Sign in to use this feature.

Years

Between: -

Subjects

remove_circle_outline
remove_circle_outline
remove_circle_outline
remove_circle_outline
remove_circle_outline
remove_circle_outline
remove_circle_outline
remove_circle_outline
remove_circle_outline

Journals

remove_circle_outline
remove_circle_outline
remove_circle_outline
remove_circle_outline
remove_circle_outline
remove_circle_outline
remove_circle_outline

Article Types

Countries / Regions

remove_circle_outline
remove_circle_outline
remove_circle_outline
remove_circle_outline
remove_circle_outline

Search Results (656)

Search Parameters:
Keywords = ocular delivery

Order results
Result details
Results per page
Select all
Export citation of selected articles as:
27 pages, 4545 KB  
Article
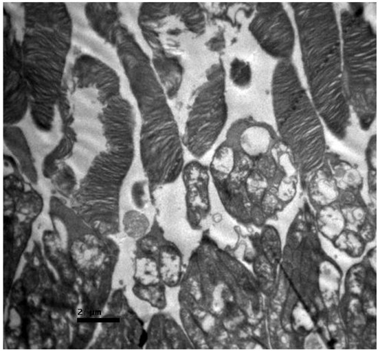
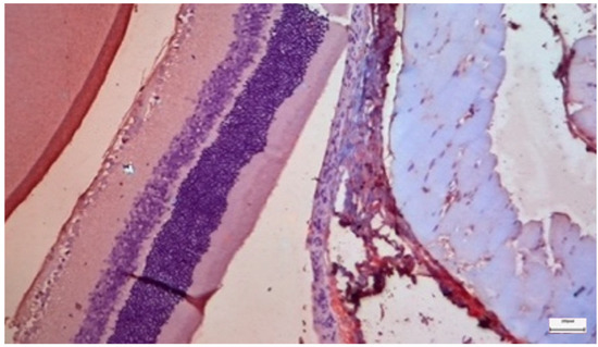
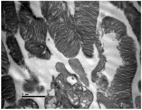
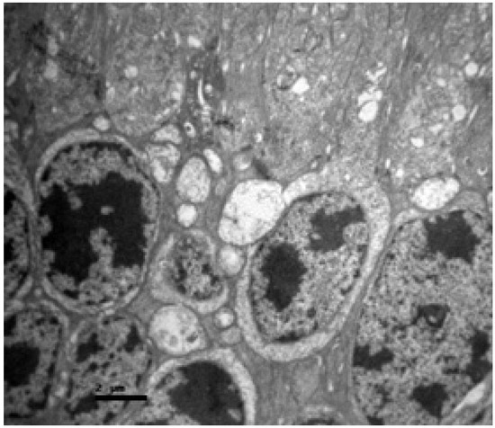
Protective Efficacy of Selenium in Cisplatin-Induced Retinal Toxicity: An Experimental Immunohistochemical and Ultrastructural Analysis
by Ioannis Konstantinidis, Sophia Tsokkou, Pavlos Pavlidis, Kyriaki Papadopoulou, Dimitrios Kavvadas, Vasilis-Spyridon Tseriotis, Georgios Delis, Chrysanthi Sardeli, Dimitrios Kouvelas, Antonia Siogka, Theodora Papamitsou and Sofia Karachrysafi
Nutrients 2026, 18(8), 1236; https://doi.org/10.3390/nu18081236 - 14 Apr 2026
Abstract
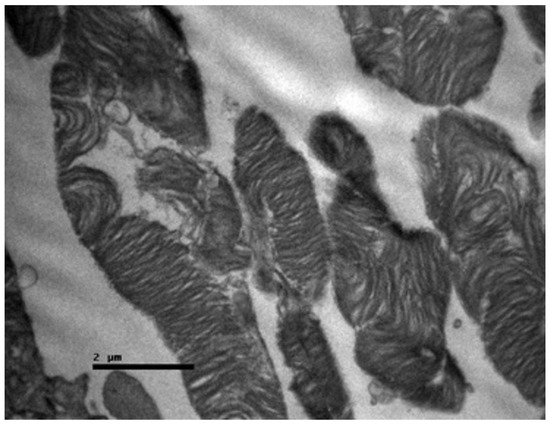
Background/Objectives: Cisplatin is a potent chemotherapeutic agent whose clinical utility is limited by severe side effects, including neurotoxicity affecting the ocular system. The pathophysiology involves oxidative stress and mitochondrial dysfunction, to which the retina is particularly vulnerable. Selenium (Se), an essential trace [...] Read more.
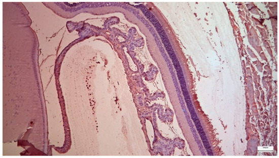
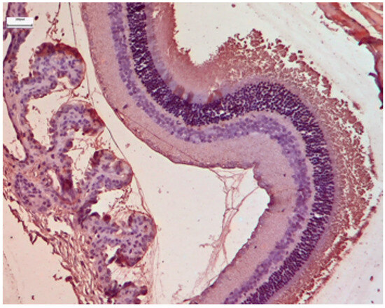
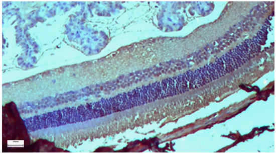
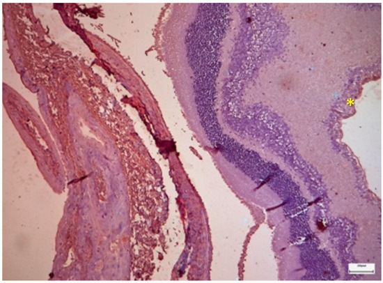
Background/Objectives: Cisplatin is a potent chemotherapeutic agent whose clinical utility is limited by severe side effects, including neurotoxicity affecting the ocular system. The pathophysiology involves oxidative stress and mitochondrial dysfunction, to which the retina is particularly vulnerable. Selenium (Se), an essential trace element and component of antioxidant enzymes, has shown potential in mitigating cisplatin toxicity, although its efficacy with respect to retinal structure and the influence of administration routes remain underexplored. This study aimed to evaluate the protective efficacy of selenium against cisplatin-induced retinal toxicity and compare the effects of intraperitoneal and oral selenium administration. Methods: Forty adult male Wistar rats were randomized into four groups (n = 10 each): Group A (Cisplatin Monotherapy, 3.5 mg/kg IP for 5 days; cumulative dose 17.5 mg/kg); Group B (Cisplatin + Intraperitoneal Selenium, 2.73 mg/kg; cumulative dose 60 mg/kg); Group C (Control); and Group D (Cisplatin + Oral Selenium). Selenium prophylaxis, administered as sodium selenite (Na2SeO3), began two days prior to cisplatin administration and continued for 15 days post-treatment. Retinal evaluation two weeks after cisplatin cessation included light microscopy, semi-quantitative immunohistochemical (IHC) analysis for inflammatory (IL-6) and fibrotic (TGF-β2) markers, and Transmission Electron Microscopy (TEM) for ultrastructural analysis, which were the primary endpoints. Statistical differences in the IHC scores were analyzed via the Kruskal‒Wallis H test with Dunn’s post hoc comparisons. Results: Cisplatin monotherapy (Group A) caused severe disruption of the retinal architecture, including edema, reactive gliosis, and significant upregulation of IL-6 and TGF-β2. Ultrastructural analysis revealed mitochondrial swelling (cristolysis) and photoreceptor disk fragmentation. Intraperitoneal selenium (Group B) was associated with significant structural preservation and intact mitochondria, with TGF-β2 levels comparable to those of the controls, although the IL-6 level remained moderately elevated. Conversely, oral selenium (Group D) suppressed both IL-6 and TGF-β2 expression to near-negative levels but provided less ultrastructural protection, resulting in persistent mitochondrial swelling and focal photoreceptor disruption. Conclusions: Systemic cisplatin induces severe subcellular retinal toxicity characterized by mitochondrial damage and photoreceptor degeneration. Selenium supplementation attenuates these effects; however, outcome patterns differ by administration route. Intraperitoneal selenium was associated with greater morphological and ultrastructural preservation despite persistent IL-6 elevation, whereas oral selenium normalized immunohistochemical marker expression to near-control levels but was associated with more pronounced residual subcellular damage on qualitative TEM assessment. These preliminary morphological and immunohistochemical findings suggest that the route of selenium delivery may influence its neuroprotective profile; however, pharmacokinetic measurements and functional retinal assessments, such as electroretinography, are warranted before its clinical translation. Full article
39 pages, 9265 KB  
Article
Innovative HPMC/PVP K90 Dissolving Microneedles Incorporating Tacrolimus-Loaded Cubosomes: A Novel Strategy for Managing Allergic Conjunctivitis
by Sammar Fathy Elhabal, Mai S. Shoela, Fatma E. Hassan, Suzan Awad AbdelGhany Morsy, Shady Allam, Reem Abd Elhameed Aldeeb, Amal Anwar Taha, Rania Mostafa Abd El Galil, Amr M. Emam, Nahla A. Elzohairy, Hanaa Wanas and Ahmed Mohsen Elsaid Hamdan
Pharmaceutics 2026, 18(4), 459; https://doi.org/10.3390/pharmaceutics18040459 - 9 Apr 2026
Viewed by 406
Abstract
Background/Objectives: Allergic conjunctivitis (AC) is the most common inflammatory disease affecting the ocular conjunctiva. Tacrolimus (TCR), a potent calcineurin inhibitor, is limited by poor aqueous solubility and low ocular bioavailability. This study aimed to develop TCR-loaded cubosomes (TCR-Cubs) incorporated into HPMC/PVP K90 [...] Read more.
Background/Objectives: Allergic conjunctivitis (AC) is the most common inflammatory disease affecting the ocular conjunctiva. Tacrolimus (TCR), a potent calcineurin inhibitor, is limited by poor aqueous solubility and low ocular bioavailability. This study aimed to develop TCR-loaded cubosomes (TCR-Cubs) incorporated into HPMC/PVP K90 dissolving microneedles (MNs) to enhance their therapeutic efficacy. Methods: TCR-Cubs were prepared using a modified top-down fragmentation method with glyceryl monooleate and poloxamer 407, optimized via Box–Behnken design, and incorporated into dissolving MNs. The system was evaluated in vitro, ex vivo, and in vivo using a rabbit model of allergic conjunctivitis. Results: The optimized formulation exhibited the smallest particle size (210 ± 0.91 nm), polydispersity index (0.29 ± 0.03), zeta potential (−21 ± 0.87 mV), and the highest entrapment efficiency (% 93.3 ± 0.45). The optimized formulation was incorporated into MNs via micro molding. Scanning electron microscopy (SEM) confirmed well-defined, sharp microneedles, with low height reduction (<10%) by mechanical testing and high penetration efficiency (>85–90%). In vitro release studies revealed sustained drug release of (~75–80%) over 24 h, compared to (~40%) from the TCR suspension, following diffusion-controlled kinetics. Ex vivo permeation studies showed a (~2–3-fold) enhancement in corneal drug flux. In vivo pharmacodynamic evaluation using an ovalbumin-induced allergic conjunctivitis model demonstrated significant reductions in inflammatory mediators, including inflammatory markers (TNF-α, IL-1β, IL-6, NLRP3), which were reduced by (~50–75%), with modulation of CPA3, BCL2, and TGF-β1 by qRT-PCR. Histopathology and TLR4 analysis confirmed reduced inflammation without irritation. Conclusions: This dual-delivery system offers a promising, non-invasive platform for enhanced ocular delivery of tacrolimus with superior anti-inflammatory efficacy in allergic conjunctivitis. Full article
(This article belongs to the Special Issue Non-Invasive Ocular Drug Delivery Science and Technology)
Show Figures

Figure 1

32 pages, 7395 KB  
Article
A Dual-Drug Nanocarrier Strategy for Ocular Fungal Infections: Micelles Embedded in Electrospun Nanofibers
by Egemen Uzel, Meltem Ezgi Durgun, Neriman Aydilek, Mayram Hacıoğlu, Sevgi Güngör and Yıldız Özsoy
Molecules 2026, 31(8), 1235; https://doi.org/10.3390/molecules31081235 - 8 Apr 2026
Viewed by 275
Abstract
Ocular fungal diseases are associated with severe infection and pain and, in advanced stages, can lead to vision loss. Current treatment options are limited to the topical application of conventional drugs, and the bioavailability of these drugs is quite limited due to ocular [...] Read more.
Ocular fungal diseases are associated with severe infection and pain and, in advanced stages, can lead to vision loss. Current treatment options are limited to the topical application of conventional drugs, and the bioavailability of these drugs is quite limited due to ocular barriers. In this study, a dual-drug nanodelivery system was developed to improve intraocular drug delivery by combining antifungal and anti-inflammatory therapies. Posaconazole (PSC), a broad-spectrum triazole antifungal agent, and dexketoprofen trometamol (DKP), a rapidly acting nonsteroidal anti-inflammatory drug, were co-loaded onto polymeric micelles and then incorporated into electrospun poly(vinyl alcohol)/poly(vinylpyrrolidone) (PVA/PVP) nanofiber intraocular implants. DSC, XRD, FTIR, and FESEM analyses showed that both APIs were successfully converted into nanofiber form without disrupting the micelle structure. Comparative studies with DKP solution and PSC commercial oral suspension (Noxafil® 40 mg/mL) showed that the produced micelle-loaded nanofibers provided sustained release and significantly increased ex vivo ocular permeation and penetration. In vitro antifungal activity tests demonstrated efficacy against Candida albicans, and HET-CAM toxicity tests showed that the micelle-loaded nanofibers were non-irritating and suitable for ocular application. Overall, the micelle-loaded electrospun nanofiber ocular inserts developed in this study represent a promising platform for combined antifungal and anti-inflammatory ocular therapy. Full article
Show Figures

Figure 1

18 pages, 2234 KB  
Article
Model-Based Design of Sustained-Release Formulations of Anti-TNF-α Monoclonal Antibodies for Intravitreal Administration
by Javier Reig-López, Marina Cuquerella-Gilabert, Javier Zarzoso-Foj, Víctor Mangas-Sanjuán, Virginia Merino and Matilde Merino-Sanjuán
Pharmaceutics 2026, 18(4), 445; https://doi.org/10.3390/pharmaceutics18040445 - 4 Apr 2026
Viewed by 362
Abstract
Background/Objectives: While intravitreal administration allows for increased ocular exposure to anti-TNF-α monoclonal antibodies, there is still a need for developing delivery systems able to prolong ocular drug exposure and alleviate patient compliance and safety concerns because of repeated injections. Therefore, the objective [...] Read more.
Background/Objectives: While intravitreal administration allows for increased ocular exposure to anti-TNF-α monoclonal antibodies, there is still a need for developing delivery systems able to prolong ocular drug exposure and alleviate patient compliance and safety concerns because of repeated injections. Therefore, the objective of this work was to guide the design of sustained-release formulations of anti-TNF-α monoclonal antibodies for intravitreal administration through a model-based strategy in non-infectious uveitis in the preclinical setting. Methods: Using an in-house-developed anterior uveitis disease model in rats, an intravenous reference dose reducing free TNF-α by 90% at the biophase was established. Intravitreal administrations of sustained-release formulations every 24 weeks were then simulated for adalimumab, golimumab and infliximab to evaluate TNF-α kinetics in the anterior chamber of the eye at different release rates. The selected sustained-release formulation was further evaluated for possible formulation issues causing device emptying before the next administration. Results: Intravitreal administration of sustained-release formulations releasing adalimumab, golimumab or infliximab at 1.802, 0.979 and 1.442 μg/week, respectively, met the predefined criteria of ≥90% reduction in free TNF-α at the biophase. TNF-α levels in aqueous humour were anticipated to be the most sensitive to detect possible formulation issues. Formulation emptying 10, 4 or 8 weeks for adalimumab, golimumab and infliximab, respectively, before next administration triggered TNF-α reaching pathological levels at week 24 post-dose. Conclusions: This work underscores the potential of new approach methodologies in the preclinical drug development of sustained-release formulations for intravitreal administration in ocular inflammatory disorders with less animal testing and without compromising the accuracy of model-informed predictions for human translation. Full article
Show Figures

Figure 1

42 pages, 993 KB  
Review
CRISPR–Cas9 Therapeutics in Early Clinical Development: Delivery and Molecular Diagnostics
by Adrianna Rutkowska, Tadeusz Strózik, Tomasz Wasiak, Damian Ciunowicz, Natalia Kapelan, Natalia Szczepaniak, Juliusz Sosnowski, Weronika Goślińska, Jakub Bartkowiak, Agata Budny-Lewandowska, Patrycja Antończyk, Maria Markiewicz, Piotr Gustaw, Kamil Filiks, Maria Jaskólska and Ewelina Stoczyńska-Fidelus
Cells 2026, 15(7), 644; https://doi.org/10.3390/cells15070644 - 2 Apr 2026
Viewed by 839
Abstract
CRISPR–Cas9 has progressed from an experimental tool to a therapeutic modality, marked by the first regulatory approvals of an ex vivo-edited autologous CD34+ hematopoietic stem cell product that induces fetal hemoglobin (CASGEVY/exa-cel). In this narrative review, we synthesize modality-specific molecular diagnostic strategies used [...] Read more.
CRISPR–Cas9 has progressed from an experimental tool to a therapeutic modality, marked by the first regulatory approvals of an ex vivo-edited autologous CD34+ hematopoietic stem cell product that induces fetal hemoglobin (CASGEVY/exa-cel). In this narrative review, we synthesize modality-specific molecular diagnostic strategies used across early CRISPR clinical translation. In parallel, early clinical experience has begun to demonstrate the feasibility of in vivo editing, including subretinal delivery for CEP290-associated inherited retinal degeneration (EDIT-101 programme) and hepatocyte-targeted lipid nanoparticles (LNPs) for liver-derived targets such as transthyretin and plasma prekallikrein (KLKB1). As translation expands across hematologic, metabolic, ocular and oncology indications, development is increasingly constrained by the predictability and safety of editing outcomes, delivery-determined biodistribution and exposure time, and immune recognition of bacterial Cas9 orthologs and delivery components. We summarize diagnostic readouts for confirming patient genotype, quantifying on-target editing and expression changes, assessing off-target and structural outcomes using orthogonal assays, and monitoring clonal dynamics and immune responses during long-term follow-up. We also discuss how these readouts interface with CMC controls and regulatory expectations for advanced therapy medicinal products (ATMPs), highlighting the need for fit-for-purpose, standardized testing frameworks in early trials. Full article
Show Figures

Graphical abstract

24 pages, 35395 KB  
Review
Engineering Strategies of Colloidal Drug Delivery Systems, a Rising Star in Ocular Neovascular Diseases
by Yueping Bai, Lu Liu, Cui Li, Yiping Ma, Pai Liu and Shuo Wang
Molecules 2026, 31(7), 1169; https://doi.org/10.3390/molecules31071169 - 1 Apr 2026
Viewed by 336
Abstract
Ocular neovascular diseases represent a major cause of irreversible vision loss worldwide, while the complex ocular barrier system significantly limits the efficacy of conventional treatment approaches. In this context, colloidal drug delivery systems (CDDSs) have emerged as an innovative nanomedicine strategy that demonstrates [...] Read more.
Ocular neovascular diseases represent a major cause of irreversible vision loss worldwide, while the complex ocular barrier system significantly limits the efficacy of conventional treatment approaches. In this context, colloidal drug delivery systems (CDDSs) have emerged as an innovative nanomedicine strategy that demonstrates remarkable advantages in enhancing ocular drug bioavailability and treatment precision through the integration of sustained release, active targeting, and stimulus-responsive functional modules. This review systematically summarizes recent research advances in CDDSs for treating ocular neovascular diseases, with a particular focus on design strategies and mechanisms for overcoming physiological barriers and achieving lesion-specific drug delivery. Furthermore, it provides in-depth analysis of key challenges in current clinical translation. With ongoing technological advancements, CDDSs are expected to offer breakthrough solutions for treating ocular neovascular diseases, ultimately leading to significant improvements in patients’ visual prognosis and quality of life. Full article
(This article belongs to the Special Issue The 30th Anniversary of Molecules—Recent Advances in Nanochemistry)
Show Figures

Graphical abstract

25 pages, 8631 KB  
Article
Engineered Brimonidine Tartrate Aminosomes as a Mucoadhesive Platform for Sustained Glaucoma Management: Optimization, In Vitro Characterization, and In Vivo Evaluation
by Waad M. Omar, Rodayna A. Shalaby, Osama Saher, Asmaa Ashraf Nemr and Ahmed M. Fatouh
Pharmaceutics 2026, 18(4), 422; https://doi.org/10.3390/pharmaceutics18040422 - 30 Mar 2026
Viewed by 450
Abstract
Purpose: The objective of this study was to engineer and optimize a mucoadhesive, positively charged stearylamine-enriched liposomal platform, termed Aminosomes, to circumvent the biophysical barriers limiting the ocular bioavailability of Brimonidine Tartrate (BT), an alpha-2 adrenergic receptor agonist for glaucoma management. Methods: Aminosomes [...] Read more.
Purpose: The objective of this study was to engineer and optimize a mucoadhesive, positively charged stearylamine-enriched liposomal platform, termed Aminosomes, to circumvent the biophysical barriers limiting the ocular bioavailability of Brimonidine Tartrate (BT), an alpha-2 adrenergic receptor agonist for glaucoma management. Methods: Aminosomes were synthesized using a tailored ethanol injection technique and optimized via a 32 × 21 full factorial design. Molecular integrity and crystallinity were assessed using Fourier-transform infrared spectroscopy (FTIR) and X-ray diffraction (XRD). The mucoadhesive potential was validated through a mucin interaction assay based on zeta potential shifts. In vitro release kinetics were evaluated using the dialysis membrane diffusion technique, while the therapeutic potential and ocular safety were validated through in vivo pharmacodynamic profiling of intraocular pressure (IOP) reduction, alongside comprehensive biocompatibility assessments via Draize irritancy protocol and histopathological examination. Results: The optimized Aminosomes exhibited nanometric dimensions, monodisperse size distribution, robust positive surface charge, and superior drug loading. FTIR and XRD analyses confirmed the chemical compatibility of the formulation components, as well as the successful encapsulation of BT and its transition to an amorphous state within the lipidic matrix. The mucoadhesion test demonstrated a high binding affinity for mucin. The in vitro release profile demonstrated a sustained-release pattern (78.8% over 12 h). Non-compartmental pharmacodynamic analysis of IOP-reduction data revealed a 2.8-fold increase in AUC0–24h, 3.5-fold extension in t1/2, and 5.2-fold prolongation in mean residence time (MRT) relative to the standard solution. Conclusions: The optimized Aminosomes demonstrated superior mucoadhesive anchoring, enhanced and sustained therapeutic flux without inducing ocular toxicity, offering a robust strategy for enhancing the pharmacodynamics of BT. Full article
Show Figures

Figure 1

44 pages, 1585 KB  
Review
The Therapeutic Potential of Exosomes in Ocular Surface Diseases
by Lanxin Hu, Hongyu Duan, Yu Zhang, Liang Yang, Kyung Chul Yoon, Zihan Shen, Zekai Li, Baikai Ma and Hong Qi
Biomolecules 2026, 16(4), 512; https://doi.org/10.3390/biom16040512 - 30 Mar 2026
Viewed by 515
Abstract
The ocular surface system, essential for maintaining visual function, is highly susceptible to a range of ocular surface diseases (OSDs) that significantly impair patients’ quality of life. Current treatments for OSDs often face limitations including low bioavailability, A lack of targeted delivery, and [...] Read more.
The ocular surface system, essential for maintaining visual function, is highly susceptible to a range of ocular surface diseases (OSDs) that significantly impair patients’ quality of life. Current treatments for OSDs often face limitations including low bioavailability, A lack of targeted delivery, and an inadequate capacity to fully address the complex pathophysiology involving inflammation, oxidative stress, and impaired tissue repair. In recent years, exosomes have emerged as promising cell-free therapeutic platforms for OSDs. This review evaluates their therapeutic potential across the OSD spectrum, focusing on three key aspects: mechanisms—modulation of inflammation, oxidative stress, and tissue repair via bioactive cargo; applications—preclinical therapeutic effects in dry eye disease, corneal injury, keratitis, and transplant rejection; and optimization strategies—engineering approaches and biomaterial integration to enhance stability, targeting, and ocular retention. We also discuss critical challenges in standardization, scalable production, and clinical translation, highlighting future directions for exosome-based OSD therapies. Full article
(This article belongs to the Section Natural and Bio-derived Molecules)
Show Figures

Figure 1

16 pages, 1014 KB  
Review
Recent Achievements and Perspectives in Nebulization Devices for Anterior Segment Disease Treatment
by Hongru Liu, Qibin Deng, Jun Cao, Tao Wang, Junxi Chen and Ke Xiong
Pharmaceutics 2026, 18(4), 404; https://doi.org/10.3390/pharmaceutics18040404 - 25 Mar 2026
Viewed by 445
Abstract
Ocular diseases pose significant therapeutic challenges due to the eye’s intricate anatomy and efficient physiological clearance mechanisms, which result in the rapid elimination of topically administered drugs and an overall bioavailability of less than 5%. Anterior segment disorders—including keratitis, glaucoma, and dry eye [...] Read more.
Ocular diseases pose significant therapeutic challenges due to the eye’s intricate anatomy and efficient physiological clearance mechanisms, which result in the rapid elimination of topically administered drugs and an overall bioavailability of less than 5%. Anterior segment disorders—including keratitis, glaucoma, and dry eye syndrome—account for the majority of ophthalmic conditions and are primarily managed with pharmacological agents. However, due to extremely low drug bioavailability and poor patient compliance, their therapeutic outcomes often result in a decreased disease control rate or require early surgical interventions. Nebulized drug delivery, particularly employing advanced vibrating mesh technology, has emerged as a promising strategy to overcome these limitations. By converting liquid formulations into a uniform aerosol of micron-sized (1–10 μm) droplets, this approach achieves extensive and consistent coverage of the ocular surface, increases the absorption contact area, prolongs drug residence time, and ultimately enhances drug bioavailability. Preliminary clinical evidence indicates that nebulized therapies outperform traditional eye drops by achieving higher drug concentrations in the aqueous humor and demonstrating superior pharmacodynamic profiles and patient tolerability—particularly in conditions such as dry eye syndrome and glaucoma. This review presents a comprehensive overview of the mechanistic principles, technological advancements, and translational applications of nebulization-based ocular drug delivery systems. We place special emphasis on the integration of next-generation platforms that incorporate microelectromechanical systems (MEMS) and intelligent sensing technologies, enabling precision medicine approaches tailored to individual ocular pathophysiological characteristics. By bridging biomedical engineering and clinical ophthalmology, these innovations not only optimize existing therapeutic regimens but also pave the way for non-invasive delivery of complex biologics and gene therapies—potentially reshaping the landscape of anterior segment drug delivery. Full article
Show Figures

Graphical abstract

15 pages, 1561 KB  
Article
Virtual Reality Enables Rapid and Multi-Faceted Vision Screening in a Pilot Study
by Margarita Labkovich, Andrew J. Warburton, Christopher P. Cheng, Oluwafeyikemi O. Okome, Vicente Navarro, Randal A. Serafini, Aly A. Valliani, Harsha Reddy and James Chelnis
J. Clin. Transl. Ophthalmol. 2026, 4(1), 8; https://doi.org/10.3390/jcto4010008 - 18 Mar 2026
Viewed by 261
Abstract
Background: Given global population growth and aging, it is imperative to prioritize early eye disease detection and treatment. However, as patient volume increases, providers are facing a shortage of workforce capacity, particularly in areas where eye doctors are already scarce, making it [...] Read more.
Background: Given global population growth and aging, it is imperative to prioritize early eye disease detection and treatment. However, as patient volume increases, providers are facing a shortage of workforce capacity, particularly in areas where eye doctors are already scarce, making it important to consider alternative innovative solutions that could help increase eye screening capabilities. This study compared virtual reality (VR) platform of vision screening exams that are used to evaluate ocular health, such as 24-2 perimetry, Ishihara tiles, and the Amsler grid, against their in-clinic counterparts. Methods: A total of 86 subjects were recruited from Mount Sinai’s ophthalmology clinic (New York, USA) for a comparison trial that was internally controlled across healthy eyes and those with glaucoma and retinal diseases. VR and in-office tests were administered to the patients during their clinical visit, including 24-2 perimetry, Ishihara tiles, and the Amsler grid in a randomized order, and the results were compared for each test. Results: Perimetry results from Humphrey Visual Field Analyzer (HVFA) and VR suprathreshold testing demonstrated a good sensitivity both overall (80% OD, 84% OS) and across control (86% OD, 89% OS), glaucoma (69% OD, 78% OS), and retinal disease (76% OD, 80% OS) groups. A Garway-Heath anatomical map showed an overall 70–80% agreement. Ishihara plate tests did not show a significant difference between the two testing modalities (p = 0.12; Mann–Whitney U test), which remained true across all groups. Amsler grid testing differences were also non-significant within each subgroup (p = 0.81; Mann–Whitney U test). Patient time required to complete VR exams was significantly improved (p < 0.0001; Welch’s t-test) compared to the clinical standard tests. Conclusions: All VR-based exams tested in this study showed high sensitivity and percent agreement when compared to their in-office standards. Given the results of this study, VR has a promising potential in visual function screening, which, in addition to its portable design and easy use, could assist eye doctors in screening for prevalent diseases such as glaucoma and retinal conditions. Translational Relevance: VR-based vision exams that test vision fields, color vision and visual distortions provide comparable results in healthy patients, as well as those with glaucoma and retinal diseases, indicating its potential as a screening technology for different ocular pathologies. Given VR’s portable and low-profile features, it is important to consider leveraging VR to augment delivery of vision care. Full article
Show Figures

Figure 1

16 pages, 2341 KB  
Review
The Liver–Eye Axis of Dietary Vitamin A Homeostasis: A Review of Mechanisms, Receptors, and Visual Outcomes
by Sophie Gao, Matthias Leung, Rakesh Radhakrishnan and Glenn Prazere Lobo
Nutrients 2026, 18(5), 803; https://doi.org/10.3390/nu18050803 - 28 Feb 2026
Viewed by 676
Abstract
Background: Vitamin A is an essential micronutrient critical for vision, immune function, cellular differentiation, and metabolic homeostasis. The liver serves as the primary site of vitamin A storage and systemic distribution, delivering all-trans-retinol (ROL) to peripheral tissues, including the retina, via [...] Read more.
Background: Vitamin A is an essential micronutrient critical for vision, immune function, cellular differentiation, and metabolic homeostasis. The liver serves as the primary site of vitamin A storage and systemic distribution, delivering all-trans-retinol (ROL) to peripheral tissues, including the retina, via retinol-binding protein 4 (RBP4). Tight regulation of retinoid delivery to peripheral tissues is crucial for metabolic function and photoreceptor integrity. Objectives: This review provides a current understanding of intestinal absorption, hepatic storage, systemic transport, and ocular utilization of vitamin A, with a focus on the role of retinol-binding protein 4 receptor 2 (RBPR2) in mediating liver–eye communication. Results: Studies using Rbpr2 knockout mice show that loss of RBPR2 impairs hepatic ROL-bound RBP4 uptake and retinyl ester concentrations, alters circulating holo-RBP4 levels, and reduces ocular retinoid content, leading to visual dysfunction and photoreceptor structural abnormalities. These effects are amplified under dietary vitamin A-deficient conditions, highlighting its unique sensitivity to tightly regulated serum RBP4-ROL transport. In mouse models of Stargardt disease, dietary modulation of RBPR2 mRNA expression and serum RBP4-ROL levels protects against lipofuscin accumulation and attenuates retinal cell degeneration, suggesting translational relevance. Conclusions: This review article explores the liver–eye axis by focusing on the regulation of retinoid homeostasis in the liver and other systemic organs through the non-ocular RBP4 receptor protein, RBPR2, and how RBPR2 expression may influence liver and serum retinoid homeostasis, which can impact visual function. Disruption of RBPR2 markedly compromises systemic and retinal retinoid supply, emphasizing its potential as a therapeutic target for metabolic and retinal disorders. Full article
(This article belongs to the Section Nutrition and Neuro Sciences)
Show Figures

Figure 1

31 pages, 1866 KB  
Review
Artificial Intelligence in Corneal Drug Delivery Systems
by Amirhosein Panjipour, Soheil Sojdeh, Zohreh Arabpour and Ali R. Djalilian
BioMedInformatics 2026, 6(2), 11; https://doi.org/10.3390/biomedinformatics6020011 - 27 Feb 2026
Viewed by 853
Abstract
Conventional topical therapy for corneal and anterior segment diseases is limited by rapid tear clearance and multilayer corneal barriers, resulting in low bioavailability and the need for frequent dosing. Artificial intelligence (AI) is emerging as a complementary approach that learns quantitative relationships between [...] Read more.
Conventional topical therapy for corneal and anterior segment diseases is limited by rapid tear clearance and multilayer corneal barriers, resulting in low bioavailability and the need for frequent dosing. Artificial intelligence (AI) is emerging as a complementary approach that learns quantitative relationships between molecular structure, formulation variables, and ocular performance. In corneal drug delivery, machine learning models have been used to optimize multicomponent formulations and processing conditions; predict key quality attributes such as particle size, zeta potential, encapsulation efficiency and release kinetics; and estimate corneal permeability, retention and ocular irritation risk, thereby reducing experimental burden and guiding safer design. AI can also be coupled with mechanistic ocular pharmacokinetic/pharmacodynamic models to translate formulation attributes into predicted tissue exposure. Finally, inverse design approaches enable the discovery of new carriers and devices, illustrated by machine learning-guided peptide carriers and smart contact lens platforms that combine sensing with on-demand drug release. Despite these advances, current datasets remain small and heterogeneous, external validation and benchmarking against conventional workflows are limited, and uncertainty quantification and interpretability must be addressed to enable clinical translation. This review summarizes corneal barriers and delivery platforms, critically evaluates where AI provides measurable value across design, characterization and performance and highlights data and validation priorities needed for trustworthy AI-enabled corneal therapeutics. Full article
Show Figures

Figure 1

21 pages, 1748 KB  
Review
Extracellular Vesicles in Ophthalmology: From Natural Nanocarriers to Engineered Therapeutics
by Christopher Flores, Fabiana Mastantuono, Lu Huang, Tina B. McKay, Grace M. Coyne, Brenna Hefley, Brenda Vasini, Dimitrios Karamichos and Menglu Yang
Bioengineering 2026, 13(3), 275; https://doi.org/10.3390/bioengineering13030275 - 27 Feb 2026
Viewed by 1058
Abstract
Extracellular vesicles (EVs) are increasingly recognized as programmable bioactive carriers in non-viral gene delivery and adaptable bioengineering platforms. Beyond their roles as natural nanocarriers in intercellular communication, EVs can promote ocular surface repair and retinal neuroprotection with potential for low immunogenicity and high [...] Read more.
Extracellular vesicles (EVs) are increasingly recognized as programmable bioactive carriers in non-viral gene delivery and adaptable bioengineering platforms. Beyond their roles as natural nanocarriers in intercellular communication, EVs can promote ocular surface repair and retinal neuroprotection with potential for low immunogenicity and high biocompatibility. Bioengineering now enables cargo encapsulation, surface targeting, and integration of EVs with biomaterial platforms to enhance tissue penetration, retention, and precision delivery. The emergence of induced pluripotent stem cell-derived EVs (iMSC-EVs) offers improved batch uniformity and potential for personalized therapy. However, progress hinges on resolving knowledge gaps in ocular EV biology, standardizing isolation and storage, scaling reproducible manufacturing, and executing focused clinical trials. We synthesize the current developments and outline how EVs are moving from biological mediators to engineered therapeutics to accelerate the translation of EV diagnostics and therapeutics for eye diseases. Full article
(This article belongs to the Special Issue Bioengineering and the Eye—3rd Edition)
Show Figures

Graphical abstract

27 pages, 1501 KB  
Review
Macrophage Extracellular Vesicles: Therapeutic Strategies for Corneal Fibrosis in Rare Diseases
by Haiming Li, Anne-Sophie Loewinger, Danial Roshandel, Yuan Fang, Jingjing You, Mark Daniell and Gink N. Yang
Biomolecules 2026, 16(3), 346; https://doi.org/10.3390/biom16030346 - 26 Feb 2026
Viewed by 688
Abstract
Corneal scarring (fibrosis) is a blinding condition affecting millions of sufferers worldwide. It is not only in common ocular injuries but also in genetically inherited rare diseases such as epidermolysis bullosa (EB), keratitis-ichthyosis-deafness (KID) syndrome and aniridia. In rare diseases like EB or [...] Read more.
Corneal scarring (fibrosis) is a blinding condition affecting millions of sufferers worldwide. It is not only in common ocular injuries but also in genetically inherited rare diseases such as epidermolysis bullosa (EB), keratitis-ichthyosis-deafness (KID) syndrome and aniridia. In rare diseases like EB or KID syndrome, corneal fibrosis arises from chronic inflammation, structural instability and neuro-immune dysfunction driven by genetic mutations. Current therapies are not effective in addressing the needs of affected individuals due to limited efficacy nor the considerable side effects of treatment. Extracellular vesicles (EVs) from various cell types such as mesenchymal stem cells not only possess high biocompatibility but have shown promising results in limiting corneal fibrosis. Rather than targeting a single molecular signaling pathway, EVs which contain regulatory RNAs and proteins are hypothesized to target multiple pathways synergistically. Macrophage-derived EVs (Mac-EVs) with an immunomodulatory nature may offer a promising therapeutic effect for rare diseases. Various EV delivery platforms have been proposed in preclinical studies. However, not all of these delivery techniques are appropriate for the cornea in rare diseases. In this review, we delineate recent advances in understanding corneal fibrosis from a rare disease point of view, including the impact on corneal immune cells and nerves. We then provide critical considerations of therapeutic development for corneal fibrosis in rare diseases. Furthermore, we used this knowledge to comprehensively consider the various EVs, especially Mac-EVs, synthesis methods and delivery techniques. Ultimately, this review aims to enable biomolecule researchers to develop EV-based therapies that not only exert anti-fibrotic effects but also address clinical compatibility for corneal fibrosis in rare diseases. Full article
Show Figures

Figure 1

24 pages, 1239 KB  
Review
Anatomically Guided Non-Viral CRISPR/Cas9 Delivery in the Eye: Overcoming Barriers for Precision Gene Therapy
by Zhixiang Hua, Yang Shen and Xingtao Zhou
Pharmaceutics 2026, 18(3), 282; https://doi.org/10.3390/pharmaceutics18030282 - 24 Feb 2026
Viewed by 953
Abstract
Background/Objectives: While CRISPR/Cas9 technology offers a revolutionary approach for correcting genetic ocular blindness, efficient and safe delivery remains the primary bottleneck. Traditional viral vectors, despite their efficacy, face challenges regarding cargo size limitations and potential genomic integration risks. Non-viral vectors offer distinct comparative [...] Read more.
Background/Objectives: While CRISPR/Cas9 technology offers a revolutionary approach for correcting genetic ocular blindness, efficient and safe delivery remains the primary bottleneck. Traditional viral vectors, despite their efficacy, face challenges regarding cargo size limitations and potential genomic integration risks. Non-viral vectors offer distinct comparative advantages, including large cargo capacity for diverse CRISPR tools and transient expression to minimize off-target effects, but must overcome the eye’s formidable static and dynamic barriers, specifically the corneal epithelium, vitreous humor, and the inner limiting membrane. In this review, we present an anatomically guided framework for non-viral CRISPR/Cas9 delivery, mapping engineering strategies to specific ocular tissue targets. We first delineate the mechanisms of key physiological barriers, including the corneal stroma, aqueous humor circulation, and the vitreous–retina interface. Subsequently, we critically evaluate the latest advancements in non-viral platforms, such as pH-responsive lipid nanoparticles and engineered virus-like particles. The core focus of this review is on site-specific breakthrough strategies: from utilizing mucoadhesive polymers to counteract tear clearance in the cornea to exploiting specialized administration routes, such as suprachoroidal space and subretinal injection, to bypass retinal barriers, and deep-penetrating intravitreal carriers for targeting the photoreceptor-RPE complex. By integrating material science with precise administration routes, this review highlights feasible translational pathways for next-generation, carrier-free, or biomimetic ocular gene editing therapies. Full article
(This article belongs to the Special Issue Ocular Drug Delivery System)
Show Figures

Figure 1

Back to TopTop