The Use of Chimeric Virus-like Particles Harbouring a Segment of Hantavirus Gc Glycoprotein to Generate a Broadly-Reactive Hantavirus-Specific Monoclonal Antibody
Abstract
:1. Introduction
2. Results
2.1. Production of Recombinant Full-Length PUUV-Gc Protein in Yeast S. cerevisiae and Generation of Monoclonal Antibodies


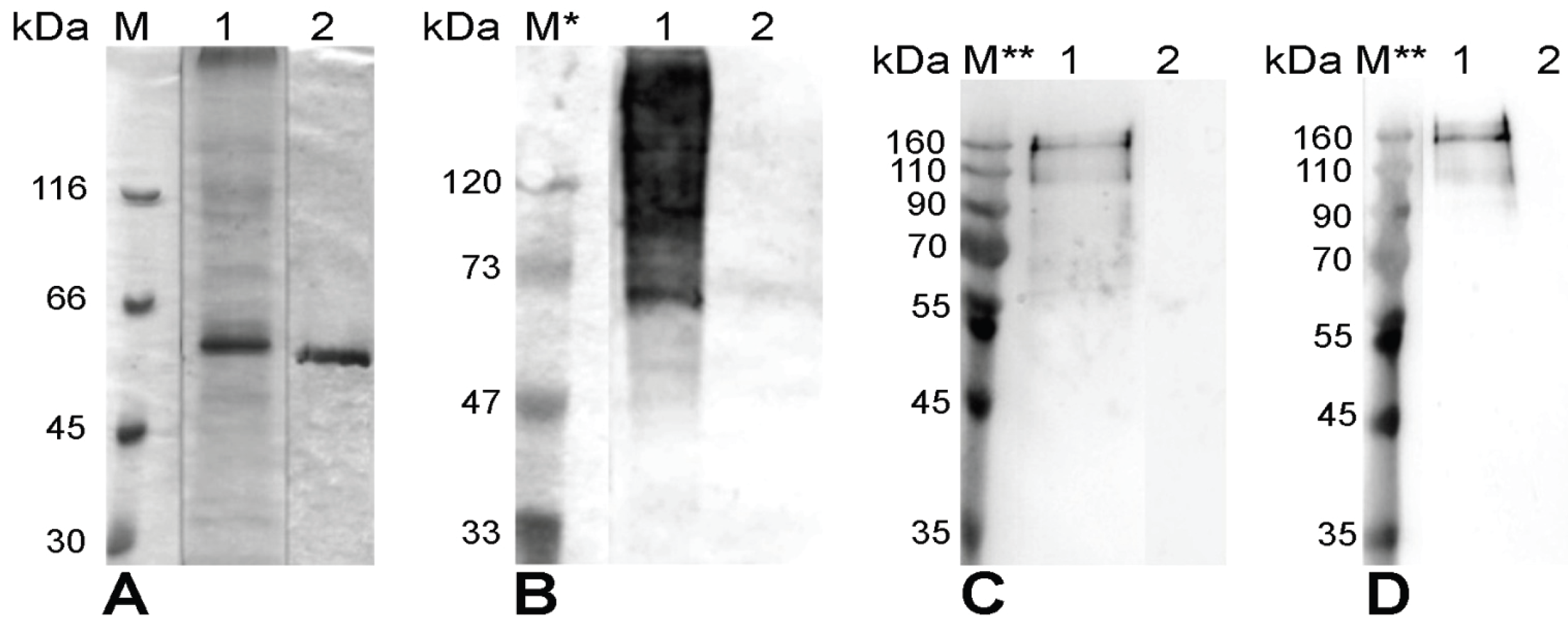
2.2. Expression, Purification and Electron Microscopy Characterization of Chimeric VLPs Harbouring PUUV-Gc Protein Segment

2.3. Antigenic Properties of Chimeric VLPs Harbouring the Gc99 Protein Segment
2.4. Immunogenic Properties of Chimeric VLPs
2.5. Generation of Monoclonal Antibodies against Hantavirus Gc Segment Displayed on VLPs

2.6. Mapping of the MAb #10B8 Epitope
2.7. The Reactivity of the MAb #10B8 with Hantavirus-Infected Cells
2.8. Neutralization Test with the MAb #10B8


3. Discussion
4. Experimental Section
4.1. Monoclonal Antibodies and Polyclonal Antisera
4.2. Generation of an Expression Plasmid Encoding Full-Length PUUV Gc Glycoprotein
4.3. Expression and Purification of Recombinant Full-Length Hantavirus Gc and N Proteins
4.4. Generation of Expression Plasmids Encoding a VP1 Gc Fusion Protein
4.5. Expression and Characterization of Chimeric VP1 Protein Harbouring PUUV Gc Protein Insert
4.6. SDS-PAGE and Western Blot Analysis
4.7. Immunization of Mice and Generation of Monoclonal Antibodies
4.8. Indirect ELISA
4.9. Indirect Immunofluorescence Assay
4.10. Hantavirus Neutralization Test
5. Conclusions
Acknowledgments
Author Contributions
Conflicts of Interest
References and Notes
- Plyusnin, A.; Beaty, B.J.; Elliott, R.M.; Goldbach, R. Bunyaviridae: Molecular and cellular biology. In Virus Taxonomy: 9th Report of the International Committee on Taxonomy of Viruses; Elsevier: San Diego, CA, USA, 2011; pp. 693–709. [Google Scholar]
- Schönrich, G.; Rang, A.; Lütteke, N.; Raftery, M.J.; Charbonnel, N.; Ulrich, R.G. Hantavirus-induced immunity in rodent reservoirs and humans. Immunol. Rev. 2008, 225, 163–168. [Google Scholar] [CrossRef]
- Schlegel, M.; Jacob, J.; Krüger, D.H.; Rang, A.; Ulrich, R.G. Hantavirus emergence in rodents, insectivores and bats: What comes next? In Role of Animals in Emerging Viral Diseases; Johnson, N., Ed.; Academic Press: San Diego, CA, USA, 2014; pp. 235–292. [Google Scholar]
- Schmaljohn, C.S. Bunyaviridae. In Fields Virology, 5th ed.; Knipe, D.M., Howley, P.M., Eds.; Lippencott Williams & Wilkins: Philadelphia, PA, USA, 2007; pp. 1741–1789. [Google Scholar]
- Spiropoulou, C.F. Bunyaviridae: Molecular and cellular biology. In Molecular Biology of Hantavirus Infection; Plyusnin, A., Elliott, R., Norfolk, M., Eds.; Caister Academic Press: Norfolk, UK, 2011; pp. 41–60. [Google Scholar]
- Löber, C.; Anheier, B.; Lindow, S.; Klenk, H.D.; Feldmann, H. The Hantaan virus glycoprotein precursor is cleaved at the conserved pentapeptide WAASA. Virology 2001, 289, 224–229. [Google Scholar] [CrossRef]
- Schmaljohn, C.S.; Hasty, S.E.; Dalrymple, J.M.; LeDuc, J.W.; Lee, H.W.; von Bonsdorff, C.H.; Brummer-Korvenkontio, M.; Vaheri, A.; Tsai, T.F.; Regnery, H.L.; et al. Antigenic and genetic properties of viruses linked to hemorrhagic fever with renal syndrome. Science 1985, 227, 1041–1044. [Google Scholar]
- Hepojoki, J.; Strandin, T.; Lankinen, H.; Vaheri, A. Hantavirus structure—Molecular interactions behind the scene. J. Gen. Virol. 2012, 93, 1631–1644. [Google Scholar] [CrossRef]
- Overby, A.K.; Pettersson, R.F.; Neve, E.P. The glycoprotein cytoplasmic tail of Uukuniemi virus (Bunyaviridae) interacts with ribonucleoproteins and is critical for genome packaging. J. Virol. 2007, 81, 3198–3205. [Google Scholar] [CrossRef]
- Snippe, M.; Willem Borst, J.; Goldbach, R.; Kormelink, R. Tomato spotted wilt virus Gc and N proteins interact in vivo. Virology 2007, 357, 115–123. [Google Scholar] [CrossRef]
- Battisti, A.J.; Chu, Y.K.; Chipman, P.R.; Kaufmann, B.; Jonsson, C.B.; Rossmann, M.G. Structural studies of Hantaan virus. J. Virol. 2011, 85, 835–841. [Google Scholar] [CrossRef]
- Huiskonen, J.T.; Hepojoki, J.; Laurinmäki, P.; Vaheri, A.; Lankinen, H.; Butcher, S.J.; Grünewald, K. Electron cryotomography of Tula hantavirus suggests a unique assembly paradigm for enveloped viruses. J. Virol. 2010, 84, 4889–4897. [Google Scholar] [CrossRef]
- Hepojoki, J.; Strandin, T.; Vaheri, A.; Lankinen, H. Interactions and oligomerization of hantavirus glycoproteins. J. Virol. 2010, 84, 227–242. [Google Scholar] [CrossRef]
- Tischler, N.D.; Gonzalez, A.; Perez-Acle, T.; Rosemblatt, M.; Valenzuela, P.D. Hantavirus Gc glycoprotein: Evidence for a class II fusion protein. J. Gen. Virol. 2005, 86, 2937–2947. [Google Scholar] [CrossRef]
- Elgh, F.; Lundkvist, A.; Alexeyev, O.A.; Stenlund, H.; AvsicZupanc, T.; Hjelle, B.; Lee, H.W.; Smith, K.J.; Vainionpaa, R.; Wiger, D.; et al. Serological diagnosis of hantavirus infections by an enzyme-linked immunosorbent assay based on detection of immunoglobulin G and M responses to recombinant nucleocapsid proteins of five viral serotypes. J. Clin. Microbiol. 1997, 35, 1122–1130. [Google Scholar]
- Klempa, B.; Koulemou, K.; Auste, B.; Emmerich, P.; Thome-Bolduan, C.; Gunther, S.; Koivogui, L.; Kruger, D.H.; Fichet-Calvet, E. Seroepidemiological study reveals regional co-occurrence of Lassa- and Hantavirus antibodies in Upper Guinea, West Africa. Trop. Med. Int. Heal. 2013, 18, 366–371. [Google Scholar]
- Sargianou, M.; Watson, D.C.; Chra, P.; Papa, A.; Starakis, I.; Gogos, C.; Panos, G. Hantavirus infections for the clinician: From case presentation to diagnosis and treatment. Crit. Rev. Microbiol. 2012, 38, 317–329. [Google Scholar] [CrossRef]
- Kallio-Kokko, H.; Lundkvist, A.; Plyusnin, A.; Avsic-Zupanc, T.; Vaheri, A.; Vapalahti, O. Antigenic properties and diagnostic potential of recombinant dobrava virus nucleocapsid protein. J. Med. Virol. 2000, 61, 266–274. [Google Scholar] [CrossRef]
- Kallio-Kokko, V.; Leveelahti, R.; Brummer-Korvenkontio, M.; Lundkvist, A.; Vaheri, A.; Vapalahti, O. Human immune response to puumala virus glycoproteins and nucleocapsid protein expressed in mammalian cells. J. Med. Virol. 2001, 65, 605–613. [Google Scholar] [CrossRef]
- Tischler, N.D.; Galeno, H.; Rosemblatt, M.; Valenzuela, P.D.T. Human and rodent humoral immune responses to Andes virus structural proteins. Virology 2005, 334, 319–326. [Google Scholar] [CrossRef]
- Groen, J.; Dalrymple, J.; Fisher-Hoch, S.; Jordans, J.G.; Clement, J.P.; Osterhaus, A.D. Serum antibodies to structural proteins of Hantavirus arise at different times after infection. J. Med. Virol. 1992, 37, 283–287. [Google Scholar] [CrossRef]
- Krüger, D.H.; Ulrich, R.; Lundkvist, A. Hantavirus infections and their prevention. Microbes Infect. 2001, 3, 1129–1144. [Google Scholar] [CrossRef]
- Petraityte, R.; Yang, H.; Hunjan, R.; Razanskiene, A.; Dhanilall, P.; Ulrich, R.G.; Sasnauskas, K.; Jin, L. Development and evaluation of serological assays for detection of Hantaan virus-specific antibodies in human sera using yeast-expressed nucleocapsid protein. J. Virol. Methods 2008, 148, 89–95. [Google Scholar] [CrossRef]
- Lederer, S.; Lattwein, E.; Hanke, M.; Sonnenberg, K.; Stoecker, W.; Lundkvist, A.; Vaheri, A.; Vapalahti, O.; Chan, P.K.S.; Feldmann, H.; et al. Indirect immunofluorescence assay for the simultaneous detection of antibodies against clinically important old and new world hantaviruses. PLoS Negl. Trop. Dis. 2013, 7, e2157. [Google Scholar] [CrossRef]
- Razanskiene, A.; Schmidt, J.; Geldmacher, A.; Ritzi, A.; Niedrig, M.; Lundkvist, A.; Kruger, D.H.; Meisel, H.; Sasnauskas, K.; Ulrich, R. High yields of stable and highly pure nucleocapsid proteins of different hantaviruses can be generated in the yeast Saccharomyces cerevisiae. J. Biotechnol. 2004, 111, 319–333. [Google Scholar] [CrossRef]
- Meisel, H.; Wolbert, A.; Razanskiene, A.; Marg, A.; Kazaks, A.; Sasnauskas, K.; Pauli, G.; Ulrich, R.; Kruger, D.H. Development of novel immunoglobulin G (IgG), IgA, and IgM enzyme Immunoassays based on recombinant Puumala and Dobrava hantavirus nucleocapsid proteins. Clin. Vaccine Immunol. 2006, 13, 1349–1357. [Google Scholar] [CrossRef]
- Sjölander, K.B.; Elgh, F.; Kallio-Kokko, H.; Vapalahti, O.; Hägglund, M.; Palmcrantz, V.; Juto, P.; Vaheri, A.; Niklasson, B.; Lundkvist, A. Evaluation of serological methods for diagnosis of Puumala hantavirus infection (nephropathia epidemica). J. Clin. Microbiol. 1997, 35, 3264–3268. [Google Scholar]
- Elgh, F.; Wadell, G.; Juto, P. Comparison of the kinetics of Puumala virus specific IgM and IgG antibody responses in nephropathia epidemica as measured by a recombinant antigen-based enzyme-linked immunosorbent assay and an immunofluorescence test. J. Med. Virol. 1995, 45, 146–150. [Google Scholar] [CrossRef]
- Schmaljohn, C.S. Vaccines for hantaviruses: Progress and issues. Expert Rev. Vaccines 2012, 11, 511–513. [Google Scholar] [CrossRef]
- Godoy, P.; Marsac, D.; Stefas, E.; Ferrer, P.; Tischler, N.D.; Pino, K.; Ramdohr, P.; Vial, P.; Valenzuela, P.D.T.; Ferres, M.; et al. Andes virus antigens are shed in urine of patients with acute hantavirus cardiopulmonary syndrome. J. Virol. 2009, 83, 5046–5055. [Google Scholar] [CrossRef]
- Hjelle, B.; Jenison, S.; TorrezMartinez, N.; Herring, B.; Quan, S.; Polito, A.; Pichuantes, S.; Yamada, T.; Morris, C.; Elgh, F.; et al. Rapid and specific detection of Sin Nombre virus antibodies in patients with hantavirus pulmonary syndrome by a strip immunoblot assay suitable for field diagnosis. J. Clin. Microbiol. 1997, 35, 600–608. [Google Scholar]
- Jenison, S.; Yamada, T.; Morris, C.; Anderson, B.; Torrez-Martinez, N.; Keller, N.; Hjelle, B. Characterization of human antibody responses to four corners hantavirus infections among patients with hantavirus pulmonary syndrome. J. Virol. 1994, 68, 3000–3006. [Google Scholar]
- Ruusala, A.; Persson, R.; Schmaljohn, C.S.; Pettersson, R.F. Coexpression of the membrane glycoproteins G1 and G2 of Hantaan virus is required for targeting to the Golgi complex. Virology 1992, 186, 53–64. [Google Scholar] [CrossRef]
- Shi, X.; Elliott, R.M. Golgi localization of Hantaan virus glycoproteins requires coexpression of G1 and G2. Virology 2002, 300, 31–38. [Google Scholar] [CrossRef]
- Pensiero, M.N.; Hay, J. The Hantaan virus M-segment glycoproteins G1 and G2 can be expressed independently. J. Virol. 1992, 66, 1907–1914. [Google Scholar]
- Spiropoulou, C.F.; Goldsmith, C.S.; Shoemaker, T.R.; Peters, C.J.; Compans, R.W. Sin Nombre virus glycoprotein trafficking. Virology 2003, 308, 48–63. [Google Scholar] [CrossRef]
- Zöller, L.G.; Yang, S.; Gött, P.; Bautz, E.K.; Darai, G. A novel mu-capture enzyme-linked immunosorbent assay based on recombinant proteins for sensitive and specific diagnosis of hemorrhagic fever with renal syndrome. J. Clin. Microbiol. 1993, 31, 1194–1199. [Google Scholar]
- Lundkvist, A.; Horling, J.; Niklasson, B. The humoral response to puumala virus-infection (nephropathia-epidemica) investigated by viral protein-specific immunoassays. Arch. Virol. 1993, 130, 121–130. [Google Scholar] [CrossRef]
- Lundkvist, A.; Hörling, J.; Björsten, S.; Niklasson, B. Sensitive detection of hantaviruses by biotin-streptavidin enhanced immunoassays based on bank vole monoclonal antibodies. J. Virol. 1995, 52, 75–86. [Google Scholar]
- Kucinskaite-Kodze, I.; Petraityte-Burneikiene, R.; Zvirbliene, A.; Hjelle, B.; Medina, R.A.; Gedvilaite, A.; Razanskiene, A.; Schmidt-Chanasit, J.; Mertens, M.; Padula, P.; et al. Characterization of monoclonal antibodies against hantavirus nucleocapsid protein and their use for immunohistochemistry on rodent and human samples. Arch. Virol. 2011, 156, 443–456. [Google Scholar] [CrossRef]
- Lundkvist, A.; Niklasson, B. Bank vole monoclonal antibodies against Puumala virus envelope glycoproteins: Identification of epitopes involved in neutralization. Arch. Virol. 1992, 126, 93–105. [Google Scholar] [CrossRef]
- Lundkvist, A.; Fatouros, A.; Niklasson, B. Antigenic variation of European haemorrhagic fever with renal syndrome virus strains characterized using bank vole monoclonal antibodies. J. Gen. Virol. 1991, 72, 2097–2103. [Google Scholar] [CrossRef]
- Ruo, S.L.; Sanchez, A.; Elliott, L.H.; Brammer, L.S.; McCormick, J.B.; Fisher-Hoch, S.P. Monoclonal antibodies to three strains of hantaviruses: Hantaan, R22, and Puumala. Arch. Virol. 1991, 119, 1–11. [Google Scholar] [CrossRef]
- Arikawa, J.; Schmaljohn, A.L.; Dalrymple, J.M.; Schmaljohn, C.S. Characterization of Hantaan virus envelope glycoprotein antigenic determinants defined by monoclonal antibodies. J. Gen. Virol. 1989, 70, 615–624. [Google Scholar] [CrossRef]
- Liang, M.; Mahler, M.; Koch, J.; Ji, Y.; Li, D.; Schmaljohn, C.; Bautz, E.K.F. Generation of an HFRS patient-derived neutralizing recombinant antibody to Hantaan virus G1 protein and definition of the neutralizing domain. J. Med. Virol. 2003, 69, 99–107. [Google Scholar] [CrossRef] [Green Version]
- Koch, J.; Liang, M.; Queitsch, I.; Kraus, A.A.; Bautz, E.K.F. Human recombinant neutralizing antibodies against hantaan virus G2 protein. Virology 2003, 308, 64–73. [Google Scholar] [CrossRef]
- Brocato, R.L.; Josleyn, M.J.; Wahl-Jensen, V.; Schmaljohn, C.S.; Hooper, J.W. Construction and nonclinical testing of a Puumala virus synthetic M gene-based DNA vaccine. Clin. Vaccine Immunol. 2013, 20, 218–226. [Google Scholar] [CrossRef]
- Schmaljohn, C.S.; Chu, Y.K.; Schmaljohn, A.L.; Dalrymple, J.M. Antigenic subunits of Hantaan virus expressed by baculovirus and vaccinia virus recombinants. J. Virol. 1990, 64, 3162–3170. [Google Scholar]
- Kariwa, H.; Arikawa, J.; Takashima, I.; Hashimoto, N. Development and application of protein G antibody assay for the detection of antibody to hantavirus. J. Virol. Methods 1992, 37, 345–354. [Google Scholar] [CrossRef]
- Custer, D.M.; Thompson, E.; Schmaljohn, C.S.; Ksiazek, T.G.; Hooper, J.W. Active and passive vaccination against hantavirus pulmonary syndrome with Andes virus M genome segment-based DNA vaccine. J. Virol. 2003, 77, 9894–9905. [Google Scholar] [CrossRef]
- Antoniadis, A.; LeDuc, J.W.; Acritidis, N.; Alexiou-Daniel, S.; Kyparissi, A.; Saviolakis, G.A. Hemorrhagic fever with renal syndrome in Greece: Clinical and laboratory characteristics. Rev. Infect. Dis. 1989, 11, S891–S896. [Google Scholar] [CrossRef]
- Arikawa, J.; Yao, J.S.; Yoshimatsu, K.; Takashima, I.; Hashimoto, N. Protective role of antigenic sites on the envelope protein of hantaan virus defined by monoclonal-antibodies. Arch. Virol. 1992, 126, 271–281. [Google Scholar] [CrossRef]
- Guttieri, M.C.; Bookwalter, C.; Schmaljohn, C. Expression of a human, neutralizing monoclonal antibody specific to puumala virus G2-protein in stably-transformed insect cells. J. Immunol. Methods 2000, 246, 97–108. [Google Scholar] [CrossRef]
- Liang, M.; Chu, Y.K.; Schmaljohn, C. Bacterial expression of neutralizing mouse monoclonal antibody Fab fragments to Hantaan virus. Virology 1996, 217, 262–271. [Google Scholar] [CrossRef]
- Liang, M.; Guttieri, M.; Lundkvist, A.; Schmaljohn, C. Baculovirus expression of a human G2-specific, neutralizing IgG monoclonal antibody to Puumala virus. Virology 1997, 235, 252–260. [Google Scholar] [CrossRef] [Green Version]
- Salonen, E.M.; Parren, P.W.; Graus, Y.F.; Lundkvist, A.; Fisicaro, P.; Vapalahti, O.; Kallio-Kokko, H.; Vaheri, A.; Burton, D.R. Human recombinant Puumala virus antibodies: Cross-reaction with other hantaviruses and use in diagnostics. J. Gen. Virol. 1998, 79, 659–665. [Google Scholar]
- Zhang, X.K.; Takashima, I.; Hashimoto, N. Characteristics of passive immunity against hantavirus infection in rats. Arch. Virol. 1989, 105, 235–246. [Google Scholar] [CrossRef]
- Xu, Z.; Wei, L.; Wang, L.; Wang, H.; Jiang, S. The in vitro and in vivo protective activity of monoclonal antibodies directed against Hantaan virus: potential application for immunotherapy and passive immunization. Biochem. Biophys. Res. Commun. 2002, 298, 552–558. [Google Scholar] [CrossRef]
- Klingström, J.; Stoltz, M.; Hardestam, J.; Ahlm, C.; Lundkvist, A. Passive immunization protects cynomolgus macaques against Puumala hantavirus challenge. Antivir. Ther. 2008, 13, 125–133. [Google Scholar]
- Sawyer, L.A. Antibodies for the prevention and treatment of viral diseases. Antivir. Res. 2000, 47, 57–77. [Google Scholar] [CrossRef]
- Ciplys, E.; Samuel, D.; Juozapaitis, M.; Sasnauskas, K.; Slibinskas, R. Overexpression of human virus surface glycoprotein precursors induces cytosolic unfolded protein response in Saccharomyces cerevisiae. Microb. Cell Fact. 2011, 10. [Google Scholar] [CrossRef]
- Sakamoto, S.; Ide, T.; Tokiyoshi, S.; Nakao, J.; Hamada, F.; Yamamoto, M.; Grosby, J.A.; Ni, Y.; Kawai, A. Studies on the structures and antigenic properties of rabies virus glycoprotein analogues produced in yeast cells. Vaccine 1999, 17, 205–218. [Google Scholar] [CrossRef]
- Sandmann, S.; Meisel, H.; Razanskiene, A.; Wolbert, A.; Pohl, B.; Krüger, D.H.; Sasnauskas, K.; Ulrich, R. Detection of human hantavirus infections in Lithuania. Infection 2005, 33, 66–72. [Google Scholar] [CrossRef]
- Zvirbliene, A.; Samonskyte, L.; Gedvilaite, A.; Voronkova, T.; Ulrich, R.; Sasnauskas, K. Generation of monoclonal antibodies of desired specificity using chimeric polyomavirus-derived virus-like particles. J. Immunol. Methods 2006, 311, 57–70. [Google Scholar] [CrossRef]
- Gedvilaite, A.; Zvirbliene, A.; Staniulis, J.; Sasnauskas, K.; Krüger, D.H.; Ulrich, R. Segments of puumala hantavirus nucleocapsid protein inserted into chimeric polyomavirus-derived virus-like particles induce a strong immune response in mice. Viral Immunol. 2004, 17, 51–68. [Google Scholar] [CrossRef]
- Lawatscheck, R.; Aleksaite, E.; Schenk, J.A.; Micheel, B.; Jandrig, B.; Holland, G.; Sasnauskas, K.; Gedvilaite, A.; Ulrich, R.G. Chimeric polyomavirus-derived virus-like particles: The immunogenicity of an inserted peptide applied without adjuvant to mice depends on its insertion site and its flanking linker sequence. Viral Immunol. 2007, 20, 453–460. [Google Scholar]
- Dorn, D.C.; Lawatscheck, R.; Zvirbliene, A.; Aleksaite, E.; Pecher, G.; Sasnauskas, K.; Ozel, M.; Raftery, M.; Schönrich, G.; Ulrich, R.G.; et al. Cellular and humoral immunogenicity of hamster polyomavirus-derived virus-like particles harboring a mucin 1 cytotoxic T-cell epitope. Viral Immunol. 2008, 21, 12–27. [Google Scholar] [CrossRef]
- Gedvilaite, A.; Frömmel, C.; Sasnauskas, K.; Micheel, B.; Ozel, M.; Behrsing, O.; Staniulis, J.; Jandrig, B.; Scherneck, S.; Ulrich, R. Formation of immunogenic virus-like particles by inserting epitopes into surface-exposed regions of hamster polyomavirus major capsid protein. Virology 2000, 273, 21–35. [Google Scholar] [CrossRef]
- Gött, P.; Zöller, L.; Darai, G.; Bautz, E.K. A major antigenic domain of hantaviruses is located on the aminoproximal site of the viral nucleocapsid protein. Virus Genes 1997, 14, 31–40. [Google Scholar] [CrossRef]
- Zvirbliene, A.; Sezaite, I.; Pleckaityte, M.; Kucinskaite-Kodze, I.; Juozapaitis, M.; Sasnauskas, K. Mapping of an antigenic site on the nucleocapsid protein of human parainfluenza virus Type 3. Viral Immunol. 2009, 22, 181–188. [Google Scholar] [CrossRef]
- Sasnauskas, K.; Buzaite, O.; Vogel, F.; Jandrig, B.; Razanskas, R.; Staniulis, J.; Scherneck, S.; Krüger, D.H.; Ulrich, R. Yeast cells allow high-level expression and formation of polyomavirus-like particles. Biol. Chem. 1999, 380, 381–386. [Google Scholar]
- Pleckaityte, M.; Zvirbliene, A.; Sezaite, I.; Gedvilaite, A. Production in yeast of pseudotype virus-like particles harboring functionally active antibody fragments neutralizing the cytolytic activity of vaginolysin. Microb. Cell. Fact. 2011, 10. [Google Scholar] [CrossRef]
- Mimnaugh, E.G; Neckers, L.M. Immunoblotting methods for the study of protein ubiquitination. Methods Mol. Biol. 2002, 194, 179–203. [Google Scholar]
- Köhler, G.; Milstein, C. Continuous cultures of fused cells secreting antibody of predefined specificity. Nature 1975, 256, 495–497. [Google Scholar] [CrossRef]
- Image-pro Plus, Version 7.0; Media Cybernetics: Rockwille, MD, USA, 2010.
- Heider, H.; Ziaja, B.; Priemer, C.; Lundkvist, A.; Neyts, J.; Krüger, D.H.; Ulrich, R. A chemiluminescence detection method of hantaviral antigens in neutralisation assays and inhibitor studies. J. Virol. Methods 2001, 96, 17–23. [Google Scholar] [CrossRef]
© 2014 by the authors; licensee MDPI, Basel, Switzerland. This article is an open access article distributed under the terms and conditions of the Creative Commons Attribution license (http://creativecommons.org/licenses/by/3.0/).
Share and Cite
Zvirbliene, A.; Kucinskaite-Kodze, I.; Razanskiene, A.; Petraityte-Burneikiene, R.; Klempa, B.; Ulrich, R.G.; Gedvilaite, A. The Use of Chimeric Virus-like Particles Harbouring a Segment of Hantavirus Gc Glycoprotein to Generate a Broadly-Reactive Hantavirus-Specific Monoclonal Antibody. Viruses 2014, 6, 640-660. https://doi.org/10.3390/v6020640
Zvirbliene A, Kucinskaite-Kodze I, Razanskiene A, Petraityte-Burneikiene R, Klempa B, Ulrich RG, Gedvilaite A. The Use of Chimeric Virus-like Particles Harbouring a Segment of Hantavirus Gc Glycoprotein to Generate a Broadly-Reactive Hantavirus-Specific Monoclonal Antibody. Viruses. 2014; 6(2):640-660. https://doi.org/10.3390/v6020640
Chicago/Turabian StyleZvirbliene, Aurelija, Indre Kucinskaite-Kodze, Ausra Razanskiene, Rasa Petraityte-Burneikiene, Boris Klempa, Rainer G. Ulrich, and Alma Gedvilaite. 2014. "The Use of Chimeric Virus-like Particles Harbouring a Segment of Hantavirus Gc Glycoprotein to Generate a Broadly-Reactive Hantavirus-Specific Monoclonal Antibody" Viruses 6, no. 2: 640-660. https://doi.org/10.3390/v6020640
APA StyleZvirbliene, A., Kucinskaite-Kodze, I., Razanskiene, A., Petraityte-Burneikiene, R., Klempa, B., Ulrich, R. G., & Gedvilaite, A. (2014). The Use of Chimeric Virus-like Particles Harbouring a Segment of Hantavirus Gc Glycoprotein to Generate a Broadly-Reactive Hantavirus-Specific Monoclonal Antibody. Viruses, 6(2), 640-660. https://doi.org/10.3390/v6020640

