The Role of Porcelain Veneers in the Aesthetic Restoration of Discolored Endodontically Treated Teeth
Abstract
1. Introduction
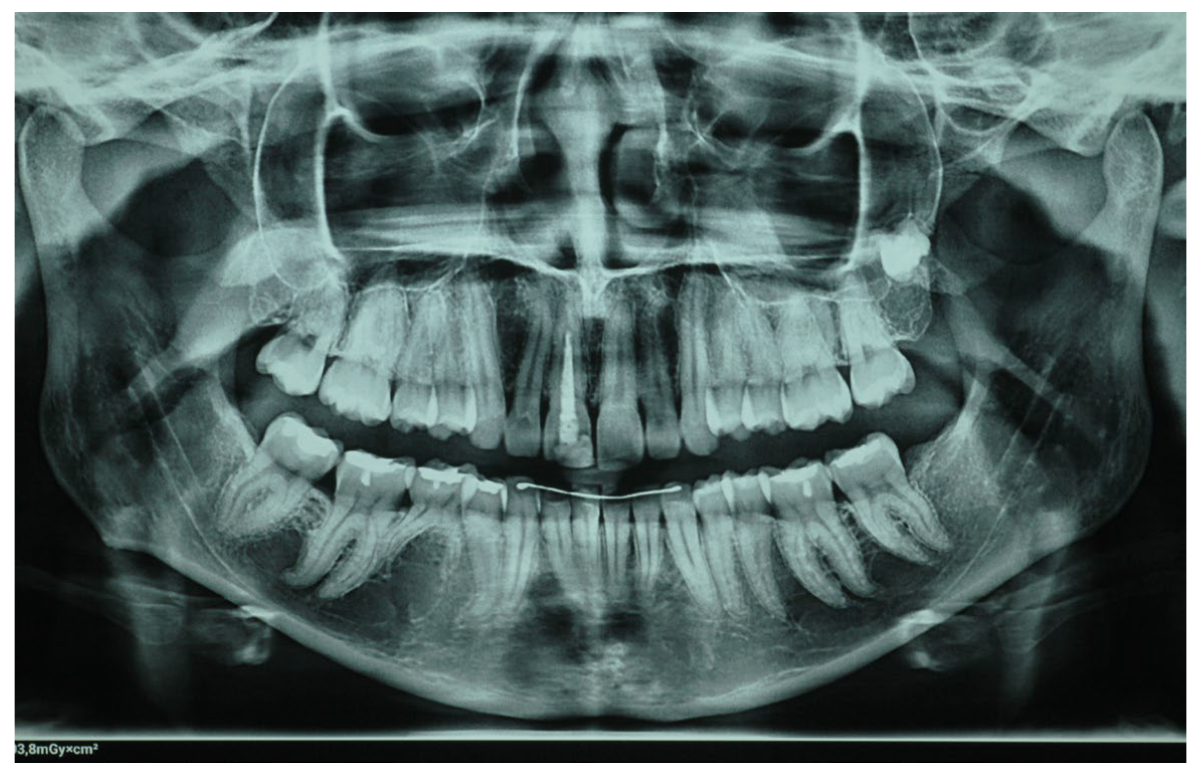
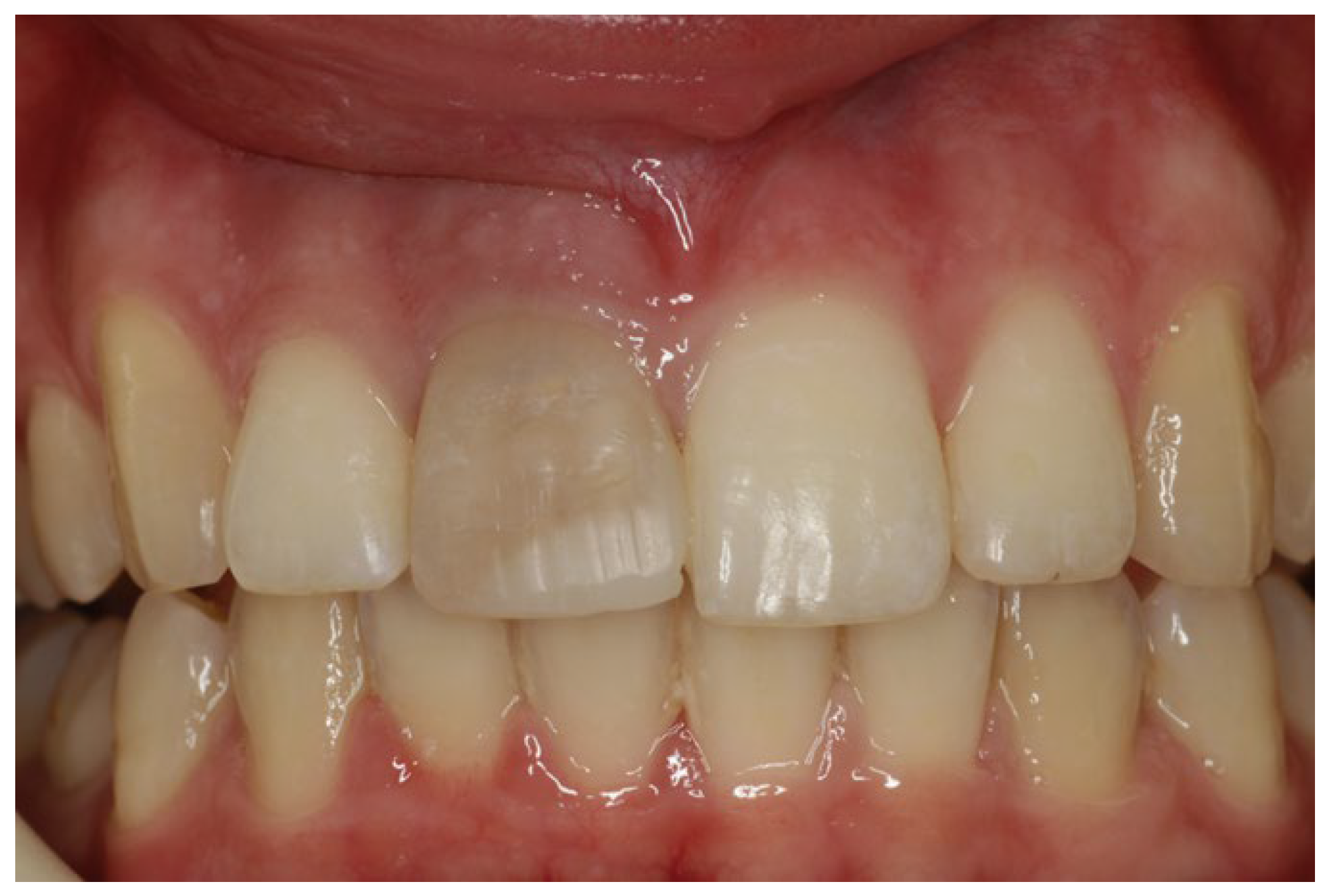
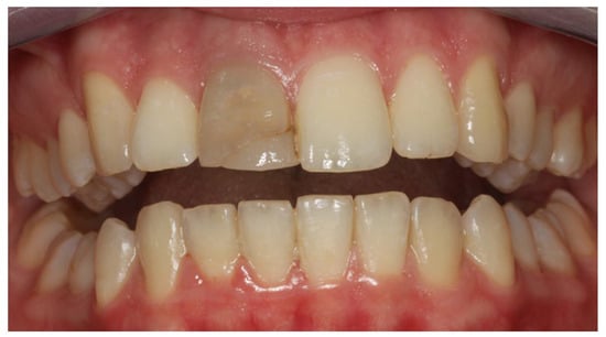
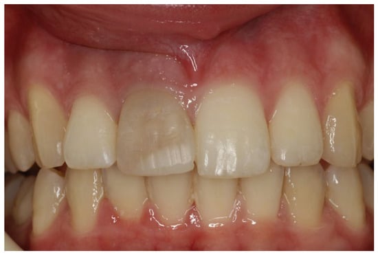
2. Clinical Case
| MATERIAL | TRADE NAME | COMPANY |
|---|---|---|
| Glass ionomer cement | GC Fuji II LC | GC Corporation, Tokyo, Japan |
| Bleaching gel | BMS white 38% | BMS Dental S.r.I., Capannoli, Italy |
| Temporary filling material | Provis | Favodent Berlin GmbH, Berlin, Germany |
| Burs and Diamonds | L.V.S. diamond burs Laminate Veneer System | Komet Co, Fort Mill, South Carolina, USA |
| Third-generation zirconia | Katana UTML | Kuraray Noritake, Tokyo, Japan |
| Zirconia Polisher | Zir-Cut | Kerr Corporation, Brea, CA, California, USA |
| Porcelain primer | Monobond Plus | Ivoclar Vivadent AG, Schaan, Liechtenstein |
| 37% phosphoric acid | Total Etch Gel | Ivoclar Vivadent AG, Schaan, Liechtenstein |
| Bonding agent | Adhese Universal | Ivoclar Vivadent AG, Schaan, Liechtenstein |
| Light-polymerized resin cement | Variolink Esthetic LC | Ivoclar Vivadent AG, Schaan, Liechtenstein |
| Oxygen-inhibiting gel | Liquid Strip | Ivoclar Vivadent AG, Schaan, Liechtenstein |
3. Discussion
4. Conclusions
- Porcelain veneers provide a reliable and conservative procedure for the aesthetic restoration of endodontically treated teeth that have undergone discoloration.
- For better aesthetic results, in cases of intrinsic discoloration, an internal tooth bleaching procedure may precede.
- Considering bonding and cementation, adhesively cemented high translucency monolithic zirconia seems to be a suitable option for veneers.
Author Contributions
Funding
Institutional Review Board Statement
Informed Consent Statement
Data Availability Statement
Conflicts of Interest
References
- Fradeani, M.; Redemagni, M.; Corrado, M. Porcelain laminate veneers: 6–12-year clinical evaluation-a retrospective study. Int. J. Periodontics Restor. Dent. 2005, 25, 9–17. [Google Scholar]
- Calamia, J.R. Etched porcelain veneers: The current state of the art. Quintessence Int. 1985, 16, 5–12. [Google Scholar] [PubMed]
- Galiatsatos, A.; Bergou, D. Five-year clinical performance pf porcelain laminate veneers. Quintessence Int. 2002, 33, 185–189. [Google Scholar]
- Dumfahrt, H.; Schaffer, H. Porcelain laminate veneers. A retrospective evaluation after 1 to 10 years of service: Part II-clinical results. Int. J. Prosthodont. 2000, 13, 9–18. [Google Scholar] [PubMed]
- Friedman, M. A 15-year review of porcelain veneer failure—A clinician’s observations. Compend. Contn. Educ. Dent. 1998, 19, 625–628. [Google Scholar]
- Swift, E.J., Jr.; Friedman, M.J. Critical appraisal porcelain veneer outcomes, part I. J. Esthet. Restor. Dent. 2006, 18, 54–157. [Google Scholar] [CrossRef] [PubMed]
- Maciej, Z.; Louis, H.; Katarzyna, S. Porcelain veneers in vital vs non-vital teeth: A retrospective clinical evaluation. Bioengineering 2023, 10, 168–175. [Google Scholar] [CrossRef]
- Amrani, A.Y.; Hicham, S.; Amal, E.Y. Veneers on Devitalized Teeth: The Role of Adhesive Dentistry in Aesthetic and Functional Therapies. Integr. J. Med. Sci. 2024, 11, 1–5. [Google Scholar] [CrossRef]
- Freire, A.; Regina, A.L. Porcelain Laminate Veneer on a Highly Discoloured Tooth: A Case Report. J. Can. Dent. Assoc. 2010, 76, 305. [Google Scholar]
- Chen, J.; Shi, C.; Wang, M.; Zhao, S.; Wang, H. Clinical Evaluation of 546 Tetracycline-Stained Teeth Treated with Porcelain Laminate Veneers. J. Dent. 2005, 33, 3–8. [Google Scholar] [CrossRef]
- Kelleher, M.G.D.; Roe, F.J.C. The safety-in-use of 10% carbamide peroxide (Opalescence) for bleaching teeth under the supervision of a dentist. Br. Dent. J. 1999, 187, 190–194. [Google Scholar] [CrossRef] [PubMed]
- Davis, L.G.; Ashworth, P.D.; Spriggs, L.S. Psychological effects of aesthetic dental treatment. J. Dent. 1998, 26, 547–554. [Google Scholar] [CrossRef] [PubMed]
- Watts, A.; Addy, M. Tooth discoloration and staining: A review of the literature. Br. Dent. J. 2001, 190, 309–316. [Google Scholar] [CrossRef] [PubMed]
- van der Burgdt, T.P.; Plasschaert, A.J.M. Bleaching of Tooth Discoloration caused by endodontic sealers. J. Endod. 1986, 12, 231–234. [Google Scholar] [CrossRef] [PubMed]
- Leendert, B.; Jordan, R.E.; Skinner, D.H. A conservative bleaching treatment for the non-vital discolored tooth. Compend. Contin. Educ. Dent. 1984, 5, 471–475. [Google Scholar]
- Dahl, J.E. Tooth bleaching-A critical review of the biological aspects. Crit. Rev. Oral Biol. Med. 2003, 14, 292–304. [Google Scholar] [CrossRef]
- Attin, T.; Paqué, F.; Ajam, F.; Lennon, A.M. Review of the current status of tooth whitening with the walking bleach technique. Int. Endod. J. 2003, 36, 313–329. [Google Scholar] [CrossRef]
- Poyser, N.J.; Kelleher, M.G.D.; Briggs, P.F.A. Managing discoloured non-vital teeth: The inside/outside bleaching technique. Dent. Update 2004, 31, 204–214. [Google Scholar] [CrossRef][Green Version]
- Harlan, A.W. The removal of stains from teeth caused by administration of medical agents and the bleaching of a pulpless tooth. Am. J. Dent. Sci. 1885, 18, 521. [Google Scholar] [CrossRef][Green Version]
- Cotton, F.A.; Wilkinson, G. Oxygen. In Advances in Inorganic Chemistry; Cotton, F.A., Wilkinson, G., Eds.; A comprehensive text; Interscience Publisher: New York, NY, USA, 1972; pp. 403–420. [Google Scholar]
- Gregus, Z.; Klaassen, C.D. Mechanisms of toxicity. In Cassarett and Doull’s Toxicology; Klaassen, C.D., Ed.; The basic science of poisons; McGraw-Hill Companies Inc.: New York, NY, USA, 1995; pp. 35–74. [Google Scholar]
- Soares, P.V.; Spini, P.H.; Carvalho, V.F.; Souza, P.G.; Gonzaga, R.C.; Tolentino, A.B.; Machado, A.C. Esthetic rehabilitation with laminated ceramic veneers reinforced by lithium disilicate. Quintessence Int. 2014, 45, 129–133. [Google Scholar]
- Zimmerli, B.; Jeger, F.; Lussi, A. Bleaching of Nonvital Teeth A Clinically Relevant Literature Review. Schweiz. Monatsschr. Zahnmed. 2010, 120, 306–313. [Google Scholar] [PubMed]
- Pedrollo Lise, D.; Siedschlag, G.; Bernardon, K.; Baratieri, L.N. Randomized clinical trial of 2 nonvital tooth bleaching techniques: A 1-year follow-up. J. Prosthet. Dent. 2018, 119, 53–59. [Google Scholar] [CrossRef] [PubMed]
- Amato, A.; Caggiano, M.; Pantaleo, G.; Amato, M. In-office and walking bleach dental treatments on endodontically-treated teeth: 25 years follow-up. Minerva Stomatol. 2018, 67, 225–230. [Google Scholar] [CrossRef] [PubMed]
- Glockner, K.; Hulla, H.; Ebeleseder, K.; Städtler, P. Five-year follow-up of internal bleaching. Braz. Dent. J. 1999, 10, 105–110. [Google Scholar] [PubMed]
- Conrad, H.J.; Seong, W.J.; Pesun, I.J. Current ceramic materials and systems with clinical recommendations: A systematic review. J. Prosthet. Dent. 2007, 98, 389–404. [Google Scholar] [CrossRef] [PubMed]
- Trinkner, T.F.; Roberts, M. Fluorapatite-leucite glass ceramic veneers for aesthetic anterior restorations. Pract. Proced. Aesthet. Dent. 2001, 13, 37–41. [Google Scholar]
- Manicone, P.F.; Lammetti, R.P.; Raffaelli, L. An overview of zirconia ceramics: Basic properties and clinical applications. J. Dent. 2007, 35, 819–826. [Google Scholar] [CrossRef]
- Zhang, Y. Making yttria-stabilized tetragonal zirconia. Dent. Mater. 2014, 30, 1195–1203. [Google Scholar] [CrossRef]
- Harada, K.; Raigrodski, A.J.; Chung, K.H.; Flinn, B.D.; Dogan, S.; Mancl, L.A. A comparative evaluation of the translucency of zirconia and lithium disilicate for monolithic restorations. J. Prosthet. Dent. 2016, 116, 257–263. [Google Scholar] [CrossRef]
- Kolakarnprasert, N.; Kaizer, M.R.; Kim, D.K.; Zhang, Y. New multi-layered zirconia: Composition, microstructure and translucency. Dent. Mater. 2019, 35, 797–806. [Google Scholar] [CrossRef]
- Alrabeah, G.; Al-Sowygh, A.H.; Almarshedy, S. Use of Ultra-Translucent Monolithic Zirconia as Esthetic Dental Restorative Material: A Narrative Review. Ceramics 2024, 7, 264–275. [Google Scholar] [CrossRef]
- Toma, F.R.; Porojan, S.D.; Vasiliu, R.D.; Porojan, L. The effect of polishing, glazing, and aging on optical characteristics of multi-layered dental zirconia with different degrees of translucency. J. Funct. Biomater. 2023, 14, 68. [Google Scholar] [CrossRef] [PubMed]
- Kongkiatkamon, S.; Rokaya, D.; Kengtanyakich, S.; Peampring, C. Current classification of zirconia in dentistry: An updated review. Peer J. 2023, 11, e15669. [Google Scholar] [CrossRef] [PubMed]
- Pereira, G.K.R.; Guilardi, L.F.; Dapieve, K.S.; Kleverlaan, C.J.; Rippe, M.P.; Valandro, L.F. Mechanical reliability, fatigue strength and survival analysis of new polycrystalline translucent zirconia ceramics for monolithic restorations. J. Mech. Behav. Biomed. Mater. 2018, 85, 57–65. [Google Scholar] [CrossRef] [PubMed]
- Matsuzaki, F.; Sekine, H.; Honma, S.; Takanashi, T.; Furuya, K.; Yajima, Y.; Yoshinari, M. Translucency and flexural strength of monolithic translucent zirconia and porcelain-layered zirconia. Dent. Mater. J. 2015, 34, 910–917. [Google Scholar] [CrossRef]
- Koizumi, H.; Nakayama, D.; Komine, F.; Blatz, M.B.; Matsumura, H. Bonding of resin-based luting cements to zirconia with and without the use of ceramic priming agents. J. Adhes. Dent. 2012, 14, 385–392. [Google Scholar]
- Inokoshi, M.; De Munck, J.; Minakuchi, S.; Van Meerbeek, B. Meta-analysis of bonding effectiveness to zirconia ceramics. J. Dent. Res. 2014, 93, 329–334. [Google Scholar] [CrossRef]
- Özcan, M.; Bernasconi, M. Adhesion to zirconia used for dental restorations: A systematic review and meta-analysis. J. Adhes. Dent. 2015, 17, 7–26. [Google Scholar]
- Kern, M.; Thompson, V.P. Sandblasting and silica coating of a glass-infiltrated alumina ceramic: Volume loss, morphology, and changes in the surface composition. J. Prosthet. Dent. 1994, 71, 453–461. [Google Scholar] [CrossRef]
- Blatz, M.B.; Conejo, J. Cementation and bonding of zirconia restorations. Compend. Contin. Educ. Dent. 2018, 39 (Suppl. S4), 9–13. [Google Scholar]
- Silva, N.R.; Araújo, G.D.; Moura, D.M.; Araújo, L.D.; Gurgel, B.D.; Melo, R.M.; Bottino, M.A.; Özcan, M.; Zhang, Y.; Souza, R.O. Clinical Performance of Minimally Invasive Monolithic Ultratranslucent Zirconia Veneers: A Case Series up to Five Years of Follow-up. Oper. Dent. 2023, 48, 606–617. [Google Scholar] [CrossRef] [PubMed]
- Dikicier, S.; Korkmaz, C.; Atay, A. Surface roughness and characteristics of CAD/CAM zirconia and glass ceramics after combined treatment procedures. BMC Oral Health 2022, 22, 524. [Google Scholar] [CrossRef] [PubMed]
- Shetty, R.; Pinge, S.S.; Shetty, S.; Banga, P.; Zahid, M. Zirconia monolithic veneers: A durable and cosmetic alternative to regular veneers. Adv. Hum. Biol. 2022, 12, 22–25. [Google Scholar] [CrossRef]
- Papia, E.; Larsson, C.; du Toit, M.; Vult von Steyern, P. Bonding between oxide ceramics and adhesive cement systems: A systematic review. J. Biomed. Mater. Res. B Appl. Biomater. 2014, 102, 395–413. [Google Scholar] [CrossRef]





Disclaimer/Publisher’s Note: The statements, opinions and data contained in all publications are solely those of the individual author(s) and contributor(s) and not of MDPI and/or the editor(s). MDPI and/or the editor(s) disclaim responsibility for any injury to people or property resulting from any ideas, methods, instructions or products referred to in the content. |
© 2024 by the authors. Licensee MDPI, Basel, Switzerland. This article is an open access article distributed under the terms and conditions of the Creative Commons Attribution (CC BY) license (https://creativecommons.org/licenses/by/4.0/).
Share and Cite
Galiatsatos, P.; Galiatsatos, A. The Role of Porcelain Veneers in the Aesthetic Restoration of Discolored Endodontically Treated Teeth. Clin. Pract. 2024, 14, 2080-2088. https://doi.org/10.3390/clinpract14050164
Galiatsatos P, Galiatsatos A. The Role of Porcelain Veneers in the Aesthetic Restoration of Discolored Endodontically Treated Teeth. Clinics and Practice. 2024; 14(5):2080-2088. https://doi.org/10.3390/clinpract14050164
Chicago/Turabian StyleGaliatsatos, Panagiotis, and Aristidis Galiatsatos. 2024. "The Role of Porcelain Veneers in the Aesthetic Restoration of Discolored Endodontically Treated Teeth" Clinics and Practice 14, no. 5: 2080-2088. https://doi.org/10.3390/clinpract14050164
APA StyleGaliatsatos, P., & Galiatsatos, A. (2024). The Role of Porcelain Veneers in the Aesthetic Restoration of Discolored Endodontically Treated Teeth. Clinics and Practice, 14(5), 2080-2088. https://doi.org/10.3390/clinpract14050164

