Inflammation of the Pleural Cavity: A Review on Pathogenesis, Diagnosis and Implications in Tumor Pathophysiology
Abstract
:Simple Summary
Abstract
1. Introduction
2. Pleura Definition: Anatomy, Histology, Physiology
3. Pleural Effusion Etiology
4. Pathophysiology of Pleural Inflammation
4.1. Immune Cells in Pleural Effusion
4.2. Cytokines in Pleural Effusion Formation
4.3. The Fibrinolytic Pathway
4.4. Stem Cells and Tumour Growth
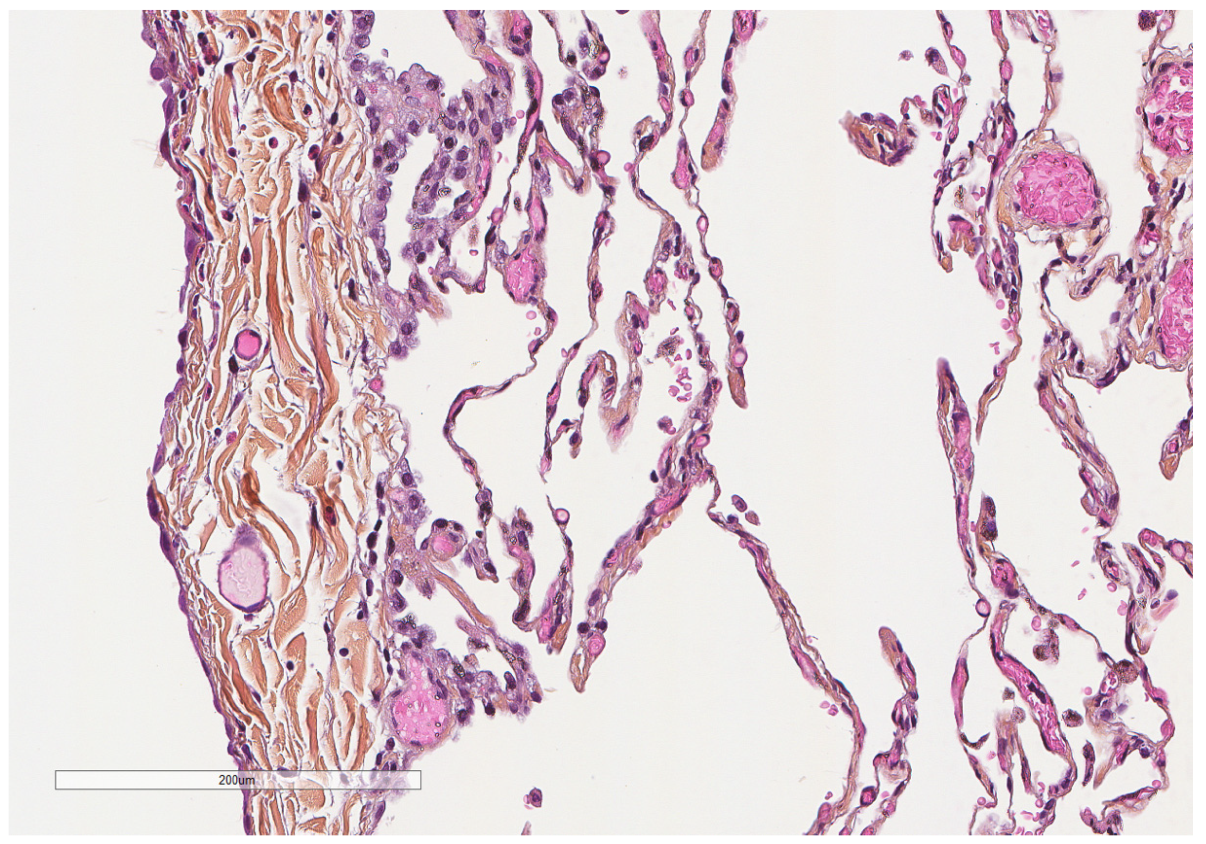
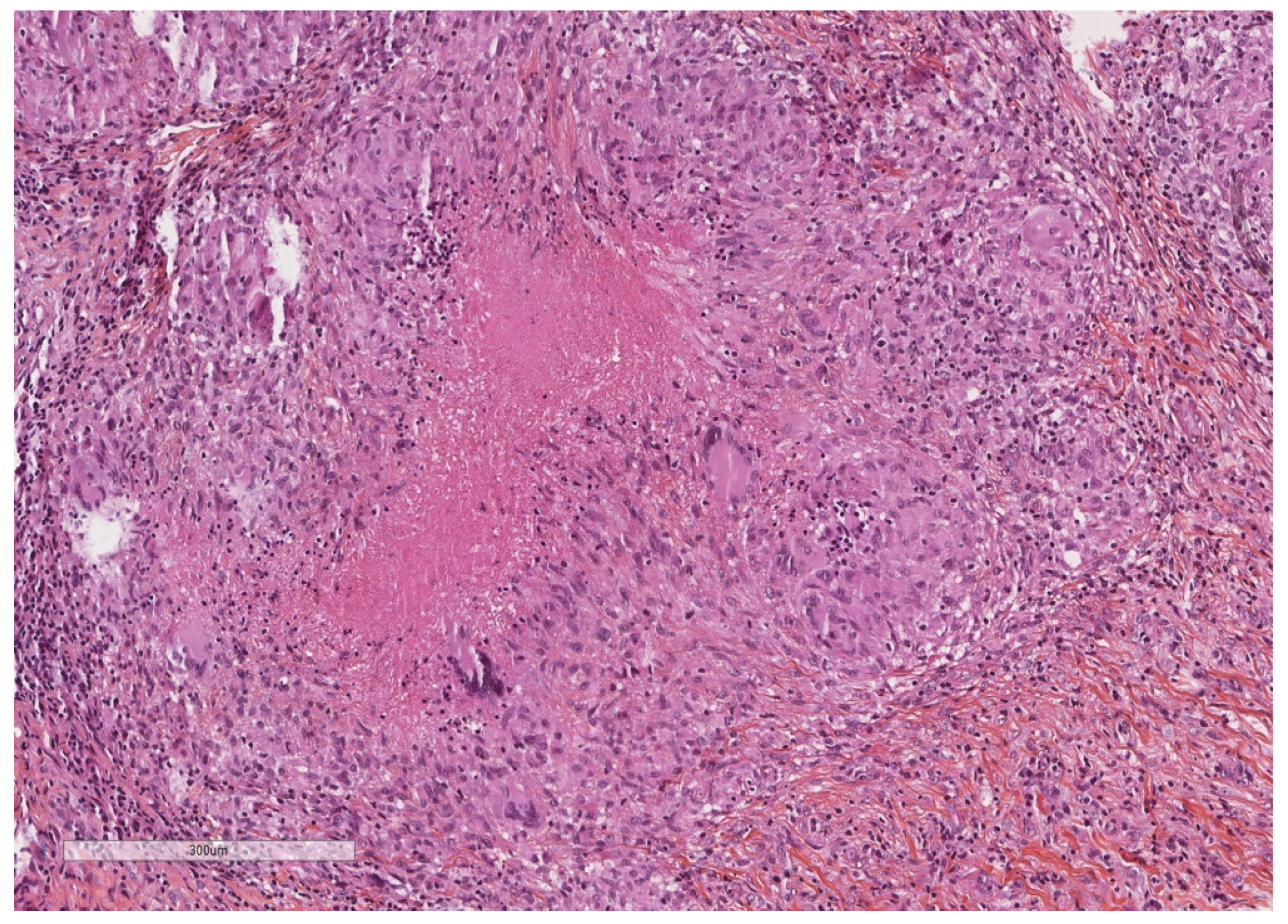
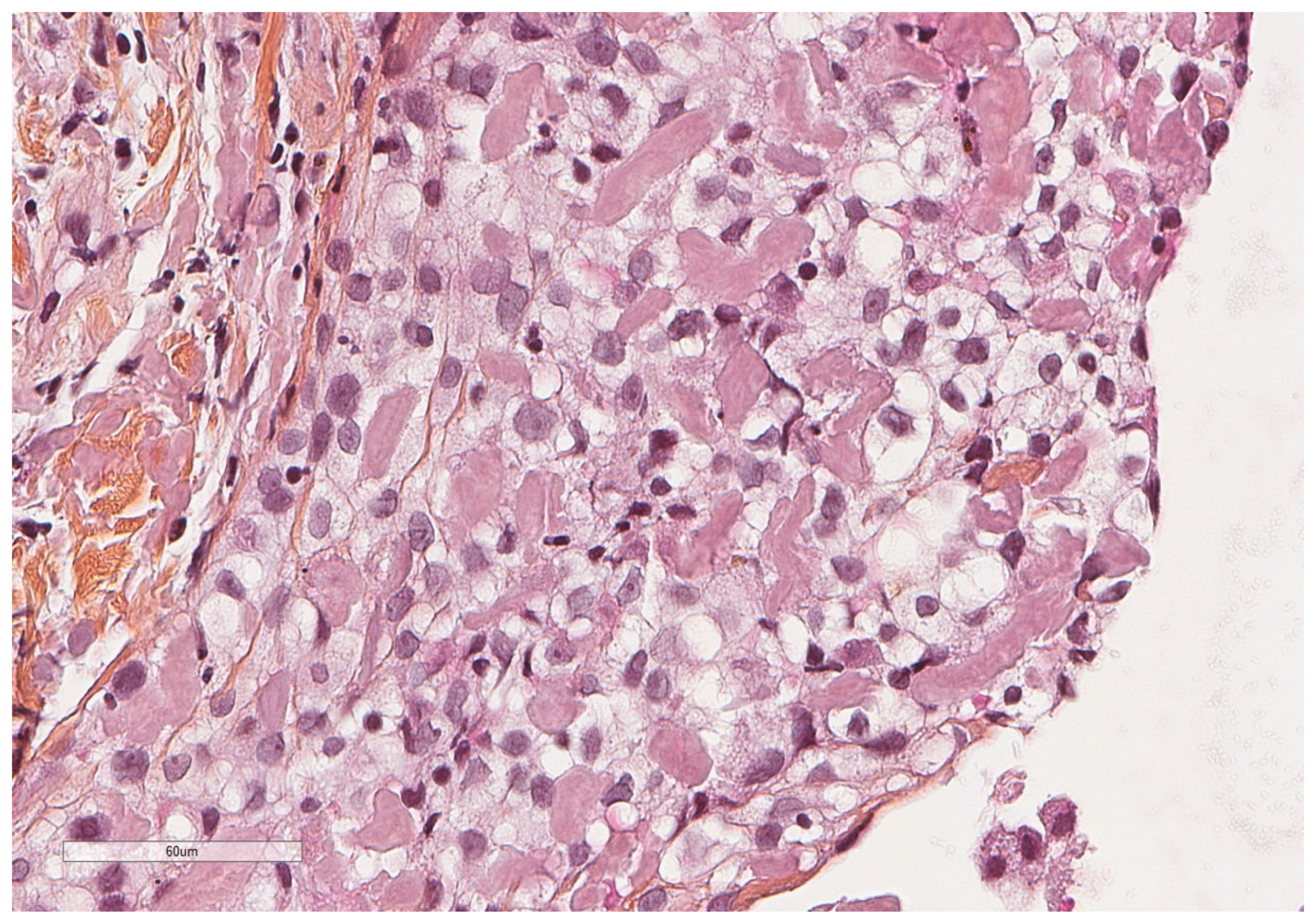
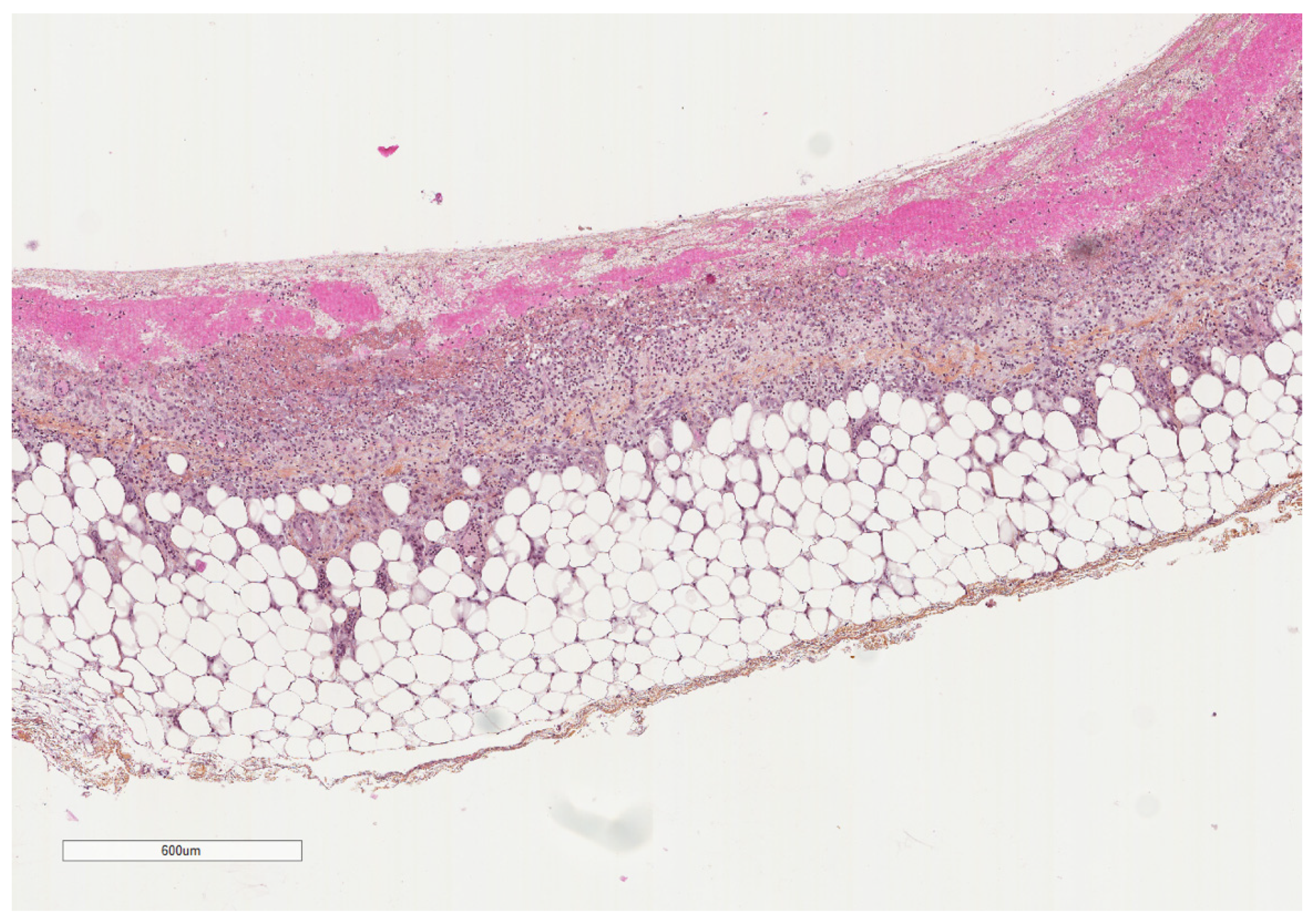
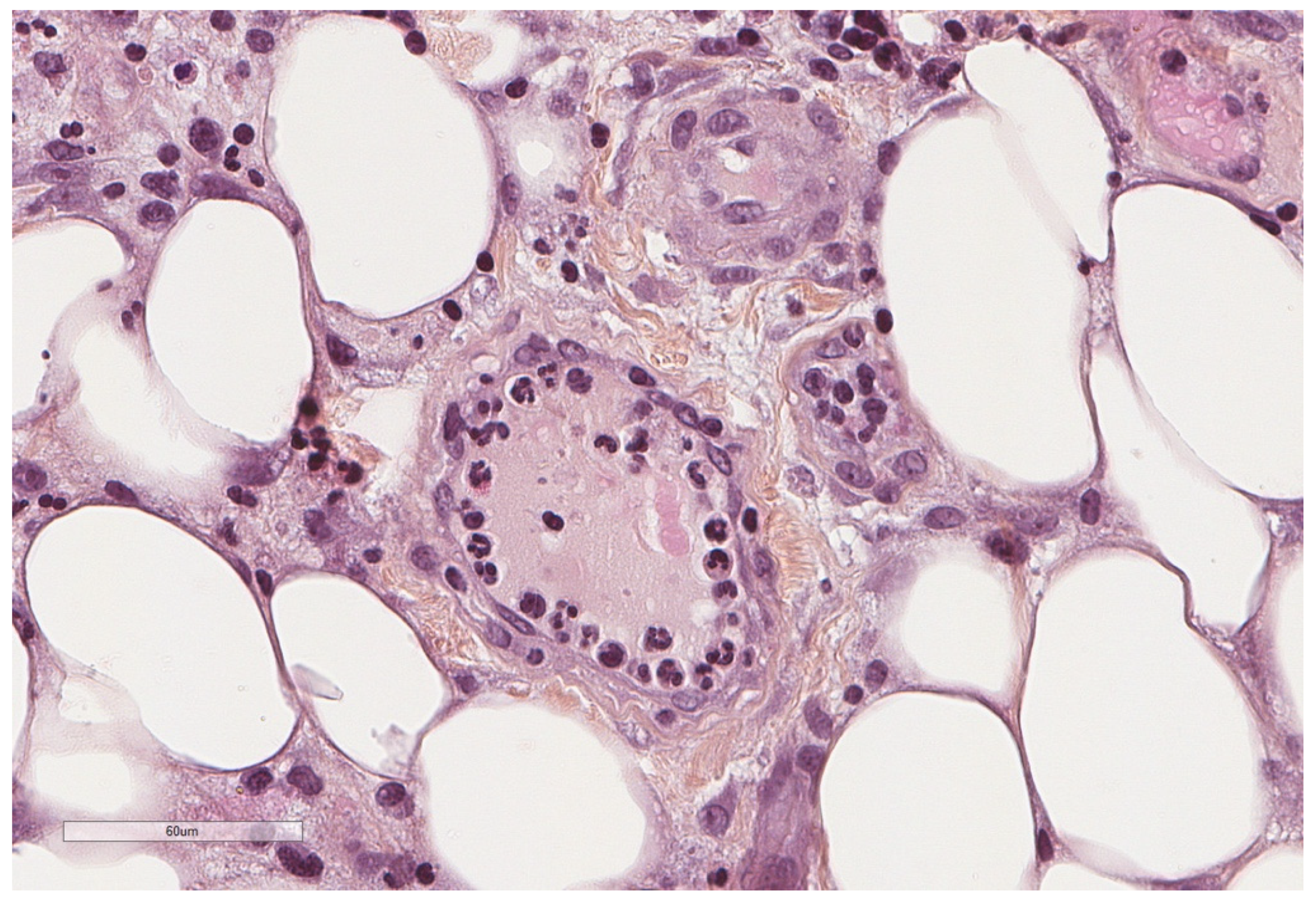
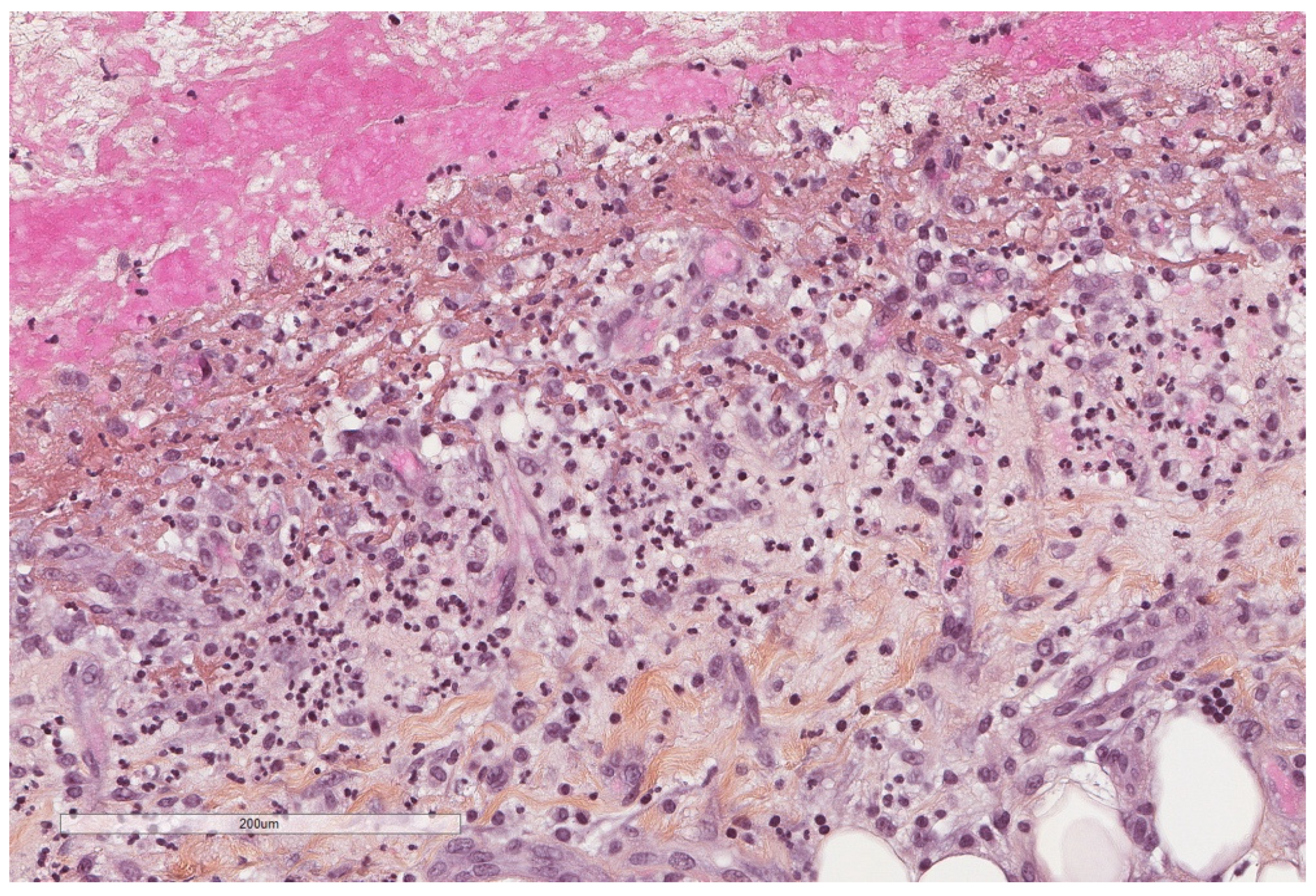
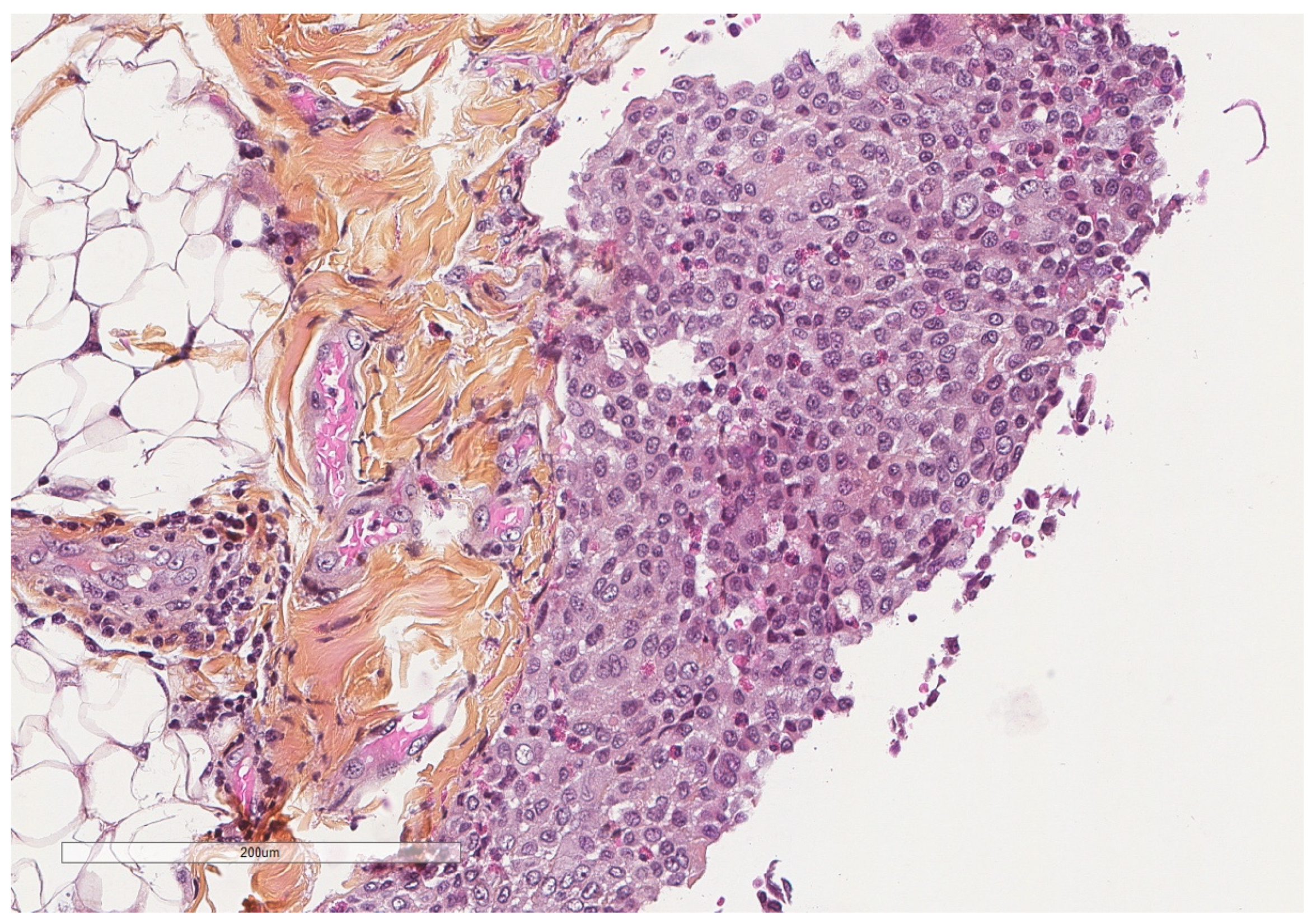
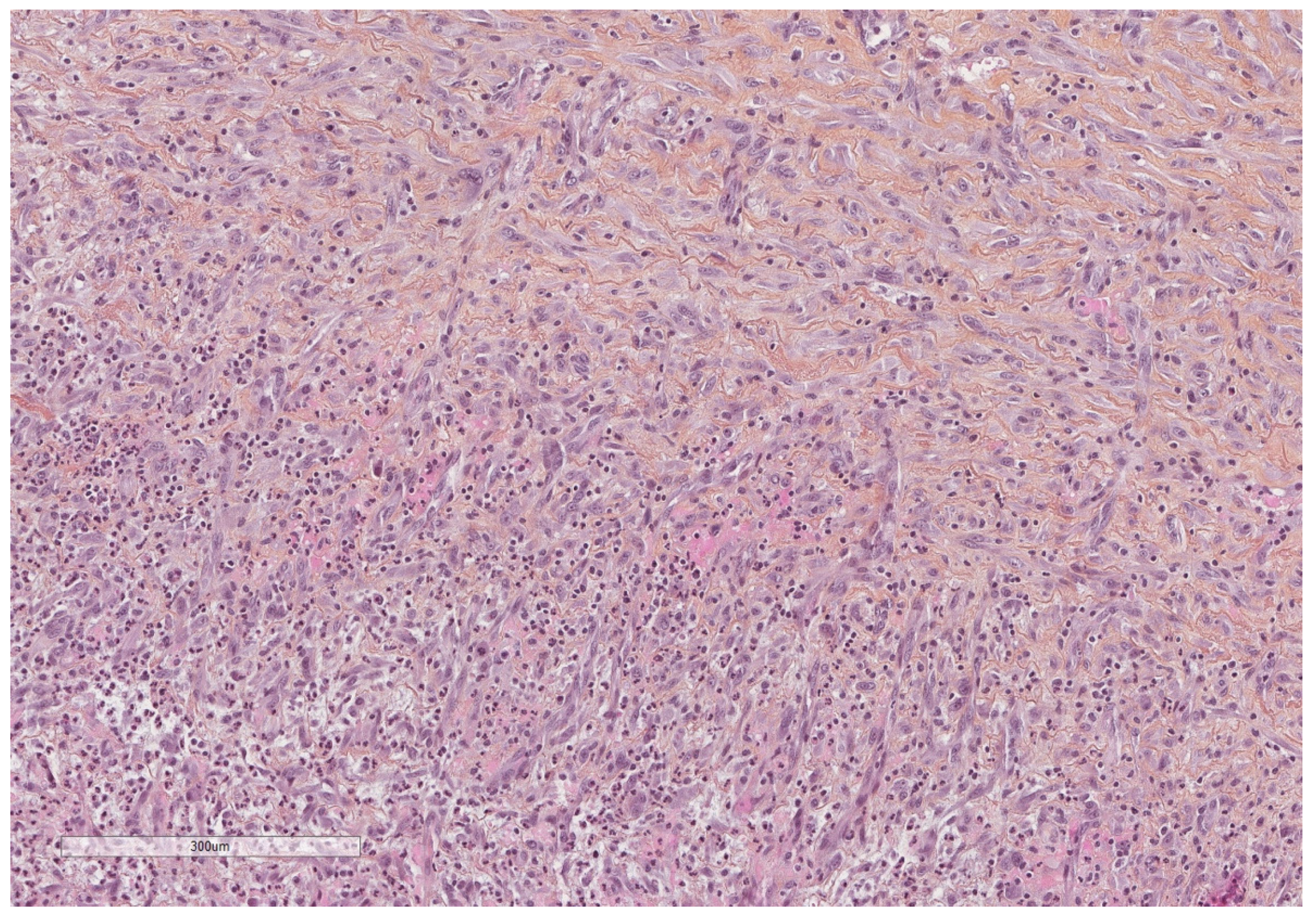
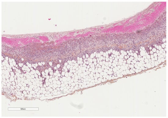
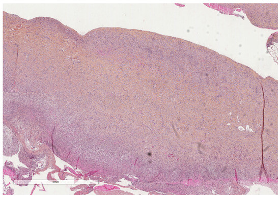
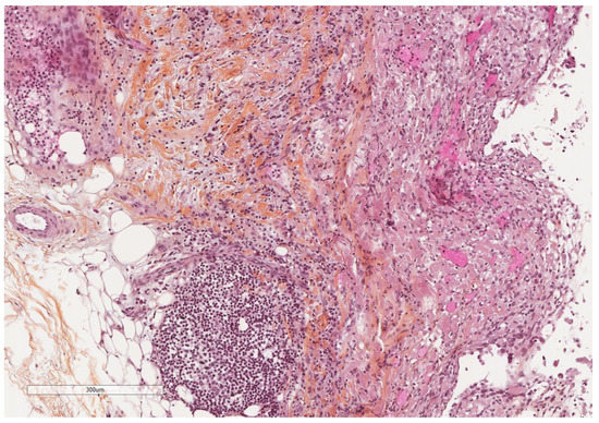
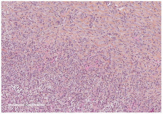
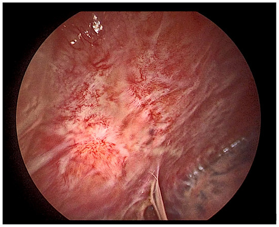
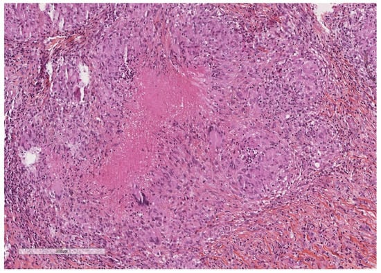
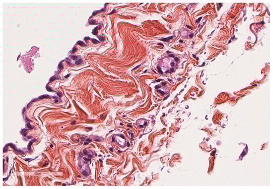
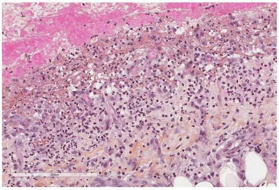
5. Non-Specific Pleuritis
6. Conclusions
Author Contributions
Funding
Conflicts of Interest
References
- Aboudara, M.; Maldonado, F. Update in the Management of Pleural Effusions. Med. Clin. N. Am. 2019, 103, 475–485. [Google Scholar] [CrossRef] [PubMed]
- Ali, M.S.; Light, R.W.; Maldonado, F. Pleuroscopy or video-assisted thoracoscopic surgery for exudative pleural effusion: A comparative overview. J. Thorac. Dis. 2019, 11, 3207–3216. [Google Scholar] [CrossRef] [PubMed]
- Karpathiou, G.; Benli, J.; Désage, A.L.; Jacob, M.; Tiffet, O.; Peoc’h, M.; Froudarakis, M.E. Prognostic role of immune microenvironment in pleural metastases from breast and lung adenocarcinomas. Ann. Transl. Med. 2022. [Google Scholar] [CrossRef]
- Anevlavis, S.; Kouliatsis, G.; Sotiriou, I.; Koukourakis, M.I.; Archontogeorgis, K.; Karpathiou, G.; Giatromanolaki, A.; Froudarakis, M.E. Prognostic factors in patients presenting with pleural effusion revealing malignancy. Respiration 2014, 87, 311–316. [Google Scholar] [CrossRef]
- Desage, A.L.; Karpathiou, G.; Peoc’h, M.; Froudarakis, M.E. The Immune Microenvironment of Malignant Pleural Mesothelioma: A Literature Review. Cancers 2021, 13, 3205. [Google Scholar] [CrossRef]
- Hassan, M.; Mercer, R.M.; Maskell, N.A.; Asciak, R.; McCracken, D.J.; Bedawi, E.O.; Shaarawy, H.; El-Ganady, A.; Psallidas, I.; Miller, R.F.; et al. Survival in patients with malignant pleural effusion undergoing talc pleurodesis. Lung Cancer 2019, 137, 14–18. [Google Scholar] [CrossRef]
- Bedawi, E.O.; Hassan, M.; McCracken, D.; Rahman, N.M. Pleural infection: A closer look at the etiopathogenesis, microbiology and role of antibiotics. Expert Rev. Respir. Med. 2019, 13, 337–347. [Google Scholar] [CrossRef]
- Mummadi, S.R.; Stoller, J.K.; Lopez, R.; Kailasam, K.; Gillespie, C.T.; Hahn, P.Y. Epidemiology of Adult Pleural Disease in the United States. Chest 2021, 160, 1534–1551. [Google Scholar] [CrossRef]
- Walker, S.P.; Morley, A.J.; Stadon, L.; De Fonseka, D.; Arnold, D.T.; Medford, A.R.L.; Maskell, N.A. Nonmalignant Pleural Effusions: A Prospective Study of 356 Consecutive Unselected Patients. Chest 2017, 151, 1099–1105. [Google Scholar] [CrossRef] [Green Version]
- Feller-Kopman, D.; Light, R. Pleural Disease. N. Engl. J. Med. 2018, 378, 740–751. [Google Scholar] [CrossRef]
- Blacha, M.M.J.; Smesseim, I.; van der Lee, I.; van den Aardweg, J.G.; Schultz, M.J.; Kik, M.L.J.; van Sonsbeek, L.; de Bakker, B.S.; Light, R.W. The Legend of the Buffalo Chest. Chest 2021, 160, 2275–2282. [Google Scholar] [CrossRef] [PubMed]
- McCauley, L.; Dean, N. Pneumonia and empyema: Causal, casual or unknown. J. Thorac. Dis. 2015, 7, 992–998. [Google Scholar] [PubMed]
- Thomas, R.; Jenkins, S.; Eastwood, P.R.; Lee, Y.C.; Singh, B. Physiology of breathlessness associated with pleural effusions. Curr. Opin. Pulm. Med. 2015, 21, 338–345. [Google Scholar] [CrossRef] [PubMed] [Green Version]
- Yalcin, N.G.; Choong, C.K.; Eizenberg, N. Anatomy and pathophysiology of the pleura and pleural space. Thorac. Surg. Clin. 2013, 23, 1–10. [Google Scholar] [CrossRef]
- Finley, D.J.; Rusch, V.W. Anatomy of the pleura. Thorac. Surg. Clin. 2011, 21, 157–163. [Google Scholar] [CrossRef]
- Herbert, A. Pathogenesis of pleurisy, pleural fibrosis, and mesothelial proliferation. Thorax 1986, 41, 176–189. [Google Scholar] [CrossRef] [Green Version]
- Anevlavis, S.; Varga, C.; Nam, T.H.; Man, R.W.C.; Demetriou, A.; Jain, N.; Lanfranco, A.; Froudarakis, M.E. Is there any role for thoracoscopy in the diagnosis of benign pleural effusions. Clin. Respir. J. 2019, 13, 73–81. [Google Scholar] [CrossRef]
- Hassan, M.; Patel, S.; Sadaka, A.S.; Bedawi, E.O.; Corcoran, J.P.; Porcel, J.M. Recent Insights into the Management of Pleural Infection. Int. J. Gen. Med. 2021, 14, 3415–3429. [Google Scholar] [CrossRef]
- Corcoran, J.P.; Psallidas, I.; Gerry, S.; Piccolo, F.; Koegelenberg, C.F.; Saba, T.; Daneshvar, C.; Fairbairn, I.; Heinink, R.; West, A.; et al. Prospective validation of the RAPID clinical risk prediction score in adult patients with pleural infection: The PILOT study. Eur. Respir. J. 2020, 56, 2000130. [Google Scholar] [CrossRef]
- Sundaralingam, A.; Banka, R.; Rahman, N.M. Management of Pleural Infection. Pulm. Ther. 2021, 7, 59–74. [Google Scholar] [CrossRef]
- Fitzgerald, D.B.; Muruganandan, S.; Tsim, S.; Ip, H.; Asciak, R.; Walker, S.; Uribe Becerra, J.P.; Majid, A.; Ahmed, L.; Rahman, N.M.; et al. Intrapleural Fibrinolytics and Deoxyribonuclease for Treatment of Indwelling Pleural Catheter-Related Pleural Infection: A Multi-Center Observational Study. Respiration 2021, 100, 452–460. [Google Scholar] [CrossRef] [PubMed]
- Bibby, A.C.; Clive, A.O.; Slade, G.C.; Morley, A.J.; Fallon, J.; Psallidas, I.; Pepperell, J.C.T.; Slade, M.G.; Stanton, A.E.; Rahman, N.M.; et al. Survival in Patients With Malignant Pleural Effusions Who Developed Pleural Infection: A Retrospective Case Review From Six UK Centers. Chest 2015, 148, 235–241. [Google Scholar] [CrossRef] [PubMed]
- Chen, M.; Wang, X.; Yu, X.; Dai, C.; Chen, D.; Yu, C.; Xu, X.; Yao, D.; Yang, L.; Li, Y.; et al. Pleural effusion as the initial clinical presentation in disseminated cryptococcosis and fungaemia: An unusual manifestation and a literature review. BMC Infect. Dis. 2015, 15, 385. [Google Scholar] [CrossRef] [PubMed] [Green Version]
- Altmayer, S.; Zanon, M.; Pacini, G.S.; Watte, G.; Barros, M.C.; Mohammed, T.L.; Verma, N.; Marchiori, E.; Hochhegger, B. Comparison of the computed tomography findings in COVID-19 and other viral pneumonia in immunocompetent adults: A systematic review and meta-analysis. Eur. Radiol. 2020, 30, 6485–6496. [Google Scholar] [CrossRef]
- Porcel, J.M. Pleural diseases and COVID-19: Ubi fumus, ibi ignis. Eur. Respir. J. 2020, 56, 2003308. [Google Scholar] [CrossRef]
- Rathore, S.S.; Hussain, N.; Manju, A.H.; Wen, Q.; Tousif, S.; Avendano-Capriles, C.A.; Hernandez-Woodbine, M.J.; Rojas, G.A.; Vatsavayi, P.; Tera, C.R.; et al. Prevalence and clinical outcomes of pleural effusion in COVID-19 patients: A systematic review and meta-analysis. J. Med. Virol. 2022, 94, 229–239. [Google Scholar] [CrossRef]
- Patel, M.B.; Munzer, K.; Dougherty, M.; Williams, P.; Loiselle, A. Pleural Myiasis Associated With Pleural Angiosarcoma. Chest 2016, 149, e157–e160. [Google Scholar] [CrossRef] [Green Version]
- Bintcliffe, O.J.; Lee, G.Y.; Rahman, N.M.; Maskell, N.A. The management of benign non-infective pleural effusions. Eur. Respir. Rev. 2016, 25, 303–316. [Google Scholar] [CrossRef] [Green Version]
- Abu-Hijleh, M.; Evans, S.; Aswad, B. Pleuropericarditis in a patient with inflammatory bowel disease: A case presentation and review of the literature. Lung 2010, 188, 505–510. [Google Scholar] [CrossRef]
- Gilbert, C.R.; Shojaee, S.; Maldonado, F.; Yarmus, L.B.; Bedawi, E.; Feller-Kopman, D.; Rahman, N.M.; Akulian, J.A.; Gorden, J.A. Pleural Interventions in the Management of Hepatic Hydrothorax. Chest 2021, 161, 276–283. [Google Scholar] [CrossRef]
- Yan, G.; Li, H.; Bhetuwal, A.; McClure, M.A.; Li, Y.; Yang, G.; Li, Y.; Zhao, L.; Fan, X. Pleural effusion volume in patients with acute pancreatitis: A retrospective study from three acute pancreatitis centers. Ann. Med. 2021, 53, 2003–2018. [Google Scholar] [CrossRef] [PubMed]
- Yao, X.; Abd Hamid, M.; Sundaralingam, A.; Evans, A.; Karthikappallil, R.; Dong, T.; Rahman, N.M.; Kanellakis, N.I. Clinical perspective and practices on pleural effusions in chronic systemic inflammatory diseases. Breathe 2020, 16, 200203. [Google Scholar] [CrossRef] [PubMed]
- Zhao, J.; Bai, W.; Zhu, P.; Zhang, X.; Liu, S.; Wu, L.; Ma, L.; Bi, L.; Zuo, X.; Sun, L.; et al. Chinese SLE Treatment and Research group (CSTAR) registry VII: Prevalence and clinical significance of serositis in Chinese patients with systemic lupus erythematosus. Lupus 2016, 25, 652–657. [Google Scholar] [CrossRef] [PubMed]
- Moura, M.C.; Gripaldo, R.; Baqir, M.; Ryu, J.H. Thoracic Involvement in IgG4-Related Disease. Semin. Respir. Crit. Care Med. 2020, 41, 202–213. [Google Scholar] [CrossRef] [PubMed]
- Corcoran, J.P.; Culver, E.L.; Anstey, R.M.; Talwar, A.; Manganis, C.D.; Cargill, T.N.; Hallifax, R.J.; Psallidas, I.; Rahman, N.M.; Barnes, E. Thoracic involvement in IgG4-related disease in a UK-based patient cohort. Respir. Med. 2017, 132, 117–121. [Google Scholar] [CrossRef] [PubMed] [Green Version]
- Berk, J.L. Pleural effusions in systemic amyloidosis. Curr. Opin. Pulm. Med. 2005, 11, 324–328. [Google Scholar] [CrossRef]
- Berk, J.L.; Keane, J.; Seldin, D.C.; Sanchorawala, V.; Koyama, J.; Dember, L.M.; Falk, R.H. Persistent pleural effusions in primary systemic amyloidosis: Etiology and prognosis. Chest 2003, 124, 969–977. [Google Scholar] [CrossRef] [Green Version]
- Binder, C.; Duca, F.; Binder, T.; Rettl, R.; Dachs, T.M.; Seirer, B.; Camuz Ligios, L.; Dusik, F.; Capelle, C.; Qin, H.; et al. Prognostic implications of pericardial and pleural effusion in patients with cardiac amyloidosis. Clin. Res. Cardiol. 2021, 110, 532–543. [Google Scholar] [CrossRef]
- Maldonado, F.; Tazelaar, H.D.; Wang, C.W.; Ryu, J.H. Yellow nail syndrome: Analysis of 41 consecutive patients. Chest 2008, 134, 375–381. [Google Scholar] [CrossRef]
- Bedawi, E.O.; Hassan, M.; Rahman, N.M. Recent developments in the management of pleural infection: A comprehensive review. Clin. Respir. J. 2018, 12, 2309–2320. [Google Scholar] [CrossRef]
- Kroegel, C.; Antony, V.B. Immunobiology of pleural inflammation: Potential implications for pathogenesis, diagnosis and therapy. Eur. Respir. J. 1997, 10, 2411–2418. [Google Scholar] [CrossRef] [PubMed]
- Broaddus, V.C.; Hebert, C.A.; Vitangcol, R.V.; Hoeffel, J.M.; Bernstein, M.S.; Boylan, A.M. Interleukin-8 is a major neutrophil chemotactic factor in pleural liquid of patients with empyema. Am. Rev. Respir. Dis. 1992, 146, 825–830. [Google Scholar] [CrossRef] [PubMed]
- Karpathiou, G.; Dumollard, J.M.; Peoc’h, M. Laryngeal Tumor Microenvironment. Adv. Exp. Med. Biol. 2020, 1296, 79–101. [Google Scholar] [PubMed]
- Twaddell, S.H.; Gibson, P.G.; Grainge, C.; Baines, K.J. Parapneumonic Effusions Are Characterized by Elevated Levels of Neutrophil Extracellular Traps. Chest 2021, 160, 1645–1655. [Google Scholar] [CrossRef]
- Stathopoulos, G.T.; Psallidas, I.; Moustaki, A.; Moschos, C.; Kollintza, A.; Karabela, S.; Porfyridis, I.; Vassiliou, S.; Karatza, M.; Zhou, Z.; et al. A central role for tumor-derived monocyte chemoattractant protein-1 in malignant pleural effusion. J. Natl. Cancer Inst. 2008, 100, 1464–1476. [Google Scholar] [CrossRef] [Green Version]
- Lansley, S.M.; Cheah, H.M.; Lee, Y.C. Role of MCP-1 in pleural effusion development in a carrageenan-induced murine model of pleurisy. Respirology 2017, 22, 758–763. [Google Scholar] [CrossRef]
- Buechler, M.B.; Kim, K.W.; Onufer, E.J.; Williams, J.W.; Little, C.C.; Dominguez, C.X.; Li, Q.; Sandoval, W.; Cooper, J.E.; Harris, C.A.; et al. A Stromal Niche Defined by Expression of the Transcription Factor WT1 Mediates Programming and Homeostasis of Cavity-Resident Macrophages. Immunity 2019, 51, 119–130.e115. [Google Scholar] [CrossRef]
- Chow, A.; Schad, S.; Green, M.D.; Hellmann, M.D.; Allaj, V.; Ceglia, N.; Zago, G.; Shah, N.S.; Sharma, S.K.; Mattar, M.; et al. Tim-4(+) cavity-resident macrophages impair anti-tumor CD8(+) T cell immunity. Cancer Cell 2021, 39, 973–988.e979. [Google Scholar] [CrossRef]
- Jin, H.; Liu, K.; Tang, J.; Huang, X.; Wang, H.; Zhang, Q.; Zhu, H.; Li, Y.; Pu, W.; Zhao, H.; et al. Genetic fate-mapping reveals surface accumulation but not deep organ invasion of pleural and peritoneal cavity macrophages following injury. Nat. Commun. 2021, 12, 2863. [Google Scholar] [CrossRef]
- Archontogeorgis, K.; Anevlavis, S.; Zarogoulidis, P.; Jain, A.; Karpathiou, G.; Giatromanolaki, A.; Sivridis, E.; Bouros, D.; Froudarakis, M.E. Pleuroscopy in ‘Idiopathic’ eosinophilic pleural effusions. Clin. Respir. J. 2015, 9, 475–480. [Google Scholar] [CrossRef]
- Kwon, B.I.; Hong, S.; Shin, K.; Choi, E.H.; Hwang, J.J.; Lee, S.H. Innate type 2 immunity is associated with eosinophilic pleural effusion in primary spontaneous pneumothorax. Am. J. Respir. Crit. Care Med. 2013, 188, 577–585. [Google Scholar] [CrossRef]
- Eickelberg, O.; Sommerfeld, C.O.; Wyser, C.; Tamm, M.; Reichenberger, F.; Bardin, P.G.; Soler, M.; Roth, M.; Perruchoud, A.P. MMP and TIMP expression pattern in pleural effusions of different origins. Am. J. Respir. Crit. Care Med. 1997, 156, 1987–1992. [Google Scholar] [CrossRef] [PubMed]
- Teixeira, L.R.; Dias, M.B.; Sales, R.K.; Antonangelo, L.; Alvarenga, V.A.; Puka, J.; Marchi, E.; Acencio, M.M. Profile of Metalloproteinases and Their Association with Inflammatory Markers in Pleural Effusions. Lung 2016, 194, 1021–1027. [Google Scholar] [CrossRef]
- Gary Lee, Y.C.; Melkerneker, D.; Thompson, P.J.; Light, R.W.; Lane, K.B. Transforming growth factor beta induces vascular endothelial growth factor elaboration from pleural mesothelial cells in vivo and in vitro. Am. J. Respir. Crit. Care Med. 2002, 165, 88–94. [Google Scholar] [PubMed]
- Papaioannou, A.I.; Kostikas, K.; Tsopa, P.; Kiropoulos, T.; Tsilioni, I.; Oikonomidi, S.; Gerogianni, I.; Gourgoulianis, K.I. Residual pleural thickening is related to vascular endothelial growth factor levels in parapneumonic pleural effusions. Respiration 2010, 80, 472–479. [Google Scholar] [CrossRef] [PubMed]
- Ribeiro, S.C.; Vargas, F.S.; Antonangelo, L.; Marchi, E.; Genofre, E.H.; Acencio, M.M.; Teixeira, L.R. Monoclonal anti-vascular endothelial growth factor antibody reduces fluid volume in an experimental model of inflammatory pleural effusion. Respirology 2009, 14, 1188–1193. [Google Scholar] [CrossRef]
- Grosu, H.B.; Lu, W.; Ost, D.E.; Vial, M.R.; Hernandez, M.; Ghosh, N.; Noor, L.; Hasan, A.M.; Bashoura, L.; Faiz, S.; et al. Pleural Fluid Cytokine Levels at Baseline and Over Time are Associated with Time to IPC Removal: An Exploratory Study. J. Bronchol. Interv. Pulmonol. 2020, 27, 4–13. [Google Scholar] [CrossRef]
- Idell, S.; Zwieb, C.; Kumar, A.; Koenig, K.B.; Johnson, A.R. Pathways of fibrin turnover of human pleural mesothelial cells in vitro. Am. J. Respir. Cell Mol. Biol. 1992, 7, 414–426. [Google Scholar] [CrossRef]
- Lansley, S.M.; Cheah, H.M.; Varano Della Vergiliana, J.F.; Chakera, A.; Lee, Y.C. Tissue plasminogen activator potently stimulates pleural effusion via a monocyte chemotactic protein-1-dependent mechanism. Am. J. Respir. Cell Mol. Biol. 2015, 53, 105–112. [Google Scholar] [CrossRef]
- Rodriguez-Panadero, F.; Segado, A.; Martin Juan, J.; Ayerbe, R.; Torres Garcia, I.; Castillo, J. Failure of talc pleurodesis is associated with increased pleural fibrinolysis. Am. J. Respir. Crit. Care Med. 1995, 151 Pt 1, 785–790. [Google Scholar] [CrossRef]
- Montes, J.F.; Garcia-Valero, J.; Ferrer, J. Evidence of innervation in talc-induced pleural adhesions. Chest 2006, 130, 702–709. [Google Scholar] [CrossRef] [PubMed]
- Al Dybiat, I.; Mirshahi, S.; Belalou, M.; Abdelhamid, D.; Shah, S.; Ullah, M.; Soria, J.; Pocard, M.; Mirshahi, M. Injured tissues favor cancer cell implantation via fibrin deposits on scar zones. Neoplasia 2020, 22, 809–819. [Google Scholar] [CrossRef] [PubMed]
- Mierzejewski, M.; Korczynski, P.; Krenke, R.; Janssen, J.P. Chemical pleurodesis—A review of mechanisms involved in pleural space obliteration. Respir. Res. 2019, 20, 247. [Google Scholar] [CrossRef] [PubMed] [Green Version]
- Whitaker, D.; Papadimitriou, J. Mesothelial healing: Morphological and kinetic investigations. J. Pathol. 1985, 145, 159–175. [Google Scholar] [CrossRef]
- Bresson, L.; Leblanc, E.; Lemaire, A.S.; Okitsu, T.; Chai, F. Autologous peritoneal grafts permit rapid reperitonealization and prevent postoperative abdominal adhesions in an experimental rat study. Surgery 2017, 162, 863–870. [Google Scholar] [CrossRef]
- Cao, J.; Poss, K.D. The epicardium as a hub for heart regeneration. Nat. Rev. Cardiol. 2018, 15, 631–647. [Google Scholar] [CrossRef]
- De Wit, R.; Siddiqi, S.; Tiemessen, D.; Snabel, R.; Veenstra, G.J.; Oosterwijk, E.; Verhagen, A. Isolation of multipotent progenitor cells from pleura and pericardium for tracheal tissue engineering purposes. J. Cell. Mol. Med. 2021, 25, 10869–10878. [Google Scholar] [CrossRef]
- Cheah, H.M.; Lansley, S.M.; Varano Della Vergiliana, J.F.; Tan, A.L.; Thomas, R.; Leong, S.L.; Creaney, J.; Lee, Y.C. Malignant pleural fluid from mesothelioma has potent biological activities. Respirology 2017, 22, 192–199. [Google Scholar] [CrossRef] [Green Version]
- Asciak, R.; Kanellakis, N.I.; Yao, X.; Abd Hamid, M.; Mercer, R.M.; Hassan, M.; Bedawi, E.O.; Dobson, M.; Fsadni, P.; Montefort, S.; et al. Pleural Fluid Has Pro-Growth Biological Properties Which Enable Cancer Cell Proliferation. Front. Oncol. 2021, 11, 658395. [Google Scholar] [CrossRef]
- Asciak, R.; Kanellakis, N.I.; Bibby, A.; Kidd, A.; Gerry, S.; Mercer, R.; Maskell, N.; Blyth, K.G.; Fsadni, P.; Montefort, S.; et al. The Association Between Pleural Fluid Exposure and Survival in Pleural Mesothelioma. Chest 2021, 160, 1925–1933. [Google Scholar] [CrossRef]
- Yu, Y.X.; Yang, Y.; Wu, Y.B.; Wang, X.J.; Xu, L.L.; Wang, Z.; Wang, F.; Tong, Z.H.; Shi, H.Z. An update of the long-term outcome of patients with nonspecific pleurisy at medical thoracoscopy. BMC Pulm. Med. 2021, 21, 226. [Google Scholar] [CrossRef] [PubMed]
- Karpathiou, G.; Hathroubi, S.; Patoir, A.; Tiffet, O.; Casteillo, F.; Brun, C.; Forest, F.; Rahman, N.M.; Peoc’h, M.; Froudarakis, M.E. Non-specific pleuritis: Pathological patterns in benign pleuritis. Pathology 2019, 51, 405–411. [Google Scholar] [CrossRef] [PubMed]
- Venekamp, L.N.; Velkeniers, B.; Noppen, M. Does ‘idiopathic pleuritis’ exist? Natural history of non-specific pleuritis diagnosed after thoracoscopy. Respiration 2005, 72, 74–78. [Google Scholar] [CrossRef] [PubMed]
- Davies, H.E.; Nicholson, J.E.; Rahman, N.M.; Wilkinson, E.M.; Davies, R.J.; Lee, Y.C. Outcome of patients with nonspecific pleuritis/fibrosis on thoracoscopic pleural biopsies. Eur. J. Cardiothorac. Surg. 2010, 38, 472–477. [Google Scholar] [CrossRef] [PubMed]
- DePew, Z.S.; Verma, A.; Wigle, D.; Mullon, J.J.; Nichols, F.C.; Maldonado, F. Nonspecific pleuritis: Optimal duration of follow-up. Ann. Thorac. Surg. 2014, 97, 1867–1871. [Google Scholar] [CrossRef] [PubMed]
- Gunluoglu, G.; Olcmen, A.; Gunluoglu, M.Z.; Dincer, I.; Sayar, A.; Camsari, G.; Yilmaz, V.; Altin, S. Long-term Outcome of Patients With Undiagnosed Pleural Effusion. Arch. Bronconeumol. 2015, 51, 632–636. [Google Scholar] [CrossRef]
- Yang, Y.; Wu, Y.B.; Wang, Z.; Wang, X.J.; Xu, L.L.; Tong, Z.H.; Shi, H.Z. Long-term outcome of patients with nonspecific pleurisy at medical thoracoscopy. Respir. Med. 2017, 124, 1–5. [Google Scholar] [CrossRef] [Green Version]
- Vakil, E.; Ost, D.; Vial, M.R.; Stewart, J.; Sarkiss, M.G.; Morice, R.C.; Casal, R.F.; Eapen, G.A.; Grosu, H.B. Non-specific pleuritis in patients with active malignancy. Respirology 2018, 23, 213–219. [Google Scholar] [CrossRef]
- Karpathiou, G.; Anevlavis, S.; Tiffet, O.; Casteillo, F.; Mobarki, M.; Mismetti, V.; Ntolios, P.; Koulelidis, A.; Trouillon, T.; Zadel, N.; et al. Clinical long-term outcome of non-specific pleuritis (NSP) after surgical or medical thoracoscopy. J. Thorac. Dis. 2020, 12, 2096–2104. [Google Scholar] [CrossRef]
- Ellayeh, M.; Bedawi, E.; Banka, R.; Sundaralingam, A.; George, V.; Kanellakis, N.; Hallifax, R.; Abdelwahab, H.; Rezk, N.; Hewidy, A.; et al. Objective Thoracoscopic Criteria in Differentiation between Benign and Malignant Pleural Effusions. Respiration 2021, 101, 46–56. [Google Scholar] [CrossRef]
- Karpathiou, G.; Froudarakis, M.; Forest, F.; Mobarki, M.; Patoir, A.; Gay, P.; Vergnon, J.M.; Tiffet, O.; Peoc’h, M. Frozen Sections in Pleural Pathology: A Valuable Tool. Respiration 2017, 94, 45–51. [Google Scholar] [CrossRef] [PubMed]
- Karpathiou, G.; Stefanou, D.; Froudarakis, M.E. Pleural neoplastic pathology. Respir. Med. 2015, 109, 931–943. [Google Scholar] [CrossRef] [PubMed] [Green Version]
- Churg, A.; Galateau-Salle, F. The separation of benign and malignant mesothelial proliferations. Arch. Pathol. Lab. Med. 2012, 136, 1217–1226. [Google Scholar] [CrossRef] [PubMed] [Green Version]
- Karpathiou, G.; Peoc’h, M. Pleura revisited: From histology and pathophysiology to pathology and molecular biology. Clin. Respir. J. 2019, 13, 3–13. [Google Scholar] [CrossRef] [PubMed] [Green Version]
- Whitaker, D.; Henderson, D.W.; Shilkin, K.B. The concept of mesothelioma in situ: Implications for diagnosis and histogenesis. Semin. Diagn. Pathol. 1992, 9, 151–161. [Google Scholar]
- Henderson, D.W.; Shilkin, K.B.; Whitaker, D. Reactive mesothelial hyperplasia vs mesothelioma, including mesothelioma in situ: A brief review. Am. J. Clin. Pathol. 1998, 110, 397–404. [Google Scholar] [CrossRef]
- Churg, A.; Hwang, H.; Tan, L.; Qing, G.; Taher, A.; Tong, A.; Bilawich, A.M.; Dacic, S. Malignant mesothelioma in situ. Histopathology 2018, 72, 1033–1038. [Google Scholar] [CrossRef]
- Karpathiou, G.; Chauleur, C.; Hathroubi, S.; Habougit, C.; Peoc’h, M. Expression of CD3, PD-L1 and CTLA-4 in mammary and extra-mammary Paget disease. Cancer Immunol. Immunother. 2018, 67, 1297–1303. [Google Scholar] [CrossRef]
- Pulford, E.; Huilgol, K.; Moffat, D.; Henderson, D.W.; Klebe, S. Malignant Mesothelioma, BAP1 Immunohistochemistry, and VEGFA: Does BAP1 Have Potential for Early Diagnosis and Assessment of Prognosis? Dis. Markers 2017, 2017, 1310478. [Google Scholar] [CrossRef]
- Klebe, S. Progression of mesothelioma in situ to invasive disease 4 years and 10 months after initial diagnosis. Pathology 2021. [Google Scholar] [CrossRef]
- Churg, A.; Galateau-Salle, F.; Roden, A.C.; Attanoos, R.; von der Thusen, J.H.; Tsao, M.S.; Chang, N.; De Perrot, M.; Dacic, S. Malignant mesothelioma in situ: Morphologic features and clinical outcome. Mod. Pathol. 2020, 33, 297–302. [Google Scholar] [CrossRef] [PubMed]
- Klebe, S.; Nakatani, Y.; Dobra, K.; Butnor, K.J.; Roden, A.C.; Nicholson, A.G.; Marchevsky, A.M.; Husain, A.N.; Segal, A.; Walts, A.E.; et al. The concept of mesothelioma in situ, with consideration of its potential impact on cytology diagnosis. Pathology 2021, 53, 446–453. [Google Scholar] [CrossRef] [PubMed]
- Hidaka, K.; Takeda, T.; Kinoshita, Y.; Nabeshima, K.; Tamiya, S.; Yoshikawa, Y.; Tsujimura, T. Development of mesothelioma in situ and its progression to invasive disease observed in a patient with uncontrolled pleural effusions for 15 years. Pathol. Int. 2020, 70, 1009–1014. [Google Scholar] [CrossRef] [PubMed]
- Pulford, E.; Henderson, D.W.; Klebe, S. Malignant mesothelioma in situ: Diagnostic and clinical considerations. Pathology 2020, 52, 635–642. [Google Scholar] [CrossRef] [PubMed]
- Churg, A.; Galateau-Salle, F.; Tan, L.L.; Qing, G. Cytological diagnosis of mesothelioma in situ versus invasive mesothelioma. Pathology 2021, 54, 133–136. [Google Scholar] [CrossRef] [PubMed]
- Sekido, Y. Molecular pathogenesis of malignant mesothelioma. Carcinogenesis 2013, 34, 1413–1419. [Google Scholar] [CrossRef] [PubMed]
- Novelli, F.; Bononi, A.; Wang, Q.; Bai, F.; Patergnani, S.; Kricek, F.; Haglund, E.; Suarez, J.S.; Tanji, M.; Xu, R.; et al. BAP1 forms a trimer with HMGB1 and HDAC1 that modulates gene x environment interaction with asbestos. Proc. Natl. Acad. Sci. USA 2021, 118, e2111946118. [Google Scholar] [CrossRef]
- Xue, J.; Patergnani, S.; Giorgi, C.; Suarez, J.; Goto, K.; Bononi, A.; Tanji, M.; Novelli, F.; Pastorino, S.; Xu, R.; et al. Asbestos induces mesothelial cell transformation via HMGB1-driven autophagy. Proc. Natl. Acad. Sci. USA 2020, 117, 25543–25552. [Google Scholar] [CrossRef]
- Attanoos, R.L.; Churg, A.; Galateau-Salle, F.; Gibbs, A.R.; Roggli, V.L. Malignant Mesothelioma and Its Non-Asbestos Causes. Arch. Pathol. Lab. Med. 2018, 142, 753–760. [Google Scholar] [CrossRef] [Green Version]
- Butnor, K.J.; Rueckert, J.; Pavlisko, E.N.; Sporn, T.A.; Roggli, V.L. Malignant peritoneal mesothelioma in patients with endometriosis. J. Clin. Pathol. 2018, 71, 971–974. [Google Scholar] [CrossRef]
- Malpica, A.; Euscher, E.D.; Marques-Piubelli, M.L.; Miranda, R.N.; Fournier, K.F.; Raghav, K.P.; Ramalingam, P. Malignant Peritoneal Mesothelioma Associated With Endometriosis: A Clinicopathologic Study of 15 Cases. Int. J. Gynecol. Pathol. 2022, 41, 59–67. [Google Scholar] [CrossRef] [PubMed]
- Butnor, K.J.; Pavlisko, E.N.; Sporn, T.A.; Roggli, V.L. Malignant peritoneal mesothelioma and Crohn disease. J. Clin. Pathol. 2017, 70, 228–232. [Google Scholar] [CrossRef] [PubMed]
- Karpathiou, G.; Casteillo, F.; Dridi, M.; Peoc’h, M. Mesothelial Cysts. Am. J. Clin. Pathol. 2021, 155, 853–862. [Google Scholar] [CrossRef] [PubMed]
- Karpathiou, G.; Hiroshima, K.; Peoc’h, M. Adenomatoid Tumor: A Review of Pathology with Focus on Unusual Presentations and Sites, Histogenesis, Differential Diagnosis, and Molecular and Clinical Aspects with a Historic Overview of Its Description. Adv. Anat. Pathol. 2020, 27, 394–407. [Google Scholar] [CrossRef]















| Pleural Infection | 6.7–9.9 cases/100,000 population Mortality of almost 20% at 12 months Principal pleural infections: Staphylococcus aureus, viridans-group Streptococci, Streptococcus pneumoniae, Enterobacteriaceae and Pseudomonas species Empyema shows the longer hospitalization stay and the higher cost between pleural effusion hospitalizations. |
| Abdominal Etiologies | 5–15% of patients with cirrhosis suffer from hepatic hydrothorax Acute pancreatitis patients will present pleural effusion in half of the cases Chronic renal failure is associated with pleural effusion in almost 7% of patients |
| Connective Tissue Diseases | Incidence of pleural effusion is reported in 5–20% of rheumatoid arthritis patients, 17–60% of systemic lupus erythematosus patients, in 5–55% of granulomatosis with polyangiitis patients and in 7% of systemic sclerosis patients |
| IgG4-Related Disease | Thoracic involvement in almost half of the cases |
| Amyloidosis | Pleural effusion may be present in almost 40% of patients |
| Number of Patients | Follow Up | Malignancy | |
|---|---|---|---|
| Venekamp 2003 [73] | 60 | 32.9 ± (27.4) months | 5 patients (8.3%): 3 mesothelioma 2 lung cancer |
| Davies 2010 [74] | 44 | 21.3 ± 12 months | 5 (12%) all mesothelioma after 9.8 ± 4.6 months |
| Depew 2014 [75] | 86 | 1824 ± 1032 days | 3 (3.5%) all mesothelioma after 205 ± 126 days |
| Gunluoglu 2015 [76] | 53 | 24 months | 2 (3.7%) |
| Yang [77] | 52 | 35.5 ± 40.9 months | 8 (15.4%) |
| Vakil 2017 [78] | 172 patients with known malignancy: their pleural biopsies revealed malignancy in 42% of the cases, NSP in 52% and eosinophilic pleuritis in 5% | 3 of the NSP group revealed malignancy | |
| Karpathiou 2020 [79] | 295 179 VATS 116 MT | 47.3 ± 20.7 months | VATS: 1 (0.5%) at 5 years MT: 2 (1.7%) at 32 and 64 months All mesothelioma |
| Yu 2021 [71] | 154 In 67 of the 154 patients with NSP (43.5%), no exact cause of their condition could be determined. They were eventually diagnosed with idiopathic pleural effusion. | 61.5 ± 43.7 months | 19 (12.3%): 7 lung cancer, 6 mesotheliomas, 2 gynecological tumors, 1 breast tumor, 1 prostatic cancer, 1 plasmacytoma, 1 thymoma at 3.3 ± 3 months |
Publisher’s Note: MDPI stays neutral with regard to jurisdictional claims in published maps and institutional affiliations. |
© 2022 by the authors. Licensee MDPI, Basel, Switzerland. This article is an open access article distributed under the terms and conditions of the Creative Commons Attribution (CC BY) license (https://creativecommons.org/licenses/by/4.0/).
Share and Cite
Karpathiou, G.; Péoc’h, M.; Sundaralingam, A.; Rahman, N.; Froudarakis, M.E. Inflammation of the Pleural Cavity: A Review on Pathogenesis, Diagnosis and Implications in Tumor Pathophysiology. Cancers 2022, 14, 1415. https://doi.org/10.3390/cancers14061415
Karpathiou G, Péoc’h M, Sundaralingam A, Rahman N, Froudarakis ME. Inflammation of the Pleural Cavity: A Review on Pathogenesis, Diagnosis and Implications in Tumor Pathophysiology. Cancers. 2022; 14(6):1415. https://doi.org/10.3390/cancers14061415
Chicago/Turabian StyleKarpathiou, Georgia, Michel Péoc’h, Anand Sundaralingam, Najib Rahman, and Marios E. Froudarakis. 2022. "Inflammation of the Pleural Cavity: A Review on Pathogenesis, Diagnosis and Implications in Tumor Pathophysiology" Cancers 14, no. 6: 1415. https://doi.org/10.3390/cancers14061415
APA StyleKarpathiou, G., Péoc’h, M., Sundaralingam, A., Rahman, N., & Froudarakis, M. E. (2022). Inflammation of the Pleural Cavity: A Review on Pathogenesis, Diagnosis and Implications in Tumor Pathophysiology. Cancers, 14(6), 1415. https://doi.org/10.3390/cancers14061415

