Effects of Tributyrin Supplementation on Liver Fat Deposition, Lipid Levels and Lipid Metabolism-Related Gene Expression in Broiler Chickens
Abstract
1. Introduction
2. Materials and Methods
2.1. Ethics Statement
2.2. Animals and Experimental Model
2.3. Sample Collection
2.4. Biochemical Analysis
2.5. Histological Observation
2.6. Gene Expression Analysis
2.7. Statistical Analysis
3. Results
3.1. Effect of Tributyrin on Lipid Levels in Liver Tissues
3.2. Effect of Tributyrin on Enzymatic Activity in Liver Tissues
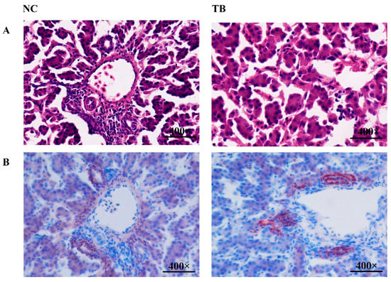
3.3. Histological Observations of Liver Tissues
3.4. Effect of Tributyrin on Liver mRNA Expression of Lipogenesis and Lipolysis-Related Genes
4. Discussion
5. Conclusions
Author Contributions
Funding
Institutional Review Board Statement
Informed Consent Statement
Data Availability Statement
Conflicts of Interest
References
- Han, J.; Li, L.; Wang, D.; Ma, H. (−)-Hydroxycitric acid reduced fat deposition via regulating lipid metabolism-related gene expression in broiler chickens. Lipids Health Dis. 2016, 15, 37–50. [Google Scholar] [CrossRef]
- Sakdee, J.; Poeikhamph, T.; Rakangthon, C.; Poungpong, K.; Bunchasak, C. Effect of Tributyrin Supplementation in Diet on Production Performance and Gastrointestinal Tract of Healthy Nursery Pigs. Pakistan J. Nutr. 2012, 15, 954–962. [Google Scholar] [CrossRef]
- Dong, L.; Zhong, X.; He, J.; Zhang, L.; Bai, K.; Xu, W.; Wang, T.; Huang, X. Supplementation of tributyrin improves the growth and intestinal digestive and barrier functions in intrauterine growth-restricted piglets. Clin. Nutr. 2016, 35, 399–407. [Google Scholar] [CrossRef]
- Sotira, S.; Dell’Anno, M.; Caprarulo, V.; Hejna, M.; Pirrone, F.; Callegari, M.L.; Tucci, T.V.; Rossi, L. Effects of Tributyrin Supplementation on Growth Performance, Insulin, Blood Metabolites and Gut Microbiota in Weaned Piglets. Animals 2020, 10, 726. [Google Scholar] [CrossRef]
- Nguyen, T.D.; Prykhodko, O.; Fåk Hållenius, F.; Nyman, M. Effects of monobutyrin and tributyrin on liver lipid profile, caecal microbiota composition and SCFA in high-fat diet-fed rats. J. Nutr. Sci. 2017, 6, e51. [Google Scholar] [CrossRef] [PubMed]
- Vinolo, M.A.; Rodrigues, H.G.; Festuccia, W.T.; Crisma, A.R.; Alves, V.S.; Martins, A.R.; Amaral, C.L.; Fiamoncini, J.; Hirabara, S.M.; Sato, F.T.; et al. Tributyrin attenuates obesity-associated inflammation and insulin resistance in high-fat-fed mice. Am. J. Physiol. Endocrinol. Metab. 2012, 303, 272–282. [Google Scholar] [CrossRef] [PubMed]
- Miyoshi, M.; Sakaki, H.; Usami, M.; Iizuka, N.; Shuno, K.; Aoyama, M.; Usami, Y. Oral administration of tributyrin increases concentration of butyrate in the portal vein and prevents lipopolysaccharide-induced liver injury in rats. Clin. Nutr. 2011, 30, 252–258. [Google Scholar] [CrossRef] [PubMed]
- Cresci, G.; Glueck, B.; McMullen, M.; Xin, W.; Allende, D.; Nagy, L. Prophylactic tributyrin treatment mitigates chronic-binge alcohol-induced intestinal barrier and liver injury. J. Gastroenterol. Hepatol. 2017, 32, 1587–1597. [Google Scholar] [CrossRef] [PubMed]
- Cogburn, L.A.; Wang, X.; Carre, W.; Rejto, L.; Aggrey, S.E.; Duclos, M.J.; Simon, J.; Porter, T.E. Functional genomics in chickens: Development of integrated-systems microarrays for transcriptional profiling and discovery of regulatory pathways. Comp. Funct. Genom. 2004, 5, 253–261. [Google Scholar] [CrossRef] [PubMed]
- Richards, M.P.; Poch, S.M.; Coon, C.N.; Rosebrough, R.W.; Ashwell, C.M.; McMurtry, J.P. Feed restriction significantly alters lipogenic gene expression in broiler breeder chickens. J. Nutr. 2003, 133, 707–715. [Google Scholar] [CrossRef]
- Goodridge, A.G.; Ball, E.G. Lipogenesis in the pigeon: In vivo studies. Am. J. Physiol. 1967, 213, 245–249. [Google Scholar] [CrossRef] [PubMed]
- O’Hea, E.K.; Leveille, G.A. Lipogenesis in isolated adipose tissue of the domestic chick (Gallus domesticus). Comp. Biochem. Physiol. 1968, 26, 111–120. [Google Scholar] [CrossRef]
- Cai, Y.; Song, Z.; Zhang, X.; Wang, X.; Jiao, H.; Lin, H. Increased de novo lipogenesis in liver contributes to the augmented fat deposition in dexamethasone exposed broiler chickens (Gallus gallus domesticus). Comp. Biochem. Physiol. C Toxicol. Pharmacol. 2009, 150, 164–169. [Google Scholar] [CrossRef]
- Leclercq, B.; Hermier, D.; Guy, G. Metabolism of very low density lipoproteins in genetically lean or fat lines of chicken. Reprod. Nutr. Dev. 1990, 30, 701–715. [Google Scholar] [CrossRef] [PubMed][Green Version]
- Legrand, P.; Hermier, D. Hepatic delta 9 desaturation and plasma VLDL level in genetically lean and fat chickens. Int. J. Obes. Relat. Metab. Disord. 1992, 16, 289–294. [Google Scholar]
- Douaire, M.; Le Fur, N.; el Khadir-Mounier, C.; Langlois, P.; Flamant, F.; Mallard, J. Identifying genes involved in the variability of genetic fatness in the growing chicken. Poult. Sci. 1992, 71, 1911–1920. [Google Scholar] [CrossRef]
- Daval, S.; Lagarrigue, S.; Douaire, M. Messenger RNA levels and transcription rates of hepatic lipogenesis genes in genetically lean and fat chickens. Genet. Sel. Evol. 2000, 32, 521–531. [Google Scholar] [CrossRef] [PubMed]
- Wang, H.B.; Li, H.; Wang, Q.G.; Zhang, X.Y.; Wang, S.Z.; Wang, Y.X.; Wang, X.P. Profiling of chicken adipose tissue gene expression by genome array. BMC Genom. 2007, 8, 193–206. [Google Scholar] [CrossRef]
- Royan, M.; Meng, G.Y.; Othman, F.; Sazili, A.Q.; Navidshad, B. Effects of conjugated linoleic acid, fish oil and soybean oil on PPARs (α & γ) mRNA expression in broiler chickens and their relation to body fat deposits. Int. J. Mol. Sci. 2011, 12, 8581–8595. [Google Scholar]
- Wang, J.; Zhang, H.; Bai, S.; Zeng, Q.; Su, Z.; Zhuo, Y.; Mao, X.; Yin, H.; Feng, B.; Liu, J.; et al. Dietary tributyrin improves reproductive performance, antioxidant capacity, and ovary function of broiler breeders. Poult. Sci. 2021, 100, 101429–101437. [Google Scholar] [CrossRef]
- Zerehdaran, S.; Vereijken, A.L.; van Arendonk, J.A.; van der Waaijt, E.H. Estimation of genetic parameters for fat deposition and carcass traits in broilers. Poult. Sci. 2004, 83, 521–525. [Google Scholar] [CrossRef] [PubMed]
- Yin, F.; Yu, H.; Lepp, D.; Shi, X.; Yang, X.; Hu, J.; Leeson, S.; Yang, C.; Nie, S.; Hou, Y.; et al. Transcriptome Analysis Reveals Regulation of Gene Expression for Lipid Catabolism in Young Broilers by Butyrate Glycerides. PLoS ONE 2016, 11, e0160751. [Google Scholar]
- Mansoub, N.H.; Rahimpour, K.; Asl, L.M.; Nezhady, M.A.M.; Kalhori, M.M. Effect of Different Level of Butyric Acid Glycerides on Performance and Serum Composition of Broiler Chickens. World J. Zool. 2010, 6, 179–182. [Google Scholar]
- Leeson, S.; Namkung, H.; Antongiovanni, M.; Lee, E.H. Effect of butyric acid on the performance and carcass yield of broiler chickens. Poult. Sci. 2005, 84, 1418–1422. [Google Scholar] [CrossRef] [PubMed]
- Khera, A.V.; Cuchel, M.; de la Llera-Moya, M.; Rodrigues, A.; Burke, M.F.; Jafri, K.; French, B.C.; Phillips, J.A.; Mucksavage, M.L.; Wilensky , R.L.; et al. Cholesterol efflux capacity, high-density lipoprotein function, and atherosclerosis. N. Engl. J. Med. 2011, 364, 127–135. [Google Scholar] [CrossRef] [PubMed]
- Mora, S.; Buring, J.E.; Ridker, P.M.; Cui, Y. Association of high-density lipoprotein cholesterol with incident cardiovascular events in women, by low-density lipoprotein cholesterol and apolipoprotein B100 levels: A cohort study. Ann. Intern Med. 2011, 155, 742–750. [Google Scholar] [CrossRef]
- Lafontan, M.; Langin, D. Lipolysis and lipid mobilization in human adipose tissue. Prog. Lipid Res. 2009, 48, 275–297. [Google Scholar] [CrossRef] [PubMed]
- Kuusi, T.; Saarinen, P.; Nikkilä, E.A. Evidence for the role of hepatic endothelial lipase in the metabolism of plasma high density lipoprotein2 in man. Atherosclerosis 1980, 36, 589–593. [Google Scholar] [CrossRef]
- Connolly, J.M.; Gilhooly, E.M.; Rose, D.P. Effects of reduced dietary linoleic acid intake, alone or combined with an algal source of docosahexaenoic acid, on MDA-MB-231 breast cancer cell growth and apoptosis in nude mice. Nutr. Cancer 1999, 35, 44–49. [Google Scholar] [CrossRef]
- Perret, B.; Mabile, L.; Martinez, L.; Tercé, F.; Barbaras, R.; Collet, X. Hepatic lipase: Structure/function relationship, synthesis, and regulation. J. Lipid. Res. 2002, 43, 1163–1169. [Google Scholar] [CrossRef] [PubMed]
- Herbst, K.L.; Amory, J.K.; Brunzell, J.D.; Chansky, H.A.; Bremner, W.J. Testosterone administration to men increases hepatic lipase activity and decreases HDL and LDL size in 3 wk. Am. J. Physiol. Endocrinol. Metab. 2003, 284, 1112–1118. [Google Scholar] [CrossRef] [PubMed]
- Xia, J.; Yu, P.; Zeng, Z.; Ma, M.; Zhang, G.; Wan, D.; Gong, D.; Deng, S.; Wang, J. Lauric Triglyceride Ameliorates High-Fat-Diet-Induced Obesity in Rats by Reducing Lipogenesis and Increasing Lipolysis and β-Oxidation. J. Agric. Food Chem. 2021, 69, 9157–9166. [Google Scholar] [CrossRef] [PubMed]
- Digel, M.; Ehehalt, R.; Stremmel, W.; Füllekrug, J. Acyl-CoA synthetases: Fatty acid uptake and metabolic channeling. Mol. Cell Biochem. 2009, 326, 23–28. [Google Scholar] [CrossRef] [PubMed]
- Royan, M.; Navidshad, B. Peroxisome proliferator-activated receptor γ (PPARγ), a key regulatory gene of lipid metabolism in chicken. World Poul. Sci. J. 2016, 72, 773–784. [Google Scholar] [CrossRef]
- Spiegelman, B.M. Peroxisome proliferator-activated receptor γ: A key regulator of adipogenesis and systemic insulin sensitivity. Eur. J. Med. Res. 1997, 2, 457–464. [Google Scholar]
- Bocher, V.; Pineda-Torra, I.; Fruchart, J.C.; Staels, B. PPARs: Transcription factors controlling lipid and lipoprotein metabolism. Ann. N. Y. Acad. Sci. 2002, 967, 7–18. [Google Scholar] [CrossRef]
- Miyoshi, M.; Iizuka, N.; Sakai, S.; Fujiwara, M.; Aoyama-Ishikawa, M.; Maeshige, N.; Hamada, Y.; Takahashi, M.; Usami, M. Oral tributyrin prevents endotoxin-induced lipid metabolism disorder. Clin. Nutr. ESPEN 2015, 10, 83–88. [Google Scholar] [CrossRef] [PubMed]
- Lampidonis, A.D.; Rogdakis, E.; Voutsinas, G.E.; Stravopodis, D.J. The resurgence of Hormone-Sensitive Lipase (HSL) in mammalian lipolysis. Gene 2011, 477, 1–11. [Google Scholar] [CrossRef]
- Morak, M.; Schmidinger, H.; Riesenhuber, G.; Rechberger, G.N.; Kollroser, M.; Haemmerle, G.; Zechner, R.; Kronenberg, F.; Hermetter, A. Adipose triglyceride lipase (ATGL) and hormone-sensitive lipase (HSL) deficiencies affect expression of lipolytic activities in mouse adipose tissues. Mol. Cell Proteom. 2012, 11, 1777–1789. [Google Scholar] [CrossRef]


| Items | 26~40 d | 41~62 d |
|---|---|---|
| Ingredient (%) | ||
| Wheat | 77.96 | 81.51 |
| Soybean meal | 5.65 | 0 |
| Sunflower meal | 3.5 | 4.5 |
| Peanut meal | 4 | 4.25 |
| Corn gluten meal | 1.56 | 1.28 |
| Feather meal | 0 | 1 |
| Lard | 3.14 | 3.46 |
| Calcium bicarbonate | 0.63 | 0.47 |
| Stone powder | 1.36 | 1.33 |
| Premix 1 | 2.2 | 2.2 |
| Nutrient composition, calculated | ||
| Nitrogen-corrected apparent metabolizable energy (MJ/kg) | 12.76 | 12.97 |
| Crude protein (%) | 17.50 | 16.50 |
| Crude fat (%) | 4.76 | 5.17 |
| Calcium (%) | 0.8 | 0.75 |
| Phosphorus (%) | 0.3 | 0.28 |
| Lysine (%) | 0.90 | 0.85 |
| Methionine (%) | 0.45 | 0.37 |
| Gene | Genbank Accession | Primer Sequences (5′→3′) | Size (bp) | Annealing (°C) |
|---|---|---|---|---|
| β-actin | NM_205518.1 | CTGAACCCCAAAGCCAACAGA | 120 | 60 |
| AGTGGTACGACCAGAGGCATACA | ||||
| LPL | NM_205282.2 | CAGTGTCTGCTGCTTACACGAA | 101 | 60 |
| CAAGTGGACATTGTTGAGAGGGTAA | ||||
| ACSL1 | XM_040698931.1 | CGGACAGAGCAGAGTATGTG | 74 | 60 |
| GCCTACGTACTGGCTGTGA | ||||
| PPARγ | NM_001001460.1 | CATGCATCACCACTGCAGGAA | 83 | 60 |
| ACTGCCTCCACAGAGCGAAA | ||||
| PPARα | NM_001001464.1 | GGAGTACATGCTTGTGAAGGTTG | 148 | 60 |
| CTGAAAGGCACTTCTGAAAACGACA | ||||
| FAS | NM_205155.3 | CAAGCCTGGAGATGTGGAGTAT | 154 | 60 |
| CTCTGGATGACCCATGTTTGAC | ||||
| ATGL | EU240627.2 | CTGACAACTTGCCACGATATGAG | 149 | 60 |
| GAGGTTGCGAAGGTTGAATTGGA |
| NC | TB | p-Value | |
|---|---|---|---|
| TC (mmol/L) | 0.0645 ± 0.0079 | 0.0578 ± 0.0059 | 0.129 |
| TG (mmol/L) | 0.1248 ± 0.0187 | 0.1073 ± 0.0135 | 0.095 |
| HDL-C (mmol/L) | 0.0049 ± 0.0008 b | 0.0071 ± 0.0005 a | <0.001 |
| LDL-C (mmol/L) | 0.0532 ± 0.0058 | 0.0480 ± 0.0057 | 0.149 |
| NC | TB | p-Value | |
|---|---|---|---|
| TL (U/mg.prot) | 9.14 ± 0.73 a | 6.30 ± 0.96 b | <0.001 |
| HL (U/mg.prot) | 1.78 ± 0.32 a | 1.23 ± 0.14 b | 0.003 |
| LPL (U/mg.prot) | 7.36 ± 0.47 a | 5.08 ± 0.84 b | <0.001 |
Publisher’s Note: MDPI stays neutral with regard to jurisdictional claims in published maps and institutional affiliations. |
© 2022 by the authors. Licensee MDPI, Basel, Switzerland. This article is an open access article distributed under the terms and conditions of the Creative Commons Attribution (CC BY) license (https://creativecommons.org/licenses/by/4.0/).
Share and Cite
Gu, T.; Duan, M.; Liu, J.; Chen, L.; Tian, Y.; Xu, W.; Zeng, T.; Lu, L. Effects of Tributyrin Supplementation on Liver Fat Deposition, Lipid Levels and Lipid Metabolism-Related Gene Expression in Broiler Chickens. Genes 2022, 13, 2219. https://doi.org/10.3390/genes13122219
Gu T, Duan M, Liu J, Chen L, Tian Y, Xu W, Zeng T, Lu L. Effects of Tributyrin Supplementation on Liver Fat Deposition, Lipid Levels and Lipid Metabolism-Related Gene Expression in Broiler Chickens. Genes. 2022; 13(12):2219. https://doi.org/10.3390/genes13122219
Chicago/Turabian StyleGu, Tiantian, Mingcai Duan, Jinyu Liu, Li Chen, Yong Tian, Wenwu Xu, Tao Zeng, and Lizhi Lu. 2022. "Effects of Tributyrin Supplementation on Liver Fat Deposition, Lipid Levels and Lipid Metabolism-Related Gene Expression in Broiler Chickens" Genes 13, no. 12: 2219. https://doi.org/10.3390/genes13122219
APA StyleGu, T., Duan, M., Liu, J., Chen, L., Tian, Y., Xu, W., Zeng, T., & Lu, L. (2022). Effects of Tributyrin Supplementation on Liver Fat Deposition, Lipid Levels and Lipid Metabolism-Related Gene Expression in Broiler Chickens. Genes, 13(12), 2219. https://doi.org/10.3390/genes13122219
