pH-Responsive Hydrogel as a Potential Oral Delivery System of Baicalin for Prolonging Gastroprotective Activity
Abstract
1. Introduction
2. Materials and Methods
2.1. Materials
2.2. Preparation and Characterization of PASP@CaCO3 NPs
2.3. Preparation of SA/PASP@CaCO3 Hydrogels
2.4. Characterization of SA/PASP@CaCO3 In Situ Hydrogel System
2.4.1. Linear Viscoelastic Region Determination
2.4.2. Effect of pH Variation on Gelling Capacity
2.4.3. Weight Loss Assay of SA/PASP@CaCO3 Hydrogel
2.4.4. In Vitro Drug Release of Bai from Bai/SA/PASP@CaCO3 Hydrogels
2.5. Cell Culture
2.5.1. Flow Cytometry
2.5.2. Western Blot (WB) Assay
2.5.3. Measurement of SOD, CAT, MDA, and GSH Levels In Vitro
2.6. Animal Experiments
2.6.1. Ethanol-Induced Acute Gastric Injury
2.6.2. Acetic Acid-Induced Chronic Gastric Ulcer
2.7. Data Analysis
3. Results and Discussion
3.1. Preparation and Characterization of PASP@CaCO3 NPs
3.2. Preparation and Characterization of SA/PASP@CaCO3 In Situ Hydrogel System
3.2.1. Gelation Study of SA/PASP@CaCO3 Hydrogel System
3.2.2. Effect of pH Variations on Gelation
3.2.3. Weight Loss Assay of SA/PASP@CaCO3 Hydrogel
3.2.4. In Vitro Drug Release of Bai from Bai/SA/PASP@CaCO3 Hydrogels
3.3. Cell Experiments
3.3.1. The Apoptosis Assay of GES-1 Cells
3.3.2. Western Blot (WB) Assay
3.3.3. Measurement of SOD, CAT, MDA, and GSH Levels In Vitro
3.4. Animal Experiments
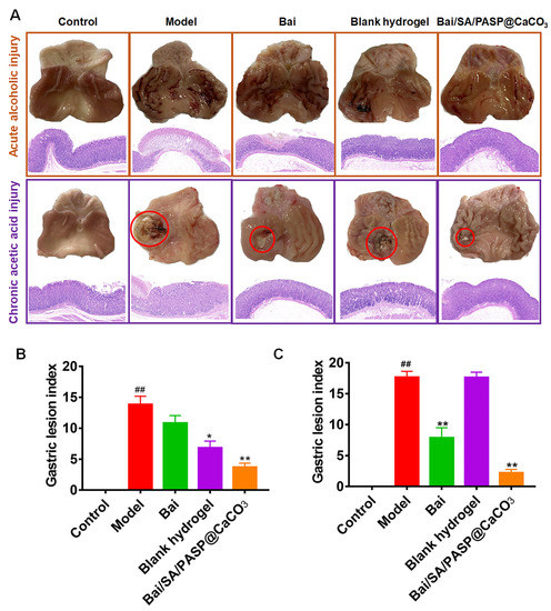
3.4.1. Effects of Bai/SA/PASP@CaCO3 Hydrogels on Gastric Mucosa Injury in Rats
3.4.2. Effects of Bai/SA/PASP@CaCO3 Hydrogels on Expressions of NRF2/HO-1 Signaling-Related Proteins
3.4.3. Effects of Bai/SA/PASP@CaCO3 Hydrogels on Antioxidant Capacity
4. Conclusions
Author Contributions
Funding
Institutional Review Board Statement
Informed Consent Statement
Data Availability Statement
Acknowledgments
Conflicts of Interest
References
- Bi, W.P.; Man, H.B.; Man, M.Q. Efficacy and safety of herbal medicines in treating gastric ulcer: A review. World J. Gastroenterol. 2014, 20, 17020–17028. [Google Scholar] [CrossRef] [PubMed]
- El-Maraghy, S.A.; Rizk, S.M.; Shahin, N.N. Gastroprotective effect of crocin in ethanol-induced gastric injury in rats. Chem. Biol. Interact. 2015, 229, 26–35. [Google Scholar] [CrossRef] [PubMed]
- Wei, B.B.; Wang, Y.; Wu, H.Z.; Liu, M.Y.; Yao, W.F.; Wei, M.J. Pharmacodynamics and pharmacokinetics of a new type of compound lansoprazole capsule in gastric ulcer rats and beagle dogs: Importance of adjusting oxidative stress and inflammation. Pharmaceutics 2019, 11, 49. [Google Scholar] [CrossRef]
- Murilo, P.C.; Matheus, C.S.; Carolina, M.T.; Ana, L.T.C.; Ana, J.V.; Ariane, L.R. Anti-inflammatory effect of vanillin protects the stomach against ulcer formation. Pharmaceutics 2022, 14, 755. [Google Scholar]
- Xie, L.; Guo, Y.L.; Chen, Y.R.; Zhang, L.Y.; Wang, Z.C.; Zhang, T.; Wang, B. A potential drug combination of omeprazole and patchouli alcohol significantly normalizes oxidative stress and inflammatory responses against gastric ulcer in ethanol-induced rat model. Int. Immunopharmacol. 2020, 85, 106660. [Google Scholar] [CrossRef]
- Gotz, J.M.; Kan, C.V.; Verspaget, H.W.; Biemond, I.; Lamers, C.B.; Veenendaal, R.A. Gastric mucosal superoxide dismutases in Helicobacter pylori infection. Gut 1996, 38, 502–506. [Google Scholar] [CrossRef]
- Yang, F.; Feng, C.; Yao, Y.X.; Qin, A.J.; Shao, H.X.; Qian, K. Antiviral effect of baicalin on Marek’s disease virus in CEF cells. BMC Vet. Res. 2020, 16, 371. [Google Scholar] [CrossRef]
- Cryer, B.; Mahaffey, K.W. Gastrointestinal ulcers, role of aspirin, and clinical outcomes: Pathobiology, diagnosis, and treatment. J. Multidiscip. Healthc. 2014, 7, 137–146. [Google Scholar] [CrossRef]
- Lu, J.; Wang, J.S.; Kong, L.Y. Anti-inflammatory effects of Huang-Lian-Jie-Du decoction, its two fractions and four typical compounds. J. Ethnopharmacol. 2011, 134, 911–918. [Google Scholar] [CrossRef]
- Hwang, J.M.; Tseng, T.H.; Tsai, Y.Y.; Lee, H.J.; Chou, F.P.; Wang, C.J.; Chu, C.Y. Protective effects of baicalein on tert-butyl hydroperoxide-induced hepatic toxicity in rat hepatocytes. J. Biomed. Sci. 2005, 12, 389–397. [Google Scholar] [CrossRef]
- Dou, J.; Chen, L.L.; Xu, G.; Zhang, L.; Zhou, H.M.; Wang, H.; Su, Z.Z.; Ke, M.Y.; Guo, Q.L.; Zhou, C.L. Effects of baicalein on Sendai virus in vivo are linked to serum baicalin and its inhibition of hemagglutinin-neuraminidase. Arch. Virol. 2011, 156, 793–801. [Google Scholar] [CrossRef] [PubMed]
- Yun, M.Y.; Yang, J.H.; Kim, D.K.; Cheong, K.J.; Song, H.H.; Kim, D.H.; Cheong, K.J.; Kim, Y.I.; Shin, S.C. Therapeutic effects of Baicalein on atopic dermatitis-like skin lesions of NC/Nga mice induced by dermatophagoides pteronyssinus. Int. Immunopharmacol. 2010, 10, 1142–1148. [Google Scholar] [CrossRef]
- Liu, J.H.; Wann, H.; Chen, M.M.; Pan, W.H.T.; Chen, Y.C.; Liu, C.M.; Yeh, M.Y.; Tsai, S.K.; Young, M.S.; Chuang, H.Y.; et al. Baicalein significantly protects human retinal pigment epithelium cells against H2O2-induced oxidative stress by scavenging reactive oxygen species and downregulating the expression of matrix metalloproteinase-9 and vascular endothelial growth factor. J. Ocul. Pharmacol. Ther. 2010, 26, 421–429. [Google Scholar] [CrossRef]
- Wang, X.; Yu, J.Y.; Sun, Y.; Wang, H.; Shan, H.; Wang, S.B. Baicalin protects LPS-induced blood–brain barrier damage and activates Nrf2-mediated antioxidant stress pathway. Int. Immunopharmacol. 2021, 96, 107725. [Google Scholar] [CrossRef] [PubMed]
- Shi, H.L.; Qiao, F.; Lu, W.T.; Huang, K.Y.; Wen, Y.Y.; Ye, L.F.; Chen, Y.Y. Baicalin improved hepatic injury of NASH by regulating NRF2/HO-1/NRLP3 pathway. Eur. J. Pharmacol. 2022, 934, 175270. [Google Scholar] [CrossRef] [PubMed]
- Wang, X.X.; Chang, X.H.; Zhan, H.B.; Zhang, Q.; Li, C.Y.; Gao, Q.; Yang, M.M.; Luo, Z.; Li, S.; Sun, Y.B. Curcumin and baicalin ameliorate ethanol-induced liver oxidative damage via the Nrf2/HO-1 pathway. J. Food Biochem. 2020, 44, e13425. [Google Scholar] [CrossRef]
- Huang, T.; Liu, Y.N.; Zhang, C.L. Pharmacokinetics and bioavailability enhancement of baicalin: A Review. Eur. J. Drug Metab. Pharmacokinet. 2019, 44, 159–168. [Google Scholar] [CrossRef]
- Haider, M.; Hassan, M.A.; Ahmed, I.S.; Shamma, R. Thermogelling platform for baicalin delivery for versatile biomedical applications. Mol. Pharm. 2018, 15, 3478–3488. [Google Scholar] [CrossRef]
- Naahidi, S.; Jafari, M.; Logan, M.; Wang, Y.J.; Yuan, Y.F.; Bae, H.; Dixon, B.; Chen, P. Biocompatibility of hydrogel-based scaffolds for tissue engineering applications. Biotechnol. Adv. 2017, 35, 530–544. [Google Scholar] [CrossRef]
- Chakraborty, A.; Roy, A.; Ravi, S.P.; Paul, A. Exploiting the role of nanoparticles for use in hydrogel-based bioprinting applications: Concept, design, and recent advances. Biomater. Sci. 2021, 9, 6337–6354. [Google Scholar] [CrossRef]
- Vázquez-González, M.; Willner, I. Stimuli-responsive biomolecule-based hydrogels and their applications. Angew. Chem.-Int. Ed. 2020, 59, 15342–15377. [Google Scholar] [CrossRef] [PubMed]
- Miyazaki, S.; Kubo, W.; Attwood, D. Oral sustained delivery of theophylline using in-situ gelation of sodium alginate. J. Control. Release 2000, 67, 275–280. [Google Scholar] [CrossRef]
- West, E.R.; Xu, M.; Woodruff, T.K.; Shea, L.D. Physical properties of alginate hydrogels and their effects on in vitro follicle development. Biomaterials 2007, 28, 4439–4448. [Google Scholar] [CrossRef]
- Xu, X.; Liu, H.; Guo, J.M.; Huo, Z.Y.; Liu, J.; Wu, Z.H.; Qi, X.L. Intragastric amorphous calcium carbonate consumption triggered generation of in situ hydrogel piece for sustained drug release. Int. J. Pharm. 2020, 590, 119880. [Google Scholar] [CrossRef] [PubMed]
- Wang, X.Y.; Wang, M.; Yin, J.Y.; Song, Y.H.; Nie, S.P.; Xie, M.Y. Gastroprotective activity of polysaccharide from the fruiting body of Hericium erinaceus against acetic acid-induced gastric ulcer in rats and structure of one bioactive fraction. Int. J. Biol. Macromol. 2022, 210, 455–464. [Google Scholar] [CrossRef] [PubMed]
- Rahman, Z.; Dwivedi, D.K.; Jena, G.B. Ethanol-induced gastric ulcer in rats and intervention of tert-butylhydroquinone: Involvement of Nrf2/HO-1 signalling pathway. Hum. Exp. Toxicol. 2020, 39, 547–562. [Google Scholar] [CrossRef] [PubMed]
- Kim, Y.S.; Nam, Y.S.; Song, J.B.; Kim, H. Gastroprotective and healing effects of polygonum cuspidatum root on experimentally induced gastric ulcers in rats. Nutrients 2020, 12, 2241. [Google Scholar] [CrossRef]
- Tolani, S.; Mugweru, A.; Craig, M. Rapid and efficient removal of heavy metal ions from aqueous media using cysteine-modified polymer nanowires. J. Appl. Polym. Sci. 2010, 116, 308–313. [Google Scholar] [CrossRef]
- Kolodynska, D.; Hubicki, Z.; Geca, M. Polyaspartic acid as a new complexing agent in removal of heavy metal ions on polystyrene anion exchangers. Ind. Eng. Chem. Res. 2008, 47, 6221–6227. [Google Scholar] [CrossRef]
- Lu, S.T.; Kong, S.Z.; Wang, Y.; Hu, Z.; Zhang, L.Y.; Liao, M.N. Gastric acid-response chitosan/alginate/tilapia collagen peptide composite hydrogel: Protection effects on alcohol-induced gastric mucosal injury. Carbohyd. Polym. 2022, 277, 118816. [Google Scholar] [CrossRef]
- Han, D.D.; Gu, X.L.; Gao, J.; Wang, Z.; Liu, G.; Barkema, H.W.; Han, B. Chlorogenic acid promotes the Nrf2/HO-1 anti-oxidative pathway by activating p21 Waf1/Cip1 to resist dexamethasone-induced apoptosis in osteoblastic cells. Free Radic. Biol. Med. 2019, 137, 1–12. [Google Scholar] [CrossRef] [PubMed]
- Luo, X.J.; Liu, B.; Dai, Z.; Li, T.B.; Li, N.S.; Zhang, X.J.; Yang, Z.C.; Li, Y.J.; Peng, J. Expression of apoptosis-associated microRNAs in ethanol-induced acute gastric mucosal injury via JNK pathway. Alcohol 2013, 47, 481–493. [Google Scholar] [CrossRef] [PubMed]
- Chen, P.P.; Shen, Y.M.; Shi, H.X.; Ma, X.Y.; Lin, B.B.; Xiao, T.; Wu, F.Z.; Zhu, J.J.; Li, Z.M.; Xiao, J.; et al. Gastroprotective effects of Kangfuxin-against ethanol-induced gastric ulcer via attenuating oxidative stress and ER stress in mice. Chem. Biol. Interact. 2016, 260, 75–83. [Google Scholar] [CrossRef] [PubMed]









Disclaimer/Publisher’s Note: The statements, opinions and data contained in all publications are solely those of the individual author(s) and contributor(s) and not of MDPI and/or the editor(s). MDPI and/or the editor(s) disclaim responsibility for any injury to people or property resulting from any ideas, methods, instructions or products referred to in the content. |
© 2023 by the authors. Licensee MDPI, Basel, Switzerland. This article is an open access article distributed under the terms and conditions of the Creative Commons Attribution (CC BY) license (https://creativecommons.org/licenses/by/4.0/).
Share and Cite
Xu, L.; Bai, E.; Zhu, Y.; Qin, J.; Du, X.; Huang, H. pH-Responsive Hydrogel as a Potential Oral Delivery System of Baicalin for Prolonging Gastroprotective Activity. Pharmaceutics 2023, 15, 257. https://doi.org/10.3390/pharmaceutics15010257
Xu L, Bai E, Zhu Y, Qin J, Du X, Huang H. pH-Responsive Hydrogel as a Potential Oral Delivery System of Baicalin for Prolonging Gastroprotective Activity. Pharmaceutics. 2023; 15(1):257. https://doi.org/10.3390/pharmaceutics15010257
Chicago/Turabian StyleXu, Lixing, Enhe Bai, Yangbo Zhu, Jiayi Qin, Xiao Du, and Haiqin Huang. 2023. "pH-Responsive Hydrogel as a Potential Oral Delivery System of Baicalin for Prolonging Gastroprotective Activity" Pharmaceutics 15, no. 1: 257. https://doi.org/10.3390/pharmaceutics15010257
APA StyleXu, L., Bai, E., Zhu, Y., Qin, J., Du, X., & Huang, H. (2023). pH-Responsive Hydrogel as a Potential Oral Delivery System of Baicalin for Prolonging Gastroprotective Activity. Pharmaceutics, 15(1), 257. https://doi.org/10.3390/pharmaceutics15010257
