Chordoma Spontaneous Regression After COVID-19
Abstract
1. Introduction
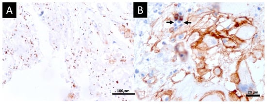
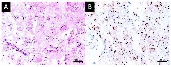
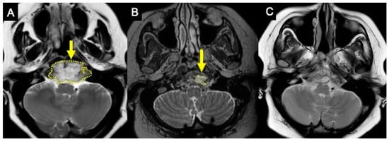
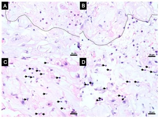
2. Case Report
3. Discussion
Author Contributions
Funding
Institutional Review Board Statement
Informed Consent Statement
Data Availability Statement
Acknowledgments
Conflicts of Interest
References
- Bakker, S.H.; Jacobs, W.C.H.; Pondaag, W.; Gelderblom, H.; Nout, R.A.; Dijkstra, P.D.S.; Peul, W.C.; Vleggeert-Lankamp, C.L.A. Chordoma: A systematic review of the epidemiology and clinical prognostic factors predicting progression-free and overall survival. Eur. Spine J. 2018, 27, 3043–3058. [Google Scholar] [CrossRef] [PubMed]
- Gulluoglu, S.; Turksoy, O.; Kuskucu, A.; Ture, U.; Bayrak, O.F. The Molecular Aspects of Chordoma. Neurosurg. Rev. 2016, 39, 185–196. [Google Scholar] [CrossRef] [PubMed]
- Tenny, S.; Varacallo, M. Chordoma. In StatPearls; StatPearls Publishing: Treasure Island, FL, USA, 2021. [Google Scholar]
- Radl, R.; Leithner, A.; Kastner, N.; Bodo, K.; Nader, A.; Windhager, R. Disappearance of a Cervical Spine Chordoma after Nonoperative Treatment. A Case Report. J. Bone Jt. Surg. Am. 2005, 87, 1822–1827. [Google Scholar] [CrossRef]
- Bander, E.D.; Kocharian, G.; Liechty, B.; Tsiouris, A.J.; Schwartz, T.H. Spontaneous Regression of a Clival chordoma. Case Report. Acta Neurochir. 2020, 162, 433–436. [Google Scholar] [CrossRef]
- Passeri, T.; Giammattei, L.; Froelich, S. Letter to the Editor Regarding Spontaneous Regression of a Clival chordoma. Case Report. Acta Neurochir. 2020, 162, 437–439. [Google Scholar] [CrossRef] [PubMed]
- Vellutini, E.D.A.S.; Stamm, A.E.C.; de Oliveira, M.F. Spontaneous Regression of a Clival chordoma: An Unusual Case Report. J. Neurol. Surg. A Cent. Eur. Neurosurg. 2021, 83, 388–390. [Google Scholar] [CrossRef]
- Challenor, S.; Tucker, D. SARS-CoV-2-Induced Remission of Hodgkin Lymphoma. Br. J. Haematol. 2021, 192, 415. [Google Scholar] [CrossRef]
- Pasin, F.; Mascalchi Calveri, M.; Calabrese, A.; Pizzarelli, G.; Bongiovanni, I.; Andreoli, M.; Cattaneo, C.; Rignanese, G. Oncolytic Effect of SARS-CoV2 in a Patient with NK Lymphoma. Acta Bio Med. 2020, 91, e2020047. [Google Scholar] [CrossRef]
- Zhang, X.; Chen, J.; Sun, J.; Gao, S.; Zhao, F.; Qian, N. Tumor reduction after SARS-CoV-2 infection in a patient with lung cancer: A case report. Oncol. Lett. 2024, 27, 169. [Google Scholar] [CrossRef]
- Ottaiano, A.; Scala, S.; D’Alterio, C.; Trotta, A.; Bello, A.; Rea, G.; Picone, C.; Santorsola, M.; Petrillo, A.; Nasti, G. Unexpected tumor reduction in metastatic colorectal cancer patients during SARS-CoV-2 infection. Ther. Adv. Med. Oncol. 2021, 13, 17588359211011455. [Google Scholar] [CrossRef]
- Ottaiano, A.; Santorsola, M.; Circelli, L.; Cascella, M.; Petrillo, N.; Perri, F.; Casillo, M.; Granata, V.; Ianniello, M.; Izzo, F.; et al. Genetic landscape of colorectal cancer patients manifesting tumor shrinkage during SARS-CoV-2 infection. Ther. Adv. Med. Oncol. 2022, 14, 17588359221138388. [Google Scholar] [CrossRef] [PubMed]
- Buchler, T.; Fiser, L.; Benesova, J.; Jirickova, H.; Votrubova, J. Spontaneous Regression of Metastatic Renal Cell Carcinoma after SARS-CoV-2 Infection: A Report of Two Cases. Curr. Oncol. 2021, 28, 3403–3407. [Google Scholar] [CrossRef] [PubMed]
- Daly, J.L.; Simonetti, B.; Klein, K.; Chen, K.E.; Williamson, M.K.; Antón-Plágaro, C.; Shoemark, D.K.; Simón-Gracia, L.; Bauer, M.; Hollandi, R.; et al. Neuropilin-1 is a host factor for SARS-CoV-2 infection. Science 2020, 370, 861–865. [Google Scholar] [CrossRef] [PubMed]
- Sengupta, N.; MacFie, T.S.; MacDonald, T.T.; Pennington, D.; Silver, A.R. Cancer Immunoediting and “Spontaneous” Tumor Regression. Pathol. Res. Pract. 2010, 206, 1–8. [Google Scholar] [CrossRef]
- Raja, J.; Ludwig, J.M.; Gettinger, S.N.; Schalper, K.A.; Kim, H.S. Oncolytic Virus Immunotherapy: Future Prospects for Oncology. J. Immunother. Cancer 2018, 6, 140. [Google Scholar] [CrossRef]
- Zając, A.E.; Czarnecka, A.M.; Rutkowski, P. The Role of Macrophages in Sarcoma Tumor Microenvironment and Treatment. Cancers 2023, 15, 5294. [Google Scholar] [CrossRef] [PubMed]
- Pérez-Romero, K.; Rodríguez, R.M.; Amedei, A.; Barceló-Coblijn, G.; Lopez, D.H. Immune Landscape in Tumor Microenvironment: Implications for Biomarker Development and Immunotherapy. Int. J. Mol. Sci. 2020, 21, 5521. [Google Scholar] [CrossRef]
- Jessy, T. Immunity over Inability: The Spontaneous Regression of Cancer. J. Nat. Sci. Biol. Med. 2011, 2, 43–49. [Google Scholar] [CrossRef]
- Kucerova, P.; Cervinkova, M. Spontaneous Regression of Tumour and the Role of Microbial Infection–Possibilities for Cancer Treatment. Anticancer Drugs 2016, 27, 269–277. [Google Scholar] [CrossRef]
- Thomas, J.A.; Badini, M. The Role of Innate Immunity in Spontaneous Regression of Cancer. Indian J. Cancer 2011, 48, 246–251. [Google Scholar] [CrossRef]
- Srivastava, P.K. Peptide-Binding Heat Shock Proteins in the Endoplasmic Reticulum: Role in Immune Response to Cancer and in Antigen Presentation. Adv. Cancer Res. 1993, 62, 153–177. [Google Scholar] [CrossRef] [PubMed]
- Chen, Z.; John Wherry, E. T Cell Responses in Patients with COVID-19. Nat. Rev. Immunol. 2020, 20, 529–536. [Google Scholar] [CrossRef] [PubMed]
- Melenotte, C.; Silvin, A.; Goubet, A.-G.; Lahmar, I.; Dubuisson, A.; Zumla, A.; Raoult, D.; Merad, M.; Gachot, B.; Hénon, C.; et al. Immune Responses during COVID-19 Infection. Oncoimmunology 2020, 9, 1807836. [Google Scholar] [CrossRef] [PubMed]
- Taefehshokr, N.; Taefehshokr, S.; Heit, B. Mechanisms of Dysregulated Humoral and Cellular Immunity by SARS-CoV-2. Pathogens 2020, 9, E1027. [Google Scholar] [CrossRef] [PubMed]
- Zhang, D.; Ji, L.; Chen, X.; He, Y.; Sun, Y.; Ji, L.; Zhang, T.; Shen, Q.; Wang, X.; Wang, Y.; et al. SARS-CoV-2 Nsp15 suppresses type I interferon production by inhibiting IRF3 phosphorylation and nuclear translocation. iScience 2023, 26, 107705. [Google Scholar] [CrossRef]
- Gulluoglu, S.; Tuysuz, E.C.; Sahin, M.; Yaltirik, C.K.; Kuskucu, A.; Ozkan, F.; Dalan, A.B.; Sahin, F.; Ture, U.; Bayrak, O.F. The Role of TNF-α in Chordoma Progression and Inflammatory Pathways. Cell Oncol. 2019, 42, 663–677. [Google Scholar] [CrossRef]
- Frezza, A.M.; Botta, L.; Trama, A.; Dei Tos, A.P.; Stacchiotti, S. Chordoma: Update on Disease, Epidemiology, Biology and Medical Therapies. Curr. Opin. Oncol. 2019, 31, 114–120. [Google Scholar] [CrossRef]
- Pastor, D.M.; Lee-Wisdom, K.; Arai, A.E.; Sirajuddin, A.; Rosing, D.R.; Korchin, B.; Gulley, J.L.; Bilusic, M. Fast Clearance of the SARS-CoV-2 Virus in a Patient Undergoing Vaccine Immunotherapy for Metastatic Chordoma: A Case Report. Front. Oncol. 2020, 10, 603248. [Google Scholar] [CrossRef]







| Radl et al., 2005 [4] | Bander et al., 2020 [5] | Passeri et al., 2020 [6] | Vellutini et al., 2021 [7] | This Case | |
|---|---|---|---|---|---|
| Location | Spine (C2) | Clivus | Clivus | Clivus | Clivus, C1–C2 |
| Gender | Male | Female | Male | Female | Female |
| Symptoms | Neck pain, paresthesia, urinary and bowel disfunction, hyperreflexia | Stabbing headache | No. | Headache | Headache, neck pain, right hemiplegia, tongue palsy |
| Measure pre-regression | 2.5 × 2 × 4 cm | 3.1 × 1.9 × 3 cm (8.84 cm3) | 36.9 cm3 | - | 6.5 × 3.5 × 4.5 cm (102.37 cm3) |
| Measure post-regression | - | 2.3 × 2.1 × 1.4 cm (3.38 cm3) | 24.7 cm3 | - | 1.6 × 0.7 × 1 cm (1.12 cm3) |
| Medications used | Dexamethasone, ciprofloxacin | Gabapentin, famotidine, loratadine, hydralazine, atenolol, nitroglycerin patch, vitamin B2, B6, B12. Complex of resveratrol, E-alpha-lipoic acid, hyaluronic acid, astaxanthin, echinacea, badger fat/oil tablets, sea buckhorn oil. | Corticosteroids, clarithromycin, doxycicline | - | Dexamethasone, meropenem, amikacin, ceftriaxone, clindamycin, azithromycin, hydroxycloroquine, ivermectin, prednisone, zinc and vitamin d, gabapentin, amitriptyline |
| Associated infection | Yes. Local abcess | No. | Yes. Inflammatory bullous dermatosis | No | COVID-19 |
| Agent | Escherichia coli | - | Mycobacterium marinum | - | SARS-CoV-2 |
| Pre-regression surgery | 2. Biopsies | No | No | No | Fixation C0-C1-C2 |
| Post-regression treatment | No. Complete regression | Ressection | Wait-and-see | Ressection | Ressection |
| PO fever | Yes | No | - | - | Yes |
| Histopathology | Chordoma | Chordoma | - | Chordoma | Chordoma |
| Brachyury | - | Negative | - | Positive | Positive |
Disclaimer/Publisher’s Note: The statements, opinions and data contained in all publications are solely those of the individual author(s) and contributor(s) and not of MDPI and/or the editor(s). MDPI and/or the editor(s) disclaim responsibility for any injury to people or property resulting from any ideas, methods, instructions or products referred to in the content. |
© 2024 by the authors. Licensee MDPI, Basel, Switzerland. This article is an open access article distributed under the terms and conditions of the Creative Commons Attribution (CC BY) license (https://creativecommons.org/licenses/by/4.0/).
Share and Cite
Silva Junior, L.F.M.d.; Silva, G.E.B.; Campos, M.A.G.; Teixeira Júnior, A.A.L.; Santos, R.M.; Santos, O.J.d.; Salgado Filho, N. Chordoma Spontaneous Regression After COVID-19. Viruses 2025, 17, 10. https://doi.org/10.3390/v17010010
Silva Junior LFMd, Silva GEB, Campos MAG, Teixeira Júnior AAL, Santos RM, Santos OJd, Salgado Filho N. Chordoma Spontaneous Regression After COVID-19. Viruses. 2025; 17(1):10. https://doi.org/10.3390/v17010010
Chicago/Turabian StyleSilva Junior, Luis Fernando Moura da, Gyl Eanes Barros Silva, Marcos Adriano Garcia Campos, Antonio Augusto Lima Teixeira Júnior, Ramon Moura Santos, Orlando José dos Santos, and Natalino Salgado Filho. 2025. "Chordoma Spontaneous Regression After COVID-19" Viruses 17, no. 1: 10. https://doi.org/10.3390/v17010010
APA StyleSilva Junior, L. F. M. d., Silva, G. E. B., Campos, M. A. G., Teixeira Júnior, A. A. L., Santos, R. M., Santos, O. J. d., & Salgado Filho, N. (2025). Chordoma Spontaneous Regression After COVID-19. Viruses, 17(1), 10. https://doi.org/10.3390/v17010010

