Efficacy of Prednisolone/Zn Metal Complex and Artemisinin Either Alone or in Combination on Lung Functions after Excessive Exposure to Electronic Cigarettes Aerosol with Assessment of Antibacterial Activity
Abstract
:1. Introduction
2. Materials and Methods
2.1. Materials and Instrumentations
2.2. Synthesis of Zn (II) Complex
2.3. E-Liquid Preparation (Aerosol)
2.4. Condensation of Aerosol
2.5. Experimental Animals
2.6. Animal Model
2.6.1. Experimental Protocol
2.6.2. Blood Samples
2.6.3. Estimation of Inflammation Biomarkers
2.6.4. Preparation of Pulmonary Tissue Homogenates for the Determination of Antioxidant Enzymes
2.6.5. Determination of Oxidative Stress Biomarkers in Lung Tissues
2.6.6. Histological Changes
2.6.7. Antibacterial Activities
2.7. Statistical Analysis
3. Results
3.1. Microanalytical and Molar Conductance Values
3.2. Infrared Spectra
3.3. UV–Vis Spectra and Magnetic Data
3.4. X-ray Powder Diffraction
3.5. Scanning Electron Microscopy and Transmission Electron Microscopy Studies
3.6. Pulmonary Inflammation Markers
3.7. Oxidative Stress Enzymatic and Non-Enzymatic Biomarkers
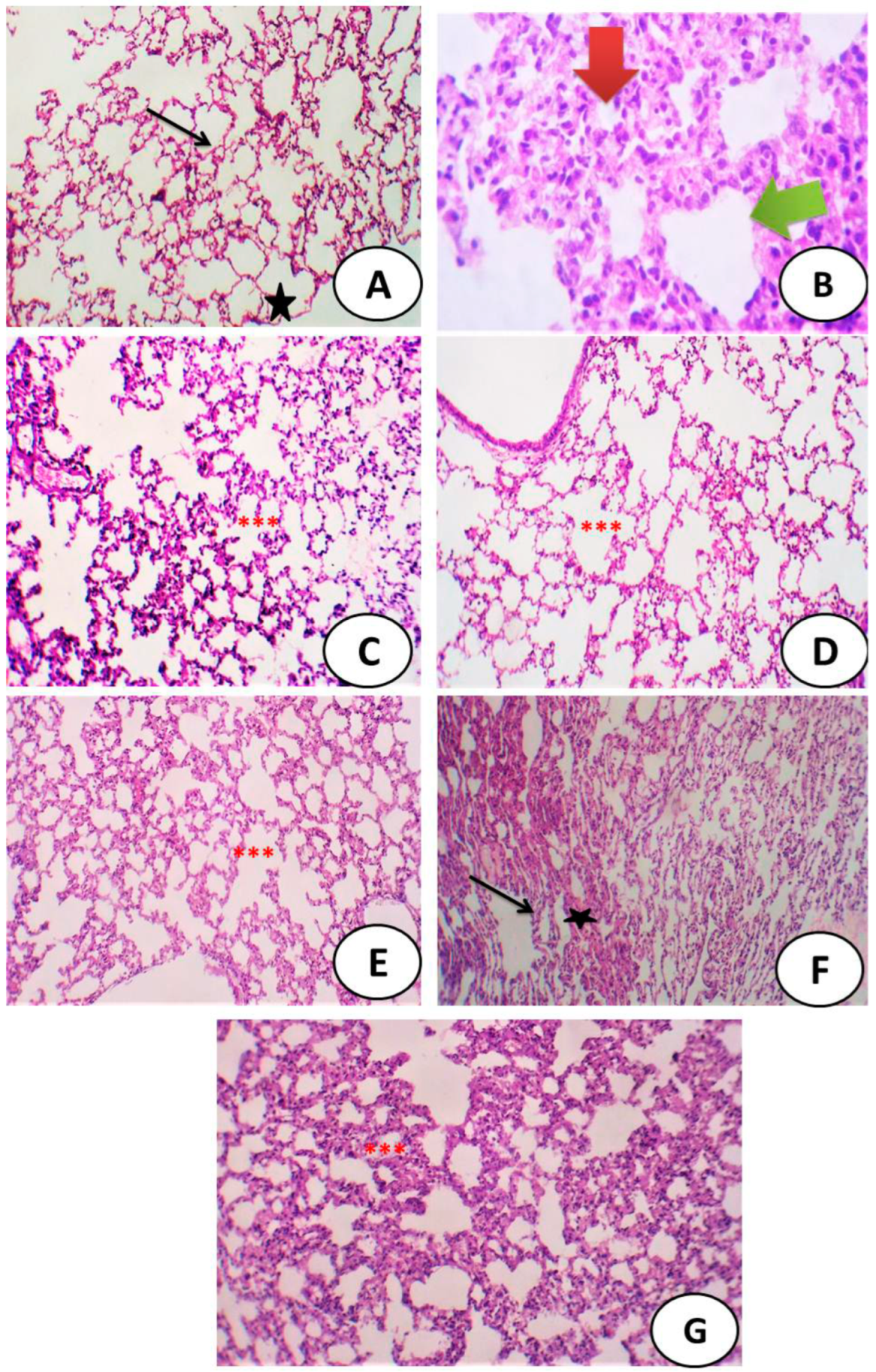
3.8. Histological Examination
3.9. Antibacterial Activity Evaluation
4. Discussion
5. Conclusions
Author Contributions
Funding
Institutional Review Board Statement
Informed Consent Statement
Data Availability Statement
Acknowledgments
Conflicts of Interest
References
- Goniewicz, M.L.; Knysak, J.; Gawron, M.; Kosmider, L.; Sobczak, A.; Kurek, J.; Benowitz, N. Levels of selected carcinogens and toxicants in vapour from electronic cigarettes. Tob. Control 2014, 23, 133–139. [Google Scholar] [CrossRef] [PubMed] [Green Version]
- Grana, R.A.; Ling, P.M. “Smoking revolution”: A content analysis of electronic cigarette retail websites. Am. J. Prev. Med. 2014, 46, 395–403. [Google Scholar] [CrossRef] [PubMed] [Green Version]
- Caponnetto, P.; Campagna, D.; Papale, G.; Russo, C.; Polosa, R. The emerging phenomenon of electronic cigarettes. Expert Rev. Respir. Med. 2012, 6, 63–74. [Google Scholar] [CrossRef] [PubMed]
- Lee, S.M.; Le Bouf, R.F.; Son, Y.; Koutrakis, P.; Christiani, D.C. Nicotine, aerosol particles, carbonyls and volatile organic compounds in tobacco and menthol-flavored e-cigarettes. Environ. Health 2017, 16, 42. [Google Scholar] [CrossRef] [Green Version]
- Herrington, J.S.; Myers, C. Electronic cigarette solutions and resultant aerosol profiles. J. Chromatogr. A 2015, 1418, 192–199. [Google Scholar] [CrossRef] [Green Version]
- Yi, L.; Yichen, W.; Liqiao, L.; Yuening, G.; Ege, Ç.; Yifang, Z.; Aydogan, O. Dynamic Imaging and Characterization of Volatile Aerosols in E-Cigarette Emissions Using Deep Learning-Based Holographic Microscopy. ACS Sens. 2021, 6, 2403–2410. [Google Scholar]
- Mikheev, V.B.; Ivanov, A.; Lucas, E.A.; South, P.L.; Colijn, H.O.; Clark, P.I. Aerosol size distribution measurement of electronic cigarette emissions using combined differential mobility and inertial impaction methods: Smoking machine and puff topography influence. Aerosol. Sci. Technol. 2018, 52, 1233–1248. [Google Scholar] [CrossRef]
- Hua, M.; Sadah, S.; Hristidis, V.; Talbot, P. Health effects associated with Electronic cigarette use: Automated Mining of online forums. J. Med. Internet Res. 2020, 22, e15684. [Google Scholar] [CrossRef]
- Olagboye, S.A.; Adekeye, D.K.; Akinwunmi, O.A. Antimicrobial activities of novel synthesized Cu (II) and Co (II) mixed ligand complexes of prednisolone and paracetamol. Int. J. Sci. Eng. Res. 2020, 10, 651–662. [Google Scholar]
- Osowole, A.A.; Wakil, A.S.; Alao, K.O. Synthesis, characterization and antimicrobial activity orsome mixed Trimethoprin- sulfamethoxazole metal drug complexes. World Appl. Sci. J. 2015, 33, 336–342. [Google Scholar]
- Raman, N.; Sobha, S. Synthesis, characterization and antimicrobial screening of isatin—Based polypyridyl mixed ligand Cu (II) and Zn (II)) complexes. J. Serb. Chem. Soc. 2010, 17, 733–788. [Google Scholar] [CrossRef]
- Vogt, M.; Derendorf, H.; Kramer, J.; Junginger, H.E.; Midha, K.K.; Shah, V.P.; Stavchansky, S.; Dressman, J.B.; Barends, D.M. Biowaiver monographs for immediate release solid oral dosage forms: Prednisolone. J. Pharm. Sci. 2006, 96, 27–37. [Google Scholar] [CrossRef] [PubMed] [Green Version]
- Pickup, M.E.; Lowe, J.R.; Leatham, P.A.; Rhind, V.M.; Wright, V.; Downie, W.W. Dose dependent pharmacokinetics of prednisolone. Eur. J. Clin. Pharmacol. 1977, 12, 213–219. [Google Scholar] [CrossRef] [PubMed]
- Coutinho, A.E.; Chapman, K.E. The anti-inflammatory and immunosuppressive effects of glucocorticoids, recent developments and mechanistic insights. Mol. Cell Endocrinol. 2011, 335, 2–13. [Google Scholar] [CrossRef]
- Wei, L.; MacDonald, T.M.; Walker, B.R. Taking glucocorticoids by prescription is associated with subsequent cardiovascular disease. Ann. Intern. Med. 2004, 141, 764–770. [Google Scholar] [CrossRef]
- Xia, M.; Liu, D.; Liu, Y.; Liu, H. The Therapeutic Effect of Artemisinin and Its Derivatives in Kidney Disease. Front. Pharmacol. 2020, 11, 380. [Google Scholar] [CrossRef]
- An, J.; Minie, M.; Sasaki, T.; Woodward, J.J.; Elkon, K.B. Antimalarial Drugs as Immune Modulators: New Mechanisms for Old Drugs. Annu. Rev. Med. 2017, 68, 317–330. [Google Scholar] [CrossRef]
- Lopes, E.d.; de Oliveira, C.G.; da Silva, P.B.; Eismann, C.E.; Suárez, C.A.; Menegário, A.A.; Leite, C.Q.F.; Deflon, V.M.; Pavan, F.R. Novel Zinc(II) Complexes [Zn(atc-Et)2] and [Zn(atc-Ph)2]: In Vitro and in Vivo Antiproliferative Studies. Int. J. Mol. Sci. 2016, 17, 781. [Google Scholar] [CrossRef] [Green Version]
- Wu, X.; Wang, X.; Zhang, W.; Shi, X.; An, P.; Sun, W.; Wang, Z. Therapeutic effect of artemisinin on lupus nephritis mice and its mechanisms. Acta Biochim. Biophys. Sin. 2010, 42, 916–923. [Google Scholar] [CrossRef] [Green Version]
- Wener, M.H.; Daum, P.R.; McQuillin, G.M. The influence of age, sex, and race on the upper reference limit of serum C-reactive protein concentration. J. Rheumatol. 2000, 27, 2351–2359. [Google Scholar]
- Ohkawa, H.; Ohishi, N.; Yagi, K. Assay for lipid peroxides in animal tissues by thiobarbituric acid reaction. Anal. Biochem. 1979, 95, 351–358. [Google Scholar] [CrossRef]
- Marklund, S.; Marklund, G. Involvement of the superoxide anion radical in the autoxidation of pyrogallol and a convenient assay for superoxide dismutase. Eur. J. Biochem. 1974, 47, 469–474. [Google Scholar] [CrossRef] [PubMed]
- Aebi, H.E. Catalase. In Methods of Enzymatic Analysis; Elsevier: Amsterdam, The Netherlands, 1983. [Google Scholar]
- Couri, D.; Abdel-Rahman, M.S. Effect of chlorine dioxide and metabolites on glutathione dependent system in rat, mouse and chicken blood. J. Environ. Pathol. Toxicol. 1979, 3, 451–460. [Google Scholar]
- Hafeman, D.G.; Sunde, R.A.; Hoekstra, W.G. Effect of dietary selenium on erythrocyte and liver glutathione peroxidase in the rat. J. Nutr. 1974, 104, 580–587. [Google Scholar] [CrossRef] [PubMed]
- Hayat, M. Basic Techniques for Transmission Electron Microscopy; Elsevier: Amsterdam, The Netherlands, 2012. [Google Scholar]
- Pfaller, M.A.; Burmeister, L.; Bartlett, M.A.; Rinaldi, M.G. Multicenter evaluation of four methods of yeast inoculum preparation. J. Clin. Microbiol. 1988, 26, 1437–1441. [Google Scholar] [CrossRef] [PubMed] [Green Version]
- El-Megharbel, S.M.; Al-Thubaiti, E.H.; Qahl, S.H.; Al-Eisa, R.A.; Hamza, R.Z. Synthesis and Spectroscopic Characterization of Dapagliflozin/Zn (II), Cr (III) and Se (IV) Novel Complexes That Ameliorate Hepatic Damage, Hyperglycemia and Oxidative Injury Induced by Streptozotocin-Induced Diabetic Male Rats and Their Antibacterial Activity. Crystals 2022, 12, 304. [Google Scholar]
- M7-A3; Methods for Dilution Antimicrobial Susceptibility Tests for Bacteria That Grow Aerobically. National Committee for Clinical Laboratory Standards conference: Villanova, PA, USA, 1993.
- Liebowitz, L.D.; Ashbee, H.R.; Evans, E.G.V.; Chong, Y.; Mallatova, N.; Zaidi, M.; Gibbs, D. A two year global evaluation of the susceptibility of Candida species to fluconazole by disk diffusion. Diagn. Microbiol. Infect. Dis. 2001, 40, 27–33. [Google Scholar] [CrossRef]
- IBM. IBM SPSS Statistics for Windows, Version 27. Armonk, NY: IBM Corp. 2020. Available online: http://www-01.ibm.com/support/docview.wss?uid=swg27049428 (accessed on 2 March 2022).
- Dean, A.; Sullivan, K.; Soe, M. OpenEpi: Open Source Epidemiologic Statistics for Public Health. 2013. Available online: https://www.OpenEpi.com (accessed on 2 March 2022).
- El-Megharbel, S.M.; Hamza, R.Z. Synthesis, spectroscopic characterizations, conductometric titration and investigation of potent antioxidant activities of gallic acid complexes with Ca (II), Cu (II), Zn(III), Cr(III) and Se (IV) metal ions. J. Mol. Liq. 2022, 358, 119196. [Google Scholar] [CrossRef]
- El-Megharbel, S.M.; Al-Baqami, N.M.; Al-Thubaiti, E.H.; Qahl, S.H.; Albogami, B.; Hamza, R.Z. Antidiabetic Drug Sitagliptin with Divalent Transition Metals Manganese and Cobalt: Synthesis, Structure, Characterization Antibacterial and Antioxidative Effects in Liver Tissues. Curr. Issues Mol. Biol. 2022, 44, 1810–1827. [Google Scholar] [CrossRef]
- El-Megharbel, S.M.; Qahl, S.H.; Alaryani, F.S.; Hamza, R.Z. Synthesis, Spectroscopic Studies for Five New Mg (II), Fe (III), Cu (II), Zn (II) and Se (IV) Ceftriaxone Antibiotic Drug Complexes and Their Possible Hepatoprotective and Antioxidant Capacities. Antibiotics 2022, 11, 547. [Google Scholar] [CrossRef]
- Cotton, F.A.; Wilkinson, C.W. Advanced Inorganic Chemistry, 3rd ed.; Interscience Publisher: New York, NY, USA, 1972. [Google Scholar]
- Nakamoto, K. Infrared Spectra of Inorganic and Coordination Compounds, 2nd ed.; Wiley Interscience; John Wiley & Sons: New York, NY, USA, 1970. [Google Scholar]
- Bellamy, L.J. The Infrared Spectra of Complex Molecules; Chapman and Hall: London, UK, 1975. [Google Scholar]
- Bukhari, I.H.; Arif, M.; Akbar, J.; Khan, A.H. Preparation, Characterization and Biological Evaluation of Schiff base and Transition Metal Complexes with Cephredine. Pak. J. Biol. Sci. 2005, 84, 614–617. [Google Scholar]
- Gulee, M.; Songur, A.; Sahin, S.; Ozen, O.A.; Sarsilmaz, M.; Akyol, O. Antioxidant enzyme activities and lipid peroxidation products in heart tissue of subacute and subchronic formaldehyde-exposed rats: A preliminary study. Toxicol. Ind. Health 2006, 22, 117–124. [Google Scholar]
- Sassano, M.F.; Davis, E.S.; Keating, J.E.; Zorn, B.T.; Kochar, T.K.; Wolfgang, M.C.; Glish, G.L.; Tarran, R. Evaluation of e-liquid toxicity using an opensource high-throughput screening assay. PLoS Biol. 2018, 16, e2003904. [Google Scholar] [CrossRef] [PubMed]
- Sosnowski, T.R.; Kramek-Romanowska, K. Predicted Deposition of E-Cigarette Aerosol in the Human Lungs. J. Aerosol. Med. Pulm. Drug Deliv. 2016, 29, 299–309. [Google Scholar] [CrossRef] [PubMed]
- Reidel, B.; Radicioni, G.; Clapp, P.W.; Ford, A.A.; Abdelwahab, S.; Rebuli, M.E.; Haridass, P.; Alexis, N.E.; Jaspers, I.; Kesimer, M. E-Cigarette Use Causes a Unique Innate Immune Response in the Lung Involving Increased Neutrophilic Activation and Altered Mucin Secretion. Am. J. Respir. Crit. Care Med. 2018, 197, 492–501. [Google Scholar] [CrossRef] [PubMed]
- Doi, A.M.; Roycroft, J.H.; Herbert, R.A.; Haseman, J.K.; Hailey, J.R.; Chou, B.J.; Dill, J.A.; Grumbein, S.L.; Miller, R.A.; Renne, R.A.; et al. Inhalation toxicology and carcinogenesis studies of propylene glycol mono-t-butyl ether in rats and mice. Toxicology 2004, 199, 1–22. [Google Scholar] [CrossRef]
- Blake, D.A.; Whikehart, D.R.; Yu, H.; Vogel, T.; Roberts, D.D. Common cryopreservation media deplete corneal endothelial cell plasma membrane Na+,K+ ATPase activity. Curr. Eye Res. 1996, 15, 263–271. [Google Scholar] [CrossRef]
- Morshed, K.M.; Jain, S.K.; McMartin, K.E. Acute toxicity of propylene glycol: An assessment using cultured proximal tubule cells of human origin. Fundam. Appl. Toxicol. 1994, 23, 38–43. [Google Scholar] [CrossRef]
- Galbraith, D.A. Diacetyl and occupational bronchiolitis obliterans: Comments on Rose, CS: Early detection, clinical diagnosis and management of lung disease from exposure to diacetyl. Toxicology 2017, 392, 155–157. [Google Scholar] [CrossRef]
- Breland, A.; Soule, E.; Lopez, A.; Ramoa, C.; El-Hellani, A.; Eissenberg, T. Electronic cigarettes: What are they and what do they do? Ann. N. Y. Acad. Sci. 2017, 1394, 5–30. [Google Scholar] [CrossRef]
- Schroeder, M.J.; Hoffman, A.C. Electronic cigarettes and nicotine clinical pharmacology. Tob. Control. 2014, 23, ii30–ii35. [Google Scholar] [CrossRef] [PubMed] [Green Version]
- Caren, L.; Zachary, V.; Brandy, Z.; Rakesh, R.; Christopher, M. Respiratory effects of prolonged prednisolone use in infants with evolving and established Bronchopulmonary dysplasia. Early Hum. Dev. 2021, 156, 105344. [Google Scholar]
- Hryniewicka, A.; Malinowska, M.; Hauschild, T.; Morzycki, J.W. Synthesis and antimicrobial properties of steroid-based imidazolium salts. J. Steroid Biochem. Mol. Biol. 2019, 189, 65–72. [Google Scholar] [CrossRef]
- Xia, M.; Liu, D.; Tang, X.; Liu, Y.; Liu, H.; Liu, Y.; Chen, G.; Liu, H. Dihydroartemisinin inhibits the proliferation of IgAN mesangial cells through the mTOR signaling pathway. Int. Immunopharmacol. 2020, 80, 106125. [Google Scholar] [CrossRef]
- Von Hagens, C.; Walter-Sack, I.; Goeckenjan, M.; Osburg, J.; Storch-Hagenlocher, B.; Sertel, S.; Elsässer, M.; Remppis, B.A.; Edler, L.; Munzinger, J.; et al. Prospective open uncontrolled phase I study to define a well-tolerated dose of oral artesunate as add-on therapy in patients with metastatic breast cancer (ARTIC M33/2). Breast Cancer Res. Treat. 2017, 164, 359–369. [Google Scholar] [CrossRef] [PubMed]
- Ahmed-Laloui, H.; Zaak, H.; Rahmani, A.; Kashi, I.; Chemat, S.; Miara, M.D.; Cherb, N.; Derdour, M. Assessment of artemisinin and antioxidant activities of three wild Artemisia species of Algeria. Nat. Prod. Res. 2022, 9, 1–9. [Google Scholar] [CrossRef] [PubMed]










| Sample | Electronic Bands/nm | Magnetic Moment | Geometry | |
|---|---|---|---|---|
| π–π* | n–π* | |||
| Prednisolone | 225 235 | - | - | - |
| [Zn(PRD)2(Cl)2],H2O | 225 245 255 | - | Diamagnetic | Square planar |
| Parameters | Control | E-cig | PRD/Zn | ART | E-cig + PRD/Zn | E-cig + ART | E-cig + PRD/Zn+ ART |
|---|---|---|---|---|---|---|---|
| CRP (mg/L) | 55.02 ± 4.25 c | 187.25 ± 5.98 a | 33.35 ± 4.25 d | 28.25 ± 4.25 d | 89.02 ± 4.25 b | 92.98 ± 4.58 b | 60.02 ± 5.21 c |
| IL-6 (pg/mL) | 34.25 ± 4.02 d | 220.03 ± 8.25 a | 24.02 ± 4.55 e | 20.36 ± 2.02 e | 110.06 ± 4.25 b | 125.03 ± 5.02 b | 75.02 ± 4.02 c |
| Parameters | Normal | E-cig | PRD/Zn | ART E-cig + PRD/Zn E-cig +ART E-cig + PRD/Zn + ART | |||
|---|---|---|---|---|---|---|---|
| Control | |||||||
| CAT (U/g) | 5.02 ± 0.58 b | 1.02 ± 0.58 e | 5.68 ± 1.02 ab | 4.97 ± 0.58 c | 4.82 ± 0.58 c | 4.25 ± 0.67 d | 4.99 ± 0.68 cd |
| SOD (U/g) | 3.02 ± 0.87 c | 0.58 ± 0.02 d | 4.82 ± 0.58 a | 4.01 ± 0.58 a | 3.55 ± 0.87 c | 3.05 ± 0.78 c | 3.82 ± 0.25 bc |
| GRx (U/g) | 4.98 ± 1.02 ab | 1.25 ± 0.87 e | 4.58 ± 1.58 ab | 4.05 ± 1.69 b | 2.58 ± 0.78 d | 2.44 ± 0.61 d | 3.77 ± 0.98 c |
| MDA (µg/mg) | 3.01 ± 0.25 e | 15.69 ± 0.58 a | 4.25 ± 0.69 de | 4.02 ± 1.25 de | 8.02 ± 1.25 b | 8.78 ± 2.25 b | 6.02 ± 1.02 c |
| GPx (U/g) | 8.87 ± 1.69 ab | 2.058 ± 0.78 f | 8.67 ± 1.58 ab | 8.02 ± 2.02 b | 4.02 ± 0.58 e | 5.41 ± 1.66 de | 7.02 ± 1.69 c |
| Sample | Inhibition Zone Diameter (mm/mg Sample) | ||
|---|---|---|---|
| Bacillus subtilis (G+) | Escherichia coli (G−) | Streptococcus pneumoniae (G+) | |
| Control (DMSO) | 0.0 ± 0.0 c | 0.01 ± 0.0 d | 0.0 ± 0.0 d |
| PRD | 3.80 ± 0.11 b | 3.76 ± 0.31 c | 5.8 ± 0.73 c |
| PRD/Zn | 12 ± 0.62 a | 10.98 ± 0.96 a | 16 ± 0.21 a |
Publisher’s Note: MDPI stays neutral with regard to jurisdictional claims in published maps and institutional affiliations. |
© 2022 by the authors. Licensee MDPI, Basel, Switzerland. This article is an open access article distributed under the terms and conditions of the Creative Commons Attribution (CC BY) license (https://creativecommons.org/licenses/by/4.0/).
Share and Cite
Hamza, R.Z.; Alaryani, F.S.; Alotaibi, R.E.; Al-Harthi, M.A.; Alotaibi, G.S.; Al-Subaie, N.A.; Al-Talhi, A.A.; Al-Bogami, B.; Al-Baqami, N.M.; El-Megharbel, S.M.; et al. Efficacy of Prednisolone/Zn Metal Complex and Artemisinin Either Alone or in Combination on Lung Functions after Excessive Exposure to Electronic Cigarettes Aerosol with Assessment of Antibacterial Activity. Crystals 2022, 12, 972. https://doi.org/10.3390/cryst12070972
Hamza RZ, Alaryani FS, Alotaibi RE, Al-Harthi MA, Alotaibi GS, Al-Subaie NA, Al-Talhi AA, Al-Bogami B, Al-Baqami NM, El-Megharbel SM, et al. Efficacy of Prednisolone/Zn Metal Complex and Artemisinin Either Alone or in Combination on Lung Functions after Excessive Exposure to Electronic Cigarettes Aerosol with Assessment of Antibacterial Activity. Crystals. 2022; 12(7):972. https://doi.org/10.3390/cryst12070972
Chicago/Turabian StyleHamza, Reham Z., Fatima S. Alaryani, Reem E. Alotaibi, Maha A. Al-Harthi, Ghadeer S. Alotaibi, Nora A. Al-Subaie, Amjad A. Al-Talhi, Bander Al-Bogami, Najah M. Al-Baqami, Samy M. El-Megharbel, and et al. 2022. "Efficacy of Prednisolone/Zn Metal Complex and Artemisinin Either Alone or in Combination on Lung Functions after Excessive Exposure to Electronic Cigarettes Aerosol with Assessment of Antibacterial Activity" Crystals 12, no. 7: 972. https://doi.org/10.3390/cryst12070972
APA StyleHamza, R. Z., Alaryani, F. S., Alotaibi, R. E., Al-Harthi, M. A., Alotaibi, G. S., Al-Subaie, N. A., Al-Talhi, A. A., Al-Bogami, B., Al-Baqami, N. M., El-Megharbel, S. M., & Al-Thubaiti, E. H. (2022). Efficacy of Prednisolone/Zn Metal Complex and Artemisinin Either Alone or in Combination on Lung Functions after Excessive Exposure to Electronic Cigarettes Aerosol with Assessment of Antibacterial Activity. Crystals, 12(7), 972. https://doi.org/10.3390/cryst12070972

