Deciphering the Key Regulatory Roles of KLF6 and Bta-miR-148a on Milk Fat Metabolism in Bovine Mammary Epithelial Cells
Abstract
1. Introduction:
2. Materials and Methods
2.1. Cell Source
2.2. Experimental Plasmids and Reagents
2.3. Experimental Equipment
2.4. Bioinformatics Prediction of bta-miR-148a Target Gene
2.5. Luciferase Reporter Assay
2.6. Cell Culture and Transfection Reagents
2.7. Extraction of RNA and qPCR
2.8. Screening of KLF6 Gene Interference Vector
2.9. Western Blot Analysis
2.10. Detection of the Intracellular Triglyceride Content
2.11. Detection of the Intracellular Cholesterol Content
2.12. Statistics and Analysis
3. Results
3.1. Expression Trend of bta-miR-148a in BMECs
3.2. Bta-miR-148a Regulates the mRNA Expression of KLF6
3.3. Bta-miR-148a Targets the KLF6 mRNA by Specifically Binding to Its 3’UTR
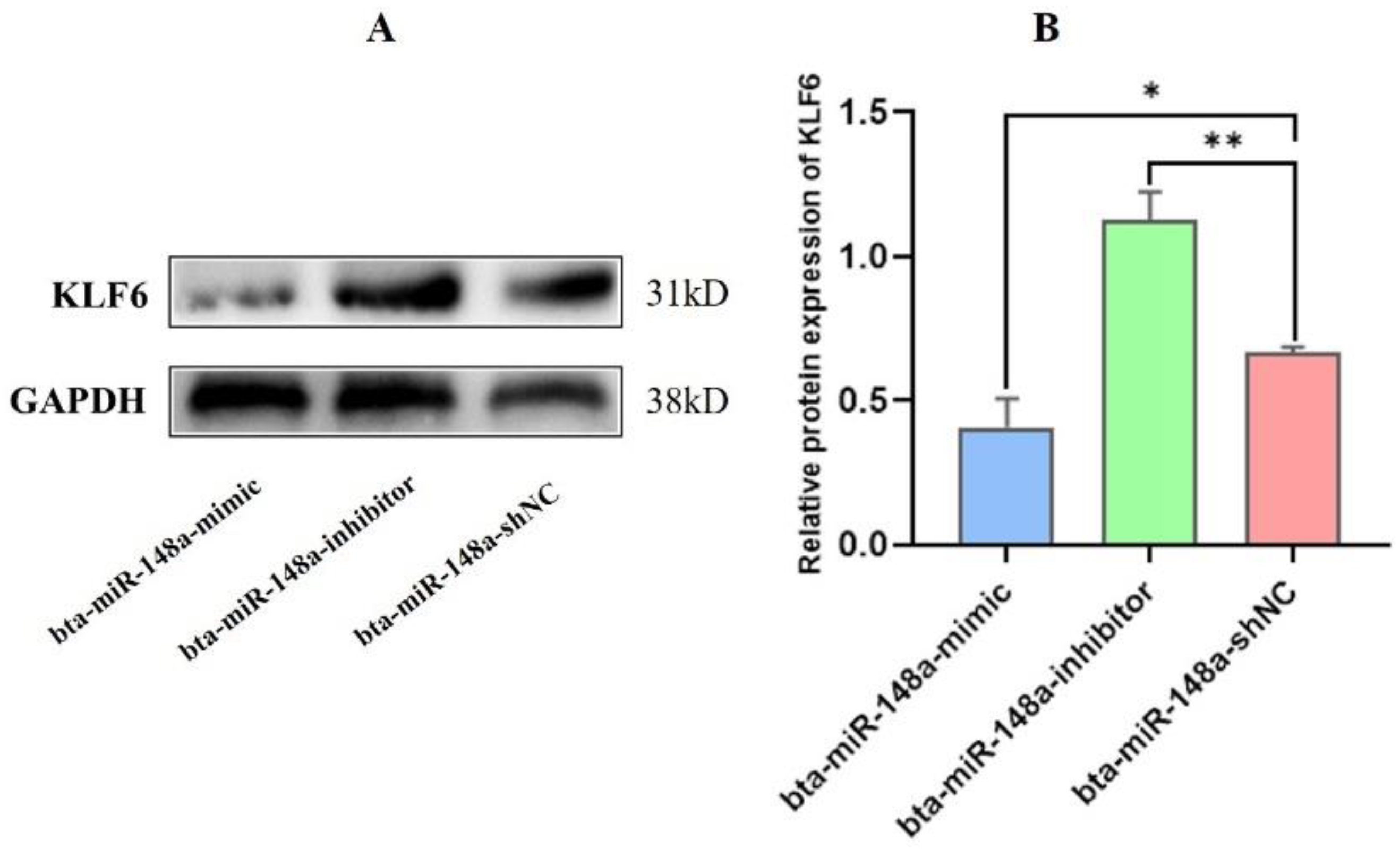
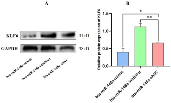
3.4. miR-148a Regulates the KLF6 Protein Expression
3.5. Effect of bta-miR-148a on Triglyceride and Cholesterol Contents in BMECs
3.6. The Relative mRNA Expression of KLF6 in Overexpression and Interference Groups
3.7. Cell Morphology and Transfection Efficiency of Overexpression and Inference Vectors
3.8. Effect of pBI-CMV3-KLF6 and pb7sk-KLF6-siRNA1 on Triglyceride Contents in BMECs
3.9. Effect of KLF6 Overexpression and Down-Regulation on Cholesterol Contents in BMECs
3.10. Expression of KLF6 Protein in BMECs with KLF6 Overexpression and Down-Regulation
3.11. PPARG Relative mRNA Expression in Knock-out KLF6 and Normal BMEC Cell Line
3.12. Relative Protein Expression of the PPARG Pathway Genes in Knock-Out KLF6 and Normal BMEC Cell Line
3.13. Relative mRNA Expression of PPARA Pathway-Related Gene in Knock Out KLF6 and Normal Cell Line
3.14. Protein Expression of the PPARA in Knock-Out KLF6 and Normal BMEC Cell Line
3.15. The mRNA Expression of Marker Genes of Lipid Synthesis in KLF6-KO-BMECs
3.16. String Interaction Network of Different Marker Genes of Lipogenesis in Bos Taurus
4. Discussion
5. Conclusions
Author Contributions
Funding
Institutional Review Board Statement
Informed Consent Statement
Data Availability Statement
Acknowledgments
Conflicts of Interest
Abbreviations
References
- Van Winckel, M.; Vande Velde, S.; De Bruyne, R.; Van Biervliet, S. Clinical practice: Vegetarian infant and child nutrition. Eur. J. Pediatr. 2011, 170, 1489–1494. [Google Scholar] [CrossRef]
- Van Arendonk, J.A.M.; van Valenberg, H.J.F.; Bovenhuis, H. Exploiting Genetic Variation in Milk-Fat Composition of Milk from Dairy Cows; Woodhead Publishing Limited: Sawston, UK, 2010. [Google Scholar]
- Metin, S.; Hartel, R.W. Milk Fat and Cocoa Butter; AOCS Press: Urbana, IL, USA, 2012. [Google Scholar]
- Lin, X.; Luo, J.; Zhang, L.; Wang, W.; Gou, D. MiR-103 Controls Milk Fat Accumulation in Goat (Capra hircus) Mammary Gland during Lactation. PLoS ONE 2013, 8, e79258. [Google Scholar] [CrossRef] [PubMed]
- Shen, B.; Pan, Q.; Yang, Y.; Gao, Y.; Liu, X.; Li, W.; Han, Y.; Yuan, X.; Qu, Y.; Zhao, Z. miR-224 Affects Mammary Epithelial Cell Apoptosis and Triglyceride Production by DownregulatingACADM and ALDH2Genes. DNA Cell Biol. 2017, 36, 26–33. [Google Scholar] [CrossRef]
- Bu, D.; Nan, X.; Wang, F.; Loor, J.; Wang, J. Identification and characterization of microRNA sequences from bovine mammary epithelial cells. J. Dairy Sci. 2015, 98, 1696–1705. [Google Scholar] [CrossRef] [PubMed]
- Do, D.N.; Li, R.; Dudemaine, P.-L.; Ibeagha-Awemu, E.M. MicroRNA roles in signalling during lactation: An insight from differential expression, time course and pathway analyses of deep sequence data. Sci. Rep. 2017, 7, srep44605. [Google Scholar] [CrossRef]
- Dunner, S.; Sevane, N.; Garcia, D.; Levéziel, H.; Williams, J.L.; Mangin, B.; Valentini, A. GeMQual Consortium Genes involved in muscle lipid composition in 15 EuropeanBos taurusbreeds. Anim. Genet. 2013, 44, 493–501. [Google Scholar] [CrossRef]
- Dávalos, A.; Goedeke, L.; Smibert, P.; Ramírez, C.M.; Warrier, N.P.; Andreo, U.; Cirera-Salinas, D.; Rayner, K.; Suresh, U.; Pastor-Pareja, J.C.; et al. miR-33a/b contribute to the regulation of fatty acid metabolism and insulin signaling. PNAS 2011, 108, 2–6. [Google Scholar] [CrossRef]
- Chang, J.; Nicolas, E.; Marks, D.; Sander, C.; Lerro, A.; Buendia, M.A.; Xu, C.; Mason, W.S.; Moloshok, T.; Bort, R.; et al. miR-122, a mammalian liver-specific microRNA, is processed from hcr mRNA and maydownregulate the high affinity cationic amino acid transporter CAT-1. RNA Biol. 2004, 1, 106–113. [Google Scholar] [CrossRef] [PubMed]
- Iliopoulos, D.; Drosatos, K.; Hiyama, Y.; Goldberg, I.J.; Zannis, V.I. MicroRNA-370 controls the expression of MicroRNA-122 and Cpt1α and affects lipid metabolism. J. Lipid Res. 2010, 51, 1513–1523. [Google Scholar] [CrossRef]
- Gerin, I.; Bommer, G.T.; McCoin, C.S.; Sousa, K.M.; Krishnan, V.; MacDougald, O.A. Roles for miRNA-378/378* in adipocyte gene expression and lipogenesis. Am. J. Physiol. Metab. 2010, 299, E198–E206. [Google Scholar] [CrossRef]
- Wang, T.; Li, M.; Guan, J.; Li, P.; Wang, H.; Guo, Y.; Shuai, S.; Li, X. MicroRNAs miR-27a and miR-143 Regulate Porcine Adipocyte Lipid Metabolism. Int. J. Mol. Sci. 2011, 12, 7950–7959. [Google Scholar] [CrossRef] [PubMed]
- Nakanishi, N.; Nakagawa, Y.; Tokushige, N.; Aoki, N.; Matsuzaka, T.; Ishii, K.; Yahagi, N.; Kobayashi, K.; Yatoh, S.; Takahashi, A.; et al. The up-regulation of microRNA-335 is associated with lipid metabolism in liver and white adipose tissue of genetically obese mice. Biochem. Biophys. Res. Commun. 2009, 385, 492–496. [Google Scholar] [CrossRef] [PubMed]
- Lin, X.; Luo, J.; Zhang, L.; Zhu, J. MicroRNAs Synergistically Regulate Milk Fat Synthesis in Mammary Gland Epithelial Cells of Dairy Goats. Gene Expr. 2013, 16, 1–13. [Google Scholar] [CrossRef] [PubMed]
- Benatti, R.O.; Melo, A.M.; Borges, F.O.; Ignacio-Souza, L.M.; Simino, L.A.P.; Milanski, M.; Velloso, L.A.; Torsoni, M.A.; Torsoni, A.S. Maternal high-fat diet consumption modulates hepatic lipid metabolism and microRNA-122 (miR-122) and microRNA-370 (miR-370) expression in offspring. Br. J. Nutr. 2014, 122, 2112–2122. [Google Scholar] [CrossRef]
- Li, R.; Beaudoin, F.; Ammah, A.A.; Bissonnette, N.; Benchaar, C.; Zhao, X.; Lei, C.; Ibeagha-Awemu, E.M. Deep sequencing shows microRNA involvement in bovine mammary gland adaptation to diets supplemented with linseed oil or safflower oil. BMC Genom. 2015, 16, 1–16. [Google Scholar] [CrossRef]
- Manaster, I.; Goldman-Wohl, D.; Greenfield, C.; Nachmani, D.; Tsukerman, P.; Hamani, Y.; Yagel, S.; Mandelboim, O. MiRNA-Mediated Control of HLA-G Expression and Function. PLoS ONE 2012, 7, e33395. [Google Scholar] [CrossRef]
- Palmieri, A.; Pezzetti, F.; Brunelli, G.; Martinelli, M.; Muzio, L.L.; Scarano, A.; Degidi, M.; Piattelli, A.; Carinci, F. Peptide-15 Changes miRNA Expression in Osteoblast-Like Cells. Implant Dent. 2008, 17, 100–108. [Google Scholar] [CrossRef]
- Van Wijnen, A.J.; Van De Peppel, J.; Van Leeuwen, J.P.; Lian, J.B.; Stein, G.S.; Westendorf, J.J.; Oursler, M.J.; Im, H.J.; Taipaleenmäki, H.; Hesse, E.; et al. MicroRNA functions in osteogenesis and dysfunctions in osteoporosis. Curr. Osteoporos. Rep. 2014, 11, 72–82. [Google Scholar] [CrossRef]
- Gailhouste, L.; Santos, L.G.; Hagiwara, K.; Hatada, I.; Kitagawa, N.; Kawaharada, K.; Thirion, M.; Kosaka, N.; Takahashi, R.-U.; Shibata, T.; et al. miR-148a plays a pivotal role in the liver by promoting the hepatospecific phenotype and suppressing the invasiveness of transformed cells. Hepatology 2013, 58, 1153–1165. [Google Scholar] [CrossRef]
- Goedeke, L.; Wagschal, A.; Fernández-Hernando, C.; Näär, A.M. miRNA regulation of LDL-cholesterol metabolism. Biochim. et Biophys. Acta (BBA)-Mol. Cell Biol. Lipids 2016, 1861, 2047–2052. [Google Scholar] [CrossRef]
- Qin, L.; Chen, Y.; Niu, Y.; Chen, W.; Wang, Q.; Xiao, S.; Li, A.; Xie, Y.; Li, J.; Zhao, X.; et al. A deep investigation into the adipogenesis mechanism: Profile of microRNAs regulating adipogenesis by modulating the canonical Wnt/β-catenin signaling pathway. BMC Genom. 2010, 11, 1471–2164. [Google Scholar] [CrossRef] [PubMed]
- Li, H.; Li, T.; Wang, S.; Wei, J.; Fan, J.; Li, J.; Han, Q.; Liao, L.; Shao, C.; Zhao, R.C. miR-17-5p and miR-106a are involved in the balance between osteogenic and adipogenic differentiation of adipose-derived mesenchymal stem cells. Stem Cell Res. 2013, 10, 313–324. [Google Scholar] [CrossRef] [PubMed]
- Chen, Z.; Luo, J.; Sun, S.; Cao, D.; Shi, H.; Loor, J.J. miR-148a and miR-17–5p synergistically regulate milk TAG synthesis via PPARGC1A and PPARA in goat mammary epithelial cells. RNA Biol. 2017, 14, 326–338. [Google Scholar] [CrossRef] [PubMed]
- Melnik, B.C.; Schmitz, G. Milk’s Role as an Epigenetic Regulator in Health and Disease. Diseases 2017, 5, 12. [Google Scholar] [CrossRef] [PubMed]
- Willer, C.J.; Schmidt, E.M.; Sengupta, S.; Peloso, G.M.; Gustafsson, S.; Kanoni, S.; Ganna, A.; Chen, J.; Buchkovich, M.L.; Mora, S.; et al. Discovery and refinement of loci associated with lipid levels. Nat. Genet. 2013, 45, 1274–1283. [Google Scholar] [CrossRef]
- Huan, T.; Rong, J.; Liu, C.; Zhang, X.; Tanriverdi, K.; Joehanes, R.; Chen, B.H.; Murabito, J.M.; Yao, C.; Courchesne, P.; et al. Genome-wide identification of microRNA expression quantitative trait loci. Nat. Commun. 2015, 6, 6601. [Google Scholar] [CrossRef]
- Do, R.; Willer, C.J.; Schmidt, E.M.; Sengupta, S.; Gao, C.; Peloso, G.M.; Gustafsson, S.; Kanoni, S.; Ganna, A.; Chen, J.; et al. Common variants associated with plasma triglycerides and risk for coronary artery disease. Nat. Genet. 2013, 45, 1345–1352. [Google Scholar] [CrossRef]
- Xia, L.; Zhao, Z.; Lu, C.; Jiang, P.; Yu, H.; Li, X.; Yu, X.; Liu, J.; Fang, X.; Yang, R. MicroRNA-mRNA regulatory network related to lipid metabolism in bovine mammary epithelial cells. Res. Sq. 2020, 1–27. [Google Scholar] [CrossRef]
- Mcconnell, B.B.; Yang, V.W. Mammalian Kruppel-Like Factors in Health and Diseases. Physiol. Genom. 2020, 140, 1337–1381. [Google Scholar] [CrossRef]
- Evans, P.M.; Zhang, W.; Chen, X.; Yang, J.; Bhakat, K.K.; Liu, C. Krüppel-like Factor 4 Is Acetylated by p300 and Regulates Gene Transcription via Modulation of Histone Acetylation. J. Biol. Chem. 2007, 282, 33994–34002. [Google Scholar] [CrossRef]
- Papadakis, K.A.; Krempski, J.; Svingen, P.; Xiong, Y.; Sarmento, O.F.; Lomberk, G.A.; Urrutia, R.A.; Faubion, W.A. Krüppel-like factor KLF10 deficiency predisposes to colitis through colonic macrophage dysregulation. Am. J. Physiol. Liver Physiol. 2015, 309, G900–G909. [Google Scholar] [CrossRef] [PubMed]
- Pol, C.J.; Lieu, M.; Drosatos, K. PPARs: Protectors or Opponents of Myocardial Function? PPAR Res. 2015, 2015, 835985. [Google Scholar] [CrossRef] [PubMed]
- Evans, R.M.; Barrish, G.D.; Wang, Y.-X. PPARs and the complex journey to obesity. Nat. Med. 2004, 10, 355–361. [Google Scholar] [CrossRef] [PubMed]
- Barish, G.D.; Narkar, V.A.; Evans, R.M. PPAR: A dagger in the heart of the metabolic syndrome. J. Clin. Investig. 2006, 116, 590–597. [Google Scholar] [CrossRef] [PubMed]
- Poulsen, L.L.C.; Siersbæk, M.; Mandrup, S. PPARs: Fatty acid sensors controlling metabolism. Semin. Cell Dev. Biol. 2012, 23, 631–639. [Google Scholar] [CrossRef] [PubMed]
- Tontonoz, P.; Spiegelman, B.M. Fat and Beyond: The Diverse Biology of PPARγ. Annu. Rev. Biochem. 2008, 77, 289–312. [Google Scholar] [CrossRef]
- Medina-Gomez, G.; Gray, S.L.; Yetukuri, L.; Shimomura, K.; Virtue, S.; Campbell, M.; Curtis, R.K.; Jimenez-Linan, M.; Blount, M.; Yeo, G.S.H.; et al. PPAR gamma 2 Prevents Lipotoxicity by Controlling Adipose Tissue Expandability and Peripheral Lipid Metabolism. PLoS Genet. 2007, 3, e64. [Google Scholar] [CrossRef]
- Saraf, N.; Sharma, P.K.; Mondal, S.C.; Garg, V.K.; Singh, A.K. Role of PPARg2 transcription factor in thiazolidinedione-induced insulin sensitization. J. Pharm. Pharmacol. 2012, 64, 161–171. [Google Scholar] [CrossRef]
- Lu, C.; Yang, R.; Liu, B.; Li, Z.; Shen, B.; Yan, S.; Zhang, Y.; Zhang, L.; Zhao, Z. Establishment of Two Types of Mammary Epithelial Cell Lines from Chinese Holstein Dairy Cow. J. Anim. Veter. Adv. 2012, 11, 1166–1172. [Google Scholar] [CrossRef]
- Li, X.; Jiang, P.; Yu, H.; Yang, Y.; Xia, L.; Yang, R.; Fang, X.; Zhao, Z. miR-21-3p TargetsElovl5 and Regulates Triglyceride Production in Mammary Epithelial Cells of Cow. DNA Cell Biol. 2019, 38, 352–357. [Google Scholar] [CrossRef]
- Jiang, P.; Iqbal, A.; Wang, M.; Li, X.; Fang, X.; Yu, H.; Zhao, Z. Transcriptomic Analysis of Short/Branched-Chain Acyl-Coenzyme a Dehydrogenase Knocked Out bMECs Revealed Its Regulatory Effect on Lipid Metabolism. Front. Veter. Sci. 2021, 8, 744287. [Google Scholar] [CrossRef] [PubMed]
- Iqbal, A.; Ziyi, P.; Yu, H.; Jialing, L.; Haochen, W.; Jing, F.; Ping, J.; Zhihui, Z. C4BPA: A Novel Co-Regulator of Immunity and Fat Metabolism in the Bovine Mammary Epithelial Cells. Front. Genet. 2022, 12, 830566. [Google Scholar] [CrossRef] [PubMed]
- Wright, J.A.; Richer, J.K.; Goodall, G.J. microRNAs and EMT in Mammary Cells and Breast Cancer. J. Mammary Gland Biol. Neoplasia 2010, 15, 213–223. [Google Scholar] [CrossRef]
- Wagschal, A.; Najafi-Shoushtari, S.H.; Wang, L.; Goedeke, L.; Sinha, S.; Delemos, A.S.; Black, J.C.; Ramírez, C.M.; Li, Y.; Tewhey, R.; et al. Genome-wide identification of microRNAs regulating cholesterol and triglyceride homeostasis. Nat. Med. 2015, 21, 1290–1297. [Google Scholar] [CrossRef]
- Modepalli, V.; Kumar, A.; A Hinds, L.; A Sharp, J.; Nicholas, K.R.; Lefevre, C. Differential temporal expression of milk miRNA during the lactation cycle of the marsupial tammar wallaby (Macropus eugenii). BMC Genom. 2014, 15, 1012. [Google Scholar] [CrossRef] [PubMed]
- Li, D.; Yea, S.; Li, S.; Chen, Z.; Narla, G.; Banck, M.; Laborda, J.; Tan, S.; Friedman, J.M.; Friedman, S.L.; et al. Krüppel-like Factor-6 Promotes Preadipocyte Differentiation through Histone Deacetylase 3-dependent Repression of DLK1. J. Biol. Chem. 2005, 280, 26941–26952. [Google Scholar] [CrossRef]
- Raza, S.H.A.; Khan, R.; Schreurs, N.M.; Guo, H.; Gui, L.-S.; Mei, C.; Zan, L. Expression of the bovine KLF6 gene polymorphisms and their association with carcass and body measures in Qinchuan cattle (Bos Taurus). Genomics 2020, 112, 423–431. [Google Scholar] [CrossRef]
- Seppälä, E.H.; Autio, V.; Duggal, P.; Ikonen, T.; Stenman, U.-H.; Auvinen, A.; Bailey-Wilson, J.E.; Tammela, T.L.; Schleutker, J. KLF6 IVS1 -27G>A Variant and the Risk of Prostate Cancer in Finland. Eur. Urol. 2007, 52, 1076–1081. [Google Scholar] [CrossRef]
- Escalona-Nandez, I.; Guerrero-Escalera, D.; Estanes-Hernández, A.; Ortega, V.M.O.; Tovar, A.R.; Pérez-Monter, C. The activation of peroxisome proliferator-activated receptor γ is regulated by Krüppel-like transcription factors 6 & 9 under steatotic conditions. Biochem. Biophys. Res. Commun. 2015, 458, 751–756. [Google Scholar] [CrossRef]
- Gavrilova, O.; Haluzik, M.; Matsusue, K.; Cutson, J.J.; Johnson, L.; Dietz, K.R.; Nicol, C.J.; Vinson, C.; Gonzalez, F.J.; Reitman, M.L. Liver Peroxisome Proliferator-activated Receptor γ Contributes to Hepatic Steatosis, Triglyceride Clearance, and Regulation of Body Fat Mass. J. Biol. Chem. 2003, 278, 34268–34276. [Google Scholar] [CrossRef]
- Schadinger, S.E.; Bucher, N.L.R.; Schreiber, B.M.; Farmer, S.R. PPARγ2 regulates lipogenesis and lipid accumulation in steatotic hepatocytes. Am. J. Physiol. Metab. 2005, 288, E1195–E1205. [Google Scholar] [CrossRef] [PubMed]
- Leonardini, A.; Laviola, L.; Perrini, S.; Natalicchio, A.; Giorgino, F. Cross-Talk between PPARγand Insulin Signaling and Modulation of Insulin Sensitivity. PPAR Res. 2009, 2009, 818945. [Google Scholar] [CrossRef]
- Raza, S.H.A.; Khan, R.; Cheng, G.; Long, F.; Bing, S.; Easa, A.A.; Schreurs, N.M.; Pant, S.D.; Zhang, W.; Li, A.; et al. RNA-Seq reveals the potential molecular mechanisms of bovine KLF6 gene in the regulation of adipogenesis. Int. J. Biol. Macromol. 2021, 195, 198–206. [Google Scholar] [CrossRef]
- Arimura, N.; Horiba, T.; Imagawa, M.; Shimizu, M.; Sato, R. The Peroxisome Proliferator-activated Receptor γ Regulates Expression of the Perilipin Gene in Adipocytes. J. Biol. Chem. 2004, 279, 10070–10076. [Google Scholar] [CrossRef] [PubMed]
- Nagai, S.; Shimizu, C.; Umetsu, M.; Taniguchi, S.; Endo, M.; Miyoshi, H.; Yoshioka, N.; Kubo, M.; Koike, T. Identification of a Functional Peroxisome Proliferator-Activated Receptor Responsive Element within the Murine Perilipin Gene. Endocrinology 2004, 145, 2346–2356. [Google Scholar] [CrossRef][Green Version]
- Rosen, E.D.; Hsu, C.H.; Wang, X.; Sakai, S.; Freeman, M.W.; Gonzalez, F.J.; Spiegelman, B.M. C/EBPα induces adipogenesis through PPARγ: A unified pathway. Genes Dev. 2002, 16, 22–26. [Google Scholar] [CrossRef] [PubMed]
- Rosen, E.D.; Sarraf, P.; Troy, A.E.; Bradwin, G.; Moore, K.; Milstone, D.S.; Spiegelman, B.M.; Mortensen, R.M. PPARγ Is Required for the Differentiation of Adipose Tissue In Vivo and In Vitro. Mol. Cell 1999, 4, 611–617. [Google Scholar] [CrossRef]
- Tontonoz, P.; Hu, E.; Graves, R.A.; Budavari, A.I.; Spiegelman, B.M. mPPAR gamma 2: Tissue-specific regulator of an adipocyte enhancer. Genes Dev. 1994, 8, 1224–1234. [Google Scholar] [CrossRef]
- Wu, Z.; Rosen, E.D.; Brun, R.; Hauser, S.; Adelmant, G.; E Troy, A.; McKeon, C.; Darlington, G.J.; Spiegelman, B.M. Cross-Regulation of C/EBPα and PPARγ Controls the Transcriptional Pathway of Adipogenesis and Insulin Sensitivity. Mol. Cell 1999, 3, 151–158. [Google Scholar] [CrossRef]
- Wu, Z.; Xie, Y.; Morrison, R.F.; Bucher, N.L.; Farmer, S. PPARgamma induces the insulin-dependent glucose transporter GLUT4 in the absence of C/EBPalpha during the conversion of 3T3 fibroblasts into adipocytes. J. Clin. Investig. 1998, 101, 22–32. [Google Scholar] [CrossRef] [PubMed]
- Brandt, J.M.; Djouadi, F.; Kelly, D.P. Fatty Acids Activate Transcription of the Muscle Carnitine Palmitoyltransferase I Gene in Cardiac Myocytes via the Peroxisome Proliferator-activated Receptor α. J. Biol. Chem. 1998, 273, 23786–23792. [Google Scholar] [CrossRef]
- Yu, G.-S.; Lu, Y.-C.; Gulick, T. Co-regulation of Tissue-specific Alternative Human Carnitine Palmitoyltransferase Iβ Gene Promoters by Fatty Acid Enzyme Substrate. J. Biol. Chem. 1998, 273, 32901–32909. [Google Scholar] [CrossRef]
- Kersten, S.; Seydoux, J.; Peters, J.M.; Gonzalez, F.J.; Desvergne, B.; Wahli, W. Peroxisome proliferator–activated receptor α mediates the adaptive response to fasting. J. Clin. Investig. 1999, 103, 1489–1498. [Google Scholar] [CrossRef]
- Leone, T.C.; Weinheimer, C.J.; Kelly, D.P. A critical role for the peroxisome proliferator-activated receptor α (PPARα) in the cellular fasting response: The PPARα-null mouse as a model of fatty acid oxidation disorders. Proc. Natl. Acad. Sci. USA 1999, 96, 7473–7478. [Google Scholar] [CrossRef] [PubMed]
- Bionaz, M.; Loor, J.J. Gene networks driving bovine milk fat synthesis during the lactation cycle. BMC Genom. 2008, 9, 366. [Google Scholar] [CrossRef]
- Repa, J.J.; Liang, G.; Ou, J.; Bashmakov, Y.; Lobaccaro, J.M.A.; Shimomura, I.; Shan, B.; Brown, M.S.; Goldstein, J.L.; Mangelsdorf, D.J. Regulation of mouse sterol regulatory element-binding protein-1c gene (SREBP-1c) by oxysterol receptors, LXRα and LXRβ. Genes Dev. 2000, 14, 2819–2830. [Google Scholar] [CrossRef]
- Yu, H.; Zhao, Z.; Yu, X.; Li, J.; Lu, C.; Yang, R. Bovine lipid metabolism related gene GPAM: Molecular characterization, function identification, and association analysis with fat deposition traits. Gene 2017, 609, 9–18. [Google Scholar] [CrossRef]
- Yu, H.; Zhao, Y.; Iqbal, A.; Xia, L.; Bai, Z.; Sun, H.; Fang, X.; Yang, R.; Zhao, Z. Effects of polymorphism of the GPAM gene on milk quality traits and its relation to triglyceride metabolism in bovine mammary epithelial cells of dairy cattle. Arch. Anim. Breed. 2021, 64, 35–44. [Google Scholar] [CrossRef]
- Matsumoto, H.; Sasaki, K.; Bessho, T.; Kobayashi, E.; Abe, T.; Sasazaki, S.; Oyama, K.; Mannen, H. The SNPs in the ACACA gene are effective on fatty acid composition in holstein milk. Mol. Biol. Rep. 2012, 39, 8637–8644. [Google Scholar] [CrossRef] [PubMed]
- Han, B.; Liang, W.; Liu, L.; Li, Y.; Sun, D. Genetic association of the ACACB gene with milk yield and composition traits in dairy cattle. Anim. Genet. 2018, 49, 169–177. [Google Scholar] [CrossRef]

















| Name | Primer | Sequence (5’–3’) |
|---|---|---|
| Bta- miR148a U6 KLF6 GAPDH | F RT F R F R F R | TGCGGTTCAGTGCACTACAGAA GTCGTATCCAGTGCAGGGTCCGAGGTGCACTGGATACGACACAAGTT CTCGCTTCGGCAGCACA AACGCTTCACGAATTTGCGT CTCGAGTCTAGCTGTTAATGCACTGTAGATCTTAATAAT GGCCGCATTATTAAGATCTACAGTGCATTAACAGCTAGA GCATCGTGGAGGGACTTATGA GGGCCATCCACAGTCTTCTG |
| Name | Primer | Sequence (5’–3’) |
|---|---|---|
| KLF6-WT | F R | GGCCTCTTCCAGGAACTCCAGATTGTGCACGAGACTGGTTACTTCTCGGCGCTGCCCTC TCGAGAGGGCAGCGCCGAGAAGTAACCAGTCTCGTGCACAATCTGGAGTTCCTGGAAGA |
| KLF6-MUT | F R | GGCCTCTTCCAGGAACTCCAGATTGTGCGATCGACTGGTTACTTCTCGGCGCTGCCCTC TCGAGAGGGCAGCGCCGAGAAGTAACCAGTCGATCGCACAATCTGGAGTTCCTGGAAGA |
| Name | Primer | Sequence (5’–3’) |
|---|---|---|
| siKLF6-1 siKLF6-2 siKLF6-3 | F R F R F R | AGAGGAAGCGATGAGTTAACCAGTTGATATCCGCTGGTTAACTCATCGCTTCTTTTTTG GATCCAAAAAAGAAGCGATGAGTTAACCAGCGGATATCAACTGGTTAACTCATCGCTTC AGAGGCTCCAGATTGTGCACGAGATTGATATCCGTCTCGTGCACAATCTGGAGTTTTTTG GATCCAAAAAACTCCAGATTGTGCACGAGACGGATATCAATCTCGTGCACAATCTGGAGC AGAGGTCTGAGCTCCTCGGTCACCTTGATATCCGGGTGACCGAGGAGCTCAGATTTTTTG GATCCAAAAAATCTGAGCTCCTCGGTCACCCGGATATCAAGGTGACCGAGGAGCTCAGAC |
| Gene | Primer F (5’–3’) | Primer R (3’–5’) |
|---|---|---|
| Bos-CBR4 | TAGGTCGCGTTAATTTCTTGGT | TCAGGGCAGCTCTACAGGTC |
| Bos-OXSM | CTGCTTACGTGCCAAGAGGT | GTGGGAGGAGACATGGACTTG |
| Bos-ACSF3 | ACCTCTACTTGCGCAGCCT | CACAAAGGAGACGTCGTTGG |
| Bos-MCAT | CAGGTAGTGGGCATGGGC | CAGCTCCAGCAGGTCGTAG |
| Bos-HSD17B8 | CGCCGTCTGTCGTTGTGTC | ACTTTGTCCCAGTTGTCCTCAG |
| Bos-ACSL5 | TGCTGTGTCTGACAATGGGC | TGCTCGATCAGACACCTGTT |
| Bos-ACSL1 | AGTGATGGTGCCCGGAGAT | TAGGGTTGGTCTGGTTTCCG |
| Bos-FASN | TCACCTACGAGGCCATTGTG | CTGAAGCCTCAGAGCCACTC |
| Bos-ACACB | CACCTCTGCCACAGAATCCC | GTGCCTGCTTCCTGTCTTCT |
| Bos-ACACA | CACTGTAGCCTCTCCAGCAG | CCATTGTTGGCAATGAGAACCT |
| Bos-LXRα | TCAACCCCATCTTCGAGTTC | ACGACTACTTTGACCACTCG |
| Bos-ABCG1 | GACTCGGTCCTCACGCAC | CGGAGAAACACGCTCATCTC |
| Bos-SREBP1 | ATGCCATCGAGAAACGCTAC | CTCTTGGACTCAGACGCCTG |
| Bos-PPARG | CGTGGACCTTTCTATGATGGATG | GATACAGGCTCCACTTTGATTGC |
| Bos-GPAM | ATTGACCCTTGGCACGATAG | AACAGCACCTTCCCACAAAG |
| Bos-AGPAT6 | AAGCAAGTTGCCCATCCTCA | AGCTTTAACCTCGGTGTCAAA |
| Bos-IDH1 | CGATGAGAAGAGAGTGGAGGA | CAAGCCGGGGTATATTTTTG |
| Bos-CYP7A1 | GGAAGCGGTACCTGGATGGC | CCCCTGGGGTCTCAGGACAA |
| Bos-CYP27A1 | GGAAGCGGTACCTGGATGGC | CAAGGCCGCCTGGATCTCTG |
| Bos-ME1 | CAAGGAGCTGGAGAGGCTGC | AGAACGCACCACCAATCGCA |
| Bos-GAPDH | GCATCGTGGAGGGACTTATGA | GGGCCATCCACAGTCTTCTG |
Publisher’s Note: MDPI stays neutral with regard to jurisdictional claims in published maps and institutional affiliations. |
© 2022 by the authors. Licensee MDPI, Basel, Switzerland. This article is an open access article distributed under the terms and conditions of the Creative Commons Attribution (CC BY) license (https://creativecommons.org/licenses/by/4.0/).
Share and Cite
Iqbal, A.; Yu, H.; Jiang, P.; Zhao, Z. Deciphering the Key Regulatory Roles of KLF6 and Bta-miR-148a on Milk Fat Metabolism in Bovine Mammary Epithelial Cells. Genes 2022, 13, 1828. https://doi.org/10.3390/genes13101828
Iqbal A, Yu H, Jiang P, Zhao Z. Deciphering the Key Regulatory Roles of KLF6 and Bta-miR-148a on Milk Fat Metabolism in Bovine Mammary Epithelial Cells. Genes. 2022; 13(10):1828. https://doi.org/10.3390/genes13101828
Chicago/Turabian StyleIqbal, Ambreen, Haibin Yu, Ping Jiang, and Zhihui Zhao. 2022. "Deciphering the Key Regulatory Roles of KLF6 and Bta-miR-148a on Milk Fat Metabolism in Bovine Mammary Epithelial Cells" Genes 13, no. 10: 1828. https://doi.org/10.3390/genes13101828
APA StyleIqbal, A., Yu, H., Jiang, P., & Zhao, Z. (2022). Deciphering the Key Regulatory Roles of KLF6 and Bta-miR-148a on Milk Fat Metabolism in Bovine Mammary Epithelial Cells. Genes, 13(10), 1828. https://doi.org/10.3390/genes13101828

