PET-CT in Clinical Adult Oncology: III. Gastrointestinal Malignancies
Abstract
Simple Summary
Abstract
1. Introduction
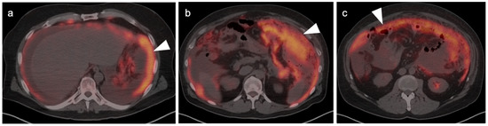
Esophageal and GE Junction Cancer
2. Gastric Carcinoma
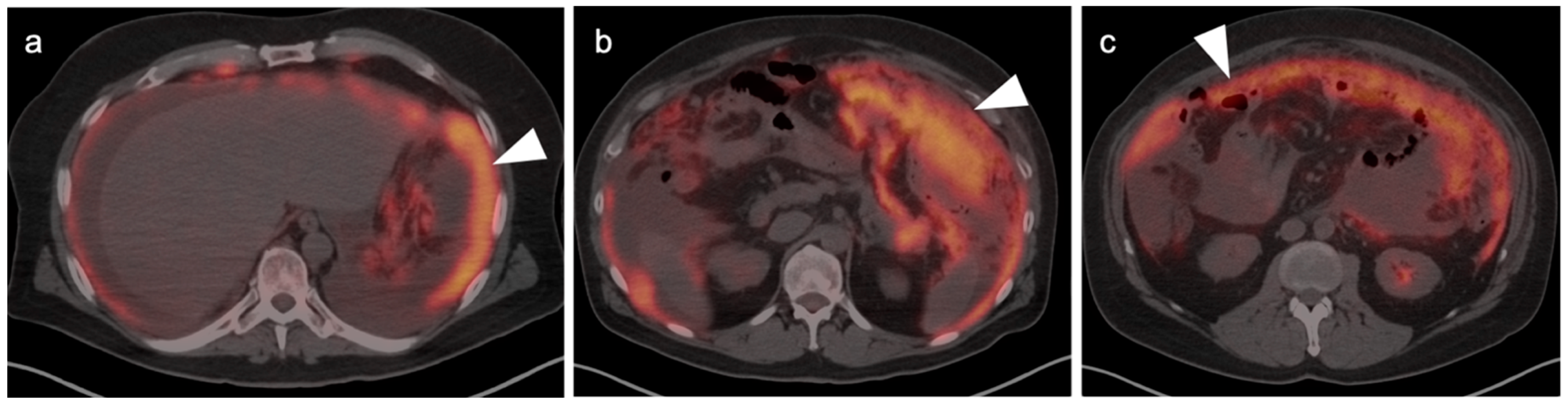
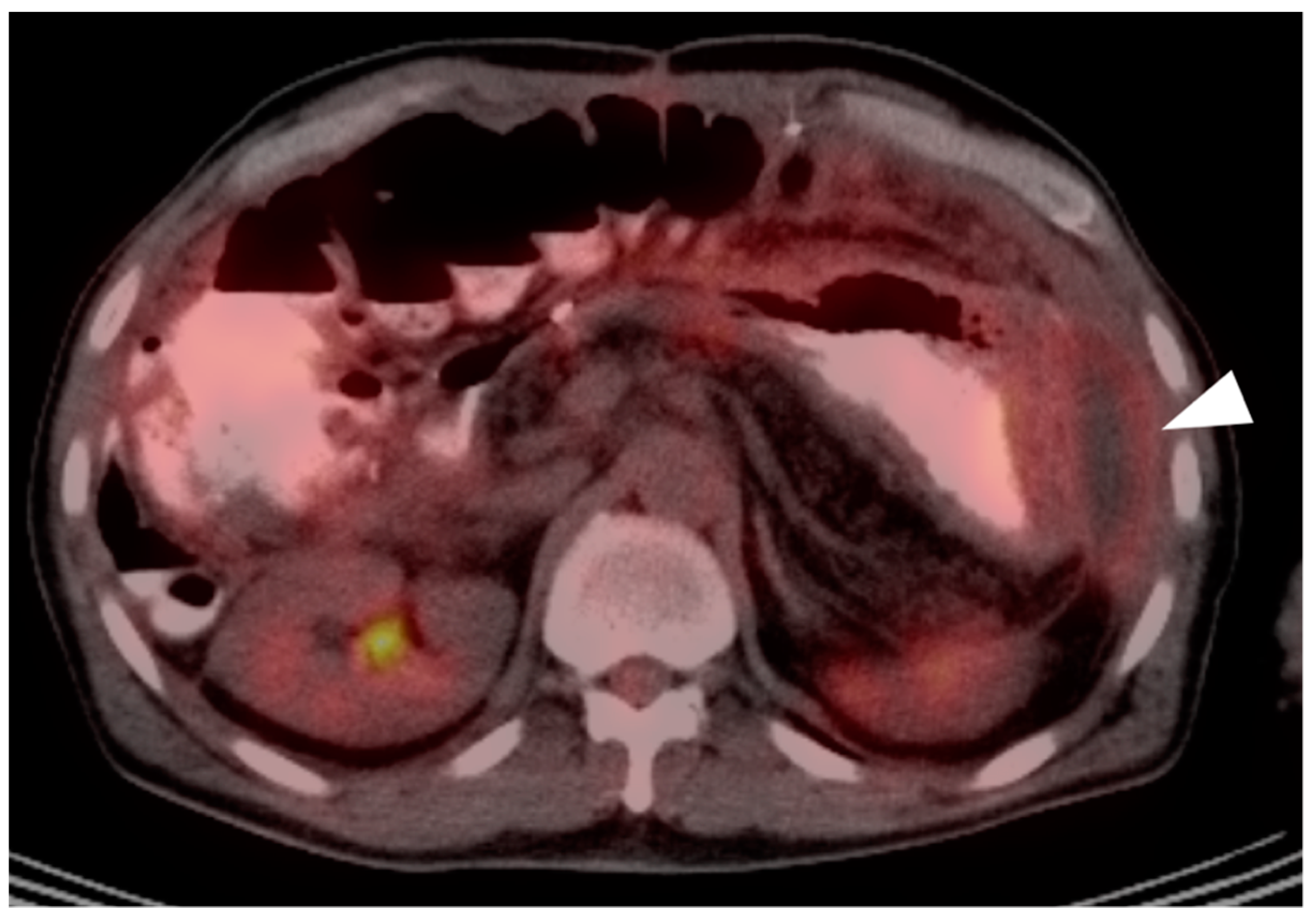
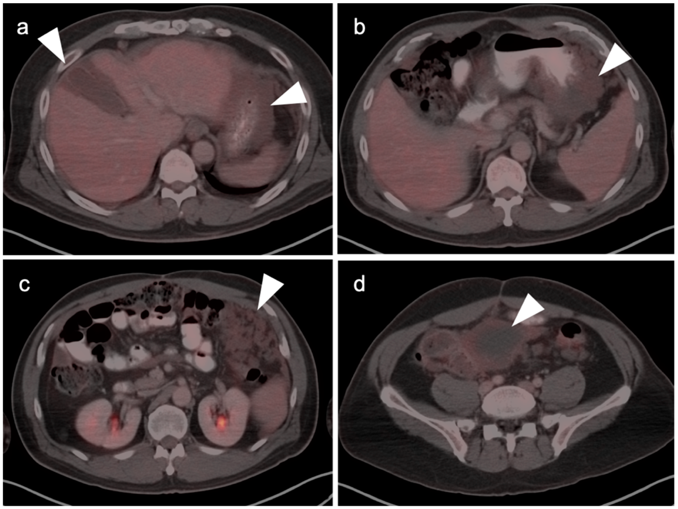
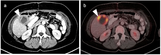
3. Gastrointestinal Stromal Tumor (GIST)
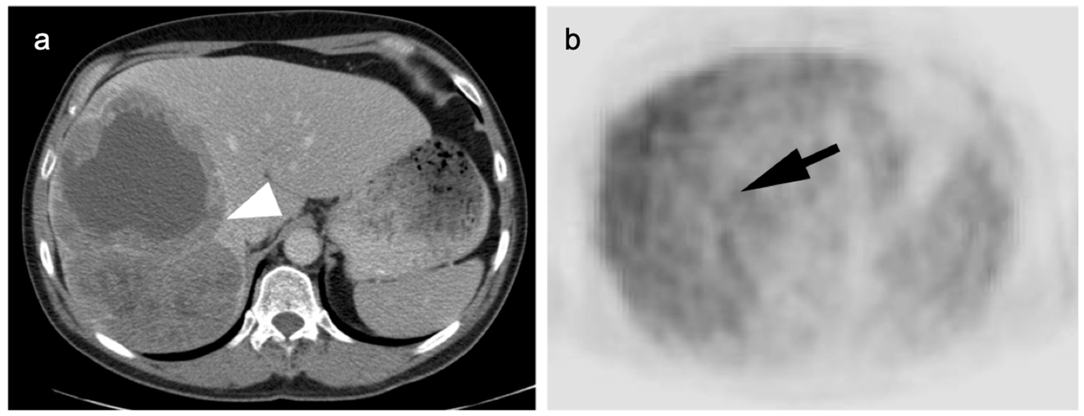
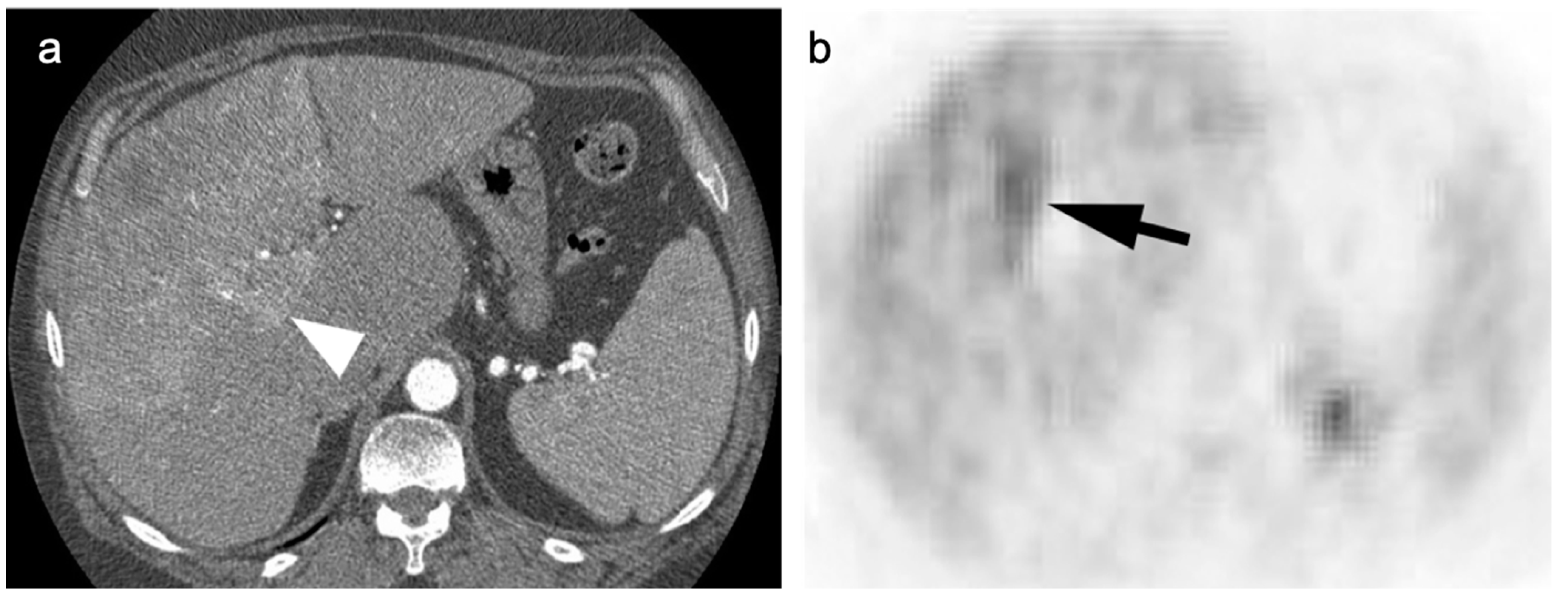
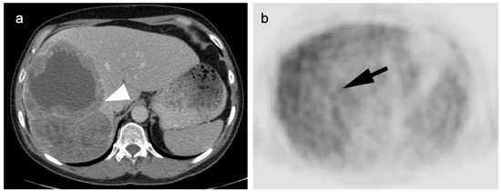
4. Hepatocellular Carcinoma
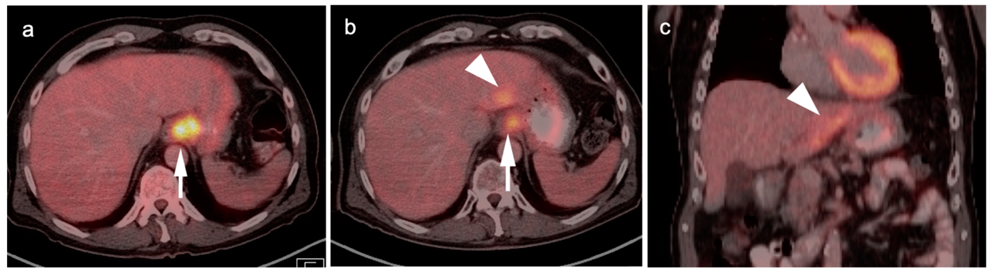
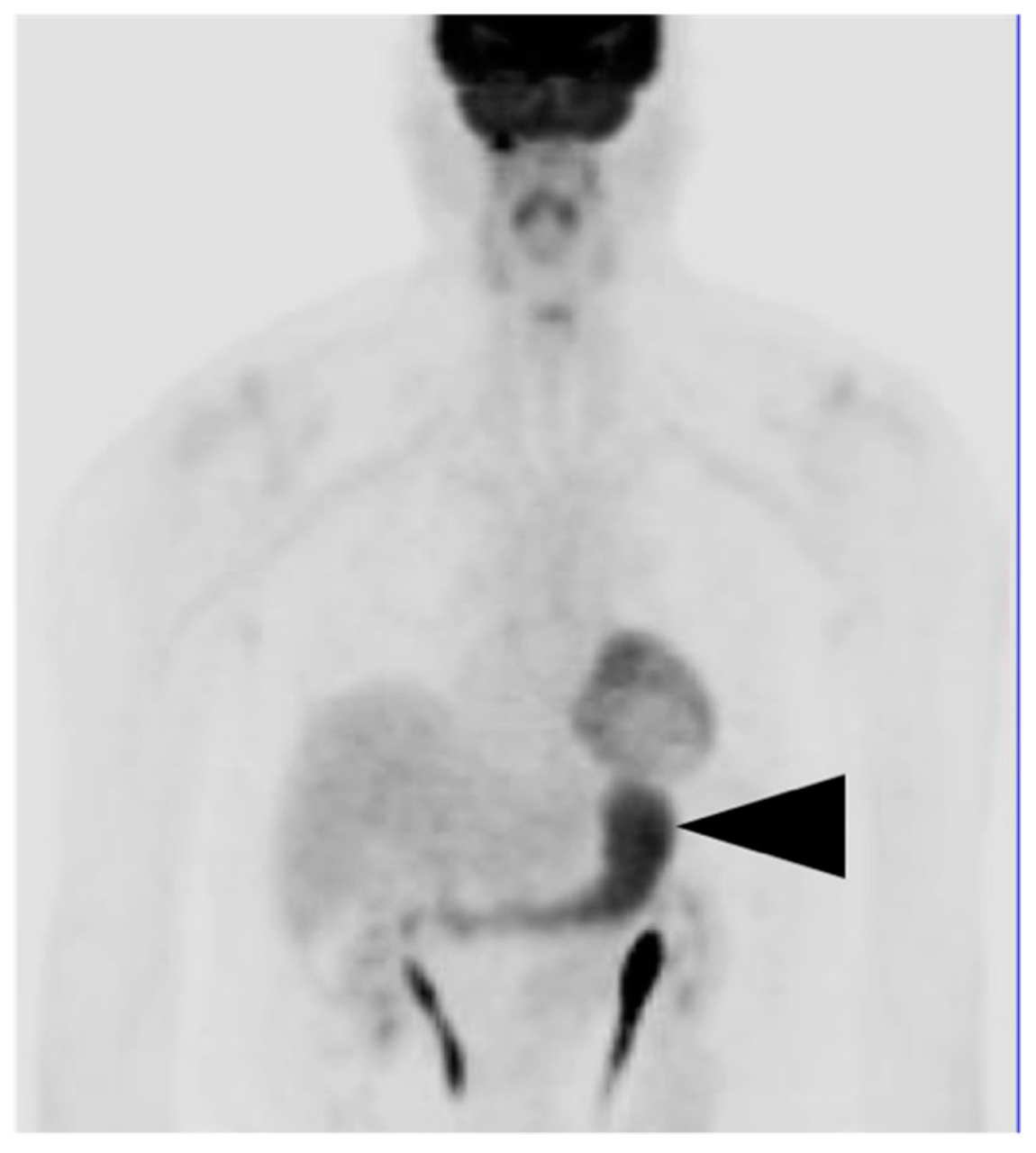
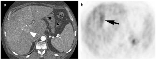
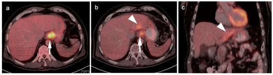
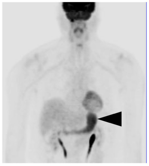
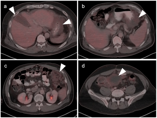
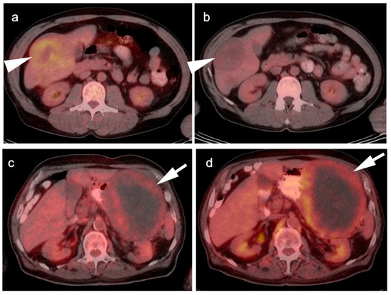
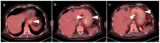
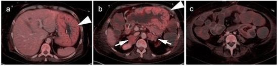
5. Cholangiocarcinoma
6. Gallbladder Carcinoma
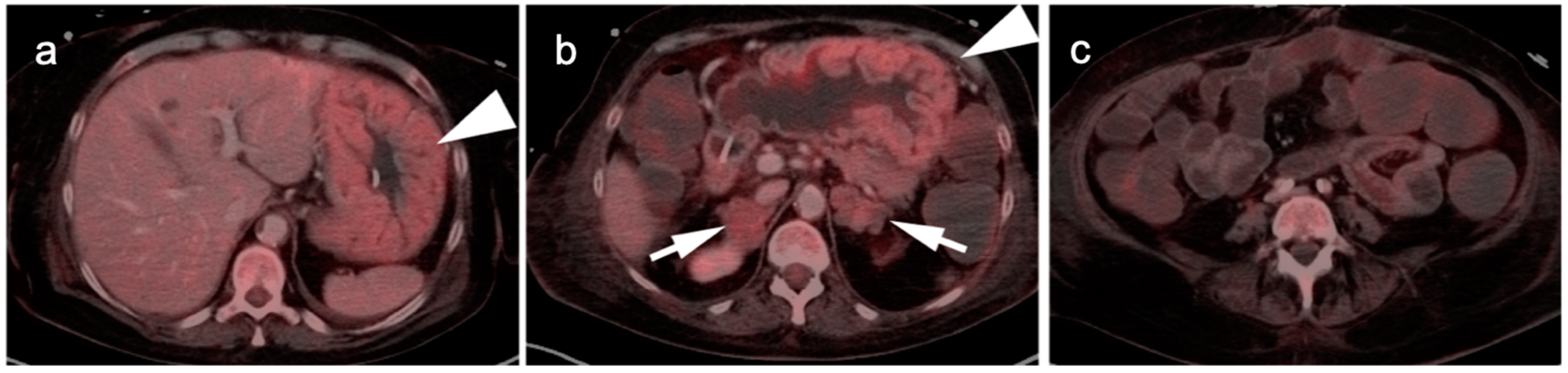
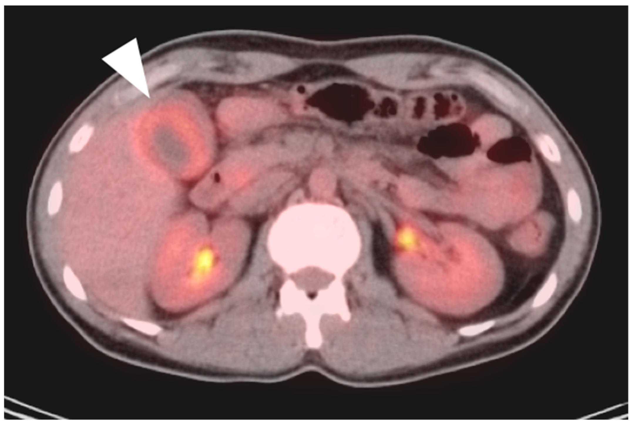
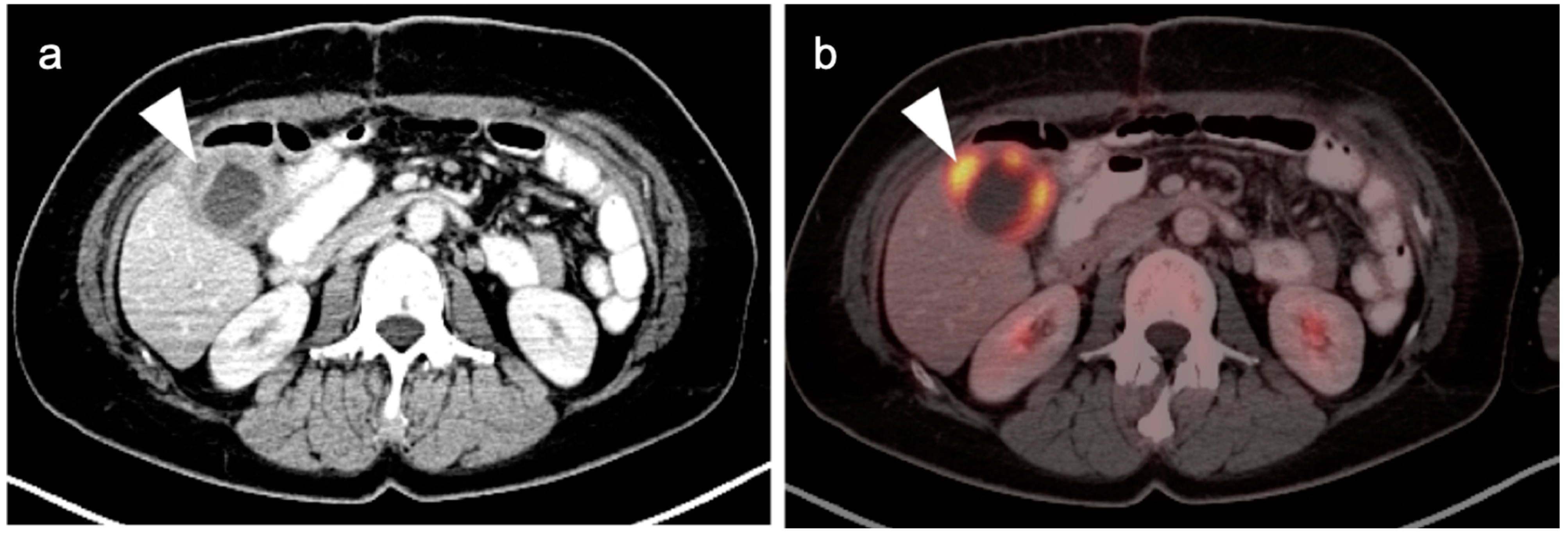
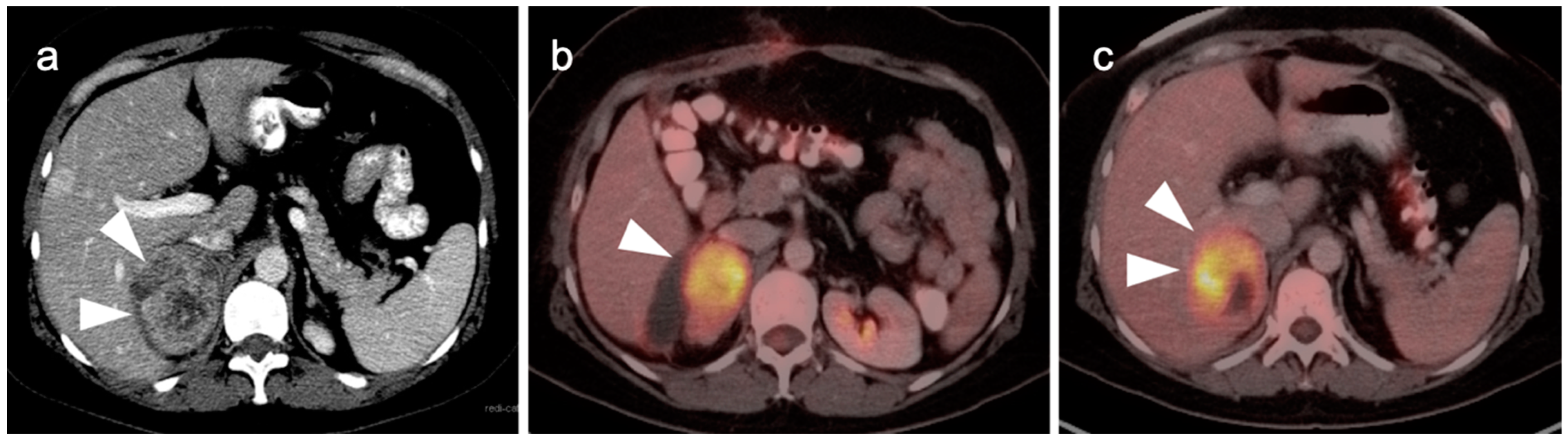
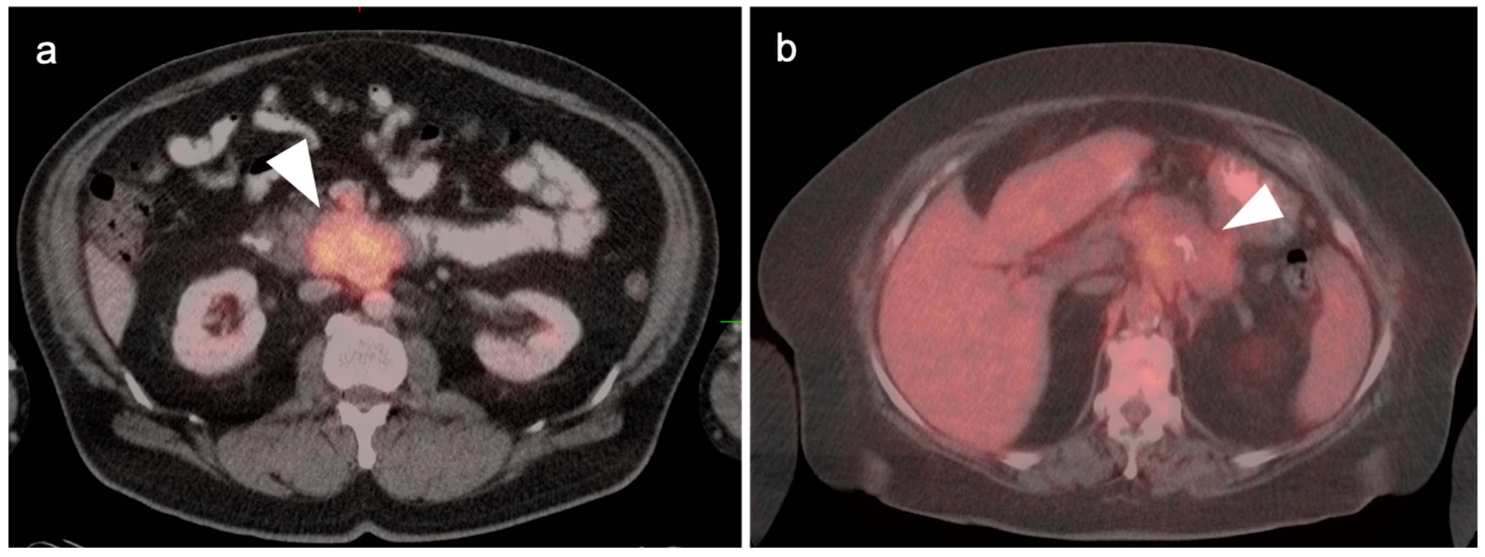
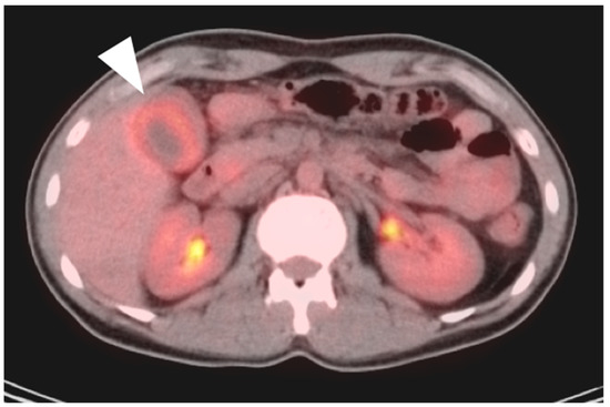
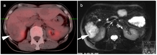
7. Adrenal Cancer
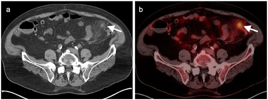
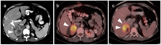
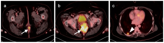
8. Pancreatic Carcinoma
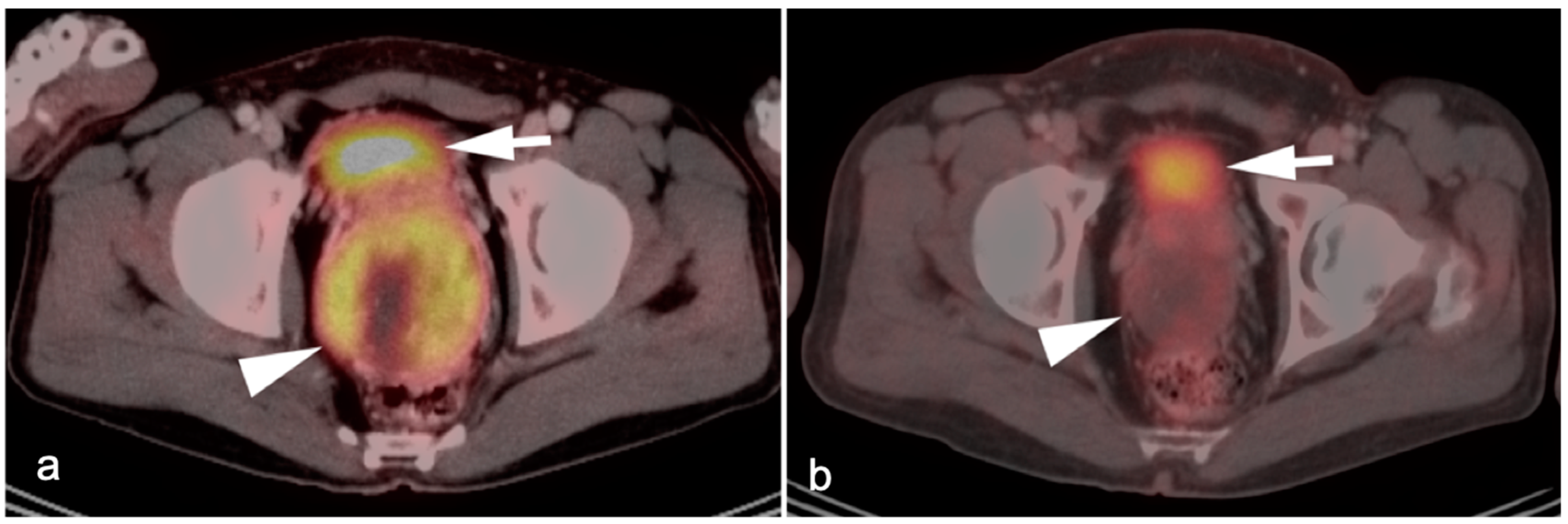
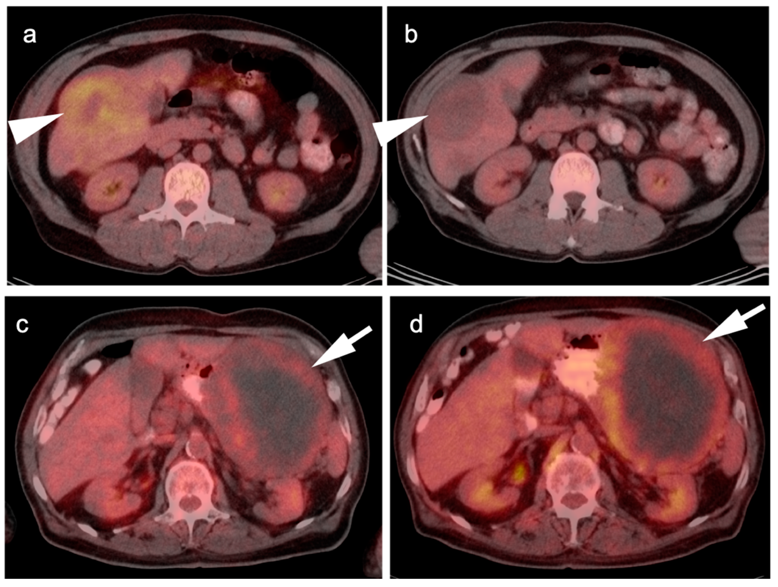
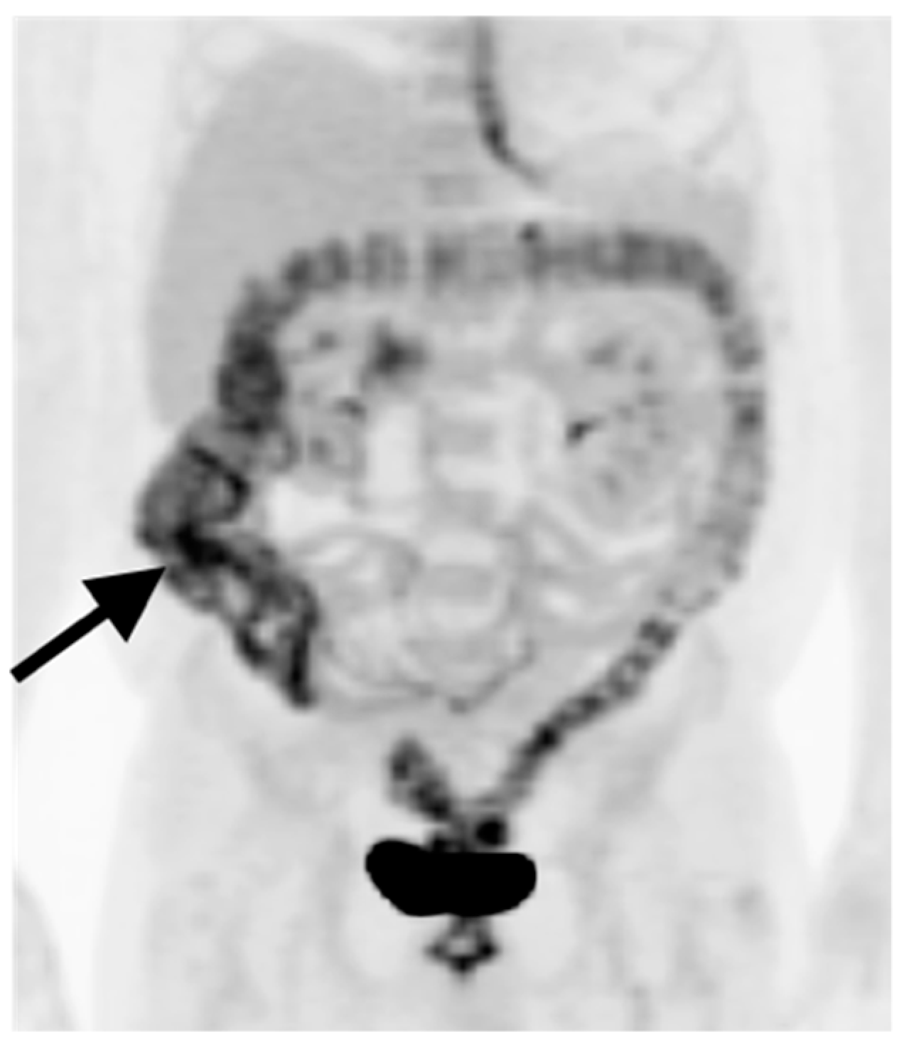
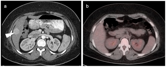
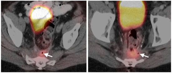
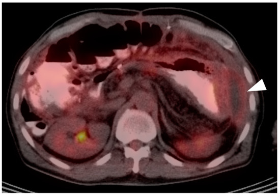
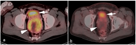
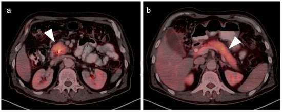
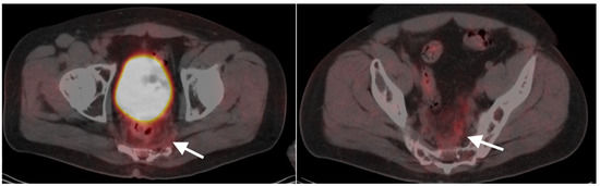
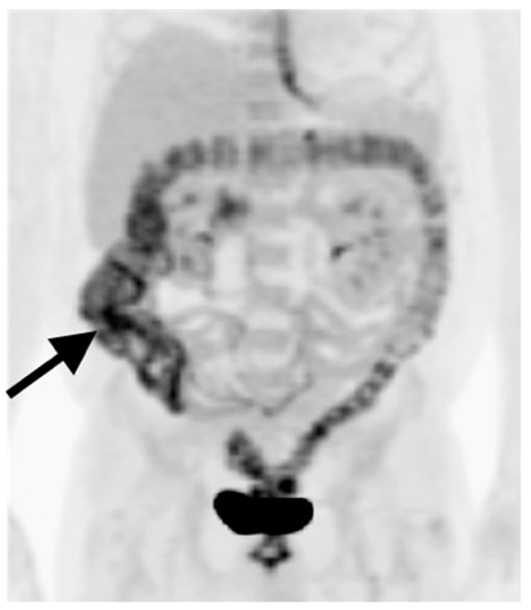
9. Bowel Adenocarcinoma: Colon, Rectum, Small Bowel
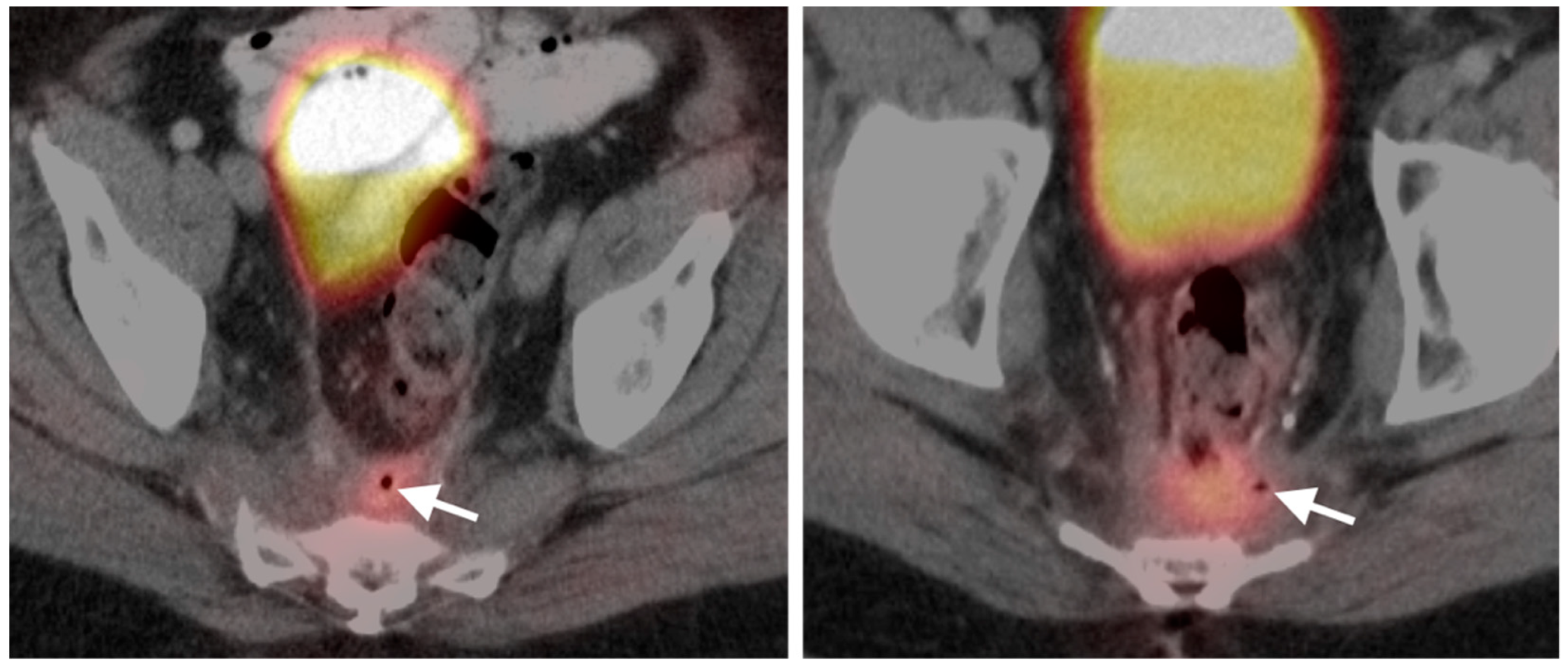
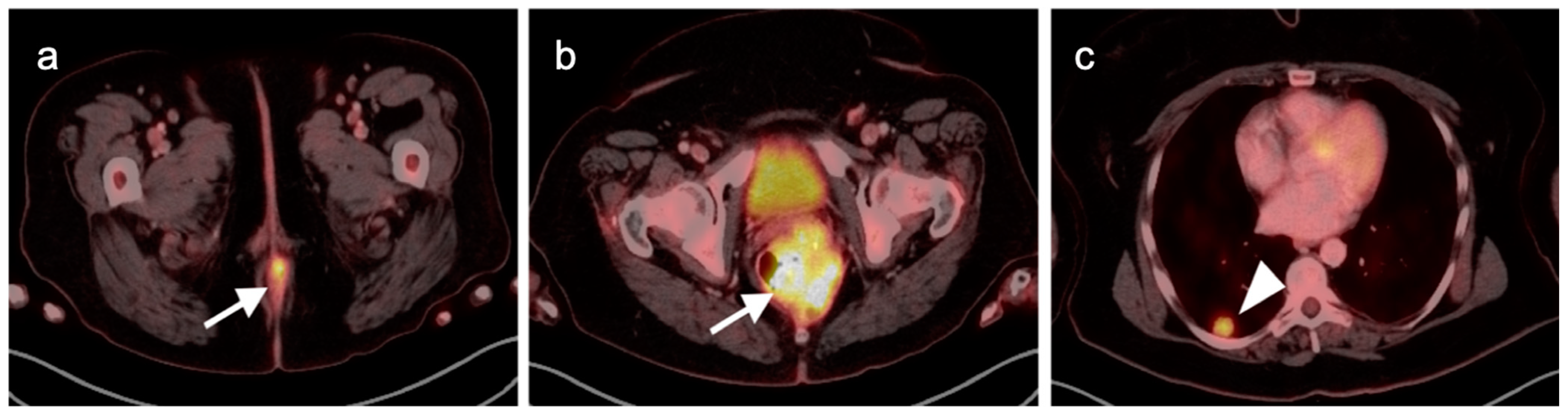
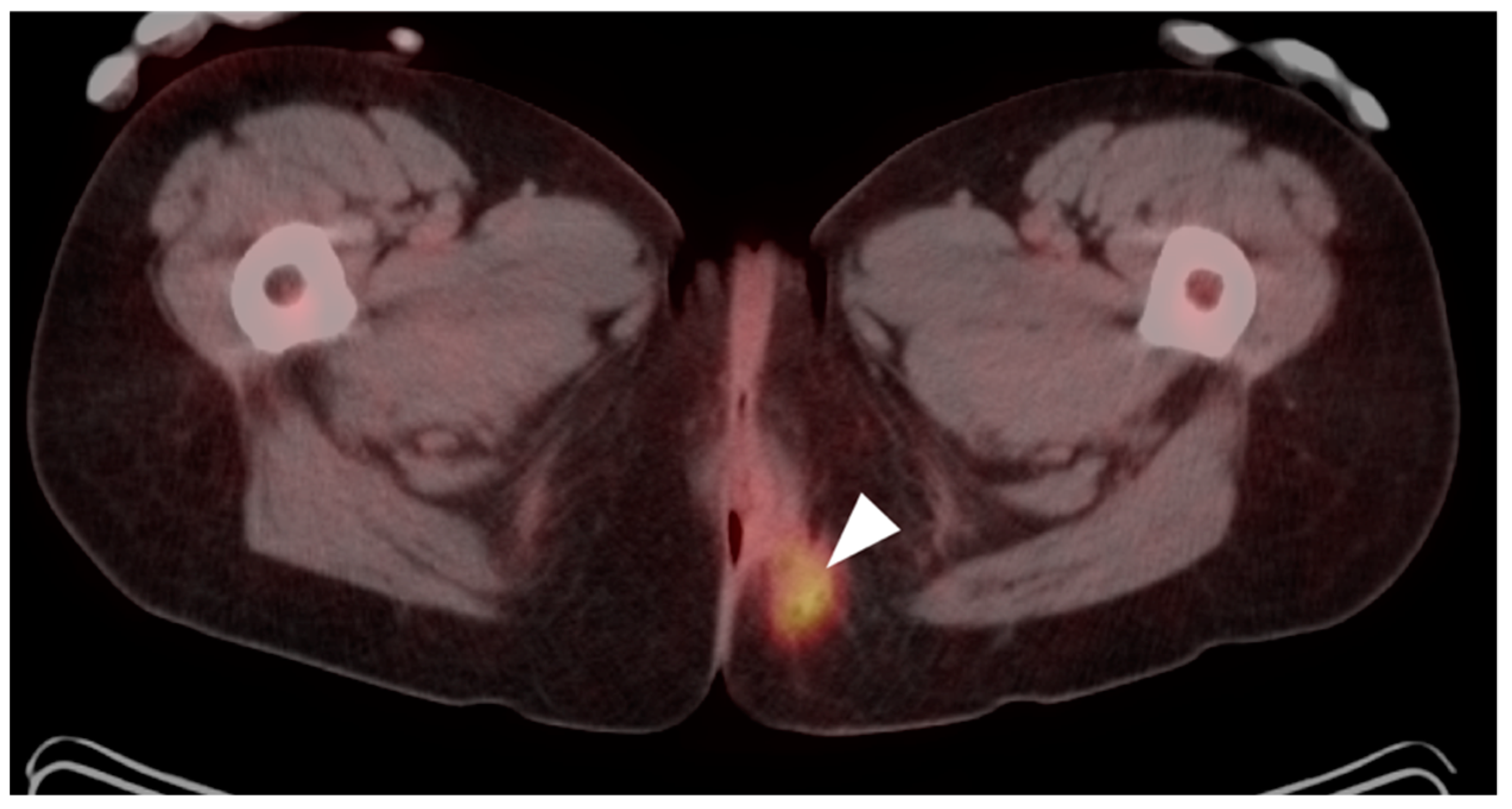
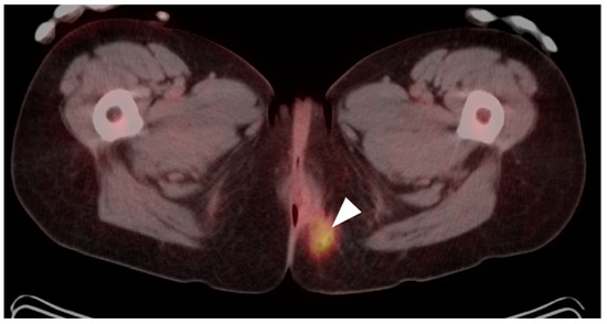
10. Anal Carcinoma
11. Conclusions
Author Contributions
Funding
Institutional Review Board Statement
Informed Consent Statement
Data Availability Statement
Conflicts of Interest
References
- Recio-Boiles, A.; Babiker, H.M. Esophageal Cancer. [Updated 21 July 2021]. In: StatPearls [Internet]. Treasure Island (FL): StatPearls Publishing. January 2022. Available online: https://www.ncbi.nlm.nih.gov/books/NBK459267/ (accessed on 21 July 2021).
- Oza, K.; Peesay, T.; Greenspun, B.; Carroll, J.E.; Shafa, S.; Zeck, J.C.; Haddad, N.G.; Margolis, M.; Khaitan, P.G. Long-term outcomes of endoscopic mucosal resection for early-stage esophageal adenocarcinoma. Surg. Endosc. 2021. [Google Scholar] [CrossRef] [PubMed]
- Betancourt-Cuellar, S.L.; Palacio, D.P.; Benveniste, M.F.K.; Mawlawi, Y.; Erasmus, J.J. Pitfalls and Pearls in Esophageal Carcinoma. Semin. Ultrasound CT MRI 2021, 42, 535–541. [Google Scholar] [CrossRef] [PubMed]
- Van Westreenen, H.L.; Heeren, P.A.; Jager, P.L.; van Dullemen, H.M.; Groen, H.; Plukker, J.T. Pitfalls of positive findings in staging esophageal cancer with F-18-fluorodeoxyglucose positron emission tomography. Ann. Surg. Oncol. 2003, 10, 1100–11055. [Google Scholar] [CrossRef] [PubMed]
- Jayaprakasam, V.S.; Paroder, V.; Schöder, H. Variants and Pitfalls in PET/CT Imaging of Gastrointestinal Cancers. Semin Nucl Med. 2021, 51, 485–501. [Google Scholar] [CrossRef] [PubMed]
- Depypere, L.; Coosemans, W.; Nafteux, P. Fluorine-18-fluorodeoxyglucose uptake in a benign oesophageal leiomyoma: A potential pitfall in diagnosis. Interact. Cardiovasc. Thorac. Surg. 2012, 14, 234–236. [Google Scholar] [CrossRef] [PubMed]
- Voncken, F.E.M.; Aleman, B.M.P.; van Dieren, J.M.; Grootscholten, C.; Lalezari, F.; van Sandick, J.W.; Steinberg, J.D.; Vegt, E. Radiation-induced liver injury mimicking liver metastases on FDG-PET-CT after chemoradiotherapy for esophageal cancer: A ret-rospective study and literature review. Strahlenther Onkol. 2018, 194, 156–163. [Google Scholar] [CrossRef] [PubMed]
- Lordick, F.; Ott, K.; Krause, B.-J.; Weber, W.A.; Becker, K.; Stein, H.J.; Lorenzen, S.; Schuster, T.; Wieder, H.; Herrmann, K.; et al. PET to assess early metabolic response and to guide treatment of adenocarcinoma of the oesophagogastric junction: The MUNICON phase II trial. Lancet Oncol. 2007, 8, 797–805. [Google Scholar] [CrossRef]
- Van Vliet, E.P.; Heijenbrok-Kal, M.H.; Hunink, M.G.; Kuipers, E.J.; Siersema, P.D. Staging investigations for oesophageal cancer: A meta-analysis. Br. J. Cancer 2008, 98, 547–557. [Google Scholar] [CrossRef]
- Hagens, E.R.C.; van Berge Henegouwen, M.I.; Gisbertz, S.S. Distribution of Lymph Node Metastases in Esophageal Carcinoma Patients Undergoing Upfront Surgery: A Systematic Review. Cancers 2020, 12, 1592. [Google Scholar] [CrossRef]
- Ajani, J.A.; D’Amico, T.A.; Bentrem, D.J.; Chao, J.; Corvera, C.; Das, P.; Denlinger, C.S.; Enzinger, P.C.; Fanta, P.; Farjah, F.; et al. Esophageal and Esophagogastric Junction Cancers, Version 2.2019, NCCN Clinical Practice Guidelines in Oncology. J. Natl. Compr. Cancer Netw. 2019, 17, 855–883. [Google Scholar] [CrossRef]
- Squires, M.H.; Gower, N.; Benbow, J.H.; Donahue, E.E.; Bohl, C.E.; Prabhu, R.S.; Hill, J.S.; Salo, J.C. PET Imaging and Rate of Pathologic Complete Response in Esophageal Squamous Cell Carcinoma. Ann. Surg. Oncol. 2022, 29, 1327–1333. [Google Scholar] [CrossRef] [PubMed]
- World Health Organization. Cancer. WHO. 12 September 2018. Available online: http://www.who.int/mediacentre/factsheets/fs297/en/ (accessed on 31 December 2021).
- Karimi, P.; Islami, F.; Anandasabapathy, S.; Freedman, N.D.; Kamangar, F. Gastric Cancer: Descriptive Epidemiology, Risk Factors, Screening, and Prevention. Cancer Epidemiol. Biomark. Prev. 2014, 23, 700–713. [Google Scholar] [CrossRef] [PubMed]
- Laurén, P. The Two Histological Main Types of Gastric Carcinoma: Diffuse and so-called Intestinal-Type Carcinoma. An Attempt at a Histo-Clinical Classification. Acta Pathol. Microbiol. Scand. 1965, 64, 31–49. [Google Scholar] [CrossRef] [PubMed]
- Nakamura, K.; Sugano, H.; Takagi, K. Carcinoma of the stomach in incipient phase: It’s histogenesis and histological appearances. Gan 1968, 59, 251–258. [Google Scholar]
- Namikawa, T.; Hanazaki, K. Mucin phenotype of gastric cancer and clinicopathology of gastric-type differentiated adenocarcinoma. World J. Gastroenterol. 2010, 16, 4634–4639. [Google Scholar] [CrossRef]
- Bae, S.-W.; Berlth, F.; Jeong, K.-Y.; Park, J.-H.; Choi, J.-H.; Park, S.-H.; Suh, Y.-S.; Kong, S.-H.; Park, D.-J.; Lee, H.-J.; et al. Glucose metabolic profiles evaluated by PET associated with molecular characteristic landscape of gastric cancer. Gastric Cancer 2022, 25, 149–160. [Google Scholar] [CrossRef]
- Wu, C.-X.; Zhu, Z.-H. Diagnosis and evaluation of gastric cancer by positron emission tomography. World J. Gastroenterol. 2014, 20, 4574–4585. [Google Scholar] [CrossRef]
- Stahl, A.; Ott, K.; Weber, W.A.; Becker, K.; Link, T.; Siewert, J.-R.; Schwaiger, M.; Fink, U. FDG PET imaging of locally advanced gastric carcinomas: Correlation with endoscopic and histopathological findings. Eur. J. Nucl. Med. Mol. Imaging 2003, 30, 288–295. [Google Scholar] [CrossRef]
- Dassen, A.E.; Lips, D.J.; Hoekstra, C.J.; Pruijt, J.F.; Bosscha, K. FDG-PET has no definite role in preoperative imaging in gastric cancer. Eur. J. Surg. Oncol. 2009, 35, 449–455. [Google Scholar] [CrossRef]
- Nie, R.-C.; Yuan, S.-Q.; Chen, X.-J.; Chen, S.; Xu, L.-P.; Chen, Y.-M.; Zhu, B.-Y.; Sun, X.-W.; Zhou, Z.-W.; Chen, Y.-B. Endoscopic ultrasonography compared with multidetector computed tomography for the preoperative staging of gastric cancer: A meta-analysis. World J. Surg. Oncol. 2017, 15, 113. [Google Scholar] [CrossRef]
- Findlay, J.M.; Antonowicz, S.; Segaran, A.; el Kafsi, J.; Zhang, A.; Bradley, K.M.; Gillies, R.S.; Maynard, N.D.; Middleton, M.R. Routinely staging gastric cancer with 18F-FDG PET-CT detects additional metastases and predicts early recurrence and death after surgery. Eur. Radiol. 2019, 29, 2490–2498. [Google Scholar] [CrossRef] [PubMed]
- Altini, C.; Niccoli Asabella, A.; Di Palo, A.; Fanelli, M.; Ferrari, C.; Moschetta, M.; Rubini, G. 18F-FDG PET/CT Role in Staging of Gastric Carcinomas: Comparison with conventional contrast enhancement computed tomography. Medicine 2015, 94, e864. [Google Scholar] [CrossRef] [PubMed]
- Cayvarlı, H.; Bekis, R.; Akman, T.; Altun, D. The Role of 18F-FDG PET/CT in the Evaluation of Gastric Cancer Recurrence. Mol. Imaging Radionucl. Ther. 2014, 23, 76–83. [Google Scholar] [CrossRef] [PubMed]
- Ott, K.; Fink, U.; Becker, K.; Stahl, A.; Dittler, H.-J.; Busch, R.; Stein, H.; Lordick, F.; Link, T.; Schwaiger, M.; et al. Prediction of Response to Preoperative Chemotherapy in Gastric Carcinoma by Metabolic Imaging: Results of a Prospective Trial. J. Clin. Oncol. 2003, 21, 4604–4610. [Google Scholar] [CrossRef] [PubMed]
- Ajani, J.A.; D’Amico, T.A.; Almhanna, K.; Bentrem, D.J.; Chao, J.; Das, P.; Denlinger, C.S.; Fanta, P.; Farjah, F.; Fuchs, C.S.; et al. Gastric Cancer, Version 3.2016, NCCN Clinical Practice Guidelines in Oncology. J. Natl. Compr. Cancer Netw. 2016, 14, 1286–1312. [Google Scholar] [CrossRef]
- Parab, T.M.; DeRogatis, M.J.; Boaz, A.M.; Grasso, S.A.; Issack, P.S.; Duarte, D.A.; Urayeneza, O.; Vahdat, S.; Qiao, J.-H.; Hinika, G.S. Gastrointestinal stromal tumors: A comprehensive review. J. Gastrointest. Oncol. 2019, 10, 144–154. [Google Scholar] [CrossRef]
- Williams, A.; Gutzeit, A.; Germer, M.; Pless, M. PET-Negative Gastrointestinal Stromal Tumors. Case Rep. Oncol. 2013, 6, 508–513. [Google Scholar] [CrossRef]
- Benjamin, R.S.; Choi, H.; Macapinlac, H.A.; Burgess, M.A.; Patel, S.R.; Chen, L.L.; Podoloff, D.A.; Charnsangavej, C. We Should Desist Using RECIST, at Least in GIST. J. Clin. Oncol. 2007, 25, 1760–1764. [Google Scholar] [CrossRef]
- Van den Abbeele, A.D. The Lessons of GIST—PET and PET/CT: A New Paradigm for Imaging. Oncologist 2008, 13 (Suppl. 2), 8–13. [Google Scholar] [CrossRef]
- Holdsworth, C.H.; Badawi, R.D.; Manola, J.B.; Kijewski, M.F.; Israel, D.A.; Demetri, G.D.; Van den Abbeele, A.D. CT and PET: Early Prognostic Indicators of Response to Imatinib Mesylate in Patients with Gastrointestinal Stromal Tumor. AJR Am. J. Roentgenol. 2007, 189, W324–W330. [Google Scholar] [CrossRef]
- Ayuso, C.; Rimola, J.; Vilana, R.; Burrel, M.; Darnell, A.; García-Criado, A.; Bianchi, L.; Belmonte, E.; Caparroz, C.; Barrufet, M.; et al. Diagnosis and staging of hepatocellular carcinoma (HCC): Current guidelines. Eur. J. Radiol. 2018, 101, 72–81. [Google Scholar] [CrossRef] [PubMed]
- Talbot, J.N.; Fartoux, L.; Balogova, S.; Nataf, V.; Kerrou, K.; Gutman, F.; Huchet, V.; Ancel, D.; Grange, J.D.; Rosmorduc, O. De-tection of hepatocellular carcinoma with PET/CT: A prospective comparison of 18F-fluorocholine and 18F-FDG in patients with cirrhosis or chronic liver disease. J. Nucl. Med. 2010, 51, 1699–1706. [Google Scholar] [CrossRef] [PubMed]
- Yamamoto, Y.; Nishiyama, Y.; Kameyama, R.; Okano, K.; Kashiwagi, H.; Deguchi, A.; Kaji, M.; Ohkawa, M. Detection of Hepatocellular Carcinoma Using 11C-Choline PET: Comparison with 18F-FDG PET. J. Nucl. Med. 2008, 49, 1245–1248. [Google Scholar] [CrossRef] [PubMed]
- Kesler, M.; Levine, C.; Hershkovitz, D.; Mishani, E.; Menachem, Y.; Lerman, H.; Zohar, Y.; Shibolet, O.; Even-Sapir, E. 68Ga-PSMA is a novel PET-CT tracer for imaging of hepatocellular carcinoma: A prospective pilot study. J. Nucl. Med. 2019, 60, 185–191. [Google Scholar] [CrossRef] [PubMed]
- Thompson, S.M.; Suman, G.; Torbenson, M.S.; Chen, Z.E.; Jondal, D.E.; Patra, A.; Ehman, E.C.; Andrews, J.C.; Fleming, C.J.; Welch, B.T.; et al. PSMA as a Theranostic Target in Hepato-cellular Carcinoma: Immunohistochemistry and 68 Ga-PSMA-11 PET Using Cyclotron-Produced 68 Ga. Hepatol Commun. 2021, 6, 1172–1185. [Google Scholar] [CrossRef]
- Gündoğan, C.; Ergül, N.; Çakır, M.S.; Kılıçkesmez, Ö.; Gürsu, R.U.; Aksoy, T.; Çermik, T.F. 68Ga-PSMA PET/CT Versus 18F-FDG PET/CT for Imaging of Hepatocellular Carcinoma. Mol. Imaging Radionucl. Ther. 2021, 30, 79–85. [Google Scholar] [CrossRef]
- Hirmas, N.; Leyh, C.; Sraieb, M.; Barbato, F.; Schaarschmidt, B.M.; Umutlu, L.; Nader, M.; Wedemeyer, H.; Ferdinandus, J.; Rischpler, C.; et al. 68Ga-PSMA-11 PET/CT Improves Tumor Detection and Impacts Management in Patients with Hepatocellular Carcinoma. J. Nucl. Med. 2021, 62, 1235–1241. [Google Scholar] [CrossRef]
- Bilgic, S.; Sayman, H.B.; Sager, M.S.; Sonmezoglu, K. A case of hepatic focal nodular hyperplasia mimicking hepatocellular carcinoma identified on gallium-68-prostate-specific membrane antigen positron emission tomography/computed tomography. World J. Nucl. Med. 2021, 20, 192–194. [Google Scholar] [CrossRef]
- Benson, A.B.; D’Angelica, M.I.; Abbott, D.E.; Anaya, D.A.; Anders, R.; Are, C.; Bachini, M.; Borad, M.; Brown, D.; Burgoyne, A.; et al. Hepatobiliary Cancers, Version 2.2021, NCCN Clinical Practice Guidelines in Oncology. J. Natl. Compr. Canc. Netw. 2021, 19, 541–565. [Google Scholar] [CrossRef]
- Rizvi, S.; Khan, S.A.; Hallemeier, C.L.; Kelley, R.K.; Gores, G.J. Cholangiocarcinoma—Evolving concepts and therapeutic strategies. Nat. Rev. Clin. Oncol. 2018, 15, 95–111. [Google Scholar] [CrossRef]
- Klatskin, G. Adenocarcinoma of the hepatic duct at its bifurcation within the porta hepatis: An unusual tumor with distinctive clinical and pathological features. Am. J. Med. 1965, 38, 241–256. [Google Scholar] [CrossRef]
- Clary, B.; Jarnigan, W.; Pitt, H.; Gores, G.; Busuttil, R.; Pappas, T. Hilar cholangiocarcinoma. J. Gastrointest. Surg. 2004, 8, 298–302. [Google Scholar] [CrossRef] [PubMed]
- Bergquist, A.; Von Seth, E. Epidemiology of cholangiocarcinoma. Best Pract. Res. Clin. Gastroenterol. 2015, 29, 221–232. [Google Scholar] [CrossRef]
- Doherty, B.; Nambudiri, V.E.; Palmer, W.C. Update on the Diagnosis and Treatment of Cholangiocarcinoma. Curr. Gastroenterol. Rep. 2017, 19, 2. [Google Scholar] [CrossRef]
- Kluge, R.; Schmidt, F.; Caca, K.; Barthel, H.; Hesse, S.; Georgi, P.; Seese, A.; Huster, D.; Berr, F. Positron emission tomography with [18F]fluoro-2-deoxy-D-glucose for diagnosis and staging of bile duct cancer. Hepatology 2001, 33, 1029–1035. [Google Scholar] [CrossRef]
- Kim, J.Y.; Kim, M.-H.; Lee, T.Y.; Hwang, C.Y.; Kim, J.S.; Yun, S.-C.; Lee, S.S.; Seo, D.W.; Lee, S.K. Clinical Role of 18F-FDG PET-CT in Suspected and Potentially Operable Cholangiocarcinoma: A Prospective Study Compared with Conventional Imaging. Am. J. Gastroenterol. 2008, 103, 1145–1151. [Google Scholar] [CrossRef]
- Fong, Z.V.; Brownlee, S.A.; Qadan, M.; Tanabe, K.K. The Clinical Management of Cholangiocarcinoma in the United States and Europe: A Comprehensive and Evidence-Based Comparison of Guidelines. Ann. Surg. Oncol. 2021, 28, 2660–2674. [Google Scholar] [CrossRef]
- Kiefer, L.S.; Sekler, J.; Gückel, B.; Kraus, M.S.; la Fougère, C.; Nikolaou, K.; Bitzer, M.; Gatidis, S.; Pfannenberg, C. Impact of 18F-FDG-PET/CT on Clinical Management in Patients with Cholangiocellular Carcinoma. BJR Open 2021, 3, 20210008. [Google Scholar] [CrossRef] [PubMed]
- Cariati, A.; Piromalli, E.; Cetta, F. Gallbladder cancers: Associated conditions, histological types, prognosis, and prevention. Eur. J. Gastroenterol. Hepatol. 2014, 26, 562–569. [Google Scholar] [CrossRef]
- Goetze, T.O. Gallbladder carcinoma: Prognostic factors and therapeutic options. World J. Gastroenterol. 2015, 21, 12211–12217. [Google Scholar] [CrossRef]
- Romano, F.; Franciosi, C.; Caprotti, R.; De Fina, S.; Porta, G.; Visintini, G.; Uggeri, F. Laparoscopic cholecystectomy and unsuspected gallbladder cancer. Eur. J. Surg. Oncol. 2001, 27, 225–228. [Google Scholar] [CrossRef] [PubMed]
- Toyonaga, T.; Chijiiwa, K.; Nakano, K.; Noshiro, H.; Yamaguchi, K.; Sada, M.; Terasaka, R.; Konomi, K.; Nishikata, F.; Tanaka, M. Completion Radical Surgery after Cholecystectomy for Accidentally Undiagnosed Gallbladder Carcinoma. World J. Surg. 2003, 27, 266–271. [Google Scholar] [CrossRef] [PubMed]
- Cho, J.Y.; Han, H.-S.; Yoon, Y.-S.; Ahn, K.S.; Kim, Y.-H.; Lee, K.-H. Laparoscopic Approach for Suspected Early-Stage Gallbladder Carcinoma. Arch. Surg. 2010, 145, 128–133. [Google Scholar] [CrossRef] [PubMed]
- Goetze, T.O.; Paolucci, V. Influence of high- and low-volume liver surgery in gallbladder carcinoma. World J. Gastroenterol. 2014, 20, 18445–18451. [Google Scholar] [CrossRef]
- Uesaka, K.; Yasui, K.; Morimoto, T.; Torii, A.; Yamamura, Y.; Kodera, Y.; Hirai, T.; Kato, T.; Kito, T. Visualization of routes of lymphatic drainage of the gallbladder with a carbon particle suspension. J. Am. Coll. Surg. 1996, 183, 345–350. [Google Scholar]
- [Guideline] National Comprehensive Cancer Network. NCCN Clinical Practice Guidelines in Oncology: Hepatobiliary Cancers. NCCN. Version 5.2021—21 September 2021. Available online: https://www.nccn.org/professionals/physician_gls/PDF/hepatobiliary.pdf (accessed on 8 December 2021).
- Parida, G.K.; Panda, R.A.; Agrawal, K. Impact of fluorine-18-fluorodeoxyglucose PET/computed tomography in staging of patients with gallbladder cancer: A systematic review and meta-analysis. Nucl. Med. Commun. 2021, 42, 846–854. [Google Scholar] [CrossRef]
- Gupta, N.; Verma, R.; Belho, E.S.; Dhawan, S. Xanthogranulomatous cholecystitis mimicking gallbladder cancer on 18F-fluorodeoxyglucose positron emission tomography/computed tomography scan. World J. Nucl. Med. 2020, 20, 93–95. [Google Scholar] [CrossRef]
- Naito, S.; Noritomi, T.; Fukuda, Y.; Goto, Y.; Hieda, T.; Hasegawa, S. Papillary hyperplasia of the gallbladder diagnosed as gallbladder cancer before surgery: A case report. Int. J. Surg. Case Rep. 2021, 88, 106542. [Google Scholar] [CrossRef]
- Moradi, F.; Iagaru, A. The Role of Positron Emission Tomography in Pancreatic Cancer and Gallbladder Cancer. Semin. Nucl. Med. 2020, 50, 434–446. [Google Scholar] [CrossRef]
- Ilias, I.; Pacak, K. Diagnosis and Management of Tumors of the Adrenal Medulla. Horm. Metab. Res. 2005, 37, 717–721. [Google Scholar] [CrossRef]
- Paragliola, R.M.; Torino, F.; Papi, G.; Locantore, P.; Pontecorvi, A.; Corsello, S.M. Role of Mitotane in Adrenocortical Carcinoma—Review and State of the art. Eur. Endocrinol. 2018, 14, 62–66. [Google Scholar] [CrossRef] [PubMed]
- Babaya, N.; Noso, S.; Hiromine, Y.; Taketomo, Y.; Niwano, F.; Monobe, K.; Imamura, S.; Ueda, K.; Yamazaki, Y.; Sasano, H.; et al. Oncocytic adrenocortical aarcinoma with low 18F-FDG uptake and the absence of glucose transporter 1 expression. J. Endocr. Soc. 2021, 5, bvab143. [Google Scholar] [CrossRef] [PubMed]
- Dinnes, J.; Bancos, I.; Ferrante Di Ruffano, L.; Chortis, V.; Davenport, C.; Bayliss, S.; Sahdev, A.; Guest, P.; Fassnacht, M.; Deeks, J.; et al. Management of endocrine disease: Imaging for the diagnosis of malignancy in incidentally discovered adrenal masses: A systematic review and meta-analysis. Eur. J. Endocrinol. 2016, 175, R51–R64. [Google Scholar] [CrossRef] [PubMed]
- Sahdev, A. Recommendations for the management of adrenal incidentalomas: What is pertinent for radiologists? Br. J. Radiol. 2017, 90, 20160627. [Google Scholar] [CrossRef]
- Slattery, J.M.A.; Blake, M.A.; Kalra, M.K.; Misdraji, J.; Sweeney, A.T.; Copeland, P.M.; Mueller, P.R.; Boland, G.W. Adrenocortical Carcinoma: Contrast Washout Characteristics on CT. AJR Am. J. Roentgenol. 2006, 187, W21–W24. [Google Scholar] [CrossRef]
- Okada, M.; Shimono, T.; Komeya, Y.; Ando, R.; Kagawa, Y.; Katsube, T.; Kuwabara, M.; Yagyu, Y.; Kumano, S.; Imaoka, I.; et al. Adrenal masses: The value of additional fluorodeoxyglucose-positron emission tomography/computed tomography (FDG-PET/CT) in differentiating between benign and malignant lesions. Ann. Nucl. Med. 2009, 23, 349–354. [Google Scholar] [CrossRef]
- Vos, E.L.; Grewal, R.K.; Russo, A.E.; Reidy-Lagunes, D.; Untch, B.R.; Gavane, S.C.; Boucai, L.; Geer, E.; Gopalan, A.; Chou, J.F.; et al. Predicting malignancy in patients with adrenal tumors using 18F-FDG-PET/CT SUVmax. J. Surg. Oncol. 2020, 122, 1821–1826. [Google Scholar] [CrossRef]
- Kunikowska, J.; Matyskiel, R.; Toutounchi, S.; Grabowska-Derlatka, L.; Koperski, L.; Krolicki, L. What parameters from 18F-FDG PET/CT are useful in evaluation of adrenal lesions? Eur. J. Nucl. Med. Mol. Imaging 2014, 41, 2273–2280. [Google Scholar] [CrossRef]
- Dong, A.; Cui, Y.; Wang, Y.; Zuo, C.; Bai, Y. 18F-FDG PET/CT of Adrenal Lesions. AJR Am. J. Roentgenol. 2014, 203, 245–252. [Google Scholar] [CrossRef]
- Loewe, R.; Rogowski-Lehmann, N.; Pfluger, T.; Reincke, M.; Hahner, S.; Bluemel, C.; Fassnacht, M.; Beuschlein, F. Predicitve Value of FDG Uptake in the Remaining Adrenal Gland Following Adrenalectomy for Adrenocortical Cancer. Horm. Metab. Res. 2021, 53, 24–31. [Google Scholar] [CrossRef]
- Cancer Facts & Figures 2021. American Cancer Society. Available online: https://www.cancer.org/content/dam/cancer-org/research/cancer-facts-and-statistics/annual-cancer-facts-and-figures/2021/cancer-facts-and-figures-2021.pdf (accessed on 10 January 2022).
- [Guideline] National Comprehensive Cancer Network. NCCN Clinical Practice Guidelines in Oncology. Pancreatic Adenocarcinoma. NCCN. Version 2.2021—25 February 2021. Available online: http://www.nccn.org/professionals/physician_gls/pdf/pancreatic.pdf (accessed on 10 December 2021).
- Rijkers, A.P.; Valkema, R.; Duivenvoorden, H.J.; van Eijck, C.H. Usefulness of F-18-fluorodeoxyglucose positron emission tomography to confirm suspected pancreatic cancer: A meta-analysis. Eur. J. Surg. Oncol. 2014, 40, 794–804. [Google Scholar] [CrossRef] [PubMed]
- Wang, Z.; Chen, J.Q.; Liu, J.L.; Qin, X.G.; Huang, Y. FDG-PET in diagnosis, staging and prognosis of pancreatic carcinoma: A meta-analysis. World J. Gastroenterol. 2013, 19, 4808–4817. [Google Scholar] [CrossRef] [PubMed]
- Sohal, D.P.S.; Kennedy, E.B.; Cinar, P.; Conroy, T.; Copur, M.S.; Crane, C.H.; Garrido-Laguna, I.; Lau, M.W.; Johnson, T.; Krishnamurthi, S.; et al. Metastatic Pancreatic Cancer: ASCO Guideline Update. J. Clin. Oncol. 2020, 5, JCO2001364. [Google Scholar] [CrossRef] [PubMed]
- Brenner, H.; Kloor, M.; Pox, C.P. Colorectal cancer. Lancet 2014, 383, 1490–1502. [Google Scholar] [CrossRef]
- Johnson, C.M.; Wei, C.; Ensor, J.E.; Smolenski, D.J.; Amos, C.I.; Levin, B.; Berry, D.A. Meta-analyses of colorectal cancer risk factors. Cancer Causes Control. 2013, 24, 1207–1222. [Google Scholar] [CrossRef]
- PDQ Adult Treatment Editorial Board. Colon Cancer Treatment–Health Professional Version. National Cancer Institute. 25 January 2021. Available online: http://www.cancer.gov/types/colorectal/hp/colon-treatment-pdq (accessed on 11 January 2022).
- Riihimäki, M.; Hemminki, A.; Sundquist, J.; Hemminki, K. Patterns of metastasis in colon and rectal cancer. Sci. Rep. 2016, 6, 29765. [Google Scholar] [CrossRef]
- Aparicio, T.; Zaanan, A.; Mary, F.; Afchain, P.; Manfredi, S.; Evans, T.R.J. Small Bowel Adenocarcinoma. Gastroenterol. Clin. N. Am. 2016, 45, 447–457. [Google Scholar] [CrossRef]
- Halfdanarson, T.R.; McWilliams, R.R.; Donohue, J.H.; Quevedo, J.F. A single-institution experience with 491 cases of small bowel adenocarcinoma. Am. J. Surg. 2010, 199, 797–803. [Google Scholar] [CrossRef]
- Dabaja, B.S.; Suki, D.; Pro, B.; Bonnen, M.; Ajani, J. Adenocarcinoma of the small bowel: Presentation, prognostic factors, and outcome of 217 patients. Cancer 2004, 101, 518–526. [Google Scholar] [CrossRef]
- Howe, J.R.; Karnell, L.H.; Menck, H.R.; Scott-Conner, C. The American College of Surgeons Commission on Cancer and the American Cancer Society. Adenocarcinoma of the small bowel: Review of the National Cancer Data Base, 1985–1995. Cancer 1999, 86, 2693–2706. [Google Scholar] [CrossRef]
- Legué, L.M.; Bernards, N.; Gerritse, S.L.; van Oudheusden, T.R.; de Hingh, I.H.J.T.; Creemers, G.-J.M.; Ten Tije, A.J.; Lemmens, V.E.P.P. Trends in incidence, treatment and survival of small bowel adenocarcinomas between 1999 and 2013: A population-based study in The Netherlands. Acta Oncol. 2016, 55, 1183–1189. [Google Scholar] [CrossRef] [PubMed]
- [Guideline] National Comprehensive Cancer Network. NCCN Clinical Practice Guidelines in Oncology: Colon Cancer. NCCN. Version 3.2021—10 September 2021. Available online: https://www.nccn.org/professionals/physician_gls/PDF/colon.pdf (accessed on 8 January 2022).
- [Guideline] National Comprehensive Cancer Network. NCCN Clinical Practice Guidelines in Oncology: Small Bowel Adenocarcinoma. NCCN. Version 2.2021—10 September 2021. Available online: https://www.nccn.org/professionals/physician_gls/PDF/small_bowel.pdf (accessed on 8 January 2022).
- [Guideline] National Comprehensive Cancer Network. NCCN Clinical Practice Guidelines in Oncology: Rectal Cancer. NCCN. Version 2.2021—10 September 2021. Available online: https://www.nccn.org/professionals/physician_gls/PDF/rectal.pdf (accessed on 8 January 2022).
- Zealley, I.A.; Skehan, S.J.; Rawlinson, J.; Coates, G.; Nahmias, C.; Somers, S. Selection of Patients for Resection of Hepatic Metastases: Improved Detection of Extrahepatic Disease with FDG PET. RadioGraphics 2001, 21, S55–S69. [Google Scholar] [CrossRef] [PubMed][Green Version]
- Lu, Y.-Y.; Chen, J.-H.; Chien, C.-R.; Chen, W.T.-L.; Tsai, S.-C.; Lin, W.-Y.; Kao, C.-H. Use of FDG-PET or PET/CT to detect recurrent colorectal cancer in patients with elevated CEA: A systematic review and meta-analysis. Int. J. Colorectal. Dis. 2013, 28, 1039–1047. [Google Scholar] [CrossRef] [PubMed]
- Zhang, Y.; Feng, B.; Zhang, G.-L.; Hu, M.; Fu, Z.; Zhao, F.; Zhang, X.-L.; Kong, L.; Yu, J.-M. Value of 18F-FDG PET-CT in surveillance of postoperative colorectal cancer patients with various carcinoembryonic antigen concentrations. World J. Gastroenterol. 2014, 20, 6608–6614. [Google Scholar] [CrossRef] [PubMed]
- Gade, M.; Kubik, M.; Fisker, R.V.; Thorlacius-Ussing, O.; Petersen, L.J. Diagnostic value of (18)F-FDG PET/CT as first choice in the detection of recurrent colorectal cancer due to rising CEA. Cancer Imaging 2015, 15, 11. [Google Scholar] [CrossRef]
- Rizvi, S.A.; Syed, W.; Shergill, R. Approach to pseudomyxoma peritonei. World J. Gastrointest. Surg. 2018, 10, 49–56. [Google Scholar] [CrossRef]
- Yılmaz, S.; Özhan, M.; Sager, S.; Yörük Atik, D.; Halac, M.; Sönmezoğlu, K. Metformin-Induced Intense Bowel Uptake Observed on Restaging FDG PET/CT Study in a Patient with Gastric Lymphoma. Mol. Imaging Radionucl. Ther. 2011, 20, 114–116. [Google Scholar] [CrossRef]
- Shmidt, E.; Nehra, V.; Lowe, V.; Oxentenko, A.S. Clinical significance of incidental [18F]FDG uptake in the gastrointestinal tract on PET/CT imaging: A retrospective cohort study. BMC Gastroenterol. 2016, 16, 125. [Google Scholar] [CrossRef]
- Raed, A.; Zandu, M.; Sharma, A.; Sifuentes, H.; Sridhar, S. Anal Squamous Cell Carcinoma: A Growing Threat to Women’s Health and Call for Action [abstract]. American College of Gastroenterology Annual Scientific Meeting 2020; Abstract P0399. Am. J. Gastroenterol. 2020, 115, S68. [Google Scholar]
- Salati, S.A.; Al Kadi, A. Anal Cancer: A Review. Int. J. Health Sci. (Qassim) 2012, 6, 206–230. [Google Scholar] [CrossRef]
- SEER Stat Fact Sheets: Anal Cancer. NIH Surveillance, Epidemiology and End Results Program. Available online: http://seer.cancer.gov/statfacts/html/anus.html (accessed on 11 January 2022).
- [Guideline] NCCN Clinical Practice Guidelines in Oncology: Anal Carcinoma. NCCN.org. Version 2.2021—30 June 2021. Available online: https://www.nccn.org/professionals/physician_gls/PDF/anal.pdf (accessed on 13 January 2022).
- Morris, V.; Eng, C. Metastatic Anal Cancer and Novel Agents. Surg. Oncol. Clin. N. Am. 2017, 26, 133–142. [Google Scholar] [CrossRef] [PubMed]
- Sandach, P.; Kasper-Virchow, S.; Rischpler, C.; Herrmann, K. Molecular Imaging and Therapy of Colorectal and Anal Cancer. Semin. Nucl. Med. 2020, 50, 465–470. [Google Scholar] [CrossRef] [PubMed]
- Cotter, S.E.; Grigsby, P.W.; Siegel, B.A.; Dehdashti, F.; Malyapa, R.S.; Fleshman, J.W.; Birnbaum, E.H.; Wang, X.; Abbey, E.; Tan, B.; et al. FDG-PET/CT in the evaluation of anal carcinoma. Int. J. Radiat. Oncol. Biol. Phys. 2006, 65, 720–725. [Google Scholar] [CrossRef]
- Jones, M.; Hruby, G.; Solomon, M.; Rutherford, N.; Martin, J. The Role of FDG-PET in the Initial Staging and Response Assessment of Anal Cancer: A Systematic Review and Meta-analysis. Ann. Surg. Oncol. 2015, 22, 3574–3581. [Google Scholar] [CrossRef] [PubMed]
- Sena, Y.; Matsumoto, S.; Silman, C.; Otsuka, K.; Kiyota, T. Physiological 18F-FDG uptake in the normal adult anal canal: Evaluation by PET/CT. Ann. Nucl. Med. 2020, 34, 538–544. [Google Scholar] [CrossRef] [PubMed]











































| RECIST Criteria | Response | Choi Criteria |
|---|---|---|
| Disappearance of all lesions. No new lesions. | Complete (CR) | Disappearance of all lesions. No new lesions. |
| 30% decrease. No further increase. | Partial (PR) | ≥10% decrease in size OR ≥15% decrease in density (HU on CT). No new lesions. No obvious progression of non-measurable disease. |
| Does not meet criteria for PR or PD | Stable disease (SD) | Does not meet criteria for complete response, partial response of progression. No clinical deterioration attributed to tumor progression |
| 20% increase in size AND criteria for CR, PR or SD not met before increased disease. | Progression (SD) | ≥10% increase in tumor size AND does not meet criteria of PR by tumor density on CT. New lesions. New intratumoral nodules or increase in size of previous intratumoral nodules. |
Publisher’s Note: MDPI stays neutral with regard to jurisdictional claims in published maps and institutional affiliations. |
© 2022 by the authors. Licensee MDPI, Basel, Switzerland. This article is an open access article distributed under the terms and conditions of the Creative Commons Attribution (CC BY) license (https://creativecommons.org/licenses/by/4.0/).
Share and Cite
Koppula, B.R.; Fine, G.C.; Salem, A.E.; Covington, M.F.; Wiggins, R.H.; Hoffman, J.M.; Morton, K.A. PET-CT in Clinical Adult Oncology: III. Gastrointestinal Malignancies. Cancers 2022, 14, 2668. https://doi.org/10.3390/cancers14112668
Koppula BR, Fine GC, Salem AE, Covington MF, Wiggins RH, Hoffman JM, Morton KA. PET-CT in Clinical Adult Oncology: III. Gastrointestinal Malignancies. Cancers. 2022; 14(11):2668. https://doi.org/10.3390/cancers14112668
Chicago/Turabian StyleKoppula, Bhasker R., Gabriel C. Fine, Ahmed Ebada Salem, Matthew F. Covington, Richard H. Wiggins, John M. Hoffman, and Kathryn A. Morton. 2022. "PET-CT in Clinical Adult Oncology: III. Gastrointestinal Malignancies" Cancers 14, no. 11: 2668. https://doi.org/10.3390/cancers14112668
APA StyleKoppula, B. R., Fine, G. C., Salem, A. E., Covington, M. F., Wiggins, R. H., Hoffman, J. M., & Morton, K. A. (2022). PET-CT in Clinical Adult Oncology: III. Gastrointestinal Malignancies. Cancers, 14(11), 2668. https://doi.org/10.3390/cancers14112668

