High Prevalence of Smoking-Related Diseases in High-Grade and Muscle-Invasive Bladder Cancer: Opportunities for Lung Cancer Screening
Simple Summary
Abstract
1. Introduction
2. Materials and Methods
2.1. Population of the Study
2.2. CT Acquisition Technique
- GE Medical System, LightSpeed VCT 64-slice CT: Technical parameters included a tube voltage of 120 kV, tube current modulation ranging from 100 to 250 mAs, a spiral pitch factor of 0.98, and a collimation width of 64 × 0.625 mm. Reconstructions were performed using a BONEPLUS convolution kernel at a slice thickness of 1.25 mm.
- PHILIPS Ingenuity CT 128-slice CT: Technical parameters included a tube voltage of 120 kV, tube current modulation ranging from 100 to 250 mAs, a spiral pitch factor of 1.224, and a collimation width of 64 × 0.625 mm. Reconstructions were performed using a Y-SHARP convolution kernel at a slice thickness of 1 mm.
2.3. Imaging Analysis
2.4. Statistical Analysis
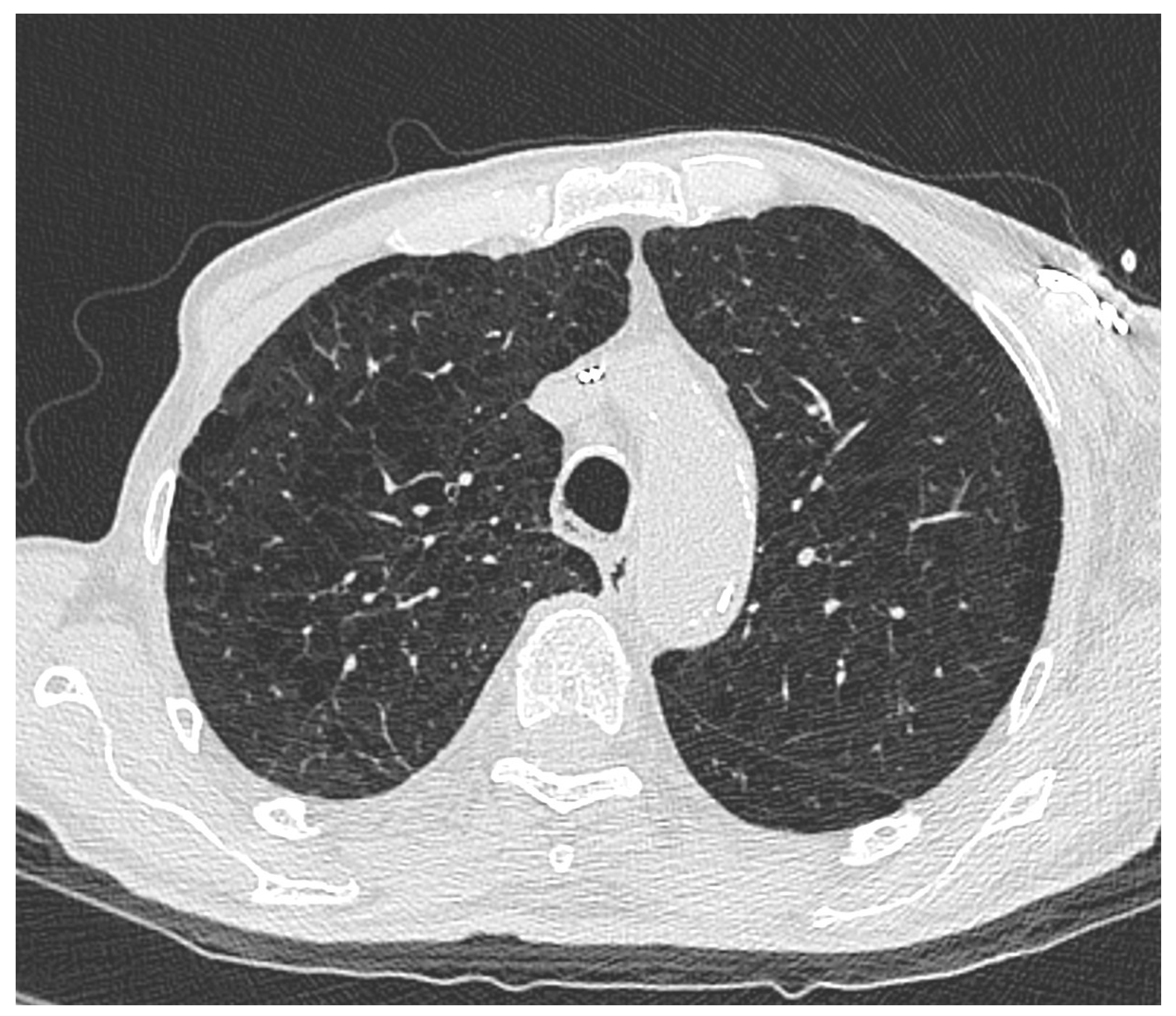
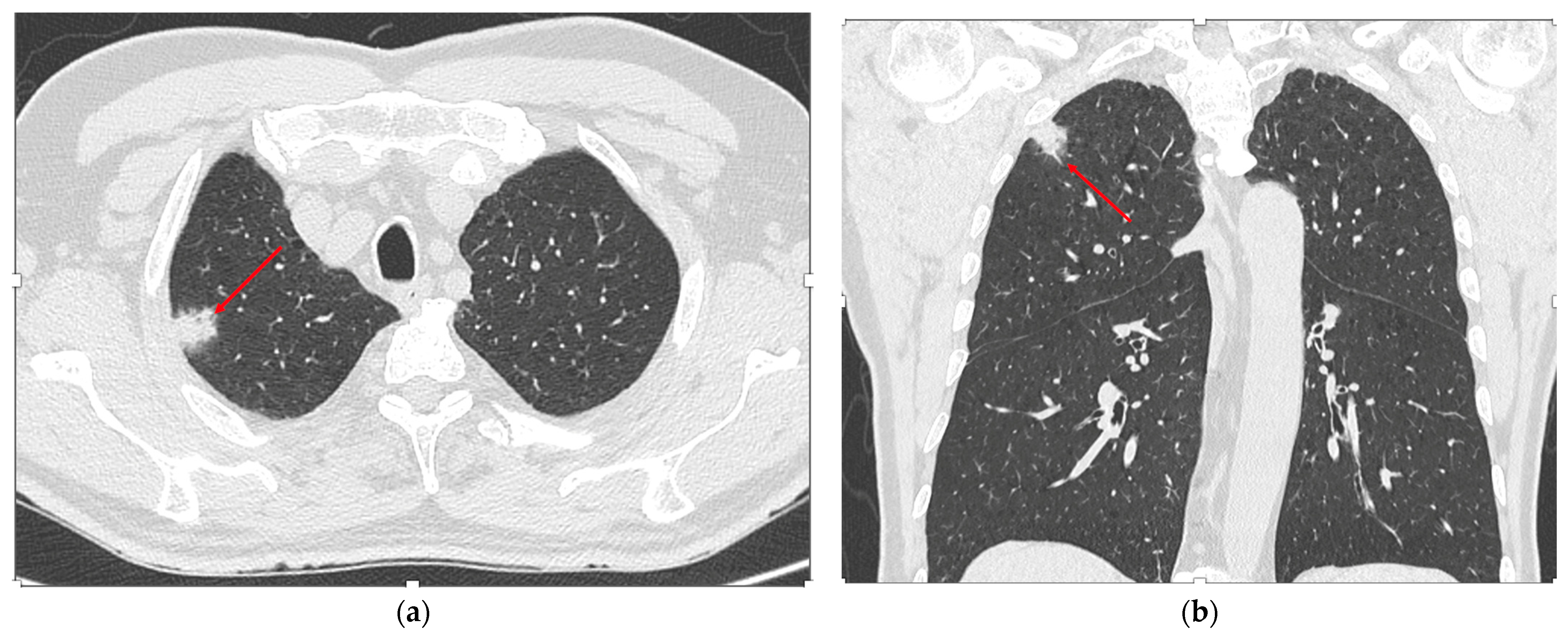
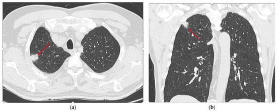
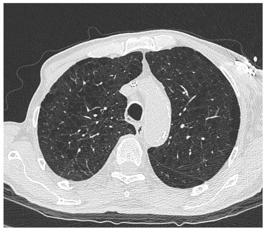
3. Results
4. Discussion
5. Conclusions
Author Contributions
Funding
Institutional Review Board Statement
Informed Consent Statement
Data Availability Statement
Acknowledgments
Conflicts of Interest
Abbreviations
| BC | Bladder Carcinoma |
| CAC | Coronary Artery Calcifications |
| CIS | Carcinoma In Situ |
| EAU | European Association of Urology |
| HGBC | High-Grade Bladder Carcinoma |
| HRCT | High-Resolution Computed Tomography |
| ILD | Interstitial Lung Disease |
| LC | Lung Cancer |
| LGBC | Low-Grade Bladder Carcinoma |
| MIBC | Muscle-Invasive Bladder Carcinoma |
| NMIBC | Non-Muscle-Invasive Bladder Carcinoma |
| p-SRD | Smoking-Related pulmonary Disease |
| SRD | Smoking Related Disease |
| TURB | Transurethral Resection of the Bladder |
References
- Sung, H.; Ferlay, J.; Siegel, R.L.; Laversanne, M.; Soerjomataram, I.; Jemal, A.; Bray, F. Global Cancer Statistics 2020: GLOBOCAN Estimates of Incidence and Mortality Worldwide for 36 Cancers in 185 Countries. CA Cancer J. Clin. 2021, 71, 209–249. [Google Scholar] [CrossRef] [PubMed]
- Larkins, M.C.; Pasli, M.; Bhatt, A.; Burke, A. Squamous Cell Carcinoma of the bladder: Demographics and Outcomes associated with Surgery and Radiotherapy. J. Surg. Oncol. 2024, 129, 649–658. [Google Scholar] [CrossRef]
- Mori, K.; Abufaraj, M.; Mostafaei, H.; Quhal, F.; Karakiewicz, P.I.; Briganti, A.; Kimura, S.; Egawa, S.; Shariat, S.F. A Systematic Review and Meta-Analysis of Variant Histology in Urothelial Carcinoma of the Bladder Treated with Radical Cystectomy. J. Urol. 2020, 204, 1129–1140. [Google Scholar] [CrossRef]
- Reddy, A.C.; Gu, J.Z.; Koo, B.H.; Fruh, V.; Sax, A.J. Urothelial Carcinoma: Epidemiology and Imaging-Based Review. R. I. Med. J. (2013) 2024, 107, 26–32. [Google Scholar] [PubMed]
- Tan, W.S.; Sarpong, R.; Khetrapal, P.; Rodney, S.; Mostafid, H.; Cresswell, J.; Hicks, J.; Rane, A.; Henderson, A.; Watson, D.; et al. Can Renal and Bladder Ultrasound Replace Computerized Tomography Urogram in Patients Investigated for Microscopic Hematuria? J. Urol. 2018, 200, 973–980. [Google Scholar] [CrossRef] [PubMed]
- Yafi, F.A.; Brimo, F.; Steinberg, J.; Aprikian, A.G.; Tanguay, S.; Kassouf, W. Prospective Analysis of Sensitivity and Specificity of Urinary Cytology and Other Urinary Biomarkers for Bladder Cancer. Urol. Oncol. Semin. Orig. Investig. 2015, 33, 25–31. [Google Scholar] [CrossRef] [PubMed]
- Compérat, E.; Amin, M.B.; Berney, D.M.; Cree, I.; Menon, S.; Moch, H.; Netto, G.J.; Rao, V.; Raspollini, M.R.; Rubin, M.A.; et al. What’s New in WHO Fifth Edition–Urinary Tract. Histopathology 2022, 81, 439–446. [Google Scholar] [CrossRef]
- De Jong, J.J.; Lotan, Y.; Boormans, J.L. Re: EAU Guidelines on Muscle-Invasive and Metastatic Bladder Cancer. Eur. Urol. 2024, 86, 480–481. [Google Scholar] [CrossRef]
- Babjuk, M.; Burger, M.; Capoun, O.; Cohen, D.; Compérat, E.M.; Dominguez Escrig, J.L.; Gontero, P.; Liedberg, F.; Masson-Lecomte, A.; Mostafid, A.H.; et al. European Association of Urology Guidelines on Non–Muscle-Invasive Bladder Cancer (Ta, T1, and Carcinoma in Situ). Eur. Urol. 2022, 81, 75–94. [Google Scholar] [CrossRef]
- Minami, T.; Fujita, K.; Hashimoto, M.; Nishimoto, M.; Adomi, S.; Banno, E.; Nozawa, M.; Nose, K.; Yoshimura, K.; Inada, M.; et al. External Beam Radiotherapy Combination Is a Risk Factor for Bladder Cancer in Patients with Prostate Cancer Treated with Brachytherapy. World J. Urol. 2023, 41, 1317–1321. [Google Scholar] [CrossRef]
- Bayne, C.E.; Farah, D.; Herbst, K.W.; Hsieh, M.H. Role of Urinary Tract Infection in Bladder Cancer: A Systematic Review and Meta-Analysis. World J. Urol. 2018, 36, 1181–1190. [Google Scholar] [CrossRef]
- Freedman, N.D. Association Between Smoking and Risk of Bladder Cancer Among Men and Women. JAMA 2011, 306, 737. [Google Scholar] [CrossRef]
- Christenson, S.A.; Smith, B.M.; Bafadhel, M.; Putcha, N. Chronic obstructive pulmonary disease. Lancet 2022, 399, 2227–2242. [Google Scholar] [CrossRef]
- Nasim, F.; Sabath, B.F.; Eapen, G.A. Lung Cancer. Med. Clin. N. Am. 2019, 103, 463–473. [Google Scholar] [CrossRef] [PubMed]
- Serrano Gotarredona, M.P.; Navarro Herrero, S.; Gómez Izquierdo, L.; Rodríguez Portal, J.A. Smoking-Related Interstitial Lung Disease. Radiologia (Engl. Ed.) 2022, 64 (Suppl. S3), 277–289. [Google Scholar] [CrossRef] [PubMed]
- Field, J.K.; Duffy, S.W.; Baldwin, D.R.; Brain, K.E.; Devaraj, A.; Eisen, T.; Green, B.A.; Holemans, J.A.; Kavanagh, T.; Kerr, K.M.; et al. The UK Lung Cancer Screening Trial: A Pilot Randomised Controlled Trial of Low-Dose Computed Tomography Screening for the Early Detection of Lung Cancer. Health Technol. Assess. 2016, 20, 1–146. [Google Scholar] [CrossRef] [PubMed]
- Kramer, B.S.; Berg, C.D.; Aberle, D.R.; Prorok, P.C. Lung Cancer Screening with Low-Dose Helical CT: Results from the National Lung Screening Trial (NLST). J. Med. Screen 2011, 18, 109–111. [Google Scholar] [CrossRef] [PubMed]
- Darrason, M.; Grolleau, E.; De Bermont, J.; Couraud, S. UKLS Trial: Looking beyond Negative Results. Lancet Reg. Health Eur. 2021, 10, 100184. [Google Scholar] [CrossRef]
- American College of Radiology Committee on Lung-RADS. Lung-RADS 2022. Available online: https://www.acr.org/-/media/ACR/Files/RADS/Lung-RADS/Lung-RADS-2022 (accessed on 19 September 2025).
- Lynch, D.A.; Austin, J.H.M.; Hogg, J.C.; Grenier, P.A.; Kauczor, H.-U.; Bankier, A.A.; Barr, R.G.; Colby, T.V.; Galvin, J.R.; Gevenois, P.A.; et al. CT-Definable Subtypes of Chronic Obstructive Pulmonary Disease: A Statement of the Fleischner Society. Radiology 2015, 277, 192–205. [Google Scholar] [CrossRef]
- Hecht, H.S.; Cronin, P.; Blaha, M.J.; Budoff, M.J.; Kazerooni, E.A.; Narula, J.; Yankelevitz, D.; Abbara, S. 2016 SCCT/STR Guidelines for Coronary Artery Calcium Scoring of Noncontrast Noncardiac Chest CT Scans: A Report of the Society of Cardiovascular Computed Tomography and Society of Thoracic Radiology. J. Cardiovasc. Comput. Tomogr. 2017, 11, 74–84. [Google Scholar] [CrossRef]
- Wang, Z.; Qiu, Y.; Ji, X.; Dong, L. Effects of Smoking Cessation on Individuals with COPD: A Systematic Review and Meta-Analysis. Front. Public Health 2024, 12, 1433269. [Google Scholar] [CrossRef]
- Lai, H.; Liu, Q.; Ye, Q.; Liang, Z.; Long, Z.; Hu, Y.; Wu, Q.; Jiang, M. Impact of Smoking Cessation Duration on Lung Cancer Mortality: A Systematic Review and Meta-Analysis. Crit. Rev. Oncol. /Hematol. 2024, 196, 104323. [Google Scholar] [CrossRef]
- Pezzuto, A.; Ricci, A.; D’Ascanio, M.; Moretta, A.; Tonini, G.; Calabrò, N.; Minoia, V.; Pacini, A.; De Paolis, G.; Chichi, E.; et al. Short-Term Benefits of Smoking Cessation Improve Respiratory Function and Metabolism in Smokers. Int. J. Chron. Obs. Pulmon Dis. 2023, 18, 2861–2865. [Google Scholar] [CrossRef]
- Lu, W.; Aarsand, R.; Schotte, K.; Han, J.; Lebedeva, E.; Tsoy, E.; Maglakelidze, N.; Soriano, J.B.; Bill, W.; Halpin, D.M.G.; et al. Tobacco and COPD: Presenting the World Health Organization (WHO) Tobacco Knowledge Summary. Respir. Res. 2024, 25, 338. [Google Scholar] [CrossRef] [PubMed]
- Brassington, K.; Selemidis, S.; Bozinovski, S.; Vlahos, R. Chronic Obstructive Pulmonary Disease and Atherosclerosis: Common Mechanisms and Novel Therapeutics. Clin. Sci. 2022, 136, 405–423. [Google Scholar] [CrossRef] [PubMed]
- Kotlyarov, S. The Role of Smoking in the Mechanisms of Development of Chronic Obstructive Pulmonary Disease and Atherosclerosis. Int. J. Mol. Sci. 2023, 24, 8725. [Google Scholar] [CrossRef] [PubMed]
- Libby, P. The Changing Landscape of Atherosclerosis. Nature 2021, 592, 524–533. [Google Scholar] [CrossRef]
- O’Dwyer, E.; Halpenny, D.F.; Ginsberg, M.S. Lung Cancer Screening in Patients with Previous Malignancy: Is This Cohort at Increased Risk for Malignancy? Eur. Radiol. 2021, 31, 458–467. [Google Scholar] [CrossRef]
- Tammemägi, M.C.; Ruparel, M.; Tremblay, A.; Myers, R.; Mayo, J.; Yee, J.; Atkar-Khattra, S.; Yuan, R.; Cressman, S.; English, J.; et al. USPSTF2013 versus PLCOm2012 Lung Cancer Screening Eligibility Criteria (International Lung Screening Trial): Interim Analysis of a Prospective Cohort Study. Lancet Oncol. 2022, 23, 138–148. [Google Scholar] [CrossRef]
- Tammemägi, M.C.; Katki, H.A.; Hocking, W.G.; Church, T.R.; Caporaso, N.; Kvale, P.A.; Chaturvedi, A.K.; Silvestri, G.A.; Riley, T.L.; Commins, J.; et al. Selection Criteria for Lung-Cancer Screening. N. Engl. J. Med. 2013, 368, 728–736. [Google Scholar] [CrossRef]



| Current Smokers (n = 28) | Former Smokers (n = 49) | Non-Smokers (n = 89) | Smokers vs. Non-Smokers OR (95% CI), p-Value | |
|---|---|---|---|---|
| Pulmonary SRDs | 16 | 17 | 20 | 2.59 (1.32–5.07), p < 0.01 |
| Moderate—severe emphysema | 14 | 4 | 6 | 4.22 (1.45–12.31), p < 0.01 |
| Suspicious nodule | 4 | 4 | 3 | 3.32 (0.79–13.91), p = 0.97 |
| Airway disease | 3 | 3 | 7 | 0.99 (0.32–3.08), p = 0.99 |
| ILD | 4 | 6 | 13 | 0.87 (0.32–2.36), p = 0.77 |
| Coronary artery calcifications | 14 | 28 | 44 | 1.54 (0.88–2.68), p = 0.13 |
| SRDs (Total) | 21 | 32 | 47 | 1.97 (1.04–3.74), p = 0.03 |
Disclaimer/Publisher’s Note: The statements, opinions and data contained in all publications are solely those of the individual author(s) and contributor(s) and not of MDPI and/or the editor(s). MDPI and/or the editor(s) disclaim responsibility for any injury to people or property resulting from any ideas, methods, instructions or products referred to in the content. |
© 2025 by the authors. Licensee MDPI, Basel, Switzerland. This article is an open access article distributed under the terms and conditions of the Creative Commons Attribution (CC BY) license (https://creativecommons.org/licenses/by/4.0/).
Share and Cite
Regazzo, R.; Ciccarese, F.; Paglialonga, S.; Renò, E.; Gaudiano, C.; Corcioni, B.; Chessa, F.; Schiavina, R.; Mosconi, C. High Prevalence of Smoking-Related Diseases in High-Grade and Muscle-Invasive Bladder Cancer: Opportunities for Lung Cancer Screening. Cancers 2025, 17, 3741. https://doi.org/10.3390/cancers17233741
Regazzo R, Ciccarese F, Paglialonga S, Renò E, Gaudiano C, Corcioni B, Chessa F, Schiavina R, Mosconi C. High Prevalence of Smoking-Related Diseases in High-Grade and Muscle-Invasive Bladder Cancer: Opportunities for Lung Cancer Screening. Cancers. 2025; 17(23):3741. https://doi.org/10.3390/cancers17233741
Chicago/Turabian StyleRegazzo, Riccardo, Federica Ciccarese, Simone Paglialonga, Elio Renò, Caterina Gaudiano, Beniamino Corcioni, Francesco Chessa, Riccardo Schiavina, and Cristina Mosconi. 2025. "High Prevalence of Smoking-Related Diseases in High-Grade and Muscle-Invasive Bladder Cancer: Opportunities for Lung Cancer Screening" Cancers 17, no. 23: 3741. https://doi.org/10.3390/cancers17233741
APA StyleRegazzo, R., Ciccarese, F., Paglialonga, S., Renò, E., Gaudiano, C., Corcioni, B., Chessa, F., Schiavina, R., & Mosconi, C. (2025). High Prevalence of Smoking-Related Diseases in High-Grade and Muscle-Invasive Bladder Cancer: Opportunities for Lung Cancer Screening. Cancers, 17(23), 3741. https://doi.org/10.3390/cancers17233741

