Combined Invasive Peripheral Nerve Stimulation in the Management of Chronic Post-Intracranial Disorder Headache: A Case Report
Abstract
1. Introduction
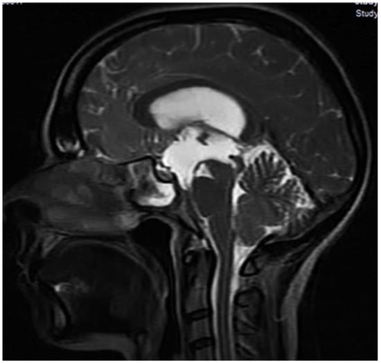
2. Case Presentation
Implantation Techniques and Devices
3. Discussion
Author Contributions
Funding
Institutional Review Board Statement
Informed Consent Statement
Data Availability Statement
Conflicts of Interest
References
- Israelsson, H.; Larsson, J.; Eklund, A.; Malm, J. Risk factors, comorbidities, quality of life, and complications after surgery in idiopathic normal pressure hydrocephalus: Review of the INPH-CRasH study. Neurosurg. Focus 2020, 49, E8. [Google Scholar] [CrossRef] [PubMed]
- Stellman-Ward, G.R.; Bannister, C.M.; Lewis, M.A.; Shaw, J. The incidence of chronic headache in children with shunted hydrocephalus. Eur. J. Pediatr. Surg. 1997, 7, 12–14. [Google Scholar] [CrossRef] [PubMed]
- Friedman, D.I.; Rausch, E.A. Headache diagnoses in patients with treated idiopathic intracranial hypertension. Neurology 2002, 58, 1551–1553. [Google Scholar] [CrossRef] [PubMed]
- Larsson, J.; Israelsson, H.; Eklund, A.; Malm, J. Epilepsy, headache, and abdominal pain after shunt surgery for idiopathic normal pressure hydrocephalus: The INPH-CRasH study. J. Neurosurg. 2018, 128, 1674–1683. [Google Scholar] [CrossRef]
- Matharu, M.S.; Bartsch, T.; Ward, N.; Frackowiak, R.S.J.; Weiner, R.; Goadsby, P.J. Central neuromodulation in chronic migraine patients with suboccipital stimulators: A PET study. Brain 2004, 127, 220–230. [Google Scholar] [CrossRef]
- Headache Classification Committee of the International Headache Society (IHS). The International Classification of Headache Disorders, 3rd edition. Cephalalgia 2018, 38, 1–211. [Google Scholar] [CrossRef]
- Diener, H.C.; Johansson, U.; Dodick, D.W. Headache attributed to non-vascular intracranial disorder. Handb. Clin. Neurol. 2010, 97, 547–587. [Google Scholar]
- Rekate, H.L. Shunt-related headaches: The slit ventricle syndromes. Childs Nerv. Syst. 2008, 24, 423–430. [Google Scholar] [CrossRef]
- Martelletti, P.; Katsarava, Z.; Lampl, C.; Magis, D.; Bendtsen, L.; Negro, A.; Russell, M.B.; Mitsikostas, D.-D.D.; Jensen, R.H. Refractory chronic migraine: A consensus statement on clinical definition from the European Headache Federation. J. Headache Pain 2014, 15, 47. [Google Scholar] [CrossRef]
- Aurora, S.K.; Dodick, D.W.; Turkel, C.C.; DeGryse, R.; Silberstein, S.; Lipton, R.; Diener, H.; Brin, M.; PREEMPT 1 Chronic Migraine Study Group. Onabotulinum toxin A for treatment of chronic migraine: Results from the double-blind, randomized, placebo-controlled phase of the PREEMPT 1 trial. Cephalalgia 2010, 30, 793–803. [Google Scholar] [CrossRef]
- Jakubowski, M.; McAllister, P.J.; Bajwa, Z.H.; Ward, T.N.; Smith, P.; Burstein, R. Exploding vs. imploding headache in migraine prophylaxis with Botulinum Toxin A. Pain 2006, 125, 286–295. [Google Scholar] [CrossRef] [PubMed]
- Kouremenos, E.; Arvaniti, C.; Constantinidis, T.S.; Giannouli, E.; Fakas, N.; Kalamatas, T.; Kararizou, E.; Naoumis, D.; Mitsikostas, D.D.; Hellenic Headache Society. Consensus of the Hellenic Headache Society on the diagnosis and treatment of migraine. J. Headache Pain 2019, 20, 113. [Google Scholar] [CrossRef] [PubMed]
- Magis, D. Neuromodulation in migraine: State of the art and perspectives. Expert Rev. Med. Devices 2015, 2, 329–339. [Google Scholar] [CrossRef] [PubMed]
- Delgado, D.A.; Lambert, B.S.; Boutris, N.; McCulloch, P.C.; Robbins, A.B.; Moreno, M.R.; Harris, J.D. Validation of Digital Visual Analog Scale Pain Scoring with a Traditional Paper-based Visual Analog Scale in Adults. J. Am. Acad. Orthop. Surg. Glob. Res. Rev. 2018, 2, e088. [Google Scholar] [CrossRef] [PubMed]
- Stewart, W.F.; Lipton, R.B.; Dowson, A.J.; Sawyer, J. Development and testing of the Migraine Disability Assessment (MIDAS) Questionnaire to assess headache-related disability. Neurology 2001, 56, S20–S28. [Google Scholar] [CrossRef] [PubMed]
- Hays, R.D.; Sherbourne, C.D.; Mazel, R.M. The RAND 36-Item Health Survey 1.0. Health Econ. 1993, 2, 217–227. [Google Scholar] [CrossRef] [PubMed]
- Soldatos, C.R.; Dikeos, D.G.; Paparrigopoulos, T.J. Athens Insomnia Scale: Validation of an instrument based on ICD-10 criteria. J. Psychosom. Res. 2000, 48, 555–560. [Google Scholar] [CrossRef] [PubMed]
- Beck, A.T.; Epstein, N.; Brown, G.; Steer, R.A. An inventory for measuring clinical anxiety: Psychometric properties. J. Consult. Clin. Psychol. 1988, 56, 893–897. [Google Scholar] [CrossRef]
- Beck, A.T.; Steer, R.A.; Ball, R.; Ranieri, W. Comparison of Beck Depression Inventories -IA and -II in psychiatric outpatients. J. Personal. Assess. 1996, 67, 588–597. [Google Scholar] [CrossRef]
- Hamlat, A.; Sid-Ahmed, S.; And, M.; Askar, B.; Pasqualini, E. Idiopathic normal pressure hydrocephalus: Theoretical concept of a spinal etiology. Med. Hypotheses 2006, 67, 110–114. [Google Scholar] [CrossRef]
- Taylor, L.P. Mechanism of brain tumor headache. Headache 2014, 54, 772–775. [Google Scholar] [CrossRef]
- Bartsch, T.; Goadsby, P.J. Stimulation of the greater occipital nerve induces increased central excitability of dural afferent input. Brain 2002, 125, 1496–1509. [Google Scholar] [CrossRef]
- Bartsch, T.; Goadsby, P.J. Increased responses in trigeminocervical nociceptive neurons to cervical input after stimulation of the dura mater. Brain 2003, 126, 1801–1813. [Google Scholar] [CrossRef]
- Deer, T.R.; Mekhail, N.; Petersen, E.; Krames, E.; Staats, P.; Pope, J.; Saweris, Y.; Lad, S.P.; Diwan, S.; Falowski, S.; et al. The appropriate use of neurostimulation: Stimulation of the intracranial and extracranial space and head for chronic pain. Neuromodulation Appropriateness Consensus Committee. Neuromodulation 2014, 17, 551–1570. [Google Scholar] [CrossRef]
- Reed, K.L.; Black, S.B.; Banta, C.J.; Will, K.R. Combined occipital and supraorbital neurostimulation for the treatment of chronic migraine headaches: Initial experience. Cephalalgia 2010, 30, 260–271. [Google Scholar] [CrossRef]
- Rodrigo-Royo, M.D.; Azcona, J.M.; Quero, J.; Lorente, M.C.; Acín, P.; Azcona, J. Peripheral neurostimulation in the management of cervicogenic headache: Four case reports. Neuromodulation 2005, 8, 241–248. [Google Scholar] [CrossRef] [PubMed]
- Schwedt, T.J.; Dodick, D.W.; Hentz, J.; Trentman, T.L.; Zimmerman, R.S. Occipital nerve stimulation for chronic headache—Long-term safety and efficacy. Cephalalgia 2007, 27, 153–157. [Google Scholar] [CrossRef] [PubMed]
- Wodehouse, T.; Bahra, A.; Mehta, V. Changes in peripheral and central sensitization in patients undergoing occipital nerve stimulation. Br. J. Pain 2020, 14, 250–255. [Google Scholar] [CrossRef] [PubMed]



| Pre-Implantation | Post-Implantation | |
|---|---|---|
| VAS | 10 | 0 |
| MIDAS | 90 | 20 |
| SF36 | 31 | 63 |
| AIS | 17 | 6 |
| BDI II | 38 | 24 |
| BAI | 26 | 7 |
Disclaimer/Publisher’s Note: The statements, opinions and data contained in all publications are solely those of the individual author(s) and contributor(s) and not of MDPI and/or the editor(s). MDPI and/or the editor(s) disclaim responsibility for any injury to people or property resulting from any ideas, methods, instructions or products referred to in the content. |
© 2023 by the authors. Licensee MDPI, Basel, Switzerland. This article is an open access article distributed under the terms and conditions of the Creative Commons Attribution (CC BY) license (https://creativecommons.org/licenses/by/4.0/).
Share and Cite
Alexoudi, A.; Vlachakis, E.; Banos, S.; Oikonomou, K.; Patrikelis, P.; Verentzioti, A.; Stefanatou, M.; Gatzonis, S.; Korfias, S.; Sakas, D. Combined Invasive Peripheral Nerve Stimulation in the Management of Chronic Post-Intracranial Disorder Headache: A Case Report. Clin. Pract. 2023, 13, 297-304. https://doi.org/10.3390/clinpract13010027
Alexoudi A, Vlachakis E, Banos S, Oikonomou K, Patrikelis P, Verentzioti A, Stefanatou M, Gatzonis S, Korfias S, Sakas D. Combined Invasive Peripheral Nerve Stimulation in the Management of Chronic Post-Intracranial Disorder Headache: A Case Report. Clinics and Practice. 2023; 13(1):297-304. https://doi.org/10.3390/clinpract13010027
Chicago/Turabian StyleAlexoudi, Athanasia, Efstathios Vlachakis, Stamatios Banos, Konstantinos Oikonomou, Panayiotis Patrikelis, Anastasia Verentzioti, Maria Stefanatou, Stylianos Gatzonis, Stefanos Korfias, and Damianos Sakas. 2023. "Combined Invasive Peripheral Nerve Stimulation in the Management of Chronic Post-Intracranial Disorder Headache: A Case Report" Clinics and Practice 13, no. 1: 297-304. https://doi.org/10.3390/clinpract13010027
APA StyleAlexoudi, A., Vlachakis, E., Banos, S., Oikonomou, K., Patrikelis, P., Verentzioti, A., Stefanatou, M., Gatzonis, S., Korfias, S., & Sakas, D. (2023). Combined Invasive Peripheral Nerve Stimulation in the Management of Chronic Post-Intracranial Disorder Headache: A Case Report. Clinics and Practice, 13(1), 297-304. https://doi.org/10.3390/clinpract13010027

