Establishment and Preliminary Characterization of Three Astrocytic Cells Lines Obtained from Primary Rat Astrocytes by Sub-Cloning
Abstract
1. Introduction
2. Materials and Methods
2.1. Purification of Primary Astrocytes from Cortices of Rat Fetuses
2.2. Establishment of Astrocyte Clones
2.3. Cytogenetic Analysis
2.4. Methylation-Sensitive Arbitrarily-Primed—Polymerase Chain Reaction (MeSAP-PCR)
2.5. In Situ 5-Methylcytosine Immunolocalization
2.6. Methylation-Sensitive Restriction Endonuclease Polymerase Chain Reaction (MSRE-PCR)
2.7. Preparation of Cell Lysates and Western Blot Analysis
2.8. Immunofluorescence Microscopy
2.9. Statistical Analysis
3. Results
3.1. Astrocytic Clones Maintain Expression of Glial Fibrillary Acidic Protein (GFAP)
3.2. Karyotype/Chromosome Instability Evaluated by Cytogenetic Data
3.3. Decrementation of Epigenomic DNA Methylation Revealed by MeSAP-PCR
3.4. Cytogenomic Confirmation of DNA Demethylation by In Situ 5-Methylcytosine Immunolocalization
3.5. Epigenetic Promoter Methylation Signatures Displayed by MSRE-PCR
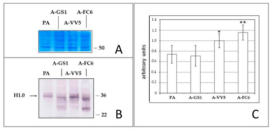
3.6. Western Analysis of H1.0 Expression
4. Discussion
5. Conclusions
Author Contributions
Funding
Conflicts of Interest
References
- Weller, M.; Wick, W.; Aldape, K.; Brada, M.; Berger, M.; Pfister, S.M.; Nishikawa, R.; Rosenthal, M.; Wen, P.Y.; Stupp, R.; et al. Glioma. Nat. Rev. Dis. Primers 2015, 1, 15017. [Google Scholar] [CrossRef]
- Chen, R.; Pan, Y.; Gutmann, D.H. The power of the few. Genes Dev. 2017, 31, 1177–1179. [Google Scholar] [CrossRef]
- Schiera, G.; Di Liegro, C.M.; Di Liegro, I. Molecular Determinants of Malignant Brain Cancers: From Intracellular Alterations to Invasion Mediated by Extracellular Vesicles. Int. J. Mol. Sci. 2017, 18, 2774. [Google Scholar] [CrossRef]
- Sampetrean, O.; Saya, H. Modeling phenotypes of malignant gliomas. Cancer Sci. 2018, 109, 6–14. [Google Scholar] [CrossRef] [PubMed]
- Jovčevska, I. Next Generation Sequencing and Machine Learning Technologies Are Painting the Epigenetic Portrait of Glioblastoma. Front. Oncol. 2020, 10, 798. [Google Scholar] [CrossRef] [PubMed]
- Fuller, G.N.; Scheithauer, B.W. The 2007 revised World Health Organization (WHO) classification of tumors of the central nervous system: Newly codified entities. Brain Pathol. 2007, 17, 304–307. [Google Scholar] [CrossRef] [PubMed]
- Louis, D.N.; Ohgaki, H.; Wiestler, O.D.; Cavenee, W.K.; Burger, P.C.; Jouvet, A.; Scheithauer, B.W.; Kleihues, P. The 2007 WHO classification of tumors of the central nervous system. Acta Neuropathol. 2007, 114, 97–109. [Google Scholar] [CrossRef] [PubMed]
- Eckel-Passow, J.E.; Lachance, D.H.; Molinaro, A.M.; Walsh, K.M.; Decker, P.A.; Sicotte, H.; Pekmezci, M.; Rice, T.; Kosel, M.L.; Smirnov, I.V.; et al. Glioma Groups Based on 1p/19q, IDH and TERT Promoter Mutations in Tumors. N. Engl. J. Med. 2015, 372, 2499–2508. [Google Scholar] [CrossRef] [PubMed]
- Leeper, H.E.; Caron, A.A.; Decker, P.A.; Jenkins, R.B.; Lachance, D.H.; Giannini, C. IDH mutation, 1p19q codeletion and ATRX loss in WHO grade II gliomas. Oncotarget 2015, 6, 30295–30305. [Google Scholar] [CrossRef]
- Bronisz, A.; Godlewski, J.; Chiocca, E.A. Extracellular Vesicles and MicroRNAs: Their Role in Tumorigenicity and Therapy for Brain Tumors. Cell. Mol. Neurobiol. 2016, 36, 361–376. [Google Scholar] [CrossRef]
- Louis, D.N.; Perry, A.; Reifenberger, G.; von Deimling, A.; Figarella-Branger, D.; Cavenee, W.K.; Ohgaki, H.; Wiestler, O.D.; Kleihues, P.; Ellison, D.W. The 2016 world health organization classification of tumors of the central nervous system: A summary. Acta Neuropathol. 2016, 131, 803–820. [Google Scholar] [CrossRef] [PubMed]
- Onizuka, H.; Masui, K.; Komori, T. Diffuse gliomas to date and beyond 2016 WHO Classification of Tumours of the Central Nervous System. Int. J. Clin. Oncol. 2020, 25, 997–1003. [Google Scholar] [CrossRef] [PubMed]
- Buckner, J.C.; Chakravarti, A.; Curran, W.J., Jr. Radiation plus Chemotherapy in Low-Grade Glioma. N. Engl. J. Med. 2016, 375, 490–491. [Google Scholar] [CrossRef] [PubMed]
- Tipping, M.; Eickhoff, J.; Ian Robins, H. Clinical outcomes in recurrent glioblastoma with bevacizumab therapy: An analysis of the literature. J. Clin. Neurosci. 2017, 44, 101–106. [Google Scholar] [CrossRef]
- Xu, W.; Li, T.; Gao, L.; Zheng, J.; Shao, A.; Zhang, J. Efficacy and safety of long-term therapy for high-grade glioma with temozolomide: A meta-analysis. Oncotarget 2017, 8, 51758–51765. [Google Scholar] [CrossRef]
- Douw, L.; Klein, M.; Fagel, S.S.; van den Heuvel, J.; Taphoorn, M.J.; Aaronson, N.K.; Postma, T.J.; Vandertop, W.P.; Mooij, J.J.; Boerman, R.H. Cognitive and radiological effects of radiotherapy in patients with low-grade glioma: Long-term follow-up. Lancet Neurol. 2009, 8, 810–818. [Google Scholar] [CrossRef]
- Thurin, E.; Nyström, P.W.; Smits, A.; Werlenius, K.; Bäck, A.; Liljegren, A.; Daxberg, E.-L.; Store Jakola, A. Proton Therapy for Low-Grade Gliomas in Adults: A Systematic Review. Clin. Neurol. Neurosurg. 2018, 174, 233–238. [Google Scholar] [CrossRef]
- Escobar, A.; Gutierrez, M.; Tejada, R. Letter to the editor regarding “Proton therapy for low-grade gliomas in adults: A systematic review”. Clin. Neurol. Neurosurg. 2020, 196, 105974. [Google Scholar] [CrossRef]
- Salvatore, V.; Teti, G.; Focaroli, S.; Mazzotti, M.C.; Mazzotti, A.; Falconi, M. The tumor microenvironment promotes cancer progression and cell migration. Oncotarget 2017, 8, 9608–9616. [Google Scholar] [CrossRef]
- Alexandru, O.; Horescu, C.; Sevastre, A.-S.; Cioc, C.E.; Baloi, C.; Oprita, A.; Dricu, A. Receptor tyrosine kinase targeting in glioblastoma: Performance, limitations and future approaches. Contemp. Oncol. 2020, 24, 55–66. [Google Scholar] [CrossRef]
- Di Liegro, C.M.; Schiera, G.; Di Liegro, I. H1.0 Linker Histone as an Epigenetic Regulator of Cell Proliferation and Differentiation. Genes 2018, 9, 310. [Google Scholar] [CrossRef] [PubMed]
- Osley, M.A. The regulation of histone synthesis in the cell cycle. Annu. Rev. Biochem. 1991, 60, 827–861. [Google Scholar] [CrossRef] [PubMed]
- Castiglia, D.; Gristina, R.; Scaturro, M.; Di Liegro, I. Cloning and analysis of cDNA for rat histone H1(0). Nucleic Acids Res. 1993, 21, 1674. [Google Scholar] [CrossRef]
- Terme, J.M.; Sese, B.; Millan-Arino, L.; Mayor, R.; Izpisua Belmonte, J.C.; Barrero, M.J.; Jordan, A. Histone H1 variants are differentially expressed and incorporated into chromatin during differentiation and reprogramming to pluripotency. J. Biol. Chem. 2011, 286, 35347–35357. [Google Scholar] [CrossRef] [PubMed]
- Pan, C.; Fan, Y. Role of H1 linker histones in mammalian development and stem cell differentiation. Biochim. Biophys. Acta 2016, 1859, 496–509. [Google Scholar] [CrossRef] [PubMed]
- Zlatanova, J.; Doenecke, D. Histone H1 zero: A major player in cell differentiation? FASEB J. 1994, 8, 1260–1268. [Google Scholar] [CrossRef]
- Torres, C.M.; Biran, A.; Burney, M.J.; Patel, H.; Henser-Brownhill, T.; Cohen, A.S.; Li, Y.; Ben-Hamo, R.; Nye, E.; Spencer-Dene, B.; et al. The linker histone H1.0 generates epigenetic and functional intratumor heterogeneity. Science 2016, 353, aaf1644. [Google Scholar] [CrossRef]
- Roque, A.; Ponte, I.; Suau, P. The subtype-specific role of histone H1.0 in cancer cell differentiation and intratumor heterogeneity. Transl. Cancer Res. 2017, 6 (Suppl. S2), S414–S417. [Google Scholar] [CrossRef]
- Schiera, G.; Di Liegro, C.M.; Saladino, P.; Pitti, R.; Savettieri, G.; Proia, P.; Di Liegro, I. Oligodendroglioma cells synthesize the differentiation-specific linker histone H1.0 and release it into the extracellular environment through shed vesicles. Int. J. Oncol. 2013, 43, 1771–1776. [Google Scholar] [CrossRef]
- Schiera, G.; Di Liegro, C.M.; Puleo, V.; Colletta, O.; Fricano, A.; Cancemi, P.; Di Cara, G.; Di Liegro, I. Extracellular vesicles shed by melanoma cells contain a modified form of H1.0 linker histone and H1.0 mRNA-binding proteins. Int. J. Oncol. 2016, 49, 1807–1814. [Google Scholar] [CrossRef]
- Scaturro, M.; Nastasi, T.; Raimondi, L.; Bellafiore, M.; Cestelli, A.; Di Liegro, I. H1(0) RNA-binding proteins specifically expressed in the rat brain. J. Biol. Chem. 1998, 273, 22788–22791. [Google Scholar] [CrossRef] [PubMed]
- Saladino, P.; Di Liegro, C.M.; Proia, P.; Sala, A.; Schiera, G.; Lo Cicero, A.; Di Liegro, I. RNA-binding Activity of the Rat Calmodulin-Binding PEP-19 Protein and of the Long PEP-19 Isoform. Int. J. Mol. Med. 2012, 29, 141–145. [Google Scholar] [CrossRef] [PubMed][Green Version]
- Di Liegro, C.M.; Schiera, G.; Proia, P.; Saladino, P.; Di Liegro, I. Identification in the Rat Brain of a Set of Nuclear Proteins Interacting with H1 mRNA. Neuroscience 2013, 229, 71–76. [Google Scholar] [CrossRef] [PubMed]
- Nastasi, T.; Scaturro, M.; Bellafiore, M.; Raimondi, L.; Beccari, S.; Cestelli, A.; Di Liegro, I. PIPPin is a brain-specific protein that contains a cold-shock domain and binds specifically to H1 and H3.3 mRNAs. J. Biol. Chem. 1999, 274, 24087–24093. [Google Scholar] [CrossRef]
- Nastasi, T.; Muzi, P.; Beccari, S.; Bellafiore, M.; Dolo, V.; Bologna, M.; Cestelli, A.; Di Liegro, I. Specific neurons of brain cortex and cerebellum are PIPPin positive. Neuroreport 2000, 11, 2233–2236. [Google Scholar] [CrossRef]
- Mo, X.; Su, Z.; Yang, B.; Zeng, Z.; Lei, S.; Qiao, H. Identification of Key Genes Involved in the Development and Progression of Early-Onset Colorectal Cancer by Co-Expression Network Analysis. Oncol. Lett. 2020, 19, 177–186. [Google Scholar] [CrossRef]
- Cole, R.; de Vellis, J. Preparation of astrocytes and oligodendrocyte cultures from primary rat glial cultures. In A Dissection and Tissue Culture Manual of the Nervous System; Alan R Liss Inc.: New York, NY, USA, 1989; pp. 121–133. [Google Scholar]
- Schiera, G.; Bono, E.; Raffa, M.P.; Gallo, A.; Pitarresi, G.L.; Di Liegro, I.; Savettieri, G. Synergistic effects of neurons and astrocytes on the differentiation of brain capillary endothelial cells in culture. J. Cell. Mol. Med. 2003, 7, 165–170. [Google Scholar] [CrossRef]
- Hu, P.; Zhang, W.; Xin, H.; Deng, G. Single Cell Isolation and Analysis. Front. Cell Dev. Biol. 2016, 4, 116. [Google Scholar] [CrossRef]
- Committee for a Standardized Karyotype of Rattus Norvegicus. Standard karyotype of the Norway rat. Ratt. Nor. Cytogenet. Cell Genet. 1973, 12, 199–205. [Google Scholar] [CrossRef]
- Mauro, M.; Catanzaro, I.; Naselli, F.; Sciandrello, G.; Caradonna, F. Abnormal mitotic spindle assembly and cytokinesis induced by D-Limonene in cultured mammalian cells. Mutagenesis 2013, 28, 631–635. [Google Scholar] [CrossRef]
- Mannino, G.; Caradonna, F.; Cruciata, I.; Lauria, A.; Perrone, A.; Gentile, C. Melatonin reduces inflammatory response in human intestinal epithelial cells stimulated by interleukin-1. J. Pineal Res. 2019, 67, e12598. [Google Scholar] [CrossRef] [PubMed]
- Sirchia, R.; Priulla, M.; Sciandrello, G.; Caradonna, F.; Barbata, G.; Luparello, C. Mid-region parathyroid hormone-related protein (PTHrP) binds chromatin of MDA-MB231 breast cancer cells and isolated oligonucleotides “in vitro”. Breast Cancer Res. Treat. 2007, 105, 105–116. [Google Scholar] [CrossRef] [PubMed]
- Caradonna, F. Nucleoplasmic bridges and acrocentric chromosome associations as early markers of exposure to low levels of ionising radiation in occupationally exposed hospital workers. Mutagenesis 2015, 30, 269–275. [Google Scholar] [CrossRef] [PubMed]
- Caradonna, F.; Luparello, C. Cytogenetic characterization of HB2 epithelial cells from the human breast. In Vitro Cell. Dev. Biol. Anim. 2014, 50, 48–55. [Google Scholar] [CrossRef]
- Librizzi, M.; Chiarelli, R.; Bosco, L.; Sansook, S.; Gascon, J.M.; Spencer, J.; Caradonna, F.; Luparello, C. The Histone Deacetylase Inhibitor JAHA Down-Regulates pERK and Global DNA Methylation in MDA-MB231 Breast Cancer Cells. Materials 2015, 8, 7041–7047. [Google Scholar] [CrossRef]
- Caradonna, F.; Cruciata, I.; Schifano, I.; La Rosa, C.; Naselli, F.; Chiarelli, R.; Perrone, A.; Gentile, C. Methylation of cytokines gene promoters in IL-1_-treated human intestinal epithelial cells. Inflamm. Res. 2018, 67, 327–337. [Google Scholar] [CrossRef]
- Chamorro, J.G.; Castagnino, J.P.; Aidar, O.; Musella, R.M.; Frías, A.; Visca, M.; Nogueras, M.; Costa, L.; Perez, A.; Caradonna, F.; et al. Effect of gene-gene and gene-environment interactions associated with antituberculosis drug-induced hepatotoxicity. Pharm. Genom. 2017, 27, 363–371. [Google Scholar] [CrossRef]
- Luparello, C.; Librizzi, M.; Asaro, D.M.L.; Cruciata, I.; Caradonna, F. Mid-region parathyroid hormone-related protein is a genome-wide chromatin-binding factor that promotes growth and differentiation of HB2 epithelial cells from the human breast. Biofactors 2019, 45, 279–288. [Google Scholar] [CrossRef]
- Mauro, M.; Caradonna, F.; Klein, C.B. Dysregulation of DNA methylation induced by past arsenic treatment causes persistent genomic instability in mammalian cells. Environ. Mol. Mutagen. 2016, 57, 137–150. [Google Scholar] [CrossRef]
- Longo, A.; Librizzi, M.; Naselli, F.; Caradonna, F.; Tobiasch, E.; Luparello, C. PTHrP in differentiating human mesenchymal stem cells: Transcript isoform expression, promoter methylation, and protein accumulation. Biochimie 2013, 95, 1888–1896. [Google Scholar] [CrossRef]
- Dimarco, E.; Cascone, E.; Bellavia, D.; Caradonna, F. Functional variants of 5S rRNA in the ribosomes of common sea urchin Paracentrotus lividus. Gene 2012, 508, 21–25. [Google Scholar] [CrossRef] [PubMed]
- Bellavia, D.; Dimarco, E.; Naselli, F.; Caradonna, F. DNA-methylation dependent regulation of embryo-specific 5S ribosomal DNA cluster transcription in adult tissues of sea urchin Paracentrotus lividus. Genomics 2013, 102, 397–402. [Google Scholar] [CrossRef] [PubMed][Green Version]
- Bellavia, D.; Dimarco, E.; Caradonna, F. Characterization of three different clusters of 18S–26S ribosomal DNA genes in the sea urchin P. lividus: Genetic and epigenetic regulation synchronous to 5S rDNA. Gene 2016, 580, 118–124. [Google Scholar] [CrossRef] [PubMed]
- Scaturro, M.; Cestelli, A.; Castiglia, D.; Nastasi, T.; Di Liegro, I. Posttranscriptional regulation of H1 and H3.3B histone genes in differentiating rat cortical neurons. Neurochem. Res. 1995, 20, 969–976. [Google Scholar] [CrossRef] [PubMed]
- Diao, W.; Tong, X.; Yang, C.; Zhang, F.; Bao, C.; Chen, H.; Liu, L.; Li, M.; Ye, F.; Fan, Q.; et al. Behaviors of Glioblastoma Cells in in Vitro Microenvironments. Sci. Rep. 2019, 9, 85. [Google Scholar] [CrossRef] [PubMed]
- Hanahan, D.; Weinberg, R.A. The hallmarks of cancer. Cell 2000, 100, 57–70. [Google Scholar] [CrossRef]
- Hanahan, D.; Weinberg, R.A. Hallmarks of cancer: The next generation. Cell 2011, 144, 646–674. [Google Scholar] [CrossRef]
- Cavallo, F.; De Giovanni, C.; Nanni, P.; Forni, G.; Lollini, P.L. 2011: The immune hallmarks of cancer. Immunol. Immunother. 2011, 60, 319–326. [Google Scholar] [CrossRef]
- Miura, K.; Hamanaka, K.; Koizumi, T.; Kawakami, S.; Kobayashi, N.; Ito, K.I. Solid component tumor doubling time is a prognostic factor in non-small cell lung cancer patients. J. Cardiothorac. Surg. 2019, 14, 57. [Google Scholar] [CrossRef]
- Caradonna, F.; Mauro, M. Role of the antioxidant defence system and telomerase in arsenic-induced genomic instability. Mutagenesis 2016, 31, 661–667. [Google Scholar] [CrossRef]
- Librizzi, M.; Caradonna, F.; Cruciata, I.; Dębski, J.; Sansook, S.; Dadlez, M.; Spencer, J.; Luparello, C. Molecular Signatures Associated with Treatment of Triple-Negative MDA-MB231 Breast Cancer Cells with Histone Deacetylase Inhibitors JAHA and SAHA. Chem. Res. Toxicol. 2017, 30, 2187–2196. [Google Scholar] [CrossRef]
- Catanzaro, I.; Naselli, F.; Saverini, M.; Giacalone, A.; Montalto, G.; Caradonna, F. Cytochrome P450 2E1 variable number tandem repeat polymorphisms and health risks: A genotype-phenotype study in cancers associated with drinking and/or smoking. Mol. Med. Rep. 2012, 6, 416–420. [Google Scholar] [CrossRef] [PubMed]
- Lapunzina, P.; Monk, D. The consequences of uniparental disomy and copy number neutral loss-of-heterozygosity during human development and cancer. Biol. Cell 2011, 103, 303–317. [Google Scholar] [CrossRef] [PubMed]
- Chen, J.; Tsai, C.; Lin, H.; Huang, C.; Leung, Y.; Lai, S.; Tsai, C.; Chang, P.; Lu, D.; Lin, C. Interleukin-19 Is A Pivot Regulatory Factor on Matrix Metalloproteinase-13 expression and Brain Astrocytic Migration. Mol. Biol. 2016, 53, 6218–6227. [Google Scholar] [CrossRef]
- Zhang, J.; Wang, Y.; Fan, C.; Xiao, X.; Zhang, Q.; Xu, T.; Jiang, C. Interleukin-8/β-catenin mediates epithelial–mesenchymal transition in ameloblastoma. Oral Dis. 2019, 1964–1971. [Google Scholar] [CrossRef]
- Koessinger, D.; Albrecht, V.; Faber, F.; Jaehnert, I.; Schichor, C. ETS-1 Expression Is Hypoxia-independent in Glioblastoma-derived endothelial and mesenchymal stem-like cells. Anticancer Res. 2018, 38, 3347–3355. [Google Scholar] [CrossRef]
- Pfeifer, G.P. Defining Driver DNA Methylation Changes in Human Cancer. Int. J. Mol. Sci. 2018, 19, 1166. [Google Scholar] [CrossRef]
- Saeidnia, S.; Manayi, A.; Abdollahi, M. From in vitro Experiments to in vivo and Clinical Studies; Pros and Cons. Curr. Drug Discov. Technol. 2015, 12, 218–224. [Google Scholar] [CrossRef]







| Cell Line | Modal Karyotype (2n=) | Euploidy (%) | Aneuploidy (%) | of Which (Specific Aneuploidy) | Chromosome Aberrations (%) | of Which (Specific Aberration) |
|---|---|---|---|---|---|---|
| Primary astrocytes | 42 | 100 | 0 | - | 0 | - |
| A-GS1 | 43 | 59 | 41 |
| 0 | - |
| A-VV5 | 41 | 45 | 55 |
| 11 7 2 |
|
| A-FC6 | 41 | 41 | 59 |
| 100 12 5 |
|
| Gene → | H1F0 | ||||
|---|---|---|---|---|---|
| CpG Site * → | 844 | 1592 | 2352 | 3036 | 3586 |
| Primary astrocytes | M | uM | M | M | M |
| A-GS1 clone | M | uM | M | M | M |
| A-VV5 clone | M | uM | M | M | M |
| A-FC6 clone | M | uM | M | M | M |
Publisher’s Note: MDPI stays neutral with regard to jurisdictional claims in published maps and institutional affiliations. |
© 2020 by the authors. Licensee MDPI, Basel, Switzerland. This article is an open access article distributed under the terms and conditions of the Creative Commons Attribution (CC BY) license (http://creativecommons.org/licenses/by/4.0/).
Share and Cite
Caradonna, F.; Schiera, G.; Di Liegro, C.M.; Vitale, V.; Cruciata, I.; Ferrara, T.; D’Oca, P.; Mormino, R.; Rizzo, S.M.A.; Di Liegro, I. Establishment and Preliminary Characterization of Three Astrocytic Cells Lines Obtained from Primary Rat Astrocytes by Sub-Cloning. Genes 2020, 11, 1502. https://doi.org/10.3390/genes11121502
Caradonna F, Schiera G, Di Liegro CM, Vitale V, Cruciata I, Ferrara T, D’Oca P, Mormino R, Rizzo SMA, Di Liegro I. Establishment and Preliminary Characterization of Three Astrocytic Cells Lines Obtained from Primary Rat Astrocytes by Sub-Cloning. Genes. 2020; 11(12):1502. https://doi.org/10.3390/genes11121502
Chicago/Turabian StyleCaradonna, Fabio, Gabriella Schiera, Carlo Maria Di Liegro, Vincenzo Vitale, Ilenia Cruciata, Tiziana Ferrara, Pietro D’Oca, Riccardo Mormino, Simona Maria Angela Rizzo, and Italia Di Liegro. 2020. "Establishment and Preliminary Characterization of Three Astrocytic Cells Lines Obtained from Primary Rat Astrocytes by Sub-Cloning" Genes 11, no. 12: 1502. https://doi.org/10.3390/genes11121502
APA StyleCaradonna, F., Schiera, G., Di Liegro, C. M., Vitale, V., Cruciata, I., Ferrara, T., D’Oca, P., Mormino, R., Rizzo, S. M. A., & Di Liegro, I. (2020). Establishment and Preliminary Characterization of Three Astrocytic Cells Lines Obtained from Primary Rat Astrocytes by Sub-Cloning. Genes, 11(12), 1502. https://doi.org/10.3390/genes11121502

