Proteolytic Activities and Immunological Effects of Light Chains of Botulinum Neurotoxin A1, A2 and A3 Subtypes
Abstract
1. Introduction
2. Results
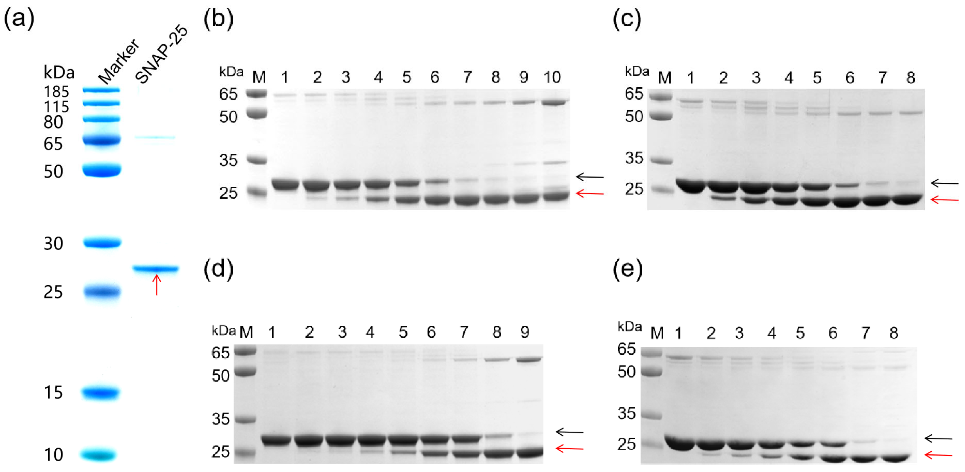
2.1. Protein Purification and Identification
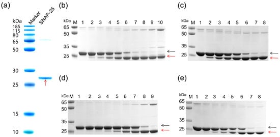
2.2. Proteolytic Activity
2.3. Immunization and Protective Efficacy
2.4. Immunogenicity of A1-LC-His, A2-LC-His, A3-LC-His Antigens
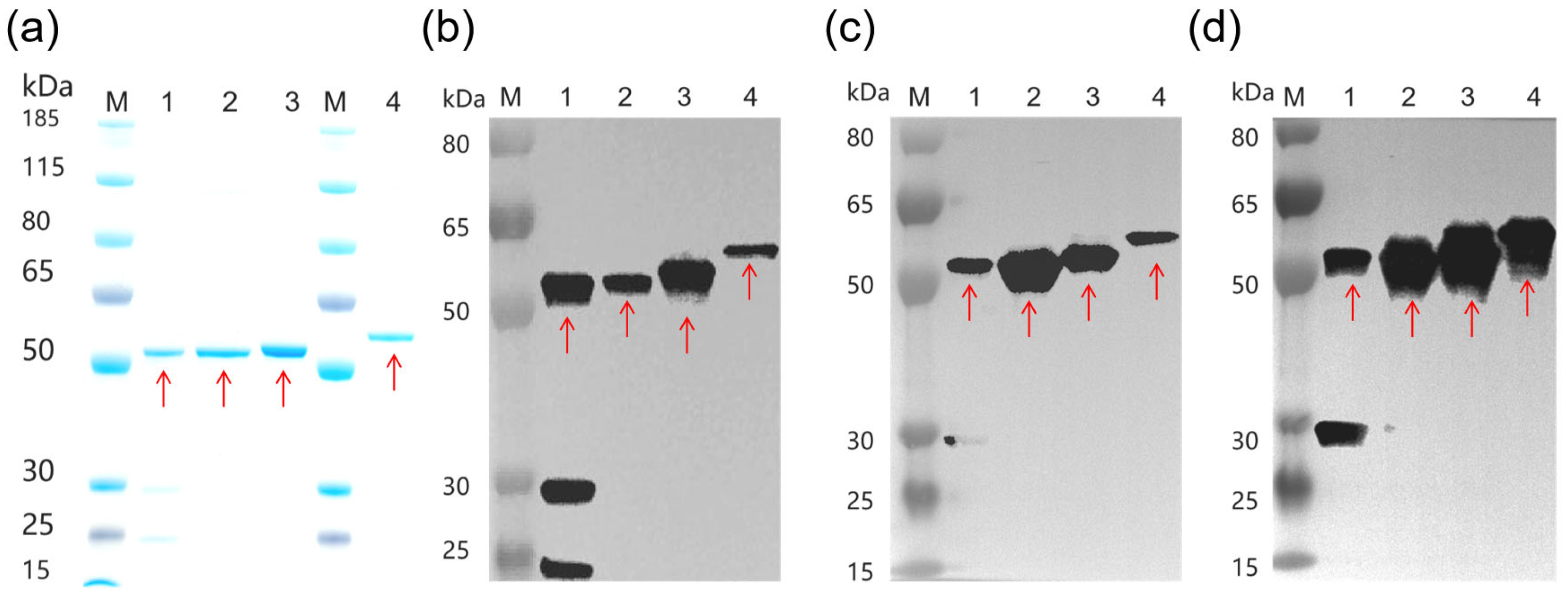
2.5. Inhibition of BoNT/A LC Proteolytic Activity by Sera Antibodies
3. Discussion
4. Conclusions
5. Materials and Methods
5.1. Gene Synthesis
5.2. Protein Expression
5.3. Protein Purification
5.4. Western Blot Analysis
5.5. Proteolytic Activity
5.6. Mouse Immunization and Protection Assay
5.7. Enzyme-Linked Immunosorbent Assay (ELISA)
5.8. Inhibitory Activity of BoNT/A LC to SNAP-25 In Vitro Tests
5.9. Statistical Analysis
Author Contributions
Funding
Institutional Review Board Statement
Informed Consent Statement
Data Availability Statement
Conflicts of Interest
References
- Tereshko, Y.; Dal Bello, S.; Lettieri, C.; Belgrado, E.; Gigli, G.L.; Merlino, G.; Valente, M. Botulinum Toxin Type A for Trigeminal Neuralgia: A Comprehensive Literature Review. Toxins 2024, 16, 500. [Google Scholar] [CrossRef]
- Rossetto, O.; Montecucco, C. Tables of Toxicity of Botulinum and Tetanus Neurotoxins. Toxins 2019, 11, 686. [Google Scholar] [CrossRef]
- Montecucco, C.; Molgo, J. Botulinal neurotoxins: Revival of an old killer. Curr. Opin. Pharmacol. 2005, 5, 274–279. [Google Scholar] [CrossRef]
- Munir, M.T.; Mtimet, N.; Guillier, L.; Meurens, F.; Fravalo, P.; Federighi, M.; Kooh, P. Physical Treatments to Control Clostridium botulinum Hazards in Food. Foods 2023, 12, 1580. [Google Scholar] [CrossRef]
- Kumar, R.; Singh, B.R. Botulinum Toxin: A Comprehensive Review of Its Molecular Architecture and Mechanistic Action. Int. J. Mol. Sci. 2025, 26, 777. [Google Scholar] [CrossRef]
- Dong, M.; Stenmark, P. The Structure and Classification of Botulinum Toxins. Handb. Exp. Pharmacol. 2021, 263, 11–33. [Google Scholar] [CrossRef]
- Gardner, A.P.; Barbieri, J.T. Light Chain Diversity among the Botulinum Neurotoxins. Toxins 2018, 10, 268. [Google Scholar] [CrossRef] [PubMed]
- Videnovic, M.; Opsenica, D.M.; Burnett, J.C.; Gomba, L.; Nuss, J.E.; Selakovic, Z.; Konstantinovic, J.; Krstic, M.; Segan, S.; Zlatovic, M.; et al. Second generation steroidal 4-aminoquinolines are potent, dual-target inhibitors of the botulinum neurotoxin serotype A metalloprotease and P. falciparum malaria. J. Med. Chem. 2014, 57, 4134–4153. [Google Scholar] [CrossRef] [PubMed]
- Lam, K.H.; Tremblay, J.M.; Perry, K.; Ichtchenko, K.; Shoemaker, C.B.; Jin, R. Probing the structure and function of the protease domain of botulinum neurotoxins using single-domain antibodies. PLoS Pathog. 2022, 18, e1010169. [Google Scholar] [CrossRef]
- Masuyer, G.; Rummel, A.; Stenmark, P. Botulinum neurotoxin A mutants with enhanced ganglioside binding show improved potency and altered ganglioside selectivity. Commun. Chem. 2025, 8, 171. [Google Scholar] [CrossRef] [PubMed]
- Arndt, J.W.; Jacobson, M.J.; Abola, E.E.; Forsyth, C.M.; Tepp, W.H.; Marks, J.D.; Johnson, E.A.; Stevens, R.C. A structural perspective of the sequence variability within botulinum neurotoxin subtypes A1–A4. J. Mol. Biol. 2006, 362, 733–742. [Google Scholar] [CrossRef]
- Whitemarsh, R.C.; Tepp, W.H.; Bradshaw, M.; Lin, G.; Pier, C.L.; Scherf, J.M.; Johnson, E.A.; Pellett, S. Characterization of botulinum neurotoxin A subtypes 1 through 5 by investigation of activities in mice, in neuronal cell cultures, and in vitro. Infect. Immun. 2013, 81, 3894–3902. [Google Scholar] [CrossRef]
- Davies, J.R.; Rees, J.; Liu, S.M.; Acharya, K.R. High resolution crystal structures of Clostridium botulinum neurotoxin A3 and A4 binding domains. J. Struct. Biol. 2018, 202, 113–117. [Google Scholar] [CrossRef] [PubMed]
- Pellett, S.; Tepp, W.H.; Whitemarsh, R.C.; Bradshaw, M.; Johnson, E.A. In vivo onset and duration of action varies for botulinum neurotoxin A subtypes 1-5. Toxicon 2015, 107, 37–42. [Google Scholar] [CrossRef] [PubMed]
- Zaragoza, N.E.; Orellana, C.A.; Moonen, G.A.; Moutafis, G.; Marcellin, E. Vaccine Production to Protect Animals Against Pathogenic Clostridia. Toxins 2019, 11, 525. [Google Scholar] [CrossRef] [PubMed]
- Viravathana, P.; Tepp, W.H.; Bradshaw, M.; Przedpelski, A.; Barbieri, J.T.; Pellett, S. Potency Evaluations of Recombinant Botulinum Neurotoxin A1 Mutants Designed to Reduce Toxicity. Int. J. Mol. Sci. 2024, 25, 8955. [Google Scholar] [CrossRef]
- Weisemann, J.; Krez, N.; Fiebig, U.; Worbs, S.; Skiba, M.; Endermann, T.; Dorner, M.B.; Bergstrom, T.; Munoz, A.; Zegers, I.; et al. Generation and Characterization of Six Recombinant Botulinum Neurotoxins as Reference Material to Serve in an International Proficiency Test. Toxins 2015, 7, 5035–5054. [Google Scholar] [CrossRef]
- Rawson, A.M.; Dempster, A.W.; Humphreys, C.M.; Minton, N.P. Pathogenicity and virulence of Clostridium botulinum. Virulence 2023, 14, 2205251. [Google Scholar] [CrossRef]
- Webb, R.P.; Smith, T.J.; Smith, L.A.; Wright, P.M.; Guernieri, R.L.; Brown, J.L.; Skerry, J.C. Recombinant Botulinum Neurotoxin Hc Subunit (BoNT Hc) and Catalytically Inactive Clostridium botulinum Holoproteins (ciBoNT HPs) as Vaccine Candidates for the Prevention of Botulism. Toxins 2017, 9, 269. [Google Scholar] [CrossRef]
- Henkel, J.S.; Jacobson, M.; Tepp, W.; Pier, C.; Johnson, E.A.; Barbieri, J.T. Catalytic properties of botulinum neurotoxin subtypes A3 and A4. Biochemistry 2009, 48, 2522–2528. [Google Scholar] [CrossRef]
- Jia, B.; Jeon, C.O. High-throughput recombinant protein expression in Escherichia coli: Current status and future perspectives. Open Biol. 2016, 6, 160196. [Google Scholar] [CrossRef]
- Yu, Y.Z.; Gong, Z.W.; Ma, Y.; Zhang, S.M.; Zhu, H.Q.; Wang, W.B.; Du, Y.; Wang, S.; Yu, W.Y.; Sun, Z.W. Co-expression of tetanus toxin fragment C in Escherichia coli with thioredoxin and its evaluation as an effective subunit vaccine candidate. Vaccine 2011, 29, 5978–5985. [Google Scholar] [CrossRef]
- Schneider, C.A.; Rasband, W.S.; Eliceiri, K.W. NIH Image to ImageJ: 25 years of image analysis. Nat. Methods 2012, 9, 671–675. [Google Scholar] [CrossRef] [PubMed]
- Solabre Valois, L.; Wilkinson, K.A.; Nakamura, Y.; Henley, J.M. Endocytosis, trafficking and exocytosis of intact full-length botulinum neurotoxin type a in cultured rat neurons. Neurotoxicology 2020, 78, 80–87. [Google Scholar] [CrossRef] [PubMed]
- Verderio, C.; Rossetto, O.; Grumelli, C.; Frassoni, C.; Montecucco, C.; Matteoli, M. Entering neurons: Botulinum toxins and synaptic vesicle recycling. EMBO Rep. 2006, 7, 995–999. [Google Scholar] [CrossRef]
- Schiavo, G.; Matteoli, M.; Montecucco, C. Neurotoxins affecting neuroexocytosis. Physiol. Rev. 2000, 80, 717–766. [Google Scholar] [CrossRef]
- Patel, E.N.; Turner, L.D.; Hixon, M.S.; Janda, K.D. Identification of Slow-Binding Inhibitors of the BoNT/A Protease. ACS Med. Chem. Lett. 2022, 13, 742–747. [Google Scholar] [CrossRef]
- Antonucci, F.; Rossi, C.; Gianfranceschi, L.; Rossetto, O.; Caleo, M. Long-distance retrograde effects of botulinum neurotoxin A. J. Neurosci. 2008, 28, 3689–3696. [Google Scholar] [CrossRef] [PubMed]
- Blum, T.R.; Liu, H.; Packer, M.S.; Xiong, X.; Lee, P.G.; Zhang, S.; Richter, M.; Minasov, G.; Satchell, K.J.F.; Dong, M.; et al. Phage-assisted evolution of botulinum neurotoxin proteases with reprogrammed specificity. Science 2021, 371, 803–810. [Google Scholar] [CrossRef]
- Rasetti-Escargueil, C.; Palea, S. Embracing the Versatility of Botulinum Neurotoxins in Conventional and New Therapeutic Applications. Toxins 2024, 16, 261. [Google Scholar] [CrossRef]
- Henkel, J.S.; Tepp, W.H.; Przedpelski, A.; Fritz, R.B.; Johnson, E.A.; Barbieri, J.T. Subunit vaccine efficacy against Botulinum neurotoxin subtypes. Vaccine 2011, 29, 7688–7695. [Google Scholar] [CrossRef] [PubMed]
- Pier, C.L.; Tepp, W.H.; Bradshaw, M.; Johnson, E.A.; Barbieri, J.T.; Baldwin, M.R. Recombinant holotoxoid vaccine against botulism. Infect. Immun. 2008, 76, 437–442. [Google Scholar] [CrossRef]
- Liu, F.J.; Shi, D.Y.; Mao, Y.Y.; Xiong, X.H.; Lu, J.S.; Pang, X.B.; Dong, X.J.; Yang, Z.X.; Yu, Y.Z. Immunological characterisation and immunoprotective efficacy of functional domain antigens of botulinum neurotoxin serotype A. Vaccine 2020, 38, 2978–2983. [Google Scholar] [CrossRef]
- Li, Z.; Lu, J.S.; Liu, S.; Wang, R.; Xu, Q.; Yu, Y.Z.; Yang, Z.X. Recombinant L-HN Fusion Antigen Derived from the L and HN Domains of Botulinum Neurotoxin B Stimulates a Protective Antibody Response Against Active Neurotoxin. Neurotox. Res. 2021, 39, 1044–1053. [Google Scholar] [CrossRef]
- Li, Z.; Lu, J.; Tan, X.; Wang, R.; Xu, Q.; Yu, Y.; Yang, Z. Functional EL-HN Fragment as a Potent Candidate Vaccine for the Prevention of Botulinum Neurotoxin Serotype E. Toxins 2022, 14, 135. [Google Scholar] [CrossRef]
- Tan, X.; Zhang, C.C.; Lu, J.S.; Li, Z.Y.; Li, B.L.; Liu, X.Y.; Yu, Y.Z.; Xu, Q. Biology activity and characterization of the functional L-HN fragment derivative of botulinum neurotoxin serotype E. Anaerobe 2023, 82, 102764. [Google Scholar] [CrossRef]
- Li, Z.; Li, B.; Lu, J.; Liu, X.; Tan, X.; Wang, R.; Du, P.; Yu, S.; Xu, Q.; Pang, X.; et al. Biological and Immunological Characterization of a Functional L-HN Derivative of Botulinum Neurotoxin Serotype F. Toxins 2023, 15, 200. [Google Scholar] [CrossRef] [PubMed]
- Przedpelski, A.; Tepp, W.H.; Gupta, S.; Barbieri, J.T.; Pellett, S. Nontoxic, multi-domain botulinum neurotoxin-LCHC(N) as vaccines against botulism. Vaccine 2025, 65, 127779. [Google Scholar] [CrossRef] [PubMed]
- Shi, D.Y.; Liu, F.J.; Li, Z.Y.; Mao, Y.Y.; Lu, J.S.; Wang, R.; Pang, X.B.; Yu, Y.Z.; Yang, Z.X. Development and evaluation of a tetravalent botulinum vaccine. Hum. Vaccin. Immunother. 2022, 18, 2048621. [Google Scholar] [CrossRef]









| Vaccine (10 μg) a | Number Alive b | ||
|---|---|---|---|
| 10 LD50 A1 | 10 LD50 A2 | 10 LD50 A3 | |
| A1-LC | 5/5 ** | 4/5 * | 5/5 ** |
| A2-LC | 5/5 ** | 5/5 ** | 5/5 ** |
| A3-LC-His | ND | ND | 0/5 |
| A3-LC-TS | ND | ND | 0/5 |
| PBS | 0/5 | 0/5 | 0/5 |
| Vaccine (Dose) a | Number Alive b | |||
|---|---|---|---|---|
| 102 LD50A1 | 102 LD50A2 | 102 LD50A3 | 103 LD50A1 | |
| A1-LC (1 μg) | 5/5 ** | 3/5 | 2/5 | ND |
| A1-LC (10 μg) | 5/5 ** | 4/5 * | 4/5 * | 5/5 |
| A2-LC (1 μg) | 4/5 * | 4/5 * | 4/5 * | ND |
| A2-LC (10 μg) | 5/5 ** | 5/5 ** | 5/5 ** | 5/5 |
| A3-LC (1 μg) | 0/5 | 0/5 | 1/5 | ND |
| A3-LC (10 μg) | 0/5 | 0/5 | 4/5 | ND |
| A3-LC-TS (1 μg) | ND | ND | 0/5 | ND |
| A3-LC-TS (10 μg) | ND | ND | 0/5 | ND |
| Subtype | Amino Acid Sequence | Base Pairs (bp) | Protein Molecular Weight |
|---|---|---|---|
| A1-LC | 1–448 | 1344 | 50 kDa |
| A2-LC | 1–448 | 1344 | 50 kDa |
| A3-LC | 1–444 | 1332 | 50 kDa |
Disclaimer/Publisher’s Note: The statements, opinions and data contained in all publications are solely those of the individual author(s) and contributor(s) and not of MDPI and/or the editor(s). MDPI and/or the editor(s) disclaim responsibility for any injury to people or property resulting from any ideas, methods, instructions or products referred to in the content. |
© 2025 by the authors. Licensee MDPI, Basel, Switzerland. This article is an open access article distributed under the terms and conditions of the Creative Commons Attribution (CC BY) license.
Share and Cite
Liao, Y.; Hu, X.; Wang, J.; Lu, J.; Yu, S.; Yu, Y.; Wu, W. Proteolytic Activities and Immunological Effects of Light Chains of Botulinum Neurotoxin A1, A2 and A3 Subtypes. Toxins 2026, 18, 16. https://doi.org/10.3390/toxins18010016
Liao Y, Hu X, Wang J, Lu J, Yu S, Yu Y, Wu W. Proteolytic Activities and Immunological Effects of Light Chains of Botulinum Neurotoxin A1, A2 and A3 Subtypes. Toxins. 2026; 18(1):16. https://doi.org/10.3390/toxins18010016
Chicago/Turabian StyleLiao, Yiying, Xin Hu, Jingrong Wang, Jiansheng Lu, Shuo Yu, Yunzhou Yu, and Wenhui Wu. 2026. "Proteolytic Activities and Immunological Effects of Light Chains of Botulinum Neurotoxin A1, A2 and A3 Subtypes" Toxins 18, no. 1: 16. https://doi.org/10.3390/toxins18010016
APA StyleLiao, Y., Hu, X., Wang, J., Lu, J., Yu, S., Yu, Y., & Wu, W. (2026). Proteolytic Activities and Immunological Effects of Light Chains of Botulinum Neurotoxin A1, A2 and A3 Subtypes. Toxins, 18(1), 16. https://doi.org/10.3390/toxins18010016

