Fusion Gene-Based Classification of Variant Cytogenetic Rearrangements in Acute Myeloid Leukemia
Abstract
:1. Introduction
2. Materials and Methods
3. Results
3.1. Patient 1
3.2. Patient 2
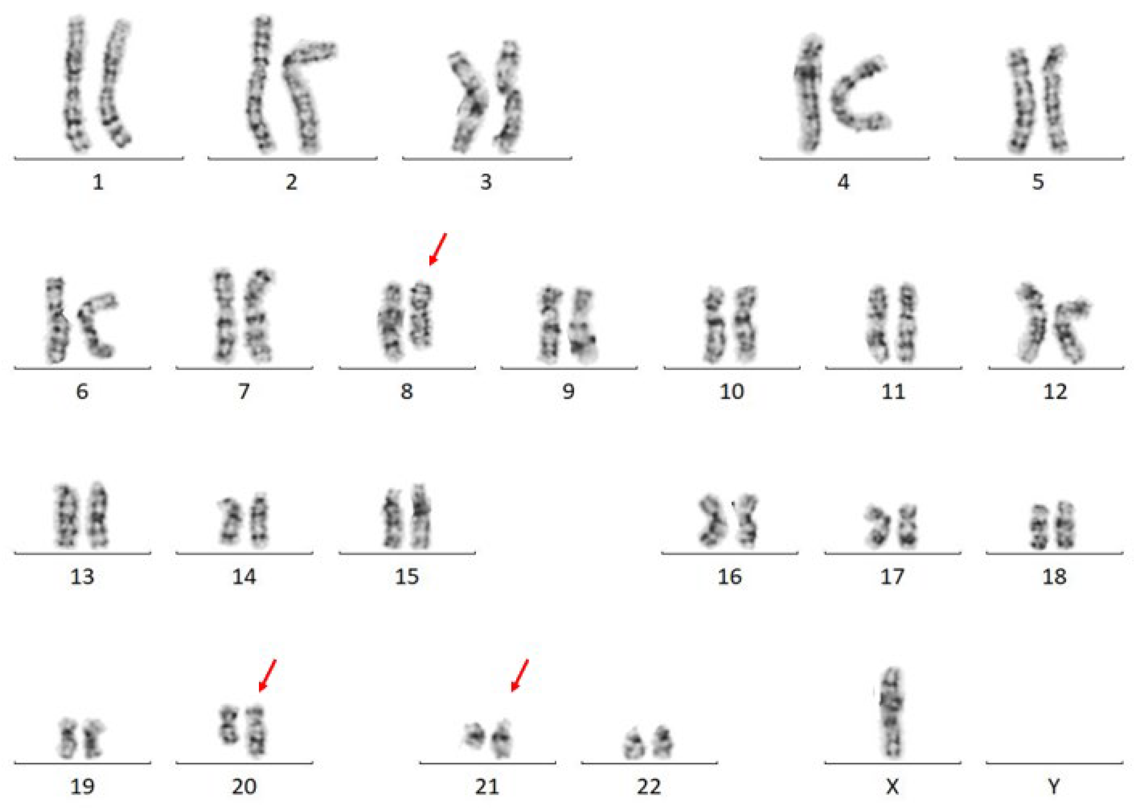
3.3. Patient 3
3.4. Patient 4
4. Discussion
Author Contributions
Funding
Institutional Review Board Statement
Informed Consent Statement
Data Availability Statement
Conflicts of Interest
References
- Vardiman, J.W.; Thiele, J.; Arber, D.A.; Brunning, R.D.; Borowitz, M.J.; Porwit, A.; Harris, N.L.; Le Beau, M.M.; Hellström-Lindberg, E.; Tefferi, A.; et al. The 2008 revision of the World Health Organization (WHO) classification of myeloid neoplasms and acute leukemia: Rationale and important changes. Blood 2009, 114, 937–951. [Google Scholar] [CrossRef] [PubMed]
- Khoury, J.D.; Solary, E.; Abla, O.; Akkari, Y.; Alaggio, R.; Apperley, J.F.; Bejar, R.; Berti, E.; Busque, L.; Chan, J.K.C.; et al. The 5th edition of the World Health Organization Classification of Haematolymphoid Tumours: Myeloid and Histiocytic/Dendritic Neoplasms. Leukemia 2022, 36, 1703–1719. [Google Scholar] [CrossRef] [PubMed]
- Arber, D.A.; Orazi, A.; Hasserjian, R.P.; Borowitz, M.J.; Calvo, K.R.; Kvasnicka, H.M.; Wang, S.A.; Bagg, A.; Barbui, T.; Branford, S.; et al. International Consensus Classification of Myeloid Neoplasms and Acute Leukemias: Integrating morphologic, clinical, and genomic data. Blood 2022, 140, 1200–1228. [Google Scholar] [CrossRef] [PubMed]
- Appelbaum, F.R.; Kopecky, K.J.; Tallman, M.; Sovak, M.L.; Gundacker, H.M.; Kim, H.T.; Dewald, G.W.; Kantarjian, H.M.; Pierce, S.R.; Estey, E.H. The clinical spectrum of adult acute myeloid leukaemia associated with core binding factor translocations. Br. J. Haematol. 2006, 135, 165–173. [Google Scholar] [CrossRef] [PubMed]
- Taylor, J.; Xiao, W.; Abdel-Wahab, O. Diagnosis and classification of hematologic malignancies on the basis of genetics. Blood 2017, 130, 410–423. [Google Scholar] [CrossRef] [PubMed]
- Al-Harbi, S.; Aljurf, M.; Mohty, M.; Almohareb, F.; Ahmed, S.O.A. An update on the molecular pathogenesis and potential therapeutic targeting of AML with t(8;21)(q22;q22.1);RUNX1-RUNX1T1. Blood Adv. 2020, 4, 229–238. [Google Scholar] [CrossRef] [PubMed]
- Kroes, W. Atlas Genet Cytogenet Oncol Haematol. Available online: http://atlasgeneticsoncology.org/haematological/1019/t(8;21)(q22;q22) (accessed on 15 December 2022).
- de Cytogenetique Hematologique, G.F. Acute myelogenous leukemia with an 8;21 translocation. A report on 148 cases from the Groupe Francais de Cytogenetique Hematologique. Cancer Genet. Cytogenet. 1990, 44, 169–179. [Google Scholar]
- Barch, M.J.; Knutsen, T.; Spurbeck, J.L. The AGT Cytogenetics Laboratory Manual, 3rd ed.; Lippincott-Raven: Philadelphia, PA, USA, 1997; pp. 351–367. [Google Scholar]
- Barch, M.J.; Knutsen, T.; Spurbeck, J.L. The AGT Cytogenetics Laboratory Manual, 3rd ed.; Lippincott-Raven: Philadelphia, PA, USA, 1997; pp. 568–572. [Google Scholar]
- Baer, M.R.; Stewart, C.C.; Lawrence, D.; Arthur, D.C.; Byrd, J.C.; Davey, F.R.; Schiffer, C.A.; Bloomfield, C.D. Expression of the neural cell adhesion molecule CD56 is associated with short remission duration and survival in acute myeloid leukemia with t(8;21)(q22;q22). Blood 1997, 90, 1643–1648. [Google Scholar] [CrossRef] [PubMed]
- Macke, E.L.; Meyer, R.G.; Hoppman, N.L.; Ketterling, R.P.; Greipp, P.T.; Xu, X.; Baughn, L.B.; Shafer, D.A.; He, R.R.; Peterson, J.F. Identification of a Cryptic t(8;20;21)(q22;p13;q22) Resulting in RUNX1T1/RUNX1 Fusion in a Patient with Newly Diagnosed Acute Myeloid Leukemia. Lab. Med. 2022, 53, e87–e90. [Google Scholar] [CrossRef]
- Gamerdinger, U.; Teigler-Schlegel, A.; Pils, S.; Bruch, J.; Viehmann, S.; Keller, M.; Jauch, A.; Harbott, J. Cryptic chromosomal aberrations leading to an AML1/ETO rearrangement are frequently caused by small insertions. Genes Chromosomes Cancer 2003, 36, 261–272. [Google Scholar] [CrossRef]
- Saitoh, K.; Miura, I.; Ohshima, A.; Takahashi, N.; Kume, M.; Utsumi, S.; Kobayashi, Y.; Hashimoto, K.; Hatano, Y.; Nimura, T.; et al. Translocation (8;12;21)(q22.1;q24.1;q22.1): A new masked type of t(8;21)(q22;q22) in a patient with acute myeloid leukemia. Cancer Genet. Cytogenet. 1997, 96, 111–114. [Google Scholar] [CrossRef] [PubMed]
- Lau, L.C.; Koh, L.P.; Lim, T.H.; Loo, L.E.; Tien, S.L. A cryptic three-way translocation involving chromosomes 8, 14, and 21 in a case of acute myeloid leukemia subtype M1. Cancer Genet Cytogenet. 2005, 163, 86–90. [Google Scholar] [CrossRef]
- Mishra, S.R.; Rawal, L.; Othman, M.A.K.; Thatai, A.; Sarkar, A.; Lal, V.; Bhattacharya, S.K. Complex rearrangement in acute myeloid leukemia M2 with RUNX1/RUNX1T1 fusion involving chromosomes 8, 17 and 21. Mol. Cytogenet. 2021, 14, 28. [Google Scholar] [CrossRef]
- Paschka, P.; Marcucci, G.; Ruppert, A.S.; Mrózek, K.; Chen, H.; Kittles, R.A.; Vukosavljevic, T.; Perrotti, D.; Vardiman, J.W.; Carroll, A.J.; et al. Adverse prognostic significance of KIT mutations in adult acute myeloid leukemia with inv(16) and t(8;21): A Cancer and Leukemia Group B Study. J. Clin. Oncol. 2006, 24, 3904–3911. [Google Scholar] [CrossRef]
- Duployez, N.; Marceau-Renaut, A.; Boissel, N.; Petit, A.; Bucci, M.; Geffroy, S.; Lapillonne, H.; Renneville, A.; Ragu, C.; Figeac, M.; et al. Comprehensive mutational profiling of core binding factor acute myeloid leukemia. Blood 2016, 127, 2451–2459. [Google Scholar] [CrossRef] [PubMed]
- Kita, K.; Nakase, K.; Miwa, H.; Masuya, M.; Nishii, K.; Morita, N.; Takakura, N.; Otsuji, A.; Shirakawa, S.; Ueda, T. Phenotypical characteristics of acute myelocytic leukemia associated with the t(8;21)(q22;q22) chromosomal abnormality: Frequent expression of immature B-cell antigen CD19 together with stem cell antigen CD34. Blood 1992, 80, 470–477. [Google Scholar] [CrossRef] [PubMed]
- Hurwitz, C.A.; Raimondi, S.C.; Head, D.; Krance, R.; Mirro, J.; Kalwinsky, D.K., Jr.; Ayers, G.D.; Behm, F.G. Distinctive immunophenotypic features of t(8;21)(q22;q22) acute myeloblastic leukemia in children. Blood 1992, 80, 3182–3188. [Google Scholar] [CrossRef]




Disclaimer/Publisher’s Note: The statements, opinions and data contained in all publications are solely those of the individual author(s) and contributor(s) and not of MDPI and/or the editor(s). MDPI and/or the editor(s) disclaim responsibility for any injury to people or property resulting from any ideas, methods, instructions or products referred to in the content. |
© 2023 by the authors. Licensee MDPI, Basel, Switzerland. This article is an open access article distributed under the terms and conditions of the Creative Commons Attribution (CC BY) license (https://creativecommons.org/licenses/by/4.0/).
Share and Cite
Gudipati, M.; Butler, M.; Koka, R.; Baer, M.R.; Ning, Y. Fusion Gene-Based Classification of Variant Cytogenetic Rearrangements in Acute Myeloid Leukemia. Genes 2023, 14, 396. https://doi.org/10.3390/genes14020396
Gudipati M, Butler M, Koka R, Baer MR, Ning Y. Fusion Gene-Based Classification of Variant Cytogenetic Rearrangements in Acute Myeloid Leukemia. Genes. 2023; 14(2):396. https://doi.org/10.3390/genes14020396
Chicago/Turabian StyleGudipati, Mary, Melody Butler, Rima Koka, Maria R. Baer, and Yi Ning. 2023. "Fusion Gene-Based Classification of Variant Cytogenetic Rearrangements in Acute Myeloid Leukemia" Genes 14, no. 2: 396. https://doi.org/10.3390/genes14020396
APA StyleGudipati, M., Butler, M., Koka, R., Baer, M. R., & Ning, Y. (2023). Fusion Gene-Based Classification of Variant Cytogenetic Rearrangements in Acute Myeloid Leukemia. Genes, 14(2), 396. https://doi.org/10.3390/genes14020396

