818 | 12–13 | 11–12 | 11 |
| D13S317 | 11 | - | - |
| D7S820 | - | - | - |
| SE33 | - | - | - |
| D10S1248 | 13–14 | 13–15 | 15–16 |
| D1S1656 | 16 | 12–14 | - |
| D12S391 | 19 | 21 | - |
| D2S1338 | - | - | - |
| Amelogenin | XY | XX | XY |
| Number of alleles detected | 22 | 23 | 14 |
| RMP | 7.16 × 10−17 | 5.90 × 10−19 | 5.12 × 10−10 |
| Reagent | Acid(s) |
|---|---|
| Bouin’s solution | Picric acid Glacial acetic acid |
| Weigert’s iron hematoxylin | Hydrochloric acid |
| Biebrich scarlet | Glacial acetic acid |
| Differentiating/mordant solution | Phosphomolybdic acid Phosphotungstic acid |
| Aniline blue | Glacial acetic acid |
| Differentiating solution | Glacial acetic acid |
Disclaimer/Publisher’s Note: The statements, opinions and data contained in all publications are solely those of the individual author(s) and contributor(s) and not of MDPI and/or the editor(s). MDPI and/or the editor(s) disclaim responsibility for any injury to people or property resulting from any ideas, methods, instructions or products referred to in the content. |
© 2025 by the authors. Licensee MDPI, Basel, Switzerland. This article is an open access article distributed under the terms and conditions of the Creative Commons Attribution (CC BY) license (https://creativecommons.org/licenses/by/4.0/).
Share and Cite
Chávez-Briones, M.-d.-L.; Ancer-Arellano, A.; Miranda-Maldonado, I.; Solís-Soto, J.M.; García-Juárez, J.; Ortega-Martínez, M.; Jaramillo-Rangel, G. Usefulness of DNA Obtained from FFPE Tissue Sections Stained with Masson’s Trichrome in Forensic Identification: A Pilot Study. Genes 2025, 16, 1416. https://doi.org/10.3390/genes16121416
Chávez-Briones M-d-L, Ancer-Arellano A, Miranda-Maldonado I, Solís-Soto JM, García-Juárez J, Ortega-Martínez M, Jaramillo-Rangel G. Usefulness of DNA Obtained from FFPE Tissue Sections Stained with Masson’s Trichrome in Forensic Identification: A Pilot Study. Genes. 2025; 16(12):1416. https://doi.org/10.3390/genes16121416
Chicago/Turabian StyleChávez-Briones, María-de-Lourdes, Adriana Ancer-Arellano, Ivett Miranda-Maldonado, Juan M. Solís-Soto, Jaime García-Juárez, Marta Ortega-Martínez, and Gilberto Jaramillo-Rangel. 2025. "Usefulness of DNA Obtained from FFPE Tissue Sections Stained with Masson’s Trichrome in Forensic Identification: A Pilot Study" Genes 16, no. 12: 1416. https://doi.org/10.3390/genes16121416
APA StyleChávez-Briones, M.-d.-L., Ancer-Arellano, A., Miranda-Maldonado, I., Solís-Soto, J. M., García-Juárez, J., Ortega-Martínez, M., & Jaramillo-Rangel, G. (2025). Usefulness of DNA Obtained from FFPE Tissue Sections Stained with Masson’s Trichrome in Forensic Identification: A Pilot Study. Genes, 16(12), 1416. https://doi.org/10.3390/genes16121416
