Epidemiology of Signet Ring Cell Adenocarcinomas
Abstract
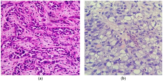
1. Introduction—Overview of Signet Ring Cell Adenocarcinomas
2. Analysis of Signet Ring Cell Adenocarcinomas by Site
2.1. Gastric
2.2. Colon
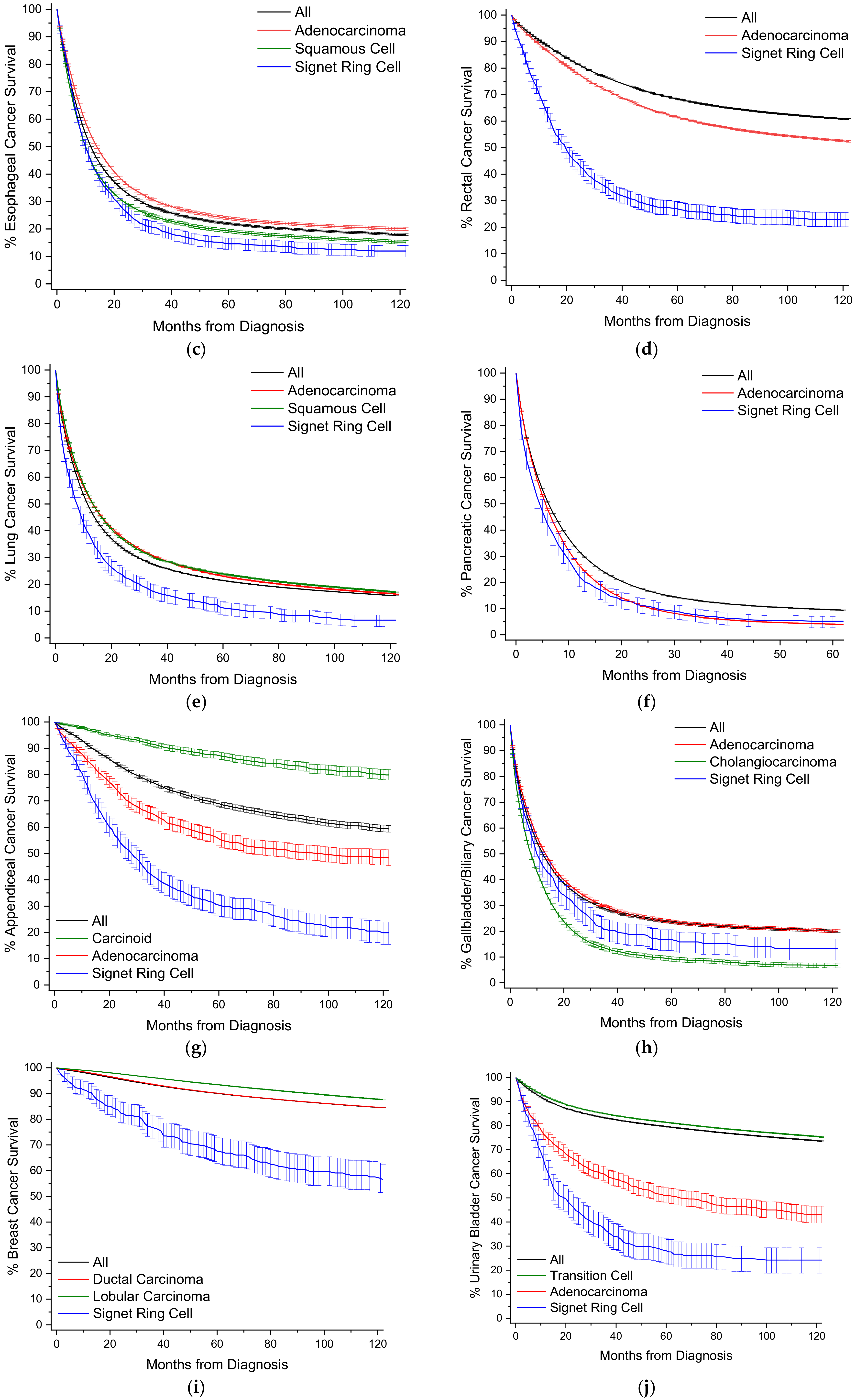
2.3. Esophageal
2.4. Rectal
2.5. Lung
2.6. Pancreatic
2.7. Appendiceal
2.8. Gallbladder/Biliary
2.9. Breast
2.10. Urinary Bladder
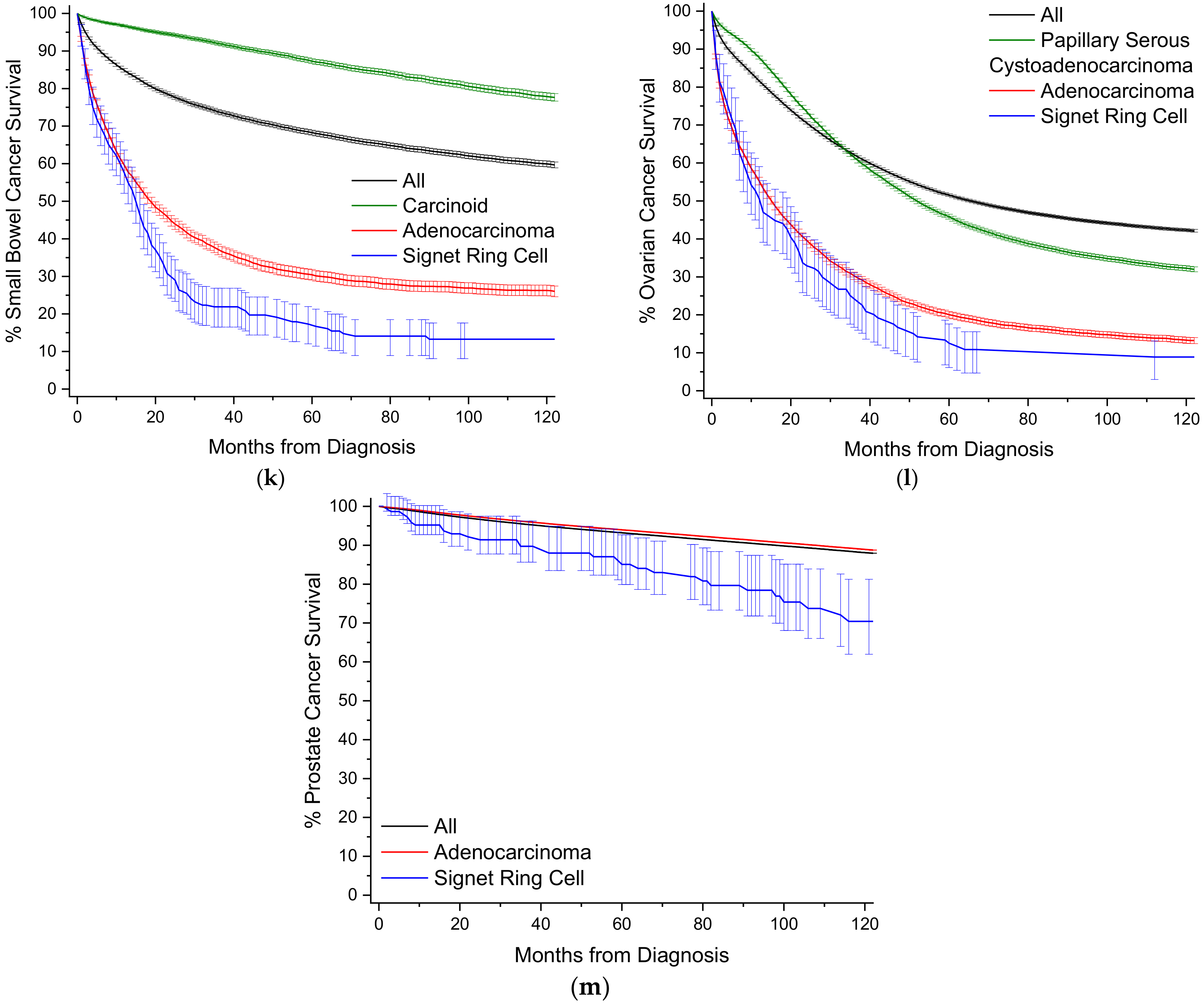
2.11. Small Bowel
2.12. Ovarian
2.13. Prostate
3. Discussion
4. Materials and Methods
4.1. Patient Selection
4.2. Statistical Analysis
5. Conclusions
Supplementary Materials
Author Contributions
Funding
Conflicts of Interest
References
- Laufman, H.; Saphir, O. Primary linitis plastica type of carcinoma of the colon. AMA Arch. Surg. 1951, 62, 79–91. [Google Scholar] [CrossRef] [PubMed]
- Saphir, O. Signet-ring cell carcinoma of the urinary bladder. Am. J. Pathol. 1955, 31, 223–231. [Google Scholar] [PubMed]
- El Hussein, S.; Khader, S.N. Primary signet ring cell carcinoma of the pancreas: Cytopathology review of a rare entity. Diagn. Cytopathol. 2019, 47, 1314–1320. [Google Scholar] [CrossRef] [PubMed]
- Bosman, F.T.; Carneiro, F.; Hruban, R.H.; Theise, N.D. WHO Classification of Tumours of the Digestive System; World Health Organization: Geneva, Switzerland, 2010. [Google Scholar]
- WHO. Digestive System Tumours, WHO Classification of Tumours Series, 5th ed.; International Agency for Research on Cancer: Lyon, France, 2019. [Google Scholar]
- Adenocarcinoma Low Differentiated (Stomach). Available online: https://commons.wikimedia.org/wiki/File:Adenocarcinoma_low_differentiated_(stomach)_H%26E_magn_400x.jpg (accessed on 14 April 2020).
- Poorly Cohesive Gastric Carcioma (Signet-Ring Cell Type). Available online: https://commons.wikimedia.org/wiki/File:Poorly_cohesive_gastric_carcioma_(signet-ring_cell_type).jpg (accessed on 14 April 2020).
- Machlowska, J.; Puculek, M.; Sitarz, M.; Terlecki, P.; Maciejewski, R.; Sitarz, R. State of the art for gastric signet ring cell carcinoma: From classification, prognosis, and genomic characteristics to specified treatments. Cancer Manag. Res. 2019, 11, 2151–2161. [Google Scholar] [CrossRef] [PubMed]
- WHO. International Classification of Diseases for Oncology (ICD-O)–3rd Edition, 1st revision; World Health Organization: Geneva, Switzerland, 2013. [Google Scholar]
- Huang, B.; Ni, M.; Chen, C.; Feng, Y.; Cai, S. Younger Age Is Associated with Poorer Survival in Patients with Signet-Ring Cell Carcinoma of the Colon without Distant Metastasis. Gastroenterol. Res. Pract. 2016, 2016, 2913493. [Google Scholar] [CrossRef]
- Pokala, S.K.; Zhang, C.; Chen, Z.; Gamboa, A.M.; Cristofaro, S.L.; Keilin, S.A.; Cai, Q.; Willingham, F.F. Incidence, Survival, and Predictors of Lymph Node Involvement in Early-Stage Gastric Signet Ring Cell Carcinoma in the US. J. Gastrointestinal Surg. Off. J Soc. Surg. Aliment. Tract. 2018, 22, 569–577. [Google Scholar] [CrossRef]
- Park, H.S.; Lloyd, S.; Decker, R.H.; Wilson, L.D.; Yu, J.B. Overview of the Surveillance, Epidemiology, and End Results Database: Evolution, Data Variables, and Quality Assurance. Curr. Prob. Cancer 2012, 36, 183–190. [Google Scholar] [CrossRef]
- Duggan, M.A.; Anderson, W.F.; Altekruse, S.; Penberthy, L.; Sherman, M.E. The Surveillance, Epidemiology, and End Results (SEER) Program and Pathology: Toward Strengthening the Critical Relationship. Am. J. Surg. Pathol. 2016, 40, e94–e102. [Google Scholar] [CrossRef]
- Wu, S.G.; Chen, X.T.; Zhang, W.W.; Sun, J.Y.; Li, F.Y.; He, Z.Y.; Pei, X.Q.; Lin, Q. Survival in signet ring cell carcinoma varies based on primary tumor location: A Surveillance, Epidemiology, and End Results database analysis. Exp. Rev. Gastroenterol. Hepatol. 2018, 12, 209–214. [Google Scholar] [CrossRef]
- Lauren, P. The two histological main types of gastric carcinoma: Diffuse and so-called intestinal-type carcinoma. An attempt at a histo-clinical classification. Acta Pathol. Microbiol. Scand. 1965, 64, 31–49. [Google Scholar] [CrossRef]
- Luo, W.; Fedda, F.; Lynch, P.; Tan, D. CDH1 Gene and Hereditary Diffuse Gastric Cancer Syndrome: Molecular and Histological Alterations and Implications for Diagnosis And Treatment. Front. Pharmacol. 2018, 9, 1421. [Google Scholar] [CrossRef] [PubMed]
- Becker, K.F.; Atkinson, M.J.; Reich, U.; Becker, I.; Nekarda, H.; Siewert, J.R.; Höfler, H. E-cadherin gene mutations provide clues to diffuse type gastric carcinomas. Cancer Res. 1994, 54, 3845–3852. [Google Scholar] [PubMed]
- Roche, J. The Epithelial-to-Mesenchymal Transition in Cancer. Cancers 2018, 10, 52. [Google Scholar] [CrossRef] [PubMed]
- Humar, B.; Blair, V.; Charlton, A.; More, H.; Martin, I.; Guilford, P. E-cadherin deficiency initiates gastric signet-ring cell carcinoma in mice and man. Cancer Res. 2009, 69, 2050–2056. [Google Scholar] [CrossRef]
- Guilford, P.; Hopkins, J.; Harraway, J.; McLeod, M.; McLeod, N.; Harawira, P.; Taite, H.; Scoular, R.; Miller, A.; Reeve, A.E. E-cadherin germline mutations in familial gastric cancer. Nature 1998, 392, 402–405. [Google Scholar] [CrossRef]
- Hansford, S.; Kaurah, P.; Li-Chang, H.; Woo, M.; Senz, J.; Pinheiro, H.; Schrader, K.A.; Schaeffer, D.F.; Shumansky, K.; Zogopoulos, G.; et al. Hereditary Diffuse Gastric Cancer Syndrome: CDH1 Mutations and Beyond. JAMA Oncol. 2015, 1, 23–32. [Google Scholar] [CrossRef]
- Van der Post, R.S.; Oliveira, C.; Guilford, P.; Carneiro, F. Hereditary gastric cancer: What’s new? Update 2013–2018. Fam. Cancer 2019, 18, 363–367. [Google Scholar] [CrossRef]
- Van der Post, R.S.; Vogelaar, I.P.; Carneiro, F.; Guilford, P.; Huntsman, D.; Hoogerbrugge, N.; Caldas, C.; Schreiber, K.E.; Hardwick, R.H.; Ausems, M.G.; et al. Hereditary diffuse gastric cancer: Updated clinical guidelines with an emphasis on germline CDH1 mutation carriers. J. Med. Genet. 2015, 52, 361–374. [Google Scholar] [CrossRef]
- Kaurah, P.; Talhouk, A.; MacMillan, A.; Lewis, I.; Chelcun-Schreiber, K.; Yoon, S.S.; Huntsman, D. Hereditary diffuse gastric cancer: Cancer risk and the personal cost of preventive surgery. Fam. Cancer 2019, 18, 429–438. [Google Scholar] [CrossRef]
- Pernot, S.; Voron, T.; Perkins, G.; Lagorce-Pages, C.; Berger, A.; Taieb, J. Signet-ring cell carcinoma of the stomach: Impact on prognosis and specific therapeutic challenge. World J. Gastroenterol. 2015, 21, 11428–11438. [Google Scholar] [CrossRef]
- Piessen, G.; Messager, M.; Leteurtre, E.; Jean-Pierre, T.; Mariette, C. Signet ring cell histology is an independent predictor of poor prognosis in gastric adenocarcinoma regardless of tumoral clinical presentation. Ann. Surg. 2009, 250, 878–887. [Google Scholar] [CrossRef]
- Hamilton, L.E.; Jones, K.; Church, N.; Medlicott, S. Synchronous appendiceal and intramucosal gastric signet ring cell carcinomas in an individual with CDH1-associated hereditary diffuse gastric carcinoma: A case report of a novel association and review of the literature. BMC Gastroenterol. 2013, 13, 114. [Google Scholar] [CrossRef]
- Yeo, H.; Betel, D.; Abelson, J.S.; Zheng, X.E.; Yantiss, R.; Shah, M.A. Early-onset Colorectal Cancer is Distinct From Traditional Colorectal Cancer. Clin. Colorectal Cancer 2017, 16, 293–299.e296. [Google Scholar] [CrossRef]
- Chou, C.L.; Tseng, C.J.; Shiue, Y.L. The impact of young age on the prognosis for colorectal cancer: A population-based study in Taiwan. JPN J. Clin. Oncol. 2017, 47, 1010–1018. [Google Scholar] [CrossRef]
- Tajiri, K.; Sudou, T.; Fujita, F.; Hisaka, T.; Kinugasa, T.; Akagi, Y. Clinicopathological and corresponding genetic features of colorectal signet ring cell carcinoma. Anticancer Res. 2017, 37, 3817–3823. [Google Scholar]
- Remo, A.; Fassan, M.; Vanoli, A.; Bonetti, L.R.; Barresi, V.; Tatangelo, F.; Gafà, R.; Giordano, G.; Pancione, M.; Grillo, F.; et al. Morphology and Molecular Features of Rare Colorectal Carcinoma Histotypes. Cancers 2019, 11, 1036. [Google Scholar] [CrossRef]
- Pande, R.; Sunga, A.; LeVea, C.; Wilding, G.E.; Bshara, W.; Reid, M.; Fakih, M.G. Significance of Signet-Ring Cells in Patients with Colorectal Cancer. Diseases Colon. Rectum. 2008, 51, 50–55. [Google Scholar] [CrossRef]
- Sugimoto, S.; Shimoda, M.; Iwao, Y.; Mutaguchi, M.; Nanki, K.; Mizuno, S.; Kameyama, K.; Ogata, H.; Naganuma, M.; Kanai, T. Intramucosal poorly differentiated and signet-ring cell components in patients with ulcerative colitis-associated high-grade dysplasia. Dig. Endosc. 2019, 31, 706–711. [Google Scholar] [CrossRef]
- Azarschab, P.; Porschen, R.; Gregor, M.; Blin, N.; Holzmann, K. Epigenetic control of the E-cadherin gene (CDH1) by CpG methylation in colectomy samples of patients with ulcerative colitis. Genes Chromosomes Cancer 2002, 35, 121–126. [Google Scholar] [CrossRef]
- Li, Y.; Ma, F.H.; Xue, L.Y.; Tian, Y.T. Neoadjuvant chemotherapy vs upfront surgery for gastric signet ring cell carcinoma: A retrospective, propensity score-matched study. World J. Gastroenterol. 2020, 26, 818–827. [Google Scholar] [CrossRef]
- Patel, V.R.; Hofstetter, W.L.; Correa, A.M.; Agarwal, A.; Rashid, A.; Bhutani, M.S.; Lin, S.H.; Ajani, J.A.; Swisher, S.G.; Maru, D.M. Signet ring cells in esophageal adenocarcinoma predict poor response to preoperative chemoradiation. Ann. Thorac. Surg. 2014, 98, 1064–1071. [Google Scholar] [CrossRef]
- Bleaney, C.W.; Barrow, M.; Hayes, S.; Ang, Y. The relevance and implications of signet-ring cell adenocarcinoma of the oesophagus. J. Clin. Pathol. 2018, 71, 201–206. [Google Scholar] [CrossRef]
- Alvi, M.A.; Loughrey, M.B.; Dunne, P.; McQuaid, S.; Turkington, R.; Fuchs, M.A.; McGready, C.; Bingham, V.; Pang, B.; Moore, W.; et al. Molecular profiling of signet ring cell colorectal cancer provides a strong rationale for genomic targeted and immune checkpoint inhibitor therapies. Br. J. Cancer 2017, 117, 203–209. [Google Scholar] [CrossRef]
- Humphrey, P.A. Histological variants of prostatic carcinoma and their significance. Histopathology 2012, 60, 59–74. [Google Scholar] [CrossRef]
- Fujita, K.; Sugao, H.; Gotoh, T.; Yokomizo, S.; Itoh, Y. Primary signet ring cell carcinoma of the prostate: Report and review of 42 cases. Int. J. Urol. 2004, 11, 178–181. [Google Scholar] [CrossRef]
- Tiwari, D.; Nayak, B.; Seth, A. Good response of an aggressive rare variant of signet ring cell carcinoma of prostate with hormonal therapy. BMJ Case Rep. 2017, 2017, bcr2016217567. [Google Scholar] [CrossRef]
- Phalanusitthepha, C.; Grimes, K.L.; Ikeda, H.; Sato, H.; Sato, C.; Hokierti, C.; Inoue, H. Endoscopic features of early-stage signet-ring-cell carcinoma of the stomach. World J. Gastrointest. Endosc. 2015, 7, 741–746. [Google Scholar] [CrossRef]
- Tot, T. The role of cytokeratins 20 and 7 and estrogen receptor analysis in separation of metastatic lobular carcinoma of the breast and metastatic signet ring cell carcinoma of the gastrointestinal tract. Apmis 2000, 108, 467–472. [Google Scholar] [CrossRef]
- Li, X.; Feng, Y.-F.; Wei, W.-D.; Liu, P.; Xie, Z.-M.; Wang, J.; Xie, X.-M. Signet-ring cell carcinoma of the breast: A case report. World J. Surg. Oncol. 2013, 11, 183. [Google Scholar] [CrossRef]
- Kim, J.H.; Cha, H.J.; Kim, K.R.; Kim, K. Primary ovarian signet ring cell carcinoma: A rare case report. Mol. Clin. Oncol. 2018, 9, 211–214. [Google Scholar] [CrossRef]
- Simons, M.; Bolhuis, T.; De Haan, A.F.; Bruggink, A.H.; Bulten, J.; Massuger, L.F.; Nagtegaal, I.D. A novel algorithm for better distinction of primary mucinous ovarian carcinomas and mucinous carcinomas metastatic to the ovary. Virchows Arch. 2019, 474, 289–296. [Google Scholar] [CrossRef]
- Jaya Ganesh, P.; Vimal Chander, R.; Kanchana, M.P. Primary ovarian mucinous carcinoma with signet ring cells—Report of a rare case. J. Clin. Diagn. Res. 2014, 8, FD12–FD13. [Google Scholar] [CrossRef]
- Surveillance, Epidemiology, and End Results (SEER) Program Research Data (1975–2016), National Cancer Institute, DCCPS, Surveillance Research Program, Released April 2019, Based on the November 2018 Submission. Available online: www.seer.cancer.gov (accessed on 1 December 2019).





| Gastric | All | Adenocarcinoma | Signet Ring |
|---|---|---|---|
| N (%) | 106,972 (100) | 65,218 (61.0) | 17,942 (16.8) |
| Age (Years) (%) | |||
| 0–14 | 38 (<0.1) | 3 (<0.1) | 4 (<0.1) |
| 15–29 | 858 (0.8) | 338 (0.5) | 283 (1.6) |
| 30–49 | 12,374 (11.6) | 5688 (8.7) | 3711 (20.7) |
| 50–69 | 43,379 (40.6) | 25,731 (39.5) | 7847 (43.7) |
| 70–85 | 39,088 (36.5) | 25,902 (39.7) | 4996 (27.8) |
| >85 | 11,235 (10.5) | 7556 (11.6) | 1101 (6.1) |
| Mean (SD) | 67.0 (14.4) | 68.6 (13.7) | 61.9 (15.3) |
| Gender (%) | |||
| Male | 64,729 (60.5) | 42,788 (65.6) | 9334 (52.0) |
| Female | 42,243 (39.5) | 22,430 (34.4) | 8608 (48.0) |
| Race (%) | |||
| White | 75,037 (70.1) | 45,689 (70.1) | 12,602 (70.2) |
| Black | 14,627 (13.7) | 8467 (13.0) | 2199 (12.3) |
| Other | 17,308 (16.2) | 11,062 (17.0) | 3141 (17.5) |
| Detection Stage (%) | |||
| In Situ | 1021 (1.0) | 475 (0.7) | 6 (<0.1) |
| Localized | 27,653 (25.9) | 14,922 (22.9) | 3256 (18.1) |
| Regional | 28,402 (26.6) | 18,989 (29.1) | 5586 (31.1) |
| Distant | 38,065 (35.6) | 24,333 (37.3) | 7707 (43.0) |
| Unstaged | 11,831 (11.1) | 6499 (10.0) | 1387 (7.7) |
| Grade Differentiation (%) | |||
| Well | 5762 (5.4) | 2903 (4.5) | 57 (0.3) |
| Moderate | 21,817 (20.4) | 18,465 (28.3) | 405 (2.3) |
| Poor | 52,910 (49.5) | 34,003 (52.1) | 13,531 (75.4) |
| Undifferentiated | 2524 (2.4) | 1015 (1.6) | 486 (2.7) |
| Unknown | 23,959 (22.4) | 8832 (13.5) | 3463 (19.3) |
| Surgery (%) | |||
| Yes | 56,058 (52.4) | 33,371 (51.2) * | 9088 (50.7) * |
| No | 50,914 (47.6) | 31,847 (48.8) * | 8854 (49.3) * |
| Radiotherapy (%) | |||
| Yes | 21,836 (20.4) | 15,520 (23.8) | 3949 (22.0) |
| No | 85,136 (79.6) | 49,698 (76.2) | 13,993 (78.0) |
| Chemotherapy (%) | |||
| Yes | 42,224 (39.5) | 26,979 (41.4) | 8896 (49.5) |
| No | 64,748 (60.5) | 38,239 (58.6) | 9056 (50.5) |
| Incidence Rate (95% CI) | |||
| All | 7.57 (7.53–7.62) | 4.50 (4.47–4.54) | 1.24 (1.22–1.26) |
| Male | 10.4 (10.3–10.5) | 6.79 (6.72–6.86) | 1.42 (1.39–1.45) |
| Female | 5.37 (5.32–5.43) | 2.71 (2.68–2.75) | 1.11 (1.08–1.13) |
| CSS % (95% CI) | |||
| 1-year | 55.7 (55.3–56.0) | 52.9 (52.4–53.3) | 45.8 (44.9–46.7) |
| 2-year | 41.7 (41.3–42.0) | 37.1 (36.7–37.6) | 30.0 (29.1–30.8) |
| 5-year | 31.1 (30.8–31.5) | 25.8 (25.4–26.2) | 19.2 (18.4–20.0) |
| 10-year | 27.0 (26.6–27.4) | 22.1 (21.6–22.5) | 16.0 (15.2–15.7) |
| Median (Months) | 15.6 | 13.5 | 10.2 |
| RS %(95% CI) | |||
| 1-year | 53.7 (53.4–54.1) | 51.0 (50.5–51.4) | 44.3 (43.2–45.2) |
| 2-year | 39.8 (39.4–40.1) | 35.3 (34.9–35.8) | 28.4 (27.6–29.2) |
| 5-year | 29.1 (28.7–29.5) | 24.0 (23.5–24.4) | 17.9 (17.1–18.6) |
| 10-year | 24.1 (23.6–24.6) | 19.3 (18.8–19.9) | 14.2 (13.3–15.1) |
| Median (Months) | 14.2 | 12.5 | 9.7 |
| Gastric | Signet Ring vs. Non-Signet Ring | Signet Ring vs. Adenocarcinoma | ||
|---|---|---|---|---|
| HR (95% CI) | Univariate | Multivariable | Univariate | Multivariable |
| Signet Ring Histology | 1.38 (1.36–1.41) | 1.23 (1.21–1.26) | 1.16 (1.14–1.19) | 1.11 (1.08–1.13) |
| Age (per 10 years) | 1.092 (1.085–1.098) | 1.142 (1.134–1.149) | 1.048 (1.041–1.054) | 1.095 (1.087–1.102) |
| Gender (Female) | 0.88 (0.87–0.90) | 0.91 (0.89–0.92) | 1.01 (0.99–1.03) * | 0.96 (0.95–0.98) |
| Race | ||||
| Black | 0.94 (0.92–0.96) | 1.01 (0.99–1.04) * | 0.99 (0.96–1.01) * | 1.01 (0.99–1.04) * |
| Other | 0.81 (0.79–0.83) | 0.86 (0.84–0.88) | 0.74 (0.72–0.76) | 0.82 (0.80–0.84) |
| Detection Stage | ||||
| In Situ | 0.40 (0.34–0.48) | 0.38 (0.32–0.46) | 0.36 (0.28–0.45) | 0.29 (0.23–0.37) |
| Regional | 2.79 (2.72–2.86) | 3.01 (2.93–3.09) | 2.13 (2.07–2.19) | 2.63 (2.56–2.72) |
| Distant | 7.13 (6.95–7.31) | 5.62 (5.46–5.78) | 5.75 (5.59–5.91) | 4.95 (4.80–5.12) |
| Unstaged | 3.68 (3.56–3.80) | 2.23 (2.15–2.31) | 3.69 (3.55–3.83) | 2.17 (2.09–2.26) |
| Grade Differentiation | ||||
| Moderate | 2.60 (2.46–2.75) | 1.86 (1.76–1.97) | 1.61 (1.51–1.71) | 1.28 (1.20–1.36) |
| Poor | 3.83 (3.64–4.04) | 2.44 (2.31–2.57) | 2.23 (2.11–2.36) | 1.69 (1.59–1.79) |
| Undifferentiated | 3.42 (3.19–3.68) | 2.40 (2.23–2.58) | 2.22 (2.04–2.41) | 1.80 (1.66–1.96) |
| Unknown | 2.47 (2.34–2.61) | 1.57 (1.49–1.66) | 2.55 (2.40–2.71) | 1.49 (1.40–1.58) |
| Surgery (Yes) | 0.316 (0.311–0.321) | 0.409 (0.401–0.418) | 0.315 (0.309–0.320) | 0.417 (0.408–0.427) |
| Radiotherapy (Yes) | 1.01 (0.99–1.03) * | 1.02 (1.00–1.04) * | 0.81 (0.80–0.83) | 0.98 (0.95–1.00) |
| Chemotherapy (Yes) | 1.26 (1.24–1.28) | 0.66 (0.65–0.68) | 1.05 (1.03–1.07) | 0.63 (0.61–0.64) |
| Colon | All | Adenocarcinoma | Signet Ring |
|---|---|---|---|
| N | 448,221 (100) | 283,919 (63.3) | 4586 (1.0) |
| Age (Years) (%) | |||
| 0–14 | 32 (<0.1) | 6 (<0.1) | 10 (0.2) |
| 15–29 | 1930 (0.4) | 1066 (0.4) | 140 (3.1) |
| 30–49 | 38,386 (8.6) | 24,725 (8.7) | 649 (14.2) |
| 50–69 | 182,891 (40.8) | 113,023 (39.8) | 1730 (37.7) |
| 70–85 | 172,601 (38.5) | 111,469 (39.3) | 1582 (34.5) |
| >85 | 52,381 (11.7) | 33,630 (11.8) | 475 (10.4) |
| Mean (SD) | 68.4 (13.6) | 68.7 (13.6) | 65.2 (16.4) |
| Gender (%) | |||
| Male | 220,451 (49.2) | 138,746 (48.9) * | 2276 (49.6) * |
| Female | 227,770 (50.8) | 145,173 (51.1) * | 2310 (50.4) * |
| Race (%) | |||
| White | 356,033 (79.4) | 224,658 (79.1) | 3851 (84.0) |
| Black | 55,559 (12.4) | 34,885 (12.3) | 429 (9.4) |
| Other | 36,629 (8.2) | 24,376 (8.6) | 306 (6.7) |
| Detection Stage (%) | |||
| In Situ | 21,655 (4.8) | 1975 (0.7) | 1 (<0.1) |
| Localized | 159,954 (35.7) | 87,453 (30.8) | 544 (11.9) |
| Regional | 155,275 (34.6) | 117,946 (41.5) | 2078 (45.3) |
| Distant | 93,274 (20.8) | 67,485 (23.8) | 1864 (40.6) |
| Unstaged | 18,063 (4.0) | 9060 (3.2) | 99 (2.2) |
| Grade Differentiation (%) | |||
| Well | 38,192 (8.5) | 18,437 (6.5) | 25 (0.5) |
| Moderate | 254,481 (56.8) | 186,654 (65.7) | 246 (5.4) |
| Poor | 72,229 (16.1) | 52,503 (18.5) | 3143 (68.5) |
| Undifferentiated | 7970 (1.8) | 4397 (1.5) | 433 (9.4) |
| Unknown | 75,349 (16.8) | 21,928 (7.7) | 739 (16.1) |
| Surgery (%) | |||
| Yes | 394,923 (88.1) | 251,754 (88.7) | 3875 (84.5) |
| No | 53,298 (11.9) | 32,165 (11.3) | 711 (15.5) |
| Radiotherapy (%) | |||
| Yes | 9237 (2.1) | 6971 (2.5) | 166 (3.6) |
| No | 438,984 (97.9) | 276,948 (97.5) | 4420 (96.4) |
| Chemotherapy (%) | |||
| Yes | 125,723 (28.0) | 95,441 (33.6) | 2172 (47.4) |
| No | 322,498 (72.0) | 188,478 (66.4) | 2414 (52.6) |
| Incidence Rate (95% CI) | |||
| All | 31.2 (31.1–31.3) | 20.1 (20.0–20.2) | 3.5 (3.4–3.6) † |
| Male | 35.0 (34.9–35.2) | 22.6 (22.5–22.7) | 3.8 (3.7–4.0) † |
| Female | 28.1 (28.0–28.3) | 18.15 (18.06–18.24) | 3.1 (3.0–3.3) † |
| CSS % (95% CI) | |||
| 1-year | 83.5 (83.4–83.7) | 83.3 (83.2–83.5) | 64.0 (62.4–65.6) |
| 2-year | 75.9 (75.7–76.0) | 74.8 (74.6–74.9) | 47.5 (45.8–49.2) |
| 5-year | 64.6 (64.4–64.8) | 61.8 (61.6–62.0) | 33.6 (31.8–35.3) |
| 10-year | 58.5 (58.3–58.7) | 55.0 (54.7–55.2) | 28.6 (26.8–30.4) |
| Median (Months) | - | - | 21.6 |
| RS %(95% CI) | |||
| 1-year | 82.1 (82.0–82.2) | 81.9 (81.8–82.1) | 61.4 (59.7–63.0) |
| 2-year | 74.8 (74.7–75.0) | 73.8 (73.6–74.0) | 45.4 (43.6–47.1) |
| 5-year | 64.2 (64.0–64.4) | 61.7 (61.4–61.9) | 31.7 (29.9–33.6) |
| 10-year | 57.8 (57.5–58.1) | 54.7 (54.3–55.0) | 26.3 (24.0–28.7) |
| Median (Months) | - | - | 19.4 |
| Colon | Signet Ring vs. Non-Signet Ring | Signet Ring vs. Adenocarcinoma | ||
|---|---|---|---|---|
| HR (95% CI) | Univariate | Multivariable | Univariate | Multivariable |
| Signet Ring Histology | 2.69 (2.58–2.79) | 1.45 (1.40–1.51) | 2.31 (2.22–2.40) | 1.47 (1.41–1.53) |
| Age (per 10 years) | 1.149 (1.144–1.154) | 1.242 (1.237–1.248) | 1.089 (1.083–1.094) | 1.212 (1.205–1.218) |
| Gender (Female) | 1.03 (1.02–1.05) | 0.96 (0.95–0.97) | 0.98 (0.97–0.99) | 0.96 (0.95–0.97) |
| Race | ||||
| Black | 1.22 (1.20–1.24) | 1.21 (1.19–1.23) | 1.29 (1.26–1.31) | 1.23 (1.21–1.25) |
| Other | 0.91 (0.89–0.92) | 0.93 (0.92–0.95) | 0.92 (0.90–0.94) | 0.94 (0.92–0.96) |
| Detection Stage | ||||
| In Situ | 0.42 (0.39–0.44) | 0.39 (0.36–0.41) | 0.53 (0.45–0.62) | 0.43 (0.37–0.51) |
| Regional | 3.01 (2.96–3.07) | 3.13 (3.08–3.19) | 2.48 (2.43–2.53) | 2.70 (2.64–2.76) |
| Distant | 17.5 (17.2–17.8) | 16.6 (16.3–17.0) | 14.2 (13.9–14.5) | 14.4 (14.1–14.7) |
| Unstaged | 8.8 (8.5–9.0) | 4.32 (4.19–4.45) | 6.66 (6.42–6.91) | 3.40 (3.27–3.54) |
| Grade Differentiation | ||||
| Moderate | 1.73 (1.68–1.77) | 1.25 (1.22–1.28) | 1.37 (1.33–1.41) | 1.17 (1.13–1.20) |
| Poor | 3.18 (3.10–3.26) | 1.80 (1.75–1.85) | 2.34 (2.27–2.42) | 1.65 (1.60–1.71) |
| Undifferentiated | 3.19 (3.05–3.33) | 1.98 (1.89–2.06) | 2.37 (2.25–2.50) | 1.73 (1.64–1.83) |
| Unknown | 2.28 (2.22–2.35) | 1.39 (1.35–1.43) | 3.89 (3.75–4.03) | 1.41 (1.36–1.46) |
| Surgery (Yes) | 0.167 (0.165–0.170) | 0.39 (0.38–0.40) | 0.175 (0.172–0.178) | 0.40 (0.39–0.41) |
| Radiotherapy (Yes) | 2.14 (2.08–2.20) | 1.08 (1.05–1.11) | 1.83 (1.77–1.88) | 1.08 (1.05–1.12) |
| Chemotherapy (Yes) | 1.95 (1.93–1.98) | 0.86 (0.85–0.87) | 1.58 (1.56–1.60) | 0.81 (0.80–0.82) |
| Esophageal | All | Adenocarcinoma | Squamous Cell | Signet Ring |
|---|---|---|---|---|
| N | 59,989 (100) | 30,860 (51.4) | 20,634 (34.4) | 1549 (2.6) |
| Age (Years) (%) | ||||
| 0–14 | 3 (<0.1) | 0 (0) | 3 (<0.1) | 0 (0) |
| 15–29 | 109 (0.2) | 78 (0.3) | 11 (0.1) | 5 (0.3) |
| 30–49 | 4597 (7.7) | 2583 (8.4) | 1356 (6.6) | 133 (8.6) |
| 50–69 | 30,938 (51.6) | 16,299 (52.8) | 10,583 (51.3) | 816 (52.7) |
| 70–85 | 20,281 (33.8) | 10,002 (32.4) | 7333 (35.5) | 521 (33.6) |
| >85 | 4061 (6.8) | 1898 (6.2) | 1348 (6.5) | 74 (4.8) |
| Mean (SD) | 66.5 (12.0) | 65.9 (12.1) | 67.0 (11.6) | 65.8 (11.8) |
| Gender (%) | ||||
| Male | 46,488 (77.5) | 26,477 (85.8) | 13,442 (65.1) | 1346 (86.9) |
| Female | 13,501 (22.5) | 4383 (14.2) | 7192 (34.9) | 203 (13.1) |
| Race (%) | ||||
| White | 49,399 (82.3) | 29,242 (94.8) | 12,696 (61.5) | 1457 (94.1) |
| Black | 7273 (12.1) | 830 (2.7) | 5767 (27.9) | 45 (2.9) |
| Other | 3317 (5.5) | 788 (2.6) | 2171 (10.5) | 47 (3.0) |
| Detection Stage (%) | ||||
| In Situ | 906 (1.5) | 398 (1.3) | 256 (1.2) | 0 (0) |
| Localized | 12,352 (20.6) | 6673 (21.6) | 4332 (21.0) | 260 (16.8) |
| Regional | 18,347 (30.6) | 9326 (30.2) | 6954 (33.7) | 612 (39.5) |
| Distant | 20,768 (34.6) | 11,556 (37.4) | 6170 (29.9) | 542 (35.1) |
| Unstaged | 7616 (12.7) | 2907 (9.4) | 2922 (14.2) | 134 (8.7) |
| Grade Differentiation (%) | ||||
| Well | 2710 (4.5) | 1595 (5.2) | 961 (4.7) | 3 (0.2) |
| Moderate | 18,923 (31.5) | 10,368 (33.6) | 7985 (38.7) | 55 (3.6) |
| Poor | 24,233 (40.4) | 12,995 (42.1) | 7505 (36.4) | 1205 (77.8) |
| Undifferentiated | 1068 (1.8) | 392 (1.3) | 185 (0.9) | 41 (2.6) |
| Unknown | 13,055 (21.8) | 5510 (17.9) | 3998 (19.4) | 245 (15.8) |
| Surgery (%) | ||||
| Yes | 18,433 (30.7) | 11,160 (36.2) | 4995 (24.2) | 528 (34.1) |
| No | 41,556 (69.3) | 19,700 (63.8) | 15,639 (75.8) | 1021 (65.9) |
| Radiotherapy (%) | ||||
| Yes | 32,376 (54.0) | 15,984 (51.8) | 12,892 (62.5) | 914 (59.0) |
| No | 27,613 (46.0) | 14,876 (48.2) | 7742 (37.5) | 635 (41.0) |
| Chemotherapy (%) | ||||
| Yes | 34,006 (56.7) | 18,169 (58.9) | 11,887 (57.6) | 997 (64.4) |
| No | 25,983 (43.3) | 12,691 (41.1) | 8747 (42.4) | 552 (35.6) |
| Incidence Rate (95% CI) | ||||
| All | 4.40 (4.37–4.44) | 2.27 (2.24–2.29) | 1.47 (1.45–1.49) | 1.18 (1.13–1.24) † |
| Male | 7.58 (7.51–7.65) | 4.33 (4.28–4.38) | 2.10 (2.06–2.13) | 2.27 (2.15–2.39) † |
| Female | 1.82 (1.80–1.85) | 0.59 (0.58–0.61) | 0.96 (0.93–0.98) | 0.30 (0.26–0.34) † |
| CSS % (95% CI) | ||||
| 1-year | 48.2 (47.7–48.6) | 52.7 (52.0–53.3) | 43.8 (42.9–44.6) | 43.7 (41.0–46.5) |
| 2-year | 31.5 (31.0–31.9) | 34.8 (34.2–35.5) | 28.0 (27.2–28.8) | 25.5 (23.0–28.0) |
| 5-year | 20.0 (19.6–20.4) | 21.9 (21.3–22.5) | 18.3 (17.6–19.0) | 13.6 (11.6–15.8) |
| 10-year | 16.1 (15.7–16.6) | 17.8 (17.2–18.4) | 14.6 (13.8–15.3) | 11.4 (9.37–13.5) |
| Median (Months) | 11.3 | 13.2 | 9.7 | 9.8 |
| RS % (95% CI) | ||||
| 1-year | 46.1 (45.6–46.5) | 50.6 (50.0–51.2) | 41.6 (40.8–42.5) | 42.6 (39.9–45.3) |
| 2-year | 29.5 (29.1–30.0) | 33.0 (32.4–33.6) | 25.9 (25.2–26.7) | 24.2 (21.8–26.7) |
| 5-year | 17.8 (17.4–18.2) | 20.0 (19.4–20.6) | 15.8 (15.1–16.5) | 12.4 (10.4–14.6) |
| 10-year | 13.1 (12.7–13.6) | 15.0 (14.4–15.7) | 11.0 (10.2–11.8) | 10.0 (8.02–12.3) |
| Median (Months) | 10.5 | 12.3 | 9.1 | 9.5 |
| Esophageal | Signet Ring vs Non-Signet Ring | Signet Ring vs Adenocarcinoma | Signet Ring vs Squamous Cell | |||
|---|---|---|---|---|---|---|
| HR (95% CI) | Univariate | Multivariable | Univariate | Multivariable | Univariate | Multivariable |
| Signet Ring Histology | 1.19 (1.12–1.26) | 1.15 (1.08–1.22) | 1.30 (1.32–1.39) | 1.16 (1.09–1.24) | 1.06 (1.00–1.13) * | 1.09 (1.02–1.16) |
| Age (per 10 years) | 1.116 (1.106–1.126) | 1.098 (1.088–1.108) | 1.115 (1.102–1.129) | 1.100 (1.086–1.114) | 1.084 (1.069–1.100) | 1.064 (1.048–1.080) |
| Gender (Female) | 1.00 (0.97–1.02) * | 0.93 (0.90–0.95) | 1.07 (1.03–1.11) | 0.99 (0.95–1.03) * | 0.85 (0.82–0.88) | 0.85 (0.83–0.88) |
| Race | ||||||
| Black | 1.30 (1.26–1.34) | 1.21 (1.17–1.25) | 1.20 (1.11–1.31) | 1.07 (0.98–1.16) * | 1.21 (1.17–1.26) | 1.16 (1.11–1.20) |
| Other | 1.08 (1.04–1.13) | 1.00 (0.96–1.05) * | 1.07 (0.98–1.16) * | 0.92 (0.85–1.01) * | 1.00 (0.95–1.06) * | 0.97 (0.92–1.00) * |
| Detection Stage | ||||||
| In Situ | 0.29 (0.25–0.34) | 0.27 (0.23–0.32) | 0.29 (0.22–0.36) | 0.27 (0.21–0.34) | 0.35 (0.28–0.44) | 0.28 (0.22–0.35) |
| Regional | 1.59 (1.55–1.64) | 1.85 (1.79–1.91) | 1.91 (1.83–1.99) | 2.18 (2.08–2.29) | 1.23 (1.18–1.29) | 1.43 (1.36–1.49) |
| Distant | 3.46 (3.36–3.57) | 3.25 (3.14–3.36) | 4.52 (4.34–4.72) | 3.96 (3.78–4.16) | 2.36 (2.25–2.47) | 2.36 (2.25–2.48) |
| Unstaged | 2.30 (2.21–2.39) | 1.76 (1.70–1.83) | 2.91 (2.75–3.08) | 2.02 (1.90–2.14) | 1.64 (1.55–1.74) | 1.39 (1.31–1.47) |
| Grade Differentiation | ||||||
| Moderate | 1.49 (1.41–1.57) | 1.31 (1.24–1.39) | 1.55 (1.43–1.66) | 1.28 (1.19–1.38) | 1.33 (1.22–1.45) | 1.28 (1.18–1.40) |
| Poor | 1.93 (1.83–2.04) | 1.59 (1.51–1.68) | 2.20 (2.05–2.37) | 1.69 (1.57–1.82) | 1.49 (1.36–1.62) | 1.34 (1.23–1.47) |
| Undifferentiated | 1.90 (1.74–2.07) | 1.62 (1.48–1.77) | 1.98 (1.74–2.26) | 1.71 (1.50–1.95) | 1.39 (1.17–1.65) | 1.31 (1.10–1.56) |
| Unknown | 1.40 (1.32–1.48) | 1.18 (1.12–1.25) | 1.40 (1.30–1.52) | 1.18 (1.09–1.28) | 1.28 (1.17–1.40) | 1.19 (1.09–1.31) |
| Surgery (Yes) | 0.39 (0.38–0.40) | 0.49 (0.48–0.50) | 0.32 (0.31–0.33) | 0.44 (0.43–0.46) | 0.55 (0.53–0.57) | 0.58 (0.55–0.60) |
| Radiotherapy (Yes) | 0.90 (0.88–0.92) | 0.95 (0.92–0.97) | 1.00 (0.97–1.02) * | 1.02 (0.99–1.05) * | 0.68 (0.66–0.71) | 0.80 (0.77–0.84) |
| Chemotherapy (Yes) | 0.87 (0.85–0.89) | 0.59 (0.57–0.61) | 1.04 (1.01–1.07) | 0.59 (0.57–0.61) | 0.63 (0.61–0.65) | 0.57 (0.54–0.59) |
| Rectal | All | Adenocarcinoma | Signet Ring |
|---|---|---|---|
| N | 194,109 (100) | 119,273 (61.4) | 1295 (0.7) |
| Age (Years) (%) | |||
| 0–14 | 10 (<0.1) | 2 (<0.1) | 1 (0.1) |
| 15–29 | 1403 (0.7) | 636 (0.5) | 78 (6.0) |
| 30–49 | 27,051 (13.9) | 16,245 (13.6) | 323 (24.9) |
| 50–69 | 97,233 (50.1) | 57,992 (48.6) | 542 (41.9) |
| 70–85 | 55,826 (28.8) | 36,187 (30.3) | 296 (22.9) |
| >85 | 12,586 (6.5) | 8211 (6.9) | 55 (4.2) |
| Mean (SD) | 63.7 (13.7) | 64.4 (13.6) | 57.8 (16.9) |
| Gender (%) | |||
| Male | 110,203 (56.8) | 69,952 (58.6) | 845 (65.3) |
| Female | 83,906 (43.2) | 49,321 (41.4) | 450 (34.7) |
| Race (%) | |||
| White | 154,869 (79.8) | 96,639 (81.0) | 1002 (77.4) |
| Black | 19,448 (10.0) | 10,550 (8.8) | 130 (10.0) |
| Other | 19,792 (10.2) | 12,084 (10.1) | 163 (12.6) |
| Detection Stage (%) | |||
| In Situ | 9251 (4.8) | 730 (0.6) | 3 (0.2) |
| Localized | 78,378 (40.4) | 37,686 (31.6) | 156 (12.0) |
| Regional | 64,405 (33.2) | 50,775 (42.6) | 643 (49.7) |
| Distant | 30,903 (15.9) | 23,972 (20.1) | 427 (33.0) |
| Unstaged | 11,172 (5.8) | 6110 (5.1) | 66 (5.1) |
| Grade Differentiation (%) | |||
| Well | 17,774 (9.2) | 7599 (6.4) | 12 (0.9) |
| Moderate | 108,345 (55.8) | 82,503 (69.2) | 62 (4.8) |
| Poor | 22,844 (11.8) | 15,736 (13.2) | 859 (66.3) |
| Undifferentiated | 1999 (1.0) | 934 (0.8) | 90 (6.9) |
| Unknown | 43,147 (22.2) | 12,501 (10.5) | 272 (21.0) |
| Surgery (%) | |||
| Yes | 156,833 (80.8) | 94,549 (79.3) | 901 (69.6) |
| No | 37,276 (19.2) | 24,724 (20.7) | 394 (30.4) |
| Radiotherapy (%) | |||
| Yes | 71,720 (36.9) | 55,224 (46.3) | 720 (55.6) |
| No | 122,389 (63.1) | 64,049 (53.7) | 575 (44.4) |
| Chemotherapy (%) | |||
| Yes | 86,677 (44.7) | 67,533 (56.6) | 888 (68.6) |
| No | 107,432 (55.3) | 51,720 (43.4) | 407 (31.4) |
| Incidence Rate (95% CI) | |||
| All | 12.81 (12.75–12.87) | 8.02 (7.97–8.06) | 0.94 (0.89–0.99) † |
| Male | 16.11 (16.01–16.21) | 10.45 (10.37–10.53) | 1.33 (1.24–1.42) † |
| Female | 10.10 (10.03–10.17) | 6.02 (5.96–6.07) | 0.62 (0.57–0.68) † |
| CSS % (95% CI) | |||
| 1-year | 86.4 (86.2–86.5) | 85.3 (85.0–85.5) | 61.9 (58.5–65.2) |
| 2-year | 78.4 (78.2–78.7) | 76.0 (75.7–76.3) | 41.2 (37.7–44.6) |
| 5-year | 64.8 (64.5–65.0) | 59.8 (59.4–60.1) | 24.9 (21.8–28.2) |
| 10-year | 56.8 (56.5–57.2) | 50.7 (50.3–51.1) | 19.8 (16.6–23.1) |
| Median (Months) | - | - | 16.8 |
| RS % (95% CI) | |||
| 1-year | 85.2 (85.0–85.5) | 84.1 (83.9–84.4) | 59.8 (56.3–63.1) |
| 2-year | 77.6 (77.3–77.8) | 75.1 (74.8–75.4) | 39.4 (36.0–42.9) |
| 5-year | 64.5 (64.2–64.9) | 59.5 (59.1–59.9) | 23.2 (20.0–26.5) |
| 10-year | 56.5 (56.0–56.9) | 50.2 (49.6–50.8) | 18.5 (15.0–22.3) |
| Median (Months) | - | - | 16.0 |
| Rectal | Signet Ring vs. Non-Signet Ring | Signet Ring vs. Adenocarcinoma | ||
|---|---|---|---|---|
| HR (95% CI) | Univariate | Multivariable | Univariate | Multivariable |
| Signet Ring Histology | 3.42 (3.19–3.66) | 2.14 (1.99–2.29) | 2.70 (2.53–2.90) | 2.10 (1.95–2.25) |
| Age (per 10 years) | 1.242 (1.235–1.250) | 1.310 (1.301–1.319) | 1.178 (1.170–1.187) | 1.245 (1.236–1.255) |
| Gender (Female) | 0.94 (0.92–0.95) | 0.93 (0.91–0.94) | 0.97 (0.96–0.99) | 0.95 (0.93–0.97) |
| Race | ||||
| Black | 1.16 (1.13–1.19) | 1.19 (1.16–1.22) | 1.41 (1.36–1.45) | 1.29 (1.25–1.32) |
| Other | 0.88 (0.86–0.91) | 0.93 (0.90–0.95) | 0.96 (0.93–0.99) | 0.97 (0.94–1.00) * |
| Detection Stage | ||||
| In Situ | 0.37 (0.34–0.40) | 0.38 (0.35–0.41) | 0.46 (0.36–0.58) | 0.35 (0.28–0.45) |
| Regional | 2.80 (2.73–2.86) | 2.92 (2.85–2.99) | 2.00 (1.95–2.06) | 2.35 (2.28–2.42) |
| Distant | 14.6 (14.2–14.9) | 12.6 (12.2–12.9) | 10.5 (10.3–10.8) | 9.92 (9.62–10.2) |
| Unstaged | 4.53 (4.37–4.69) | 2.79 (2.69–2.90) | 4.61 (4.41–4.81) | 2.67 (2.55–2.80) |
| Grade Differentiation | ||||
| Moderate | 1.70 (1.64–1.76) | 1.24 (1.20–1.29) | 1.13 (1.09–1.18) | 1.06 (1.02–1.11) |
| Poor | 3.01 (2.89–3.13) | 1.82 (1.75–1.90) | 1.91 (1.83–2.00) | 1.58 (1.50–1.65) |
| Undifferentiated | 3.09 (2.87–3.33) | 2.10 (1.95–2.26) | 1.97 (1.78–2.18) | 1.65 (1.49–1.83) |
| Unknown | 1.26 (1.21–1.31) | 1.08 (1.04–1.13) | 2.00 (1.91–2.10) | 1.17 (1.11–1.23) |
| Surgery (Yes) | 0.228 (0.224–0.232) | 0.40 (0.39–0.41) | 0.220 (0.216–0.225) | 0.40 (0.39–0.41) |
| Radiotherapy (Yes) | 1.28 (1.26–1.30) | 1.10 (1.08–1.12) | 0.81 (0.80–0.83) | 1.04 (1.02–1.06) |
| Chemotherapy (Yes) | 1.75 (1.72–1.78) | 0.80 (0.78–0.82) | 1.07 (1.05–1.09) | 0.72 (0.70–0.73) |
| Lung | All | Adenocarcinoma | Squamous Cell | Signet Ring |
|---|---|---|---|---|
| N | 771,002 (100) | 236,024 (30.6) | 150,426 (19.5) | 1002 (0.1) |
| Age (Years) (%) | ||||
| 0–14 | 134 (<0.1) | 3 (<0.1) | 2 (<0.1) | 0 (0) |
| 15–29 | 1125 (0.1) | 191 (0.1) | 67 (<0.1) | 9 (0.9) |
| 30–49 | 41,482 (5.4) | 15,342 (6.5) | 4915 (3.3) | 122 (12.2) |
| 50–69 | 356,243 (46.2) | 116,978 (49.6) | 68,258 (45.4) | 536 (53.5) |
| 70–85 | 319,649 (41.5) | 90,680 (38.4) | 69,731 (46.4) | 299 (29.8) |
| >85 | 52,369 (6.8) | 12,830 (5.4) | 7453 (5.0) | 36 (3.6) |
| Mean (SD) | 68.3 (11.4) | 67.2 (11.4) | 69.2 (10.0) | 63.3 (12.8) |
| Gender (%) | ||||
| Male | 416,219 (54.0) | 118,856 (50.4) | 97,114 (64.6) | 564 (56.3) |
| Female | 354,783 (46.0) | 117,168 (49.6) | 53,312 (35.4) | 438 (43.7) |
| Race (%) | ||||
| White | 632,947 (82.1) | 187,596 (79.5) | 123,513 (82.1) | 811 (80.9) |
| Black | 87,586 (11.4) | 27,778 (11.8) | 19,123 (12.7) | 118 (11.8) |
| Other | 50,469 (6.5) | 20,650 (8.7) | 7790 (5.2) | 73 (7.3) |
| Detection Stage (%) | ||||
| In Situ | 781 (0.1) | 287 (0.1) | 321 (0.2) | 0 (0) |
| Localized | 130,847 (17.0) | 40,883 (17.3) | 33,020 (22.0) | 55 (5.5) |
| Regional | 185,572 (24.1) | 50,483 (21.4) | 53,745 (35.7) | 190 (19.0) |
| Distant | 409,261 (53.1) | 137,816 (58.4) | 57,379 (38.1) | 738 (73.7) |
| Unstaged | 44,541 (5.8) | 6555 (2.8) | 5961 (4.0) | 19 (1.9) |
| Grade Differentiation (%) | ||||
| Well | 31,217 (4.0) | 13,206 (5.6) | 3664 (2.4) | 6 (0.6) |
| Moderate | 102,756 (13.3) | 44,436 (18.8) | 40,323 (26.8) | 71 (7.1) |
| Poor | 187,802 (24.4) | 68,573 (29.1) | 53,169 (35.3) | 396 (39.5) |
| Undifferentiated | 48,057 (6.2) | 2123 (0.9) | 1539 (1.0) | 16 (1.6) |
| Unknown | 401,170 (52.0) | 107,686 (45.6) | 51,731 (34.4) | 513 (51.2) |
| Surgery (%) | ||||
| Yes | 189,192 (24.5) | 66,710 (28.3) | 46,764 (31.1) | 198 (19.8) |
| No | 581,810 (75.5) | 169,314 (71.7) | 103,662 (68.9) | 804 (80.2) |
| Radiotherapy (%) | ||||
| Yes | 297,248 (38.6) | 92,699 (39.3) | 70,553 (46.9) | 380 (37.9) |
| No | 473,754 (61.4) | 143,325 (60.7) | 79,873 (53.1) | 622 (62.1) |
| Chemotherapy (%) | ||||
| Yes | 311,134 (40.4) | 101,041 (42.8) | 56,174 (37.3) | 536 (53.5) |
| No | 459,868 (59.6) | 134,983 (57.2) | 94,252 (62.7) | 466 (46.5) |
| Incidence Rate (95% CI) | ||||
| All | 60.0 (59.9–60.1) | 18.4 (18.3–18.4) | 11.7 (11.6–11.7) | 7.1 (6.6–7.5) †† |
| Male | 72.7 (72.4–72.9) | 20.6 (20.5–20.7) | 16.8 (16.7–16.9) | 8.6 (7.9–9.4) †† |
| Female | 50.6 (50.4–50.8) | 16.8 (16.7–16.9) | 7.74 (7.67–7.80) | 5.9 (5.4–6.5) †† |
| CSS % (95% CI) | ||||
| 1-year | 46.6 (46.5–46.7) | 50.9 (50.7–51.2) | 51.2 (50.9–51.6) | 33.0 (29.8–36.2) |
| 2-year | 31.8 (31.7–32.0) | 36.0 (35.8–36.3) | 35.2 (34.8–35.5) | 20.5 (17.6–23.4) |
| 5-year | 20.2 (20.0–20.3) | 21.6 (21.4–21.8) | 22.5 (22.2–22.9) | 9.7 (7.5–12.1) |
| 10-year | 14.9 (14.8–15.0) | 15.1 (14.9–15.4) | 16.2 (15.9–16.5) | 4.9 (3.4–6.9) |
| Median (Months) | 10.5 | 12.5 | 12.6 | 5.7 |
| RS % (95% CI) | ||||
| 1-year | 44.5 (44.3–44.6) | 49.5 (49.2–49.7) | 48.8 (48.5–49.2) | 31.7 (28.5–34.9) |
| 2-year | 29.8 (29.7–29.9) | 34.6 (34.4–34.9) | 32.6 (32.3–32.9) | 19.8 (17.0–22.7) |
| 5-year | 18.1 (17.9–18.2) | 20.1 (19.9–20.3) | 19.5 (19.2–19.8) | 9.1 (7.0–11.5) |
| 10-year | 12.1 (11.9–12.2) | 13.0 (12.8–13.3) | 11.6 (11.3–12.0) | 4.3 (2.7–6.3) |
| Median (Months) | 9.6 | 11.7 | 11.5 | 5.4 |
| Lung | Signet Ring vs. Non-Signet Ring | Signet Ring vs. Adenocarcinoma | Signet Ring vs. Squamous Cell | |||
|---|---|---|---|---|---|---|
| HR (95% CI) | Univariate | Multivariable | Univariate | Multivariable | Univariate | Multivariable |
| Signet Ring Histology | 1.37 (1.28–1.48) | 1.19 (1.10–1.28) | 1.48 (1.37–1.59) | 1.24 (1.15–1.33) | 1.51 (1.40–1.63) | 1.17 (1.09–1.26) |
| Age (per 10 years) | 1.114 (1.111–1.117) | 1.111 (1.108–1.114) | 1.070 (1.065–1.074) | 1.093 (1.088–1.098) | 1.089 (1.082–1.096) | 1.072 (1.065–1.079) |
| Gender (Female) | 0.827 (0.822–0.832) | 0.843 (0.838–0.847) | 0.804 (0.796–0.812) | 0.83 (0.82–0.84) | 0.89 (0.88–0.90) | 0.89 (0.87–0.90) |
| Race | ||||||
| Black | 1.09 (1.08–1.10) | 1.00 (0.99–1.01) * | 1.09 (1.07–1.11) | 1.00 (0.98–1.01) * | 1.17 (1.15–1.19) | 1.01 (0.99–1.03) * |
| Other | 0.94 (0.93–0.95) | 0.83 (0.82–0.84) | 0.92 (0.91–0.94) | 0.77 (0.75–0.78) | 1.12 (1.09–1.15) | 0.98 (0.95–1.01)* |
| Detection Stage | ||||||
| In Situ | 0.67 (0.57–0.77) | 0.59 (0.51–0.68) | 0.15 (0.08–0.27) | 0.16 (0.09–0.29) | 1.01 (0.85–1.20) * | 0.73 (0.62–0.87) |
| Regional | 2.28 (2.25–2.30) | 2.18 (2.16–2.20) | 2.21 (2.17–2.25) | 2.26 (2.22–2.31) | 2.00 (1.96–2.04) | 1.99 (1.95–2.03) |
| Distant | 5.74 (5.68–5.79) | 4.48 (4.33–4.53) | 6.51 (6.40–6.63) | 5.13 (5.03–5.24) | 4.91 (4.81–5.00) | 3.85 (3.77–3.93) |
| Unstaged | 3.68 (3.62–3.74) | 2.32 (2.28–2.35) | 3.75 (3.63–3.88) | 2.49 (2.41–2.58) | 2.89 (2.79–2.99) | 1.97 (1.91–2.05) |
| Grade Differentiation | ||||||
| Moderate | 1.62 (1.59–1.65) | 1.40 (1.37–1.42) | 1.38 (1.34–1.42) | 1.29 (1.25–1.33) | 0.90 (0.86–0.94) | 0.95 (0.91–0.99) |
| Poor | 2.71 (2.66–2.77) | 1.79 (1.76–1.83) | 2.37 (2.31–2.44) | 1.70 (1.65–1.75) | 1.06 (1.01–1.10) | 1.03 (0.99–1.08) * |
| Undifferentiated | 3.54 (3.46–3.61) | 2.02 (1.98–2.07) | 2.48 (2.34–2.63) | 1.74 (1.65–1.85) | 1.21 (1.12–1.30) | 1.18 (1.09–1.27) |
| Unknown | 3.61 (3.54–3.67) | 1.65 (1.62–1.69) | 3.50 (3.41–3.60) | 1.54 (1.50–1.59) | 1.59 (1.52–1.66) | 1.02 (0.98–1.07) * |
| Surgery (Yes) | 0.273 (0.271–0.276) | 0.453 (0.449–0.457) | 0.254 (0.251–0.257) | 0.463 (0.456–0.471) | 0.296 (0.292–0.301) | 0.392 (0.385–0.400) |
| Radiotherapy (Yes) | 1.335 (1.328–1.343) | 1.034 (1.027–1.040) | 1.51 (1.49–1.52) | 1.12 (1.10–1.13) | 1.43 (1.42–1.45) | 0.99 (0.98–1.00) * |
| Chemotherapy (Yes) | 1.197 (1.190–1.204) | 0.665 (0.660–0.669) | 1.25 (1.23–1.26) | 0.606 (0.599–0.613) | 1.13 (1.11–1.14) | 0.65 (0.64–0.66) |
| Pancreatic | All | Adenocarcinoma | Signet Ring |
|---|---|---|---|
| N | 160,539 (100) | 93,923 (58.5) | 640 (0.4) |
| Age (Years) (%) | |||
| 0–14 | 61 (<0.1) | 0 (0) | 0 (0) |
| 15–29 | 450 (0.3) | 66 (0.1) | 1 (0.2) |
| 30–49 | 10,797 (6.7) | 6062 (6.5) | 52 (8.1) |
| 50–69 | 68,769 (42.8) | 44,493 (47.4) | 316 (49.4) |
| 70–85 | 62,810 (39.1) | 36,664 (39.0) | 231 (36.1) |
| >85 | 17,652 (11.0) | 6638 (7.1) | 40 (6.3) |
| Mean (SD) | 68.9 (12.8) | 67.8 (11.7) | 66.7 (11.9) |
| Gender (%) | |||
| Male | 79,757 (49.7) | 48,192 (51.3) | 351 (54.8) |
| Female | 80,782 (50.3) | 45,731 (48.7) | 289 (45.2) |
| Race (%) | |||
| White | 128,028 (79.7) | 74,880 (79.7) | 529 (82.7) |
| Black | 19,779 (12.3) | 11,911 (12.7) | 63 (9.8) |
| Other | 12,732 (7.9) | 7132 (7.6) | 48 (7.5) |
| Detection Stage (%) | |||
| In Situ | 645 (0.4) | 41 (<0.1) | 0 (0) |
| Localized | 14,669 (9.1) | 6418 (6.8) | 17 (2.7) |
| Regional | 43,867 (27.3) | 27,826 (29.6) | 166 (25.9) |
| Distant | 84,626 (52.7) | 55,075 (58.6) | 437 (68.3) |
| Unstaged | 16,732 (10.4) | 4563 (4.9) | 20 (3.1) |
| Grade Differentiation (%) | |||
| Well | 8768 (5.5) | 3675 (3.9) | 1 (0.2) |
| Moderate | 21,250 (13.2) | 13,743 (14.6) | 32 (5.0) |
| Poor | 22,061 (13.7) | 14,872 (15.8) | 273 (42.7) |
| Undifferentiated | 1764 (1.1) | 582 (0.6) | 18 (2.8) |
| Unknown | 106,696 (66.5) | 61,051 (65.0) | 316 (49.4) |
| Surgery (%) | |||
| Yes | 32,963 (20.5) | 15,671 (16.7) | 134 (20.9) |
| No | 127,576 (79.5) | 78,252 (83.3) | 506 (79.1) |
| Radiotherapy (%) | |||
| Yes | 23,323 (14.5) | 16,224 (17.3) | 97 (15.2) |
| No | 137,216 (85.5) | 77,699 (82.7) | 543 (84.8) |
| Chemotherapy (%) | |||
| Yes | 66,287 (41.3) | 47,158 (50.2) | 275 (43.0) |
| No | 94,252 (58.7) | 46,765 (49.8) | 365 (57.0) |
| Incidence Rate (95% CI) | |||
| All | 12.23 (12.18–12.29) | 6.97 (6.93–7.02) | 4.6 (4.2–4.9) †† |
| Male | 13.89 (13.79–13.98) | 8.04 (7.97–8.11) | 5.7 (5.1–6.3) †† |
| Female | 10.87 (10.80–10.94) | 6.10 (6.04–6.15) | 3.7 (3.3–4.1) †† |
| CSS % (95% CI) | |||
| 1-year | 31.3 (31.0–31.6) | 26.6 (26.3–26.9) | 20.6 (17.2–24.2) |
| 2-year | 17.0 (16.8–17.2) | 10.7 (10.5–11.0) * | 8.9 (6.5–11.6) * |
| 5-year | 9.2 (9.0–9.4) | 3.8 (3.6–3.9) * | 4.5 (2.8–6.8) * |
| 10-year | 6.9 (6.7–7.1) | 2.5 (2.4–2.7) | 3.0 (1.5–5.3) ^ |
| Median (Months) | 5.9 | 5.6 | 3.5 |
| RS % (95% CI) | |||
| 1-year | 30.4 (30.2–30.7) | 25.9 (25.6–26.2) | 20.5 (17.1–24.0) |
| 2-year | 16.4 (16.1–16.6) | 10.3 (10.1–10.6) * | 8.9 (6.6–11.7) * |
| 5-year | 8.7 (8.5–8.9) | 3.6 (3.4–3.7) * | 4.3 (2.6–6.6) * |
| 10-year | 6.1 (5.9–6.3) | 2.2 (2.1–2.4) | 3.1 (1.6–5.5) ^ |
| Median (Months) | 5.7 | 5.4 | 3.4 |
| Pancreatic | Signet Ring vs. Non-Signet Ring | Signet Ring vs. Adenocarcinoma | ||
|---|---|---|---|---|
| HR (95% CI) | Univariate | Multivariable | Univariate | Multivariable |
| Signet Ring Histology | 1.27 (1.16–1.39) | 1.13 (1.03–1.24) | 1.08 (0.98–1.18) * | 1.04 (0.95–1.14) * |
| Age (per 10 years) | 1.215 (1.209–1.221) | 1.170 (1.164–1.176) | 1.121 (1.114–1.129) * | 1.090 (1.083–1.098) |
| Gender (Female) | 1.01 (0.99–1.02) * | 0.97 (0.96–0.98) | 0.98 (0.97–1.00) | 0.96 (0.95–0.97) |
| Race | ||||
| Black | 1.03 (1.01–1.05) | 1.05 (1.03–1.07) | 1.07 (1.05–1.10) | 1.07 (1.04–1.09) |
| Other | 0.93 (0.91–0.95) | 0.95 (0.93–0.97) | 1.00 (0.97–1.03) * | 0.96 (0.93–0.99) |
| Detection Stage | ||||
| In Situ | 0.11 (0.09–0.14) | 0.13 (0.10–0.17) | 0.13 (0.07–0.26) | 0.14 (0.07–0.27) |
| Regional | 1.55 (1.51–1.59) | 1.70 (1.66–1.74) | 1.07 (1.03–1.10) | 1.31 (1.27–1.36) |
| Distant | 3.01 (2.94–3.09) | 2.64 (2.57–2.70) | 2.16 (2.10–2.23) | 2.23 (2.16–2.30) |
| Unstaged | 2.46 (2.39–2.54) | 1.53 (1.49–1.58) | 1.57 (1.51–1.64) | 1.24 (1.19–1.30) |
| Grade Differentiation | ||||
| Moderate | 1.85 (1.79–1.92) | 1.86 (1.80–1.92) | 1.12 (1.07–1.16) | 1.25 (1.20–1.31) |
| Poor | 2.75 (2.66–2.85) | 2.42 (2.34–2.51) | 1.56 (1.49–1.62) | 1.59 (1.53–1.66) |
| Undifferentiated | 2.74 (2.57–2.92) | 2.26 (2.12–2.41) | 1.63 (1.47–1.80) | 1.52 (1.37–1.68) |
| Unknown | 3.11 (3.01–3.20) | 1.85 (1.80–1.91) | 1.79 (1.73–1.86) | 1.34 (1.29–1.39) |
| Surgery (Yes) | 0.343 (0.337–0.348) | 0.45 (0.44–0.46) | 0.42 (0.41–0.43) | 0.53 (0.51–0.54) |
| Radiotherapy (Yes) | 0.69 (0.68–0.70) | 0.99 (0.98–1.01) * | 0.58 (0.57–0.59) | 0.93 (0.91–0.95) |
| Chemotherapy (Yes) | 0.77 (0.76–0.78) | 0.67 (0.66–0.68) | 0.57 (0.56–0.58) | 0.54 (0.53–0.55) |
| Appendiceal | All | Carcinoid | Adenocarcinoma | Signet Ring |
|---|---|---|---|---|
| N | 11,456 (100) | 4562 (39.8) | 1761 (15.4) | 669 (5.8) |
| Age (Years) (%) | ||||
| 0–14 | 152 (1.3) | 151 (3.3) | 0 (0) | 0 (0) |
| 15–29 | 990 (8.6) | 871 (19.1) | 35 (2.0) | 4 (0.6) |
| 30–49 | 3052 (26.6) | 1457 (31.9) | 333 (18.9) | 195 (29.1) |
| 50–69 | 5114 (44.6) | 1680 (36.8) | 851 (48.3) | 345 (51.6) |
| 70–85 | 1867 (16.3) | 354 (7.8) | 455 (25.8) | 114 (17.0) |
| >85 | 281 (2.5) | 49 (1.1) | 87 (4.9) | 11 (1.6) |
| Mean (SD) | 53.9 (17.2) | 45.8 (18.0) | 61.4 (14.7) | 57.7 (12.7) |
| Gender (%) | ||||
| Male | 5230 (45.7) | 1999 (43.8) | 931 (52.9) | 251 (37.5) |
| Female | 6226 (54.3) | 2563 (56.2) | 830 (47.1) | 418 (62.5) |
| Race (%) | ||||
| White | 9608 (83.9) | 3983 (87.3) | 1394 (79.2) | 562 (84.0) |
| Black | 1093 (9.5) | 370 (8.1) | 241 (13.7) | 60 (9.0) |
| Other | 755 (6.6) | 209 (4.6) | 126 (7.2) | 47 (7.0) |
| Detection Stage (%) | ||||
| In Situ | 131 (1.1) | 1 (<0.1) | 20 (1.1) | 1 (0.1) |
| Localized | 4774 (41.7) | 2790 (61.2) | 661 (37.5) | 88 (13.2) |
| Regional | 2620 (22.9) | 1087 (23.8) | 513 (29.1) | 156 (23.3) |
| Distant | 3420 (29.9) | 381 (8.4) | 527 (29.9) | 416 (62.2) |
| Unstaged | 511 (4.5) | 303 (6.6) | 40 (2.3) | 8 (1.2) |
| Grade Differentiation (%) | ||||
| Well | 3514 (30.7) | 1873 (41.1) | 242 (13.7) | 12 (1.8) |
| Moderate | 2743 (23.9) | 427 (9.4) | 904 (51.3) | 40 (6.0) |
| Poor | 1408 (12.3) | 257 (5.6) | 370 (21.0) | 357 (53.4) |
| Undifferentiated | 176 (1.5) | 43 (0.9) | 16 (0.9) | 39 (5.8) |
| Unknown | 3615 (31.6) | 1962 (43.0) | 229 (13.0) | 221 (33.0) |
| Surgery (%) | ||||
| Yes | 10,772 (94.0) | 4481 (98.2) | 1639 (93.1) | 588 (87.9) |
| No | 684 (6.0) | 81 (1.8) | 122 (6.9) | 81 (12.1) |
| Radiotherapy (%) | ||||
| Yes | 228 (2.0) | 13 (0.3) | 73 (4.1) | 20 (3.0) |
| No | 11,228 (98.0) | 4549 (99.7) | 1688 (95.9) | 649 (97.0) |
| Chemotherapy (%) | ||||
| Yes | 3616 (31.6) | 453 (9.9) | 723 (41.1) | 446 (66.7) |
| No | 7840 (68.4) | 4109 (90.1) | 1038 (58.9) | 223 (33.3) |
| Incidence Rate (95% CI) | ||||
| All | 8.5 (8.3–8.6) † | 3.5 (3.4–3.6) † | 1.32 (1.26–1.38) † | 5.0 (4.6–5.4) †† |
| Male | 8.2 (8.0–8.4) † | 3.1 (2.9–3.2) † | 1.53 (1.43–1.63) † | 4.2 (3.8–4.8) †† |
| Female | 8.8 (8.6–9.1) † | 3.9 (3.7–4.0) † | 1.17 (1.09–1.24) † | 5.7 (5.2–6.3) †† |
| CSS % (95% CI) | ||||
| 1-year | 87.7 (86.7–88.5) | 92.1 (90.2–93.6) | 82.7 (80.4–84.7) | 74.8 (70.0–78.9) |
| 2-year | 78.7 (77.6–79.8) | 88.1 (85.9–90.0) | 70.7 (68.1–73.2) | 55.7 (50.3–60.7) |
| 5-year | 63.1 (61.7–64.5) | 78.3 (75.3–81.0) | 54.0 (50.9–57.0) | 34.2 (28.7–39.7) |
| 10-year | 53.1 (51.3–54.9) | 68.6 (63.2–73.4) | 47.2 (43.8–50.5) | 24.1 (18.1–30.6) |
| Median (Months) | - | - | 82.1 | 30.0 |
| RS % (95% CI) | ||||
| 1-year | 87.3 (86.2–88.2) | 91.1 (88.9–92.9) | 81.6 (79.2–83.8) | 74.0 (69.1–78.3) |
| 2-year | 78.9 (77.6–80.1) | 88.0 (85.3–90.2) | 70.6 (67.7–73.3) | 54.5 (48.9–59.7) |
| 5-year | 64.3 (62.5–66.0) | 78.8 (74.5–82.4) | 55.1 (51.4–58.6) | 34.2 (28.4–40.1) |
| 10-year | 54.3 (51.7–56.8) | 61.8 (54.2–68.5) | 48.8 (44.5–52.9) | 20.9 (14.4–28.3) |
| Median (Months) | - | - | 107 | 29.3 |
| Appendiceal | Signet Ring vs. Non-Signet Ring | Signet Ring vs. Carcinoid | Signet Ring vs. Adenocarcinoma | |||
|---|---|---|---|---|---|---|
| HR (95% CI) | Univariate | Multivariable | Univariate | Multivariable | Univariate | Multivariable |
| Signet Ring Histology | 3.50 (3.16–3.89) | 1.50 (1.33–1.68) | 8.29 (7.25–9.48) | 1.57 (1.33–1.86) | 2.00 (1.77–2.26) | 0.95 (0.82–1.09) * |
| Age (per 10 years) | 1.26 (1.23–1.29) | 1.25 (1.22–1.29) | 1.44 (1.38–1.50) | 1.33 (1.26–1.40) | 1.01 (0.97–1.05) * | 1.10 (1.05–1.15) |
| Gender (Female) | 1.02 (0.95–1.10) * | 0.91 (0.85–0.98) | 1.30 (1.14–1.49) | 1.11 (0.97–1.28) | 1.29 (1.15–1.45) | 1.06 (0.94–1.20) * |
| Race | ||||||
| Black | 1.29 (1.15–1.44) | 1.40 (1.25–1.56) | 1.36 (1.10–1.69) | 1.57 (1.27–1.95) | 1.03 (0.86–1.23) * | 1.20 (1.00–1.44) * |
| Other | 1.13 (0.98–1.30) * | 0.94 (0.81–1.08) * | 1.33 (1.00–1.79) * | 0.98 (0.73–1.32) * | 0.94 (0.74–1.20) * | 0.83 (0.65–1.06) * |
| Detection Stage | ||||||
| In Situ | 0.40 (0.17–0.97) | 0.32 (0.13–0.77) | - | - | 0.57 (0.14–2.30) * | 0.40 (0.10–1.62) * |
| Regional | 2.92 (2.58–3.30) | 2.31 (2.04–2.62) | 4.18 (3.31–5.29) | 3.31 (2.60–4.20) | 2.97 (2.40–3.66) | 2.83 (2.28–3.51) |
| Distant | 9.24 (8.31–10.3) | 6.30 (5.61–7.09) | 35.3 (28.6–43.5) | 14.7 (11.5–18.7) | 11.1 (9.14–13.4) | 9.24 (7.45–11.4) |
| Unstaged | 2.94 (2.31–3.75) | 2.37 (1.86–3.04) | 3.07 (1.76–5.36) | 2.55 (1.45–4.48) | 3.46 (2.11–5.6) | 2.64 (1.60–4.35) |
| Grade Differentiation | ||||||
| Moderate | 2.05 (1.82–2.31) | 1.76 (1.56–1.98) | 5.41 (3.26–8.98) | 2.18 (1.31–3.64) | 1.49 (1.13–1.96) | 1.43 (1.09–1.88) |
| Poor | 5.64 (5.01–6.36) | 3.44 (3.02–3.91) | 39.9 (26.2–60.9) | 4.92 (3.17–7.65) | 4.06 (3.11–5.30) | 2.34 (1.77–3.09) |
| Undifferentiated | 5.08 (4.00–6.45) | 2.84 (2.23–3.62) | 37.2 (22.2–62.3) | 5.34 (3.14–9.08) | 4.51 (2.97–6.86) | 2.34 (1.52–3.59) |
| Unknown | 1.83 (1.63–2.05) | 1.83 (1.63–2.05) | 7.84 (5.15–12.0) | 4.08 (2.67–6.23) | 3.55 (2.69–4.68) | 2.21 (1.65–2.97) |
| Surgery (Yes) | 0.25 (0.22–0.27) | 0.49 (0.44–0.55) | 0.16 (0.13–0.20) | 0.56 (0.45–0.71) | 0.25 (0.21–0.30) | 0.55 (0.45–0.67) |
| Radiotherapy (Yes) | 1.86 (1.56–2.22) | 1.19 (0.99–1.43) * | 6.11 (4.19–8.90) | 1.58 (1.07–2.33) | 1.25 (0.97–1.63) * | 1.04 (0.80–1.36) * |
| Chemotherapy (Yes) | 3.26 (3.03–3.50) | 1.37 (1.26–1.48) | 9.05 (7.89–10.4) | 1.62 (1.36–1.93) | 2.13 (1.89–2.41) | 0.92 (0.80–1.06) * |
| Gallbladder/Biliary | All | Adenocarcinoma | Cholangiocarcinoma | Signet Ring |
|---|---|---|---|---|
| N | 41,289 (100) | 23,923 (57.9) | 7483 (18.1) | 525 (1.3) |
| Age (Years) (%) | ||||
| 0–14 | 13 (<0.1) | 1 (<0.1) | 2 (<0.1) | 0 (0) |
| 15–29 | 120 (0.3) | 59 (0.2) | 17 (0.2) | 7 (1.3) |
| 30–49 | 2927 (7.1) | 1674 (7.0) | 477 (6.4) | 50 (9.5) |
| 50–69 | 16,142 (39.1) | 9637 (40.3) | 2962 (39.6) | 241 (45.9) |
| 70–85 | 16,720 (40.5) | 9867 (41.2) | 2989 (39.9) | 180 (34.3) |
| >85 | 5367 (13.0) | 2685 (11.2) | 1036 (13.8) | 47 (9.0) |
| Mean (SD) | 69.7 (13.2) | 69.4 (12.8) | 69.9 (13.1) | 66.5 (13.7) |
| Gender (%) | ||||
| Male | 17,677 (42.8) | 9858 (41.2) | 3766 (50.3) | 211 (40.2) |
| Female | 23,612 (57.2) | 14,065 (58.8) | 3717 (49.7) | 314 (59.8) |
| Race (%) | ||||
| White | 32,074 (77.7) | 18,724 (78.3) | 5757 (76.9) | 397 (75.6) |
| Black | 3980 (9.6) | 2335 (9.8) | 631 (8.4) | 65 (12.4) |
| Other | 5235 (12.7) | 2864 (12.0) | 1095 (14.6) | 63 (12.0) |
| Detection Stage (%) | ||||
| In Situ | 926 (2.2) | 389 (1.6) | 2 (<0.1) | 0 (0) |
| Localized | 8653 (21.0) | 5486 (22.9) | 986 (13.2) | 110 (21.0) |
| Regional | 13,856 (33.6) | 8713 (36.4) | 2281 (30.5) | 224 (42.7) |
| Distant | 13,012 (31.5) | 7539 (31.5) | 2756 (36.8) | 177 (33.7) |
| Unstaged | 4842 (11.7) | 1796 (7.5) | 1458 (19.5) | 14 (2.7) |
| Grade Differentiation (%) | ||||
| Well | 3503 (8.5) | 2341 (9.8) | 268 (3.6) | 4 (0.8) |
| Moderate | 10,297 (24.9) | 7690 (32.1) | 941 (12.6) | 25 (4.8) |
| Poor | 9102 (22.0) | 6190 (25.9) | 915 (12.2) | 376 (71.6) |
| Undifferentiated | 612 (1.5) | 210 (0.9) | 43 (0.6) | 12 (2.3) |
| Unknown | 17,775 (43.1) | 7492 (31.3) | 5316 (71.0) | 108 (20.6) |
| Surgery (%) | ||||
| Yes | 21,334 (51.7) | 14,545 (60.8) | 1516 (20.3) | 368 (70.1) |
| No | 19,955 (48.3) | 9378 (39.2) | 5967 (79.7) | 157 (29.9) |
| Radiotherapy (%) | ||||
| Yes | 6274 (15.2) | 3961 (16.6) | 1175 (15.7) | 104 (19.8) |
| No | 35,015 (84.8) | 19,962 (83.4) | 6308 (84.3) | 421 (80.2) |
| Chemotherapy (%) | ||||
| Yes | 12,898 (31.2) | 7965 (33.3) | 2711 (36.2) | 203 (38.7) |
| No | 28,391 (68.8) | 15,958 (66.7) | 4772 (63.8) | 322 (61.3) |
| Incidence Rate (95% CI) | ||||
| All | 2.99 (2.96–3.02) | 1.70 (1.67–1.72) | 6.2 (6.0–6.3) † | 3.9 (3.6–4.2) †† |
| Male | 3.09 (3.04–3.13) | 1.69 (1.65–1.72) | 7.3 (7.1–7.5) † | 3.4 (2.9–3.8) †† |
| Female | 2.94 (2.90–2.97) | 1.72 (1.69–1.75) | 5.3 (5.1–5.5) † | 4.3 (3.9–4.8) †† |
| CSS % (95% CI) | ||||
| 1-year | 47.9 (47.4–48.5) | 51.0 (50.3–51.8) | 37.0 (35.8–38.2) | 45.6 (40.7–50.4) |
| 2-year | 32.3 (31.7–32.8) | 34.7 (34.0–35.5) | 18.6 (17.5–19.6) | 31.2 (26.5–36.0) |
| 5-year | 20.7 (20.2–21.3) | 22.1 (21.4–22.8) | 8.6 (7.8–9.5) | 16.2 (12.3–20.5) |
| 10-year | 17.3 (16.7–17.8) | 18.4 (17.7–19.2) | 6.5 (5.7–7.4) | 12.6 (9.0–16.9) |
| Median (Months) | 11.0 | 12.5 | 7.2 | 10.2 |
| RS % (95% CI) | ||||
| 1-year | 45.9 (45.3–46.4) | 49.1 (48.3–49.8) | 35.1 (33.9–36.3) | 42.0 (37.3–46.6) |
| 2-year | 30.2 (29.7–30.8) | 32.6 (31.9–33.4) | 17.1 (16.1–18.1) | 27.6 (23.2–32.1) |
| 5-year | 18.5 (18.0–19.0) | 19.8 (19.2–20.6) | 7.4 (6.7–8.2) | 13.6 (10.1–17.5) |
| 10-year | 14.5 (13.9–15.1) | 15.5 (14.7–16.4) | 4.9 (4.1–5.7) | 10.1 (6.5–14.5) |
| Median (Months) | 10.1 | 11.6 | 6.6 | 9.2 |
| Gallbladder/Biliary | Signet Ring vs. Non-Signet Ring | Signet Ring vs. Adenocarcinoma | Signet Ring vs. Cholangiocarcinoma | |||
|---|---|---|---|---|---|---|
| HR (95% CI) | Univariate | Multivariable | Univariate | Multivariable | Univariate | Multivariable |
| Signet Ring Histology | 1.16 (1.05–1.30) | 1.12 (1.01–1.25) | 1.21 (1.09–1.35) | 1.10 (0.99–1.23) * | 0.78 (0.70–0.87) | 1.06 (0.94–1.20) * |
| Age (per 10 years) | 1.17 (1.16–1.18) | 1.15 (1.14–1.16) | 1.14 (1.13–1.16) | 1.15 (1.13–1.16) | 1.15 (1.12–1.17) | 1.11 (1.09–1.14) |
| Gender (Female) | 1.07 (1.04–1.09) | 1.05 (1.03–1.08) | 1.08 (1.05–1.12) | 1.07 (1.03–1.11) | 1.19 (1.13–1.25) | 1.05 (0.99–1.11) * |
| Race | ||||||
| Black | 1.04 (1.00–1.09) * | 1.05 (1.01–1.10) | 1.11 (1.05–1.17) | 1.09 (1.03–1.15) | 1.04 (0.94–1.15) * | 1.00 (0.90–1.10) * |
| Other | 0.92 (0.88–0.95) | 0.94 (0.91–0.98) | 0.92 (0.87–0.96) | 0.94 (0.90–0.99) | 0.93 (0.86–1.00) * | 0.92 (0.85–0.99) |
| Detection Stage | ||||||
| In Situ | 0.17 (0.14–0.20) | 0.17 (0.14–0.21) | 0.18 (0.13–0.24) | 0.17 (0.13–0.23) | 0.34 (0.05–2.45) * | 0.64 (0.09–4.56) |
| Regional | 1.59 (1.53–1.65) | 1.73 (1.66–1.80) | 1.56 (1.49–1.64) | 1.72 (1.63–1.80) | 0.91 (0.84–1.00) * | 1.32 (1.21–1.45) |
| Distant | 3.99 (3.84–4.14) | 3.28 (3.15–3.43) | 4.07 (3.88–4.27) | 3.48 (3.30–3.67) | 2.00 (1.84–2.18) | 2.25 (2.05–2.47) |
| Unstaged | 2.72 (2.59–2.86) | 1.45 (1.37–1.52) | 2.76 (2.58–2.97) | 1.47 (1.36–1.59) | 1.40 (1.26–1.55) | 1.10 (0.99–1.21) * |
| Grade Differentiation | ||||||
| Moderate | 1.41 (1.34–1.49) | 1.30 (1.23–1.38) | 1.33 (1.25–1.42) | 1.26 (1.18–1.35) | 1.08 (0.91–1.27) * | 1.08 (0.92–1.28) * |
| Poor | 2.32 (2.19–2.45) | 1.92 (1.81–2.03) | 2.15 (2.02–2.30) | 1.87 (1.75–2.00) | 1.49 (1.27–1.76) | 1.40 (1.19–1.66) |
| Undifferentiated | 2.25 (2.01–2.52) | 1.86 (1.66–2.08) | 2.09 (1.76–2.49) | 1.86 (1.56–2.22) | 1.61 (1.10–2.34) | 1.02 (0.69–1.48) * |
| Unknown | 2.76 (2.62–2.91) | 1.46 (1.38–1.55) | 2.77 (2.59–2.95) | 1.51 (1.41–1.62) | 2.10 (1.81–2.45) | 1.15 (0.98–1.35) * |
| Surgery (Yes) | 0.32 (0.31–0.33) | 0.43 (0.42–0.45) | 0.33 (0.32–0.34) | 0.45 (0.43–0.47) | 0.39 (0.36–0.41) | 0.44 (0.40–0.48) |
| Radiotherapy (Yes) | 0.82 (0.79–0.85) | 1.02 (0.98–1.06) * | 0.82 (0.78–0.85) | 1.03 (0.99–1.08) * | 0.63 (0.59–0.68) | 0.95 (0.88–1.03) * |
| Chemotherapy (Yes) | 1.05 (1.03–1.08) | 0.74 (0.72–0.76) | 1.05 (1.01–1.08) | 0.71 (0.69–0.74) | 0.73 (0.69–0.77) | 0.66 (0.62–0.71) |
| Breast | All | Ductal | Lobular | Signet Ring |
|---|---|---|---|---|
| N | 1,185,521 (100) | 813,140 (68.6) | 245,539 (20.7) | 384 (0.03) |
| Age (Years) (%) | ||||
| 0–14 | 17 (<0.1) | 6 (<0.1) | 0 (0) | 0 (0) |
| 15–29 | 6339 (0.5) | 4862 (0.6) | 508 (0.2) | 1 (0.3) |
| 30–49 | 283,566 (23.9) | 202,015 (25.0) | 55,048 (22.4) | 34 (8.9) |
| 50–69 | 581,741 (49.1) | 399,863 (49.0) | 124,886 (50.9) | 181 (47.1) |
| 70–85 | 265,451 (22.4) | 176,716 (21.8) | 55,945 (22.8) | 131 (34.1) |
| >85 | 48,407 (4.1) | 29,678 (3.7) | 9152 (3.7) | 37 (9.6) |
| Mean (SD) | 60.2 (13.7) | 59.7 (13.7) | 60.7 (13.1) | 67.2 (13.2) |
| Gender (%) | ||||
| Male | 7059 (0.6) | 5958 (0.7) | 541 (0.2) | 4 (1.0) |
| Female | 1,178,012 (99.4) | 807,182 (99.3) | 244,998 (99.8) | 380 (99.0) |
| Race (%) | ||||
| White | 956,313 (80.7) | 650,557 (80.0) | 205,120 (83.5) | 338 (88.0) |
| Black | 124,772 (10.5) | 88,018 (10.8) | 21,734 (8.9) | 27 (7.0) |
| Other | 104,436 (8.8) | 74,565 (9.2) | 18,685 (7.6) | 19 (4.9) |
| Detection Stage (%) | ||||
| In Situ | 231,711 (18.0) | 107,886 (13.3) | 75,431 (30.7) | 1 (0.3) |
| Localized | 589,407 (49.7) | 435,830 (53.6) | 100,852 (41.1) | 151 (39.3) |
| Regional | 301,018 (25.4) | 225,149 (27.7) | 58,965 (24.0) | 110 (28.6) |
| Distant | 63,128 (5.3) | 36,705 (4.5) | 8696 (3.5) | 114 (29.7) |
| Unstaged | 18,257 (1.5) | 7570 (0.9) | 1595 (0.6) | 8 (2.1) |
| Grade Differentiation (%) | ||||
| Well | 205,026 (17.3) | 133,481 (16.4) | 44,918 (18.3) | 14 (3.6) |
| Moderate | 436,567 (36.8) | 305,331 (37.5) | 102,616 (41.8) | 127 (33.1) |
| Poor | 357,949 (30.2) | 287,496 (35.4) | 42,394 (17.3) | 123 (32.0) |
| Undifferentiated | 28,401 (2.4) | 18,932 (2.3) | 5421 (2.2) | 15 (3.9) |
| Unknown | 157,578 (13.3) | 67,900 (8.4) | 50,190 (20.4) | 105 (27.3) |
| Surgery (%) | ||||
| Yes | 1,105,455 (93.2) | 768,601 (94.5) | 233,092 (94.9) | 276 (71.9) |
| No | 80,066 (6.8) | 44,539 (5.5) | 12,447 (5.1) | 108 (28.1) |
| Radiotherapy (%) | ||||
| Yes | 555,742 (46.9) | 399,316 (49.1) | 105,369 (42.9) | 144 (37.5) |
| No | 629,779 (53.1) | 413,824 (50.9) | 140,170 (57.1) | 240 (62.5) |
| Chemotherapy (%) | ||||
| Yes | 387,251 (32.7) | 297,100 (36.5) | 61,058 (24.9) | 138 (35.9) |
| No | 798,270 (67.3) | 516,040 (63.5) | 184,481 (75.1) | 246 (64.1) |
| Incidence Rate (95% CI) | ||||
| All | 68.1 (68.0–68.2) | 48.6 (48.5–48.7) | 12.69 (12.63–12.75) | 2.6 (2.3–2.9) †† |
| Male | 11.6 (11.3–11.9) † | 9.4 (9.2–9.7) † | 6.8 (6.1–7.4) †† | 7.5 (2.4–17.6) ††† |
| Female | 126.3 (126.0–126.5) | 90.4 (90.2–90.6) | 23.5 (23.4–23.6) | 4.6 (4.2–5.1) †† |
| CSS % (95% CI) | ||||
| 1-year | 96.35 (96.30–96.40) | 97.21 (97.16–97.26) | 97.96 (97.88–98.04) | 88.3 (83.7–91.6) |
| 2-year | 93.57 (93.51–93.64) | 94.5 (94.4–94.6) | 96.1 (96.0–96.2) | 80.2 (74.7–84.6) |
| 5-year | 87.0 (86.9–87.1) | 88.0 (87.9–88.1) | 90.1 (89.9–90.3) | 65.1 (58.6–70.9) |
| 10-year | 80.5 (80.3–80.6) | 81.7 (81.5–81.9) | 82.6 (82.3–82.8) | 55.1 (48.1–61.6) |
| Median (Months) | - | - | - | - |
| RS % (95% CI) | ||||
| 1-year | 96.93 (96.87–96.99) | 97.93 (97.86–98.00) | 98.9 (98.8–99.0) | 87.5 (82.5–91.2) |
| 2-year | 94.7 (94.6–94.8) | 95.8 (95.7–95.9) | 97.8 (97.7–98.0) | 80.3 (73.9–85.2) |
| 5-year | 89.2 (89.0–89.3) | 90.3 (90.2–90.5) | 93.3 (93.0–93.6) | 63.4 (55.6–70.2) |
| 10-year | 83.0 (82.8–83.3) | 84.5 (84.1–84.8) | 86.4 (85.8–87.0) | 51.6 (41.5–60.8) |
| Median (Months) | - | - | - | - |
| Breast | Signet Ring vs. Non-Signet Ring | Signet Ring vs. Ductal | Signet Ring vs. Lobular | |||
|---|---|---|---|---|---|---|
| HR (95% CI) | Univariate | Multivariable | Univariate | Multivariable | Univariate | Multivariable |
| Signet Ring Histology | 3.58 (3.04–4.20) | 1.13 (0.96–1.32) * | 3.63 (3.09–4.27) | 1.16 (0.98–1.36) * | 4.65 (3.96–5.47) | 1.19 (1.01–1.40) |
| Age (per 10 years) | 1.149 (1.145–1.154) | 1.218 (1.213–1.223) | 1.094 (1.089–1.099) | 1.196 (1.190–1.202) | 1.261 (1.248–1.274) | 1.274 (1.260–1.288) |
| Gender (Male) | 1.61 (1.52–1.70) | 1.08 (1.02–1.14) | 1.60 (1.51–1.71) | 1.11 (1.04–1.18) | 1.26 (0.96–1.65) * | 0.87 (0.66–1.15) * |
| Race | ||||||
| Black | 1.76 (1.73–1.78) | 1.46 (1.44–1.48) | 1.84 (1.81–1.87) | 1.49 (1.47–1.52) | 1.50 (1.44–1.56) | 1.50 (1.44–1.57) |
| Other | 0.80 (0.79–0.82) | 0.88 (0.86–0.89) | 0.84 (0.82–0.86) | 0.87 (0.85–0.89) | 0.71 (0.67–0.75) | 0.89 (0.84–0.95) |
| Detection Stage | ||||||
| In Situ | 0.25 (0.24–0.26) | 0.23 (0.22–0.24) | 0.29 (0.28–0.31) | 0.26 (0.25–0.27) | 0.22 (0.20–0.23) | 0.21 (0.19–0.23) |
| Regional | 3.43 (3.39–3.48) | 3.09 (3.05–3.13) | 3.31 (3.26–3.36) | 2.97 (2.92–3.02) | 3.75 (3.63–3.87) | 3.56 (3.44–3.68) |
| Distant | 22.3 (22.0–22.5) | 12.5 (12.3–12.7) | 21.0 (20.7–21.4) | 12.0 (11.8–12.3) | 28.3 (27.2–29.4) | 16.5 (15.8–17.3) |
| Unstaged | 8.62 (8.40–8.85) | 3.91 (3.81–4.03) | 6.37 (6.11–6.64) | 3.21 (3.07–3.35) | 7.52 (6.84–8.27) | 3.67 (3.33–4.06) |
| Grade Differentiation | ||||||
| Moderate | 2.31 (2.26–2.36) | 1.83 (1.79–1.87) | 2.56 (2.49–2.64) | 1.99 (1.94–2.05) | 1.63 (1.56–1.70) | 1.45 (1.39–1.52) |
| Poor | 4.68 (4.58–4.78) | 3.21 (3.13–3.28) | 5.13 (4.99–5.28) | 3.55 (3.44–3.65) | 2.55 (2.43–2.67) | 2.30 (2.20–2.41) |
| Undifferentiated | 2.48 (2.38–2.57) | 3.39 (3.26–3.52) | 2.65 (2.53–2.78) | 3.63 (3.46–3.81) | 0.94 (0.84–1.05) * | 2.20 (1.97–2.45) |
| Unknown | 3.70 (3.62–3.79) | 2.46 (2.40–2.52) | 2.93 (2.83–3.03) | 2.62 (2.53–2.71) | 1.58 (1.51–1.65) | 1.71 (1.63–1.80) |
| Surgery (Yes) | 0.118 (0.116–0.119) | 0.392 (0.385–0.398) | 0.129 (0.127–0.131) | 0.39 (0.38–0.40) | 0.136 (0.131–0.140) | 0.37 (0.35–0.39) |
| Radiotherapy (Yes) | 0.696 (0.689–0.703) | 0.805 (0.796–0.813) | 0.69 (0.68–0.70) | 0.79 (0.78–0.80) | 0.88 (0.86–0.91) | 0.85 (0.83–0.88) |
| Chemotherapy (Yes) | 2.22 (2.20–2.24) | 1.09 (1.08–1.10) | 2.13 (2.10–2.16) | 1.06 (1.04–1.08) | 2.63 (2.57–2.70) | 1.19 (1.16–1.23) |
| Urinary Bladder | All | Transition Cell | Adenocarcinoma | Signet Ring |
|---|---|---|---|---|
| N | 252,104 (100) | 237,005 (94.0) | 1330 (0.5) | 380 (0.2) |
| Age (Years) (%) | ||||
| 0–14 | 92 (<0.1) | 22 (<0.1) | 0 (0) | 0 (0) |
| 15–29 | 844 (0.3) | 767 (0.3) | 16 (1.2) | 1 (0.3) |
| 30–49 | 14,211 (5.6) | 13,146 (5.5) | 167 (12.6) | 52 (13.7) |
| 50–69 | 101,475 (40.3) | 96,290 (40.6) | 528 (39.7) | 187 (49.2) |
| 70–85 | 107,689 (42.7) | 101,623 (42.9) | 471 (35.4) | 122 (32.1) |
| >85 | 27,793 (11.0) | 25,157 (10.6) | 148 (11.1) | 18 (4.7) |
| Mean (SD) | 69.8 (12.5) | 69.7 (12.3) | 66.7 (15.1) | 64.1 (12.7) |
| Gender (%) | ||||
| Male | 189,668 (75.2) | 180,006 (76.0) | 846 (63.6) | 269 (70.8) |
| Female | 62,436 (24.8) | 56,999 (24.0) | 484 (36.4) | 111 (29.2) |
| Race (%) | ||||
| White | 226,912 (90.0) | 214,042 (90.3) | 1040 (78.2) | 316 (83.2) |
| Black | 13,717 (5.4) | 12,259 (5.2) | 194 (14.6) | 45 (11.8) |
| Other | 11,475 (4.6) | 10,704 (4.5) | 96 (7.2) | 19 (5.0) |
| Detection Stage (%) | ||||
| In Situ | 6454 (2.6) | 6386 (2.7) | 1 (0.1) | 0 (0) |
| Localized | 180,673 (71.7) | 176,458 (74.5) | 354 (26.6) | 52 (13.7) |
| Regional | 46,523 (18.5) | 41,382 (17.5) | 608 (45.7) | 203 (53.4) |
| Distant | 10,761 (4.3) | 8002 (3.4) | 294 (22.1) | 116 (30.5) |
| Unstaged | 7963 (3.1) | 4777 (2.0) | 73 (5.5) | 9 (2.4) |
| Grade Differentiation (%) | ||||
| Well | 32,449 (12.9) | 31,563 (13.3) | 64 (4.8) | 1 (0.3) |
| Moderate | 71,047 (28.2) | 68,936 (29.1) | 405 (30.5) | 7 (1.8) |
| Poor | 52,063 (20.7) | 48,571 (20.5) | 456 (34.3) | 228 (60.0) |
| Undifferentiated | 58,654 (23.3) | 56,559 (23.9) | 108 (8.1) | 66 (17.4) |
| Unknown | 37,891 (15.0) | 31,376 (13.2) | 297 (22.3) | 78 (20.5) |
| Surgery (%) | ||||
| Yes | 234,703 (93.1) | 224,146 (94.6) | 1137 (85.5) | 325 (85.5) |
| No | 17,401 (6.9) | 12,859 (5.4) | 193 (14.5) | 55 (14.5) |
| Radiotherapy (%) | ||||
| Yes | 11,546 (4.6) | 9787 (4.1) | 171 (12.9) | 78 (20.5) |
| No | 240,558 (95.4) | 227,218 (95.9) | 1159 (87.1) | 302 (79.5) |
| Chemotherapy (%) | ||||
| Yes | 42,371 (16.8) | 39,255 (16.6) | 307 (23.1) | 163 (42.9) |
| No | 209,733 (83.2) | 197,750 (83.4) | 1023 (76.9) | 217 (57.1) |
| Incidence Rate (95% CI) | ||||
| All | 20.45 (20.37–20.52) | 19.04 (18.97–19.12) | 1.07 (1.02–1.13) † | 3.0 (2.7–3.3) †† |
| Male | 36.1 (35.9–36.2) | 33.9 (33.7–34.0) | 1.62 (1.52–1.72) † | 4.8 (4.2–5.3) †† |
| Female | 8.82 (8.75–7.88) | 7.98 (7.92–8.05) | 0.67 (0.62–0.73) † | 1.5 (1.3–1.8) †† |
| CSS % (95% CI) | ||||
| 1-year | 91.0 (90.8–91.1) | 92.6 (92.5–92.7) | 73.5 (70.5–76.1) | 59.8 (54.0–65.1) |
| 2-year | 86.2 (86.0–86.3) | 88.1 (88.0–88.3) | 63.6 (60.4–66.6) | 42.0 (36.1–47.8) |
| 5-year | 80.0 (79.7–80.1) | 82.0 (81.9–82.2) | 49.4 (45.7–52.9) | 28.3 (22.7–34.1) |
| 10-year | 74.0 (73.8–74.3) | 76.1 (75.8–76.3) | 41.6 (37.4–45.7) | 22.2 (16.7–28.2) ^ |
| Median (Months) | - | - | 57.6 | 15.6 |
| RS % (95% CI) | ||||
| 1-year | 90.1 (90.0–90.2) | 92.0 (91.8–92.1) | 70.2 (67.2–73.0) | 57.1 (51.3–62.6) |
| 2-year | 85.2 (85.0–85.4) | 87.4 (87.2–87.6) | 59.4 (56.1–62.6) | 38.0 (32.2–43.9) |
| 5-year | 78.6 (78.4–78.9) | 81.0 (80.7–81.3) | 43.3 (39.4–47.1) | 24.3 (19.0–29.9) |
| 10-year | 71.4 (71.0–71.8) | 73.7 (73.3–74.1) | 36.5 (32.0–41.1) | 16.3 (11.2–22.4) ^ |
| Median (Months) | - | - | 42.9 | 14.4 |
| Urinary Bladder | Signet Ring vs. Non-Signet Ring | Signet Ring vs. Transition Cell | Signet Ring vs. Adenocarcinoma | |||
|---|---|---|---|---|---|---|
| HR (95% CI) | Univariate | Multivariable | Univariate | Multivariable | Univariate | Multivariable |
| Signet Ring Histology | 4.83 (4.25–5.50) | 1.56 (1.37–1.78) | 5.43 (4.77–6.17) | 1.70 (1.49–1.93) | 1.74 (1.50–2.03) | 1.31 (1.11–1.54) |
| Age (per 10 years) | 1.49 (1.48–1.50) | 1.47 (1.46–1.48) | 1.52 (1.51–1.53) | 1.50 (1.48–1.51) | 1.15 (1.10–1.21) | 1.21 (1.14–1.27) |
| Gender (Female) | 1.27 (1.25–1.30) | 1.09 (1.07–1.11) | 1.19 (1.17–1.22) | 1.05 (1.03–1.07) | 1.26 (1.09–1.45) | 1.11 (0.96–1.29) * |
| Race | ||||||
| Black | 1.70 (1.65–1.75) | 1.42 (1.37–1.46) | 1.67 (1.61–1.73) | 1.44 (1.39–1.50) | 1.09 (0.89–1.32) * | 1.32 (1.09–1.62) |
| Other | 1.01 (0.96–1.05) * | 0.88 (0.84–0.91) | 1.00 (0.95–1.04) * | 0.88 (0.84–0.92) | 0.72 (0.52–0.99) | 0.88 (0.64–1.20) * |
| Detection Stage | ||||||
| In Situ | 0.23 (0.15–0.34) | 0.24 (0.16–0.36) | 0.26 (0.18–0.39) | 0.27 (0.18–0.40) | - | - |
| Regional | 6.56 (6.44–6.69) | 4.59 (4.50–4.70) | 6.66 (6.53–6.80) | 4.36 (4.27–4.47) | 2.38 (1.92–2.95) | 2.22 (1.77–2.80) |
| Distant | 26.9 (26.1–27.6) | 19.5 (18.9–20.1) | 28.6 (27.7–29.5) | 19.4 (18.8–20.1) | 8.64 (6.87–10.9) | 6.89 (5.34–8.89) |
| Unstaged | 4.17 (3.99–4.35) | 2.82 (2.69–2.95) | 2.99 (2.82–3.17) | 2.27 (2.13–2.42) | 2.17 (1.43–3.30) | 1.51 (0.98–2.32) * |
| Grade Differentiation | ||||||
| Moderate | 1.58 (1.51–1.65) | 1.42 (1.36–1.49) | 1.56 (1.49–1.64) | 1.43 (1.36–1.50) | 1.61 (0.96–2.70) * | 1.23 (0.73–2.08) * |
| Poor | 6.23 (5.97–6.50) | 2.68 (2.56–2.80) | 6.38 (6.10–6.67) | 2.84 (2.71–2.97) | 3.74 (2.27–6.16) | 2.28 (1.37–3.79) |
| Undifferentiated | 6.70 (6.42–7.00) | 2.63 (2.51–2.75) | 7.21 (6.89–7.54) | 2.86 (2.73–3.00) | 2.70 (1.58–4.61) | 1.93 (1.12–3.32) |
| Unknown | 3.47 (3.31–3.64) | 2.05 (1.95–2.15) | 2.76 (2.62–2.90) | 1.96 (1.86–2.06) | 2.47 (1.47–4.13) | 1.50 (0.89–2.52) * |
| Surgery (Yes) | 0.49 (0.48–0.51) | 0.64 (0.62–0.66) | 0.63 (0.61–0.65) | 0.68 (0.66–0.71) | 0.35 (0.29–0.42) | 0.55 (0.44–0.68) |
| Radiotherapy (Yes) | 5.32 (5.18–5.45) | 1.27 (1.24–1.31) | 5.80 (5.64–5.96) | 1.28 (1.25–1.32) | 1.88 (1.57–2.24) | 1.17 (0.97–1.41) * |
| Chemotherapy (Yes) | 2.19 (2.15–2.24) | 0.97 (0.94–0.99) | 2.26 (2.22–2.31) | 0.99 (0.96–1.01) * | 1.78 (1.54–2.05) | 0.93 (0.79–1.10) * |
| Small Bowel | All | Carcinoid | Adenocarcinoma | Signet Ring |
|---|---|---|---|---|
| N | 25,899 (100) | 13,837 (53.4) | 6111 (23.6) | 327 (1.3) |
| Age (Years) (%) | ||||
| 0–14 | 19 (0.1) | 4 (<0.1) | 0 (0) | 0 (0) |
| 15–29 | 248 (1.0) | 113 (0.8) | 42 (0.7) | 5 (1.5) |
| 30–49 | 3912 (15.1) | 2091 (15.1) | 794 (13.0) | 55 (16.8) |
| 50–69 | 12,530 (48.4) | 7337 (53.0) | 2533 (41.4) | 157 (48.0) |
| 70–85 | 7567 (29.2) | 3725 (26.9) | 2129 (34.8) | 90 (27.5) |
| >85 | 1623 (6.3) | 567 (4.2) | 613 (10.0) | 20 (6.1) |
| Mean (SD) | 63.6 (14.1) | 62.5 (13.1) | 66.4 (14.3) | 62.7 (14.3) |
| Gender (%) | ||||
| Male | 13,517 (52.2) | 7074 (51.1) | 3244 (53.1) | 185 (56.6) |
| Female | 12,382 (47.8) | 6763 (48.9) | 2867 (46.6) | 142 (43.4) |
| Race (%) | ||||
| White | 20,207 (78.0) | 11,066 (80.0) | 4521 (74.0) | 263 (80.4) |
| Black | 4180 (16.1) | 2305 (16.7) | 1136 (18.6) | 39 (11.9) |
| Other | 1512 (5.8) | 466 (3.4) | 454 (7.4) | 25 (7.6) |
| Detection Stage (%) | ||||
| In Situ | 188 (0.7) | 10 (0.1) | 32 (0.5) | 0 (0) |
| Localized | 8057 (31.1) | 4662 (33.7) | 1237 (20.2) | 33 (10.1) |
| Regional | 8590 (33.2) | 4980 (36.0) | 2100 (34.4) | 142 (43.4) |
| Distant | 7177 (27.7) | 3359 (24.3) | 2227 (36.4) | 132 (40.4) |
| Unstaged | 1887 (7.3) | 826 (6.0) | 515 (8.4) | 20 (6.1) |
| Grade Differentiation (%) | ||||
| Well | 6349 (24.5) | 5293 (38.3) | 453 (7.4) | 0 (0) |
| Moderate | 4867 (18.8) | 1235 (8.9) | 2559 (41.9) | 16 (4.9) |
| Poor | 3101 (12.0) | 185 (1.3) | 1880 (30.8) | 229 (70.0) |
| Undifferentiated | 515 (2.0) | 52 (0.4) | 62 (1.0) | 9 (2.8) |
| Unknown | 11,067 (42.7) | 7072 (51.1) | 1157 (18.9) | 73 (22.3) |
| Surgery (%) | ||||
| Yes | 20,068 (77.5) | 11,733 (84.8) | 3671 (60.1) | 219 (67.0) |
| No | 5831 (22.5) | 2104 (15.2) | 2440 (39.9) | 108 (33.0) |
| Radiotherapy (%) | ||||
| Yes | 993 (3.8) | 134 (1.0) | 604 (9.9) | 34 (10.4) |
| No | 24,906 (96.2) | 13,703 (99.0) | 5507 (90.1) | 293 (89.6) |
| Chemotherapy (%) | ||||
| Yes | 5280 (20.4) | 724 (5.2) | 2452 (40.1) | 160 (48.9) |
| No | 20,619 (79.6) | 13,113 (94.8) | 3659 (59.9) | 167 (51.1) |
| Incidence Rate (95% CI) | ||||
| All | 2.11 (2.08–2.13) | 1.12 (1.11–1.14) | 5.2 (5.1–5.4) † | 2.6 (2.4–2.9) †† |
| Male | 2.49 (2.45–2.53) | 1.29 (1.26–1.32) | 6.4 (6.2–6.6) † | 3.3 (2.9–3.8) †† |
| Female | 1.81 (1.78–1.84) | 0.99 (0.97–1.01) | 4.3 (4.1–4.4) † | 2.1 (1.8–2.4) †† |
| CSS % (95% CI) | ||||
| 1-year | 80.9 (80.4–81.5) | 94.9 (94.4–95.3) | 56.1 (54.7–57.5) | 54.2 (47.7–60.2) |
| 2-year | 74.5 (73.9–75.1) | 92.4 (91.8–92.9) | 41.8 (40.3–43.2) | 28.6 (22.8–34.8) |
| 5-year | 64.8 (64.1–65.5) | 85.0 (84.2–85.8) | 27.4 (26.0–28.9) | 15.5 (10.7–21.0) |
| 10-year | 56.1 (55.2–57.0) | 74.7 (73.3–75.9) | 23.1 (21.7–24.6) | 13.8 (9.2–19.3) |
| Median (Months) | - | - | 16.2 | 14 |
| RS % (95% CI) | ||||
| 1-year | 78.7 (78.1–79.3) | 93.2 (92.6–93.8) | 53.7 (52.3–55.1) | 50.8 (44.4–56.8) |
| 2-year | 72.5 (71.8–73.2) | 91.0 (90.2–91.7) | 39.6 (38.2–41.0) | 25.9 (20.4–31.7) |
| 5-year | 63.4 (62.5–64.2) | 84.3 (83.1–85.5) | 26.1 (24.6–27.5) | 13.8 (9.5–19.0) |
| 10-year | 53.2 (51.9–54.5) | 71.8 (69.5–73.9) | 21.4 (19.8–23.2) | 10.2 (6.3–15.2) |
| Median (Months) | - | - | 14.4 | 13 |
| Small Bowel | Signet Ring vs non-Signet Ring | Signet Ring vs Carcinoid | Signet Ring vs Adenocarcinoma | |||
|---|---|---|---|---|---|---|
| HR (95% CI) | Univariate | Multivariable | Univariate | Multivariable | Univariate | Multivariable |
| Signet Ring Histology | 4.10 (3.59–4.69) | 1.64 (1.43–1.88) | 12.9 (11.2–14.9) | 4.47 (3.57–5.60) | 1.35 (1.18–1.54) | 1.23 (1.06–1.41) |
| Age (per 10 years) | 1.31 (1.29–1.34) | 1.32 (1.30–1.35) | 1.36 (1.32–1.41) | 1.46 (1.41–1.51) | 1.20 (1.17–1.23) | 1.15 (1.12–1.18) |
| Gender (Female) | 0.97 (0.93-1.02) * | 0.94 (0.90–0.98) | 1.06 (0.98–1.15) | 0.99 (0.92–1.08) * | 1.02 (0.95–1.09) * | 1.00 (0.94–1.07) * |
| Race | ||||||
| Black | 1.02 (0.96-1.08) * | 1.10 (1.03–1.17) | 0.75 (0.66–0.85) | 1.00 (0.88-1.13) * | 1.01 (0.93–1.10) * | 1.02 (0.93–1.11) * |
| Other | 1.15 (1.05-1.27) | 0.99 (0.90–1.08) * | 0.71 (0.54–0.92) | 0.73 (0.56–0.96) | 0.97 (0.85–1.10) * | 0.88 (0.77–1.00) * |
| Detection Stage | ||||||
| In Situ | 1.09 (0.74-1.61) * | 0.91 (0.61–1.34) * | 1.94 (0.27-13.9) * | 1.41 (0.20-10.1) * | 0.88 (0.46–1.71) * | 0.69 (0.36–1.34) * |
| Regional | 2.20 (2.05–2.36) | 2.06 (1.91–2.21) | 2.78 (2.39–3.23) | 2.99 (2.57–3.49) | 1.79 (1.61–2.00) | 2.03 (1.81–2.27) |
| Distant | 5.91 (5.53–6.32) | 4.62 (4.31–4.96) | 9.64 (8.38–11.1) | 8.90 (7.71–10.3) | 5.10 (4.58–5.67) | 4.53 (4.03–5.09) |
| Unstaged | 3.35 (3.02–3.71) | 1.93 (1.73–2.15) | 2.94 (2.32–3.73) | 1.82 (1.42–2.32) | 3.72 (3.20–4.34) | 1.95 (1.66–2.28) |
| Grade Differentiation | ||||||
| Moderate | 3.96 (3.63–4.32) | 3.50 (3.20–3.82) | 1.70 (1.42–2.03) | 1.46 (1.22–1.75) | 1.22 (1.05–1.42) | 1.12 (0.96–1.30) * |
| Poor | 8.14 (7.46–8.88) | 5.58 (5.08–6.11) | 10.5 (8.95–12.3) | 2.94 (2.34–3.70) | 1.77 (1.52–2.06) | 1.50 (1.28–1.75) |
| Undifferentiated | 5.95 (5.17–6.85) | 5.11 (4.43–5.89) | 11.4 (8.2–15.8) | 4.64 (3.32–6.50) | 2.13 (1.55–2.92) | 2.23 (1.62–3.07) |
| Unknown | 2.07 (1.90–2.24) | 1.63 (1.50–1.77) | 1.54 (1.38–1.72) | 1.45 (1.29–1.62) | 2.54 (2.17–2.98) | 1.17 (0.99–1.37) * |
| Surgery (Yes) | 0.28 (0.26–0.29) | 0.36 (0.34–0.38) | 0.42 (0.38–0.46) | 0.47 (0.42–0.53) | 0.28 (0.26–0.30) | 0.40 (0.37–0.43) |
| Radiotherapy (Yes) | 2.93 (2.71–3.18) | 1.38 (1.27–1.50) | 4.42 (3.55–5.51) | 1.53 (1.22–1.92) | 1.07 (0.97–1.18) * | 1.10 (0.99–1.22) * |
| Chemotherapy (Yes) | 2.69 (2.57–2.82) | 1.31 (1.24–1.38) | 4.66 (4.20–5.17) | 1.73 (1.53–1.96) | 0.94 (0.88–1.01) * | 0.66 (0.62–0.71) |
| Ovarian | All | Papillary Serous Cystadeno. | Adenocarcinoma | Signet |
|---|---|---|---|---|
| N | 104,705 (100) | 25,411 (24.3) | 11,844 (11.3) | 186 (0.2) |
| Age (Years) (%) | ||||
| 0–14 | 645 (0.6) | 6 (<0.1) | 2 (<0.1) | 0 (0) |
| 15–29 | 3906 (3.7) | 493 (1.9) | 58 (0.5) | 3 (1.6) |
| 30–49 | 20,498 (19.6) | 4802 (18.9) | 952 (8.1) | 34 (18.3) |
| 50–69 | 45,891 (43.8) | 12,533 (49.3) | 4351 (36.7) | 86 (46.2) |
| 70–85 | 27,087 (25.9) | 6782 (26.7) | 4903 (41.4) | 51 (27.4) |
| >85 | 6678 (6.4) | 795 (3.1) | 1578 (13.3) | 12 (6.5) |
| Mean (SD) | 60.7 (16.6) | 61.0 (14.0) | 69.7 (13.6) | 62.7 (14.7) |
| Race (%) | ||||
| White | 87,315 (83.4) | 22,197 (87.4) | 9846 (83.1) | 153 (82.3) |
| Black | 8499 (8.1) | 1674 (6.6) | 1265 (10.7) | 16 (8.6) |
| Other | 8891 (8.5) | 1540 (6.1) | 733 (6.2) | 17 (9.1) |
| Detection Stage (%) | ||||
| In Situ | 621 (0.6) | 14 (0.1) | 28 (0.2) | 0 (0) |
| Localized | 23,494 (22.4) | 2946 (11.6) | 444 (3.7) | 9 (4.8) |
| Regional | 9969 (9.5) | 1953 (7.7) | 611 (5.2) | 8 (4.3) |
| Distant | 64,289 (61.4) | 20,088 (79.1) | 9866 (83.3) | 161 (86.6) |
| Unstaged | 6332 (5.0) | 410 (1.6) | 895 (7.6) | 8 (4.3) |
| Grade Differentiation (%) | ||||
| Well | 7167 (6.8) | 1152 (4.6) | 162 (1.4) | 0 (0) |
| Moderate | 12,908 (12.3) | 3807 (15.0) | 569 (4.8) | 9 (4.8) |
| Poor | 30,025 (28.7) | 10,154 (40.0) | 3002 (25.3) | 68 (36.6) |
| Undifferentiated | 12,532 (12.0) | 3583 (14.1) | 322 (2.7) | 4 (2.2) |
| Unknown | 42,073 (40.2) | 6715 (26.4) | 7789 (65.8) | 105 (56.5) |
| Surgery (%) | ||||
| Yes | 82,018 (78.3) | 23,452 (92.3) | 4154 (35.1) | 97 (52.2) |
| No | 22,687 (21.7) | 1959 (7.7) | 7690 (64.9) | 89 (47.8) |
| Radiotherapy (%) | ||||
| Yes | 1567 (1.5) | 266 (1.0) | 200 (1.7) | 1 (0.5) |
| No | 103,138 (98.5) | 25,145 (99.0) | 11,644 (98.3) | 185 (99.5) |
| Chemotherapy (%) | ||||
| Yes | 63,158 (60.3) | 18,316 (72.1) | 7101 (60.0) | 114 (61.3) |
| No | 41,547 (39.7) | 7095 (27.9) | 4743 (40.0) | 72 (38.7) |
| Incidence Rate (95% CI) ^ | 12.5 (12.4–12.6) | 2.75 (2.71–2.79) | 1.40 (1.38–1.43) | 2.0 (1.7–2.4) †† |
| CSS % (95% CI) | ||||
| 1-year | 72.8 (72.5–73.2) | 83.0 (82.4–83.5) | 50.7 (49.6–51.7) | 41.7 (33.1–50.0) |
| 2-year | 70.0 (60.6–61.3) | 68.0 (67.3–68.7) | 36.9 (35.9–38.0) | 25.4 (18.1–33.5) |
| 5-year | 40.6 (40.1–40.9) | 38.2 (37.5–39.0) | 19.2 (18.3–20.2) | 10.8 (6.0–17.1) |
| 10-year | 30.4 (30.0–30.8) | 23.3 (22.6–24.1) | 12.9 (12.1–13.8) | 6.6 (2.9–12.4) |
| Median (Months) | 39.2 | 41.9 | 12.5 | 7.9 |
| RS % (95% CI) | ||||
| 1-year | 72.0 (71.7–72.3) | 83.1 (82.4–83.7) | 49.1 (48.1–50.2) | 40.1 (31.7–48.4) |
| 2-year | 60.6 (60.2–60.9) | 68.6 (67.8–69.4) | 35.8 (34.7–36.8) | 24.2 (16.9–32.1) |
| 5-year | 40.6 (40.2–41.0) | 39.3 (38.5–40.1) | 18.5 (17.6–19.4) | 9.9 (5.3–16.1) |
| 10-year | 30.7 (30.2–31.2) | 24.5 (23.6–25.4) | 12.3 (11.4–13.2) | 7.1 (3.1–13.4) |
| Median (Months) | 38.9 | 43.3 | 11.3 | 7.4 |
| Ovarian | Signet Ring vs. non-Signet Ring | Signet Ring vs. Papillary Serous Cystadenocarcinoma | Signet Ring vs. Adenocarcinoma | |||
|---|---|---|---|---|---|---|
| HR (95% CI) | Univariate | Multivariable | Univariate | Multivariable | Univariate | Multivariable |
| Signet Ring Histology | 2.95 (2.47–3.51) | 1.56 (1.31–1.86) | 2.99 (2.51–3.56) | 1.87 (1.56–2.23) | 1.15 (0.96-1.37) * | 1.30 (1.09–1.56) |
| Age (per 10 years) | 1.52 (1.51–1.53) | 1.29 (1.28–1.30) | 1.38 (1.36–1.39) | 1.27 (1.26–1.29) | 1.34 (1.31–1.36) | 1.16 (1.13–1.18) |
| Race | ||||||
| Black | 1.17 (1.13–1.20) | 1.20 (1.16–1.24) | 1.08 (1.01–1.15) | 1.18 (1.11–1.26) | 1.24 (1.16–1.34) | 1.21 (1.13-1.31) |
| Other | 0.72 (0.70–0.75) | 0.94 (0.91–0.98) | 0.83 (0.77–0.89) | 0.94 (0.88–1.01) * | 0.86 (0.78–0.94) | 0.95 (0.86-1.04) * |
| Detection Stage | ||||||
| In Situ | 0.34 (0.22–0.54) | 0.35 (0.22–0.55) | - | - | - | - |
| Regional | 4.70 (4.45–4.97) | 3.70 (3.49–3.91) | 4.32 (3.79–4.91) | 3.31 (2.91–3.77) | 4.43 (3.49–5.62) | 4.00 (3.14–5.10) |
| Distant | 13.2 (12.6–13.7) | 9.01 (8.61–9.43) | 12.0 (10.8–13.3) | 8.90 (7.99–9.92) | 9.62 (7.79–11.9) | 7.56 (6.07–9.40) |
| Unstaged | 13.0 (12.3–13.7) | 5.17 (4.88–5.48) | 8.78 (7.45–10.3) | 5.56 (4.70–6.57) | 9.80 (7.59–11.9) | 5.34 (4.23–6.74) |
| Grade Differentiation | ||||||
| Moderate | 2.86 (2.69–3.05) | 1.76 (1.65–1.88) | 2.54 (2.28–2.82) | 1.99 (1.79–2.22) | 3.16 (2.33–4.30) | 1.47 (1.08–2.01) |
| Poor | 5.17 (4.87–5.49) | 2.08 (1.96–2.21) | 3.20 (2.89–3.53) | 2.14 (1.93–2.37) | 3.30 (2.46–4.42) | 1.35 (1.00–1.81) * |
| Undifferentiated | 4.69 (4.41–5.00) | 1.98 (1.86–2.11) | 2.99 (2.69–3.33) | 2.03 (1.83–2.26) | 3.22 (2.34–4.43) | 1.43 (1.03–1.97) |
| Unknown | 4.43 (4.17–4.70) | 1.81 (1.70–1.92) | 1.93 (1.74–2.14) | 1.75 (1.58–1.94) | 5.97 (4.47–7.99) | 1.46 (1.08–1.97) |
| Surgery (Yes) | 0.21 (0.20-0.22) | 0.36 (0.35-0.37) | 0.30 (0.28-0.31) | 0.38 (0.36-0.41) | 0.33 (0.31-0.35) | 0.47 (0.44-0.49) |
| Radiotherapy (Yes) | 1.34 (1.26-1.43) | 1.19 (1.12-1.27) | 1.11 (0.96-1.29) | 0.99 (0.85-1.15) * | 1.05 (0.90-1.23) * | 1.05 (0.89-1.22) * |
| Chemotherapy (Yes) | 1.64 (1.61-1.67) | 0.91 (0.89-0.93) | 1.98 (1.90-2.06) | 1.08 (1.04-1.13) | 0.67 (0.64-0.71) | 0.59 (0.56-0.62) |
| Prostate | All | Adenocarcinoma | Signet Ring |
|---|---|---|---|
| N | 999,669 (100) | 959,899 (96.0) | 152 (0.02) |
| Age (Years) (%) | |||
| 0–14 | 44 (<0.1) | 0 (0) * | 0 (0) * |
| 15–29 | 43 (<0.1) | 10 (<0.1) * | 0 (0) * |
| 30–49 | 27,207 (2.7) | 26,290 (2.7) * | 4 (2.6) * |
| 50–69 | 578,769 (57.9) | 563,449 (58.7) * | 83 (54.6) * |
| 70–85 | 356,646 (35.7) | 340,627 (35.5) * | 60 (39.5) * |
| >85 | 36,960 (3.7) | 29,523 (3.1) * | 5 (3.3) * |
| Mean (SD) | 67.1 (9.5) | 66.8 (9.3) * | 68.5 (9.8) * |
| Race (%) | |||
| White | 796,772 (79.7) | 764,998 (79.7) | 107 (70.4) |
| Black | 148,696 (14.9) | 143,025 (14.9) | 31 (0.4) |
| Other | 54,201 (5.4) | 51,876 (5.4) | 14 (9.2) |
| Detection Stage (%) | |||
| In Situ | 155 (<0.1) | 75 (<0.1) | 0 (0) |
| Localized/Regional | 840,596 (84.1) | 822,046 (85.6) | 114 (75.0) |
| Distant | 48,394 (4.8) | 40,274 (4.2) | 20 (13.2) |
| Unstaged | 110,524 (11.1) | 97,504 (10.2) | 18 (11.8) |
| Grade Differentiation (%) | |||
| Well | 67,068 (6.7) | 66,219 (6.9) | 0 (0) |
| Moderate | 503,255 (50.3) | 494,704 (51.5) | 11 (7.2) |
| Poor | 365,431 (36.6) | 358,221 (37.3) | 137 (90.1) |
| Undifferentiated | 2977 (0.3) | 2541 (0.3) | 1 (0.7) |
| Unknown | 60,938 (6.1) | 38,214 (4.0) | 3 (2.0) |
| Surgery (%) | |||
| Yes | 439,779 (44.0) | 426,321 (44.4) * | 71 (46.7) * |
| No | 559,890 (56.0) | 533,578 (55.6) * | 81 (53.3) * |
| Radiotherapy (%) | |||
| Yes | 343,522 (34.4) | 336,965 (35.1) * | 50 (32.9) * |
| No | 656,147 (65.6) | 622,934 (64.9) * | 102 (67.1) * |
| Chemotherapy (%) | |||
| Yes | 8234 (0.8) | 7086 (0.7) * | 3 (2.0) * |
| No | 991,435 (99.2) | 952,813 (99.3) * | 149 (98.0) * |
| Incidence Rate (95% CI) ^ | 141.2 (140.9–141.5) | 134.1 (133.8–134.3) | 2.0 (1.7–2.4) †† |
| CSS % (95% CI) | |||
| 1-year | 97.83 (97.79–97.86) | 98.49 (98.45–98.52) | 96.0 (90.7–98.3) |
| 2-year | 96.07 (96.03–96.12) | 96.92 (96.87–96.96) | 92.4 (84.0–96.5) |
| 5-year | 92.33 (92.26–92.39) | 93.35 (93.28–93.42) | 83.6 (72.5–90.5) |
| 10-year | 87.1 (87.0–87.2) | 88.1 (88.0–88.2) | 69.8 (56.4–79.8) |
| Median (Months) | - | - | - |
| RS (Months) (95% CI) | |||
| 1-year | 99.00 (98.95–99.04) | 99.70 (99.67–99.74) | 94.9 (88.1–97.8) |
| 2-year | 98.37 (98.30–98.43) | 99.35 (99.29–99.40) | 88.5 (76.0–94.7) |
| 5-year | 97.4 (97.3–97.5) | 98.7 (98.6–98.8) | 79.4 (64.1–88.7) |
| 10-year | 95.8 (95.1–96.0) | 97.2 (96.9–97.5) | 65.9 (46.8–79.5) |
| Median (Months) | - | - | - |
| Prostate | Signet Ring vs. non-Signet Ring | Signet Ring vs. Adenocarcinoma | ||
|---|---|---|---|---|
| HR (95% CI) | Univariate | Multivariable | Univariate | Multivariable |
| Signet Ring Histology | 2.41 (1.71–3.39) | 1.17 (0.83–1.65) * | 2.63 (1.87–3.70) | 1.16 (0.83–1.63) * |
| Age (per 10 years) | 2.11 (2.09–2.12) | 1.67 (1.65–1.68) | 2.01 (1.99–2.02) | 1.67 (1.66–1.69) |
| Race | ||||
| Black | 1.27 (1.25–1.29) | 1.28 (1.26–1.31) | 1.30 (1.27–1.32) | 1.31 (1.29–1.33) |
| Other | 0.99 (0.97–1.02) * | 0.77 (0.75–0.79) | 0.98 (0.95–1.01) * | 0.76 (0.74–0.79) |
| Detection Stage | ||||
| In Situ | 1.21 (0.67–2.18) * | 0.56 (0.31–1.01) * | 1.17 (0.52–2.60) * | 0.60 (0.27–1.34) * |
| Distant | 27.4 (27.0–27.8) | 13.6 (13.3–13.8) | 26.7 (26.2–27.1) | 14.1 (13.9–14.4) |
| Unstaged | 3.02 (2.97–3.07) | 2.62 (2.57–2.66) | 2.66 (2.62–2.71) | 2.56 (2.51–2.60) |
| Grade Differentiation | ||||
| Moderate | 1.03 (0.99–1.08) * | 1.37 (1.31–1.42) | 1.04 (0.99–1.08) * | 1.35 (1.30–1.42) |
| Poor | 3.21 (3.09–3.34) | 3.39 (3.26–3.53) | 3.26 (3.14–3.39) | 3.38 (3.25–3.52) |
| Undifferentiated | 8.82 (8.22–9.47) | 5.94 (5.54–6.38) | 7.85 (7.27–8.47) | 5.28 (4.89–5.70) |
| Unknown | 8.87 (8.52–9.24) | 3.87 (3.72–4.04) | 6.50 (6.23–6.79) | 3.37 (3.22–3.52) |
| Surgery (Yes) | 0.486 (0.479–0.492) | 0.72 (0.71–0.73) | 0.524 (0.517–0.531) | 0.73 (0.72–0.74) |
| Radiotherapy (Yes) | 0.79 (0.78–0.80) | 0.84 (0.83–0.86) | 0.84 (0.83–0.85) | 0.85 (0.83–0.86) |
| Chemotherapy (Yes) | 7.21 (6.96–7.45) | 2.30 (2.22–2.38) | 6.99 (6.73–7.26) | 2.24 (2.15–2.33) |
© 2020 by the authors. Licensee MDPI, Basel, Switzerland. This article is an open access article distributed under the terms and conditions of the Creative Commons Attribution (CC BY) license (http://creativecommons.org/licenses/by/4.0/).
Share and Cite
Benesch, M.G.K.; Mathieson, A. Epidemiology of Signet Ring Cell Adenocarcinomas. Cancers 2020, 12, 1544. https://doi.org/10.3390/cancers12061544
Benesch MGK, Mathieson A. Epidemiology of Signet Ring Cell Adenocarcinomas. Cancers. 2020; 12(6):1544. https://doi.org/10.3390/cancers12061544
Chicago/Turabian StyleBenesch, Matthew G.K., and Alexander Mathieson. 2020. "Epidemiology of Signet Ring Cell Adenocarcinomas" Cancers 12, no. 6: 1544. https://doi.org/10.3390/cancers12061544
APA StyleBenesch, M. G. K., & Mathieson, A. (2020). Epidemiology of Signet Ring Cell Adenocarcinomas. Cancers, 12(6), 1544. https://doi.org/10.3390/cancers12061544

