Added Value of Computed Tomography to Ultrasonography for Assessing LN Metastasis in Preoperative Patients with Thyroid Cancer: Node-by-Node Correlation
Abstract
1. Introduction
2. Results
2.1. Baseline Characteristics
2.2. Incidences and Malignancy Risks of the US, CT, and Combined US/CT Categories
2.3. Malignancy Risks of the Combined US/CT Categories According to the US and CT Categories
2.4. Concordance between the US and CT Categories
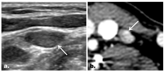
2.5. CT Imaging Features in the Reclassified Cases
2.6. Interobserver Aagreement for the US and CT Classification of LNs
3. Discussion
4. Materials and Methods
4.1. Patient Selection
4.2. Image Acquisition
4.3. Image Analysis
4.4. Statistical Analysis
5. Conclusions
Author Contributions
Funding
Acknowledgments
Conflicts of Interest
References
- Haugen, B.R.; Alexander, E.K.; Bible, K.C.; Doherty, G.M.; Mandel, S.J.; Nikiforov, Y.E.; Pacini, F.; Randolph, G.W.; Sawka, A.M.; Schlumberger, M.; et al. 2015 American Thyroid Association management guidelines for adult patients with thyroid nodules and differentiated thyroid cancer: The American Thyroid Association guidelines task force on thyroid nodules and differentiated thyroid cancer. Thyroid 2016, 26, 11–33. [Google Scholar] [CrossRef]
- Kim, T.M.; Kim, J.H.; Yoo, R.E.; Kim, S.C.; Chung, E.J.; Hong, E.K.; Jo, S.; Kang, K.M.; Choi, S.H.; Sohn, C.H.; et al. Persistent/recurrent differentiated thyroid cancer: Clinical and radiological characteristics of persistent disease and clinical recurrence based on computed tomography analysis. Thyroid 2018, 28, 1490–1499. [Google Scholar] [CrossRef]
- Moreno, M.A.; Edeiken-Monroe, B.S.; Siegel, E.R.; Sherman, S.I.; Clayman, G.L. In papillary thyroid cancer, preoperative central neck ultrasound detects only macroscopic surgical disease, but negative findings predict excellent long-term regional control and survival. Thyroid 2012, 22, 347–355. [Google Scholar] [CrossRef] [PubMed]
- Randolph, G.W.; Duh, Q.Y.; Heller, K.S.; LiVolsi, V.A.; Mandel, S.J.; Steward, D.L.; Tufano, R.P.; Tuttle, R.M.; American Thyroid Association Surgical Affairs Committee’s Taskforce on Thyroid Cancer Nodal Surgery. The prognostic significance of nodal metastases from papillary thyroid carcinoma can be stratified based on the size and number of metastatic lymph nodes, as well as the presence of extranodal extension. Thyroid 2012, 22, 1144–1152. [Google Scholar] [CrossRef]
- Shaha, A.R. Complications of neck dissection for thyroid cancer. Ann. Surg. Oncol. 2008, 15, 397–399. [Google Scholar] [CrossRef] [PubMed]
- Stack, B.C., Jr.; Ferris, R.L.; Goldenberg, D.; Haymart, M.; Shaha, A.; Sheth, S.; Sosa, J.A.; Tufano, R.P.; American Thyroid Association Surgical Affairs Committee. American Thyroid Association consensus review and statement regarding the anatomy, terminology, and rationale for lateral neck dissection in differentiated thyroid cancer. Thyroid 2012, 22, 501–508. [Google Scholar] [CrossRef]
- Gharib, H.; Papini, E.; Garber, J.R.; Duick, D.S.; Harrell, R.M.; Hegedus, L.; Paschke, R.; Valcavi, R.; Vitti, P.; Nodules, A.A.A.T.F.o.T. American Association of Clinical Endocrinologists, American College of Endocrinology, and Associazione Medici Endocrinologi medical guidelines for clinical practice for the diagnosis and management of thyroid nodules--2016 Update. Endocr. Pract. 2016, 22, 622–639. [Google Scholar] [CrossRef]
- Leenhardt, L.; Erdogan, M.F.; Hegedus, L.; Mandel, S.J.; Paschke, R.; Rago, T.; Russ, G. 2013 European thyroid association guidelines for cervical ultrasound scan and ultrasound-guided techniques in the postoperative management of patients with thyroid cancer. Eur. Thyroid J. 2013, 2, 147–159. [Google Scholar] [CrossRef] [PubMed]
- Pompili, G.G.; Tresoldi, S.; Ravelli, A.; Primolevo, A.; Di Leo, G.; Carrafiello, G. Use of the ultrasound-based total malignancy score in the management of thyroid nodules. Ultrasonography 2018, 37, 315–322. [Google Scholar] [CrossRef] [PubMed]
- Shin, J.H.; Baek, J.H.; Chung, J.; Ha, E.J.; Kim, J.H.; Lee, Y.H.; Lim, H.K.; Moon, W.J.; Na, D.G.; Park, J.S.; et al. Ultrasonography diagnosis and imaging-based management of thyroid nodules: Revised Korean Society of Thyroid Radiology consensus statement and recommendations. Korean J. Radiol. 2016, 17, 370–395. [Google Scholar] [CrossRef] [PubMed]
- Tessler, F.N.; Middleton, W.D.; Grant, E.G.; Hoang, J.K.; Berland, L.L.; Teefey, S.A.; Cronan, J.J.; Beland, M.D.; Desser, T.S.; Frates, M.C.; et al. ACR Thyroid Imaging, Reporting and Data System (TI-RADS): White paper of the ACR TI-RADS committee. J. Am. Coll. Radiol. 2017, 14, 587–595. [Google Scholar] [CrossRef] [PubMed]
- Yeh, M.W.; Bauer, A.J.; Bernet, V.A.; Ferris, R.L.; Loevner, L.A.; Mandel, S.J.; Orloff, L.A.; Randolph, G.W.; Steward, D.L.; American Thyroid Association Surgical Affairs Committee Writing Task Force. American Thyroid Association statement on preoperative imaging for thyroid cancer surgery. Thyroid 2015, 25, 3–14. [Google Scholar] [CrossRef]
- Fish, S.A.; Langer, J.E.; Mandel, S.J. Sonographic imaging of thyroid nodules and cervical lymph nodes. Endocrinol. Metab. Clin. North. Am. 2008, 37, 401–417, ix. [Google Scholar] [CrossRef]
- Kuna, S.K.; Bracic, I.; Tesic, V.; Kuna, K.; Herceg, G.H.; Dodig, D. Ultrasonographic differentiation of benign from malignant neck lymphadenopathy in thyroid cancer. J. Ultrasound Med. 2006, 25, 1531–1537, quiz 1538–1540. [Google Scholar] [CrossRef]
- Rosario, P.W.; de Faria, S.; Bicalho, L.; Alves, M.F.; Borges, M.A.; Purisch, S.; Padrao, E.L.; Rezende, L.L.; Barroso, A.L. Ultrasonographic differentiation between metastatic and benign lymph nodes in patients with papillary thyroid carcinoma. J. Ultrasound Med. 2005, 24, 1385–1389. [Google Scholar] [CrossRef] [PubMed]
- Sohn, Y.M.; Kwak, J.Y.; Kim, E.K.; Moon, H.J.; Kim, S.J.; Kim, M.J. Diagnostic approach for evaluation of lymph node metastasis from thyroid cancer using ultrasound and fine-needle aspiration biopsy. AJR Am. J. Roentgenol. 2010, 194, 38–43. [Google Scholar] [CrossRef]
- Al-Hilli, Z.; Strajina, V.; McKenzie, T.J.; Thompson, G.B.; Farley, D.R.; Regina Castro, M.; Algeciras-Schimnich, A.; Richards, M.L. Thyroglobulin measurement in fine-needle aspiration improves the diagnosis of cervical lymph node metastases in papillary thyroid carcinoma. Ann. Surg. Oncol. 2017, 24, 739–744. [Google Scholar] [CrossRef] [PubMed]
- Kim, H.; Jin, Y.J.; Cha, W.; Jeong, W.J.; Ahn, S.H. Feasibility of super-selective neck dissection for indeterminate lateral neck nodes in papillary thyroid carcinoma. Head Neck 2014, 36, 487–491. [Google Scholar] [CrossRef]
- Kouvaraki, M.A.; Shapiro, S.E.; Fornage, B.D.; Edeiken-Monro, B.S.; Sherman, S.I.; Vassilopoulou-Sellin, R.; Lee, J.E.; Evans, D.B. Role of preoperative ultrasonography in the surgical management of patients with thyroid cancer. Surgery 2003, 134, 946–954; discussion 954–955. [Google Scholar] [CrossRef]
- Yoo, R.E.; Kim, J.H.; Bae, J.M.; Hwang, I.; Kang, K.M.; Yun, T.J.; Choi, S.H.; Sohn, C.H.; Rhim, J.H.; Park, S.W. 2020 Ultrasonographic indeterminate lymph nodes in preoperative thyroid cancer patients: Malignancy risk and ultrasonographic findings predictive of malignancy. KJR 2020, (in press).
- Bongers, P.J.; Verzijl, R.; Dzingala, M.; Vriens, M.R.; Yu, E.; Pasternak, J.D.; Rotstein, L.E. Preoperative computed tomography changes surgical management for clinically low-risk well-differentiated thyroid cancer. Ann. Surg. Oncol. 2019. [Google Scholar] [CrossRef] [PubMed]
- Kim, E.; Park, J.S.; Son, K.R.; Kim, J.H.; Jeon, S.J.; Na, D.G. Preoperative diagnosis of cervical metastatic lymph nodes in papillary thyroid carcinoma: Comparison of ultrasound, computed tomography, and combined ultrasound with computed tomography. Thyroid 2008, 18, 411–418. [Google Scholar] [CrossRef] [PubMed]
- Lee, Y.; Kim, J.H.; Baek, J.H.; Jung, S.L.; Park, S.W.; Kim, J.; Yun, T.J.; Ha, E.J.; Lee, K.E.; Kwon, S.Y.; et al. Value of CT added to ultrasonography for the diagnosis of lymph node metastasis in patients with thyroid cancer. Head Neck 2018, 40, 2137–2148. [Google Scholar] [CrossRef] [PubMed]
- Lesnik, D.; Cunnane, M.E.; Zurakowski, D.; Acar, G.O.; Ecevit, C.; Mace, A.; Kamani, D.; Randolph, G.W. Papillary thyroid carcinoma nodal surgery directed by a preoperative radiographic map utilizing CT scan and ultrasound in all primary and reoperative patients. Head Neck 2014, 36, 191–202. [Google Scholar] [CrossRef] [PubMed]
- Langer, J.E.; Mandel, S.J. Sonographic imaging of cervical lymph nodes in patients with thyroid cancer. Neuroimaging Clin. N. Am. 2008, 18, 479–489, vii–viii. [Google Scholar] [CrossRef] [PubMed]
- Leboulleux, S.; Girard, E.; Rose, M.; Travagli, J.P.; Sabbah, N.; Caillou, B.; Hartl, D.M.; Lassau, N.; Baudin, E.; Schlumberger, M. Ultrasound criteria of malignancy for cervical lymph nodes in patients followed up for differentiated thyroid cancer. J. Clin. Endocrinol. Metab. 2007, 92, 3590–3594. [Google Scholar] [CrossRef]
- Suh, C.H.; Baek, J.H.; Choi, Y.J.; Lee, J.H. Performance of CT in the preoperative diagnosis of cervical lymph node metastasis in patients with papillary thyroid cancer: A systematic review and meta-analysis. AJNR Am. J. Neuroradiol. 2017, 38, 154–161. [Google Scholar] [CrossRef]
- Lee, D.H.; Kim, Y.K.; Yu, H.W.; Choi, J.Y.; Park, S.Y.; Moon, J.H. Computed tomography for detecting cervical lymph node metastasis in patients who have papillary thyroid microcarcinoma with tumor characteristics appropriate for active surveillance. Thyroid 2019, 29, 1653–1659. [Google Scholar] [CrossRef]
- Bardet, S.; Ciappuccini, R.; Quak, E.; Rame, J.P.; Blanchard, D.; de Raucourt, D.; Babin, E.; Michels, J.J.; Vaur, D.; Heutte, N. Prognostic value of microscopic lymph node involvement in patients with papillary thyroid cancer. J. Clin. Endocrinol. Metab. 2015, 100, 132–140. [Google Scholar] [CrossRef]
- Carty, S.E.; Cooper, D.S.; Doherty, G.M.; Duh, Q.Y.; Kloos, R.T.; Mandel, S.J.; Randolph, G.W.; Stack, B.C., Jr.; Steward, D.L.; Terris, D.J.; et al. Consensus statement on the terminology and classification of central neck dissection for thyroid cancer. Thyroid 2009, 19, 1153–1158. [Google Scholar] [CrossRef]
- Landis, J.R.; Koch, G.G. The measurement of observer agreement for categorical data. Biometrics 1977, 33, 159–174. [Google Scholar] [CrossRef] [PubMed]






| Category | US | CT | Combined US/CT |
|---|---|---|---|
| Probably benign | 21.2 (58/274) | 8.4 (23/274) | 20.4 (56/274) |
| Indeterminate | 24.5 (67/274) | 36.9 (101/274) | 18.2 (50/274) |
| Suspicious | 54.4 (149/274) | 54.7 (150/274) | 61.3 (168/274) |
| Category | US | CT | Combined US/CT |
|---|---|---|---|
| Probably benign | 1.7 (1/58) | 8.7 (2/23) | 0 (0/56) |
| Indeterminate | 22.4 (15/67) | 5.9 (6/101) | 8.0 (4/50) |
| Suspicious | 77.2 (115/149) | 82.0 (123/150) | 75.6 (127/168) |
| US | CT | Combined US/CT | Malignancy Risk % * |
|---|---|---|---|
| Probably benign (16) | Probably benign (16) | 0 (0/16) | |
| Probably benign (58) | Indeterminate (38) | Probably benign (38) | 0 (0/38) |
| Suspicious (4) | Suspicious (4) | 25.0 (1/4) | |
| Probably benign (2) | Probably benign (2) | 0 (0/2) | |
| Indeterminate (67) | Indeterminate (50) | Indeterminate (50) | 8.0 (4/50) |
| Suspicious (15) | Suspicious (15) | 73.3 (11/15) | |
| Probably benign (5) | Suspicious (5) | 40.0 (2/5) | |
| Suspicious (149) | Indeterminate (13) | Suspicious (13) | 15.4 (2/13) |
| Suspicious (131) | Suspicious (131) | 84.7 (111/131) |
| US/CT Category * | No. of LNs (%) | Malignancy Risk % † |
|---|---|---|
| Concordant benign | 16 (5.8) | 0 (0/16) |
| Discordant benign | 40 (14.6) | 0 (0/40) |
| Concordant indeterminate | 50 (18.2) | 8.0 (4/50) |
| Concordant suspicious | 131 (47.8) | 84.7 (111/131) |
| Discordant suspicious | 37 (13.5) | 43.2 (16/37) |
© 2020 by the authors. Licensee MDPI, Basel, Switzerland. This article is an open access article distributed under the terms and conditions of the Creative Commons Attribution (CC BY) license (http://creativecommons.org/licenses/by/4.0/).
Share and Cite
Yoo, R.-E.; Kim, J.-h.; Hwang, I.; Kang, K.M.; Yun, T.J.; Choi, S.H.; Sohn, C.-H.; Park, S.-W. Added Value of Computed Tomography to Ultrasonography for Assessing LN Metastasis in Preoperative Patients with Thyroid Cancer: Node-by-Node Correlation. Cancers 2020, 12, 1190. https://doi.org/10.3390/cancers12051190
Yoo R-E, Kim J-h, Hwang I, Kang KM, Yun TJ, Choi SH, Sohn C-H, Park S-W. Added Value of Computed Tomography to Ultrasonography for Assessing LN Metastasis in Preoperative Patients with Thyroid Cancer: Node-by-Node Correlation. Cancers. 2020; 12(5):1190. https://doi.org/10.3390/cancers12051190
Chicago/Turabian StyleYoo, Roh-Eul, Ji-hoon Kim, Inpyeong Hwang, Koung Mi Kang, Tae Jin Yun, Seung Hong Choi, Chul-Ho Sohn, and Sun-Won Park. 2020. "Added Value of Computed Tomography to Ultrasonography for Assessing LN Metastasis in Preoperative Patients with Thyroid Cancer: Node-by-Node Correlation" Cancers 12, no. 5: 1190. https://doi.org/10.3390/cancers12051190
APA StyleYoo, R.-E., Kim, J.-h., Hwang, I., Kang, K. M., Yun, T. J., Choi, S. H., Sohn, C.-H., & Park, S.-W. (2020). Added Value of Computed Tomography to Ultrasonography for Assessing LN Metastasis in Preoperative Patients with Thyroid Cancer: Node-by-Node Correlation. Cancers, 12(5), 1190. https://doi.org/10.3390/cancers12051190

