You are currently viewing a new version of our website. To view the old version click .
Microbiology Research
  • Case Report
  • Open Access

18 June 2024

The First Report on Saprolegnia parasitica and Neoparamoeba perurans Isolated from Atlantic Salmon (Salmo salar) Reared in Korea

,
,
,
,
,
,
and
1
Aquaculture Industry Research Division, East Sea Fisheries Research Institute, National Institute of Fisheries Science, Gangneung 25435, Republic of Korea
2
Gangwon State Inland Water Resource Center, Chuncheon 24210, Republic of Korea
3
Gangwon State Cold Water Fisheries Research Center, Goseong 24747, Republic of Korea
*
Author to whom correspondence should be addressed.

Abstract

This study is the first report of parasite and fungal disease separated from domestically reared Atlantic salmon in Korea; the characteristics of the pathogens were identified, and histopathological analysis was conducted. Fungal and parasitic diseases were detected in Atlantic salmon and were isolated as Saprolegnia parasitica and Neoparamoeba perurans based on morphological and genetic analysis. External symptoms observed in Atlantic salmon infected with S. parasitica include fin ulcers and hemorrhage, abdominal hemorrhage, and necrosis of the gills and gill covers. The histopathological analysis results showed necrosis, hemorrhaging, and inflammatory cell infiltration in the abdominal muscles, while only inflammatory cell infiltration was observed in the gill covers. The clinical symptoms observed in Atlantic salmon infected with N. perurans included excessive mucus secretion in the gills, a dense amoebic presence on the gill filaments, respiratory distress, and opening of the mouth and gill covers after death. Through histopathological analysis, we observed lesions in epithelial cells, characterized by the proliferation of epithelial cells and the fusion of secondary lamellae. Numerous lamellae were observed to be attached or fused with each other. To ensure the successful establishment of the Atlantic salmon aquaculture industry in Korea, it is essential to swiftly quarantine infected fish based on the morphological characteristics of S. parasitica and N. perurans revealed in this study, along with the external symptoms of Atlantic salmon infected with these pathogens. Developing disease control strategies based on the findings of this research is imperative.

1. Introduction

As global fish consumption rises, countries worldwide are developing aquaculture industries targeting various fish species [1]. Furthermore, while wild catch levels are steadily declining, aquaculture production is increasing [2]. Among various aquaculture fish species, the global aquacultural production of Atlantic salmon (Salmo salar) has been steadily increasing each year, reaching 1,318,720 tons in 2006, 1,735,389 tons in 2011, 2,246,679 tons in 2016, and 2,905,396 tons in 2021 [2]. However, with the development of aquaculture, various problems such as issues with the environment, diseases, and safety concerns have arisen [3]. Among the various problems, this study focuses on diseases that affect Atlantic salmon. The import volume of Atlantic salmon in the Korean market has in recent years increased by 278%, rising from 27,537 tons in 2016 to 76,566 tons in 2022 [4]. In Korea, there is a growing need for the aquaculture of Atlantic salmon, as domestic habitats and aquaculture techniques are not established, relying entirely on imports. Various research efforts are currently underway to develop aquaculture techniques for Atlantic salmon; however, there is a lack of research on diseases (bacterial, viral, parasitic, and fungal) affecting exotic species imported from overseas such as Atlantic salmon.
Among the diseases causing economic losses in global salmon aquaculture, parasites, such as amoebic gill disease (Neoparamoeba pemaquidensis, Paramoeba pemaquidensis, Acanthamoeba castellanii, A. astronyxis) [5,6,7] are significant; as are, fungal diseases including saprolegniosis (Saprolegnia parasitica, S. invaseris) [8,9,10], aphanomycosis (Epizootic ulcerative syndrome (EUS) Aphanomyces invadans) [11,12], ichthyosporidiosis (Ichthyophonus hoferi), and others [11,12].
Fungal diseases have various causative agents, but, among them, fungi belonging to the kingdom Protoctista in the class Oomycetes, order Saprolegniales, and family Saprolegniaceae, have been identified as the pathogens responsible for saprolegniosis [13,14,15,16,17]. Saprolegniosis typically occurs due to poor water quality, suboptimal water temperature, and the presence of stress factors [18,19]. It infects the skin and gills of fish, leading to proliferation and underwater dissemination [19,20]. Fish infected with saprolegniosis develop ulcers on the head, fins, and skin, with infection spread to muscle tissue and blood vessels, sometimes leading to untreatable conditions [19,20]. Among these, S. parasitica is primarily found in freshwater ecosystems and affects salmonids, from eggs to adults; additionally, it can impact a range of other aquatic animals, such as different fish species, amphibians, and crayfish [21,22,23,24].
Amoebic gill disease is a parasitic disease that inflicts significant damage on marine-farmed salmonids, especially Atlantic salmon, rainbow trout (Oncorhynchus mykiss), and coho salmon (Oncorhynchus kisutch) [25,26,27,28]. Since its first report in Tasmania, Australia, in 1988, amoebic gill disease has been found in various locations worldwide, including Korea, South Africa, Canada, Chile, Norway, Ireland, Spain, France, and Scotland, causing issues in salmonid aquaculture [25,28,29,30,31,32,33,34].
The causative agent of amoebic gill disease is known to be Neoparamoeba perurans [26,28,35,36]. Neoparamoeba, a small lobose ameba belonging to the family Vexilliferidae, is motile and forms dactylopodia [35]. In the past, the causative agent of amoebic gill disease was known as N. pemaquidensis, but Young et al. [37] latterly identified N. perurans as the causative agent of amoebic gill disease. N. perurans is reported to occur and spread primarily through high water temperatures and salinity levels [38,39]. Major symptoms include lesions on the gill surfaces, leading to reduced appetite, respiratory distress, and gill inflammation [40,41].
This study presents the first report on parasites and fungal diseases isolated during the development of aquaculture techniques for Atlantic salmon in Korea, identifying characteristics of the pathogens and conducting a histopathological analysis in the process.

2. Materials and Methods

2.1. Ethical Statement

All animal experiments conducted in this study received approval from the Institutional Animal Care and Use Committee of Jeju National University (JNU-2020-O-0035). This study was conducted strictly in accordance with the guidelines of the European Union directive 2010/EU. Furthermore, all experimental protocols were conducted by scientists who had completed animal ethics training.

2.2. Fish Sample Collection

2.2.1. Fungi-Infected Fish

In March 2023, a facility located in Korea received 24 Atlantic salmon reared in a recirculating aquaculture system for fungal screening (Bacterial, viral, and parasitic diseases were not detected). The Atlantic salmon were reared in freshwater maintained at 13 °C; they had an average length of 25.6 ± 1.1 cm and a weight of 145 ± 17 g, and symptoms of infection included ulcers on the pectoral fin, dorsal fin, and tail fin. The body surface and internal organs of the Atlantic salmon were observed, and microscopic examination was conducted on the clinically symptomatic areas. To confirm fungal disease, samples were harvested from the clinically symptomatic areas, as well as the kidney and spleen. These samples were then inoculated onto a Sabouraud dextrose agar (SD, Kisanbio, Seoul, Korea) supplemented with chloramphenicol and incubated at 26 °C for 24–48 h. To prepare for PCR analysis, kidneys and spleens were harvested and pooled in groups of 4–5 individuals each, and these pooled samples were then stored at −80 °C for future experimentation.

2.2.2. Parasite-Infected Fish

In August 2023, a facility located in Korea received 20 Atlantic salmon reared in a flow-through system for parasitic screening (Bacterial, viral, and fungal diseases were not detected). The Atlantic salmon were reared in seawater maintained at 13 °C; they had an average length of 37 ± 2 cm and a weight of 346 ± 11 g, and symptoms of infection included excessive mucus secretion from the gills, dense white spots on the gill filaments, and respiratory distress. Microscopic examination was conducted on the gills and clinically symptomatic areas of the Atlantic salmon. To confirm parasitic diseases, gills were harvested and then pooled in groups of 4–5 individuals each for PCR analysis, and these pooled samples were stored at −80 °C for future experimentation.

2.3. Pathogen Identification

To confirm the presence of fungal disease, DNA was extracted from the kidneys and spleens of the Atlantic salmon using the AccuPrep® Genomic DNA Extraction Kit (Bioneer, Daejeon, Korea). For PCR analysis, we utilized Accupower® PCR PreMix (Bioneer, Daejeon, Korea), and primers ITS1 (5′-TCCGTAGGTGAACCTGCGG-3′) and ITS4 (5′-TCCTCCGCTTATTGATATGC-3′) were used [41]. The PCR reaction proceeded with pre-denaturation at 94 °C for 3 min, followed by denaturation at 94 °C for 1 min, annealing at 60 °C for 45 s, and extension at 72 °C for 90 s, for a total of 35 cycles; a post-extension reaction was conducted at 72 °C for 5 min [42].
To confirm the presence of parasitic disease, DNA was extracted from gill filaments sampled from Atlantic salmon using the AccuPrep® Genomic DNA Extraction Kit (Bioneer, Korea). For PCR analysis, we utilized the Accupower® PCR PreMix (Bioneer, Korea), and primers (F: 5′-ATCTTGACCGGTTCTTTCGAGA-3′ and R: 5′-ATAGGTCTGCTTATCACTCATTCT-3′) were used to amplify the 18S rRNA sequence of Neoparamoeba spices [37]. The PCR reaction proceeded with pre-denaturation at 94 °C for 5 min, followed by denaturation at 94 °C for 30 s, annealing at 50 °C for 30 s, and extension at 72 °C for 45 s, for a total of 35 cycles; a post-extension reaction was conducted at 72 °C for 5 min [37].
The amplified PCR products were electrophoresed on a 1.5% agarose gel to isolate specific bands. Subsequently, the specific bands were purified using the QIAquick® Gel Extraction Kit (Qiagen, Frankfurt, Germany). Sanger sequencing was performed on a partial fragment of the 18S rRNA gene using ITS1-ITS4 primers specific for Neoparamoeba species. The Sanger nucleotide sequence data similarity was analyzed against NCBI reference RNA sequence databases for genus-level identification. Subsequently, the nucleotide sequences were aligned using the Clustal W method for multiple alignments, which is available in Mega 11 [43]. The tree topology was constructed using the neighbor-joining method, and to assess reliability, bootstrap analysis with 1000 replications was performed.

2.4. Histopathological Analysis

For fungal diseases, samples were collected from the gills, gill covers, fins, brain, liver, intestine, muscle, spleen, kidney, and clinically symptomatic areas of Atlantic salmon. For parasitic diseases, samples were collected from the gills and clinically symptomatic areas of Atlantic salmon. They were then fixed in a 10% neutral-buffered formalin solution (Sigma, Saintlouis, MO, USA) for 24 h. Subsequently, they underwent a secondary fixation in the same fixative for 8 h and after that, the samples were rinsed in running water for 24 h and dehydrated sequentially in 70% to 100% ethanol. Then, they were made transparent in xylene, infiltrated with paraffin, and embedded. Each block was sectioned at a thickness of 4 µm using a rotary microtome (HM340E, Microm Co., Nordrhein-Westfalen, Germany), and the tissue sections were then mounted onto slides coated with 3-aminopropyl triethoxysilane (Sigma, USA). The mounted tissue sections were deparaffinized and rehydrated using xylene and ethanol solutions, and then hematoxylin–eosin (H&E) staining was performed. After completing the staining process, the tissue sections were dehydrated and made transparent before being mounted using a synthetic mounting medium (DPX, Sigma, Saintlouis, MO, USA). The stained tissue sections were then observed under a microscope (ECLIPSE Ni-U, Tokyo, Nikon, Japan).

3. Results

3.1. Pathogen Identification

Out of 24 Atlantic salmon, fungal disease was detected in 9 individuals (37.5%), and the isolated fungus was identified as Saprolegnia parasitica based on genetic analysis. The external symptoms of Atlantic salmon infected with S. parasitica included fin ulceration and hemorrhage, abdominal hemorrhage, and necrosis of gills and gill covers (Figure 1).
Figure 1. Some of the external symptoms of Atlantic salmon infected with Saprolegnia parasitica are indicated with white dotted circles. (A) Necrotic lesions on gills and gill cover. (B,C) Ulcers and hemorrhage on fins. (D) Hemorrhage on abdomen. The white dotted circles indicate symptoms.
The cultured strain on the SD agar exhibited white cottony tufts with a wrinkled appearance on the outer edge (Figure 2A). Microscopic observation of the clinically symptomatic area of Atlantic salmon revealed that the mycelium was thin and elongated, lacked septa, and observed zoosporangia, with zoospores arranged uniformly inside (Figure 2B).
Figure 2. Morphological characteristics typically observed in Saprolegnia parasitica isolated from Atlantic salmon. (A) Colonies grown on SD agar supplemented with chloramphenicol after culturing S. parasitica. (B) The mycelium is thin and elongated, lacks septa, and also exhibits zoosporangium and zoospores.
The amplification product of 700 bp was confirmed by comparing the genetic sequences of pathogens isolated from Atlantic salmon using the ITS1-ITS4 nucleotide sequences of Saprolegnia species. Furthermore, phylogenetic analysis revealed that it belongs to the same cluster as S. parasitica (OP642441.1) and exhibited 100% sequence identification (Figure 3A).
Figure 3. The phylogenetic tree based on partial nucleotide sequences indicates the positions of the strains extracted from Atlantic salmon: Saprolegnia parasitica (A) and Neoparamoeba perurans (B). The distinct Saprolegnia species and Neoparamoeba species were identified using the neighbor-joining method in the Mega 11 program. The numbers indicate the percentages of bootstrap support from 1000 replicates.
Out of 20 Atlantic salmon, 16 individuals (80%) were found deceased concurrently with the detection of parasites. The comparison of genetic sequences of pathogens isolated from Atlantic salmon using the nucleotide of Neoparamoeba species revealed an amplified product at 630 bp. Furthermore, phylogenetic analysis revealed a 99% sequence identity of N. perurans (Figure 3B). The symptoms following N. perurans infection included excessive mucus secretion in the gills, reduced swimming ability, respiratory distress, and anorexia. After mortality, the mouth and gill covers were completely open. As a clinical symptom, clusters of N. perurans, appearing as multiple white spots, were densely packed on the gill filaments and visible to the naked eye (Figure 4A).
Figure 4. Clinical symptoms and morphological characteristics of Atlantic salmon infected with Neoparamoeba perurans. (A) When infected with N. perurans, the gill filaments of the fish undergo extensive whitening (white dotted circle). (B) The morphological appearance of N. perurans observed under the microscope.
The morphological analysis revealed cells with no surface structures, characterized by round or hexagonal trophozoites of white color and the presence of a nucleus and parasome (Figure 4B). These morphological characteristics of N. perurans are similar to those reported in previous studies [22,44,45].

3.2. Histopathological Analysis

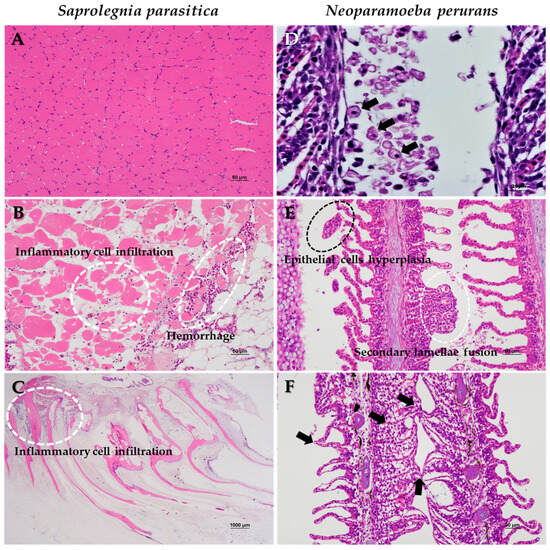
Histopathological analysis of Atlantic salmon infected with S. parasitica revealed abnormalities in the gill covers and abdominal muscles, among other clinical areas (Figure 5). Necrosis, hemorrhage, and the infiltration of inflammatory cells were observed in the abdominal muscles (Figure 5B), while infiltrating inflammatory cells were also observed in the gill covers (Figure 5C). Furthermore, histopathological analysis of Atlantic salmon infected with N. perurans revealed abnormalities in the gills (Figure 5D). Hyperplasia of gill epithelial cells and the fusion of secondary lamellae occurred (Figure 5E), and multiple lamellae were observed to attach to each other or fuse to each other (Figure 5F).
Figure 5. Histopathological analysis results of Atlantic salmon infected with Saprolegnia parasitica (AC) and Neoparamoeba perurans (DF). (A) Normal abdominal muscles of the Atlantic salmon. (B) The abdominal muscles of Atlantic salmon infected with S. parasitica. The white dotted circles indicate inflammatory cell infiltration, necrosis, and hemorrhage. (C) The gill covers of Atlantic salmon infected with S. parasitica. The white dotted circles indicate inflammatory cell infiltration. (D) Gills infected with N. perurans. The black arrows indicate N. perurans. (E) As a result of the infection, there is hyperplasia of epithelial cells and fusion of secondary lamellae. The black dotted circle indicates epithelial cells hyperplasia; the white dotted circle indicates fusion of secondary lamellae. (F) Multiple lamellae show fusion and adhesion. The black arrows indicate that the lamellae are involved in adhesion and fusion.

4. Discussion

A significant issue in the aquaculture industry is the substantial impact caused by disease outbreaks, and, if there are no preventive measures or treatment methods available for the diseases, the damage could be even greater.
In this study, Atlantic salmon infected with S. parasitica exhibited external symptoms, such as fin erosion and hemorrhage, abdominal hemorrhage, as well as necrosis of the gills and gill covers (Figure 1). These symptoms were similar to the external symptoms, such as head, fin, and skin ulcers and necrosis, reported in previous studies on salmonid fish species infected with S. parasitica [46,47,48]. S. parasitica, which causes infection in fish, spreads to other tissues through circular or curved mycelia on the head or fins [18]. Subsequently, after spreading through muscle tissue and blood vessels, S. parasitica infection causes cellular destruction and complete damage to the skin, leading to infections that are beyond treatment [19,48,49]. When cultured on an agar medium, the morphological characteristics of S. parasitica isolated from Atlantic salmon appeared as clustered cottony growth with wrinkled margins on the outer edges (Figure 2A). Typically, when cultured on an agar medium, S. parasitica exhibits morphology resembling white, thread-like mycelia, forming rounded colonies [17,48,50,51].
According to previous studies, the asexual reproduction of S. parasitica typically involves the production of zoospores, but it is also known to produce chlamydospores or gametangia [44,52,53]. It is known that zoospores are produced within zoosporangia, and factors such as nutrient deprivation or sudden temperature decreases can trigger their release [45,54]. The discharge of zoospores is divided into primary and secondary phases. Zoospores discharged in the primary phase exhibit limited motility, undergo sporangium formation and germination, and remain active only until the release of secondary zoospores [55,56]. Secondary zoospores, upon release, are known to possess two lateral flagella, rendering them more motile than primary zoospores, and they are recognized as the dissemination and infective spores of Saprolegnia species [53,56,57]. The secondary zoospores of various Saprolegnia species, including S. parasitica, undergo a polyplanetism process, wherein sporangium formation and zoospore discharge are repeated [58,59,60,61]. Primary zoospores are reported to be discharged within 18 to 24 h, while secondary zoospores are discharged after 24 h, and they begin to germinate within 12 h of discharge from the zoosporangiate zoospore [46,48,51,57,62]. We aim to conduct further research on the asexual reproduction of S. parasitica isolated in this study.
S. parasitica has been reported to penetrate the epithelium, causing epithelial damage and cell necrosis, and to penetrate the muscle, leading to hemorrhage and inflammation [48,49]. This report is consistent with the symptoms observed in the histopathological analysis of the gill covers and abdominal muscles (Figure 5B,C) in this study, which included necrosis, hemorrhage, and inflammatory cell infiltration. S. parasitica possesses various virulence factors that act on the host’s extracellular effectors (proteases, gluconases, and hydrolases), simultaneously attacking host cells and tissues while being secreted into the host’s extracellular space, ultimately leading to alteration in the structure and function of cells [63]. Furthermore, it is stated that by secreting proteins (glycoside hydrolases) that aid in the breakdown of cell walls into the extracellular space, S. parasitica infiltrates the host’s tissues, leading to epidermal destruction and respiratory failure due to osmotic imbalance resulting from the degeneration of secondary lamellae, ultimately resulting in morality [63,64,65].
Diéguez-Uribeondo et al. [61] categorized Saprolegnia species isolated from various hosts and environments worldwide into five clades based on the phylogenetic analysis of ITS nucleotide sequences. It was reported that S. parasitica, S. diclina type 1, S. salmonis, and several Saprolegnia species belong to clade I, while S. diclina type 2 and S. feraxs are in clade II. Additionally, all S. diclina species belong to clades III and V, with S. australis belonging to clade IV.
In this study, the clinical symptoms observed in Atlantic salmon infected with N. perurans include excessive mucus secretion in the gills, a dense presence of amoebae on the gill filaments, respiratory distress, and the opening of the mouth and gill covers after mortality. The symptoms mentioned are similar to those seen in previous studies in fish infected with N. perurans, such as anorexia, respiratory distress, multifocal lesions on the gill surface, dissection, swelling, proliferation of gill epithelial cells, fusion, and blister formation of gill filaments [39,40,66]. Furthermore, if left untreated after infection with N. perurans, mortality rates ranging from 50% to 85% have been reported [5,28], which is similar to the mortality rate of 80% observed in this study.
The morphological characteristics of the isolated N. perurans observed under the microscope showed a lack of surface structures, with round or hexagonal trophozoites of white color and the presence of a nucleus and parasome (Figure 4B and Figure 5D), which were similar to previous research findings [35,67]. These parasomes, referred to as perkinsiella amoebae-like organisms (PLOs), are described as endobionts of eukaryotic marine organisms and are associated with parasitic marine protists [35,68].
The histopathological analysis revealed epithelial cell proliferation, secondary lamellar fusion, and the fusion or attachment of multiple lamellae, which are commonly reported symptoms when Atlantic salmon are infected with N. perurans [25,29,30,69,70,71,72,73]. Moreover, according to English et al. [73], in addition to the typical symptoms, inflammatory leukocytes were observed within the central venous sinuses, with squamous epithelial cells surrounding the inflamed lymphocytes, and basal infiltration was observed in some lymphocytes. The proliferation of lamellar epithelial cells involved in many gill diseases, including those caused by N. perurans, occurs due to the proliferation and migration of progenitor cells present at the base of the lamellae; however, the underlying inducers and mechanisms of this proliferation are not well understood [74,75]. According to Morrison et al. [75] and Cano et al. [28] the upregulation of the factor Ag-2 and the downregulation of p53 mRNA were reported in lesions with N. perurans, suggesting that these alterations may contribute to cell hyperplasia.

5. Conclusions

This study represents a report on S. parasitica and N. perurans detected in Atlantic salmon, a species in which aquaculture technology research is actively progressing in Korea. When infected with the fungal disease S. parasitica, various external symptoms, such as hemorrhage, ulcers, and necrosis, occur. Furthermore, when infected with the parasitic disease N. perurans, various symptoms, such as excessive mucus secretion in the gills, reduced swimming performance, respiratory distress, and anorexia, occur, often resulting in mortality. Unfortunately, there is currently no definitive treatment available for this latter disease, which poses significant challenges in aquaculture. Based on this study, it is crucial to promptly isolate the pathogens and quarantine infected fish by identifying the morphological characteristics of S. parasitica and N. perurans, along with the external symptoms of Atlantic salmon infected with these pathogens. In addition to these efforts, it is necessary to develop disease control measures for the successful establishment of the domestic Atlantic salmon aquaculture industry in Korea.

Author Contributions

Conceptualization, D.-H.K., M.-S.J., S.-J.W. and K.-T.S.; formal analysis, D.-H.K. and M.-S.J.; funding acquisition, M.-S.J. and S.-J.W.; investigation, D.-H.K. and M.-S.J.; methodology, D.-H.K., M.-S.J., S.-J.W. and K.-T.S.; project administration, M.-S.J. and S.-J.W.; resources, W.-S.H., M.-C.P., J.-C.P. and S.-O.P.; supervision, M.-S.J.; writing—original draft preparation, D.-H.K.; writing—review and editing, D.-H.K. and M.-S.J. All authors have read and agreed to the published version of the manuscript.

Funding

This research was supported by the National Institute of Fisheries Science, Ministry of Oceans and Fisheries, Republic of Korea (R2024062).

Institutional Review Board Statement

The animal experimentation protocol received approval from the Institutional Animal Care and Use Committee, Jeju National University, and adhered to the guidelines (Approval number: JNU-2020-O-0035).

Data Availability Statement

The data presented in this study are available upon request from the corresponding author.

Conflicts of Interest

The authors declare no conflicts of interest.

References

  1. Han, K.U.; Leem, K.H.; Choi, Y.R.; Chung, K.S. What drives a country’s fish consumption? Market growth phase and the causal relations among fish consumption, production and income growth. Fish. Res. 2022, 254, 106435. [Google Scholar] [CrossRef]
  2. FAO (Food and Agriculture Organization of the United Nations). Global Fisheries and Aquaculture Production Statistics. 2024. Available online: https://www.fao.org (accessed on 30 January 2024).
  3. Brugere, C.; Bansal, T.; Kruijssen, F.; Williams, M. Humanizing aquaculture development: Putting social and human concerns at the center of future aquaculture development. J. World. Aquac. Soc. 2023, 54, 482–526. [Google Scholar] [CrossRef]
  4. OMRC (Overseas Market Research Center). Seafood Trade Statistics. 2024. Available online: http://kfishinfo.co.kr/kor/view.do?no=626#none (accessed on 15 April 2024).
  5. Padrós, F.; Constenla, M. Diseases caused by Amoebae in fish: An overview. Animals 2021, 11, 991. [Google Scholar] [CrossRef] [PubMed]
  6. Boamah, D.K.; Zhou, G.; Ensminger, A.W.; O’Connor, T.J. From many hosts, one accidental pathogen: The diverse protozoan hosts of Legionella. Front. Cell. Infect. Microbiol. 2017, 7, 477–494. [Google Scholar] [CrossRef] [PubMed]
  7. Guimaraes, A.J.; Gomes, K.X.; Cortines, J.R.; Peralta, J.M.; Peralta, R.H.S. Acanthamoeba spp. as a universal host for pathogenic microorganisms: One bridge from environment to host virulence. Microbiol. Res. 2016, 193, 8–30. [Google Scholar] [CrossRef] [PubMed]
  8. Aller, G.M. Saprolegniosis en la trucha común (Salmo trutta L.) de los rios de Leon (Espana). Med. Vet. 1987, 4, 181–184. [Google Scholar]
  9. Hatai, K.; Hoshiai, G.I. Characteristics of two Saprolegnia species from coho salmon with saprolegniosis. J. Aquat. Anim. Health 1993, 5, 115–118. [Google Scholar] [CrossRef]
  10. Bly, J.E.; Lawsos, L.A.; Abdel-Aziz, E.S.; Clem, L.W. Channel catfish, Ictalurus punctatus, immunity to Saprolegnia sp. J. App. Aquac. 1994, 3, 35–50. [Google Scholar] [CrossRef]
  11. Choudhury, T.G.; Singh, S.K.; Parhi, J.; Barman, D.; Das, B.S. Common fungal diseases of fish: A review. Environ. Ecol. 2014, 32, 450–456. [Google Scholar]
  12. Özcan, F.; Arserim, N.B. Fungal diseases in fish. J. Black Sea Agric. 2022, 5, 48–52. [Google Scholar] [CrossRef]
  13. Noga, E.J. Water mold infections of freshwater fish: Recent advances. In Annual Review of Fish Diseases; Pergamon Press Ltd.: Oxford, UK, 1993; pp. 291–304. [Google Scholar] [CrossRef]
  14. Diéguez-Uribeondo, J.; Cerenius, L.; Söderhäll, K. Saprolegnia parasitica and its virulence on three different species of freshwater crayfish. Aquaculture 1994, 120, 219–222. [Google Scholar] [CrossRef]
  15. Hussein, M.M.; Hatai, K.; Namura, T. Saprolegniasis in salmonids and fishes their eggs in Japan. J. Wildl. Dis. 2001, 37, 204–207. [Google Scholar] [CrossRef]
  16. Yanong, R.P. Fungal diseases of fish. Vet. Clin. N. Am. Exot. Anim. Pract. 2003, 6, 377–400. [Google Scholar] [CrossRef]
  17. Jee, B.Y.; Lee, D.C.; Kim, N.Y.; Jung, S.H.; Park, S.I. Identification and chemotherapeufic effects of the fungi from three salmonid species and their eggs. J. Fish. Pathol. 2007, 20, 147–160. [Google Scholar]
  18. Neish, G.A. Observations on saprolegniasis of adult sockeye salmon, Oncorhynchus nerka (Walbaum). J. Fish. Biol. 1977, 10, 513–522. [Google Scholar] [CrossRef]
  19. Engblom, C.; Landor, L.; Sjöqvist, C.; Korkea-aho, T.; Viljamaa-Dirks, S.; Paulin, L.; Wiklund, T. Identification and genetic characterization of Saprolegnia parasitica, isolated from farmed and wild fish in Finland. J. Fish Dis. 2023, 46, 849–860. [Google Scholar] [CrossRef]
  20. Roberts, R.J. Fish Pathology, 4th ed.; Blackwell Publishing: Oxford, UK, 2012; pp. 383–395. [Google Scholar]
  21. Coker, W.C. The Saprolegniaceae: With Notes on Other Water Molds; University of North Carolina Press: Chapel Hill, NC, USA, 1923. [Google Scholar]
  22. Van West, P. Saprolegnia parasitica, an oomycete pathogen with a fishy appetite: New challenges for an old problem. Mycologist 2006, 20, 99–104. [Google Scholar] [CrossRef]
  23. Van den Berg, A.H.; McLaggan, D.; Diéguez-Uribeondo, J.; Van West, P. The impact of the water moulds Saprolegnia diclina and Saprolegnia parasitica on natural ecosystems and the aquaculture industry. Fungal Biol. Rev. 2013, 27, 33–42. [Google Scholar] [CrossRef]
  24. Pavić, D.; Grbin, D.; Hudina, S.; Prosenc Zmrzljak, U.; Miljanović, A.; Košir, R.; Varga, F.; Ćurko, J.; Marčić, Z.; Bielen, A. Tracing the oomycete pathogen Saprolegnia parasitica in aquaculture and the environment. Sci. Rep. 2022, 12, 16646–16657. [Google Scholar] [CrossRef] [PubMed]
  25. Young, N.D.; Dyková, I.; Snekvik, K.; Nowak, B.F.; Morrison, R.N. Neoparamoeba perurans is a cosmopolitan aetiological agent of amoebic gill disease. Dis. Aquat. Org. 2008, 78, 217–223. [Google Scholar] [CrossRef] [PubMed]
  26. Wright, D.W.; Nowak, B.; Oppedal, F.; Bridle, A.; Dempster, T. Depth distribution of the amoebic gill disease agent, Neoparamoeba perurans, in salmon sea-cages. Aquac. Environ. Interact. 2015, 7, 67–74. [Google Scholar] [CrossRef]
  27. Nowak, B.F.; Archibald, J.M. Opportunistic but lethal: The mystery of paramoebae. Trends Parasitol. 2018, 34, 404–419. [Google Scholar] [CrossRef]
  28. Cano, I.; Taylor, N.G.; Bayley, A.; Gunning, S.; McCullough, R.; Bateman, K.; Paley, R.K. In vitro gill cell monolayer successfully reproduces in vivo Atlantic salmon host responses to Neoparamoeba perurans infection. Fish Shellfish Immunol. 2019, 86, 287–300. [Google Scholar] [CrossRef] [PubMed]
  29. Kent, M.; Sawyer, T.; Hedrick, R. Paramoeba pemaquidensis (Sarcomastigophora: Paramoebidae) infestation of the gills of coho salmon Oncorhynchus kisutch reared in sea water. Dis. Aquat. Org. 1988, 5, 163–169. [Google Scholar] [CrossRef]
  30. Rodger, H.D.; McArdle, J.F. An outbreak of amoebic gill disease in Ireland. Vet. Rec. 1996, 139, 348–349. [Google Scholar] [CrossRef] [PubMed]
  31. Steinum, T.; Kvellestad, A.; Rønneberg, L.B.; Nilsen, H.; Asheim, A.; Fjell, K.; Nygård, S.M.R.; Olsen, A.B.; Dale, O.B. First cases of amoebic gill disease (AGD) in Norwegian seawater farmed Atlantic salmon, Salmo salar L., and phylogeny of the causative amoeba using 18S cDNA sequences. J. Fish Dis. 2008, 31, 205–214. [Google Scholar] [CrossRef] [PubMed]
  32. Adams, M.B.; Crosbie, P.B.B.; Nowak, B.F. Preliminary success using hydrogen peroxide to treat Atlantic salmon, Salmo salar L., affected with experimentally induced amoebic gill disease (AGD). J. Fish Dis. 2012, 35, 839–848. [Google Scholar] [CrossRef] [PubMed]
  33. Oldham, T.; Rodger, H.; Nowak, B. Incidence and distribution of amoebic gill disease (AGD)—An epidemiological review. Aquaculture 2016, 457, 35–42. [Google Scholar] [CrossRef]
  34. Clark, A.; Nowak, B.F. Field investigations of amebic gill disease in Atlantic salmon, Salmo salar L., in Tasmania. J. Fish Dis. 1990, 22, 433–443. [Google Scholar] [CrossRef]
  35. Young, N.D.; Crosbie, P.B.B.; Adams, M.B.; Nowak, B.F.; Morrison, R.N. Neoparamoeba perurans n. sp., an agent of amoebic gill disease of Atlantic salmon (Salmo salar). Int. J. Parasitol. 2007, 37, 1469–1481. [Google Scholar] [CrossRef]
  36. Crosbie, P.B.B.; Bridle, A.R.; Cadoret, K.; Nowak, B.F. In vitro cultured Neoparamoeba perurans causes amoebic gill disease in Atlantic salmon and fulfils Koch’s postulates. Int. J. Parasitol. 2012, 42, 511–515. [Google Scholar] [CrossRef]
  37. Wynne, J.W.; O’Sullivan, M.G.; Stone, G.; Cook, M.T.; Nowak, B.F.; Lovell, D.R.; Taylor, R.S.; Elliott, N.G. Resistance to amoebic gill disease (AGD) is characterised by the transcriptional dysregulation of immune and cell cycle pathways. Dev. Comp. Immunol. 2008, 32, 1539–1560. [Google Scholar] [CrossRef] [PubMed]
  38. MacPhail, D.; Koppenstein, R.; Longshaw, M.; Henriquez, F. The bacterial microbiome of in vitro cultures of Paramoeba perurans. Access Microbiol. 2019, 1, 686. [Google Scholar] [CrossRef]
  39. Munday, B.L.; Zilberg, D.; Findlay, V. Gill disease of marine fish caused by infection with Neoparamoeba pemaquidensis. J. Fish Dis. 2001, 24, 497–507. [Google Scholar] [CrossRef]
  40. Botwright, N.A.; Mohamed, A.R.; Slinger, J.; Lima, P.C.; Wynne, J.W. Host-parasite interaction of Atlantic salmon (Salmo salar) and the ectoparasite Neoparamoeba perurans in amoebic gill disease. Front. Immunol. 2021, 12, 672700–672724. [Google Scholar] [CrossRef] [PubMed]
  41. White, T.J.; Bruns, T.; Lee, S.; Taylor, J.W. Amplification and direct sequencing of fungal ribosomal RNA genes for phylogenetics. PCR Protoc. 1990, 18, 315–322. [Google Scholar] [CrossRef]
  42. Young, N.D.; Dyková, I.; Nowak, B.F.; Morrison, R.N. Development of a diagnostic PCR to detect Neoparamoeba perurans, agent of amoebic gill disease. J. Fish Dis. 2008, 31, 285–295. [Google Scholar] [CrossRef] [PubMed]
  43. Tamura, K.; Stecher, G.; Kumar, S. MEGA 11: Molecular evolutionary genetics analysis version 11. Mol. Biol. Evol. 2021, 38, 3022–3027. [Google Scholar] [CrossRef] [PubMed]
  44. Lone, S.A.; Manohar, S. Saprolegnia parasitica, a lethal oomycete pathogen: Demands to be controlled. J. Infect. Mol. Biol. 2018, 6, 36–44. [Google Scholar] [CrossRef]
  45. Fuller, M.S.; Jaworski, A. Zoosporic fungi in teaching and research. Micologia 1987, 79, 920. [Google Scholar]
  46. Pickering, A.D.; Willoughby, L.G. Saprolegnia infections of salmonid fish. Freshw. Biol. 1982, 1, 271–297. Available online: http://hdl.handle.net/1834/22709 (accessed on 15 April 2024).
  47. Bruno, D.W.; Noguera, P.A.; Poppe, T.T. Viral disease. In A Color Atlas of Salmonid Diseases; Springer Science & Business Media: Dordrecht, The Netherlands, 2013; Volume 1, pp. 53–72. [Google Scholar] [CrossRef]
  48. Shin, S.Y.; Kulatunga, D.C.M.; Dananjaya, S.H.S.; Nikapitiya, C.; Lee, J.; De Zoysa, M. Saprolegnia parasitica isolated from rainbow trout in Korea: Characterization, anti-Saprolegnia activity and host pathogen interaction in zebrafish disease model. Mycobiology 2017, 45, 297–311. [Google Scholar] [CrossRef] [PubMed]
  49. Hatai, K.; Hoshiai, G. Mass mortality in cultured coho salmon (Oncorhynchus Kisutch) due to Saprolegnia parasitica coker. J. Wildl. Dis. 1992, 40, 532–536. [Google Scholar] [CrossRef] [PubMed]
  50. Kim, H.J.; Park, J.S.; Kim, S.Y.; Koo, J.G.; Bang, I.C.; Kwon, S.R. Identification of water mold from wild brook lamprey, Lethenterone reissneri. J. Fish Pathol. 2013, 26, 39–44. [Google Scholar] [CrossRef]
  51. Wang, G.; Wang, M.; Li, C.; Jing, W.; Li, E. Isolation and identification of Saprolegnia parasitica from grass carp and screening of sensitive drugs. J. Biotech. Res. 2019, 10, 230–238. [Google Scholar]
  52. Andersson, M.G.; Cerenius, L. Pumilio homologue from Saprolegnia parasitica specifically expressed in undifferentiated spore cysts. Eukaryotic. Cell 2002, 1, 105–111. [Google Scholar] [CrossRef][Green Version]
  53. Robertson, E.J.; Anderson, V.L.; Secombers, C.J.; Diéguez-Uribeondo, J.; van West, P. Saprolegnia: Fish interactions. In Oomycete Genetics and Genomics, Diversity, Interactions and Research Tools; Wiley-Blackwell: Hoboken, NJ, USA, 2009; Volume 20, pp. 407–424. [Google Scholar] [CrossRef]
  54. Bly, J.E.; Lawson, L.A.; Dale, D.J.; Szalai, A.J.; Durborow, R.M.; Clem, L.W. Winter Saprolegniosis in channel catfish. Dis. Aquat. Organ. 1992, 13, 155–164. [Google Scholar] [CrossRef]
  55. Seymour, R.L. The genus Saprolegnia. Nova Hedwig. 1970, 19, 1–124. [Google Scholar]
  56. Willoughby, L.G. Fungi and Fish Diseases; Pisces Press: Stirling, Scotland, 1994; pp. 1–55. [Google Scholar]
  57. Hatai, K.; Hoshiai, G. Pathogenicity of Saprolegnia parasitic a Coker. In Salmon Saprolegniasis; Mueller, G.J., Ed.; U.S. Department of Energy, Bonnevile Power Administration: Portland, OR, USA, 1994; pp. 87–98. [Google Scholar]
  58. Cerenius, L.; Soderhall, K. Chemotaxis in Aphanomyces astaci, an arthropod-parasitic fungus. J. Invert. Pathol. 1984, 43, 278–281. [Google Scholar] [CrossRef]
  59. Cerenius, L.; Soderhall, K. Repeated zoospore emergence from isolated spore cysts of Aphanomyces astaci. Exp. Mycol. 1984, 8, 370–377. [Google Scholar] [CrossRef]
  60. Diéguez-Uribeondo, J.; Cerenius, L.; Soderhall, K. Repeated zoospore emergence in Saprolegnia parasitica. Mycol. Res. 1994, 98, 810–815. [Google Scholar] [CrossRef]
  61. Diéguez-Uribeondo, J.; Fregeneda-Grandes, J.M.; Cerenius, L.; Pérez-Iniesta, E.; Aller-Gancedo, J.M.; Tellería, M.T.; Söderhäll, K.; Martín, M.P. Re-evaluation of the enigmatic species complex Saprolegnia diclina-Saprolegnia parasitica based on morphological, physiological and molecular data. Fungal Genet. Biol. 2007, 44, 585–601. [Google Scholar] [CrossRef] [PubMed]
  62. Bruno, D.W.; Wood, B.P. Saprolegnia and other Oomycetes. In Fish Diseases and Disorders: Viral, Bacterial and Fungal Infections; CABI Publishing: Wallingford, UK, 1999; pp. 559–659. [Google Scholar]
  63. El Gamal, S.A.; Adawy, R.S.; Zaki, V.H.; Zahran, E. Host-pathogen interaction unveiled by immune, oxidative stress, and cytokine expression analysis to experimental Saprolegnia parasitica infection in Nile tilapia. Sci. Rep. 2023, 13, 9888. [Google Scholar] [CrossRef]
  64. Jiang, R.H.Y.; de Bruijn, I.; Hass, B.J.; Belmonte, R.; Löbach, L.; Christie, J.; van den Ackerveken, G.; Bottin, A.; Bulone, V.; Díaz-Moreno, S.M.; et al. Distinctive expansion of potential virulence genes in the genome of the oomycete fish pathogen Saprolegnia parasitica. PLoS Genet. 2013, 9, e1003272. [Google Scholar] [CrossRef] [PubMed]
  65. Wawra, S.; Belmonte, R.; Löbach, L.; Saraiva, M.; Willems, A.; van West, P. Secretion, delivery and function of oomycete effector proteins. Curr. Opin. Microbiol. 2012, 15, 685–691. [Google Scholar] [CrossRef] [PubMed]
  66. Adams, M.B.; Nowak, B.F. Amoebic gill disease: Sequential pathology in cultured Atlantic salmon, Salmo salar. J. Fish Dis. 2003, 26, 601–614. [Google Scholar] [CrossRef] [PubMed]
  67. Dyková, I.; Nowak, B.F.; Crosbie, P.B.B.; Fiala, I.; Pecková, H.; Adams, M.B.; Machackova, B.; Dvořáková, H. Neoparamoeba branchiphila n. sp., and related species of the genus Neoparamoeba Page, 1987: Morphological and molecular characterization of selected strains. J. Fish Dis. 2005, 28, 49–64. [Google Scholar] [CrossRef]
  68. Dyková, I.; Fiala, I.; Lom, J.; Lukeš, J. Perkinsiella amoebae-like endosymbionts of Neoparamoeba spp., relatives of the kinetoplastid Ichthyobodo. Eur. J. Protistol. 2003, 39, 37–52. [Google Scholar] [CrossRef]
  69. Roubal, F.R.; Lester, R.J.G.; Foster, C.K. Studies on cultured and gill-attached Paramoeba sp. (Gymnamoebae, Paramoebidae) and the cytopathology of paramebic gill disease in Atlantic salmon, Salmo salar L., from Tasmania. J. Fish Dis. 1989, 12, 481–492. [Google Scholar] [CrossRef]
  70. Munday, B.L.; Foster, C.; Roubal, F.R.; Lester, R.J.G. Paramoebic gill infection and associated pathology of Atlantic salmon, Salmo salar, and rainbow trout, Salmo gairdneri, in Tasmania. In Pathology in Marine Science; Academic Press Inc.: San Diego, CA, USA, 1990; pp. 215–222. [Google Scholar]
  71. Dyková, I.; Figueras, A.; Novoa, B. Amoebic gill infection of turbot, Scophthalmus maximus. Folia Parasitol. 1995, 42, 91–96. Available online: http://hdl.handle.net/10261/25144 (accessed on 15 April 2024).
  72. Dyková, I.; Novoa, B. Comments on diagnosis of amoebic gill disease (AGD) in turbot, Scophthalmus maximus. Bull. Eur. Assoc. Fish Pathol. 2001, 21, 40–44. Available online: http://hdl.handle.net/10261/25362 (accessed on 15 April 2024).
  73. English, C.J.; Botwright, N.A.; Adams, M.B.; Barnes, A.C.; Wynne, J.W.; Lima, P.C.; Cook, M.T. Immersion challenge of naïve Atlantic salmon with cultured Nolandella sp. and Pseudoparamoeba sp. did not increase the severity of Neoparamoeba perurans-induced amoebic gill disease (AGD). J. Fish Dis. 2020, 44, 149–160. [Google Scholar] [CrossRef] [PubMed]
  74. Marcos-López, M.; Rodger, H.D. Amoebic gill disease and host response in Atlantic salmon (Salmo salar L.): A review. Parasite Immunol. 2020, 42, e12766. [Google Scholar] [CrossRef] [PubMed]
  75. Morrison, R.N.; Cooper, G.A.; Koop, B.F.; Rise, M.L.; Bridle, A.R.; Adams, M.B.; Nowak, B.F. Transcriptome profiling the gills of amoebic gill disease (AGD)-affected Atlantic salmon (Salmo salar L.): A role for tumor suppressor p53 in AGD pathogenesis. Physiol. Genom. 2006, 26, 15–34. [Google Scholar] [CrossRef] [PubMed][Green Version]
Disclaimer/Publisher’s Note: The statements, opinions and data contained in all publications are solely those of the individual author(s) and contributor(s) and not of MDPI and/or the editor(s). MDPI and/or the editor(s) disclaim responsibility for any injury to people or property resulting from any ideas, methods, instructions or products referred to in the content.

Article Metrics

Citations

Article Access Statistics

Multiple requests from the same IP address are counted as one view.