Properties and Functions of Myochondrocytes and Myochondroblasts in Different Human Cartilage Tissues—An Overview
Abstract
1. Introduction
2. Human Cartilages Containing Myochondrocytes
2.1. History of the Description of Cartilage Cells with Myofilaments in Human Cartilage Tissue
2.2. Normal Human Cartilages Containing Myochondrocytes
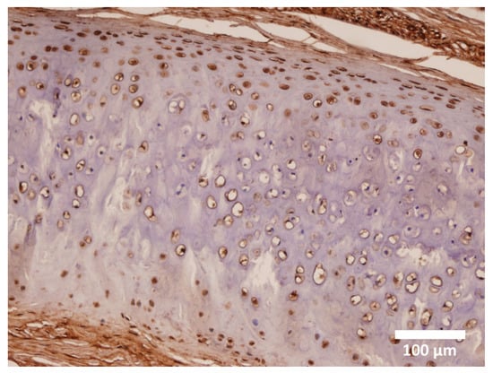
2.2.1. Auricular Cartilage
2.2.2. Myochondrocytes in Normal Articular Cartilage
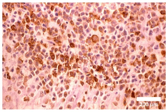
2.3. Myochondrocytes in Pathologically Changed Articular Cartilage
2.3.1. Osteoarthritic Cartilage
2.3.2. Autologous Chondrocyte Transplantation of Two Different-Seeded Materials
3. Discussion
4. Conclusions
Author Contributions
Funding
Data Availability Statement
Conflicts of Interest
Abbreviations
| αSMA | Alpha smooth muscle actin |
| ATP | Adenosine triphosphate |
| CEMIP | Cell migration-inducing protein |
| F-actin | Filamentous actin |
| G-actin | Globular actin |
| JAK | Cota |
| MSCs | Mesenchymal stem cells |
| OA | Osteoarthritis |
| RT-PCR | Reverse transcription polymerase chain reaction |
| SFs | Stress fibers |
| SMCs | Smooth muscle cells |
| SOX9 | Box transcription factor |
| TGF-β1 | Transforming growth factor beta 1 |
| TPM3 | Tropomyosin 3 |
| MRTF-A | Myocardin related transcription factor |
| PDGF-BB | Platelet derived growth factor |
References
- DeNofrio, D.; Hoock, T.C.; Herman, I.M. Functional sorting of actin isoforms in microvascular pericytes. J. Cell Biol. 1989, 109, 191–202. [Google Scholar] [CrossRef] [PubMed]
- Tomasek, J.J.; McRae, J.; Owens, G.K.; Haaksma, C.J. Regulation of alpha-smooth muscle actin expression in granulation tissue myofibroblasts is dependent on the intronic CArG element and the transforming growth factor-beta1 control element. Am. J. Pathol. 2005, 166, 1343–1351. [Google Scholar] [CrossRef] [PubMed]
- Hinz, B.; Celetta, G.; Tomasek, J.J.; Gabbiani, G.; Chaponnier, C. Alpha-smooth muscle actin expression upregulates fibroblast contractile activity. Mol. Biol. Cell 2001, 12, 2730–2741. [Google Scholar] [CrossRef] [PubMed]
- Schmitt-Graff, A.; Desmouliere, A.; Gabbiani, G. Heterogeneity of myofibroblast phenotypic features: An example of fibroblastic cell plasticity. Virchows. Arch. 1994, 425, 3–24. [Google Scholar] [CrossRef]
- Povysil, C. Actin-positive chondroblasts (myochondroblasts) in benign chondroblastoma. Cesk. Patol. 1995, 31, 77–78. [Google Scholar]
- Povysil, C.; Tomanova, R.; Matejovsky, Z. Muscle-specific actin expression in chondroblastomas. Hum. Pathol. 1997, 28, 316–320. [Google Scholar] [CrossRef]
- Eyden, B. Smooth-muscle-type myofilaments and actin in reactive and neoplastic nonmuscle cells. Ultrastruct. Pathol. 2000, 24, 347–351. [Google Scholar] [CrossRef]
- Hasegawa, T.; Seki, K.; Yang, P.; Hirose, T.; Hizawa, K.; Wada, T.; Wakabayashi, J. Differentiation and proliferative activity in benign and malignant cartilage tumors of bone. Hum. Pathol. 1995, 26, 838–845. [Google Scholar] [CrossRef]
- Kim, A.C.; Spector, M. Distribution of chondrocytes containing alpha-smooth muscle actin in human articular cartilage. J. Orthop. Res. 2000, 18, 749–755. [Google Scholar] [CrossRef]
- Kinner, B.; Spector, M. Smooth muscle actin expression by human articular chondrocytes and their contraction of a collagen-glycosaminoglycan matrix in vitro. J. Orthop. Res. 2001, 19, 233–241. [Google Scholar] [CrossRef]
- Povysil, C.; Kana, R.; Dundr, P.; Tvrdik, D.; Horak, M.; Vaculik, J.; Podskubka, A.; Kubes, R. Distribution of chondrocytes containing alpha-smooth muscle actin in human normal, osteoarthrotic, and transplanted articular cartilage. Pathol. Res. Pract. 2008, 204, 883–890. [Google Scholar] [CrossRef] [PubMed]
- Wang, Q.; Breinan, H.A.; Hsu, H.P.; Spector, M. Healing of defects in canine articular cartilage: Distribution of nonvascular alpha-smooth muscle actin-containing cells. Wound. Repair Regen. 2000, 8, 145–158. [Google Scholar] [CrossRef] [PubMed]
- Povysil, C.; Dundr, P.; Tvrdik, D.; Podskubka, A.; Kana, R.; Horak, M. Desmin-positive and alpha-smooth muscle actin positive chondrocytes in human defective articular cartilage—preliminary report. Cesk. Patol. 2005, 41, 133–136. [Google Scholar] [PubMed]
- Kana, R.; Dundr, P.; Tvrdik, D.; Necas, E.; Povysil, C. Expression of actin isoforms in human auricular cartilage. Folia Biol. 2006, 52, 167–172. [Google Scholar] [CrossRef]
- Kana, M.; Kana, R.; Povysil, C. New Developments in Understanding the Histological Structure of Human Ear Cartilage. Folia Biol. 2019, 65, 256–264. [Google Scholar] [CrossRef]
- Horak, M.; Handl, M.; Podskubka, A.; Kana, R.; Adler, J.; Povysil, C. Comparison of the cellular composition of two different chondrocyte-seeded biomaterials and the results of their transplantation in humans. Folia Biol. 2014, 60, 1–9. [Google Scholar] [CrossRef]
- Podskubka, A.; Povysil, C.; Kubes, R.; Sprindrich, J.; Sedlacek, R. Treatment of deep cartilage defects of the knee with autologous chondrocyte transplantation on a hyaluronic Acid ester scaffolds (Hyalograft C). Acta. Chir. Orthop. Traumatol. Cech. 2006, 73, 251–263. [Google Scholar]
- Sharma, A.E.; Pytel, P.; Cipriani, N.A. SOX9 and SATB2 immunohistochemistry cannot reliably distinguish between osteosarcoma and chondrosarcoma on biopsy material. Hum. Pathol. 2022, 121, 56–64. [Google Scholar] [CrossRef]
- Lin, L.; Shen, Q.; Zhang, C.; Chen, L.; Yu, C. Assessment of the profiling microRNA expression of differentiated and dedifferentiated human adult articular chondrocytes. J. Orthop. Res. 2011, 29, 1578–1584. [Google Scholar] [CrossRef]
- Lauer, J.C.; Selig, M.; Hart, M.L.; Kurz, B.; Rolauffs, B. Articular Chondrocyte Phenotype Regulation through the Cytoskeleton and the Signaling Processes That Originate from or Converge on the Cytoskeleton: Towards a Novel Understanding of the Intersection between Actin Dynamics and Chondrogenic Function. Int. J. Mol. Sci. 2021, 22, 3279. [Google Scholar] [CrossRef]
- Povysil, C.; Matejovsky, Z. Ultrastructure of benign chondroblastoma. Pathol. Res. Pract. 1979, 166, 80–89. [Google Scholar] [CrossRef]
- Loty, C.; Forest, N.; Boulekbache, H.; Kokubo, T.; Sautier, J.M. Behavior of fetal rat chondrocytes cultured on a bioactive glass-ceramic. J. Biomed. Mater. Res. 1997, 37, 137–149. [Google Scholar] [CrossRef]
- Nielsen, G.P.; Keel, S.B.; Dickersin, G.R.; Selig, M.K.; Bhan, A.K.; Rosenberg, A.E. Chondromyxoid fibroma: A tumor showing myofibroblastic, myochondroblastic, and chondrocytic differentiation. Mod. Pathol. 1999, 12, 514–517. [Google Scholar] [PubMed]
- Romeo, S.; Eyden, B.; Prins, F.A.; Briaire-de Bruijn, I.H.; Taminiau, A.H.; Hogendoorn, P.C. TGF-beta1 drives partial myofibroblastic differentiation in chondromyxoid fibroma of bone. J. Pathol. 2006, 208, 26–34. [Google Scholar] [CrossRef]
- Benjamin, M.; Archer, C.W.; Ralphs, J.R. Cytoskeleton of cartilage cells. Microsc. Res. Tech. 1994, 28, 372–377. [Google Scholar] [CrossRef] [PubMed]
- Benya, P.D. Modulation and reexpression of the chondrocyte phenotype; mediation by cell shape and microfilament modification. Pathol. Immunopathol. Res. 1988, 7, 51–54. [Google Scholar] [CrossRef]
- Lee, C.R.; Grodzinsky, A.J.; Spector, M. Modulation of the contractile and biosynthetic activity of chondrocytes seeded in collagen-glycosaminoglycan matrices. Tissue Eng. 2003, 9, 27–36. [Google Scholar] [CrossRef]
- Brown, P.D.; Benya, P.D. Alterations in chondrocyte cytoskeletal architecture during phenotypic modulation by retinoic acid and dihydrocytochalasin B-induced reexpression. J. Cell Biol. 1988, 106, 171–179. [Google Scholar] [CrossRef]
- Tellez-Gabriel, M.; Ory, B.; Lamoureux, F.; Heymann, M.F.; Heymann, D. Tumour Heterogeneity: The Key Advantages of Single-Cell Analysis. Int. J. Mol. Sci. 2016, 17, 2142. [Google Scholar] [CrossRef]
- Hung, S.C.; Kuo, P.Y.; Chang, C.F.; Chen, T.H.; Ho, L.L. Alpha-smooth muscle actin expression and structure integrity in chondrogenesis of human mesenchymal stem cells. Cell. Tissue Res. 2006, 324, 457–466. [Google Scholar] [CrossRef]
- Sherwood, J. Osteoarthritis year in review 2018: Biology. Osteoarthr. Cartil. 2019, 27, 365–370. [Google Scholar] [CrossRef]
- Sandell, L.J.; Aigner, T. Articular cartilage and changes in arthritis. An introduction: Cell biology of osteoarthritis. Arthritis Res. 2001, 3, 107–113. [Google Scholar] [CrossRef]
- Zhang, L.; Spector, M. Comparison of three types of chondrocytes in collagen scaffolds for cartilage tissue engineering. Biomed. Mater. 2009, 4, 045012. [Google Scholar] [CrossRef]
- Spector, M. Musculoskeletal connective tissue cells with muscle: Expression of muscle actin in and contraction of fibroblasts, chondrocytes, and osteoblasts. Wound Repair Regen. 2001, 9, 11–18. [Google Scholar] [CrossRef]
- Mueller, S.M.; Schneider, T.O.; Shortkroff, S.; Breinan, H.A.; Spector, M. alpha-smooth muscle actin and contractile behavior of bovine meniscus cells seeded in type I and type II collagen-GAG matrices. J. Biomed. Mater. Res. 1999, 45, 157–166. [Google Scholar] [CrossRef]
- Ahluwalia, S.; Fehm, M.; Murray, M.M.; Martin, S.D.; Spector, M. Distribution of smooth muscle actin-containing cells in the human meniscus. J. Orthop. Res. 2001, 19, 659–664. [Google Scholar] [CrossRef] [PubMed]
- Schneider, T.O.; Mueller, S.M.; Shortkroff, S.; Spector, M. Expression of alpha-smooth muscle actin in canine intervertebral disc cells in situ and in collagen-glycosaminoglycan matrices in vitro. J. Orthop. Res. 1999, 17, 192–199. [Google Scholar] [CrossRef] [PubMed]
- Leonardi, R.; Villari, L.; Piacentini, C.; Bernasconi, G.; Travali, S.; Caltabiano, C. Immunolocalization of vimentin and alpha-smooth muscle actin in dysfunctional human temporomandibular joint disc samples. J. Oral. Rehabil. 2002, 29, 282–286. [Google Scholar] [CrossRef]
- Vandekerckhove, J.; Weber, K. Actin typing on total cellular extracts: A highly sensitive protein-chemical procedure able to distinguish different actins. Eur. J. Biochem. 1981, 113, 595–603. [Google Scholar] [CrossRef]
- Tojkander, S.; Gateva, G.; Lappalainen, P. Actin stress fibers--assembly, dynamics and biological roles. J. Cell Sci. 2012, 125 Pt 8, 1855–1864. [Google Scholar] [CrossRef]
- Schofield, M.M.; Rzepski, A.T.; Richardson-Solorzano, S.; Hammerstedt, J.; Shah, S.; Mirack, C.E.; Herrick, M.; Parreno, J. Targeting F-actin stress fibers to suppress the dedifferentiated phenotype in chondrocytes. Eur. J. Cell Biol. 2024, 103, 151424. [Google Scholar] [CrossRef]
- Parreno, J.; Raju, S.; Wu, P.H.; Kandel, R.A. MRTF-A signaling regulates the acquisition of the contractile phenotype in dedifferentiated chondrocytes. Matrix Biol. 2017, 62, 3–14. [Google Scholar] [CrossRef]
- Nurminsky, D.; Magee, C.; Faverman, L.; Nurminskaya, M. Regulation of chondrocyte differentiation by actin-severing protein adseverin. Dev. Biol. 2007, 302, 427–437. [Google Scholar] [CrossRef]
- Cota, P.; Helmi, S.A.; Hsu, C.; Rancourt, D.E. Cytokine Directed Chondroblast Trans-Differentiation: JAK Inhibition Facilitates Direct Reprogramming of Fibroblasts to Chondroblasts. Cells 2020, 9, 191. [Google Scholar] [CrossRef]
- Ecke, A.; Lutter, A.H.; Scholka, J.; Hansch, A.; Becker, R.; Anderer, U. Tissue Specific Differentiation of Human Chondrocytes Depends on Cell Microenvironment and Serum Selection. Cells 2019, 8, 934. [Google Scholar] [CrossRef] [PubMed]
- Zwicky, R.; Baici, A. Cytoskeletal architecture and cathepsin B trafficking in human articular chondrocytes. Histochem. Cell Biol. 2000, 114, 363–372. [Google Scholar] [CrossRef] [PubMed]
- Sisakhtnezhad, S.; Matin, M.M. Transdifferentiation: A cell and molecular reprogramming process. Cell Tissue Res. 2012, 348, 379–396. [Google Scholar] [CrossRef] [PubMed]
- Zaleskas, J.M.; Kinner, B.; Freyman, T.M.; Yannas, I.V.; Gibson, L.J.; Spector, M. Growth factor regulation of smooth muscle actin expression and contraction of human articular chondrocytes and meniscal cells in a collagen-GAG matrix. Exp. Cell Res. 2001, 270, 21–31. [Google Scholar] [CrossRef]
- Michor, F.; Polyak, K. The origins and implications of intratumor heterogeneity. Cancer Prev. Res. 2010, 3, 1361–1364. [Google Scholar] [CrossRef]
- Hayashi, Y.; Ohnuma, K.; Furue, M.K. Pluripotent Stem Cell Heterogeneity. Adv. Exp. Med. Biol. 2019, 1123, 71–94. [Google Scholar] [CrossRef]
- Almalki, S.G.; Agrawal, D.K. Key transcription factors in the differentiation of mesenchymal stem cells. Differentiation 2016, 92, 41–51. [Google Scholar] [CrossRef] [PubMed]
- Deroyer, C.; Charlier, E.; Neuville, S.; Malaise, O.; Gillet, P.; Kurth, W.; Chariot, A.; Malaise, M.; de Seny, D. CEMIP (KIAA1199) induces a fibrosis-like process in osteoarthritic chondrocytes. Cell Death Dis. 2019, 10, 103. [Google Scholar] [CrossRef] [PubMed]
- Aigner, T.; Dertinger, S.; Vornehm, S.I.; Dudhia, J.; von der Mark, K.; Kirchner, T. Phenotypic diversity of neoplastic chondrocytes and extracellular matrix gene expression in cartilaginous neoplasms. Am. J. Pathol. 1997, 150, 2133–2141. [Google Scholar] [PubMed]
- Sbaraglia, M.; Bellan, E.; Dei Tos, A.P. The 2020 WHO Classification of Soft Tissue Tumours: News and perspectives. Pathologica 2021, 113, 70–84. [Google Scholar] [CrossRef]
- Povysil, C.; Hojny, J.; Kana, M. Chondrosarcoma with Target-Like Chondrocytes: Update on Molecular Profiling and Specific Morphological Features. Folia Biol. 2022, 68, 112–124. [Google Scholar] [CrossRef]
- Wu, G.; Sun, Y.; Sheng, L.; Dai, T.; He, J.; Jiang, Z.; Cao, W.; Li, S. Experimental Study on the Biological Outcome of Auricular Cartilage and Costal Cartilage at Different Time Periods After Autologous Cartilage Rhinoplasty. J. Craniofac. Surg. 2023, 34, 785–789. [Google Scholar] [CrossRef]





Disclaimer/Publisher’s Note: The statements, opinions and data contained in all publications are solely those of the individual author(s) and contributor(s) and not of MDPI and/or the editor(s). MDPI and/or the editor(s) disclaim responsibility for any injury to people or property resulting from any ideas, methods, instructions or products referred to in the content. |
© 2025 by the authors. Licensee MDPI, Basel, Switzerland. This article is an open access article distributed under the terms and conditions of the Creative Commons Attribution (CC BY) license (https://creativecommons.org/licenses/by/4.0/).
Share and Cite
Povýšil, C.; Kaňa, R.; Horák, M.; Kaňa, M. Properties and Functions of Myochondrocytes and Myochondroblasts in Different Human Cartilage Tissues—An Overview. Cells 2025, 14, 1504. https://doi.org/10.3390/cells14191504
Povýšil C, Kaňa R, Horák M, Kaňa M. Properties and Functions of Myochondrocytes and Myochondroblasts in Different Human Cartilage Tissues—An Overview. Cells. 2025; 14(19):1504. https://doi.org/10.3390/cells14191504
Chicago/Turabian StylePovýšil, Ctibor, Radim Kaňa, Martin Horák, and Martin Kaňa. 2025. "Properties and Functions of Myochondrocytes and Myochondroblasts in Different Human Cartilage Tissues—An Overview" Cells 14, no. 19: 1504. https://doi.org/10.3390/cells14191504
APA StylePovýšil, C., Kaňa, R., Horák, M., & Kaňa, M. (2025). Properties and Functions of Myochondrocytes and Myochondroblasts in Different Human Cartilage Tissues—An Overview. Cells, 14(19), 1504. https://doi.org/10.3390/cells14191504

