Comprehensive Immunoprofiles of Renal Cell Carcinoma Subtypes
Abstract
1. Introduction
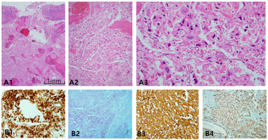
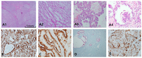
2. Results
3. Discussion
4. Materials and Methods
4.1. Tissue Samples and Data Collection
4.2. IHC Analysis
4.3. Evaluation of IHC Staining
4.4. Confirmation of FISH Break-Apart Probe of TFE3
5. Conclusions
Supplementary Materials
Author Contributions
Funding
Conflicts of Interest
References
- Inamura, K. Renal Cell Tumors: Understanding Their Molecular Pathological Epidemiology and the 2016 WHO Classification. Int. J. Mol. Sci. 2017, 18, 2195. [Google Scholar] [CrossRef] [PubMed]
- Lopez-Beltran, A.; Cheng, L.; Vidal, A.; Scarpelli, M.; Kirkali, Z.; Blanca, A.; Montironi, R. Pathology of renal cell carcinoma: An update. Anal. Quant. Cytopathol. Histpathol. 2013, 35, 61–76. [Google Scholar] [PubMed]
- Skinnider, B.F.; Amin, M.B. An immunohistochemical approach to the differential diagnosis of renal tumors. Semin. Diagn. Pathol. 2005, 22, 51–68. [Google Scholar] [CrossRef] [PubMed]
- Mikami, S.; Oya, M.; Mizuno, R.; Kosaka, T.; Ishida, M.; Kuroda, N.; Nagashima, Y.; Katsube, K.I.; Okada, Y. Recent advances in renal cell carcinoma from a pathological point of view. Pathol. Int. 2016, 66, 481–490. [Google Scholar] [CrossRef]
- Kuroda, N.; Tanaka, A.; Ohe, C.; Nagashima, Y. Recent advances of immunohistochemistry for diagnosis of renal tumors. Pathol. Int. 2013, 63, 381–390. [Google Scholar] [CrossRef]
- Xiao, X.; Hu, R.; Deng, F.M.; Shen, S.S.; Yang, X.J.; Wu, C.L. Practical Applications of Immunohistochemistry in the Diagnosis of Genitourinary Tumors. Arch. Pathol. Lab. Med. 2017, 141, 1181–1194. [Google Scholar] [CrossRef]
- Truong, L.D.; Shen, S.S. Immunohistochemical diagnosis of renal neoplasms. Arch. Pathol. Lab. Med. 2011, 135, 92–109. [Google Scholar]
- Harb, O.A.; Elfeky, M.A.; El Shafaay, B.S.; Taha, H.F.; Osman, G.; Harera, I.S.; Gertallah, L.M.; Abdelmonem, D.M.; Embaby, A. SPOP, ZEB-1 and E-cadherin expression in clear cell renal cell carcinoma (cc-RCC): Clinicopathological and prognostic significance. Pathophysiology 2018, 25, 335–345. [Google Scholar] [CrossRef]
- Williamson, S.R.; Gadde, R.; Trpkov, K.; Hirsch, M.S.; Srigley, J.R.; Reuter, V.E.; Cheng, L.; Kunju, L.P.; Barod, R.; Rogers, C.G.; et al. Diagnostic criteria for oncocytic renal neoplasms: A survey of urologic pathologists. Hum. Pathol. 2017, 63, 149–156. [Google Scholar] [CrossRef]
- Went, P.T.; Sauter, G.; Oberholzer, M.; Bubendorf, L. Abundant expression of AMACR in many distinct tumour types. Pathology 2006, 38, 426–432. [Google Scholar] [CrossRef]
- Stillebroer, A.B.; Mulders, P.F.; Boerman, O.C.; Oyen, W.J.; Oosterwijk, E. Carbonic anhydrase IX in renal cell carcinoma: Implications for prognosis, diagnosis, and therapy. Eur. Urol. 2010, 58, 75–83. [Google Scholar] [CrossRef] [PubMed]
- Genega, E.M.; Ghebremichael, M.; Najarian, R.; Fu, Y.; Wang, Y.; Argani, P.; Grisanzio, C.; Signoretti, S. Carbonic anhydrase IX expression in renal neoplasms: Correlation with tumor type and grade. Am. J. Clin. Pathol. 2010, 134, 873–879. [Google Scholar] [CrossRef] [PubMed]
- Li, T.; Chen, J.; Jiang, Y.; Ning, X.; Peng, S.; Wang, J.; He, Q.; Yang, X.; Gong, K. Multilocular Cystic Renal Cell Neoplasm of Low Malignant Potential: A Series of 76 Cases. Clin. Genitourin. Cancer 2016, 14, e553–e557. [Google Scholar] [CrossRef] [PubMed]
- Rohan, S.M.; Xiao, Y.; Liang, Y.; Dudas, M.E.; Al-Ahmadie, H.A.; Fine, S.W.; Gopalan, A.; Reuter, V.E.; Rosenblum, M.K.; Russo, P.; et al. Clear-cell papillary renal cell carcinoma: Molecular and immunohistochemical analysis with emphasis on the von Hippel-Lindau gene and hypoxia-inducible factor pathway-related proteins. Mod. Pathol. 2011, 24, 1207–1220. [Google Scholar] [CrossRef] [PubMed]
- Argani, P.; Lal, P.; Hutchinson, B.; Lui, M.Y.; Reuter, V.E.; Ladanyi, M. Aberrant nuclear immunoreactivity for TFE3 in neoplasms with TFE3 gene fusions: A sensitive and specific immunohistochemical assay. Am. J. Surg. Pathol. 2003, 27, 750–761. [Google Scholar] [CrossRef] [PubMed]
- Kuroda, N.; Mikami, S.; Pan, C.C.; Cohen, R.J.; Hes, O.; Michal, M.; Nagashima, Y.; Tanaka, Y.; Inoue, K.; Shuin, T.; et al. Review of renal carcinoma associated with Xp11.2 translocations/TFE3 gene fusions with focus on pathobiological aspect. Histol. Histopathol. 2012, 27, 133–140. [Google Scholar] [PubMed]
- Inamura, K. Translocation Renal Cell Carcinoma: An Update on Clinicopathological and Molecular Features. Cancers 2017, 9, 111. [Google Scholar] [CrossRef]
- Magers, M.J.; Udager, A.M.; Mehra, R. MiT Family Translocation-Associated Renal Cell Carcinoma: A Contemporary Update With Emphasis on Morphologic, Immunophenotypic, and Molecular Mimics. Arch. Pathol. Lab. Med. 2015, 139, 1224–1233. [Google Scholar] [CrossRef]
- Argani, P.; Laé, M.; Hutchinson, B.; Reuter, V.E.; Collins, M.H.; Perentesis, J.; Tomaszewski, J.E.; Brooks, J.S.; Acs, G.; Bridge, J.A.; et al. Renal carcinomas with the t(6;11)(p21;q12): Clinicopathologic features and demonstration of the specific alpha-TFEB gene fusion by immunohistochemistry, RT-PCR, and DNA PCR. Am. J. Surg. Pathol. 2005, 29, 230–240. [Google Scholar] [CrossRef]
- Argani, P. MiT family translocation renal cell carcinoma. Semin. Diagn. Pathol. 2015, 32, 103–113. [Google Scholar] [CrossRef]
- Cutruzzula, P.; Cahn, D.; Kivlin, D.; Tong, C.; Edwards, D.; Amster, M. A Review of Translocation T(6;11) Renal Cell Carcinoma Tumors in the Adult Patient. Curr. Urol. 2017, 10, 69–71. [Google Scholar] [CrossRef] [PubMed]
- Martignoni, G.; Pea, M.; Gobbo, S.; Brunelli, M.; Bonetti, F.; Segala, D.; Pan, C.C.; Netto, G.; Doglioni, C.; Hes, O.; et al. Cathepsin-K immunoreactivity distinguishes MiTF/TFE family renal translocation carcinomas from other renal carcinomas. Mod. Pathol. 2009, 22, 1016–1022. [Google Scholar] [CrossRef] [PubMed]
- Ross, H.; Argani, P. Xp11 translocation renal cell carcinoma. Pathology 2010, 42, 369–373. [Google Scholar] [CrossRef] [PubMed]
- Maloney, N.; Giannikou, K.; Lefferts, J.; Bridge, J.A.; Linos, K. Expanding the Histomorphologic Spectrum of TFE3 Rearranged PEComas. Hum. Pathol. 2018, 82, 125–130. [Google Scholar] [CrossRef]
- Argani, P.; Aulmann, S.; Illei, P.B.; Netto, G.J.; Ro, J.; Cho, H.Y.; Dogan, S.; Ladanyi, M.; Martignoni, G.; Goldblum, J.R.; et al. A distinctive subset of PEComas harbors TFE3 gene fusions. Am. J. Surg. Pathol. 2010, 34, 1395–1406. [Google Scholar] [CrossRef]
- Yarden, Y.; Kuang, W.J.; Yang-Feng, T.; Coussens, L.; Munemitsu, S.; Dull, T.J.; Chen, E.; Schlessinger, J.; Francke, U.; Ullrich, A. Human proto-oncogene c-kit: A new cell surface receptor tyrosine kinase for an unidentified ligand. EMBO J. 1987, 6, 3341–3351. [Google Scholar] [CrossRef]
- Akhtar, M.; Kardar, H.; Linjawi, T.; McClintock, J.; Ali, M.A. Chromophobe cell carcinoma of the kidney. A clinicopathologic study of 21 cases. Am. J. Surg. Pathol. 1995, 19, 1245–1256. [Google Scholar] [CrossRef]
- Zimpfer, A.; Janke, S.; Hühns, M.; Schneider, B.; Kundt, G.; Zettl, H.; Kilic, E.; Maruschke, M.; Hakenberg, O.W.; Erbersdobler, A. C-kit overexpression is not associated with KIT gene mutations in chromophobe renal cell carcinoma or renal oncocytoma. Pathol. Res. Pract. 2014, 210, 521–525. [Google Scholar] [CrossRef]
- Wang, C.C.; Mao, T.L.; Yang, W.C.; Jeng, Y.M. Underexpression of hepatocyte nuclear factor-1beta in chromophobe renal cell carcinoma. Histopathology 2013, 62, 589–594. [Google Scholar] [CrossRef]
- Gad, S.; Lefevre, S.H.; Khoo, S.K.; Giraud, S.; Vieillefond, A.; Vasiliu, V.; Ferlicot, S.; Molinie, V.; Denoux, Y.; Thiounn, N.; et al. Mutations in BHD and TP53 genes, but not in HNF1beta gene, in a large series of sporadic chromophobe renal cell carcinoma. Br. J. Cancer 2007, 96, 336–340. [Google Scholar] [CrossRef]
- Kato, N.; Motoyama, T. Hepatocyte nuclear factor-1beta (HNF-1beta) in human urogenital organs: Its expression and role in embryogenesis and tumorigenesis. Histol. Histopathol. 2009, 24, 1479–1486. [Google Scholar] [PubMed]
- Ng, K.L.; Morais, C.; Bernard, A.; Saunders, N.; Samaratunga, H.; Gobe, G.; Wood, S. A systematic review and meta-analysis of immunohistochemical biomarkers that differentiate chromophobe renal cell carcinoma from renal oncocytoma. J. Clin. Pathol. 2016, 69, 661–671. [Google Scholar] [CrossRef] [PubMed]
- Zhao, W.; Tian, B.; Wu, C.; Peng, Y.; Wang, H.; Gu, W.L.; Gao, F.H. DOG1, cyclin D1, CK7, CD117 and vimentin are useful immunohistochemical markers in distinguishing chromophobe renal cell carcinoma from clear cell renal cell carcinoma and renal oncocytoma. Pathol. Res. Pract. 2015, 211, 303–307. [Google Scholar] [CrossRef] [PubMed]
- Volpe, A.; Novara, G.; Antonelli, A.; Bertini, R.; Billia, M.; Carmignani, G.; Cunico, S.C.; Longo, N.; Martignoni, G.; Minervini, A.; et al. Chromophobe renal cell carcinoma (RCC): Oncological outcomes and prognostic factors in a large multicentre series. BJU Int. 2012, 110, 76–83. [Google Scholar] [CrossRef] [PubMed]
- Cimadamore, A.; Gasparrini, S.; Santoni, M.; Cheng, L.; Lopez-Beltran, A.; Battelli, N.; Massari, F.; Giunchi, F.; Fiorentino, M.; Scarpelli, M.; et al. Biomarkers of aggressiveness in genitourinary tumors with emphasis on kidney, bladder, and prostate cancer. Expert Rev. Mol. Diagn. 2018, 18, 645–655. [Google Scholar] [CrossRef]
- Kovacs, G.; Billfeldt, N.K.; Farkas, N.; Dergez, T.; Javorhazy, A.; Banyai, D.; Pusztai, C.; Szanto, A. Cytoplasmic expression of beta-catenin is an independent predictor of progression of conventional renal cell carcinoma: A simple immunostaining score. Histopathology 2017, 70, 273–280. [Google Scholar] [CrossRef]








| Marker | Multilocular Cystic RCC (n = 10) | Cystic CCPRCC (n = 10) | ACD-RCC (n = 20) | Tubulocystic Carcinoma (n = 2) |
|---|---|---|---|---|
| CK7 | 10/10 (100) | 10/10 (100) | 5/20 (25) | 0/2 |
| AMACR | 3/10 (30) | 1/10 (10) | 12/20 (60) | 2/2 (100) |
| CAIX | 10/10 (box shape) | 10/10 (cup shape) | 0/20 | 0/2 |
| CD10 | 8/10 (80) | 8/10 (80) | 20/20 (100) | 0/2 |
| EMA | 8/10 (80) | 9/10 (90) | 15/20 (75) | 0/2 |
| E-cadherin | 5/10 (broken) | 10/10 (100) | 14/20 (broken) (70) | 0/2 |
| Tumor Subtype | CK7 | CAIX | AMACR | ||||||
|---|---|---|---|---|---|---|---|---|---|
| 0 | 1+ | 2+ | 0 | 1+ | 2+ | 0 | 1+ | 2+ | |
| CCRCC (n = 50) | 10 | 90 | 0 | 0 | 0 | 100 | 4 | 70 | 26 |
| PRCC I (n = 15) | 0 | 6 | 94 | 100 | 0 | 0 | 0 | 7 | 93 |
| PRCC II (n = 35) | 83 | 17 | 0 | 9 | 77 | 14 | 0 | 11 | 89 |
| ChRCC (n = 20) | 0 | 15 | 85 | 100 | 0 | 0 | 65 | 35 | 0 |
| RO (n = 10) | 80 | 20 | 0 | 100 | 0 | 0 | 100 | 0 | 0 |
| CCPRCC (n = 10) | 0 | 0 | 100 | 0 | 0 | 100 | 80 | 20 | 0 |
| MiT RCC (n = 13) | 100 | 0 | 0 | 100 | 0 | 0 | 62 | 38 | 0 |
| CDC (n = 5) | 0 | 0 | 100 | 100 | 0 | 0 | 0 | 40 | 60 |
| Subtype | CD10 | EMA | E-Cadherin | c-Kit | HNF-1β | Cathepsin K |
|---|---|---|---|---|---|---|
| CCRCC | 2+ (saw-tooth) | 1+ | 1+ (broken) | 0 | 2+ | 0 |
| PRCC I | 0 | 0 | 0 | 0 | 2+ | 0 |
| PRCC II | 2+(tram track) | 2+ | 0 | 0 | 2+ | 0 |
| CCPRCC | 1+ | 1+ | 1+ (broken) | 0 | 2+ | 0 |
| ChRCC | 0 | 2+(cytoplasm) | 2+ | 2+ | 0–1+ | 0 |
| RO | 0 | 2+(cytoplasm) | 2+ | 1+ | 2+ | 0 |
| MiT RCC | 0 | 0 | 1+ | 0 | 2+ | 2+ |
| CDC | 0 | 1+(cytoplasm) | 0–1+ (loss-broken) | 0 | 2+ | 0 |
| Antibody | Catalog No. | Company | Nation | Dilution Factor |
|---|---|---|---|---|
| CD10 | L-CD10-270 | NOVOCASTRA | UK | 100 |
| CK7 | M7018 | DAKO | Denmark | 100 |
| c-kit | A4502 | DAKO | Denmark | 1000 |
| Cathepsin K | ab37259 | Abcam | UK | 400 |
| CAIX | NB100-417 | Novus Biologics | USA | 1000 |
| P504 (AMACR) | M3616 | Dako | Denmark | 100 |
| EMA | M0613 | DAKO | Denmark | 200 |
| E-cadherin | M3612 | DAKO | Denmark | 100 |
| HMB45 | M0634 | DAKO | Denmark | 300 |
| β-catenin | 224M-15 | Cell Marque | USA | 200 |
| TFE3 | 354R-14 | Cell Marque | USA | 100 |
| TFEB | ab2636 | Abcam | UK | 400 |
© 2020 by the authors. Licensee MDPI, Basel, Switzerland. This article is an open access article distributed under the terms and conditions of the Creative Commons Attribution (CC BY) license (http://creativecommons.org/licenses/by/4.0/).
Share and Cite
Kim, M.; Joo, J.W.; Lee, S.J.; Cho, Y.A.; Park, C.K.; Cho, N.H. Comprehensive Immunoprofiles of Renal Cell Carcinoma Subtypes. Cancers 2020, 12, 602. https://doi.org/10.3390/cancers12030602
Kim M, Joo JW, Lee SJ, Cho YA, Park CK, Cho NH. Comprehensive Immunoprofiles of Renal Cell Carcinoma Subtypes. Cancers. 2020; 12(3):602. https://doi.org/10.3390/cancers12030602
Chicago/Turabian StyleKim, Moonsik, Jin Woo Joo, Seok Joo Lee, Yoon Ah Cho, Cheol Keun Park, and Nam Hoon Cho. 2020. "Comprehensive Immunoprofiles of Renal Cell Carcinoma Subtypes" Cancers 12, no. 3: 602. https://doi.org/10.3390/cancers12030602
APA StyleKim, M., Joo, J. W., Lee, S. J., Cho, Y. A., Park, C. K., & Cho, N. H. (2020). Comprehensive Immunoprofiles of Renal Cell Carcinoma Subtypes. Cancers, 12(3), 602. https://doi.org/10.3390/cancers12030602

