Role of PET/CT in Oropharyngeal Cancers
Abstract
Simple Summary
Abstract
1. Introduction
2. History of PET/CT Development
3. Oropharyngeal Cancer Epidemiology and Staging
4. Oropharyngeal Anatomy
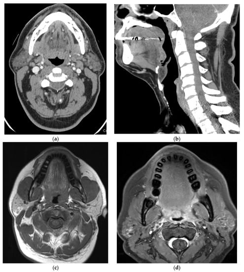
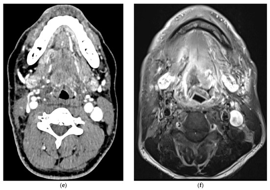
5. Imaging of Oropharyngeal Cancers
6. Staging of Oropharyngeal Cancers
7. Treatment
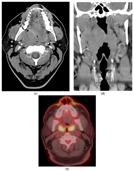
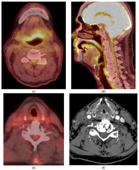
8. Role of PET/CT
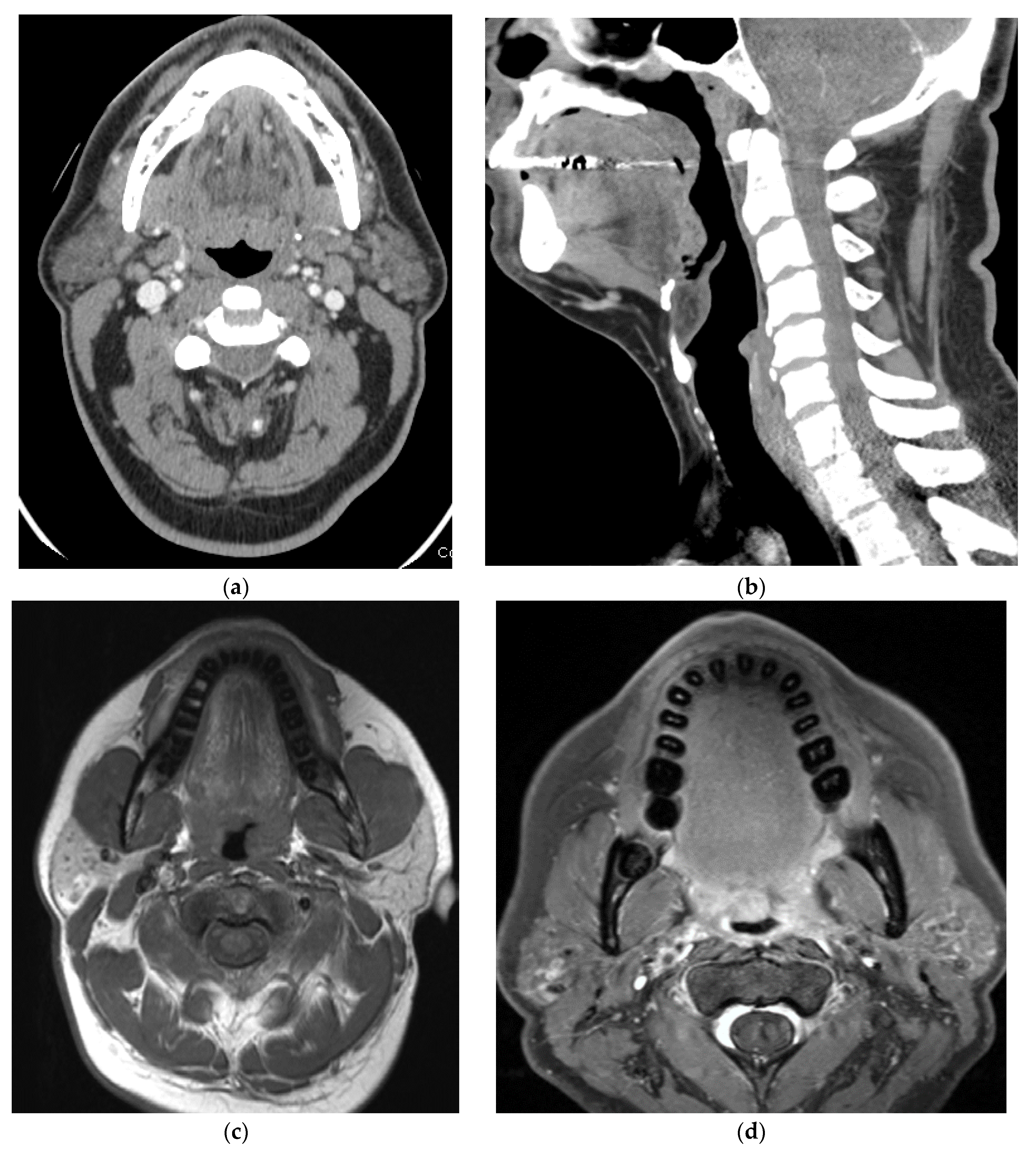
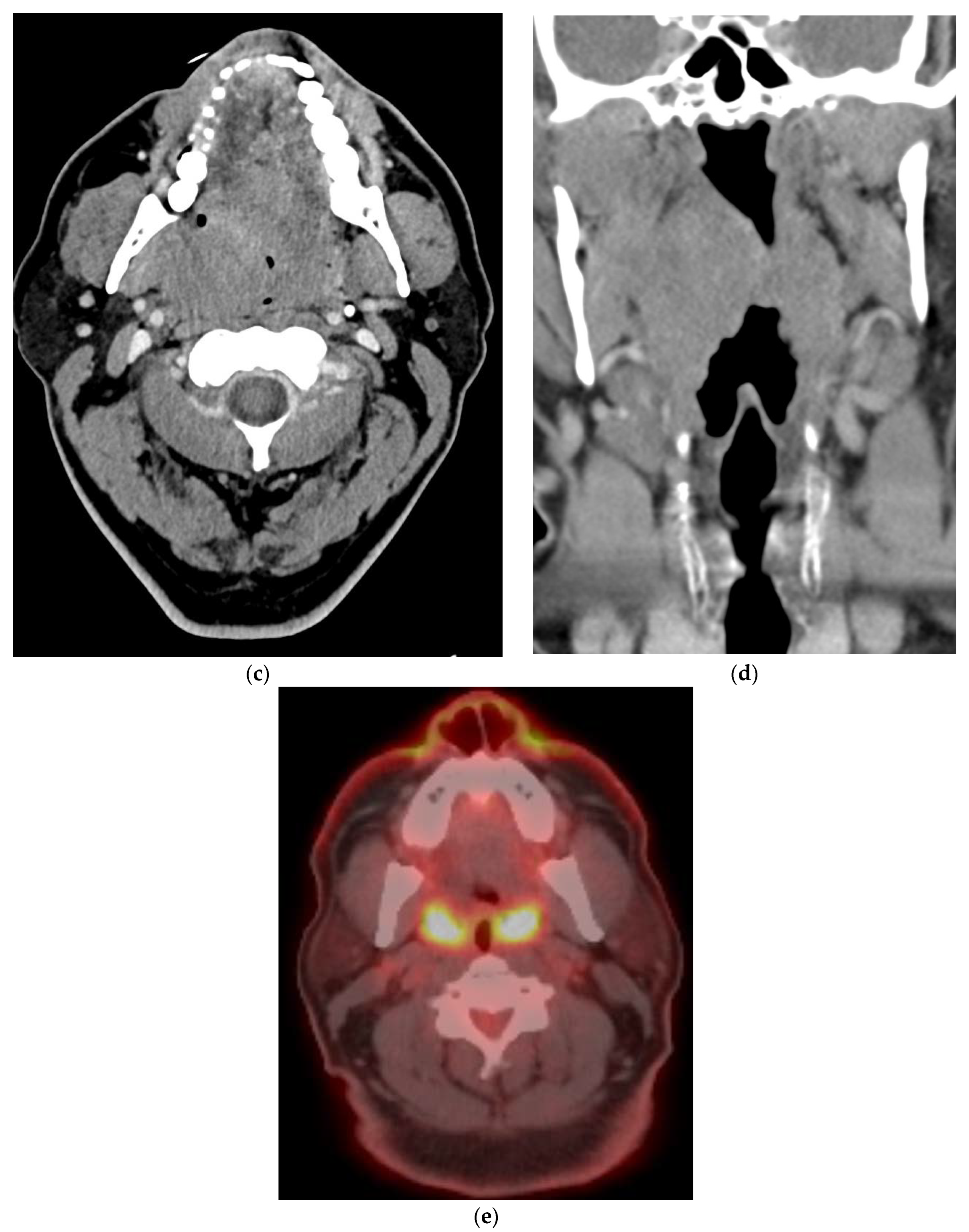
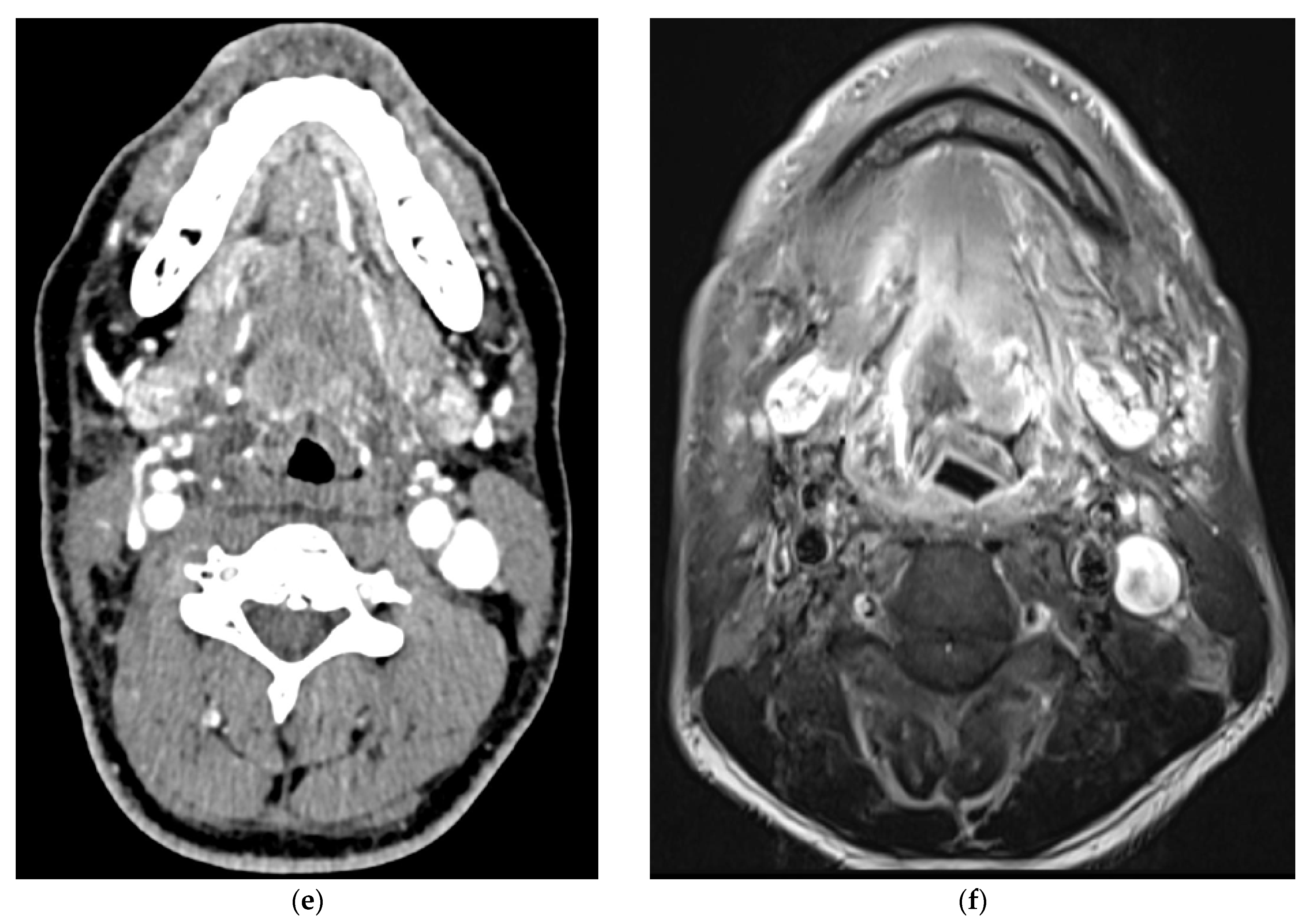
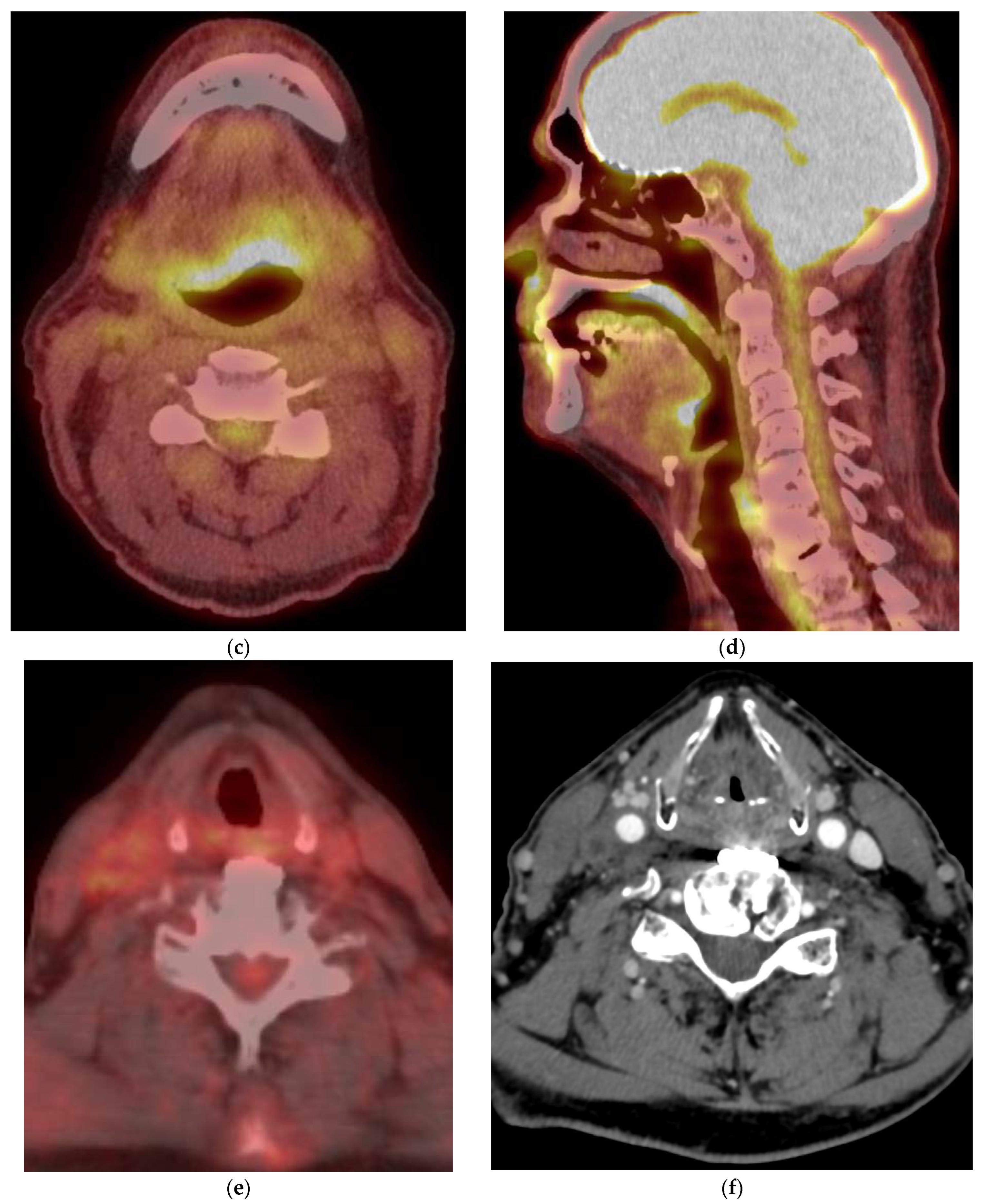
8.1. Initial Staging
- Patients with multistation or lower neck nodal involvement or high-grade tumor histology.
- To determine the surgical approach to the contralateral neck in tumors approaching the midline, to identify involved lymph nodes.
- For patients with locoregionally advanced cancer (e.g., T3–T4 primary or ≥N1 nodal staging), FDG PET/CT is preferred to evaluate for distant disease and thoracic metastases. In lieu of FDG PET/CT, CT of the chest with contrast is suggested to assess for presence of lung metastases and mediastinal nodal involvement.
- Detection of occult primary lesions in patients presenting with large nodal metastatic masses without identifiable primary cancer on conventional imaging (CT/MRI) before EUA, biopsies, and tonsillectomy.
8.2. Response Assessment
9. Disease Monitoring
10. Recent Advances, Conclusions, and Future Directions
Author Contributions
Funding
Conflicts of Interest
References
- Society, A.C. Cancer Facts & Figures 2022; American Cancer Society: Atlanta, GA, USA, 2022. [Google Scholar]
- Townsend, D.W. Combined positron emission tomography-computed tomography: The historical perspective. Semin. Ultrasound CT MR 2008, 29, 232–235. [Google Scholar] [CrossRef] [PubMed]
- Charron, M.; Beyer, T.; Bohnen, N.N.; Kinahan, P.E.; Dachille, M.; Jerin, J.; Nutt, R.; Meltzer, C.C.; Villemagne, V.; Townsend, D.W. Image analysis in patients with cancer studied with a combined PET and CT scanner. Clin. Nucl. Med. 2000, 25, 905–910. [Google Scholar] [CrossRef] [PubMed]
- Kluetz, P.G.; Meltzer, C.C.; Villemagne, V.L.; Kinahan, P.E.; Chander, S.; Martinelli, M.A.; Townsend, D.W. Combined PET/CT Imaging in Oncology. Impact on Patient Management. Clin. Positron. Imaging 2000, 3, 223–230. [Google Scholar] [CrossRef] [PubMed]
- Meltzer, C.C.; Luketich, J.D.; Friedman, D.; Charron, M.; Strollo, D.; Meehan, M.; Urso, G.K.; Dachille, M.A.; Townsend, D.W. Whole-body FDG positron emission tomographic imaging for staging esophageal cancer comparison with computed tomography. Clin. Nucl. Med. 2000, 25, 882–887. [Google Scholar] [CrossRef]
- Damgacioglu, H.; Sonawane, K.; Zhu, Y.; Li, R.; Balasubramanian, B.A.; Lairson, D.R.; Giuliano, A.R.; Deshmukh, A.A. Oropharyngeal Cancer Incidence and Mortality Trends in All 50 States in the US, 2001–2017. JAMA Otolaryngol. Head Neck Surg. 2022, 148, 155–165. [Google Scholar] [CrossRef]
- Chaturvedi, A.K.; Engels, E.A.; Pfeiffer, R.M.; Hernandez, B.Y.; Xiao, W.; Kim, E.; Jiang, B.; Goodman, M.T.; Sibug-Saber, M.; Cozen, W.; et al. Human papillomavirus and rising oropharyngeal cancer incidence in the United States. J. Clin. Oncol. 2011, 29, 4294–4301. [Google Scholar] [CrossRef]
- Lechner, M.; Liu, J.; Masterson, L.; Fenton, T.R. HPV-associated oropharyngeal cancer: Epidemiology, molecular biology and clinical management. Nat. Rev. Clin. Oncol. 2022, 19, 306–327. [Google Scholar] [CrossRef]
- Bauer, E.; Mazul, A.; Chernock, R.; Rich, J.; Jackson, R.S.; Paniello, R.; Pipkorn, P.; Oppelt, P.; Gay, H.; Daly, M.; et al. Extranodal extension is a strong prognosticator in HPV-positive oropharyngeal squamous cell carcinoma. Laryngoscope 2020, 130, 939–945. [Google Scholar] [CrossRef]
- O’Sullivan, B.; Huang, S.H.; Su, J.; Garden, A.S.; Sturgis, E.M.; Dahlstrom, K.; Lee, N.; Riaz, N.; Pei, X.; Koyfman, S.A.; et al. Development and validation of a staging system for HPV-related oropharyngeal cancer by the International Collaboration on Oropharyngeal cancer Network for Staging (ICON-S): A multicentre cohort study. Lancet Oncol. 2016, 17, 440–451. [Google Scholar] [CrossRef]
- Fullerton, Z.H.; Butler, S.S.; Mahal, B.A.; Muralidhar, V.; Schoenfeld, J.D.; Tishler, R.B.; Margalit, D.N. Short-term mortality risks among patients with oropharynx cancer by human papillomavirus status. Cancer 2020, 126, 1424–1433. [Google Scholar] [CrossRef]
- Corey, A. Pitfalls in the staging of cancer of the oropharyngeal squamous cell carcinoma. Neuroimaging Clin. N. Am. 2013, 23, 47–66. [Google Scholar] [CrossRef]
- Zhu, L.; Wang, N. 18F-fluorodeoxyglucose positron emission tomography-computed tomography as a diagnostic tool in patients with cervical nodal metastases of unknown primary site: A meta-analysis. Surg. Oncol. 2013, 22, 190–194. [Google Scholar] [CrossRef]
- Doescher, J.; Veit, J.A.; Hoffmann, T.K. The 8th edition of the AJCC Cancer Staging Manual: Updates in otorhinolaryngology, head and neck surgery. HNO 2017, 65, 956–961. [Google Scholar] [CrossRef]
- Curtin, H.D.; Ishwaran, H.; Mancuso, A.A.; Dalley, R.W.; Caudry, D.J.; McNeil, B.J. Comparison of CT and MR imaging in staging of neck metastases. Radiology 1998, 207, 123–130. [Google Scholar] [CrossRef]
- Tsai, C.J.; Flamand, Y.; Weinstein, G.S.; Li, S.; Quon, H.; Mehra, R.; Garcia, J.J.; Chung, C.H.; Gillison, M.L.; Duvvuri, U.; et al. Evaluation of Substantial Reduction in Elective Radiotherapy Dose and Field in Patients With Human Papillomavirus-Associated Oropharyngeal Carcinoma Treated With Definitive Chemoradiotherapy. JAMA Oncol. 2022, 8, 364–372. [Google Scholar] [CrossRef]
- Ferris, R.L.; McBride, S.M.; Riaz, N.; Kang, J.J.; Spielsinger, D.J.; Waldenberg, T.; Gelblum, D.; Yu, Y.; Chen, L.C.; Zakeri, K.; et al. Phase II Randomized Trial of Transoral Surgery and Low-Dose Intensity Modulated Radiation Therapy in Resectable p16+ Locally Advanced Oropharynx Cancer: An ECOG-ACRIN Cancer Research Group Trial (E3311). J. Clin. Oncol. 2022, 40, 138–149. [Google Scholar] [CrossRef]
- Shi, X.; Meng, X.; Sun, X.; Xing, L.; Yu, J. PET/CT imaging-guided dose painting in radiation therapy. Cancer Lett. 2014, 355, 169–175. [Google Scholar] [CrossRef]
- Heukelom, J.; Hamming, O.; Bartelink, H.; Hoebers, F.; Giralt, J.; Herlestam, T.; Verheij, M.; van den Brekel, M.; Vogel, W.; Slevin, N.; et al. Adaptive and innovative Radiation Treatment FOR improving Cancer treatment outcomE (ARTFORCE); a randomized controlled phase II trial for individualized treatment of head and neck cancer. BMC Cancer 2013, 13, 84. [Google Scholar] [CrossRef]
- Berwouts, D.; Madani, I.; Duprez, F.; Olteanu, A.L.; Vercauteren, T.; Boterberg, T.; Deron, P.; Bonte, K.; Huvenne, W.; De Neve, W.; et al. Long-term outcome of (18) F-fluorodeoxyglucose-positron emission tomography-guided dose painting for head and neck cancer: Matched case-control study. Head Neck 2017, 39, 2264–2275. [Google Scholar] [CrossRef]
- Ng, S.P.; David, S.; Alamgeer, M.; Ganju, V. Impact of Pretreatment Combined (18)F-Fluorodeoxyglucose Positron Emission Tomography/Computed Tomography Staging on Radiation Therapy Treatment Decisions in Locally Advanced Breast Cancer. Int. J. Radiat. Oncol. Biol. Phys. 2015, 93, 111–117. [Google Scholar] [CrossRef]
- Paleri, V.; Urbano, T.G.; Mehanna, H.; Repanos, C.; Lancaster, J.; Roques, T.; Patel, M.; Sen, M. Management of neck metastases in head and neck cancer: United Kingdom National Multidisciplinary Guidelines. J. Laryngol. Otol. 2016, 130, S161–S169. [Google Scholar] [CrossRef] [PubMed]
- Lowe, V.J.; Duan, F.; Subramaniam, R.M.; Sicks, J.D.; Romanoff, J.; Bartel, T.; Yu, J.Q.M.; Nussenbaum, B.; Richmon, J.; Arnold, C.D.; et al. Multicenter Trial of [(18)F] fluorodeoxyglucose Positron Emission Tomography/Computed Tomography Staging of Head and Neck Cancer and Negative Predictive Value and Surgical Impact in the N0 Neck: Results From ACRIN 6685. J. Clin. Oncol. 2019, 37, 1704–1712. [Google Scholar] [CrossRef] [PubMed]
- Mur, T.; Sambhu, K.M.; Mahajan, A.; Payabvash, S.; Fernandez, J.; Edwards, H.A. Choice of imaging modality for pre-treatment staging of head and neck cancer impacts TNM staging. Am. J. Otolaryngol. 2020, 41, 102662. [Google Scholar] [CrossRef] [PubMed]
- Pfister, D.G.; Spencer, S.; Adelstein, D.; Adkins, D.; Anzai, Y.; Brizel, D.M.; Bruce, J.Y.; Busse, P.M.; Caudell, J.J.; Cmelak, A.J.; et al. Head and Neck Cancers, Version 2.2020, NCCN Clinical Practice Guidelines in Oncology. J. Natl. Compr. Canc. Netw. 2020, 18, 873–898. [Google Scholar] [CrossRef]
- Berger, B.M.; Hanna, G.J.; Posner, M.R.; Genden, E.M.; Lautersztain, J.; Naber, S.P.; Del Vecchio Fitz, C.; Kuperwasser, C. Detection of Occult Recurrence Using Circulating Tumor Tissue Modified Viral HPV DNA among Patients Treated for HPV-Driven Oropharyngeal Carcinoma. Clin. Cancer Res. 2022, 28, 4292–4301. [Google Scholar] [CrossRef]
- McCollum, A.D.; Burrell, S.C.; Haddad, R.I.; Norris, C.M.; Tishler, R.B.; Case, M.A.; Posner, M.R.; Van den Abbeele, A.D. Positron emission tomography with 18F-fluorodeoxyglucose to predict pathologic response after induction chemotherapy and definitive chemoradiotherapy in head and neck cancer. Head Neck 2004, 26, 890–896. [Google Scholar] [CrossRef]
- Gupta, T.; Master, Z.; Kannan, S.; Agarwal, J.P.; Ghsoh-Laskar, S.; Rangarajan, V.; Murthy, V.; Budrukkar, A. Diagnostic performance of post-treatment FDG PET or FDG PET/CT imaging in head and neck cancer: A systematic review and meta-analysis. Eur. J. Nucl. Med. Mol. Imaging 2011, 38, 2083–2095. [Google Scholar] [CrossRef]
- Mehanna, H.; Wong, W.L.; McConkey, C.C.; Rahman, J.K.; Robinson, M.; Hartley, A.G.; Nutting, C.; Powell, N.; Al-Booz, H.; Robinson, M.; et al. PET-CT Surveillance versus Neck Dissection in Advanced Head and Neck Cancer. N. Engl. J. Med. 2016, 374, 1444–1454. [Google Scholar] [CrossRef]
- Kim, J.W.; Oh, J.S.; Roh, J.L.; Kim, J.S.; Choi, S.H.; Nam, S.Y.; Kim, S.Y. Prognostic significance of standardized uptake value and metabolic tumour volume on (1)(8)F-FDG PET/CT in oropharyngeal squamous cell carcinoma. Eur. J. Nucl. Med. Mol. Imaging 2015, 42, 1353–1361. [Google Scholar] [CrossRef]
- Schouten, C.S.; Hakim, S.; Boellaard, R.; Bloemena, E.; Doornaert, P.A.; Witte, B.I.; Braakhuis, B.J.; Brakenhoff, R.H.; Leemans, C.R.; Hoekstra, O.S.; et al. Interaction of quantitative (18)F-FDG-PET-CT imaging parameters and human papillomavirus status in oropharyngeal squamous cell carcinoma. Head Neck 2016, 38, 529–535. [Google Scholar] [CrossRef]
- Kendi, A.T.; Magliocca, K.; Corey, A.; Nickleach, D.C.; Galt, J.; Higgins, K.; Beitler, J.J.; El-Deiry, M.W.; Wadsworth, J.T.; Hudgins, P.A.; et al. Do 18F-FDG PET/CT parameters in oropharyngeal and oral cavity squamous cell carcinomas indicate HPV status? Clin. Nucl. Med. 2015, 40, e196–e200. [Google Scholar] [CrossRef]
- Patel, Y.; Srivastava, S.; Rana, D.; Goel, A.; Suryanarayana, K.; Saini, S.K. PET-CT scan-based maximum standardized uptake value as a prognostic predictor in oropharynx squamous cell cancer. Cancer Treat. Res. Commun. 2021, 26, 100305. [Google Scholar] [CrossRef]
- Vanderhoek, M.; Perlman, S.B.; Jeraj, R. Impact of the definition of peak standardized uptake value on quantification of treatment response. J. Nucl. Med. 2012, 53, 4–11. [Google Scholar] [CrossRef]
- Wang, L.; Bai, J.; Duan, P. Prognostic value of 18F-FDG PET/CT functional parameters in patients with head and neck cancer: A meta-analysis. Nucl. Med. Commun. 2019, 40, 361–369. [Google Scholar] [CrossRef]
- Kendi, A.T.; Corey, A.; Magliocca, K.R.; Nickleach, D.C.; Galt, J.; Switchenko, J.M.; El-Deiry, M.W.; Wadsworth, J.T.; Hudgins, P.A.; Saba, N.F.; et al. 18F-FDG-PET/CT parameters as imaging biomarkers in oral cavity squamous cell carcinoma, is visual analysis of PET and contrast enhanced CT better than the numbers? Eur. J. Radiol. 2015, 84, 1171–1176. [Google Scholar] [CrossRef]
- Lim, R.S.; Ramdave, S.; Beech, P.; Billah, B.; Karim, M.N.; Smith, J.A.; Safdar, A.; Sigston, E. Utility of SUV(max) on (18) F-FDG PET in detecting cervical nodal metastases. Cancer Imaging 2016, 16, 39. [Google Scholar] [CrossRef]
- Roman, B.R.; Goldenberg, D.; Givi, B.; Education Committee of American Head and Neck Society (AHNS). AHNS Series—Do you know your guidelines? Guideline recommended follow-up and surveillance of head and neck cancer survivors. Head Neck 2016, 38, 168–174. [Google Scholar] [CrossRef]
- Rabalais, A.G.; Walvekar, R.; Nuss, D.; McWhorter, A.; Wood, C.; Fields, R.; Mercante, D.E.; Pou, A.M. Positron emission tomography-computed tomography surveillance for the node-positive neck after chemoradiotherapy. Laryngoscope 2009, 119, 1120–1124. [Google Scholar] [CrossRef]
- Ho, A.S.; Tsao, G.J.; Chen, F.W.; Shen, T.; Kaplan, M.J.; Colevas, A.D.; Fischbein, N.J.; Quon, A.; Le, Q.T.; Pinto, H.A.; et al. Impact of positron emission tomography/computed tomography surveillance at 12 and 24 months for detecting head and neck cancer recurrence. Cancer 2013, 119, 1349–1356. [Google Scholar] [CrossRef]
- Isles, M.G.; McConkey, C.; Mehanna, H.M. A systematic review and meta-analysis of the role of positron emission tomography in the follow up of head and neck squamous cell carcinoma following radiotherapy or chemoradiotherapy. Clin. Otolaryngol. 2008, 33, 210–222. [Google Scholar] [CrossRef]
- Ritoe, S.C.; Krabbe, P.F.; Kaanders, J.H.; van den Hoogen, F.J.; Verbeek, A.L.; Marres, H.A. Value of routine follow-up for patients cured of laryngeal carcinoma. Cancer 2004, 101, 1382–1389. [Google Scholar] [CrossRef] [PubMed]
- Schwartz, D.L.; Barker, J., Jr.; Chansky, K.; Yueh, B.; Raminfar, L.; Drago, P.; Cha, C.; Austin-Seymour, M.; Laramore, G.E.; Hillel, A.D.; et al. Postradiotherapy surveillance practice for head and neck squamous cell carcinoma—too much for too little? Head Neck 2003, 25, 990–999. [Google Scholar] [CrossRef] [PubMed]
- Roman, B.R.; Patel, S.G.; Wang, M.B.; Pou, A.M.; Holsinger, F.C.; Myssiorek, D.; Goldenberg, D.; Swisher-McClure, S.; Lin, A.; Shah, J.P.; et al. Guideline familiarity predicts variation in self-reported use of routine surveillance PET/CT by physicians who treat head and neck cancer. J. Natl. Compr. Canc. Netw. 2015, 13, 69–77. [Google Scholar] [CrossRef] [PubMed]
- Dunsky, K.A.; Wehrmann, D.J.; Osman, M.M.; Thornberry, B.M.; Varvares, M.A. PET-CT and the detection of the asymptomatic recurrence or second primary lesions in the treated head and neck cancer patient. Laryngoscope 2013, 123, 2161–2164. [Google Scholar] [CrossRef]
- Beswick, D.M.; Gooding, W.E.; Johnson, J.T.; Branstetter, B.F. Temporal patterns of head and neck squamous cell carcinoma recurrence with positron-emission tomography/computed tomography monitoring. Laryngoscope 2012, 122, 1512–1517. [Google Scholar] [CrossRef]
- Spector, M.E.; Chinn, S.B.; Rosko, A.J.; Worden, F.P.; Ward, P.D.; Divi, V.; McLean, S.A.; Moyer, J.S.; Prince, M.E.; Wolf, G.T.; et al. Diagnostic modalities for distant metastasis in head and neck squamous cell carcinoma: Are we changing life expectancy? Laryngoscope 2012, 122, 1507–1511. [Google Scholar] [CrossRef]
- Diamant, A.; Chatterjee, A.; Vallieres, M.; Shenouda, G.; Seuntjens, J. Deep learning in head & neck cancer outcome prediction. Sci. Rep. 2019, 9, 2764. [Google Scholar] [CrossRef]
- Kann, B.H.; Aneja, S.; Loganadane, G.V.; Kelly, J.R.; Smith, S.M.; Decker, R.H.; Yu, J.B.; Park, H.S.; Yarbrough, W.G.; Malhotra, A.; et al. Pretreatment Identification of Head and Neck Cancer Nodal Metastasis and Extranodal Extension Using Deep Learning Neural Networks. Sci. Rep. 2018, 8, 14036. [Google Scholar] [CrossRef]
- Kann, B.H.; Hicks, D.F.; Payabvash, S.; Mahajan, A.; Du, J.; Gupta, V.; Park, H.S.; Yu, J.B.; Yarbrough, W.G.; Burtness, B.A.; et al. Multi-Institutional Validation of Deep Learning for Pretreatment Identification of Extranodal Extension in Head and Neck Squamous Cell Carcinoma. J. Clin. Oncol. 2020, 38, 1304–1311. [Google Scholar] [CrossRef]
- Avery, E.; Sanelli, P.C.; Aboian, M.; Payabvash, S. Radiomics: A Primer on Processing Workflow and Analysis. Semin. Ultrasound. CT MR 2022, 43, 142–146. [Google Scholar] [CrossRef]
- Haider, S.P.; Mahajan, A.; Zeevi, T.; Baumeister, P.; Reichel, C.; Sharaf, K.; Forghani, R.; Kucukkaya, A.S.; Kann, B.H.; Judson, B.L.; et al. PET/CT radiomics signature of human papilloma virus association in oropharyngeal squamous cell carcinoma. Eur. J. Nucl. Med. Mol. Imaging 2020, 47, 2978–2991. [Google Scholar] [CrossRef]
- Bogowicz, M.; Riesterer, O.; Stark, L.S.; Studer, G.; Unkelbach, J.; Guckenberger, M.; Tanadini-Lang, S. Comparison of PET and CT radiomics for prediction of local tumor control in head and neck squamous cell carcinoma. Acta Oncol. 2017, 56, 1531–1536. [Google Scholar] [CrossRef]
- Liu, Z.; Cao, Y.; Diao, W.; Cheng, Y.; Jia, Z.; Peng, X. Radiomics-based prediction of survival in patients with head and neck squamous cell carcinoma based on pre- and post-treatment (18)F-PET/CT. Aging 2020, 12, 14593–14619. [Google Scholar] [CrossRef]
- Belli, M.L.; Mori, M.; Broggi, S.; Cattaneo, G.M.; Bettinardi, V.; Dell’Oca, I.; Fallanca, F.; Passoni, P.; Vanoli, E.G.; Calandrino, R.; et al. Quantifying the robustness of [(18)F] FDG-PET/CT radiomic features with respect to tumor delineation in head and neck and pancreatic cancer patients. Phys. Med. 2018, 49, 105–111. [Google Scholar] [CrossRef]
- Oreiller, V.; Andrearczyk, V.; Jreige, M.; Boughdad, S.; Elhalawani, H.; Castelli, J.; Vallieres, M.; Zhu, S.; Xie, J.; Peng, Y.; et al. Head and neck tumor segmentation in PET/CT: The HECKTOR challenge. Med. Image Anal. 2022, 77, 102336. [Google Scholar] [CrossRef]
- Huang, B.; Chen, Z.; Wu, P.M.; Ye, Y.; Feng, S.T.; Wong, C.O.; Zheng, L.; Liu, Y.; Wang, T.; Li, Q.; et al. Fully Automated Delineation of Gross Tumor Volume for Head and Neck Cancer on PET-CT Using Deep Learning: A Dual-Center Study. Contrast. Media Mol. Imaging 2018, 2018, 8923028. [Google Scholar] [CrossRef]
- Moe, Y.M.; Groendahl, A.R.; Tomic, O.; Dale, E.; Malinen, E.; Futsaether, C.M. Deep learning-based auto-delineation of gross tumour volumes and involved nodes in PET/CT images of head and neck cancer patients. Eur. J. Nucl. Med. Mol. Imaging 2021, 48, 2782–2792. [Google Scholar] [CrossRef]
- Wahid, K.A.; He, R.; Dede, C.; Mohamed, A.S.R.; Abdelaal, M.A.; van Dijk, L.V.; Fuller, C.D.; Naser, M.A. Combining Tumor Segmentation Masks with PET/CT Images and Clinical Data in a Deep Learning Framework for Improved Prognostic Prediction in Head and Neck Squamous Cell Carcinoma. Head Neck Tumor Segm. Chall. 2022, 13209, 300–307. [Google Scholar] [CrossRef]
- Naser, M.A.; Wahid, K.A.; Mohamed, A.S.R.; Abdelaal, M.A.; He, R.; Dede, C.; van Dijk, L.V.; Fuller, C.D. Progression Free Survival Prediction for Head and Neck Cancer Using Deep Learning Based on Clinical and PET/CT Imaging Data. Head Neck Tumor Segm. Chall. 2022, 13209, 287–299. [Google Scholar] [CrossRef]
- Ypsilantis, P.P.; Siddique, M.; Sohn, H.M.; Davies, A.; Cook, G.; Goh, V.; Montana, G. Predicting Response to Neoadjuvant Chemotherapy with PET Imaging Using Convolutional Neural Networks. PLoS ONE 2015, 10, e0137036. [Google Scholar] [CrossRef]
- Syed, M.; Flechsig, P.; Liermann, J.; Windisch, P.; Staudinger, F.; Akbaba, S.; Koerber, S.A.; Freudlsperger, C.; Plinkert, P.K.; Debus, J.; et al. Fibroblast activation protein inhibitor (FAPI) PET for diagnostics and advanced targeted radiotherapy in head and neck cancers. Eur. J. Nucl. Med. Mol. Imaging 2020, 47, 2836–2845. [Google Scholar] [CrossRef] [PubMed]
- Li, Z.; Belitzky, E.; Blaha, O.; Cavaliere, A.; Katz, S.R.; Aboian, M.; Melegari, L.; Rajabimoghadam, K.; Kurpiewski, S.; Zhu, X.; et al. ImmunoPET Imaging Identifies the Optimal Timepoint for Combination Therapy in Xenograft Models of Triple-Negative Breast Cancer. Cancers 2023, 15, 1589. [Google Scholar] [CrossRef] [PubMed]








Disclaimer/Publisher’s Note: The statements, opinions and data contained in all publications are solely those of the individual author(s) and contributor(s) and not of MDPI and/or the editor(s). MDPI and/or the editor(s) disclaim responsibility for any injury to people or property resulting from any ideas, methods, instructions or products referred to in the content. |
© 2023 by the authors. Licensee MDPI, Basel, Switzerland. This article is an open access article distributed under the terms and conditions of the Creative Commons Attribution (CC BY) license (https://creativecommons.org/licenses/by/4.0/).
Share and Cite
Avery, E.W.; Joshi, K.; Mehra, S.; Mahajan, A. Role of PET/CT in Oropharyngeal Cancers. Cancers 2023, 15, 2651. https://doi.org/10.3390/cancers15092651
Avery EW, Joshi K, Mehra S, Mahajan A. Role of PET/CT in Oropharyngeal Cancers. Cancers. 2023; 15(9):2651. https://doi.org/10.3390/cancers15092651
Chicago/Turabian StyleAvery, Emily W., Kavita Joshi, Saral Mehra, and Amit Mahajan. 2023. "Role of PET/CT in Oropharyngeal Cancers" Cancers 15, no. 9: 2651. https://doi.org/10.3390/cancers15092651
APA StyleAvery, E. W., Joshi, K., Mehra, S., & Mahajan, A. (2023). Role of PET/CT in Oropharyngeal Cancers. Cancers, 15(9), 2651. https://doi.org/10.3390/cancers15092651

