Abstract
Pancreatic cancer is a devastating disease with poor survival outcomes. Recent studies have shown that the addition of radiotherapy to chemotherapy in the setting of locally advanced pancreatic cancer did not improve overall survival outcome. These studies commonly utilize conventional radiotherapy treatment fractionation and technique (typically 3-D conformal radiotherapy or intensity modulated radiotherapy). Although no clear benefit in overall survival was demonstrated in those studies, those who received radiotherapy did have a clear benefit in terms of local control. Therefore, there is increasing interest in exploring different techniques and/or modality of radiotherapy and dose/fractionation. Stereotactic radiotherapy, which employs a hypofractionated regimen, has the potential advantage of delivering a high dose of radiation to the tumor in a short period of time (typically over 5 days) with minimal dose to the surrounding normal structures. Particle therapy such as proton and carbon ion therapy are being explored as potential radiation modality that could cause greater biological damage to the tumor compared to photon treatment, with rapid dose falloff resulting in minimal to no dose to adjacent structures. This review will discuss the current literature and emerging roles of stereotactic radiotherapy and particle therapy in pancreatic cancer.
1. Introduction
Pancreatic cancer, being the third leading cause of cancer-related deaths in the United States, is a devastating disease with an estimated 5-year overall survival of only 6% [1]. Although surgery provides patients with the best chance of achieving a cure, the majority of patients tend to present late with advanced stage of disease given the lack of symptoms and no effective screening tests available, as yet. The role of radiotherapy in the definitive management of pancreatic cancer has remained debated. The recent LAP07 study showed no overall survival with chemotherapy alone, as compared to chemoradiotherapy after completion of induction chemotherapy in patients with locally advanced pancreatic cancer (LAPC); however, the study did demonstrate that those who received radiotherapy had significantly improved local control with minimal increase in treatment-related toxicity [2]. Although local control of the disease did not translate to improvement in overall survival in the LAP07 study, there is evidence that in a subgroup of patients, local control could potentially translate to improvement in survival. Specifically, a John Hopkins rapid autopsy study indicated that approximately 1 in 3 patients died of local disease only [3]. As the LAP07 study employed conventional fractionation that were delivered over 6 weeks, there is speculation that some patients may have developed metastatic disease during this period of time when they were not on optimal systemic treatment. Therefore, there is increasing interest in exploring other radiotherapy options, particularly hypofractionated regimens and particle therapy, to maximize local therapy to the tumor whilst limiting patients’ time off effective systemic treatment. Here, we review the literature and highlight the emerging role of stereotactic body radiotherapy (SBRT) and particle therapy in the treatment of pancreatic cancer.
2. Stereotactic Body Radiotherapy (SBRT) for Locally Advanced Pancreatic Cancer
SBRT is an advanced technique of radiation planning and delivery where it delivers a highly conformal dose to the target with very steep dose gradient falloff at the edge of the target. This technique enables highly precise delivery of a high dose of radiation to the target in 1–5 fractions. As SBRT employs a hypofractionated regimen, particular care is required during planning and delivery because any geographic miss of the target could be a calamity, not only because the tumor was not adequately treated but also because the adjacent surrounding normal structures may receive higher than intended doses, thereby increasing the risk of toxicity. In a patient with pancreatic cancer, the adjacent normal structures include the duodenum, stomach and/or small bowel. Exceeding dose tolerance to these structures could cause gastrointestinal perforation and/or haemorrhage which can be fatal. Therefore, when considering SBRT, patient selection and adequate image guidance is paramount.
In the past decade, there is increasing interest in utilizing SBRT when treating patients with pancreatic cancer. SBRT allows for the delivery of higher doses to the tumor and as most regimens are 5 fractions or less, patients only have to be off systemic treatment for a short period of time, as compared to conventional dose/fractionation regimens, where patients may be without adequate systemic therapy for up to 6 weeks.
Table 1 summarizes the current literature. As depicted in Table 1, most studies demonstrated that local control with SBRT was approximately 80% at 1 year after treatment. However, survival rates remained poor as these patients were predominantly dying of distant disease. Hence, this provides further emphasis that these patients should have only limited time without systemic treatment.
Table 1.
Summary of studies reporting on outcomes of patients treated with Stereotactic Body Radiotherapy (SBRT).
2.1. Radiobiological Reasoning for SBRT
Various institutional and phase II study dose/fractionation has been reported. The current dose required to ablate the tumor has remained unknown. As the surrounding bowel structures are relatively radiosensitive, the total dose that can be delivered to the tumor is currently limited by the tolerance dose of adjacent normal structures.
The effect of escalated dose to the tumor on patient outcomes have been demonstrated by the MD Anderson group. Krishnan et al. [4] have reported, in a group of 200 patients with LAPC treated, using fractionated intensity modulated radiotherapy (IMRT), those who received the biological equivalent dose (BED) of >70 Gy had superior overall survival and locoregional relapse free survival, as compared to those who had BED ≤70 Gy, regardless of tumor size or frequency of surgical resection. Only 1 patient developed Grade 3 acute toxicity (diarrhea) in this analysis.
As SBRT is a highly conformal treatment with rapid dose falloff beyond the target, hypofractionation has been employed to deliver high dose per fraction (>2 Gy) to the tumor with limited dose to the normal structures, thereby maximizing the therapeutic ratio. Furthermore, delivering an intended dose of treatment in a shorter period of time was thought to have greater biological kill in a tumor that is theorized to have a low alpha/beta ratio of 3 [5]. Fractionated SBRT is preferred due to better tolerability of treatment, reduced late effect toxicity, and allowing time for reoxygenation of hypoxic tumor cells and redistribution of resistant tumor cells into a more radiosensitive cell cycle phase [5].
2.2. Dose/Fractionation and Toxicities
The optimal dose/fractionation for SBRT has yet to be established. Initial studies have shown that fractionated (3–5 fractions) regimens are, in general, better tolerated than single fraction treatments. Although the safety of single fraction SBRT was initially established by the Stanford group in 6 patients with locally advanced pancreatic cancer (LAPC), subsequent larger trials showed excellent efficacy but with high rates of late toxicity (20% rate of Grade ≥2 late toxicity) [6,7]. Subsequently, a multi-institutional phase II study reported by Herman et al. [8] demonstrated equivalent efficacy with 1-year freedom from local progression of 78% with acceptable toxicity profile (11% rate of Grade ≥2 late toxicity). Other studies using fractionated regimens, as described in Table 1, have similar late toxicity profile.
Given the location of the pancreas to the small bowel, stomach and biliary structures, the most common subacute and late toxicities include gastrointestinal ulcer, which may result in perforation and/or bleeding, and fibrosis of the region causing biliary or duodenal stricture leading to obstruction. Although the rates of Grade ≥3 toxicities are low, these radiation-induced toxicities can potentially cause significant morbidity and/or fatal. Therefore, the dose tolerance of normal structures must be respected during treatment planning and delivery, with adequate daily on-board imaging to identify where these structures are located daily in proximity to the tumor.
2.3. Reirradiation
Although distant relapse remained the primary cause of pancreatic cancer-related death, the local progression of disease contributed to approximately 30% of pancreatic cancer-related deaths [3,18]. Standard of care is to evaluate these patients for further surgery. However, this subgroup of patients is frequently non-surgical candidates due to patient-related factors (age, comorbidities, performance status) and/or treatment-related factors (technically unresectable). In patients with limited distant disease burden, radiotherapy can be re-considered to delay disease progression that can potentially cause significant morbidity such as pain and/or obstruction [18,19].
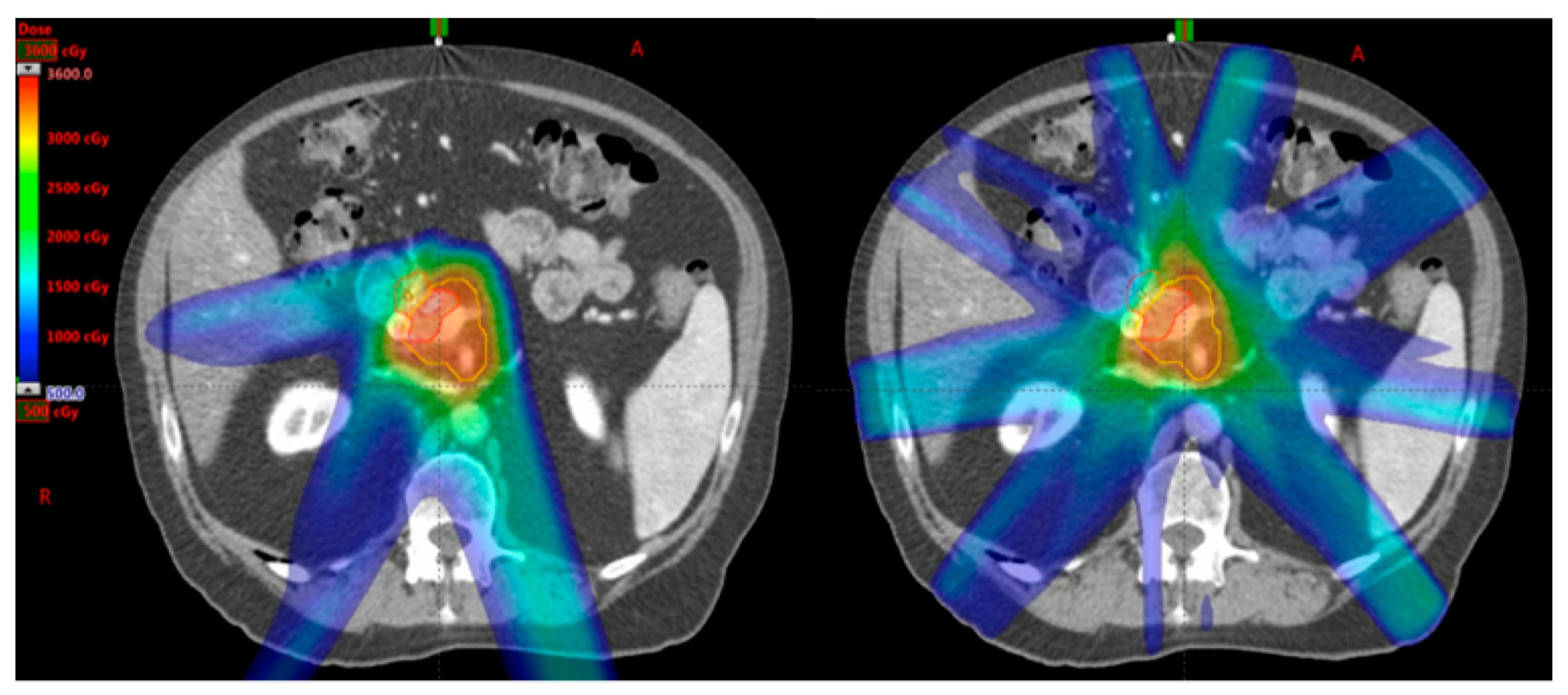
In patients who have had previous radiotherapy, it is imperative to obtain previous treatment plans to assess dose in relation to surrounding normal structures, in particular the duodenum, small bowel and stomach (Figure 1). Reirradiation in this setting could potentially cause significant late effects, depending on the cumulative doses to the normal structures. SBRT is becoming increasingly accepted when patients are considered for reirradiation in the attempt to maximize dose to the tumor whilst limiting the dose to surrounding normal organs thereby reducing the risk of significant late effects.
Figure 1.
Representative transverse (A), sagittal (B) and coronal (C) images of the reirradiation treatment plan using stereotactic body radiotherapy (SBRT) for a patient who had previous 3D conformal radiotherapy to the region 5 years ago to 50.4 Gy in 28 fractions. (Red—gross tumor volume, Dark blue—target for 30 Gy, Light blue—target for 25 Gy due to proximity to surrounding bowel and stomach). Patient tolerated treatment well with Grade 1 nausea and was alive 12 months post-treatment with no significant late toxicity.
SBRT is potentially a feasible and safe option in patients with local recurrence. Table 2 summarizes the studies where SBRT was utilized in the setting of local recurrence with the majority of publications on patients who received previous radiotherapy. As this group of patients is small, the evidence is limited to retrospective studies alone. Nevertheless, from Table 2, SBRT can achieve good local control (1-year freedom from local progression of 62–91%). Although the incidence of grade 3 or higher late toxicity is rare, great care should be taken at treatment planning and delivery with regards to the stomach and bowel dose as gastrointestinal toxicity may cause significant morbidity to this group of patients with limited life expectancy.
Table 2.
Summary of studies utilizing SBRT for treatment of local recurrence.
3. Particle Therapy for Pancreatic Cancer
3.1. Proton Therapy
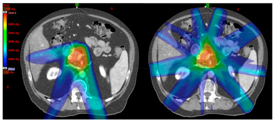
The proton beam, a particle therapy, has the benefit of delivering dose to the target with no exit dose in the beam path (Figure 2); thereby potentially reducing dose to the normal tissues within the exit beam path [25]. This, theoretically, may reduce both acute and late toxicities of treatment. In addition, with minimal dose in the exit beam path, proton therapy opens the door to possible dose escalation studies. As proton therapy is a relatively new player in the clinical radiation oncology domain, the evidence for the use in pancreatic cancer remains limited. Table 3 summarizes the current literature for particle therapy in pancreatic cancer.
Figure 2.
An example of proton (Left) and photon (Right) SBRT plans on the same patient. Note that there is less low dose scatter in the proton plan due to the inherent physical properties of proton particles compared to photon.
Table 3.
Summary of particle therapy studies.
A dosimetric study comparing IMRT and proton plans in 13 patients with unresectable pancreatic cancer, planned to 55 Gy in 25 fractions, by Thompson et al. [26] demonstrated that proton plans, utilizing either passive scattering or pencil beam scanning, yielded significantly lower doses to the stomach, duodenum and small bowel in the intermediate to low dose regions (defined as volume receiving at least 20 Gy) compared to IMRT. However, in the intermediate to high dose regions (defined as volume receiving at least 45 Gy), proton plans had significantly higher dose to those structures compared to IMRT. However, proton plans did yield significant reduction in mean liver (50% reduction) and kidney (18% reduction) doses. The biological significance of reduced dose to the low dose regions remained to be investigated.
As proton is a charged particle, it has a higher linear energy transfer [27]. Therefore, proton therapy can potentially deliver higher relative biological effectiveness than photon therapy [27]. In theory, proton therapy could result in greater cell killing than photon therapy given the same dose/fractionation. Although this is a desirable effect on cancer cells, this may also indicate that greater care is required when delivering proton therapy as a small increase in dose to normal structures could potentially translate to greater risk of late toxicity compared to photon therapy. The exact ‘conversion’ of proton therapy dose effect to photon therapy equivalence remained under investigation. As image guidance in proton therapy is being developed and implemented, careful planning and motion management should be taken when delivering proton therapy to a moving target such as the pancreas.
3.2. Carbon Ion Therapy
It has been theorized that heavy ion particle therapy, such as carbon ion therapy, provides greater biological effect due to even higher linear energy transfer of the particle which translates to greater relatively biological effectiveness. Currently, there are no carbon ion facilities in North America. Our Japanese colleagues, Shinoto et al. [28] first reported on the use of carbon ion therapy in patients with pancreatic cancer. In this phase I dose-escalation trial, a cohort of 26 patients were treated with pre-operative carbon ion therapy in 8 fractions over 2 weeks (total dose: 30 Gray equivalents [GyE] to 36.8 GyE). Twenty-one patients had surgery, with 19 patients achieving an R0 resection. There was no local recurrence reported in this cohort and only 2 patients developed regional recurrence. The 5-year overall survival for this cohort was 42%. Only one patient developed late Grade 4 toxicity with portal vein stenosis and deranged liver function.
In a cohort of patients with locally advanced pancreatic cancer treated with a dose-escalation protocol up to 55.2 GyE, Shinoto et al. [29] reported the treatment was well-tolerated and that those who received ≥45.6 GyE had overall better clinical outcomes in terms of local disease control and overall survival than those who received lower doses.
4. Conclusions
Overall, SBRT and proton therapy are emerging novel radiotherapy techniques/modalities that could potentially revolutionize treatment for patients with pancreatic cancer. These techniques allow the gain of local control benefit with minimal toxicity in patients with LAPC whilst minimizing their time away from optimal effective systemic treatment. With advancements in imaging and radiation treatment planning, current efforts to improve clinical outcomes in those with LAPC in the realm of radiation therapy includes dose-escalation trials to maximize local and/or regional control and MR-guided radiation therapy.
Conflicts of Interest
The authors declare no conflict of interest.
References
- American Cancer Society. Facts & Figures 2018. 2018. Available online: https://cancerstatisticscenter.cancer.org/module/yg6E0ZLc (accessed on 21 February 2018).
- Hammel, P.; Huguet, F.; van Laethem, J.L.; Goldstein, D.; Glimelius, B.; Artru, P.; Borbath, I.; Bouché, O.; Shannon, J.; André, T.; et al. Effect of Chemoradiotherapy vs. Chemotherapy on Survival in Patients with Locally Advanced Pancreatic Cancer Controlled after 4 Months of Gemcitabine with or without Erlotinib: The LAP07 Randomized Clinical Trial. JAMA 2016, 315, 1844–1853. [Google Scholar] [CrossRef] [PubMed]
- Iacobuzio-Donahue, C.A.; Fu, B.; Yachida, S.; Luo, M.; Abe, H.; Henderson, C.M.; Vilardell, F.; Wang, Z.; Keller, J.W.; Banerjee, P.; et al. DPC4 gene status of the primary carcinoma correlates with patterns of failure in patients with pancreatic cancer. J. Clin. Oncol. 2009, 27, 1806–1813. [Google Scholar] [CrossRef] [PubMed]
- Krishnan, S.; Chadha, A.S.; Suh, Y.; Chen, H.C.; Rao, A.; Das, P.; Minsky, B.D.; Mahmood, U.; Delclos, M.E.; Sawakuchi, G.O.; et al. Focal Radiation Therapy Dose Escalation Improves Overall Survival in Locally Advanced Pancreatic Cancer Patients Receiving Induction Chemotherapy and Consolidative Chemoradiation. Int. J. Radiat. Oncol. Biol. Phys. 2016, 94, 755–765. [Google Scholar] [CrossRef] [PubMed]
- Stauder, M.C.; Miller, R.C. Stereotactic Body Radiation Therapy (SBRT) for Unresectable Pancreatic Carcinoma. Cancers 2010, 2, 1565–1575. [Google Scholar] [CrossRef] [PubMed]
- Schellenberg, D.; Goodman, K.A.; Lee, F.; Chang, S.; Kuo, T.; Ford, J.M.; Fisher, G.A.; Quon, A.; Desser, T.S.; Norton, J.; et al. Gemcitabine chemotherapy and single-fraction stereotactic body radiotherapy for locally advanced pancreatic cancer. Int. J. Radiat. Oncol. Biol. Phys. 2008, 72, 678–686. [Google Scholar] [CrossRef] [PubMed]
- Koong, A.C.; Christofferson, E.; Le, Q.T.; Goodman, K.A.; Ho, A.; Kuo, T.; Ford, J.M.; Fisher, G.A.; Greco, R.; Norton, J.; et al. Phase II study to assess the efficacy of conventionally fractionated radiotherapy followed by a stereotactic radiosurgery boost in patients with locally advanced pancreatic cancer. Int. J. Radiat. Oncol. Biol. Phys. 2005, 63, 320–323. [Google Scholar] [CrossRef] [PubMed]
- Herman, J.M.; Chang, D.T.; Goodman, K.A.; Dholakia, A.S.; Raman, S.P.; Hacker-Prietz, A.; Iacobuzio-Donahue, C.A.; Griffith, M.E.; Pawlik, T.M.; Pai, J.S.; et al. Phase 2 multi-institutional trial evaluating gemcitabine and stereotactic body radiotherapy for patients with locally advanced unresectable pancreatic adenocarcinoma. Cancer 2015, 121, 1128–1137. [Google Scholar] [CrossRef] [PubMed]
- Chang, D.T.; Schellenberg, D.; Shen, J.; Kim, J.; Goodman, K.A.; Fisher, G.A.; Ford, J.M.; Desser, T.; Quon, A.; Koong, A.C. Stereotactic radiotherapy for unresectable adenocarcinoma of the pancreas. Cancer 2009, 115, 665–672. [Google Scholar] [CrossRef] [PubMed]
- Chuong, M.D.; Springett, G.M.; Freilich, J.M.; Park, C.K.; Weber, J.M.; Mellon, E.A.; Hodul, P.J.; Malafa, M.P.; Meredith, K.L.; Hoffe, S.E.; et al. Stereotactic body radiation therapy for locally advanced and borderline resectable pancreatic cancer is effective and well tolerated. Int. J. Radiat. Oncol. Biol. Phys. 2013, 86, 516–522. [Google Scholar] [CrossRef] [PubMed]
- Comito, T.; Cozzi, L.; Clerici, E.; Franzese, C.; Tozzi, A.; Iftode, C.; Navarria, P.; D’Agostino, G.; Rimassa, L.; Carnaghi, C.; et al. Can Stereotactic Body Radiation Therapy Be a Viable and Efficient Therapeutic Option for Unresectable Locally Advanced Pancreatic Adenocarcinoma? Results of a Phase 2 Study. Technol. Cancer Res. Treat. 2017, 16, 295–301. [Google Scholar] [CrossRef] [PubMed]
- Gurka, M.K.; Kim, C.; He, A.R.; Charabaty, A.; Haddad, N.; Turocy, J.; Johnson, L.; Jackson, P.; Weiner, L.M.; Marshall, J.L.; et al. Stereotactic Body Radiation Therapy (SBRT) Combined with Chemotherapy for Unresected Pancreatic Adenocarcinoma. Am. J. Clin. Oncol. 2017, 40, 152–157. [Google Scholar] [CrossRef] [PubMed]
- Mahadevan, A.; Miksad, R.; Goldstein, M.; Sullivan, R.; Bullock, A.; Buchbinder, E.; Pleskow, D.; Sawhney, M.; Kent, T.; Vollmer, C.; et al. Induction gemcitabine and stereotactic body radiotherapy for locally advanced nonmetastatic pancreas cancer. Int. J. Radiat. Oncol. Biol. Phys. 2011, 81, e615–e622. [Google Scholar] [CrossRef] [PubMed]
- Mellon, E.A.; Hoffe, S.E.; Springett, G.M.; Frakes, J.M.; Strom, T.J.; Hodul, P.J.; Malafa, M.F.; Chuong, M.D.; Shridhar, R. Long-term outcomes of induction chemotherapy and neoadjuvant stereotactic body radiotherapy for borderline resectable and locally advanced pancreatic adenocarcinoma. Acta Oncol. 2015, 54, 979–985. [Google Scholar] [CrossRef] [PubMed]
- Pollom, E.L.; Alagappan, M.; von Eyben, R.; Kunz, P.L.; Fisher, G.A.; Ford, J.A.; Poultsides, G.A.; Visser, B.C.; Norton, J.A.; Kamaya, A.; et al. Single-versus multifraction stereotactic body radiation therapy for pancreatic adenocarcinoma: Outcomes and toxicity. Int. J. Radiat. Oncol. Biol. Phys. 2014, 90, 918–925. [Google Scholar] [CrossRef] [PubMed]
- Tozzi, A.; Comito, T.; Alongi, F.; Navarria, P.; Iftode, C.; Mancosu, P.; Reggiori, G.; Clerici, E.; Rimassa, L.; Zerbi, A.; et al. SBRT in unresectable advanced pancreatic cancer: Preliminary results of a mono-institutional experience. Radiat. Oncol. 2013, 8, 148. [Google Scholar] [CrossRef] [PubMed]
- Rwigema, J.C.; Parikh, S.D.; Heron, D.E.; Howell, M.; Zeh, H.; Moser, A.J.; Bahary, N.; Quinn, A.; Burton, S.A. Stereotactic body radiotherapy in the treatment of advanced adenocarcinoma of the pancreas. Am. J. Clin. Oncol. 2011, 34, 63–69. [Google Scholar] [CrossRef] [PubMed]
- Myrehaug, S.; Sahgal, A.; Russo, S.M.; Lo, S.S.; Rosati, L.M.; Mayr, N.A.; Lock, M.; Small, W., Jr.; Dorth, J.A.; Ellis, R.J.; et al. Stereotactic body radiotherapy for pancreatic cancer: Recent progress and future directions. Expert Rev. Anticancer Ther. 2016, 16, 523–530. [Google Scholar] [CrossRef] [PubMed]
- Wild, A.T.; Hiniker, S.M.; Chang, D.T.; Tran, P.T.; Khashab, M.A.; Limaye, M.R.; Laheru, D.A.; Le, D.T.; Kumar, R.; Pai, J.S.; et al. Re-irradiation with stereotactic body radiation therapy as a novel treatment option for isolated local recurrence of pancreatic cancer after multimodality therapy: Experience from two institutions. J. Gastrointest. Oncol. 2013, 4, 343–351. [Google Scholar] [CrossRef] [PubMed]
- Comito, T.; Cozzi, L.; Zerbi, A.; Franzese, C.; Clerici, E.; Tozzi, A.; Iftode, C.; Navarria, P.; D’Agostino, G.; Fogliata, A.; et al. Clinical results of stereotactic body radiotherapy (SBRT) in the treatment of isolated local recurrence of pancreatic cancer after R0 surgery: A retrospective study. Eur. J. Surg. Oncol. 2017, 43, 735–742. [Google Scholar] [CrossRef] [PubMed]
- Dagoglu, N.; Callery, M.; Moser, J.; Tseng, J.; Kent, T.; Bullock, A.; Miksad, R.; Mancias, J.D.; Mahadevan, A. Stereotactic Body Radiotherapy (SBRT) Reirradiation for Recurrent Pancreas Cancer. J. Cancer 2016, 7, 283–288. [Google Scholar] [CrossRef] [PubMed]
- Koong, A.J.; Toesca, D.A.S.; von Eyben, R.; Pollom, E.L.; Chang, D.T. Reirradiation with stereotactic body radiation therapy after prior conventional fractionation radiation for locally recurrent pancreatic adenocarcinoma. Adv. Radiat. Oncol. 2017, 2, 27–36. [Google Scholar] [CrossRef] [PubMed]
- Lominska, C.E.; Unger, K.; Nasr, N.M.; Haddad, N.; Gagnon, G. Stereotactic body radiation therapy for reirradiation of localized adenocarcinoma of the pancreas. Radiat. Oncol. 2012, 7, 74. [Google Scholar] [CrossRef] [PubMed]
- Ryan, J.F.; Groot, V.P.; Rosati, L.M.; Hacker-Prietz, A.; Narang, A.K.; McNutt, T.R.; Jackson, J.F.; Le, D.T.; Jaffee, E.M.; Zheng, L.; et al. Stereotactic Body Radiation Therapy for Isolated Local Recurrence After Surgical Resection of Pancreatic Ductal Adenocarcinoma Appears to be Safe and Effective. Ann. Surg. Oncol. 2018, 25, 280–289. [Google Scholar] [CrossRef] [PubMed]
- Mendenhall, N.P.; Malyapa, R.S.; Su, Z.; Yeung, D.; Mendenhall, W.M.; Li, Z. Proton therapy for head and neck cancer: Rationale, potential indications, practical considerations, and current clinical evidence. Acta Oncol. 2011, 50, 763–771. [Google Scholar] [CrossRef] [PubMed]
- Thompson, R.F.; Mayekar, S.U.; Zhai, H.; Both, S.; Apisarnthanarax, S.; Metz, J.M.; Plastaras, J.P.; Ben-Josef, E. A dosimetric comparison of proton and photon therapy in unresectable cancers of the head of pancreas. Med. Phys. 2014, 41, 081711. [Google Scholar] [CrossRef] [PubMed]
- Paganetti, H. Relative biological effectiveness (RBE) values for proton beam therapy. Variations as a function of biological endpoint, dose, and linear energy transfer. Phys. Med. Biol. 2014, 59, R419–R472. [Google Scholar] [CrossRef] [PubMed]
- Shinoto, M.; Yamada, S.; Yasuda, S.; Imada, H.; Shioyama, Y.; Honda, H.; Kamada, T.; Tsujii, H.; Saisho, H.; Working Group for Pancreas Cancer. Phase 1 trial of preoperative, short-course carbon-ion radiotherapy for patients with resectable pancreatic cancer. Cancer 2013, 119, 45–51. [Google Scholar] [CrossRef] [PubMed]
- Shinoto, M.; Yamada, S.; Terashima, K.; Yasuda, S.; Shioyama, Y.; Honda, H.; Kamada, T.; Tsujii, H.; Saisho, H.; Working Group for Pancreas Cancer. Carbon Ion Radiation Therapy with Concurrent Gemcitabine for Patients with Locally Advanced Pancreatic Cancer. Int. J. Radiat. Oncol. Biol. Phys. 2016, 95, 498–504. [Google Scholar] [CrossRef] [PubMed]
- Hong, T.S.; Ryan, D.P.; Borger, D.R.; Blaszkowsky, L.S.; Yeap, B.Y.; Ancukiewicz, M.; Deshpande, V.; Shinagare, S.; Wo, J.Y.; Boucher, Y.; et al. A phase 1/2 and biomarker study of preoperative short course chemoradiation with proton beam therapy and capecitabine followed by early surgery for resectable pancreatic ductal adenocarcinoma. Int. J. Radiat. Oncol. Biol. Phys. 2014, 89, 830–838. [Google Scholar] [CrossRef] [PubMed]
- Sachsman, S.; Nichols, R.C.; Morris, C.G.; Zaiden, R.; Johnson, E.A.; Awad, Z.; Bose, D.; Ho, M.W.; Huh, S.N.; Li, Z.; et al. Proton Therapy and Concomitant Capecitabine for Non-Metastatic Unresectable Pancreatic Adenocarcinoma. Int. J. Part. Ther. 2014, 1, 692–701. [Google Scholar] [CrossRef]
- Terashima, K.; Demizu, Y.; Hashimoto, N.; Jin, D.; Mima, M.; Fujii, O.; Niwa, Y.; Takatori, K.; Kitajima, N.; Sirakawa, S.; et al. A phase I/II study of gemcitabine-concurrent proton radiotherapy for locally advanced pancreatic cancer without distant metastasis. Radiother. Oncol. 2012, 103, 25–31. [Google Scholar] [CrossRef] [PubMed]
© 2018 by the authors. Licensee MDPI, Basel, Switzerland. This article is an open access article distributed under the terms and conditions of the Creative Commons Attribution (CC BY) license (http://creativecommons.org/licenses/by/4.0/).

