Immunohistochemical Expression of Autophagy-Related Proteins in Advanced Tubular Gastric Adenocarcinomas and Its Implications
Abstract
:1. Introduction
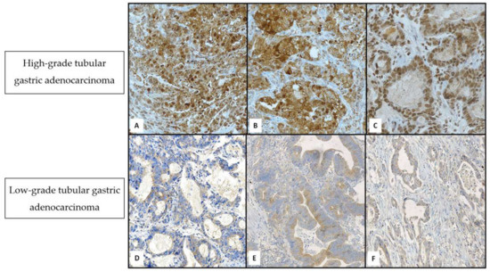
2. Results
3. Discussion
4. Materials and Methods
4.1. Case Selection
4.2. Immunohistochemistry
4.3. Statistical Analysis
5. Conclusions
Author Contributions
Funding
Conflicts of Interest
References
- Mizushima, N.; Yoshimori, T.; Levine, B. Methods in mammalian autophagy research. Cell 2010, 140, 313–326. [Google Scholar] [CrossRef] [PubMed]
- Klionsky, D.J.; Emr, S.D. Autophagy as a regulated pathway of cellular degradation. Science 2000, 290, 1717–1721. [Google Scholar] [CrossRef]
- Klionsky, D.J.; Abdalla, F.C.; Abeliovich, H.; Abraham, R.T.; Acevedo-Arozena, A.; Adeli, K.; Agholme, L.; Agnello, M.; Agostinis, P.; Aguirre-Ghiso, J.A.; et al. Guidelines for the use and interpretation of assays for monitoring autophagy. Autophagy 2012, 8, 445–544. [Google Scholar] [CrossRef]
- Bento, C.F.; Ashkenazi, A.; Jimenez-Sanchez, M.; Rubinsztein, D.C. The Parkinson’s disease-associated genes ATP13A2 and SYT11 regulate autophagy via a common pathway. Nat. Commun. 2016, 7, 11803. [Google Scholar] [CrossRef] [PubMed]
- Robainas, M.; Otano, R.; Bueno, S.; Ait-Oudhia, S. Understanding the role of PD-L1/PD1 pathway blockade and autophagy in cancer therapy. Oncol. Targets Ther. 2017, 10, 1803–1807. [Google Scholar] [CrossRef]
- Smith, A.G.; Macleod, K.F. Autophagy, Cancer Stem Cells & Drug Resistance. J. Pathol. 2018, 247, 708–718. [Google Scholar]
- Caruso, R.A.; Angelico, G.; Irato, E.; de Sarro, R.; Tuccari, G.; Ieni, A. Autophagy in advanced low- and high-grade tubular adenocarcinomas of the stomach: An ultrastructural investigation. Ultrastruct. Pathol. 2018, 42, 10–17. [Google Scholar] [CrossRef]
- Cao, Y.; Luo, Y.; Zou, J.; Ouyang, J.; Cai, Z.; Zeng, X.; Ling, H.; Zeng, T. Autophagy and its role in gastric cancer. Clin. Chim. Acta 2019, 489, 10–20. [Google Scholar] [CrossRef] [PubMed]
- Young, A.R.; Narita, M.; Narita, M. Spatio-temporal association between mTOR and autophagy during cellular senescence. Autophagy 2011, 7, 1387–1388. [Google Scholar] [CrossRef] [PubMed]
- Pugsley, H.R. Quantifying autophagy: Measuring LC3 puncta and autolysosome formation in cells using multispectral imaging flow cytometry. Methods 2017, 112, 147–156. [Google Scholar] [CrossRef]
- Kondo, Y.; Kanzawa, T.; Sawaya, R.; Kondo, S. The role of autophagy in cancer development and response to therapy. Nat. Rev. Cancer 2005, 5, 726–734. [Google Scholar] [CrossRef] [PubMed]
- Masuda, G.O.; Yashiro, M.; Kitayama, K.; Miki, Y.; Kasashima, H.; Kinoshita, H.; Morisaki, T.; Fukuoka, T.; Hasegawa, T.; Sakurai, K.; et al. Clinicopathological Correlations of Autophagy-related Proteins LC3, Beclin 1 and p62 in Gastric Cancer. Anticancer Res. 2016, 36, 129–136. [Google Scholar]
- Cianfanelli, V.; Fuoco, C.; Lorente, M.; Salazar, M.; Quondamatteo, F.; Gherardini, P.F.; de Zio, D.; Nazio, F.; Antonioli, M.; D’Orazio, M.; et al. AMBRA1 links autophagy to cell proliferation and tumorigenesis by promoting c-Myc dephosphorylation and degradation. Nat. Cell Biol. 2015, 17, 20–30. [Google Scholar] [CrossRef] [PubMed]
- Chude, C.I.; Amaravadi, R.K. Targeting Autophagy in Cancer: Update on Clinical Trials and Novel Inhibitors. Int. J. Mol. Sci. 2017, 18, 1279. [Google Scholar] [CrossRef]
- Degenhardt, K.; Mathew, R.; Beaudoin, B.; Bray, K.; Anderson, D.; Chen, G.; Mukherjee, C.; Shi, Y.; Gélinas, C.; Fan, Y.; et al. Autophagy promotes tumor cell survival and restricts necrosis, inflammation, and tumorigenesis. Cancer Cell 2006, 10, 51–64. [Google Scholar] [CrossRef]
- Cao, Q.-H.; Liu, F.; Yang, Z.-L.; Fu, X.-H.; Yang, Z.-H.; Liu, Q.; Wang, L.; Wan, X.-B.; Fan, X.-J. Prognostic value of autophagy related proteins ULK1, Beclin 1, ATG3, ATG5, ATG7, ATG9, ATG10, ATG12, LC3B and p62/SQSTM1 in gastric cancer. Am. J. Transl. Res. 2016, 8, 3831–3847. [Google Scholar] [PubMed]
- Zhou, H.; Yuan, M.; Yu, Q.; Zhou, X.; Min, W.; Gao, D. Autophagy regulation and its role in gastric cancer and colorectal cancer. Cancer Biomark. Sect. Dis. Mark. 2016, 17, 1–10. [Google Scholar] [CrossRef]
- Schmitz, K.J.; Ademi, C.; Bertram, S.; Schmid, K.W.; Baba, H.A. Prognostic relevance of autophagy-related markers LC3, p62/sequestosome 1, Beclin-1 and ULK1 in colorectal cancer patients with respect to KRAS mutational status. World J. Surg. Oncol. 2016, 14, 189. [Google Scholar] [CrossRef] [PubMed]
- Yang, M.; Zhao, H.; Guo, L.; Zhang, Q.; Zhao, L.; Bai, S.; Zhang, M.; Xu, S.; Wang, F.; Wang, X.; et al. Autophagy-based survival prognosis in human colorectal carcinoma. Oncotarget 2015, 6, 7084–7103. [Google Scholar] [CrossRef]
- Guo, G.-F.; Jiang, W.-Q.; Zhang, B.; Cai, Y.-C.; Xu, R.-H.; Chen, X.-X.; Wang, F.; Xia, L.-P. Autophagy-related proteins Beclin-1 and LC3 predict cetuximab efficacy in advanced colorectal cancer. World J. Gastroenterol. 2011, 17, 4779–4786. [Google Scholar] [CrossRef]
- Wu, S.; Sun, C.; Tian, D.; Li, Y.; Gao, X.; He, S.; Li, T. Expression and clinical significances of Beclin1, LC3 and mTOR in colorectal cancer. Int. J. Clin. Exp. Pathol. 2015, 8, 3882–3891. [Google Scholar]
- Lazova, R.; Camp, R.L.; Klump, V.; Siddiqui, S.F.; Amaravadi, R.K.; Pawelek, J.M. Punctate LC3B expression is a common feature of solid tumors and associated with proliferation, metastasis, and poor outcome. Clin. Cancer Res. J. Am. Assoc. Cancer Res. 2012, 18, 370–379. [Google Scholar] [CrossRef] [PubMed]
- Winardi, D.; Tsai, H.-P.; Chai, C.-Y.; Chung, C.-L.; Loh, J.-K.; Chen, Y.-H.; Hsieh, C.-L. Correlation of altered expression of the autophagy marker lc3b with poor prognosis in astrocytoma. Bio. Med. Res. Int. 2014, 2014, 723176. [Google Scholar] [CrossRef]
- El-Mashed, S.; O’Donovan, T.R.; Kay, E.W.; Abdallah, A.R.; Cathcart, M.-C.; O’Sullivan, J.; O’Grady, A.; Reynolds, J.; O’Reilly, S.; O’Sullivan, G.C.; et al. LC3B globular structures correlate with survival in esophageal adenocarcinoma. BMC Cancer 2015, 15, 582. [Google Scholar] [CrossRef]
- Liu, J.L.; Chen, F.F.; Lung, J.; Lo, C.H.; Lee, F.H.; Lu, Y.C.; Hung, C.-H. Prognostic significance of p62/SQSTM1 subcellular localization and LC3B in oral squamous cell carcinoma. Br. J. Cancer 2014, 111, 944–954. [Google Scholar] [CrossRef]
- Wu, D.H.; Jia, C.C.; Chen, J.; Lin, Z.X.; Ruan, D.Y.; Li, X.; Lin, Q.; Dong, M.; Ma, X.K.; Wan, X.-B.; et al. Autophagic LC3B overexpression correlates with malignant progression and predicts a poor prognosis in hepatocellular carcinoma. Tumour Biol. J. Int. Soc. Oncodev. Biol. Med. 2014, 35, 12225–12233. [Google Scholar] [CrossRef]
- Cao, Y.; Klionsky, D.J. Physiological functions of Atg6/Beclin 1: A unique autophagy-related protein. Cell Res. 2007, 17, 839–849. [Google Scholar] [CrossRef]
- Bortnik, S.; Gorski, S.M. Clinical Applications of Autophagy Proteins in Cancer: From Potential Targets to Biomarkers. Int. J. Mol. Sci 2017, 18, 1496. [Google Scholar] [CrossRef]
- Koukourakis, M.I.; Giatromanolaki, A.; Sivridis, E.; Pitiakoudis, M.; Gatter, K.C.; Harris, A.L. Beclin 1 over-and underexpression in colorectal cancer: Distinct patterns relate to prognosis and tumour hypoxia. Br. J. Cancer 2010, 103, 1209–1214. [Google Scholar] [CrossRef] [PubMed]
- He, Y.; Zhao, X.; Subahan, N.R.; Fan, L.; Gao, J.; Chen, H. The prognostic value of autophagy-related markers beclin-1 and microtubule-associated protein light chain 3B in cancers: A systematic review and meta-analysis. Tumour Biol. J. Int. Soc. Oncodev. Biol. Med. 2014, 35, 7317–7326. [Google Scholar] [CrossRef]
- Ko, Y.H.; Cho, Y.-S.; Won, H.S.; Jeon, E.K.; An, H.J.; Hong, S.U.; Park, J.H.; Lee, M.A. Prognostic significance of autophagy-related protein expression in resected pancreatic ductal adenocarcinoma. Pancreas 2013, 42, 829–835. [Google Scholar] [CrossRef] [PubMed]
- Qu, B.; Yao, L.; Ma, H.L.; Chen, H.L.; Zhang, Z.; Xie, J. Prognostic significance of autophagy-related proteins expression in resected human gastric adenocarcinoma. J. Huazhong Univ. Sci. Technol. Med. Sci. 2017, 37, 37–43. [Google Scholar] [CrossRef] [PubMed]
- Ma, X.H.; Piao, S.; Wang, D.; McAfee, Q.W.; Nathanson, K.L.; Lum, J.J.; Li, L.Z.; Amaravadi, R.K. Measurements of tumor cell autophagy predict invasiveness, resistance to chemotherapy, and survival in melanoma. Clin. Cancer Res. 2011, 17, 3478–3489. [Google Scholar] [CrossRef]
- Schläfli, A.M.; Berezowska, S.; Adams, O.; Langer, R.; Tschan, M.P. Reliable LC3 and p62 autophagy marker detection in formalin fixed paraffin embedded human tissue by immunohistochemistry. Eur. J. Histochem. 2015, 59, 2481. [Google Scholar] [CrossRef] [PubMed]
- Zhao, H.; Yang, M.; Zhao, B. Beclin 1 and LC3 as predictive biomarkers for metastatic colorectal carcinoma. Oncotarget 2017, 8, 59058–59067. [Google Scholar] [CrossRef] [PubMed]


| Parameter | No. | LC3AB (%) | p Value | Beclin-1 (%) | p Value | AMBRA-1(%) | p Value | A-IHC (%) | p Value |
|---|---|---|---|---|---|---|---|---|---|
| Sex | NS | NS | NS | NS | |||||
| M | 20 | 12 (60.0) | 12 (60.0) | 9 (45.0) | 12 (60.0) | ||||
| F | 12 | 6 (50.0) | 5 (41.7) | 3 (25.0) | 5 (41.7) | ||||
| Location | NS | NS | NS | NS | |||||
| PT | 4 | 1 (25.0) | 1 (25.0) | 1 (25.0) | 1 (25.0) | ||||
| MT | 11 | 8 (72.7) | 7 (63.6) | 5 (45.5) | 7 (63.6) | ||||
| DT | 14 | 6 (42.9) | 6 (42.9) | 5 (35.7) | 6 (42.9) | ||||
| ES | 3 | 3 (100) | 3 (100) | 1 (33.3) | 3 (100) | ||||
| Grade | <0.001 | <0.001 | NS | <0.001 | |||||
| Low | 15 | 2 (13.3) | 2 (13.3) | 4 (26.7) | 2 (13.3) | ||||
| High | 17 | 16 (94.1) | 15 (88.2) | 8 (47.1) | 15 (88.2) | ||||
| Stage | 0.041 | 0.047 | NS | 0.047 | |||||
| II | 8 | 2 (25,0) | 2 (25,0) | 1 (12.5) | 2 (25,0) | ||||
| III | 20 | 12 (60.0) | 11 (55.0) | 8 (40.0) | 11 (55.0) | ||||
| IV | 4 | 4 (100) | 4 (100) | 3 (75.0) | 4 (100) | ||||
| Clinical course | 0.01 | 0.015 | NS | 0.015 | |||||
| Alive | 5 | 0 (0) | 0 (0) | 0 (0) | 0 (0) | ||||
| Dead | 27 | 18 (66.7) | 17 (63.0) | 12 (44.4) | 17 (63.0) | ||||
| Ki67 | <0.001 | <0.001 | NS | <0.001 | |||||
| <30% | 13 | 2 (15.4) | 1 (7.7) | 4 (30.8) | 1 (7.7) | ||||
| ≥30% | 19 | 16 (84.2) | 16 (84.2) | 8 (42.1) | 16 (84.2) | ||||
| p53 | NS | NS | NS | NS | |||||
| Negative | 11 | 7 (63.6) | 6 (54.5) | 3 (27.3) | 6 (54.5) | ||||
| Positive | 21 | 11 (52.4) | 11 (52.4) | 9 (42.9) | 11 (52.4) | ||||
| AI | <0.001 | <0.001 | NS | <0.001 | |||||
| <4 AV/cell | 16 | 3 (18.8) | 2 (12.5) | 5 (31.3) | 2 (12.5) | ||||
| ≥4 AV/cell | 16 | 15 (93.8) | 15 (93.8) | 7 (43.8) | 15 (93.8) |
| A-IHC Analysis | LC3A/B | Beclin-1 | AMBRA-1 |
|---|---|---|---|
| Sensibility | 93.75% | 93.75% | 43.75% |
| Specificity | 81.25% | 87.50% | 68.75% |
| Efficiency | 87.50% | 90.63% | 56.25% |
| Parameter | X2 | df | p Value |
|---|---|---|---|
| Sex | 0.075 | 1 | NS |
| Grade | 19.321 | 1 | 0.000 |
| Stage | 6.253 | 1 | 0.012 |
| Ki67 status | 8.278 | 1 | 0.004 |
| p53 status | 0.470 | 1 | NS |
| AI | 10.842 | 1 | 0.001 |
| A-IHC | 18.883 | 1 | 0.000 |
| Parameter | β | SE | Exp(β) | p Value |
|---|---|---|---|---|
| Grade | 2.361 | 1.084 | 10.601 | 0.029 |
| AI | 1.327 | 0.643 | 3.770 | 0.039 |
| A-IHC | 2.922 | 0.885 | 18.573 | 0.001 |
© 2019 by the authors. Licensee MDPI, Basel, Switzerland. This article is an open access article distributed under the terms and conditions of the Creative Commons Attribution (CC BY) license (http://creativecommons.org/licenses/by/4.0/).
Share and Cite
Ieni, A.; Cardia, R.; Giuffrè, G.; Rigoli, L.; Caruso, R.A.; Tuccari, G. Immunohistochemical Expression of Autophagy-Related Proteins in Advanced Tubular Gastric Adenocarcinomas and Its Implications. Cancers 2019, 11, 389. https://doi.org/10.3390/cancers11030389
Ieni A, Cardia R, Giuffrè G, Rigoli L, Caruso RA, Tuccari G. Immunohistochemical Expression of Autophagy-Related Proteins in Advanced Tubular Gastric Adenocarcinomas and Its Implications. Cancers. 2019; 11(3):389. https://doi.org/10.3390/cancers11030389
Chicago/Turabian StyleIeni, Antonio, Roberta Cardia, Giuseppe Giuffrè, Luciana Rigoli, Rosario Alberto Caruso, and Giovanni Tuccari. 2019. "Immunohistochemical Expression of Autophagy-Related Proteins in Advanced Tubular Gastric Adenocarcinomas and Its Implications" Cancers 11, no. 3: 389. https://doi.org/10.3390/cancers11030389
APA StyleIeni, A., Cardia, R., Giuffrè, G., Rigoli, L., Caruso, R. A., & Tuccari, G. (2019). Immunohistochemical Expression of Autophagy-Related Proteins in Advanced Tubular Gastric Adenocarcinomas and Its Implications. Cancers, 11(3), 389. https://doi.org/10.3390/cancers11030389

