Detection of Microorganisms Causing Human Respiratory Infection Using One-Tube Multiplex PCR
Abstract
1. Introduction
2. Materials and Methods
2.1. Saliva and Nasopharyngeal Swab Human Samples Collection
2.2. Targets and Primer Design
2.3. Plasmid Engineering to Validate Oligonucleotides
2.4. One-Tube PCR Multiplex
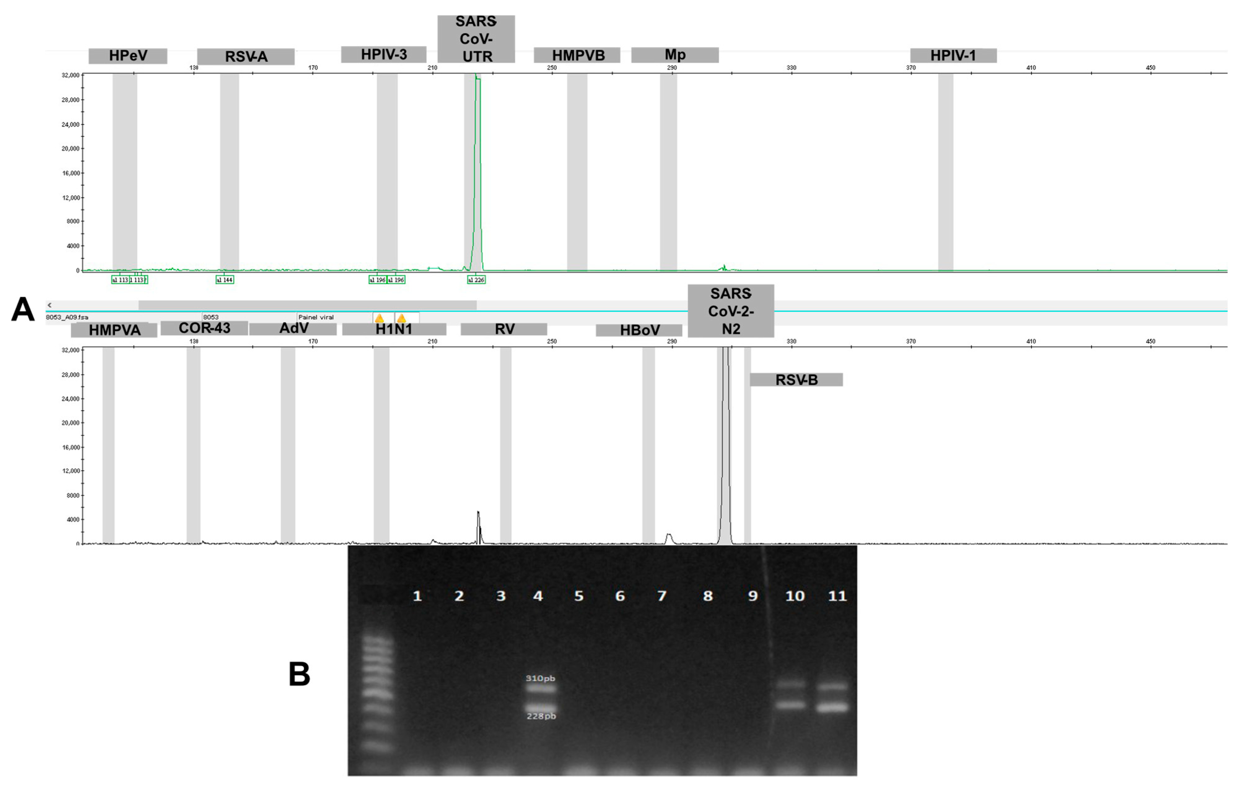
3. Results
3.1. Design of Fluorescently Labeled Oligonucleotides
- Fluorophore FAM: enterovirus (EV), influenza A virus (IAV), human parainfluenza virus 4 (HPIV-4), HCoV-Nl63 (Cor-63), parainfluenza virus 2 (HPIV-2), influenza virus B (IVB), HCoV-229e (Cor-229), HCoV Hku1 (HKU).
- Fluorophore VIC: human parechovirus (HPeV), respiratory syncytial virus A (RSV-A), human parainfluenza virus 3 (HPIV-3), human metapneumovirus B (HMPV-B), Mycoplasma pneumoniae (Mpneu), human parainfluenza virus 1 (HPIV-1).
- Fluorophore NED: human metapneumovirus A (HMPVA), HCoV-OC43 (Cor-43), adenovirus (AdV), influenza A virus (H1N1), human rhinovirus (RV), human bocavirus (HBoV), SARS-CoV-2 (SARS-CoV-2N2), respiratory syncytial virus B (RSV-B).
3.2. Validation of Oligonucleotides with Engineered Plasmid
3.3. Multiplex PCR One Tube with 44 Oligos
4. Discussion
5. Conclusions
6. Patents
Author Contributions
Funding
Institutional Review Board Statement
Informed Consent Statement
Data Availability Statement
Acknowledgments
Conflicts of Interest
References
- Caldwell, J.M.; Espinosa, C.M.; Banerjee, R.; Domachowske, J.B. Rapid diagnosis of acute pediatric respiratory infections with Point-of-Care and multiplex molecular testing. Infection 2025, 53 (Suppl. 1), 1–14. [Google Scholar] [CrossRef] [PubMed]
- Leung, N.H.L. Transmissibility, and transmission of respiratory viruses. Nat. Rev. Microbiol. 2021, 19, 528–545. [Google Scholar] [CrossRef] [PubMed]
- Shu, B.; Kirby, M.K.; Davis, W.G.; Warnes, C.; Liddell, J.; Liu, J.; Wu, K.; Hassel, N.; Benitez, A.J.; Wilson, M.M.; et al. Multiplex Real-Time Reverse Transcription PCR for Influenza A Virus, Influenza B Virus, and Severe Acute Respiratory Syndrome Coronavirus 2. Emerg. Infect. Dis. 2021, 27, 1821–1830. [Google Scholar] [CrossRef] [PubMed]
- Madeira, F.; Madhusoodanan, N.; Lee, J.; Eusebi, A.; Niewielska, A.; Tivey, A.R.N.; Lopez, R.; Butcher, S. The EMBL-EBI Job Dispatcher sequence analysis tools framework in 2024. Nucleic Acids Res. 2024, 52, W521–W525. [Google Scholar] [CrossRef] [PubMed]
- Li, J.; Song, C.; Wang, T.; Ye, Y.; Du, J.; Li, S.; Zhu, J. Etiological and epidemiological characteristics of severe acute respiratory infection caused by multiple viruses and Mycoplasma pneumoniae in adult patients in Jinshan, Shanghai: A pilot hospital-based surveillance study. PLoS ONE 2021, 16, e0248750. [Google Scholar] [CrossRef] [PubMed]
- Hodinka, R.L. Respiratory RNA Viruses. Microbiol. Spectr. 2016, 4, 233–271. [Google Scholar] [CrossRef] [PubMed]
- Cecchini, A.; Othman, A.; Kaur, K.; Richardson, A.; Cecchini, A. Enterovirus-Human-Rhinovirus Infection Leading to Acute Respiratory Distress Syndrome: A Case Report. Cureus 2022, 14, e31615. [Google Scholar] [CrossRef] [PubMed]
- Woo, P.C.; Chiu, S.S.; Seto, W.H.; Peiris, M. Cost-effectiveness of rapid diagnosis of viral respiratory tract infections in pediatric patients. J. Clin. Microbiol. 1997, 35, 1579–1581. [Google Scholar] [CrossRef] [PubMed]
- Krammer, F.; Smith, G.J.D.; Fouchier, R.A.M.; Peiris, M.; Kedzierska, K.; Doherty, P.C.; Shaw, M.L.; Webster, R.G.; García-Satre, A. Influenza. Nat. Rev. Dis. Primers 2018, 4, 3. [Google Scholar] [CrossRef] [PubMed]
- He, F.; Deng, Y.; Li, W. Coronavirus disease 2019: What we know? J. Med. Virol. 2020, 92, 719–725. [Google Scholar] [CrossRef] [PubMed]
- Chen, Z.-M.; Fu, J.-F.; Shu, Q.; Chen, Y.-H.; Hua, C.-Z.; Li, F.-B.; Lin, R.; Tang, L.-F.; Wang, T.-L.; Wang, W.; et al. Diagnosis and treatment recommendations for pediatric respiratory infection caused by the 2019 novel coronavirus. World J. Pediatr. 2020, 16, 240–246. [Google Scholar] [CrossRef] [PubMed]
- Bordi, L.; Nicastri, E.; Scorzolini, L.; Caro, A.D.; Capobianchi, M.R.; Castilletti, C.; Lalle, E. Differential diagnosis of illness in patients under investigation for the novel coronavirus (SARS-CoV-2), Italy, February 2020. Eurosurveillance 2020, 25, 2000170. [Google Scholar] [CrossRef] [PubMed]
- Wan, Z.; Zhang, Y.; He, Z.; Liu, J.; Lan, K.; Hu, Y.; Zhang, C. A Melting Curve-Based Multiplex RT-qPCR Assay for Simultaneous Detection of Four Human Coronaviruses. Int. J. Mol. Sci. 2016, 17, 1880. [Google Scholar] [CrossRef] [PubMed]
- Coiras, M.T.; Aguilar, M.L.; García, M.L.; Casas, I.; Pérez-Breña, P. Simultaneous detection of fourteen respiratory viruses in clinical specimens by two multiplex reverse transcription nested-PCR assays. J. Med. Virol. 2004, 72, 484–495. [Google Scholar] [CrossRef] [PubMed]
- Diao, Z.; Han, D.; Zhang, R.; Li, J. Metagenomics next-generation sequencing tests take the stage in the diagnosis of lower respiratory tract infections. J. Adv. Res. 2022, 38, 201–212. [Google Scholar] [CrossRef] [PubMed]
- Kayama, K.; Kanno, M.; Chisaki, N.; Tanaka, M.; Yao, R.; Hanazono, K.; Camer, G.A.; Endoh, D. Prediction of PCR amplification from primer and template sequences using recurrent neural network. Sci. Rep. 2021, 11, 7493. [Google Scholar] [CrossRef] [PubMed]
- Liu, D.X.; Liang, J.Q.; Fung, T.S. Human Coronavirus-229E, -OC43, -NL63, and -HKU1 (Coronaviridae). Encycl. Virol. 2021, 428–440. [Google Scholar] [CrossRef]
- Noh, J.Y.; Yoon, S.-W.; Kim, D.-J.; Lee, M.-S.; Kim, J.-H.; Na, W.; Song, D.; Jeong, D.G.; Kim, H.K. Simultaneous detection of severe acute respiratory syndrome, Middle East respiratory syndrome, and related bat coronaviruses by real-time reverse transcription PCR. Arch. Virol. 2017, 162, 1617–1623. [Google Scholar] [CrossRef] [PubMed]
- Li, W.; Wang, X.; Cui, W.; Yuan, L.; Hu, X. Clinical Evaluation of a Multiplex PCR Assay for Simultaneous Detection of 18 Respiratory Pathogens in Patients with Acute Respiratory Infections. Pathogens 2022, 12, 21. [Google Scholar] [CrossRef] [PubMed]
- Lin, Z.; Sun, B.; Yang, X.; Jiang, Y.; Wu, S.; Lv, B.; Pan, Y.; Zhang, Q.; Wang, X.; Xiang, G.; et al. Infectious Disease Diagnosis and Pathogen Identification Platform Based on Multiplex Recombinase Polymerase Amplification-Assisted CRISPR-Cas12a System. ACS Infect. Dis. 2023, 9, 2306–2315. [Google Scholar] [CrossRef] [PubMed]




| Target | Amplicon (pb) | Sequence Foward/Reverse, and Associated Fluorophores | GenBank Identification |
|---|---|---|---|
| enterovirus (EV) | 166 | CCCTGAATGCGGCTAATCC Fam-CACGGACACCCAAAGTAGTCG | HQ456309.1 |
| influenza A virus (IAV) | 127 | Fam-TGAAGTTGGCAACAGGAATGC TGATGCCTGAARCCRTACC | MK902667.1 |
| human parainfluenza virus 4 (HPIV-4) | 156 | Fam-CCTGGRGTCCCATCMAAAGTAAGT GGTTCCAGAYAAWATGGGTCTTGC | MN369047.1 |
| HCoV-NL63 (Cor-63) | 191 | TGTTAATACACGCAATGCCACTG Fam-CATGCTTAGAGCCCAACACCA | AY567487.2 |
| human parainfluenza virus 2 (HPIV-2) | 218 | Fam-TGGGACGCCTAAATATGGACC AGATTGGAAATGCYGCAGC | AF533012.1 |
| influenza B virus (IVB) | 249 | Fam-TCGCTGTTTGGAGACACAATTG TGACAGGGGCTCTGTGATGA | CY173994.1 |
| HCoV-229E (Cor-229) | 283 | TGACACYTGGGCWAAYTGGG Fam-ACCTGAAGCCAATCTATGTCCG | KU291448.1 |
| HCoV-HKU1 (HKU) | 334 | Fam-CTTCTTGGGCTGACCAATCTG GATGCATTGGCATATGGGC | NC_006577.2 |
| human parechovirus (HPeV) | 116 | AGCCAAGGTTTARCAGACCCTTTA Vic-CATCCTTCGTGGGCCTTACA | JX575746.1 |
| respiratory syncytial virus A (RSV-A) | 148 | GCAAATCAATGTCACTAACACCATTAG Vic-GGTCTCATGTCTGTGATCATCAGTC | MT421273.1 |
| human parainfluenza virus 3 (HPIV-3) | 200 | Vic-TCAGCCGGTGGAGCTATCAT AGCTCTGGATTGGCATAAGCC | NC_001796.2 |
| human metapneumovirus B (HMPV-B) | 264 | Vic-AAGCAGCGAACAGACAACCTG ATTCCTTAAATAATGGTGGCGC | KU320966.1 |
| mycoplasma pneumoniae (Mpneu) | 292 | Vic-GACACTTCACAAGTACCACCACG CGTAACGCAAAGGTGGTTGAT | NC_000912.1 |
| human parainfluenza virus 1 (HPIV-1) | 387 | Vic-AGGGTTAAAGACAATCCAGCCA GGATCCCGCTTTGTACTGAACT | U70948.1 |
| human metapneumovírus A (HMPVA) | 107 | AGCAGCACAGGAGAAAGACCA Ned-CTTGCAGATGCCTGTGGGT | MK357775.1 |
| HCoV-OC43 (Cor-43) | 137 | Ned-CTATCTGGGAACAGGACCGC TAGCCTCATCGCTACTTGGGTC | KU131570.1 |
| adenovirus (AdV) | 166 | CCTTGCTACCAAAGACCGCT Ned-CCCAGTCAGCAACTTCATGGT | MT505272.1 |
| influenza B virus (H1N1) | 199 | Ned-ACAACCGCAAATGCAGACAC GGATCCAGCCAGCAATGTTAC | MT505272.1 |
| human rhinovirus (RV) | 239 | Ned-TCATCAGCTGGTCAATCACTGTC ACGTCACTAGCATCAGTATCTTCCA | KY093627.1 |
| human bocavirus (HBoV) | 286 | Ned-CATAAACACGCCCAGGAAGTG CGTTCAGTCCCAGGAGCAAG | MG195156.1 |
| SARS-CoV-2N2 (SARS-CoV-2N2) | 310 | CTGATTACAAACATTGGCCGC Ned-TCTGCAGCAGGAAGAAGAGTCAC | MT396241.1 |
| respiratory syncytial virus B (RSV-B) | 317 | CCGCCAATCCAATACATACATTG Ned-TGTGATGCCATGACTCTGTGAG | MH327947.1 |
| FAM | VIC | NED |
|---|---|---|
| EV | HPeV | HMPVA |
| IAV | RSV-A | Cor-43 |
| HPIV-4 | HPIV-3 | AdV |
| Cor-63 | SARS-CoV-2 UTR | H1N1 |
| HPIV-2 | HMPV-B | RV |
| IVB | Mpneu | HBoV |
| Cor-229 | HPIV-1 | SARS-CoV-2N2 |
| HKU | RSV-B |
Disclaimer/Publisher’s Note: The statements, opinions and data contained in all publications are solely those of the individual author(s) and contributor(s) and not of MDPI and/or the editor(s). MDPI and/or the editor(s) disclaim responsibility for any injury to people or property resulting from any ideas, methods, instructions or products referred to in the content. |
© 2025 by the authors. Licensee MDPI, Basel, Switzerland. This article is an open access article distributed under the terms and conditions of the Creative Commons Attribution (CC BY) license (https://creativecommons.org/licenses/by/4.0/).
Share and Cite
Lima, I.L.; Neves, A.F.; Oliveira-Júnior, R.J.; Honório, L.C.M.G.; Arruda, V.O.; São Julião, J.A.; Goulart Filho, L.R.; Alonso-Goulart, V. Detection of Microorganisms Causing Human Respiratory Infection Using One-Tube Multiplex PCR. Infect. Dis. Rep. 2025, 17, 93. https://doi.org/10.3390/idr17040093
Lima IL, Neves AF, Oliveira-Júnior RJ, Honório LCMG, Arruda VO, São Julião JA, Goulart Filho LR, Alonso-Goulart V. Detection of Microorganisms Causing Human Respiratory Infection Using One-Tube Multiplex PCR. Infectious Disease Reports. 2025; 17(4):93. https://doi.org/10.3390/idr17040093
Chicago/Turabian StyleLima, Isabela L., Adriana F. Neves, Robson J. Oliveira-Júnior, Lorrayne C. M. G. Honório, Vitória O. Arruda, Juliana A. São Julião, Luiz Ricardo Goulart Filho, and Vivian Alonso-Goulart. 2025. "Detection of Microorganisms Causing Human Respiratory Infection Using One-Tube Multiplex PCR" Infectious Disease Reports 17, no. 4: 93. https://doi.org/10.3390/idr17040093
APA StyleLima, I. L., Neves, A. F., Oliveira-Júnior, R. J., Honório, L. C. M. G., Arruda, V. O., São Julião, J. A., Goulart Filho, L. R., & Alonso-Goulart, V. (2025). Detection of Microorganisms Causing Human Respiratory Infection Using One-Tube Multiplex PCR. Infectious Disease Reports, 17(4), 93. https://doi.org/10.3390/idr17040093

