HCC in the Era of Emerging MASH: The Role of Ultrasound in Surveillance and New Sonographic Features in Diagnosis
Simple Summary
Abstract
1. Introduction
Background
2. Sonographic Features of HCC as First Imaging Tool Before and After the Advent of MASLD
2.1. Conventional Ultrasound in the Pre-MASLD Era
2.2. US Findings in Viral Chronic Liver Disease
2.3. New, Different Sonography Features in the MASLD Era
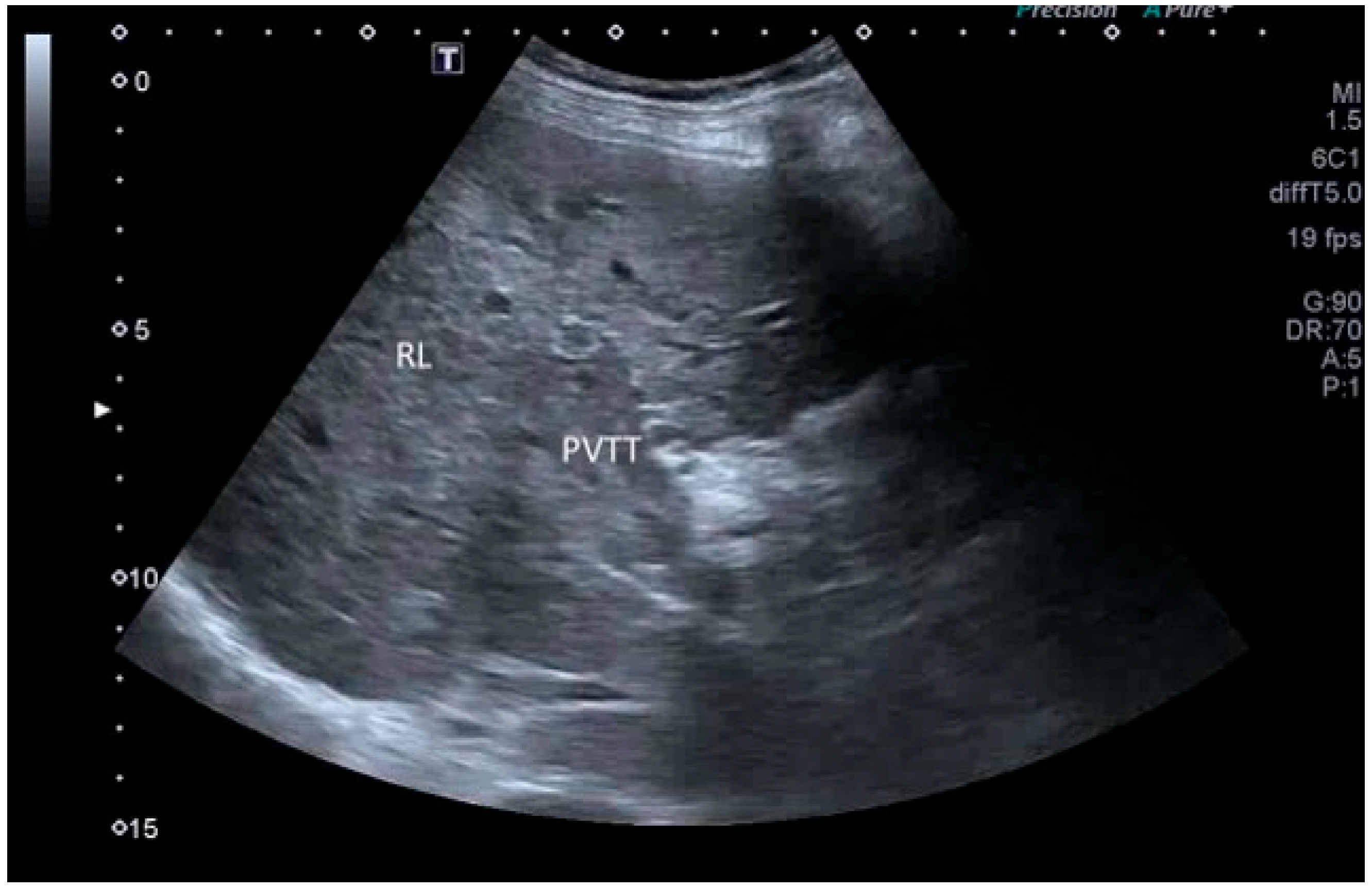
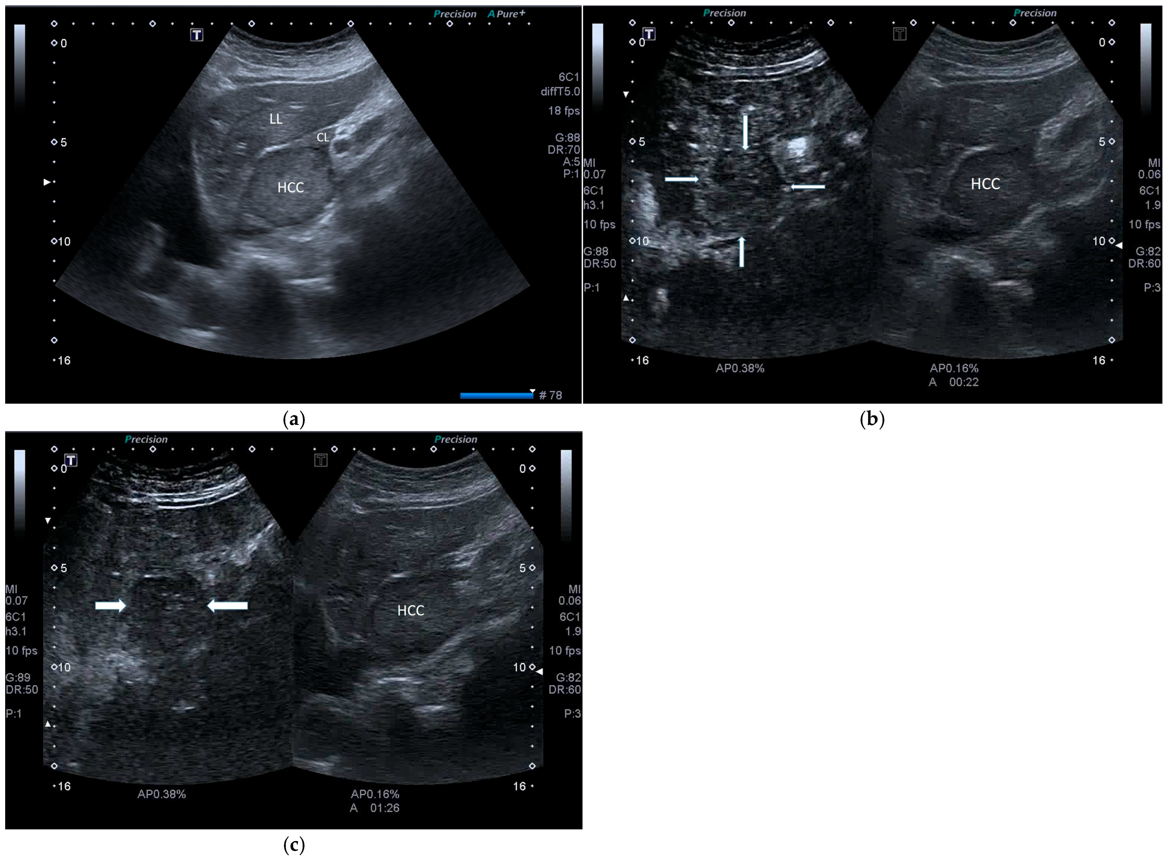
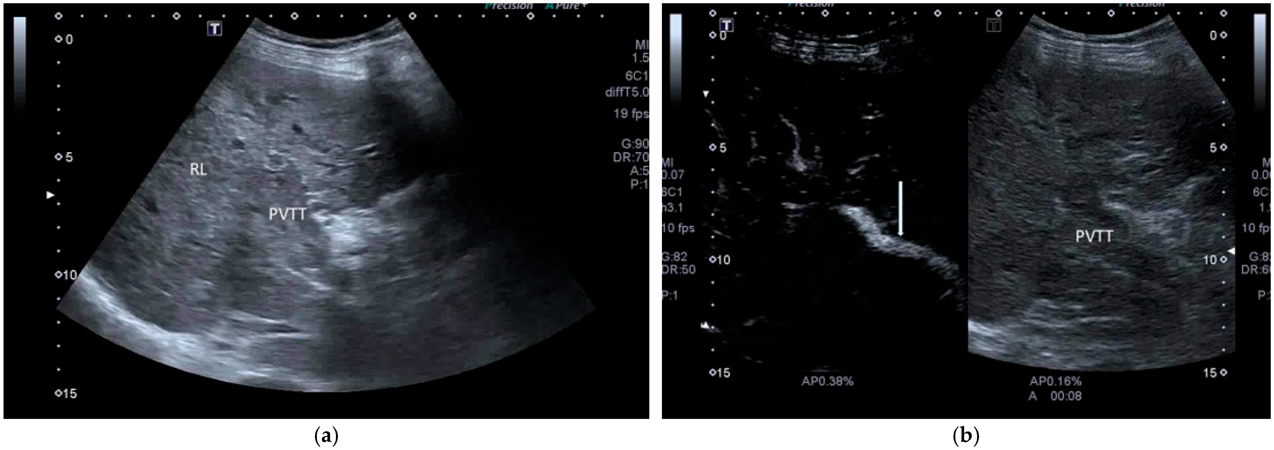
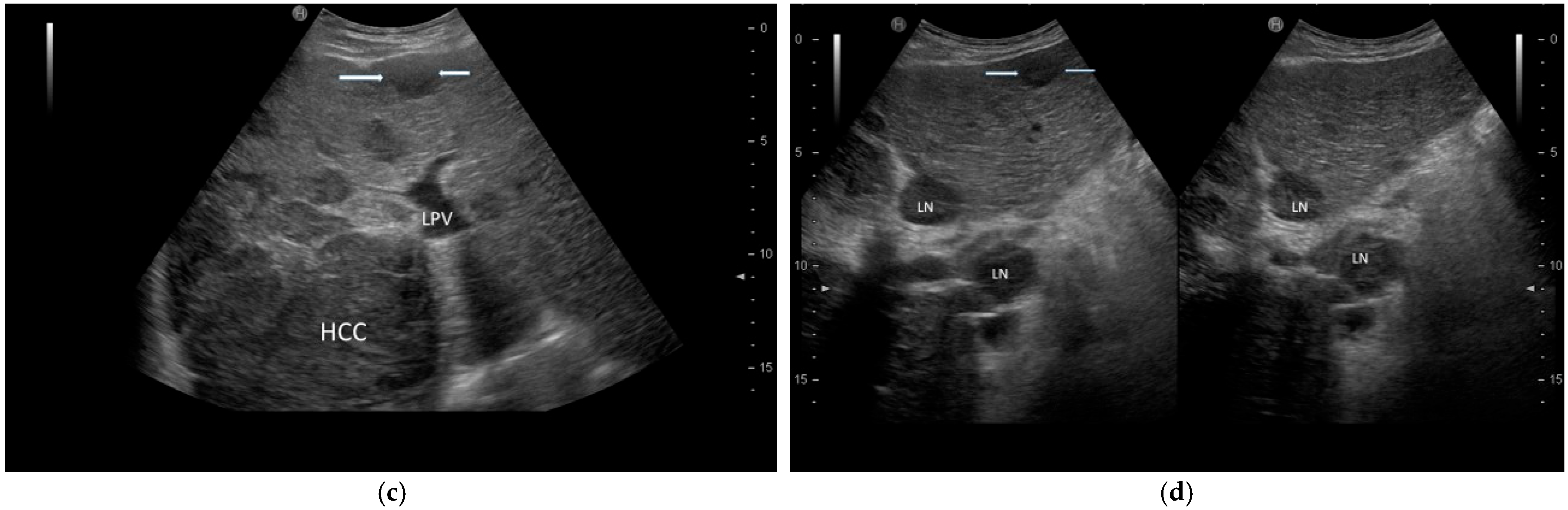
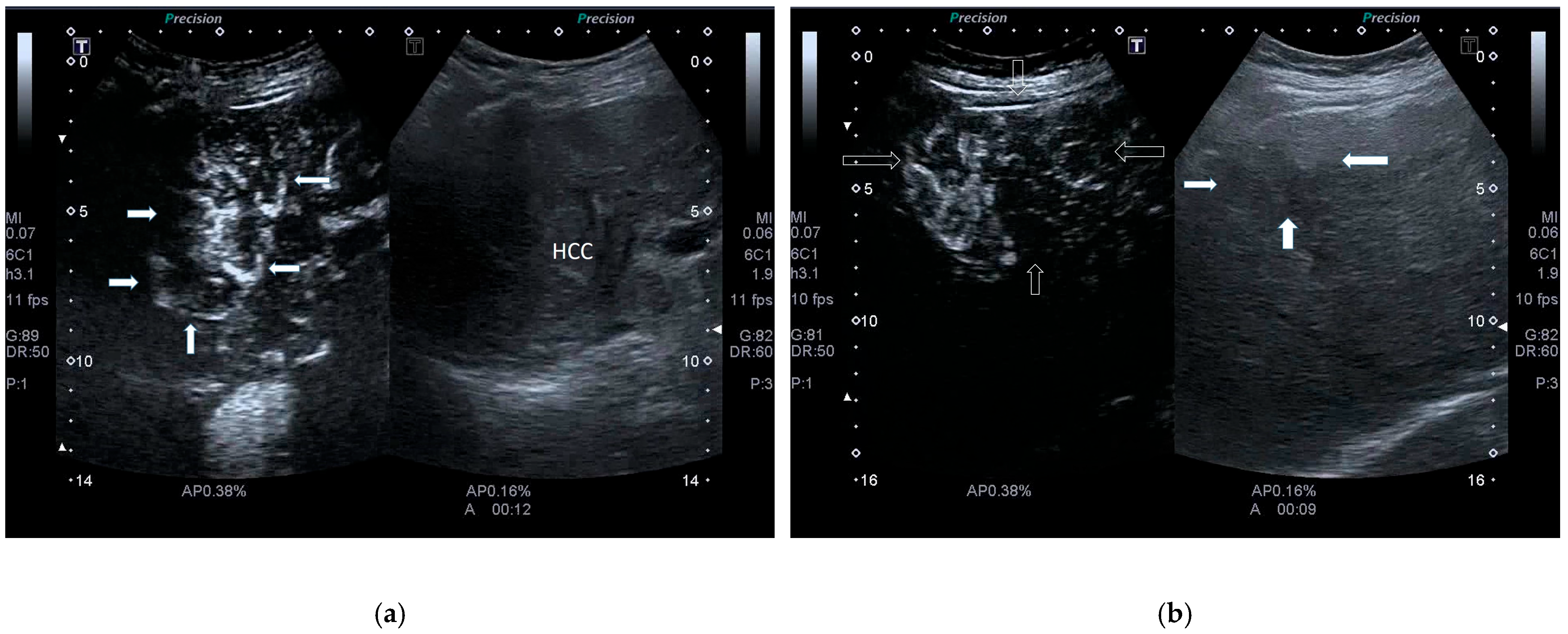
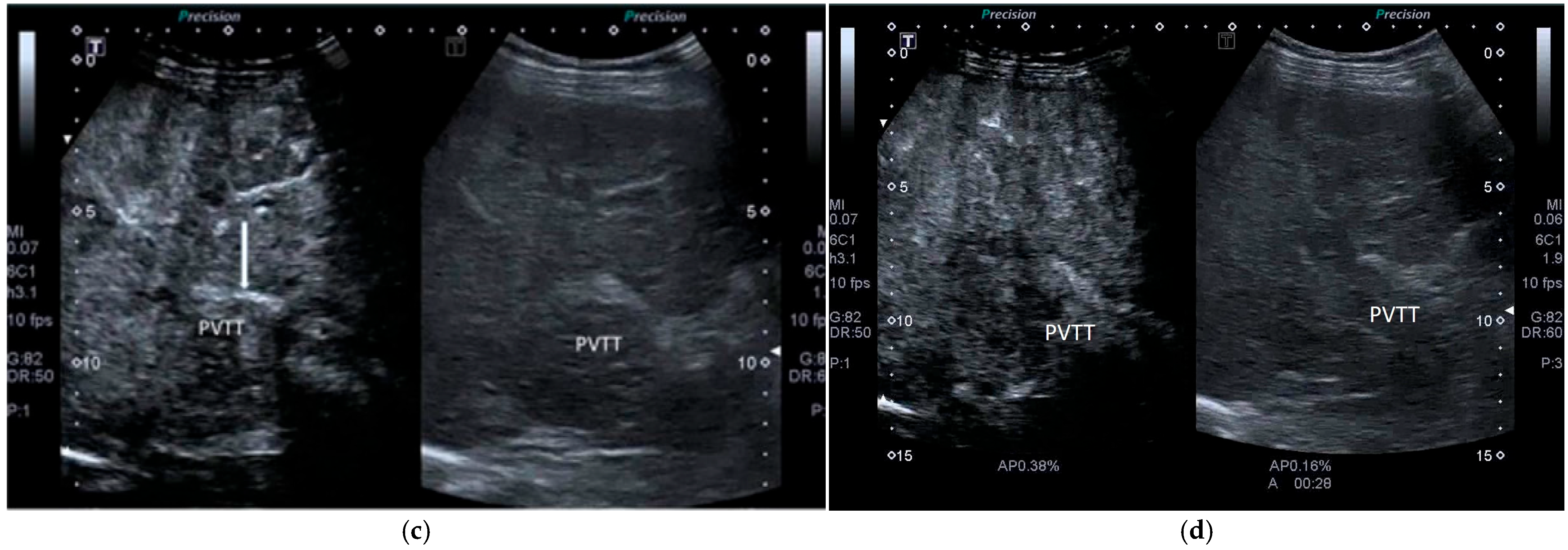
3. Contrast-Enhanced Ultrasound
4. CEUS-LI-RADS Category Classification in Non-MASLD HCC
CEUS Findings in MASLD Cirrhotic and Non-Cirrhotic HCC
5. US Surveillance of HCC: Old Policies and New Alternative Features Added for the Rising MASH Era
US Comparison Between CT and MRI in Surveillance of MASH-Related HCC
6. AI and MASLD Surveillance and Diagnosis
7. Conclusions
Author Contributions
Funding
Data Availability Statement
Acknowledgments
Conflicts of Interest
References
- Bray, F.; Laversanne, M.; Sung, H.; Ferlay, J.; Siegel, R.L.; Soerjomataram, I.; Jemal, A. Global cancer statistics 2022: GLO-BOCAN estimates of incidence and mortality worldwide for 36 cancers in 185 countries. CA Cancer J Clin. 2024, 74, 229–263. [Google Scholar] [CrossRef] [PubMed]
- Lafaro, K.J.; Demirjian, A.N.; Pawlik, T.M. Epidemiology of hepatocellular carcinoma. Surg. Oncol. Clin. N. Am. 2015, 24, 1–17. [Google Scholar] [CrossRef] [PubMed]
- Leyh, C.; Coombes, J.D.; Schmidt, H.H.; Canbay, A.; Manka, P.P.; Best, J. MASLD-Related HCC-Update on Pathogenesis and Current Treatment Options. J. Pers. Med. 2024, 14, 370. [Google Scholar] [CrossRef] [PubMed]
- Balakrishnan, M.; El-Serag, H.B. Editorial: NAFLD-related hepatocellular carcinoma—Increasing or not? With or without cirrhosis? Aliment. Pharmacol. Ther. 2018, 47, 437–438. [Google Scholar] [CrossRef] [PubMed]
- Zheng, J.; Wang, S.; Xia, L.; Sun, Z.; Chan, K.M.; Bernards, R.; Qin, W.; Chen, J.; Xia, Q.; Jin, H. Hepatocellular carcinoma: Signaling pathways and therapeutic advances. Signal Transduct. Target. Ther. 2025, 10, 35. [Google Scholar] [CrossRef] [PubMed]
- Singal, A.G.; Pillai, A.; Tiro, J. Early detection, curative treatment, and survival rates for hepatocellular carcinoma surveillance in patients with cirrhosis: A meta-analysis. PLoS Med. 2014, 11, e1001624. [Google Scholar] [CrossRef] [PubMed]
- Frenette, C.T.; Isaacson, A.J.; Bargellini, I.; Saab, S.; Singal, A.G. A Practical Guideline for Hepatocellular Carcinoma Screening in Patients at Risk. Mayo Clin. Proc. Innov. Qual. Outcomes 2019, 3, 302–310. [Google Scholar] [CrossRef] [PubMed]
- Pascual, S.; Miralles, C.; Bernabé, J.M.; Irurzun, J.; Planells, M. Surveillance and diagnosis of hepatocellular carcinoma: A systematic review. World J. Clin. Cases 2019, 7, 2269–2286. [Google Scholar] [CrossRef] [PubMed]
- Tanaka, H. Current role of ultrasound in the diagnosis of hepatocellular carcinoma. J. Med. Ultrason. 2020, 47, 239–255. [Google Scholar] [CrossRef] [PubMed]
- Osho, A.; Rich, N.E.; Singal, A.G. Role of imaging in management of hepatocellular carcinoma: Surveillance, diagnosis, and treatment response. Hepatoma Res. 2020, 6, 55. [Google Scholar] [CrossRef] [PubMed]
- Ronot, M.; Pommier, R.; Dioguardi Burgio, M.; Purcell, Y.; Nahon, P.; Vilgrain, V. Hepatocellular carcinoma surveillance with ultrasound-cost-effectiveness, high-risk populations, uptake. Br. J. Radiol. 2018, 91, 20170436. [Google Scholar] [CrossRef] [PubMed]
- Singal, A.G.; Llovet, J.M.; Yarchoan, M.; Mehta, N.; Heimbach, J.K.; Dawson, L.A.; Jou, J.H.; Kulik, L.M.; Agopian, V.G.; Marrero, J.A.; et al. AASLD Practice Guidance on prevention, diagnosis, and treatment of hepatocellular carcinoma. Hepatology 2023, 78, 1922–1965. [Google Scholar] [CrossRef] [PubMed]
- European Association for the Study of the Liver. EASL Clinical Practice Guidelines on the management of hepatocellular carcinoma. J. Hepatol. 2025, 82, 315–374. [Google Scholar] [CrossRef] [PubMed]
- Italian Association for the Study of the Liver (AISF); AISF Expert Panel; AISF Coordinating Committee; Bolondi, L.; Cillo, U.; Colombo, M.; Craxì, A.; Farinati, F.; Giannini, E.G.; Golfieri, R.; et al. Position paper of the Italian Association for the Study of the Liver (AISF): The multidisciplinary clinical approach to hepatocellular carcinoma. Dig. Liver Dis. 2013, 45, 712–723. [Google Scholar] [CrossRef] [PubMed]
- Kanwal, F.; Singal, A.G. Surveillance for Hepatocellular Carcinoma: Current Best Practice and Future Direction. Gastroenterology 2019, 157, 54–64. [Google Scholar] [CrossRef] [PubMed]
- Tan, C.H.; Low, S.C.; Thng, C.H. APASL and AASLD Consensus Guidelines on Imaging Diagnosis of Hepatocellular Carcinoma: A Review. Int. J. Hepatol. 2011, 2011, 519783. [Google Scholar] [CrossRef] [PubMed]
- Xie, D.Y.; Zhu, K.; Ren, Z.G.; Zhou, J.; Fan, J.; Gao, Q. A review of 2022 Chinese clinical guidelines on the management of hepatocellular carcinoma: Updates and insights. Hepatobiliary Surg. Nutr. 2023, 12, 216–228. [Google Scholar] [CrossRef] [PubMed]
- Yoon, S.K.; Chun, H.G. Status of hepatocellular carcinoma in South Korea. Chin. Clin. Oncol. 2013, 2, 39. [Google Scholar] [CrossRef] [PubMed]
- Rodgers, S.K.; Fetzer, D.T.; Seow, J.H.; McGillen, K.; Burrowes, D.P.; Fung, C.; Udare, A.S.; Wilson, S.R.; Kamaya, A. Optimizing US for HCC surveillance. Abdom. Radiol. 2025, 50, 2453–2463. [Google Scholar] [CrossRef] [PubMed]
- Kondo, F. Histological features of early hepatocellular carcinomas and their developmental process: For daily practical clinical application: Hepatocellular carcinoma. Hepatol. Int. 2009, 3, 283–293. [Google Scholar] [CrossRef] [PubMed][Green Version]
- Piscaglia, F.; Svegliati-Baroni, G.; Barchetti, A.; Pecorelli, A.; Marinelli, S.; Tiribelli, C.; Bellentani, S.; HCC-NAFLD Italian Study Group. Clinical patterns of hepatocellular carcinoma in nonalcoholic fatty liver disease: A multicenter prospective study. Hepatology 2016, 63, 827–838. [Google Scholar] [CrossRef] [PubMed]
- Dong, Y.; Wang, W.P.; Lee, W.J.; Meloni, M.F.; Clevert, D.A.; Chammas, M.C.; Tannapfel, A.; Forgione, A.; Piscaglia, F.; Dietrich, C.F. Contrast-Enhanced Ultrasound Features of Histopathologically Proven Hepatocellular Carcinoma in the Non-cirrhotic Liver: A Multicenter Study. Ultrasound Med. Biol. 2022, 48, 1797–1805. [Google Scholar] [CrossRef] [PubMed]
- Wilson, S.R.; Burns, P.N.; Kono, Y. Contrast-Enhanced Ultrasound of Focal Liver Masses: A Success Story. Ultrasound Med. Biol. 2020, 46, 1059–1070. [Google Scholar] [CrossRef] [PubMed]
- Giorgio, A.; Gatti, P.; Matteucci, P.; Giorgio, V. Contrast-enhanced ultrasound with sulphur-hexafluoride in diagnosis of early HCC in cirrhosis. Hepatoma Res. 2019, 5, 20. [Google Scholar] [CrossRef]
- Lee, S.W.; Kang, M.K.; Zhang, X. Sonazoid contrast-enhanced ultrasonography for the diagnosis of hepatocellular carcinoma: Strengths and shortcomings. J. Liver Cancer 2023, 23, 238–240. [Google Scholar] [CrossRef] [PubMed] [PubMed Central]
- Jeong, W.K. Diagnosis of hepatocellular carcinoma using Sonazoid: A comprehensive review. J. Liver Cancer 2023, 23, 272–283. [Google Scholar] [CrossRef] [PubMed]
- Strobel, D.; Seitz, K.; Blank, W.; Schuler, A.; Dietrich, C.; von Herbay, A.; Friedrich-Rust, M.; Kunze, G.; Becker, D.; Will, U.; et al. Contrast-enhanced ultrasound for the characterization of focal liver lesions--diagnostic accuracy in clinical practice (DEGUM multicenter trial). Ultraschall Med. 2008, 29, 499–505. [Google Scholar] [CrossRef] [PubMed]
- Giorgio, A.; Ferraioli, G.; Tarantino, L.; de Stefano, G.; Scala, V.; Scarano, F.; Coppola, C.; Del Viscovo, L. Contrast-enhanced sonographic appearance of hepatocellular carcinoma in patients with cirrhosis: Comparison with contrast-enhanced helical CT appearance. AJR Am. J. Roentgenol. 2004, 183, 1319–1326. [Google Scholar] [CrossRef] [PubMed]
- Claudon, M.; Dietrich, C.F.; Choi, B.I.; Cosgrove, D.O.; Kudo, M.; Nolsøe, C.P.; Piscaglia, F.; Wilson, S.R.; Barr, R.G.; Chammas, M.C.; et al. Guidelines and good clinical practice recommendations for contrast enhanced ultrasound (CEUS) in the liver--update 2012: A WFUMB-EFSUMB initiative in cooperation with representatives of AFSUMB, AIUM, ASUM, FLAUS and ICUS. Ultraschall Med. 2013, 34, 11–29. [Google Scholar] [CrossRef] [PubMed]
- Giorgio, A.; De Stefano, G.; Coppola, C.; Ferraioli, G.; Esposito, V.; Di Sarno, A.; Giorgio, V.; De Stefano, M.; Sangiovanni, V.; Liorre, G.; et al. Contrast-enhanced sonography in the characterization of small hepatocellular carcinomas in cirrhotic patients: Comparison with contrast-enhanced ultrafast magnetic resonance imaging. Anticancer. Res. 2007, 27, 4263–4269. [Google Scholar] [PubMed]
- Westwood, M.; Joore, M.; Grutters, J.; Redekop, K.; Armstrong, N.; Lee, K.; Gloy, V.; Raatz, H.; Misso, K.; Severens, J.; et al. Contrast-Enhanced Ultrasound Using SonoVue® (Sulphur Hexafluoride Microbubbles) Compared with Contrast-Enhanced Computed Tomography and Contrast-Enhanced Magnetic Resonance Imaging for the Characterisation of Focal Liver Lesions and Detection of Liver Metastases: A Systematic Review and Cost-Effectiveness Analysis. NIHR Journals Library: Southampton, UK, 2013. (Health Technology Assessment, No. 17.16.) Chapter 2, Background and Definition of the Decision Problem. Available online: https://www.ncbi.nlm.nih.gov/books/NBK260512/ (accessed on 20 October 2025).
- Salvatore, V.; Gianstefani, A.; Negrini, G.; Allegretti, G.; Galassi, M.; Piscaglia, F. Imaging Diagnosis of Hepatocellular Carcinoma: Recent Advances of Contrast-Enhanced Ultrasonography with SonoVue®. Liver Cancer 2016, 5, 55–66. [Google Scholar] [CrossRef] [PubMed]
- Giorgio, A.; Montesarchio, L.; Gatti, P.; Amendola, F.; Matteucci, P.; Santoro, B.; Merola, M.G.; Merola, F.; Coppola, C.; Giorgio, V. Contrast-Enhanced Ultrasound: A Simple and Effective Tool in Defining a Rapid Diagnostic Work-up for Small Nodules Detected in Cirrhotic Patients during Surveillance. J. Gastrointestin Liver Dis. 2016, 25, 205–211. [Google Scholar] [CrossRef] [PubMed]
- Elsayes, K.M.; Kielar, A.Z.; Chernyak, V.; Morshid, A.; Furlan, A.; Masch, W.R.; Marks, R.M.; Kamaya, A.; Do, R.K.G.; Kono, Y.; et al. LI-RADS: A conceptual and historical review from its beginning to its recent integration into AASLD clinical practice guidance. J. Hepatocell. Carcinoma 2019, 6, 49–69. [Google Scholar] [CrossRef] [PubMed]
- Kono, Y.; Lyshchik, A.; Cosgrove, D.; Dietrich, C.F.; Jang, H.J.; Kim, T.K.; Piscaglia, F.; Willmann, J.K.; Wilson, S.R.; Santillan, C.; et al. Contrast Enhanced Ultrasound (CEUS) Liver Imaging Reporting and Data System (LI-RADS®): The official version by the American College of Radiology (ACR). Ultraschall Med. 2017, 38, 85–86. [Google Scholar] [CrossRef] [PubMed]
- Terzi, E.; Iavarone, M.; Pompili, M.; Veronese, L.; Cabibbo, G.; Fraquelli, M.; Riccardi, L.; De Bonis, L.; Sangiovanni, A.; Leoni, S.; et al. CEUS LI-RADS Italy study group collaborators: Contrast ultrasound LI-RADS LR-5 identifies hepatocellular carcinoma in cirrhosis in a multicenter restropective study of 1006 nodules. J. Hepatol. 2018, 68, 485–492. [Google Scholar] [CrossRef] [PubMed]
- Giorgio, A.; De Luca, M.; Gatti, P.; Matteucci, P.; Giorgio, V. CEUS LI-RADS Categories to Distinguish Hepatocellular Carcinoma and Non-Hepatocellular Carcinoma Malignancies. Radiology 2020, 296, E121–E122. [Google Scholar] [CrossRef] [PubMed]
- Dong, Y.; Cheng, J.; Huang, Y.L.; Qiu, Y.J.; Cao, J.Y.; Lu, X.Y.; Wang, W.P.; Möller, K.; Dietrich, C.F. Characterization of non-alcoholic fatty liver disease-related hepatocellular carcinoma on contrast-enhanced ultrasound with Sonazoid. Ultrasonography 2025, 44, 232–242. [Google Scholar] [CrossRef] [PubMed]
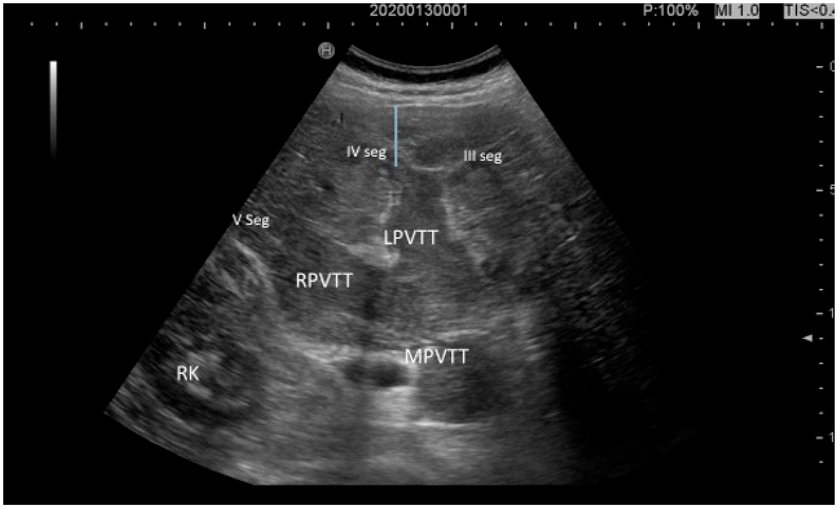
- Cerrito, L.; Ainora, M.E.; Di Francesco, S.; Galasso, L.; Gasbarrini, A.; Zocco, M.A. The Role of Contrast-Enhanced Ultrasound (CEUS) in the Detection of Neoplastic Portal Vein Thrombosis in Patients with Hepatocellular Carcinoma. Tomography 2023, 9, 1976–1986. [Google Scholar] [CrossRef] [PubMed]
- Saborido, B.; Darnell, A.; Forner, A.; García-Criado, Á.; Díaz, A.; Ayuso, C.; Vilana, R.; Bruix, J.; Reig, M.; Rimola, J. Diagnostic performance of contrast-enhanced US in small liver nodules not conclusively characterized after MRI in cirrhotic patients. Eur. Radiol. 2025, 35, 5771–5780. [Google Scholar] [CrossRef] [PubMed]
- Radu, P.; Dufour, J.F. Sonography in surveillance for HCC in NAFLD patients. Hepatoma Res. 2022, 8, 38. [Google Scholar] [CrossRef]
- Putz, F.J.; Verloh, N.; Erlmeier, A.; Schelker, R.C.; Schreyer, A.G.; Hautmann, M.G.; Stroszczynski, C.; Banas, B.; Jung, E.M. Influence of limited examination conditions on contrast-enhanced sonography for characterising liver lesions. Clin. Hemorheol. Microcirc. 2019, 71, 267–276. [Google Scholar] [CrossRef] [PubMed]
- Kamaya, A.; Fetzer, D.T.; Seow, J.H.; Burrowes, D.P.; Choi, H.H.; Dawkins, A.A.; Fung, C.; Gabriel, H.; Hong, C.W.; Khurana, A.; et al. LI-RADS US Surveillance Version 2024 for Surveillance of Hepatocellular Carcinoma: An Update to the American College of Radiology US LI-RADS. Radiology 2024, 313, e240169. [Google Scholar] [CrossRef] [PubMed]
- Lima, P.H.; Fan, B.; Bérubé, J.; Cerny, M.; Olivié, D.; Giard, J.M.; Beauchemin, C.; Tang, A. Cost-Utility Analysis of Imaging for Surveillance and Diagnosis of Hepatocellular Carcinoma. AJR Am. J. Roentgenol. 2019, 213, 17–25. [Google Scholar] [CrossRef] [PubMed]
- Singal, A.G.; Yopp, A.; SSkinner, C.; Packer, M.; Lee, W.M.; Tiro, J.A. Utilization of hepatocellular carcinoma surveillance among American patients: A systematic review. J. Gen. Intern. Med. 2012, 27, 861–867. [Google Scholar] [CrossRef] [PubMed]
- Marquardt, P.; Liu, P.H.; Immergluck, J.; Olivares, J.; Arroyo, A.; Rich, N.E.; Parikh, N.D.; Yopp, A.C.; Singal, A.G. Hepatocellular Carcinoma Screening Process Failures in Patients with Cirrhosis. Hepatol. Commun. 2021, 5, 1481–1489. [Google Scholar] [CrossRef] [PubMed]
- Giorgio, A.; De Luca, M.; Gatti, P.; Giorgio, V. Non-enhanced Magnetic Resonance Imaging Compared to Ultrasound as a Surveillance Tool for Hepatocellular Carcinoma. Not all that glitters is gold: The ultrasound hepatologist’s point of view. J. Ultrasound 2022, 25, 129–131. [Google Scholar] [CrossRef] [PubMed]
- Loomba, R.; Lim, J.K.; Patton, H.; El-Serag, H.B. AGA Clinical Practice Update on Screening and Surveillance for Hepatocellular Carcinoma in Patients With Nonalcoholic Fatty Liver Disease: Expert Review. Gastroenterology 2020, 158, 1822–1830. [Google Scholar] [CrossRef] [PubMed]
- Parikh, N.D.; Singal, A.G.; Hutton, D.W.; Tapper, E.B. Cost-Effectiveness of Hepatocellular Carcinoma Surveillance: An Assessment of Benefits and Harms. Am. J. Gastroenterol. 2020, 115, 1642–1649. [Google Scholar] [CrossRef] [PubMed]
- Samoylova, M.L.; Mehta, N.; Roberts, J.P.; Yao, F.Y. Predictors of Ultrasound Failure to Detect Hepatocellular Carcinoma. Liver Transpl. 2018, 24, 1171–1177. [Google Scholar] [CrossRef] [PubMed]
- Vitale, A.; Svegliati-Baroni, G.; Ortolani, A.; Cucco, M.; Dalla Riva, G.V.; Giannini, E.G.; Piscaglia, F.; Rapaccini, G.; Di Marco, M.; Caturelli, E.; et al. Italian Liver Cancer (ITA.LI.CA) group. Epidemiological trends and trajectories of MAFLD-associated hepatocellular carcinoma 2002-2033: The ITA.LI.CA database. Gut 2023, 72, 141–152. [Google Scholar] [CrossRef] [PubMed]
- Rhee, H.; Kim, M.J.; Kim, D.Y.; An, C.; Kang, W.; Han, K.; Roh, Y.H.; Han, K.H.; Ahn, S.H.; Choi, J.Y.; et al. Noncontrast Magnetic Resonance Imaging vs Ultrasonography for Hepatocellular Carcinoma Surveillance: A Randomized, Single-Center Trial. Gastroenterology 2025, 168, 1170–1177.e12. [Google Scholar] [CrossRef] [PubMed]
- Spiers, J.; Li, W.; Aravinthan, A.D.; Bannaga, A.; Caddick, K.; Culver, E.L.; Faulkes, R.E.; Gordon, V.; Hussain, Y.; Miller, H.; et al. Current Surveillance Strategy Is Less Effective for Detecting Early-Stage Hepatocellular Carcinoma in Patients with Non-Viral and Non-Cirrhotic Liver Disease. Liver Cancer 2025, 14, 587–600. [Google Scholar] [CrossRef] [PubMed]
- El Sabagh, A.; Mohamed, I.; ElSheikh, M.; Bhongade, M.; Jo, E.; Hilsenbeck, S.G.; Kanwal, F.; Jalal, P.K. Comparative Analysis of Imaging Modalities for Surveillance on Outcomes in Patients With Hepatocellular Carcinoma. Gastro Hep. Adv. 2025, 4, 100704. [Google Scholar] [CrossRef] [PubMed]
- Park, J.H.; Park, M.S.; Lee, S.J.; Jeong, W.K.; Lee, J.Y.; Park, M.J.; Lee, S.S.; Han, K.; Nam, C.M.; Park, S.H.; et al. Contrast-enhanced US with Perfluorobutane for Hepatocellular Carcinoma Surveillance: A Multicenter Diagnostic Trial (SCAN). Radiology 2019, 292, 638–646. [Google Scholar] [CrossRef] [PubMed]
- Giorgio, A.; De Luca, M.; Gatti, P.; Matteucci, P.; Giorgio, V. Can contrast-enhanced ultrasound with perfluorobutane add value in detection of hepatocellular carcinoma in cirrhosis during surveillance? Quant. Imaging Med. Surg. 2019, 9, 1466–1469. [Google Scholar] [CrossRef] [PubMed]
- Ferraioli, G.; Meloni, M.F. Contrast-enhanced ultrasonography of the liver using SonoVue. Ultrasonography 2018, 37, 25–35. [Google Scholar] [CrossRef] [PubMed]
- Kalapala, R.; Rughwani, H.; Reddy, D.N. Artificial Intelligence in Hepatology-Ready for the Primetime. J. Clin. Exp. Hepatol. 2023, 13, 149–161. [Google Scholar] [CrossRef] [PubMed]
- Dana, J.; Meyer, A.; Paisant, A.; Rode, A.; Sartoris, R.; Séror, O.; Cassinotto, C.; Milot, L.; Grégory, J.; Cœur, J.; et al. Improving risk stratification and detection of early HCC using ultrasound-based deep learning models. JHEP Rep. 2025, 7, 101510. [Google Scholar] [CrossRef] [PubMed]
- Guo, L.H.; Wang, D.; Qian, Y.Y.; Zheng, X.; Zhao, C.K.; Li, X.L.; Bo, X.W.; Yue, W.W.; Zhang, Q.; Shi, J.; et al. A two-stage multi-view learning framework based computer-aided diagnosis of liver tumors with contrast enhanced ultrasound images. Clin. Hemorheol. Microcirc. 2018, 69, 343–354. [Google Scholar] [CrossRef] [PubMed]
- Huang, Q.; Pan, F.; Li, W.; Yuan, F.; Hu, H.; Huang, J.; Yu, J.; Wang, W. Differential Diagnosis of Atypical Hepatocellular Carcinoma in Contrast-Enhanced Ultrasound Using Spatio-Temporal Diagnostic Semantics. IEEE J. Biomed. Health Inf. 2020, 24, 2860–2869. [Google Scholar] [CrossRef] [PubMed]
- Lupsor-Platon, M.; Serban, T.; Silion, A.I.; Tirpe, G.R.; Tirpe, A.; Florea, M. Performance of Ultrasound Techniques and the Potential of Artificial Intelligence in the Evaluation of Hepatocellular Carcinoma and Non-Alcoholic Fatty Liver Disease. Cancers 2021, 13, 790. [Google Scholar] [CrossRef] [PubMed]
- Nakatsuka, T.; Tateishi, R.; Sato, M.; Hashizume, N.; Kamada, A.; Nakano, H.; Kabeya, Y.; Yonezawa, S.; Irie, R.; Tsujikawa, H.; et al. Deep learning and digital pathology powers prediction of HCC development in steatotic liver disease. Hepatology 2025, 81, 976–989. [Google Scholar] [CrossRef] [PubMed]











| POST-VIRAL HCC | MASLD HCC |
|---|---|
|
|
|
|
|
|
| |
|
| CEUS LI-RADS CLASS | FEATURES | MANAGEMENT |
|---|---|---|
| CEUS LR-1 (definitely benign) |
| return to 6-monthly surveillance |
| CEUS LR-2 (probably benign) |
| return to 6-monthly surveillance |
| CEUS LR-3 (intermediate malignancy probability) |
|
|
| CEUS LR-4 (probably HCC) |
|
|
| CEUS LR-5 (definitely HCC) |
|
|
| CEUS LR-M (probably or definitely malignant, but not HCC-specific) |
|
|
| CEUS LR-TIV (tumor in vein) |
|
|
| CEUS LR-NC (cannot be categorized) |
|
|
| POST-VIRAL HCC | MASLD HCC |
|---|---|
|
|
|
|
|
|
| These characteristics would be focused more on the lack of malignancy rather than HCC. | |
| Need for liver biopsy to make the diagnosis. |
| US Categories | FEATURES | MANAGEMENT |
|---|---|---|
| US-1, Negative (definitely benign) | No nodule suspicious for HCC is observed in the liver (e.g., simple cyst, hemangiomas, focal fatty sparing pericholecystic) | Continue 6-month interval US surveillance |
| US-2, Sub-threshold (not definitely benign) | At least one nodule < 10 mm | Repeat US every 3–6 months (low probability of these nodules progressing to HCC in a cirrhotic liver) |
| US-3, Positive (advanced HCC) | Detection of at least one or more nodules > 10 mm | CEUS, eCT, or eMR must be performed |
Disclaimer/Publisher’s Note: The statements, opinions and data contained in all publications are solely those of the individual author(s) and contributor(s) and not of MDPI and/or the editor(s). MDPI and/or the editor(s) disclaim responsibility for any injury to people or property resulting from any ideas, methods, instructions or products referred to in the content. |
© 2025 by the authors. Licensee MDPI, Basel, Switzerland. This article is an open access article distributed under the terms and conditions of the Creative Commons Attribution (CC BY) license (https://creativecommons.org/licenses/by/4.0/).
Share and Cite
Giorgio, A.; De Luca, M.; Lombardi, A.; Ciracì, E.; Rollo, V.C.; Di Sarno, A.; Montesarchio, L.; Stella, G.; Giorgio, V. HCC in the Era of Emerging MASH: The Role of Ultrasound in Surveillance and New Sonographic Features in Diagnosis. Cancers 2025, 17, 4037. https://doi.org/10.3390/cancers17244037
Giorgio A, De Luca M, Lombardi A, Ciracì E, Rollo VC, Di Sarno A, Montesarchio L, Stella G, Giorgio V. HCC in the Era of Emerging MASH: The Role of Ultrasound in Surveillance and New Sonographic Features in Diagnosis. Cancers. 2025; 17(24):4037. https://doi.org/10.3390/cancers17244037
Chicago/Turabian StyleGiorgio, Antonio, Massimo De Luca, Anna Lombardi, Emanuela Ciracì, Valeria Cosima Rollo, Antonella Di Sarno, Luca Montesarchio, Giuseppe Stella, and Valentina Giorgio. 2025. "HCC in the Era of Emerging MASH: The Role of Ultrasound in Surveillance and New Sonographic Features in Diagnosis" Cancers 17, no. 24: 4037. https://doi.org/10.3390/cancers17244037
APA StyleGiorgio, A., De Luca, M., Lombardi, A., Ciracì, E., Rollo, V. C., Di Sarno, A., Montesarchio, L., Stella, G., & Giorgio, V. (2025). HCC in the Era of Emerging MASH: The Role of Ultrasound in Surveillance and New Sonographic Features in Diagnosis. Cancers, 17(24), 4037. https://doi.org/10.3390/cancers17244037

