SR Protein Kinase 1 Inhibition by TAF15
Abstract
1. Introduction
2. Materials and Methods
2.1. Plasmids and Expression of Proteins
2.2. Cell Culture and Transfection
2.3. Pull-Down Assays and Immunoprecipitation: Detection of Phosphorylated SR Proteins
2.4. In Vitro Kinase Assays
2.5. Immunofluorescence Microscopy
2.6. Splicing Reporter Minigene Assay
3. Results
3.1. TAF15 Is Not a Substrate of SRPK1
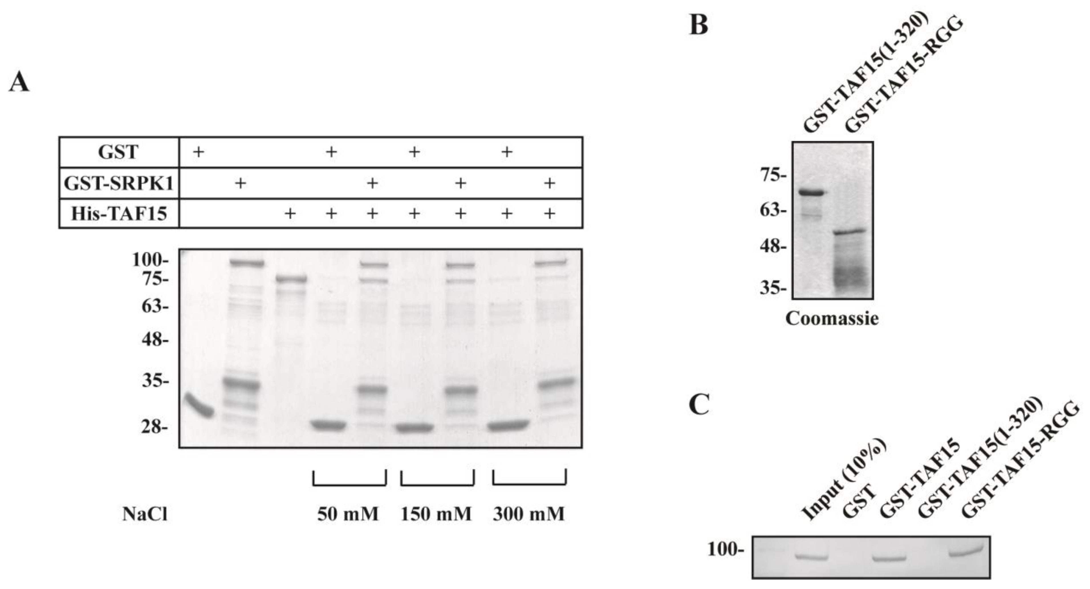
3.2. The C-terminal RGG Domain of TAF15 Binds to SRPK1 In Vitro
3.3. The C-terminal RGG Domain of TAF15 Inhibits SRPK1 Activity In Vitro
3.4. The C-terminal RGG Domain of TAF15 Alters SRPK1 Localization
3.5. Overexpression of the C-terminal RGG Domain of TAF15 Alters the Splicing of a Reporter Gene
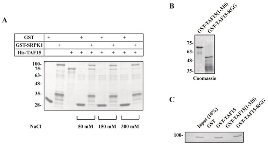
3.6. Overexpression of the C-terminal RGG Domain of TAF15 Results in Reduced LBR Phosphorylation
3.7. Peptides Comprising the RGG Motifs of Nucleolin, HNRNPA2B1, and HNRPU (SAFA) Inhibit SRPK1 Activity In Vitro
4. Discussion
Supplementary Materials
Author Contributions
Funding
Institutional Review Board Statement
Informed Consent Statement
Data Availability Statement
Conflicts of Interest
References
- Giannakouros, T.; Nikolakaki, E.; Mylonis, I.; Georgatsou, E. Serine-arginine protein kinases: A small protein kinase family with a large cellular presence. FEBS J. 2011, 278, 570–586. [Google Scholar] [CrossRef] [PubMed]
 - Bullock, N.; Oltean, S. The many faces of SRPK1. J. Pathol. 2017, 241, 437–440. [Google Scholar] [CrossRef] [PubMed]
 - Patel, M.; Sachidanandan, M.; Adnan, M. Serine arginine protein kinase 1 (SRPK1): A moonlighting protein with theranostic ability in cancer prevention. Mol. Biol. Rep. 2019, 46, 1487–1497. [Google Scholar] [CrossRef] [PubMed]
 - Bustos, F.; Segarra-Fas, A.; Nardocci, G.; Cassidy, A.; Antico, O.; Davidson, L.; Brandenburg, L.; Macartney, T.J.; Toth, R.; Hastie, C.J.; et al. Functional diversification of SRSF Protein Kinase to control ubiquitin-dependent neurodevelopmental signaling. Dev. Cell 2020, 55, 629–647.e7. [Google Scholar] [CrossRef] [PubMed]
 - Calarco, J.A.; Superina, S.; O’Hanlon, D.; Gabut, M.; Raj, B.; Pan, Q.; Skalska, U.; Clarke, L.; Gelinas, D.; van der Kooy, D.; et al. Regulation of vertebrate nervous system alternative splicing and development by an SR-related protein. Cell 2009, 138, 898–910. [Google Scholar] [CrossRef] [PubMed]
 - Wang, P.; Zhou, Z.; Hu, A.; Ponte de Albuquerque, C.; Zhou, Y.; Hong, L.; Sierecki, E.; Ajiro, M.; Kruhlak, M.; Harris, C.; et al. Both decreased and increased SRPK1 levels promote cancer by interfering with PHLPP-mediated dephosphorylation of Akt. Mol. Cell 2014, 54, 378–391. [Google Scholar] [CrossRef]
 - Ding, J.H.; Zhong, X.Y.; Hagopian, J.C.; Cruz, M.M.; Ghosh, G.; Feramisco, J.; Adams, J.A.; Fu, X.-D. Regulated cellular partitioning of SR protein-specific kinases in mammalian cells. Mol. Biol. Cell 2006, 17, 876–885. [Google Scholar] [CrossRef]
 - Zhong, X.Y.; Ding, J.H.; Adams, J.A.; Ghosh, G.; Fu, X.D. Regulation of SR protein phosphorylation and alternative splicing by modulating kinetic interactions of SRPK1 with molecular chaperones. Genes Dev. 2009, 23, 482–495. [Google Scholar] [CrossRef]
 - Lai, M.C.; Lin, R.I.; Huang, S.Y.; Tsai, C.W.; Tarn, W.Y. A human importin-beta family protein, transportin-SR2, interacts with the phosphorylated RS domain of SR proteins. J. Biol. Chem. 2000, 275, 7950–7957. [Google Scholar] [CrossRef]
 - Lai, M.C.; Lin, R.I.; Tarn, W.Y. Transportin-SR2 mediates nuclear import of phosphorylated SR proteins. Proc. Natl. Acad. Sci. USA 2001, 98, 10154–10159. [Google Scholar] [CrossRef]
 - Papoutsopoulou, S.; Nikolakaki, E.; Chalepakis, G.; Kruft, V.; Chevaillier, P.; Giannakouros, T. SR protein-specific kinase 1 is highly expressed in testis and phosphorylates protamine 1. Nucleic Acids Res. 1999, 27, 2972–2980. [Google Scholar] [CrossRef] [PubMed]
 - Quiros, M.; Alarcón, L.; Ponce, A.; Giannakouros, T.; González-Mariscal, L. The intracellular fate of zonula occludens 2 is regulated by the phosphorylation of SR repeats and the phosphorylation/O-GlcNAcylation of S257. Mol. Biol. Cell 2013, 24, 2528–2543. [Google Scholar] [CrossRef] [PubMed]
 - Zhou, Z.; Qiu, J.; Liu, W.; Zhou, Y.; Plocinik, R.M.; Li, H.; Hu, Q.; Ghosh, G.; Adams, J.A.; Rosenfeld, M.G.; et al. The Akt-SRPK-SR axis constitutes a major pathway in transducing EGF signaling to regulate alternative splicing in the nucleus. Mol. Cell 2012, 47, 422–433. [Google Scholar] [CrossRef] [PubMed]
 - Sigala, I.; Koutroumani, M.; Koukiali, A.; Giannakouros, T.; Nikolakaki, E. Nuclear translocation of SRPKs is associated with 5-FU and cisplatin sensitivity in HeLa and T24 cells. Cells 2021, 10, 759. [Google Scholar] [CrossRef] [PubMed]
 - Takeuchi, M.; Yanagida, M. A mitotic role for a novel fission yeast protein kinase dsk1 with cell cycle stage dependent phosphorylation and localization. Mol. Cell Biol. 1993, 4, 247–260. [Google Scholar] [CrossRef]
 - Nikolakaki, E.; Sigala, I.; Giannakouros, T. Good cop, bad cop: The different roles of SRPKs. Front. Genet. 2022, 13, 902718. [Google Scholar] [CrossRef]
 - Ngo, J.C.; Gullingsrud, J.; Giang, K.; Yeh, M.J.; Fu, X.D.; Adams, J.A.; McCammon, J.A.; Ghosh, G. SR protein kinase 1 is resilient to inactivation. Structure 2007, 15, 123–133. [Google Scholar] [CrossRef]
 - Koutroumani, M.; Papadopoulos, G.E.; Vlassi, M.; Nikolakaki, E.; Giannakouros, T. Evidence for disulfide bonds in SR Protein Kinase 1 (SRPK1) that are required for activity and nuclear localization. PLoS ONE 2017, 12, e0171328. [Google Scholar] [CrossRef] [PubMed]
 - Zamorano Cuervo, N.; Fortin, A.; Caron, E.; Chartier, S.; Grandvaux, N. Pinpointing cysteine oxidation sites by high-resolution proteomics reveals a mechanism of redox-dependent inhibition of human STING. Sci. Signal. 2021, 14, eaaw4673. [Google Scholar] [CrossRef]
 - Mylonis, I.; Giannakouros, T. Protein kinase CK2 phosphorylates and activates the SR protein-specific kinase 1. Biochem. Biophys. Res. Commun. 2003, 301, 650–656. [Google Scholar] [CrossRef]
 - Tsianou, D.; Nikolakaki, E.; Tzitzira, A.; Bonanou, S.; Giannakouros, T.; Georgatsou, E. The enzymatic activity of SR protein kinases 1 and 1a is negatively affected by interaction with scaffold attachment factors B1 and 2. FEBS J. 2009, 276, 5212–5227. [Google Scholar] [CrossRef] [PubMed]
 - Sciabica, K.S.; Dai, Q.J.; Sandri-Goldin, R.M. ICP27 interacts with SRPK1 to mediate HSV splicing inhibition by altering SR protein phosphorylation. EMBO J. 2003, 22, 1608–1619. [Google Scholar] [CrossRef] [PubMed]
 - Tunnicliffe, R.B.; Hu, W.K.; Wu, M.Y.; Levy, C.; Mould, A.P.; McKenzie, E.A.; Sandri-Goldin, R.M.; Golovanov, A.P. Molecular Mechanism of SR Protein Kinase 1 Inhibition by the Herpes Virus Protein ICP27. mBio 2019, 10, e02551-19. [Google Scholar] [CrossRef] [PubMed]
 - Petersen-Mahrt, S.K.; Estmer, C.; Ohrmalm, C.; Matthews, D.A.; Russell, W.C.; Akusjärvi, G. The splicing factor-associated protein, p32, regulates RNA splicing by inhibiting ASF/SF2 RNA binding and phosphorylation. EMBO J. 1999, 18, 1014–1024. [Google Scholar] [CrossRef] [PubMed]
 - Mylonis, I.; Drosou, V.; Brancorsini, S.; Nikolakaki, E.; Sassone-Corsi, P.; Giannakouros, T. Temporal association of protamine 1 with the inner nuclear membrane protein lamin B receptor during spermiogenesis. J. Biol. Chem. 2004, 279, 11626–11631. [Google Scholar] [CrossRef]
 - Schwartz, J.C.; Cech, T.R.; Parker, R.R. Biochemical properties and biological functions of FET proteins. Annu. Rev. Biochem. 2015, 84, 355–379. [Google Scholar] [CrossRef]
 - Gilbert, W.; Siebel, C.W.; Guthrie, C. Phosphorylation by Sky1p promotes Npl3p shuttling and mRNA dissociation. RNA 2001, 7, 302–313. [Google Scholar] [CrossRef]
 - Sanidas, I.; Kotoula, V.; Ritou, E.; Daans, J.; Lenz, C.; Mairhofer, M.; Daniilidou, M.; Kolbus, A.; Kruft, V.; Ponsaerts, P.; et al. The ratio of SRPK1/SRPK1a regulates erythroid differentiation in K562 leukaemic cells. Biochim. Biophys. Acta 2010, 1803, 1319–1331. [Google Scholar] [CrossRef]
 - Nikolakaki, E.; Kohen, R.; Hartmann, A.M.; Stamm, S.; Georgatsou, E.; Giannakouros, T. Cloning and characterization of an alternatively spliced form of SR protein kinase 1 that interacts specifically with scaffold attachment factor-B. J. Biol. Chem. 2001, 276, 40175–40182. [Google Scholar] [CrossRef]
 - Jobert, L.; Argentini, M.; Tora, L. PRMT1 mediated methylation of TAF15 is required for its positive gene regulatory function. Exp. Cell Res. 2009, 315, 1273–1286. [Google Scholar] [CrossRef]
 - Voukkalis, N.; Koutroumani, M.; Zarkadas, C.; Nikolakaki, E.; Vlassi, M.; Giannakouros, T. SRPK1 and Akt protein kinases phosphorylate the RS domain of Lamin B Receptor with distinct specificity: A combined biochemical and in silico approach. PLoS ONE 2016, 11, e0154198. [Google Scholar] [CrossRef] [PubMed]
 - Andreadis, A.; Broderick, J.A.; Kosik, K.S. Relative exon affinities and suboptimal splice site signals lead to non-equivalence of two cassette exons. Nucleic Acids Res. 1995, 23, 3585–3593. [Google Scholar] [CrossRef] [PubMed][Green Version]
 - Gal, J.; Zhang, J.; Kwinter, D.M.; Zhai, J.; Jia, H.; Jia, J.; Zhu, H. Nuclear localization sequence of FUS and induction of stress granules by ALS mutants. Neurobiol. Aging 2011, 32, 2323.e27–2323.e40. [Google Scholar] [CrossRef]
 - Zahler, A.M.; Lane, W.S.; Stolk, J.A.; Roth, M.B. SR proteins: A conserved family of pre-mRNA splicing factors. Genes Dev. 1992, 6, 837–847. [Google Scholar] [CrossRef] [PubMed]
 - Solovei, I.; Wang, A.S.; Thanisch, K.; Schmidt, C.S.; Krebs, S.; Zwerger, M.; Cohen, T.V.; Devys, D.; Foisner, R.; Peichl, L.; et al. LBR and lamin A/C sequentially tether peripheral heterochromatin and inversely regulate differentiation. Cell 2013, 152, 584–598. [Google Scholar] [CrossRef] [PubMed]
 - Drakouli, S.; Lyberopoulou, A.; Papathanassiou, M.; Mylonis, I.; Georgatsou, E. Enhancer of rudimentary homologue interacts with scaffold attachment factor B at the nuclear matrix to regulate SR protein phosphorylation. FEBS J. 2017, 284, 2482–2500. [Google Scholar] [CrossRef]
 - Smith, D.L.; Erce, M.A.; Lai, Y.W.; Tomasetig, F.; Hart-Smith, G.; Hamey, J.J.; Wilkins, M.R. Crosstalk of phosphorylation and arginine methylation in disordered SRGG repeats of Saccharomyces cerevisiae fibrillarin and its association with nucleolar localization. J. Mol. Biol. 2020, 432, 448–466. [Google Scholar] [CrossRef]
 - Lenard, A.J.; Hutten, S.; Zhou, Q.; Usluer, S.; Zhang, F.; Bourgeois, B.M.R.; Dormann, D.; Madl, T. Phosphorylation regulates CIRBP arginine methylation, transportin-1 binding and liquid-liquid phase separation. Front. Mol. Biosci. 2021, 8, 689687. [Google Scholar] [CrossRef]
 - Zhong, X.Y.; Wang, P.; Han, J.; Rosenfeld, M.G.; Fu, X.D. SR proteins in vertical integration of gene expression from transcription to RNA processing to translation. Mol. Cell 2009, 35, 1–10. [Google Scholar] [CrossRef]
 - Wang, C.; Zhou, Z.; Subhramanyam, C.S.; Cao, Q.; Heng, Z.S.L.; Liu, W.; Fu, X.; Hu, Q. SRPK1 acetylation modulates alternative splicing to regulate cisplatin resistance in breast cancer cells. Commun. Biol. 2020, 3, 268. [Google Scholar] [CrossRef]
 - Wang, J.; Choi, J.M.; Holehouse, A.S.; Lee, H.O.; Zhang, X.; Jahnel, M.; Maharana, S.; Lemaitre, R.; Pozniakovsky, A.; Drechsel, D.; et al. A molecular grammar governing the driving forces for phase separation of prion-like RNA binding proteins. Cell 2018, 174, 688–699. [Google Scholar] [CrossRef] [PubMed]
 - Savastano, A.; Ibáñez de Opakua, A.; Rankovic, M.; Zweckstetter, M. Nucleocapsid protein of SARS-CoV-2 phase separates into RNA-rich polymerase-containing condensates. Nat. Commun. 2020, 11, 6041. [Google Scholar] [CrossRef] [PubMed]
 - Shattuck, J.E.; Paul, K.R.; Cascarina, S.M.; Ross, E.D. The prion-like protein kinase Sky1 is required for efficient stress granule disassembly. Nat. Commun. 2019, 10, 3614. [Google Scholar] [CrossRef] [PubMed]
 - Qamar, S.; Wang, G.; Randle, S.J.; Ruggeri, F.S.; Varela, J.A.; Lin, J.Q.; Phillips, E.C.; Miyashita, A.; Williams, D.; Ströhl, F.; et al. FUS phase separation is modulated by a molecular chaperone and methylation of arginine cation-π interactions. Cell 2018, 173, 720–734. [Google Scholar] [CrossRef]
 - Gregory, R.I.; Yan, K.P.; Amuthan, G.; Chendrimada, T.; Doratotaj, B.; Cooch, N.; Shiekhattar, R. The Microprocessor complex mediates the genesis of microRNAs. Nature 2004, 432, 235–240. [Google Scholar] [CrossRef]
 - Ballarino, M.; Jobert, L.; Dembélé, D.; de la Grange, P.; Auboeuf, D.; Tora, L. TAF15 is important for cellular proliferation and regulates the expression of a subset of cell cycle genes through miRNAs. Oncogene 2012, 32, 4646–4655. [Google Scholar] [CrossRef]
 - Morlando, M.; Dini Modigliani, S.; Torrelli, G.; Rosa, A.; di Carlo, V.; Caffarelli, E.; Bozzoni, I. FUS stimulates microRNA biogenesis by facilitating co-transcriptional drosha recruitment. EMBO J. 2012, 31, 4502–4510. [Google Scholar] [CrossRef]
 - Kim, K.Y.; Hwang, Y.J.; Jung, M.K.; Choe, J.; Kim, Y.; Kim, S.; Lee, C.J.; Ahn, H.; Lee, J.; Kowall, N.W.; et al. A multifunctional protein EWS regulates the expression of Drosha and microRNAs. Cell Death Differ. 2014, 21, 136–145. [Google Scholar] [CrossRef]
 - Ouyang, H.; Zhang, K.; Fox-Walsh, K.; Yang, Y.; Zhang, C.; Huang, J.; Li, H.; Zhou, Y.; Fu, X.D. The RNA binding protein EWS is broadly involved in the regulation of pri-miRNA processing in mammalian cells. Nucleic Acids Res. 2017, 45, 12481–12495. [Google Scholar] [CrossRef]
 - Hutter, K.; Lohmüller, M.; Jukic, A.; Eichin, F.; Avci, S.; Labi, V.; Szabo, T.G.; Hoser, S.M.; Hüttenhofer, A.; Villunger, A.; et al. SAFB2 enables the processing of suboptimal stem-Loop structures in clustered primary miRNA transcripts. Mol. Cell 2020, 78, 876–889. [Google Scholar] [CrossRef]
 








Disclaimer/Publisher’s Note: The statements, opinions and data contained in all publications are solely those of the individual author(s) and contributor(s) and not of MDPI and/or the editor(s). MDPI and/or the editor(s) disclaim responsibility for any injury to people or property resulting from any ideas, methods, instructions or products referred to in the content.  | 
© 2022 by the authors. Licensee MDPI, Basel, Switzerland. This article is an open access article distributed under the terms and conditions of the Creative Commons Attribution (CC BY) license (https://creativecommons.org/licenses/by/4.0/).
Share and Cite
Koukiali, A.; Daniilidou, M.; Mylonis, I.; Giannakouros, T.; Nikolakaki, E. SR Protein Kinase 1 Inhibition by TAF15. Cells 2023, 12, 126. https://doi.org/10.3390/cells12010126
Koukiali A, Daniilidou M, Mylonis I, Giannakouros T, Nikolakaki E. SR Protein Kinase 1 Inhibition by TAF15. Cells. 2023; 12(1):126. https://doi.org/10.3390/cells12010126
Chicago/Turabian StyleKoukiali, Anastasia, Makrina Daniilidou, Ilias Mylonis, Thomas Giannakouros, and Eleni Nikolakaki. 2023. "SR Protein Kinase 1 Inhibition by TAF15" Cells 12, no. 1: 126. https://doi.org/10.3390/cells12010126
APA StyleKoukiali, A., Daniilidou, M., Mylonis, I., Giannakouros, T., & Nikolakaki, E. (2023). SR Protein Kinase 1 Inhibition by TAF15. Cells, 12(1), 126. https://doi.org/10.3390/cells12010126
        
