Results of the First Folate Receptor Alpha Testing Trial by the German Quality Assurance Initiative in Pathology (QuIP®)
Simple Summary
Abstract
1. Introduction
2. Materials and Methods
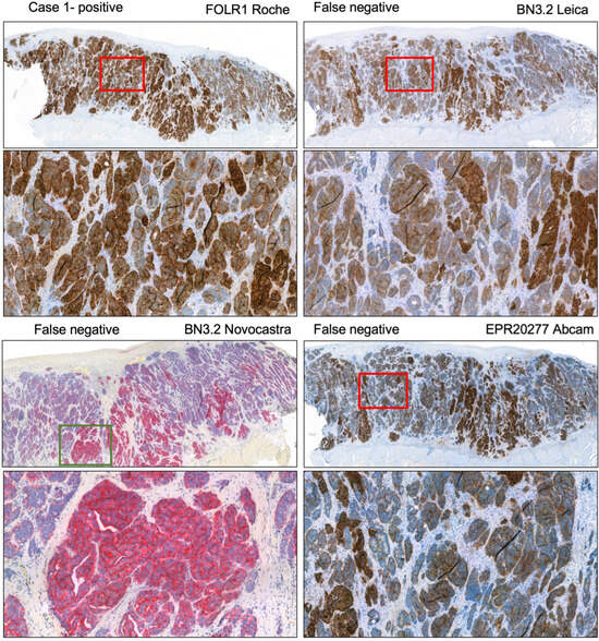
3. Results
3.1. Internal Proficiency Test by 2 Lead and 5 Panel Institutes
3.2. Open Proficiency Test Splits 1 and 2
4. Discussion
5. Conclusions
Supplementary Materials
Author Contributions
Funding
Institutional Review Board Statement
Informed Consent Statement
Data Availability Statement
Acknowledgments
Conflicts of Interest
Abbreviations
| ADC | Antibody–drug conjugate |
| CI | Confidence interval |
| EGFR | Epidermal growth factor receptor |
| EMA | European Medicines Agency |
| EOC | Epithelial ovarian carcinoma |
| FFPE | Formalin-fixed, paraffin-embedded |
| FDA | U.S. Food and Drug Administration |
| FOLR1 | Folate receptor 1 gene |
| FRα | Folate receptor alpha |
| HR | Hazard ratio |
| IHC | Immunohistochemistry |
| IVD | In vitro diagnostic |
| LDT | Laboratory-developed test |
| MVZ | Medizinisches Versorgungszentrum (medical care center) |
| NSCLC | Non-small cell lung cancer |
| ORR | Overall response rate |
| OS | Overall survival |
| PD-L1 | Programmed death-ligand 1 |
| PFS | Progression-free survival |
| QuIP® | Quality Assurance Initiative in Pathology |
| RxDx Assay | Companion diagnostic immunohistochemistry assay (Roche Ventana FOLR1-2.1) |
References
- Sabharanjak, S.; Mayor, S. Folate receptor endocytosis and trafficking. Adv. Drug Deliv. Rev. 2004, 56, 1099–1109. [Google Scholar] [CrossRef] [PubMed]
- Yao, C.; Evans, C.-O.; Stevens, V.L.; Owens, T.R.; Oyesiku, N.M. Folate receptor alpha regulates cell proliferation in mouse gonadotroph alphaT3-1 cells. Exp. Cell Res. 2009, 315, 3125–3132. [Google Scholar] [CrossRef] [PubMed]
- Siu, M.K.Y.; Kong, D.S.H.; Chan, H.Y.; Wong, E.S.Y.; Ip, P.P.C.; Jiang, L.; Ngan, H.Y.S.; Le, X.-F.; Cheung, A.N.Y. Paradoxical impact of two folate receptors, FRα and RFC, in ovarian cancer: Effect on cell proliferation, invasion and clinical outcome. PLoS ONE 2012, 7, e47201. [Google Scholar] [CrossRef] [PubMed]
- Scaranti, M.; Cojocaru, E.; Banerjee, S.; Banerji, U. Exploiting the folate receptor α in oncology. Nat. Rev. Clin. Oncol. 2020, 17, 349–359. [Google Scholar] [CrossRef] [PubMed]
- Markert, S.; Lassmann, S.; Gabriel, B.; Klar, M.; Werner, M.; Gitsch, G.; Kratz, F.; Hasenburg, A. Alpha-folate receptor expression in epithelial ovarian carcinoma and non-neoplastic ovarian tissue. Anticancer Res. 2008, 28, 3567–3572. [Google Scholar] [PubMed]
- Dilawari, A.; Shah, M.; Ison, G.; Gittleman, H.; Fiero, M.H.; Shah, A.; Hamed, S.S.; Qiu, J.; Yu, J.; Manheng, W.; et al. FDA Approval Summary: Mirvetuximab Soravtansine-Gynx for FRα-Positive, Platinum-Resistant Ovarian Cancer. Clin. Cancer Res. Off. J. Am. Assoc. Cancer Res. 2023, 29, 3835–3840. [Google Scholar] [CrossRef] [PubMed]
- Moore, K.N.; Antoine, A.; Konecny, G.E.; Yolanda, G.; Susana, B.; Domenica, L.; Jung-Yun, L.; Moroney, J.W.; Nicoletta, C.; Andrzej, R.; et al. Mirvetuximab Soravtansine in FRα-Positive, Platinum-Resistant Ovarian Cancer. N. Engl. J. Med. 2023, 389, 2162–2174. [Google Scholar] [CrossRef] [PubMed]
- Silverstein, J.; Smick, A.; Johnson, B.; Konecny, G.E. Mirvetuximab soravtansine for the treatment of epithelial ovarian, fallopian tube, or primary peritoneal cancer. Future Oncol. 2025, 21, 2143–2153. [Google Scholar] [CrossRef] [PubMed]
- Matulonis, U.A.; Lorusso, D.; Oaknin, A.; Pignata, S.; Dean, A.; Denys, H.; Colombo, N.; Van Gorp, T.; Konner, J.A.; Marin, M.R.; et al. Efficacy and Safety of Mirvetuximab Soravtansine in Patients with Platinum-Resistant Ovarian Cancer with High Folate Receptor Alpha Expression: Results from the SORAYA Study. J. Clin. Oncol. 2023, 41, 2436–2445. [Google Scholar] [CrossRef] [PubMed]
- Zannoni, G.F.; Angelico, G.; d’Amati, A.; D’Alessandris, N.; Scaglione, G.; Urtueta, B.P.; Ferrara, G.; Caliò, A.; Campisi, P.; De Leo, A.; et al. Interobserver Agreement in Immunohistochemical Evaluation of Folate Receptor Alpha (FRα) in Ovarian Cancer: A Multicentre Study. Int. J. Mol. Sci. 2025, 26, 7687. [Google Scholar] [CrossRef] [PubMed]
- Deutschman, E.; Fulton, R.; Sloss, C.M. Evaluation of Laboratory-Derived Immunohistochemical Assays for Folate Receptor α Expression in Epithelial Ovarian Cancer and Comparison with a Companion Diagnostic. Arch. Pathol. Lab. Med. 2025, 149, 930–937. [Google Scholar] [CrossRef] [PubMed]
- Büttner, R.; Gosney, J.R.; Skov, B.G.; Adam, J.; Motoi, N.; Bloom, K.J.; Dietel, M.; Longshore, J.W.; López-Ríos, F.; Penault-Llorca, F.; et al. Programmed Death-Ligand 1 Immunohistochemistry Testing: A Review of Analytical Assays and Clinical Implementation in Non-Small-Cell Lung Cancer. J. Clin. Oncol. Off. J. Am. Soc. Clin. Oncol. 2017, 35, 3867–3876. [Google Scholar] [CrossRef] [PubMed]
- Petersen, I.; Dietel, M.; Geilenkeuser, W.J.; Mireskandari, M.; Weichert, W.; Steiger, K.; Scheel, A.H.; Büttner, R.; Schirmacher, P.; Warth, A.; et al. EGFR immunohistochemistry as biomarker for antibody-based therapy of squamous NSCLC—Experience from the first ring trial of the German Quality Assurance Initiative for Pathology (QuIP®). Pathol. Res. Pract. 2017, 213, 1530–1535. [Google Scholar] [CrossRef] [PubMed]





| Lead Panel Institute 1 | Lead Panel Institute 2 | Panel Institute 1 | Panel Institute 2 | Panel Institute 3 | Panel Institute 4 | Panel Institute 5 | |
|---|---|---|---|---|---|---|---|
| Pretreatment | CC1 (Ventana/Roche, Tucson, AZ, USA) | CC1 (Ventana/Roche, Tucson, AZ, USA) | EnVision™ FLEX Target Retrieval Solution, High pH (Dako/Agilent, Glostrup, Denmark) | EnVision™ FLEX Target Retrieval Solution, Low pH (Dako/Agilent, Glostrup, Denmark) | EnVision™ FLEX Target Retrieval Solution, High pH (Dako/Agilent, Glostrup, Denmark) | Citrate buffer | CC1 (Ventana/Roche, Tucson, AZ, USA) |
| Antibody | FOLR1 (FOLR1-2.1) RxDx Assay (Ventana/Roche, Tucson, AZ, USA) | FOLR1 (FOLR1-2.1) RxDx Assay (Ventana/Roche, Tucson, AZ, USA) | BN3.2 (Novocastra, Newcastle upon Tyne, UK) | 26B3.F2 (BioCare Medical, Pacheco, CA, USA) | Polyclonal rabbit (Invitrogen, Carlsbad, CA, USA) | BN3.2 (Leica Biosystems, Newcastle upon Tyne, UK) | FOLR1 (FOLR1-2.1) RxDx Assay (Ventana/Roche, Tucson, AZ, USA) |
| IVD assay/LDT | CE IVD Assay FOLR1 (FOLR1-2.1) RxDx Assay (Ventana/Roche, Tucson, AZ, USA) | CE IVD Assay FOLR1 (FOLR1-2.1) RxDx Assay (Ventana/Roche, Tucson, AZ, USA) | Antibody: CE IVD marked—used as LDT | Antibody: CE IVD marked—used as LDT | Antibody: not CE IVD marked—used as LDT | Antibody: CE IVD marked—used as LDT | CE IVD Assay FOLR1 (FOLR1-2.1) RxDx Assay (Ventana/Roche, Tucson, AZ, USA) |
| Dilution (primary Ab) | RTU | RTU | 1:150 | RTU | 1:500 | 1:100 | RTU |
| Incubation time (primary Ab) | 32 min | 32 min | 30 min | 20 min | 30 min | 32 min | 32 min |
| Platform | VENTANA BenchMark ULTRA (Ventana/Roche, Tucson, AZ, USA) | VENTANA BenchMark ULTRA (Ventana/Roche, Tucson, AZ, USA) | Dako Omnis (Dako/Agilent, Glostrup, Denmark) | Dako Omnis (Dako/Agilent, Glostrup, Denmark) | Dako Omnis (Dako/Agilent, Glostrup, Denmark) | VENTANA BenchMark ULTRA (Ventana/Roche, Tucson, AZ, USA) | VENTANA BenchMark ULTRA (Ventana/Roche. Tucson, AZ, USA) |
| Detection system | OptiView DAB IHC Detection Kit (Ventana/Roche, Tucson, AZ, USA) | OptiView DAB IHC Detection Kit (Ventana/Roche, Tucson, AZ, USA) | EnVision FLEX HRP DAB (Dako/Agilent, Glostrup, Denmark) | EnVision FLEX HRP DAB (Dako/Agilent, Glostrup, Denmark) | EnVision FLEX HRP DAB (Dako/Agilent, Glostrup, Denmark) | ultraView Universal DAB Detection Kit (Ventana/Roche, Tucson, AZ, USA) | OptiView DAB IHC Detection Kit (Ventana/Roche, Tucson, AZ, USA) |
| n Total | n Successful | Success Rate | |
|---|---|---|---|
| Internal proficiency test | |||
| All submissions | 7 | 4 | 57% |
| Open proficiency test | |||
| Split 1 | 22 | 12 | 55% |
| Split 2 | 48 | 25 | 52% |
| All submissions (open proficiency test, including repeated participations) | 70 | 37 | 53% |
| Unique submissions (per institution) | 63 | 37 | 59% |
| Internal and openproficiency test combined | |||
| All submissions | 77 | 41 | 53% |
| Repeated submissions (internal and open proficiency test) | 9 | 6 | 67% |
| Unique submissions (per institution) | 68 | 41 | 60% |
| Supplier | Antibody | n Participants | Successful Submissions | Case-by-Case Problem Analysis | ||
|---|---|---|---|---|---|---|
| Staining | Interpretation | Both | ||||
| Roche Diagnostics | FOLR1 (FOLR1-2.1) RxDx Assay | 36 | 30 (83%) | 1 | 22 | 1 |
| Leica Biosystems | BN3.2 | 23 | 5 (22%) | 18 | 1 | 4 |
| Novocastra | BN3.2 | 8 | 2 (25%) | 4 | 2 | 2 |
| Cell Signaling | BN3.2 | 1 | 0 (0%) | 1 | 0 | 0 |
| Abcam | EPR20277 | 1 | 0 (0%) | 1 | 0 | 0 |
| Invitrogen | Polyclonal rabbit | 1 | 0 (0%) | 1 | 0 | 0 |
Disclaimer/Publisher’s Note: The statements, opinions and data contained in all publications are solely those of the individual author(s) and contributor(s) and not of MDPI and/or the editor(s). MDPI and/or the editor(s) disclaim responsibility for any injury to people or property resulting from any ideas, methods, instructions or products referred to in the content. |
© 2025 by the authors. Licensee MDPI, Basel, Switzerland. This article is an open access article distributed under the terms and conditions of the Creative Commons Attribution (CC BY) license (https://creativecommons.org/licenses/by/4.0/).
Share and Cite
Scheiter, A.; Mattern, S.; Gassenmaier, V.; Schildhaus, H.-U.; Christgen, M.; Kreipe, H.; Herbst, H.; Lambert, B.; Sauter, G.; Lennartz, M.; et al. Results of the First Folate Receptor Alpha Testing Trial by the German Quality Assurance Initiative in Pathology (QuIP®). Cancers 2025, 17, 3703. https://doi.org/10.3390/cancers17223703
Scheiter A, Mattern S, Gassenmaier V, Schildhaus H-U, Christgen M, Kreipe H, Herbst H, Lambert B, Sauter G, Lennartz M, et al. Results of the First Folate Receptor Alpha Testing Trial by the German Quality Assurance Initiative in Pathology (QuIP®). Cancers. 2025; 17(22):3703. https://doi.org/10.3390/cancers17223703
Chicago/Turabian StyleScheiter, Alexander, Sven Mattern, Verena Gassenmaier, Hans-Ulrich Schildhaus, Matthias Christgen, Hans Kreipe, Hermann Herbst, Bettina Lambert, Guido Sauter, Maximilian Lennartz, and et al. 2025. "Results of the First Folate Receptor Alpha Testing Trial by the German Quality Assurance Initiative in Pathology (QuIP®)" Cancers 17, no. 22: 3703. https://doi.org/10.3390/cancers17223703
APA StyleScheiter, A., Mattern, S., Gassenmaier, V., Schildhaus, H.-U., Christgen, M., Kreipe, H., Herbst, H., Lambert, B., Sauter, G., Lennartz, M., Jöhrens, K., Sperling, F., Soleiman, A., Erber, R., Singer, S., Staebler, A., & Utpatel, K. (2025). Results of the First Folate Receptor Alpha Testing Trial by the German Quality Assurance Initiative in Pathology (QuIP®). Cancers, 17(22), 3703. https://doi.org/10.3390/cancers17223703

