Genetic Analysis of the ts-Lethal Mutant Δpa0665/pTS-pa0665 Reveals Its Role in Cell Morphology and Oxidative Phosphorylation in Pseudomonas aeruginosa
Abstract
1. Introduction
2. Materials and Methods
2.1. DNA, Plasmids, and Bacterial Cultures
2.2. Plasmid Construction
2.3. Plasmid-Based ts-Mutant Strain Construction
2.4. Spot-Plating Assay
2.5. Fluorescence Microscopic Analysis
2.6. Fluorescence Activated Cell Sorting (FACS) Analysis
2.7. ATP Content Measurement
2.8. RNA Extraction and RNA-Seq Analysis
2.9. Statistics
2.10. Data Availability
3. Results
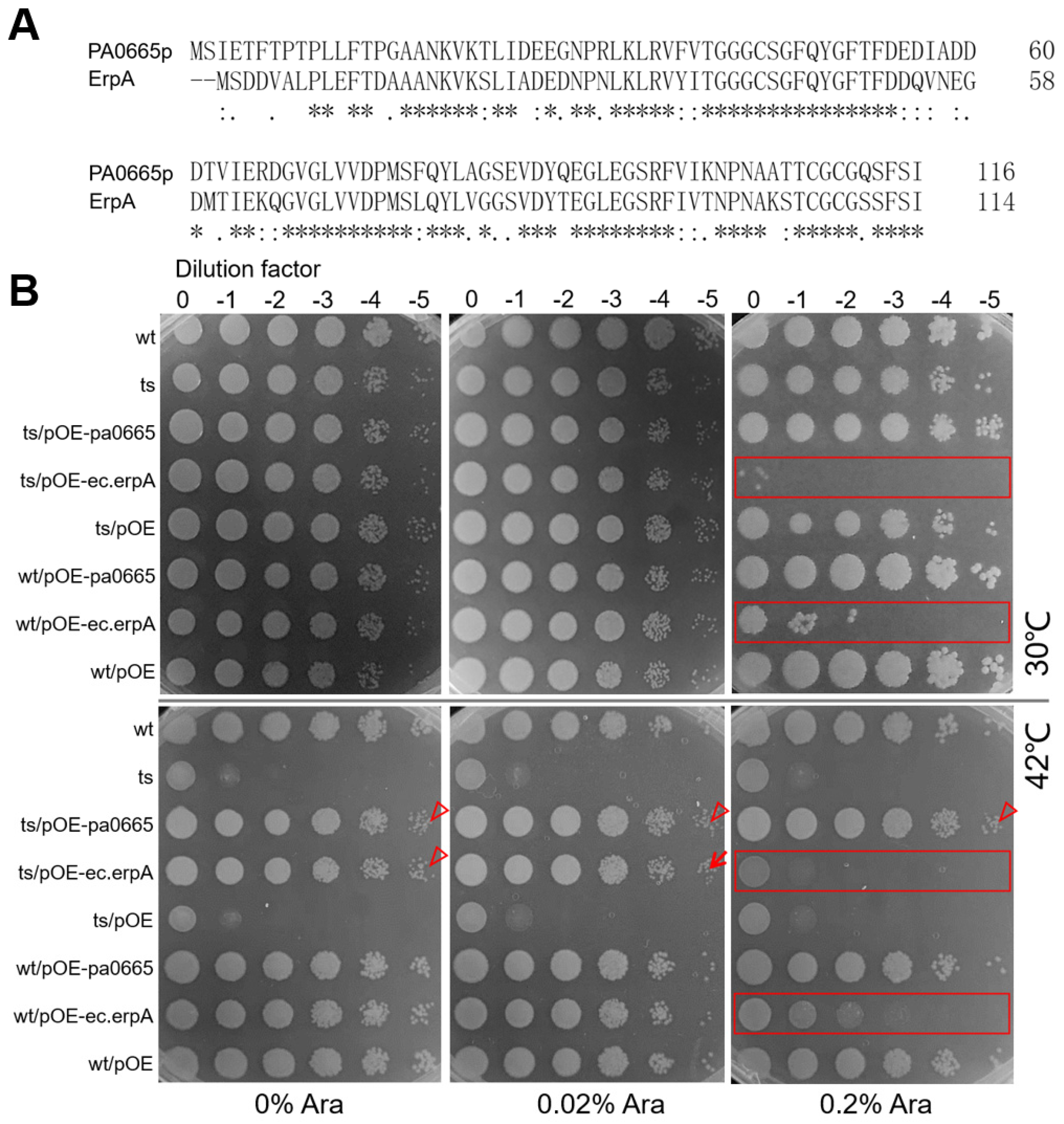
3.1. pa0665 Gene Is Essential for Growth on LB-Agar Plate
3.2. Putative Ortholog erpA in E. coli Functionally Complements the Defect of pa0665 in P. aeruginosa
3.3. The Δpa0665/pTS-pa0665 Mutant Exhibits Petite Cell Morphology under Restrictive Temperature
3.4. ATP Content Was Decreased in Δpa0665/pTS-pa0665 Mutant under Restrictive Temperature
3.5. The Δpa0665/pTS-pa0665 Mutant Is Hypersensitive to Oxidative Stress Mediated by H2O2
3.6. Transcriptomic Analysis Reveals Impaired Oxidative Phosphorylation in pa0665-Deficient P. aeruginosa
3.7. Impairment of pa4067/oprG Possibly Linked to the Altered Morphology of Δpa0665/pTS-pa0665 Mutant at 42 °C
4. Discussion
5. Conclusions
Author Contributions
Funding
Institutional Review Board Statement
Informed Consent Statement
Data Availability Statement
Conflicts of Interest
References
- Vasil, M.L. Pseudomonas aeruginosa: Biology, mechanisms of virulence, epidemiology. J. Pediatr. 1986, 108, 800–805. [Google Scholar] [CrossRef] [PubMed]
- Tacconelli, E.; Carrara, E.; Savoldi, A.; Harbarth, S.; Mendelson, M.; Monnet, D.L.; Pulcini, C.; Kahlmeter, G.; Kluytmans, J.; Carmeli, Y. Discovery, research, and development of new antibiotics: The WHO priority list of antibiotic-resistant bacteria and tuberculosis. Lancet Infect. Dis. 2018, 18, 318–327. [Google Scholar] [CrossRef] [PubMed]
- Lee, S.A.; Gallagher, L.A.; Thongdee, M.; Staudinger, B.J.; Lippman, S.; Singh, P.K.; Manoil, C. General and condition-specific essential functions of Pseudomonas aeruginosa. Proc. Natl. Acad. Sci. USA 2015, 112, 5189–5194. [Google Scholar] [CrossRef] [PubMed]
- Ijaq, J.; Chandrasekharan, M.; Poddar, R.; Bethi, N.; Sundararajan, V.S. Annotation and curation of uncharacterized proteins-challenges. Front. Genet. 2015, 6, 115944. [Google Scholar] [CrossRef] [PubMed]
- Naveed, M.; Chaudhry, Z.; Ali, Z.; Amjad, M. Annotation and curation of hypothetical proteins: Prioritizing targets for experimental study. Adv. Life Sci. 2018, 5, 73–87. [Google Scholar]
- Galperin, M.Y.; Koonin, E.V. ‘Conserved hypothetical’ proteins: Prioritization of targets for experimental study. Nucleic Acids Res. 2004, 32, 5452–5463. [Google Scholar] [CrossRef]
- Goodall, E.C.; Robinson, A.; Johnston, I.G.; Jabbari, S.; Turner, K.A.; Cunningham, A.F.; Lund, P.A.; Cole, J.A.; Henderson, I.R. The essential genome of Escherichia coli K-12. mBio 2018, 9, e02096-17. [Google Scholar] [CrossRef] [PubMed]
- Loiseau, L.; Gerez, C.; Bekker, M.; Ollagnier-de Choudens, S.; Py, B.; Sanakis, Y.; Teixeira de Mattos, J.; Fontecave, M.; Barras, F. ErpA, an iron–sulfur (Fe–S) protein of the A-type essential for respiratory metabolism in Escherichia coli. Proc. Natl. Acad. Sci. USA 2007, 104, 13626–13631. [Google Scholar] [CrossRef] [PubMed]
- Oppermann, S.; Höfflin, S.; Friedrich, T. ErpA is important but not essential for the Fe/S cluster biogenesis of Escherichia coli NADH: Ubiquinone oxidoreductase (complex I). Biochim. Biophys. Acta (BBA)-Bioenerg. 2020, 1861, 148286. [Google Scholar] [CrossRef]
- Yang, Z.; Zhang, Z.; Zhu, J.; Ma, Y.; Wang, J.; Liu, J. Analysis of the Plasmid-Based ts Allele of PA0006 Reveals Its Function in Regulation of Cell Morphology and Biosynthesis of Core Lipopolysaccharide in Pseudomonas aeruginosa. Appl. Environ. Microbiol. 2022, 88, e00480-22. [Google Scholar] [CrossRef]
- Tian, L.; Yang, Z.; Wang, J.; Liu, J. Analysis of the Plasmid-Based ts-Mutant ΔfabA/pTS-fabA Reveals Its Lethality under Aerobic Growth Conditions That Is Suppressed by Mild Overexpression of desA at a Restrictive Temperature in Pseudomonas aeruginosa. Microbiol. Spectr. 2023, 11, e01338-23. [Google Scholar] [CrossRef]
- Kovach, M.E.; Elzer, P.H.; Hill, D.S.; Robertson, G.T.; Farris, M.A.; Roop II, R.M.; Peterson, K.M. Four new derivatives of the broad-host-range cloning vector pBBR1MCS, carrying different antibiotic-resistance cassettes. Gene 1995, 166, 175–176. [Google Scholar] [CrossRef]
- Hung, C.-W.; Martínez-Márquez, J.Y.; Javed, F.T.; Duncan, M.C. A simple and inexpensive quantitative technique for determining chemical sensitivity in Saccharomyces cerevisiae. Sci. Rep. 2018, 8, 11919. [Google Scholar] [CrossRef]
- Prieto, C.; Barrios, D. RaNA-Seq: Interactive RNA-Seq analysis from FASTQ files to functional analysis. Bioinformatics 2020, 36, 1955–1956. [Google Scholar] [CrossRef]
- Chen, S.; Zhou, Y.; Chen, Y.; Gu, J. fastp: An ultra-fast all-in-one FASTQ preprocessor. Bioinformatics 2018, 34, i884–i890. [Google Scholar] [CrossRef]
- Patro, R.; Duggal, G.; Love, M.I.; Irizarry, R.A.; Kingsford, C. Salmon provides fast and bias-aware quantification of transcript expression. Nat. Methods 2017, 14, 417–419. [Google Scholar] [CrossRef]
- Love, M.I.; Huber, W.; Anders, S. Moderated estimation of fold change and dispersion for RNA-seq data with DESeq2. Genome Biol. 2014, 15, 550. [Google Scholar] [CrossRef]
- Charbon, G.; Riber, L.; Cohen, M.; Skovgaard, O.; Fujimitsu, K.; Katayama, T.; Løbner-Olesen, A. Suppressors of DnaAATP imposed overinitiation in Escherichia coli. Mol. Microbiol. 2011, 79, 914–928. [Google Scholar] [CrossRef]
- Rost, B. Twilight zone of protein sequence alignments. Protein Eng. 1999, 12, 85–94. [Google Scholar] [CrossRef]
- Guzman, L.-M.; Belin, D.; Carson, M.J.; Beckwith, J. Tight regulation, modulation, and high-level expression by vectors containing the arabinose PBAD promoter. J. Bacteriol. 1995, 177, 4121–4130. [Google Scholar] [CrossRef]
- Brzóska, K.; Meczyńska, S.; Kruszewski, M. Iron-sulfur cluster proteins: Electron transfer and beyond. Acta Biochim. Pol. 2006, 53, 685–691. [Google Scholar] [CrossRef] [PubMed]
- Stehling, O.; Lill, R. The role of mitochondria in cellular iron–sulfur protein biogenesis: Mechanisms, connected processes, and diseases. Cold Spring Harb. Perspect. Biol. 2013, 5, a011312. [Google Scholar] [CrossRef]
- Saninjuk, K.; Romsang, A.; Duang-Nkern, J.; Wongsaroj, L.; Leesukon, P.; Dubbs, J.M.; Vattanaviboon, P.; Mongkolsuk, S. Monothiol Glutaredoxin Is Essential for Oxidative Stress Protection and Virulence in Pseudomonas aeruginosa. Appl. Environ. Microbiol. 2023, 89, e01714-22. [Google Scholar] [CrossRef]
- Touw, D.S.; Patel, D.R.; van den Berg, B. The crystal structure of OprG from Pseudomonas aeruginosa, a potential channel for transport of hydrophobic molecules across the outer membrane. PLoS ONE 2010, 5, e15016. [Google Scholar] [CrossRef]
- Coleman Jr, W.G. The rfaD gene codes for ADP-L-glycero-D-mannoheptose-6-epimerase. An enzyme required for lipopolysaccharide core biosynthesis. J. Biol. Chem. 1983, 258, 1985–1990. [Google Scholar] [CrossRef]
- Liu, Y.; Lin, Y.; Guan, N.; Song, Y.; Li, Y.; Xie, X. A lipopolysaccharide synthesis gene rfaD from Mesorhizobium huakuii is involved in nodule development and symbiotic nitrogen fixation. Microorganisms 2022, 11, 59. [Google Scholar] [CrossRef]
- Barras, F.; Loiseau, L.; Py, B. How Escherichia coli and Saccharomyces cerevisiae build Fe/S proteins. Adv. Microb. Physiol. 2005, 50, 41–101. [Google Scholar] [PubMed]
- Roche, B.; Aussel, L.; Ezraty, B.; Mandin, P.; Py, B.; Barras, F. Reprint of: Iron/sulfur proteins biogenesis in prokaryotes: Formation, regulation and diversity. Biochim. Biophys. Acta (BBA)-Bioenerg. 2013, 1827, 923–937. [Google Scholar] [CrossRef] [PubMed]
- Pinske, C.; Sawers, R.G. A-type carrier protein ErpA is essential for formation of an active formate-nitrate respiratory pathway in Escherichia coli K-12. J. Bacteriol. 2012, 194, 346–353. [Google Scholar] [CrossRef]
- Chepuri, V.; Lemieux, L.; Au, D.; Gennis, R.B. The sequence of the cyo operon indicates substantial structural similarities between the cytochrome o ubiquinol oxidase of Escherichia coli and the aa3-type family of cytochrome c oxidases. J. Biol. Chem. 1990, 265, 11185–11192. [Google Scholar] [CrossRef]
- Kučera, I.; Sedláček, V. Involvement of the cbb 3-type terminal oxidase in growth competition of Bacteria, biofilm formation, and in switching between denitrification and aerobic respiration. Microorganisms 2020, 8, 1230. [Google Scholar] [CrossRef] [PubMed]
- Zheng, M.; Wang, X.; Templeton, L.J.; Smulski, D.R.; LaRossa, R.A.; Storz, G. DNA microarray-mediated transcriptional profiling of the Escherichia coli response to hydrogen peroxide. J. Bacteriol. 2001, 183, 4562–4570. [Google Scholar] [CrossRef] [PubMed]
- McPhee, J.B.; Tamber, S.; Bains, M.; Maier, E.; Gellatly, S.; Lo, A.; Benz, R.; Hancock, R.E. The major outer membrane protein OprG of Pseudomonas aeruginosa contributes to cytotoxicity and forms an anaerobically regulated, cation-selective channel. FEMS Microbiol. Lett. 2009, 296, 241–247. [Google Scholar] [CrossRef]







| Oligonucleotides | ||
|---|---|---|
| Name | Sequence (5′-3′) | Usage |
| F1 | CTGGAACTGCCTGCCAGCGT | Assay pa0665 alleles in chr and TS plasmid |
| R1 | CGGCAACTGCCCTGATGTGA | Ditto |
| F2 | CTCCGGCATTTCCAGTCGAT | Assay pa0665 alleles in chr but not TS plasmid |
| R2 | AGGTGAACCACGCACTGCTG | Ditto |
| Plasmids | Relevant genotype | Reference |
| pDEL | pUC-Gmr-sacB | [10,11] |
| pRES or pTS | pUC-Tcr-orits | [10,11] |
| pOE | pBBRMCS-5-araC-PBAD-Gmr | [10,11] |
| pDEL-pa0665 | pa0665 deletion cassette in pDEL | This study |
| pRES-pa0665 | pa0665 rescue cassette in pTS | This study |
| pOE-pa0665 | araC-PBAD- pa0665 in pOE | This study |
| pOE-ec.erpA | araC-PBAD-ec.erpA in pOE | This study |
| Strains | Rel genotype/Usage | Reference |
| PAO1 | Wild type | [10,11] |
| Δpa0665/pTS-pa0665 | pa0665 ts-allele | This study |
| Δpa0665/pTS-pa0665/pOE-pa0665 | pa0665-OE in ts | This study |
| Δpa0665/pTS-pa0665/pOE-ec.erpA | ec.erpA-OE in ts | This study |
| Δpa0665/pTS-pa0665/pOE | pOE in ts | This study |
| Δpa4067/oprG | pa4067-deletion | This study |
| Δpa3337/rfaD | pa3337-deletion | This study |
| wt/pOE-pa0665 | pa0665-OE in wt | This study |
| wt/pOE-ec.erpA | ec.erpA-OE in wt | This study |
| wt/pOE | pOE in wt | This study |
Disclaimer/Publisher’s Note: The statements, opinions and data contained in all publications are solely those of the individual author(s) and contributor(s) and not of MDPI and/or the editor(s). MDPI and/or the editor(s) disclaim responsibility for any injury to people or property resulting from any ideas, methods, instructions or products referred to in the content. |
© 2024 by the authors. Licensee MDPI, Basel, Switzerland. This article is an open access article distributed under the terms and conditions of the Creative Commons Attribution (CC BY) license (https://creativecommons.org/licenses/by/4.0/).
Share and Cite
Zhu, J.; Zhao, H.; Yang, Z. Genetic Analysis of the ts-Lethal Mutant Δpa0665/pTS-pa0665 Reveals Its Role in Cell Morphology and Oxidative Phosphorylation in Pseudomonas aeruginosa. Genes 2024, 15, 590. https://doi.org/10.3390/genes15050590
Zhu J, Zhao H, Yang Z. Genetic Analysis of the ts-Lethal Mutant Δpa0665/pTS-pa0665 Reveals Its Role in Cell Morphology and Oxidative Phosphorylation in Pseudomonas aeruginosa. Genes. 2024; 15(5):590. https://doi.org/10.3390/genes15050590
Chicago/Turabian StyleZhu, Jiayin, Hulin Zhao, and Zhili Yang. 2024. "Genetic Analysis of the ts-Lethal Mutant Δpa0665/pTS-pa0665 Reveals Its Role in Cell Morphology and Oxidative Phosphorylation in Pseudomonas aeruginosa" Genes 15, no. 5: 590. https://doi.org/10.3390/genes15050590
APA StyleZhu, J., Zhao, H., & Yang, Z. (2024). Genetic Analysis of the ts-Lethal Mutant Δpa0665/pTS-pa0665 Reveals Its Role in Cell Morphology and Oxidative Phosphorylation in Pseudomonas aeruginosa. Genes, 15(5), 590. https://doi.org/10.3390/genes15050590

