Not All That Shines on a PET Scan Is Cancer: A Silicone-Induced Granuloma Masquerading as Malignancy
Abstract
1. Introduction
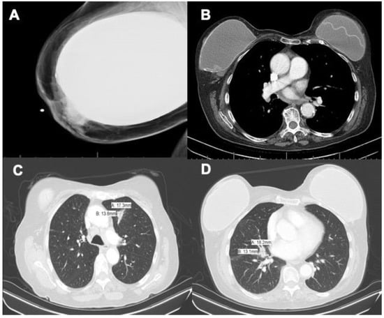
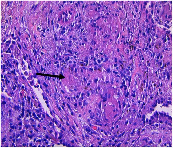
2. Case Presentation
3. Discussion
Author Contributions
Funding
Institutional Review Board Statement
Informed Consent Statement
Data Availability Statement
Conflicts of Interest
References
- Volpi, S.; Ali, J.M.; Tasker, A.; Peryt, A.; Aresu, G.; Coonar, A.S. The role of positron emission tomography in the diagnosis, staging and response assessment of non-small cell lung cancer. Ann. Transl. Med. 2018, 6, 95. [Google Scholar] [CrossRef] [PubMed]
- Visioni, A.; Kim, J. Positron Emission Tomography for Benign and Malignant Disease. Surg. Clin. N. Am. 2011, 91, 249–266. [Google Scholar] [CrossRef] [PubMed]
- Safaie, E.; Matthews, R.; Bergamaschi, R. PET scan findings can be false positive. Tech. Coloproctol. 2015, 19, 329–330. [Google Scholar] [CrossRef] [PubMed][Green Version]
- Tolaney, S.M.; Colson, Y.L.; Gill, R.R.; Schulte, S.; Duggan, M.M.; Shulman, L.N.; Winer, E.P. Sarcoidosis Mimicking Metastatic Breast Cancer. Clin. Breast Cancer 2007, 7, 804–810. [Google Scholar] [CrossRef] [PubMed]
- Shiraki, N.; Hara, M.; Ogino, H.; Shibamoto, Y.; Iida, A.; Tamaki, T.; Murase, T.; Eimoto, T. False-positive and true-negative hilar and mediastinal lymph nodes on FDG-PET—Radiological-pathological correlation. Ann. Nucl. Med. 2004, 18, 23–28. [Google Scholar] [CrossRef] [PubMed]
- Steinbach, B.G.; Hardt, N.S.; Abbitt, P.L.; Lanier, L.; Caffee, H.H. Breast implants, common complications, and concurrent breast disease. Radiographics 1993, 13, 95–118. [Google Scholar] [CrossRef] [PubMed]
- Sternberg, T.H.; Ashley, F.L.; Winer, L.H.; Lehman, R. Tissue reactions to injected liquid silicon compounds. Report on 2 cases. Hautarzt 1964, 15, 281. [Google Scholar] [PubMed]
- Ryu, A.J.; Glazebrook, K.N.; Samreen, N.; Bauer, P.R.; Yi, E.S.; Ryu, J.H. Spectrum of Chronic Complications Related to Silicone Leakage and Migration. Am. J. Med. 2018, 131, 1383–1386. [Google Scholar] [CrossRef] [PubMed]
- de Faria Castro Fleury, E.; D’Alessandro, G.S.; Wludarski, S.C.L. Silicone-Induced Granuloma of Breast Implant Capsule (SIGBIC): Histopathology and Radiological Correlation. J. Immunol. Res. 2018, 2018, 6784971. [Google Scholar] [CrossRef] [PubMed]
- Fleury, E.D.F.C.; Rêgo, M.M.; Ramalho, L.C.; Ayres, V.J.; Seleti, R.O.; Ferreira, C.A.P.; Roveda, D. Silicone-induced granuloma of breast implant capsule (SIGBIC): Similarities and differences with anaplastic large cell lymphoma (ALCL) and their differential diagnosis. Breast Cancer Targets Ther. 2017, 9, 133–140. [Google Scholar] [CrossRef] [PubMed]
- Shoenfeld, Y.; Agmon-Levin, N. ‘ASIA’—Autoimmune/inflammatory syndrome induced by adjuvants. J. Autoimmun. 2011, 36, 4–8. [Google Scholar] [CrossRef] [PubMed]
- Carson, B.; Cox, S.; Ismael, H. Giant siliconoma mimicking locally advanced breast cancer: A case report and review of literature. Int. J. Surg. Case Rep. 2018, 48, 54–60. [Google Scholar] [CrossRef] [PubMed]
- Alduk, A.M.; Brcic, I.; Prutki, M. A rare cause of spiculated breast mass mimicking carcinoma: Silicone granuloma following breast implant removal. Acta Clin. Belg. 2015, 70, 153–154. [Google Scholar] [CrossRef]
- Ali, L.; Mcgivern, D.; Teoh, R. Silicon granuloma mimicking lung cancer. BMJ Case Rep. 2012, 2012, bcr2012006351. [Google Scholar] [CrossRef] [PubMed]
- Grubstein, A.; Cohen, M.; Steinmetz, A.; Cohen, D. Siliconomas mimicking cancer. Clin. Imaging 2011, 35, 228–231. [Google Scholar] [CrossRef] [PubMed]
- Juanpere, S.; Perez, E.; Huc, O.; Motos, N.; Pont, J.; Pedraza, S. Imaging of breast implants—A pictorial review. Insights Imaging 2011, 2, 653–670. [Google Scholar] [CrossRef] [PubMed]



Publisher’s Note: MDPI stays neutral with regard to jurisdictional claims in published maps and institutional affiliations. |
© 2020 by the authors. Licensee MDPI, Basel, Switzerland. This article is an open access article distributed under the terms and conditions of the Creative Commons Attribution (CC BY) license (http://creativecommons.org/licenses/by/4.0/).
Share and Cite
Vedala, K.; Sobash, P.T.; Johnson, D.; Kakkera, K. Not All That Shines on a PET Scan Is Cancer: A Silicone-Induced Granuloma Masquerading as Malignancy. Clin. Pract. 2021, 11, 8-12. https://doi.org/10.3390/clinpract11010003
Vedala K, Sobash PT, Johnson D, Kakkera K. Not All That Shines on a PET Scan Is Cancer: A Silicone-Induced Granuloma Masquerading as Malignancy. Clinics and Practice. 2021; 11(1):8-12. https://doi.org/10.3390/clinpract11010003
Chicago/Turabian StyleVedala, Krishna, Philip T. Sobash, Deborah Johnson, and Krishna Kakkera. 2021. "Not All That Shines on a PET Scan Is Cancer: A Silicone-Induced Granuloma Masquerading as Malignancy" Clinics and Practice 11, no. 1: 8-12. https://doi.org/10.3390/clinpract11010003
APA StyleVedala, K., Sobash, P. T., Johnson, D., & Kakkera, K. (2021). Not All That Shines on a PET Scan Is Cancer: A Silicone-Induced Granuloma Masquerading as Malignancy. Clinics and Practice, 11(1), 8-12. https://doi.org/10.3390/clinpract11010003

