Photodynamic Detection of Peritoneal Metastases Using 5-Aminolevulinic Acid (ALA)
Abstract
:1. Introduction
2. Rationale of Photodynamic Diagnosis (PDD) to Detect Peritoneal Metastasis Using 5-Amino-levulinic Acid
3. Molecular Mechanisms of Selective Accumulation of 5-ALA and PpIX in Cancer Cells and Cancer Tissues
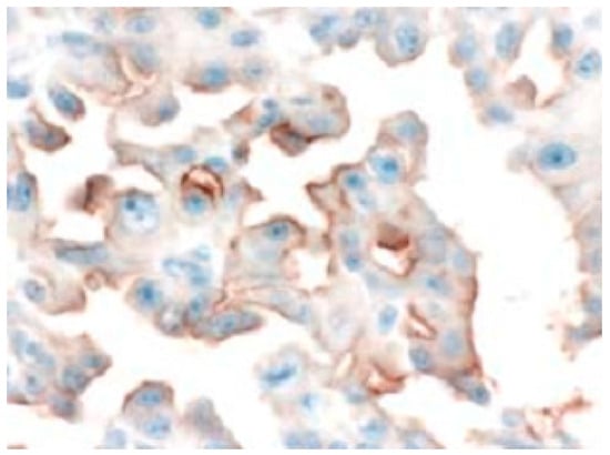
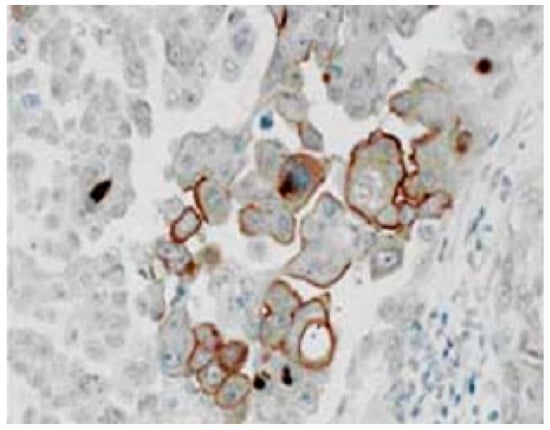
3.1. Immuhohistological Expressions of PEPT1 and ABCG2 Protein
3.2. ALA PDD in Experimental PM
4. Clinical Application of ALA PDD to Detect Peritoneal Metastasis: ALA-Guided Cytoreductive Surgery
4.1. Methods of ALA PDD and ALA-Guided Cytoreductive Surgery
4.2. Results of ALA PDD for Detection of Peritoneal Metastases from Various Cancers
5. Application for Fertility Sparing Surgery
6. Safety and Feasibility of ALA PDD
7. Correlation between ALA PDD Status and Recurrence after CRS
8. Conclusions
Acknowledgments
Author Contributions
Conflicts of Interest
References
- Yonemura, Y.; Canbay, E.; Li, Y.; Coccolini, F.; Glehen, O.; Sugarbaker, P.H.; Morris, D.; Moran, B.; Gonzaletz-Moreno, S.; Deraco, M. A comprehensive treatment for peritoneal metastases from gastric cancer with curative intent. Eur. J. Surg. Oncol. 2016. [Google Scholar] [CrossRef]
- Sugarbaker, P.H. Peritonectomy procedures. Ann. Surg. 1995, 221, 29–42. [Google Scholar] [CrossRef]
- Verwaal, V.J.; Bruin, S.; Boot, H.; van Slooten, G.; van Tinteren, H. 8-year follow-up of randomized trial: Cytoreductionand hyperthermic intraperitoneal chemotherapy versus systemic chemotherapy in patients with peritoneal carcinomatosis of colorectal cancer. Ann. Surg. Oncol. 2008, 15, 2426–2432. [Google Scholar] [CrossRef]
- Brücher, B.L.; Piso, P.; Verwaal, V.; Esquivel, J.; Derraco, M.; Yonemura, Y.; Gonzalez-Moreno, S.; Pelz, J.; Königsrainer, A.; Ströhlein, M. Peritoneal carcinomatosis: Cytoreductive surgery and HIPEC-overview and basics. Cancer Investig. 2012, 30, 209–224. [Google Scholar] [CrossRef]
- Yang, X.J.; Huang, C.Q.; Suo, T.; Mei, L.J.; Yang, G.L.; Cheng, F.L.; Zhou, Y.F.; Xiong, B.; Yonemura, Y.; Li, Y. Cytoreductive surgery and hyperthermic intraperitoneal chemotherapy improves survival of patients with peritoneal carcinomatosis from gastric cancer: Final results of a phase III randomized clinical trial. Ann. Surg. Oncol. 2011, 18, 1575–1581. [Google Scholar] [CrossRef]
- Yan, T.D.; Black, D.; Savady, R.; Sugarbaker, P.H. Systematic review on the efficacy of cytoreductive surgery combined with perioperative intraperitoneal chemotherapy for peritoneal carcinomatosis from colorectal carcinoma. J. Clin. Oncol. 2006, 24, 4011–4019. [Google Scholar] [CrossRef] [PubMed]
- Hino, H.; Murayama, Y.; Nakanishi, M.; Inoue, K.; Nakajima, M.; Otsuji, E. 5-aminolevulinic acid-mediated photodynamic therapy using light-emitting diodes of different wavelength in a mouse model of peritoneally disseminated gastric cancer. J. Surg. Res. 2013, 285, 119–126. [Google Scholar] [CrossRef]
- Liu, Y.; Endo, Y.; Fujita, T.; Ishibashi, H.; Nishioka, T.; Canbay, E.; Li, Y.; Ogura, S.; Yonemura, Y. Cytoreductive surgery under aminolevulinic acid-mediated photodynamic diagnosis plus hyperthermici ntraperitoneal chemotherapy in patients with peritoneal carcinomatosis from ovarian cancer and primary peritoneal carcinoma: Results of a phase I trial. Ann. Surg. Oncol. 2014, 24, 4256–4262. [Google Scholar] [CrossRef]
- Jichlinski, P.; Forrer, M.; Mizeret, J.; Glanzmann, T.; Braichotte, D.; Wagnières, G.; Zimmer, G.; Guillou, L.; Schmidlin, F.; Graber, P.; et al. Clinical evaluation of a method for detecting superficial transitional cell carcinoma of the bladder by light-induced fluorescence of photoporphyrin IX following topical aplication of 5-aminolevulinic acid: Preliminary results. Laser Surg. Med. 1997, 20, 402–408. [Google Scholar] [CrossRef]
- Kaneko, S. Photodinamic applications (PDD, PDT) using aminolevulinic acid in neurosurgery. In Aminolevulinic acid. Science, Technology and Application; Okura, I., Tanaka, T.R., Eds.; SBI ALA Promo Co. Ltd.: Tokyo, Japan, 2012; pp. 119–140. [Google Scholar]
- Rodriguez, L.; Batlle, A.; Di Venosa, G.; MacRobert, A.J.; Battah, S.; Daniel, H.; Casas, A. Study of the mechanisms of uptake of 5-aminolevulinic acid derivatives by PEPT1 and PET2 transporters as a tool to improve photodynamic therapies of tumours. Int. J. Biochem. Cell Biol. 2006, 28, 1530–1539. [Google Scholar] [CrossRef]
- Yonemura, Y.; Endo, Y.; Canbay, E.; Liu, Y.; Ishibashi, H.; Takeshita, K.; Mizumoto, A.; Hirano, M.; Takao, N.; Ichinose, M.; et al. Selection of patients by membrane transporter expressions for aminolevulinic acid (ALA)-guided photodynamic detection of peritoneal metastases. Int. J. Sci. 2015, 4, 66–77. [Google Scholar] [CrossRef]
- Hagiya, Y.; Fukuhara, H.; Matsumoto, K.; Endo, Y.; Nakajima, M.; Tanaka, T.; Okura, I.; Kurabayashi, A.; Furihata, M.; Inoue, K.; et al. Expression levels of PEPT1 and ABCG2 play key roles in 5-aminolevulinic acid (ALA)-induced tumor-specific protoporphyrin IX (PpIX) accumulation in bladder cancer. Photodiag. Photodyn. Ther. 2013, 10, 288–295. [Google Scholar] [CrossRef]
- Ishikawa, T. The ATP-dependent glutathione S-conjugate export pump. Trends Biochem. Sci. 1992, 17, 463–469. [Google Scholar] [CrossRef]
- Toyoda, Y.; Hagiya, Y.; Adachi, T.; Hoshijima, K.; Kuo, M.T.; Ishikawa, T. MRP class of human ATP binding cassette (ABC) transporter historical background and new research directions. Xenobiotica 2008, 38, 833–862. [Google Scholar] [CrossRef] [PubMed]
- Hagiya, Y.; Endo, Y.; Yonemura, Y.; Takahashi, K.; Ishizuka, M.; Abe, F.; Tanaka, T.; Okura, I.; Nakajima, M.; Ishikawa, T.; et al. Pivotal roles of peptide transporter PEPT1 and ATP-binding cassette (ABC) transporter ABCG2 in 5-aminolevulinic acid (ALA)-based photocytotoxicity of gastric cancer cellsin vitro. Photodiag. Photodyn. Ther. 2012, 9, 204–214. [Google Scholar] [CrossRef] [PubMed]
- Whitaker, C.J.; Battah, S.H.; Forsyth, M.J.; Edwards, C.; Boyle, R.W.; Matthews, E.K. Photosensitization of pancreatic tumour cells by delta-aminolevulinic acid esters. Anticancer Drug Des. 2000, 15, 161–170. [Google Scholar] [PubMed]
- Yonemura, Y.; Canbay, E.; Ishibashi, H.; Nishino, E.; Endou, Y.; Sako, S.; Ogura, S. 5-aminolevulinic acid fluorescence in detection of peritoneal metastases. Asian Pac. J. Cancer Prev. 2016, 17, 2271–2275. [Google Scholar] [CrossRef] [PubMed]
- Yonemura, Y.; Ishibashi, H.; Sako, S. ALA fluorescence guided surgery. In Comprehensive Treatment for Peritoneal Surface Malignancy with an Intent of Cure; Yonemura, Y., Ed.; Asian School of Peritoneal Surface Oncology: Osaka, Japan, 2014; pp. 110–117. [Google Scholar]
- Löning, M.; Diddens, H.; Küpker, W.; Diedrich, K.; Hüttmann, G. Laparoscopic fluorescent detection of ovarian carcinoma metastasis using 5-aminolevulinic acid-induced protoporphyrin IX. Cancer 2004, 100, 1650–1656. [Google Scholar] [CrossRef] [PubMed]
- Canis, M.; Botchorishvili, R.; Berreni, N.; Manhes, H.; Wattiez, A.; Mage, G.; Pouly, J.L.; Bruhat, M.A. 5-amininolevulinic acid-induced (ALA) fluorescence for the laparoscopic diagnosis of peritoneal metastasis. An experimental study. Sur. Endoscopy. 2001, 15, 1184–1186. [Google Scholar] [CrossRef] [PubMed]
- Gahlen, J.; Pietschmann, M.; Prosst, R.L.; Herfarth, C. Systemic vs local administration of delta-aminolevulinic acid for laparoscopic fluorescence diagnosis of malignant intra-abdominal tumors-Experimental study. Surg. Endoscopy. 2001, 15, 196–199. [Google Scholar] [CrossRef]
- Hornung, R.; Major, A.L.; McHale, M.; Liaw, L.H.; Sabiniano, L.A.; Tromberg, B.J.; Berns, M.W.; Tadir, Y. In vivo detection of metastatic ovarian cancer by means of 5-aminolevulinic acid-Induced fluorescence in a rat model. J. Am. Assoc. Gynecol. Laparoscopist. 1998, 5, 141–148. [Google Scholar] [CrossRef]
- Lüdicke, F.; Gabrecht, T.; Lange, N.; Wagnières, G.; van Den Bergh, H.; Berclaz, L.; Major, A.L. Photodynamic diagnosis of ovarian cancer using hexaminolevulinate: A preclinical study. Br. J. Cancer. 2003, 88, 1780–1784. [Google Scholar] [CrossRef] [PubMed][Green Version]
- Lamon, J.; With, T.K.; Redeker, A.G. The Hoesch test: Bedside screening for urinary porphobilinogen in patients with suspected porphyria. Clin. Chem. 1974, 20, 1438–1440. [Google Scholar] [PubMed]
- Hillemanns, P.; Wimberger, P.; Reif, J.; Stepp, H.; Klapdor, R. Photodynamic diagnosis with 5-aminolevulinic acid for intraoperative detection of peritoneal metastases of ovarian cancer: A feasibility and dose finding study. Lasers Surg. Med. 2016. [Google Scholar] [CrossRef] [PubMed]
- Yonemura, Y.; Canbay, E.; Endou, Y.; Ishibashi, H.; Mizumoto, A.; Miura, M.; Li, Y.; Liu, Y.; Takeshita, K.; Ichinose, M.; et al. Peritoneal cancer treatment. Expert Opin. Pharmacother. 2014, 15, 623–636. [Google Scholar] [CrossRef] [PubMed]
- Jacquet, P.; Sugarbaker, P.H. Clinical research methodologies in diagnosis and staging of patients with peritoneal carcinomatosis. Cancer Treat Res. 1996, 82, 359–374. [Google Scholar] [PubMed]
- Murayama, Y.; Ichikawa, D.; Koizumi, N.; Komatsu, S.; Shiozaki, A.; Kuriu, Y.; Ikoma, H.; Kubota, T.; Nakanishi, M.; Harada, Y.; et al. Staging fluorescence laparoscopy for gastric cancer by using 5-aminolevulinic acid. Anticancer Res. 2012, 32, 5421–5427. [Google Scholar] [PubMed]
- Canbay, E.; Ishibashi, H.; Sako, S.; Kitai, T.; Nishino, E.; Hirano, M.; Mizumoto, A.; Endo, Y.; Ogura, S.; Yonemura, Y. Photodynamic detection and management of intraperitoneal spreading of primary peritoneal papillary serous carcinoma in a man: A case report. Surg. Today 2014, 44, 373–377. [Google Scholar] [CrossRef] [PubMed]
- Ditto, A.; Martinelli, F.; Lorusso, D.; Haeusler, E.; Carcangiu, M.; Raspagliesi, F. Fertility sparing surgery in early stage epithelial ovarian cancer. J. Gynecol. Oncol. 2014, 25, 320–327. [Google Scholar] [CrossRef] [PubMed]
- Kamp, M.A.; Fischer, I.; Bühner, J.; Turowski, B.; Cornelius, J.F.; Steiger, H.J.; Rapp, M.; Slotty, P.J.; Sabel, M. 5-ALA fluorescence of cerebral metastases and its impact for the local-in-brain progression. Oncotarget. 2016, 11, 66776–66789. [Google Scholar] [CrossRef] [PubMed]
- Garrd, A.E. Inborn Errors of Metabolism; Hodder & Stoughton: London, UK, 1923. [Google Scholar]
- Kondo, M. Measurements meaning of substrates of heme biosynthesis. Porphyrins 2003, 12, 73–88. [Google Scholar]
- Anderson, K.E.; Collins, S. Open-label study of hemin for acute porphyria: Clinical practice implications. Am. J. Med. 2006, 119, 19–24. [Google Scholar] [CrossRef] [PubMed]
- Mustajoki, P.; Nordmann, Y. Early administartion of hemearginate for acute porphyric attacks. Arch. Intern. Med. 1993, 153, 2004–2008. [Google Scholar] [CrossRef] [PubMed]










| PEPT1 Expression | PDD Negative | PDD Positive | Total |
|---|---|---|---|
| Negative | 22 | 10 | 32 |
| Positive | 14 | 29 | 43 |
| Total | 36 | 39 | 75 |
| ABCG2 mRNA Expression | PDD Negative | PDD Positive | Total |
|---|---|---|---|
| Negative | 15 | 5 | 20 |
| Positive | 21 | 34 | 55 |
| Total | 36 | 39 | 75 |
| Primary Sites | Positive Emission Rates |
|---|---|
| Ovarian cancer N = 26 | 22/26 (84.6%) |
| Mesothelioma N = 8 | 5/8 (62.5%) |
| Pancreas cancer N = 4 | 3/4 (75%) |
| Colorectal cancer N = 29 | 27/45 (60%) |
| Biiary cancer N = 3 | 2/3 (66.7%) |
| Small bowel cancer N = 8 | 4/8 (50%) |
| Gastric cancer N = 10 | 9/35 (25.7%) |
| Appendicealmucinous carcinoma N = 55 | 9/55 (16.4%) |
| N = 143 | 81/143 (56.6%) |
| Primary Sites | PpIX Content in Peritoneal Metastasis |
|---|---|
| Ovarian cancer N = 10 | 0.0185 ± 0.0017 |
| Mesothelioma N = 5 | 0.0156 ± 0.0105 |
| Pancreas cancer N = 4 | 0.0104 ± 0.0108 |
| Colorectal cancer N = 29 | 0.0107 ± 0.0009 |
| Gastric cancer N = 10 | 0.0016 ± 0.0017 |
| Appendicealmucinous carcinoma N = 15 | 0.0025 ± 0.0016 |
| Authors | Disease | Administration Rout | Dose (mg/kg) | Incubation Time (h) | Sensitivity | False Positive | Specificity |
|---|---|---|---|---|---|---|---|
| Loning M. [20] | ovarian cancer (N = 29) | intraperitoneal | 30 | 5 | 92% | 2% | |
| Liu Y. [8] | ovarian cancer (N = 20) | oral | 20 | 2 | 95% | 0% | 100% |
| Yonemura Y. [12] | peritoneal metastasis (N = 138) | oral | 20 | 2 | 46% | 0% | 100% |
| Murayama Y. [29] | gastric cancer (N = 13) | oral | 10–15 | 3 | 100% | 0% | 100% |
| Hillemanns P. [26] | ovarian cancer (N = 26) | oral | 10 | 9–16 | 75% | 0% | 100% |
© 2017 by the authors. Licensee MDPI, Basel, Switzerland. This article is an open access article distributed under the terms and conditions of the Creative Commons Attribution (CC BY) license ( http://creativecommons.org/licenses/by/4.0/).
Share and Cite
Yonemura, Y.; Endo, Y.; Canbay, E.; Liu, Y.; Ishibashi, H.; Mizumoto, A.; Hirano, M.; Imazato, Y.; Takao, N.; Ichinose, M.; et al. Photodynamic Detection of Peritoneal Metastases Using 5-Aminolevulinic Acid (ALA). Cancers 2017, 9, 23. https://doi.org/10.3390/cancers9030023
Yonemura Y, Endo Y, Canbay E, Liu Y, Ishibashi H, Mizumoto A, Hirano M, Imazato Y, Takao N, Ichinose M, et al. Photodynamic Detection of Peritoneal Metastases Using 5-Aminolevulinic Acid (ALA). Cancers. 2017; 9(3):23. https://doi.org/10.3390/cancers9030023
Chicago/Turabian StyleYonemura, Yutaka, Yoshio Endo, Emel Canbay, Yang Liu, Haruaki Ishibashi, Akiyoshi Mizumoto, Masamitu Hirano, Yuuki Imazato, Nobuyuki Takao, Masumi Ichinose, and et al. 2017. "Photodynamic Detection of Peritoneal Metastases Using 5-Aminolevulinic Acid (ALA)" Cancers 9, no. 3: 23. https://doi.org/10.3390/cancers9030023
APA StyleYonemura, Y., Endo, Y., Canbay, E., Liu, Y., Ishibashi, H., Mizumoto, A., Hirano, M., Imazato, Y., Takao, N., Ichinose, M., Noguchi, K., Li, Y., Wakama, S., Yamada, K., Hatano, K., Shintani, H., Yoshitake, H., & Ogura, S.-i. (2017). Photodynamic Detection of Peritoneal Metastases Using 5-Aminolevulinic Acid (ALA). Cancers, 9(3), 23. https://doi.org/10.3390/cancers9030023
