Impact of Optimized Ku–DNA Binding Inhibitors on the Cellular and In Vivo DNA Damage Response
Abstract
Simple Summary
Abstract
1. Introduction
2. Materials and Methods
2.1. Chemistry and Drug Reconstitution
2.2. Protein Purification and Preparation
2.3. Biophysical Analysis
2.3.1. Microscale Thermophoresis (MST)
2.3.2. nanoDifferential Scanning Fluorometry (nanoDSF)
2.4. Biochemical Activity Assays
2.5. Cell Lines and Cell Culture
2.6. Determination of Cellular Drug Uptake
2.7. Cell Viability Assay Assessment
2.8. Cell Irradiation and Clonogenic Survival Assays
2.9. Cancer Cell Line-Derived Xenograft (CDX) Model Studies
2.10. Protein Extraction and Western Blotting
2.11. Preparation of Nuclear Extracts from Cellular Lysates or Tissue
2.12. Electrophoresis and Western Blotting
2.13. Tissue Sections and Immunohistochemistry (IHC) Staining
2.14. Statistical Analysis
3. Results
3.1. Identification of Novel Oxindole Ku-DBis
3.2. Quantitative Biophysical Analyses of Novel Oxindole Ku-DBis
3.3. Cellular Effect of Ku Inhibition—Single-Agent Cellular Activity across NSCLC Cell Lines
3.4. Combination Studies in NSCLC Cells
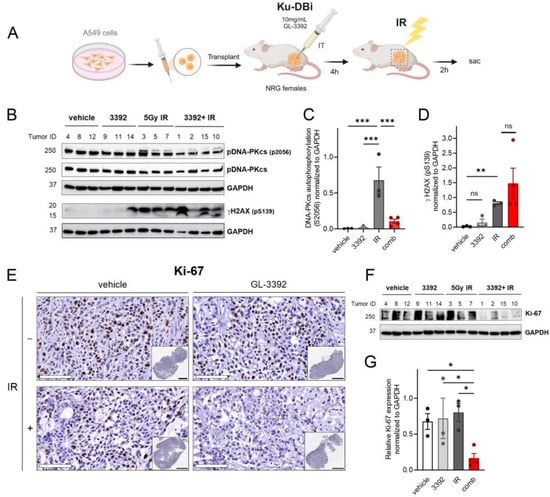
3.5. Ku-DBi Impact on DDR and Cellular Proliferation In Vivo
4. Discussion
5. Conclusions
Supplementary Materials
Author Contributions
Funding
Institutional Review Board Statement
Informed Consent Statement
Data Availability Statement
Acknowledgments
Conflicts of Interest
References
- Blackford, A.N.; Jackson, S.P. ATM, ATR, and DNA-PK: The Trinity at the Heart of the DNA Damage Response. Mol. Cell 2017, 66, 801–817. [Google Scholar] [CrossRef] [PubMed]
- Jeggo, P.A.; Geuting, V.; Lobrich, M. The role of homologous recombination in radiation-induced double-strand break repair. Radiother. Oncol. 2011, 101, 7–12. [Google Scholar] [CrossRef] [PubMed]
- Novotny, J.P.; Marino-Enriquez, A.; Fletcher, J.A. Targeting DNA-PK. Cancer Treat. Res. 2023, 186, 299–312. [Google Scholar] [PubMed]
- Pawelczak, K.S.; Gavande, N.S.; VanderVere-Carozza, P.S.; Turchi, J.J. Modulating DNA Repair Pathways to Improve Precision Genome Engineering. ACS Chem. Biol. 2018, 13, 389–396. [Google Scholar] [CrossRef]
- Gavande, N.S.; VanderVere-Carozza, P.S.; Pawelczak, K.S.; Mendoza-Munoz, P.; Vernon, T.L.; Hanakahi, L.A.; Summerlin, M.; Dynlacht, J.R.; Farmer, A.H.; Sears, C.R.; et al. Discovery and development of novel DNA-PK inhibitors by targeting the unique Ku-DNA interaction. Nucleic Acids Res. 2020, 48, 11536–11550. [Google Scholar] [CrossRef]
- Mendoza-Munoz, P.L.; Gavande, N.S.; VanderVere-Carozza, P.S.; Pawelczak, K.S.; Dynlacht, J.R.; Garrett, J.E.; Turchi, J.J. Ku-DNA binding inhibitors modulate the DNA damage response in response to DNA double-strand breaks. NAR Cancer 2023, 5, zcad003. [Google Scholar] [CrossRef]
- Pawelczak, K.S.; Andrews, B.J.; Turchi, J.J. Differential activation of DNA-PK based on DNA strand orientation and sequence bias. Nucleic Acids Res. 2005, 33, 152–161. [Google Scholar] [CrossRef]
- Ji, J.; Dragojevic, S.; Callaghan, C.M.; Smith, E.J.; Talele, S.; Zhang, W.; Connors, M.A.; Mladek, A.C.; Hu, Z.; Bakken, K.K.; et al. Differential Distribution of the DNA-PKcs Inhibitor Peposertib Selectively Radiosensitizes Patient-derived Melanoma Brain Metastasis Xenografts. Mol. Cancer Ther. 2024, 23, 662–671. [Google Scholar] [CrossRef]
- Berger, I.; Tolzer, C.; Gupta, K. The MultiBac system: A perspective. Emerg. Top. Life Sci. 2019, 3, 477–482. [Google Scholar]
- VanderVere-Carozza, P.S.; Gavande, N.S.; Jalal, S.I.; Pollok, K.E.; Ekinci, E.; Heyza, J.; Patrick, S.M.; Masters, A.; Turchi, J.J.; Pawelczak, K.S. In Vivo Targeting Replication Protein A for Cancer Therapy. Front. Oncol. 2022, 12, 826655. [Google Scholar] [CrossRef]
- Abmayr, S.M.; Yao, T.; Parmely, T.; Workman, J.L. Preparation of nuclear and cytoplasmic extracts from mammalian cells. Curr. Protoc. Mol. Biol. 2006, 75, 12.1.1–12.1.10. [Google Scholar] [CrossRef]
- Gontier, A.; Varela, P.F.; Nemoz, C.; Ropars, V.; Aumont-Nicaise, M.; Desmadril, M.; Charbonnier, J.B. Measurements of Protein-DNA Complexes Interactions by Isothermal Titration Calorimetry (ITC) and Microscale Thermophoresis (MST). Methods Mol. Biol. 2021, 2247, 125–143. [Google Scholar] [PubMed]
- Gao, Y.; Chaudhuri, J.; Zhu, C.; Davidson, L.; Weaver, D.T.; Alt, F.W. A targeted DNA-PKcs-null mutation reveals DNA-PK-independent functions for KU in V(D)J recombination. Immunity 1998, 9, 367–376. [Google Scholar] [CrossRef] [PubMed]
- Zhou, X.Y.; Wang, X.; Wang, H.Y.; Chen, D.J.; Li, G.C.; Iliakis, G.; Wang, Y. Ku affects the ATM-dependent S phase checkpoint following ionizing radiation. Oncogene 2002, 21, 6377–6381. [Google Scholar] [CrossRef] [PubMed][Green Version]
- Ianevski, A.; Giri, A.K.; Aittokallio, T. SynergyFinder 3.0: An interactive analysis and consensus interpretation of multi-drug synergies across multiple samples. Nucleic Acids Res. 2022, 50, W739–W743. [Google Scholar] [CrossRef] [PubMed]
- Kciuk, M.; Gielecinska, A.; Mujwar, S.; Kolat, D.; Kaluzinska-Kolat, Z.; Celik, I.; Kontek, R. Doxorubicin-An Agent with Multiple Mechanisms of Anticancer Activity. Cells 2023, 12, 659. [Google Scholar] [CrossRef]
- Cong, K.; Peng, M.; Kousholt, A.N.; Lee, W.T.C.; Lee, S.; Nayak, S.; Krais, J.; VanderVere-Carozza, P.S.; Pawelczak, K.S.; Calvo, J.; et al. Replication gaps are a key determinant of PARP inhibitor synthetic lethality with BRCA deficiency. Mol. Cell 2021, 81, 3128–3144. [Google Scholar] [CrossRef]
- Cong, K.; Cantor, S.B. Exploiting replication gaps for cancer therapy. Mol. Cell 2022, 82, 2363–2369. [Google Scholar] [CrossRef]
- Lim, P.X.; Zaman, M.; Feng, W.; Jasin, M. BRCA2 promotes genomic integrity and therapy resistance primarily through its role in homology-directed repair. Mol. Cell 2024, 84, 447–462. [Google Scholar] [CrossRef]
- Feng, W.; Jasin, M. Homologous Recombination and Replication Fork Protection: BRCA2 and More! Cold Spring Harb. Symp. Quant. Biol. 2017, 82, 329–338. [Google Scholar] [CrossRef]
- Pilie, P.G.; Gay, C.M.; Byers, L.A.; O’Connor, M.J.; Yap, T.A. PARP Inhibitors: Extending Benefit Beyond BRCA-Mutant Cancers. Clin. Cancer Res. 2019, 25, 3759–3771. [Google Scholar] [CrossRef]
- Davidson, D.; Amrein, L.; Panasci, L.; Aloyz, R. Small Molecules, Inhibitors of DNA-PK, Targeting DNA Repair, and Beyond. Front. Pharmacol. 2013, 4, 5. [Google Scholar] [CrossRef] [PubMed]
- Ihmaid, S.K.; Al-Rawi, J.M.; Bradley, C.J.; Angove, M.J.; Robertson, M.N. Synthesis, DNA-PK inhibition, anti-platelet activity studies of 2-(N-substituted-3-aminopyridine)-substituted-1,3-benzoxazines and DNA-PK and PI3K inhibition, homology modelling studies of 2-morpholino-(7,8-di and 8-substituted)-1,3-benzoxazines. Eur. J. Med. Chem. 2012, 57, 85–101. [Google Scholar] [CrossRef]
- Fiorillo, M.; Ozsvari, B.; Sotgia, F.; Lisanti, M.P. High ATP Production Fuels Cancer Drug Resistance and Metastasis: Implications for Mitochondrial ATP Depletion Therapy. Front. Oncol. 2021, 11, 740720. [Google Scholar] [CrossRef] [PubMed]
- Romesser, P.B.; Capdevila, J.; Garcia-Carbonero, R.; Philip, T.; Fernandez, M.C.; Tuli, R.; Rodriguez-Gutierrez, A.; Kuipers, M.; Becker, A.; Coenen-Stass, A.; et al. A Phase Ib Study of the DNA-PK Inhibitor Peposertib Combined with Neoadjuvant Chemoradiation in Patients with Locally Advanced Rectal Cancer. Clin. Cancer Res. 2024, 30, 695–702. [Google Scholar] [CrossRef] [PubMed]
- Samuels, M.; Falkenius, J.; Bar-Ad, V.; Dunst, J.; van Triest, B.; Yachnin, J.; Rodriguez-Gutierrez, A.; Kuipers, M.; You, X.; Sarholz, B.; et al. A Phase 1 Study of the DNA-PK Inhibitor Peposertib in Combination with Radiation Therapy with or without Cisplatin in Patients with Advanced Head and Neck Tumors. Int. J. Radiat. Oncol. Biol. Phys. 2024, 118, 743–756. [Google Scholar] [CrossRef]
- Zhao, J.L.; Antonarakis, E.S.; Cheng, H.H.; George, D.J.; Aggarwal, R.; Riedel, E.; Sumiyoshi, T.; Schonhoft, J.D.; Anderson, A.; Mao, N.; et al. Phase 1b study of enzalutamide plus CC-115, a dual mTORC1/2 and DNA-PK inhibitor, in men with metastatic castration-resistant prostate cancer (mCRPC). Br. J. Cancer 2024, 130, 53–62. [Google Scholar] [CrossRef]
- Klaeger, S.; Heinzlmeir, S.; Wilhelm, M.; Polzer, H.; Vick, B.; Koenig, P.A.; Reinecke, M.; Ruprecht, B.; Petzoldt, S.; Meng, C.; et al. The target landscape of clinical kinase drugs. Science 2017, 358, eaan4368. [Google Scholar] [CrossRef]
- Davis, M.I.; Hunt, J.P.; Herrgard, S.; Ciceri, P.; Wodicka, L.M.; Pallares, G.; Hocker, M.; Treiber, D.K.; Zarrinkar, P.P. Comprehensive analysis of kinase inhibitor selectivity. Nat. Biotechnol. 2011, 29, 1046–1051. [Google Scholar] [CrossRef]
- Chaplin, A.K.; Hardwick, S.W.; Stavridi, A.K.; Buehl, C.J.; Goff, N.J.; Ropars, V.; Liang, S.; De Oliveira, T.M.; Chirgadze, D.Y.; Meek, K.; et al. Cryo-EM of NHEJ supercomplexes provides insights into DNA repair. Mol. Cell 2021, 81, 3400–3409. [Google Scholar] [CrossRef]
- Kelm, J.M.; Samarbakhsh, A.; Pillai, A.; VanderVere-Carozza, P.S.; Aruri, H.; Pandey, D.S.; Pawelczak, K.S.; Turchi, J.J.; Gavande, N.S. Recent Advances in the Development of Non-PIKKs Targeting Small Molecule Inhibitors of DNA Double-Strand Break Repair. Front. Oncol. 2022, 12, 850883. [Google Scholar] [CrossRef] [PubMed]
- Yan, C.; Higgins, P.J. Drugging the undruggable: Transcription therapy for cancer. Biochim. Biophys. Acta 2013, 1835, 76–85. [Google Scholar] [CrossRef] [PubMed]
- Walker, J.R.; Corpina, R.A.; Goldberg, J. Structure of the Ku heterodimer bound to DNA and its implications for double-strand break repair. Nature 2001, 412, 607–614. [Google Scholar] [CrossRef] [PubMed]
- De, M.M.; Merino, N.; Barrera-Vilarmau, S.; Crehuet, R.; Onesti, S.; Blanco, F.J.; De Biasio, A. Structural basis of human PCNA sliding on DNA. Nat. Commun. 2017, 8, 13935. [Google Scholar]
- Abid, A.F.; Renault, L.; Gannon, J.; Gahlon, H.L.; Kotecha, A.; Zhou, J.C.; Rueda, D.; Costa, A. Cryo-EM structures of the eukaryotic replicative helicase bound to a translocation substrate. Nat. Commun. 2016, 7, 10708. [Google Scholar] [CrossRef]






| Ku-DBi | Ku 70/80 IC50 (µM) a | DNA-PK IC50 (µM) b |
|---|---|---|
| GL-3392 | 4.15 ± 1.07 | 0.77 ± 0.19 |
| GL-3618 | 3.36 ± 0.89 | 1.72 ± 0.15 |
| GL-3395 | 2.41 ± 0.77 | 0.77 ± 0.24 |
| GL-3649 | 3.55 ± 0.40 | 1.74 ± 0.61 |
| Cancer Type | Cell Line | Inhibitor | IC50 (µM) a | Cell Viability at 25 µM (%ctrl) |
|---|---|---|---|---|
| NSCLC | H460 | GL-3392 | 7.7 ± 0.6 | 12.3 ± 0.6 |
| NU-7441 | 4.8 ± 1.0 | 8.3 ± 0.1 | ||
| A549 | GL-3392 | >50 | 46.2 ± 3.8 | |
| NU-7441 | 4.6 + 0.9 | 13.6 ± 1.4 | ||
| H23 | GL-3392 | 8.0 ± 0.6 | 12.7 ± 0.7 | |
| NU-7441 | 2.2 ± 0.1 | 4.8 ± 0.5 | ||
| H1299 | GL-3392 | >50 | 89.9 ± 10.1 | |
| NU-7441 | 4.0 ± 0.9 | 17.8 ± 5.4 | ||
| TNBC | MDA-468 | GL-3392 | 10.4 ± 1.5 | 29.4 ± 1.3 |
| NU-7441 | 5.2 ± 0.4 | 4.1 ± 0.9 | ||
| MDA-436 | GL-3392 | 22.2 ± 1.4 | 43.9 ± 2.6 | |
| NU-7441 | 8.1 ± 0.9 | 17.8 ± 1.3 |
Disclaimer/Publisher’s Note: The statements, opinions and data contained in all publications are solely those of the individual author(s) and contributor(s) and not of MDPI and/or the editor(s). MDPI and/or the editor(s) disclaim responsibility for any injury to people or property resulting from any ideas, methods, instructions or products referred to in the content. |
© 2024 by the authors. Licensee MDPI, Basel, Switzerland. This article is an open access article distributed under the terms and conditions of the Creative Commons Attribution (CC BY) license (https://creativecommons.org/licenses/by/4.0/).
Share and Cite
Mendoza-Munoz, P.L.; Kushwaha, N.D.; Chauhan, D.; Ali Gacem, K.B.; Garrett, J.E.; Dynlacht, J.R.; Charbonnier, J.-B.; Gavande, N.S.; Turchi, J.J. Impact of Optimized Ku–DNA Binding Inhibitors on the Cellular and In Vivo DNA Damage Response. Cancers 2024, 16, 3286. https://doi.org/10.3390/cancers16193286
Mendoza-Munoz PL, Kushwaha ND, Chauhan D, Ali Gacem KB, Garrett JE, Dynlacht JR, Charbonnier J-B, Gavande NS, Turchi JJ. Impact of Optimized Ku–DNA Binding Inhibitors on the Cellular and In Vivo DNA Damage Response. Cancers. 2024; 16(19):3286. https://doi.org/10.3390/cancers16193286
Chicago/Turabian StyleMendoza-Munoz, Pamela L., Narva Deshwar Kushwaha, Dineshsinha Chauhan, Karim Ben Ali Gacem, Joy E. Garrett, Joseph R. Dynlacht, Jean-Baptiste Charbonnier, Navnath S. Gavande, and John J. Turchi. 2024. "Impact of Optimized Ku–DNA Binding Inhibitors on the Cellular and In Vivo DNA Damage Response" Cancers 16, no. 19: 3286. https://doi.org/10.3390/cancers16193286
APA StyleMendoza-Munoz, P. L., Kushwaha, N. D., Chauhan, D., Ali Gacem, K. B., Garrett, J. E., Dynlacht, J. R., Charbonnier, J.-B., Gavande, N. S., & Turchi, J. J. (2024). Impact of Optimized Ku–DNA Binding Inhibitors on the Cellular and In Vivo DNA Damage Response. Cancers, 16(19), 3286. https://doi.org/10.3390/cancers16193286

