Cytological Comparison between Hepatocellular Carcinoma and Intrahepatic Cholangiocarcinoma by Image Analysis Software Using Touch Smear Samples of Surgically Resected Specimens
Abstract
:Simple Summary
Abstract
1. Introduction
2. Materials and Methods
2.1. Touch Smear Cytology
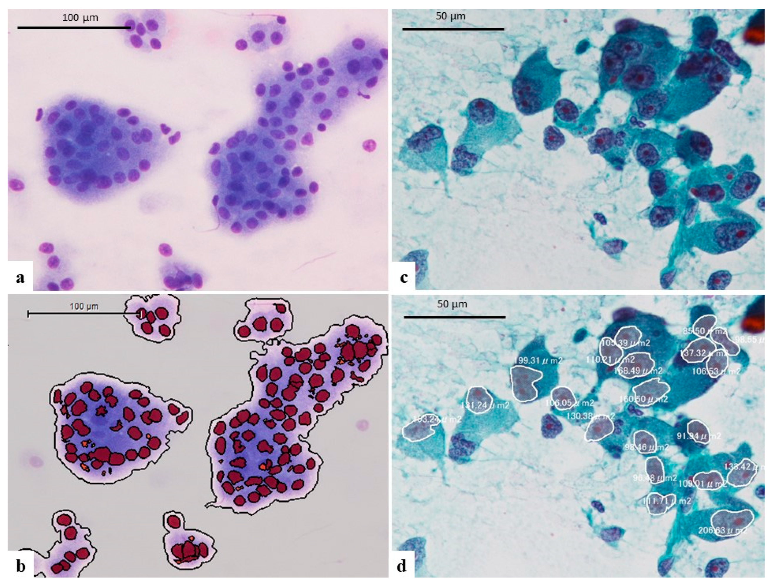
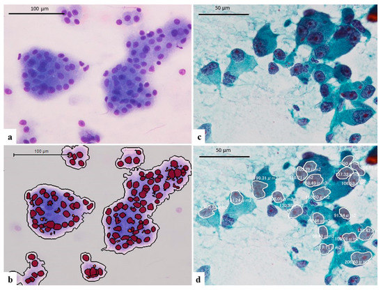
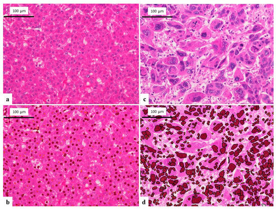
2.2. Analysis of Hematoxylin and Eosin-Stained Tissue and Giemsa-Stained Touch Smear Cytology Using Imaging Software
2.3. Analysis of Papanicolaou-Stained Touch Smear Cytology Specimens Using Imaging Software
2.4. Assessment of Cytological Findings of HCC and ICC in Papanicolaou-Stained Touch Smear Cytology Specimens
2.5. Clinical Materials of Cytology for Validation
2.6. Statistical Analysis
3. Results
3.1. Comparison of Nuclei among HCC and ICC in HE-Stained Tissue Specimens
3.2. Comparison of Nuclei among HCC and ICC in Giemsa-Stained Touch Smear Cytology Specimens
3.3. Comparison of HCC, CCC and Non-Tumorous Hepatocytes in Papanicolaou-Stained Touch Smear Cytology Specimens
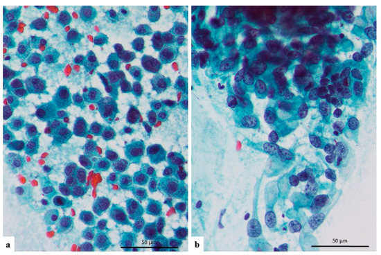
3.4. Comparison of Cytological Findings in Papanicolaou-Stained Touch Smear Cytology Specimens of ICC and HCC
3.5. Comparison of HCC and CCC in Papanicolaou-Stained Clinical Specimens
4. Discussion
5. Conclusions
Author Contributions
Funding
Institutional Review Board Statement
Informed Consent Statement
Data Availability Statement
Conflicts of Interest
References
- Ikai, I.; Kudo, M.; Arii, S.; Omata, M.; Kojiro, M.; Sakamoto, M.; Takayasu, K.; Hayashi, N.; Makuuchi, M.; Matsuyama, Y.; et al. Report of the 18th follow-up survey of primary liver cancer in Japan. Hepatol. Res. 2010, 40, 1043–1059. [Google Scholar] [CrossRef] [PubMed]
- Matsumoto, K.; Onoyama, T.; Kawata, S.; Takeda, Y.; Harada, K.; Ikebuchi, Y.; Ueki, M.; Miura, N.; Yashima, K.; Koda, M.; et al. Hepatitis B and C virus infection is a risk factor for the development of cholangiocarcinoma. Intern. Med. 2014, 53, 651–654. [Google Scholar] [CrossRef] [Green Version]
- Palmer, W.C.; Patel, T. Are common factors involved in the pathogenesis of primary liver cancers? A meta-analysis of risk factors for intrahepatic cholangiocarcinoma. J. Hepatol. 2012, 57, 69–76. [Google Scholar] [CrossRef] [PubMed] [Green Version]
- Zhou, Y.; Zhao, Y.; Li, B.; Huang, J.; Wu, L.; Xu, D.; Yang, J.; He, J. Hepatitis viruses infection and risk of intrahepatic cholangiocarcinoma: Evidence from a meta-analysis. BMC Cancer 2012, 12, 289. [Google Scholar] [CrossRef] [PubMed] [Green Version]
- Lo, E.C.; Rucker, A.N.; Federle, M.P. Hepatocellular carcinoma and intrahepatic cholangiocarcinoma: Imaging for diagnosis, tumor response to treatment and liver response to radiation. Semin. Radiat. Oncol. 2018, 28, 267–276. [Google Scholar] [CrossRef] [PubMed]
- Jiang, H.Y.; Chen, J.; Xia, C.C.; Cao, L.K.; Duan, T.; Song, B. Noninvasive imaging of hepatocellular carcinoma: From diagnosis to prognosis. World J. Gastroenterol. 2018, 24, 2348–2362. [Google Scholar] [CrossRef]
- Sun, L.; Wu, H.; Guan, Y.S. Positron emission tomography/computer tomography: Challenge to conventional imaging modalities in evaluating primary and metastatic liver malignancies. World J. Gastroenterol. 2007, 13, 2775–2783. [Google Scholar] [CrossRef]
- Roberts, L.R.; Sirlin, C.B.; Zaiem, F.; Almasri, J.; Prokop, L.J.; Heimbach, J.K.; Murad, M.H.; Mohammed, K. Imaging for the diagnosis of hepatocellular carcinoma: A systematic review and meta-analysis. Hepatology 2018, 67, 401–421. [Google Scholar] [CrossRef] [Green Version]
- Victor, D.W.; Sherman, S.; Karakan, T.; Khashab, M.A. Current endoscopic approach to indeterminate biliary strictures. World J. Gastroenterol. 2012, 18, 6197–6205. [Google Scholar] [CrossRef]
- Naito, Y.; Kawahara, A.; Okabe, Y.; Ishida, Y.; Sadashima, E.; Murata, K.; Takase, Y.; Abe, H.; Yamaguchi, T.; Tanigawa, M.; et al. SurePath®® LBC improves the diagnostic accuracy of intrahepatic and hilar cholangiocarcinoma. Cytopathology 2018, 29, 349–354. [Google Scholar] [CrossRef]
- Swamy, M.C.; Arathi, C.; Kodandaswamy, C. Value of ultrasonography-guided fine needle aspiration cytology in the investigative sequence of hepatic lesions with an emphasis on hepatocellular carcinoma. J. Cytol. 2011, 28, 178–184. [Google Scholar] [PubMed]
- Wee, A. Fine-needle aspiration biopsy of hepatocellular carcinoma and related hepatocellular nodular lesions in cirrhosis: Controversies, challenges, and expectations. Patholog. Res. Int. 2011, 2011, 587936. [Google Scholar] [CrossRef] [PubMed] [Green Version]
- Wee, A. Fine needle aspiration biopsy of hepatocellular carcinoma and hepatocellular nodular lesions: Role, controversies and approach to diagnosis. Cytopathology 2011, 22, 287–305. [Google Scholar] [CrossRef] [PubMed]
- Lin, C.C.; Lin, C.J.; Hsu, C.W.; Chen, Y.C.; Chen, W.T.; Lin, S.M. Fine-needle aspiration cytology to distinguish dysplasia from hepatocellular carcinoma with different grades. J. Gastroenterol. Hepatol. 2008, 23, e146–e152. [Google Scholar] [CrossRef]
- Zeppa, P.; Anniciello, A.; Vetrani, A.; Palombini, L. Fine needle aspiration biopsy of hepatic focal fatty change. A report of two cases. Acta Cytol. 2002, 46, 567–570. [Google Scholar] [CrossRef] [PubMed]
- Kulesza, P.; Torbenson, M.; Sheth, S.; Erozan, Y.S.; Ali, S.Z. Cytopathologic grading of hepatocellular carcinoma on fine-needle aspiration. Cancer 2004, 102, 247–258. [Google Scholar] [CrossRef]
- Yang, G.C.; Yang, G.Y.; Tao, L.C. Cytologic features and histologic correlations of microacinar and microtrabecular types of well-differentiated hepatocellular carcinoma in fine-needle aspiration biopsy. Cancer 2004, 102, 27–33. [Google Scholar] [CrossRef]
- de Boer, W.B.; Segal, A.; Frost, F.A.; Sterrett, G.F. Cytodiagnosis of well differentiated hepatocellular carcinoma: Can indeterminate diagnoses be reduced? Cancer 1999, 87, 270–277. [Google Scholar] [CrossRef]
- Wen, C.H.; Lin, C.H.; Tsao, S.C.; Su, Y.C.; Tsai, M.H.; Chai, C.Y. Micronucleus scoring in liver fine needle aspiration cytology. Cytopathology 2013, 24, 391–395. [Google Scholar] [CrossRef]
- Geramizadeh, B.; Asadi, N.; Tabei, S.Z. Cytologic comparison between malignant and regenerative nodules in the background of cirrhosis. Hepat. Mon. 2012, 12, 448–452. [Google Scholar] [CrossRef] [Green Version]
- Kaçar Özkara, S.; Ozöver Tuneli, I. Fine needle aspiration cytopathology of liver masses: 101 cases with cyto-/histopathological analysis. Acta Cytol. 2013, 57, 332–336. [Google Scholar] [CrossRef] [PubMed]
- McGahan, J.P.; Bishop, J.; Webb, J.; Howell, L.; Torok, N.; Lamba, R.; Corwin, M.T. Role of FNA and core biopsy of primary and metastatic liver disease. Int. J. Hepatol. 2013, 2013, 174103. [Google Scholar] [CrossRef] [PubMed] [Green Version]
- Chaudhary, H.B.; Bhanot, P.; Logroño, R. Phenotypic diversity of intrahepatic and extrahepatic cholangiocarcinoma on aspiration cytology and core needle biopsy: Case series and review of the literature. Cancer 2005, 105, 220–228. [Google Scholar] [CrossRef] [PubMed]
- Volmar, K.E.; Vollmer, R.T.; Routbort, M.J.; Creager, A.J. Pancreatic and bile duct brushing cytology in 1000 cases: Review of findings and comparison of preparation methods. Cancer 2006, 108, 231–238. [Google Scholar] [CrossRef] [PubMed]
- Salomao, M.; Gonda, T.A.; Margolskee, E.; Eguia, V.; Remotti, H.; Poneros, J.M.; Sethi, A.; Saqi, A. Strategies for improving diagnostic accuracy of biliary strictures. Cancer Cytopathol. 2015, 123, 244–252. [Google Scholar] [CrossRef]
- Sampatanukul, P.; Leong, A.S.; Kosolbhand, P.; Tangkijvanich, P. Proliferating ductules are a diagnostic discriminator for intrahepatic cholangiocarcinoma in FNA biopsies. Diagn. Cytopathol. 2000, 22, 359–363. [Google Scholar] [CrossRef]





| Papanicolaou | Giemsa | ||
|---|---|---|---|
| Hepatocellular carcinoma | 61 | 47 | |
| Well differentiated | 8 | 4 | |
| Moderately differentiated | 48 | 40 | |
| Poorly differentiated | 5 | 3 | |
| Intrahepatic cholangiocarcinoma | 16 | 10 | |
| Non-tumorous liver tissue | 5 | 0 | |
| HE | Giemsa | Papanicolaou | |||||||
|---|---|---|---|---|---|---|---|---|---|
| HCC | ICC | p | HCC | ICC | p | HCC | ICC | p | |
| Major axis (mean ± SD, µm) | 11.52 ± 2.98 | 14.12 ± 2.05 | 0.0003 | 16.42 ± 4.47 | 18.46 ± 3.90 | 0.26 | 6.89 ± 2.47 | 8.60 ± 3.06 | 0.057 |
| Minor axis (mean ± SD, µm) | 8.64 ± 1.91 | 9.45 ± 1.23 | 0.031 | 12.04 ± 2.93 | 13.10 ± 2.26 | 0.29 | 5.22 ± 1.79 | 5.22 ± 1.95 | 0.940 |
| Major/Minor axis ratio (mean ± SD) | 1.36 ± 0.092 | 1.54 ± 0.083 | <0.0001 | 1.39 ± 0.10 | 1.44 ± 0.12 | 0.38 | 1.32 ± 0.11 | 1.67 ± 0.27 | <0.0001 |
| Nucleus area (mean ± SD, µm2) | 77.42 ± 38.44 | 93.64 ± 21.89 | 0.0099 | 146.78 ± 68.40 | 176.32 ± 58.20 | 0.14 | 43.80 ± 27.31 | 55.37 ± 35.34 | 0.350 |
| HCC (n = 61) | CCC (n = 16) | p | ||
|---|---|---|---|---|
| nuclear contours (%) | irregular | 23 (37.70) | 2 (12.50) | 0.074 |
| smooth | 38 (62.30) | 14 (87.50) | ||
| chromatin pattern (%) | coarse/granular | 34 (55.74) | 6 (37.50) | 0.260 |
| fine | 27 (44.26) | 10 (62.50) | ||
| chromatin distribution (%) | homogeneous | 23 (37.70) | 2 (12.50) | 0.074 |
| heterogeneous | 38 (62.30) | 14 (87.50) | ||
| nuclear position (%) | center | 56 (91.80) | 1 (6.25) | <0.0001 |
| uncentre | 5 (8.20) | 15 (93.75) | ||
| number of nucleolus (%) | single/unclear | 52 (85.25) | 8 (50.00) | 0.005 |
| multiple | 9 (14.75) | 8 (50.00) | ||
| cytoplasm (%) | vacuole/foamy | 8 (13.11) | 14 (87.50) | <0.0001 |
| granular | 53 (86.89) | 2 (12.50) | ||
| cell boundaries (%) | clear | 35 (57.38) | 5 (31.25) | 0.092 |
| unclear | 26 (42.62) | 11 (68.75) |
| Sample Type | HCC (n = 4) | ICC (n = 13) | |
|---|---|---|---|
| FNA | 4 | 3 | |
| Brushing | 0 | 8 | |
| Ascites | 0 | 2 | |
| Tumor Location | |||
| Primary (liver) | 3 | 11 | |
| Metastasis/Dissemination | 1 (Lymph nodes) | 2 (Ascites) |
| HCC (n = 4) | ICC (n = 13) | p | |
|---|---|---|---|
| Major axis (mean ± SD, µm) | 8.79 ± 1.58 | 10.01 ± 1.90 | 0.308 |
| Minor axis (mean ± SD, µm) | 7.67 ± 1.32 | 7.00 ± 1.72 | 0.428 |
| Major/minor axis ratio (mean ± SD) | 1.18 ± 0.056 | 1.45 ± 0.13 | 0.004 |
| Area of nuclei (mean ± SD, µm2) | 72.00 ± 24.87 | 75.49 ± 27.47 | 0.821 |
Publisher’s Note: MDPI stays neutral with regard to jurisdictional claims in published maps and institutional affiliations. |
© 2022 by the authors. Licensee MDPI, Basel, Switzerland. This article is an open access article distributed under the terms and conditions of the Creative Commons Attribution (CC BY) license (https://creativecommons.org/licenses/by/4.0/).
Share and Cite
Kitamura, S.; Kai, K.; Nakamura, M.; Tanaka, T.; Ide, T.; Noshiro, H.; Sueoka, E.; Aishima, S. Cytological Comparison between Hepatocellular Carcinoma and Intrahepatic Cholangiocarcinoma by Image Analysis Software Using Touch Smear Samples of Surgically Resected Specimens. Cancers 2022, 14, 2301. https://doi.org/10.3390/cancers14092301
Kitamura S, Kai K, Nakamura M, Tanaka T, Ide T, Noshiro H, Sueoka E, Aishima S. Cytological Comparison between Hepatocellular Carcinoma and Intrahepatic Cholangiocarcinoma by Image Analysis Software Using Touch Smear Samples of Surgically Resected Specimens. Cancers. 2022; 14(9):2301. https://doi.org/10.3390/cancers14092301
Chicago/Turabian StyleKitamura, Sho, Keita Kai, Mitsuo Nakamura, Tomokazu Tanaka, Takao Ide, Hirokazu Noshiro, Eisaburo Sueoka, and Shinich Aishima. 2022. "Cytological Comparison between Hepatocellular Carcinoma and Intrahepatic Cholangiocarcinoma by Image Analysis Software Using Touch Smear Samples of Surgically Resected Specimens" Cancers 14, no. 9: 2301. https://doi.org/10.3390/cancers14092301
APA StyleKitamura, S., Kai, K., Nakamura, M., Tanaka, T., Ide, T., Noshiro, H., Sueoka, E., & Aishima, S. (2022). Cytological Comparison between Hepatocellular Carcinoma and Intrahepatic Cholangiocarcinoma by Image Analysis Software Using Touch Smear Samples of Surgically Resected Specimens. Cancers, 14(9), 2301. https://doi.org/10.3390/cancers14092301

