How to Improve TRUS-Guided Target Biopsy following Prostate MRI
Abstract
Simple Summary
Abstract
1. Introduction
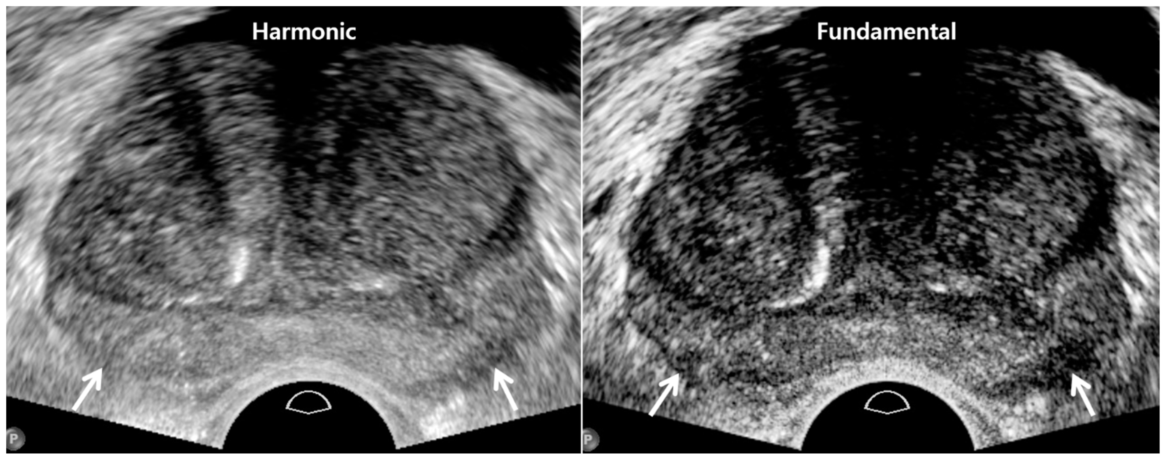
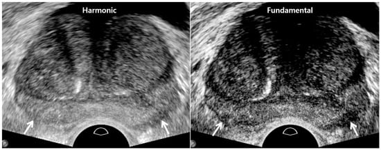
2. TRUS Imaging Protocols
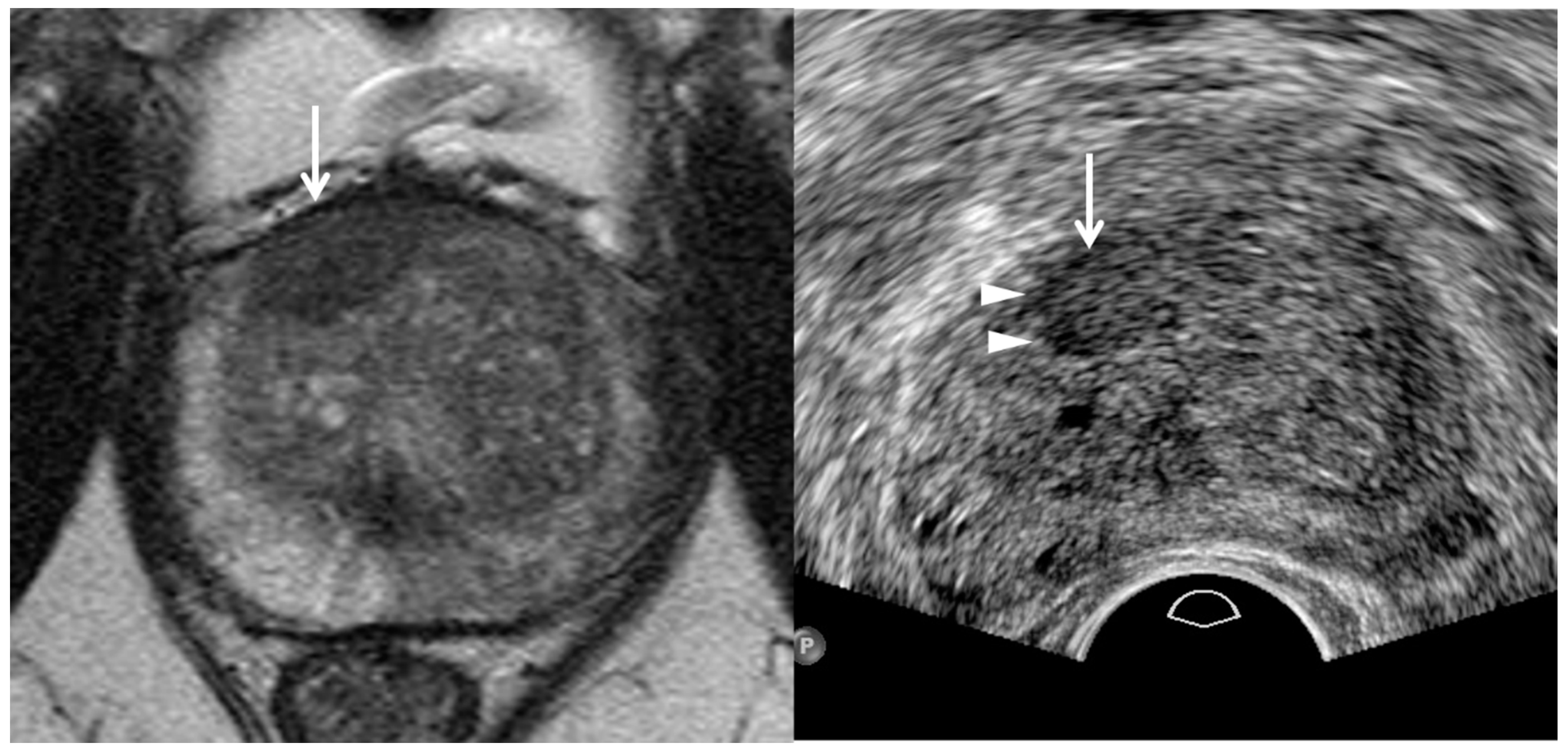
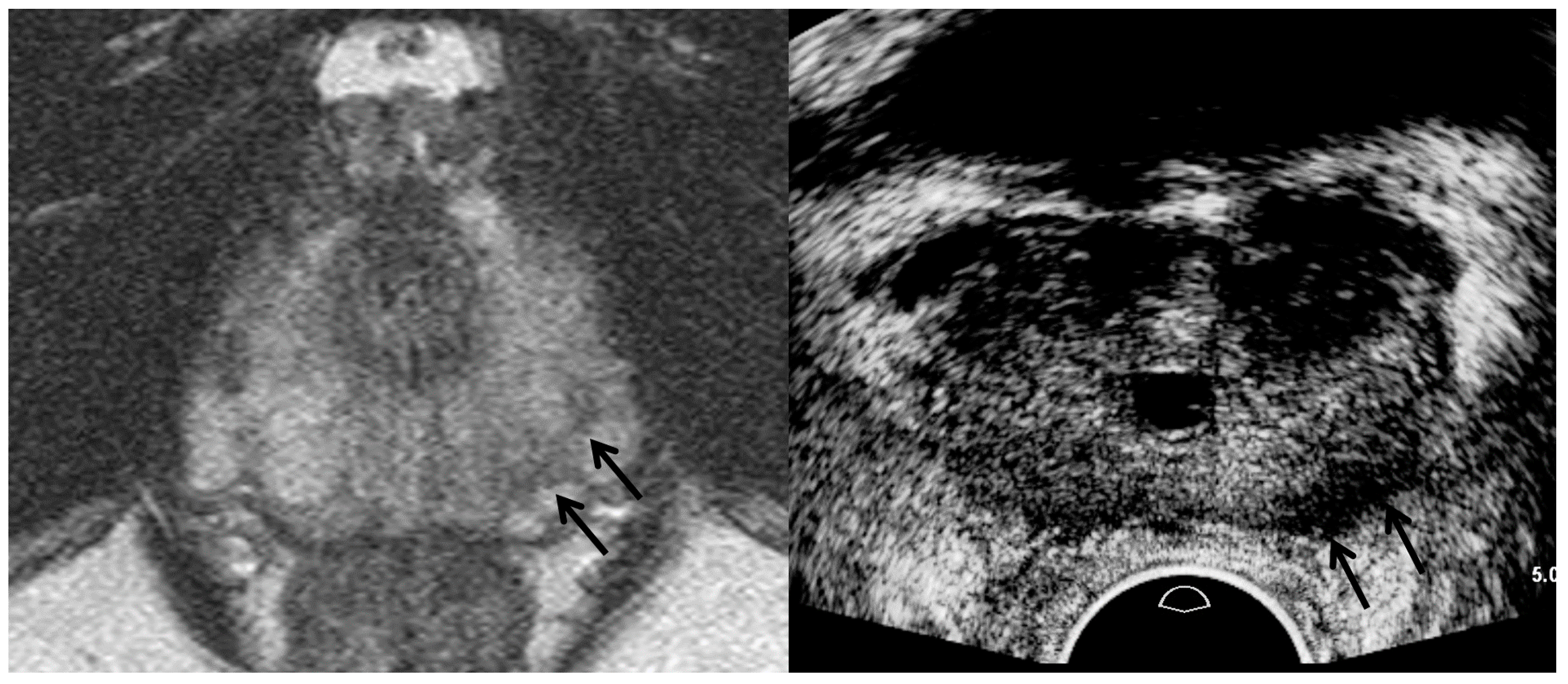
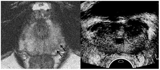
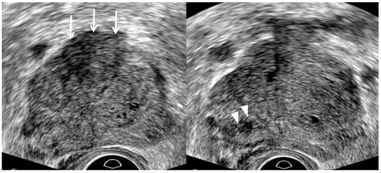
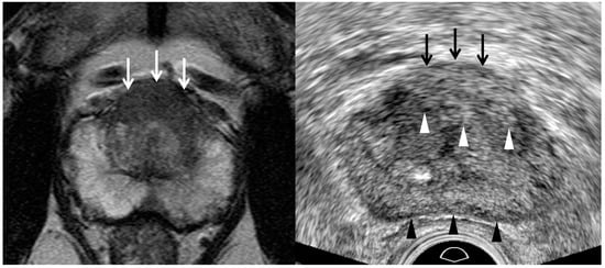
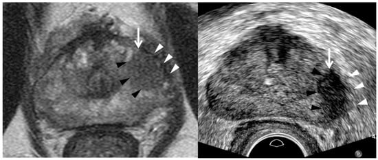
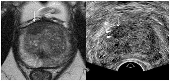
3. TRUS Imaging Features
4. TRUS Biopsy Techniques
5. Target Biopsy Techniques
6. Necessity of Systematic Biopsy
7. Cognitive Fusion Biopsy vs. Image Fusion Biopsy
8. Conclusions
Funding
Conflicts of Interest
References
- Naji, L.; Randhawa, H.; Sohani, Z.; Dennis, B.; Lautenbach, D.; Kavanagh, O.; Bawor, M.; Banfield, L.; Profetto, J. Digital Rectal Examination for Prostate Cancer Screening in Primary Care: A Systematic Review and Meta-Analysis. Ann. Fam. Med. 2018, 16, 149–154. [Google Scholar] [CrossRef] [PubMed]
- Jones, D.; Friend, C.; Dreher, A.; Allgar, V.; Macleod, U. The diagnostic test accuracy of rectal examination for prostate cancer diagnosis in symptomatic patients: A systematic review. BMC Fam. Pract. 2018, 19, 79. [Google Scholar] [CrossRef]
- Walsh, A.L.; Considine, S.W.; Thomas, A.Z.; Lynch, T.H.; Manecksha, R.P. Digital rectal examination in primary care is important for early detection of prostate cancer: A retrospective cohort analysis study. Br. J. Gen. Pract. 2014, 64, e783–e787. [Google Scholar] [CrossRef]
- Pepe, P.; Pennisi, M.; Fraggetta, F. Anterior prostate biopsy at initial and repeat evaluation: Is it useful to detect significant prostate cancer? Int. Braz. J. Urol. 2015, 41, 844–848. [Google Scholar] [CrossRef]
- Falzarano, S.M.; Nyame, Y.A.; McKenney, J.K.; Przybycin, C.G.; Li, J.; Stephenson, A.; Fergany, A.; Zhou, M.; Klein, E.A.; Magi-Galluzzi, C. Clinicopathologic features and outcomes of anterior-dominant prostate cancer: Implications for diagnosis and treatment. Prostate Cancer Prostatic Dis. 2020, 23, 435–440. [Google Scholar] [CrossRef] [PubMed]
- Park, B.K.; Lee, H.M.; Kim, C.K.; Choi, H.Y.; Park, J.W. Lesion localization in patients with a previous negative transrectal ultrasound biopsy and persistently elevated prostate specific antigen level using diffusion-weighted imaging at three Tesla before rebiopsy. Investig. Radiol. 2008, 43, 789–793. [Google Scholar] [CrossRef] [PubMed]
- Weinreb, J.C.; Barentsz, J.O.; Choyke, P.L.; Cornud, F.; Haider, M.A.; Macura, K.J.; Margolis, D.; Schnall, M.D.; Shtern, F.; Tempany, C.M.; et al. PI-RADS Prostate Imaging—Reporting and Data System: 2015, Version 2. Eur. Urol. 2016, 69, 16–40. [Google Scholar] [CrossRef] [PubMed]
- Barrett, T.; Rajesh, A.; Rosenkrantz, A.B.; Choyke, P.L.; Turkbey, B. PI-RADS version 2.1: One small step for prostate MRI. Clin. Radiol. 2019, 74, 841–852. [Google Scholar] [CrossRef] [PubMed]
- Turkbey, B.; Rosenkrantz, A.B.; Haider, M.A.; Padhani, A.R.; Villeirs, G.; Macura, K.J.; Tempany, C.M.; Choyke, P.L.; Cornud, F.; Margolis, D.J.; et al. Prostate Imaging Reporting and Data System Version 2.1: 2019 Update of Prostate Imaging Reporting and Data System Version 2. Eur. Urol. 2019, 76, 340–351. [Google Scholar] [CrossRef] [PubMed]
- Lo, G.C.; Margolis, D.J.A. Prostate MRI with PI-RADS v2.1: Initial detection and active surveillance. Abdom. Radiol. 2020, 45, 2133–2142. [Google Scholar] [CrossRef] [PubMed]
- Kasivisvanathan, V.; Rannikko, A.S.; Borghi, M.; Panebianco, V.; Mynderse, L.A.; Vaarala, M.H.; Briganti, A.; Budäus, L.; Hellawell, G.; Hindley, R.G.; et al. MRI-Targeted or Standard Biopsy for Prostate-Cancer Diagnosis. N. Engl. J. Med. 2018, 378, 1767–1777. [Google Scholar] [CrossRef] [PubMed]
- Ahdoot, M.; Wilbur, A.R.; Reese, S.E.; Lebastchi, A.H.; Mehralivand, S.; Gomella, P.T.; Bloom, J.; Gurram, S.; Siddiqui, M.; Pinsky, P.; et al. MRI-Targeted, Systematic, and Combined Biopsy for Prostate Cancer Diagnosis. N. Engl. J. Med. 2020, 382, 917–928. [Google Scholar] [CrossRef] [PubMed]
- Park, B.K.; Park, J.W.; Park, S.Y.; Kim, C.K.; Lee, H.M.; Jeon, S.S.; Seo, S.I.; Jeong, B.C.; Choi, H.Y. Prospective evaluation of 3-T MRI performed before initial transrectal ultrasound-guided prostate biopsy in patients with high prostate-specific antigen and no previous biopsy. AJR Am. J. Roentgenol. 2011, 197, W876–W881. [Google Scholar] [CrossRef] [PubMed]
- Park, B.K.; Jeon, S.S.; Park, B.; Park, J.J.; Kim, C.K.; Lee, H.M.; Choi, H.Y. Comparison of re-biopsy with preceded MRI and re-biopsy without preceded MRI in patients with previous negative biopsy and persistently high PSA. Abdom. Imaging 2015, 40, 571–577. [Google Scholar] [CrossRef]
- Cool, D.W.; Zhang, X.; Romagnoli, C.; Izawa, J.I.; Romano, W.M.; Fenster, A. Evaluation of MRI-TRUS Fusion Versus Cognitive Registration Accuracy for MRI-Targeted, TRUS-Guided Prostate Biopsy. Am. J. Roentgenol. 2014, 204, 83–91. [Google Scholar] [CrossRef]
- Puech, P.; Rouvière, O.; Renard-Penna, R.; Villers, A.; Devos, P.; Colombel, M.; Bitker, M.-O.; Leroy, X.; Mège-Lechevallier, F.; Comperat, E.; et al. Prostate Cancer Diagnosis: Multiparametric MR-targeted Biopsy with Cognitive and Transrectal US–MR Fusion Guidance versus Systematic Biopsy—Prospective Multicenter Study. Radiology 2013, 268, 461–469. [Google Scholar] [CrossRef]
- Valerio, M.; McCartan, N.; Freeman, A.; Punwani, S.; Emberton, M.; Ahmed, H.U. Visually directed vs. software-based targeted biopsy compared to transperineal template mapping biopsy in the detection of clinically significant prostate cancer. Urol. Oncol. Semin. Orig. Investig. 2015, 33, e9–e16. [Google Scholar] [CrossRef]
- Cornud, F.; Roumiguié, M.; Barry de Longchamps, N.; Ploussard, G.; Bruguière, E.; Portalez, D.; Malavaud, B. Precision Matters in MR Imaging–targeted Prostate Biopsies: Evidence from a Prospective Study of Cognitive and Elastic Fusion Registration Transrectal Biopsies. Radiology 2018, 287, 534–542. [Google Scholar] [CrossRef]
- Kam, J.; Yuminaga, Y.; Kim, R.; Aluwihare, K.; Macneil, F.; Ouyang, R.; Ruthven, S.; Louie-Johnsun, M. Does magnetic resonance imaging–guided biopsy improve prostate cancer detection? A comparison of systematic, cognitive fusion and ultrasound fusion prostate biopsy. Prostate Int. 2018, 6, 88–93. [Google Scholar] [CrossRef] [PubMed]
- Monda, S.M.; Vetter, J.M.; Andriole, G.L.; Fowler, K.J.; Shetty, A.S.; Weese, J.R.; Kim, E.H. Cognitive Versus Software Fusion for MRI-targeted Biopsy: Experience Before and After Implementation of Fusion. Urology 2018, 119, 115–120. [Google Scholar] [CrossRef]
- Wysock, J.S.; Rosenkrantz, A.B.; Huang, W.C.; Stifelman, M.D.; Lepor, H.; Deng, F.-M.; Melamed, J.; Taneja, S.S. A Prospective, Blinded Comparison of Magnetic Resonance (MR) Imaging–Ultrasound Fusion and Visual Estimation in the Performance of MR-targeted Prostate Biopsy: The PROFUS Trial. Eur. Urol. 2014, 66, 343–351. [Google Scholar] [CrossRef] [PubMed]
- Delongchamps, N.B.; Peyromaure, M.; Schull, A.; Beuvon, F.; Bouazza, N.; Flam, T.; Zerbib, M.; Muradyan, N.; Legman, P.; Cornud, F. Prebiopsy Magnetic Resonance Imaging and Prostate Cancer Detection: Comparison of Random and Targeted Biopsies. J. Urol. 2013, 189, 493–499. [Google Scholar] [CrossRef]
- Wegelin, O.; Exterkate, L.; van der Leest, M.; Kummer, J.A.; Vreuls, W.; de Bruin, P.C.; Bosch, J.L.H.R.; Barentsz, J.O.; Somford, D.M.; van Melick, H.H.E. The FUTURE Trial: A Multicenter Randomised Controlled Trial on Target Biopsy Techniques Based on Magnetic Resonance Imaging in the Diagnosis of Prostate Cancer in Patients with Prior Negative Biopsies. Eur. Urol. 2019, 75, 582–590. [Google Scholar] [CrossRef] [PubMed]
- An, T.; Park, B.K. Value of systematic biopsy added to target biopsy for detecting significant cancer in men with Prostate Imaging and Reporting and Data System 5. Precis Future Med. 2020, 4, 107–113. [Google Scholar] [CrossRef]
- An, T.; Park, B.K. Validation of new TRUS biopsy techniques for PI-RADS 4 or 5. Precis Future Med. 2020, 4, 141–148. [Google Scholar] [CrossRef]
- Chang, A.I.; Park, B.K. New TRUS Techniques and Imaging Features of PI-RADS 4 or 5: Influence on Tumor Targeting. Front. Oncol. 2021, 11, 608409. [Google Scholar] [CrossRef] [PubMed]
- Chung, J.H.; Park, B.K. Transrectal ultrasound features and biopsy outcomes of transition PI-RADS 5. Acta Radiol. 2021, 2841851211018775. [Google Scholar] [CrossRef]
- Kim, H.S.; Park, B.K. Is transrectal ultrasound-guided systematic biopsy necessary after PI-RADS 4 is targeted? Precis Future Med. 2021, 5, 125–132. [Google Scholar] [CrossRef]
- Park, B.K.; Park, S.Y. New Biopsy Techniques and Imaging Features of Transrectal Ultrasound for Targeting PI-RADS 4 and 5 Lesions. J. Clin. Med. 2020, 9, 530. [Google Scholar] [CrossRef]
- Anvari, A.; Forsberg, F.; Samir, A.E. A Primer on the Physical Principles of Tissue Harmonic Imaging. Radiographics 2015, 35, 1955–1964. [Google Scholar] [CrossRef] [PubMed]
- Hedrick, W.R.; Metzger, L. Tissue Harmonic Imaging: A Review. J. Diagn. Med. Sonogr. 2005, 21, 183–189. [Google Scholar] [CrossRef]
- Ziegler, L.; O’Brien, R.T. Harmonic ultrasound: A review. Vet. Radiol. Ultrasound 2002, 43, 501–509. [Google Scholar] [CrossRef] [PubMed]
- Thoirs, K. Physical and technical principles of sonography: A practical guide for non-sonographers. Radiographer 2012, 59, 124–132. [Google Scholar] [CrossRef]
- Onur, R.; Littrup, P.J.; Pontes, J.E.; Bianco, F.J., Jr. Contemporary impact of transrectal ultrasound lesions for prostate cancer detection. J. Urol. 2004, 172, 512–514. [Google Scholar] [CrossRef]
- Kuligowska, E.; Barish, M.A.; Fenlon, H.M.; Blake, M. Predictors of prostate carcinoma: Accuracy of gray-scale and color Doppler US and serum markers. Radiology 2001, 220, 757–764. [Google Scholar] [CrossRef]
- Harvey, C.J.; Pilcher, J.; Richenberg, J.; Patel, U.; Frauscher, F. Applications of transrectal ultrasound in prostate cancer. Br. J. Radiol. 2012, 85, S3–S17. [Google Scholar] [CrossRef] [PubMed]
- Egawa, S.; Wheeler, T.M.; Greene, D.R.; Scardino, P.T. Unusual hyperechoic appearance of prostate cancer on transrectal ultrasonography. Br. J. Urol. 1992, 69, 169–174. [Google Scholar] [CrossRef]
- Salo, J.O.; Rannikko, S.; Mäkinen, J.; Lehtonen, T. Echogenic structure of prostatic cancer imaged on radical prostatectomy specimens. Prostate 1987, 10, 1–9. [Google Scholar] [CrossRef]
- Spajic, B.; Eupic, H.; Tomas, D.; Stimac, G.; Kruslin, B.; Kraus, O. The incidence of hyperechoic prostate cancer in transrectal ultrasound-guided biopsy specimens. Urology 2007, 70, 734–737. [Google Scholar] [CrossRef][Green Version]
- Yang, T.; Zhang, L.; Chen, Y.; Cai, Y.; Jiang, H.; Ding, Q. The predictive efficacy of hypoechoic lesion in ultrasound for prostate cancer in Chinese people: Five-year experience in a moderated 10-core transperineal prostate biopsy procedure. Oncotarget 2017, 8, 79433–79440. [Google Scholar] [CrossRef]
- Noh, T.I.; Shin, Y.S.; Shim, J.S.; Yoon, J.H.; Kim, J.H.; Bae, J.H.; Moon du, G.; Park, J.Y. Are hypoechoic lesions on transrectal ultrasonography a marker for clinically significant prostate cancer? Korean J. Urol. 2013, 54, 666–670. [Google Scholar] [CrossRef]
- Ellis, W.J.; Brawer, M.K. The significance of isoechoic prostatic carcinoma. J. Urol. 1994, 152, 2304–2307. [Google Scholar] [CrossRef]
- Park, S.Y.; Park, B.K. Necessity of differentiating small (<10 mm) and large (≥10 mm) PI-RADS 4. World J. Urol. 2020, 38, 1473–1479. [Google Scholar] [CrossRef]
- Gleason, D.F. Histologic grading of prostate cancer: A perspective. Hum. Pathol. 1992, 23, 273–279. [Google Scholar] [CrossRef]
- Park, B.K. Ultrasound-guided genitourinary interventions: Principles and techniques. Ultrasonography 2017, 36, 336–348. [Google Scholar] [CrossRef] [PubMed]
- Calio, B.P.; Sidana, A.; Sugano, D.; Gaur, S.; Maruf, M.; Jain, A.L.; Merino, M.J.; Choyke, P.L.; Wood, B.J.; Pinto, P.A.; et al. Risk of Upgrading from Prostate Biopsy to Radical Prostatectomy Pathology-Does Saturation Biopsy of Index Lesion during Multiparametric Magnetic Resonance Imaging-Transrectal Ultrasound Fusion Biopsy Help? J. Urol. 2018, 199, 976–982. [Google Scholar] [CrossRef]
- Rosenkrantz, A.B.; Verma, S.; Choyke, P.; Eberhardt, S.C.; Eggener, S.E.; Gaitonde, K.; Haider, M.A.; Margolis, D.J.; Marks, L.S.; Pinto, P.; et al. Prostate Magnetic Resonance Imaging and Magnetic Resonance Imaging Targeted Biopsy in Patients with a Prior Negative Biopsy: A Consensus Statement by AUA and SAR. J. Urol. 2016, 196, 1613–1618. [Google Scholar] [CrossRef] [PubMed]
- Tu, X.; Lin, T.; Cai, D.; Liu, Z.; Yang, L.; Wei, Q. The optimal core number and site for MRI-targeted biopsy of prostate? A systematic review and pooled analysis. Minerva Urol. Nefrol. 2020, 72, 144–151. [Google Scholar] [CrossRef] [PubMed]
- Papagiannopoulos, D.; Abern, M.; Wilson, N.; O’Block, N.; Raff, L.; Coogan, C.; Latchamsetty, K.C. Predictors of Infectious Complications after Targeted Prophylaxis for Prostate Needle Biopsy. J. Urol. 2018, 199, 155–160. [Google Scholar] [CrossRef] [PubMed]
- Lu, A.J.; Syed, J.S.; Ghabili, K.; Hsiang, W.R.; Nguyen, K.A.; Leapman, M.S.; Sprenkle, P.C. Role of Core Number and Location in Targeted Magnetic Resonance Imaging-Ultrasound Fusion Prostate Biopsy. Eur. Urol. 2019, 76, 14–17. [Google Scholar] [CrossRef] [PubMed]
- Zhang, M.; Milot, L.; Khalvati, F.; Sugar, L.; Downes, M.; Baig, S.M.; Klotz, L.; Haider, M.A. Value of Increasing Biopsy Cores per Target with Cognitive MRI-targeted Transrectal US Prostate Biopsy. Radiology 2019, 291, 83–89. [Google Scholar] [CrossRef]
- Park, B.K.; Kim, S.H. Transrectal ultrasound performed immediately after prostate biopsy: Imaging features and ultrasound-guided compression to bleeding biopsy tract. Acta Radiol. 2007, 48, 232–237. [Google Scholar] [CrossRef] [PubMed]
- Shannon, B.A.; McNeal, J.E.; Cohen, R.J. Transition zone carcinoma of the prostate gland: A common indolent tumour type that occasionally manifests aggressive behaviour. Pathology 2003, 35, 467–471. [Google Scholar] [CrossRef] [PubMed]
- Sakai, I.; Harada, K.-I.; Kurahashi, T.; Yamanaka, K.; Hara, I.; Miyake, H. Analysis of differences in clinicopathological features between prostate cancers located in the transition and peripheral zones. Int. J. Urol. 2006, 13, 368–372. [Google Scholar] [CrossRef]
- Lee, J.J.; Thomas, I.-C.; Nolley, R.; Ferrari, M.; Brooks, J.D.; Leppert, J.T. Biologic differences between peripheral and transition zone prostate cancer. Prostate 2015, 75, 183–190. [Google Scholar] [CrossRef]
- Falagario, U.; Jambor, I.; Taimen, P.; Syvänen, K.T.; Kähkönen, E.; Merisaari, H.; Montoya Perez, I.; Knaapila, J.; Steiner, A.; Verho, J.; et al. Added value of systematic biopsy in men with a clinical suspicion of prostate cancer undergoing biparametric MRI-targeted biopsy: Multi-institutional external validation study. World J. Urol. 2021, 39, 1879–1887. [Google Scholar] [CrossRef] [PubMed]
- Purysko, A.S.; Rosenkrantz, A.B.; Turkbey, I.B.; Macura, K.J. RadioGraphics Update: PI-RADS Version 2.1-A Pictorial Update. Radiographics 2020, 40, E33–E37. [Google Scholar] [CrossRef] [PubMed]
- Jyoti, R.; Jina, N.H.; Haxhimolla, H.Z. In-gantry MRI guided prostate biopsy diagnosis of prostatitis and its relationship with PIRADS V.2 based score. J. Med. Imaging Radiat. Oncol. 2017, 61, 212–215. [Google Scholar] [CrossRef] [PubMed]
- Panebianco, V.; Giganti, F.; Kitzing, Y.X.; Cornud, F.; Campa, R.; De Rubeis, G.; Ciardi, A.; Catalano, C.; Villeirs, G. An update of pitfalls in prostate mpMRI: A practical approach through the lens of PI-RADS v. 2 guidelines. Insights Imaging 2018, 9, 87–101. [Google Scholar] [CrossRef] [PubMed]
- Loeb, S.; Vellekoop, A.; Ahmed, H.U.; Catto, J.; Emberton, M.; Nam, R.; Rosario, D.J.; Scattoni, V.; Lotan, Y. Systematic Review of Complications of Prostate Biopsy. Eur. Urol. 2013, 64, 876–892. [Google Scholar] [CrossRef]
- Falagario, U.G.; Jambor, I.; Lantz, A.; Ettala, O.; Stabile, A.; Taimen, P.; Aronen, H.J.; Knaapila, J.; Perez, I.M.; Gandaglia, G.; et al. Combined Use of Prostate-specific Antigen Density and Magnetic Resonance Imaging for Prostate Biopsy Decision Planning: A Retrospective Multi-institutional Study Using the Prostate Magnetic Resonance Imaging Outcome Database (PROMOD). Eur. Urol. Oncol. 2020. [Google Scholar] [CrossRef] [PubMed]
- Falagario, U.G.; Lantz, A.; Jambor, I.; Martini, A.; Ratnani, P.; Wagaskar, V.; Treacy, P.J.; Veccia, A.; Bravi, C.A.; Bashorun, H.O.; et al. Using biomarkers in patients with positive multiparametric magnetic resonance imaging: 4Kscore predicts the presence of cancer outside the index lesion. Int. J. Urol. 2021, 28, 47–52. [Google Scholar] [CrossRef] [PubMed]
- Falagario, U.G.; Martini, A.; Wajswol, E.; Treacy, P.J.; Ratnani, P.; Jambor, I.; Anastos, H.; Lewis, S.; Haines, K.; Cormio, L.; et al. Avoiding Unnecessary Magnetic Resonance Imaging (MRI) and Biopsies: Negative and Positive Predictive Value of MRI According to Prostate-specific Antigen Density, 4Kscore and Risk Calculators. Eur. Urol. Oncol. 2020, 3, 700–704. [Google Scholar] [CrossRef] [PubMed]
- Park, B.K. Image-Guided Prostate Biopsy: Necessity for Terminology Standardization. J. Ultrasound Med. 2020, 39, 191–196. [Google Scholar] [CrossRef] [PubMed]
- Watts, K.L.; Frechette, L.; Muller, B.; Ilinksy, D.; Kovac, E.; Sankin, A.; Aboumohamed, A. Systematic review and meta-analysis comparing cognitive vs. image-guided fusion prostate biopsy for the detection of prostate cancer. Urol. Oncol. 2020, 38, 734.e19–734.e25. [Google Scholar] [CrossRef] [PubMed]













| TRUS Parameters | Old TRUS Techniques | New TRUS Techniques |
|---|---|---|
| US sequence | Harmonic imaging | Fundamental imaging |
| US artifacts | Rare | Frequent |
| Dynamic range | High | Low |
| Image resolution | High | Low |
| Tissue contrast | Low | High |
| TRUS Features | Peripheral Cancer | Transition Cancer | ||
|---|---|---|---|---|
| Insignificant Cancer | Significant Cancer | Insignificant Cancer | Significant Cancer | |
| Echogenicity | Low | Lower | High | Higher |
| Size | Small | Large | Small | Large |
| Echotexture | Homogeneous | Heterogeneous | Homogeneous | Heterogeneous |
| Margin | Smooth | Irregular | Smooth | Irregular |
| Perfusion | Low | High | NA | NA |
| Hypoechoic rim | NA | NA | Clear | Unclear |
| Tumor Location/Morphology | MRI | TRUS |
|---|---|---|
| Scan axis to urethra | Perpendicular | Oblique |
| Anterior 1/3 location | Base and mid-gland | Mid-gland and apex |
| Middle 1/3 location | Same location | Same location |
| Posterior 1/3 location | Apex and mid-gland | Mid-gland and base |
| Tumor size | Different size | Different size |
| Tumor shape | Different shape | Different shape |
| TRUS-Guided Biopsy | Old Biopsy Techniques | New Biopsy Techniques |
|---|---|---|
| Central tumor targeting | Yes | Yes |
| Peripheral tumor targeting | No | Yes |
| Number of target cores | Oligo-cores (1–3) | Multi-cores (4–6) |
| Systematic biopsy | Yes | Yes, but no in T3/T4 cancers |
Publisher’s Note: MDPI stays neutral with regard to jurisdictional claims in published maps and institutional affiliations. |
© 2021 by the author. Licensee MDPI, Basel, Switzerland. This article is an open access article distributed under the terms and conditions of the Creative Commons Attribution (CC BY) license (https://creativecommons.org/licenses/by/4.0/).
Share and Cite
Park, B.K. How to Improve TRUS-Guided Target Biopsy following Prostate MRI. Cancers 2021, 13, 5647. https://doi.org/10.3390/cancers13225647
Park BK. How to Improve TRUS-Guided Target Biopsy following Prostate MRI. Cancers. 2021; 13(22):5647. https://doi.org/10.3390/cancers13225647
Chicago/Turabian StylePark, Byung Kwan. 2021. "How to Improve TRUS-Guided Target Biopsy following Prostate MRI" Cancers 13, no. 22: 5647. https://doi.org/10.3390/cancers13225647
APA StylePark, B. K. (2021). How to Improve TRUS-Guided Target Biopsy following Prostate MRI. Cancers, 13(22), 5647. https://doi.org/10.3390/cancers13225647
