Challenges in Crohn’s Disease Management after Gastrointestinal Cancer Diagnosis
Abstract
Simple Summary
Abstract
1. Introduction
- Diagnosis of gastrointestinal cancers in CD patients;
- Medical and surgical treatment of gastrointestinal cancers in CD patients;
- Treatment of CD after the diagnosis of cancer.
2. Epidemiology and Pathogenesis of CD-Related Gastrointestinal Cancers
2.1. Colorectal Cancer
2.1.1. Epidemiology
2.1.2. Pathogenesis and Risk Factors
2.2. Small Bowel Cancer
2.2.1. Epidemiology
2.2.2. Pathogenesis and Risk Factors
2.3. Anal Cancer
2.3.1. Epidemiology
2.3.2. Pathogenesis and Risk Factors
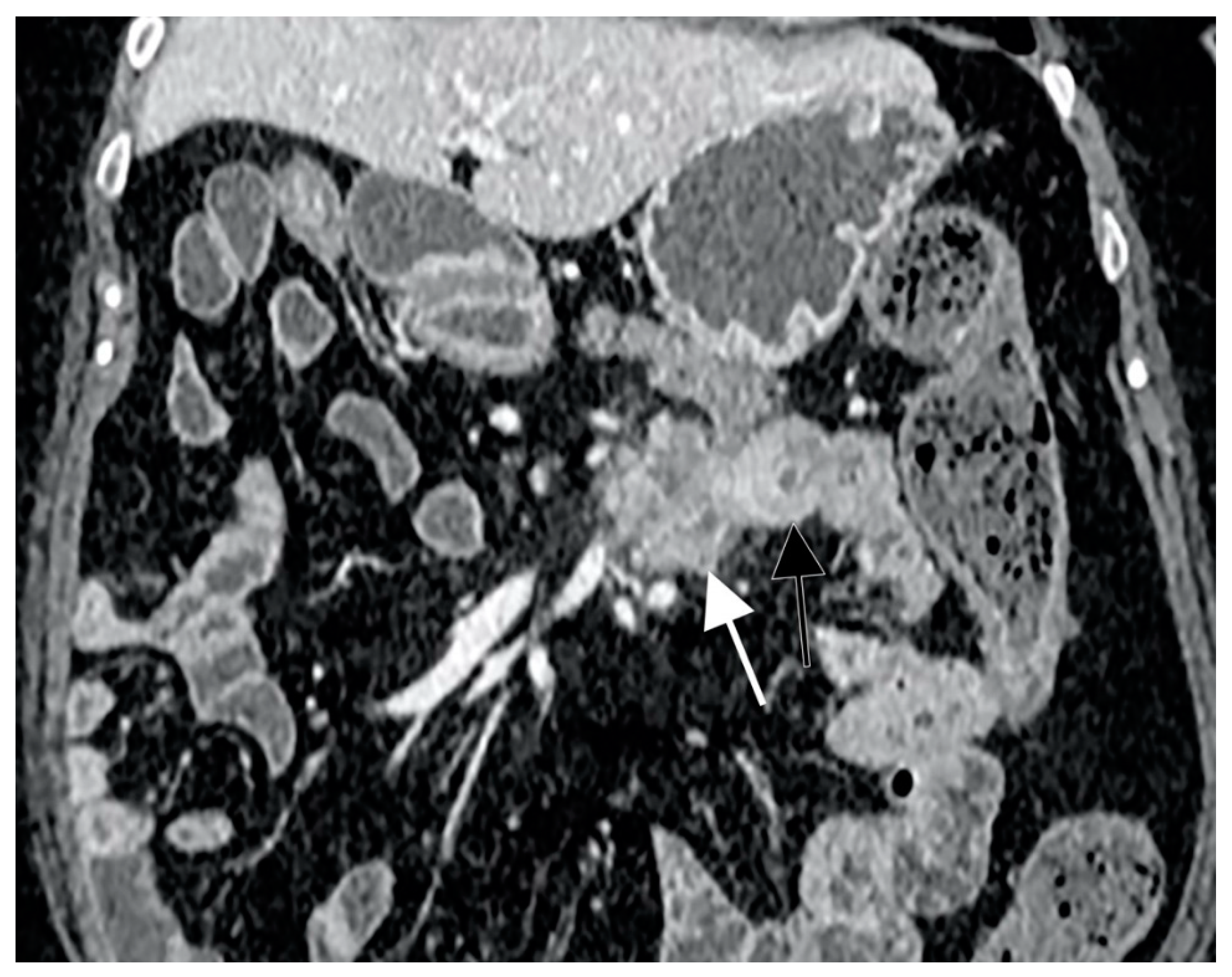
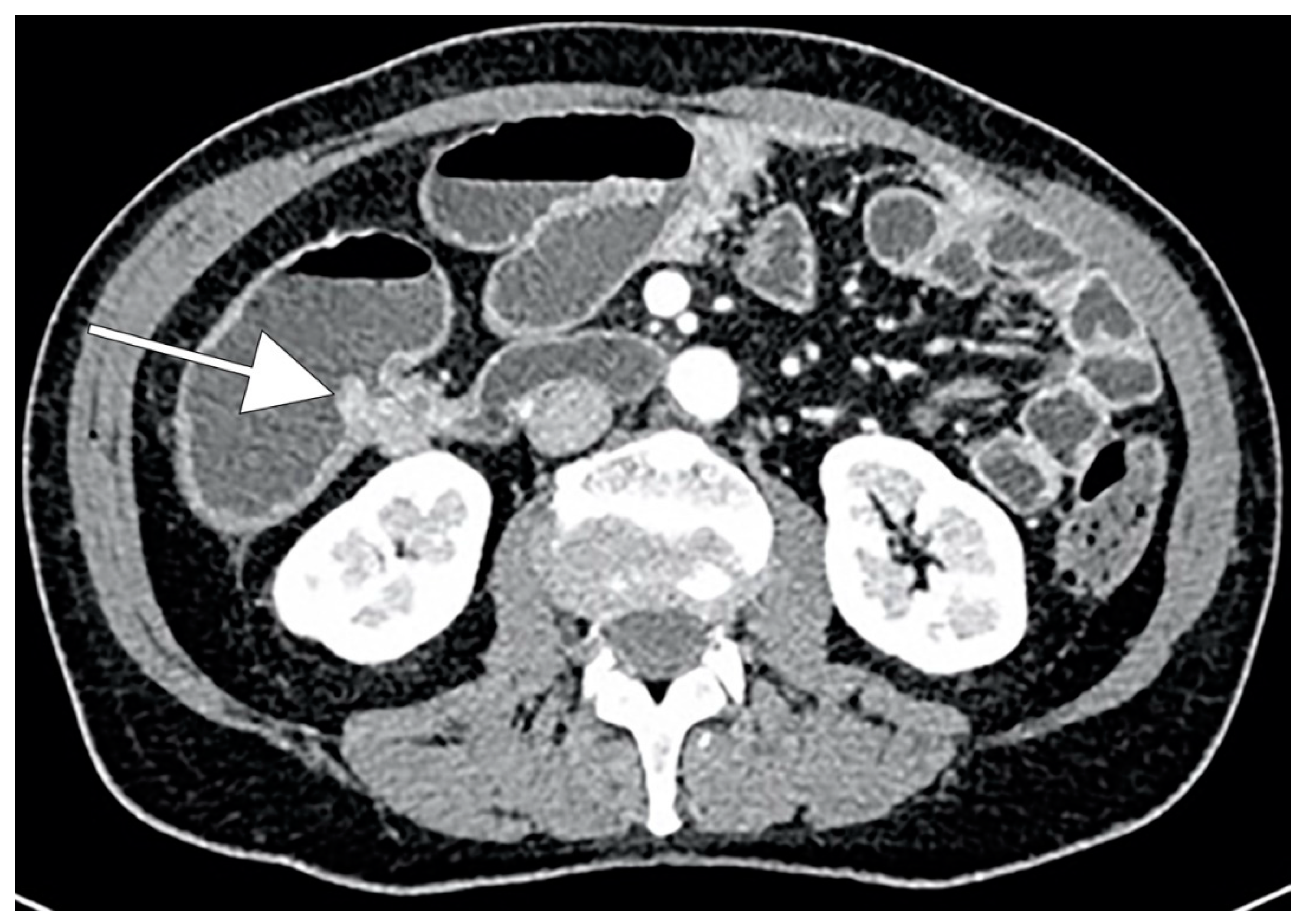
3. Diagnosis and Imaging
3.1. Colorectal Cancer
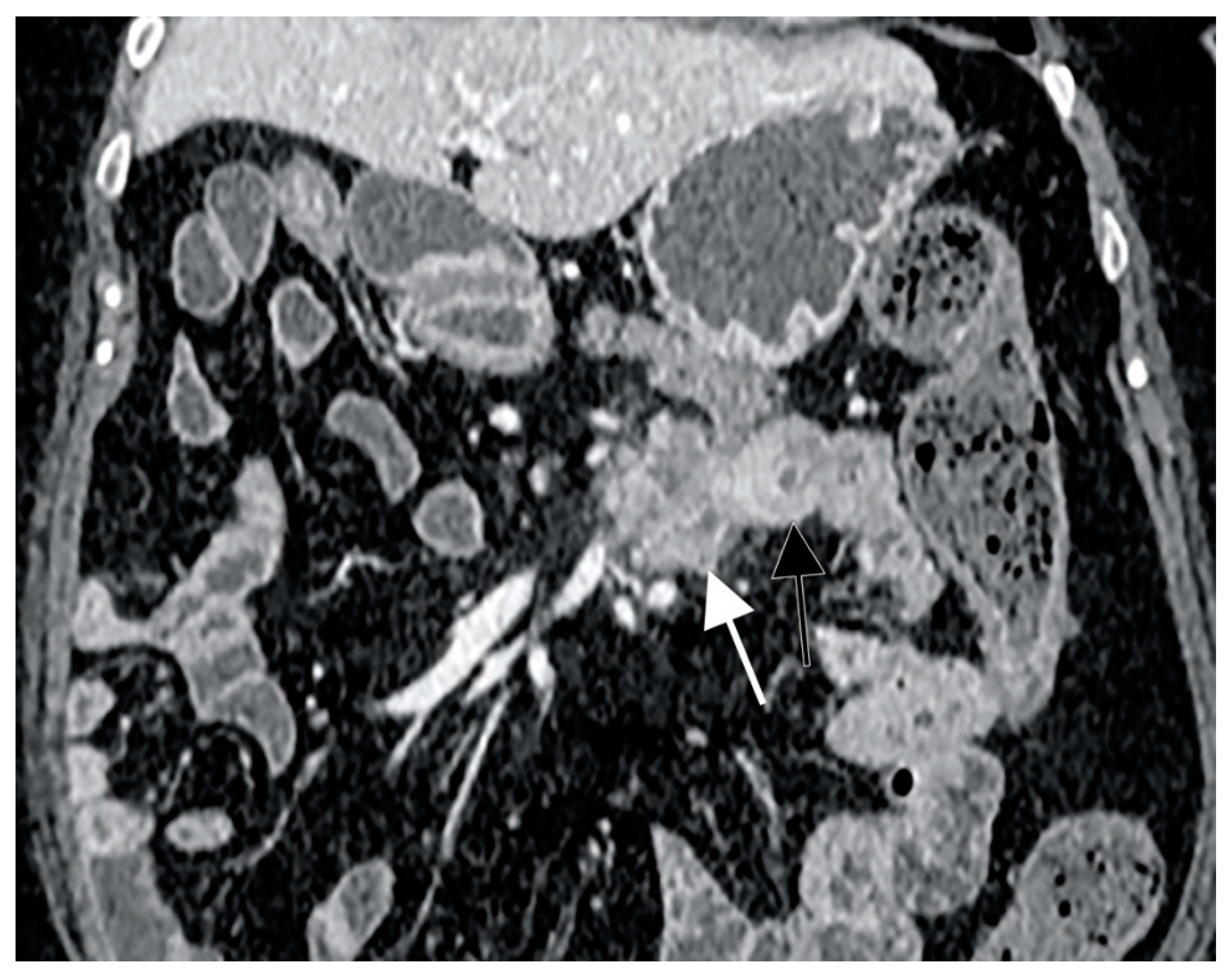
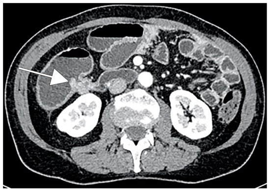
3.2. Small Bowel Cancer
3.3. Anal Cancer
4. Medical Management
4.1. Management of IBD during Cancer Treatment
4.2. Active IBD in Patients with Previous History of Cancer
5. Surgical Management
5.1. Colorectal Cancer
5.1.1. Total Proctocolectomy (TPC)
5.1.2. Total Abdominal Colectomy
5.1.3. Segmental Colectomy (SC)
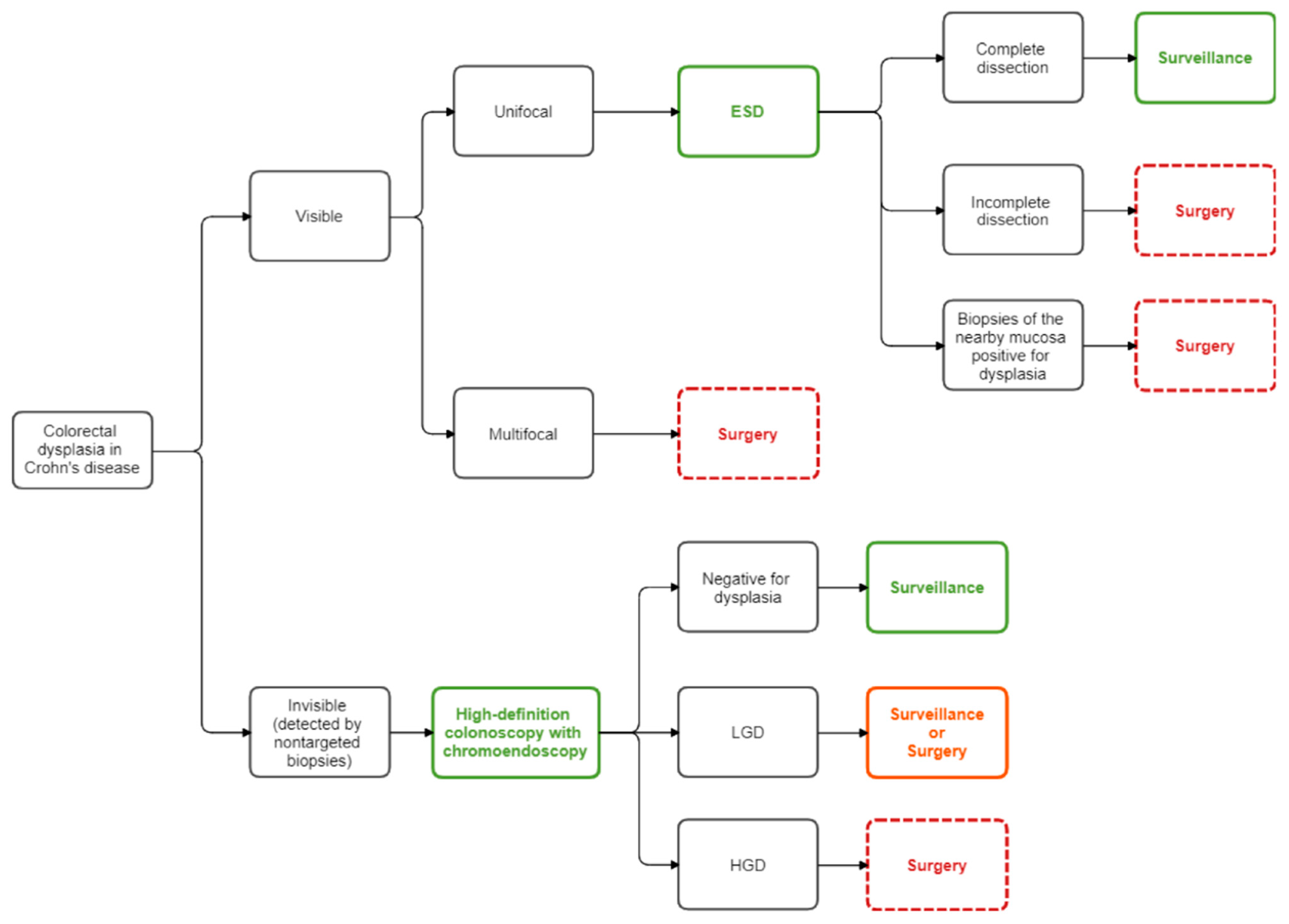
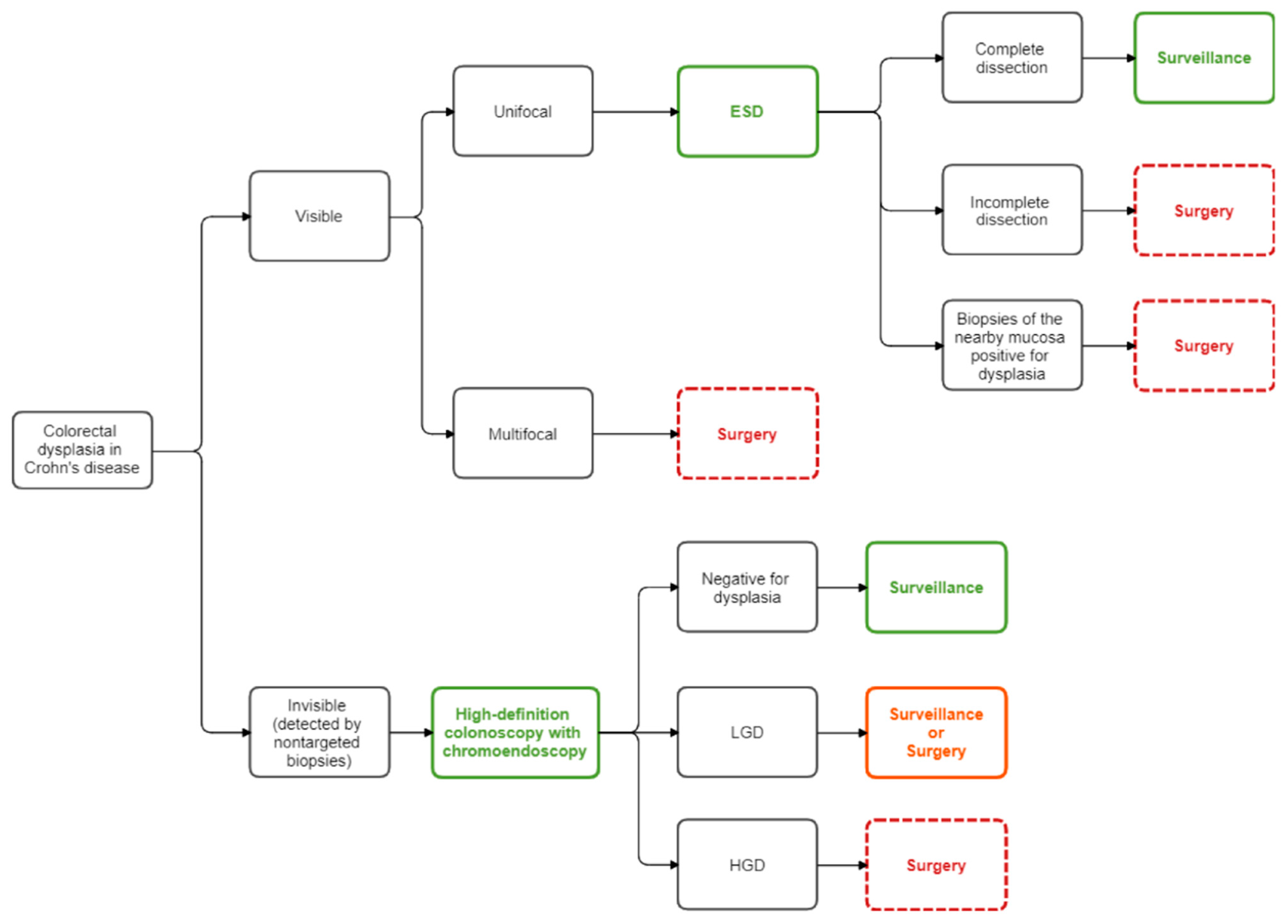
5.2. Colorectal Dysplasia in Crohn’s Disease
5.3. Small Bowel Cancer
5.4. Anal Cancer
6. Oncological Treatment in CD Patients with Cancer Diagnosis: Special Considerations
7. Future Perspectives on IBD Management
7.1. Artificial Intelligence and Machine Learning in IBD and Gastrointestinal Cancer
7.2. The Role of Microbiota in IBD and Gastrointestinal Cancer Development
8. Conclusions
Author Contributions
Funding
Conflicts of Interest
References
- Torres, J.; Bonovas, S.; Doherty, G.; Kucharzik, T.; Gisbert, J.P.; Raine, T.; Adamina, M.; Armuzzi, A.; Bachmann, O.; Bager, P.; et al. ECCO Guidelines on Therapeutics in Crohn’s Disease: Medical Treatment. J. Crohn’s Coliti 2019, 14, 4–22. [Google Scholar] [CrossRef] [PubMed]
- Freeman, H.J. Natural history and long-term clinical course of Crohn’s disease. World J. Gastroenterol. 2014, 20, 31–36. [Google Scholar] [CrossRef] [PubMed]
- Burisch, J.; Jess, T.; Martinato, M.; Lakatos, P.L. The burden of inflammatory bowel disease in Europe. J. Crohn’s Coliti 2013, 7, 322–337. [Google Scholar] [CrossRef] [PubMed]
- Le Berre, C.; Ananthakrishnan, A.N.; Danese, S.; Singh, S.; Peyrin-Biroulet, L. Ulcerative Colitis and Crohn’s Disease Have Similar Burden and Goals for Treatment. Clin. Gastroenterol. Hepatol. 2020, 18, 14–23. [Google Scholar] [CrossRef] [PubMed]
- Torres, J.; Mehandru, S.; Colombel, J.F.; Peyrin-Biroulet, L. Crohn’s disease. Lancet 2017, 389, 1741–1755. [Google Scholar] [CrossRef]
- Roda, G.; Ng, S.C.; Kotze, P.G.; Argollo, M.; Panaccione, R.; Spinelli, A.; Kaser, A.; Peyrin-Biroulet, L.; Danese, S. Crohn’s disease. Nat. Rev. Dis. Prim. 2020, 6, 1–19. [Google Scholar] [CrossRef]
- Axelrad, J.E.; Shah, S.C. Diagnosis and management of inflammatory bowel disease-associated neoplasia: Considerations in the modern era. Ther. Adv. Gastroenterol. 2020, 13, 13. [Google Scholar] [CrossRef]
- Beaugerie, L.; Itzkowitz, S.H. Cancers Complicating Inflammatory Bowel Disease. N. Engl. J. Med. 2015, 372, 1441–1452. [Google Scholar] [CrossRef]
- Annese, V.; Beaugerie, L.; Egan, L.; Biancone, L.; Bolling, C.; Brandts, C.H.; Dierickx, D.; Dummer, R.; Fiorino, G.; Gornet, J.M.; et al. European Evidence-based Consensus: Inflammatory Bowel Disease and Malignancies. J. Crohn’s Coliti 2015, 9, 945–965. [Google Scholar] [CrossRef]
- Ullman, T.A.; Itzkowitz, S.H. Intestinal Inflammation and Cancer. Gastroenterology 2011, 140, 1807–1816. [Google Scholar] [CrossRef]
- Garg, S.K.; Velayos, F.S.; Kisiel, J.B. Intestinal and Nonintestinal Cancer Risks for Patients with Crohn’s Disease. Gastroenterol. Clin. N. Am. 2017, 46, 515–529. [Google Scholar] [CrossRef] [PubMed]
- Jess, T.; Winther, K.V.; Munkholm, P.; Langholz, E.; Binder, V. Intestinal and extra-intestinal cancer in Crohn’s disease: Follow-up of a population-based cohort in Copenhagen County, Denmark. Aliment. Pharmacol. Ther. 2004, 19, 287–293. [Google Scholar] [CrossRef] [PubMed]
- Biancone, L.; Armuzzi, A.; Scribano, M.L.; D’Inca, R.; Castiglione, F.; Papi, C.; Angelucci, E.; Daperno, M.; Mocciaro, F.; Riegler, G.; et al. Inflammatory Bowel Disease Phenotype as Risk Factor for Cancer in a Prospective Multicentre Nested Case-Control IG-IBD Study. J. Crohn’s Coliti 2016, 10, 913–924. [Google Scholar] [CrossRef] [PubMed]
- Kappelman, M.D.; Farkas, D.K.; Long, M.D.; Erichsen, R.; Sandler, R.S.; Sørensen, H.T.; Baron, J.A. Risk of Cancer in Patients with Inflammatory Bowel Diseases: A Nationwide Population-based Cohort Study with 30 Years of Follow-up Evaluation. Clin. Gastroenterol. Hepatol. 2014, 12, 265–273.e1. [Google Scholar] [CrossRef]
- Rutter, M.D.; Saunders, B.P.; Wilkinson, K.H.; Rumbles, S.; Schofield, G.; Kamm, M.A.; Williams, C.B.; Price, A.B.; Talbot, I.C.; Forbes, A. Thirty-Year Analysis of a Colonoscopic Surveillance Program for Neoplasia in Ulcerative Colitis. Gastroenterology 2006, 130, 1030–1038. [Google Scholar] [CrossRef]
- Bitton, A.; Vutcovici, M.; Sewitch, M.; Suissa, S.; Brassard, P. Mortality Trends in Crohnʼs Disease and Ulcerative Colitis. Inflamm. Bowel Dis. 2016, 22, 416–423. [Google Scholar] [CrossRef]
- Caini, S.; Bagnoli, S.; Palli, D.; Saieva, C.; Ceroti, M.; Bendinelli, B.; Assedi, M.; Masala, G. Total and cancer mortality in a cohort of ulcerative colitis and Crohn’s disease patients: The Florence inflammatory bowel disease study, 1978–2010. Dig. Liver Dis. 2016, 48, 1162–1167. [Google Scholar] [CrossRef]
- Beaugerie, L.; Rahier, J.-F.; Kirchgesner, J. Predicting, Preventing, and Managing Treatment-Related Complications in Patients with Inflammatory Bowel Diseases. Clin. Gastroenterol. Hepatol. 2020, 18, 1324–1335.e2. [Google Scholar] [CrossRef]
- Axelrad, J.E.; Fowler, S.A.; Friedman, S.; Ananthakrishnan, A.N.; Yajnik, V. Effects of Cancer Treatment on Inflammatory Bowel Disease Remission and Reactivation. Clin. Gastroenterol. Hepatol. 2012, 10, 1021–1027.e1. [Google Scholar] [CrossRef]
- Crohn, B.B.; Rosenberg, H. The sigmoidoscopic picture of chronic ulcerative colitis (non-specific). Am. J. Med. Sci. 1925, 170, 220–227. [Google Scholar] [CrossRef]
- Jess, T.; Simonsen, J.; Jørgensen, K.T.; Pedersen, B.V.; Nielsen, N.M.; Frisch, M. Decreasing Risk of Colorectal Cancer in Patients with Inflammatory Bowel Disease Over 30 Years. Gastroenterology 2012, 143, 375–381.e1. [Google Scholar] [CrossRef] [PubMed]
- Herrinton, L.J.; Liu, L.; Levin, T.R.; Allison, J.E.; Lewis, J.D.; Velayos, F. Incidence and Mortality of Colorectal Adenocarcinoma in Persons with Inflammatory Bowel Disease From 1998 to 2010. Gastroenterology 2012, 143, 382–389. [Google Scholar] [CrossRef] [PubMed]
- Canavan, C.; Abrams, K.R.; Mayberry, J. Meta-analysis: Colorectal and small bowel cancer risk in patients with Crohn’s disease. Aliment. Pharmacol. Ther. 2006, 23, 1097–1104. [Google Scholar] [CrossRef] [PubMed]
- von Roon, A.C.; Reese, G.; Teare, J.; Constantinides, V.; Darzi, A.W.; Tekkis, P.P. The Risk of Cancer in Patients with Crohn’s Disease. Dis. Colon Rectum 2007, 50, 839–855. [Google Scholar] [CrossRef] [PubMed]
- Jess, T.; Gamborg, M.; Matzen, P.; Munkholm, P.; Sorensen, T.I.A. Increased Risk of Intestinal Cancer in Crohn’s Disease: A Meta-Analysis of Population-Based Cohort Studies. Am. J. Gastroenterol. 2005, 100, 2724–2729. [Google Scholar] [CrossRef] [PubMed]
- Lutgens, M.W.M.D.; van Oijen, M.G.H.; van der Heijden, G.J.M.G.; Vleggaar, F.P.; Siersema, P.D.; Oldenburg, B. Declining Risk of Colorectal Cancer in Inflammatory Bowel Disease. Inflamm. Bowel Dis. 2013, 19, 789–799. [Google Scholar] [CrossRef]
- Munkholm, P. Review article: The incidence and prevalence of colorectal cancer in inflammatory bowel disease. Aliment. Pharmacol. Ther. 2003, 18, 1–5. [Google Scholar] [CrossRef]
- Mescoli, C.; Albertoni, L.; D’incá, R.; Rugge, M. Dysplasia in inflammatory bowel diseases. Dig. Liver Dis. 2013, 45, 186–194. [Google Scholar] [CrossRef]
- Reynolds, I.S.; O’Toole, A.; Deasy, J.; McNamara, D.A.; Burke, J.P. A meta-analysis of the clinicopathological characteristics and survival outcomes of inflammatory bowel disease associated colorectal cancer. Int. J. Colorectal Dis. 2017, 32, 443–451. [Google Scholar] [CrossRef]
- Thicoïpé, A.; Laharie, D.; Smith, D.; Chabrun, E.; Rullier, A.; Poullenot, F.; Rullier, E.; Denost, Q. Oncological outcomes of IBD-associated versus sporadic colorectal cancer in modern era: A matched case-control study. Int. J. Color. Dis. 2018, 33, 963–966. [Google Scholar] [CrossRef]
- Olén, O.; Erichsen, R.; Sachs, M.C.; Pedersen, L.; Halfvarson, J.; Askling, J.; Ekbom, A.; Sørensen, H.T.; Ludvigsson, J.F. Colorectal cancer in Crohn’s disease: A Scandinavian population-based cohort study. Lancet Gastroenterol. Hepatol. 2020, 5, 475–484. [Google Scholar] [CrossRef]
- Itzkowitz, S.H.; Yio, X. Inflammation and Cancer IV. Colorectal cancer in inflammatory bowel disease: The role of inflammation. Am. J. Physiol. Liver Physiol. 2004, 287, G7–G17. [Google Scholar] [CrossRef] [PubMed]
- Kalla, R.; Ventham, N.T.; Satsangi, J.; Arnott, I.D.R. Crohn’s disease. BMJ 2014, 349, g6670. [Google Scholar] [CrossRef] [PubMed]
- Fearon, E.R.; Vogelstein, B. A genetic model for colorectal tumorigenesis. Cell 1990, 61, 759–767. [Google Scholar] [CrossRef]
- Grivennikov, S.I. Inflammation and colorectal cancer: Colitis-associated neoplasia. Semin. Immunopathol. 2013, 35, 229–244. [Google Scholar] [CrossRef]
- Farraye, F.A.; Odze, R.D.; Eaden, J.; Itzkowitz, S.H. AGA Technical Review on the Diagnosis and Management of Colorectal Neoplasia in Inflammatory Bowel Disease. Gastroenterology 2010, 138, 746–774.e4. [Google Scholar] [CrossRef]
- Beaugerie, L.; Svrcek, M.; Seksik, P.; Bouvier, A.M.; Simon, T.; Allez, M.; Brixi, H.; Gornet, J.-M.; Altwegg, R.; Beau, P.; et al. Risk of Colorectal High-Grade Dysplasia and Cancer in a Prospective Observational Cohort of Patients with Inflammatory Bowel Disease. Gastroenterology 2013, 145, 166–175.e8. [Google Scholar] [CrossRef]
- Magro, F.; Gionchetti, P.; Eliakim, R.; Ardizzone, S.; Armuzzi, A.; Barreiro-de Acosta, M.; Burisch, J.; Gecse, K.B.; Hart, A.L.; Hindryckx, P.; et al. Third European evidence-based consensus on diagnosis and management of ulcerative colitis. Part 1: Definitions, diagnosis, extra-intestinal manifestations, pregnancy, cancer surveillance, surgery, and ileo-anal pouch disorders. J. Crohn’s Colitis 2017, 11, 649–670. [Google Scholar] [CrossRef]
- Lashner, B.A.; Turner, B.C.; Bostwick, D.G.; Frank, P.H.; Hanauer, S.B. Dysplasia and cancer complicating strictures in ulcerative colitis. Dig. Dis. Sci. 1990, 35, 349–352. [Google Scholar] [CrossRef]
- Dulai, P.S.; Sandborn, W.J.; Gupta, S. Colorectal Cancer and Dysplasia in Inflammatory Bowel Disease: A Review of Disease Epidemiology, Pathophysiology, and Management. Cancer Prev. Res. 2016, 9, 887–894. [Google Scholar] [CrossRef]
- Dossett, L.A.; White, L.M.; Welch, D.C.; Herline, A.J.; Muldoon, R.L.; Schwartz, D.A.; Wise, P.E. Small Bowel Adenocarcinoma Complicating Crohn’s Disease: Case Series and Review of the Literature. Am. Surg. 2007, 73, 1181–1187. [Google Scholar] [CrossRef] [PubMed]
- Zhao, R.; Wan, Q.-Y.; Wu, Y.; Wang, Y.; Cui, Y.-P.; Shen, X.; Wu, X.-T. Crohn’s disease instead of UC might increase the risk of small bowel cancer. Gut 2020, 1–2. [Google Scholar] [CrossRef] [PubMed]
- Fields, A.C.; Hu, F.Y.; Lu, P.; Irani, J.; Bleday, R.; Goldberg, J.E.; Melnitchouk, N. Small Bowel Adenocarcinoma: Is There a Difference in Survival for Crohn’s Versus Sporadic Cases? J. Crohn’s Coliti 2019, 14, 303–308. [Google Scholar] [CrossRef] [PubMed]
- Palascak-Juif, V.; Bouvier, A.M.; Cosnes, J.; Flourié, B.; Bouché, O.; Cadiot, G.; Lémann, M.; Bonaz, B.; DeNet, C.; Marteau, P.; et al. Small Bowel Adenocarcinoma in Patients with Crohnʼs Disease Compared with Small Bowel Adenocarcinoma De Novo. Inflamm. Bowel Dis. 2005, 11, 828–832. [Google Scholar] [CrossRef]
- Wieghard, N.; Mongoue-Tchokote, S.; Young, J.I.; Sheppard, B.C.; Tsikitis, L.V. Prognosis of small bowel adenocarcinoma in Crohn’s disease compares favourably with de novo small bowel adenocarcinoma. Color. Dis. 2017, 19, 446–455. [Google Scholar] [CrossRef]
- Cahill, C.; Gordon, P.H.; Petrucci, A.; Boutros, M. Small bowel adenocarcinoma and Crohn’s disease: Any further ahead than 50 years ago? World J. Gastroenterol. 2014, 20, 11486–11495. [Google Scholar] [CrossRef]
- Egan, L.J.; D’Inca, R.; Jess, T.; Pellino, G.; Carbonnel, F.; Bokemeyer, B.; Harbord, M.; Nunes, P.; van der Woude, J.; Selvaggi, F.; et al. Non-colorectal intestinal tract carcinomas in inflammatory bowel disease: Results of the 3rd ECCO Pathogenesis Scientific Workshop (II). J. Crohn’s Coliti 2014, 8, 19–30. [Google Scholar] [CrossRef]
- Lashner, B.A. Risk factors for small bowel cancer in Crohn’s disease. Dig. Dis. Sci. 1992, 37, 1179–1184. [Google Scholar] [CrossRef]
- Solem, C.A.; Harmsen, W.S.; Zinsmeister, A.R.; Loftus, E.V. Small Intestinal Adenocarcinoma in Crohn’s Disease. Inflamm. Bowel Dis. 2004, 10, 32–35. [Google Scholar] [CrossRef]
- Piton, G.; Cosnes, J.; Monnet, E.; Beaugerie, L.; Seksik, P.; Savoye, G.; Cadiot, G.; Flourie, B.; Capelle, P.; Marteau, P.; et al. Risk Factors Associated with Small Bowel Adenocarcinoma in Crohn’s Disease: A CaseControl Study. Am. J. Gastroenterol. 2008, 103, 1730–1736. [Google Scholar] [CrossRef]
- Sigel, J.E.; Petras, R.E.; Lashner, B.A.; Fazio, V.W.; Goldblum, J.R. Intestinal Adenocarcinoma in Crohn’s Disease. Am. J. Surg. Pathol. 1999, 23, 651–655. [Google Scholar] [CrossRef] [PubMed]
- Svrcek, M.; Piton, G.; Cosnes, J.; Beaugerie, L.; Vermeire, S.; Geboes, K.; Lemoine, A.; Cervera, P.; El-Murr, N.; Dumont, S.; et al. Small Bowel Adenocarcinomas Complicating Crohnʼs Disease Are Associated with Dysplasia. Inflamm. Bowel Dis. 2014, 20, 1584–1592. [Google Scholar] [CrossRef] [PubMed]
- Daly, J.J.; Madrazo, A. Anal Crohn’s disease with carcinomain Situ. Dig. Dis. Sci. 1980, 25, 464–466. [Google Scholar] [CrossRef] [PubMed]
- Ky, A.; Sohn, N.; Weinstein, M.A.; Korelitz, B.I. Carcinoma arising in anorectal fistulas of Crohn’s disease. Dis. Colon Rectum 1998, 41, 992–996. [Google Scholar] [CrossRef] [PubMed]
- Gaertner, W.B.; Hagerman, G.F.; Finne, C.O.; Alavi, K.; Jessurun, J.; Rothenberger, D.A.; Madoff, R.D. Fistula-Associated Anal Adenocarcinoma: Good Results with Aggressive Therapy. Dis. Colon Rectum 2008, 51, 1061–1067. [Google Scholar] [CrossRef] [PubMed]
- Devon, K.M.; Brown, C.J.; Burnstein, M.; McLeod, R.S. Cancer of the Anus Complicating Perianal Crohn’s Disease. Dis. Colon Rectum 2009, 52, 211–216. [Google Scholar] [CrossRef]
- Iesalnieks, I.; Gaertner, W.B.; Glaß, H.; Strauch, U.; Hipp, M.; Agha, A.; Schlitt, H.J. Fistula-associated anal adenocarcinoma in Crohn’s disease. Inflamm. Bowel Dis. 2010, 16, 1643–1648. [Google Scholar] [CrossRef]
- Ogawa, H.; Haneda, S.; Shibata, C.; Miura, K.; Nagao, M.; Ohnuma, S.; Kohyama, A.; Unno, M. Adenocarcinoma associated with perianal fistulas in Crohn’s disease. Anticancer. Res. 2013, 33, 685–689. [Google Scholar]
- Benjelloun, E.B.; Abkari, M.; Ousadden, A.; Taleb, K.A. Squamous cell carcinoma associated anal fistulas in Crozhn’s disease unique case report with literature review. J. Crohn’s Coliti 2013, 7, e232–e235. [Google Scholar] [CrossRef]
- Shwaartz, C.; Munger, J.A.; Deliz, J.R.; Bornstein, J.E.; Gorfine, S.R.; Chessin, D.B.; Popowich, D.A.; Bauer, J.J. Fistula-Associated Anorectal Cancer in the Setting of Crohn’s Disease. Dis. Colon Rectum 2016, 59, 1168–1173. [Google Scholar] [CrossRef]
- Lightner, A.L.; Moncrief, S.B.; Smyrk, T.C.; Pemberton, J.H.; Haddock, M.G.; Larson, D.W.; Dozois, E.J.; Mathis, K.L. Long-standing Crohn’s disease and its implication on anal squamous cell cancer management. Int. J. Color. Dis. 2017, 32, 661–666. [Google Scholar] [CrossRef] [PubMed]
- Winkler, R.; Wittmer, A.; Heusermann, U. Das Karzinom beim M. Crohn. Z. Gastroenterol. 2002, 40, 569–576. [Google Scholar] [CrossRef] [PubMed]
- Beaugerie, L.; Carrat, F.; Nahon, S.; Zeitoun, J.-D.; Sabaté, J.-M.; Peyrin-Biroulet, L.; Colombel, J.-F.; Allez, M.; Fléjou, J.-F.; Kirchgesner, J.; et al. High Risk of Anal and Rectal Cancer in Patients with Anal and/or Perianal Crohn’s Disease. Clin. Gastroenterol. Hepatol. 2018, 16, 892–899.e2. [Google Scholar] [CrossRef] [PubMed]
- Ruel, J.; Ko, H.M.; Roda, G.; Patil, N.; Zhang, D.; Jharap, B.; Harpaz, N.; Colombel, J.-F. Anal Neoplasia in Inflammatory Bowel Disease Is Associated with HPV and Perianal Disease. Clin. Transl. Gastroenterol. 2016, 7, e148. [Google Scholar] [CrossRef] [PubMed]
- Thomas, M.; Bienkowski, R.; van derMeer, T.J.; Trostle, D.; Cagir, B. Malignant Transformation in Perianal Fistulas of Crohn’s Disease: A Systematic Review of Literature. J. Gastrointest. Surg. 2010, 14, 66–73. [Google Scholar] [CrossRef] [PubMed]
- Slesser, A.; Bhangu, A.; Bower, M.; Goldin, R.; Tekkis, P. A systematic review of anal squamous cell carcinoma in inflammatory bowel disease. Surg. Oncol. 2013, 22, 230–237. [Google Scholar] [CrossRef]
- Malvi, D.; Vasuri, F.; Mattioli, S.; Gruppioni, E.; Fiorentino, M.; Gionchetti, P.; Grigioni, W.F.; Poggioli, G.; D’Errico-Grigioni, A. Adenocarcinoma in Crohn’s disease: The pathologist’s experience in a tertiary referral centre of inflammatory bowel disease. Pathology 2014, 46, 439–443. [Google Scholar] [CrossRef]
- Williams, C.J.M.; Peyrin-Biroulet, L.; Ford, A.C. Systematic review with meta-analysis: Malignancies with anti-tumour necrosis factor-α therapy in inflammatory bowel disease. Aliment. Pharmacol. Ther. 2014, 39, 447–458. [Google Scholar] [CrossRef]
- Bonovas, S.; Minozzi, S.; Lytras, T.; González-Lorenzo, M.; Pecoraro, V.; Colombo, S.; Polloni, I.; Moja, L.; Cinquini, M.; Marino, V.; et al. Risk of malignancies using anti-TNF agents in rheumatoid arthritis, psoriatic arthritis, and ankylosing spondylitis: A systematic review and meta-analysis. Expert Opin. Drug Saf. 2016, 15, 35–54. [Google Scholar] [CrossRef]
- Bonovas, S.; Fiorino, G.; Allocca, M.; Lytras, T.; Nikolopoulos, G.K.; Peyrin-Biroulet, L.; Danese, S. Biologic Therapies and Risk of Infection and Malignancy in Patients with Inflammatory Bowel Disease: A Systematic Review and Network Meta-analysis. Clin. Gastroenterol. Hepatol. 2016, 14, 1385–1397. [Google Scholar] [CrossRef]
- Chaparro, M.; Ramas, M.; Benítez, J.M.; López-García, A.; Juan, A.; Guardiola, J.; Mínguez, M.; Calvet, X.; Márquez, L.; Salazar, L.I.F.; et al. Extracolonic Cancer in Inflammatory Bowel Disease: Data from the GETECCU Eneida Registry. Am. J. Gastroenterol. 2017, 112, 1135–1143. [Google Scholar] [CrossRef] [PubMed]
- Lutgens, M.W.M.D.; Oldenburg, B.; Siersema, P.D.; van Bodegraven, A.A.; Dijkstra, G.; Hommes, D.W.; de Jong, D.J.; Stokkers, P.C.F.; van der Woude, C.J.; Vleggaar, F.P. Colonoscopic surveillance improves survival after colorectal cancer diagnosis in inflammatory bowel disease. Br. J. Cancer 2009, 101, 1671–1675. [Google Scholar] [CrossRef] [PubMed]
- Ananthakrishnan, A.N.; Cagan, A.; Cai, T.; Gainer, V.S.; Shaw, S.Y.; Churchill, S.; Karlson, E.W.; Murphy, S.N.; Kohane, I.; Liao, K.P. Colonoscopy Is Associated with a Reduced Risk for Colon Cancer and Mortality in Patients with Inflammatory Bowel Diseases. Clin. Gastroenterol. Hepatol. 2015, 13, 322–329.e1. [Google Scholar] [CrossRef] [PubMed]
- National Institute for Health and Clinical Excellence Colonoscopic surveillance for prevention of colorectal cancer in people with ulcerative colitis, Crohn’s disease or adenomas. Clin Guid. 2011, 25, 4148.
- Annese, V.; Daperno, M.; Rutter, M.D.; Amiot, A.; Bossuyt, P.; East, J.; Ferrante, M.; Götz, M.; Katsanos, K.H.; Kießlich, R.; et al. European evidence based consensus for endoscopy in inflammatory bowel disease. J. Crohn’s Coliti 2013, 7, 982–1018. [Google Scholar] [CrossRef]
- Nett, A.; Velayos, F.; McQuaid, K. Quality Bowel Preparation for Surveillance Colonoscopy in Patients with Inflammatory Bowel Disease Is a Must. Gastrointest. Endosc. Clin. N. Am. 2014, 24, 379–392. [Google Scholar] [CrossRef]
- Wong, W.J.; Arafat, Y.; Wang, S.; Hawes, S.; Hung, K. Colonoscopy withdrawal time and polyp/adenoma detection rate: A single-site retrospective study in regional Queensland. ANZ J. Surg. 2019, 90, 314–316. [Google Scholar] [CrossRef]
- Gondal, B.; Haider, H.; Komaki, Y.; Komaki, F.; Micic, D.; Rubin, D.T.; Sakuraba, A. Efficacy of various endoscopic modalities in detecting dysplasia in ulcerative colitis: A systematic review and network meta-analysis. World J. Gastrointest. Endosc. 2020, 12, 159–171. [Google Scholar] [CrossRef]
- Feuerstein, J.D.; Rakowsky, S.; Sattler, L.; Yadav, A.; Foromera, J.; Grossberg, L.; Cheifetz, A.S. Meta-analysis of dye-based chromoendoscopy compared with standard- and high-definition white-light endoscopy in patients with inflammatory bowel disease at increased risk of colon cancer. Gastrointest. Endosc. 2019, 90, 186–195. [Google Scholar] [CrossRef]
- Vitello, A.; Shahini, E.; Macaluso, F.S.; Morreale, G.C.; Sinagra, E.; Pallio, S.; Maida, M. Endoscopic surveillance of colorectal cancer in inflammatory bowel diseases: A review of the literature. Expert Rev. Anticancer. Ther. 2020, 20, 851–863. [Google Scholar] [CrossRef]
- Paparo, F.; Garlaschi, A.; Biscaldi, E.; Bacigalupo, L.; Cevasco, L.; Rollandi, G.A. Computed tomography of the bowel: A prospective comparison study between four techniques. Eur. J. Radiol. 2013, 82, e1–e10. [Google Scholar] [CrossRef] [PubMed]
- Minordi, L.M.; Scaldaferri, F.; Marra, R.S.; Pecere, S.; LaRosa, L.; Poscia, A.; Gasbarrini, A.; Vecchioli, A.; Bonomo, L.; Information, P.E.K.F.C. Enterography CT without and with water enema in patients with Crohn’s disease: Results from a comparative observational study in comparison with endoscopy. Eur. J. Radiol. 2016, 85, 404–413. [Google Scholar] [CrossRef] [PubMed]
- Angelelli, G.; Macarini, L.; Lupo, L.; Caputi-Jambrenghi, O.; Pannarale, O.; Memeo, V. Rectal carcinoma: CT staging with water as contrast medium. Radiology 1990, 177, 511–514. [Google Scholar] [CrossRef] [PubMed]
- Gossios, K.J.; Tsianos, E.V.; Kontogiannis, D.S.; Demou, L.L.; Tatsis, C.K.; Papakostas, V.P.; Merkouropoulos, M.M.; Tsimoyiannis, E.C. Water as contrast medium for computed tomography study of colonic wall lesions. Abdom. Imaging 1992, 17, 125–128. [Google Scholar] [CrossRef] [PubMed]
- Solomon, A.; Michowitz, M.; Papo, J.; Yust, I. Computed tomographic air enema technique to demonstrate colonic neoplasms. Abdom. Imaging 1986, 11, 194–196. [Google Scholar] [CrossRef]
- Gazelle, G.S.; Gaa, J.; Saini, S.; Shellito, P. Staging of Colon Carcinoma Using Water Enema CT. J. Comput. Assist. Tomogr. 1995, 19, 87–91. [Google Scholar] [CrossRef]
- Balthazar, E.J.; Megibow, A.J.; Hulnick, D.; Naidich, D.P. Carcinoma of the colon: Detection and preoperative staging by CT. Am. J. Roentgenol. 1988, 150, 301–306. [Google Scholar] [CrossRef]
- Dabaja, B.S.; Suki, D.; Pro, B.; Bonnen, M.; Ajani, J. Adenocarcinoma of the small bowel: Presentation, prognostic factors, and outcome of 217 patients. Cancer 2004, 101, 518–526. [Google Scholar] [CrossRef]
- Simon, M.; Cosnes, J.; Gornet, J.M.; Seksik, P.; Stefanescu, C.; Blain, A.; Pariente, B.; Nancey, S.; Vuitton, L.; Nachury, M.; et al. Endoscopic Detection of Small Bowel Dysplasia and Adenocarcinoma in Crohn’s Disease: A Prospective Cohort-Study in High-Risk Patients. J. Crohn’s Coliti 2017, 11, 47–52. [Google Scholar] [CrossRef]
- Fiorillo, C.; Quero, G.; Longo, F.; Mascagni, P.; Delvaux, M.; Mutter, D. Capsule Endoscopy Versus Colonoscopy in Patients with Previous Colorectal Surgery: A Prospective Comparative Study. Gastroenterol. Res. 2020, 13, 217–224. [Google Scholar]
- di Nardo, G.; Esposito, G.; Ziparo, C.; Micheli, F.; Masoni, L.; Villa, M.P.; Parisi, P.; Manca, M.B.; Baccini, F.; Corleto, V.D. Enteroscopy in children and adults with inflammatory bowel disease. World J. Gastroenterol. 2020, 26, 5944–5958. [Google Scholar] [CrossRef] [PubMed]
- Robertson, K.D.; Singh, R. Capsule Endoscopy. Available online: https://www.ncbi.nlm.nih.gov/books/NBK482306/ (accessed on 13 August 2020).
- Soyer, P.; Aout, M.; Hoeffel, C.; Vicaut, E.; Placé, V.; Boudiaf, M. Helical CT-enteroclysis in the detection of small-bowel tumours: A meta-analysis. Eur. Radiol. 2013, 23, 388–399. [Google Scholar] [CrossRef] [PubMed]
- Kermarrec, E.; Barbary, C.; Corby, S.; Béot, S.; Laurent, V.; Regent, D. CT enteroclysis: A pictorial essay. J. Radiol. 2007, 88, 235. [Google Scholar] [CrossRef]
- Minordi, L.M.; Binda, C.; Scaldaferri, F.; Holleran, G.; LaRosa, L.; Belmonte, G.; Gasbarrini, A.; Colosimo, C.; Manfredi, R. Primary neoplasms of the small bowel at CT: A pictorial essay for the clinician. Eur. Rev. Med. Pharmacol. Sci. 2018, 22, 598–608. [Google Scholar] [PubMed]
- Gourtsoyiannis, N.C. Radiological Imaging of the Small Intestin; Medical Radiology; Springer: Berlin/Heidelberg, Germany, 2002; ISBN 978-3-642-62993-8. [Google Scholar]
- Wisniewski, A.; Fléjou, J.-F.; Siproudhis, L.; Abramowitz, L.; Svrcek, M.; Beaugerie, L. Anal Neoplasia in Inflammatory Bowel Disease: Classification Proposal, Epidemiology, Carcinogenesis, and Risk Management Perspectives. J. Crohn’s Coliti 2017, 11, 1011–1018. [Google Scholar] [CrossRef]
- Parikh, J.; Shaw, A.; Grant, L.A.; Schizas, A.M.P.; Datta, V.; Williams, A.B.; Griffin, N. Anal carcinomas: The role of endoanal ultrasound and magnetic resonance imaging in staging, response evaluation and follow-up. Eur. Radiol. 2011, 21, 776–785. [Google Scholar] [CrossRef]
- Reginelli, A.; Granata, V.; Fusco, R.; Granata, F.; Rega, D.; Roberto, L.; Pellino, G.; Rotondo, A.; Selvaggi, F.; Izzo, F.; et al. Diagnostic performance of magnetic resonance imaging and 3D endoanal ultrasound in detection, staging and assessment post treatment, in anal cancer. Oncotarget 2017, 8, 22980–22990. [Google Scholar] [CrossRef]
- Otto, S.D.; Lee, L.; Buhr, H.J.; Frericks, B.; Höcht, S.; Kroesen, A.J. Staging Anal Cancer: Prospective Comparison of Transanal Endoscopic Ultrasound and Magnetic Resonance Imaging. J. Gastrointest. Surg. 2009, 13, 1292–1298. [Google Scholar] [CrossRef]
- Granata, V.; Fusco, R.; Reginelli, A.; Roberto, L.; Granata, F.; Rega, D.; Rotondo, A.; Grassi, R.; Izzo, F.; Petrillo, A. Radiological assessment of anal cancer: An overview and update. Infect. Agents Cancer 2016, 11, 1–9. [Google Scholar] [CrossRef]
- Beets-Tan, R.G.H.; Beets, G.L. Rectal Cancer: Review with Emphasis on MR Imaging. Radiology 2004, 232, 335–346. [Google Scholar] [CrossRef]
- Brown, G.; Richards, C.J.; Newcombe, R.; Dallimore, N.S.; Radcliffe, A.G.; Carey, D.P.; Bourne, M.W.; Williams, G. Rectal Carcinoma: Thin-Section MR Imaging for Staging in 28 Patients. Radiology 1999, 211, 215–222. [Google Scholar] [CrossRef] [PubMed]
- Gagliardi, G.; Bayar, S.; Smith, R.; Salem, R.R. Preoperative Staging of Rectal Cancer Using Magnetic Resonance Imaging with External Phase-Arrayed Coils. Arch. Surg. 2002, 137, 447–451. [Google Scholar] [CrossRef] [PubMed]
- Blomqvist, L.; Machado, M.; Rubio, C.; Gabrielsson, N.; Granqvist, S.; Goldman, S.; Holm, T. Rectal tumour staging MR imaging using pelvic phased-array and endorectal coils vs endoscopic ultrasonography. Eur. Radiol. 2000, 10, 653–660. [Google Scholar] [CrossRef] [PubMed]
- Sebastian, S.; Neilaj, S. Practical guidance for the management of inflammatory bowel disease in patients with cancer. Which treatment? Ther. Adv. Gastroenterol. 2019, 12. [Google Scholar] [CrossRef]
- Beaugerie, L. Inflammatory bowel disease therapies and cancer risk: Where are we and where are we going? Gut 2011, 61, 476–483. [Google Scholar] [CrossRef]
- Shu, X.; Ji, J.; Sundquist, J.; Sundquist, K.; Hemminki, K. Survival in cancer patients hospitalized for inflammatory bowel disease in Sweden. Inflamm. Bowel Dis. 2011, 17, 816–822. [Google Scholar] [CrossRef]
- Sgaard, K.K.; Cronin-Fenton, D.P.; Pedersen, L.; Srensen, H.T.; Lash, T.L. Survival in Danish patients with breast cancer and inflammatory bowel disease: A nationwide cohort study. Inflamm. Bowel Dis. 2008, 14, 519–525. [Google Scholar] [CrossRef]
- Kiran, R.P.; Khoury, W.; Church, J.M.; Lavery, I.C.; Fazio, V.W.; Remzi, F.H. Colorectal Cancer Complicating Inflammatory Bowel Disease. Ann. Surg. 2010, 252, 330–335. [Google Scholar] [CrossRef]
- White, E.; Murphy, J.D.; Chang, D.T.; Koong, A.C. Low Toxicity in Inflammatory Bowel Disease Patients Treated with Abdominal and Pelvic Radiation Therapy. Am. J. Clin. Oncol. 2015, 38, 564–569. [Google Scholar] [CrossRef]
- el Mourabet, M.; Hashash, J.G.; Sun, N.H.; Issa, M.; Katz, J.A.; Regueiro, M.; Barrie, A.M.; Baidoo, L.; Schwartz, M.B.; Swoger, J.M.; et al. Clinical course of Crohn’s disease following treatment of lymphoma. Inflamm. Bowel Dis. 2011, 17, 1265–1269. [Google Scholar] [CrossRef]
- Bernheim, O.; Colombel, J.-F.; Ullman, T.A.; Laharie, D.; Beaugerie, L.; Itzkowitz, S.H. The management of immunosuppression in patients with inflammatory bowel disease and cancer. Gut 2013, 62, 1523–1528. [Google Scholar] [CrossRef]
- Brown, E.R.; Charles, K.A.; Hoare, S.A.; Rye, R.L.; Jodrell, D.I.; Aird, R.E.; Vora, R.; Prabhakar, U.; Nakada, M.; Corringham, R.E.; et al. A clinical study assessing the tolerability and biological effects of infliximab, a TNF-α inhibitor, in patients with advanced cancer. Ann. Oncol. 2008, 19, 1340–1346. [Google Scholar] [CrossRef]
- Wiedenmann, B.; Malfertheiner, P.; Friess, H.; Ritch, P.; Arseneau, J.; Mantovani, G.; Caprioni, F.; van Cutsem, E.; Richel, D.; Dewitte, M.; et al. A multicenter, phase II study of infliximab plus gemcitabine in pancreatic cancer cachexia. J. Support. Oncol. 2008, 6, 18–25. [Google Scholar] [PubMed]
- Abu-Sbeih, H.; Wang, Y. Management Considerations fo, Immune Checkpoint Inhibitor–Induced Enterocolitis Based on Management of Inflammatory Bowel Disease. Inflamm. Bowel Dis. 2020, 26, 662–668. [Google Scholar] [CrossRef] [PubMed]
- Naito, A.; Mizusima, T.; Takeyama, H.; Sakai, D.; Uemura, M.; Kudo, T.; Nishimura, J.; Shinzaki, S.; Hata, T.; Sato, T.; et al. Feasibility of Chemotherapy in Patients with Inflammatory Bowel Disease-Related Gastrointestinal Cancer. Hepatogastroenterology 2014, 61, 942–946. [Google Scholar]
- Green, S.; Stock, R.G.; Greenstein, A.J. Rectal cancer and inflammatory bowel disease: Natural history and implications for radiation therapy. Int. J. Radiat. Oncol. 1999, 44, 835–840. [Google Scholar] [CrossRef]
- Willett, C.G.; Ooi, C.-J.; Zietman, A.L.; Menon, V.; Goldberg, S.; Sands, B.E.; Podolsky, D.K. Acute and late toxicity of patients with inflammatory bowel disease undergoing irradiation for abdominal and pelvic neoplasms. Int. J. Radiat. Oncol. 2000, 46, 995–998. [Google Scholar] [CrossRef]
- Song, D.Y.; Lawrie, W.; Abrams, R.A.; Kafonek, D.R.; Bayless, T.M.; Welsh, J.S.; Deweese, T.L. Acute and late radiotherapy toxicity in patients with inflammatory bowel disease. Int. J. Radiat. Oncol. 2001, 51, 455–459. [Google Scholar] [CrossRef]
- Lin, D.; Lehrer, E.J.; Rosenberg, J.; Trifiletti, D.M.; Zaorsky, N.G. Toxicity after radiotherapy in patients with historically accepted contraindications to treatment (CONTRAD): An international systematic review and meta-analysis. Radiother. Oncol. 2019, 135, 147–152. [Google Scholar] [CrossRef]
- Penn, I. The effect of immunosuppression on pre-existing cancers. Transplantation 1993, 55, 742–747. [Google Scholar] [CrossRef]
- Penn, I. Evaluation of transplant candidates with pre-existing malignancies. Ann. Transplant. 1997, 2, 14–17. [Google Scholar] [PubMed]
- Shelton, E.; Laharie, D.; Scott, F.I.; Mamtani, R.; Lewis, J.D.; Colombel, J.-F.; Ananthakrishnan, A.N. Cancer Recurrence Following Immune-Suppressive Therapies in Patients with Immune-Mediated Diseases: A Systematic Review and Meta-analysis. Gastroenterol. 2016, 151, 97–109.e4. [Google Scholar] [CrossRef] [PubMed]
- Vedamurthy, A.; Gangasani, N.; Ananthakrishnan, A.N. Vedolizumab or Tumor Necrosis Factor Antagonist Use and Risk of New or Recurrent Cancer in Patients with Inflammatory Bowel Disease with Prior Malignancy: A Retrospective Cohort Study. Clin. Gastroenterol. Hepatol. 2020. [Google Scholar] [CrossRef] [PubMed]
- Bemelman, W.A.; Warusavitarne, J.; Sampietro, G.M.; Serclova, Z.; Zmora, O.; Luglio, G.; Overstraeten, A.D.B.V.; Burke, J.P.; Buskens, C.J.; Francesco, C.; et al. ECCO-ESCP Consensus on Surgery for Crohn’s Disease. J. Crohn’s Coliti 2017, 12, 1–16. [Google Scholar] [CrossRef] [PubMed]
- Lightner, A.L.; Vogel, J.D.; Carmichael, J.C.; Keller, D.S.; Shah, S.A.; Mahadevan, U.; Kane, S.V.; Paquette, I.M.; Steele, S.R.; Feingold, D.L. The American Society of Colon and Rectal Surgeons Clinical Practice Guidelines for the Surgical Management of Crohn’s Disease. Dis. Colon Rectum 2020, 63, 1028–1052. [Google Scholar] [CrossRef]
- Connelly, T.M.; Koltun, W.A. The surgical treatment of inflammatory bowel disease-associated dysplasia. Expert Rev. Gastroenterol. Hepatol. 2013, 7, 307–322. [Google Scholar] [CrossRef]
- Kristo, I.; Stift, A.; Bergmann, M.; Riss, S. Surgical recurrence in Crohn’s disease: Are we getting better? World J. Gastroenterol. 2015, 21, 6097. [Google Scholar] [CrossRef]
- Bernell, O.; Lapidus, A.; Hellers, G. Risk factors for surgery and recurrence in 907 patients with primary ileocaecal Crohn’s disease. BJS 2000, 87, 1697–1701. [Google Scholar] [CrossRef]
- Maser, E.; Kruse, D.; Harpaz, N.; Bauer, J.J.; Sachar, D.B.; Ullman, T. High Rates of Metachronous Colon Cancer or Dysplasia After Segmental Resection or Subtotal Colectomy in Crohnʼs Colitis. Inflamm. Bowel Dis. 2013, 19, 1. [Google Scholar] [CrossRef]
- Ribeiro, M.B.; Greenstein, A.J.; Sachar, D.B.; Barth, J.; Balasubramanian, S.; Harpaz, N.; Heimann, T.M.; Aufses, A.H. Colorectal Adenocarcinoma in Crohn’s Disease. Ann. Surg. 1996, 223, 186–193. [Google Scholar] [CrossRef]
- Nebbia, M.; Yassin, N.A.; Spinelli, A. Colorectal Cancer in Inflammatory Bowel Disease. Clin. Colon Rectal Surg. 2020. [Google Scholar] [CrossRef] [PubMed]
- Lindberg, J.; Stenling, R.; Palmqvist, R.; Rutegard, J. Surgery for neoplastic changes in ulcerative colitis—Can limited resection be justified? Outcome for patients who underwent limited surgery. Color. Dis. 2006, 8, 551–556. [Google Scholar] [CrossRef] [PubMed]
- Polle, S.W.; Slors, J.F.M.; Weverling, G.J.; Gouma, D.J.; Hommes, D.W.; Bemelman, W.A. Recurrence after segmental resection for colonic Crohn’s disease. BJS 2005, 92, 1143–1149. [Google Scholar] [CrossRef] [PubMed]
- Kiran, R.P.; Nisar, P.J.; Goldblum, J.R.; Fazio, V.W.; Remzi, F.H.; Shen, B.; Lavery, I.C. Dysplasia Associated with Crohnʼs Colitis. Ann. Surg. 2012, 256, 221–226. [Google Scholar] [CrossRef]
- Gionchetti, P.; Dignass, A.; Danese, S.; Dias, F.J.M.; Rogler, G.; Lakatos, P.L.; Adamina, M.; Ardizzone, S.; Buskens, C.J.; Sebastian, S.; et al. 3rd European Evidence-based Consensus on the Diagnosis and Management of Crohn’s Disease 2016: Part 2: Surgical Management and Special Situations. J. Crohn’s Coliti 2017, 11, 135–149. [Google Scholar] [CrossRef]
- Melton, G.B.; Fazio, V.W.; Kiran, R.P.; He, J.; Lavery, I.C.; Shen, B.; Achkar, J.-P.; Church, J.M.; Remzi, F.H. Long-Term Outcomes with Ileal Pouch-Anal Anastomosis and Crohnʼs Disease. Trans. Meet. Am. Surg. Assoc. 2008, 126, 251–259. [Google Scholar] [CrossRef]
- Joyce, M.; Fazio, V.W. Can Ileal Pouch Anal Anastomosis Be Used in Crohn’s Disease? Adv. Surg. 2009, 43, 111–137. [Google Scholar] [CrossRef]
- Fazio, V.W.; Kiran, R.P.; Remzi, F.H.; Coffey, J.C.; Heneghan, H.M.; Kirat, H.T.; Manilich, E.; Shen, B.; Martin, S.T. Ileal Pouch Anal Anastomosis. Ann. Surg. 2013, 257, 679–685. [Google Scholar] [CrossRef]
- Lightner, A.L.; Pemberton, J.H.; Loftus, E.V. Crohnʼs Disease of the Ileoanal Pouch. Inflamm. Bowel Dis. 2016, 22, 1502–1508. [Google Scholar] [CrossRef]
- Brown, C.J.; MacLean, A.R.; Cohen, Z.; Macrae, H.M.; O’Connor, B.I.; McLeod, R.S. Crohn’s Disease and Indeterminate Colitis and the Ileal Pouch-Anal Anastomosis: Outcomes and Patterns of Failure. Dis. Colon Rectum 2005, 48, 1542–1549. [Google Scholar] [CrossRef]
- Panis, Y.; Poupard, B.; Hautefeuille, P.; Valleur, P.; Nemeth, J.; Lavergne, A. Ileal pouch/anal anastomosis for Crohn’s disease. Lancet 1996, 347, 854–857. [Google Scholar] [CrossRef]
- Braveman, J.M.; Schoetz, D.J.; Marcello, P.W.; Roberts, P.L.; Coller, J.A.; Murray, J.J.; Rusin, L.C. The Fate of the Ileal Pouch in Patients Developing Crohn’s Disease. Dis. Colon Rectum 2004, 47, 1613–1619. [Google Scholar] [CrossRef] [PubMed]
- Mandel, D.; Zaghiyan, K.; Fleshner, P. P451 Long-term surgical outcome of ileal pouch-anal anastomosis when used for well-defined Crohn’s disease. J. Crohn’s Coliti 2018, 12, S332. [Google Scholar] [CrossRef][Green Version]
- Tekkis, P.P.; Heriot, A.G.; Smith, O.; Smith, J.J.; Windsor, A.C.J.; Nicholls, R.J. Long-term outcomes of restorative proctocolectomy for Crohn’s disease and indeterminate colitis. Color. Dis. 2005, 7, 218–223. [Google Scholar] [CrossRef] [PubMed]
- Cornish, J.A.; Tan, E.; Teare, J.; Teoh, T.G.; Rai, R.; Darzi, A.W.; Paraskevas, P.; Clark, S.K.; Tekkis, P.P. The Effect of Restorative Proctocolectomy on Sexual Function, Urinary Function, Fertility, Pregnancy and Delivery: A Systematic Review. Dis. Colon Rectum 2007, 50, 1128–1138. [Google Scholar] [CrossRef]
- Cornish, J.A.; Wooding, K.; Tan, E.; Nicholls, R.J.; Clark, S.K.; Tekkis, P.P. Study of sexual, urinary, and fecal function in females following restorative proctocolectomy. Inflamm. Bowel Dis. 2012, 18, 1601–1607. [Google Scholar] [CrossRef]
- Adamina, M.; Bonovas, S.; Raine, T.; Spinelli, A.; Warusavitarne, J.; Armuzzi, A.; Bachmann, O.; Bager, P.; Biancone, L.; Bokemeyer, B.; et al. ECCO Guidelines on Therapeutics in Crohn’s Disease: Surgical Treatment. J. Crohn’s Coliti 2019, 14, 155–168. [Google Scholar] [CrossRef]
- Johnston, W.F.; Stafford, C.; Francone, T.D.; Read, T.E.; Marcello, P.W.; Roberts, P.L.; Ricciardi, R. What Is the Risk of Anastomotic Leak After Repeat Intestinal Resection in Patients with Crohn’s Disease? Dis. Colon Rectum 2017, 60, 1299–1306. [Google Scholar] [CrossRef]
- Shibuya, K.; Homma, S.; Yoshida, T.; Ohno, Y.; Ichikawa, N.; Kawamura, H.; Imamoto, T.; Matsuno, Y.; Taketomi, A. Carcinoma in the residual rectum of a long-standing Crohn’s disease patient following subtotal colectomy: A case report. Mol. Clin. Oncol. 2018, 9, 50–53. [Google Scholar] [CrossRef]
- Cairns, S.R.; Scholefield, J.H.; Steele, R.J.; Dunlop, M.G.; Thomas, H.J.W.; Evans, G.D.; Eaden, J.A.; Rutter, M.D.; Atkin, W.P.; Saunders, B.P.; et al. Guidelines for colorectal cancer screening and surveillance in moderate and high risk groups (update from 2002). Gut 2010, 59, 666–689. [Google Scholar] [CrossRef]
- Yamamoto, T.; Keighley, M.R. Fate of the Rectum and Ileal Recurrence Rates after Total Colectomy for Crohn’s Disease. World J. Surg. 2000, 24, 125–129. [Google Scholar] [CrossRef] [PubMed]
- Derikx, L.A.; Nissen, L.H.; Smits, L.J.; Shen, B.; Hoentjen, F.; Information, P.E.K.F.C. Risk of Neoplasia After Colectomy in Patients with Inflammatory Bowel Disease: A Systematic Review and Meta-analysis. Clin. Gastroenterol. Hepatol. 2016, 14, 798–806.e20. [Google Scholar] [CrossRef] [PubMed]
- Hove, J.R.T.; Bogaerts, J.M.K.; Bak, M.T.J.; Laclé, M.M.; Meij, V.; Derikx, L.A.; Hoentjen, F.; Mahmmod, N.; van Tuyl, S.; Oldenburg, B. Malignant and Nonmalignant Complications of the Rectal Stump in Patients with Inflammatory Bowel Disease. Inflamm. Bowel Dis. 2018, 25, 377–384. [Google Scholar] [CrossRef] [PubMed]
- Angriman, I.; Pirozzolo, G.; Bardini, R.; Cavallin, F.; Castoro, C.; Scarpa, M. A systematic review of segmental vs subtotal colectomy and subtotal colectomy vs total proctocolectomy for colonic Crohn’s disease. Color. Dis. 2017, 19, e279–e287. [Google Scholar] [CrossRef] [PubMed]
- Warren, R.; Barwick, K.W. Crohn’s colitis with carcinoma and dysplasia. Am. J. Surg. Pathol. 1983, 7, 151–160. [Google Scholar] [CrossRef]
- Korelitz, B.; Lauwers, G.Y.; Sommers, S.C. Rectal mucosal dysplasia in Crohn’s disease. Gut 1990, 31, 1382–1386. [Google Scholar] [CrossRef][Green Version]
- Bergeron, V.; Vienne, A.; Sokol, H.; Seksik, P.; Nion-Larmurier, I.; Ruskone-Fourmestraux, A.; Svrcek, M.; Beaugerie, L.; Cosnes, J. Risk Factors for Neoplasia in Inflammatory Bowel Disease Patients with Pancolitis. Am. J. Gastroenterol. 2010, 105, 2405–2411. [Google Scholar] [CrossRef]
- Friedman, S.; Rubin, P.H.; Bodian, C.; Harpaz, N.; Present, D.H. Screening and Surveillance Colonoscopy in Chronic Crohn’s Colitis: Results of a Surveillance Program Spanning 25 Years. Clin. Gastroenterol. Hepatol. 2008, 6, 993–998. [Google Scholar] [CrossRef]
- Hamilton, S.R. Colorectal carcinoma in patients with Crohn’s Disease. Gastroenterology 1985, 89, 398–407. [Google Scholar] [CrossRef]
- Svrcek, M.; Cosnes, J.; Beaugerie, L.; Parc, R.; Bennis, M.; Tiret, E.; Fléjou, J.-F. Colorectal neoplasia in Crohn’s colitis: A retrospective comparative study with ulcerative colitis. Histopathology 2007, 50, 574–583. [Google Scholar] [CrossRef]
- Øresland, T.; Bemelman, W.A.; Sampietro, G.M.; Spinelli, A.; Windsor, A.; Ferrante, M.; Marteau, P.; Zmora, O.; Kotze, P.G.; Espin-Basany, E.; et al. European evidence based consensus on surgery for ulcerative colitis. J. Crohn’s Coliti 2015, 9, 4–25. [Google Scholar] [CrossRef] [PubMed]
- Riddell, R.H.; Goldman, H.; Ransohoff, D.F.; Appelman, H.D.; Fenoglio, C.M.; Haggitt, R.C.; Hren, C.; Correa, P.; Hamilton, S.R.; Morson, B.C.; et al. Dysplasia in inflammatory bowel disease: Standardized classification with provisional clinical applications. Hum. Pathol. 1983, 14, 931–968. [Google Scholar] [CrossRef]
- Soetikno, R.; Subramanian, V.; Kaltenbach, T.; Rouse, R.V.; Sanduleanu, S.; Suzuki, N.; Tanaka, S.; McQuaid, K.R. The Detection of Nonpolypoid (Flat and Depressed) Colorectal Neoplasms in Patients with Inflammatory Bowel Disease. Gastroenterology 2013, 144, 1349–1352.e6. [Google Scholar] [CrossRef] [PubMed]
- Lam-Himlin, D.; Bhaijee, F.; Arnold, C.A. Classification and diagnosis of colorectal dysplasia in inflammatory bowel disease. Diagn. Histopathol. 2015, 21, 283–289. [Google Scholar] [CrossRef]
- Gulati, S.; Emmanuel, A.; Burt, M.; Dubois, P.; Hayee, B.; Haji, A. Outcomes of Endoscopic Resections of Large Laterally Spreading Colorectal Lesions in Inflammatory Bowel Disease: A Single United Kingdom Center Experience. Inflamm. Bowel Dis. 2018, 24, 1196–1203. [Google Scholar] [CrossRef]
- Shergill, A.K.; Lightdale, J.R.; Bruining, D.H.; Acosta, R.D.; Chandrasekhara, V.; Chathadi, K.V.; Decker, G.A.; Early, D.S.; Evans, J.A.; Fanelli, R.D.; et al. The role of endoscopy in inflammatory bowel disease. Gastrointest. Endosc. 2015, 81, 1101–1121.e13. [Google Scholar] [CrossRef]
- Kulaylat, M.N.; Dayton, M.T. Ulcerative colitis and cancer. J. Surg. Oncol. 2010, 101, 706–712. [Google Scholar] [CrossRef]
- Samadder, N.J.; Valentine, J.F.; Guthery, S.; Singh, H.; Bernstein, C.N.; Leighton, J.A.; Wan, Y.; Wong, J.; Boucher, K.; Pappas, L.; et al. Family History Associates with Increased Risk of Colorectal Cancer in Patients with Inflammatory Bowel Diseases. Clin. Gastroenterol. Hepatol. 2019, 17, 1807–1813.e1. [Google Scholar] [CrossRef]
- Itzkowitz, S.H.; Harpaz, N. Diagnosis and management of dysplasia in patients with inflammatory bowel diseases. Gastroenterology 2004, 126, 1634–1648. [Google Scholar] [CrossRef]
- Ullman, T.; Croog, V.; Harpaz, N.; Sachar, D.; Itzkowitz, S. Progression of flat low-grade dysplasia to advanced neoplasia in patients with ulcerative colitis. Gastroenterology 2003, 125, 1311–1319. [Google Scholar] [CrossRef]
- Widmar, M.; Greenstein, A.J.; Sachar, D.B.; Harpaz, N.; Bauer, J.J.; Greenstein, A.J. Small Bowel Adenocarcinoma in Crohn’s Disease. J. Gastrointest. Surg. 2011, 15, 797–802. [Google Scholar] [CrossRef] [PubMed]
- Fleming, K.; Pollock, A.C.; Lennard-Jones, J.; Ritchie, J.K.; Hilder, W.; Spicer, C.C. A case of ’Crohn’s carcinoma. Gut 1975, 16, 533–537. [Google Scholar] [CrossRef] [PubMed]
- Wyatt, A.P. Regional enteritis leading to carcinoma of the small bowel. Gut 1969, 10, 924–927. [Google Scholar] [CrossRef] [PubMed][Green Version]
- Wong, S.L.; Ji, H.; Hollenbeck, B.K.; Morris, A.M.; Baser, O.; Birkmeyer, J.D. Hospital Lymph Node Examination Rates and Survival After Resection for Colon Cancer. JAMA 2007, 298, 2149–2154. [Google Scholar] [CrossRef]
- Nicholl, M.B.; Ahuja, V.; Conway, W.C.; Vu, V.D.; Sim, M.-S.; Gagandeep, S. Small Bowel Adenocarcinoma: Understaged and Undertreated? Ann. Surg. Oncol. 2010, 17, 2728–2732. [Google Scholar] [CrossRef]
- Lowell, J.A.; Rossi, R.L.; Munson, J.L.; Braasch, J.W. Primary Adenocarcinoma of Third and Fourth Portions of Duodenum. Arch. Surg. 1992, 127, 557–560. [Google Scholar] [CrossRef]
- Abrahams, N.A.; Halverson, A.; Fazio, V.W.; Rybicki, L.A.; Goldblum, J.R. Adenocarcinoma of the Small Bowel. Dis. Colon Rectum 2002, 45, 1496–1502. [Google Scholar] [CrossRef]
- Nigro, N.D.; Vaitkevicius, V.K.; Considine, B. Combined therapy for cancer of the anal canal. Dis. Colon Rectum 1974, 17, 354–356. [Google Scholar] [CrossRef]
- Glynne-Jones, R.; Nilsson, P.J.; Aschele, C.; Goh, V.; Peiffert, D.; Cervantes, A.; Arnold, D. Anal cancer: ESMO-ESSO-ESTRO clinical practice guidelines for diagnosis, treatment and follow-up. Eur. J. Surg. Oncol. 2014, 23, 3613–3623. [Google Scholar]
- Ryan, D.P.; Mayer, R.J. Anal carcinoma: Histology, staging, epidemiology, treatment. Curr. Opin. Oncol. 2000, 12, 345–352. [Google Scholar] [CrossRef]
- Buroker, T.R.; Nigro, N.; Bradley, G.; Pelok, L.; Chomchai, C.; Considine, B.; Vaitkevicius, V.K. Combined therapy for cancer of the anal canal. Dis. Colon Rectum 1977, 20, 677–678. [Google Scholar] [CrossRef] [PubMed]
- Nigro, N.D.; Vaitkevicius, V.K.; Buroker, T.; Bradley, G.T.; Considine, B. Combined therapy for cancer of the anal canal. Dis. Colon Rectum 1981, 24, 73–75. [Google Scholar] [CrossRef] [PubMed]
- Cummings, B.; Keane, T.; O’Sullivan, B.; Wong, C.; Catton, C. Epidermoid anal cancer: Treatment by radiation alone or by radiation and 5-fluorouracil with and without mitomycin C. Int. J. Radiat. Oncol. 1991, 21, 1115–1125. [Google Scholar] [CrossRef]
- Raffetto, N.; Monaco, A.; Banelli, E. Radiotherapy and chemotherapy in the conservative treatment of anal canal carcinoma. Anticancer. Res. 2008, 28, 1335–1339. [Google Scholar]
- Arnott, S.; Cunningham, D.; Gallagher, J.; Gray, R.; Hardcastle, J.; Houghton, J.; James, R.; Lennon, T.; Meadows, H.; Mossman, J.; et al. Epidermoid anal cancer: Results from the UKCCCR randomised trial of radiotherapy alone versus radiotherapy, 5-fluorouracil, and mitomycin. Lancet 1996, 348, 1049–1054. [Google Scholar] [CrossRef]
- Flam, M.; John, M.; Pajak, T.F.; Petrelli, N.; Myerson, R.; Doggett, S.; Quivey, J.; Rotman, M.; Kerman, H.; Coia, L.; et al. Role of mitomycin in combination with fluorouracil and radiotherapy, and of salvage chemoradiation in the definitive nonsurgical treatment of epidermoid carcinoma of the anal canal: Results of a phase III randomized intergroup study. J. Clin. Oncol. 1996, 14, 2527–2539. [Google Scholar] [CrossRef]
- Bartelink, H.; Roelofsen, F.; Eschwege, F.; Rougier, P.; Bosset, J.F.; Gonzalez, D.G.; Peiffert, D.; van Glabbeke, M.; Pierart, M. Concomitant radiotherapy and chemotherapy is superior to radiotherapy alone in the treatment of locally advanced anal cancer: Results of a phase III randomized trial of the European Organization for Research and Treatment of Cancer Radiotherapy and Gastrointestinal Cooperative Groups. J. Clin. Oncol. 1997, 15, 2040–2049. [Google Scholar] [CrossRef]
- Benson, A.B.; Al-Hawary, M.M.; Arain, M.A.; Chen, Y.-J.; Ciombor, K.K.; Cohen, S.; Deming, D.; Garrido-Laguna, I.; Grem, J.L. NCCN Guidelines Version 2.2020 Anal Carcinoma Continue NCCN Guidelines Panel Disclosures; National Comprehensive Cancer Network: Plymouth Meeting, PA, USA, 2020. [Google Scholar]
- Roohipour, R.; Patil, S.; Goodman, K.A.; Minsky, B.D.; Wong, W.D.; Guillem, J.G.; Paty, P.B.; Weiser, M.R.; Neuman, H.B.; Shia, J.; et al. Squamous-cell Carcinoma of the Anal Canal: Predictors of Treatment Outcome. Dis. Colon Rectum 2008, 51, 147–153. [Google Scholar] [CrossRef]
- Lavery, I.C.; Jagelman, D.G. Cancer in the excluded rectum following surgery for inflammatory bowel disease. Dis. Colon Rectum 1982, 25, 522–524. [Google Scholar] [CrossRef]
- Yamamoto, T.; Allan, R.N.; Keighley, M.R. Effect of Fecal Diversion Alone on Perianal Crohn’s Disease. World J. Surg. 2000, 24, 1258–1263. [Google Scholar] [CrossRef]
- Leung, G.; Papademetriou, M.; Chang, S.; Arena, F.P.; Katz, S. Interactions Between Inflammatory Bowel Disease Drugs and Chemotherapy. Curr. Treat. Options Gastroenterol. 2016, 14, 507–534. [Google Scholar] [CrossRef] [PubMed]
- Axelrad, J.; Kriplani, A.; Ozbek, U.; Harpaz, N.; Colombel, J.-F.; Itzkowitz, S.; Holcombe, R.F.; Ang, C. Chemotherapy Tolerance and Oncologic Outcomes in Patients with Colorectal Cancer with and Without Inflammatory Bowel Disease. Clin. Color. Cancer 2017, 16, e205–e210. [Google Scholar] [CrossRef] [PubMed]
- Slørdal, L.; Spigset, O. Heart Failure Induced by Non-Cardiac Drugs. Drug Saf. 2006, 29, 567–586. [Google Scholar] [CrossRef] [PubMed]
- Weimer, L.H.; Sachdev, N. Update on medication-induced peripheral neuropathy. Curr. Neurol. Neurosci. Rep. 2008, 9, 69–75. [Google Scholar] [CrossRef] [PubMed]
- Goessling, W.; Mayer, R.J. Systemic Treatment of Patients Who Have Colorectal Cancer and Inflammatory Bowel Disease. Gastroenterol. Clin. N. Am. 2006, 35, 713–727. [Google Scholar] [CrossRef] [PubMed]
- Tiersten, A.; Saltz, L. Influence of inflammatory bowel disease on the ability of patients to tolerate systemic fluorouracil-based chemotherapy. J. Clin. Oncol. 1996, 14, 2043–2046. [Google Scholar] [CrossRef]
- Cremolini, C.; Antoniotti, C.; Lonardi, S.; Aprile, G.; Bergamo, F.; Masi, G.; Grande, R.; Tonini, G.; Mescoli, C.; Cardellino, G.G.; et al. Activity and Safety of Cetuximab Plus Modified FOLFOXIRI Followed by Maintenance with Cetuximab or Bevacizumab for RAS and BRAF Wild-type Metastatic Colorectal Cancer. JAMA Oncol. 2018, 4, 529–536. [Google Scholar] [CrossRef] [PubMed]
- André, T.; Shiu, K.-K.; Kim, T.W.; Jensen, B.V.; Jensen, L.H.; Punt, C.; Smith, D.; Garcia-Carbonero, R.; Benavides, M.; Gibbs, P.; et al. Pembrolizumab in Microsatellite-Instability–High Advanced Colorectal Cancer. N. Engl. J. Med. 2020, 383, 2207–2218. [Google Scholar] [CrossRef]
- Overman, M.J.; McDermott, R.; Leach, J.L.; Lonardi, S.; Lenz, H.-J.; Morse, M.A.; Desai, J.; Hill, A.; Axelson, M.; Moss, R.A.; et al. Nivolumab in patients with metastatic DNA mismatch repair-deficient or microsatellite instability-high colorectal cancer (CheckMate 142): An open-label, multicentre, phase 2 study. Lancet Oncol. 2017, 18, 1182–1191. [Google Scholar] [CrossRef]
- Koc-Özgür, M.; van Kampen, R.J.W.; van Bodegraven, A. Cancer-Associated Chemotherapy Induces Less IBD Exacerbations and a Reduction of IBD Medication Afterwards. Inflamm. Bowel Dis. 2018, 24, 1606–1611. [Google Scholar] [CrossRef]
- Rajkomar, A.; Dean, J.; Kohane, I. Machine Learning in Medicine. New Engl. J. Med. 2019, 380, 1347–1358. [Google Scholar] [CrossRef] [PubMed]
- Mascagni, P.; Vardazaryan, A.; Alapatt, D.; Urade, T.; Emre, T.; Fiorillo, C.; Pessaux, P.; Mutter, D.; Marescaux, J.; Costamagna, G.; et al. Artificial Intelligence for Surgical Safety. Ann. Surg. 2020. [Google Scholar] [CrossRef] [PubMed]
- Mascagni, P.; Fiorillo, C.; Urade, T.; Emre, T.; Yu, T.; Wakabayashi, T.; Felli, E.; Perretta, S.; Swanstrom, L.; Mutter, D.; et al. Formalizing video documentation of the Critical View of Safety in laparoscopic cholecystectomy: A step towards artificial intelligence assistance to improve surgical safety. Surg. Endosc. 2019, 34, 2709–2714. [Google Scholar] [CrossRef] [PubMed]
- Kohli, A.; Holzwanger, E.; Levy, A.N. Emerging use of artificial intelligence in inflammatory bowel disease. World J. Gastroenterol. 2020, 26, 6923–6928. [Google Scholar] [CrossRef]
- Sofo, L.; Caprino, P.; Schena, C.; Sacchetti, F.; Potenza, A.; Ciociola, A. New perspectives in the prediction of postoperative complications for high-risk ulcerative colitis patients: Machine learning preliminary approach. Eur. Rev. Med. Pharmacol. Sci 2020, 24, 12781–12787. [Google Scholar]
- Bihorac, A.; Ozrazgat-Baslanti, T.; Ebadi, A.; Motaei, A.; Madkour, M.; Pardalos, P.M.; Lipori, G.; Hogan, W.R.; Efron, P.A.; Moore, F.; et al. My Surgery Risk. Ann. Surg. 2019, 269, 652–662. [Google Scholar] [CrossRef]
- Waljee, A.K.; Joyce, J.C.; Wang, S.; Saxena, A.; Hart, M.; Zhu, J.; Higgins, P.D.R. Algorithms Outperform Metabolite Tests in Predicting Response of Patients with Inflammatory Bowel Disease to Thiopurines. Clin. Gastroenterol. Hepatol. 2010, 8, 143–150. [Google Scholar] [CrossRef]
- Waljee, A.K.; Liu, B.; Sauder, K.; Zhu, J.; Govani, S.M.; Stidham, R.W.; Higgins, P.D.R. Predicting corticosteroid-free endoscopic remission with vedolizumab in ulcerative colitis. Aliment. Pharmacol. Ther. 2018, 47, 763–772. [Google Scholar] [CrossRef]
- Alagappan, M.; Brown, J.R.G.; Mori, Y.; Berzin, T.M. Artificial intelligence in gastrointestinal endoscopy: The future is almost here. World J. Gastrointest. Endosc. 2018, 10, 239–249. [Google Scholar] [CrossRef]
- Kudo, S.-E.; Mori, Y.; Misawa, M.; Takeda, K.; Kudo, T.; Itoh, H.; Oda, M.; Mori, K. Artificial intelligence and colonoscopy: Current status and future perspectives. Dig. Endosc. 2019, 31, 363–371. [Google Scholar] [CrossRef]
- Rees, C.J.; Koo, S. Artificial intelligence—Upping the game in gastrointestinal endoscopy? Nat. Rev. Gastroenterol. Hepatol. 2019, 16, 584–585. [Google Scholar] [CrossRef] [PubMed]
- Abadir, A.P.; Ali, M.F.; Karnes, W.; Samarasena, J. Artificial Intelligence in Gastrointestinal Endoscopy. Clin. Endosc. 2020, 53, 132–141. [Google Scholar] [CrossRef] [PubMed]
- Selaru, F.M.; Xu, Y.; Yin, J.; Zou, T.; Liu, T.C.; Mori, Y.; Abraham, J.M.; Sato, F.; Wang, S.; Twigg, C.; et al. Artificial neural networks distinguish among subtypes of neoplastic colorectal lesions. Gastroenterology 2002, 122, 606–613. [Google Scholar] [CrossRef] [PubMed]
- Caruso, R.; Lo, B.C.; Núñez, G. Host–microbiota interactions in inflammatory bowel disease. Nat. Rev. Immunol. 2020, 20, 411–426. [Google Scholar] [CrossRef]
- Tilg, H.; Adolph, T.E.; Gerner, R.R.; Moschen, A.R. The Intestinal Microbiota in Colorectal Cancer. Cancer Cell 2018, 33, 954–964. [Google Scholar] [CrossRef]
- Yu, L.C.-H. Microbiota dysbiosis and barrier dysfunction in inflammatory bowel disease and colorectal cancers: Exploring a common ground hypothesis. J. Biomed. Sci. 2018, 25, 1–14. [Google Scholar] [CrossRef]
- Shah, M.S.; de Santis, T.Z.; Weinmeier, T.; McMurdie, P.J.; Cope, J.; Altrichter, A.; Yamal, J.-M.; Hollister, E.B. Leveraging sequence-based faecal microbial community survey data to identify a composite biomarker for colorectal cancer. Gut 2017, 67, 882–891. [Google Scholar] [CrossRef]
- Moschen, A.R.; Gerner, R.R.; Wang, J.; Klepsch, V.; Adolph, T.E.; Reider, S.J.; Hackl, H.; Pfister, A.; Schilling, J.; Moser, P.L.; et al. Lipocalin 2 Protects from Inflammation and Tumorigenesis Associated with Gut Microbiota Alterations. Cell Host Microbe 2016, 19, 455–469. [Google Scholar] [CrossRef]
- Zhou, Y.-J.; Zhao, D.-D.; Liu, H.; Chen, H.-T.; Li, J.-J.; Mu, X.-Q.; Liu, Z.; Li, X.; Tang, L.; Zhao, Z.-Y.; et al. Cancer killers in the human gut microbiota: Diverse phylogeny and broad spectra. Oncotarget 2017, 8, 49574–49591. [Google Scholar] [CrossRef]
- Ma, W.; Mao, Q.; Xia, W.; Dong, G.; Yu, C.; Jiang, F. Gut Microbiota Shapes the Efficiency of Cancer Therapy. Front. Microbiol. 2019, 10, 1050. [Google Scholar] [CrossRef]




Publisher’s Note: MDPI stays neutral with regard to jurisdictional claims in published maps and institutional affiliations. |
© 2021 by the authors. Licensee MDPI, Basel, Switzerland. This article is an open access article distributed under the terms and conditions of the Creative Commons Attribution (CC BY) license (http://creativecommons.org/licenses/by/4.0/).
Share and Cite
Fiorillo, C.; Schena, C.A.; Quero, G.; Laterza, V.; Pugliese, D.; Privitera, G.; Rosa, F.; Schepis, T.; Salvatore, L.; Di Stefano, B.; et al. Challenges in Crohn’s Disease Management after Gastrointestinal Cancer Diagnosis. Cancers 2021, 13, 574. https://doi.org/10.3390/cancers13030574
Fiorillo C, Schena CA, Quero G, Laterza V, Pugliese D, Privitera G, Rosa F, Schepis T, Salvatore L, Di Stefano B, et al. Challenges in Crohn’s Disease Management after Gastrointestinal Cancer Diagnosis. Cancers. 2021; 13(3):574. https://doi.org/10.3390/cancers13030574
Chicago/Turabian StyleFiorillo, Claudio, Carlo Alberto Schena, Giuseppe Quero, Vito Laterza, Daniela Pugliese, Giuseppe Privitera, Fausto Rosa, Tommaso Schepis, Lisa Salvatore, Brunella Di Stefano, and et al. 2021. "Challenges in Crohn’s Disease Management after Gastrointestinal Cancer Diagnosis" Cancers 13, no. 3: 574. https://doi.org/10.3390/cancers13030574
APA StyleFiorillo, C., Schena, C. A., Quero, G., Laterza, V., Pugliese, D., Privitera, G., Rosa, F., Schepis, T., Salvatore, L., Di Stefano, B., Larosa, L., Minordi, L. M., Natale, L., Tortora, G., Armuzzi, A., & Alfieri, S. (2021). Challenges in Crohn’s Disease Management after Gastrointestinal Cancer Diagnosis. Cancers, 13(3), 574. https://doi.org/10.3390/cancers13030574

