The Evolving Molecular Landscape of Uterine Mesenchymal Tumors: Diagnostic and Therapeutic Implications
Simple Summary
Abstract
1. Introduction
2. Uterine Smooth Muscle Tumors
2.1. Uterine Leiomyomas
2.2. Intravenous Leiomyomatosis (IVL)
2.3. Smooth Muscle Tumors of Uncertain Malignant Potential (STUMPs)
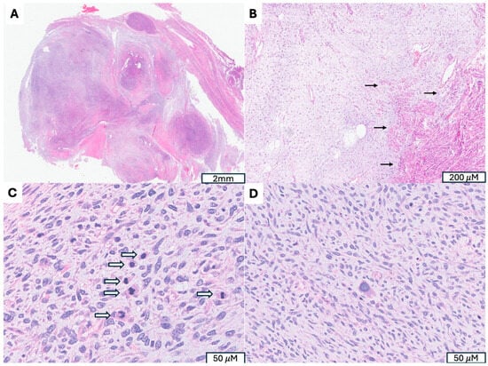
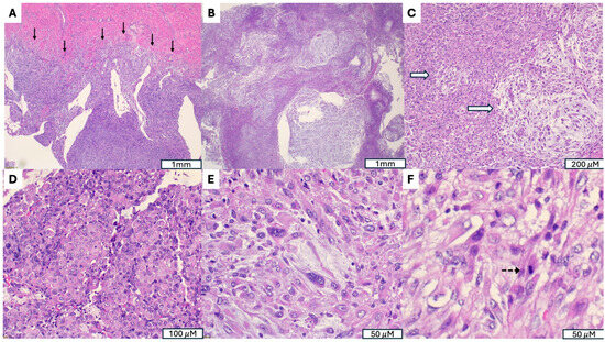
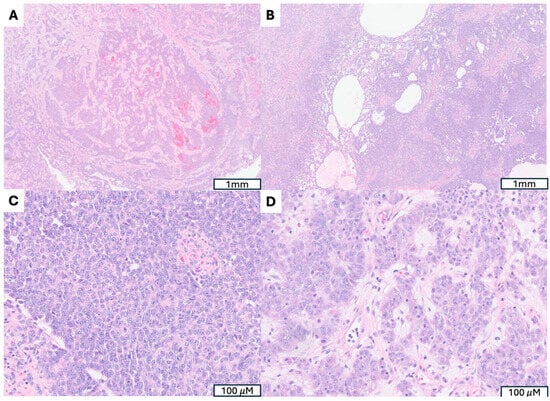
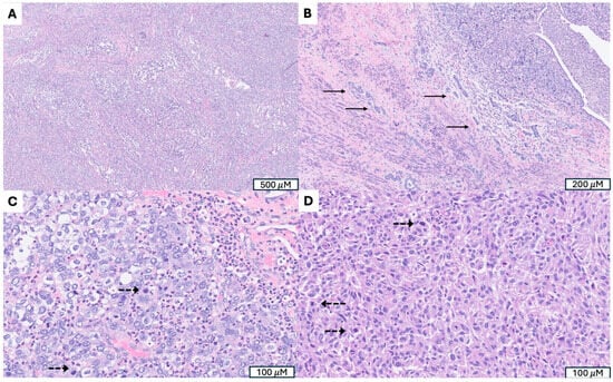
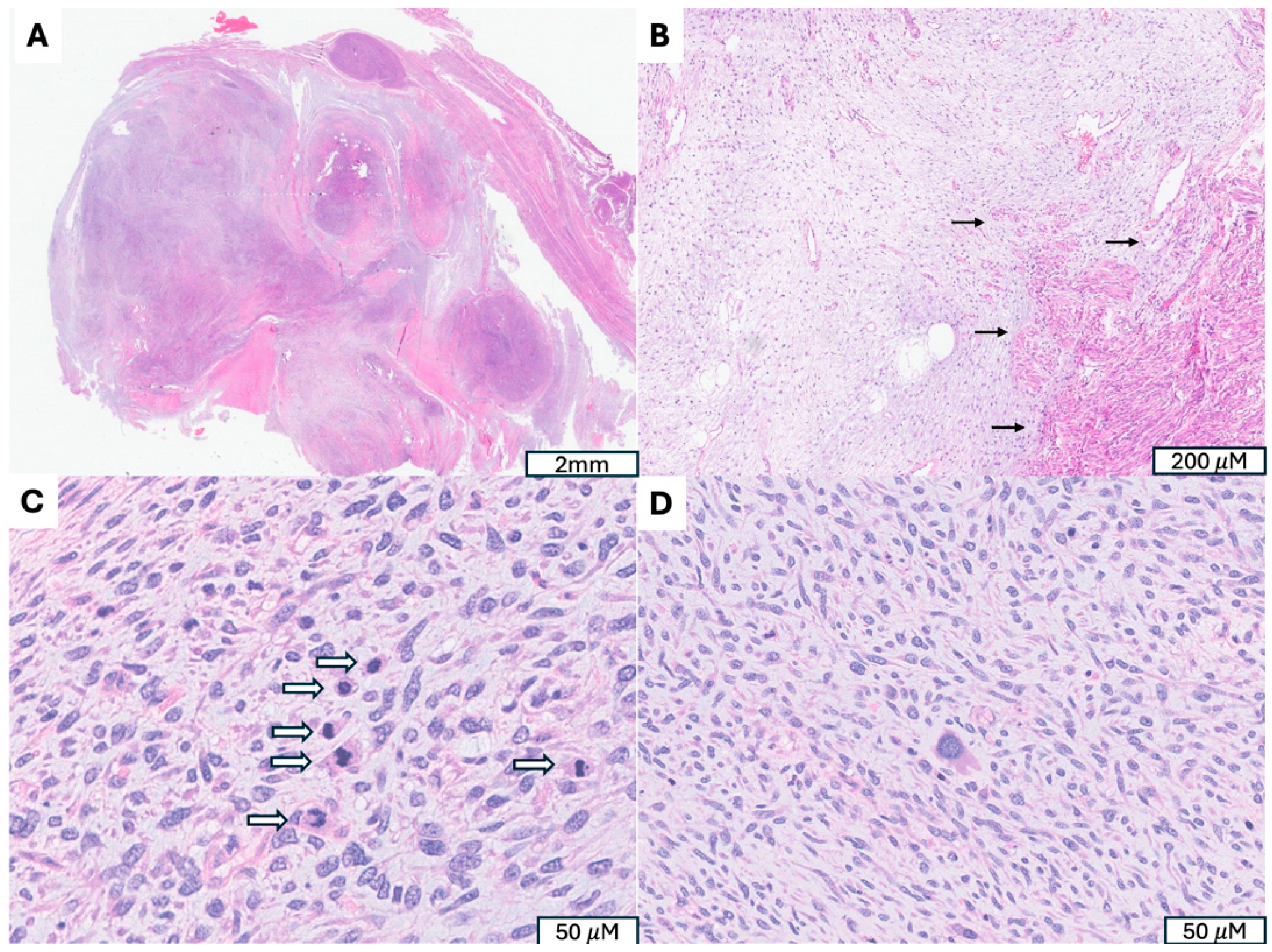
2.4. Uterine Leiomyosarcoma
3. Endometrial Stromal Tumors
3.1. Endometrial Stromal Nodule (ESN)
3.2. Low-Grade Endometrial Stromal Sarcoma (LG-ESS)
3.3. High-Grade Endometrial Stromal Sarcoma (HG-ESS)
3.4. Undifferentiated Uterine Sarcoma (UUS)
4. Uterine Perivascular Epithelioid Cell Neoplasms (PEComas)
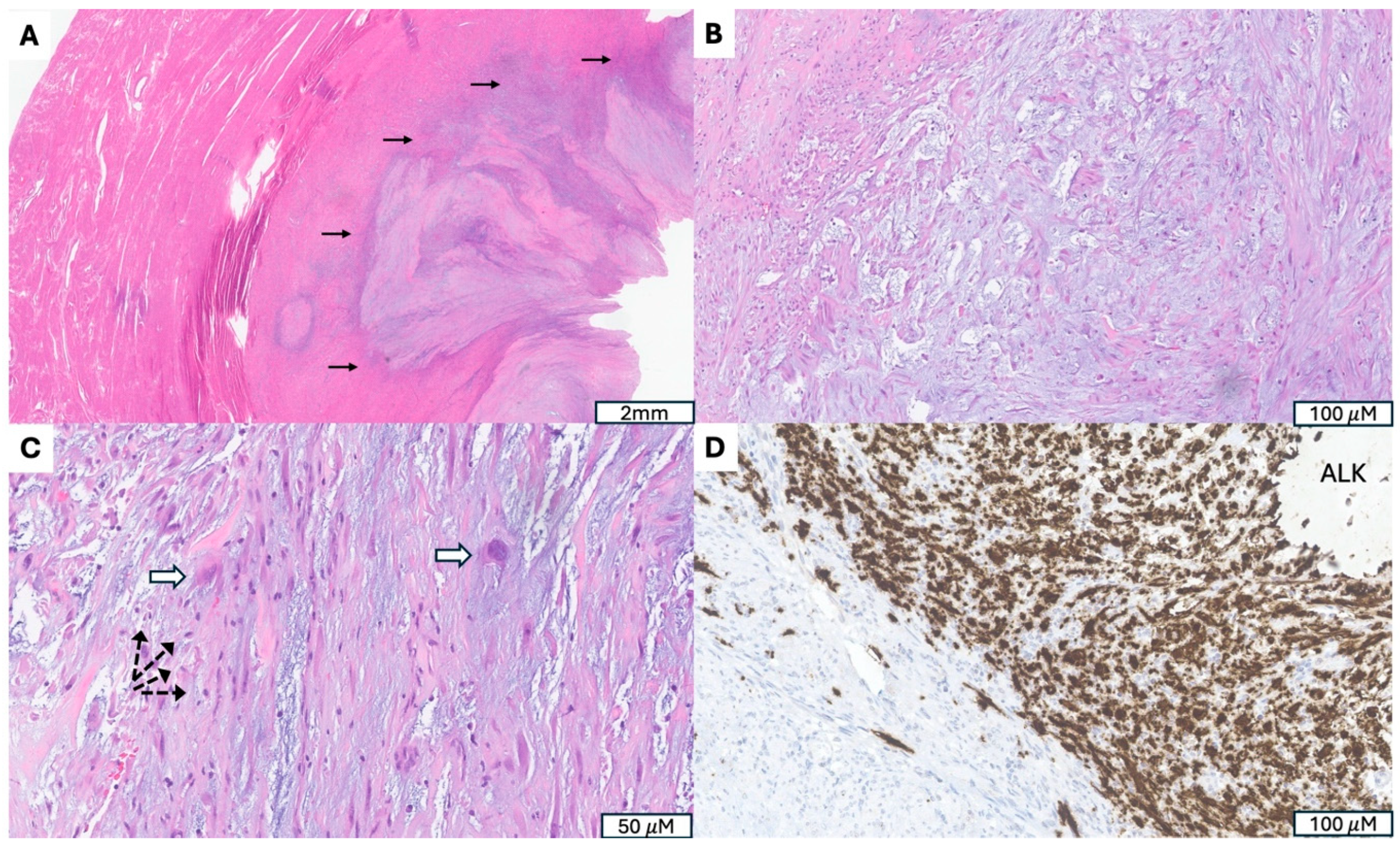
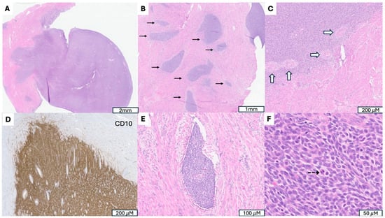
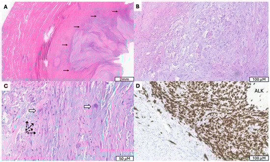
5. Uterine Inflammatory Myofibroblastic Tumors (IMTs)
6. Uterine Tumors Resembling Ovarian Sex Cord Tumor (UTROSCT)
7. Emerging Molecularly Defined Uterine Mesenchymal Tumors
7.1. NTRK-Rearranged Uterine Sarcomas
7.2. COL1A1::PDGF Fusion Uterine Sarcoma
7.3. MEIS1::NCOA2/1 Fusion Sarcoma
7.4. SMARCA4-Deficient Uterine Sarcoma (SDUS)
7.5. RAD51B Fusion Uterine Sarcoma
7.6. KATB/A::KANSL1 Fusion Sarcoma
7.7. ERBB2/3 Mutated S100/SOX10-Positive Uterine Sarcoma
8. Timing of Sampling and Stage-Dependent Detection of Molecular Alterations
9. Integrating Molecular Insights into Future Diagnostic and Therapeutic Strategies
Funding
Conflicts of Interest
References
- WHO Classification of Tumours Editorial Board. Female Genital Tumours, 5th ed.; International Agency for Research on Cancer: Lyon, France, 2020; Volume 4. [Google Scholar]
- Kertowidjojo, E.C.; Bennett, J.A. Update on Uterine Mesenchymal Neoplasms. Surg. Pathol. Clin. 2022, 15, 315–340. [Google Scholar] [CrossRef] [PubMed]
- Croce, S.; Devouassoux-Shisheboran, M.; Pautier, P.; Ray-Coquard, I.; Treilleux, I.; Neuville, A.; Arnould, L.; Just, P.A.; Belda, M.A.L.F.; Averous, G.; et al. Uterine sarcomas and rare uterine mesenchymal tumors with malignant potential. Diagnostic guidelines of the French Sarcoma Group and the Rare Gynecological Tumors Group. Gynecol. Oncol. 2022, 167, 373–389. [Google Scholar] [CrossRef] [PubMed]
- Dundr, P.; Matěj, R.; Hojný, J.; Hájková, N.; Němejcová, K.; Kendall Bártů, M. The Spectrum of Fusions Occurring in Non-Smooth Muscle Mesenchymal Uterine Tumors: A Review of the Current Knowledge. Arch. Pathol. Lab. Med. 2025, 149, 90–102. [Google Scholar] [CrossRef] [PubMed]
- Pinto, A. Uterine Smooth Muscle Tumors: An Overview. Adv. Anat. Pathol. 2024, 31, 397–410. [Google Scholar] [CrossRef]
- Oliva, E. Practical issues in uterine pathology from banal to bewildering: The remarkable spectrum of smooth muscle neoplasia. Mod. Pathol. 2016, 29 (Suppl. S1), S104–S120. [Google Scholar] [CrossRef]
- Pfaff, M.; Costa, P.; Tang, H.; Sailo, B.; Sharma, A.; Ahuja, N. Decoding the Epigenome: Comparative Analysis of Uterine Leiomyosarcoma and Leiomyoma. Cancers 2025, 17, 2610. [Google Scholar] [CrossRef]
- Giuliani, E.; As-Sanie, S.; Marsh, E.E. Epidemiology and management of uterine fibroids. Int. J. Gynaecol. Obstet. 2020, 149, 3–9. [Google Scholar] [CrossRef]
- Schoolmeester, J.K.; Erickson, L.A. Uterine Leiomyoma. Mayo Clin. Proc. 2019, 94, 2150–2151. [Google Scholar] [CrossRef]
- Machado-Lopez, A.; Simón, C.; Mas, A. Molecular and Cellular Insights into the Development of Uterine Fibroids. Int. J. Mol. Sci. 2021, 22, 8483. [Google Scholar] [CrossRef]
- Koltsova, A.S.; Efimova, O.A.; Pendina, A.A. A View on Uterine Leiomyoma Genesis through the Prism of Genetic, Epigenetic and Cellular Heterogeneity. Int. J. Mol. Sci. 2023, 24, 5752. [Google Scholar] [CrossRef]
- Croce, S.; Chibon, F. MED12 and uterine smooth muscle oncogenesis: State of the art and perspectives. Eur. J. Cancer 2015, 51, 1603–1610. [Google Scholar] [CrossRef]
- Park, M.J.; Shen, H.; Spaeth, J.M.; Tolvanen, J.H.; Failor, C.; Knudtson, J.F.; McLaughlin, J.; Halder, S.K.; Yang, Q.; Bulun, S.E.; et al. Oncogenic exon 2 mutations in Mediator subunit MED12 disrupt allosteric activation of cyclin C-CDK8/19. J. Biol. Chem. 2018, 293, 4870–4882. [Google Scholar] [CrossRef]
- Markowski, D.N.; Bullerdiek, J. Chromothripsis in uterine leiomyomas. N. Engl. J. Med. 2013, 369, 2160. [Google Scholar] [CrossRef] [PubMed]
- Kuisma, H.; Bramante, S.; Rajamäki, K.; Sipilä, L.J.; Kaasinen, E.; Kaukomaa, J.; Palin, K.; Mäkinen, N.; Sjöberg, J.; Sarvilinna, N.; et al. Parity associates with chromosomal damage in uterine leiomyomas. Nat. Commun. 2021, 12, 5448. [Google Scholar] [CrossRef]
- Li, Y.; Qiang, W.; Griffin, B.B.; Gao, T.; Chakravarti, D.; Bulun, S.; Kim, J.J.; Wei, J.J. HMGA2-mediated tumorigenesis through angiogenesis in leiomyoma. Fertil. Steril. 2020, 114, 1085–1096. [Google Scholar] [CrossRef]
- Liu, B.; Chen, G.; He, Q.; Liu, M.; Gao, K.; Cai, B.; Qu, J.; Lin, S.; Geng, A.; Li, S.; et al. An HMGA2-p62-ERalpha axis regulates uterine leiomyomas proliferation. FASEB J. 2020, 34, 10966–10983. [Google Scholar] [CrossRef] [PubMed]
- Jokinen, V.; Mehine, M.; Reinikka, S.; Khamaiseh, S.; Ahvenainen, T.; Äyräväinen, A.; Härkki, P.; Bützow, R.; Pasanen, A.; Vahteristo, P. 3′RNA and whole-genome sequencing of archival uterine leiomyomas reveal a tumor subtype with chromosomal rearrangements affecting either HMGA2, HMGA1, or PLAG1. Genes. Chromosomes Cancer. 2023, 62, 27–38. [Google Scholar] [CrossRef] [PubMed]
- George, J.W.; Fan, H.; Johnson, B.; Carpenter, T.J.; Foy, K.K.; Chatterjee, A.; Patterson, A.L.; Koeman, J.; Adams, M.; Madaj, Z.B.; et al. Integrated Epigenome, Exome, and Transcriptome Analyses Reveal Molecular Subtypes and Homeotic Transformation in Uterine Fibroids. Cell Rep. 2019, 29, 4069–4085.e6. [Google Scholar] [CrossRef]
- Liu, S.; Yin, P.; Kujawa, S.A.; Coon, J.S., V; Okeigwe, I.; Bulun, S.E. Progesterone receptor integrates the effects of mutated MED12 and altered DNA methylation to stimulate RANKL expression and stem cell proliferation in uterine leiomyoma. Oncogene 2019, 38, 2722–2735. [Google Scholar] [CrossRef]
- Ikhena, D.E.; Liu, S.; Kujawa, S.; Esencan, E.; Coon, J.S., V; Robins, J.; Bulun, S.E.; Yin, P. RANKL/RANK Pathway and Its Inhibitor RANK-Fc in Uterine Leiomyoma Growth. J. Clin. Endocrinol. Metab. 2018, 103, 1842–1849. [Google Scholar] [CrossRef]
- Miettinen, M.; Felisiak-Golabek, A.; Wasag, B.; Chmara, M.; Wang, Z.; Butzow, R.; Lasota, J. Fumarase-deficient Uterine Leiomyomas: An Immunohistochemical, Molecular Genetic, and Clinicopathologic Study of 86 Cases. Am. J. Surg. Pathol. 2016, 40, 1661–1669. [Google Scholar] [CrossRef]
- Shanmugasundaram, K.; Nayak, B.; Shim, E.H.; Livi, C.B.; Block, K.; Sudarshan, S. The oncometabolite fumarate promotes pseudohypoxia through noncanonical activation of NF-kappaB signaling. J. Biol. Chem. 2014, 289, 24691–24699. [Google Scholar] [CrossRef]
- Rabban, J.T.; Chan, E.; Mak, J.; Zaloudek, C.; Garg, K. Prospective Detection of Germline Mutation of Fumarate Hydratase in Women with Uterine Smooth Muscle Tumors Using Pathology-based Screening to Trigger Genetic Counseling for Hereditary Leiomyomatosis Renal Cell Carcinoma Syndrome: A 5-Year Single Institutional Experience. Am. J. Surg. Pathol. 2019, 43, 639–655. [Google Scholar] [CrossRef]
- McHenry, A.; Monsrud, A.; Pors, J.; Folkins, A.; Longacre, T.; Hodan, R. Prospective Fumarate Hydratase Tumor Predisposition Syndrome Screening in Patients with Uterine Smooth Muscle Tumors: Age, Morphology, Fumarate Hydratase/S-(2-succino) Cysteine Immunohistochemistry, and Germline Testing. Am. J. Surg. Pathol. 2025, 49, 315–327. [Google Scholar] [CrossRef] [PubMed]
- Sun, T.; Niu, N.; Healy, C.; Abdelal, H.; Wang, M.; Hui, P.; Buza, N. Fumarate Hydratase-deficient Uterine Smooth Muscle Tumors: A 6-Year Prospective Analysis of Morphology-based Screening and Patient Outcomes. Int. J. Gynecol. Pathol. 2025. online ahead of print. [Google Scholar] [CrossRef]
- Zhou, X.; Qi, X.; Zhao, X.; Yang, F. Update on clinical characteristics and molecular insights for uterine intravenous leiomyomatosis (Review). Oncol. Lett. 2023, 27, 31. [Google Scholar] [CrossRef] [PubMed]
- Yin, S.; Shi, P.; Han, J.; Li, H.; Ren, A.; Ma, L.; Tang, W.; Liu, W.; Yu, S.; Li, T.; et al. Pathological and molecular insights into intravenous leiomyomatosis: An integrative multi-omics study. J. Transl. Med. 2025, 23, 229. [Google Scholar] [CrossRef] [PubMed]
- Li, J.; Zeng, J.; Luo, S.; Wang, J. Molecular genetic analysis of pulmonary benign metastasizing leiomyoma and intravenous leiomyomatosis: A comparative study using whole exome sequencing. Discov. Oncol. 2025, 16, 939. [Google Scholar] [CrossRef]
- Ordulu, Z.; Chai, H.; Peng, G.; McDonald, A.G.; De Nictolis, M.; Garcia-Fernandez, E.; Hardisson, D.; Prat, J.; Li, P.; Hui, P.; et al. Molecular and clinicopathologic characterization of intravenous leiomyomatosis. Mod. Pathol. 2020, 33, 1844–1860. [Google Scholar] [CrossRef]
- Lu, B.; Liu, Q.; Tang, L.; Ma, Y.; Shi, H. Intravenous leiomyomatosis: Molecular analysis of 17 cases. Pathology 2020, 52, 213–217. [Google Scholar] [CrossRef]
- Di Giuseppe, J.; Grelloni, C.; Giuliani, L.; Delli Carpini, G.; Giannella, L.; Ciavattini, A. Recurrence of Uterine Smooth Muscle Tumor of Uncertain Malignant Potential: A Systematic Review of the Literature. Cancers 2022, 14, 2323. [Google Scholar] [CrossRef]
- Bucuri, C.E.; Ciortea, R.; Malutan, A.M.; Oprea, V.; Toma, M.; Roman, M.P.; Ormindean, C.M.; Nati, I.; Suciu, V.; Mihu, D. Smooth Muscle Tumor of Uncertain Malignant Potential (STUMP): A Systematic Review of the Literature in the Last 20 Years. Curr. Oncol. 2024, 31, 5242–5254. [Google Scholar] [CrossRef]
- Zhang, Q.; Ubago, J.; Li, L.; Guo, H.; Liu, Y.; Qiang, W.; Kim, J.J.; Kong, B.; Wei, J.J. Molecular analyses of 6 different types of uterine smooth muscle tumors: Emphasis in atypical leiomyoma. Cancer 2014, 120, 3165–3177. [Google Scholar] [CrossRef]
- Slatter, T.L.; Hsia, H.; Samaranayaka, A.; Sykes, P.; Clow, W.B.; Devenish, C.J.; Sutton, T.; Royds, J.A.; Ip, P.P.; Cheung, A.N.; et al. Loss of ATRX and DAXX expression identifies poor prognosis for smooth muscle tumours of uncertain malignant potential and early stage uterine leiomyosarcoma. J. Pathol. Clin. Res. 2015, 1, 95–105. [Google Scholar] [CrossRef]
- Croce, S.; Ducoulombier, A.; Ribeiro, A.; Lesluyes, T.; Noel, J.C.; Amant, F.; Guillou, L.; Stoeckle, E.; Devouassoux-Shisheboran, M.; Penel, N.; et al. Genome profiling is an efficient tool to avoid the STUMP classification of uterine smooth muscle lesions: A comprehensive array-genomic hybridization analysis of 77 tumors. Mod. Pathol. 2018, 31, 816–828. [Google Scholar] [CrossRef] [PubMed]
- Croce, S.; Ribeiro, A.; Brulard, C.; Noel, J.C.; Amant, F.; Stoeckle, E.; Devouassoux-Shisheborah, M.; Floquet, A.; Arnould, L.; Guyon, F.; et al. Uterine smooth muscle tumor analysis by comparative genomic hybridization: A useful diagnostic tool in challenging lesions. Mod. Pathol. 2015, 28, 1001–1010. [Google Scholar] [CrossRef] [PubMed]
- Croce, S.; Chibon, F. Molecular prognostication of uterine smooth muscle neoplasms: From CGH array to CINSARC signature and beyond. Genes Chromosomes Cancer 2021, 60, 129–137. [Google Scholar] [CrossRef] [PubMed]
- Bogani, G.; Caruso, G.; Ray-Coquard, I.; Ramirez, P.T.; Concin, N.; Ngoi, N.Y.; Coleman, R.L.; Mariani, A.; Cliby, W.; Leitao, M.M., Jr.; et al. Uterine leiomyosarcoma. Int. J. Gynecol. Cancer. 2025, 35, 101992. [Google Scholar] [CrossRef]
- Yang, Q.; Madueke-Laveaux, O.S.; Cun, H.; Wlodarczyk, M.; Garcia, N.; Carvalho, K.C.; Al-Hendy, A. Comprehensive Review of Uterine Leiomyosarcoma: Pathogenesis, Diagnosis, Prognosis, and Targeted Therapy. Cells 2024, 13, 1106. [Google Scholar] [CrossRef]
- Asano, H.; Isoe, T.; Ito, Y.M.; Nishimoto, N.; Watanabe, Y.; Yokoshiki, S.; Watari, H. Status of the Current Treatment Options and Potential Future Targets in Uterine Leiomyosarcoma: A Review. Cancers 2022, 14, 1180. [Google Scholar] [CrossRef] [PubMed]
- Astolfi, A.; Nannini, M.; Indio, V.; Schipani, A.; Rizzo, A.; Perrone, A.M.; De Iaco, P.; Pirini, M.G.; De Leo, A.; Urbini, M.; et al. Genomic Database Analysis of Uterine Leiomyosarcoma Mutational Profile. Cancers 2020, 12, 2126. [Google Scholar] [CrossRef] [PubMed]
- Chen, L.; Li, J.; Wu, X.; Zheng, Z. Identification of Somatic Genetic Alterations Using Whole-Exome Sequencing of Uterine Leiomyosarcoma Tumors. Front. Oncol. 2021, 11, 687899. [Google Scholar] [CrossRef] [PubMed]
- Falcao, R.M.; de Souza, J.E.S.; Gonzalez-Molina, J.; Mathieson, W.; Carlson, J.W.; Petta, T.B. Deep multi-omics integration approach reveals new molecular features of uterine leiomyosarcoma. Biochim. Biophys. Acta Mol. Basis Dis. 2025, 1871, 167632. [Google Scholar] [CrossRef]
- Choi, J.; Manzano, A.; Dong, W.; Bellone, S.; Bonazzoli, E.; Zammataro, L.; Yao, X.; Deshpande, A.; Zaidi, S.; Guglielmi, A.; et al. Integrated mutational landscape analysis of uterine leiomyosarcomas. Proc. Natl. Acad. Sci. USA 2021, 118, e2025182118. [Google Scholar] [CrossRef]
- Wang, Y.J.; Williams, H.R.; Brzezinska, B.N.; Gaidis, A.; Patel, B.; Munroe, J.; White, J.; Rungruang, B. Use of pembrolizumab in MSI-high uterine leiomyosarcoma; a case report and review of the literature. Gynecol. Oncol. Rep. 2021, 35, 100701. [Google Scholar] [CrossRef]
- Momeni-Boroujeni, A.; Yousefi, E.; Balakrishnan, R.; Riviere, S.; Kertowidjojo, E.; Hensley, M.L.; Ladanyi, M.; Ellenson, L.H.; Chiang, S. Molecular-Based Immunohistochemical Algorithm for Uterine Leiomyosarcoma Diagnosis. Mod. Pathol. 2023, 36, 100084. [Google Scholar] [CrossRef]
- Ahvenainen, T.V.; Mäkinen, N.M.; von Nandelstadh, P.; Vahteristo, M.E.A.; Pasanen, A.M.; Bützow, R.C.; Vahteristo, P.M. Loss of ATRX/DAXX expression and alternative lengthening of telomeres in uterine leiomyomas. Cancer 2018, 124, 4650–4656. [Google Scholar] [CrossRef]
- Marinoni, I.; Kurrer, A.S.; Vassella, E.; Dettmer, M.; Rudolph, T.; Banz, V.; Hunger, F.; Pasquinelli, S.; Speel, E.J.; Perren, A. Loss of DAXX and ATRX are associated with chromosome instability and reduced survival of patients with pancreatic neuroendocrine tumors. Gastroenterology 2014, 146, 453–460.e5. [Google Scholar] [CrossRef]
- Guo, J.; Zheng, J.; Tong, J. Potential Markers to Differentiate Uterine Leiomyosarcomas from Leiomyomas. Int. J. Med. Sci. 2024, 21, 1227–1240. [Google Scholar] [CrossRef]
- Chiang, S.; Samore, W.; Zhang, L.; Sung, Y.S.; Turashvili, G.; Murali, R.; Soslow, R.A.; Hensley, M.L.; Swanson, D.; Dickson, B.C.; et al. PGR Gene Fusions Identify a Molecular Subset of Uterine Epithelioid Leiomyosarcoma with Rhabdoid Features. Am. J. Surg. Pathol. 2019, 43, 810–818. [Google Scholar] [CrossRef] [PubMed]
- Chiang, S. Recent advances in smooth muscle tumors with PGR and PLAG1 gene fusions and myofibroblastic uterine neoplasms. Genes Chromosomes Cancer 2021, 60, 138–146. [Google Scholar] [CrossRef] [PubMed]
- Chapel, D.B.; Nucci, M.R.; Quade, B.J.; Parra-Herran, C. Epithelioid Leiomyosarcoma of the Uterus: Modern Outcome-based Appraisal of Diagnostic Criteria in a Large Institutional Series. Am. J. Surg. Pathol. 2022, 46, 464–475. [Google Scholar] [CrossRef] [PubMed]
- Kalantri, S.H.; Joseph, L.D.; Priyathersini, N.; Elangovan, B. Epithelioid leiomyosarcoma: An unusual presentation. J. Cancer Res. Ther. 2023, 19, 490–492. [Google Scholar] [CrossRef]
- Arias-Stella, J.A., III; Benayed, R.; Oliva, E.; Young, R.H.; Hoang, L.N.; Lee, C.H.; Jungbluth, A.A.; Frosina, D.; Soslow, R.A.; Antonescu, C.R.; et al. Novel PLAG1 Gene Rearrangement Distinguishes a Subset of Uterine Myxoid Leiomyosarcoma From Other Uterine Myxoid Mesenchymal Tumors. Am. J. Surg. Pathol. 2019, 43, 382–388. [Google Scholar] [CrossRef]
- Michal, M.; Agaimy, A.; Croce, S.; Mechtersheimer, G.; Gross, J.M.; Xing, D.; Bell, D.A.; Gupta, S.; Mosaieby, E.; Martínek, P.; et al. PLAG1-Rearranged Uterine Sarcomas: A Study of 11 Cases Showing a Wide Phenotypical Spectrum Not Limited to Myxoid Leiomyosarcoma-Like Morphology. Mod. Pathol. 2024, 37, 100552. [Google Scholar] [CrossRef]
- Fischer, G.M.; Papke, D.J., Jr. Gene fusions in superficial mesenchymal neoplasms: Emerging entities and useful diagnostic adjuncts. Semin. Diagn. Pathol. 2023, 40, 246–257. [Google Scholar] [CrossRef]
- Gadducci, A.; Multinu, F.; De Vitis, L.A.; Cosio, S.; Carinelli, S.; Aletti, G.D. Endometrial stromal tumors of the uterus: Epidemiology, pathological and biological features, treatment options and clinical outcomes. Gynecol. Oncol. 2023, 171, 95–105. [Google Scholar] [CrossRef]
- Norris, H.J.; Taylor, H.B. Mesenchymal tumors of the uterus. I. A clinical and pathological study of 53 endometrial stromal tumors. Cancer 1966, 19, 755–766. [Google Scholar] [CrossRef] [PubMed]
- Verma, A.; Tomar, R.; Chaturvedi, A.; Dhankar, N.; Mallya, V.; Khurana, N. Endometrial stromal tumors: A clinico-histomorphological spectrum of endometrial stromal tumors with review of literature. J. Cancer Res. Ther. 2024, 20, 150–155. [Google Scholar] [CrossRef]
- Ferreira, J.; Félix, A.; Lennerz, J.K.; Oliva, E. Recent advances in the histological and molecular classification of endometrial stromal neoplasms. Virchows Arch. 2018, 473, 665–678. [Google Scholar] [CrossRef]
- Brunetti, M.; Vitelli, V.; Naas, A.M.; Zahl Eriksson, A.G.; Haugland, H.K.; Krakstad, C.; Micci, F. Molecular Landscape of Endometrial Stromal Tumors. JCO Precis. Oncol. 2025, 9, e2400779. [Google Scholar] [CrossRef]
- Niu, S.; Zheng, W. Endometrial stromal tumors: Diagnostic updates and challenges. Semin. Diagn. Pathol. 2022, 39, 201–212. [Google Scholar] [CrossRef] [PubMed]
- Thiel, F.C.; Halmen, S. Low-Grade Endometrial Stromal Sarcoma—A Review. Oncol. Res. Treat. 2018, 41, 687–692. [Google Scholar] [CrossRef]
- Ma, X.; Wang, J.; Wang, J.; Ma, C.X.; Gao, X.; Patriub, V.; Sklar, J.L. The JAZF1-SUZ12 fusion protein disrupts PRC2 complexes and impairs chromatin repression during human endometrial stromal tumorogenesis. Oncotarget 2017, 8, 4062–4078. [Google Scholar] [CrossRef] [PubMed]
- Akaev, I.; Yeoh, C.C.; Rahimi, S. Update on Endometrial Stromal Tumours of the Uterus. Diagnostics 2021, 11, 429. [Google Scholar] [CrossRef]
- Nomura, Y.; Tamura, D.; Horie, M.; Sato, M.; Sasaki, S.; Yamamoto, Y.; Kudo-Asabe, Y.; Umakoshi, M.; Koyama, K.; Makino, K.; et al. Detection of MEAF6-PHF1 translocation in an endometrial stromal nodule. Genes Chromosomes Cancer 2020, 59, 702–708. [Google Scholar] [CrossRef] [PubMed]
- Kim, Y.; Kim, D.; Sung, W.J.; Hong, J. High-Grade Endometrial Stromal Sarcoma: Molecular Alterations and Potential Immunotherapeutic Strategies. Front. Immunol. 2022, 13, 837004. [Google Scholar] [CrossRef]
- Alkanat, N.E.; Uner, A.; Usubutun, A. High-grade Endometrial Stromal Sarcoma: Morphologic and Clinical Features, the Role of Immunohistochemistry and Fluorescence in Situ Hybridization in Diagnosis. Int. J. Surg. Pathol. 2023, 31, 521–531. [Google Scholar] [CrossRef]
- Kommoss, F.K.F.; Mar, L.M.; Howitt, B.E.; Hanley, K.; Turashvilli, G.; Buslei, R.; Irving, J.A.; Dickson, B.C.; Koelsche, C.; Sinn, H.P.; et al. High-Grade Endometrial Stromal Sarcomas with YWHAE::NUTM2 Gene Fusion Exhibit Recurrent CDKN2A Alterations and Absence of p16 Staining is a Poor Prognostic Marker. Mod. Pathol. 2023, 36, 100044. [Google Scholar] [CrossRef]
- Fayoumi, A. BCOR abnormalities in endometrial stromal sarcoma. Gynecol. Oncol. Rep. 2025, 57, 101672. [Google Scholar] [CrossRef]
- Turashvili, G. High-grade endometrial stromal sarcoma with BCOR internal tandem duplication. Int. J. Gynecol. Cancer 2025, 101964, online ahead of print. [Google Scholar] [CrossRef] [PubMed]
- Astolfi, A.; Fiore, M.; Melchionda, F.; Indio, V.; Bertuccio, S.N.; Pession, A. BCOR involvement in cancer. Epigenomics 2019, 11, 835–855. [Google Scholar] [CrossRef] [PubMed]
- Hojný, J.; Dvořák, J.; Vránková, R.; Bártů, M.K.; Hájková, N.; Krkavcová, E.; Flídrová, M.; Stružinská, I.; Němejcová, K.; Bouda, J.; et al. Decoding the Molecular Landscape of 262 Uterine Sarcomas: RNA-Seq Clustering of Endometrial Stromal Sarcomas, Uterine Tumors Resembling Ovarian Sex Cord Tumors, and Undifferentiated Uterine Sarcomas with Prognostic Insights. Lab. Investig. 2025, 105, 104198. [Google Scholar] [CrossRef]
- Allanson, E.R.; Cummings, M.; Kuchel, A.; Wastney, T.; Nicklin, J. Undifferentiated uterine sarcoma: A multidisciplinary challenge. Int. J. Gynecol. Cancer 2022, 32, 198–202. [Google Scholar] [CrossRef]
- Cabrera, S.; Bebia, V.; Acosta, U.; Franco-Camps, S.; Mañalich, L.; García-Jiménez, A.; Gil-Moreno, A. Survival outcomes and prognostic factors of endometrial stromal sarcoma and undifferentiated uterine sarcoma. Clin. Transl. Oncol. 2021, 23, 1210–1219. [Google Scholar] [CrossRef] [PubMed]
- Kolin, D.L.; Quick, C.M.; Dong, F.; Fletcher, C.D.M.; Stewart, C.J.R.; Soma, A.; Hornick, J.L.; Nucci, M.R.; Howitt, B.E. SMARCA4 deficient Uterine Sarcoma and Undifferentiated Endometrial Carcinoma Are Distinct Clinicopathologic Entities. Am. J. Surg. Pathol. 2020, 44, 263–270. [Google Scholar] [CrossRef]
- Gao, J.; Fan, R.; Chen, D.; Hou, J.; Chen, H.; Lu, M. Pathological characteristics and immune microenvironment of SMARCA4-deficient undifferentiated uterine sarcoma. Diagn. Pathol. 2023, 18, 62. [Google Scholar] [CrossRef]
- Dundr, P.; Hojný, J.; Dvořák, J.; Hájková, N.; Vránková, R.; Krkavcová, E.; Berjon, A.; Bizoń, M.; Bobiński, M.; Bouda, J.; et al. The Rare Gynecologic Sarcoma Study: Molecular and Clinicopathologic Results of A Project on 379 Uterine Sarcomas. Lab. Investig. 2025, 105, 104092. [Google Scholar] [CrossRef]
- Binzer-Panchal, A.; Hardell, E.; Viklund, B.; Ghaderi, M.; Bosse, T.; Nucci, M.R.; Lee, C.H.; Hollfelder, N.; Corcoran, P.; Gonzalez-Molina, J.; et al. Integrated Molecular Analysis of Undifferentiated Uterine Sarcomas Reveals Clinically Relevant Molecular Subtypes. Clin. Cancer Res. 2019, 25, 2155–2165. [Google Scholar] [CrossRef]
- Hammer, P.M.; Tan, S.Y. Soft Tissue Perivascular Epithelioid Cell Tumors. Surg. Pathol. Clin. 2024, 17, 105–118. [Google Scholar] [CrossRef]
- Bennett, J.A.; Oliva, E. Perivascular epithelioid cell tumors (PEComa) of the gynecologic tract. Genes Chromosomes Cancer 2021, 60, 168–179. [Google Scholar] [CrossRef]
- Levin, G.; Capella, M.P.; Meyer, R.; Brezinov, Y.; Gotlieb, W.H. Gynecologic perivascular epithelioid cell tumors (PEComas): A review of recent evidence. Arch. Gynecol. Obstet. 2024, 309, 2381–2386. [Google Scholar] [CrossRef]
- Anderson, W.J.; Dong, F.; Fletcher, C.D.M.; Hirsch, M.S.; Nucci, M.R. A Clinicopathologic and Molecular Characterization of Uterine Sarcomas Classified as Malignant PEComa. Am. J. Surg. Pathol. 2023, 47, 535–546. [Google Scholar] [CrossRef]
- Katsakhyan, L.; Shahi, M.; Eugene, H.C.; Nonogaki, H.; Gross, J.M.; Nucci, M.R.; Vang, R.; Xing, D. Uterine Leiomyosarcoma Associated with Perivascular Epithelioid Cell Tumor: A Phenomenon of Differentiation/Dedifferentiation and Evidence Suggesting Cell-of-Origin. Am. J. Surg. Pathol. 2024, 48, 761–772. [Google Scholar] [CrossRef] [PubMed]
- Selenica, P.; Conlon, N.; Gonzalez, C.; Frosina, D.; Jungbluth, A.A.; Beets-Tan, R.G.H.; Rao, M.K.; Zhang, Y.; Benayed, R.; Ladanyi, M.; et al. Genomic Profiling Aids Classification of Diagnostically Challenging Uterine Mesenchymal Tumors with Myomelanocytic Differentiation. Am. J. Surg. Pathol. 2021, 45, 77–92. [Google Scholar] [CrossRef] [PubMed]
- Argani, P.; Gross, J.M.; Baraban, E.; Rooper, L.M.; Chen, S.; Lin, M.T.; Gocke, C.; Agaimy, A.; Lotan, T.; Suurmeijer, A.J.H.; et al. TFE3 -Rearranged PEComa/PEComa-like Neoplasms: Report of 25 New Cases Expanding the Clinicopathologic Spectrum and Highlighting its Association with Prior Exposure to Chemotherapy. Am. J. Surg. Pathol. 2024, 48, 777–789. [Google Scholar] [CrossRef]
- Acosta, A.M.; Adley, B.P. Predicting the Behavior of Perivascular Epithelioid Cell Tumors of the Uterine Corpus. Arch. Pathol. Lab. Med. 2017, 141, 463–469. [Google Scholar] [CrossRef] [PubMed]
- Oliver-Perez, R.; Ortega, M.; Manzano, A.; Estrada-Lorenzo, J.M.; Martinez-Lopez, M.; Zabia, E.; Lopez-Gonzalez, G.; Madariaga, A.; Parrilla, L.; Tejerizo, A.; et al. Malignant Perivascular Epithelioid Cell Tumor (PEComa) of the Uterus: A Rare Type of Mesenchymal Tumors and a Management Challenge. Cancers 2025, 17, 2185. [Google Scholar] [CrossRef]
- Karpathiou, G.; Devouassoux-Shisheboran, M.; Stolnicu, S.; Chauleur, C.; Péoc’h, M. Uterine inflammatory myofibroblastic tumor. Pathol. Res. Pract. 2023, 242, 154335. [Google Scholar] [CrossRef]
- Umetsu, S.E.; Ladwig, N.R. Advances in uterine inflammatory myofibroblastic tumours: Diagnostic challenges and risk stratification. Histopathology 2024, 85, 215–223. [Google Scholar] [CrossRef] [PubMed]
- Devins, K.M.; Samore, W.; Nielsen, G.P.; Deshpande, V.; Oliva, E. Leiomyoma-like Morphology in Metastatic Uterine Inflammatory Myofibroblastic Tumors. Mod. Pathol. 2023, 36, 100143. [Google Scholar] [CrossRef]
- Makhdoum, S.; Nardi, V.; Devereaux, K.A.; Kunder, C.A.; Nielsen, G.P.; Oliva, E.; Young, R.H.; Roberts, D.J. Inflammatory myofibroblastic tumors associated with the placenta: A series of 9 cases. Hum. Pathol. 2020, 106, 62–73. [Google Scholar] [CrossRef]
- Bennett, J.A.; Croce, S.; Pesci, A.; Niu, N.; Van de Vijver, K.; Burks, E.J.; Burandt, E.; Zannoni, G.F.; Rabban, J.T.; Oliva, E. Inflammatory Myofibroblastic Tumor of the Uterus: An Immunohistochemical Study of 23 Cases. Am. J. Surg. Pathol. 2020, 44, 1441–1449. [Google Scholar] [CrossRef]
- Ladwig, N.R.; Bean, G.R.; Pekmezci, M.; Boscardin, J.; Joseph, N.M.; Therrien, N.; Sangoi, A.R.; Piening, B.; Rajamanickam, V.; Galvin, M.; et al. Uterine Inflammatory Myofibroblastic Tumors: Proposed Risk Stratification Model Using Integrated Clinicopathologic and Molecular Analysis. Am. J. Surg. Pathol. 2023, 47, 157–171. [Google Scholar] [CrossRef]
- Bui, Q.H.; Krausová, M.; Hájková, N.; Hojný, J.; Kendall Bártů, M.; Vránková, R.; Kalousová, M.; Frühauf, F.; Michal, M.; Němejcová, K.; et al. Integrating clinicopathological and molecular data to assess the biological behavior of uterine inflammatory myofibroblastic tumors. Pathol. Res. Pract. 2025, 270, 155959. [Google Scholar] [CrossRef] [PubMed]
- Chang, B.; Wang, Z.; Ren, M.; Yao, Q.; Zhao, L.; Zhou, X. A Novel CASC15-ALK and TFG-ROS1 Fusion Observed in Uterine Inflammatory Myofibroblastic Tumor. Int. J. Gynecol. Pathol. 2023, 42, 451–459. [Google Scholar] [CrossRef]
- Zhang, L.; Luan, L.; Shen, L.; Xue, R.; Huang, J.; Su, J.; Huang, Y.; Xu, Y.; Wang, X.; Shao, Y.; et al. Uterine inflammatory myofibroblastic tumor harboring novel NUDCD3-ROS1 and NRP2-ALK fusions: Clinicopathologic features of 4 cases and literature review. Virchows Arch. 2023, 482, 567–580. [Google Scholar] [CrossRef] [PubMed]
- Kyi, C.; Friedman, C.F.; Mueller, J.J.; Benayed, R.; Ladanyi, M.; Arcila, M.; Yang, S.R.; Hensley, M.L.; Chiang, S. Uterine mesenchymal tumors harboring ALK fusions and response to ALK-targeted therapy. Gynecol. Oncol. Rep. 2021, 37, 100852. [Google Scholar] [CrossRef]
- Giordano, G.; Guareschi, D.; Thai, E. Uterine Tumor Resembling Ovarian Sex-Cord Tumor (UTROSCT): A Rare Polyphenotypic Neoplasm. Diagnostics 2024, 14, 1271. [Google Scholar] [CrossRef]
- Watrowski, R.; Palumbo, M.; Guerra, S.; Gallo, A.; Zizolfi, B.; Giampaolino, P.; Bifulco, G.; Di Spiezio Sardo, A.; De Angelis, M.C. Uterine Tumors Resembling Ovarian Sex Cord Tumors (UTROSCTs): A Scoping Review of 511 Cases, Including 2 New Cases. Medicina 2024, 60, 179. [Google Scholar] [CrossRef] [PubMed]
- Flídrová, M.; Hájková, N.; Hojný, J.; Dvořák, J.; Michálková, R.; Krkavcová, E.; Laco, J.; McCluggage, W.G.; Giordano, G.; Silini, E.M.; et al. Unraveling the Molecular Landscape of Uterine Tumor Resembling Ovarian Sex Cord Tumor: Insights from a Clinicopathological, Morphologic, Immunohistochemical, and Molecular Analysis of 35 Cases. Mod. Pathol. 2024, 37, 100611. [Google Scholar] [CrossRef]
- Yin, X.; Wang, M.; He, H.; Ru, G.; Zhao, M. Uterine Tumor Resembling Ovarian Sex Cord Tumor with Aggressive Histologic Features Harboring a GREB1-NCOA2 Fusion: Case Report with a Brief Review. Int. J. Gynecol. Pathol. 2023, 42, 54–62. [Google Scholar] [CrossRef]
- Boyraz, B.; Watkins, J.C.; Young, R.H.; Oliva, E. Uterine Tumors Resembling Ovarian Sex Cord Tumors: A Clinicopathologic Study of 75 Cases Emphasizing Features Predicting Adverse Outcome and Differential Diagnosis. Am. J. Surg. Pathol. 2023, 47, 234–247. [Google Scholar] [CrossRef] [PubMed]
- Kao, Y.C.; Lee, J.C. An update of molecular findings in uterine tumor resembling ovarian sex cord tumor and GREB1-rearranged uterine sarcoma with variable sex-cord differentiation. Genes Chromosomes Cancer 2021, 60, 180–189. [Google Scholar] [CrossRef]
- Costigan, D.C.; Nucci, M.R.; Dickson, B.C.; Chang, M.C.; Song, S.; Sholl, L.M.; Hornick, J.L.; Fletcher, C.D.M.; Kolin, D.L. NTRK-Rearranged Uterine Sarcomas: Clinicopathologic Features of 15 Cases, Literature Review, and Risk Stratification. Am. J. Surg. Pathol. 2022, 46, 1415–1429. [Google Scholar] [CrossRef] [PubMed]
- Szalai, L.; Vereczkey, I.; Szemes, M.; Rókusz, A.; Csernák, E.; Tóth, E.; Melegh, Z. NTRK-rearranged spindle cell sarcoma of the uterine cervix with a novel NUMA1::NTRK1 fusion. Virchows Arch. 2024, 484, 527–531. [Google Scholar] [CrossRef]
- Hodgson, A.; Pun, C.; Djordjevic, B.; Turashvili, G. NTRK-rearranged Cervical Sarcoma: Expanding the Clinicopathologic Spectrum. Int. J. Gynecol. Pathol. 2021, 40, 73–77. [Google Scholar] [CrossRef]
- Klubíčková, N.; Dermawan, J.K.; Mosaieby, E.; Martínek, P.; Vaněček, T.; Hájková, V.; Ptáková, N.; Grossmann, P.; Šteiner, P.; Švajdler, M.; et al. Comprehensive clinicopathological, molecular, and methylation analysis of mesenchymal tumors with NTRK and other kinase gene aberrations. J. Pathol. 2024, 263, 61–73. [Google Scholar] [CrossRef]
- Wong, D.D.; Vargas, A.C.; Bonar, F.; Maclean, F.; Kattampallil, J.; Stewart, C.; Sulaiman, B.; Santos, L.; Gill, A.J. NTRK-rearranged mesenchymal tumours: Diagnostic challenges, morphological patterns and proposed testing algorithm. Pathology 2020, 52, 401–409. [Google Scholar] [CrossRef]
- Chiang, S.; Cotzia, P.; Hyman, D.M.; Drilon, A.; Tap, W.D.; Zhang, L.; Hechtman, J.F.; Frosina, D.; Jungbluth, A.A.; Murali, R.; et al. NTRK Fusions Define a Novel Uterine Sarcoma Subtype with Features of Fibrosarcoma. Am. J. Surg. Pathol. 2018, 42, 791–798. [Google Scholar] [CrossRef] [PubMed]
- Croce, S.; Hostein, I.; McCluggage, W.G. NTRK and other recently described kinase fusion positive uterine sarcomas: A review of a group of rare neoplasms. Genes Chromosomes Cancer 2021, 60, 147–159. [Google Scholar] [CrossRef]
- Panwar, V.; Liu, Y.; Gwin, K.; Chen, H. COL1A1-PDGFB Fusion Associated Fibrosarcoma of the Uterine Corpus: A Case Report and Literature Review. Int. J. Gynecol. Pathol. 2023, 42, 143–146. [Google Scholar] [CrossRef]
- Yu, J.; Shi, H.; Lu, B. Uterine fibrosarcomatous dermatofibrosarcoma protuberans (FS-DFSP) with COL1A1::PDGFB fusion and concurrent TP53/ERBB2 mutations: Case report and molecular characterization. Pathol. Res. Pract. 2025, 273, 156149. [Google Scholar] [CrossRef] [PubMed]
- Grindstaff, S.L.; DiSilvestro, P.; Quddus, M.R. COL1A1-PDGFB fusion uterine sarcoma and its response to Imatinib therapy. Gynecol. Oncol. Rep. 2020, 34, 100653. [Google Scholar] [CrossRef]
- Kao, Y.C.; Bennett, J.A.; Suurmeijer, A.J.H.; Dickson, B.C.; Swanson, D.; Wanjari, P.; Zhang, L.; Lee, J.C.; Antonescu, C.R. Recurrent MEIS1-NCOA2/1 fusions in a subset of low-grade spindle cell sarcomas frequently involving the genitourinary and gynecologic tracts. Mod. Pathol. 2021, 34, 1203–1212. [Google Scholar] [CrossRef]
- Argani, P.; Reuter, V.E.; Kapur, P.; Brown, J.E.; Sung, Y.S.; Zhang, L.; Williamson, R.; Francis, G.; Sommerville, S.; Swanson, D.; et al. Novel MEIS1-NCOA2 Gene Fusions Define a Distinct Primitive Spindle Cell Sarcoma of the Kidney. Am. J. Surg. Pathol. 2018, 42, 1562–1570. [Google Scholar] [CrossRef]
- Kommoss, F.K.F.; Kölsche, C.; Mentzel, T.; Schmidt, D.; von Deimling, A.; McCluggage, W.G.; Kommoss, F. Spindle Cell Sarcoma of the Uterine Corpus with Adipose Metaplasia: Expanding the Morphologic Spectrum of Neoplasms with MEIS1-NCOA2 Gene Fusion. Int. J. Gynecol. Pathol. 2022, 41, 417–422. [Google Scholar] [CrossRef]
- Niu, S.; Rivera-Colon, G.; Lucas, E. Aggressive High-grade Uterine Sarcoma Harboring MEIS1-NCOA2 Fusion and Amplification of Multiple 12q13-15 Genes: A Case Report with Morphologic, Immunohistochemical, and Molecular Analysis. Int. J. Gynecol. Pathol. 2023, 42, 460–465. [Google Scholar] [CrossRef]
- Mejbel, H.A.; Harada, S.; Stevens, T.M.; Huang, X.; Netto, G.J.; Mackinnon, A.C.; Al Diffalha, S. Spindle Cell Sarcoma of the Uterus Harboring MEIS1::NCOA1 Fusion Gene and Mimicking Endometrial Stromal Sarcoma. Int. J. Surg. Pathol. 2023, 31, 227–232. [Google Scholar] [CrossRef] [PubMed]
- Yuan, Y.; Gao, X.; Zhang, Y.; Zhu, Y. SMARCA4-deficient uterine sarcoma. Int. J. Gynecol. Cancer 2025, 35, 101793. [Google Scholar] [CrossRef]
- Nakra, T.; Kakkar, A.; Mathur, S.R.; Jain, D.; Kumar, S. SMARCA4-deficient Undifferentiated Uterine Sarcoma: Clinicopathological Features of an Emerging Entity. Int. J. Surg. Pathol. 2023, 31, 104–109. [Google Scholar] [CrossRef]
- Kolin, D.L.; Dong, F.; Baltay, M.; Lindeman, N.; MacConaill, L.; Nucci, M.R.; Crum, C.P.; Howitt, B.E. SMARCA4-deficient undifferentiated uterine sarcoma (malignant rhabdoid tumor of the uterus): A clinicopathologic entity distinct from undifferentiated carcinoma. Mod. Pathol. 2018, 31, 1442–1456. [Google Scholar] [CrossRef]
- Mardinian, K.; Adashek, J.J.; Botta, G.P.; Kato, S.; Kurzrock, R. SMARCA4: Implications of an Altered Chromatin-Remodeling Gene for Cancer Development and Therapy. Mol. Cancer Ther. 2021, 20, 2341–2351. [Google Scholar] [CrossRef]
- Connor, Y.D.; Miao, D.; Lin, D.I.; Hayne, C.; Howitt, B.E.; Dalrymple, J.L.; DeLeonardis, K.R.; Hacker, M.R.; Esselen, K.M.; Shea, M. Germline mutations of SMARCA4 in small cell carcinoma of the ovary, hypercalcemic type and in SMARCA4-deficient undifferentiated uterine sarcoma: Clinical features of a single family and comparison of large cohorts. Gynecol. Oncol. 2020, 157, 106–114. [Google Scholar] [CrossRef]
- Lin, D.I.; Allen, J.M.; Hecht, J.L.; Killian, J.K.; Ngo, N.T.; Edgerly, C.; Severson, E.A.; Ali, S.M.; Erlich, R.L.; Ramkissoon, S.H.; et al. SMARCA4 inactivation defines a subset of undifferentiated uterine sarcomas with rhabdoid and small cell features and germline mutation association. Mod. Pathol. 2019, 32, 1675–1687. [Google Scholar] [CrossRef] [PubMed]
- Yin, X.; Ye, L.; Xu, J.; Zhao, M. CD34-positive pleomorphic uterine sarcoma with NUDT3::RAD51B fusion. Virchows Arch. 2025, 487, 453–459. [Google Scholar] [CrossRef] [PubMed]
- Chang, H.Y.; Dermawan, J.; Sharma, A.; Dickson, B.; Turashvili, G.; Torrence, D.; Nucci, M.; Chiang, S.; Oliva, E.; Kirchner, M.; et al. Sarcomas with RAD51B Fusions Are Associated with a Heterogeneous Phenotype. Mod. Pathol. 2024, 37, 100402. [Google Scholar] [CrossRef]
- Dundr, P.; Machado-Lopez, A.; Mas, A.; Věcková, Z.; Mára, M.; Richtárová, A.; Matěj, R.; Stružinská, I.; Kendall Bártů, M.; Němejcová, K.; et al. Uterine leiomyoma with RAD51B::NUDT3 fusion: A report of 2 cases. Virchows Arch. 2024, 484, 1015–1022. [Google Scholar] [CrossRef]
- Fontanges, Q.; Croce, S.; Agaimy, A.; McCluggage, W.G. Uterine sarcoma with KAT6B/A::KANSL1 fusion: An evolving entity. Virchows Arch. 2025. [Google Scholar] [CrossRef]
- Kommoss, F.K.F.; Charbel, A.; Kolin, D.L.; Howitt, B.E.; Köbel, M.; Lee, J.C.; McCluggage, W.G.; Agaimy, A.; Dickson, B.C.; von Deimling, A.; et al. Uterine mesenchymal tumours harboring the KAT6B/A::KANSL1 gene fusion represent a distinct type of uterine sarcoma based on DNA methylation profiles. Virchows Arch. 2024, 485, 793–803. [Google Scholar] [CrossRef] [PubMed]
- Trecourt, A.; Azmani, R.; Hostein, I.; Blanchard, L.; Le Loarer, F.; Bourdon, A.; Alame, M.; Nadaud, B.; Mayer, L.; Rebier, F.; et al. The KAT6B::KANSL1 Fusion Defines a New Uterine Sarcoma with Hybrid Endometrial Stromal Tumor and Smooth Muscle Tumor Features. Mod. Pathol. 2023, 36, 100243. [Google Scholar] [CrossRef] [PubMed]
- Dundr, P.; Dvořák, J.; Krausová, M.; Hojný, J.; Hájková, N.; Stružinská, I.; Němejcová, K.; Ondič, O.; Michal, M.; Michalová, K.; et al. Uterine sarcoma with KAT6B/A::KANSL1 fusion: A molecular and clinicopathological study on 9 cases. Virchows Arch. 2025, 486, 551–562. [Google Scholar] [CrossRef] [PubMed]
- Agaimy, A.; Clarke, B.A.; Kolin, D.L.; Lee, C.H.; Lee, J.C.; McCluggage, W.G.; Pöschke, P.; Stoehr, R.; Swanson, D.; Turashvili, G.; et al. Recurrent KAT6B/A::KANSL1 Fusions Characterize a Potentially Aggressive Uterine Sarcoma Morphologically Overlapping with Low-grade Endometrial Stromal Sarcoma. Am. J. Surg. Pathol. 2022, 46, 1298–1308. [Google Scholar] [CrossRef]
- Huang, X.; He, Y.; Wang, W. ERBB2/ERBB3-mutated S100/SOX10-positive high-grade uterine sarcoma-a case report on a rare entity. Virchows Arch. 2025. online ahead of print. [Google Scholar] [CrossRef]
- Shi, W.J.; Fadare, O. ERBB2/ERBB3-mutated S100/SOX10-positive uterine sarcoma: Something new. Virchows Arch. 2025, 486, 605–610. [Google Scholar] [CrossRef]
- Agaimy, A.; Dermawan, J.K.; Haller, F.; Semrau, S.; Meidenbauer, N.; Stoehr, R.; Lax, S.; Hartmann, A.; Zou, Y.S.; Xing, D.; et al. ERBB2/ ERBB3-mutated S100/ SOX10-positive unclassified high-grade uterine sarcoma: First detailed description of a novel entity. Virchows Arch. 2024, 485, 805–813. [Google Scholar] [CrossRef]
- Truffaux, N.; Larmonier, C.; Croce, S. Molecular Testing of Uterine Mesenchymal Tumors. In Gynecologic and Obstetric Pathology; Zheng, W., Fadare, O., Quick, C.M., Eds.; Springer: Singapore, 2024. [Google Scholar] [CrossRef]






| Category | Entity | Variants | Molecular Pathology | Diagnostic Utility | Prognostic Utility |
|---|---|---|---|---|---|
| Smooth muscle tumors | Uterine leiomyoma | MED12 mutation, HMGA2 and HMGA1 fusion, COL4A5 and COL4A6 deletion FH mutation | N/A | FH-deficient leiomyoma prompt genetic consulting for HLRCC syndrome | |
| Intravenous leiomyomatosis | HMGA2 gene fusion | N/A | N/A | ||
| Uterine leiomyosarcoma | Spindle (conventional) | TP53, RB1, ATRX, PTEN, CDKN2A, MDM2 mutations | A molecular-based IHC algorithm for diagnosis is proposed | NA | |
| Epithelioid | PGR gene fusions | N/A | Aggressive subset | ||
| Myxoid | PLAG1 gene fusion | Maybe helpful | N/A | ||
| Endometrial stromal tumors | Endometrial stromal nodule | some harbor fusions found in LG-ESS, such as JAZF1-SUZ12 | N/A | N/A | |
| LG ESS | JAZF1::SUZ12, JAZF1::PHF1, PHF1 gene fusions | Maybe helpful | N/A | ||
| HG ESS | YWHAE::NUTM2A/B | YWHAE::NUTM2A/B | Helpful in diagnosis especially in HG-ESS with LG features | N/A | |
| BCOR gene fusion | ZC3H7B::BCOR, BCOR with other partners | N/A | |||
| BCOR ITD | N/A | ||||
| Undifferentiated uterine sarcoma | a heterogeneous collection includes unrecognized molecular subsets | N/A | |||
| Miscellaneous | Uterine tumor resembling ovarian sex cord tumors (UTROSCT) | ESR1::NCOA3, GREB1::NCOA2, other NCOA family gene fusion | GERB1::NCOA2 may confer aggressive behavior | ||
| Perivascular epithelioid cell tumor (PEComa) | TSC1 or TSC2 gene mutation | N/A | |||
| TFE3 gene rearrangement | Helpful | More aggressive | |||
| Inflammatory myofibroblastic tumor (IMT) | ALK rearrangement most common; RPS1, RET1, PDGFRB or NTRK3 rearrangement | ALK IHC | N/A | ||
| Emerging molecularly defined uterine mesenchymal tumors | NTRK-rearranged uterine sarcomas | Molecularly defined entity | Bland morphology, variable behavior | ||
| COL1A1::PDGF fusion uterine sarcoma | Most low-grade | ||||
| MEIS1::NCOA2/1 fusion sarcoma | Behave as low-grade sarcoma | ||||
| SMARCA4-deficient uterine sarcoma (SDUS) | Worse outcome | ||||
| RAD51B fusion uterine sarcoma | Aggressive | ||||
| KATB/A::KANSL1 fusion sarcoma | Poor prognosis | ||||
| ERBB2/3 mutated S100/SOX10-positive uterine sarcoma | N/A | ||||
| Entity | Potential Targetable Molecular Alteration | Affected Pathways | Targeted Therapy |
|---|---|---|---|
| Uterine leiomyosarcoma | BRCA2, RAD51B, PALB2 | DNA repair-HRD | PARP inhibitor |
| MMR deficient | DNA repair-MMR | PD-L1 | |
| PTEN | PI3K/mTOR/AKT | CDK4/6 inhibitor mTOR inhibitor | |
| PGR fusion | Estrogen-driven signaling | Hormone therapy | |
| Low-grade endometrial stromal sarcoma | JAZF1::SUZ12, and other fusion | Chromatin remodeling/Wnt pathway | Wnt pathway inhibitor |
| High-grade endometrial stromal sarcoma | YWHAE::NUTM2A/B | RAF/mitogen-activated protein kinase and Hippo pathways, with downstream cyclin D1 | CDK4/6 inhibitor Mitogen kinase inhibitor |
| BCOR-rearranged or ITD | cyclin D-CDK4/6-Rb pathway MDM2 amplification | CDK4/6 inhibitor MDM2 inhibitors | |
| NTRK1/NTRK3 rearrangements | TRK pathway activation | TRK inhibitor | |
| Perivascular epithelioid cell tumor (PEComa) | TSC1/2 mutation TFE3 rearrangement | mTOR pathway | mTORC1 inhibitor |
| Inflammatory myofibroblastic tumor (IMT) | ALK, RPS1, RET1, PDGFRB or NTRK rearrangement | ALK and other tyrosine kinase pathways | ALK inhibitor |
| NTRK-rearranged uterine sarcomas | NTRK-rearrangement | TRK pathway activation | TRK inhibitor |
| SMARCA4-deficient uterine sarcoma (SDUS) | SMARCA4 mutation | Chromatin remodeling/Cell cycle and growth pathways | EZH2 and CDK4/6 inhibitors |
| COL1A1::PDGF fusion uterine sarcoma | COL1A1::PDGF fusion | PDGF signaling and downstream PIK3/AKT pathway | TRK inhibitor |
| ERBB2/3 mutated S100/SOX10-positive uterine sarcoma | ERBB2/3 mutations | PIK3/AKT/MAPK pathway | Her2 targeted therapy |
Disclaimer/Publisher’s Note: The statements, opinions and data contained in all publications are solely those of the individual author(s) and contributor(s) and not of MDPI and/or the editor(s). MDPI and/or the editor(s) disclaim responsibility for any injury to people or property resulting from any ideas, methods, instructions or products referred to in the content. |
© 2025 by the author. Licensee MDPI, Basel, Switzerland. This article is an open access article distributed under the terms and conditions of the Creative Commons Attribution (CC BY) license (https://creativecommons.org/licenses/by/4.0/).
Share and Cite
Sun, T. The Evolving Molecular Landscape of Uterine Mesenchymal Tumors: Diagnostic and Therapeutic Implications. Cancers 2025, 17, 4012. https://doi.org/10.3390/cancers17244012
Sun T. The Evolving Molecular Landscape of Uterine Mesenchymal Tumors: Diagnostic and Therapeutic Implications. Cancers. 2025; 17(24):4012. https://doi.org/10.3390/cancers17244012
Chicago/Turabian StyleSun, Tong. 2025. "The Evolving Molecular Landscape of Uterine Mesenchymal Tumors: Diagnostic and Therapeutic Implications" Cancers 17, no. 24: 4012. https://doi.org/10.3390/cancers17244012
APA StyleSun, T. (2025). The Evolving Molecular Landscape of Uterine Mesenchymal Tumors: Diagnostic and Therapeutic Implications. Cancers, 17(24), 4012. https://doi.org/10.3390/cancers17244012

