Nanostructured Scaffold, Combined with Human Dental Pulp Stem Cell Secretome, Induces Vascularization in Medicinal Leech Model
Abstract
1. Introduction
2. Materials and Methods
2.1. Ethics and Consent
2.2. Materials and Reagents
2.3. Experimental Design
- Group 1: 3 leeches were injected with 10 mg of MicroMatrix® suspended in 30 µL of FBS-free DMEM and used as negative control (CTRL).
- Group 2: 3 leeches were injected with 10 mg of MicroMatrix® suspended in 30 µL of hDPSC-Secretome (hDPSC-S) containing 50 µg of proteins.
2.4. Isolation of hDPSCs and Preparation of Cell-Secretome
2.5. Light and Transmission Electron Microscopy
2.6. Masson’s Trichrome and May-Grünwald Giemsa Stainings
2.7. Immunofluorescence Assays
2.8. Statistical Analyses
3. Results
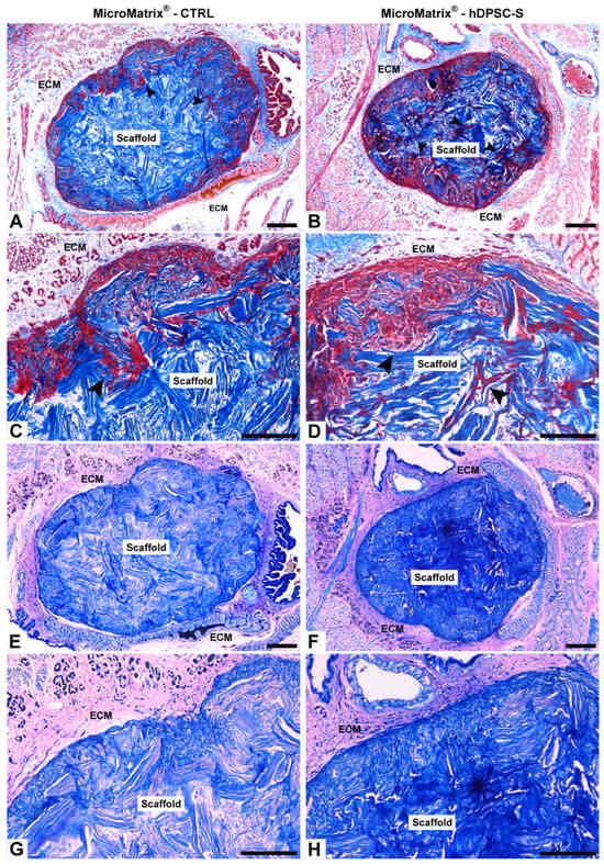
3.1. Integration of MicroMatrix® into Leech Tissues and Cellular Colonization Patterns
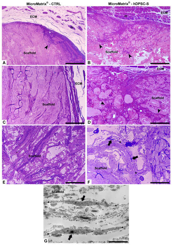
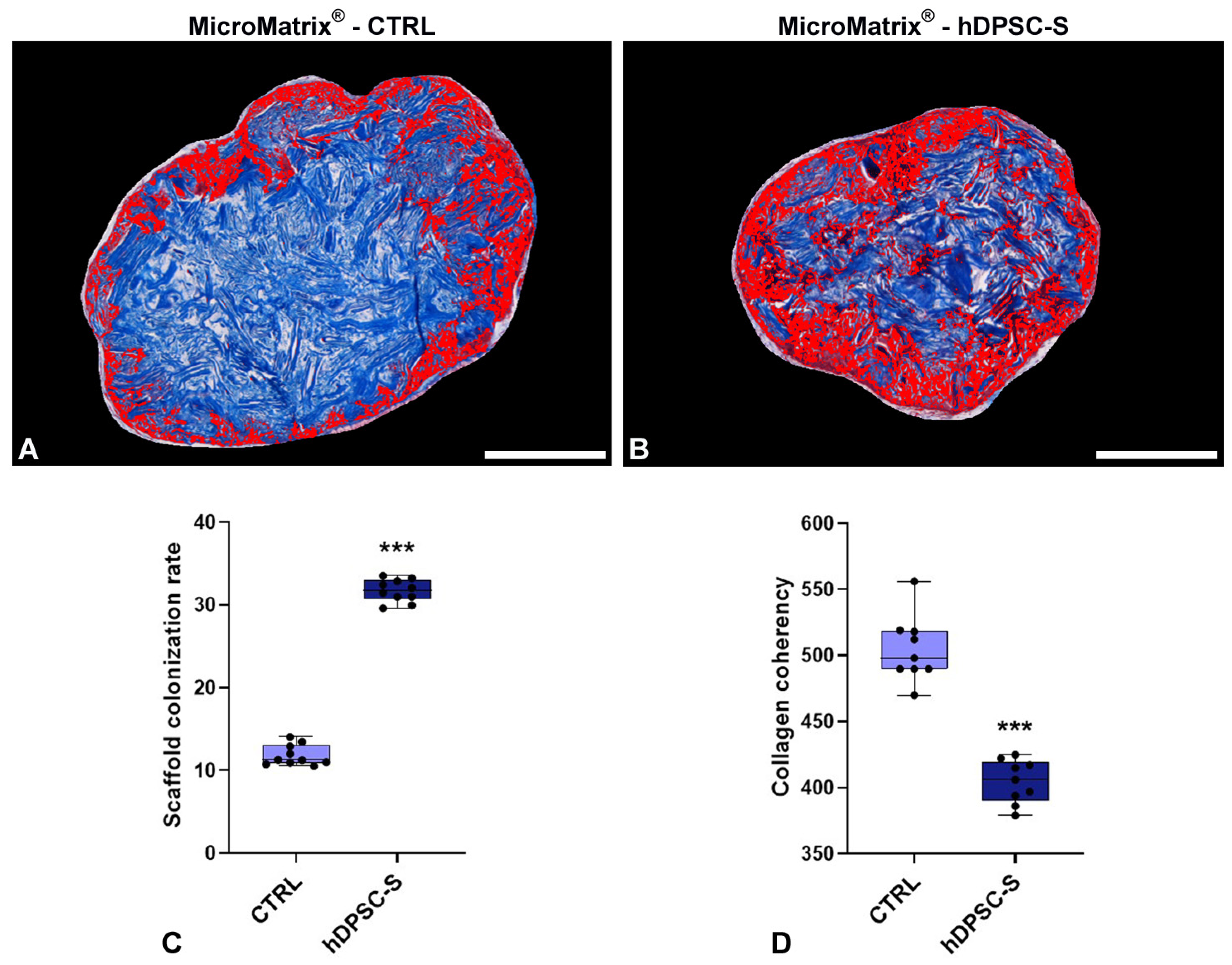
3.2. Evaluation of MicroMatrix® Cell Colonization
3.3. Phenotypic Characterization of MicroMatrix®-Infiltrating Cells
3.4. Pro-Angiogenic Activity and Vascular Maturation Induced by hDPSC-S
4. Discussion
5. Conclusions
Supplementary Materials
Author Contributions
Funding
Institutional Review Board Statement
Informed Consent Statement
Data Availability Statement
Acknowledgments
Conflicts of Interest
References
- Ungvari, Z.; Tarantini, S.; Kiss, T.; Wren, J.D.; Giles, C.B.; Griffin, C.T.; Murfee, W.L.; Pacher, P.; Csiszar, A. Endothelial Dysfunction and Angiogenesis Impairment in the Ageing Vasculature. Nat. Rev. Cardiol. 2018, 15, 555–565. [Google Scholar] [CrossRef] [PubMed]
- Lähteenvuo, J.; Rosenzweig, A. Effects of Aging on Angiogenesis. Circ. Res. 2012, 110, 1252–1264. [Google Scholar] [CrossRef] [PubMed]
- Hicks, C.W.; Selvarajah, S.; Mathioudakis, N.; Sherman, R.L.; Hines, K.F.; Black, J.H.; Abularrage, C.J. Burden of Infected Diabetic Foot Ulcers on Hospital Admissions and Costs. Ann. Vasc. Surg. 2016, 33, 149–158. [Google Scholar] [CrossRef] [PubMed]
- Zhang, Q.; Wang, F.; Xu, S.; Cui, J.; Li, K.; Shiwen, X.; Guo, M. Polystyrene Microplastics Induce Myocardial Inflammation and Cell Death via the TLR4/NF-κB Pathway in Carp. Fish Shellfish Immunol. 2023, 135, 108690. [Google Scholar] [CrossRef]
- Armstrong, D.G.; Tan, T.-W.; Boulton, A.J.M.; Bus, S.A. Diabetic Foot Ulcers: A Review. JAMA 2023, 330, 62. [Google Scholar] [CrossRef]
- Huerta, C.T.; Voza, F.A.; Ortiz, Y.Y.; Liu, Z.-J.; Velazquez, O.C. Mesenchymal Stem Cell-Based Therapy for Non-Healing Wounds Due to Chronic Limb-Threatening Ischemia: A Review of Preclinical and Clinical Studies. Front. Cardiovasc. Med. 2023, 10, 1113982. [Google Scholar] [CrossRef]
- Arango-Rodríguez, M.L.; Mateus, L.C.; Sossa, C.L.; Becerra-Bayona, S.M.; Solarte-David, V.A.; Ochoa Vera, M.E.; Viviescas, L.T.G.; Berrio, A.M.V.; Serrano, S.E.; Vargas, O.; et al. A Novel Therapeutic Management for Diabetes Patients with Chronic Limb-Threatening Ischemia: Comparison of Autologous Bone Marrow Mononuclear Cells versus Allogenic Wharton Jelly-Derived Mesenchymal Stem Cells. Stem Cell Res. Ther. 2023, 14, 221. [Google Scholar] [CrossRef]
- Cherubino, M.; Valdatta, L.; Balzaretti, R.; Pellegatta, I.; Rossi, F.; Protasoni, M.; Tedeschi, A.; Accolla, R.S.; Bernardini, G.; Gornati, R. Human Adipose-Derived Stem Cells Promote Vascularization of Collagen-Based Scaffolds Transplanted into Nude Mice. Regen. Med. 2016, 11, 261–271. [Google Scholar] [CrossRef]
- Wietecha, M.S.; DiPietro, L.A. Therapeutic Approaches to the Regulation of Wound Angiogenesis. Adv. Wound Care 2013, 2, 81–86. [Google Scholar] [CrossRef]
- Li, J.; Zhang, Y.; Kirsner, R.S. Angiogenesis in Wound Repair: Angiogenic Growth Factors and the Extracellular Matrix. Microsc. Res. Tech. 2003, 60, 107–114. [Google Scholar] [CrossRef]
- Barrasa-Ramos, S.; Dessalles, C.A.; Hautefeuille, M.; Barakat, A.I. Mechanical Regulation of the Early Stages of Angiogenesis. J. R. Soc. Interface 2022, 19, 20220360. [Google Scholar] [CrossRef]
- Xiao, P.; Zhang, Y.; Zeng, Y.; Yang, D.; Mo, J.; Zheng, Z.; Wang, J.; Zhang, Y.; Zhou, Z.; Zhong, X.; et al. Impaired Angiogenesis in Ageing: The Central Role of the Extracellular Matrix. J. Transl. Med. 2023, 21, 457. [Google Scholar] [CrossRef]
- Borgese, M.; Barone, L.; Rossi, F.; Raspanti, M.; Papait, R.; Valdatta, L.; Bernardini, G.; Gornati, R. Effect of Nanostructured Scaffold on Human Adipose-Derived Stem Cells: Outcome of In Vitro Experiments. Nanomaterials 2020, 10, 1822. [Google Scholar] [CrossRef]
- Yamada, K.M.; Doyle, A.D.; Lu, J. Cell–3D matrix interactions: Recent advances and opportunities. Trends Cell Biol. 2022, 32, 883–895. [Google Scholar] [CrossRef]
- Ma, Z.; Mao, C.; Jia, Y.; Fu, Y.; Kong, W. Extracellular Matrix Dynamics in Vascular Remodeling. Am. J. Physiol.-Cell Physiol. 2020, 319, C481–C499. [Google Scholar] [CrossRef] [PubMed]
- Khan, H.M.; Liao, X.; Sheikh, B.A.; Wang, Y.; Su, Z.; Guo, C.; Li, Z.; Zhou, C.; Cen, Y.; Kong, Q. Smart Biomaterials and Their Potential Applications in Tissue Engineering. J. Mater. Chem. B 2022, 10, 6859–6895. [Google Scholar] [CrossRef] [PubMed]
- Keshavarz, M.; Tan, B.; Venkatakrishnan, K. Cell Selective Apoptosis Induced by Polymorphic Alteration of Self-Assembled Silica Nanowebs. ACS Appl. Mater. Interfaces 2017, 9, 6292–6305. [Google Scholar] [CrossRef] [PubMed]
- Integra LifeScience-MicroMatrix® UBM Particulate. Available online: https://products.integralife.com/micromatrix-ubm-particulate/product/wound-reconstruction-care-inpatient-acute-or-micromatrix (accessed on 6 October 2025).
- Barone, L.; Palano, M.T.; Gallazzi, M.; Cucchiara, M.; Rossi, F.; Borgese, M.; Raspanti, M.; Zecca, P.A.; Mortara, L.; Papait, R.; et al. Adipose Mesenchymal Stem Cell-Derived Soluble Factors, Produced under Hypoxic Condition, Efficiently Support in Vivo Angiogenesis. Cell Death Discov. 2023, 9, 174. [Google Scholar] [CrossRef]
- Barone, L.; Gallazzi, M.; Rossi, F.; Papait, R.; Raspanti, M.; Zecca, P.A.; Buonarrivo, L.; Bassani, B.; Bernardini, G.; Bruno, A.; et al. Human Dental Pulp Mesenchymal Stem Cell-Derived Soluble Factors Combined with a Nanostructured Scaffold Support the Generation of a Vascular Network In Vivo. Nanomaterials 2023, 13, 2479. [Google Scholar] [CrossRef]
- Barone, L.; Cucchiara, M.; Palano, M.T.; Bassani, B.; Gallazzi, M.; Rossi, F.; Raspanti, M.; Zecca, P.A.; De Antoni, G.; Pagiatakis, C.; et al. Dental Pulp Mesenchymal Stem Cell (DPSCs)-Derived Soluble Factors, Produced under Hypoxic Conditions, Support Angiogenesis via Endothelial Cell Activation and Generation of M2-like Macrophages. J. Biomed. Sci. 2024, 31, 99. [Google Scholar] [CrossRef]
- Krivanek, J.; Soldatov, R.A.; Kastriti, M.E.; Chontorotzea, T.; Herdina, A.N.; Petersen, J.; Szarowska, B.; Landova, M.; Matejova, V.K.; Holla, L.I.; et al. Dental Cell Type Atlas Reveals Stem and Differentiated Cell Types in Mouse and Human Teeth. Nat. Commun. 2020, 11, 4816. [Google Scholar] [CrossRef] [PubMed]
- Li, B.; Ouchi, T.; Cao, Y.; Zhao, Z.; Men, Y. Dental-Derived Mesenchymal Stem Cells: State of the Art. Front. Cell Dev. Biol. 2021, 9, 654559. [Google Scholar] [CrossRef] [PubMed]
- Baranzini, N.; Pulze, L.; Tettamanti, G.; Acquati, F.; Grimaldi, A. HvRNASET2 Regulate Connective Tissue and Collagen I Remodeling During Wound Healing Process. Front. Physiol. 2021, 12, 632506. [Google Scholar] [CrossRef] [PubMed]
- Wang, H.D.; Guo, Q.; Quan, A.; Lopez, J.; Alonso-Escalante, J.C.; Lough, D.M.; Lee, W.A.; Brandacher, G.; Kumar, A.R. Vascular Endothelial Growth Factor Induction of Muscle-Derived Stem Cells Enhances Vascular Phenotype While Preserving Myogenic Potential. Ann. Plast. Surg. 2017, 79, 404–409. [Google Scholar] [CrossRef]
- Jin, K.; Li, B.; Lou, L.; Xu, Y.; Ye, X.; Yao, K.; Ye, J.; Gao, C. In Vivo Vascularization of MSC-Loaded Porous Hydroxyapatite Constructs Coated with VEGF-Functionalized Collagen/Heparin Multilayers. Sci. Rep. 2016, 6, 19871. [Google Scholar] [CrossRef]
- Gronthos, S.; Mankani, M.; Brahim, J.; Robey, P.G.; Shi, S. Postnatal Human Dental Pulp Stem Cells (DPSCs) in Vitro and in Vivo. Proc. Natl. Acad. Sci. USA 2000, 97, 13625–13630. [Google Scholar] [CrossRef]
- Marcozzi, C.; Frattini, A.; Borgese, M.; Rossi, F.; Barone, L.; Solari, E.; Valli, R.; Gornati, R. Paracrine Effect of Human Adipose-Derived Stem Cells on Lymphatic Endothelial Cells. Regen. Med. 2020, 15, 2085–2098. [Google Scholar] [CrossRef]
- Bernardoni, S.; Campodoni, E.; Vicinelli, G.; Saqawa, M.; Bonvicini, F.; Pulze, L.; Baranzini, N.; Costantini, G.; Montesi, M.; Gentilomi, G.A.; et al. From Wound Dressing to Tissue Regeneration: Bilayer Medicated Patches for Personalized Treatments of Chronic Wounds. ACS Appl. Mater. Interfaces 2025, 17, 35240–35261. [Google Scholar] [CrossRef]
- Marcolli, G.; Barone, L.; Baranzini, N.; Rossi, F.; Nebuloni, A.M.; Pulze, L.; Sadia, S.; Zecca, P.A.; Pagiatakis, C.; Papait, R.; et al. Stem Cell Research & Therapy. Tissue Regen. Potential Hum. Dent. Pulp Mesenchymal Stem Cell Cond. Medium Wound Heal. Med. Leech 2025. Available online: https://publishing-and-rights.springernature.com/workflow/689f8927-7b19-4310-9581-a95ace8eca3b (accessed on 6 October 2025). [CrossRef]
- Badylak, S.F.; Taylor, D.; Uygun, K. Whole-Organ Tissue Engineering: Decellularization and Recellularization of Three-Dimensional Matrix Scaffolds. Annu. Rev. Biomed. Eng. 2011, 13, 27–53. [Google Scholar] [CrossRef]
- Murphy, C.; Little, D.; Schindeler, A. Cell-Scaffold Interactions in the Bone Tissue Engineering Triad. Eur. Cell. Mater. 2013, 26, 120–132. [Google Scholar] [CrossRef]
- Pulze, L.; Baranzini, N.; Girardello, R.; Grimaldi, A.; Ibba-Manneschi, L.; Ottaviani, E.; Reguzzoni, M.; Tettamanti, G.; De Eguileor, M. A New Cellular Type in Invertebrates: First Evidence of Telocytes in Leech Hirudo Medicinalis. Sci. Rep. 2017, 7, 13580. [Google Scholar] [CrossRef] [PubMed]
- Cretoiu, S.M.; Popescu, L.M. Telocytes Revisited. Biomol. Concepts 2014, 5, 353–369. [Google Scholar] [CrossRef] [PubMed]
- Zheng, Y.; Bai, C.; Wang, X. Telocyte Morphologies and Potential Roles in Diseases. J. Cell. Physiol. 2012, 227, 2311–2317. [Google Scholar] [CrossRef] [PubMed]
- Ferrara, N. VEGF-A: A Critical Regulator of Blood Vessel Growth. Eur. Cytokine Netw. 2009, 20, 158–163. [Google Scholar] [CrossRef]
- Gnecchi, M.; Danieli, P.; Malpasso, G.; Ciuffreda, M.C. Paracrine Mechanisms of Mesenchymal Stem Cells in Tissue Repair. In Mesenchymal Stem Cells; Gnecchi, M., Ed.; Methods in Molecular Biology; Springer: New York, NY, USA, 2016; Volume 1416, pp. 123–146. ISBN 978-1-4939-3582-6. [Google Scholar]
- Bronckaers, A.; Hilkens, P.; Martens, W.; Gervois, P.; Ratajczak, J.; Struys, T.; Lambrichts, I. Mesenchymal Stem/Stromal Cells as a Pharmacological and Therapeutic Approach to Accelerate Angiogenesis. Pharmacol. Ther. 2014, 143, 181–196. [Google Scholar] [CrossRef]
- Bokhari, S.M.Z.; Hamar, P. Vascular Endothelial Growth Factor-D (VEGF-D): An Angiogenesis Bypass in Malignant Tumors. Int. J. Mol. Sci. 2023, 24, 13317. [Google Scholar] [CrossRef]
- Silver, A.; Graf, J. Innate and Procured Immunity inside the Digestive Tract of the Medicinal Leech. Invertebr. Surviv. J. ISJ 2011, 8, 173–178. [Google Scholar]






| Antibody | Description | Company | Application | Dilution |
|---|---|---|---|---|
| CD31 | α-human mouse monoclonal | Novocastra (Nussloch, Germany) | IF | 1:200 |
| CD34 | α-human rabbit polyclonal | Abcam (Cambridge, UK) | IF | 1:100 |
| CD154 | α-human rabbit polyclonal | Santa Cruz Biotechnology (Texas, TX, USA) | IF | 1:100 |
| VEGF | α-human mouse monoclonal | ThermoFisher Scientific (Waltham, CA, USA) | IF | 1:100 |
| HmAIF1 | α-Hirudo medicinalis rabbit polyclonal | Kindly donated by Prof. Vizioli (University of Lille, France) | IF | 1:100 |
Disclaimer/Publisher’s Note: The statements, opinions and data contained in all publications are solely those of the individual author(s) and contributor(s) and not of MDPI and/or the editor(s). MDPI and/or the editor(s) disclaim responsibility for any injury to people or property resulting from any ideas, methods, instructions or products referred to in the content. |
© 2025 by the authors. Licensee MDPI, Basel, Switzerland. This article is an open access article distributed under the terms and conditions of the Creative Commons Attribution (CC BY) license (https://creativecommons.org/licenses/by/4.0/).
Share and Cite
Marcolli, G.; Baranzini, N.; Barone, L.; Rossi, F.; Pulze, L.; Pagiatakis, C.; Papait, R.; Grimaldi, A.; Gornati, R. Nanostructured Scaffold, Combined with Human Dental Pulp Stem Cell Secretome, Induces Vascularization in Medicinal Leech Model. Micromachines 2025, 16, 1150. https://doi.org/10.3390/mi16101150
Marcolli G, Baranzini N, Barone L, Rossi F, Pulze L, Pagiatakis C, Papait R, Grimaldi A, Gornati R. Nanostructured Scaffold, Combined with Human Dental Pulp Stem Cell Secretome, Induces Vascularization in Medicinal Leech Model. Micromachines. 2025; 16(10):1150. https://doi.org/10.3390/mi16101150
Chicago/Turabian StyleMarcolli, Gaia, Nicolò Baranzini, Ludovica Barone, Federica Rossi, Laura Pulze, Christina Pagiatakis, Roberto Papait, Annalisa Grimaldi, and Rosalba Gornati. 2025. "Nanostructured Scaffold, Combined with Human Dental Pulp Stem Cell Secretome, Induces Vascularization in Medicinal Leech Model" Micromachines 16, no. 10: 1150. https://doi.org/10.3390/mi16101150
APA StyleMarcolli, G., Baranzini, N., Barone, L., Rossi, F., Pulze, L., Pagiatakis, C., Papait, R., Grimaldi, A., & Gornati, R. (2025). Nanostructured Scaffold, Combined with Human Dental Pulp Stem Cell Secretome, Induces Vascularization in Medicinal Leech Model. Micromachines, 16(10), 1150. https://doi.org/10.3390/mi16101150

