Next Article in Journal
Impact of Diabetes and Metformin Use on Enteropancreatic Neuroendocrine Tumors: Post Hoc Analysis of the CLARINET Study
Next Article in Special Issue
Importance of T, NK, CAR T and CAR NK Cell Metabolic Fitness for Effective Anti-Cancer Therapy: A Continuous Learning Process Allowing the Optimization of T, NK and CAR-Based Anti-Cancer Therapies
Previous Article in Journal
Validation of Pre-/Post-TACE-Predict Models among Patients with Hepatocellular Carcinoma Receiving Transarterial Chemoembolization
Previous Article in Special Issue
Evaluation of Changes to the Oral Microbiome Based on 16S rRNA Sequencing among Children Treated for Cancer
 
 
Font Type:
Arial Georgia Verdana
Font Size:
Aa Aa Aa
Line Spacing:
Column Width:
Background:
Article

Neoadjuvant Treatment Lowers the Risk of Mesopancreatic Fat Infiltration and Local Recurrence in Patients with Pancreatic Cancer

1
Department of General, Visceral, Thoracic and Pediatric Surgery (A), Medical Faculty, Heinrich-Heine-University, University Hospital Duesseldorf, Moorenstr. 5, 40225 Duesseldorf, Germany
2
Institute of Pathology, Medical Faculty, Heinrich-Heine-University, University Hospital Duesseldorf, Moorenstr. 5, 40225 Duesseldorf, Germany
3
Department of Gastroenterology, Hepatology and Infectious Diseases, Medical Faculty, Heinrich-Heine-University, University Hospital Duesseldorf, Moorenstr. 5, 40225 Duesseldorf, Germany
4
Department of Diagnostic and Interventional Radiology, Medical Faculty, Heinrich-Heine-University, University Hospital Duesseldorf, Moorenstr. 5, 40225 Duesseldorf, Germany
*
Author to whom correspondence should be addressed.
These authors contributed equally to this work.
Cancers 2022, 14(1), 68; https://doi.org/10.3390/cancers14010068
Submission received: 22 November 2021 / Revised: 10 December 2021 / Accepted: 21 December 2021 / Published: 23 December 2021
(This article belongs to the Special Issue Feature Paper from Journal Reviewers)

Abstract

Simple Summary

After the implementation of an in-depth histopathological pancreas protocol, curative resection rates for pancreatic head cancers have drastically dropped. Standardized extended resections using embryo-anatomic landmarks (MPE), have recently been prooved to increase margin-negative resection rates. The mesopancreatic fat, excised during these extended resections, was infiltrated in the majority of the patients. Neoadjuvant treatment is an emerging topic of interest for pancreatic cancer patients. It remains unclear if these extended resections are still warranted in patients after neoadjuvant treatment. Neoadjuvant treatment lowered the risk for mesopancreatic fat infiltration and patients were less prone to local recurrence and margin positive resections when compared to patients after upfront surgery. However, the majority of the patients are yet diagnosed with mesopancreatic fat infiltration, justifying this extended approach synergistically with the treatment strategies for colorectal cancer.

Abstract

Background: Survival following surgical treatment of ductal adenocarcinoma of the pancreas (PDAC) remains poor. The recent implementation of the circumferential resection margin (CRM) into standard histopathological evaluation lead to a significant reduction in R0 rates. Mesopancreatic fat infiltration is present in ~80% of PDAC patients at the time of primary surgery and recently, mesopancreatic excision (MPE) was correlated to complete resection. To attain an even higher rate of R0(CRM−) resections in the future, neoadjuvant therapy in patients with a progressive disease seems a promising tool. We analyzed radiographic and histopathological treatment response and mesopancreatic tumor infiltration in patients who received neoadjuvant therapy prior to MPE. The aim of our study was to evaluate the need for MPE following neoadjuvant therapy and if multi-detector computed tomographically (MDCT) evaluated treatment response correlates with mesopancreatic (MP) infiltration. Method: Radiographic, clinicopathological and survival parameters of 27 consecutive patients who underwent neoadjuvant therapy prior to MPE were evaluated. The mesopancreatic fat tissue was histopathologically analyzed and the 1 mm-rule (CRM) was applied. Results: In the study collective, both the rate of R0 resection R0(CRM−) and the rate of mesopancreatic fat infiltration was 62.9%. Patients with MP infiltration showed a lower tumor response. Surgical resection status was dependent on MP infiltration and tumor response status. Patients with MDCT-predicted tumor response were less prone to MP infiltration. When compared to patients after upfront surgery, MP infiltration and local recurrence rate was significantly lower after neoadjuvant treatment. Conclusion: MPE remains warranted after neoadjuvant therapy. Mesopancreatic fat invasion was still evident in the majority of our patients following neoadjuvant treatment. MDCT-predicted tumor response did not exclude mesopancreatic fat infiltration.

1. Introduction

PDAC is estimated to become the second leading cause of cancer-related deaths by 2030 [1,2]. Kausch et al. and Whipple et al. first described a regional resection of the pancreatic head in the early 20th century [3,4]. These procedures have become the gold standard in surgical treatment for ductal adenocarcinomas of the pancreas (PDAC) and the defining anatomic landmarks during pancreatic resection have remained largely the same during the past century.
Even though most patients present with locally or systemically advanced disease and are thus not candidates for primary resection, chemotherapeutic regimens, including gemcitabine and its combinations, have not resulted in improved 5-year overall survival (OS) [5,6,7]. Recently, the implementation of modified FOLFIRINOX (5-fluorouracil, leucovorine, irinotecan, and oxaliplatin) as an extended adjuvant therapy has led to some improvements [8], but the prospects for inoperable patients remain dismal.
The majority of PDAC patients traditionally suffered local recurrence during follow-up, contrasting with the high reported margin-negative resection rates [9,10,11,12]. This observation led to evolved histopathological standards, culminating in the implementation of the circumferential resection margin (CRM) in 2004 [13,14]. This modified pathological protocol includes the evaluation of the ventral and dorsal pancreatic surfaces, as well as the medial pancreatic margin (i.e., the groove of the superior mesenteric vein and the surface facing the superior mesenteric artery) [15,16]. Widespread implementation of the CRM resulted in plummeting margin-negative resection rates, explaining the high incidence of local recurrences, and thus indicating that a more radical surgical approach may lead to improved local tumor control and better long-term results in pancreatic cancer patients [14,17].
However, the current resectability criteria are solely defined by the vascular infiltration, representing the medial resection margin. Yet, the dorsal resection site constitutes the second highest rate of tumor infiltration, indicating that for local tumor control, a tumor-free circumferential resection of the complete pancreatic head is paramount.
Total mesorectal excision, a resection technique that utilizes a predefined anatomic space, has provided a significant improvement in local tumor control and survival outcome for rectal cancer patients [18,19]. This technique of using predefined anatomic landmarks for complete resection has been translated to mesocolic excision for patients with colon cancer and has resulted in a similar oncological benefit [19].
Just in the past few years, spearheaded by the Japanese pancreatic society, the concept of mesopancreatic excision (MPE) has been developed [20]. Our group was able to demonstrate that in ~80% of resectable PDAC patients, the mesopancreatic fat was infiltrated [17]. The invasion front remains the most potent risk factor for local recurrence, as vital tumor cells are more frequently observed here, compared to the tumor center [21,22]. Not only was the infiltration of the mesopancreatic fat evident at the medial resection margin, but also at the dorsal resection margin, underlining the pathological results after CRM implementation. To achieve maximum rates of margin clearance, MPE during structured PDAC resection is thereby justified. Nevertheless, the rates of true margin-negative resections (R0(CRM−)), while improved, still remain low, reaching just ~50% in PDAC patients.
Two factors could contribute to the yet inadequate degree of margin clearance: (1) current resectability criteria only partially reflect the local tumor burden, as the dorsal resection site is not considered in the redefined ABC-criteria; (2) a lack of downsizing therapeutic options, as employed in the treatment of locally advanced rectal carcinomas.
Our group was previously able to demonstrate that mesopancreatic fat stranding, evaluated by preoperative diagnostic imaging, correlated with the actual mesopancreatic fat infiltration, independent on the vascular status of the patient [23]. These novel MDCT parameters could be utilized for more precise resectability criteria.
To date, neoadjuvant therapy is only recommended for synchronously metastasized patients or borderline resectable cases [24,25,26,27,28,29]. Yet, patients who are deemed resectable in preoperative diagnostic imaging still have a high chance of insufficient tumor clearance (R1/R0(CRM+)), allowing the argument that neoadjuvant therapy may be able to reduce tumor burden and increase the number of complete resections even in primarily resectable patients [30,31]. It may thus be only a matter of time until neoadjuvant treatment will be the standard of care in the majority of PDAC patients.
It remains unclear if vital tumor cells routinely remain in the mesopancreatic lamina even after MPE following neoadjuvant therapy. The aim of this study was to histopathologically evaluate the mesopancreatic fat in patients who received MPE during PDAC resection following neoadjuvant therapy, in order to quantify if this thorough surgical approach is still warranted. Preoperative multi-detector computed tomography (MDCT) slides were reevaluated for treatment response after neoadjuvant treatment and histopathological specimens were revisited.

2. Materials and Methods

2.1. Patient Selection and Demographic Data

All patients who underwent pancreatic surgery including MPE for any PDAC with curative intent, irrespective of tumor location, stage and microscopic resection margin, at the University Hospital of Duesseldorf between 2010 and 2021 were screened for inclusion in this study from a prospectively maintained database. Inclusion criteria were surgically resected ductal adenocarcinomas of the pancreas (PDAC) with neoadjuvant therapy and sufficient information on follow-up examinations. Patients who underwent surgery for periampullary lesions other than PDAC were excluded from the study. Patients who received upfront surgery for PDAC without neoadjuvant therapy (including MPE) during the same study period served as a control group for correlation analysis of mesopancreatic fat infiltration and resection margin status [17]. TNM staging, grading, perineural invasion as well as lymphatic and venous invasion were obtained from the original pathological reports. Histopathological slides were re-visited by an experienced pathologist for pancreatic cancer, with focus on treatment response and mesopancreatic fat invasion, in order to re-evaluate the resection margins. Staging system was updated to the 8th Edition of the UICC TNM classification of malignant tumors [32]. Clinico-pathological data were reviewed. The study was carried out in accordance to the guidelines of Good Clinical Practice and the Declaration of Helsinki. The study was approved by the Institutional Review Board (IRB) of the Medical Faculty, Heinrich Heine University Duesseldorf (IRB-no. 2019-473_2).

2.2. Radiographic Imaging

Preoperative multiphasic multi-detector CTs (MDCT) following neoadjuvant therapy were available for re-evaluation. The CTs were retrospectively analyzed by experienced hepatopancreaticobiliary radiologists, blinded for resection status and postoperative staging. Local tumor response was analyzed [23]. (Figure 1). Scoring criteria of tumor response was scored by the mesopancreatic attenuation of the fatty tissue in terms of diminished/decreased mesopancreatic fat stranding and/or decreased tumor size with an smaller encasement of the SMA or celiac trunk/common hepatic artery. Due to the limited number of enrolled patients, no subgroup analyses (MPS1-3) was performed. Patients were subgrouped into tumor response or no tumor response.

2.3. Operative Procedure

The operative procedure performed for PDAC, which utilizes embryo-anatomic landmarks, was already described by Safi et al. [17]. In summary, a wide Kocher maneuver is performed in order to achieve a simultaneous transection of the mesopancreatic lamina followed by a complete para-aortic and interaortocaval lymphadenectomy to the right border of the superior mesenteric artery (SMA) and celiac trunk (CT) (Figure 1). When entering the abdomen by a transversal upper laparotomy, the right colon flexure and ascending colon are mobilized by transecting the right Toldt’s fascia, which is extended up to Gerota’s fascia and continued medially underneath the mesopancreas with the dissection of the fusion fascia of Treitz. This is continued up to the origin of the Treitz ligament. The dissection is then accomplished to the inferior border of the pancreatic neck, visualizing the portal vein/superior mesenteric vein (PV/SMV). Following this, dissection of the hepatoduodenal ligament (left and right hepatic artery, common hepatic artery (CHA), gastroduodenal artery (GDA), common bile duct, and portal/superior mesenteric vein (PV/SMV)) completes surgical exploration. Lymphadenectomy and dissection of the common hepatic artery is performed up to its origin from the celiac trunk (CT). If resectability criteria were met, the jejunum, the ligament of Treitz and the duodenal bulb (or distal stomach) can then be transected (“Point of no Return”). The jejunum is then mobilized to the patient’s right side. After the pancreatic head is completely separated from the PV/SMV and the SMA, the pancreatic neck is divided. Next, complete lymphadenectomy and dissection of the PV/SMV is completed. If a possible tumor infiltration is present, venous resection and reconstruction is routinely performed. Sharp preparation along the SMA and the CT up to their aortic origins is carried out, dissecting perivascular lymphatic tissue. To avoid persistent diarrhea only 180° to 270° of the right circumference of the SMA are dissected. If cancerous involvement is intraoperatively suspected, dissection of the SMA is extended to the left circumference (Figure 2).
All resections were performed by trained hepatobiliary surgeons of our department. In summary, the aim of the procedure is a complete dissection of perineural and lymphatic tissue including the fat surrounding the pancreatic head/uncinate process (CHA, GDA, CT, SMA, PV, SMV) in an “en-bloc” resection (Figure 3A,B).

2.4. Pathological Analysis

The CRM evaluation was implemented at the University Hospital of Duesseldorf in September 2015. The oral/aboral duodenal, bile duct and pancreatic neck resection margin, as well as the dorsal resection margin and, if applicable, portal vein specimen were examined according to the LEEPPs pathological protocol. Additionally, the mesopancreatic adipose tissue was histopathologically evaluated for cancerous infiltration (Figure 4A,B). Cases evaluated before 2015 were re-visited by an experienced pancreaticobiliary pathologist and, if sufficient slides were available, a CRM status including evaluation of the mesopancreatic fat was designated. This included the evaluation not only of the dorsal, but also ventral and medial CRM. In addition, the “1-mm rule” was implemented: a minimum margin clearance of 1 mm defined R0CRM−, whereas margin clearances between 0 and 1 mm were judged as R0(CRM+) [33]. Tumor response following neoadjuvant treatment was graded according to the College of American Pathologists (CAP) (grade 0 = complete response, grade 1 = near complete response, grade 2 = partial response and grade 3 = poor/no response) (Figure 5A–D) [34].

2.5. Postoperative Follow-Up

All patients were pre- and postoperatively evaluated and discussed in an interdisciplinary tumor board regarding adjuvant therapy and further procedure. If the follow-up examinations were performed at our institution, irrespective of the adjuvant treatment constellation, computed tomography of the thorax and abdomen was performed every 3 months for the first 2 years, followed by every 6 months thereafter. Patients with suspicious metachronous masses were again discussed in the tumor board for further therapy. In cases where follow-up procedures were performed at other institutions, the legal registration office was contacted for survival records of these patients.

2.6. Statistics

To compare the distribution and the influence of clinic-pathological variables, the chi-square test or fisher exact test was applied. Correlation analysis was performed using Pearson’s correlation coefficient method. Analyses were performed using SPSS statistics for Windows (version 26.0; SPSS, Inc., Chicago, IL, USA). Statistical significance was defined as p < 0.05.

3. Results

3.1. Demographic Data

A total of 27 patients met our inclusion criteria (11 females (40.7%) and 16 males (59.3%)). Table 1 summarizes Clinic-pathological characteristics of the cohort. All 27 patients received neoadjuvant treatment because of advanced disease. The median age of all patients at the time of surgery was 66 years (range 41–80 years). In total, three patients (11.1%) received gemcitabine mono therapy, while five patients (18.5%) received a combination therapy including gemcitabine and three patients (11.1%) received combined radiochemotherapy including gemcitabine. Fifteen patients (55.6%) were treated with modified FOLFIRINOX. The dosing regimen is stated in a Supplemental Table S1. One of 27 patients deceased during the first 30 postoperative days (Clavien-Dindo V; 30-day mortality rate: 3.7%). Median length of hospital stay (LOS) was 23 days (range: 12–153 days). All patients received MPE during pancreatic surgery. In all patients, a fibrous sheet was visible at the posterior resection site running between the duodenum and the origin of the SMA/CT (Figure 3A,B).
In all patients, preoperative MDCT scans following neoadjuvant therapy were performed to investigate local treatment response. In 17 (62.9%) patients, MDCT indicated a treatment response and these patients were re-staged from non-resectable to borderline resectable. In the other nine patients, MDCT after neoadjuvant treatment showed a stable disease. Out of the 27 patients, mesopancreatic fat stranding after neoadjuvant treatment was still visible in 20 patients.

3.2. Histopathological Results

Resection status:
Histopathological analyses and resection status are summarized in Table 1. In all 27 patients, detailed CRM was histopathologically evaluated. Fifteen patients (55.6%) were evaluated before 2015 and needed sophisticated histopathological re-evaluation, whereas in 12 patients (44.4%), CRM evaluation in the context of a standardized pancreatic protocol was primarily applied. When applying the 1 mm rule, true negative resection margins were still present after re-evaluation in 17 patients (62.9%). Of the remaining patients, four (14.8%) had insufficient tumor clearances (R1) and in six patients (22.2%), tumor residues were detected within the 1 mm margins (R0(CRM+)).
Neoadjuvant tumor response:
Histopathological re-evaluation of tumor response was performed on the complete study cohort (Figure 5A–D). In two patients (7.4%), complete tumor response (CAP grade 0) was detected. In five patients (18.5%), a near complete tumor response (CAP grade 1) was diagnosed, whereas in 15 (55.5%) and five (18.5%) patients, partial (CAP grade 2) and poor/no tumor response (CAP grade3) was evident.
Mesopancreatic evaluation:
In all 27 patients, paraffin-embedded histopathologic specimens were available for retrospective re-evaluation of the mesopancreatic fat tissue of the peripancreatic dorsal resection margin (Figure 4A,B). Tumor infiltration of adipose tissue was evident in 17 patients (62.9%), whereas in only 10 patients (37.1%), mesopancreatic adipose tissue had no tumor infiltration (Table 2). In all 17 patients with mesopancreatic fat infiltration, vital tumor cells were present.

3.3. Influence of Clinicopathological Variables

The results of the statistical analysis are summarized in Table 2, Table 3 and Table 4. Mesopancreatic fat infiltration was compared in patients with and without histopathological tumor response. Patients lacking mesopancreatic fat infiltration had a significantly better histopathological tumor response, compared to patients with mesopancreatic fat infiltration (* p = 0.003) (Table 2). This correlation was significant in the Pearson correlation (* p = 0.005, r = +0.585 **) (Supplemental Table S2). Resection status (R0(CRM−) vs. R1/R0(CRM+)) was compared with mesopancreatic histology. The rate of R0(CRM−) resection was 62.9% in the total cohort. For patients lacking mesopancreatic fat infiltration, this rate was significantly higher compared to patients with histopathological mesopancreatic fat infiltration (* p = 0.031; R0(CRM−) in MP− = 80.0% and R0(CRM−) in MP+ = 52.9%) (Table 2).
Patients with better treatment response had a significantly higher percentage of complete (R0(CRM−)) resections (* p = 0.042). While patients with good histological treatment response (CAP grade 0 and 1) had a 100% rate of complete resections, only 57.1% and 20.0% of the patients with partial and poor/no response (CAP grade 2 and 3), respectively, received a R0(CRM−) resection. None of the R1/R0(CRM+) patients had a good histopathological response (CAP grade 0 and 1) (Table 3).
Mesopancreatic fat infiltration and tumor response was compared to preoperative MDCT variables (Table 4). Radiographically presumed tumor response did predict mesopancreatic fat infiltration (p = 0.042), whereas the trend for histopathologically verified treatment response was present but not statistically significant (p = 0.112 for treatment response) (Table 4).

3.4. Mesopancreatic Fat Infiltration in Patients with and without Neoadjuvant Therapy

During the study period (2010–2021), 173 patients received upfront surgery for primary resectable PDAC. In all patients, the mesopancreatic fat infiltration was analyzed. In 131 patients (75.7%), the mesopancreatic fat was histopathologically infiltrated. We detected a statistical different rate of mesopancreatic fat infiltration between primary resected patients and the 27 patients resected following neoadjuvant therapy (p = 0.039) (Table 5).
Follow-up data was available in the 27 neoadjuvant treated patients and the 173 patients who received upfront surgery (Table 6). Follow-up analysis revealed that systemic relapse was not prevented by degree of surgical radicality (p = 0.143). Irrespective of the treatment strategy, most patients were diagnosed with a systemic relapse during follow-up analysis (46.8% of the patients after upfront surgery and 69.2% of the patients after neoadjuvant treatment (p = 0.143). Neoadjuvant-treated patients showed a significantly lower rate of local recurrence during follow-up investigations when compared to patients after upfront surgery (p = 0.040) (7.4% vs. 16.8%). Thus, the negative effect of neoadjuvant treatment on the infiltration status of the mesopancreatic fat presumably resulted in a more secure local tumor control (Table 5 and Table 6).

4. Discussion

During the past few decades, the prognosis of PDAC patients did not improve significantly. One explanation may be suboptimal resection during surgery. Remarkably, refined histopathological assessment implementing the CRM-method, recently revealed tumor cells infiltrating the mesopancreatic fat in ~80% of patients, suggesting that a more thorough surgical approach might lead to an improved local tumor control [17]. In this context, mesopancreatic excision (MPE) was demonstrated to contribute to increased rates of R0(CRM−) resections [14,17,35,36], yet the overall rate remains poor compare to surgical results in other malignancies of the digestive system [37,38,39].
It is, therefore, conceivable that a neoadjuvant down-sizing concept, as established in esophageal and rectal cancer [40,41], could improve margin-negative resection rates in PDAC patients who are currently deemed primarily resectable [42,43]. Currently, it is mainly patients diagnosed with limited synchronous metastases or borderline resectable PDAC that are considered for neoadjuvant treatment [44]. There remains a significant lack of reliable data on the impact of neoadjuvant therapy in PDAC, as only limited and/or retrospective studies are available, making the results of two running prospective studies clearly warranted [31,45]. Furthermore, we showed that surgically resected patients with metastasized PDACs to the para-aortic lymph nodes showed a similar median overall survival both to patients with histopathologically verified negative para-aortic lymph node metastases and to patients who did not receive para-aortic lymph node dissection [46]. Thus, it could be appropriate to suggest that most patients who receive upfront surgery yet are diagnosed with an advanced stage of PDACs. Yet, primary margin clearance of PDAC remains the only surgical prerequisite for long term survival [17,47] and neoadjuvant therapy will thus likely play a major role in the near future [48].
However, it is unknown if MPE will further improve local tumor resection and if it is thus still necessary following neoadjuvant therapy. The aim of the current study was to quantify the rate of mesopancreatic fat infiltration applying the redefined histopathological standard in patients who received neoadjuvant therapy prior to pancreatic surgery and MPE [47].
Based on the results of this study, we reach the following conclusion: (1) mesopancreatic fat infiltration was still evident in the majority of the patients and it was a marker for CAP tumor response grading; (2) resection margin status mirrored the MP infiltration status and the CAP tumor response grading; (3) MDCT-predicted tumor response was significantly associated with MP infiltration status; (4) neoadjuvant treatment was significantly associated with risk of MP infiltration and local recurrence when compared to patients after upfront surgery.
In our cohort, mesopancreatic fat infiltration was still evident following neoadjuvant treatment in the majority of the patients. Most importantly, neoadjuvant treatment had a negative effect on mesopancreatic fat infiltration and patients were significantly less prone to extended tumor involvement after receiving neoadjuvant treatment. True margin-negative resections (R0CRM−) were achieved in over 62.9% of the patients, suggesting that a neoadjuvant concept in patients with an otherwise resectable mass could indeed contribute to a down-sizing and improved resection rates [31,45]. Although not reaching statistical significance due to the sample size, the rate of R0(CRM−) resections was higher in the neoadjuvant group (n = 27, R0(CRM−): 62.9%) when compared to patients who received upfront surgery during the same time at our institution (n = 173, R0(CRM−): 50.1%, p = 0.127). Vital tumor cells were detected in the resected retropancreatic fatty tissue in 62.9% of the neoadjuvant treated patients, indicating that neoadjuvant therapy alone may not be sufficient for local tumor control and MPE should still be performed.
Local recurrence during follow-up was detected in only 7.4% of the neoadjuvant treated patients, compared to 16.8% of the patients following upfront surgery. This is presumably due to the negative effect of neoadjuvant treatment on the mesopancreatic fat infiltration and the higher rate of R0CRM− resections.
One limitation of our study is the small cohort. Yet, when compared to other recent retrospective studies on neoadjuvant treatment [49,50], a similar number of patients were enrolled as in our analysis. Another limitation of our study is the retrospective and mono-institutional nature of the analysis. Patients received different neoadjuvant regimes in this study, further limiting our conclusions due to heterogeneity. However, as neoadjuvant treatment is still under investigation and current clinical trials have not demonstrated a significantly improved survival of neoadjuvantly treated borderline resectable patients when compared to patients after upfront surgery [31,45,51], the number of eligible patients is still limited. Furthermore, it remains unknown which multimodal regime is superior to the other in a neoadjuvant setting. Taking this small sample size into consideration, we did not perform a survival analysis, as its statistical relevance would be questionable. Nevertheless, a negative association was found between neoadjuvant treatment and local recurrence, concluding that multimodal therapy following MPE could contribute to local tumor control.
Our results emulate similar observations as in rectal cancer studies. The introduction of neoadjuvant radiochemotherapy and the standardization of total mesorectal excision [18], performed independent of the tumor response, resulted in significantly lower local recurrence rates, while overall survival remained similar to patients undergoing upfront surgery [40,52,53]. Recently published randomized trials in PDAC patients reported similar results, as well [51]. Interestingly, margin-negative resection rates were significantly more common following neoadjuvant treatment in these clinical trials. Sadly, mesopancreatic fat infiltration status was not included in the analysis of these patients.
In a larger study addressing PDAC patients after upfront surgery, preoperative MDCT was a viable radiographic tool to predict mesopancreatic fat infiltration and resection margin status [23] strengthening the argument that neoadjuvant therapy leads to increased fibrosis even if the response is not sufficient to eradicate all vital tumor cells. There was a clear trend between radiographically presumed and histopathologically verified tumor response, which did not reach statistical significance due to the small number of enrolled patients. Yet, patients without MDCT presumed tumor response were significantly more prone to mesopancreatic fat infiltration. Thus, pre-operative MDCT staging did predict true tumor extensions in neoadjuvantly treated patients, as well [34].

5. Conclusions

Vital tumor cells were present in the retropancreatic fatty tissue following neoadjuvant therapy for PDAC in more than 60% of patients. Thus, mesopancreatic excision (MPE) is still justified even after neoadjuvant treatment. Neoadjuvant treatment and MPE were able to increase margin-negative resection rates when compared to patients receiving upfront MPE. Mesopancreatic fat infiltration was observed to be independent from histopathological tumor response, indicating that mesopancreatic fat infiltration may be a sign of adverse tumor topography, rather than advanced tumor biology. Patients with MDCT-predicted tumor response were less prone to mesopancreatic fat infiltration, underlining the importance of mesopancreatic fat stranding in neoadjuvant treated patients as well. MPE and the evaluation of mesopancreatic fat stranding by MDCT should, therefore, be the standard of care following neoadjuvant treatment regimens for PDAC.

Supplementary Materials

The following supporting information can be downloaded at: https://www.mdpi.com/article/10.3390/cancers14010068/s1, Table S1: Dosage and intervalls of neoadjuvant regimes; Table S2: Correlation Analysis of patients stratified according to positive and negative mesopancreatic infiltration.

Author Contributions

Study conception S.-A.S., design S.-A.S., G.F. and W.T.K. and overall analysis S.-A.S. and interpretation of data and drafting of the manuscript S.-A.S. and G.F., revising the manuscript L.H., A.R., G.F., I.E., T.L. and W.T.K., data acquisition S.-A.S., analysis S.-A.S. and interpretation S.-A.S.; G.F., S.F., S.V., F.Z., C.R., A.R., T.L., I.E., W.T.K., manuscript preparation S.-A.S., G.F., A.R. and W.T.K., conceptual contributions and manuscript revision S.F., S.V., I.E., F.Z., C.R., T.L. and W.T.K. All authors have read and agreed to the published version of the manuscript.

Funding

This research received no external funding.

Institutional Review Board Statement

This study was approved by the local institutional review board (Heinrich Heine University, Duesseldorf, Germany; study-no.: 2019-473_2, 21 July 2020). All procedures performed in this study were in accordance with the ethical standards in the 1964 Declaration of Helsinki and its later amendments.

Informed Consent Statement

Informed consent was waived because no data regarding the cases were disclosed.

Data Availability Statement

The datasets used and/or analyzed during the current study are available from the corresponding author on reasonable request.

Conflicts of Interest

The authors declare no conflict of interest.

References

  1. Kenner, B.J.; Chari, S.T.; Maitra, A.; Srivastava, S.; Cleeter, D.F.; Go, V.L.W.; Rothschild, L.J.; Goldberg, A.E. Early detection of pancreatic cancer: A defined future using lessons from other cancers: A white paper. Pancreas 2016, 45, 1073–1079. [Google Scholar] [CrossRef] [PubMed]
  2. Rahib, L.; Smith, B.D.; Aizenberg, R.; Rosenzweig, A.B.; Fleshman, J.M.; Matrisian, L.M. Projecting cancer incidence and deaths to 2030: The unexpected burden of thyroid, liver, and pancreas cancers in the United States. Cancer Res. 2014, 74, 2913–2921. [Google Scholar] [CrossRef] [PubMed]
  3. Kausch, W. Das Carcinom der Papilla duodeni und seine radikale Entfernung. Beitr Klin Chir. 1912, 78, 439–486. [Google Scholar]
  4. Whipple, A.O.; Parsons, W.B.; Mullins, C.R. Treatment of carcinoma of the ampulla of vater. Ann. Surg. 1935, 102, 763–779. [Google Scholar] [CrossRef]
  5. Neoptolemos, J.P.; Palmer, D.H.; Ghaneh, P.; Psarelli, E.E.; Valle, J.W.; Halloran, C.M.; Faluyi, O.; OReilly, D.A.; Cunningham, D.; Wadsley, J.; et al. Comparison of adjuvant gemcitabine and capecitabine with gemcitabine monotherapy in patients with resected pancreatic cancer (ESPAC-4): A multicentre, open-label, randomised, phase 3 trial. Lancet 2017, 389, 1011–1024. [Google Scholar] [CrossRef]
  6. Sinn, M.; Bahra, M.; Liersch, T.; Gellert, K.; Messmann, H.; Bechstein, W.; Waldschmidt, D.; Jacobasch, L.; Wilhelm, M.; Rau, B.M.; et al. CONKO-005: Adjuvant Chemotherapy With Gemcitabine Plus Erlotinib Versus Gemcitabine Alone in Patients After R0 Resection of Pancreatic Cancer: A Multicenter Randomized Phase III Trial. J. Clin. Oncol. Off. J. Am. Soc. Clin. Oncol. 2017, 35, 3330–3337. [Google Scholar] [CrossRef]
  7. Burris, H.A., 3rd; Moore, M.J.; Andersen, J.; Green, M.R.; Rothenberg, M.L.; Modiano, M.R.; Cripps, M.C.; Portenoy, R.K.; Storniolo, A.M.; Tarassoff, P.; et al. Improvements in survival and clinical benefit with gemcitabine as first-line therapy for patients with advanced pancreas cancer: A randomized trial. J. Clin. Oncol. Off. J. Am. Soc. Clin. Oncol. 1997, 15, 2403–2413. [Google Scholar] [CrossRef]
  8. Conroy, T.; Hammel, P.; Hebbar, M.; Ben Abdelghani, M.; Wei, A.C.; Raoul, J.L.; Chone, L.; Francois, E.; Artru, P.; Biagi, J.J.; et al. FOLFIRINOX or Gemcitabine as Adjuvant Therapy for Pancreatic Cancer. N. Engl. J. Med. 2018, 379, 2395–2406. [Google Scholar] [CrossRef]
  9. Jones, R.P.; Psarelli, E.E.; Jackson, R.; Ghaneh, P.; Halloran, C.M.; Palmer, D.H.; Campbell, F.; Valle, J.W.; Faluyi, O.; O’Reilly, D.A.; et al. Patterns of Recurrence After Resection of Pancreatic Ductal Adenocarcinoma: A Secondary Analysis of the ESPAC-4 Randomized Adjuvant Chemotherapy Trial. JAMA Surg 2019, 154, 1038–1048. [Google Scholar] [CrossRef]
  10. Wagner, M.; Redaelli, C.; Lietz, M.; Seiler, C.A.; Friess, H.; Büchler, M.W. Curative resection is the single most important factor determining outcome in patients with pancreatic adenocarcinoma. Br. J. Surg. 2004, 91, 586–594. [Google Scholar] [CrossRef]
  11. Kayahara, M.; Nagakawa, T.; Ueno, K.; Ohta, T.; Takeda, T.; Miyazaki, I. An evaluation of radical resection for pancreatic cancer based on the mode of recurrence as determined by autopsy and diagnostic imaging. Cancer 1993, 72, 2118–2123. [Google Scholar] [CrossRef]
  12. Hishinuma, S.; Ogata, Y.; Tomikawa, M.; Ozawa, I.; Hirabayashi, K.; Igarashi, S. Patterns of recurrence after curative resection of pancreatic cancer, based on autopsy findings. J. Gastrointest. Surg. 2006, 10, 511–518. [Google Scholar] [CrossRef]
  13. Verbeke, C.S.; Leitch, D.; Menon, K.V.; McMahon, M.J.; Guillou, P.J.; Anthoney, A. Redefining the R1 resection in pancreatic cancer. Br. J. Surg. 2006, 93, 1232–1237. [Google Scholar] [CrossRef] [PubMed]
  14. Esposito, I. Most pancreatic cancer resections are R1 resections. Ann. Surg. Oncol. 2008, 15, 1651–1660. [Google Scholar] [CrossRef]
  15. Schlitter, E. Definition of Microscopic Tumor Clearance (R0) in Pancreatic Cancer Resections. Cancers 2010, 2, 2001–2010. [Google Scholar] [CrossRef] [PubMed]
  16. Häberle, L.; Esposito, I. Circumferential resection margin (CRM) in pancreatic cancer. Surg. Pract. Sci. 2020, 1, 100006. [Google Scholar] [CrossRef]
  17. Safi, S.A.; Haeberle, L.; Fluegen, G.; Lehwald-Tywuschik, N.; Krieg, A.; Keitel, V.; Luedde, T.; Esposito, I.; Rehders, A.; Knoefel, W.T. Mesopancreatic excision for pancreatic ductal adenocarcinoma improves local disease control and survival. Pancreatol. Off. J. Int. Assoc. Pancreatol. (IAP) 2021, 21, 787–795. [Google Scholar] [CrossRef]
  18. Heald, R.J.; Ryall, R.D. Recurrence and survival after total mesorectal excision for rectal cancer. Lancet 1986, 1, 1479–1482. [Google Scholar] [CrossRef]
  19. Hohenberger, W.; Weber, K.; Matzel, K.; Papadopoulos, T.; Merkel, S. Standardized surgery for colonic cancer: Complete mesocolic excision and central ligation–technical notes and outcome. Colorectal Dis. Off. J. Assoc. Coloproctol. Great Br. Irel. 2009, 11, 354–364; discussion 364–365. [Google Scholar] [CrossRef]
  20. Inoue, Y.; Saiura, A.; Yoshioka, R.; Ono, Y.; Takahashi, M.; Arita, J.; Takahashi, Y.; Koga, R. Pancreatoduodenectomy With Systematic Mesopancreas Dissection Using a Supracolic Anterior Artery-first Approach. Ann. Surg. 2015, 262, 1092–1101. [Google Scholar] [CrossRef]
  21. Shimizu, A.; Hirono, S.; Tani, M.; Kawai, M.; Okada, K.; Miyazawa, M.; Kitahata, Y.; Nakamura, Y.; Noda, T.; Yokoyama, S.; et al. Coexpression of MUC16 and mesothelin is related to the invasion process in pancreatic ductal adenocarcinoma. Cancer Sci. 2012, 103, 739–746. [Google Scholar] [CrossRef]
  22. Gerashchenko, T.S.; Novikov, N.M.; Krakhmal, N.V.; Zolotaryova, S.Y.; Zavyalova, M.V.; Cherdyntseva, N.V.; Denisov, E.V.; Perelmuter, V.M. Markers of Cancer Cell Invasion: Are They Good Enough? J. Clin. Med. 2019, 8, 1092. [Google Scholar] [CrossRef]
  23. Safi, S.A.; Haeberle, L.; Heuveldop, S.; Kroepil, P.; Fung, S.; Rehders, A.; Keitel, V.; Luedde, T.; Fuerst, G.; Esposito, I.; et al. Pre-Operative MDCT Staging Predicts Mesopancreatic Fat Infiltration—A Novel Marker for Neoadjuvant Treatment? Cancers 2021, 13, 4361. [Google Scholar] [CrossRef]
  24. Werner, J.; Combs, S.E.; Springfeld, C.; Hartwig, W.; Hackert, T.; Buchler, M.W. Advanced-stage pancreatic cancer: Therapy options. Nat. Rev. Clin. Oncol. 2013, 10, 323–333. [Google Scholar] [CrossRef] [PubMed]
  25. Bockhorn, M.; Uzunoglu, F.G.; Adham, M.; Imrie, C.; Milicevic, M.; Sandberg, A.A.; Asbun, H.J.; Bassi, C.; Büchler, M.; Charnley, R.M.; et al. Borderline resectable pancreatic cancer: A consensus statement by the International Study Group of Pancreatic Surgery (ISGPS). Surgery 2014, 155, 977–988. [Google Scholar] [CrossRef] [PubMed]
  26. Schneitler, S.; Kröpil, P.; Riemer, J.; Antoch, G.; Knoefel, W.T.; Häussinger, D.; Graf, D. Metastasized pancreatic carcinoma with neoadjuvant FOLFIRINOX therapy and R0 resection. World J. Gastroenterol. 2015, 21, 6384–6390. [Google Scholar] [CrossRef] [PubMed]
  27. Cloyd, J.M.; Heh, V.; Pawlik, T.M.; Ejaz, A.; Dillhoff, M.; Tsung, A.; Williams, T.; Abushahin, L.; Bridges, J.F.P.; Santry, H. Neoadjuvant Therapy for Resectable and Borderline Resectable Pancreatic Cancer: A Meta-Analysis of Randomized Controlled Trials. J. Clin. Med. 2020, 9, 1129. [Google Scholar] [CrossRef] [PubMed]
  28. Dhir, M.; Malhotra, G.K.; Sohal, D.P.S.; Hein, N.A.; Smith, L.M.; O’Reilly, E.M.; Bahary, N.; Are, C. Neoadjuvant treatment of pancreatic adenocarcinoma: A systematic review and meta-analysis of 5520 patients. World J. Surg. Oncol. 2017, 15, 183. [Google Scholar] [CrossRef]
  29. Conroy, T.; Desseigne, F.; Ychou, M.; Bouche, O.; Guimbaud, R.; Becouarn, Y.; Adenis, A.; Raoul, J.L.; Gourgou-Bourgade, S.; de la Fouchardiere, C.; et al. FOLFIRINOX versus gemcitabine for metastatic pancreatic cancer. N. Engl. J. Med. 2011, 364, 1817–1825. [Google Scholar] [CrossRef]
  30. Lee, Y.S.; Lee, J.-C.; Yang, S.Y.; Kim, J.; Hwang, J.-H. Neoadjuvant therapy versus upfront surgery in resectable pancreatic cancer according to intention-to-treat and per-protocol analysis: A systematic review and meta-analysis. Sci. Rep. 2019, 9, 15662. [Google Scholar] [CrossRef] [PubMed]
  31. Motoi, F.; Kosuge, T.; Ueno, H.; Yamaue, H.; Satoi, S.; Sho, M.; Honda, G.; Matsumoto, I.; Wada, K.; Furuse, J.; et al. Randomized phase II/III trial of neoadjuvant chemotherapy with gemcitabine and S-1 versus upfront surgery for resectable pancreatic cancer (Prep-02/JSAP05). Jpn. J. Clin. Oncol. 2019, 49, 190–194. [Google Scholar] [CrossRef] [PubMed]
  32. Cong, L.; Liu, Q.; Zhang, R.; Cui, M.; Zhang, X.; Gao, X.; Guo, J.; Dai, M.; Zhang, T.; Liao, Q.; et al. Tumor size classification of the 8(th) edition of TNM staging system is superior to that of the 7(th) edition in predicting the survival outcome of pancreatic cancer patients after radical resection and adjuvant chemotherapy. Sci. Rep. 2018, 8, 10383. [Google Scholar] [CrossRef] [PubMed]
  33. Seufferlein, T.; Porzner, M.; Becker, T.; Budach, V.; Ceyhan, G.; Esposito, I.; Fietkau, R.; Follmann, M.; Friess, H.; Galle, P.; et al. S3-guideline exocrine pancreatic cancer. Z. Gastroenterol. 2013, 51, 1395–1440. [Google Scholar] [CrossRef] [PubMed]
  34. Verbeke, C.; Häberle, L.; Lenggenhager, D.; Esposito, I. Pathology assessment of pancreatic cancer following neoadjuvant treatment: Time to move on. Pancreatol. Off. J. Int. Assoc. Pancreatol. (IAP) 2018, 18, 467–476. [Google Scholar] [CrossRef] [PubMed]
  35. Kawabata, Y.; Tanaka, T.; Nishi, T.; Monma, H.; Yano, S.; Tajima, Y. Appraisal of a total meso-pancreatoduodenum excision with pancreaticoduodenectomy for pancreatic head carcinoma. Eur. J. Surg. Oncol. J. Eur. Soc. Surg. Oncol. Br. Assoc. Surg. Oncol. 2012, 38, 574–579. [Google Scholar] [CrossRef]
  36. Aimoto, T.; Mizutani, S.; Kawano, Y.; Matsushita, A.; Yamashita, N.; Suzuki, H.; Uchida, E. Left posterior approach pancreaticoduodenectomy with total mesopancreas excision and circumferential lymphadenectomy around the superior mesenteric artery for pancreatic head carcinoma. J. Nippon. Med Sch./Nippon. Ika Daigaku Zasshi 2013, 80, 438–445. [Google Scholar] [CrossRef][Green Version]
  37. Bertelsen, C.A.; Neuenschwander, A.U.; Jansen, J.E.; Tenma, J.R.; Wilhelmsen, M.; Kirkegaard-Klitbo, A.; Iversen, E.R.; Bols, B.; Ingeholm, P.; Rasmussen, L.A.; et al. 5-year outcome after complete mesocolic excision for right-sided colon cancer: A population-based cohort study. Lancet Oncol. 2019, 20, 1556–1565. [Google Scholar] [CrossRef]
  38. Bokey, L.; Chapuis, P.H.; Chan, C.; Stewart, P.; Rickard, M.J.; Keshava, A.; Dent, O.F. Long-term results following an anatomically based surgical technique for resection of colon cancer: A comparison with results from complete mesocolic excision. Colorectal Dis. Off. J. Assoc. Coloproctol. Great Br. Irel. 2016, 18, 676–683. [Google Scholar] [CrossRef]
  39. Zhang, X.F.; Bagante, F.; Chakedis, J.; Moris, D.; Beal, E.W.; Weiss, M.; Popescu, I.; Marques, H.P.; Aldrighetti, L.; Maithel, S.K.; et al. Perioperative and Long-Term Outcome for Intrahepatic Cholangiocarcinoma: Impact of Major Versus Minor Hepatectomy. J. Gastrointest. Surg. Off. J. Soc. Surg. Aliment. Tract 2017, 21, 1841–1850. [Google Scholar] [CrossRef]
  40. Glimelius, B.; Tiret, E.; Cervantes, A.; Arnold, D. Rectal cancer: ESMO Clinical Practice Guidelines for diagnosis, treatment and follow-up. Ann. Oncol. Off. J. Eur. Soc. Med. Oncol. 2013, 24 (Suppl. S6), vi81–vi88. [Google Scholar] [CrossRef]
  41. Hölscher, A.H.; Gockel, I.; Porschen, R. Updated German S3 guidelines on esophageal cancer and supplements from a surgical perspective. Der Chir. Z. Fur Alle Geb. Der Oper. Medizen 2019, 90, 398–402. [Google Scholar] [CrossRef]
  42. Da Costa, W.L., Jr.; Tran Cao, H.S.; Sheetz, K.H.; Gu, X.; Norton, E.C.; Massarweh, N.N. Comparative Effectiveness of Neoadjuvant Therapy and Upfront Resection for Patients with Resectable Pancreatic Adenocarcinoma: An Instrumental Variable Analysis. Ann. Surg. Oncol. 2021, 28, 3186–3195. [Google Scholar] [CrossRef] [PubMed]
  43. Rieser, C.J.; Narayanan, S.; Bahary, N.; Bartlett, D.L.; Lee, K.K.; Paniccia, A.; Smith, K.; Zureikat, A.H. Optimal management of patients with operable pancreatic head cancer: A Markov decision analysis. J. Surg. Oncol. 2021, 124, 801–809. [Google Scholar] [CrossRef]
  44. Yoo, C.; Shin, S.H.; Kim, K.P.; Jeong, J.H.; Chang, H.M.; Kang, J.H.; Lee, S.S.; Park, D.H.; Song, T.J.; Seo, D.W.; et al. Clinical Outcomes of Conversion Surgery after Neoadjuvant Chemotherapy in Patients with Borderline Resectable and Locally Advanced Unresectable Pancreatic Cancer: A Single-Center, Retrospective Analysis. Cancers 2019, 11, 278. [Google Scholar] [CrossRef] [PubMed]
  45. Janssen, Q.P.; van Dam, J.L.; Bonsing, B.A.; Bos, H.; Bosscha, K.P.; Coene, P.; van Eijck, C.H.J.; de Hingh, I.; Karsten, T.M.; van der Kolk, M.B.; et al. Total neoadjuvant FOLFIRINOX versus neoadjuvant gemcitabine-based chemoradiotherapy and adjuvant gemcitabine for resectable and borderline resectable pancreatic cancer (PREOPANC-2 trial): Study protocol for a nationwide multicenter randomized controlled trial. BMC Cancer 2021, 21, 300. [Google Scholar] [CrossRef]
  46. Safi, S.A.; Rehders, A.; Haeberle, L.; Fung, S.; Lehwald, N.; Esposito, I.; Ziayee, F.; Krieg, A.; Knoefel, W.T.; Fluegen, G. Para-aortic lymph nodes and ductal adenocarcinoma of the pancreas: Distant neighbors? Surgery 2021, 170, 1807–1814. [Google Scholar] [CrossRef] [PubMed]
  47. Strobel, O.; Hank, T.; Hinz, U.; Bergmann, F.; Schneider, L.; Springfeld, C.; Jäger, D.; Schirmacher, P.; Hackert, T.; Büchler, M.W. Pancreatic Cancer Surgery: The New R-status Counts. Ann. Surg. 2017, 265, 565–573. [Google Scholar] [CrossRef] [PubMed]
  48. Chawla, A. Contemporary trials evaluating neoadjuvant therapy for resectable pancreatic cancer. J. Surg. Oncol. 2021, 123, 1423–1431. [Google Scholar] [CrossRef]
  49. Rutter, C.E.; Park, H.S.; Corso, C.D.; Lester-Coll, N.H.; Mancini, B.R.; Yeboa, D.N.; Johung, K.L. Addition of radiotherapy to adjuvant chemotherapy is associated with improved overall survival in resected pancreatic adenocarcinoma: An analysis of the National Cancer Data Base. Cancer 2015, 121, 4141–4149. [Google Scholar] [CrossRef]
  50. Hu, Q.; Wang, D.; Chen, Y.; Li, X.; Cao, P.; Cao, D. Network meta-analysis comparing neoadjuvant chemoradiation, neoadjuvant chemotherapy and upfront surgery in patients with resectable, borderline resectable, and locally advanced pancreatic ductal adenocarcinoma. Radiat. Oncol. 2019, 14, 120. [Google Scholar] [CrossRef]
  51. Versteijne, E.; Suker, M.; Groothuis, K.; Akkermans-Vogelaar, J.M.; Besselink, M.G.; Bonsing, B.A.; Buijsen, J.; Busch, O.R.; Creemers, G.M.; van Dam, R.M.; et al. Preoperative Chemoradiotherapy Versus Immediate Surgery for Resectable and Borderline Resectable Pancreatic Cancer: Results of the Dutch Randomized Phase III PREOPANC Trial. J. Clin. Oncol. Off. J. Am. Soc. Clin. Oncol. 2020, 38, 1763–1773. [Google Scholar] [CrossRef] [PubMed]
  52. Weitz, J.; Koch, M.; Debus, J.; Hohler, T.; Galle, P.R.; Buchler, M.W. Colorectal cancer. Lancet 2005, 365, 153–165. [Google Scholar] [CrossRef]
  53. Vogl, T.J.; Pereira, P.L.; Helmberger, T.; Schreyer, A.G.; Schmiegel, W.; Fischer, S.; Herzog, C. Updated S3 Guidelines—Diagnosis and Treatment of Colorectal Carcinoma: Relevance for Radiological Diagnosis and Intervention. RoFo Fortschr. Dem Geb. Rontgenstrahlen Nukl. 2019, 191, 298–310. [Google Scholar] [CrossRef] [PubMed]
Figure 1. MDCT slides of PDAC patients prior to and after neoadjuvant therapy (Patient 1: slide (A,B), Patient 2: slide (C,D)). (A) MDCT slide prior to neoadjuvant therapy with MPS. (B) MDCT slide after neoadjuvant therapy and treatment response without MPS. (C) MDCT slide prior to neoadjuvant therapy with MPS. (D) MDCT slide after neoadjuvant therapy without treatment response. (MDCT: multiphasic computed tomography, MPS: mesopancreatic fat stranding). Patient 1: ypT2N1M0G2R0CRM−; Patient 2: ypT3N1M0G3R1.
Figure 1. MDCT slides of PDAC patients prior to and after neoadjuvant therapy (Patient 1: slide (A,B), Patient 2: slide (C,D)). (A) MDCT slide prior to neoadjuvant therapy with MPS. (B) MDCT slide after neoadjuvant therapy and treatment response without MPS. (C) MDCT slide prior to neoadjuvant therapy with MPS. (D) MDCT slide after neoadjuvant therapy without treatment response. (MDCT: multiphasic computed tomography, MPS: mesopancreatic fat stranding). Patient 1: ypT2N1M0G2R0CRM−; Patient 2: ypT3N1M0G3R1.
Cancers 14 00068 g001
Figure 2. Intraoperative picture of situs during MPE. Note the strict dissection around the caval vein (ICV) and abdominal aorta until the origin of the superior mesenteric artery (SMA) and celiac trunk (red arrow). (ICV, inferior caval vein, PV: portal vein, SMA: superior mesenteric artery).
Figure 2. Intraoperative picture of situs during MPE. Note the strict dissection around the caval vein (ICV) and abdominal aorta until the origin of the superior mesenteric artery (SMA) and celiac trunk (red arrow). (ICV, inferior caval vein, PV: portal vein, SMA: superior mesenteric artery).
Cancers 14 00068 g002
Figure 3. (A) Ventral view of specimen following pancreaticoduodenectomy for PDAC demonstrating mesopancreatic excision. (B) Posterior view of specimen. Note the fibrous tissue in B (yellow circle) extending between the mesenteric origin of the superior mesenteric artery and the duodenum. Positional markings indicate the position of specimen in situ. Red circle: pedicle of the mesopancreas arising from the SMA; blue circle: medial groove of the portal vein; yellow circle: Treitz fascia dissected and attached to the dorsal resection margin running up to the pedicle of the mesopancreas. (D: duodenum; MPE: mesopancreatic excision PH: pancreatic head; PN: pancreatic neck).
Figure 3. (A) Ventral view of specimen following pancreaticoduodenectomy for PDAC demonstrating mesopancreatic excision. (B) Posterior view of specimen. Note the fibrous tissue in B (yellow circle) extending between the mesenteric origin of the superior mesenteric artery and the duodenum. Positional markings indicate the position of specimen in situ. Red circle: pedicle of the mesopancreas arising from the SMA; blue circle: medial groove of the portal vein; yellow circle: Treitz fascia dissected and attached to the dorsal resection margin running up to the pedicle of the mesopancreas. (D: duodenum; MPE: mesopancreatic excision PH: pancreatic head; PN: pancreatic neck).
Cancers 14 00068 g003
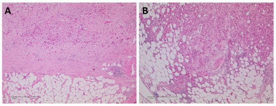
Figure 4. (A) Mesopancreatic fatty tissue without PDAC infiltration (H&E, 5×). (B) Mesopancreatic fatty tissue with abundant PDAC infiltration (H&E, 5×).
Figure 4. (A) Mesopancreatic fatty tissue without PDAC infiltration (H&E, 5×). (B) Mesopancreatic fatty tissue with abundant PDAC infiltration (H&E, 5×).
Cancers 14 00068 g004
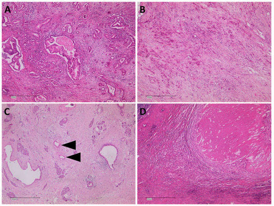
Figure 5. Spectrum of tumor regression grading in pancreatic cancer. (A) PDAC with CAP 3 displays abundant vital residual tumor with nearly no regressive changes (H&E, 5×). (B) PDAC with CAP 2 shows partial regression with collagen-rich fibrosis and inflammatory infiltrate, but vital residual tumor exceeding rare small groups of tumor cells (H&E, 5×). (C) PDAC with CAP 1 is characterized by near-complete response showing only rare single tumor glands embedded in vast collagen-rich fibrosis with residual normal pancreatic tissue (H&E, 5×). (D) PDAC with CAP 0 equals complete response with necrosis, fibrosis and inflammatory resorption, but no vital tumor cells (H&E, 5×).
Figure 5. Spectrum of tumor regression grading in pancreatic cancer. (A) PDAC with CAP 3 displays abundant vital residual tumor with nearly no regressive changes (H&E, 5×). (B) PDAC with CAP 2 shows partial regression with collagen-rich fibrosis and inflammatory infiltrate, but vital residual tumor exceeding rare small groups of tumor cells (H&E, 5×). (C) PDAC with CAP 1 is characterized by near-complete response showing only rare single tumor glands embedded in vast collagen-rich fibrosis with residual normal pancreatic tissue (H&E, 5×). (D) PDAC with CAP 0 equals complete response with necrosis, fibrosis and inflammatory resorption, but no vital tumor cells (H&E, 5×).
Cancers 14 00068 g005
Table 1. Demographic table of all 27 patients of the neoadjuvant cohort. Staging is revised to the 8th Edition of the UICC TNM classification of malignant tumors.
Table 1. Demographic table of all 27 patients of the neoadjuvant cohort. Staging is revised to the 8th Edition of the UICC TNM classification of malignant tumors.
Age in Years
Median (Range)66 Years (41–80)
   Sexn%
   Male1659.3
   Female1140.7
T-stage
   ypT027.4
   ypT1311.1
   ypT21348.1
   ypT3933.3
N-stage
   N01140.7
   N11037
   N2622.2
Grading
   G1/G21866.6
   G3933.3
Pn
   Pn0933.3
   Pn11866.6
L
   L02074.1
   L1725.9
V
   V02177.8
   V1622.2
R-status
   R0(CRM−)1762.9
   R1/R0(CRM+)1037.1
MPI
   Positive1762.9
   negative1037.1
CRM: circumferential resection margin; Hep: hepatic; L: lymphatic invasion; MPI: mesopancreatic fat infiltration; Pn: perineural invasion; V: venous invasion.
Table 2. Analysis of patients stratified according to positive and negative mesopancreatic infiltration, n = 27. There was a heterogenous distribution of clinico-pathological variables. Statistical significance was calculated by chi-squared test. ** indicates a p-value ≤ 0.01; * indicates a p-value ≤ 0.05.
Table 2. Analysis of patients stratified according to positive and negative mesopancreatic infiltration, n = 27. There was a heterogenous distribution of clinico-pathological variables. Statistical significance was calculated by chi-squared test. ** indicates a p-value ≤ 0.01; * indicates a p-value ≤ 0.05.
No Mesopancreatic
Fat Infiltration
Mesopancreatic
Fat Infiltration
p-Value
n = 10n = 17
Treatment responsen%n%0.003 **
CAP 022000
CAP 144015.9
CAP 24401164.7
CAP 300529.4
R-status 0.031 *
R0(CRM−)880952.9
R1/R0(CRM+)220847.1
CAP: College of American Pathologists; CRM: circumferential resection margin.
Table 3. Analysis of patients stratified according resection status, n = 27. Patients without mesopancreatic fat infiltration showed a higher rate of R0CRM− resections. Statistical significance was calculated by chi-squared test. ** indicates a p-value ≤ 0.01.
Table 3. Analysis of patients stratified according resection status, n = 27. Patients without mesopancreatic fat infiltration showed a higher rate of R0CRM− resections. Statistical significance was calculated by chi-squared test. ** indicates a p-value ≤ 0.01.
R0(CRM−)R1/R0(CRM+)p-Value
n = 17n = 10
Treatment Responsen%n%0.042 **
CAP 0211.800
CAP 1529.400
CAP 2952.9660
CAP 315.8440
CAP: College of American Pathologists; CRM: circumferential resection margin.
Table 4. Analysis of patients stratified according to MDCT-predicted tumor response, n = 27. MP infiltration status was distributed heterogeneously across MDCT tumor response status. Statistical significance was calculated by chi-squared test. * indicates a p-value ≤ 0.05.
Table 4. Analysis of patients stratified according to MDCT-predicted tumor response, n = 27. MP infiltration status was distributed heterogeneously across MDCT tumor response status. Statistical significance was calculated by chi-squared test. * indicates a p-value ≤ 0.05.
MDCT
Tumor Response
MDCT
No Tumor Response
p-Value
n = 17n = 10
Treatment responsen%n%0.122
CAP 0 and 1635.3110
CAP 2 and 31164.7990
MP Infiltration * 0.042
positive847.1990
negative952.9110
R-status 0.692
R0(CRM−)1164.7660
R1/R0(CRM+)635.3440
CAP: College of American Pathologists; CRM: circumferential resection margin; MDCT: multi-detector computed tomography; MP: mesopancreatic.
Table 5. Analysis of patients stratified according to neoadjuvant therapy followed by surgery (n = 27) vs. upfront surgery n = 173. Mesopancreatic fat infiltration was heterogeneously distributed across the sub-groups. Statistical significance was calculated by chi-squared test.
Table 5. Analysis of patients stratified according to neoadjuvant therapy followed by surgery (n = 27) vs. upfront surgery n = 173. Mesopancreatic fat infiltration was heterogeneously distributed across the sub-groups. Statistical significance was calculated by chi-squared test.
MP StatusNeoadjuvant and SurgeryUpfront Surgeryp-Value
n = 27n = 173
MP Infiltration 0.039
positive1762.913175.7
negative1037.14224.3
MP: mesopancreatic.
Table 6. Analysis of metachronous disease stratified according to treatment constellation. Rate of systemic relapse was similar between neoadjuvant and upfront surgery-treated patient groups (p = 0.143; not shown). Local tumor control was significantly improved after neoadjuvant treatment when compared to patients who received upfront surgery (p = 0.040). Statistical significance was calculated by chi-squared test.
Table 6. Analysis of metachronous disease stratified according to treatment constellation. Rate of systemic relapse was similar between neoadjuvant and upfront surgery-treated patient groups (p = 0.143; not shown). Local tumor control was significantly improved after neoadjuvant treatment when compared to patients who received upfront surgery (p = 0.040). Statistical significance was calculated by chi-squared test.
Therapy ModalityNo MetastasesSystemic RelapseLocal Recurrencep-Value
n%n%n%
Neoadjuvant518.51866.727.40.04
n = 27
Upfront surgery6336.48146.82916.8
n = 173
Publisher’s Note: MDPI stays neutral with regard to jurisdictional claims in published maps and institutional affiliations.

Share and Cite

MDPI and ACS Style

Safi, S.-A.; Haeberle, L.; Rehders, A.; Fung, S.; Vaghiri, S.; Roderburg, C.; Luedde, T.; Ziayee, F.; Esposito, I.; Fluegen, G.; et al. Neoadjuvant Treatment Lowers the Risk of Mesopancreatic Fat Infiltration and Local Recurrence in Patients with Pancreatic Cancer. Cancers 2022, 14, 68. https://doi.org/10.3390/cancers14010068

AMA Style

Safi S-A, Haeberle L, Rehders A, Fung S, Vaghiri S, Roderburg C, Luedde T, Ziayee F, Esposito I, Fluegen G, et al. Neoadjuvant Treatment Lowers the Risk of Mesopancreatic Fat Infiltration and Local Recurrence in Patients with Pancreatic Cancer. Cancers. 2022; 14(1):68. https://doi.org/10.3390/cancers14010068

Chicago/Turabian Style

Safi, Sami-Alexander, Lena Haeberle, Alexander Rehders, Stephen Fung, Sascha Vaghiri, Christoph Roderburg, Tom Luedde, Farid Ziayee, Irene Esposito, Georg Fluegen, and et al. 2022. "Neoadjuvant Treatment Lowers the Risk of Mesopancreatic Fat Infiltration and Local Recurrence in Patients with Pancreatic Cancer" Cancers 14, no. 1: 68. https://doi.org/10.3390/cancers14010068

APA Style

Safi, S.-A., Haeberle, L., Rehders, A., Fung, S., Vaghiri, S., Roderburg, C., Luedde, T., Ziayee, F., Esposito, I., Fluegen, G., & Knoefel, W. T. (2022). Neoadjuvant Treatment Lowers the Risk of Mesopancreatic Fat Infiltration and Local Recurrence in Patients with Pancreatic Cancer. Cancers, 14(1), 68. https://doi.org/10.3390/cancers14010068

Note that from the first issue of 2016, this journal uses article numbers instead of page numbers. See further details here.

Article Metrics

Back to TopTop