Development of Triamcinolone Acetonide-Loaded Microemulsion as a Prospective Ophthalmic Delivery System for Treatment of Uveitis: In Vitro and In Vivo Evaluation
Abstract
1. Introduction
2. Materials and Methods
2.1. Materials
2.2. Solubility Study
2.3. Pseudo-Ternary Phase Diagram Study
2.4. Formulation of TA-Loaded Microemulsions
2.5. Thermodynamic Stability Study
2.6. Microemulsion Characterization
2.7. In Vitro Release Experiment
2.8. Further Characterization of the Selected Formulation
2.8.1. Rheological Behavior
2.8.2. Transmission Electron Microscope
2.8.3. Stability Study
2.9. In Vivo Study
2.9.1. Animals
2.9.2. Ocular Irritation Test
2.9.3. Induction of Uveitis
Scoring or Clinical Observation of Uveitis
Anterior Chamber White Blood Cells (WBCs) Count and Protein Content
Histopathology
2.10. Statistical Analysis
3. Results and Discussion
3.1. Drug Analysis
3.2. Solubility Study
3.3. Pseudo-Ternary Phase Diagram Study
3.3.1. The Effect of Oil Composition on the Microemulsion Area
3.3.2. The Effect of the Surfactant Structure on the Microemulsion Area
3.3.3. The Effect of Co-Surfactant on the Microemulsion Area and Phase Transition
3.3.4. The Effect of Water Volume on the Phase Transition
3.4. Thermodynamic Stability Study
3.5. Microemulsion Characterization
3.6. In Vitro Release Experiments
3.7. Further Characterization of the Selected Formulation
3.7.1. Rheological Behavior
3.7.2. TEM
3.7.3. Stability Study
3.8. In Vivo Studies
3.8.1. Ocular Irritation Test
3.8.2. Induction of Uveitis
Clinical Observations of Uveitis Symptoms
Anterior Chamber WBCs Count and Protein Content
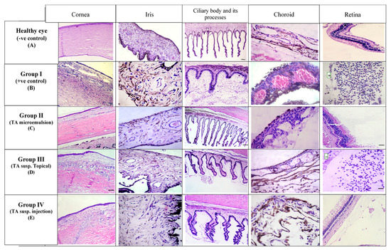
Histopathology
4. Conclusions
Supplementary Materials
Author Contributions
Funding
Institutional Review Board Statement
Informed Consent Statement
Data Availability Statement
Acknowledgments
Conflicts of Interest
References
- Zou, M.; Jin, R.; Hu, Y.; Zhang, Y.; Wang, H.; Liu, G.; Nie, Y.; Wang, Y. A thermo-sensitive, injectable and biodegradable in situ hydrogel as a potential formulation for uveitis treatment. J. Mater. Chem. B 2019, 7, 4402–4412. [Google Scholar] [CrossRef]
- Waite, D.; Wang, Y.; Jones, D.; Stitt, A.; Raj Singh, T.R. Posterior drug delivery via periocular route: Challenges and opportunities. Ther. Deliv. 2017, 8, 685–699. [Google Scholar] [CrossRef]
- Jermak, C.M.; Dellacroce, J.T.; Heffez, J.; Peyman, G.A. Triamcinolone acetonide in ocular therapeutics. Surv. Ophthalmol. 2007, 52, 503–522. [Google Scholar] [CrossRef]
- Babu, K.; Mahendradas, P. Medical management of uveitis—Current trends. Indian J. Ophthalmol. 2013, 61, 277–283. [Google Scholar] [CrossRef]
- Sarao, V.; Veritti, D.; Boscia, F.; Lanzetta, P. Intravitreal steroids for the treatment of retinal diseases. Sci. World J. 2014, 2014, 989501. [Google Scholar] [CrossRef] [PubMed]
- Özkiriş, A.; Erkiliç, K. Complications of intravitreal injection of triamcinolone acetonide. Can. J. Ophthalmol. 2005, 40, 63–68. [Google Scholar] [CrossRef]
- Athanasiadis, Y.; Tsatsos, M.; Sharma, A.; Hossain, P. Subconjunctival triamcinolone acetonide in the management of ocular inflammatory disease. J. Ocul. Pharm. 2013, 29, 516–522. [Google Scholar] [CrossRef]
- Lalu, L.; Tambe, V.; Pradhan, D.; Nayak, K.; Bagchi, S.; Maheshwari, R.; Kalia, K.; Tekade, R.K. Novel nanosystems for the treatment of ocular inflammation: Current paradigms and future research directions. J. Control. Release 2017, 268, 19–39. [Google Scholar] [CrossRef]
- Altamirano-Vallejo, J.C.; Navarro-Partida, J.; Gonzalez-De la Rosa, A.; Hsiao, J.H.; Olguin-Gutierrez, J.S.; Gonzalez-Villegas, A.C.; Keller, B.C.; Bouzo-Lopez, L.; Santos, A. Characterization and Pharmacokinetics of Triamcinolone Acetonide-Loaded Liposomes Topical Formulations for Vitreoretinal Drug Delivery. J. Ocul. Pharm. 2018, 34, 416–425. [Google Scholar] [CrossRef]
- Sabzevari, A.; Adibkia, K.; Hashemi, H.; Hedayatfar, A.; Mohsenzadeh, N.; Atyabi, F.; Ghahremani, M.H.; Dinarvand, R. Polymeric triamcinolone acetonide nanoparticles as a new alternative in the treatment of uveitis: In vitro and in vivo studies. Eur. J. Pharm. Biopharm. 2013, 84, 63–71. [Google Scholar] [CrossRef] [PubMed]
- Araujo, J.; Nikolic, S.; Egea, M.A.; Souto, E.B.; Garcia, M.L. Nanostructured lipid carriers for triamcinolone acetonide delivery to the posterior segment of the eye. Colloids Surf. B 2011, 88, 150–157. [Google Scholar] [CrossRef]
- Raval, N.; Khunt, D.; Misra, M. Microemulsion-based delivery of triamcinolone acetonide to posterior segment of eye using chitosan and butter oil as permeation enhancer: An in vitro and in vivo investigation. J. Microencapsul. 2018, 35, 62–77. [Google Scholar] [CrossRef]
- Kale, S.N.; Deore, S.L. Emulsion Micro Emulsion and Nano Emulsion: A Review. Syst. Rev. Pharm. 2016, 8, 39–47. [Google Scholar] [CrossRef]
- Vandamme, T.F. Microemulsions as ocular drug delivery systems: Recent developments and future challenges. Prog. Retin. Eye Res. 2002, 21, 15–34. [Google Scholar] [CrossRef]
- Gallarate, M.; Gasco, M.R.; Trotta, M. Influence of octanoic acid on membrane permeability of timolol from solutions and from microemulsions. Acta Pharm. Technol. 1988, 34, 102–105. [Google Scholar]
- Haβe, A.; Keipert, S. Development and characterization of microemulsions for ocular application. Eur. J. Pharm. Biopharm. 1997, 43, 179–183. [Google Scholar] [CrossRef]
- Fialho, S.L.; Da Silva-Cunha, A. New vehicle based on a microemulsion for topical ocular administration of dexamethasone. Clin. Exp. Ophthalmol. 2004, 32, 626–632. [Google Scholar] [CrossRef]
- Lv, F.-F.; Li, N.; Zheng, L.-Q.; Tung, C.-H. Studies on the stability of the chloramphenicol in the microemulsion free of alcohols. Eur. J. Pharm. Biopharm. 2006, 62, 288–294. [Google Scholar] [CrossRef] [PubMed]
- Moiseev, R.V.; Morrison, P.W.J.; Steele, F.; Khutoryanskiy, V.V. Penetration Enhancers in Ocular Drug Delivery. Pharmaceutics 2019, 11, 321. [Google Scholar] [CrossRef] [PubMed]
- El Agamy, H.I.; El Maghraby, G.M. Natural and synthetic oil phase transition microemulsions for ocular delivery of tropicamide: Efficacy and safety. J. Appl. Pharm. Sci. 2015, 5, 067–075. [Google Scholar]
- Gan, L.; Gan, Y.; Zhu, C.; Zhang, X.; Zhu, J. Novel microemulsion in situ electrolyte-triggered gelling system for ophthalmic delivery of lipophilic cyclosporine A: In vitro and in vivo results. Int. J. Pharm. 2009, 365, 143–149. [Google Scholar] [CrossRef] [PubMed]
- Gao, X.C.; Qi, H.P.; Bai, J.H.; Huang, L.; Cui, H. Effects of oleic acid on the corneal permeability of compounds and evaluation of its ocular irritation of rabbit eyes. Curr. Eye Res. 2014, 39, 1161–1168. [Google Scholar] [CrossRef]
- Lv, F.F.; Zheng, L.Q.; Tung, C.H. Phase behavior of the microemulsions and the stability of the chloramphenicol in the microemulsion-based ocular drug delivery system. Int. J. Pharm. 2005, 301, 237–246. [Google Scholar] [CrossRef]
- Mazyed, E.A.; Abdelaziz, A.E. Fabrication of transgelosomes for enhancing the ocular delivery of acetazolamide: Statistical optimization, in vitro characterization, and in vivo study. Pharmaceutics 2020, 12, 465. [Google Scholar] [CrossRef] [PubMed]
- Kumar, R.; Sinha, V.R. Preparation and optimization of voriconazole microemulsion for ocular delivery. Colloids Surf. B 2014, 117, 82–88. [Google Scholar] [CrossRef] [PubMed]
- Chen, H.; Chang, X.; Weng, T.; Zhao, X.; Gao, Z.; Yang, Y.; Xu, H.; Yang, X. A study of microemulsion systems for transdermal delivery of triptolide. J. Control. Release 2004, 98, 427–436. [Google Scholar] [CrossRef] [PubMed]
- Baboota, S.; Alam, M.S.; Sharma, S.; Sahni, J.K.; Kumar, A.; Ali, J. Nanocarrier-based hydrogel of betamethasone dipropionate and salicylic acid for treatment of psoriasis. Int. J. Pharm. Investig. 2011, 1, 139–147. [Google Scholar] [CrossRef] [PubMed]
- Kale, N.J.; Allen Jr, L.V. Studies on microemulsions using Brij 96 as surfactant and glycerin, ethylene glycol and propylene glycol as cosurfactants. Int. J. Pharm. 1989, 57, 87–93. [Google Scholar] [CrossRef]
- Vlaia, L.; Coneac, G.; Olariu, I.; Muţ, A.M.; Anghel, D.F.; Maxim, M.E.; Şaramet, G.; Mitu, M.; Lupuliasa, D.; Vlaia, V. Loratadine-Loaded Microemulsions For Topical Application. Formulation, Physicochemical Characterization and In vitro Drug Release Evaluation. Farmacia 2017, 65, 851–861. [Google Scholar]
- Shafiq, S.; Shakeel, F.; Talegaonkar, S.; Ahmad, F.J.; Khar, R.K.; Ali, M. Development and bioavailability assessment of ramipril nanoemulsion formulation. Eur. J. Pharm. Biopharm. 2007, 66, 227–243. [Google Scholar] [CrossRef]
- Badawi, A.A.; Nour, S.A.; Sakran, W.S.; El-Mancy, S.M. Preparation and evaluation of microemulsion systems containing salicylic acid. Aaps Pharmscitech 2009, 10, 1081–1084. [Google Scholar] [CrossRef]
- Chan, J.; Maghraby, G.M.; Craig, J.P.; Alany, R.G. Phase transition water-in-oil microemulsions as ocular drug delivery systems: In vitro and in vivo evaluation. Int. J. Pharm. 2007, 328, 65–71. [Google Scholar] [CrossRef] [PubMed]
- Khalid, N.; Shu, G.; Holland, B.J.; Kobayashi, I.; Nakajima, M.; Barrow, C.J. Formulation and characterization of O/W nanoemulsions encapsulating high concentration of astaxanthin. Food Res. Int. 2017, 102, 364–371. [Google Scholar] [CrossRef] [PubMed]
- Marques, M.R.; Loebenberg, R.; Almukainzi, M. Simulated biological fluids with possible application in dissolution testing. Dissolution Technol. 2011, 18, 15–28. [Google Scholar] [CrossRef]
- Ammar, H.O.; Salama, H.A.; Ghorab, M.; Mahmoud, A.A. Nanoemulsion as a potential ophthalmic delivery system for dorzolamide hydrochloride. Aaps Pharmscitech 2009, 10, 808–819. [Google Scholar] [CrossRef] [PubMed]
- Obiedallah, M.M.; Abdel-Mageed, A.; Elfaham, T.H. Ocular administration of acetazolamide microsponges in situ gel formulations. Saudi Pharm. J. 2018, 26, 909–920. [Google Scholar] [CrossRef]
- Arancibia, C.; Miranda, M.; Matiacevich, S.; Troncoso, E. Physical properties and lipid bioavailability of nanoemulsion-based matrices with different thickening agents. Food Hydrocoll. 2017, 73, 243–254. [Google Scholar] [CrossRef]
- Cheng, M.B.; Wang, J.C.; Li, Y.H.; Liu, X.Y.; Zhang, X.; Chen, D.W.; Zhou, S.F.; Zhang, Q. Characterization of water-in-oil microemulsion for oral delivery of earthworm fibrinolytic enzyme. J. Control. Release 2008, 129, 41–48. [Google Scholar] [CrossRef] [PubMed]
- Wilhelmus, K.R. The Draize eye test. Surv. Ophthalmol. 2001, 45, 493–515. [Google Scholar] [CrossRef]
- Tiwari, R.; Dubey, V.; Kesavan, K. Ocular Self-Microemulsifying Drug Delivery System of Prednisolone Improves Therapeutic Effectiveness in the Treatment of Experimental Uveitis. Ocul. Immunol. Inflamm. 2019, 27, 303–311. [Google Scholar] [CrossRef]
- Kulkarni, P.; Bhattacherjee, P.; Eakins, K.; Srinivasan, B. Anti-inflammatory effects of betamethasone phosphate, dexamethasone phosphate and indomethacin on rabbit ocular inflammation induced by bovine serum albumin. Curr. Eye Res. 1981, 1, 43–47. [Google Scholar] [CrossRef]
- Tsai, M.-L.; Horng, C.-T.; Chen, S.-L.; Xiao, X.; Wang, C.-H.; Tsao, Y.-P. Suppression of experimental uveitis by a recombinant adeno-associated virus vector encoding interleukin-1 receptor antagonist. Mol. Vis. 2009, 15, 1542. [Google Scholar] [PubMed]
- Li, W.; He, B.; Dai, W.; Zhang, Q.; Liu, Y. Evaluations of therapeutic efficacy of intravitreal injected polylactic-glycolic acid microspheres loaded with triamcinolone acetonide on a rabbit model of uveitis. Int. Ophthalmol. 2014, 34, 465–476. [Google Scholar] [CrossRef] [PubMed]
- Ghosn, C.R.; Li, Y.; Orilla, W.C.; Lin, T.; Wheeler, L.; Burke, J.A.; Robinson, M.R.; Whitcup, S.M. Treatment of experimental anterior and intermediate uveitis by a dexamethasone intravitreal implant. Investig. Ophthalmol. Vis. Sci. 2011, 52, 2917–2923. [Google Scholar] [CrossRef]
- Zhang, P.; Liu, Y.; Feng, N.; Xu, J. Preparation and evaluation of self-microemulsifying drug delivery system of oridonin. Int. J. Pharm. 2008, 355, 269–276. [Google Scholar] [CrossRef]
- Meneghetti, S.M.P.; Meneghetti, M.R.; Serra, T.M.; Barbosa, D.C.; Wolf, C.R. Biodiesel production from vegetable oil mixtures: Cottonseed, soybean, and castor oils. Energy Fuels 2007, 21, 3746–3747. [Google Scholar] [CrossRef]
- Padula, C.; Telo, I.; Di Ianni, A.; Pescina, S.; Nicoli, S.; Santi, P. Microemulsion containing triamcinolone acetonide for buccal administration. Eur. J. Pharm. Sci. 2018, 115, 233–239. [Google Scholar] [CrossRef]
- Porter, C.J.; Pouton, C.W.; Cuine, J.F.; Charman, W.N. Enhancing intestinal drug solubilisation using lipid-based delivery systems. Adv. Drug Deliv. Rev. 2008, 60, 673–691. [Google Scholar] [CrossRef]
- AboulFotouh, K.; Allam, A.A.; El-Badry, M.; El-Sayed, A.M. Development and in vitro/in vivo performance of self-nanoemulsifying drug delivery systems loaded with candesartan cilexetil. Eur. J. Pharm. Sci. 2017, 109, 503–513. [Google Scholar] [CrossRef]
- Abdulkarim, M.F.; Abdullah, G.Z.; Sakeena, M.; Chitneni, M.; Yam, M.F.; Mahdi, E.S.; Salman, I.M.; Ameer, O.Z.; Sattar, M.A.; Basri, M. Study of pseudoternary phase diagram behaviour and the effect of several tweens and spans on palm oil esters characteristics. Int. J. Drug Deliv. 2011, 3. [Google Scholar] [CrossRef]
- Balogh, J.; Olsson, U.; Pedersen, J.S. Dependence on Oil Chain Length of the Curvature Elastic Properties of Nonionic Surfactant Films: Emulsification Failure and Phase Equilibria. J. Dispers. Sci. Technol. 2006, 27, 497–510. [Google Scholar] [CrossRef]
- Sarkhejiya Naimish, A.; Nakum Mayur, A.; Patel Vipul, P.; Atara Samir, A.; Desai Thusarbindu, R. Emerging trend of microemulsion in formulation and research. Int. Bull. Drug Res. 2000, 1, 54–83. [Google Scholar]
- Lawrence, M.J. Surfactant systems: Microemulsions and vesicles as vehicles for drug delivery. Eur. J. Drug Metab. Pharm. 1994, 19, 257–269. [Google Scholar] [CrossRef]
- Schulman, J.H.; Stoeckenius, W.; Prince, L.M. Mechanism of formation and structure of micro emulsions by electron microscopy. J. Phys. Chem. 1959, 63, 1677–1680. [Google Scholar] [CrossRef]
- Rosen, M.J. The relationship of structure to properties in surfactants. J. Am. Oil Chem. Soc. 1972, 49, 293–297. [Google Scholar] [CrossRef]
- Mohapatra, S.; Ranjan, S.; Dasgupta, N.; Kumar, R.; Thomas, S. Characterization and Biology of Nanomaterials for Drug Delivery: Nanoscience and Nanotechnology in Drug Delivery; Elsevier: Amsterdam, The Netherlands, 2018. [Google Scholar]
- Saberi, A.H.; Fang, Y.; McClements, D.J. Fabrication of vitamin E-enriched nanoemulsions by spontaneous emulsification: Effect of propylene glycol and ethanol on formation, stability, and properties. Food Res. Int. 2013, 54, 812–820. [Google Scholar] [CrossRef]
- El Maghraby, G.M. Transdermal delivery of hydrocortisone from eucalyptus oil microemulsion: Effects of cosurfactants. Int. J. Pharm. 2008, 355, 285–292. [Google Scholar] [CrossRef] [PubMed]
- Bubic Pajic, N.; Nikolic, I.; Mitsou, E.; Papadimitriou, V.; Xenakis, A.; Randjelovic, D.; Dobricic, V.; Smitran, A.; Cekic, N.; Calija, B.; et al. Biocompatible microemulsions for improved dermal delivery of sertaconazole nitrate: Phase behavior study and microstructure influence on drug biopharamaceutical properties. J. Mol. Liq. 2018, 272, 746–758. [Google Scholar] [CrossRef]
- Aggarwal, N.; Goindi, S.; Khurana, R. Formulation, characterization and evaluation of an optimized microemulsion formulation of griseofulvin for topical application. Colloids Surf. B 2013, 105, 158–166. [Google Scholar] [CrossRef]
- Gao, Z.-G.; Choi, H.-G.; Shin, H.-J.; Park, K.-M.; Lim, S.-J.; Hwang, K.-J.; Kim, C.-K. Physicochemical characterization and evaluation of a microemulsion system for oral delivery of cyclosporin A. Int. J. Pharm. 1998, 161, 75–86. [Google Scholar] [CrossRef]
- Cretu, R.; Dima, C.; Bahrim, G.; Dima, S. Improved solubilization of curcumin with a microemulsification formulation. J. Food Technol. 2011, 35, 46. [Google Scholar]
- Fanun, M. Conductivity, viscosity, NMR and diclofenac solubilization capacity studies of mixed nonionic surfactants microemulsions. J. Mol. Liq. 2007, 135, 5–13. [Google Scholar] [CrossRef]
- Lagourette, B.; Peyrelasse, J.; Boned, C.; Clausse, M. Percolative conduction in microemulsion type systems. Nature 1979, 281, 60–62. [Google Scholar] [CrossRef]
- Djordjevic, L.; Primorac, M.; Stupar, M.; Krajisnik, D. Characterization of caprylocaproyl macrogolglycerides based microemulsion drug delivery vehicles for an amphiphilic drug. Int. J. Pharm. 2004, 271, 11–19. [Google Scholar] [CrossRef] [PubMed]
- Shah, D.; Tamjeedi, A.; Falco, J.; Walker Jr, R. Interfacial instability and spontaneous formation of microemulsions. Aiche J. 1972, 18, 1116–1120. [Google Scholar] [CrossRef]
- Parmar, N.; Singla, N.; Amin, S.; Kohli, K. Study of cosurfactant effect on nanoemulsifying area and development of lercanidipine loaded (SNEDDS) self nanoemulsifying drug delivery system. Colloids Surf. B 2011, 86, 327–338. [Google Scholar] [CrossRef]
- Agubata, C.O.; Nzekwe, I.T.; Obitte, N.C.; Ugwu, C.E.; Attama, A.A.; Onunkwo, G. Effect of oil, surfactant and co-surfactant concentrations on the phase behavior, physicochemical properties and drug release from self-emulsifying drug delivery systems. J. Drug Discov. Dev. Deliv. 2014, 1, 1–7. [Google Scholar]
- Rashid, M.A.; Naz, T.; Abbas, M.; Nazir, S.; Younas, N.; Majeed, S.; Qureshi, N.; Akhtar, M.N. Chloramphenicol Loaded Microemulsions: Development, Characterization and Stability. Colloids Interface Sci. Commun. 2019, 28, 41–48. [Google Scholar] [CrossRef]
- Lidich, N.; Wachtel, E.J.; Aserin, A.; Garti, N. Water-dilutable microemulsions for transepithelial ocular delivery of riboflavin phosphate. J. Colloid Interface Sci. 2016, 463, 342–348. [Google Scholar] [CrossRef]
- Ustundag-Okur, N.; Gokce, E.H.; Egrilmez, S.; Ozer, O.; Ertan, G. Novel ofloxacin-loaded microemulsion formulations for ocular delivery. J. Ocul. Pharm. 2014, 30, 319–332. [Google Scholar] [CrossRef]
- Kadu, P.J.; Kushare, S.S.; Thacker, D.D.; Gattani, S.G. Enhancement of oral bioavailability of atorvastatin calcium by self-emulsifying drug delivery systems (SEDDS). Pharm. Dev. Technol. 2011, 16, 65–74. [Google Scholar] [CrossRef] [PubMed]
- Guttoff, M.; Saberi, A.H.; McClements, D.J. Formation of vitamin D nanoemulsion-based delivery systems by spontaneous emulsification: Factors affecting particle size and stability. Food Chem. 2015, 171, 117–122. [Google Scholar] [CrossRef] [PubMed]
- Peng, C.; Bengani, L.; Jung, H.; Leclerc, J.; Gupta, C.; Chauhan, A. Emulsions and microemulsions for ocular drug delivery. J. Drug Deliv. Sci. Technol. 2011, 21, 111–121. [Google Scholar] [CrossRef]









| Group | Oil Phase | Surfactant (S) | Co-Surfactant (C) | S:C (Smix) |
|---|---|---|---|---|
| I | Castor oil | Tween 80 | PEG 400 | 1:1 |
| Brij 35 | ||||
| Cremophor EL | ||||
| II | Oleic acid | Tween 80 | PEG 400 | 1:1 |
| Brij 35 | ||||
| Cremophor EL | ||||
| III | Oleic acid | Cremophor EL | PEG 400 | 1:1 |
| 1:2 | ||||
| 2:1 | ||||
| IV | Oleic acid | Cremophor EL | Glycerol | 1:1 |
| 1:2 | ||||
| 2:1 | ||||
| V | Oleic acid | Cremophor EL | PG | 1:1 |
| 1:2 | ||||
| 2:1 |
| Code | Ratio (S:C) | Composition (% w/w) | Thermodynamic Stability Study | ||||
|---|---|---|---|---|---|---|---|
| Oleic Acid | Cremophor EL | PG | Phosphate Buffer | Oil/Surf. (w/w) | |||
| F1 | 1:1 | 20 | 23.5 | 23.5 | 33 | 0.85 | √ |
| F2 | 1:1 | 10 | 20 | 20 | 50 | 0.5 | - |
| F3 | 1:1 | 15 | 17.5 | 17.5 | 50 | 0.86 | √ |
| F4 | 1:1 | 8 | 16 | 16 | 60 | 0.5 | - |
| F5 | 1:2 | 13 | 16.7 | 33.3 | 37 | 0.78 | √ |
| F6 | 1:2 | 5 | 15 | 30 | 50 | 0.33 | - |
| F7 | 1:2 | 10 | 13.3 | 27.7 | 50 | 0.73 | √ |
| F8 | 1:2 | 8 | 10.7 | 21.3 | 60 | 0.76 | √ |
| F9 | 2:1 | 10 | 26.7 | 13.3 | 50 | 0.38 | - |
| F10 | 2:1 | 15 | 23.3 | 11.7 | 50 | 0.64 | √ |
| F11 | 2:1 | 8 | 21.3 | 10.7 | 60 | 0.38 | - |
| F12 | 2:1 | 20 | 20 | 10 | 50 | 1 | - |
| Score | Evaluation |
|---|---|
| 1 | Mild vasodilatation of the iris and conjunctiva |
| 2 | Moderate vasodilatation of the iris and conjunctiva |
| 3 | Moderate vasodilatation of the iris and conjunctiva and slight flare |
| 4 | Sever vasodilatation of the iris and conjunctiva with heavy flare and fibrin strands |
| Vehicle | Solubility (µg/mL) ≠ |
|---|---|
| Oleic acid | 1500 ± 50 |
| Castor oil | 3120 ± 80 * |
| Olive oil | 100 ± 5 |
| Corn oil | 75 ± 10 |
| Soya bean oil | 95 ± 8 |
| Tween 80 | 4700 ± 300 |
| Cremophor EL | 4460 ± 309 |
| Brij 35 | 8540 ± 110 ** |
| PEG 400 | 540 ± 13 *** |
| PG | 390 ± 10 |
| Glycerol | 150 ± 15 |
| Co-Surfactant | S:C Ratio | % Microemulsion Area | Maximum Solubilized Oil (%w/w) | % Afluid | % Abi |
|---|---|---|---|---|---|
| PEG 400 | 1:1 | 15 | 8 | 13 | 2 |
| 1:2 | 11 | 5 | 8.5 | 2.5 | |
| 2:1 | 29 | 15 | 14 | 15 | |
| Glycerol | 1:1 | 12.5 | 23 | 9 | 3.5 |
| 1:2 | 9 | 18 | 7 | 2 | |
| 2:1 | 18 | 33 | 3 | 15 | |
| PG | 1:1 | 24.6 | 33 | 19.7 | 4.9 |
| 1:2 | 12 | 16 | 12 | - | |
| 2:1 | 32.4 | 33 | 16.8 | 15.6 |
| Code | pH # | Viscosity (cP) # | Electrical Conductivity (µS) # | Mean Droplet Size (nm) # | PDI | Zeta Potential (mV) # |
|---|---|---|---|---|---|---|
| F1 | 5.12 ± 0.2 | 300 ± 1.5 | 6 ± 0.3 | 201.4 ± 6.3 | 0.44 | −21.5 ± 2.3 |
| F3 | 5.39 ± 0.2 | 293 ± 2 | 15 ± 0.5 | 211.9 ± 1.4 | 0.217 | −25.7 ± 1.7 |
| F5 | 5.4 ± 0.2 | 146 ± 1 | 37 ± 0.2 | 250.1 ± 11.3 * | 0.769 | −15.3 ± 1.4 * |
| F7 | 5.63 ± 0.2 | 126 ± 2 | 34 ± 0.4 | 188.7 ± 3.7 | 0.448 | −23.1 ± 2 |
| F8 | 5.89 ± 0.2 | 53 ± 1 | 60 ± 0.7 | 184.3 ± 1.9 | 0.408 | −27.1 ± 3.5 |
| F10 | 5.45 ± 0.2 | 600 ± 4 | 15 ± 0.2 | 267.05 ± 6.9 * | 0.541 | −21.2 ± 1.6 |
| Parameters ≠ | Temp. | Time (month) | ||||||
|---|---|---|---|---|---|---|---|---|
| 0 | 1 | 2 | 3 | 4 | 5 | 6 | ||
| Droplet size (nm) | 25 °C | 220 ± 3.8 | 226 ± 3.7 | 231 ± 5.9 | 224 ± 3.5 | 196 ± 1.6 | 210 ± 1.5 | 224 ± 2 |
| 4 °C | 220 ± 3.8 | 232 ± 2.6 | 250 * ± 3.4 | 283 ** ± 2 | 290 ** ± 1.5 | 297 ** ± 2.5 | 310 ** ± 3 | |
| PDI | 25 °C | 0.22 ± 0.02 | 0.3 ± 0.01 | 0.32 ± 0.02 | 0.35 ± 0.04 | 0.33 ± 0.05 | 0.37 ± 0.03 | 0.4 ± 0.02 |
| 4 °C | 0.22 ± 0.02 | 0.35 ± 0.04 | 0.412 ± 0.02 | 0.52 ± 0.03 | 0.51 ± 0.03 | 0.55 ± 0.01 | 0.5 ± 0.03 | |
| Zeta potential (mV) | 25 °C | −25 ± 1.1 | −24.5 ± 2.5 | −23.1 ± 1.5 | −22.3 ± 2 | −22 ± 2.6 | −21.5 ± 1 | −21 ± 2 |
| 4 °C | −25 ± 1.1 | −24.06 ± 2 | −21.3 ± 1.5 | −19.29 ± 3 | −18 ± 2.2 | 18.5 ± 2.5 | 17.9 ± 1.6 | |
| pH | 25 °C | 5.39 ± 0.02 | 5.46 ± 0.04 | 5.5 ± 0.05 | 5.6 ± 0.04 | 5.75 ± 0.03 | 5.81 ± 0.02 | 5.9 ± 0.02 |
| 4 °C | 5.39 ± 0.03 | 5.45 ± 0.05 | 5.55 ± 0.07 | 5.6 ± 0.04 | 5.71 ± 0.02 | 5.77 ± 0.03 | 5.8 ± 0.02 | |
| Appearance | 25 °C | Translucent | Translucent | Translucent | Translucent | Translucent | Translucent | Translucent |
| 4 °C | Translucent | Translucent | Slight turbidity | Slight turbidity | Turbid | Turbid | Turbid | |
Publisher’s Note: MDPI stays neutral with regard to jurisdictional claims in published maps and institutional affiliations. |
© 2021 by the authors. Licensee MDPI, Basel, Switzerland. This article is an open access article distributed under the terms and conditions of the Creative Commons Attribution (CC BY) license (http://creativecommons.org/licenses/by/4.0/).
Share and Cite
Mahran, A.; Ismail, S.; Allam, A.A. Development of Triamcinolone Acetonide-Loaded Microemulsion as a Prospective Ophthalmic Delivery System for Treatment of Uveitis: In Vitro and In Vivo Evaluation. Pharmaceutics 2021, 13, 444. https://doi.org/10.3390/pharmaceutics13040444
Mahran A, Ismail S, Allam AA. Development of Triamcinolone Acetonide-Loaded Microemulsion as a Prospective Ophthalmic Delivery System for Treatment of Uveitis: In Vitro and In Vivo Evaluation. Pharmaceutics. 2021; 13(4):444. https://doi.org/10.3390/pharmaceutics13040444
Chicago/Turabian StyleMahran, Alaa, Sayed Ismail, and Ayat A. Allam. 2021. "Development of Triamcinolone Acetonide-Loaded Microemulsion as a Prospective Ophthalmic Delivery System for Treatment of Uveitis: In Vitro and In Vivo Evaluation" Pharmaceutics 13, no. 4: 444. https://doi.org/10.3390/pharmaceutics13040444
APA StyleMahran, A., Ismail, S., & Allam, A. A. (2021). Development of Triamcinolone Acetonide-Loaded Microemulsion as a Prospective Ophthalmic Delivery System for Treatment of Uveitis: In Vitro and In Vivo Evaluation. Pharmaceutics, 13(4), 444. https://doi.org/10.3390/pharmaceutics13040444
