Therapeutical Usefulness of PD-1/PD-L1 Inhibitors in Aggressive or Metastatic Pituitary Tumours
Abstract
Simple Summary
Abstract
1. Introduction
2. Materials and Methods
2.1. Search Methodology and Selection of the Studies and Case Reports
2.2. Demographic, Clinicopathological, Biochemical, and Radiological Features
2.3. Statistical Analysis
3. Results
3.1. Demographics, Clinical Features, PD-L1 Expression Status, and Prior Treatments
| Case Report | Sex | Age at Diagnosis/Age at Anti-PD-1 Treatment (Years) | PitNET Subtype | PD-L1 Status | Previous Treatment | Anti-PD-1 Drug and Dose | Number of Cycles | Radiological Response | Biochemical Response | Survival after the Start/End of Anti-PD-1 Drug (Months) |
|---|---|---|---|---|---|---|---|---|---|---|
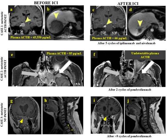
| Lin et al. [37], 2018 J Clin Endocrinol Metab (PMID: 30085142) Lin et al. [14], 2021 J Endocr Soc (PMID: 4466766) | F | 35 | ACTH-PitNET (metastatic) | - | NS (4x), RT (3x), PAS, KET, CAB/KET, MIF, MET, BA, CAPTEM (4 + 2 cycles), Carboplatin/Etoposide, MS, RT metastasis (2x), PRRT | IPI 3 mg/kg + NIVO 1 mg/kg 3/3 weeks IPI 3 mg/kg + NIVO 1 mg/kg 3/3 weeks NIVO 3 mg/kg 3/3 weeks IPI 3 mg/kg + NIVO 1 mg/kg 3/3 weeks | 5 4 4 | Partial response Partial response Dissociated response with partial response of metastasis and tumour growth | Partial response, followed by progression Stable Stable | 42 |
| Caccese et al. [38], 2020 Anticancer Drugs (PMID: 31702999) | M | 47 | ACTH-PitNET * | - | NS (3x), RT, PAS, TMZ (6cycles) | Pembrolizumab 200 mg | 4 | Progression | Progression | NA |
| Duhamel et al. [39], 2020 J Pers Med (PMID: 32823651) | M | 60/68 | PRL-PitNET | - | CAB, NS (3x), RT (50.4 Gy), PAS, TMZ (6 cycles) | IPI 1 mg/kg + NIVO 3 mg/kg 3/3 weeks | 2 | Progression after 2 cycles | Progression after 1 cycle | 13/12 † |
| Duhamel et al. [39], 2020 J Pers Med (PMID: 32823651) | F | 42/60 | ACTH-PitNET (metastatic) | - | NS (3x), RT (50 + 25 + 45 Gy), TMZ (10 + 3 cycles), PAS, CAB, hydroxyurea | IPI 1 mg/kg + NIVO 3 mg/kg 3/3 weeks NIVO 3 mg/kg 2/2 weeks | 5 21 | Dissociated response with tumour growth and partial response of metastasis, followed by new metastasis | Partial response, followed by progression | 14 † |
| Lamb et al. [40], 2020 Front Endocrinol (PMID: 33312158) | F | 72 | NF-PitNET (metastatic) | - | NS (3x), RT, RT metastasis, MS,TMZ (3cycles) | IPI 3 mg/kg + NIVO 1 mg/kg thrice weekly NIVO 3 mg/kg thrice weekly IPI 3 mg/kg + NIVO 1 mg/kg thrice weekly | 2 17 4 | Partial response, followed by progression Progression | n/a n/a | 23/3 |
| Majd et al. [41], 2020 J Immunother Cancer (PMID: 33427689) | M | Mid 30s | ACTH-PitNET (metastatic) | - | NS (3x), RT, RT metastasis, BA, TMZ (16 + 8 cycles), CAPTEM (1 + 4 cycles), MS, FGFR inhibitor (2 cycles), CCNU + BVZ (1 cycle) | Pembrolizumab 200 mg | 29 | Partial response | Complete response | 42/22 |
| Majd et al. [41], 2020 J Immunother Cancer (PMID: 33427689) | F | Early 20s | ACTH-PitNET (metastatic) | - | NS (2x), RT, BA, PAS, TMZ (7 cycles), CAPTEM (7 cycles) | Pembrolizumab 200 mg | 15 | Partial response | Immediate progression followed by partial response | 12 |
| Majd et al. [41], 2020 J Immunother Cancer (PMID: 33427689) | M | Late teens | NF-PitNET (metastatic) | - | NS (4x), RT, RT metastasis, TMZ (12 + 7 + 2 cycles), IDO1 inhibitor (11 cycles) | Pembrolizumab 200 mg | 6 | Stable | n/a | 4 |
| Majd et al. [41], 2020 J Immunother Cancer (PMID: 33427689) | F | Early 50s | PRL-PitNET (metastatic) | - | NS, RT, RT metastasis, CAB, Cisplatin/Etoposide, TMZ (12 + 2 cycles), CAPTEM (2 cycles) | Pembrolizumab 200 mg | 6 | Progression | Progression | 4 † |
| Sol et al. [42], 2021 Eur J Endocrinol (PMID: 33112279) | M | 41/48 | ACTH-PitNET (metastatic) | NA | NS (2x), RT (2x), KET PAS, CAB, BA, TMZ (3 + 9 cycles) | IPI 3 mg/kg + NIVO 1 mg/kg 3/3 weeks NIVO 240 mg 2/2 weeks | 4 | Stable | Partial response | 12 |
| Burman et al. [35], 2022 Eur J Endocrinol (PMID: 36018781) | NA | NA | ACTH-PitNET | + | NA | NA | NA | Progression | NA | NA |
| Burman et al. [35], 2022 Eur J Endocrinol (PMID: 36018781) | NA | NA | ACTH-PitNET (metastatic) | NA | NA | NA | NA | Progression | NA | NA |
| Burman et al. [35], 2022 Eur J Endocrinol (PMID: 36018781) | NA | NA | ACTH-PitNET (metastatic) | NA | NA | NA | NA | Progression | NA | NA |
| Ilie et al. [4], 2022 Endocr Relat Cancer (PMID: 35521777) | M | 55/66 | ACTH-PitNET * | NA | NS (2x), RT (30 + 15 Gy), TMZ (23 + 8 + 12 cycles), BA | IPI 1 mg/kg + NIVO 3 mg/kg 3/3 weeks | 4 | Progression after 3 cycles | Progression after 4 cycles | 14/12 |
| Ilie et al. [4], 2022 Endocr Relat Cancer (PMID: 35521777) | M | 51/73 | NF- PitNET | + | NS (5x), RT (15 + 45 Gy), CAB, TMZ (3 cycles) | IPI 3 mg/kg + NIVO 1 mg/kg 3/3 weeks NIVO 3 mg/kg | 5 1 | Stable, followed by tumour growth | n/a | 8/3 † |
| Ilie et al. [4], 2022 Endocr Relat Cancer (PMID: 35521777) | F | 67/78 | PRL-PitNET | - | NS (2x), CAB, TMZ (2x), PAS, TMZ + BVZ | IPI 1 mg/kg + NIVO 3 mg/kg 3/3 weeks | 4 | Stable, followed by tumour growth | Progression after 2 cycles | 13/11 |
| Ilie et al. [4], 2022 Endocr Relat Cancer (PMID: 35521777) | F | 63/72 | ACTH-PitNET | + | NS, RT (30 Gy), CAB, PAS, quinagolide, TMZ (17 cycles), BA | IPI 1 mg/kg + NIVO 3 mg/kg 3/3 weeks | 5 | Stable, followed by tumour growth | Progression after 2 cycles | 11/8 |
| Ilie et al. [4], 2022 Endocr Relat Cancer (PMID: 35521777) | M | 39/44 | ACTH-PitNET ** | - | NS (2x),RT (54 Gy), TMZ (11 cycles) | NIVO 480 mg 4/4 weeks IPI 1 mg/kg 3/3 weeks | 5 3 | Stable, followed by disease progression | n/a | 20/12 |
| Ilie et al. [4], 2022 Endocr Relat Cancer (PMID: 35521777) | F | 13/31 | ACTH-PitNET | - | NS, RT (25 Gy), TMZ (12 + 7 cycles) | IPI 1 mg/kg + NIVO 3 mg/kg 3/3 weeks NIVO 3 mg/kg 2/2 weeks | 4 25 | Stable disease | NA | 15 |
| Ilie et al. [4], 2022 Endocr Relat Cancer (PMID: 35521777) | M | 62/75 | PRL-PitNET | + | CAB, NS (3x), RT (54 Gy), TMZ (7 cycles) | IPI 1 mg/kg + NIVO 3 mg/kg 3/3 weeks NIVO 480 mg 4/4 weeks | 4 3 | Stable, followed by tumour growth | Partial response followed by progression | 13/3 |
| Ilie et al. [4], 2022 Endocr Relat Cancer (PMID: 35521777) | M | 35/43 | ACTH-PitNET (metastatic) | - | NS (2x), RT (50.4 Gy), TMZ (9 cycles), PAS, everolimus, sunitinib | IPI 1 mg/kg + NIVO 3 mg/kg 3/3 weeks | 4 | Progression | NA | 11/9 |
| Ilie et al. [4], 2022 Endocr Relat Cancer (PMID: 35521777) | F | 41/54 | ACTH-PitNET | - | NS (3x), RT (50 Gy), CAB, PAS, BA, TMZ (21 + 6 cycles) | NIVO 240 mg 2/2 weeks IPI 1 mg/kg 3/3 weeks | 4 4 | Stable, followed by disease progression | Stable, followed by disease progression | 12/7 |
| Ilie et al. [4], 2022 Endocr Relat Cancer (PMID: 35521777) | M | 26/39 | PRL-PitNET (metastatic) | NA | CAB, NS (2x), MS, RT (54 Gy), RT metastasis (2x), TMZ (12 + 31 + 3 cycles), PAS, BVZ (7 + 2 cycles) | IPI 1 mg/kg + NIVO 3 mg/kg 3/3 weeks NIVO 3 mg/kg 2/2 weeks IPI 3 mg/kg 3/3 weeks | 6 3 1 | Stable, followed by disease progression | Partial response followed by progression | 6 |
| Ilie et al. [4], 2022 Endocr Relat Cancer (PMID: 35521777) | M | 29/38 | ACTH-PitNET (metastatic) | - | NS (3x), RT (54 + 15 Gy), BA, TMZ (3 + 15 cycles), BVZ (5 cycles) | IPI 1 mg/kg + NIVO 3 mg/kg 3/3 weeks NIVO 3 mg/kg 3/3 weeks | 4 3 | Partial response | Complete response | 7 |
| Ilie et al. [4], 2022 Endocr Relat Cancer (PMID: 35521777) | M | 44/52 | ACTH-PitNET (metastatic) | - | NS (2x), PAS, RT (50 + 24 Gy), RT metastasis (3x), CAB, BA, radiofrequency ablation of metastasis, TMZ (4 cycles) | IPI 1 mg/kg + NIVO 3 mg/kg 3/3 weeks NIVO 3 mg/kg 3/3 weeks | 4 4 | Dissociated response with partial response of tumour growth and progression of metastasis | NA | 5 |
| Feola et al. [11], 2022 Cancers (PMID: 36077631) | M | 57 | NF-PitNET (metastatic) | + | NS (3x), RT (2x), RT metastasis, TMZ (5 cycles) | Pembrolizumab 200 mg 21/21 days | >9 | Partial response | n/a | 12 |
| Shah et al. [43], 2022 Neurosurgery (PMID: 35544035) | M | 57 | ACTH-PitNET | NA | NS, RT, TMZ (3 cycles) | IPI 3 mg/kg + NIVO 1 mg/kg 3/3 weeks NIVO 480 mg 4/4 weeks | 4 10 | Complete | Complete | 15/7 |
| Goichot et al. [36], 2023 Clin Endocrinol (PMID: 34845727) | M | 41/54 | PRL-PitNET (metastatic) | + | CAB, NS (2x), MS (2x), RT (50.4 + 50.4 + 37.5 Gy), TMZ (43 cycles), RT metastasis (4x) | IPI 3 mg/kg + NIVO 1 mg/kg 3/3 weeks NIVO 1 mg/kg 2/2 weeks | 4 48 | Partial response | Complete response | 32/2 |
| Medina et al. [15], 2023 Front Endocrinol (PMID: 37529607) | M | 56/61 | PRL-PitNET | + | NS (2x), RT (30 Gy), TMZ (>2 cycles),PZP | Pembrolizumab | NA | Progression | NA | 3 |
3.2. Anti-PD-1 Drugs and Posology in Aggressive or Metastatic PitNETs
3.3. Radiological Response to Anti-PD-1 Drugs
3.4. Biochemical Response to Anti-PD-1 Drugs
3.5. Survival Data
4. Discussion
5. Conclusions
Author Contributions
Funding
Conflicts of Interest
References
- Melmed, S. Pituitary-Tumor Endocrinopathies. N. Engl. J. Med. 2020, 382, 937–950. [Google Scholar] [CrossRef]
- Aflorei, E.D.; Korbonits, M. Epidemiology and etiopathogenesis of pituitary adenomas. J. Neurooncol. 2014, 117, 379–394. [Google Scholar] [CrossRef]
- Marques, P. The Effects of Peptide Receptor Radionuclide Therapy on the Neoplastic and Normal Pituitary. Cancers 2023, 15, 2710. [Google Scholar] [CrossRef] [PubMed]
- Ilie, M.D.; Vasiljevic, A.; Jouanneau, E.; Raverot, G. Immunotherapy in aggressive pituitary tumors and carcinomas: A systematic review. Endocr. Relat. Cancer 2022, 29, 415–426. [Google Scholar] [CrossRef] [PubMed]
- Melmed, S.; Kaiser, U.B.; Lopes, M.B.; Bertherat, J.; Syro, L.V.; Raverot, G.; Reincke, M.; Johannsson, G.; Beckers, A.; Fleseriu, M.; et al. Clinical Biology of the Pituitary Adenoma. Endocr. Rev. 2022, 43, 1003–1037. [Google Scholar] [CrossRef] [PubMed]
- Raverot, G.; Ilie, M.D.; Lasolle, H.; Amodru, V.; Trouillas, J.; Castinetti, F.; Brue, T. Aggressive pituitary tumours and pituitary carcinomas. Nat. Rev. Endocrinol. 2021, 17, 671–684. [Google Scholar] [CrossRef]
- Marques, P.; Silva, A.L.; López-Presa, D.; Faria, C.; Bugalho, M.J. The microenvironment of pituitary adenomas: Biological, clinical and therapeutical implications. Pituitary 2022, 25, 363–382. [Google Scholar] [CrossRef]
- Raverot, G.; Burman, P.; McCormack, A.; Heaney, A.; Petersenn, S.; Popovic, V.; Trouillas, J.; Dekkers, O.M.; European Society of Endocrinology. European society of endocrinology clinical practice guidelines for the management of aggressive pituitary tumours and carcinomas. Eur. J. Endocrinol. 2018, 178, G1–G24. [Google Scholar] [CrossRef]
- Zada, G.; Woodmansee, W.W.; Ramkissoon, S.; Amadio, J.; Nose, V.; Laws, E.R. Atypical pituitary adenomas: Incidence, clinical characteristics, and implications. J. Neurosurg. 2011, 114, 336–344. [Google Scholar]
- Trouillas, J.; Roy, P.; Sturm, N.; Dantony, E.; Cortet-Rudelli, C.; Viennet, G.; Bonneville, J.-F.; Assaker, R.; Auger, C.; Brue, T.; et al. A new prognostic clinicopathological classification of pituitary adenomas: A multicentric case–control study of 410 patients with 8 years post-operative follow-up. Acta Neuropathol. 2013, 126, 123–135. [Google Scholar]
- Feola, T.; Carbonara, F.; Verrico, M.; Di Crescenzo, R.M.; Gianno, F.; Colonnese, C.; Arcella, A.; de Alcubierre, D.; Tomao, S.; Esposito, V.; et al. Immunotherapy for Aggressive and Metastatic Pituitary Neuroendocrine Tumors (PitNETs): State-of-the Art. Cancers 2022, 14, 4093. [Google Scholar] [CrossRef] [PubMed]
- McCormack, A.; Dekkers, O.M.; Petersenn, S.; Popovic, V.; Trouillas, J.; Raverot, G.; Burman, P.; Hubalewska-Dydejezky, A.; Assie, G.; Bach, L.; et al. Treatment of aggressive pituitary tumours and carcinomas: Results of a European Society of Endocrinology (ESE) survey 2016. Eur. J. Endocrinol. 2018, 178, 265–276. [Google Scholar] [CrossRef] [PubMed]
- Ilie, M.D.; Villa, C.; Cuny, T.; Cortet, C.; Assie, G.; Baussart, B.; Cancel, M.; Chanson, P.; Decoudier, B.; Deluche, E.; et al. Real-life efficacy and predictors of response to immunotherapy in pituitary tumors: A cohort study. Eur. J. Endocrinol. 2022, 187, 685–696. [Google Scholar] [CrossRef]
- Lin, A.L.; Tabar, V.; Young, R.J.; Cohen, M.; Cuaron, J.; Yang, T.J.; Rosenblum, M.; A Rudneva, V.; Geer, E.B.; Bodei, L. Synergism of Checkpoint Inhibitors and Peptide Receptor Radionuclide Therapy in the Treatment of Pituitary Carcinoma. J. Endocr. Soc. 2021, 5, bvab133. [Google Scholar] [CrossRef] [PubMed]
- Medina, E.J.; Zohdy, Y.M.; Porto, E.; Barbero, J.M.R.; Bray, D.; Maldonado, J.; Rodas, A.; Mayol, M.; Morales, B.; Neill, S.; et al. Therapeutic response to pazopanib: Case report and literature review on molecular abnormalities of aggressive prolactinomas. Front. Endocrinol. 2023, 14, 1195792. [Google Scholar] [CrossRef] [PubMed]
- Castinetti, F.; Albarel, F.; Archambeaud, F.; Bertherat, J.; Bouillet, B.; Buffier, P.; Briet, C.; Cariou, B.; Caron, P.; Chabre, O.; et al. French endocrine society guidance on endocrine side effects of immunotherapy. Endocr. Relat. Cancer 2019, 26, G1–G18. [Google Scholar] [CrossRef] [PubMed]
- Ugurel, S.; Röhmel, J.; Ascierto, P.A.; Flaherty, K.T.; Grob, J.J.; Hauschild, A.; Larkin, J.; Long, G.V.; Lorigan, P.; McArthur, G.A.; et al. Survival of patients with advanced metastatic melanoma: The impact of novel therapies. Eur. J. Cancer 2016, 53, 125–134. [Google Scholar] [CrossRef]
- Wang, P.-F.; Wang, T.-J.; Yang, Y.-K.; Yao, K.; Li, Z.; Li, Y.M.; Yan, C.-X. The expression profile of PD-L1 and CD8+ lymphocyte in pituitary adenomas indicating for immunotherapy. J. Neurooncol. 2018, 139, 89–95. [Google Scholar] [CrossRef]
- Mei, Y.; Bi, W.L.; Greenwald, N.F.; Du, Z.; Agar, N.Y.R.; Kaiser, U.B.; Woodmansee, W.W.; Reardon, D.A.; Freeman, G.J.; Fecci, P.E.; et al. Increased expression of programmed death ligand 1 (PD-L1) in human pituitary tumors. Oncotarget 2016, 7, 76565–76576. [Google Scholar] [CrossRef]
- Guo, L.; Zhang, H.; Chen, B. Nivolumab as Programmed Death-1 (PD-1) Inhibitor for Targeted Immunotherapy in Tumor. J. Cancer 2017, 8, 410–416. [Google Scholar] [CrossRef]
- Kwok, G.; Yau, T.C.C.; Ciu, J.W.; Tse, E.; Kwong, Y.L. Pembrolizumab (Keytruda). Hum. Vaccin. Immunother. 2016, 12, 2777–2789. [Google Scholar] [CrossRef] [PubMed]
- Brüggemann, C.; Kirchberger, M.C.; Goldinger, S.M.; Weide, B.; Konrad, A.; Erdmann, M.; Schadendorf, D.; Croner, R.S.; Krähenbühl, L.; Kähler, K.C.; et al. Predictive value of PD-L1 based on mRNA level in the treatment of stage IV melanoma with ipilimumab. J. Cancer Res. Clin. Oncol. 2017, 143, 1977–1984. [Google Scholar] [CrossRef]
- Garon, E.B.; Rizvi, N.A.; Hui, R.; Leighl, N.; Balmanoukian, A.S.; Eder, J.P.; Patnaik, A.; Aggarwal, C.; Gubens, M.; Horn, L.; et al. Pembrolizumab for the Treatment of Non–Small-Cell Lung Cancer. N. Engl. J. Med. 2015, 372, 2018–2028. [Google Scholar] [CrossRef]
- Turchini, J.; Sioson, L.; Clarkson, A.; Sheen, A.; Gill, A.J. PD-L1 Is Preferentially Expressed in PIT-1 Positive Pituitary Neuroendocrine Tumours. Endocr. Pathol. 2021, 32, 408–414. [Google Scholar] [CrossRef] [PubMed]
- Winkler, J.K.; Bender, C.; Kratochwil, C.; Enk, A.; Hassel, J.C. PD-1 blockade: A therapeutic option for treatment of metastatic Merkel cell carcinoma. Br. J. Dermatol. 2017, 176, 216–219. [Google Scholar] [CrossRef] [PubMed]
- Suteau, V.; Collin, A.; Menei, P.; Rodien, P.; Rousselet, M.C.; Briet, C. Expression of programmed death-ligand 1 (PD-L1) in human pituitary neuroendocrine tumor. Cancer Immunol. Immunother. 2020, 69, 2053–2061. [Google Scholar] [CrossRef]
- Lopes-Pinto, M.; Lacerda-Nobre, E.; Silva, A.L.; Tortosa, F.; Marques, P. The Role of Programmed Cell Death Ligand 1 Expression in Pituitary Tumours: Lessons from the Current Literature. Neuroendocrinology 2024, 16, 1–12. [Google Scholar] [CrossRef]
- Kemeny, H.R.; Elsamadicy, A.A.; Farber, S.H.; Champion, C.D.; Lorrey, S.J.; Chongsathidkiet, P.; Woroniecka, K.I.; Cui, X.; Shen, S.H.; Rhodin, K.E.; et al. Targeting PD-L1 Initiates Effective Antitumor Immunity in a Murine Model of Cushing Disease. Clin. Cancer Res. 2020, 26, 1141–1151. [Google Scholar] [CrossRef]
- Mei, Y.; Bi, W.L.; Agolia, J.; Hu, C.; Larsen, A.M.G.; Meredith, D.M.; Al Abdulmohsen, S.; Bale, T.; Dunn, G.P.; Abedalthagafi, M.; et al. Immune profiling of pituitary tumors reveals variations in immune infiltration and checkpoint molecule expression. Pituitary 2021, 24, 359–373. [Google Scholar] [CrossRef]
- Salomon, M.P.; Wang, X.; Marzese, D.M.; Hsu, S.C.; Nelson, N.; Zhang, X.; Matsuba, C.; Takasumi, Y.; Ballesteros-Merino, C.; Fox, B.A.; et al. The epigenomic landscape of pituitary adenomas reveals specific alterations and differentiates among acromegaly, Cushing’s disease and endocrine-inactive subtypes. Clin. Cancer Res. 2018, 24, 4126–4136. [Google Scholar] [CrossRef]
- Sato, M.; Tamura, R.; Tamura, H.; Mase, T.; Kosugi, K.; Morimoto, Y.; Yoshida, K.; Toda, M. Analysis of tumor angiogenesis and immune microenvironment in non-functional pituitary endocrine tumors. J. Clin. Med. 2019, 8, 695. [Google Scholar] [CrossRef]
- Uraki, S.; Ariyasu, H.; Doi, A.; Takeshima, K.; Morita, S.; Inaba, H.; Furuta, H.; Fukuhara, N.; Inoshita, N.; Nishioka, H.; et al. MSH6/2 and PD-L1 Expressions Are Associated with Tumor Growth and Invasiveness in Silent Pituitary Adenoma Subtypes. Int. J. Mol. Sci. 2020, 21, 2831. [Google Scholar] [CrossRef] [PubMed]
- Zhao, G.; Chen, W.; He, J.; Cui, C.; Zhao, L.; Zhao, Y.; Sun, C.; Nie, D.; Jin, F.; Kong, L. Analysis of Cyclooxygenase 2, Programmed Cell Death Ligand 1, and Arginase 1 Expression in Human Pituitary Adenoma. World Neurosurg. 2020, 144, e660–e673. [Google Scholar] [CrossRef]
- Guo, X.; Yang, Y.; Qian, Z.; Chang, M.; Zhao, Y.; Ma, W.; Wang, Y.; Xing, B. Immune landscape and progress in immunotherapy for pituitary neuroendocrine tumors. Cancer Lett. 2024, 592, 216908. [Google Scholar] [CrossRef] [PubMed]
- Burman, P.; Trouillas, J.; Losa, M.; McCormack, A.; Petersenn, S.; Popovic, V.; Theodoropoulou, M.; Raverot, G.; Dekkers, O.M.; Guenego, A.; et al. Aggressive pituitary tumours and carcinomas, characteristics and management of 171 patients. Eur. J. Endocrinol. 2022, 187, 593–605. [Google Scholar] [CrossRef]
- Goichot, B.; Taquet, M.; Baltzinger, P.; Baloglu, S.; Gravaud, M.; Malouf, G.G.; Noël, G.; Imperiale, A. Should pituitary carcinoma be treated using a NET-like approach? A case of complete remission of a metastatic malignant prolactinoma with multimodal therapy including immunotherapy. Clin. Endocrinol. 2023, 98, 633–637. [Google Scholar] [CrossRef] [PubMed]
- Lin, A.L.; Jonsson, P.; Tabar, V.; Yang, T.J.; Cuaron, J.; Beal, K.; Cohen, M.; Postow, M.; Rosenblum, M.; Shia, J.; et al. Marked Response of a Hypermutated ACTH-Secreting Pituitary Carcinoma to Ipilimumab and Nivolumab. J. Clin. Endocrinol. Metab. 2018, 103, 3925–3930. [Google Scholar] [CrossRef]
- Caccese, M.; Barbot, M.; Ceccato, F.; Padovan, M.; Gardiman, M.P.; Fassan, M.; Denaro, L.; Emanuelli, E.; D’avella, D.; Scaroni, C.; et al. Rapid disease progression in patient with mismatch-repair deficiency pituitary ACTH-secreting adenoma treated with checkpoint inhibitor pembrolizumab. Anticancer Drugs 2020, 31, 199–204. [Google Scholar] [CrossRef]
- Duhamel, C.; Ilie, M.D.; Salle, H.; Nassouri, A.S.; Gaillard, S.; Deluche, E.; Assaker, R.; Mortier, L.; Cortet, C.; Raverot, G. Immunotherapy in corticotroph and lactotroph aggressive tumors and carcinomas: Two case reports and a review of the literature. J. Pers. Med. 2020, 10, 88. [Google Scholar] [CrossRef]
- Lamb, L.S.; Sim, H.W.; McCormack, A.I. Case Report: A Case of Pituitary Carcinoma Treated With Sequential Dual Immunotherapy and Vascular Endothelial Growth Factor Inhibition Therapy. Front. Endocrinol. 2020, 11, 576027. [Google Scholar] [CrossRef]
- Majd, N.; Waguespack, S.G.; Janku, F.; Fu, S.; Penas-Prado, M.; Xu, M.; Alshawa, A.; Kamiya-Matsuoka, C.; Raza, S.M.; E McCutcheon, I.; et al. Efficacy of pembrolizumab in patients with pituitary carcinoma: Report of four cases from a phase II study. J. Immunother. Cancer 2020, 8, e001532. [Google Scholar] [CrossRef] [PubMed]
- Sol, B.; de Filette, J.M.K.; Awada, G.; Raeymaeckers, S.; Aspeslagh, S.; Andreescu, C.E.; Neyns, B.; Velkeniers, B. Immune checkpoint inhibitor therapy for ACTH-secreting pituitary carcinoma: A new emerging treatment? Eur. J. Endocrinol. 2021, 184, K1–K5. [Google Scholar] [CrossRef]
- Shah, S.; Manzoor, S.; Rothman, Y.; Hagen, M.; Pater, L.; Golnik, K.; Mahammedi, A.; Lin, A.L.; Bhabhra, R.; Forbes, J.A.; et al. Complete Response of a Patient With a Mismatch Repair Deficient Aggressive Pituitary Adenoma to Immune Checkpoint Inhibitor Therapy: A Case Report. Neurosurgery 2022, 91, e51–e56. [Google Scholar] [CrossRef] [PubMed]
- Ilie, M.D.; Vasiljevic, A.; Bertolino, P.; Raverot, G. Biological and Therapeutic Implications of the Tumor Microenvironment in Pituitary Adenomas. Endocr. Rev. 2023, 44, 297–311. [Google Scholar] [CrossRef] [PubMed]
- Jia, W.; Gao, Q.; Han, A.; Zhu, H.; Yu, J. The potential mechanism, recognition and clinical significance of tumor pseudoprogression after immunotherapy. Cancer Biol. Med. 2019, 16, 655–670. [Google Scholar] [CrossRef] [PubMed]
- Marques, P.; Korbonits, M. Tumour microenvironment and pituitary tumour behaviour. J. Endocrinol. Invest. 2023, 46, 1047–1063. [Google Scholar] [CrossRef]
- Inno, A.; Roviello, G.; Ghidini, A.; Luciani, A.; Catalano, M.; Gori, S.; Petrelli, F. Rechallenge of immune checkpoint inhibitors: A systematic review and meta-analysis. Crit. Rev. Oncol. Hematol. 2021, 165, 103434. [Google Scholar] [CrossRef]
- Azghadi, S.; Daly, M.E. Radiation and immunotherapy combinations in non-small cell lung cancer. Cancer Treat. Res. Commun. 2021, 26, 100298. [Google Scholar] [CrossRef]
- Kleinendorst, S.C.; Oosterwijk, E.; Bussink, J.; Westdorp, H.; Konijnenberg, M.W.; Heskamp, S. Combining Targeted Radionuclide Therapy and Immune Checkpoint Inhibition for Cancer Treatment. Clin. Cancer Res. 2022, 28, 3652–3657. [Google Scholar] [CrossRef]
- Schwab, S.; Kreiliger, G.; Held, L. Assessing treatment effects and publication bias across different specialties in medicine: A meta-epidemiological study. BMJ Open 2021, 11, e045942. [Google Scholar] [CrossRef]


| Radiological Response to Anti-PD-1 Treatment | Total PitNETs, n (%) n = 29 | Metastatic PitNETs, n n = 16 | Aggressive PitNETs, n n = 13 |
|---|---|---|---|
| Complete | 1 (3.4) | 0 | 1 |
| Partial | 7 (24.1) | 7 | 0 |
| Stable disease | 10 (34.5) | 3 | 7 |
| Dissociated | 2 (6.9) | 2 | n/a |
| Progression | 9 (31) | 4 | 5 |
| Positive radiological response, n (%) | 18/29 (62.1) | 10/16 (62.5) | 8/13 (61.5) |
| ACTH-PitNET | PRL-PitNET | NF-PitNET | |||||||
|---|---|---|---|---|---|---|---|---|---|
| Radiological response to Anti-PD-1 Treatment | Total, n (%) n = 18 | Metastatic, n n = 10 | Aggressive, n n = 8 | Total, n (%) n = 7 | Metastatic, n n = 3 | Aggressive, n n = 4 | Total, n (%) n = 4 | Metastatic, n n = 3 | Aggressive, n n = 1 |
| Complete | 1 (5.5) | 0 | 1 | 0 (0) | 0 | 0 | 0 | 0 | 0 |
| Partial | 4 (22.2) | 4 | 0 | 1 (14.3) | 1 | 0 | 2 | 2 | 0 |
| Stable disease | 5 (27.8) | 1 | 4 | 3 (42.9) | 1 | 2 | 2 | 1 | 1 |
| Dissociated | 1 (5.5) | 1 | n/a | 0 (0) | 0 | n/a | 0 | 0 | n/a |
| Progression | 7 (38.9) | 4 | 3 | 3 (42.9) | 1 | 2 | 0 | 0 | 0 |
| Positive radiological response, n (%) | 10/18 (55.5) | 5/10 (50) | 5/8 (62.5) | 4/7 (57.1) | 2/3 (66.6) | 2/4 (50) | 4/4 (100) | 3/3 (100) | 1/1 (100) |
| Biochemical Response to Anti-PD-1 Treatment | Total F-PitNETs, n (%) n = 17 | ACTH-PitNET, n n = 11 | PRL-PitNETs, n n = 6 |
|---|---|---|---|
| Complete | 4 (23.5) | 3 | 1 |
| Partial | 6 (35.3) | 4 | 2 |
| Stable disease | 1 (5.9) | 1 | 0 |
| Progressive disease | 6 | 3 | 3 |
| Positive biochemical response, n (%) | 11/17 (64.7) | 8/11 (72.7) | 3/6 (50) |
Disclaimer/Publisher’s Note: The statements, opinions and data contained in all publications are solely those of the individual author(s) and contributor(s) and not of MDPI and/or the editor(s). MDPI and/or the editor(s) disclaim responsibility for any injury to people or property resulting from any ideas, methods, instructions or products referred to in the content. |
© 2024 by the authors. Licensee MDPI, Basel, Switzerland. This article is an open access article distributed under the terms and conditions of the Creative Commons Attribution (CC BY) license (https://creativecommons.org/licenses/by/4.0/).
Share and Cite
Lopes-Pinto, M.; Lacerda-Nobre, E.; Silva, A.L.; Marques, P. Therapeutical Usefulness of PD-1/PD-L1 Inhibitors in Aggressive or Metastatic Pituitary Tumours. Cancers 2024, 16, 3033. https://doi.org/10.3390/cancers16173033
Lopes-Pinto M, Lacerda-Nobre E, Silva AL, Marques P. Therapeutical Usefulness of PD-1/PD-L1 Inhibitors in Aggressive or Metastatic Pituitary Tumours. Cancers. 2024; 16(17):3033. https://doi.org/10.3390/cancers16173033
Chicago/Turabian StyleLopes-Pinto, Mariana, Ema Lacerda-Nobre, Ana Luísa Silva, and Pedro Marques. 2024. "Therapeutical Usefulness of PD-1/PD-L1 Inhibitors in Aggressive or Metastatic Pituitary Tumours" Cancers 16, no. 17: 3033. https://doi.org/10.3390/cancers16173033
APA StyleLopes-Pinto, M., Lacerda-Nobre, E., Silva, A. L., & Marques, P. (2024). Therapeutical Usefulness of PD-1/PD-L1 Inhibitors in Aggressive or Metastatic Pituitary Tumours. Cancers, 16(17), 3033. https://doi.org/10.3390/cancers16173033

