Role of Endoscopic Ultrasound in Pancreatic Metastases: A Comprehensive Review
Abstract
1. Introduction
2. Literature Search
3. Role of Endoscopic Ultrasound in Pancreatic Metastases
3.1. Population Characteristics
3.2. Primary Tumors
3.3. Size, Localization, and Focality
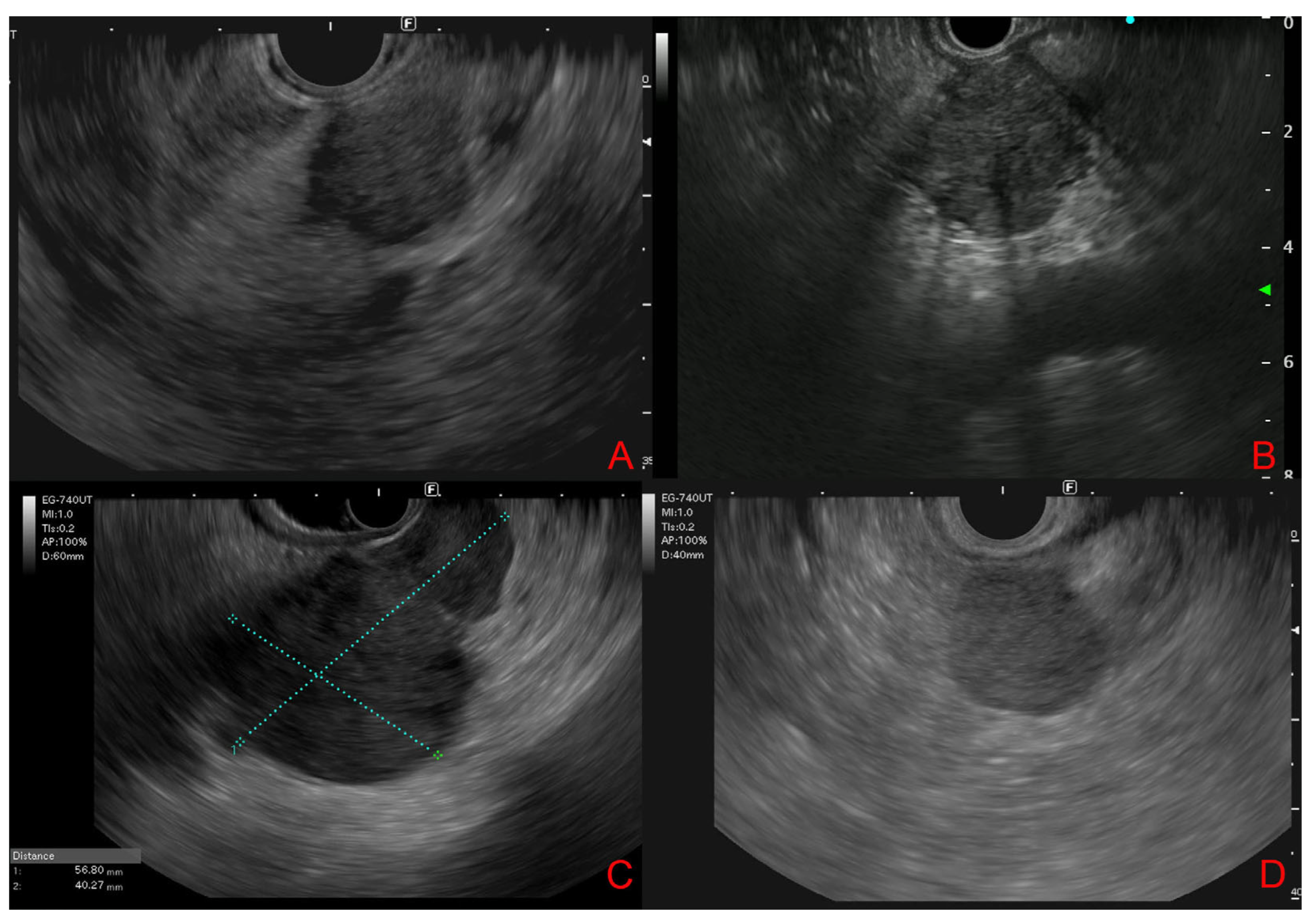
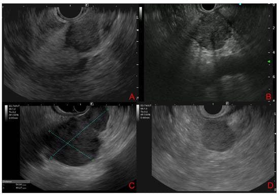
3.4. Endoscopic Ultrasound Morphological Features
3.5. Contrast-Enhanced Endoscopic Ultrasound Features
3.6. Diagnostic Yield and Final Diagnostic Method
3.7. Treatment and Outcomes
4. Discussion and Conclusions
Author Contributions
Funding
Institutional Review Board Statement
Informed Consent Statement
Data Availability Statement
Conflicts of Interest
Abbreviations
| PM | Metastases to the pancreas |
| EUS | Endoscopic ultrasound |
| PDAC | Primary pancreatic ductal adenocarcinoma |
| EUS-TA | EUS-guided tissue acquisition |
| FNA | Fine-needle aspiration |
| FNB | Fine-needle biopsy |
| CE-EUS | Contrast-enhanced EUS |
| MeSH | Medical subject headings |
| RCC | Renal cell carcinoma |
| MHZ | Marginal hypoechoic zone |
| IHC | Immunohistochemistry |
| MPD | Main pancreatic duct |
| AIP | Autoimmune pancreatitis |
| CP | Chronic pancreatitis |
| AI | Artificial intelligence |
| CNN | Convolutional neural network |
References
- Adsay, N.V.; Andea, A.; Basturk, O.; Kilinc, N.; Nassar, H.; Cheng, J.D. Secondary Tumors of the Pancreas: An Analysis of a Surgical and Autopsy Database and Review of the Literature. Virchows Arch. 2004, 444, 527–535. [Google Scholar] [CrossRef]
- Nakamura, E.; Shimizu, M.; Itoh, T.; Manabe, T. Secondary Tumors of the Pancreas: Clinicopathological Study of 103 Autopsy Cases of Japanese Patients. Pathol. Int. 2001, 51, 686–690. [Google Scholar] [CrossRef]
- David, O.; Green, L.; Reddy, V.; Kluskens, L.; Bitterman, P.; Attal, H.; Prinz, R.; Gattuso, P. Pancreatic Masses: A Multi-Institutional Study of 364 Fine-Needle Aspiration Biopsies with Histopathologic Correlation. Diagn. Cytopathol. 1998, 19, 423–427. [Google Scholar] [CrossRef]
- Fritscher-Ravens, A.; Sriram, P.V.J.; Krause, C.; Atay, Z.; Jaeckle, S.; Thonke, F.; Brand, B.; Bohnacker, S.; Soehendra, N. Detection of Pancreatic Metastases by EUS-Guided Fine-Needle Aspiration. Gastrointest. Endosc. 2001, 53, 65–70. [Google Scholar] [CrossRef]
- Mesa, H.; Stelow, E.B.; Stanley, M.W.; Mallery, S.; Lai, R.; Bardales, R.H. Diagnosis of Nonprimary Pancreatic Neoplasms by Endoscopic Ultrasound-guided Fine-needle Aspiration. Diagn. Cytopathol. 2004, 31, 313–318. [Google Scholar] [CrossRef] [PubMed]
- Triantopoulou, C.; Kolliakou, E.; Karoumpalis, I.; Yarmenitis, S.; Dervenis, C. Metastatic Disease to the Pancreas: An Imaging Challenge. Insights Imaging 2012, 3, 165–172. [Google Scholar] [CrossRef]
- Strohm, W.D.; Phillip, J.; Hagenmüller, F.; Classen, M. Ultrasonic Tomography by Means of an Ultrasonic Fiberendoscope. Endoscopy 1980, 12, 241–244. [Google Scholar] [CrossRef] [PubMed]
- Vilmann, P.; Jacobsen, G.K.; Henriksen, F.W.; Hancke, S. Endoscopic Ultrasonography with Guided Fine Needle Aspiration Biopsy in Pancreatic Disease. Gastrointest. Endosc. 1992, 38, 172–173. [Google Scholar] [CrossRef]
- Wiersema, M.J.; Hawes, R.H.; Tao, L.C.; Wiersema, L.M.; Kopecky, K.K.; Rex, D.K.; Kumar, S.; Lehman, G.A. Endoscopic Ultrasonography as an Adjunct to Fine Needle Aspiration Cytology of the Upper and Lower Gastrointestinal Tract. Gastrointest. Endosc. 1992, 38, 35–39. [Google Scholar] [CrossRef] [PubMed]
- Palazzo, L.; Borotto, E.; Cellier, C.; Roseau, G.; Chaussade, S.; Couturier, D.; Paolaggi, J.A. Endosonographic Features of Pancreatic Metastases. Gastrointest. Endosc. 1996, 44, 433–436. [Google Scholar] [CrossRef]
- Pouw, R.E.; Barret, M.; Biermann, K.; Bisschops, R.; Czakó, L.; Gecse, K.B.; de Hertogh, G.; Hucl, T.; Iacucci, M.; Jansen, M.; et al. Endoscopic Tissue Sampling—Part 1: Upper Gastrointestinal and Hepatopancreatobiliary Tracts. European Society of Gastrointestinal Endoscopy (ESGE) Guideline. Endoscopy 2021, 53, 1174–1188. [Google Scholar] [CrossRef]
- DeWitt, J.; Jowell, P.; LeBlanc, J.; McHenry, L.; McGreevy, K.; Cramer, H.; Volmar, K.; Sherman, S.; Gress, F. EUS-Guided FNA of Pancreatic Metastases: A Multicenter Experience. Gastrointest. Endosc. 2005, 61, 689–696. [Google Scholar] [CrossRef] [PubMed]
- Smith, A.L.; Odronic, S.I.; Springer, B.S.; Reynolds, J.P. Solid Tumor Metastases to the Pancreas Diagnosed by FNA: A Single-institution Experience and Review of the Literature. Cancer Cytopathol. 2015, 123, 347–355. [Google Scholar] [CrossRef]
- Betés, M.; González Vázquez, S.; Bojórquez, A.; Lozano, M.D.; Echeveste, J.I.; García Albarrán, L.; Muñoz Navas, M.; Súbtil, J.C. Metastatic Tumors in the Pancreas: The Role of Endoscopic Ultrasound-Guided Fine-Needle Aspiration. Rev. Española De Enfermedades Dig. 2019, 111, 345–350. [Google Scholar] [CrossRef]
- Aversano, A.; Lissandrini, L.; Macor, D.; Carbone, M.; Cassarano, S.; Marino, M.; Giuffrè, M.; De Pellegrin, A.; Terrosu, G.; Berretti, D. The Role of Endoscopic Ultrasonography (EUS) in Metastatic Tumors in the Pancreas: 10 Years of Experience from a Single High-Volume Center. Diagnostics 2024, 14, 1250. [Google Scholar] [CrossRef]
- Spadaccini, M.; Conti Bellocchi, M.C.; Mangiavillano, B.; Fantin, A.; Rahal, D.; Manfrin, E.; Gavazzi, F.; Bozzarelli, S.; Crinò, S.F.; Terrin, M.; et al. Secondary Tumors of the Pancreas: A Multicenter Analysis of Clinicopathological and Endosonographic Features. J. Clin. Med. 2023, 12, 2829. [Google Scholar] [CrossRef]
- Masuda, S.; Koizumi, K.; Shionoya, K.; Jinushi, R.; Makazu, M.; Nishino, T.; Kimura, K.; Sumida, C.; Kubota, J.; Ichita, C.; et al. Comprehensive Review on Endoscopic Ultrasound-Guided Tissue Acquisition Techniques for Solid Pancreatic Tumor. World J. Gastroenterol. 2023, 29, 1863–1874. [Google Scholar] [CrossRef]
- Hewitt, M.J.; McPhail, M.J.W.; Possamai, L.; Dhar, A.; Vlavianos, P.; Monahan, K.J. EUS-Guided FNA for Diagnosis of Solid Pancreatic Neoplasms: A Meta-Analysis. Gastrointest. Endosc. 2012, 75, 319–331. [Google Scholar] [CrossRef]
- Fusaroli, P.; Napoleon, B.; Gincul, R.; Lefort, C.; Palazzo, L.; Palazzo, M.; Kitano, M.; Minaga, K.; Caletti, G.; Lisotti, A. The Clinical Impact of Ultrasound Contrast Agents in EUS: A Systematic Review According to the Levels of Evidence. Gastrointest. Endosc. 2016, 84, 587–596.e10. [Google Scholar] [CrossRef] [PubMed]
- Teodorescu, C.; Bolboaca, S.D.; Rusu, I.; Pojoga, C.; Seicean, R.; Mosteanu, O.; Sparchez, Z.; Seicean, A. Contrast Enhanced Endoscopic Ultrasound in the Diagnosis of Pancreatic Metastases. Med. Ultrason. 2022, 24, 277–283. [Google Scholar] [CrossRef] [PubMed]
- Kitano, M.; Kamata, K.; Imai, H.; Miyata, T.; Yasukawa, S.; Yanagisawa, A.; Kudo, M. Contrast-enhanced Harmonic Endoscopic Ultrasonography for Pancreatobiliary Diseases. Dig. Endosc. 2015, 27, 60–67. [Google Scholar] [CrossRef]
- Moussa, A.; Mitry, E.; Hammel, P.; Sauvanet, A.; Nassif, T.; Palazzo, L.; Malka, D.; Delchier, J.-C.; Buffet, C.; Chaussade, S.; et al. Pancreatic Metastases: A Multicentric Study of 22 Patients. Gastroenterol. Clin. Biol. 2004, 28, 872–876. [Google Scholar] [CrossRef]
- Ballarin, R. Pancreatic Metastases from Renal Cell Carcinoma: The State of the Art. World J. Gastroenterol. 2011, 17, 4747. [Google Scholar] [CrossRef]
- Reddy, S.; Edil, B.H.; Cameron, J.L.; Pawlik, T.M.; Herman, J.M.; Gilson, M.M.; Campbell, K.A.; Schulick, R.D.; Ahuja, N.; Wolfgang, C.L. Pancreatic Resection of Isolated Metastases from Nonpancreatic Primary Cancers. Ann. Surg. Oncol. 2008, 15, 3199–3206. [Google Scholar] [CrossRef] [PubMed]
- El Hajj, I.I.; LeBlanc, J.K.; Sherman, S.; Al-Haddad, M.A.; Cote, G.A.; McHenry, L.; DeWitt, J.M. Endoscopic Ultrasound–Guided Biopsy of Pancreatic Metastases. Pancreas 2013, 42, 524–530. [Google Scholar] [CrossRef]
- Waters, L.; Si, Q.; Caraway, N.; Mody, D.; Staerkel, G.; Sneige, N. Secondary Tumors of the Pancreas Diagnosed by Endoscopic Ultrasound-guided Fine-needle Aspiration: A 10-year Experience. Diagn. Cytopathol. 2014, 42, 738–743. [Google Scholar] [CrossRef] [PubMed]
- Sekulic, M.; Amin, K.; Mettler, T.; Miller, L.K.; Mallery, S.; Stewart, J. Pancreatic Involvement by Metastasizing Neoplasms as Determined by Endoscopic Ultrasound-guided Fine Needle Aspiration: A Clinicopathologic Characterization. Diagn. Cytopathol. 2017, 45, 418–425. [Google Scholar] [CrossRef] [PubMed]
- Raymond, S.L.T.; Yugawa, D.; Chang, K.H.F.; Ena, B.; Tauchi-Nishi, P.S. Metastatic Neoplasms to the Pancreas Diagnosed by Fine-needle Aspiration/Biopsy Cytology: A 15-year Retrospective Analysis. Diagn. Cytopathol. 2017, 45, 771–783. [Google Scholar] [CrossRef]
- Hou, Y.; Shen, R.; Tonkovich, D.; Li, Z. Endoscopic Ultrasound-Guided Fine-Needle Aspiration Diagnosis of Secondary Tumors Involving Pancreas: An Institution’s Experience. J. Am. Soc. Cytopathol. 2018, 7, 261–267. [Google Scholar] [CrossRef]
- Atiq, M.; Bhutani, M.S.; Ross, W.A.; Raju, G.S.; Gong, Y.; Tamm, E.P.; Javle, M.; Wang, X.; Lee, J.H. Role of Endoscopic Ultrasonography in Evaluation of Metastatic Lesions to the Pancreas. Pancreas 2013, 42, 516–523. [Google Scholar] [CrossRef]
- Hijioka, S.; Matsuo, K.; Mizuno, N.; Hara, K.; Mekky, M.A.; Vikram, B.; Hosoda, W.; Yatabe, Y.; Shimizu, Y.; Kondo, S.; et al. Role of Endoscopic Ultrasound and Endoscopic Ultrasound-Guided Fine-Needle Aspiration in Diagnosing Metastasis to the Pancreas: A Tertiary Center Experience. Pancreatology 2011, 11, 390–398. [Google Scholar] [CrossRef]
- Pan, B.; Lee, Y.; Rodriguez, T.; Lee, J.; Saif, M.W. Secondary Tumors of the Pancreas: A Case Series. Anticancer. Res. 2012, 32, 1449–1452. [Google Scholar]
- Abdallah, M.A.; Bohy, K.; Singal, A.; Xie, C.; Patel, B.; Nelson, M.E.; Bleeker, J.; Askeland, R.; Abdullah, A.; Aloreidi, K.; et al. Metastatic Tumors to the Pancreas: Balancing Clinical Impression with Cytology Findings. Ann. Hepatobiliary Pancreat. Surg. 2022, 26, 91–97. [Google Scholar] [CrossRef]
- Cui, M.; Amed, M.; Reid, M.D.; Xue, Y. Secondary Pancreatic Tumors in Endoscopic Ultrasound-Guided Fine-Needle Biopsy: Clinicopathologic Characteristics and Morphological Diagnostic Challenges. Hum. Pathol. 2025, 161, 105869. [Google Scholar] [CrossRef]
- Béchade, D.; Palazzo, L.; Fabre, M.; Algayres, J.-P. EUS-Guided FNA of Pancreatic Metastasis from Renal Cell Carcinoma. Gastrointest. Endosc. 2003, 58, 784–788. [Google Scholar] [CrossRef] [PubMed]
- Ioakim, K.J.; Sydney, G.I.; Michaelides, C.; Sepsa, A.; Psarras, K.; Tsiotos, G.G.; Salla, C.; Nikas, I.P. Evaluation of Metastases to the Pancreas with Fine Needle Aspiration: A Case Series from a Single Centre with Review of the Literature. Cytopathology 2020, 31, 96–105. [Google Scholar] [CrossRef]
- Fusaroli, P.; D’Ercole, M.C.; De Giorgio, R.; Serrani, M.; Caletti, G. Contrast Harmonic Endoscopic Ultrasonography in the Characterization of Pancreatic Metastases (with Video). Pancreas 2014, 43, 584–587. [Google Scholar] [CrossRef] [PubMed]
- Alomari, A.K.; Ustun, B.; Aslanian, H.R.; Ge, X.; Chhieng, D.; Cai, G. Endoscopic Ultrasound-Guided Fine-Needle Aspiration Diagnosis of Secondary Tumors Involving the Pancreas: An Institution’s Experience. Cytojournal 2016, 13, 1. [Google Scholar] [CrossRef]
- Ardengh, J.C.; Lopes, C.V.; Kemp, R.; Venco, F.; de Lima-Filho, E.R.; dos Santos, J.S. Accuracy of Endoscopic Ultrasound-Guided Fine-Needle Aspiration in the Suspicion of Pancreatic Metastases. BMC Gastroenterol. 2013, 13, 63. [Google Scholar] [CrossRef] [PubMed]
- Layfield, L.J.; Hirschowitz, S.L.; Adler, D.G. Metastatic Disease to the Pancreas Documented by Endoscopic Ultrasound Guided Fine-needle Aspiration: A Seven-year Experience. Diagn. Cytopathol. 2012, 40, 228–233. [Google Scholar] [CrossRef]
- Sellner, F.; Thalhammer, S.; Klimpfinger, M. Tumour Evolution and Seed and Soil Mechanism in Pancreatic Metastases of Renal Cell Carcinoma. Cancers 2021, 13, 1342. [Google Scholar] [CrossRef]
- Tacelli, M.; Zaccari, P.; Petrone, M.C.; Della Torre, E.; Lanzillotta, M.; Falconi, M.; Doglioni, C.; Capurso, G.; Arcidiacono, P.G. Differential EUS Findings in Focal Type 1 Autoimmune Pancreatitis and Pancreatic Cancer. Endosc. Ultrasound 2022, 11, 216–222. [Google Scholar] [CrossRef] [PubMed]
- Zhu, S.; Cao, X.; Nabi, G.; Zhang, F.; Liu, P.; Zhang, J.; Guo, C. Contrast-Enhanced Endoscopic Ultrasound for Differential Diagnosis of Autoimmune Pancreatitis: A Meta-Analysis. Endosc. Int. Open 2024, 12, E1134–E1142. [Google Scholar] [CrossRef]
- Conti, C.B.; Cereatti, F.; Drago, A.; Grassia, R. Focal Autoimmune Pancreatitis: A Simple Flow Chart for a Challenging Diagnosis. Ultrasound Int. Open 2020, 06, E67–E75. [Google Scholar] [CrossRef] [PubMed]
- Sperti, C.; Pozza, G.; Brazzale, A.R.; Buratin, A.; Moletta, L.; Beltrame, V.; Valmasoni, M. Metastatic Tumors to the Pancreas: A Systematic Review and Meta-Analysis. Minerva Chir. 2016, 71, 337–344. [Google Scholar]
- van Riet, P.A.; Erler, N.S.; Bruno, M.J.; Cahen, D.L. Comparison of Fine-Needle Aspiration and Fine-Needle Biopsy Devices for Endoscopic Ultrasound-Guided Sampling of Solid Lesions: A Systemic Review and Meta-Analysis. Endoscopy 2021, 53, 411–423. [Google Scholar] [CrossRef] [PubMed]
- Kandel, P.; Nassar, A.; Gomez, V.; Raimondo, M.; Woodward, T.A.; Crook, J.E.; Fares, N.S.; Wallace, M.B. Comparison of Endoscopic Ultrasound-Guided Fine-Needle Biopsy versus Fine-Needle Aspiration for Genomic Profiling and DNA Yield in Pancreatic Cancer: A Randomized Crossover Trial. Endoscopy 2021, 53, 376–382. [Google Scholar] [CrossRef]
- Otsuka, Y.; Kamata, K.; Kudo, M. Contrast-Enhanced Harmonic Endoscopic Ultrasound-Guided Puncture for the Patients with Pancreatic Masses. Diagnostics 2023, 13, 1039. [Google Scholar] [CrossRef]
- Itonaga, M.; Kitano, M.; Kojima, F.; Hatamaru, K.; Yamashita, Y.; Tamura, T.; Nuta, J.; Kawaji, Y.; Shimokawa, T.; Tanioka, K.; et al. The Usefulness of EUS-FNA with Contrast-enhanced Harmonic Imaging of Solid Pancreatic Lesions: A Prospective Study. J. Gastroenterol. Hepatol. 2020, 35, 2273–2280. [Google Scholar] [CrossRef]
- Tacelli, M.; Lauri, G.; Tabacelia, D.; Tieranu, C.G.; Arcidiacono, P.G.; Săftoiu, A. Integrating Artificial Intelligence with Endoscopic Ultrasound in the Early Detection of Bilio-Pancreatic Lesions: Current Advances and Future Prospects. Best. Pract. Res. Clin. Gastroenterol. 2025, 74, 101975. [Google Scholar] [CrossRef]
- Kuwahara, T.; Hara, K.; Mizuno, N.; Haba, S.; Okuno, N.; Kuraishi, Y.; Fumihara, D.; Yanaidani, T.; Ishikawa, S.; Yasuda, T.; et al. Artificial Intelligence Using Deep Learning Analysis of Endoscopic Ultrasonography Images for the Differential Diagnosis of Pancreatic Masses. Endoscopy 2023, 55, 140–149. [Google Scholar] [CrossRef] [PubMed]


| Reference | Study Design | Country | Study Type | Enrollment Period | Patients, n | Mean Age (Range), Years | Sex Male, % |
|---|---|---|---|---|---|---|---|
| Palazzo et al. [10] | Retrospective | France | Monocentric | 1989–1993 | 7 | 57 (38–77) | 42.9 |
| Fritscher-Ravens et al. [4] | Retrospective | Germany | Monocentric | - | 12 | 61 (34–78) | 33.3 |
| Bechade et al. [35] | Retrospective | France | Monocentric | 1999–2002 | 11 | 65.5 (56–82) | 72.7 |
| Mesa et al. [5] | Retrospective | USA | Monocentric | 2000–2002 | 11 | - | - |
| Moussa et al. [22] | Retrospective | France | Multicentric | 1990–2000 | 22 | 61 (35–76) | 45.5 |
| DeWitt et al. [12] | Retrospective | USA | Multicentric | 1998–2004 | 24 | 60 (33–83) | 62.5 |
| Layfield et al. [40] | Retrospective | USA | Multicentric | 2002–2010 | 17 | 60.9 (15–80) | 88.2 |
| Hijoka et al. [31] | Retrospective | Japan | Monocentric | 1997–2010 | 28 | 59.8 (20–72) | 46.4 |
| Pan et al. [32] | Retrospective | USA | Monocentric | 2010–2012 | 6 | 66.5 (59–73) | 83.3 |
| Ardengh et al. [39] | Retrospective | Brazil | Multicentric | 1997–2010 | 37 | 60.3 (26–84) | 70.3 |
| El Hajj et al. [25] | Retrospective | USA | Monocentric | 1998–2010 | 49 | 63 (30–83) | 46.9 |
| Atiq et al. [30] | Retrospective | USA | Monocentric | 2005–2009 | 23 | 63 (-) | 43.5 |
| Fusaroli et al. [37] | Retrospective | Italy | Monocentric | 2008–2011 | 11 | 66 (42–82) | 27.3 |
| Waters et al. [26] | Retrospective | USA | Multicentric | 2002–2012 | 66 | 63 (40–89) | 57.6 |
| Smith et al. [13] | Retrospective | USA | Monocentric | 2000–2014 | 22 | 71 (59–83) | 59.1 |
| Alomari et al. [38] | Retrospective | USA | Monocentric | 2005–2012 | 31 | 66 (49–86) | 61.3 |
| Raymond et al. [28] | Retrospective | USA | Monocentric | 2000–2014 | 16 | (43–84) | 68.8 |
| Sekulic et al. [27] | Retrospective | USA | Monocentric | 2006–2016 | 25 | 64 (53–71) | 52 |
| Hou et al. [29] | Retrospective | USA | Monocentric | 2008–2016 | 30 | 61.2 (25–82) | 60 |
| Betes et al. [14] | Retrospective | Spain | Monocentric | 2004–2016 | 44 | 58 (-) | 63.6 |
| Ioakim et al. [36] | Retrospective | Greece | Monocentric | 2013–2018 | 7 | 66.9 (56–76) | 71.4 |
| Abdallah et al. [33] | Retrospective | USA | Monocentric | 2011–2017 | 8 | 68.38 (-) | 50 |
| Teodorescu et al. [20] | Retrospective | Romania | Monocentric | 2012–2020 | 20 | 62 (56–66) | 50 |
| Spadaccini et al. [16] | Retrospective | Italy | Multicentric | 2010–2021 | 116 | 66.7 (26–86) | 59.5 |
| Aversano et al. [15] | Retrospective | Italy | Monocentric | 2013–2023 | 41 | 71.53 (30–85) | 61 |
| Cui et al. [34] | Retrospective | USA | Multicentric | 2015–2023 | 62 | 66 (42–87) | 46.8 |
| Reference | Lesions, n | Primaries (Kidney/Lung/ Colon/Breast/Other) | Mean Size (Range), mm | Location (Head-Uncinate/ Body/Tail/Multiple) | Focality (Mono-/Multifocal) | EUS Morphology | CE-EUS Pattern |
|---|---|---|---|---|---|---|---|
| Palazzo et al. [10] | 16 | 4/0/0/0/3 | 40 (15–60) | 5/0/1/1 | 6/1 |
| - |
| Fritscher-Ravens et al. [4] | 12 | 3/1/1/2/4 | 28 (18–40) | 10/2/0/0 | - |
| - |
| Bechade et al. [35] | 29 | 11/0/0/0/0 | - | 5/1/0/5 | 5/6 |
| - |
| Mesa et al. [5] | 11 | 1/4/1/2/3 | - | 6/3/1/1 | - | - | - |
| Moussa et al. [22] | 31 | 10/4/4/2/2 | - | - | 14/3 |
| - |
| DeWitt et al. [12] | 29 | 10/4/2/0/8 | 36.13 (16–70) | 15/5/3/1 | 22/2 |
| - |
| Layfield et al. [40] | 17 | 8/2/0/0/9 | - | 6/4/0/4 | - | - | - |
| Hijoka et al. [31] | 38 | 7/6/1/2/12 | 34.4 (13–90) | 9/13/3/3 | 23/5 |
| - |
| Pan et al. [32] | 6 | 2/2/1/1/0 | - | 1/3/1/1 | 5/1 | - | - |
| Ardengh et al. [39] | 37 | 5/6/4/3/17 | 42 (12–127) | 22/9/4/0/2 | 34/3 |
| - |
| El Hajj et al. [25] | 72 | 21/8/4/3/13 | 34 (4–80) | 34/8/7/0 | 38/11 |
| - |
| Atiq et al. [30] | 23 | 4/4/4/0/11 | 39.1 (16–90) | 10/8/4/1 | 18/5 |
| - |
| Fusaroli et al. [37] | 11 | 3/0/2/2/4 | 29.7 (10–50) | 2/8/0/0/1 | 11/0 |
|
|
| Waters et al. [26] | 66 | 27/9/5/6/19 | - | 30/15/17/1 | 65/1 | - | - |
| Smith et al. [13] | 22 | 14/1/2/0/5 | 37 (15–65) | - | 16/6 | - | - |
| Alomari et al. [38] | 31 | 8/7/2/2/12 | 43 (11–100) | 13/3/2/13 | 17/14 | - | - |
| Raymond et al. [28] | 16 | 3/6/2/0/5 | 42 (12–109) | 7/5/4/0 | 15/1 | - | - |
| Sekulic et al. [27] | 25 | 10/2/4/1/8 | 15 (9.5–26) | 17/11/9/7 | 18/7 |
| - |
| Hou et al. [29] | 30 | 11/5/2/2/10 | - | 12/7/8/2 | - | - | - |
| Betes et al. [14] | 44 | 12/10/5/1/16 | 28.63 (-) | 22/8/7/7 | 34/10 | - | - |
| Ioakim et al. [36] | 10 | 3/1/1/0/2 | - | 1/0/2/3 | 3/3 |
| - |
| Abdallah et al. [33] | 12 | 5/1/0/1/1 | 31.88 (-) | 3/2/2/0 | 6/2 | - | - |
| Teodorescu et al. [20] | 20 | 6/5/3/1/5 | 30 (22–36) | 12/2/6/0 | 14/6 |
|
|
| Spadaccini et al. [16] | 205 | 75/7/9/7/18 | 25.4 (-) | 137/50/49/0 | 59/57 |
| - |
| Aversano et al. [15] | 41 | 18/4/4/2/13 | 30 (-) | 17/7/5/12 | 26/15 |
| - |
| Cui et al. [34] | 62 | 11/9/2/3/37 | 34 (6–130) | 26/13/13/10 | 46/16 | - | - |
| Reference | Final Diagnosis (n) | EUS Needle Gauge | Diagnostic Performance |
|---|---|---|---|
| Palazzo et al. [10] |
Pre-EUS-FNA era
Surgery (6); CT-guided biopsy (1) | - | - |
| Fritscher-Ravens et al. [4] | EUS-FNA | 22 | Accuracy 92%; sensitivity 88%; specificity 100% |
| Bechade et al. [35] | EUS-FNA (9) | 22 | - |
| Mesa et al. [5] | - | 19 to 25 | - |
| Moussa et al. [22] |
EUS-FNA (6); CT-guided biopsy (2);
US-guided biopsy (3); duodenoscopy (3) | - | - |
| DeWitt et al. [12] | EUS-FNA | 22 | - |
| Layfield et al. [40] | EUS-FNA | - | - |
| Hijoka et al. [31] | EUS-FNA (22); surgery (12) | 22 or 25 | Sampling adequacy 95.4%; accuracy 91% |
| Pan et al. [32] | - | - | - |
| Ardengh et al. [39] | EUS-FNA (30); surgery (2) | 22 | Accuracy 89%; sensitivity 94%; specificity 60% |
| El Hajj et al. [25] | EUS-FNA (47); surgery (2) | 19 or 22 | Sensitivity 96% |
| Atiq et al. [30] | EUS-FNA (21); 1 CT-guided biopsy (1); clinical course (1) | - | Sensitivity 91% |
| Fusaroli et al. [37] | EUS-FNA or surgery | - | - |
| Waters et al. [26] | EUS-FNA | - | - |
| Smith et al. [13] | EUS-FNA | - | - |
| Alomari et al. [38] | EUS-FNA | 22 or 25 | Sensitivity 94% |
| Raymond et al. [28] | EUS-FNA (8); CT-guided biopsy (8) | 20 or 22 | - |
| Sekulic et al. [27] | EUS-FNA | 19, 22 or 25 | - |
| Hou et al. [29] | EUS-FNA | - | Accuracy 93.3% |
| Betes et al. [14] | EUS-FNA | 22 or 25 | - |
| Ioakim et al. [36] | EUS-FNA | - | - |
| Abdallah et al. [33] | EUS-FNA (7) | 22 or 25 | Detection rate 87.5% |
| Teodorescu et al. [20] | EUS-FNA | 22 | - |
| Spadaccini et al. [16] | EUS-FNB (82); EUS-FNA (12); surgery (15) | 19, 22 or 25 | Diagnostic yield 97.9% |
| Aversano et al. [15] |
EUS-FNA/B (35); surgery (2);
clinical history and appearance (3) | 22 or 25 | - |
| Cui et al. [34] | EUS-FNB | - | - |
| Primary Malignancy | Immunohistochemical Markers |
|---|---|
| Renal cell carcinoma | RCC+, PAX8+ |
| Lung Adenocarcinoma | TTF1+ |
| Colon Adenocarcinoma | CDX2+, CK20+ |
| Breast Carcinoma | GATA3+, ER+ |
| Melanoma | S100+, SOX10+ |
| Lymphoma | CD3, CD20, CD30 |
| Pancreatic Metastasis | Pancreatic Ductal Adenocarcinoma | Pancreatic Neuroendocrine Tumor | Focal Pancreatitis | |
|---|---|---|---|---|
| Location | Head-uncinate > body-tail | Head-uncinate > body-tail | Body-tail > head-uncinate | Head-uncinate > body-tail |
| Focality | Mono- > multifocal | Monofocal | Mono- > multifocal | Mono- > multifocal |
| EUS morphology |
Round shape
Well-defined borders Typically hypoechoic with homo-/heterogeneous echotexture |
Ill-defined shape
Irregular borders Hypoechoic with heterogeneous echotexture Upstream main pancreatic duct dilation |
Round shape
Well-defined borders Hypo-/isoechoic with homogeneous echotexture Hypervascular Hypoechoic rim |
Nodular shape
Irregular borders Hypoechoic with heterogeneous echotexture |
| CE-EUS pattern | Hyper-/hypoenhancing | Hypoenhancing | Hyperenhancing | Hyper-/isoenhancing |
| EUS elastography pattern | Hard | Hard | Hard | Soft |
Disclaimer/Publisher’s Note: The statements, opinions and data contained in all publications are solely those of the individual author(s) and contributor(s) and not of MDPI and/or the editor(s). MDPI and/or the editor(s) disclaim responsibility for any injury to people or property resulting from any ideas, methods, instructions or products referred to in the content. |
© 2025 by the authors. Licensee MDPI, Basel, Switzerland. This article is an open access article distributed under the terms and conditions of the Creative Commons Attribution (CC BY) license.
Share and Cite
Ricchiuti, M.; Martino, A.; Amata, M.; Zito, F.P.; Fiorentino, R.; Scimeca, D.; Campione, S.; Riccardi, F.; Molino, C.; Di Mitri, R.; et al. Role of Endoscopic Ultrasound in Pancreatic Metastases: A Comprehensive Review. Gastroenterol. Insights 2026, 17, 3. https://doi.org/10.3390/gastroent17010003
Ricchiuti M, Martino A, Amata M, Zito FP, Fiorentino R, Scimeca D, Campione S, Riccardi F, Molino C, Di Mitri R, et al. Role of Endoscopic Ultrasound in Pancreatic Metastases: A Comprehensive Review. Gastroenterology Insights. 2026; 17(1):3. https://doi.org/10.3390/gastroent17010003
Chicago/Turabian StyleRicchiuti, Mario, Alberto Martino, Michele Amata, Francesco Paolo Zito, Roberto Fiorentino, Daniela Scimeca, Severo Campione, Ferdinando Riccardi, Carlo Molino, Roberto Di Mitri, and et al. 2026. "Role of Endoscopic Ultrasound in Pancreatic Metastases: A Comprehensive Review" Gastroenterology Insights 17, no. 1: 3. https://doi.org/10.3390/gastroent17010003
APA StyleRicchiuti, M., Martino, A., Amata, M., Zito, F. P., Fiorentino, R., Scimeca, D., Campione, S., Riccardi, F., Molino, C., Di Mitri, R., Sarnelli, G., Barresi, L., & Lombardi, G. (2026). Role of Endoscopic Ultrasound in Pancreatic Metastases: A Comprehensive Review. Gastroenterology Insights, 17(1), 3. https://doi.org/10.3390/gastroent17010003

