Reduced Expression of Slc Genes in the VTA and NAcc of Male Mice with Positive Fighting Experience
Abstract
:1. Introduction
2. Materials and Methods
2.1. Generation of Repeated Aggression in Male Mice
2.2. Brain Regions
2.3. RNA-Seq Analysis
2.4. Cell-Specific DEG Distribution
2.5. Statistical Analysis
3. Results
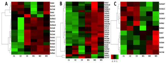
3.1. Ventral Tegmental Area
3.2. Nucleus Accumbens
3.3. Prefrontal Cortex
3.4. Overlapping of the Slc DEGs in Three Brain Structures
3.5. PCA of the Slc DEGs
3.6. Cell-Specific DEGs Distribution
4. Discussion
5. Conclusions
6. Limitations
Supplementary Materials
Author Contributions
Funding
Institutional Review Board Statement
Informed Consent Statement
Data Availability Statement
Acknowledgments
Conflicts of Interest
Abbreviations
| MSN | medium spiny neurons |
| Slc | solute carrier family |
| PCA | principal component analysis |
| AHC | agglomerative hierarchical clustering |
| FPKM | fragments per kilobase of transcript per million mapped reads |
| VTA | ventral tegmental area |
| NAcc | nucleus accumbens |
| PFC | prefrontal cortex |
| W | winners |
| C | controls |
References
- SLC Tables. Available online: http://slc.bioparadigms.org/ (accessed on 11 May 2021).
- He, L.; Vasiliou, K.; Nebert, D.W. Analysis and update of the human solute carrier (SLC) gene superfamily. Hum. Genom. 2009, 3, 195–206. [Google Scholar] [CrossRef] [Green Version]
- Cesar-Razquin, A.; Snijder, B.; Frappier-Brinton, T.; Isserlin, R.; Gyimesi, G.; Bai, X.; Reithmeier, R.A.; Hepworth, D.; Hediger, M.A.; Edwards, A.M.; et al. A Call for systematic research on solute carriers. Cell 2015, 162, 478–487. [Google Scholar] [CrossRef] [Green Version]
- Saier, M.H., Jr.; Reddy, V.S.; Tsu, B.V.; Ahmed, M.S.; Li, C.; Moreno-Hagelsieb, G. The Transporter Classification Database (TCDB): Recent advances. Nucleic Acids Res. 2016, 44, D372–D379. [Google Scholar] [CrossRef] [Green Version]
- Lin, L.; Yee, S.W.; Kim, R.B.; Giacomini, K.M. SLC transporters as therapeutic targets: Emerging opportunities. Nat. Rev. Drug Discov. 2015, 14, 543–560. [Google Scholar] [CrossRef] [Green Version]
- Jankovic, J.; Clarence-Smith, K. Tetrabenazine for the treatment of chorea and other hyperkinetic movement disorders. Expert Rev. Neurother. 2011, 11, 1509–1523. [Google Scholar] [CrossRef] [PubMed]
- Nickell, J.R.; Siripurapu, K.B.; Vartak, A.; Crooks, P.A.; Dwoskin, L.P. The vesicular monoamine transporter-2: An important pharmacological target for the discovery of novel therapeutics to treat methamphetamine abuse. Adv. Pharmacol. 2014, 69, 71–106. [Google Scholar] [CrossRef] [Green Version]
- Harvey, R.J.; Yee, B.K. Glycine transporters as novel therapeutic targets in schizophrenia, alcohol dependence and pain. Nat. Rev. Drug Discov. 2013, 12, 866–885. [Google Scholar] [CrossRef] [PubMed]
- Kudryavtseva, N.N.; Bondar, N.P.; Avgustinovich, D.F. Association between experience of aggression and anxiety in male mice. Behav. Brain Res. 2002, 133, 83–93. [Google Scholar] [CrossRef]
- Kudryavtseva, N.N. Psychopathology of repeated aggression: A neurobiological aspect. In Perspectives on the Psychology of Aggression; Morgan, J.P., Ed.; NOVA Science Publishers: New York, NY, USA, 2006; pp. 35–64. [Google Scholar]
- Kudryavtseva, N.N.; Smagin, D.A.; Kovalenko, I.L.; Vishnivetskaya, G.B. Repeated positive fighting experience in male inbred mice. Nat. Protoc. 2014, 9, 2705–2717. [Google Scholar] [CrossRef] [PubMed]
- Kovalenko, I.L.; Smagin, D.A.; Galyamina, A.G.; Kudryavtseva, N.N. Hyperactivity and abnormal exploratory activity developing in the CD-1 male mice under chronic experience of aggression and social defeats in daily agonistic interactions. J. Behav. Brain Sci. 2015, 5, 478–490. [Google Scholar] [CrossRef] [Green Version]
- Smagin, D.A.; Galyamina, A.G.; Kovalenko, I.L.; Babenko, V.N.; Tamkovich, N.V.; Borisov, S.A.; Tolstikova, T.G.; Kudryavtseva, N.N. Differentially expressed neurotransmitter genes in the dorsal striatum of male mice with psychomotor disturbances. Zhurnal Vyss. Nervn. Deyatelnosti Im. IP Pavlov. 2018, 68, 227–249. [Google Scholar]
- Kudryavtseva, N.N. Positive fighting experience, addiction-like state, and relapse: Retrospective analysis of experimental studies. Aggress. Violent Behav. 2020, 52. [Google Scholar] [CrossRef]
- Filipenko, M.L.; Alekseyenko, O.V.; Beilina, A.G.; Kamynina, T.P.; Kudryavtseva, N.N. Increase of tyrosine hydroxylase and dopamine transporter mRNA levels in ventral tegmental area of male mice under influence of repeated aggression experience. Mol. Brain Res. 2001, 96, 77–81. [Google Scholar] [CrossRef]
- Filipenko, M.L.; Beylina, A.G.; Alekseyenko, O.V.; Timofeeva, O.A.; Avgustinovich, D.F.; Kudryavtseva, N.N. Association between brain COMT gene expression and aggressive experience in daily agonistic confrontations in male mice. In Stress: Neural, Endocrine and Molecular Studies; McCarty, R., Aguilera, G., Sabban, E., Kvetnyansky, R., Eds.; Taylor & Francis: New York, NY, USA, 2002; pp. 157–161. [Google Scholar]
- Bondar, N.P.; Boyarskikh, U.A.; Kovalenko, I.L.; Filipenko, M.L.; Kudryavtseva, N.N. Molecular implications of repeated aggression: Th, Dat1, Snca and Bdnf gene expression in the VTA of victorious male mice. PLoS ONE 2009, 4, e4190. [Google Scholar] [CrossRef] [PubMed]
- Kudriavtseva, N.N.; Filipenko, M.L.; Bakshtanovskaia, I.V.; Avgustinovich, D.F.; Alekseenko, O.V.; Beilina, A.G. Changes in the expression of monoaminergic genes under the influence of repeated experience of agonistic interactions: From behavior to gene. Russ. J. Genet. 2004, 40, 732–748. [Google Scholar] [CrossRef]
- Smagin, D.A.; Boyarskikh, U.A.; Bondar, N.P.; Filipenko, M.L.; Kudryavtseva, N.N. Reduction of serotonergic gene expression in the midbrain raphe nuclei under positive fighting experience. Adv. Biosci. Biotechnol. 2013, 4, 36–44. [Google Scholar] [CrossRef] [Green Version]
- Kudriavtseva, N.N.; Bakshtanovskaia, I.V. The neurochemical control of aggression and submission. Zhurnal Vyss. Nervn. Deiatelnosti Im. IP Pavlov. 1991, 41, 459–466. [Google Scholar]
- Schultz, W. Predictive reward signal of dopamine neurons. J. Neurophysiol. 1998, 80, 1–27. [Google Scholar] [CrossRef] [PubMed]
- Dayan, P.; Balleine, B.W. Reward, motivation, and reinforcement learning. Neuron 2002, 36, 285–298. [Google Scholar] [CrossRef] [Green Version]
- Wise, R.A. Dopamine, learning and motivation. Nat. Rev. Neurosci. 2004, 5, 483–494. [Google Scholar] [CrossRef]
- Berridge, K.C. The debate over dopamine’s role in reward: The case for incentive salience. Psychopharmacology 2007, 191, 391–431. [Google Scholar] [CrossRef] [PubMed]
- Ikemoto, S. Dopamine reward circuitry: Two projection systems from the ventral midbrain to the nucleus accumbens-olfactory tubercle complex. Brain Res. Rev. 2007, 56, 27–78. [Google Scholar] [CrossRef] [PubMed] [Green Version]
- Russo, S.J.; Nestler, E.J. The brain reward circuitry in mood disorders. Nat. Rev. Neurosci. 2013, 14, 609–625. [Google Scholar] [CrossRef] [Green Version]
- Aleyasin, H.; Flanigan, M.E.; Russo, S.J. Neurocircuitry of aggression and aggression seeking behavior: Nose poking into brain circuitry controlling aggression. Curr. Opin. Neurobiol. 2018, 49, 184–191. [Google Scholar] [CrossRef] [PubMed]
- Kudryavtseva, N.N. A sensory contact model for the study of aggressive and submissive behavior in male-mice. Aggress. Behav. 1991, 17, 285–291. [Google Scholar] [CrossRef]
- The Allen Mouse Brain Atlas. Available online: http://mouse.brain-map.org/static/atlas (accessed on 24 April 2005).
- Margolis, E.B.; Lock, H.; Hjelmstad, G.O.; Fields, H.L. The ventral tegmental area revisited: Is there an electrophysiological marker for dopaminergic neurons? J. Physiol. 2006, 577, 907–924. [Google Scholar] [CrossRef]
- Sesack, S.R.; Grace, A.A. Cortico-Basal Ganglia reward network: Microcircuitry. Neuropsychopharmacology 2010, 35, 27–47. [Google Scholar] [CrossRef]
- Trutti, A.C.; Mulder, M.J.; Hommel, B.; Forstmann, B.U. Functional neuroanatomical review of the ventral tegmental area. Neuroimage 2019, 191, 258–268. [Google Scholar] [CrossRef] [Green Version]
- Walsh, J.J.; Han, M.H. The heterogeneity of ventral tegmental area neurons: Projection functions in a mood-related context. Neuroscience 2014, 282, 101–108. [Google Scholar] [CrossRef] [Green Version]
- Morales, M.; Margolis, E.B. Ventral tegmental area: Cellular heterogeneity, connectivity and behaviour. Nat. Rev. Neurosci. 2017, 18, 73–85. [Google Scholar] [CrossRef]
- Bourdy, R.; Barrot, M. A new control center for dopaminergic systems: Pulling the VTA by the tail. Trends Neurosci. 2012, 35, 681–690. [Google Scholar] [CrossRef] [PubMed]
- Nair-Roberts, R.G.; Chatelain-Badie, S.D.; Benson, E.; White-Cooper, H.; Bolam, J.P.; Ungless, M.A. Stereological estimates of dopaminergic, GABAergic and glutamatergic neurons in the ventral tegmental area, substantia nigra and retrorubral field in the rat. Neuroscience 2008, 152, 1024–1031. [Google Scholar] [CrossRef] [Green Version]
- Yamaguchi, T.; Sheen, W.; Morales, M. Glutamatergic neurons are present in the rat ventral tegmental area. Eur. J. Neurosci. 2007, 25, 106–118. [Google Scholar] [CrossRef] [PubMed] [Green Version]
- The Nucleus Accumbens. Available online: https://en.wikipedia.org/wiki/Nucleus_accumbens (accessed on 11 May 2021).
- Robison, A.J.; Nestler, E.J. Transcriptional and epigenetic mechanisms of addiction. Nat. Rev. Neurosci. 2011, 12, 623–637. [Google Scholar] [CrossRef] [PubMed] [Green Version]
- Meredith, G.E.; Pennartz, C.M.; Groenewegen, H.J. The cellular framework for chemical signalling in the nucleus accumbens. Prog. Brain Res. 1993, 99, 3–24. [Google Scholar] [CrossRef]
- Olsen, C.M. Natural rewards, neuroplasticity, and non-drug addictions. Neuropharmacology 2011, 61, 1109–1122. [Google Scholar] [CrossRef] [Green Version]
- Alvarez, J.A.; Emory, E. Executive function and the frontal lobes: A meta-analytic review. Neuropsychol. Rev. 2006, 16, 17–42. [Google Scholar] [CrossRef]
- Steketee, J.D. Neurotransmitter systems of the medial prefrontal cortex: Potential role in sensitization to psychostimulants. Brain Res. Rev. 2003, 41, 203–228. [Google Scholar] [CrossRef]
- Del Arco, A.; Mora, F. Neurotransmitters and prefrontal cortex-limbic system interactions: Implications for plasticity and psychiatric disorders. J. Neural Transm. 2009, 116, 941–952. [Google Scholar] [CrossRef] [PubMed]
- Trapnell, C.; Hendrickson, D.G.; Sauvageau, M.; Goff, L.; Rinn, J.L.; Pachter, L. Differential analysis of gene regulation at transcript resolution with RNA-seq. Nat. Biotechnol. 2013, 31, 46–53. [Google Scholar] [CrossRef]
- Boyarskikh, U.A.; Bondar, N.P.; Filipenko, M.L.; Kudryavtseva, N.N. Downregulation of serotonergic gene expression in the Raphe nuclei of the midbrain under chronic social defeat stress in male mice. Mol. Neurobiol. 2013, 48, 13–21. [Google Scholar] [CrossRef]
- Kudryavtseva, N.N.; Smagin, D.A.; Kovalenko, I.L.; Galyamina, A.G.; Vishnivetskaya, G.B.; Babenko, V.N.; Orlov, Y.L. Serotonergic genes in the development of anxiety/depression-like state and pathology of aggressive behavior in male mice: RNA-seq data. Mol. Biol. 2017, 51, 251–262. [Google Scholar] [CrossRef]
- Zhang, Y.; Chen, K.; Sloan, S.A.; Bennett, M.L.; Scholze, A.R.; O’Keeffe, S.; Phatnani, H.P.; Guarnieri, P.; Caneda, C.; Ruderisch, N.; et al. An RNA-sequencing transcriptome and splicing database of glia, neurons, and vascular cells of the cerebral cortex. J. Neurosci. 2014, 34, 11929–11947. [Google Scholar] [CrossRef]
- Babenko, V.N.; Smagin, D.A.; Kudryavtseva, N.N. RNA-Seq Mouse Brain Regions Expression Data Analysis: Focus on ApoE Functional Network. J. Integr. Bioinform. 2017, 14. [Google Scholar] [CrossRef]
- Babenko, V.N.; Smagin, D.A.; Kovalenko, I.L.; Galyamina, A.G.; Kudryavtseva, N.N. Differentially expressed genes of the Slc6a family as markers of altered brain neurotransmitter system function in pathological states in mice. Neurosci. Behav. Physiol. 2020, 50, 199–209. [Google Scholar] [CrossRef]
- Fields, H.L.; Hjelmstad, G.O.; Margolis, E.B.; Nicola, S.M. Ventral tegmental area neurons in learned appetitive behavior and positive reinforcement. Annu. Rev. Neurosci. 2007, 30, 289–316. [Google Scholar] [CrossRef] [PubMed] [Green Version]
- Grace, A.A. Phasic versus tonic dopamine release and the modulation of dopamine system responsivity: A hypothesis for the etiology of schizophrenia. Neuroscience 1991, 41, 1–24. [Google Scholar] [CrossRef]
- Tomasi, D.; Volkow, N.D. Functional connectivity of substantia nigra and ventral tegmental area: Maturation during adolescence and effects of ADHD. Cereb. Cortex 2014, 24, 935–944. [Google Scholar] [CrossRef] [Green Version]
- Polter, A.M.; Kauer, J.A. Stress and VTA synapses: Implications for addiction and depression. Eur. J. Neurosci. 2014, 39, 1179–1188. [Google Scholar] [CrossRef] [PubMed]
- Adinoff, B. Neurobiologic processes in drug reward and addiction. Harv. Rev. Psychiatry 2004, 12, 305–320. [Google Scholar] [CrossRef]
- Juarez, B.; Han, M.H. Diversity of Dopaminergic Neural Circuits in Response to Drug Exposure. Neuropsychopharmacology 2016, 41, 2424–2446. [Google Scholar] [CrossRef] [Green Version]
- Niehaus, J.L.; Cruz-Bermudez, N.D.; Kauer, J.A. Plasticity of addiction: A mesolimbic dopamine short-circuit? Am. J. Addict. 2009, 18, 259–271. [Google Scholar] [CrossRef] [Green Version]
- Tyrosine Hydroxylase. Available online: https://en.wikipedia.org/wiki/Tyrosine_hydroxylase (accessed on 11 May 2021).
- Miczek, K.A.; Faccidomo, S.P.; Fish, E.W.; DeBold, J.F. Neurochemistry and molecular neurobiology of aggressive behavior. In Handbook of Neurochemistry and Molecular Neurobiology: Behavioral Neurochemistry; Lajtha, A., Blaustein, J.D., Eds.; Springer: Berlin/Heidelberg, Germany, 2007; pp. 285–336. [Google Scholar]
- Van Erp, A.M.; Miczek, K.A. Aggressive behavior, increased accumbal dopamine, and decreased cortical serotonin in rats. J. Neurosci. 2000, 20, 9320–9325. [Google Scholar] [CrossRef] [Green Version]
- Kudryavtseva, N.N. Straub tail, the deprivation effect and addiction to aggression. In Motivation of Health Behavior; O’Neal, P.W., Ed.; NOVA Science Publishers: New York, NY, USA, 2007; pp. 97–110. [Google Scholar]
- Kudryavtseva, N.N.; Smagin, D.A.; Bondar, N.P. Modeling fighting deprivation effect in mouse repeated aggression paradigm. Prog. Neuro-Psychopharmacol. Biol. Psychiatry 2011, 35, 1472–1478. [Google Scholar] [CrossRef]
- Moyer, K.E. Violence and Aggression; Paragon House: New York, NY, USA, 1987. [Google Scholar]
- Scott, J.P. Agonistic behavior of mice and rats: A review. Am. Zool. 1966, 6, 683–701. [Google Scholar] [CrossRef] [PubMed]
- Scott, J.P. Theoretical issues concerning the origin and causes of fighting. In The Physiology of Aggression and Defeat; Eleftheriou, B.E., Scott, J.P., Eds.; Plenum: New York, NY, USA, 1971; pp. 11–42. [Google Scholar]
- Brain, P.F. The adaptiveness of house mouse aggression. In House Mouse Aggression. A Model for Understanding the Evolution of Social Behavior; Brain, P.F., Mainardi, D., Parmigiani, S., Eds.; Harwood Academic Publishers: Chur, Switzerland, 1979; pp. 1–21. [Google Scholar]
- Ramirez, J.M.; Bonniot-Cabanac, M.C.; Cabanac, M. Can aggression provide pleasure? Eur. Psychol. 2005, 10, 136–145. [Google Scholar] [CrossRef] [Green Version]
- Kudryavtseva, N.N. An experimental approach to the study of learned aggression. Aggress. Behav. 2000, 26, 241–256. [Google Scholar] [CrossRef]
- Golden, S.A.; Shaham, Y. Aggression addiction and relapse: A new frontier in psychiatry. Neuropsychopharmacology 2018, 43, 224–225. [Google Scholar] [CrossRef] [PubMed] [Green Version]
- Golden, S.A.; Jin, M.; Shaham, Y. Animal Models of (or for) Aggression reward, addiction, and relapse: Behavior and circuits. J. Neurosci. 2019, 39, 3996–4008. [Google Scholar] [CrossRef] [PubMed] [Green Version]
- Carlezon, W.A., Jr.; Thomas, M.J. Biological substrates of reward and aversion: A nucleus accumbens activity hypothesis. Neuropharmacology 2009, 56 (Suppl. 1), 122–132. [Google Scholar] [CrossRef] [Green Version]
- Day, J.J.; Carelli, R.M. The nucleus accumbens and Pavlovian reward learning. Neuroscientist 2007, 13, 148–159. [Google Scholar] [CrossRef]
- Steiner, H.; Van Waes, V. Addiction-related gene regulation: Risks of exposure to cognitive enhancers vs. other psychostimulants. Prog. Neurobiol. 2013, 100, 60–80. [Google Scholar] [CrossRef] [Green Version]
- Superti-Furga, G.; Lackner, D.; Wiedmer, T.; Ingles-Prieto, A.; Barbosa, B.; Girardi, E.; Goldmann, U.; Gurtl, B.; Klavins, K.; Klimek, C.; et al. The RESOLUTE consortium: Unlocking SLC transporters for drug discovery. Nat. Rev. Drug Discov. 2020, 19, 429–430. [Google Scholar] [CrossRef] [PubMed]
- Nagalakshmi, U.; Wang, Z.; Waern, K.; Shou, C.; Raha, D.; Gerstein, M.; Snyder, M. The transcriptional landscape of the yeast genome defined by RNA sequencing. Science 2008, 320, 1344–1349. [Google Scholar] [CrossRef] [PubMed] [Green Version]
- Cloonan, N.; Forrest, A.R.; Kolle, G.; Gardiner, B.B.; Faulkner, G.J.; Brown, M.K.; Taylor, D.F.; Steptoe, A.L.; Wani, S.; Bethel, G.; et al. Stem cell transcriptome profiling via massive-scale mRNA sequencing. Nat. Methods 2008, 5, 613–619. [Google Scholar] [CrossRef] [PubMed]
- Fedoseeva, L.A.; Klimov, L.O.; Ershov, N.I.; Efimov, V.M.; Markel, A.L.; Orlov, Y.L.; Redina, O.E. The differences in brain stem transcriptional profiling in hypertensive ISIAH and normotensive WAG rats. BMC Genom. 2019, 20, 297. [Google Scholar] [CrossRef] [PubMed]
- Hammack, S.E.; Pepin, J.L.; DesMarteau, J.S.; Watkins, L.R.; Maier, S.F. Low doses of corticotropin-releasing hormone injected into the dorsal raphe nucleus block the behavioral consequences of uncontrollable stress. Behav. Brain Res. 2003, 147, 55–64. [Google Scholar] [CrossRef]






| Substrate Category * | The Slc Transporters, Cotransporters, or Symporter Genes | ||
|---|---|---|---|
| VTA | NAcc | PFC | |
| Amino acids: glycine, proline, and glutamate, etc. | ↓Slc38a10 | ↓Slc1a5, ↓Slc7a11, ↓Slc38a2,↓Slc38a11 | ↑Slc38a2 |
| Glucose, nucleotide sugars | ↓Slc5a11, ↓Slc35e1 | ↓Slc2a4, ↓Slc47a1 | ↓Slc35f4 |
| Metals: zinc, magnesium, copper | ↓Slc39a13 | ↓Slc31a1, ↓Slc41a1 | ↑Slc39a2 |
| Neurotransmitters: noradrenaline, serotonin, glutamate, choline, GABA, proline | ↑Slc6a2,↑Slc6a3 **, ↑Slc6a4 | ↓Slc5a7, ↓Slc6a12, ↓Slc6a13, ↓Slc6a20a | ↓Slc6a7 |
| Vesicular transporter of neurotransmitter glutamate, acetylcholine, GABA, glycine and amino acid | ↑ Slc17a7, ↑Slc17a8, ↓Slc18a3, ↓Slc32a1, | ↑ Slc17a7 | ↓Slc17a8 |
| Inorganic ions: chloride, bicarbonate, hydroxide, sulfate, potassium, sodium, phosphate, monocarboxylate jodide, etc. | ↓Slc12a4, ↓Slc12a9 | ↓Slc4a2, ↓Slc4a5, ↑Slc4a11, ↓Slc5a5, ↓Slc12a7, ↓Slc13a3, ↓Slc13a4, ↓Slc16a12 | ↓Slc5a5,↑Slc16a12,↑Slc16a13, ↓Slc26a4 |
| Organic anions and cations, oligopeptide | ↑Slc22a3, ↓Slco3a1 | ↓Slc22a2, ↓Slc22a6, ↓Slc22a8, ↓Slco5a1 | |
| Nucleosides | ↓Slc28a3,↓Slc29a4 | ↓Slc29a4 | ↑Slc29a3 |
| Mitochondria | ↓Slc25a18 | ↑Slc25a47 | |
| Fatty acids | ↓Slc27a1 | ||
Publisher’s Note: MDPI stays neutral with regard to jurisdictional claims in published maps and institutional affiliations. |
© 2021 by the authors. Licensee MDPI, Basel, Switzerland. This article is an open access article distributed under the terms and conditions of the Creative Commons Attribution (CC BY) license (https://creativecommons.org/licenses/by/4.0/).
Share and Cite
Smagin, D.A.; Babenko, V.N.; Redina, O.E.; Kovalenko, I.L.; Galyamina, A.G.; Kudryavtseva, N.N. Reduced Expression of Slc Genes in the VTA and NAcc of Male Mice with Positive Fighting Experience. Genes 2021, 12, 1099. https://doi.org/10.3390/genes12071099
Smagin DA, Babenko VN, Redina OE, Kovalenko IL, Galyamina AG, Kudryavtseva NN. Reduced Expression of Slc Genes in the VTA and NAcc of Male Mice with Positive Fighting Experience. Genes. 2021; 12(7):1099. https://doi.org/10.3390/genes12071099
Chicago/Turabian StyleSmagin, Dmitry A., Vladimir N. Babenko, Olga E. Redina, Irina L. Kovalenko, Anna G. Galyamina, and Natalia N. Kudryavtseva. 2021. "Reduced Expression of Slc Genes in the VTA and NAcc of Male Mice with Positive Fighting Experience" Genes 12, no. 7: 1099. https://doi.org/10.3390/genes12071099
APA StyleSmagin, D. A., Babenko, V. N., Redina, O. E., Kovalenko, I. L., Galyamina, A. G., & Kudryavtseva, N. N. (2021). Reduced Expression of Slc Genes in the VTA and NAcc of Male Mice with Positive Fighting Experience. Genes, 12(7), 1099. https://doi.org/10.3390/genes12071099

