Effect of Ultrasound Pre-Treatment on Extraction and Characterization of Collagen from Bactrian Camel Skin
Abstract
:1. Introduction
2. Materials and Methods
2.1. Materials
2.2. Pre-treatment and Sample Preparation
2.3. Extraction of Collagen from Pretreated Bactrian camel Skin
2.3.1. Pepsin-Solubilized Collagen (PSC)
2.3.2. Ultrasound-Treated Pepsin-Solubilized Collagen (UPSC)
2.4. Characterization of Collagen
2.4.1. Yield of Collagen
2.4.2. Amino Acid Composition
2.4.3. Sodium Dodecyl Sulfate Polyacrylamide Gel Electrophoresis (SDS-PAGE)
2.4.4. UV Scanning
2.4.5. Fourier Transform Infrared (FTIR) Spectroscopy
2.4.6. Zeta Potential and Particle Size distribution
2.4.7. Scanning Electron Microscopy (SEM)
2.5. Rheological Properties
2.6. Solubility
2.6.1. Determining Collagen Solubility at Different pH Values
2.6.2. Collagen Solubility under Different NaCl Values
2.7. Statistical Analyses
3. Result and Discussion
3.1. Yield of Collagen
3.2. Collagen Amino Acid Composition
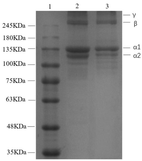
3.3. Collagen Electrophoretic Mobility Patterns
3.4. Collagen UV Absorption Spectra
3.5. Collagen FTIR Spectra
3.6. Zeta Potential and Particle Size
3.7. Surface Morphology
3.8. Rheological Properties
3.9. Solubility
4. Conclusions
Author Contributions
Funding
Institutional Review Board Statement
Data Availability Statement
Conflicts of Interest
References
- Senaratne, L.; Park, P.-J.; Kim, S.-K. Isolation and characterization of collagen from brown backed toadfish (Lagocephalus gloveri) skin. Bioresour. Technol. 2006, 97, 191–197. [Google Scholar] [CrossRef] [PubMed]
- Krishnamoorthy, G.; Selvakumar, R.; Sastry, T.P.; Mandal, A.B.; Doble, M. Effect of D-amino acids on collagen fibrillar assembly and stability: Experimental and modelling studies. Biochem. Eng. J. 2013, 75, 92–100. [Google Scholar] [CrossRef]
- Dhakal, D.; Koomsap, P.; Lamichhane, A.; Sadiq, M.B.; Anal, A.K. Optimization of collagen extraction from chicken feet by papain hydrolysis and synthesis of chicken feet collagen based biopolymeric fibres. Food Biosci. 2018, 23, 23–30. [Google Scholar] [CrossRef]
- Han, B.; Zhang, L.; Luo, B.; Ni, Y.; Bansal, N.; Zhou, P. Comparison of milk fat globule membrane and whey proteome between Dromedary and Bactrian camel. Food Chem. 2022, 367, 130658. [Google Scholar] [CrossRef]
- Si, R.; Na, Q.; Wu, D.; Wu, X.; Ming, L.; Ji, R. Effects of Age and Muscle Type on the Chemical Composition and Quality Characteristics of Bactrian Camel (Camelus bactrianus) Meat. Foods 2022, 11, 1021. [Google Scholar] [CrossRef]
- Al-Hassan, A. Gelatin from camel skins: Extraction and characterizations. Food Hydrocoll. 2020, 101, 105457. [Google Scholar] [CrossRef]
- Ali, A.M.M.; Kishimura, H.; Benjakul, S. Extraction efficiency and characteristics of acid and pepsin soluble collagens from the skin of golden carp (Probarbus jullieni) as affected by ultrasonication. Process Biochem. 2018, 66, 237–244. [Google Scholar] [CrossRef]
- Chang, H.-J.; Xu, X.-L.; Zhou, G.-H.; Li, C.-B.; Huang, M. Effects of characteristics changes of collagen on meat physicochemical properties of beef semitendinosus muscle during ultrasonic processing. Food Bioprocess Technol. 2012, 5, 285–297. [Google Scholar] [CrossRef]
- Akram, A.N.; Zhang, C. Extraction of collagen-II with pepsin and ultrasound treatment from chicken sternal cartilage; physicochemical and functional properties. Ultrason. Sonochem. 2020, 64, 105053. [Google Scholar] [CrossRef]
- Samson Fawale, O.; Abuibaid, A.; Hamed, F.; Kittiphattanabawon, P.; Maqsood, S. Molecular, structural, and rheological characterization of camel skin gelatin extracted using different pretreatment conditions. Foods 2021, 10, 1563. [Google Scholar] [CrossRef]
- Ata, O.; Kumcuoglu, S.; Tavman, S. Effects of sonication on the extraction of pepsin-soluble collagens from lamb feet and product characterization. LWT 2022, 159, 113253. [Google Scholar] [CrossRef]
- Li, Y.; Yang, L.; Wu, S.; Chen, J.; Lin, H. Structural, functional, rheological, and biological properties of the swim bladder collagen extracted from grass carp (Ctenopharyngodon idella). LWT 2022, 153, 112518. [Google Scholar] [CrossRef]
- Li, Z.R.; Wang, B.; Chi, C.F.; Zhang, Q.H.; Gong, Y.D.; Tang, J.J.; Luo, H.Y.; Ding, G.F. Isolation and characterization of acid soluble collagens and pepsin soluble collagens from the skin and bone of Spanish mackerel (Scomberomorous niphonius). Food Hydrocoll. 2013, 31, 103–113. [Google Scholar] [CrossRef]
- Song, Z.; Liu, H.; Chen, L.; Chen, L.; Zhou, C.; Hong, P.; Deng, C. Characterization and comparison of collagen extracted from the skin of the Nile tilapia by fermentation and chemical pretreatment—ScienceDirect. Food Chem. 2020, 340, 128139. [Google Scholar] [CrossRef]
- Veeruraj, A.; Arumugam, M.; Ajithkumar, T.; Balasubramanian, T. Isolation and characterization of collagen from the outer skin of squid (Doryteuthis singhalensis). Food Hydrocoll. 2015, 43, 708–716. [Google Scholar] [CrossRef]
- Indriani, S.; Benjakul, S.; Kishimura, H.; Karnjanapratum, S.; Nalinanon, S. Impact of extraction condition on the yield and molecular characteristics of collagen from Asian bullfrog (Rana tigerina) skin. LWT 2022, 162, 113439. [Google Scholar] [CrossRef]
- Zou, Y.; Wang, L.; Cai, P.; Li, P.; Zhang, M.; Sun, Z.; Sun, C.; Xu, W.; Wang, D. Effect of ultrasound assisted extraction on the physicochemical and functional properties of collagen from soft-shelled turtle calipash. Int. J. Biol. Macromol. 2017, 105, 1602–1610. [Google Scholar] [CrossRef]
- Liu, D.; Zhang, X.; Li, T.; Yang, H.; Zhang, H.; Regenstein, J.M.; Zhou, P. Extraction and characterization of acid-and pepsin-soluble collagens from the scales, skins and swim-bladders of grass carp (Ctenopharyngodon idella). Food Biosci. 2015, 9, 68–74. [Google Scholar] [CrossRef]
- Yang, Y.N.; Li, C.; Song, W.; Wang, W.; Qian, G. Purification, optimization and physicochemical properties of collagen from soft-shelled turtle calipash. Int. J. Biol. Macromol. 2016, 89, 344–352. [Google Scholar] [CrossRef]
- Zhang, J.; Duan, R. Characterisation of acid-soluble and pepsin-solubilised collagen from frog (Rana nigromaculata) skin. Int. J. Biol. Macromol. 2017, 101, 638–642. [Google Scholar] [CrossRef]
- Li, H.; Liu, B.; Gao, L.; Chen, H. Studies on bullfrog skin collagen. Food Chem. 2004, 84, 65–69. [Google Scholar] [CrossRef]
- Li, C.; Song, W.; Wu, J.; Lu, M.; Zhao, Q.; Fang, C.; Wang, W.; Park, Y.-D.; Qian, G.-Y. Thermal stable characteristics of acid-and pepsin-soluble collagens from the carapace tissue of Chinese soft-shelled turtle (Pelodiscus sinensis). Tissue Cell 2020, 67, 101424. [Google Scholar] [CrossRef] [PubMed]
- Parenteau-Bareil, R.; Gauvin, R.; Cliche, S.; Gariépy, C.; Germain, L.; Berthod, F. Comparative study of bovine, porcine and avian collagens for the production of a tissue engineered dermis. Acta Biomater. 2011, 7, 3757–3765. [Google Scholar] [CrossRef] [PubMed]
- Petcharat, T.; Benjakul, S.; Karnjanapratum, S.; Nalinanon, S. Ultrasound-assisted extraction of collagen from clown featherback (Chitala ornata) skin: Yield and molecular characteristics. J. Sci. Food Agric. 2021, 101, 648–658. [Google Scholar] [CrossRef]
- Lin, Y.K.; Liu, D.C. Comparison of physical–chemical properties of type I collagen from different species. Food Chem. 2006, 99, 244–251. [Google Scholar] [CrossRef]
- Edwards, H.; Farwell, D.; Holder, J.; Lawson, E. Fourier-transform Raman spectroscopy of ivory: II. Spectroscopic analysis and assignments. J. Mol. Struct. 1997, 435, 49–58. [Google Scholar] [CrossRef]
- Kittiphattanabawon, P.; Benjakul, S.; Visessanguan, W.; Shahidi, F. Isolation and characterization of collagen from the cartilages of brownbanded bamboo shark (Chiloscyllium punctatum) and blacktip shark (Carcharhinus limbatus). LWT-Food Sci. Technol. 2010, 43, 792–800. [Google Scholar] [CrossRef]
- Chen, S.; Chen, H.; Xie, Q.; Hong, B.; Chen, J.; Hua, F.; Bai, K.; He, J.; Yi, R.; Wu, H. Rapid isolation of high purity pepsin-soluble type I collagen from scales of red drum fish (Sciaenops ocellatus). Food Hydrocoll. 2016, 52, 468–477. [Google Scholar] [CrossRef]
- Hsu, B.-L.; Weng, Y.-M.; Liao, Y.-H.; Chen, W. Structural investigation of edible zein films/coatings and directly determining their thickness by FT-Raman spectroscopy. J. Agric. Food Chem. 2005, 53, 5089–5095. [Google Scholar] [CrossRef]
- Ahmed, R.; Haq, M.; Chun, B.-S. Characterization of marine derived collagen extracted from the by-products of bigeye tuna (Thunnus obesus). Int. J. Biol. Macromol. 2019, 135, 668–676. [Google Scholar] [CrossRef]
- Bachmann, L.; Gomes, A.S.; Zezell, D.M. Collagen absorption bands in heated and rehydrated dentine. Spectrochim. Acta Part A Mol. Biomol. Spectrosc. 2005, 62, 1045–1049. [Google Scholar] [CrossRef]
- Jafari, H.; Lista, A.; Siekapen, M.M.; Ghaffari-Bohlouli, P.; Nie, L.; Alimoradi, H.; Shavandi, A. Fish collagen: Extraction, characterization, and applications for biomaterials engineering. Polymers 2020, 12, 2230. [Google Scholar] [CrossRef]
- Zhang, L.; Zhang, F.; Fang, Y.; Wang, S. Alginate-shelled SPI nanoparticle for encapsulation of resveratrol with enhanced colloidal and chemical stability. Food Hydrocoll. 2019, 90, 313–320. [Google Scholar] [CrossRef]
- Ali, A.M.M.; Benjakul, S.; Prodpran, T.; Kishimura, H. Extraction and characterisation of collagen from the skin of golden carp (Probarbus Jullieni), a processing by-product. Waste Biomass Valorization 2018, 9, 783–791. [Google Scholar] [CrossRef]
- Arumugam, G.K.S.; Sharma, D.; Balakrishnan, R.M.; Ettiyappan, J.B.P. Extraction, optimization and characterization of collagen from sole fish skin. Sustain. Chem. Pharm. 2018, 9, 19–26. [Google Scholar] [CrossRef]
- Song, X.; Si, L.; Sun, X.; Zhu, X.; Li, Z.; Li, Y.; Wang, Y.; Hou, H. Rheological properties, thermal stability and conformational changes of collagen from sea cucumber (Apostichopus japonicas). Food Chem. 2022, 389, 133033. [Google Scholar] [CrossRef]
- Li, C.; Duan, L.; Tian, Z.; Liu, W.; Li, G.; Huang, X. Rheological behavior of acylated pepsin-solubilized collagen solutions: Effects of concentration. Korea-Aust. Rheol. J. 2015, 27, 287–295. [Google Scholar] [CrossRef]
- Strzelczak, A.; Balejko, J.; Szymczak, M.; Witczak, A. Effect of protein denaturation temperature on rheological properties of baltic herring (Clupea harengus membras) muscle tissue. Foods 2021, 10, 829. [Google Scholar] [CrossRef]
- Jongjareonrak, A.; Benjakul, S.; Visessanguan, W.; Nagai, T.; Tanaka, M. Isolation and characterisation of acid and pepsin-solubilised collagens from the skin of Brownstripe red snapper (Lutjanus vitta). Food Chem. 2005, 93, 475–484. [Google Scholar] [CrossRef]
- Di, Y.; Chang-Feng, C.; Bin, W.; Guo-Fang, D.; Zhong-Rui, L. Characterization of acid-and pepsin-soluble collagens from spines and skulls of skipjack tuna (Katsuwonus pelamis). Chin. J. Nat. Med. 2014, 12, 712–720. [Google Scholar]






| Amino Acids | Content (% of Total Amino Acid) | |
|---|---|---|
| PSC | UPSC | |
| Aspartic acid | 5.31 | 5.35 |
| Threonine | 1.99 | 2.00 |
| Serine | 3.17 | 3.22 |
| Glutamine | 9.40 | 9.45 |
| Glycine | 22.70 | 22.68 |
| Proline | 11.61 | 11.31 |
| Alanine | 8.39 | 8.39 |
| Valine | 2.37 | 2.37 |
| Methionine | 0.66 | 0.65 |
| Isoleucine | 1.12 | 1.13 |
| Leucine | 2.67 | 2.83 |
| Tyrosine | 0.73 | 0.72 |
| Phenylalanine | 2.06 | 1.95 |
| Histidine | 0.66 | 0.65 |
| Lysine | 3.61 | 3.49 |
| Cysteine | 0.46 | 0.33 |
| Arginine | 7.58 | 7.77 |
| Hydroxyproline | 7.92 | 8.25 |
| Imino acid | 19.53 | 19.56 |
| Region | Peak Wavenumber/cm−1 | Assignment | |
|---|---|---|---|
| PSC | UPSC | ||
| Amide A | 3286 | 3301 | N-H stretch, coupled with hydrogen bond formation |
| Amide B | 2879 | 2922 | CH2 asymmetrical stretch CH3 symmetrical stretch |
| Amide I | 1630 | 1630 | C = O stretch/hydrogen bond coupled with COO- |
| Amide II | 1543 | 1544 | N–H bend coupled with C–N stretch |
| 1449 | 1450 | CH2 bend | |
| 1400 | 1400 | COO-symmetrical stretch | |
| 1337 | 1337 | CH2 vibration | |
| Amide III | 1236 | 1236 | N-H bend coupled with C-N stretch |
| 1081 | 1081 | C-O stretch | |
| 655 | 656 | Skeletal stretch | |
Disclaimer/Publisher’s Note: The statements, opinions and data contained in all publications are solely those of the individual author(s) and contributor(s) and not of MDPI and/or the editor(s). MDPI and/or the editor(s) disclaim responsibility for any injury to people or property resulting from any ideas, methods, instructions or products referred to in the content. |
© 2023 by the authors. Licensee MDPI, Basel, Switzerland. This article is an open access article distributed under the terms and conditions of the Creative Commons Attribution (CC BY) license (https://creativecommons.org/licenses/by/4.0/).
Share and Cite
He, J.; Shi, R.; Ji, R. Effect of Ultrasound Pre-Treatment on Extraction and Characterization of Collagen from Bactrian Camel Skin. Polymers 2023, 15, 1943. https://doi.org/10.3390/polym15081943
He J, Shi R, Ji R. Effect of Ultrasound Pre-Treatment on Extraction and Characterization of Collagen from Bactrian Camel Skin. Polymers. 2023; 15(8):1943. https://doi.org/10.3390/polym15081943
Chicago/Turabian StyleHe, Jing, Rui Shi, and Rimutu Ji. 2023. "Effect of Ultrasound Pre-Treatment on Extraction and Characterization of Collagen from Bactrian Camel Skin" Polymers 15, no. 8: 1943. https://doi.org/10.3390/polym15081943
APA StyleHe, J., Shi, R., & Ji, R. (2023). Effect of Ultrasound Pre-Treatment on Extraction and Characterization of Collagen from Bactrian Camel Skin. Polymers, 15(8), 1943. https://doi.org/10.3390/polym15081943

