Acute Amanita muscaria Toxicity: A Literature Review and Two Case Reports in Elderly Spouses Following Home Preparation
Abstract
1. Introduction
2. Biochemical Composition and Bioactive Constituents of A. muscaria
3. Acute Poisoning and Toxicodynamics of A. muscaria
- ∘
- Supportive therapy to maintain respiratory and cardiovascular function;
- ∘
- Control of agitation and seizures using benzodiazepines;
- ∘
- Gastrointestinal decontamination with activated charcoal when presented early;
- ∘
- Close monitoring in an intensive care setting, as the patient’s condition may fluctuate between excitatory and depressive phases, or hospitalization with neurological observation;
- ∘
4. Clinical Cases
4.1. Objective Findings
4.2. Laboratory Findings
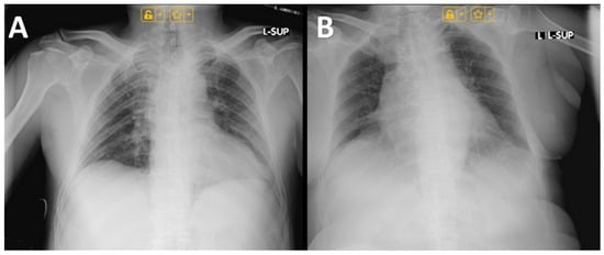
4.3. Imaging Findings
4.4. Differential Diagnosis and Applied Diagnostic Criteria
- ∘
- Other toxic mushrooms—A. phalloides (delayed gastrointestinal symptoms, hepatotoxicity, rare early CNS depression); Inocybe spp., and Clitocybe spp. (cholinergic signs without prominent CNS effects or hallucinations);
- ∘
- Non-mushroom cholinergic toxins—Organophosphate or carbamate exposure (requires history and additional systemic features);
- ∘
- Neurological/metabolic disorders—Acute cerebrovascular events, hypoglycemia, uremia, electrolyte imbalances do not explain rapid cholinergic and GI symptoms;
- ∘
- Infections—Encephalitis unlikely due to rapid onset, lack of fever, and normal inflammatory markers.
4.5. Mushroom Identification
4.6. Treatment
4.7. Resolution of the Toxic State
5. Discussion
- Identification of the consumed mushroom;
- Interval between ingestion and symptom onset;
- Laboratory confirmation (where possible).
- ∘
- Consume only well-identified mushroom species; if in doubt, avoid ingestion;
- ∘
- Avoid Internet-based mushroom identification by non-professionals, as morphological variability is influenced by season, growth stage, and environment;
- ∘
- Store mushrooms in appropriate containers;
- ∘
- Consume mushrooms immediately after cooking;
- ∘
- Avoid combining mushrooms with alcohol or other psychotropic substances, particularly in recreational use, due to increased risk of central and psychiatric symptoms;
- ∘
- Educate the population on signs of mushroom intoxication and the availability of regional poison centers for rapid consultation.
6. Conclusions
Author Contributions
Funding
Institutional Review Board Statement
Informed Consent Statement
Data Availability Statement
Conflicts of Interest
References
- Chan, T.Y.C.; Ng, S.W.; Chan, C.K.; Lee, H.H.C.; Mak, T.W.L. Cholinergic Mushroom Poisoning with a Detection of Muscarine Toxin in Urine. J. Med. Cases 2023, 14, 222–226. [Google Scholar] [CrossRef]
- White, J.; Weinstein, S.A.; De Haro, L.; Bédry, R.; Schaper, A.; Rumack, B.H.; Zilker, T. Mushroom poisoning: A proposed new clinical classification. Toxicon 2019, 157, 53–65. [Google Scholar] [CrossRef] [PubMed]
- Brandenburg, W.E.; Ward, K.J. Mushroom poisoning epidemiology in the United States. Mycologia 2018, 110, 637–641. [Google Scholar] [CrossRef] [PubMed]
- Goldfrank, L.R. Mushrooms. In Goldfrank’s Toxicologic Emergencies, 11th ed.; Nelson, L.S., Howland, M., Lewin, N.A., Smith, S.W., Goldfrank, L.R., Hoffman, R.S., Eds.; McGraw-Hill Education: New York, NY, USA, 2019; Available online: https://accesspharmacy.mhmedical.com/content.aspx?bookid=2569§ionid=210276854 (accessed on 3 October 2025).
- Bunyard, B.; Foote, B.; Griscom, H. Deadly Amanita Mushrooms as Food: A Survey of the Feeding Preferences of Mycophagous Diptera from Across North America with Notes on Evolved Detoxification. 2018. Available online: https://www.researchgate.net/profile/Britt-Bunyard/publication/324546181_Deadly_Amanita_Mushrooms_as_Food_A_Survey_of_the_Feeding_Preferences_of_Mycophagous_Diptera_from_Across_North_America_with_Notes_on_Evolved_Detoxification/links/5ad4f583aca272fdaf7c0601/Deadly-Amanita-Mushrooms-as-Food-A-Survey-of-the-Feeding-Preferences-of-Mycophagous-Diptera-from-Across-North-America-with-Notes-on-Evolved-Detoxification.pdf (accessed on 15 October 2025).
- Patocka, J.; Kocandrlova, B. Pharmacologically and Toxicologically Relevant Components of Amanita muscaria. Mil. Med. Sci. Lett. 2017, 86, 122–134. [Google Scholar] [CrossRef]
- Michelot, D.; Melendez-Howell, L.M. Amanita muscaria: Chemistry, Biology, Toxicology, and Ethnomycology. Mycol. Res. 2003, 107, 131–146. [Google Scholar] [CrossRef]
- Carboué, Q.; Lopez, M. Amanita muscaria: Ecology, Chemistry, Myths. Encyclopedia 2021, 1, 905–914. [Google Scholar] [CrossRef]
- Voynova, M.; Shkondrov, A.; Kondeva-Burdina, M.; Krasteva, I. Toxicological and Pharmacological Profile of Amanita muscaria (L.) Lam.—A New Rising Opportunity for Biomedicine. Pharmacia 2020, 67, 317–323. [Google Scholar] [CrossRef]
- Gibbons, S.; Arunotayanun, W. Natural Product (Fungal and Herbal) Novel Psychoactive Substances. In Novel Psychoactive Substances; Elsevier: Amsterdam, The Netherlands, 2013; pp. 345–362. [Google Scholar] [CrossRef]
- Mikaszewska-Sokolewicz, M.A.; Pankowska, S.; Janiak, M.; Pruszczyk, P.; Łazowski, T.; Jankowski, K. Coma in the Course of Severe Poisoning After Consumption of Red Fly Agaric (Amanita muscaria). Acta Biochim. Pol. 2016, 63, 181–182. [Google Scholar] [CrossRef]
- U.S. Food and Drug Administration (FDA). Scientific Memorandum: Regulatory Status and Review of Available Information Pertaining to Amanita muscaria: Lack of General Recognition of Safety for Its Use in Foods; FDA: Silver Spring, MD, USA, 2024. Available online: https://www.fda.gov/media/184512/download (accessed on 24 October 2025).
- Winkelman, M.J. (Ed.) Handbook of Entheogenic Healing; Brill Handbooks on Contemporary Religion; Brill: Leiden, The Netherlands, 2025; Volume 23, ISBN 978-90-04-72972-8. [Google Scholar]
- Savickaitė, E.; Laubner-Sakalauskienė, G. Emerging Risks of Amanita muscaria: Case Reports on Increasing Consumption and Health Risks. Acta Med. Lituan. 2025, 32, 182–189. [Google Scholar] [CrossRef]
- Lietuvos Respublikos Sveikatos Apsaugos Ministras. Dėl Lietuvos Respublikos Sveikatos Apsaugos Ministro 2000 m. Sausio 6 d. Įsakymo Nr. 1P-4 “Dėl Narkotinių Ir Psichotropinių Medžiagų Sąrašų Patvirtinimo“ Pakeitimo. 2024. Available online: https://www.e-tar.lt/portal/lt/legalAct/2b5cdff0c77611efa5ddd96c482819f5 (accessed on 24 October 2025).
- Ordak, M.; Galazka, A.; Nasierowski, T.; Muszynska, E.; Bujalska-Zadrozny, M. Reasons, Form of Ingestion and Side Effects Associated with Consumption of Amanita muscaria. Toxics 2023, 11, 383. [Google Scholar] [CrossRef]
- Wennig, R.; Eyer, F.; Schaper, A.; Zilker, T.; Andresen-Streichert, H. Mushroom poisoning. Dtsch. Arztebl. Int. 2020, 117, 701–708. [Google Scholar] [CrossRef]
- Flament, E.; Guitton, J.; Gaulier, J.-M.; Gaillard, Y. Human Poisoning from Poisonous Higher Fungi: Focus on Analytical Toxicology and Case Reports in Forensic Toxicology. Pharmaceuticals 2020, 13, 454. [Google Scholar] [CrossRef]
- Størmer, F.C.; Janak, K.; Koller, G.E.B. Ibotenic Acid in Amanita muscaria Spores and Caps. Mycologist 2004, 18, 114–117. [Google Scholar] [CrossRef]
- Satora, L.; Pach, D.; Butryn, B.; Hydzik, P.; Balicka-Slusarczyk, B. Fly Agaric (Amanita muscaria) Poisoning, Case Report and Review. Toxicon 2005, 45, 941–943. [Google Scholar] [CrossRef]
- Stříbrný, J.; Sokol, M.; Merová, B.; Ondra, P. GC/MS Determination of Ibotenic Acid and Muscimol in the Urine of Patients Intoxicated with Amanita pantherina. Int. J. Leg. Med. 2012, 126, 519–524. [Google Scholar] [CrossRef]
- Karthick, C.; Periyasamy, S.; Jayachandran, K.S.; Anusuyadevi, M. Intrahippocampal Administration of Ibotenic Acid Induced Cholinergic Dysfunction via NR2A/NR2B Expression: Implications of Resveratrol against Alzheimer Disease Pathophysiology. Front. Mol. Neurosci. 2016, 9, 28. [Google Scholar] [CrossRef]
- Rapaka, D.; Adiukwu, P.C.; Bitra, V.R. Experimentally Induced Animal Models for Cognitive Dysfunction and Alzheimer’s Disease. MethodsX 2022, 9, 101933. [Google Scholar] [CrossRef] [PubMed]
- Merova, B.; Ondra, P.; Stankova, M.; Valka, I. Isolation and Identification of the Amanita muscaria and Amanita pantherina Toxins in Human Urine. Neuro Endocrinol. Lett. 2008, 29, 744–748. [Google Scholar] [PubMed]
- Meisel, E.M.; Morgan, B.; Schwartz, M.; Kazzi, Z.; Cetin, H.; Sahin, A. Two Cases of Severe Amanita muscaria Poisoning Including a Fatality. Wilderness Environ. Med. 2022, 33, 412–416. [Google Scholar] [CrossRef] [PubMed]
- Taylor, J.; Holzbauer, S.; Wanduragala, D.; Ivaskovic, A.; Spinosa, R.; Smith, K.; Corcoran, J.; Jensen, A. Notes from the Field: Acute Intoxications from Consumption of Amanita muscaria Mushrooms—Minnesota, 2018. MMWR Morb. Mortal. Wkly. Rep. 2019, 68, 483–484. [Google Scholar] [CrossRef]
- Brvar, M.; Mozina, M.; Bunc, M. Prolonged Psychosis after Amanita muscaria Ingestion. Wien. Klin. Wochenschr. 2006, 118, 294–297. [Google Scholar] [CrossRef] [PubMed]
- Lee, M.; Dukan, E.; Milne, I. Amanita muscaria (Fly Agaric): From a Shamanistic Hallucinogen to the Search for Acetylcholine. J. R. Coll. Physicians Edinb. 2018, 48, 85–91. [Google Scholar] [CrossRef] [PubMed]
- Jo, W.S.; Hossain, M.A.; Park, S.C. Toxicological Profiles of Poisonous, Edible, and Medicinal Mushrooms. Mycobiology 2014, 42, 215–220. [Google Scholar] [CrossRef] [PubMed]
- Benjamin, D.R. Mushroom Poisoning in Infants and Children: The Amanita pantherina/muscaria Group. J. Toxicol. Clin. Toxicol. 1992, 30, 13–22. [Google Scholar] [CrossRef]
- Rampolli, F.I.; Kamler, P.; Carnevale Carlino, C.; Bedussi, F. The Deceptive Mushroom: Accidental Amanita muscaria Poisoning. Eur. J. Case Rep. Intern. Med. 2021, 8, 002212. [Google Scholar] [CrossRef]
- Iqbal, M.A.; Gupta, M. Cardiogenic Pulmonary Edema. In StatPearls [Internet]; StatPearls Publishing: Treasure Island, FL, USA, 2025. Available online: https://www.ncbi.nlm.nih.gov/books/NBK544260/ (accessed on 24 October 2025).
- Mayo Clinic Staff. Pulmonary Edema—Symptoms & Causes. Available online: https://www.mayoclinic.org/diseases-conditions/pulmonary-edema/symptoms-causes/syc-20377009 (accessed on 10 October 2025).
- Bhatnagar, M.; Fisher, A.; Ramsaroop, S.; Carter, A.; Pippard, B. Chylothorax: Pathophysiology, Diagnosis, and Management—A Comprehensive Review. J. Thorac. Dis. 2024, 16, 83411. Available online: https://jtd.amegroups.org/article/view/83411/html (accessed on 10 October 2025). [CrossRef]
- Sbaraini Zernini, I.; Nocera, D.; D’Albo, R.; Tonetti, T. Acute Respiratory Distress Syndrome and Fluid Management: Finding the Perfect Balance. J. Clin. Med. 2025, 14, 2067. [Google Scholar] [CrossRef]
- Walker, C.M.; Abbott, G.F.; Greene, R.E.; Shepard, J.-A.O.; Vummidi, D.; Digumarthy, S.R. Imaging Pulmonary Infection: Classic Signs and Patterns. Am. J. Roentgenol. 2014, 202, 479–492. [Google Scholar] [CrossRef]
- Matthay, M.A.; Zemans, R.L.; Zimmerman, G.A.; Arabi, Y.M.; Beitler, J.R.; Mercat, A.; Herridge, M.; Randolph, A.G.; Calfee, C.S. Acute Respiratory Distress Syndrome. Nat. Rev. Dis. Primers 2019, 5, 18. [Google Scholar] [CrossRef]
- Lima, A.D.; Costa Fortes, R.; Carvalho Garbi Novaes, M.R.; Percário, S. Poisonous Mushrooms: A Review of the Most Common Intoxications. Nutr. Hosp. 2012, 27, 402–408. [Google Scholar]
- Niksic, M.; Klaus, A.; Argyropoulos, D. Safety of Foods Based on Mushrooms. In Regulating Safety of Traditional and Ethnic Foods; Academic Press: London, UK, 2020; pp. 421–439. [Google Scholar]
- Karami Matin, B.; Amrollahi-Sharifabadi, M.; Rezaei, S.; Heidari, A.; Kazemi-Karyani, A. Epidemiology and Economic Burden of an Outbreak of Cyclopeptide-Containing Mushroom Poisoning in the West of Iran. Front. Public Health 2022, 10, 910024. [Google Scholar] [CrossRef]
- Schenk-Jaeger, K.M.; Rauber-Lüthy, C.; Bodmer, M.; Kupferschmidt, H.; Kullak-Ublick, G.A.; Ceschi, A. Mushroom Poisoning: A Study on Circumstances of Exposure and Patterns of Toxicity. Eur. J. Intern. Med. 2012, 23, e85–e91. [Google Scholar] [CrossRef] [PubMed]
- Gawlikowski, T.; Romek, M.; Satora, L. Edible Mushroom-Related Poisoning: A Study on Circumstances of Mushroom Collection, Transport, and Storage. Hum. Exp. Toxicol. 2015, 34, 718–724. [Google Scholar] [CrossRef]
- Vendramin, A.; Brvar, M. Amanita muscaria and Amanita pantherina Poisoning: Two Syndromes. Toxicon 2014, 90, 269–272. [Google Scholar] [CrossRef]
- Grimm-Samuel, V. On the Mushroom that Deified the Emperor Claudius. Class. Q. 1991, 41, 178–182. [Google Scholar] [CrossRef]
- Hahn, C.; Raidl, S.; Beenken, L. Can Amanita muscaria and Amanita caesarea Be Distinguished Basing on Herbarium Material? Comparison of Morphological-Anatomical and Genetic Methods. Z. Mykol. 2000, 66, 173–180. [Google Scholar]
- Marmion, V.J.; Wiedemann, T.E. The Death of Claudius. J. R. Soc. Med. 2002, 95, 260–261. [Google Scholar] [CrossRef]
- Moss, M.J.; Hendrickson, R.G. Toxicity of Muscimol and Ibotenic Acid Containing Mushrooms Reported to a Regional Poison Control Center from 2002–2016. Clin. Toxicol. 2018, 57, 99–103. [Google Scholar] [CrossRef] [PubMed]
- Maciejczyk, E.; Kafarski, P. Mannitol in Amanita muscaria—An Osmotic Blood–Brain Barrier Disruptor Enhancing Its Hallucinogenic Action? Med. Hypotheses 2013, 81, 766–767. [Google Scholar] [CrossRef]
- Fisher, C.M. Visual Hallucinations on Eye Closure Associated with Atropine Toxicity: A Neurological Analysis and Comparison with Other Visual Hallucinations. Can. J. Neurol. Sci. 1991, 18, 18–27. [Google Scholar] [CrossRef] [PubMed]
- Basha, S.A.; Sathiswara, B. Atropine Induced Psychosis: A Report of Two Cases. Int. J. Health Sci. Res. 2017, 7, 48–51. [Google Scholar]
- Thakuri, R.S.; Dhakal, D.; Tiwari, S.; Dahal, P.; Pokhrel, K.; Bhandari, S. Topical Atropine Induced Acute Psychosis—A Case Report. Nepal. J. Ophthalmol. 2024, 16, 98–102. [Google Scholar] [CrossRef]
- Adejumo, T.O.; Coker, M.E.; Akinmoladun, V.O. Identification and Evaluation of Nutritional Status of Some Edible and Medicinal Mushrooms in Akoko Area, Ondo State, Nigeria. Int. J. Curr. Microbiol. Appl. Sci. 2015, 4, 1011–1028. Available online: https://www.ijcmas.com/vol-4-4/T.O.Adejumo%2C%20et%20al.pdf (accessed on 14 November 2025).
- Garnica, S.; Schön, M.E.; Abarenkov, K.; Riess, K.; Liimatainen, K.; Niskanen, T.; Dima, B.; Soop, K.; Frøslev, T.G.; Jeppesen, T.S.; et al. Determining threshold values for barcoding fungi: Lessons from Cortinarius (Basidiomycota), a highly diverse and widespread ectomycorrhizal genus. FEMS Microbiol. Ecol. 2016, 92, fiw045. [Google Scholar] [CrossRef]
- Heděnec, P.; Nilsson, L.O.; Zheng, H.; Gundersen, P.; Schmidt, I.K.; Rousk, J.; Vesterdal, L. Mycorrhizal association of common European tree species shapes biomass and metabolic activity of bacterial and fungal communities in soil. arXiv 2020, arXiv:2011.05846. [Google Scholar] [CrossRef]
- Zhang, Y.; Mo, M.; Yang, L.; Mi, F.; Cao, Y.; Liu, C.; Tang, X.; Wang, P.; Xu, J. Exploring the Species Diversity of Edible Mushrooms in Yunnan, Southwestern China, by DNA Barcoding. J. Fungi 2021, 7, 310. [Google Scholar] [CrossRef]
- Sahu, K.; Pradhan, P.; Chandrawanshi, N.K. Revaluation of Mushroom Edibility Based on Differences in Morphological Characteristic. NewBioWorld J. Alumni Assoc. Biotechnol. 2022, 4, 15–17. [Google Scholar] [CrossRef]
- Xing, R.R.; Bai, W.M.; Hu, D.; Deng, T.T.; Zhang, J.K.; Chen, Y. Using a DNA mini-barcode within the ITS region to identify toxic Amanita in mushroom poisoning cases. Appl. Microbiol. Biotechnol. 2024, 108, 376. [Google Scholar] [CrossRef] [PubMed]
- Atlas Spores Academy. Complete Mycology Glossary: Scientific Terms Explained; Atlas Spores Academy: Hillsboro, OR, USA, 2025; Available online: https://atlasspores.academy/educational-content/glossary-resources/complete-mycology-glossary-scientific-terms-explained/ (accessed on 14 November 2025).





| Stage/Manifestation | Clinical Features | Recommended Treatment/Interventions |
|---|---|---|
| Excited Phase (1–4 h post-ingestion) |
|
|
| Comatose Phase (Several Hours) |
|
|
| General Treatment Measures |
|
|
| Laboratory Parameter | Male | Female | ||||
|---|---|---|---|---|---|---|
| Admission | Discharge | Reference Range | Admission | Discharge | Reference Range | |
| AST (ASAT) U/L | 30 | 19 | <40 | 23 | 34 | <32 |
| ALT (ALAT) U/L | 21 | 17 | <45 | 11 | 14 | <34 |
| GGT U/L | 17 | 17 | <50 | 8 | 9 | <32 |
| Total Bilirubin µmol/L | 31 | 24 | <21 | 11 | 9 | <21 |
| Cholinesterase IU/mL | 8.8 | 7.1 | 3.83–10.8 | 7.5 | 5.3 | 3.83–10.8 |
| Urea mmol/L | 8.6 | 8.2 | 2.8–7.2 | 15.5 | 10.4 | 2.8–7.2 |
| Serum Creatinine µmol/L | 95 | 88 | 62–115 | 132 | 117.0 | 53–106 |
| eGFR mL/min | 70 | 77 | >55 | 36 | 41 | >55 |
| Group | Suspected Toxin | Indicative Species |
|---|---|---|
| Group 1—Cytotoxic mushroom poisoning | ||
| Subgroup 1.1—Primary hepatotoxic mushroom poisoning | ||
| Group 1A—Primary hepatotoxicity | amatoxins | Amanita phalloides |
| Subgroup 1.2—Primary nephrotoxic mushroom poisoning | ||
| Group 1B—Primary nephrotoxicity | AHDA | Amanita smithiana |
| Group 1C—Delayed primary nephrotoxicity | orellanine | Cortinarius spp. |
| Group 2—Neurotoxic mushroom poisoning | ||
| Group 2A—Hallucinogenic mushrooms | psilocybins | Psilocybe spp. |
| Group 2B—Autonomic toxicity mushrooms | muscarines | Inocybe spp. |
| Group 2C—CNS toxicity mushrooms | ibotenic acid/muscimol | Amanita muscaria |
| Group 2D—Morel neurologic syndrome | unknown | Morchella spp. |
| Group 3—Myotoxic mushroom poisoning | ||
| Group 3A—Rapid onset myotoxicity | carboxylic acid | Russula subnigrans |
| Group 3B—Delayed onset myotoxicity | saponaceolide B | Tricholoma equestre |
| Group 4—Metabolic/endocrine toxicity mushroom poisoning | ||
| Group 4A—GABA-blocking mushroom poisoning | gyromitrins | Gyromitra spp. |
| Group 4B—Disulfiram-like mushroom poisoning | coprines | Coprinus spp. |
| Group 4C—Polyporic mushroom poisoning | polyporic acid | Hapalopilus rutilans |
| Group 4D—Trichothecene mushroom poisoning | trichothecenes | Podostroma cornu-damae |
| Group 4E—Hypoglycaemic mushroom poisoning | unusual amino acids | Trogia venenata |
| Group 4F—Hyperprocalcitoninemia mushroom poisoning | unknown | Boletus satanas |
| Group 4G—Pancytopenia mushroom poisoning | unknown | Ganoderma neojaponicum |
| Group 5—Gastrointestinal irritant mushroom poisoning | ||
| Group 6—Miscellaneous adverse reactions to mushrooms | ||
| Group 6A—Shiitake mushroom dermatitis | lentinan | Lentinula edodes |
| Group 6B—Erythromelalgia-like mushroom poisoning | acromelic acid | Clitocybe acromelagia |
| Group 6C—Paxillus syndrome | unknown | Paxillus involutus |
| Group 6D—Encephalopathy syndrome | Hydrocyanic acid | Pleurocybella porrigens |
| Feature Category | Key Characteristics for Differentiation |
|---|---|
| Cap (pileus) |
|
| Gills (lamellae) and spore-bearing surface |
|
| Stipe (stem) and ring/volva structures |
|
| Spore print color and microscopic features |
|
| Ecology and substrate |
|
| Molecular (DNA barcode) methods |
|
Disclaimer/Publisher’s Note: The statements, opinions and data contained in all publications are solely those of the individual author(s) and contributor(s) and not of MDPI and/or the editor(s). MDPI and/or the editor(s) disclaim responsibility for any injury to people or property resulting from any ideas, methods, instructions or products referred to in the content. |
© 2025 by the authors. Licensee MDPI, Basel, Switzerland. This article is an open access article distributed under the terms and conditions of the Creative Commons Attribution (CC BY) license (https://creativecommons.org/licenses/by/4.0/).
Share and Cite
Stoeva-Grigorova, S.; Yarabanova, I.; Radeva-Ilieva, M.; Ivanova, D.; Zlateva, S.; Marinov, P. Acute Amanita muscaria Toxicity: A Literature Review and Two Case Reports in Elderly Spouses Following Home Preparation. Toxins 2025, 17, 570. https://doi.org/10.3390/toxins17120570
Stoeva-Grigorova S, Yarabanova I, Radeva-Ilieva M, Ivanova D, Zlateva S, Marinov P. Acute Amanita muscaria Toxicity: A Literature Review and Two Case Reports in Elderly Spouses Following Home Preparation. Toxins. 2025; 17(12):570. https://doi.org/10.3390/toxins17120570
Chicago/Turabian StyleStoeva-Grigorova, Stanila, Ivanesa Yarabanova, Maya Radeva-Ilieva, Diana Ivanova, Snezha Zlateva, and Petko Marinov. 2025. "Acute Amanita muscaria Toxicity: A Literature Review and Two Case Reports in Elderly Spouses Following Home Preparation" Toxins 17, no. 12: 570. https://doi.org/10.3390/toxins17120570
APA StyleStoeva-Grigorova, S., Yarabanova, I., Radeva-Ilieva, M., Ivanova, D., Zlateva, S., & Marinov, P. (2025). Acute Amanita muscaria Toxicity: A Literature Review and Two Case Reports in Elderly Spouses Following Home Preparation. Toxins, 17(12), 570. https://doi.org/10.3390/toxins17120570

