A Novel Lateral Flow Immunochromatographic Assay for Rapid and Simultaneous Detection of Aflatoxin B1 and Zearalenone in Food and Feed Samples Based on Highly Sensitive and Specific Monoclonal Antibodies
Abstract
:1. Introduction
2. Results and Discussion
2.1. Characterization of Mycotoxins and Carrier-Protein Conjugates
2.2. Preparation and Assessment of AFB1 mAbs and ZEN mAbs
2.3. Identification of AuNPs
2.4. The Optimal pH and the of AuNPs for Labeling mAb
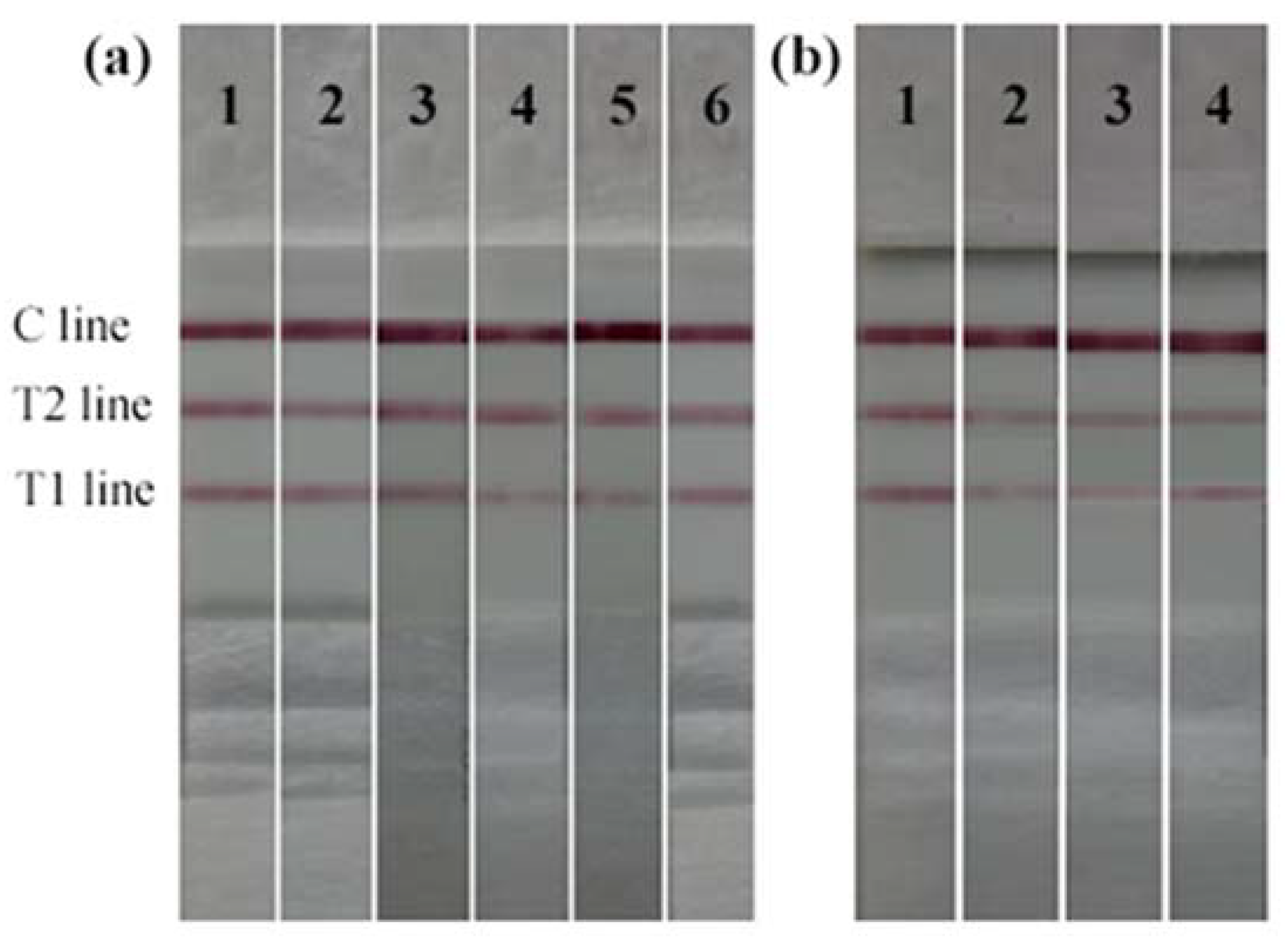
2.5. The Optimal Technical Parameters of the Dual Test Strip
2.6. Validity of the Dual Test Strip Test
3. Materials and Methods
3.1. Chemicals and Materials
3.2. Instrumentations
3.3. Synthesis and Verification of Mycotoxin-Protein Conjugates
3.4. Preparation and Assessment of Mycotoxin mAbs
3.5. Preparation and Identification of AuNPs
3.6. Preparation of AuNPs-Labeled mAb
3.7. Optimization of the Technical Parameters of a Dual Test Strip
3.8. Assembly of the Dual Test Strip
3.9. Validation of the Dual Test Strip
3.10. Preparation of the Test Sample
4. Conclusions
Author Contributions
Funding
Institutional Review Board Statement
Informed Consent Statement
Data Availability Statement
Acknowledgments
Conflicts of Interest
References
- Conte, G.; Fontanelli, M.; Galli, F.; Cotrozzi, L.; Pagni, L.; Pellegrini, E. Mycotoxins in Feed and Food and the Role of Ozone in Their Detoxification and Degradation: An Update. Toxins 2020, 12, 486. [Google Scholar] [CrossRef] [PubMed]
- Hao, K.; Suryoprabowo, S.; Song, S.; Liu, L.; Kuang, H. Rapid detection of zearalenone and its metabolite in corn flour with the immunochromatographic test strip. Food Agric. Immunol. 2017, 29, 498–510. [Google Scholar] [CrossRef]
- Zhao, L.; Zhang, L.; Xu, Z.; Liu, X.; Chen, L.; Dai, J.; Karrow, N.A.; Sun, L. Occurrence of Aflatoxin B(1), deoxynivalenol and zearalenone in feeds in China during 2018–2020. J. Anim. Sci. Biotechnol. 2021, 12, 74. [Google Scholar] [CrossRef] [PubMed]
- Sun, L.H.; Lei, M.Y.; Zhang, N.Y.; Gao, X.; Li, C.; Krumm, C.S.; Qi, D.S. Individual and combined cytotoxic effects of aflatoxin B1, zearalenone, deoxynivalenol and fumonisin B1 on BRL 3A rat liver cells. Toxicon 2015, 95, 6–12. [Google Scholar] [CrossRef]
- Karaaslan, M.; Arslanğray, Y. Aflatoxins B1, B2, G1, and G2 contamination in ground red peppers commercialized in Sanliurfa, Turkey. Environ. Monit. Assess. 2015, 187, 184. [Google Scholar] [CrossRef]
- Marin, S.; Ramos, A.J.; Cano-Sancho, G.; Sanchis, V. Mycotoxins: Occurrence, toxicology, and exposure assessment. Food Chem. Toxicol. 2013, 60, 218–237. [Google Scholar] [CrossRef]
- Miklós, G.; Angeli, C.; Ambrus, Á.; Nagy, A.; Kardos, V.; Zentai, A.; Kerekes, K.; Farkas, Z.; Jóźwiak, Á.; Bartók, T. Detection of Aflatoxins in Different Matrices and Food-Chain Positions. Front. Microbiol. 2020, 11, 1916. [Google Scholar] [CrossRef]
- Wang, Y.; Jiang, J.; Fotina, H.; Zhang, H.; Chen, J. Advances in Antibody Preparation Techniques for Immunoassays of Total Aflatoxin in Food. Molecules 2020, 25, 4113. [Google Scholar] [CrossRef]
- Rogowska, A.; Pomastowski, P.; Sagandykova, G.; Buszewski, B. Zearalenone and its metabolites: Effect on human health, metabolism and neutralisation methods. Toxicon 2019, 162, 46–56. [Google Scholar] [CrossRef]
- Cordeiro, F.; Baer, I.; Robouch, P.; Emteborg, H.; Can, S.Z.; Krata, A.; Zampella, M.; Quétel, C.R.; Hearn, R.; De la Calle, B. Setting maximum limits for trace elements in baby food in European legislation: The outcome of International Measurement Evaluation Programme®-33. Food Addit. Contam. Part A 2013, 30, 678–686. [Google Scholar] [CrossRef]
- Bertuzzi, T.; Camardo Leggieri, M.; Battilani, P.; Pietri, A. Co-occurrence of type A and B trichothecenes and zearalenone in wheat grown in northern Italy over the years 2009–2011. Food Addit. Contam. Part B Surveill. 2014, 7, 273–281. [Google Scholar] [CrossRef] [PubMed]
- Tan, D.C.; Flematti, G.R.; Ghisalberti, E.L.; Sivasithamparam, K.; Chakraborty, S.; Obanor, F.; Barbetti, M.J. Mycotoxins produced by Fusarium species associated with annual legume pastures and “sheep feed refusal disorders” in Western Australia. Mycotoxin Res. 2011, 27, 123–135. [Google Scholar] [CrossRef] [PubMed]
- Rahmani, A.; Jinap, S.; Soleimany, F. Validation of the procedure for the simultaneous determination of aflatoxins ochratoxin A and zearalenone in cereals using HPLC-FLD. Food Addit. Contam. Part A 2010, 27, 1683–1693. [Google Scholar] [CrossRef] [PubMed]
- Li, R.; Wen, Y.; Wang, F.; He, P. Recent advances in immunoassays and biosensors for mycotoxins detection in feedstuffs and foods. J. Anim. Sci. Biotechnol. 2021, 12, 108. [Google Scholar] [CrossRef] [PubMed]
- Agriopoulou, S.; Stamatelopoulou, E.; Varzakas, T. Advances in Analysis and Detection of Major Mycotoxins in Foods. Foods 2020, 9, 518. [Google Scholar] [CrossRef]
- Wang, D.; Zhu, J.; Zhang, Z.; Zhang, Q.; Zhang, W.; Yu, L.; Jiang, J.; Chen, X.; Wang, X.; Li, P. Simultaneous Lateral Flow Immunoassay for Multi-Class Chemical Contaminants in Maize and Peanut with One-Stop Sample Preparation. Toxins 2019, 11, 56. [Google Scholar] [CrossRef]
- Lippolis, V.; Porricelli, A.C.R.; Mancini, E.; Ciasca, B.; Lattanzio, V.M.T.; De Girolamo, A.; Maragos, C.M.; McCormick, S.; Li, P.; Logrieco, A.F.; et al. Fluorescence Polarization Immunoassay for the Determination of T-2 and HT-2 Toxins and Their Glucosides in Wheat. Toxins 2019, 11, 380. [Google Scholar] [CrossRef]
- Qriouet, Z.; Cherrah, Y.; Sefrioui, H.; Qmichou, Z. Monoclonal Antibodies Application in Lateral Flow Immunochromatographic Assays for Drugs of Abuse Detection. Molecules 2021, 26, 1058. [Google Scholar] [CrossRef]
- Nuntawong, P.; Putalun, W.; Tanaka, H.; Morimoto, S.; Sakamoto, S. Lateral flow immunoassay for small-molecules detection in phytoproducts: A review. J. Nat. Med. 2022, 76, 521–545. [Google Scholar] [CrossRef]
- Shim, W.B.; Dzantiev, B.B.; Eremin, S.A.; Chung, D.H. One-step simultaneous immunochromatographic strip test for multianalysis of ochratoxin a and zearalenone. J. Microbiol. Biotechnol. 2009, 19, 83–92. [Google Scholar]
- Chen, Y.; Chen, Q.; Han, M.; Zhou, J.; Gong, L.; Niu, Y.; Zhang, Y.; He, L.; Zhang, L. Development and optimization of a multiplex lateral flow immunoassay for the simultaneous determination of three mycotoxins in corn, rice and peanut. Food Chem. 2016, 213, 478–484. [Google Scholar] [CrossRef] [PubMed]
- Zhang, H.; Wang, X.; Zhi, A.; Wang, Y.; Wang, Z. Design of Antigen Synthesis and Characterization of Specific and Eurytopic Antibodies Against B-group Aflatoxins. J. Nucl. Agric. Sci. 2019, 33, 7. [Google Scholar] [CrossRef]
- Li, P.; Wu, J.; Zhang, L.; Fan, Z.; Yu, T.; Jiang, F.; Tang, X.; Zhang, Z.; Zhang, W.; Zhang, Q. Doses of Immunogen Contribute to Specificity Spectrums of Antibodies against Aflatoxin. Toxins 2017, 9, 172. [Google Scholar] [CrossRef] [PubMed]
- Wang, Y.; Wang, X.; Wang, S.; Fotina, H.; Wang, Z. Development of a Highly Sensitive and Specific Monoclonal Antibody Based on Indirect Competitive Enzyme-Linked Immunosorbent Assay for the Determination of Zearalenone in Food and Feed Samples. Toxins 2022, 14, 220. [Google Scholar] [CrossRef]
- Teshima, R.; Kawase, M.; Tanaka, T.; Hirai, K.; Sato, M.; Sawada, J.; Ikebuchi, H.; Ichinoe, M.; Terao, T. Production and characterization of a specific monoclonal antibody against mycotoxin zearalenone. J. Agric. Food Chem. 1990, 38, 1618–1622. [Google Scholar] [CrossRef]
- Xu, Z.L.; Xie, G.M.; Li, Y.X.; Wang, B.F.; Beier, R.C.; Lei, H.T.; Wang, H.; Shen, Y.D.; Sun, Y.M. Production and characterization of a broad-specificity polyclonal antibody for O,O-diethyl organophosphorus pesticides and a quantitative structure-activity relationship study of antibody recognition. Anal. Chim. Acta 2009, 647, 90–96. [Google Scholar] [CrossRef]
- Neuberger, M.S.; Ehrenstein, M.R.; Rada, C.; Sale, J.; Batista, F.D.; Williams, G.; Milstein, C. Memory in the B-cell compartment: Antibody affinity maturation. Philos. Trans. R. Soc. Lond. Ser. B Biol. Sci. 2000, 355, 357–360. [Google Scholar] [CrossRef]
- Gilfillan, C.B.; Wang, C.; Mohsen, M.O.; Rufer, N.; Hebeisen, M.; Allard, M.; Verdeil, G.; Irvine, D.J.; Bachmann, M.F.; Speiser, D.E. Murine CD8 T-cell functional avidity is stable in vivo but not in vitro: Independence from homologous prime/boost time interval and antigen density. Eur. J. Immunol. 2020, 50, 505–514. [Google Scholar] [CrossRef]
- Oren-Suissa, M.; Podbilewicz, B. Evolution of programmed cell fusion: Common mechanisms and distinct functions. Dev. Dyn. 2010, 239, 1515–1528. [Google Scholar] [CrossRef]
- Jiang, J.Y.; Zhang, L.; Qin, L.; Luo, J.Y.; Fu, Y.W.; Qin, J.A.; Wang, C.J.; Ouyang, Z.; Yang, M.H. Preparation of highly sensitive monoclonal antibody against aflatoxin B_1 and its application in rapid detection of contamination in Ziziphi Spinosae Semen. Zhongguo Zhong Yao Za Zhi. China J. Chin. Mater. Med. 2020, 45, 3900–3907. [Google Scholar] [CrossRef]
- Kolosova, A.Y.; Shim, W.B.; Yang, Z.Y.; Eremin, S.A.; Chung, D.H. Direct competitive ELISA based on a monoclonal antibody for detection of aflatoxin B1. Stabilization of ELISA kit components and application to grain samples. Anal. Bioanal. Chem. 2006, 384, 286–294. [Google Scholar] [CrossRef] [PubMed]
- Zhang, D.; Li, P.; Yang, Y.; Zhang, Q.; Zhang, W.; Xiao, Z.; Ding, X. A high selective immunochromatographic assay for rapid detection of aflatoxin B1. Talanta 2011, 85, 736–742. [Google Scholar] [CrossRef] [PubMed]
- Gao, Y.; Yang, M.; Peng, C.; Li, X.; Cai, R.; Qi, Y. Preparation of highly specific anti-zearalenone antibodies by using the cationic protein conjugate and development of an indirect competitive enzyme-linked immunosorbent assay. Analyst 2012, 137, 229–236. [Google Scholar] [CrossRef] [PubMed]
- Sun, Y.; Hu, X.; Zhang, Y.; Yang, J.; Wang, F.; Wang, Y.; Deng, R.; Zhang, G. Development of an immunochromatographic strip test for the rapid detection of zearalenone in corn. J. Agric. Food Chem. 2014, 62, 11116–11121. [Google Scholar] [CrossRef]
- Burmistrova, N.A.; Goryacheva, I.Y.; Basova, E.Y.; Franki, A.S.; Elewaut, D.; Van Beneden, K.; Deforce, D.; Van Peteghem, C.; De Saeger, S. Application of a new anti-zearalenone monoclonal antibody in different immunoassay formats. Anal. Bioanal. Chem. 2009, 395, 1301–1307. [Google Scholar] [CrossRef]
- Cvak, B.; Pum, D.; Molinelli, A.; Krska, R. Synthesis and characterization of colloidal gold particles as labels for antibodies as used in lateral flow devices. Analyst 2012, 137, 1882–1887. [Google Scholar] [CrossRef]
- Yew, C.T.; Azari, P.; Choi, J.R.; Li, F.; Pingguan-Murphy, B. Electrospin-coating of nitrocellulose membrane enhances sensitivity in nucleic acid-based lateral flow assay. Anal. Chim. Acta 2018, 1009, 81–88. [Google Scholar] [CrossRef]
- Li, R.; Meng, C.; Wen, Y.; Fu, W.; He, P. Fluorometric lateral flow immunoassay for simultaneous determination of three mycotoxins (aflatoxin B(1), zearalenone and deoxynivalenol) using quantum dot microbeads. Mikrochim. Acta 2019, 186, 748. [Google Scholar] [CrossRef]
- Zhou, S.; Xu, L.; Kuang, H.; Xiao, J.; Xu, C. Immunoassays for rapid mycotoxin detection: State of the art. Analyst 2020, 145, 7088–7102. [Google Scholar] [CrossRef]
- Nabok, A.V.; Mustafa, M.K.; Tsargorodskaya, A.; Starodub, N.F. Detection of Aflatoxin B1 with a Label-Free Ellipsometry Immunosensor. BioNanoScience 2011, 1, 38–45. [Google Scholar] [CrossRef]
- Nuryono, N.; Noviandi, C.; Böhm, J.; Razzazi-Fazeli, E. A limited survey of zearalenone in indonesian maize-based food and feed by elisa and high performance liquid chromatography. Food Control 2005, 16, 65–71. [Google Scholar] [CrossRef]
- Song, S.; Liu, N.; Zhao, Z.; Njumbe Ediage, E.; Wu, S.; Sun, C.; De Saeger, S.; Wu, A. Multiplex lateral flow immunoassay for mycotoxin determination. Anal. Chem. 2014, 86, 4995–5001. [Google Scholar] [CrossRef] [PubMed]
- Jiang, J.Q.; Zhang, H.T.; Zhang, H.H.; Wang, Z.L.; Yang, X.F.; Fan, G.Y. Development of an enzyme-linked immunosorbent assay for detection of clopidol residues in chicken tissues. J. Sci. Food Agric. 2014, 94, 2295–2300. [Google Scholar] [CrossRef] [PubMed]
- Gao, Y.; Huang, X.; Zhu, Y.; Lv, Z. A brief review of monoclonal antibody technology and its representative applications in immunoassays. J. Immunoass. Immunochem. 2018, 39, 351–364. [Google Scholar] [CrossRef]
- Zeng, K.; Zou, Y.; Liu, J.; Wei, W.; Zhang, M.; Zhou, J.; Zhang, Z.; Gai, Z. Enzyme-linked immunosorbent assay for triclocarban in aquatic environments. Water Sci. Technol. 2015, 72, 1682–1691. [Google Scholar] [CrossRef]
- Imtiaz, N.; Yunus, A.W. Comparison of Some ELISA Kits for Aflatoxin M(1) Quantification. J. AOAC Int. 2019, 102, 677–679. [Google Scholar] [CrossRef]
- Ni, T.; Peng, D.; Wang, Y.; Pan, Y.; Xie, S.; Chen, D.; Wang, Y.; Tao, Y.; Yuan, Z. Development of a broad-spectrum monoclonal antibody-based indirect competitive enzyme-linked immunosorbent assay for the multi-residue detection of avermectins in edible animal tissues and milk. Food Chem. 2019, 286, 234–240. [Google Scholar] [CrossRef]
- Qin, J.; Lu, Q.; Wang, C.; Luo, J.; Yang, M. Colloidal gold-based lateral flow immunoassay with inline cleanup for rapid on-site screening of carbendazim in functional foods. Anal. Bioanal. Chem. 2021, 413, 3725–3735. [Google Scholar] [CrossRef]
- Ji, Y.; Ren, M.; Li, Y.; Huang, Z.; Shu, M.; Yang, H.; Xiong, Y.; Xu, Y. Detection of aflatoxin B1 with immunochromatographic test strips: Enhanced signal sensitivity using gold nanoflowers. Talanta 2015, 142, 206–212. [Google Scholar] [CrossRef]
- Zhang, X.; He, K.; Fang, Y.; Cao, T.; Paudyal, N.; Zhang, X.F.; Song, H.H.; Li, X.L.; Fang, W.H. Dual flow immunochromatographic assay for rapid and simultaneous quantitative detection of ochratoxin A and zearalenone in corn, wheat, and feed samples. J. Zhejiang Univ. Sci. B 2018, 19, 871–883. [Google Scholar] [CrossRef]
- Song, C.; Liu, Q.; Zhi, A.; Yang, J.; Zhi, Y.; Li, Q.; Hu, X.; Deng, R.; Casas, J.; Tang, L.; et al. Development of a lateral flow colloidal gold immunoassay strip for the rapid detection of olaquindox residues. J. Agric. Food Chem. 2011, 59, 9319–9326. [Google Scholar] [CrossRef] [PubMed]
- Xu, L.; Zhang, Z.; Zhang, Q.; Zhang, W.; Yu, L.; Wang, D.; Li, H.; Li, P. An On-Site Simultaneous Semi-quantification of Aflatoxin B1, Zearalenone, and T-2 Toxin in Maize- and Cereal-based Feed via Multicolor Immunochromatographic Assay. Toxins 2018, 10, 87. [Google Scholar] [CrossRef] [PubMed]
- Zhu, F.; Zhang, B.; Zhu, L. An up-converting phosphor technology-based lateral flow assay for rapid detection of major mycotoxins in feed: Comparison with enzyme-linked immunosorbent assay and high-performance liquid chromatography-tandem mass spectrometry. PLoS ONE 2021, 16, e0250250. [Google Scholar] [CrossRef] [PubMed]












| Compounds | 2A11 | 2F6 | 3G2 | |||
|---|---|---|---|---|---|---|
| IC50 (μg/L) a | CR (%) b | IC50 (μg/L) a | CR (%) b | IC50 (μg/L) a | CR (%) b | |
| AFB1 | 6.28 ± 0.41 | 100 | 7.85 ± 0.57 | 100 | 14.36 ± 1.15 | 100 |
| AFB2 | 144.32 ± 11.82 | 4.35 | 168.82 ± 13.17 | 4.65 | 263.97 ± 17.92 | 5.44 |
| AFG1 | 272.81 ± 18.22 | 2.30 | 310.28 ± 21.42 | 2.53 | 469.28 ± 31.08 | 3.06 |
| AFG2 | 690.11 ± 44.86 | 0.91 | 801.02 ±54.44 | 0.98 | 1495.83 ± 95.72 | 0.96 |
| AFM1 | >5000 | <0.1 | >5000 | <0.1 | >5000 | <0.1 |
| AFM2 | >5000 | <0.1 | >5000 | <0.1 | >5000 | <0.1 |
| Zearalenone | >10,000 | <0.1 | >10,000 | <0.1 | >10,000 | <0.1 |
| Deoxynivalenol | >10,000 | <0.1 | >10,000 | <0.1 | >10,000 | <0.1 |
| T-2 toxin | >10,000 | <0.1 | >10,000 | <0.1 | >10,000 | <0.1 |
| Ochratoxin A | >10,000 | <0.1 | >10,000 | <0.1 | >10,000 | <0.1 |
| Compounds | 2B6 | 4D9 | ||
|---|---|---|---|---|
| IC50 (μg/L) a | CR (%) b | IC50 (μg/L) a | CR (%) b | |
| ZEN | 10.38 ± 0.68 | 100 | 17.23 ± 1.18 | 100 |
| α-ZAL | 682.89 ± 45.22 | 1.52 | 1057.06 ± 65.54 | 1.63 |
| β-ZAL | 810.94 ± 52.72 | 1.28 | 1276.30 ± 76.58 | 1.35 |
| α-ZOL | 393.18 ± 23.58 | 2.64 | 602.45 ± 3 6.75 | 2.86 |
| β-ZOL | 567.21 ± 39.72 | 1.83 | 857.21 ± 57.44 | 2.01 |
| ZON | 243.09 ± 15.81 | 4.27 | 353.07 ± 21.88 | 4.88 |
| Aflatoxin B1 | >10,000 | <0.1 | >10,000 | <0.1 |
| Deoxynivalenol | >10,000 | <0.1 | >10,000 | <0.1 |
| T-2 toxin | >10,000 | <0.1 | >10,000 | <0.1 |
| Ochratoxin A | >10,000 | <0.1 | >10,000 | <0.1 |
| References | AFB1 mAb | Coupling Method | Mode | IC50 of AFB1 (μg/L) | CR (%) a | ||||
|---|---|---|---|---|---|---|---|---|---|
| AFB2 | AFG1 | AFG2 | AFM1 | AFM2 | |||||
| This study (2022) | mAb 2A11 | OAE | icELISA b | 6.28 | 4.35 | 2.30 | <1.0 | <0.1 | <0.1 |
| Jiang et al. (2021) [30] | mAb 1F7 | OAE | icELISA | 0.15 | 35.07 | 8.75 | 1.15 | - c | - |
| Li et al. (2017) [23] | mAb 1B5 | OAE | icELISA | 0.012 | 4.0 | 3.0 | <0.1 | <0.1 | <0.1 |
| mAb 2F12 | OAE | icELISA | 0.01 | 5.0 | 2.0 | 0.2 | <0.1 | 0.2 | |
| Zhang et al. (2011) [32] | mAb 3G1 | SA | icELISA | 1.6 | 6.4 | <0.02 | <0.02 | - | - |
| Kolosova et al. (2006) [31] | mAb 34 | OAE | dcELISA d | 0.62 | 5.0 | 31.0 | 2.4 | - | - |
| References | ZEN mAb | Coupling Method | Mode | IC50 of ZEN (μg/L) | CR (%) a | ||||
|---|---|---|---|---|---|---|---|---|---|
| α-ZAL | β-ZAL | α-ZOL | β-ZOL | ZON | |||||
| This study | mAb 2B6 | AGA | icELISA b | 10.38 | 1.52 | 1.28 | 2.64 | 1.83 | 4.27 |
| Sun et al. (2014) [34] | mAb 4A3 | BDE | icELISA | 1.115 | 3.854 | 1.709 | 2.499 | 2.800 | 53.121 |
| Burmistrova et al. (2009) [35] | mAb 2D8 | OAE | dcELISA c | 0.8 | 69 | <1 | 42 | <1 | 22 |
| Gao et al. (2012) [33] | mAb # d | FA | icELISA | 55.72 | 0.63 | 0.92 | 0.65 | 0.94 | 1.48 |
| Teshima et al. (1990) [25] | mAb 7-1-144 | AGA | icELISA | 11.2 | <0.1 | <0.1 | 0.9 | <0.1 | 4.0 |
| AuNPs-Labeled AFB1/ZEN mAb | AFB1-BSA (mg/mL) | ZEN-BSA (mg/mL) | ||||||||||
|---|---|---|---|---|---|---|---|---|---|---|---|---|
| 2.0 | 1.0 | 0.5 | 0.25 | 0.125 | 0.0625 | 2.0 | 1.0 | 0.5 | 0.25 | 0.125 | 0.0625 | |
| 1:1 | ++ | ++ | + | - | - | - | ++ | + | - | - | - | - |
| 1:2 | ++ | ++ | + | - | - | - | ++ | + | - | - | - | - |
| 1:4 | ++ | ++ | + | - | - | - | ++ | + | - | - | - | - |
| 1:8 | ++ | + | - | - | - | - | + | + | - | - | - | - |
| 1:16 | + | - | - | - | - | - | + | - | - | - | - | - |
| 1:32 | - | - | - | - | - | - | - | - | - | - | - | - |
| AuNPs-Labeled AFB1/ZEN mAb | AFB1-BSA (1.0 mg/mL) | ZEN-BSA (2.0 mg/mL) | |||||||||
|---|---|---|---|---|---|---|---|---|---|---|---|
| OAE | MOA | MA | SA | EP | EED | AGA | OAE | CMA | FA | BDE | |
| 1:4 | ++ | + | + | + | - | - | ++ | + | + | + | + |
| Toxin Concentration (μg/L) | Lg[Toxin Concentration] | G/D×A − ROD(pixel) | G/D×A − ROD(pixel)% | ||||
|---|---|---|---|---|---|---|---|
| AFB1 | ZEN | AFB1 | ZEN | AFB1 | ZEN | AFB1 | ZEN |
| 0 | 0 | - | - | 16.65 | 15.52 | 100 | 100 |
| 0.25 | 1.25 | −0.602 | 0.099 | 13.24 | 14.22 | 82.60 | 91.61 |
| 0.5 | 2.5 | −0.301 | 0.398 | 10.12 | 13.25 | 65.78 | 85.36 |
| 1.0 | 5.0 | 0 | 0.699 | 7.25 | 11.85 | 43.54 | 76.33 |
| 2.0 | 10.0 | 0.301 | 1.0 | 4.31 | 10.14 | 25.89 | 65.36 |
| 4.0 | 20.0 | 0.602 | 1.301 | 2.06 | 8.02 | 12.37 | 51.67 |
| 8.0 | 40.0 | 0.903 | 1.602 | 1.26 | 6.50 | 7.57 | 41.88 |
| Batches | The Concentration of Spiked AFB1/ZEN in Corn Samples (μg/L) a | The Concentration of Spiked AFB1/ZEN in Pig Compound Feed Samples (μg/L) a | ||||||
|---|---|---|---|---|---|---|---|---|
| 0.5/2.5 | 1.0/5.0 | 2.0/10.0 | 4.0/20.0 | 0.5/2.5 | 1.0/5.0 | 2.0/10.0 | 4.0/20.0 | |
| 220210 | −b | + c | + | + | − | + | + | + |
| 220225 | − | + | + | + | − | + | + | + |
| 220308 | − | + | + | + | − | + | + | + |
| 220316 | − | + | + | + | − | + | + | + |
| 220330 | − | + | + | + | − | + | + | + |
| 220412 | − | + | + | + | − | + | + | + |
| Time (d) | 25 °C | 4 °C | 37 °C | |||||||||
|---|---|---|---|---|---|---|---|---|---|---|---|---|
| False Negative (%) | False Positive (%) | T1 Color | T2 Color | False Negative (%) | False Positive (%) | T1 Color | T2 Color | False Negative (%) | False Positive (%) | T1 Color | T1 Color | |
| 30 | 0 | 0 | **** | **** | 0 | 0 | **** | **** | 0 | 0 | **** | **** |
| 60 | 0 | 0 | **** | **** | 0 | 0 | **** | **** | 0 | 0 | **** | **** |
| 90 | 0 | 0 | **** | **** | 0 | 0 | **** | **** | 0 | 0 | **** | **** |
| 120 | 0 | 0 | **** | **** | 0 | 0 | **** | **** | 0 | 0 | **** | **** |
| 150 | 0 | 0 | **** | **** | 0 | 0 | **** | **** | 2 | 0 | *** | *** |
| 180 | 0 | 0 | **** | **** | 0 | 0 | **** | **** | 5 | 0 | ** | ** |
| Sample Number | Dual Test Strip | LC-MS/MS | ||||||||||
|---|---|---|---|---|---|---|---|---|---|---|---|---|
| AFB1 | ZEN | AFB1 | ZEN | |||||||||
| Result | PN | PV (μg/L) | Result | PN | PV (μg/L) | Result | PN | PV (μg/L) | Result | PN | PV (μg/L) | |
| 20 | + | 12 | ≥1.0 | + | 8 | ≥5.0 | + | 12 | 1.0–11.9 | + | 8 | 5.0–367.6 |
| Sample Type | Sample Number | The Dual Test Strip | LC-MS/MS | ||||||||||
|---|---|---|---|---|---|---|---|---|---|---|---|---|---|
| AFB1 | ZEN | AFB1 | ZEN | ||||||||||
| Results | PN | PV (μg/L) | Results | PN | PV (μg/L) | Results | PN | PV (μg/L) | Results | PN | PV (μg/L) | ||
| Maize | 15 | + | 9 | ≥1.0 | + | 7 | ≥5.0 | + | 9 | 1.0–12.5 | + | 7 | 5.0–410.7 |
| Rice | 15 | + | 3 | ≥1.0 | + | 2 | ≥5.0 | + | 3 | 1.0–9.4 | + | 2 | 5.0–235.4 |
| Peanut | 15 | + | 2 | ≥1.0 | + | 2 | ≥5.0 | + | 2 | 1.0–6.6 | + | 2 | 5.0–176.3 |
| Feed | 15 | + | 8 | ≥1.0 | + | 6 | ≥5.0 | + | 8 | 1.0–14.3 | + | 6 | 5.0–510.6 |
| Total | 60 | 22 | 17 | 22 | 17 | ||||||||
Publisher’s Note: MDPI stays neutral with regard to jurisdictional claims in published maps and institutional affiliations. |
© 2022 by the authors. Licensee MDPI, Basel, Switzerland. This article is an open access article distributed under the terms and conditions of the Creative Commons Attribution (CC BY) license (https://creativecommons.org/licenses/by/4.0/).
Share and Cite
Wang, Y.; Wang, X.; Wang, S.; Fotina, H.; Wang, Z. A Novel Lateral Flow Immunochromatographic Assay for Rapid and Simultaneous Detection of Aflatoxin B1 and Zearalenone in Food and Feed Samples Based on Highly Sensitive and Specific Monoclonal Antibodies. Toxins 2022, 14, 615. https://doi.org/10.3390/toxins14090615
Wang Y, Wang X, Wang S, Fotina H, Wang Z. A Novel Lateral Flow Immunochromatographic Assay for Rapid and Simultaneous Detection of Aflatoxin B1 and Zearalenone in Food and Feed Samples Based on Highly Sensitive and Specific Monoclonal Antibodies. Toxins. 2022; 14(9):615. https://doi.org/10.3390/toxins14090615
Chicago/Turabian StyleWang, Yanan, Xiaofei Wang, Shuyun Wang, Hanna Fotina, and Ziliang Wang. 2022. "A Novel Lateral Flow Immunochromatographic Assay for Rapid and Simultaneous Detection of Aflatoxin B1 and Zearalenone in Food and Feed Samples Based on Highly Sensitive and Specific Monoclonal Antibodies" Toxins 14, no. 9: 615. https://doi.org/10.3390/toxins14090615
APA StyleWang, Y., Wang, X., Wang, S., Fotina, H., & Wang, Z. (2022). A Novel Lateral Flow Immunochromatographic Assay for Rapid and Simultaneous Detection of Aflatoxin B1 and Zearalenone in Food and Feed Samples Based on Highly Sensitive and Specific Monoclonal Antibodies. Toxins, 14(9), 615. https://doi.org/10.3390/toxins14090615

