Endoscopic Treatment of T1 Colorectal Cancer
Abstract
Simple Summary
Abstract
1. Introduction
2. Endoscopic Evaluation of Colorectal Lesions—Not Always Perfect
3. T1 CRC—Not All Criteria for ‘Curative’ vs. ‘Noncurative’ Resection Are Equally Important
4. Optimizing the Prediction of Lymph-Node Metastasis Risk of T1 CRC
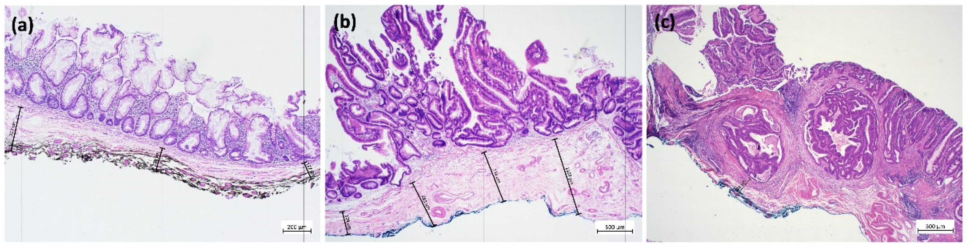
5. Endoscopic Resection Techniques and Specimen Quality
5.1. ESD
5.2. Endoscopic Intermuscular Dissection (EID)
5.3. Endoscopic Full Thickness Resection (EFTR)
5.4. Endoscopic Submucosal Resection (ESR)
6. Conclusions
Author Contributions
Funding
Conflicts of Interest
Dedication
References
- Ferlay, J.; Colombet, M.; Soerjomataram, I.; Dyba, T.; Randi, G.; Bettio, M.; Gavin, A.; Visser, O.; Bray, F. Cancer incidence and mortality patterns in Europe: Estimates for 40 countries and 25 major cancers in 2018. Eur. J. Cancer 2018, 103, 356–387. [Google Scholar] [CrossRef] [PubMed]
- Bretthauer, M.; Loberg, M.; Kaminski, M.F. Colonoscopy Screening and Colorectal Cancer Incidence and Mortality. Reply. N. Engl. J. Med. 2023, 388, 378–379. [Google Scholar] [CrossRef]
- Pox, C.P.; Schmiegel, W. [German S3-guideline colorectal carcinoma]. Dtsch. Med. Wochenschr. 2013, 138, 2545. [Google Scholar] [CrossRef]
- Bisschops, R.; East, J.E.; Hassan, C.; Hazewinkel, Y.; Kamiński, M.F.; Neumann, H.; Pellisé, M.; Antonelli, G.; Bustamante Balen, M.; Coron, E.; et al. Advanced imaging for detection and differentiation of colorectal neoplasia: European Society of Gastrointestinal Endoscopy (ESGE) Guideline—Update 2019. Endoscopy 2019, 51, 1155–1179. [Google Scholar] [CrossRef] [PubMed]
- Hayashi, N.; Tanaka, S.; Hewett, D.G.; Kaltenbach, T.R.; Sano, Y.; Ponchon, T.; Saunders, B.P.; Rex, D.K.; Soetikno, R.M. Endoscopic prediction of deep submucosal invasive carcinoma: Validation of the narrow-band imaging international colorectal endoscopic (NICE) classification. Gastrointest Endosc. 2013, 78, 625–632. [Google Scholar] [CrossRef] [PubMed]
- Sano, Y.; Tanaka, S.; Kudo, S.E.; Saito, S.; Matsuda, T.; Wada, Y.; Fujii, T.; Ikematsu, H.; Uraoka, T.; Kobayashi, N.; et al. Narrow-band imaging (NBI) magnifying endoscopic classification of colorectal tumors proposed by the Japan NBI Expert Team. Dig. Endosc. 2016, 28, 526–533. [Google Scholar] [CrossRef] [PubMed]
- Pimentel-Nunes, P.; Libanio, D.; Bastiaansen, B.A.J.; Bhandari, P.; Bisschops, R.; Bourke, M.J.; Esposito, G.; Lemmers, A.; Maselli, R.; Messmann, H.; et al. Endoscopic submucosal dissection for superficial gastrointestinal lesions: European Society of Gastrointestinal Endoscopy (ESGE) Guideline—Update 2022. Endoscopy 2022, 54, 591–622. [Google Scholar] [CrossRef]
- Bogie, R.M.M.; Veldman, M.H.J.; Snijders, L.; Winkens, B.; Kaltenbach, T.; Masclee, A.A.M.; Matsuda, T.; Rondagh, E.J.A.; Soetikno, R.; Tanaka, S.; et al. Endoscopic subtypes of colorectal laterally spreading tumors (LSTs) and the risk of submucosal invasion: A meta-analysis. Endoscopy 2018, 50, 263–282. [Google Scholar] [CrossRef]
- Pimentel-Nunes, P.; Dinis-Ribeiro, M.; Ponchon, T.; Repici, A.; Vieth, M.; De Ceglie, A.; Amato, A.; Berr, F.; Bhandari, P.; Bialek, A.; et al. Endoscopic submucosal dissection: European Society of Gastrointestinal Endoscopy (ESGE) Guideline. Endoscopy 2015, 47, 829–854. [Google Scholar] [CrossRef]
- Komeda, Y.; Kashida, H.; Sakurai, T.; Asakuma, Y.; Tribonias, G.; Nagai, T.; Kono, M.; Minaga, K.; Takenaka, M.; Arizumi, T.; et al. Magnifying Narrow Band Imaging (NBI) for the Diagnosis of Localized Colorectal Lesions Using the Japan NBI Expert Team (JNET) Classification. Oncology 2017, 93 (Suppl. S1), 49–54. [Google Scholar] [CrossRef]
- Endoscopic Classification Review, G. Update on the paris classification of superficial neoplastic lesions in the digestive tract. Endoscopy 2005, 37, 570–578. [Google Scholar] [CrossRef] [PubMed]
- Matsumura, T.; Ebigbo, A.; Rommele, C.; Ikematsu, H.; Ishigami, H.; Suzuki, T.; Harada, H.; Yada, T.; Takatori, Y.; Takeuchi, M.; et al. Diagnostic Value of Adding Magnifying Chromoendoscopy to Magnifying Narrow-Band Imaging Endoscopy for Colorectal Polyps. Clin. Gastroenterol. Hepatol. Off. Clin. Pract. J. Am. Gastroenterol. Assoc. 2023; in press. [Google Scholar] [CrossRef]
- Messmann, H.; Bisschops, R.; Antonelli, G.; Libanio, D.; Sinonquel, P.; Abdelrahim, M.; Ahmad, O.F.; Areia, M.; Bergman, J.; Bhandari, P.; et al. Expected value of artificial intelligence in gastrointestinal endoscopy: European Society of Gastrointestinal Endoscopy (ESGE) Position Statement. Endoscopy 2022, 54, 1211–1231. [Google Scholar] [CrossRef] [PubMed]
- Backes, Y.; Moss, A.; Reitsma, J.B.; Siersema, P.D.; Moons, L.M. Narrow Band Imaging, Magnifying Chromoendoscopy, and Gross Morphological Features for the Optical Diagnosis of T1 Colorectal Cancer and Deep Submucosal Invasion: A Systematic Review and Meta-Analysis. Am. J. Gastroenterol. 2017, 112, 54–64. [Google Scholar] [CrossRef] [PubMed]
- Shahidi, N.; Vosko, S.; van Hattem, W.A.; Sidhu, M.; Bourke, M.J. Optical evaluation: The crux for effective management of colorectal neoplasia. Therap. Adv. Gastroenterol. 2020, 13, 1756284820922746. [Google Scholar] [CrossRef] [PubMed]
- Zwager, L.W.; Bastiaansen, B.A.J.; Montazeri, N.S.M.; Hompes, R.; Barresi, V.; Ichimasa, K.; Kawachi, H.; Machado, I.; Masaki, T.; Sheng, W.; et al. Deep Submucosal Invasion Is Not an Independent Risk Factor for Lymph Node Metastasis in T1 Colorectal Cancer: A Meta-Analysis. Gastroenterology 2022, 163, 174–189. [Google Scholar] [CrossRef] [PubMed]
- Goto, S.; Hasegawa, S.; Hida, K.; Uozumi, R.; Kanemitsu, Y.; Watanabe, T.; Sugihara, K.; Sakai, Y.; Study Group for Nomogram of the Japanese Society for Cancer of the Colon and Rectum. Multicenter analysis of impact of anastomotic leakage on long-term oncologic outcomes after curative resection of colon cancer. Surgery 2017, 162, 317–324. [Google Scholar] [CrossRef]
- Tanaka, S.; Kashida, H.; Saito, Y.; Yahagi, N.; Yamano, H.; Saito, S.; Hisabe, T.; Yao, T.; Watanabe, M.; Yoshida, M.; et al. JGES guidelines for colorectal endoscopic submucosal dissection/endoscopic mucosal resection. Dig. Endosc. 2015, 27, 417–434. [Google Scholar] [CrossRef]
- Draganov, P.V.; Wang, A.Y.; Othman, M.O.; Fukami, N. AGA Institute Clinical Practice Update: Endoscopic Submucosal Dissection in the United States. Clin. Gastroenterol. Hepatol. Off. Clin. Pract. J. Am. Gastroenterol. Assoc. 2019, 17, 16–25.e11. [Google Scholar] [CrossRef]
- Vogel, J.D.; Felder, S.I.; Bhama, A.R.; Hawkins, A.T.; Langenfeld, S.J.; Shaffer, V.O.; Thorsen, A.J.; Weiser, M.R.; Chang, G.J.; Lightner, A.L.; et al. The American Society of Colon and Rectal Surgeons Clinical Practice Guidelines for the Management of Colon Cancer. Dis. Colon. Rectum. 2022, 65, 148–177. [Google Scholar] [CrossRef]
- Lugli, A.; Kirsch, R.; Ajioka, Y.; Bosman, F.; Cathomas, G.; Dawson, H.; El Zimaity, H.; Fléjou, J.F.; Hansen, T.P.; Hartmann, A.; et al. Recommendations for reporting tumor budding in colorectal cancer based on the International Tumor Budding Consensus Conference (ITBCC) 2016. Mod. Pathol. 2017, 30, 1299–1311. [Google Scholar] [CrossRef]
- Lugli, A.; Zlobec, I.; Berger, M.D.; Kirsch, R.; Nagtegaal, I.D. Tumour budding in solid cancers. Nat. Rev. Clin. Oncol. 2021, 18, 101–115. [Google Scholar] [CrossRef] [PubMed]
- Ichimasa, K.; Kudo, S.E.; Kouyama, Y.; Mochizuki, K.; Takashina, Y.; Misawa, M.; Mori, Y.; Hayashi, T.; Wakamura, K.; Miyachi, H. Tumor Location as a Prognostic Factor in T1 Colorectal Cancer. J. Anus. Rectum. Colon 2022, 6, 9–15. [Google Scholar] [CrossRef]
- Arthursson, V.; Medic, S.; Syk, I.; Rönnow, C.F.; Thorlacius, H. Risk of recurrence after endoscopic resection of nonpedunculated T1 colorectal cancer. Endoscopy 2022, 54, 1071–1077. [Google Scholar] [CrossRef]
- Mochizuki, K.; Kudo, S.E.; Ichimasa, K.; Kouyama, Y.; Matsudaira, S.; Takashina, Y.; Maeda, Y.; Ishigaki, T.; Nakamura, H.; Toyoshima, N.; et al. Left-sided location is a risk factor for lymph node metastasis of T1 colorectal cancer: A single-center retrospective study. Int. J. Colorectal Dis. 2020, 35, 1911–1919. [Google Scholar] [CrossRef] [PubMed]
- Zong, Z.; Li, H.; Hu, C.G.; Tang, F.X.; Liu, Z.Y.; Deng, P.; Zhou, T.C.; Yi, C.H. Predictors of lymph-node metastasis in surgically resected T1 colorectal cancer in Western populations. Gastroenterol. Rep. 2021, 9, 470–474. [Google Scholar] [CrossRef]
- Dang, H.; Dekkers, N.; le Cessie, S.; van Hooft, J.E.; van Leerdam, M.E.; Oldenburg, P.P.; Flothuis, L.; Schoones, J.W.; Langers, A.M.J.; Hardwick, J.C.H.; et al. Risk and Time Pattern of Recurrences After Local Endoscopic Resection of T1 Colorectal Cancer: A Meta-analysis. Clin. Gastroenterol. Hepatol. Off. Clin. Pract. J. Am. Gastroenterol. Assoc. 2022, 20, e298–e314. [Google Scholar] [CrossRef] [PubMed]
- Yasue, C.; Chino, A.; Takamatsu, M.; Namikawa, K.; Ide, D.; Saito, S.; Igarashi, M.; Fujisaki, J. Pathological risk factors and predictive endoscopic factors for lymph node metastasis of T1 colorectal cancer: A single-center study of 846 lesions. J. Gastroenterol. 2019, 54, 708–717. [Google Scholar] [CrossRef] [PubMed]
- Rönnow, C.F.; Arthursson, V.; Toth, E.; Krarup, P.M.; Syk, I.; Thorlacius, H. Lymphovascular Infiltration, Not Depth of Invasion, is the Critical Risk Factor of Metastases in Early Colorectal Cancer: Retrospective Population-based Cohort Study on Prospectively Collected Data, Including Validation. Ann. Surg. 2022, 275, e148–e154. [Google Scholar] [CrossRef]
- Yamaoka, Y.; Shiomi, A.; Kagawa, H.; Hino, H.; Manabe, S.; Chen, K.; Nanishi, K.; Notsu, A. Lymph node metastasis in T1 colorectal cancer with the only high-risk histology of submucosal invasion depth ≥ 1000 μm. Int. J. Colorectal Dis. 2022, 37, 2387–2395. [Google Scholar] [CrossRef]
- Morini, A.; Annicchiarico, A.; De Giorgi, F.; Ferioli, E.; Romboli, A.; Montali, F.; Crafa, P.; Costi, R. Local excision of T1 colorectal cancer: Good differentiation, absence of lymphovascular invasion, and limited tumor radial infiltration (≤4.25 mm) may allow avoiding radical surgery. Int. J. Colorectal Dis. 2022, 37, 2525–2533. [Google Scholar] [CrossRef]
- Santos-Antunes, J.; Pioche, M.; Ramos-Zabala, F.; Cecinato, P.; Gallego Rojo, F.J.; Barreiro, P.; Felix, C.; Sferrazza, S.; Berr, F.; Wagner, A.; et al. Risk of residual neoplasia after a noncurative colorectal endoscopic submucosal dissection for malignant lesions: A multinational study. Endoscopy 2023, 55, 235–244. [Google Scholar] [CrossRef]
- Kawachi, H.; Eishi, Y.; Ueno, H.; Nemoto, T.; Fujimori, T.; Iwashita, A.; Ajioka, Y.; Ochiai, A.; Ishiguro, S.; Shimoda, T.; et al. A three-tier classification system based on the depth of submucosal invasion and budding/sprouting can improve the treatment strategy for T1 colorectal cancer: A retrospective multicenter study. Mod. Pathol. 2015, 28, 872–879. [Google Scholar] [CrossRef]
- Kajiwara, Y.; Oka, S.; Tanaka, S.; Nakamura, T.; Saito, S.; Fukunaga, Y.; Takamatsu, M.; Kawachi, H.; Hotta, K.; Ikematsu, H.; et al. Nomogram as a novel predictive tool for lymph node metastasis in T1 colorectal cancer treated with endoscopic resection: A nationwide, multicenter study. Gastrointest Endosc. 2023, 97, 1119–1128.e5. [Google Scholar] [CrossRef]
- Kudo, S.E.; Ichimasa, K.; Villard, B.; Mori, Y.; Misawa, M.; Saito, S.; Hotta, K.; Saito, Y.; Matsuda, T.; Yamada, K.; et al. Artificial Intelligence System to Determine Risk of T1 Colorectal Cancer Metastasis to Lymph Node. Gastroenterology 2021, 160, 1075–1084.e1072. [Google Scholar] [CrossRef]
- Wada, Y.; Shimada, M.; Murano, T.; Takamaru, H.; Morine, Y.; Ikemoto, T.; Saito, Y.; Balaguer, F.; Bujanda, L.; Pellise, M.; et al. A Liquid Biopsy Assay for Noninvasive Identification of Lymph Node Metastases in T1 Colorectal Cancer. Gastroenterology 2021, 161, 151–162.e151. [Google Scholar] [CrossRef] [PubMed]
- Piao, Z.; Ge, R.; Wang, C. A proposal for grading the risk of lymph node metastasis after endoscopic resection of T1 colorectal cancer. Int. J. Colorectal Dis. 2023, 38, 25. [Google Scholar] [CrossRef]
- Miyazaki, K.; Wada, Y.; Okuno, K.; Murano, T.; Morine, Y.; Ikemoto, T.; Saito, Y.; Ikematsu, H.; Kinugasa, Y.; Shimada, M.; et al. An exosome-based liquid biopsy signature for pre-operative identification of lymph node metastasis in patients with pathological high-risk T1 colorectal cancer. Mol. Cancer 2023, 22, 2. [Google Scholar] [CrossRef] [PubMed]
- Takamatsu, M.; Yamamoto, N.; Kawachi, H.; Nakano, K.; Saito, S.; Fukunaga, Y.; Takeuchi, K. Prediction of lymph node metastasis in early colorectal cancer based on histologic images by artificial intelligence. Sci. Rep. 2022, 12, 2963. [Google Scholar] [CrossRef] [PubMed]
- Song, J.H.; Hong, Y.; Kim, E.R.; Kim, S.H.; Sohn, I. Utility of artificial intelligence with deep learning of hematoxylin and eosin-stained whole slide images to predict lymph node metastasis in T1 colorectal cancer using endoscopically resected specimens; prediction of lymph node metastasis in T1 colorectal cancer. J. Gastroenterol. 2022, 57, 654–666. [Google Scholar] [CrossRef]
- Kasahara, K.; Katsumata, K.; Saito, A.; Ishizaki, T.; Enomoto, M.; Mazaki, J.; Tago, T.; Nagakawa, Y.; Matsubayashi, J.; Nagao, T.; et al. Artificial intelligence predicts lymph node metastasis or risk of lymph node metastasis in T1 colorectal cancer. Int. J. Clin. Oncol. 2022, 27, 1570–1579. [Google Scholar] [CrossRef] [PubMed]
- Yan, S.; Ding, H.; Zhao, X.; Wang, J.; Deng, W. Development and validation of a nomogram for further decision of radical surgery in pT1 colorectal cancer after local resection. Int. J. Color. Dis. 2021, 36, 1499–1506. [Google Scholar] [CrossRef]
- Tang, M.; Wang, H.; Cao, Y.; Zeng, Z.; Shan, X.; Wang, L. Nomogram for predicting occurrence and prognosis of liver metastasis in colorectal cancer: A population-based study. Int. J. Color. Dis. 2021, 36, 271–282. [Google Scholar] [CrossRef]
- Kang, J.; Choi, Y.J.; Kim, I.K.; Lee, H.S.; Kim, H.; Baik, S.H.; Kim, N.K.; Lee, K.Y. LASSO-Based Machine Learning Algorithm for Prediction of Lymph Node Metastasis in T1 Colorectal Cancer. Cancer Res. Treat. Off. J. Korean Cancer Assoc. 2021, 53, 773–783. [Google Scholar] [CrossRef]
- Metter, K.; Dumoulin, F.L.; Grund, K.E.; Hildenbrand, R.; Varnai-Händel, A.D.; Weingardt-Kocher, S.; Weißinger, S.E. Endoskopische Submukosaresektion (ESR)- retrospektiver Kohortenvergleich von endoskopischen Resektaten mit/ohne vorherige Umschneidung. Z. Gastroenterol. 2022, 60, KA414. [Google Scholar] [CrossRef]
- Yamada, M.; Saito, Y.; Takamaru, H.; Sasaki, H.; Yokota, T.; Matsuyama, Y.; Sato, Y.; Sakamoto, T.; Nakajima, T.; Taniguchi, H.; et al. Long-term clinical outcomes of endoscopic submucosal dissection for colorectal neoplasms in 423 cases: A retrospective study. Endoscopy 2017, 49, 233–242. [Google Scholar] [CrossRef] [PubMed]
- Shin, J.; Kim, E.R.; Jang, H.J.; Baek, D.H.; Yang, D.H.; Lee, B.I.; Cho, K.B.; Cho, J.W.; Jung, S.A.; Hong, S.J.; et al. Long-term prognosis of curative endoscopic submucosal dissection for early colorectal cancer according to submucosal invasion: A multicenter cohort study. BMC Gastroenterol. 2022, 22, 417. [Google Scholar] [CrossRef] [PubMed]
- Spadaccini, M.; Bourke, M.J.; Maselli, R.; Pioche, M.; Bhandari, P.; Jacques, J.; Haji, A.; Yang, D.; Albeniz, E.; Kaminski, M.F.; et al. Clinical outcome of non-curative endoscopic submucosal dissection for early colorectal cancer. Gut 2022, 71, 1998–2004. [Google Scholar] [CrossRef]
- Clees, N.; Varnai-Handel, A.D.; Hildenbrand, R.; Grund, K.E.; Metter, K.; Dumoulin, F.L. Colorectal submucosa thickness in specimens obtained by EMR versus ESD: A retrospective pilot study. Endosc. Int. Open 2022, 10, E721–E726. [Google Scholar] [CrossRef]
- Ebigbo, A. Thickness of colorectal submucosal (SM) layer in resected specimens: Is more better? Endosc. Int. Open 2022, 10, E727–E728. [Google Scholar] [CrossRef]
- Patenotte, A.; Yzet, C.; Wallenhorst, T.; Subtil, F.; Leblanc, S.; Schaefer, M.; Walter, T.; Lambin, T.; Fenouil, T.; Lafeuille, P.; et al. Diagnostic endoscopic submucosal dissection for colorectal lesions with suspected deep invasion. Endoscopy 2023, 55, 192–197. [Google Scholar] [CrossRef] [PubMed]
- Moons, L.M.G.; Bastiaansen, B.A.J.; Richir, M.C.; Hazen, W.L.; Tuynman, J.; Elias, S.G.; Schrauwen, R.W.M.; Vleggaar, F.P.; Dekker, E.; Bos, P.; et al. Endoscopic intermuscular dissection for deep submucosal invasive cancer in the rectum: A new endoscopic approach. Endoscopy 2022, 54, 993–998. [Google Scholar] [CrossRef] [PubMed]
- Schmidt, A.; Beyna, T.; Schumacher, B.; Meining, A.; Richter-Schrag, H.J.; Messmann, H.; Neuhaus, H.; Albers, D.; Birk, M.; Thimme, R.; et al. Colonoscopic full-thickness resection using an over-the-scope device: A prospective multicentre study in various indications. Gut 2018, 67, 1280–1289. [Google Scholar] [CrossRef]
- Meier, B.; Stritzke, B.; Kuellmer, A.; Zervoulakos, P.; Huebner, G.H.; Repp, M.; Walter, B.; Meining, A.; Gutberlet, K.; Wiedbrauck, T.; et al. Efficacy and Safety of Endoscopic Full-Thickness Resection in the Colorectum: Results From the German Colonic FTRD Registry. Am. J. Gastroenterol. 2020, 115, 1998–2006. [Google Scholar] [CrossRef] [PubMed]
- Kuellmer, A.; Mueller, J.; Caca, K.; Aepli, P.; Albers, D.; Schumacher, B.; Glitsch, A.; Schafer, C.; Wallstabe, I.; Hofmann, C.; et al. Endoscopic full-thickness resection for early colorectal cancer. Gastrointest Endosc. 2019, 89, 1180–1189.e1181. [Google Scholar] [CrossRef]
- Zwager, L.W.; Bastiaansen, B.A.J.; van der Spek, B.W.; Heine, D.N.; Schreuder, R.M.; Perk, L.E.; Weusten, B.; Boonstra, J.J.; van der Sluis, H.; Wolters, H.J.; et al. Endoscopic full-thickness resection of T1 colorectal cancers: A retrospective analysis from a multicenter Dutch eFTR registry. Endoscopy 2022, 54, 475–485. [Google Scholar] [CrossRef]
- Metter, K.; Aepli, P.; Dumoulin, F.L.; Hayee, B.; Grund, K.E.; Farin, G.; Frei, R. Endoscopic submucosal resection: A technique using novel devices for incision and resection of neoplastic lesions. Endoscopy 2022, 54, 1001–1006. [Google Scholar] [CrossRef]
- Ebigbo, A. Endoscopic submucosal resection: A new addition to our toolbox? Endoscopy 2022, 54, 1007–1008. [Google Scholar] [CrossRef]
- Golder, S.K.; Schaller, T.; Farin, G.; Messmann, H.; Probst, A. Partially insulated cutting instruments for hybrid endoscopic submucosal dissection—The Flat Adenoma Resection Instruments (FARIn). Endoscopy 2016, 48 (Suppl. S1), E218–E219. [Google Scholar] [CrossRef]


| Study/Year | Population | LNM (per Total Number of Cases) | LNM (sm Infiltration >1000 µm in Isolation) |
|---|---|---|---|
| Yasue et al., 2022 [28] | Endoscopic, surgical | 74/864 (8.7%) | 1.6% |
| Rönnow et al., 2022 [29] | Surgical | 150/1439 (10%) | 7.4% |
| Yamaoka et al., 2022 [30] | Surgical | 70/519 (13.5%) | 3.8% |
| Morini et al., 2022 [31] | Surgical | 15/122 (12.5%) | 2.9% |
| Santos-Antunes et al., 2023 [32] | Endoscopic | 26/96 (27%) | 0.0% |
| Study | Method | Number | Result (Prediction LNM Risk) |
|---|---|---|---|
| Yasue et al. [28] | Histology | N = 846 | LVI, budding and differentiation: OR 8.09, 1.89, 2.09 |
| Piao et al. [37] | Histology | N = 271 | LVI and grading: 0.8% vs. 66.6% LNM |
| Miyazaki et al. [38] | Exosomal miRNAs from preoperative serum | N = 200 | AUC 0.84 for LNM |
| Kajiwara et al. [34] | Nomogram | N = 4673 | SMI, budding, LVI, grading, location, sex |
| Takamatsu et al. [39] | AI/deep learning from H&E histology | N = 783 | AUC 0.76 for LNM |
| Song et al. [40] | AI/deep learning from H&E histology | N = 400 | AUC 0.76 for LNM |
| Kasahara et al. [41] | AI/deep learning from H&E histology | N = 146 | Accuracy 81.8–86.3% |
| Yan et al. [42] | Nomogram | N = 141 | LVI, location, grading AUC 0.89 |
| Wada et al. [36] | Liquid biopsy Micro RNA, mRNA | N = 330 | AUC 0.90 |
| Tang et al. [43] | Multivariate analysis | N = 476 | Early-onset CRC with higher LNM rate |
| Kudo et al. [35] | AI/deep learning with various risk factors | N = 3134 | AUC 0.83 for cases with initial endoscopic resection (n = 517) |
| Kang et al. [44] | Learning algorithm with various factors | N = 316 | AUC 0.76 |
Disclaimer/Publisher’s Note: The statements, opinions and data contained in all publications are solely those of the individual author(s) and contributor(s) and not of MDPI and/or the editor(s). MDPI and/or the editor(s) disclaim responsibility for any injury to people or property resulting from any ideas, methods, instructions or products referred to in the content. |
© 2023 by the authors. Licensee MDPI, Basel, Switzerland. This article is an open access article distributed under the terms and conditions of the Creative Commons Attribution (CC BY) license (https://creativecommons.org/licenses/by/4.0/).
Share and Cite
Metter, K.; Weißinger, S.E.; Várnai-Händel, A.; Grund, K.-E.; Dumoulin, F.L. Endoscopic Treatment of T1 Colorectal Cancer. Cancers 2023, 15, 3875. https://doi.org/10.3390/cancers15153875
Metter K, Weißinger SE, Várnai-Händel A, Grund K-E, Dumoulin FL. Endoscopic Treatment of T1 Colorectal Cancer. Cancers. 2023; 15(15):3875. https://doi.org/10.3390/cancers15153875
Chicago/Turabian StyleMetter, Klaus, Stephanie Ellen Weißinger, Alinda Várnai-Händel, Karl-Ernst Grund, and Franz Ludwig Dumoulin. 2023. "Endoscopic Treatment of T1 Colorectal Cancer" Cancers 15, no. 15: 3875. https://doi.org/10.3390/cancers15153875
APA StyleMetter, K., Weißinger, S. E., Várnai-Händel, A., Grund, K.-E., & Dumoulin, F. L. (2023). Endoscopic Treatment of T1 Colorectal Cancer. Cancers, 15(15), 3875. https://doi.org/10.3390/cancers15153875

